ACTUALIZAN LA CLINICA, EL DIAGNOSTICO Y LA TERAPIA DE LOS PACIENTES CON ANGIOSARCOMA
                                                     CARDIACO
                                    (especial para SIIC © Derechos reservados)
Las neoplasias más frecuentes del corazón son las metástasis de otros tumores, cuya prevalencia es 20 a 40
veces mayor que la correspondiente a las neoplasias malignas primarias.1 Los tumores malignos primitivos del
corazón y el pericardio resultan poco frecuentes; aproximadamente el 25% de los casos corresponde a
sarcomas.2 Entre los sarcomas cardíacos, el angiosarcoma (AS) se considera la variante de mayor prevalencia y
constituye menos del 10% de todos los tumores cardíacos primarios.3,4,5,6,7,8,9 Los AS se localizan con mayor
frecuencia en la aurícula derecha (78% a 93% de los casos) y se caracterizan por su crecimiento rápido, con
invasión local y metástasis a distancia.10,11 Debido a estos parámetros, la mayoría de los pacientes presenta
muy mal pronóstico y, en general, fallece dentro de los primeros meses de la aparición de los síntomas, pese a
la resección quirúrgica y el trasplante cardíaco.11,12,13 Los AS cardíacos se describen habitualmente en pacientes
jóvenes (tercera a quinta décadas de la vida), en comparación con los AS de otra localización, con predominio
en sujetos de sexo masculino.15

La clasificación histopatológica de los sarcomas cardíacos se realiza en general sobre la base de la combinación
de parámetros morfológicos y de los datos de las tinciones por inmunohistoquímica.5,16 Los tumores se
clasifican en AS, sarcomas indiferenciados, osteosarcomas, fibrosarcomas, fibrohistiocitomas malignos,
leiomiosarcomas, mixosarcomas, sarcomas sinoviales, neurofibrosarcomas y rabdomiosarcomas.

El AS cardíaco constituye una masa de gran tamaño, macroscópicamente hemorrágica, multilobulada, que
reemplaza la pared auricular (Figura 1) y puede protruir u ocupar las cámaras cardíacas adyacentes. Con
frecuencia se expanden hacia la superficie del epicardio y provocan derrame con taponamiento, así como hacia
la vena cava o la válvula tricúspide para producir obstrucción al flujo y síndrome de la vena cava superior. La
presencia de un tumor pericárdico extenso con continuidad en la pared de la aurícula o el ventrículo derecho
puede motivar dudas acerca de su origen exacto, pero la mayor parte de los casos se origina en la aurícula
derecha.11




Habitualmente se describen metástasis al momento del comienzo de los síntomas (66% a 89%); 5-17 los
pulmones son los órganos de localización más habitual. Pueden observarse metástasis también en ganglios
linfáticos, hueso, hígado, cerebro, tubo digestivo, bazo, glándulas suprarrenales, pleura, diafragma, riñón,
tiroides y piel.18

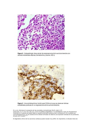
Los AS son neoplasias malignas de diferenciación endotelial. Varían desde tumores bien diferenciados
(conformados por áreas vasculares con anastomosis, alineadas con células neoplásicas elongadas, fusiformes y
mononucleadas [Figura 2], que en ocasiones protruyen hacia la luz vascular) hasta tumores indiferenciados
(constituidos por capas sólidas de células anaplásicas fusiformes). Las tinciones por inmunohistoquímica para
los marcadores CD31, CD34 (Figura 3) y la proteína relacionada con el factor VIII resultan útiles para confirmar
el origen endotelial de estos tumores.19
Zu y col. informaron la presencia de las anomalías cromosómicas 55,XY,+der(1:17)
(q10:q10),+2,+7,+8,+19,+20,+21,+22 en el análisis citogenético.20 La hibridación in situ con fluorescencia
multicolor en muestras de tejido fijado en parafina demostró polisomía del cromosoma 8. En el análisis por
inmunohistoquímica, en los núcleos de las células tumorales se observó una expresión elevada de los productos
del gen p53 mutado.21,22

El diagnóstico clínico de los sarcomas cardíacos puede resultar muy difícil. Es importante un elevado índice de
sospecha, dado que, a menudo, estos tumores son asintomáticos hasta los estadios avanzados de la
enfermedad. Las manifestaciones pueden ser proteiformes y asemejarse a las de otras enfermedades. El
pronóstico es en general adverso, dada la extensa invasión local, la presencia de metástasis a distancia al
momento de la presentación inicial, o ambas.

Los síntomas de los sarcomas cardíacos pueden originarse a partir de los siguientes mecanismos
fisiopatológicos: en primer lugar, obstrucción al flujo de los principales vasos de sangre e interferencia de la
función valvular como consecuencia de un tumor intracavitario; en segundo lugar, invasión local del tejido
muscular y del sistema de conducción, con inducción de arritmias, o bien del pericardio, con constricción
cardíaca o hemopericardio recurrente con taponamiento cardíaco; en tercer lugar, embolia de fragmentos
tumorales o trombos peritumorales friables; los tumores de las cavidades izquierdas provocan embolia cerebral,
coronaria o retiniana, mientras que los tumores de las cavidades derechas son fuentes de émbolos que pueden
provocar hipertensión pulmonar en función de su tamaño; en cuarto lugar, síntomas constitucionales o
sistémicos como disnea, ortopnea, síncope, dolor torácico, fiebre, malestar general, vómitos, anorexia y pérdida
de peso.23 Existen diversos factores que determinan las manifestaciones clínicas de la enfermedad, como el
tamaño, la tasa de crecimiento, la localización, la tendencia a la embolia y el grado de invasión del tumor.24 La
obstrucción al flujo de la arteria pulmonar o del ventrículo derecho puede provocar en ocasiones paro
cardíaco.23 Las metástasis pulmonares desencadenan tos y hemoptisis.19 Murinello y col. han informado un caso
de AS del ventrículo derecho con urticaria grave recurrente concomitante.25 Se ha demostrado que el AS atrae
células inflamatorias, en especial mastocitos, con mecanismos de retroalimentación positiva que inducen mayor
liberación de citoquinas y factores de crecimiento, como el factor de crecimiento básico de los fibroblastos y el
factor de crecimiento vascular endotelial (VEGF [vascular endothelial growth factor]).26 En la mayor parte de los
textos de dermatología no se considera la asociación entre la urticaria y las afecciones malignas. Dado que los
mastocitos incluyen grandes concentraciones de histamina, que es la principal molécula mediadora de la
urticaria, la atracción de estas células por parte del AS podría explicar esta relación de causa y efecto.

La radiografía de tórax no brinda información relevante para la detección del AS cardíaco. Sólo demuestra
cambios secundarios a las repercusiones hemodinámicas del crecimiento tumoral, como cardiomegalia,
insuficiencia cardíaca, derrame pleural, masa cardíaca focal, consolidaciones pulmonares y derrame pericárdico.
Los avances en las técnicas no invasivas de diagnóstico por imágenes, como el ecocardiograma transesofágico
(ETE),27 la tomografía computarizada (TAC) y la resonancia magnética (RM),28 pueden orientar y completar el
diagnóstico de las masas intracardíacas. El ecocardiograma es un método confiable, no invasivo y ampliamente
disponible para la detección de los tumores cardíacos, la localización tumoral, el patrón de movimiento y el
tamaño. Por motivos técnicos, el ETE se asocia con limitada precisión para el diagnóstico.15,29 Como
contrapartida, el ETE tiene mucha mayor resolución para distinguir entre tumores benignos y malignos, que en
general alteran, infiltran y oscurecen los planos tisulares de la anatomía cardíaca subyacente.30 La presencia de
un tumor en las venas pulmonares o la extensión a la vena cava se han descrito como signos útiles para
diferenciar una neoplasia maligna de un mixoma.27,30 El ETE también resulta de utilidad para guiar las biopsias
tumorales transvenosas en los casos en que este procedimiento es necesario, si bien existe riesgo de
hemorragia grave.23

A pesar de las ventajas del ETE, aún se lo considera inferior a la TAC helicoidal y la RM en términos de la
caracterización de los tejidos blandos y de la detección de infiltración tumoral. Tanto el ecocardiograma
transtorácico como el ETE ofrecen imágenes limitadas del mediastino, por lo cual no permiten evaluar las
manifestaciones extracardíacas de la enfermedad. No obstante, a diferencia de la ecografía, la TAC y la RM no
pueden caracterizar las estructuras en movimiento, como las válvulas cardíacas.28

Según Jannigan y col.,11 se distinguen dos variantes morfológicas principales de AS cardíaco. El primer tipo
consiste en una masa bien definida que protruye dentro de una cámara cardíaca, en general con preservación
del tabique interauricular. En la macroscopia, estos tumores son hemorrágicos, necróticos y, en general, se
adhieren al pericardio. La TAC muestra a menudo una masa irregular o nodular de baja atenuación, originada
con frecuencia a partir de la pared libre de la aurícula derecha. En la TAC y la RM se demuestra, en general,
infiltración tumoral del miocardio, compresión de las cámaras cardíacas, extensión directa hacia el pericardio y
compromiso de los grandes vasos mediastinales (Figura 4). El segundo tipo es una masa infiltrativa y difusa
que se extiende a lo largo del pericardio. El espacio pericárdico puede obliterarse por la presencia de restos
tumorales necróticos o hemorrágicos que se visualizan como derrame o engrosamiento pericárdico en la TAC.
Debido a la tendencia a la necrosis y el sangrado de los AS cardíacos, la señal en la RM resulta, en general, de
intensidad heterogénea. Las áreas de hiperintensidad en las imágenes ponderadas en T1 pueden ser focales o
periféricas y se postula que representan coágulos.28 Las áreas nodulares focales con señal de mayor intensidad,
intercaladas con sectores con señal de moderada intensidad en las imágenes ponderadas en T1 y T2, se
asemejan a “coliflores”.31 El refuerzo lineal del material de contraste en las áreas vasculares ofrece una
apariencia “en rayos de sol” en los casos de infiltración difusa del pericardio.32

La estrategia terapéutica principal del AS cardíaco es la resección quirúrgica, asociada o no con radioterapia,
quimioterapia o ambas. Aunque la cirugía es el tratamiento de primera elección, la mayoría de los pacientes se
presenta con tumores apenas resecables o sin posibilidades técnicas de resección al momento del diagnóstico.
Como resultado, el período de supervivencia es limitado y varía entre los 6 y los 12 meses.33 Debido a las
dificultades técnicas para la exéresis completa de estos tumores, algunos autores recurren a la remoción
cardíaca para la resección tumoral con posterior autotrasplante, mientras que otros expertos evitan esta cirugía
y optan por la cirugía cardíaca parcial ex situ para la resección del tumor.34,35

Dadas estas deficiencias de la cirugía y el riesgo de metástasis a distancia, se ha intentado tanto la radioterapia
adyuvante como la quimioterapia sistémica, con resultados no satisfactorios.4,7 En una serie de casos en la que
se indicó quimioterapia adyuvante con doxorrubicina convencional o liposomal, los pacientes con AS
presentaron la peor evolución entre todos los sujetos con sarcomas cardíacos.4 En forma reciente se ha
utilizado doxorrubicina liposomal pegilada, con prolongación de la supervivencia de los pacientes por 15
meses.36 Se han observado mejores resultados con el uso concurrente de radioterapia y quimioterapia con
carboplatino y paclitaxel.37 Pigot y col. señalaron la posibilidad de lograr una mejor respuesta en pacientes
seleccionados con AS cardíaco cuando se combina la resección quirúrgica con quimioterapia neoadyuvante (con
el fin de reducir el tamaño tumoral) y quimioterapia adyuvante posterior para erradicar las células neoplásicas
remanentes.38

En un caso clínico se informó que la terapia multidisciplinaria con interleuquina 2 de origen recombinante
(inmunoterapia), quimioterapia posquirúrgica (ciclofosfamida, vincristina, doxorrubicina, dacarbazina) y
radioterapia mejoró la supervivencia del paciente por 30 meses.39 Se ha enfatizado siempre la importancia del
diagnóstico precoz, dado que la sola presencia de metástasis al momento del diagnóstico se asocia con peor
pronóstico. La supervivencia después del enfoque multimodal es en general breve, pero resulta levemente
superior cuando se logra la exéresis tumoral completa.39

Se ha realizado en forma ocasional trasplante cardíaco ortotópico, aunque en general los resultados no han sido
adecuados.14,40 Asimismo, existe preocupación acerca de la recurrencia tumoral en el caso de neoplasias de
rápido crecimiento, como los AS cardíacos, en el contexto de los largos períodos de espera para el trasplante.
Además, se observa escasez de donantes, mientras que la inmunosupresión podría también estimular el
crecimiento de micrometástasis no reconocidas en el momento del diagnóstico, o bien predisponer a los
pacientes a la aparición de una nueva neoplasia.41

Incluso a pesar de una adecuada pesquisa preoperatoria de lesiones secundarias, muchos pacientes fallecen
como consecuencia de las metástasis. Si bien algunos autores han informado períodos de supervivencia de
hasta 3 años,42 otros expertos no han identificado diferencias en el pronóstico a largo plazo.43 Sólo el trasplante
en los pacientes con respuesta al tratamiento se asocia con la posibilidad de supervivencia a largo plazo. La
eventual curación de la enfermedad probablemente tendrá lugar a partir de las terapias biológicas que se
encuentran en investigación.44 Se están llevando a cabo estudios clínicos con compuestos como la angiostatina
y la endostatina, que inhiben la formación y el crecimiento de neovasos que se originan por la acción del VEGF
producido por el propio tumor.44

En conclusión, dada la escasa prevalencia de los AS cardíacos, resulta muy difícil para los cirujanos torácicos
disponer de la experiencia suficiente para recomendar la mejor estrategia terapéutica para cada paciente. La
terapia multimodal aplicada por numerosos centros cardiotorácicos de referencia podría allanar el camino para
un mejor tratamiento de estos tumores.




                                                     Full text
                                                    (english)
                                        para suscriptores/ assinantes
         Bibliografía del artículo1. Sabatine MS, Colucci WS, Schoen FJ. Primary tumors of the heart. En:
         Zipes DP, Libby P, Bonow RO, Braunwald E, editores. Braunwald's heart disease 7a ed. Filadelfia,
         EE.UU.: Elsevier Saunders; 2005. p. 1741-1755.
         2. Silverman NA. Primary cardiac tumors. Ann Surg 191:127-138, 1980.
         3. Rettmarr K, Stierle U, Sheikhzadeh A y col. Primary angiosarcoma of the heart. Report of a case
         and review of the literature. Jpn Heart J 34:667-683, 1993.
         4. Burke AP, Cowan D, Virmani R. Primary sarcomas of the heart. Cancer 69:387-395, 1992.
         5. Tazelaar HD, Locke TJ, Mc Gregor LG. Pathology of surgically excised primary cardiac tumors. Mayo
         Clin Proc 67:957-965, 1992.
         6. Burke AP, Virmani R. Tumors and tumor-like conditions of the heart. En: Silver MD, Gottlieb AI,
         Schoen FJ, editores. Cardiovascular pathology. Filadelfia, EE.UU.: Churchill Livingstone; 2001. p. 583-
         565.
         7. Putnam JB, Sweeny MS, Colon R, Lanza LA, Frazier OH, Cooley DA. Primary cardiac sarcomas. Ann
         Thor Surg 51:906-910, 1991.
         8. Piazza N, Chughtai T, Toledano K y col. Primary cardiac tumors. Eighteen years of surgical
         experience on 21 patients. Can J Cardiol 20:1443-1448, 2004.
         9. Dennig K, Lehmann G, Richter T. An angiosarcoma in the left atrium. N Engl J Med 342:443-444,
         2000.
         10. Gong Y, Hong T, Chen M, Huo Y. A right heart angiosarcoma with rapidly progressing hemorrhagic
         pericardial effusion. Intern Med 50:455-458, 2011.
         11. Janigan DT, Husain A, Robinson NA. Cardiac angiosarcoma-a review and a case report. Cancer
         57:852-859, 1986.
         12. Fayete J, Martin E, Piperno-Neumann S y col. Angiosarcomas, a heterogenous group of sarcomas
         with specific behavior depending on primary site: a retrospective review of 161 cases. Ann Oncol
         18:2030-2036, 2007.
         13. Young RJ, Brown NJ, Reed MW, Hughes D, Woll PJ. Angiosarcoma. Lancet Oncol 4:66-74, 2011.
         14. Crespo MG, Pulpon LA, Pradas G y col. Heart transplantation for cardiac angiosarcoma: should its
         indication be questioned? J Heart Lung Transplant 12:527-530, 1993.
         15. Kurian KC, Weisshaar D, Parekh H, Berry GJ, Reitz B. Primary cardiac angiosarcoma: case report
         and review of the literature. Cardiovascular Pathology 15:110-112, 2006.
         16. Donsbeck AV, Ranchere D, Coindre JM, Le Gall F, Cordier JF, Loire R. Primary cardiac sarcomas:
         an immunohistochemical and grading study with long-term follow-up of 24 cases. Histopathology
         34:295-304, 1999.
         17. Amonkar GP, Desanpande JR. Images in Cardiovascular Pathology-cardiac angiosarcoma.
         Cardiovascular Pathology 15:57-58, 2006.
         18. Burke A, Virmani R. Tumors of the heart and great vessels. En: Atlas of tumor pathology.
         Washington DC, EE.UU.: Armed Forces Institute of Pathology; 1996. p. 136-140. (3rd series; fasc 16).
         19. Adem C, Ambry MC, Tazeler HD, Meyers JL. Metastatic angiosarcoma masquerading as diffuse
         pulmonary hemorrhage. Arch Pathol Lab Med 125:1562-1565, 2001.
         20. Zu Y, Perle MA, Yan Z, Liu J, Kumar A, Waisman J. Chromosomal abnormalities and p53 gene
         mutation in a cardiac angiosarcoma. Appl Immunohistochem Mol Morphol 9:24-28, 2001.
         21. Naka M, Tomita Y, Nakanishi H, et al. Mutations of p53 tumor-supressor gene in angiosarcoma.
         Int J Cancer 71:952-955, 1997.
         22. García JM, González R, Silva JM y col. Mutational status of K-ras and TP53 genes in primary
         sarcomas of the heart. Brit J Cancer 82:1183-1185, 2000.
         23. Shanmugan G. Primary cardiac tumors. Europ J Cardio-Thor Surg 29:925-932, 2006.
24. Grebenc ML, Rosado de Christensen ML, Green CE, Galfin KR. Primary cardiac and pericardial
            neoplasms: radiologic-pathologic correlation. Radiographics 20:1073-1103, 2000.
            25. Murinello A, Mendonça P, Abreu A y col. Cardiac angiosarcoma-a review. Portuguese J Cardiol
            26(5):577-584, 2007.
            26. Yamamoto T, Umeda T, Nishioka K. Immunohistological distribution of stem cell factor and kit
            receptor in angiosarcoma. Acta Derm Venereol 80:443-445, 2000.
            27. Hsieh P-L, Lee D, Chiou K-R y col. Echocardiographic features of primary cardiac sarcomas.
            Echocardiography 19:215-220, 2002.
            28. Araoz PA, Eklund HE, Wech TJ, Breen JF. CT and MR imaging of primary cardiac malignancies.
            Radiographics 19:1421-1434, 1999.
            29. Qingyi M, Hong L, Lima J, Wenjing T, Yuanyu Q, Shengan L. Echocardiographic and pathologic
            characteristics of primary cardiac tumors: a study of 149 patients. Int J Cardiol 84:69-75, 2002.
            30. Freeman WK, Reeder GS. Cardiac neoplasias and thrombi. En: Freeman WK, Seward JB y col.,
            editores. Transesophageal echocardiography. New York, EE.UU.: Little Brown; 1994. p. 339-384.
            31. Kim EE, Wallace S, Abello Ry col. Malignant cardiac fibrous histiocytoma and
            angiosarcoma: MR features. J Comput Assist Tomogr 13:627-632, 1989.
            32. Yahata S, Endo T, Houma H, et al. Sunray appearance on enhanced magnetic resonance image of
            cardiac angiosarcoma with pericardial obliteration. Am Heart J 127:468-471, 1994.
            33. Herman MA, Shankerman RA, Edwards WD, Shub C, Schaff HV. Primary cardiac angiosarcoma: a
            clinicopathologic study of six cases. J Thorac Cardiovascul Surg 103:655-664, 1992.
            34. Scheld HH, Nestle HW, King D. Resection of a heart tumour using autotransplantation. Thorac
            Cardiovasc Surg 36:40-43, 1988.
            35. Kallenbach K, Haverich A. Explantation of the heart for resection of primary cardiac tumors can be
            avoided by partial ex situ heart surgery. Thorac Cardiovasc Surg 51:293-294, 2003.
            36. Kodali D, Seetharamansk K. Sarcoma, Article ID 39130 (online). 1-3, 2006.
            37. Nobuyukik K, Shiro F, Masaki K, Yukibiro T. Angiosarcoma arising from the right atrium:
            remarkable response to concurrent chemoradiotherapy with carboplatin and paclitaxel. J Thorac
            Oncology 6:970, 2011.
            38. Pigot C, Welker M, Khosla P, Higgins RS. Improved outcome with multimodality therapy in primary
            cardiac angiosarcoma. Nature Clinical Practice Oncology 5:112-115, 2008.
            39. Kakizaki S, Tagari H, Hosaka Y. Cardiac angiosarcoma responding to multidisciplinary treatment.
            Int J Cardiol 62:273-275, 1997.
            40. Armitage JM, Kormos RL, Griffith BP, Fricker FJ, Hardesty RL. Heart transplantation in patients
            with malignant disease. J Heart Transplant 9:627-629, 1990.
            41. Frota-Filho JD, Lucchese FA, Leães P, Valente LA, Vieira MS, Blacher C. Primary cardiac
            angiosarcoma. A therapeutical dilemma. Arq Bras Cardiol 78:589-591, 2002.
            42. Gowdamarajan A, Michler RE. Therapy for primary cardiac tumours: is there a role for heart
            transplantation? Curr Opin Cardiol 15:121-125, 2000.
            43. Uberfuhr P, Meiser B, Fuchs Ay col. Heart transplantation: an approach to treating primary cardiac
            sarcoma? J Heart Lung Transplant 21:1135-1139, 2002.
            44. Reardon MJ. Cardiac angiosarcoma. Amschwand Sarcoma Cancer Foundation. Disponible en:
            www.sarcomacancer.org/index.php?page=dr-michael-j-reardon-on-cardiac-angiosarcoma. Consultado
            Feb 25, 2013.




COMPARAN DOS FORMAS DE BLOQUEO ANALGESICO EN PACIENTES
                                                                                           InSIIC editado en:
PEDIATRICOS SOMETIDOS A CIRUGIA CARDIACA
                                                                                            Anestesiología
                                                                                            Cirugía
Mansoura, Egipto
                                                                                            Cardiología
En pacientes pediátricos que requieren una cirugía cardíaca, tanto la analgesia             Pediatría
epidural como el uso de catéteres a nivel paravertebral mejoran el control del
dolor, si bien la indicación de analgésicos por vía paravertebral se asocia con un
mejor perfil de seguridad.
Fuente científica: Annals of Cardiac Anaesthesia15(4):259-263 Oct,
2012 aSNC

  Autores: El-Deeb A, Elgamal AF, El-Morzy GZ

  Palabras clave: bloqueo epidural, bloqueo paravertebral, dolor por toracotomía

  Key Words: epidural block, paravertebral block, post-thoracotomy pain


  Institución principal: University of Mansoura
  Correspondencia: GZ El-Morzy, Department of Anesthesia Mansoura University, Mansoura Egipto
  Patrocinio: No declarado.
  Conflicto de interés: No declarado.
  Agradecimientos: No declarado.

Se define al bloqueo paravertebral como una estrategia eficaz para reducir el dolor postoperatorio, tanto mediante el
uso de dosis únicas como por medio de la infusión local continua con catéteres. No obstante, en los individuos
sometidos a toracotomía, la analgesia epidural se ha considerado como el recurso de elección para la reducción del
dolor. De todos modos, el uso de analgésicos por vía epidural se correlaciona con efectos adversos o complicaciones
como la retención aguda de orina, la hipotensión o la aparición de hematomas epidurales o disfunción neurológica. Por
consiguiente, se postula la necesidad de recursos terapéuticos alternativos que permiten obtener un nivel de analgesia
similar, en el contexto de un mejor perfil de seguridad.

En este ensayo, se describen los resultados de un estudio prospectivo de una cohorte de 60 pacientes pediátricos de
hasta 24 meses de edad, sometidos a toracotomía por cirugía cardíaca. Los niños fueron divididos de modo aleatorio
para recibir ya sea analgesia por vía epidural tras identificación del área de inserción mediante ecografía a nivel de los
espacios intervertebrales T6 a T9 (n = 27), o bien por un acceso paravertebral hasta ubicación del ligamento
costotransverso (n = 28). La solución administrada consistió en bupivacaína al 0.25% asociada con fentanilo en dosis
ajustadas por el peso corporal. En todos los casos se indicó anestesia general con sevoflurano, con relajación
muscular con atracurio para facilitar la intubación orotraqueal. En ambos subgrupos, la principal motivación de la
cirugía consistió en el cierre del conducto arterioso persistente. Se cuantificó el efecto de la infusión continua de los
analgésicos en cada grupo durante el período posquirúrgico mediante la aplicación de escalas validadas. Asimismo, se
determinaron los niveles de cortisolemia en forma seriada, así de los gases exhalados durante la etapa postoperatoria.

Aunque tanto el nivel de analgesia obtenido como las variables bioquímicas y respiratorias se consideraron similares
en ambas cohortes, la tasa de errores en la colocación de los catéteres fue significativamente más elevada entre los
niños sometidos a analgesia epidural, en comparación con aquellos tratados mediante abordaje paravertebral (7%
contra ningún caso, en ese orden). Por otra parte, la incidencia de complicaciones asociadas con la administración
continua de analgesia alcanzó niveles estadísticamente mayores en los pacientes con catéteres epidural, en relación
con la hipotensión, la retención de orina y la aparición de vómitos.

Se hace énfasis en que el dolor posterior a una toracotomía constituye una de las experiencias dolorosas más
acentuadas, debido a la lesión quirúrgica costal, de los nervios intercostales, la pared torácica y de la pleura, con
inserción de drenajes locales. La optimización de la analgesia mejora la capacidad ventilatoria y reduce el riesgo de
complicaciones postoperatorias. Si bien tanto el bloqueo paravertebral como el abordaje epidural parecen asociarse
con niveles equivalentes de eficacia analgésica en pacientes pediátricos con cirugía cardíaca, la infusión de estos
productos por medio de un acceso paravertebral podría relacionarse con un mejor perfil de seguridad y una menor
incidencia de errores en la colocación de los catéteres.




       COMPLICACIONES PULMONARES EN LA NEUMONIA NEUMOCOCICA
                             Las complicaciones pulmonares fueron frecuentes (38%) en
                           pacientes con neumonía neumocócica, aunque la mortalidad fue
                              similar en ambos grupos, los pacientes con complicaciones
                           pulmonares presentaron mas bacteremia,shock y necesidad de
                          ventilacion mecanica, como consecuencia necesitaron mas ingreso
                             en UCI y tuvieron una mayor estancia hospitalaria.No hubo
                             diferencia en cuanto a distribucion de serotipos, pero si una
                              tendencia a la presencia del serotipo 19A en los casos con
                                             complicaciones pulmonares.

                                                    *Catia Cillóniz
                                describe para SIIC los aspectos relevantes de su trabajo
COMPLICACIONES PULMONARES EN LA NEUMONIA NEUMOCOCICA,




                              Clinical Microbiology and Infection,
                              18(11):1134-1142 Nov, 2012

                              Esta revista, clasificada por SIIC Data Bases, integra el acervo bibliográfico
                              de la Biblioteca Biomédica (BB) SIIC.




                                     Institución principal de la investigación
 *Hospital Clinic de Barcelona, Departamento de Neumologia, Instituto Clinico del Torax. Ciber de Enfermedades
                                   Respiratorias (ciberes), Barcelona, España


                                         Descripción de la investigación


Barcelona, España(especial para SIIC)
Streptococcus pneumoniae (neumococo) es el principal agente etiológico de la neumonía bacteriana adquirida en
la comunidad en niños y adultos, es un patógeno asociado a una alta tasa de mortalidad y morbilidad a nivel
mundial. En la actualidad son 93 serotipos reportados, los cuales presentan diferencias en cuanto a su capacidad
antigénica, virulencia, poder de colonización, características epidemiológicas y resistencia a los antibióticos.
Además, la distribución de los serotipos varía en función de la edad del individuo, área geográfica, cuadro o
forma clínica a la que da lugar y sensibilidad a los antibióticos. No todos los serotipos producen enfermedad,
concentrándose el 85% de aislamientos de muestras de enfermos en 17 serotipos y de ellos son 6 los más
frecuentes: 19, 6, 3, 23, 14,9. En USA la vacuna conjugada VCN7 cubre el 80% de los serotipos causantes de
enfermedad neumoccica invasora, en España los serotipos prevalentes son: 6, 14 y 19. Con la introducción de
las diferentes vacunas conjugadas neumocócicas y el fenómeno de emergencia de serotipos no vacunales, se ha
observado un incremento en el numero de casos de neumonía complicada (derrame pleural, empiema,
afectación multilobar) por tal motivo se hace indispensable conocer las características clínicas, predictores de
complicaciones pulmonares, serotipos causales y características de evolución clínica en la población de pacientes
con neumonía neumocócica adquirida en la comunidad.

Este estudio incluyo la todos los pacientes adultos ingresados en el Hospital Clinic de Barcelona durante el
periodo 2001-2009 con el diagnostico de neumonía neumocócica. Los datos demográficos, clínicos,
microbiológicos (serotipo y antibiograma) y de evolución fueron sistemáticamente incluidos en una base datos
para su posterior análisis. Los pacientes fueron estratificados mediante el escore Pneumonia Severity Index
(PSI). Los pacientes fueron visitados después de 30 0 40 días después del alta hospitalaria para controlar su
evolución. El diagnostico de neumonía se baso en la presencia de síntomas clínicos y en la presencia de un
nuevo infiltrado en la radiografía de tórax y teniendo en cuenta no otro diagnostico alternativo. En este estudio
se definieron las complicaciones pulmonares como la presencia de derrame pleural, empiema o afectación
multilobar.

Durante el periodo de estudio se incluyeron 626 pacientes adultos, de los cuales el 85% (235 pacientes)
presentaron complicaciones pulmonares: derrame pleural, 122 (52%), empiema 18 (8%), afectación multilobar
151 (64%) y 46 (20%) presentaron mas de una complicación. La clasificion de los pacientes utilizando el escore
PSI mostro que: 48% se clasificaron como de bajo riesgo (PSI I-III), 34% como riesgo moderado( PSI IV) , Y
18% como pacientes de riesgo alto (PSI V). La mortalidad de nuestra población fue del 9%:

Los pacientes que presentaron complicaciones pulmonares mostraron: mayor ingreso en la unidad de cuidados
intensivos, shock, mayor estancia hospitalaria, los neumococos presentaron una menor tasa de resistencia a la
penicilina, presentaron similar tasa de mortalidad. En cuanto a la distribución de serotipos, no hubo diferencia
entre la presencia de serotipos incluidos en la vacuna VCN7 y los serotipos no vacunales aun que si observamos
una tendencia a la presencia del serotipo 19A en los pacientes con complicaciones pulmonares. En los análisis
multivariados de complicaciones pulmonares, el tratamiento previo con corticoides inhalados y la presencia de la
enfermedad pulmonar obstructiva crónica fueron factores de protección al desarrollo de complicaciones
pulmonares.

En conclusion, la neumonia neumococica con complicaciones pulmonares se caracterizo por un cuadro clinico
mas grave, pero no se asocio con una mayor mortalidad.La resistencia a los antibioticos fue menor en los casos
complicados.

Este ha sido el primer estudio que evalúa el impacto clínico de las complicaciones pulmonares en pacientes
hospitalizados con neumonía neumocócica adquirida en la comunidad en una amplia población de pacientes
incluidos consecutivamente durante un período de 9 años y el primero en aplicar este nuevo concepto de
complicaciones pulmonares reuniendo el derrame pleural, empiema y la afectación multilobar en una sola
variable de estudio.

Una limitación del estudio es la falta de datos del tiempo de la primera dosis de antibióticos, una variable que
potencialmente puede influenciar en la mortalidad. Así también la disponibilidad de los serotipos neumococicos
  en el periodo 2006 – 2009.




DEMUESTRAN LA EFICACIA DE UN PROGRAMA BREVE DE CAPACITACION EN
                                                                                             ReSIIC editado en:
TERAPIA INTENSIFICADA CON INSULINA EN PACIENTES CON DIABETES
TIPO 1
                                                                                               Diabetología
Hvidovre, Dinamarca
                                                                                              Enfermería
                                                                                              Endocrinología y
Los programas de breve duración para la aplicación de la terapia intensificada con           Metabolismo
dosis flexibles de insulina y el recuento de hidratos de carbono se asocian con una           Medicina Interna
optimización del control metabólico y de la satisfacción del tratamiento en pacientes         Medicina Familiar
con diabetes tipo 1.                                                                          Nutrición
                                                                                              Atención Primaria
Diabetes Care35(5):984-990 May, 2012


Autores:
Schmidt S, Meldgaard M, Nørgaard K


Institución/es participante/s en la investigación:
Hvidovre University Hospital


Título original:
Use of an Automated Bolus Calculator in MDI-Treated Type 1 Diabetes: The BolusCal
Study, a Randomized Controlled Pilot Study


Título en castellano:
Uso de un Calculador Automatizado de Bolos de Insulina en Pacientes con Diabetes
Tipo 1 Tratados con Múltiples Aplicaciones Diarias de Insulina: Boluscal, un Estudio
Piloto Aleatorizado y Controlado


Extensión del Resumen-SIIC en castellano:
2.73 páginas impresas en papel A4

Introducción
En el estudio Diabetes Control and Complications Trial se ha demostrado la importancia de alcanzar niveles de
glucemia cercanos a la normalidad para evitar las complicaciones microvasculares de la diabetes. En ese ensayo se
llevó a cabo una terapia intensificada con dosis flexibles de insulina (TIDF), con administración de múltiples dosis de
este fármaco en función de la glucemia, la ingesta de hidratos de carbono y el ejercicio. Se cita que la promoción de
este abordaje se efectúa mediante programas estructurados de cinco días en los cuales se enseña a los pacientes la
instrumentación de la TIDF, con la posibilidad de enfocar por sí mismos las alteraciones metabólicas leves. Esta
modalidad se ha extendido en diversas naciones y su eficacia ha sido demostrada en estudios como el protocolo Dose
Adjustament for Normal Eating (DAFNE), en términos de la mejoría del control de la glucemia y la calidad de vida
relacionada con la enfermedad. En este contexto, se señala que Dinamarca ha recomendado la aplicación de la TIDF
en sus normativas nacionales, con la inclusión del recuento de hidratos de carbono (RHC) en sujetos con diabetes tipo
1. Sin embargo, se admiten las dificultades en su implementación. Mientras que los usuarios de bombas de insulina
parecen adaptarse con facilidad a la TIDF, no se describe el mismo fenómeno en los sujetos que utilizan múltiples
inyecciones diarias (MID) de insulina. La diferencia se atribuye a la ventaja de los pacientes que utilizan bombas que
incorporan funciones para el cálculo de los bolos de insulina. Se acota que la reciente creación de los lectores de
glucemia que incorporan una calculadora de bolos de insulina podría facilitar la aplicación de la TIDF en los pacientes
con diabetes tipo 1 que emplean MID de insulina. Se presentan los resultados de un estudio piloto para demostrar
esta hipótesis.

Pacientes y métodos
El BolusCal Study consistió en un protocolo prospectivo, aleatorizado, de diseño abierto y con grupos paralelos, en el
cual participaron individuos adultos con diabetes tipo 1 de al menos 12 meses de evolución tratados con MID de
análogos de la insulina de acción rápida o prolongada. Se definieron como criterios de exclusión el embarazo, la
gastroparesia y la aplicación actual o previa de técnicas de RHC.
Los participantes formaron parte de un programa de entrenamiento de 3 horas con nutricionistas y enfermeros
especialistas en diabetes, en el cual se capacitó a los pacientes en relación con las recomendaciones nutricionales, las
técnicas de automonitoreo de la glucemia, las diferentes insulinas y el tratamiento de la hiperglucemia y la
hipoglucemia en forma global o en asociación con el ejercicio, las infecciones, el estrés o los ciclos menstruales. Se
destacó en el programa la capacitación para el abordaje por parte de los pacientes de los ajustes racionales de la
dosis diaria de insulina.
Los participantes se dividieron en forma aleatoria para integrar ya sea un grupo control (enseñanza de los principios
generales de una dieta saludable, sin entrenamiento en RHC), un primer grupo de intervención con entrenamiento en
el RHC (en términos teóricos y prácticos, con aplicación personalizada de cocientes insulina/hidratos de carbono y
factores de sensibilidad a la insulina) y un segundo grupo de intervención con capacitación en RHC asociada con la
utilización del nuevo equipo de cálculo automático de bolos de insulina. Tras el programa de capacitación, en el grupo
de control se continuó con la estimación de la dosis de insulina previa a las comidas con bolos de corrección en forma
empírica.
El criterio principal de valoración del estudio consistió en los cambios en el nivel de hemoglobina glucosilada (HbA1c)
observados a las 16 semanas, mientras que, entre los criterios secundarios, se consideraron las variaciones en la
satisfacción vinculada con el tratamiento, los cambios en la calidad de vida relacionada con la enfermedad y la
prevalencia de hipoglucemia e hiperglucemia estimadas mediante cuestionarios validados, como el Diabetes
Treatment Satisfaction Questionnaire (DTSQ). Los datos reunidos se procesaron con pruebas estadísticas específicas.

Resultados
En total, 51 pacientes completaron el estudio. No se verificaron diferencias significativas en las características iniciales
de los tres grupos de participantes. En ambos grupos de intervención se comprobó una variación significativa de los
niveles de HbA1c. En la comparación de ambos subgrupos, no se identificaron diferencias en esta variación (p =
0.756); del mismo modo, mediante la aplicación de un modelo de análisis de la varianza no se demostraron
diferencias significativas en los cambios de la HbA1c entre los tres grupos. Cuando se incorporó el valor inicial de este
parámetro en un modelo de regresión, las diferencias en el cambio de la HbA1c entre los tres grupos alcanzaron
niveles próximos a la significación estadística (p = 0.056). Sin embargo, en comparación con el grupo control, la
diferencia relativa fue de -0.6% (p = 0.082) para el grupo de RHC y de -0.8% (p = 0.017) para el grupo de pacientes
que aplicaron la calculadora de bolos de insulina.
Dado que se detectó un caso aislado de variación extrema de la HbA1c en el grupo de aplicación del equipo de cálculo
de bolos de insulina, se excluyó a ese paciente en un análisis de sensibilidad. Mientras que en el análisis inicial no se
reconocieron diferencias entre los tres grupos, la incorporación de la HbA1c en el modelo de regresión permitió
identificar una diferencia relativa significativa en la variación de este parámetro para el grupo de RHC (-0.4%) y de
uso de la calculadora de bolos de insulina (-0.7%). La diferencia relativa entre ambos grupos de intervención en este
modelo favoreció al uso de este equipo de cálculo (-0.3%; p = 0.075).
Por otra parte, si bien en el control efectuado a las dos semanas no se advirtieron diferencias en los resultados del
cuestionario DTSQ entre los tres grupos, los autores aseguran que se reconocieron variaciones significativas en esta
evaluación hacia la semana 16. Asimismo, se verificó la ausencia de diferencias de significación estadística entre los
tres grupos en términos del recuento de eventos de hipoglucemia referidos por los participantes. La media del cambio
del peso corporal fue menor de 1 kg en todos los grupos, mientras que el promedio de la variación de la dosis diaria
de insulina fue reducida en las tres cohortes. Se cita que la media de la aplicación de la TIDF informada por los
participantes fue de 70% ± 27% en el grupo de RHC y de 89% ± 14% en el grupo de aplicación del calculador de
bolos de insulina (p = 0.010).

Discusión y conclusiones
El BolusCalStudy se considera el primer protocolo aleatorizado y controlado en el cual se evaluaron los efectos de un
nuevo equipo de cálculo de bolos de insulina en una cohorte de pacientes diabéticos tipo 1 con inadecuado control
metabólico. De igual modo, se lo define como el primer ensayo en el que se informó un resultado exitoso de la
aplicación de un programa estructurado de enseñanza de la TIDF de sólo tres horas. En este análisis, se comprobó un
cambio estadísticamente significativo de la HbA1c y de la satisfacción asociada con la terapia en ambos grupos de
intervención, con predominio de los pacientes que utilizaron el nuevo equipo de cálculo de bolos de insulina. Todos los
criterios de valoración elegidos mejoraron entre los participantes que aplicaron este equipo, si bien no todas las
variaciones alcanzaron niveles de significación estadística.
Así, la reducción de la HbA1c en el grupo control fue de 0.1%, en comparación con la disminución clínicamente
relevante informada en los grupos de intervención. Se agrega que la TIDF aplicada en ambas cohortes representó un
régimen eficaz para la mejoría del control metabólico. Se acota que la mejoría en la HbA1c descrita en los grupos de
intervención no se consideró el solo resultado de una mayor atención por parte de los prestadores de salud. En un
modelo de regresión ajustado por los valores iniciales de HbA1c, se demostró que la aplicación de los equipos de
cálculo de bolos de insulina se correlacionó con una reducción relativa más acentuada de esta variable, estimada en
una media de -0.8%. Se cita que la satisfacción asociada con el tratamiento fue similar para todos los grupos en las
primeras dos semanas, pero alcanzó diferencias a favor del uso de equipo de cálculo de bolos de insulina hacia las 16
semanas. Se especula que esta diferencia era atribuible a la posibilidad de evitar cálculos mentales complejos para
definir el régimen de tratamiento.
Las diferencias en la tasa de aplicación de la TIDF entre ambos grupos de intervención parece, a juicio de los autores,
fundamentar esta hipótesis. Se señala que el uso combinado de TIDF y el equipo calculador de bolos de insulina
permitió una optimización de la distribución de los valores de glucemia estimados por automonitoreo, con una mayor
duración de los períodos de euglucemia y reducción de las fases de hiperglucemia e hipoglucemia.
Se admite que las intervenciones no farmacológicas en general y los programas de autocuidado en pacientes
diabéticos representan recursos de difícil implementación, en los cuales se incluyen diversos componentes (motivación
y capacitación del equipo de salud) que inciden en los resultados. Para compensar el papel de estas variables, se
incluyó en este ensayo un grupo control como fortaleza del estudio, dada la imposibilidad de efectuar un protocolo de
diseño a ciego.
De esta forma, los expertos aseguran que los resultados obtenidos representan una validación de los beneficios de la
aplicación de la TIDF y del RHC en la población danesa con diabetes tipo 1 y mal control metabólico. Los principios de
la TIDF pudieron incorporarse en un programa estructurado de tres horas. Además, se hace énfasis en la elevada
satisfacción y adhesión al tratamiento en el marco de la utilización de un equipo calculador de bolos de insulina. Se
postula la necesidad de nuevos estudios con mayor cantidad de participantes y duración más prolongada para
profundizar los conocimientos acerca de la asociación de estos equipos de cálculo en el marco del uso de MID de
insulina.




CORRELACIONAN LAS VARIACIONES GENETICAS DEL CROMOSOMA Y CON
                                                                                             ReSIIC editado en:
EL RIESGO CARDIOVASCULAR

Ballarat, Australia                                                                           Diagnóstico por
                                                                                             Laboratorio
                                                                                              Genética Humana
El haplogrupo I del cromosoma Y se asocia de forma significativa con un mayor
riesgo de enfermedad coronaria, en comparación con otros linajes del mismo                    Bioquímica
cromosoma. Esta correlación es independiente de los principales factores de riesgo,           Cardiología
si bien parece mediada por un perfil genético relacionado con la inmunidad y la               Epidemiología
respuesta a la inflamación.


Lancet379(9819):915-922 Mar, 2012


Autores:
Charchar FJ, Bloomer LD, Tomaszewski M


Institución/es participante/s en la investigación:
University of Ballarat


Título original:
Inheritance of Coronary Artery Disease in Men: An Analysis of the Role of the Y
Chromosome


Título en castellano:
Herencia de la Enfermedad Coronaria en Varones: un Análisis del Papel del
Cromosoma Y


Extensión del Resumen-SIIC en castellano:
2.77 páginas impresas en papel A4

Introducción
El cromosoma Y es el cromosoma humano con menor número de genes. Su segmento principal, denominado MSY, se
transmite en forma intacta del padre al hijo e incluye información para codificar unas 27 proteínas. Si bien el papel
biológico fundamental del cromosoma Y es la transmisión de caracteres masculinos, se dispone de datos que vinculan
este cromosoma con el sistema cardiovascular. Así, entre otras alteraciones, la polisomía del cromosoma Y se
correlaciona con mayor mortalidad por causa cardiovascular.
Se ha señalado que las variaciones genéticas del MSY podrían asociarse con el riesgo vascular en los varones. Debido
a la naturaleza haploide del cromosoma Y, y a su bajo nivel de recombinación, las técnicas convencionales de
evaluación genética no son útiles para valorar sus variaciones. En cambio, se afirma que el análisis del árbol
filogenético de este cromosoma es un método apropiado, mediante el cual es posible segmentar el MSY en 20
haplogrupos principales que descienden de un ancestro común.
En este análisis, se presentan los resultados de una evaluación de la asociación entre los haplogrupos comunes del
cromosoma Y con el riesgo cardiovascular.

Pacientes y métodos
Se efectuó una evaluación transversal de casos y controles en la que se incluyeron datos de los 811 varones con
enfermedad coronaria que participaron del British Heart Foundation Family Heart Study (BFH-FHS) y de 633 sujetos
de control que integraban el Wellcome Trust Case Control Consortium (WTCCC). Los pacientes del estudio BFH-FHS se
caracterizaban por un diagnóstico confirmado de enfermedad coronaria, fundamentado en el antecedente de infarto
de miocardio, angor inestable o necesidad de revascularización coronaria, así como de antecedentes familiares de
cardiopatía isquémica. Los sujetos de control no padecían enfermedad coronaria y se incluyeron en proporciones
correspondientes a cada grupo etario entre los 30 y los 70 años. Tanto en los casos como en los controles se efectuó
genotipificación con métodos de matriz multigénica.
Por otra parte, se seleccionaron sujetos del estudio West of Scotland Coronary Prevention Study (WOSCOPS), en el
cual participaron varones de 45 a 64 años que no recibían estatinas, con un nivel de colesterol sérico total de entre
6.5 y 7.8 mmol/l al comienzo del estudio, niveles de colesterol unido a lipoproteínas de baja densidad superiores a 4.5
mmol/l y sin antecedentes de infarto de miocardio. En el ensayo original, los participantes se distribuyeron de forma
aleatoria para recibir ya sea 40 mg diarios de pravastatina o bien placebo. Para el presente análisis, se incluyeron
como casos los 580 enfermos con infarto de miocardio no mortal, muerte de causa coronaria o necesidad de
revascularización. Por cada uno de estos sujetos, se seleccionaron como controles dos participantes sin eventos, con
edad, seguimiento y consumo de tabaco de iguales características. Se dispuso de ADN leucocitario de 484 casos y 1
058 controles, de los cuales fue posible efectuar la genotipificación de los polimorfismos de nucleótidos simples (PNS)
del cromosoma Y en 482 y 1 052 individuos, en ese orden.
Asimismo, se obtuvo información del Cardiogenics Study en términos de los datos de 918 participantes (459
individuos con infarto de miocardio y 459 controles) de cinco centros europeos para el análisis de la expresión de ARN
mensajero. Sobre la base de los datos existentes acerca de la diversidad del cromosoma Y en la población británica,
se seleccionaron 11 PNS bialélicos (M9, M35, M45, M89, M170, M173, M201, M207, M269, M304 y SRY10831) para su
genotipificación.
La información obtenida se procesó con modelos estadísticos y bioinformáticos, con estratificación de los datos para el
reconocimiento de similitudes genéticas entre los participantes de las diferentes cohortes.

Resultados
Con el fin de definir si el cromosoma Y se vincula con la enfermedad coronaria, se llevó a cabo una reconstrucción del
árbol filogenético de los principales haplogrupos de este cromosoma en las cohortes de los estudios BHF-FHS y
WOSCOPS. Se comprobó que los haplogrupos I y R1b1b2 se correlacionan con el 90% de las variaciones del
cromosoma Y en ambos ensayos. Entre los participantes del estudio BHF-FHS, el haplogrupo I se encontraba presente
en una proporción significativamente mayor entre los sujetos con enfermedad coronaria, en comparación con los
pacientes de control (20% contra 13%, en ese orden; p = 0.0001). Tras el ajuste estadístico por el grupo etario, se
confirmó la asociación del haplogrupo I con la cardiopatía coronaria (odds ratio [OR]: 1.75; intervalo de confianza [IC]
del 95%: 1.20 a 2.54; p = 0.004). En el modelo prospectivo ofrecido por el estudio WOSCOPS, se verificó este
predominio significativo del haplogrupo I entre los pacientes con enfermedad coronaria, en comparación con la
cohorte de control (18% contra 13%, respectivamente; p = 0.014). Esta asociación se corroboró tras el ajuste
estadístico en función de la edad (OR: 1.45; IC 95%: 1.08 a 1.95; p = 0.012).
Si bien los participantes del estudio WOSCOPS habían sido caracterizados en términos del riesgo vascular (presión
arterial, lípidos, índice de masa corporal, diabetes, proteína C-reactiva, consumo de alcohol y tabaco), estas variables
no se correlacionaron de forma significativa con el haplogrupo I, ya que el ajuste estadístico por estos factores no
modificó el nivel de asociación estadística con la enfermedad coronaria. En un análisis combinado de los datos de
ambos estudios, se confirmó que el haplogrupo I se relacionaba con un incremento del riesgo de enfermedad
coronaria estimado en 50% (OR: 1.56; IC 95%: 1.24 a 1.97; p = 0.0002).
Asimismo, mediante la aplicación de un modelo multidimensional de escalas no métricas para los PNS autosómicos, se
observó que todos los casos y controles que participaron del estudio BHF-FHS parecían compartir ancestros europeos,
sin diferencias relevantes entre los varones con el haplogrupo I y aquellos portadores de otros haplogrupos para el
cromosoma Y. Se destaca que ninguno de los 31 PNS autosómicos relacionados con la enfermedad coronaria se
vinculó con frecuencias diferentes entre los portadores del haplogrupo I y aquellos con otros linajes del MSY. La
aplicación de otras técnicas de evaluación amplificada del genoma permitió confirmar que el haplogrupo I se vinculaba
con un mayor riesgo de cardiopatía coronaria en forma independiente de los PNS previamente reconocidos.
Se agrega que, en los 255 varones participantes del Cardiogenics Study en los cuales se completó un análisis de
transcriptomas, se advirtió que los individuos con enfermedad coronaria se caracterizaban por mayor edad y un índice
de masa corporal superior a la de los controles. Sin embargo, estas variables no difirieron entre los portadores del
haplogrupo I y los pacientes con otras variaciones del linaje del cromosoma Y. En los análisis de enriquecimiento
genético, no se verificaron diferencias entre los transcriptomas de los monocitos de ambos subgrupos de
participantes; sin embargo, al estudiar los transcriptomas de los macrófagos, se reconocieron 30 vías metabólicas
KEGG con expresión diferencial entre el haplogrupo I y otros linajes del cromosoma Y. Se advirtió que 19 de estas
vías metabólicas se interconectaban para aquellos genes asociados con la inflamación y la inmunidad, con siete vías
reguladas en aumento y doce vías reguladas en decremento en los sujetos portadores del haplogrupo I, en
comparación con los individuos con otros haplogrupos.

Discusión y conclusiones
En este análisis, los autores hacen énfasis en que el haplogrupo I del cromosoma Y se asoció de forma significativa
con un mayor riesgo de enfermedad coronaria, en comparación con otros linajes del mismo cromosoma. Esta
correlación fue independiente de los principales factores de riesgo cardiovascular, si bien parecía mediada por un perfil
genético relacionado con la inmunidad y la respuesta a la inflamación. En el análisis de los transcriptomas se
comprobó que algunas de las 19 vías metabólicas interconectadas con la inflamación y la inmunidad podrían
vincularse con la aterosclerosis. Se ha reconocido que el pasaje de los leucocitos a través de la barrera endotelial
constituye un mecanismo involucrado en la aterosclerosis. Las adherencias focales, el control del citoesqueleto y la
dinámica de la adhesividad modifican tanto la motilidad de los leucocitos como las interacciones entre las plaquetas y
el endotelio; estos procesos se vinculan con la patogenia de la enfermedad coronaria. Del mismo modo, el equilibrio
entre las citoquinas inflamatorias y antiinflamatorias forma parte de la progresión de las placas de ateroma. Estas
redes moleculares podrían constituir el fundamento de la asociación entre el haplogrupo I y la cardiopatía isquémica.
Se hace hincapié en que el haplogrupo I se asoció con la regulación en descenso de distintos vías metabólicas
relacionadas con el sistema inmunitario. Se postula que las disfunciones de la inmunidad se correlacionan con la
aterosclerosis y la enfermedad coronaria, de acuerdo con resultados de estudios previos. Se acota que los portadores
del haplogrupo I podrían presentar anomalías crónicas de los mecanismos de homeostasis de la inmunidad adquirida,
con mayor tendencia a la inflamación y compromiso del sistema cardiovascular. Estos mecanismos forman parte de
otras afecciones complejas, como la enfermedad inflamatoria intestinal, en las que se ha descrito deficiencia de la
inmunidad e incremento de la inflamación sistémica. De todos modos, se verificó que la asociación entre el haplogrupo
I y el mayor riesgo de cardiopatía isquémica fue independiente de los niveles de proteína C-reactiva, un reconocido
marcador de inflamación. Se especula con la necesidad de futuros estudios en los cuales se determinen marcadores
relevantes de la acción específica del sistema inmunitario para un mejor análisis de esta asociación.
Se cita que, en la opinión de los autores, es poco probable que la presencia del haplogrupo I del cromosoma Y sea
suficiente por sí misma para brindar un elevado valor predictivo positivo de enfermedad coronaria. De todos modos, el
riesgo relativo de cardiopatía isquémica en estos enfermos no resultó menor desde el punto de vista del análisis de
asociación genética. Se propone la replicación de los resultados en estudios poblacionales prospectivos con gran
cantidad de participantes para definir con precisión la estimación del riesgo de enfermedad coronaria atribuible a las
variaciones en el cromosoma Y.




DETERMINAN LA ASOCIACION ENTRE LA INSUFICIENCIA CARDIACA Y EL
                                                                                              ReSIIC editado en:
RIESGO DE FRACTURAS POR OSTEOPOROSIS

Edmonton, Canadá                                                                               Cardiología
                                                                                               Osteoporosis y
                                                                                              Osteopatías Médicas
La insuficiencia cardíaca aumenta aproximadamente un 30% la probabilidad de
fracturas graves asociadas con la osteoporosis; el incremento del riesgo es                    Administración
independiente de los factores tradicionales de riesgo y de la densidad mineral ósea.          Hospitalaria
                                                                                               Atención Primaria
Journal of Clinical Endocrinology and Metabolism97(4):1179-1186 Abr, 2012                      Diagnóstico por
                                                                                              Imágenes
                                                                                               Educación Médica
Autores:                                                                                       Endocrinología y
Majumdar SR, Ezekowitz JA, Leslie WD                                                          Metabolismo
                                                                                               Epidemiología
Institución/es participante/s en la investigación:                                             Farmacología
University of Alberta                                                                          Geriatría
                                                                                               Medicina Farmacéutica
                                                                                               Medicina Familiar
Título original:                                                                               Medicina Interna
Heart Failure is a Clinically and Densitometrically Independent Risk Factor of                 Ortopedia y
Osteoporotic Fractures: Population-Based Cohort Study of 45 509 Subjects                      Traumatología
                                                                                               Salud Pública
Título en castellano:
La Insuficiencia Cardíaca es un Factor Independiente de Riesgo de Fracturas
Osteoporóticas, de los Hallazgos Clínicos y de la Densitometría: Estudio de Población
en 45 509 Individuos


Extensión del Resumen-SIIC en castellano:
2.62 páginas impresas en papel A4

Introducción
La edad avanzada, el estado posmenopáusico, el tabaquismo y la diabetes son factores de riesgo comunes a la
osteoporosis (OP) y a la insuficiencia cardíaca (IC), enfermedades crónicas muy frecuentes, por lo general
subdiagnosticadas y no tratadas correctamente. Además, los fármacos que se utilizan para el tratamiento de la IC
pueden afectar la salud ósea. La IC parece un factor predictivo independiente de OP, a juzgar por los resultados
generales de los estudios de casos y controles y prospectivos. Cuantitativamente, el riesgo relativo de fracturas
graves por OP en los enfermos con IC ha sido de 1.4 a 6.3. La limitación principal de estos estudios se relacionó con la
falta de información sobre la densidad mineral ósea (DMO) antes del evento esquelético. La DMO, valorada con
absorciometría de rayos X de energía dual (DXA), representa la estrategia estándar para predecir el riesgo de
fracturas.
En al menos 2 investigaciones, la DMO baja se asoció con mayor morbimortalidad cardiovascular. Si bien diversos
factores parecen predecir el riesgo de fracturas, independientemente de la DMO, la asociación con la IC no ha sido
evaluada con precisión.
El presente estudio de población realizado en la provincia de Manitoba, Canadá, tuvo por finalidad determinar la
prevalencia de OP en los enfermos con IC de diagnóstico reciente y establecer la relación entre la IC y la incidencia de
fracturas graves respecto de la DMO.

Pacientes y métodos
El estudio incluyó todas las personas de 50 años o más sometidas a una primera valoración de la DMO entre 1998 y
2009; los participantes fueron seguidos hasta 2010. Se utilizó la información proporcionada por los registros de la
región controlados por el Manitoba Centre for Health Policy. Se tuvieron en cuenta las características
sociodemográficas y clínicas y los fármacos utilizados. En Manitoba existe un registro de todas las densitometrías que
incluye, también, datos acerca de los factores de riesgo de OP.
Para el presente estudio se consideraron los T-scores de cadera total y columna lumbar y los valores más bajos en
cualquier localización anatómica (cadera total, columna lumbar, cuello femoral o trocánter). Los T-scores (cantidad de
desviaciones estándares por encima o por debajo de los valores promedio de DMO correspondientes a adultos
jóvenes) se calcularon con los datos de referencia para las mujeres blancas de los EE.UU. según las recomendaciones
del WHO Collaborating Centre for Metabolic Bone Diseases.
Se identificaron los enfermos con un primer diagnóstico de IC, según la Clasificación Internacional de Enfermedades,
en cualquier momento en el transcurso de los 2 años previos a la primera densitometría. La variable principal de
análisis fue la incidencia de fracturas graves por OP (fracturas no traumáticas del antebrazo, húmero, vértebras o
cadera) posteriores a la valoración de la DMO. Los factores convencionales de riesgo de OP incluyeron la edad, el
sexo, el índice de masa corporal (IMC), el antecedente de fracturas por OP y la exposición a corticosteroides por vía
sistémica (90 días o más o menos de 90 días) en el año anterior a la densitometría. También se tuvo en cuenta la
utilización de fármacos contra la OP (bisfosfonatos, calcitonina, terapias hormonales, raloxifeno y teriparatida) y la IC
(inhibidores de la enzima convertidora de la angiotensina, bloqueantes de los receptores de angiotensina, beta
bloqueantes [BB] y diuréticos) en el año previo a la valoración de la DMO. Por último, se consideraron diversas
comorbilidades, como enfermedad coronaria, enfermedad pulmonar obstructiva crónica, infarto de miocardio y
diabetes.
La incidencia de fracturas se conoció con curvas de Kaplan-Meier; las diferencias se analizaron con pruebas de orden
logarítmico. Se realizaron 5 modelos secuenciales de Cox, con diversos grados de ajuste. En los análisis, de antemano
se decidió considerar la DMO de cadera total porque los T-scores en dicha localización son los que mejor predicen el
riesgo de fracturas. En 4 análisis de sensibilidad se consideraron la gravedad de la IC, el puntaje más bajo de DMO, el
T-score del cuello femoral en vez del T-score de cadera total y la exposición a BB.

Resultados
La cohorte para el análisis final estuvo integrada por 45 509 pacientes sometidos a una primera densitometría entre
1998 y 2009, seguidos por una mediana de 5 años (rango intercuartilo [RIC]: 3 a 7 años). La media de edad de los
enfermos fue de 66 años; 92% eran mujeres, 98% eran caucásicos y 14% tenían antecedentes de fracturas graves
por OP antes de la valoración inicial de la DMO.
En el 4% (n = 1 841) se estableció el diagnóstico de IC. El antecedente de fracturas fue significativamente más
frecuente en los enfermos que presentaron IC respecto de los pacientes sin IC (21% y 13%). El uso de
corticosteroides fue más común en los sujetos con IC (12% contra 5%). Además, los pacientes con IC presentaron T-
scores más bajos de cadera total (-1.3 contra -0.9). Sin embargo, el tratamiento de la OP antes de la primera
densitometría fue menos frecuente en los sujetos con IC respecto de los individuos sin esta enfermedad (14% y 21%,
en ese orden). Sobre los valores de los T-score y el antecedente de fracturas, se estimó que 889 enfermos (48%) con
IC de diagnóstico reciente fueron candidatos a recibir fármacos contra la OP en comparación con 15 559 (36%)
enfermos sin IC en el momento de la valoración de la DMO (p < 0.001).
En el transcurso de 223 188 personas/año de seguimiento se registraron 2 703 fracturas graves por OP en 2 495
pacientes; el 62% de los eventos esqueléticos se produjo en los miembros superiores, en 26% de los casos fueron
fracturas vertebrales diagnosticadas clínicamente y el 21% de los pacientes presentó fracturas de cadera. La mediana
del intervalo entre la primera densitometría y la primera fractura fue de 3.6 años (RIC: 1.5 a 6.2). Los pacientes con
IC tuvieron el doble de riesgo de presentar fracturas (185 de 1 841; 10% en comparación con 2 310 de 43 668, 5%;
p < 0.001). Durante el período de observación de 5 años, el diagnóstico de IC se asoció con un hazard ratio (HR) sin
ajuste de fracturas mayores por OP de 2.45 (intervalo de confianza del 95% [IC]: 2.11 a 2.85).
En los modelos que consideraron todos los factores de confusión (edad, sexo, otros factores de riesgo de OP,
tratamientos de la OP, comorbilidades, fármacos contra los trastornos cardíacos y DMO de cadera total), la asociación
entre la IC de diagnóstico reciente y las fracturas por OP se atenuó, pero se mantuvo significativa (HR 1.28; IC: 1.06
a 1.53; p = 0.009). El riesgo fue similar al que confiere la artritis reumatoidea o la diabetes, y más alto que el
vinculado con el antecedente de fracturas.
En el primer análisis de sensibilidad no se observaron asociaciones entre la gravedad de la IC (sobre la base de las
internaciones) y la incidencia de fracturas; en el segundo análisis, la consideración del T-score más bajo en vez del T-
score de cadera total no modificó los resultados (HR: 1.30; p = 0.005); lo mismo ocurrió cuando se consideró el T-
score del cuello femoral (HR: 1.32; p = 0.003). Por último, los enfermos en tratamiento crónico con BB presentaron
T-scores significativamente más altos de cadera total respecto de los sujetos que no los recibieron; más aún, en los
modelos finales que no incluyeron la DMO, la utilización de BB se asoció con una reducción del 9% del riesgo de
fracturas (HR: 0.91; p = 0.10). Cuando se incluyó la DMO, la relación se atenuó (p = 0.14).

Discusión
Este amplio estudio de población en casi 50 000 personas mostró que el diagnóstico reciente de IC se asocia con un
riesgo casi 30% más alto de fracturas graves asociadas con la OP al cabo de 5 años de seguimiento. El hallazgo fue
independiente de los factores tradicionales de riesgo de OP, las comorbilidades, los tratamientos y, por primera vez,
de la DMO.
Aunque diversos estudios previos también sugirieron que la IC incrementa el riesgo de fracturas, la mayoría de ellos
fue de corta duración, incluyó un escaso número de enfermos, consideró exclusivamente las fracturas de cadera y se
limitó al análisis de mujeres posmenopáusicas. Tampoco consideraron la DMO, el principal factor predictivo de
fracturas.
En el curso de los 2 años posteriores al diagnóstico de IC, los autores comprobaron una reducción significativa de la
DMO en todas las localizaciones esqueléticas, en comparación con los sujetos sin IC. La inclusión de la DMO y de los
factores restantes de riesgo atenuó, pero no eliminó, la asociación, de modo que la DMO sólo explicaría en parte el
mayor riesgo de fracturas en los enfermos con IC. En los estudios futuros se deberán identificar aquellos factores
residuales que aumentan el riesgo de fracturas en los pacientes con IC (fármacos, hiperaldosteronismo asociado con
la IC, hiperparatiroidismo secundario, deficiencia de vitamina D y factores genéticos, entre otros).
En conclusión, los resultados del presente estudio indicaron que los pacientes con IC de diagnóstico reciente tienen
menor DMO respecto de los enfermos sin IC. Sin embargo, las diferencias en la DMO y los factores de riesgo
compartidos por ambas enfermedades no explicaron por completo la asociación. Por lo tanto, concluyen los expertos,
los estudios venideros deberán intentar analizar los mecanismos que vinculan la IC con el riesgo de fracturas por OP.
Mientras tanto, y desde la perspectiva clínica, los profesionales deben tener en cuenta que los pacientes con IC están
expuestos a mayor riesgo de presentar fracturas y que podrían beneficiarse particularmente a partir de la valoración
de la DMO y de las medidas saludables en el estilo de vida. También serían candidatos a recibir fármacos específicos
contra la OP.
EFECTO DEL TRATAMIENTO CON HORMONA LUTEINIZANTE RECOMBINANTE
                                                                                             ReSIIC editado en:
EN LAS MUJERES DE 35 AñOS O MAS SOMETIDAS A TECNICAS DE
REPRODUCCION ASISTIDA
                                                                                              Endocrinología y
Bethesda, EE.UU.                                                                             Metabolismo
                                                                                              Medicina
                                                                                             Reproductiva
En las mujeres de 35 años o más, el agregado de hormona luteinizante
recombinante a los protocolos de reproducción asistida con FSH recombinante podría            Bioquímica
mejorar los índices de implantación y de embarazo clínico.                                    Diagnóstico por
                                                                                             Laboratorio
Fertility and Sterility97(5):1108-1114 May, 2012                                              Farmacología
                                                                                              Obstetricia y
                                                                                             Ginecología
Autores:
Hill MJ, Levens ED, Whitcomb BW


Institución/es participante/s en la investigación:
Eunice Kennedy Shriver National Institute of Child Health and Human Development


Título original:
The Use of Recombinant Luteinizing Hormone in Patients Undergoing Assisted
Reproductive Techniques With Advanced Reproductive Age: A Systematic Review
and Meta-Analysis


Título en castellano:
Utilización de Hormona Luteinizante Recombinante en las Pacientes de Edad
Reproductiva Avanzada Sometidas a Técnicas de Reproducción Asistida: Revisión
Sistemática y Metanálisis


Extensión del Resumen-SIIC en castellano:
2.56 páginas impresas en papel A4

Introducción
En las pacientes con hipogonadismo hipogonadotrófico e infertilidad, la administración de LH y FSH en el contexto de
las técnicas de reproducción asistida (TRA) incrementa las posibilidades de éxito. Aun así, diversos estudios mostraron
evoluciones favorables con el uso de FSH recombinante sola. En un trabajo se comprobó que se requiere la ocupación
de 1% de los receptores de LH para lograr la síntesis ovárica apropiada de hormonas esteroides para la reproducción.
Dado que la mayoría de las pacientes normogonadotróficas tienen una producción endógena normal de LH, los
posibles beneficios asociados con el agregado de LH a las TRA han sido motivo de controversia.
Numerosos estudios evaluaron el efecto del agregado de LH recombinante en los esquemas de hiperestimulación
ovárica controlada. Diversos metanálisis no mostraron beneficios en comparación con el uso exclusivo de FSH en las
pacientes sometidas a TRA; sin embargo, para las mujeres de mayor edad, el agregado de LH podría asociarse con
ciertas ventajas. Según varios trabajos, el tratamiento con LH recombinante sería más eficaz en las mujeres de 35
años o mayores. Sin embargo, los datos son limitados y no permiten establecer conclusiones firmes respecto de los
índices de éxito (embarazo clínico). En la presente revisión sistemática y metanálisis se resumen los resultados de los
estudios aleatorizados y controlados que compararon la eficacia de los protocolos que consisten en la administración
de FSH y de aquellos que combinan el uso de FSH y LH en pacientes de edad reproductiva avanzada.

Pacientes y métodos
A partir de una búsqueda en PubMed, Embase, Scopus, ClinicalTrials.gov y la Cochrane Database of Clinical Trials, se
identificaron los trabajos de TRA con FSH recombinante o con protocolos mixtos. Sólo se incluyeron estudios
aleatorizados y controlados, realizados en mujeres de 35 años o más. Siete de los 147 artículos identificados
originalmente fueron aptos para revisión y metanálisis. Los datos analizados fueron los índices de gestación e
implante, los niveles de estradiol, los ovocitos y los ovocitos en metafase II, y el tamaño de la muestra. También se
tuvieron en cuenta el año de publicación, el método de asignación al tratamiento, la edad, la utilización de
anticonceptivos orales antes de la TRA y los protocolos de estimulación ovárica. Los parámetros principales de
evolución fueron los índices de implantación y de embarazo clínico. Los niveles séricos de estradiol en el momento de
la administración de hCG, los ovocitos recuperados, la cantidad de ovocitos en metafase II y la fertilización fueron
parámetros secundarios de análisis.
La heterogeneidad entre los estudios se determinó con la prueba Q y el índice I2; cuando se comprobó la falta de
heterogeneidad entre los trabajos se aplicaron modelos de efectos fijos; en caso contrario, se utilizaron modelos de
efectos aleatorios. El sesgo de publicación de estimó con gráficos en embudo. Se realizaron análisis por subgrupos
según la utilización de protocolos con agonistas o antagonistas de la hormona liberadora de gonadotrofinas (GnRH).

Resultados
Siete trabajos (Marrs y colaboradores; Humaidan y colaboradores; Fabregues y colaboradores; Barrenetxea y
colaboradores; NyboeAndersen y colaboradores; Matorras y colaboradores y Bosch y colaboradores) reunieron los
criterios de inclusión; estos abarcaron 902 ciclos de estimulación con FSH o con FSH más LH. Tres estudios sólo
incluyeron a pacientes de edad reproductiva avanzada; en 3, los resultados para estas enfermas se publicaron por
separado, mientras que en el último trabajo, los análisis se realizaron con ajuste según la edad. Se utilizaron
diferentes esquemas de supresión hipofisaria. Las 7 investigaciones tuvieron un diseño abierto.
No se encontraron diferencias en los niveles de estradiol el día de la administración de hCG. Fabregues y
colaboradores refirieron un menor índice de recuperación de ovocitos en el grupo asignado al tratamiento con LH
recombinante (6.3 contra 7.9; p = 0.001); Bosch y colaboradores observaron los mismos resultados (8.4 contra 10.1;
p = 0.008). En los restantes trabajos no se encontraron diferencias en los índices de recuperación de ovocitos entre
los 2 protocolos.
En el trabajo de Fabregues y colegas, el índice de recuperación de ovocitos en metafase II fue más bajo en las
pacientes tratadas con LH recombinante (5.5 contra 6.9; p = 0.001), en tanto que en el estudio de Bosch y
colaboradores no se encontraron diferencias entre los grupos en este parámetro (6.6 contra 7; p = 0.303).
En el ensayo de Bosch y colaboradores, el índice de fertilización fue más alto en las mujeres que recibieron LH
recombinante (68% y 61%; p = 0.027), mientras que en el estudio de Humaidan y colaboradores se comprobó un
aumento no significativo de los índices de fertilización en el grupo de mujeres tratadas con LH (62% contra 48%). En
el trabajo de Fabregues y colaboradores, el número de embriones fertilizados fue inferior en las pacientes que
recibieron LH recombinante (4 contra 5.5; p = 0.01). En los otros estudios no hubo diferencias en los índices de
fertilización. No se observaron diferencias en las pruebas de reserva ovárica (valorada mediante los niveles de FSH al
tercer día o el recuento basal de folículos del antro).
Humaidan y su grupo refirieron índices de implantación más altos en las pacientes tratadas con LH recombinante
(36.4% contra 13.3%; p < 0.05); el mismo efecto se encontró en el estudio de Bosch y colaboradores (26.7% contra
18.6%; p < 0.05). En el resto de los ensayos no se hallaron diferencias entre los 2 grupos de terapia. Los modelos de
efectos fijos mostraron índices más altos de implante en las mujeres tratadas con LH recombinante humana (odds
ratio [OR] 1.36; IC 95% 1.05 a 1.78). No se encontraron indicios de heterogeneidad (prueba Q = 0.32 e índice I2 =
13%).
En el estudio de Marrs y colaboradores, el índice de embarazos clínicos fue mayor en las mujeres que recibieron LH
recombinante (45.8% contra 22.5%; p = 0.027). En el estudio de Bosch y colaboradores y en el trabajo de Matorras y
colaboradores, las diferencias no fueron significativas (33.5% en comparación con 25.3% en el primer caso y 27% y
14.7% en el segundo estudio). En los restantes ensayos no se observaron diferencias significativas entre los 2 grupos
al respecto. Los modelos de efectos fijos mostraron un mayor índice de embarazo en el grupo tratado con LH
recombinante (OR 1.37; IC 95% 1.03 a 1.83); sin indicios de heterogeneidad (prueba Q = 0.20 e índice I2 = 29%).
Los modelos de efectos aleatorios mostraron los mismos resultados, con índices más altos de implantación en las
pacientes tratadas con LH recombinante (OR 1.35; IC 95% 1.03 a 1.76) y aumentos no significativos en los índices de
embarazo clínico en las mismas enfermas (OR 1.36; IC 95% 0.94 a 1.97).
En 5 estudios se utilizaron agonistas de la GnRH de larga duración; en un trabajo se aplicó una microdosis y en otro,
un antagonista de la GnRH. En este último se observó un índice más alto de implante (OR 1.56; IC 95% 1.04 a 2.33)
y un incremento no significativo del índice de embarazo (OR 1.49; IC 95% 0.93 a 2.38) en las pacientes que
recibieron LH recombinante. En el subanálisis de los estudios que utilizaron agonistas de la GnRH de acción
prolongada sólo se comprobaron efectos no significativos en los índices de implante (OR 1.26; IC 95% 0.93 a 1.71) y
de embarazo clínico (OR 1.32; IC 95% 0.89 a 1.96).

Discusión
En el presente metanálisis, el protocolo que consistió en la administración de LH recombinante más FSH recombinante
se asoció con índices más altos de implante y de embarazo clínico en las mujeres de más de 35 años sometidas a
TRA. En cambio, no se registraron diferencias entre los esquemas en la recuperación de ovocitos u ovocitos en
metafase II. Por lo tanto, los beneficios no parecen obedecer a la mayor recuperación de ovocitos sino a la mayor
eficacia de estos y a una mejor receptividad endometrial. En un trabajo anterior se encontró menor apoptosis en los
ciclos en los cuales se administró LH recombinante en comparación con aquellos en los que sólo se utilizó FSH, un
fenómeno que sugiere que el uso de ambas hormonas aumentaría la calidad de los ovocitos. Los expertos recuerdan
que en las mujeres de mayor edad se produce un aumento de la FSH, no así de la LH, en la fase folicular precoz. En
este escenario, es probable que la administración de LH se asocie con la recuperación del microambiente folicular en
las pacientes sometidas a TRA.
La FSH estimula la síntesis de progesterona mediante la conversión de colesterol mientras que la LH estimula la
CYP17 y convierte la progesterona en andrógenos, los cuales posteriormente se transforman en estrógenos mediante
aromatización. La LH podría reducir el riesgo del incremento prematuro de progesterona y, así, aumentar la
posibilidad de implante y embarazo. A pesar de las limitaciones inherentes al diseño de la revisión, los resultados del
presente metanálisis sugieren que el uso de LH recombinante podría mejorar los índices de implante y de gestación;
los estudios futuros permitirán establecer si el efecto es el mismo cuando se utilizan agonistas o antagonistas de la
GnRH.




INFORMAN UN ELEVADO SUBDIAGNOSTICO DE INFLUENZA EN PACIENTES
                                                                                            InSIIC editado en:
CON INFECCION RESPIRATORIA AGUDA GRAVE
                                                                                              Cuidados Intensivos
                                                                                              Infectología
Madrid, España
                                                                                             Bioquímica
La influenza parece constituir un motivo frecuente de enfermedad respiratoria                Diagnóstico por
aguda en los pacientes internados en cuidados intensivos durante la epidemia                Laboratorio
estacional. Sin embargo, la infección suele ser subdiagnosticada, con riesgo de              Epidemiología
demora en el inicio del tratamiento antiviral y con mayor probabilidad de                    Medicina Interna
transmisión intrahospitalaria de esta enfermedad.
Fuente científica: Critical Care16(3): Jun, 2012 aSNC

  Autores: Giannella M, Rodriguez-Sánchez B, Bouza E

  Palabras clave: influenza, influenza estacional, unidad de cuidados intensivos

  Key Words: influenza, influenza season, intensive care unit


  Institución principal: Hospital General Universitario Gregorio Marañón
  Correspondencia: M Giannella, Department of Clinical Microbiology and Infectious Diseases Hospital General
Universitario Gregorio Marañón, 28007, Madrid España
  Patrocinio: El estudio fue parcialmente financiado por el Programa de Centros de Investigación Biomédica en Red
(CIBER) de Enfermedades Respiratorias.
  Conflicto de interés: No declarado.
  Agradecimientos: El estudio fue parcialmente financiado por el Programa de Centros de Investigación Biomédica en
Red (CIBER) de Enfermedades Respiratorias.

La influenza es un motivo frecuente de internación en las unidades cuidados intensivos durante las pandemias y por
razones estacionales. Sin embargo, esta enfermedad puede no diagnosticarse en aquellos sujetos con manifestaciones
clínicas que pueden atribuirse a otras infecciones o incluso a causas no infecciosas. Por otra parte, se dispone de
escasa información acerca del contagio de influenza durante una internación en cuidados intensivos.

En este ensayo, se describen los resultados de un protocolo prospectivo en el cual participaron pacientes adultos
internados en 3 unidades de cuidados intensivos, de quienes se obtuvieron muestras de aspirado traqueal para la
pesquisa sistemática del virus de la influenza. En aquellos individuos en los cuales se confirmó el diagnóstico mediante
reacción en cadena de la polimerasa, se indicó tratamiento con 150 mg diarios de oseltamivir por 5 a 10 días. El
objetivo del seguimiento de los pacientes consistió en la determinación de la incidencia de la enfermedad durante la
temporada de influenza y la evaluación de las tasas de prevalencia de casos no sospechados y de contagio durante la
internación.

Se procesaron muestras de aspirado traqueal de 105 enfermos, con detección de influenza en 31 sujetos, de los
cuales el 48.4% (n = 15) se consideraron casos inesperados y el 42% (n = 13) habían adquirido la enfermedad
durante la internación. Se reconocieron diferencias significativas entre los sujetos con sospecha inicial de influenza y
aquellos con diagnóstico inesperado en relación con la mediana de edad (53 contra 69 años, en ese orden), la tasa de
insuficiencia respiratoria grave (68.8% contra 20%, respectivamente), el antecedente quirúrgico (6.3% contra 60%),
la mediana de la duración de la internación en cuidados intensivos antes del diagnóstico (1 contra 4 días), la presencia
de infección intrahospitalaria (18.8% contra 66.7%), la detección de infiltrados localizados en la radiografía de tórax
(6.3% contra 40%) y la mediana de la duración de la terapia antiviral (2 contra 9 días), entre otros. Mediante la
aplicación de un modelo de análisis multivariado, se reconocieron como factores asociados de forma significativa e
independiente con el diagnóstico no esperado de influenza a la internación en la unidad de cuidados intensivos para
pacientes quirúrgicos y a la presencia de infiltrados localizados en la radiología torácica. Asimismo, la hospitalización
en cuidados intensivos motivada por insuficiencia respiratoria grave se definió como una variable asociada de forma
independiente con un mayor riesgo de mal pronóstico. La mortalidad global de la cohorte de estudio se estimó en
29% después de un mes de seguimiento.

En este contexto, los investigadores destacan que la influenza parece constituir un motivo frecuente de enfermedad
respiratoria aguda en los pacientes internados en cuidados intensivos durante la epidemia estacional. Sin embargo, la
infección suele ser subdiagnosticada, con riesgo de demora en el inicio del tratamiento antiviral y con mayor
probabilidad de transmisión intrahospitalaria de esta enfermedad. Se propone la pesquisa sistemática de la influenza
en las muestras de las secreciones respiratorias de los pacientes con requerimientos de internación en la unidad de
cuidados intensivos durante los períodos de epidemia de esta afección.




LOS AGONISTAS DOPAMINERGICOS NO PARECEN MODIFICAR LAS VIAS
                                                                                              InSIIC editado en:
NEURALES RELACIONADAS CON LA TOMA DE DECISIONES
                                                                                                Neurología

Amsterdam, Países Bajos                                                                        Anatomía Patológica
                                                                                               Diagnóstico por
                                                                                              Imágenes
Aunque los ganglios basales forman parte de la preparación para optar por una
                                                                                               Endocrinología y
decisión rápida, la terapia con bromoergocriptina parece correlacionarse con
                                                                                              Metabolismo
cambios en el umbral de decisión o provocar variaciones en la activación de los
                                                                                               Farmacología
circuitos cerebrales asociados con la velocidad.
                                                                                               Salud Mental

  Fuente científica: Frontiers in neuroscienceAgo, 2012 aSNC
Autores: Van Maanen L, Forstmann BU, Winkel J

   Palabras clave: bromocriptina, dopamina, velocidad y precisión, cuerpo estriado,
 resonancia magnética funcional, patrón de difusión mixto, acumulador balístico
 lineal, modelos por neuroimágenes

   Key Words: bromocriptine, dopamine, speed–accuracy tradeoff, striatum,
 functional magnetic resonance imaging, drift diffusion model, linear ballistic
 accumulator, model-based neuroimaging


  Institución principal: University of Amsterdam
  Correspondencia: J Winkel, University of Amsterdam Cognitive Science Center Amsterdam, 1018 VZ,
Amsterdam Países Bajos
  Patrocinio: General Life Sciences, Netherlands Organization for Scientific Research, entre otras.
  Conflicto de interés: No declarado.
  Agradecimientos: General Life Sciences, Netherlands Organization for Scientific Research, entre otras.

La toma de decisiones es uno de los parámetros fundamentales de la vida cotidiana y se define como la capacidad de
efectuar una elección en el contexto de la información disponible como función cerebral relevante. Se destaca que la
velocidad para adoptar una decisión suele vincularse en forma inversa con su precisión; para comprender esta
asociación, se han propuesto distintos modelos de análisis, entre los que sobresale el patrón de difusión mixto (drift
difussion model). En virtud de la repercusión de la toma de decisiones en términos de la función cognitiva, se admite
un interés por el mejor entendimiento de los procesos cerebrales involucrados. Con este objetivo, se han sugerido
distintos modelos de representación neural, con especial énfasis en los ganglios basales, debido a que estas
estructuras, como el cuerpo estriado, se encargarían de la selección de un programa motor específico mediante la
inhibición global de otros patrones. Se advierte que la disminución del umbral de decisión podría vincularse con la
actividad de las neuronas dopaminérgicas del cuerpo estriado. Si bien la dopamina es el neurotransmisor más
involucrado en el proceso de recompensa, se postula que esta molécula se encuentra comprometida en otros aspectos
de la cognición, como el ajuste entre la velocidad y la precisión de una respuesta.
En el presente modelo, 20 voluntarios de un grupo de estudiantes universitarios sin antecedentes de afecciones
psiquiátricas, que recibieron ya sea bromoergocriptina (un agonista del receptor de dopamina) o placebo. Se
investigaron en esta cohorte los parámetros de velocidad y precisión en la toma de decisiones, mediante técnicas de
resonancia magnética funcional. Con esta meta, se optó por 2 modelos de análisis, que incluyeron el patrón de
difusión mixto, por un lado, y un modelo de acumulación lineal balística. En términos conductuales, se reconocieron
diferencias definidas en el umbral de toma de decisiones en relación con la velocidad y la precisión, si bien estos
parámetros no presentaron diferencias de significación estadística entre los participantes que recibieron
bromoergocriptina o bien placebo. Por consiguiente, el uso de agonistas dopaminérgicos no se relacionó con
repercusiones sobre el umbral de decisión en la evaluación de la conducta. Del mismo modo, en términos neuronales,
el análisis de las imágenes por resonancia magnética permitió advertir la activación del cuerpo estriado y del área
motora presuplementaria en relación con la velocidad y en comparación con la precisión de las decisiones.
De esta forma, en una evaluación conjunta de las pruebas conductuales y de los parámetros funcionales observados
en las imágenes, si bien los ganglios basales forman parte de la preparación para optar por una decisión rápida, la
bromoergocriptina no se correlacionó con cambios en el umbral de decisión ni provocó variaciones en la activación de
los circuitos cerebrales asociados con la velocidad.




CARACTERIZAN LAS ANORMALIDADES EN LOS POTENCIALES EVOCADOS
                                                                                             ReSIIC editado en:
AUDITIVOS EN LOS NIñOS CON TRASTORNO POR DEFICIT DE ATENCION E
HIPERACTIVIDAD
                                                                                               Pediatría

Taipei, Taiwán (Republica Nacionalista China)                                                  Salud Mental

                                                                                              Diagnóstico por
Los potenciales evocados por eventos auditivos (PEA) endógenos (P3 y N2) están               Imágenes
significativamente comprometidos en los niños con trastorno por déficit de atención           Farmacología
e hiperactividad, en comparación con los PEA exógenos (N1 y P2). La mayor latencia            Neurología
y la menor amplitud en P3 sugieren alteraciones en el control inhibitorio y                   Otorrinolaringología
anormalidades neurocognitivas en estos enfermos.


Pediatrics and Neonatology53(2):118-124 Abr, 2012
Autores:
Tsai ML, Hung KL, Lu HH


Institución/es participante/s en la investigación:
Cheng Hsin General Hospital


Título original:
Auditory Event-Related Potentials in Children With Attention Deficit Hyperactivity
Disorder


Título en castellano:
Potenciales Evocados por Eventos Auditivos en los Niños con Trastorno por Déficit de
Atención e Hiperactividad


Extensión del Resumen-SIIC en castellano:
2.78 páginas impresas en papel A4




Introducción
El registro de los potenciales relacionados con eventos auditivos (potenciales evocados auditivos [PEA]) en el cuero
cabelludo es un procedimiento no invasivo que aporta importante información sobre la actividad neurológica asociada
con las funciones sensitiva, cognitiva, de atención y de ejecución. Los PEA han sido aplicados al estudio de diversas
enfermedades neurológicas y psiquiátricas, trastornos del aprendizaje y atención, demencias y deterioro
neurocognitivo. El trastorno por déficit de atención e hiperactividad (TDAH) se caracteriza por anormalidades en la
atención y el comportamiento, impulsividad cognitiva e inquietud. Diversos trabajos sugirieron que los niños con TDAH
también presentan anormalidades en los PEA. Los trastornos en las ondas de los PEA reflejan la función de la atención
selectiva y la categorización de los estímulos involucrados en las funciones cognitivas. Los estudios al respecto
permitieron identificar los componentes N1 y P2 en respuesta a los tonos habituales y el componente P3 (onda P300)
en respuesta a los tonos inusuales. Se considera que P3 es un potencial endógeno que se genera en la región cortical
o subcortical, sensible a la decisión o respuesta del enfermo; otro estudio sugirió que P3 representa la actualización
de la memoria ejecutora. La información en conjunto indica que la mejor comprensión de las anormalidades de los
PEA en los pacientes con TDAH podría ser de mucha utilidad para conocer la fisiopatología de los procesos que
participan en el control cognitivo. El componente P3 ha sido el más estudiado en los trastornos cognitivos y de la
atención. Por ejemplo, un estudio reveló una disminución significativa de la amplitud de P3 en los pacientes con
TDAH; en cambio, los hallazgos en relación con la latencia de P3 han sido mixtos y otros componentes (N2, P2 y N1)
han recibido mucha menos atención en estos enfermos.
Diversas investigaciones pusieron de manifiesto la importancia de la edad en la regulación y la dirección de la
atención, tanto en niños sanos como en enfermos con TDAH. En este último caso, en al menos dos estudios solo se
observó menor amplitud de P3 en los niños, pero no en los adolescentes, de modo tal que la edad es un factor
esencial para tener en cuenta cuando se estudian los PEA en pacientes con TDAH. En la presente investigación, se
estudiaron las diferencias en las respuestas a los PEA, con especial atención a las latencias y amplitudes de P3, N2, P2
y N1 entre niños con TDAH y controles de 6 a 13 años. Los participantes se clasificaron en cuatro grupos de edad con
el propósito de establecer la influencia de la edad sobre los PEA.

Pacientes y métodos
Fueron reclutados 42 niños y 8 niñas con TDAH de 6 a 13 años divididos en grupos de 6 a 7 años; 8 a 9 años; 10 a 11
años y 12 a 13 años. Los pacientes completaron el Child Activity Checklist en chino. La versión para los educadores
permite conocer el comportamiento, en general, durante las actividades escolares y grupales, y la conducta a órdenes
simples, en tanto que la versión para los padres está destinada a conocer el control del comportamiento y la atención
en el hogar, y la funcionalidad en las actividades cotidianas. Todos los niños con TDAH reunieron los criterios del
Statistical Manual of Mental Disorders (DSM-IV de 1994); 48 de los 50 pacientes tenían TDAH de tipo combinado, en
tanto que en dos pacientes predominaban los trastornos de la atención. El puntaje en la escala Wechsler Intelligence
Scale for Children (WISC) IV en los pacientes con TDAH fue de 80 o mayor en todos los casos. Ningún paciente estaba
medicado; se excluyeron los niños con síndrome de Tourette, trastornos convulsivos, trastornos del aprendizaje,
autismo, enfermedad de Asperger, retardo mental u otras enfermedades psiquiátricas. El grupo control estuvo
integrado por 40 varones y 11 niñas de 6 a 13 años que consultaron por diversas enfermedades agudas, sin
antecedentes de patología neurológica o psiquiátrica.
Los electrodos superficiales se colocaron en la región frontal media (Fz), central (Cz) y parietal (Pz), según el sistema
internacional para la realización del electroencefalograma. También, se colocaron electrodos en la región infraorbitaria
con el propósito de registrar los movimientos oculares y electrodos de referencia en la región de la mastoides. La
impedancia se valoró a menos de 5 kohms.
Se aplicó el paradigma de disparidad oddball (PO) de estimulación auditiva; los PEA se indujeron mediante audífonos,
con una intensidad típica de 60 dB por encima del nivel auditivo; se utilizaron en total 200 tonos, 20% de ellos “raros”
(3 000 Hz) y el resto, frecuentes (2 000 Hz). La secuencia de aplicación de estímulos raros y frecuentes fue
aleatorizada. Los períodos de latencia fueron de 75 a 150 ms para N1, 120 a 250 ms para P2, 150 a 350 ms para N2 y
250 a 700 ms para P3. Los análisis estadísticos se realizaron con pruebas de la t o de la U de Mann-Whitney. Las
asociaciones entre la edad y la latencia de P3 se determinaron con análisis de regresión y correlación de Pearson en
los dos grupos por separado.

Resultados
Todos los participantes tuvieron entre 6 y 13 años; la edad promedio de los niños con TDAH fue de 8.9 años, en tanto
que la del grupo control fue de 9 años. La latencia de P3 en Pz, en los enfermos con TDAH, fue de 384.6 ± 51.1 ms,
significativamente más prolongada que la registrada en los controles, de 329 ± 32.3 ms (p < 0.01). Asimismo, las
latencias de P3 en Fz y Cz fueron mayores en los pacientes respecto de los controles (p < 0.01 en los dos casos). El
componente N2 en Pz fue más largo en los niños con TDAH (254.7 ± 22.6 ms) en comparación con los controles
(238.4 ± 28.9 ms; p < 0.01). Por el contrario, no se encontraron diferencias significativas en las latencias de N2 en Fz
o Cz o en las latencias de P2 y N1 entre los pacientes y los controles.
La amplitud de P3 fue de 12.5 ± 4.5 µV en Pz en los pacientes con TDAH y de 14.7 ± 4.6 µV en los controles; en los
niños con TDAH, la amplitud de P3 fue significativamente menor en todos los electrodos (p < 0.05). En cambio, las
amplitudes de los otros componentes (N2, P2 y N1) fueron semejantes en los dos grupos.
Los análisis de regresión lineal revelaron correlaciones significativas negativas entre la latencia de P3 en Pz y la edad
en el grupo control (r = -0.33; p = 0.02), un fenómeno que no se observó en los pacientes con TDAH (r = -0.17; p =
0.24).
Al considerar los diversos grupos de edad, la latencia de P3 estuvo significativamente aumentada en cada grupo de
edad entre los pacientes con TDAH respecto de los controles. Asimismo, las latencias de N2 en Pz en los grupos de 8 a
9 años, 10 a 11 años y 12 a 13 años fueron significativamente más prolongadas en los enfermos con TDAH respecto
de los controles. No se encontraron diferencias en los niños de 6 a 7 años. La amplitud de P3 en Cz fue
significativamente inferior en los grupos de 10 a 11 años y de 12 a 13 años (p < 0.05) y tendió a ser más baja en Pz
en los pacientes con TDAH de 10 a 11 años y de 12 a 13 años, en comparación con los controles de la misma edad (p
= 0.07 y 0.09, respectivamente). La amplitud de P3 en los grupos de 6 a 7 años y de 8 a 9 años fue similar en los
enfermos y controles. Respecto de los controles también se comprobó menor amplitud de P2 en los enfermos de 10 a
11 años y de 12 a 13 años (p < 0.05).

Discusión
En las últimas décadas, los PEA –y en especial el componente P3– han sido muy utilizados como procedimientos no
invasivos para conocer la función cognitiva y la atención en los niños. La mayor latencia y menor amplitud de P3 en
respuesta a tonos “raros” fue un hallazgo característico en los niños con TDAH de 6 a 13 años, respecto de los
controles de la misma edad. Al considerar 4 grupos de edad, la latencia de P3 estuvo significativamente aumentada
en todos los grupos de pacientes con TDAH, en tanto que la amplitud fue menor en los enfermos con TDAH de más de
10 años.
Se considera que la latencia de P3 refleja el tiempo necesario para la categorización de los estímulos; la mayor
latencia de P3 indica defectos en el procesamiento cerebral de la atención y menor velocidad en el procesamiento de
los estímulos en estos enfermos. De hecho, diversos estudios mostraron trastornos en el procesamiento cognitivo de
la información en pacientes con TDAH. En la presente investigación, se comprobó mayor latencia de P3.
La amplitud de P3 podría representar una impronta psicofisiológica de deficiencias relacionadas con el control
inhibitorio. De hecho, la reducción de la amplitud de P3 en respuesta al PO es un trastorno específico de los pacientes
con TDAH, ya que no se observa en los niños con autismo o dislexia. La menor amplitud de P3 indicaría la
desinhibición del comportamiento, una deficiencia en el control de la conducta o la hiperexcitabilidad del sistema
nervioso central.
En trabajos previos se comprobó una correlación negativa entre las latencias de los PEA y la edad en niños normales.
En la presente investigación, se observó una influencia de la edad sobre la latencia de P3 en los controles, pero no en
los pacientes con TDAH, tal como se observó en niños con otros trastornos cognitivos. Asimismo, se observó un efecto
de la edad sobre la amplitud de P3, es decir que la amplitud fue sustancialmente inferior en el área central de los
pacientes de más de 10 años, pero no en los enfermos de menos de 9 años. También, se comprobó mayor latencia de
N2 en la región parietal en los niños con TDAH. Las ondas en N2 estarían relacionadas con la detección y
discriminación de las señales. En el presente estudio, la amplitud de N2 fue menor en los pacientes con TDAH; sin
embargo, las diferencias con los controles no fueron significativas.
El componente P3 se ha utilizado como un factor predictivo de la respuesta al tratamiento con estimulantes del
sistema nervioso central, tales como el metilfenidato y la atomoxetina. De hecho, en dos trabajos, la administración
de metilfenidato indujo la normalización de los índices de los PEA y de la amplitud y latencia de P3.

Conclusión
Los hallazgos de este trabajo revelan un incremento significativo de la latencia de P3 y menor amplitud, en
comparación con los controles comparables en edad. Los resultados en conjunto sugieren que los pacientes con TDAH
tienen anormalidades neurocognitivas. La combinación de los PEA con los estudios de resonancia magnética funcional
podría ser de gran utilidad diagnóstica.




            UTILIDAD DE LA ULTRASONOGRAFIA ENDOSCOPICA EN EL DIAGNOSTICO DE LINFOMA
                                       (especial para SIIC © Derechos reservados)
   Introducción
   Los linfomas gastrointestinales son los más frecuentes dentro de los extraganglionares primarios (LEP) y son
   habitualmente diagnosticados mediante la toma de biopsias endoscópicas múltiples.1 Sin embargo, el
   diagnóstico de linfomas con afectación ganglionar u orgánica es a menudo difícil o comporta elevados riesgos
   mediante punción percutánea guiada por técnicas de imagen, como la ecografía (US) o tomografía
   computarizada (TC).2, 3 De hecho, la mayoría de ellos son diagnosticados mediante procedimientos invasivos y
   costosos, como toracotomía, laparotomía, mediatinoscopía o laparoscopía. La reciente clasificación de la
   Organización Mundial de la Salud (OMS)4 contempla 70 formas diferentes de linfoma. El pronóstico y el
   tratamiento de los linfomas cambian radicalmente dependiendo del estadio de la enfermedad y de la
   clasificación histopatológica, ya que los distintos linfomas tienen poco en común. Asimismo, el diagnóstico del
   linfoma ha aumentado su complejidad en los últimos años con el desarrollo de técnicas moleculares e
   inmunohistoquímicas. Con todo ello, hematólogos y patólogos exigen muestras de elevada calidad para realizar
   un diagnóstico certero de linfoma, así como la tipificación de este.5, 6

   La ecoendoscopía (USE) es una técnica que combina la imagen endoscópica convencional y la ecográfica. La
   cercanía a la pared gastrointestinal de la sonda de ecografía, así como a los órganos vecinos, hace de ella una
   herramienta de gran utilidad para la estadificación de las lesiones de la pared gastrointestinal, la evaluación de
   órganos, como el páncreas o el bazo, y de adenopatías de difícil acceso mediante otras técnicas. Además, la
   USE permite realizar punción aspiración con aguja fina (USE-PAAF) o biopsia guiada por ecoendoscopía (USE-B)
   y obtener muestras citológicas o histológicas de buena calidad para el diagnóstico de distintos tipos de
   lesiones.7, 8 La USE presenta ventajas con respecto a otras técnicas de imagen, como punción en tiempo real o
   proximidad a la pared gastrointestinal, lo que reduce el número de complicaciones y riesgo de siembra de
   células neoplásicas en el trayecto de la aguja y la capacidad de efectuar biopsias de lesiones de pequeño
   tamaño, difíciles de realizar mediante otros métodos.9

   En esta revisión se exponen las aplicaciones de esta técnica en los linfomas extranodales (gastrointestinales,
   pancreáticos y esplénicos), así como en el linfoma nodal.

   Linfomas extraganglionares primarios
   La enfermedad linfomatosa constituye con frecuencia un reto diagnóstico. Los LEP constituyen del 25% al 35%
   de los linfoma no Hodgkin (LNH).10, 11 El aparato digestivo supone la localización más frecuente (35% a 50%)
   de los LEP.12, 13 Dentro de los LEP del tubo digestivo, el 60% de los casos afectan al estómago.

   Los LEP en los cuales la USE tiene algún papel, bien en la estadificación o en el diagnóstico, incluyen,
   principalmente, los linfomas gastrointestinales, los linfomas pancreáticos y los esplénicos.

   Linfomas gastrointestinales
   Los linfomas gastrointestinales constituyen la mayoría de los LEP. Dentro de estos, los linfomas gástricos
   primarios constituyen el 70% del total. Dentro de ellos, los linfomas MALT (tejido linfoide asociado a mucosas)
   y los linfomas difusos de células grandes tipo B (DLBCL) son los más frecuentes. Otros más raros son los
   linfomas del manto, linfomas foliculares o linfomas periféricos de células T. La localización gástrica es la más
   frecuente en el 70% de los casos.14 El diagnóstico y tipificación del linfoma se logra habitualmente a partir de
   biopsias endoscópicas, a menudo realizando macrobiopsias. Una vez diagnosticado y tipificado, el siguiente
   paso es la estadificación del tumor. La USE es el único procedimiento que permite distinguir con elevada
   precisión las diferentes capas de la pared gastrointestinal, por lo que se considera la técnica de elección para la
   estadificación locorregional de estos tumores.15 De esta forma, la ecoendoscopía es capaz de diferenciar
   estadios T1 m/sm (EI1 de la clasificación de Ann Arbor), de T2-T4 (EI2) y también de TxN1 (EII1). 16

   Dentro de los linfomas gastrointestinales, la USE tiene especial interés en los linfomas tipo MALT. A diferencia
   del DLBCL, en que la ecoendoscopía tiene escaso impacto en el manejo clínico del paciente, el linfoma MALT no
   siempre se trata como una enfermedad sistémica, sino que dependerá de la estadificación de este tumor. Las
   aplicaciones de la USE en el linfoma MALT van dirigidas a la estadificación locorregional pretratamiento,
   predicción de la respuesta al tratamiento, vigilancia de la recurrencia postratamiento y, en raros casos en los
   que la biopsia endoscópica es negativa, el diagnóstico citológico o histológico del tumor.

   Más del 90% de los linfomas tipo MALT se asocian a infección por Helicobacter pylori y varios estudios
   demuestran que, en estadios precoces (afectación mucosa o submucosa), la enfermedad regresa tras el
   tratamiento erradicador.17-19 Sin embargo, los tumores con invasión más profunda son tratados con
   quimioterapia o inmunoterapia. La imagen del linfoma MALT por USE no es específica y, por lo tanto, no tiene
   valor diagnóstico. El linfoma MALT por USE puede simular tanto enfermedades benignas de la pared gástrica
   como gastritis crónica por H. pylori o enfermedad de Ménétrier en los estadios precoces hasta una linitis
   plástica en los estadios más avanzados. En un estudio, la afectación difusa y superficial evaluada mediante USE
   se correlacionó con linfoma de tipo MALT, mientras que la presencia de una masa gástrica fue más típica del
   DLBCL.20 En relación con la estadificación locorregional, para el estadio T, varias series demuestran una
   precisión diagnóstica entre el 80% y 90%21, 22 , mientras que, para el estadio N, entre 71% y 90%.21, 23 Cuando
se asocia a USE-PAAF y análisis mediante citometría de flujo, alcanza el 97%.24 Dado que la respuesta al
tratamiento erradicador frente al H. pylori se correlaciona con el grado de infiltración del tumor y que, como se
ha mencionado, la USE es una técnica ideal para diferenciar las distintas capas de la pared de tracto
gastrointestinal, no es de extrañar que esta técnica de imagen tenga gran valor en la predicción de la respuesta
al tratamiento. De esta forma, distintos estudios coinciden en que, cuando la afectación por USE es superficial
(mucosa con afectación submucosa o sin esta), la probabilidad de curación tras el tratamiento erradicador es
superior al 75%, mientras que, en estadios más avanzados, se reduce notablemente.17, 25, 26

En relación con la utilidad de la prueba en el seguimiento tras el tratamiento, aunque algunos autores
observaron una correlación elevada entre remisión histológica y normalización de la pared gástrica evaluada
por USE,27, 28 otros artículos presentan una correlación entre la imagen ecoendoscópica y la resolución
histológica entre el 33% y 54%29, 30, por lo que, en el momento actual, no se puede recomendar la USE de
forma generalizada para el seguimiento del linfoma MALT tras el tratamiento. Por último, la USE-PAAF permite
la obtención de material de utilidad para el diagnóstico y estadificación de la enfermedad, bien a partir de
adenopatías regionales o en los raros casos en los que múltiples biopsias gástricas resultan negativas. 31 El uso
de agujas de gran calibre (19 gauge) permiten, incluso, obtener muestras histológicas, útiles para diagnóstico
inmunohistoquímico.32

Linfomas pancreáticos
El linfoma pancreático primario (LPP) es un linfoma extranodal infrecuente, que representa únicamente el 0.5%
de todas las neoplasias pancreáticas.33 Los LNH pueden afectar a la glándula pancreática hasta en el 30% de
los casos, pero en menos de un 1% se pueden considerar como LPP.10 Para realizar el diagnóstico de LPP, se
requieren los siguientes criterios:34

1. Masa que afecta predominantemente el páncreas.

2. Afectación ganglios peripancreáticos.

3. Ausencia de adenopatías palpables.

4. Ausencia de afectación mediastínica.

5. Ausencia de metástasis hepato-esplénicas.

6. Hemograma dentro de límites normales.

La mayoría de los LPP son LNH DLBCL y, habitualmente, se presentan como masas pancreáticas, por lo que
deben ser diferenciadas del mucho más frecuente adenocarcinoma de páncreas, cuyo manejo clínico es
radicalmente diferente. Todo esto hace que el diagnóstico de esta entidad sea un verdadero desafío. Tanto la
sintomatología clínica como las pruebas de imagen utilizadas rutinariamente para el diagnóstico de estos
linfomas son de poca utilidad para realizar un correcto diagnóstico diferencial. Aunque la ecoendoscopía es muy
precisa para evaluar el parénquima pancreático, tampoco permite una diferenciación precisa entre ambas
entidades.35 Por este motivo es esencial disponer de una confirmación citohistológica. El examen citológico
tiene un papel controvertido pero, a raíz de la reciente revisión de los sistemas de clasificación de la OMS y del
Sistema Europeo-Americano,36 se han incorporado el uso del análisis inmunofenotípico y la citometría de flujo
(CF), permitiendo una subclasificación de los linfomas sobre la base de estas técnicas. 37 Solo un estudio ha
evaluado la utilidad diagnóstica de la USE-PAAF en el diagnóstico de linfoma pancreático.2 Una serie de casos
incluyó a 14 pacientes con diagnóstico final de linfoma pancreático primario a los cuales se les realizó USE-
PAAF.2 Los autores evaluaron la rentabilidad diagnóstica de la citología de forma aislada frente a la combinación
del análisis citológico y la CF. El diagnóstico final de linfoma se logró en el 84.6% de los pacientes y resultó
superior con la combinación de técnicas (30.8% contra 84.6%). Además, en todos los sujetos en los que el
diagnóstico de linfoma fue positivo, este se clasificó correctamente mediante la CF. Resultados similares se
obtuvieron en otra serie de casos en la cual se realizó una técnica citológica utilizando una fijación de la
muestra con metanol (citología en base líquida), la cual podría mejorar la rentabilidad diagnóstica de la
citología convencional.35 Por todo lo descrito, se puede concluir que la USE-PAAF es un procedimiento eficaz y
seguro en el diagnóstico de los LPP y, por lo tanto, se podría evitar la realización de procedimientos más
invasivos.

Linfomas esplénicos
El linfoma es una de las etiologías más frecuentes de lesiones focales esplénicas. No obstante, los valores de
incidencia varían dependiendo de la serie analizada.38 Los linfomas con compromiso exclusivo del bazo son
mucho más infrecuentes. Aunque estas lesiones pueden ser diagnosticadas mediante biopsia percutánea, puede
incrementar el riesgo de complicaciones, debido a que el bazo está rodeado de estructuras como el pulmón,
riñón izquierdo y el colon, además del riesgo de hemorragia secundaria a la punción del hilio esplénico. 3
Además, la precisión de las técnicas percutáneas se encuentra comprometida por la distancia entre la aguja y el
órgano que se pretende puncionar, y este aspecto resulta de mayor relevancia en lesiones pequeñas. Varios
estudios han demostrado la eficacia de la PAAF realizada por técnicas percutáneas en el diagnóstico de los
trastornos linfoproliferativos.39, 40 Un estudio italiano multicéntrico evaluó la eficacia y seguridad de la punción
percutánea de lesiones esplénicas en 398 pacientes.3 El linfoma fue el diagnóstico más frecuente y la precisión
diagnóstica mediante citología e histología fue similar (88.4% y 88.3%, respectivamente). Sin embargo, estos
esperanzadores resultados no han sido corroborados en otros estudios que ofrecen una precisión diagnóstica
tan baja como del 25% de los aspirados esplénicos de pacientes con sospecha de linfoma.41

La USE-PAAF es una prueba segura y precisa en la evaluación de alteraciones esplénicas. Esta técnica ofrece
una serie de ventajas únicas sobre otros métodos que pueden reducir el riesgo de complicaciones e incrementar
la precisión diagnóstica, como la escasa distancia entre el transductor de ecografía y el bazo, y ofrecer una
imagen en tiempo real. Tres series de casos han evaluado la utilidad de la USE-PAAF en lesiones focales
   esplénicas, incluyendo un total de 23 pacientes.38, 42, 43 El diagnóstico de linfoma fue correctamente establecido
   en el 75% de los casos. Además, en todos ellos, fue posible determinar el subtipo. No se produjeron
   complicaciones relevantes. Linfomas nodales
   La evaluación histológica es el patrón de oro para el diagnóstico final de linfoma,4 mientras que el valor de la
   citología es controvertido. Algunos autores defienden que el uso del examen citológico combinado con el
   inmunotipificación mediante la CF podría obviar procedimientos más invasivos para el estudio de esta
   enfermedad.37, 44, 45 La citología combinada con la CF es especialmente útil para diferenciar linfocitos B reactivos
   de la células B monoclonales y, por lo tanto, en muchos centros se utilizan estas técnicas como estudio inicial
   ante la sospecha de un linfoma nodal.46 Varios estudios demuestran la eficacia de la citología en el diagnóstico
   de linfomas nodales. En estudios mediante punción percutánea, la sensibilidad y la precisión diagnóstica oscila
   entre el 66% y el 90% y entre el 60% y 80%, respectivamente.47-49 La CF es también muy útil para determinar
   el subtipo de linfoma. Varios estudios han utilizado la USE-PAAF en combinación con la CF para el diagnóstico
   de linfoma nodal, todos ellos de diseño retrospectivo.31, 45, 50-54 El uso de la CF incrementó notablemente la
   sensibilidad (72.7% a 100%) y especificidad (93% a 100%) para el diagnóstico de linfoma amparado con el
   análisis citológico (sensibilidad y especificidad de 30.8% a 87% y de 0% a 100%, respectivamente). Las
   limitaciones de la CF incluyen la dificultad diagnóstica de los linfomas de células T, dado que, habitualmente,
   estos expresan marcadores encontrados frecuentemente en linfocitos T maduros y linfoma Hodgkin, debido a la
   rareza de las células de Reed-Sternberg en muestras citológicas y la ausencia de monoclonalidad.55, 56 Estos
   problemas pueden ser solventados con la obtención de muestras para histología mediante la USE. Actualmente,
   se disponen de agujas de grueso calibre (19 gauge) con las cuales es posible obtener una muestra para análisis
   histológico. Este aspecto ha sido evaluado en varios estudios, en los cuales se utilizaron muestras histológicas
   obtenidas por USE para la subclasificación del linfoma.32, 42, 57-59 Un total de 240 pacientes fueron incluidos. En
   general, se utilizó una aguja gruesa para la toma de la muestra (Quick core needle™, Cook Endoscopy, Winston
   Salem, NC o aguja de citología 19 Gauge) y, en todos ellos, se realizó una evaluación citológica, por CF e
   inmunohistoquímica. En general, el diagnóstico de linfoma se logró en el 94% de los casos y la subclasificación
   según la OMS fue posible en el 85%.

   En 29 casos no fue posible la subclasificación del linfoma. Los resultados falsamente negativos fueron atribuidos
   a una importante necrosis del tumor,58 a una insuficiente cantidad de material59 y a limitaciones técnicas
   relacionadas con el tipo de aguja o el calibre (Quick core needle™, Cook Endoscopy Inc, Limerick, Ireland).58

   Solo 7 complicaciones han sido comunicadas (2.9%), la mayoría de escasa relevancia: 3 casos de hematoma
   submucoso, 1 caso de dolor abdominal leve, 2 casos de fiebre tras el procedimiento.42, 57-59 Un fallecimiento fue
   informado secundario a hemorragia secundaria a varices, aunque no fue asociado por los autores al
   procedimiento.59

   Conclusión
   La USE es una herramienta de gran utilidad para la estadificación locorregional del linfoma MALT, así como un
   buen predictor de respuesta al tratamiento erradicador. Asimismo, la USE-PAAF es una técnica útil en pacientes
   con sospecha de linfoma localizado en órganos cuya punción por otras técnicas es difícil por su acceso o en la
   que esta supone un elevado riesgo para el paciente, como es el caso de la glándula pancreática o el bazo.
   Además, el desarrollo tecnológico en este campo hace posible la obtención de muestras histológicas y se
   pueden obviar, en muchos casos, procedimientos diagnósticos más invasivos.




EVALUAN EL COMIENZO DE ACCION DEL FORMOTEROL EN COMPARACION
                                                                                               ReSIIC editado en:
CON EL SALMETEROL EN LA ENFERMEDAD PULMONAR OBSTRUCTIVA
CRONICA MODERADA
                                                                                                 Farmacología

Roma, Italia                                                                                     Neumonología

                                                                                                 Atención   Primaria
En pacientes con enfermedad pulmonar obstructiva crónica moderada, el                            Medicina   Farmacéutica
tratamiento con formoterol en dosis de 9 µg demostró un comienzo del efecto                      Medicina   Familiar
broncodilatador más rápido que el salmeterol en dosis de 50 µg, indicado por la                  Medicina   Interna
magnitud de la mejoría en el flujo espiratorio forzado durante el primer segundo a
los 5 minutos luego de la dosis.


Clinical Drug Investigation32(3):147-155, 2012


Autores:
Lotvall J, Cazzola M, Paggiaro P


Institución/es participante/s en la investigación:
University of Rome "Tor Vergata"
Título original:
Onset of Action of Formoterol versus Salmeterol Via Dry Powder Inhalers in
Moderate Chronic Obstructive Pulmonary Disease: A Randomized, Placebo-
Controlled, Double-Blind, Crossover Study


Título en castellano:
Comienzo de Acción del Formoterol en Comparación con el Salmeterol Administrados
por Inhaladores de Polvo Seco en la Enfermedad Pulmonar Obstructiva Crónica
Moderada: Estudio Aleatorizado, Controlado con Placebo, a Doble Ciego y Cruzado


Extensión del Resumen-SIIC en castellano:
3.04 páginas impresas en papel A4




Introducción
El tratamiento broncodilatador es fundamental para el alivio sintomático de la enfermedad pulmonar obstructiva
crónica (EPOC). Estos fármacos se utilizan a demanda para el alivio de los síntomas persistentes o el empeoramiento
sintomático, o de manera regular para prevenir o reducir los síntomas. En los pacientes con EPOC leve se recomienda
el tratamiento con broncodilatadores de acción corta, mientras que, en aquellos con EPOC moderada a grave, se
prefieren los beta2 agonistas de acción prolongada (betaAAP) y los anticolinérgicos. Si bien la limitación al flujo aéreo
en la EPOC no es completamente reversible, los broncodilatadores son capaces de mejorarlo y contribuyen con el
alivio de los síntomas de la enfermedad. En una encuesta realizada en personas con EPOC grave o muy grave, el peor
momento del día para la aparición de los síntomas es la mañana, y es la disnea el síntoma informado con más
frecuencia. Además, se encontró una correlación sustancial entre los síntomas y las actividades matinales de la vida
diaria.
El objetivo de este estudio fue evaluar el comienzo del efecto (flujo espiratorio forzado durante el primer segundo
[VEF1] a los 5 minutos) de dosis únicas del broncodilatador formoterol en dosis de 9 µg mediante el dispositivo
Turbuhaler y del salmeterol en dosis de 50 µg por el dispositivo Diskus en pacientes con EPOC moderada.

Métodos
El diseño del estudio fue multicéntrico, a doble ciego, con doble enmascaramiento, controlado con placebo y cruzado.
Se realizó en 14 centros (6 en Italia, 4 en Suecia y 4 en España). Los criterios de inclusión fueron: edad de 40 años o
más; diagnóstico clínico de EPOC según las normas de la Global Initiative for Chronic Obstructive Lung Disease
(GOLD) y los síntomas de EPOC al momento del estudio; tabaquismo al momento del estudio o en el pasado (10
paquetes o más de cigarrillos por año); el uso documentado de broncodilatadores de acción corta (beta 2 agonistas o
anticolinérgicos) como medicación de rescate; VEF1/capacidad vital forzada posterior al broncodilatador < 70%, VEF1
posterior al broncodilatador del 50% o más, pero igual o inferior al 80% del valor predicho (se evaluó la reversibilidad
con los broncodilatadores, pero no se consideró un criterio de inclusión).
Se les permitió a los pacientes el uso de corticoides inhalatorios (CI) en dosis estables si los recibían 3 meses o más
antes de la primera visita y de beta2 agonistas de acción corta o anticolinérgicos, excepto dentro de las 8 horas
previas a las visitas de seguimiento. Los betaAAP se interrumpieron 48 horas antes de la visita 2 y, en su lugar, se
permitió el uso de terbutalina mediante el dispositivo Turbuhaler. Los participantes en tratamiento con CI/betaAAP
debieron interrumpirlos y cambiar a las dosis correspondientes de CI más terbutalina mediante el dispositivo
Turbuhaler como medicación de rescate, 48 horas antes de la visita 2.
Se programaron 5 visitas de seguimiento durante el período de estudio. La elegibilidad se evaluó en la visita 1 y, en la
visita 2, se realizaron pruebas de función pulmonar y se constataron los criterios de inclusión y de exclusión. En la
visita 3 se realizó la aleatorización y, en las visitas 4 y 5, las personas elegibles recibieron una dosis única de 9 µg de
formoterol por Turbuhaler más placebo por Diskus; una dosis única de 50 µg de salmeterol por Diskus más placebo
por Turbuhaler o placebo por Turbuhaler y Diskus. Todos los pacientes recibieron cada uno de estos tres tratamientos
en un orden aleatorio, con un período de reposo farmacológico de 2 a 7 días entre ellos. Durante el período de estudio
se utilizó terbutalina por Turbuhaler como medicación de rescate. Se recomendó a los pacientes que evitasen los
ejercicios extenuantes 2 horas antes de la realización de la espirometría.
El objetivo principal del estudio fue evaluar el comienzo de inicio del efecto de los broncodilatadores de dosis únicas
de formoterol, salmeterol y placebo en pacientes con EPOC moderada. El criterio principal de valoración fue el cambio
en el valor del VEF1 a los 5 minutos luego de la dosis, en comparación con el valor basal. Luego de la administración
de la medicación en estudio, el VEF1 se evaluó a los 5, 10, 15, 20, 30, 40, 50, 60 y 120 minutos.
Los criterios secundarios de valoración fueron el porcentaje de pacientes que logró un incremento del 12% o más en
el VEF1 a los 5 minutos luego de la dosis; el porcentaje (acumulativo) de pacientes que logró un incremento del 12% o
más en el VEF1 entre los 10 y los 120 minutos luego de la dosis; el tiempo hasta alcanzar el incremento del 12% o
más en el VEF1; el VEF1 promedio durante los primeros 15 minutos luego de la dosis (área bajo la curva entre 0 a 15
minutos [ABC15] del VEF1) y VEF1 promedio durante los 120 minutos luego de la dosis (ABC entre 0 y 120 minutos
[ABC120] del VEF1). En las visitas 2 a 5 se registró la naturaleza, la incidencia y la intensidad de los efectos adversos
junto con la determinación de la frecuencia cardíaca y la presión arterial.
Se realizó la comparación del criterio principal de valoración, el VEF1 a los 5 minutos de la dosis, entre los
tratamientos, por análisis de varianza (ANOVA). Las diferencias entre los tratamientos se estimaron a partir del
modelo y se calcularon los intervalos de confianza del 95% (IC). Se realizaron comparaciones pareadas, pero la
comparación principal se realizó entre el formoterol y el salmeterol. Los valores del ABC15 del VEF1 y el ABC120 del VEF1
se compararon entre los tratamientos con el mismo modelo. A los 5 minutos luego de la dosis se realizaron
comparaciones pareadas entre los grupos de tratamiento con respecto al porcentaje de pacientes que logró una
mejoría del 12% o más con la prueba exacta de McNemar. Todas las pruebas fueron de dos colas y se consideraron
estadísticamente significativos los valores de p de 0.05 o menos. Los efectos adversos, los signos vitales, la frecuencia
cardíaca y la presión arterial se analizaron mediante estadísticas descriptivas.

Resultados
Ciento nueve pacientes fueron distribuidos en forma aleatoria a las secuencias de tratamiento; de éstos, 108
completaron el estudio. Ochenta y un (74.3%) participantes en hombres, la media de la duración de la EPOC a partir
del diagnóstico fue de 4.7 años (0 a 27 años) y la media del valor del VEF1 luego del broncodilatador fue del 65% del
valor predictivo normal.
El incremento en el VEF1 a los 5 minutos luego de la dosis de la medicación en estudio, en comparación con el valor
basal (criterio principal de valoración), fue del 7.2% para formoterol, 4.1% para salmeterol y 0.7% para placebo, que
corresponden a incrementos de 127, 73 y 12 ml, respectivamente. El aumento en el VEF1 a los 5 minutos luego de la
dosis, en comparación con el valor basal, fue significativamente superior para formoterol en comparación con
salmeterol (relación formoterol:salmeterol 1.030; IC: 1.008 a 1.052; p = 0.009), para formoterol contra placebo
(1.064; IC: 1.041 a 1.087; p < 0.001) y para salmeterol contra placebo (1.033; IC: 1.011 a 1.056; p = 0.003).
En cuanto a los criterios secundarios de valoración, se observó que los porcentajes de pacientes con un incremento en
el VEF1 del 12% o más a los 5 minutos luego de la dosis fueron del 23.1%, 9.2% y 6.4% para los grupos de
formoterol, salmeterol y placebo, respectivamente. Este incremento fue estadísticamente significativo para formoterol
con respecto a salmeterol (p = 0.008) o placebo (p < 0.001), mientras que no hubo diferencias significativas entre
salmeterol y placebo (p = 0.549). El porcentaje acumulativo de pacientes que lograron un incremento del 12% o más
en el VEF1 entre los 10 y 120 minutos luego de la dosis fue mayor en el grupo de formoterol en comparación con los
grupos de salmeterol y placebo, mientras que también fue superior en el grupo de salmeterol en comparación con
placebo. Las comparaciones pareadas entre los tratamientos demostraron que el tiempo hasta lograr un incremento
del 12% o más en el VEF1 fue significativamente más corto para formoterol con respecto a salmeterol (hazard ratio
[HR] para formoterol contra salmeterol: 2.090; IC: 1.31 a 3.35; p = 0.002) y placebo (HR: 6.534; IC: 3.55 a 12.02;
p < 0.001); el lapso fue significativamente más corto para salmeterol en comparación con placebo (HR: 3.127; IC:
1.77 a 5.552; p < 0.001).
El incremento promedio en el VEF1 durante los primeros 15 minutos luego de la dosis con respecto al valor basal fue
de 6.4%, 4.1% y 1.2% para los grupos de formoterol, salmeterol y placebo, respectivamente. Este aumento fue
significativamente superior para el formoterol en comparación con salmeterol (HR: 1.022; IC: 1.005 a 1.039; p =
0.009) y placebo (HR: 1.051; IC: 1.034 a 1.069; p < 0.001) y para salmeterol en comparación con placebo (HR:
1.029; IC: 1.012 a 1.046; p < 0.001). El incremento promedio en el VEF1 durante los 120 minutos luego de la dosis,
con respecto al valor basal, fue del 9.6%, 8.2% y 1.4% para los grupos de formoterol, salmeterol y placebo,
respectivamente. No hubo diferencias significativas entre formoterol y salmeterol (HR: 1.013; IC: 0.991 a 1.034; p =
0.245), mientras que el aumento fue significativamente superior para formoterol en comparación con placebo (HR:
1.081; IC: 1.058 a 1.104; p < 0.001) y para salmeterol con respecto a placebo (HR: 1.067; IC: 1.045 a 1.090; p <
0.001).
El número de pacientes con efectos adversos y la frecuencia de efectos adversos fueron bajos y ninguno de estos
eventos adversos fue grave. Seis de 108 participantes (5.6%) informaron un efecto adverso durante el tratamiento
con formoterol en comparación con 6 de 109 (5.5%) en el grupo de salmeterol y 2 de 109 (1.8%) en el grupo
placebo. Sólo un efecto adverso (perforación de la membrana timpánica) se consideró relacionado con la medicación
en estudio (salmeterol). Los efectos adversos fueron generalmente leves a moderados y el más común fue la
rinofaringitis. No hubo diferencias significativas entre los tres grupos con respecto a la frecuencia cardíaca o la presión
arterial.

Discusión
Los resultados del presente estudio demostraron que, en pacientes con EPOC moderada, el incremento en el VEF1 a
los 5 minutos luego de la dosis, con respecto al valor basal, fue significativamente superior para formoterol y
salmeterol en comparación con placebo. Además, el aumento observado con formoterol fue significativamente
superior con respecto a salmeterol. Cuando se consideraron los criterios secundarios de valoración, referidos al
porcentaje de pacientes con un incremento de 12% o más en el VEF1 a los 5 minutos luego de la dosis, el tiempo
hasta lograr este aumento de 12% o más en el VEF1 y el incremento en el VEF1 durante los primeros 15 minutos luego
de la dosis, el efecto de formoterol también fue significativamente superior con respecto a salmeterol. El aumento en
el VEF1 durante los 120 minutos luego de la dosis fue similar para formoterol y salmeterol y, en ambos, el incremento
fue significativamente superior en comparación con placebo. El inicio de acción y la magnitud del efecto de formoterol
y salmeterol encontrados en esta investigación fueron similares a lo informado en publicaciones previas con el uso de
betaAAP solos o en combinación con CI. En la EPOC ya se había demostrado que formoterol tiene un comienzo similar
de acción a salbutamol y más rápido que salmeterol. El comportamiento de ambos fármacos en la EPOC es semejante
al observado en el asma. Los tratamientos fueron bien tolerados.
Conclusión
En pacientes con EPOC moderada, el tratamiento con formoterol en dosis de 9 µg por medio del dispositivo Turbuhaler
mostró un comienzo más rápido del efecto broncodilatador que el salmeterol en dosis de 50 µg administrado por
medio del dispositivo Diskus indicado por la magnitud de la mejoría en el VEF1 a los 5 minutos posteriores a la dosis.




ANALIZAN LA EFICACIA ANTITUMORAL DE UN RADIOFARMACO EMISOR
                                                                                             InSIIC editado en:
DE ELECTRONES AUGER EN UN MODELO IN VIVO

                                                                                              Medicina Nuclear
                                                                                              Oncología
Oxford, Reino Unido
                                                                                              Medicina Farmacéutica
El péptido F3 marcado con indio 111 constituye un radiofármaco emisor de
electrones Auger que se asocia con una disminución de la supervivencia de los
clones celulares neoplásicas y del crecimiento tumoral en un modelo in vivo.


  Fuente científica: EJNMMI Research2:9-9 Feb, 2012 aSNC


  Autores: Cornelissen B, Waller A, Vallis KA

  Palabras clave: péptido F3, electrón Auger, nucleolina, nucléolo, 111In

  Key Words: F3 peptide, Auger electron, nucleolin, nucleolus, 111In




  Institución principal: University of Oxford

  Correspondencia: B Cornelissen, University of Oxford, OX3 7DQ, Oxford Reino Unido

  Patrocinio: El estudio fue financiado por CR-UK/EPSRC Oxford Cancer Imaging Centre, NIHR Oxford Biomedical
Research Centre y Cancer Research-UK.
  Conflicto de interés: No declarado.

  Agradecimientos: El estudio fue financiado por CR-UK/EPSRC Oxford Cancer Imaging Centre, NIHR Oxford Biomedical
Research Centre y Cancer Research-UK.



La radioterapia dirigida es una modalidad terapéutica en la cual se emplea la radiación emitida por radionúclidos (en
forma de partículas alfa o beta, o bien de electrones Auger) con el fin de irradiar de modo específico a las células
neoplásicas y detener el crecimiento tumoral. Entre estos radiofármacos se citan el 131I-tositumomab y el 90Y-
ibritumomab, utilizados para el tratamiento del linfoma no Hodgkin CD20 positivo. Sin embargo, se advierte que los
nucleidos emisores de electrones Auger difieren de los radioisótopos que emiten partículas beta o alfa, debido que, en
el marco de la breve trayectoria de estos electrones, se requiere la internalización celular y localización nuclear del
radiofármaco para lograr eficacia antitumoral. En este sentido, se destaca que el péptido F3, conformado por una
secuencia de 31 aminoácidos, es un derivado de la proteína de alta movilidad del grupo 2 (HMGN2); esta molécula
puede unirse de modo específico con la nucleolina expresada en la membrana de las células neoplásicas, los neovasos
y el endotelio. Una vez producida esta interacción, el péptido F3 se internaliza y se trasloca al núcleo celular. Esta
molécula se ha utilizado con el fin de transportar diferentes principios activos, como nanopartículas de óxido férrico,
agentes de terapia fotodinámica y oligonucléotidos, entre otros.

En el presente modelo experimental, se describe la marcación de la molécula F3 con isotiocianato de fluoresceína
(FITC) con posterior conjugación con benzil-dietil-enetriamina-pentaacetato unido con 111In. Una línea celular
neoplásica mamaria humana fue incubada con el complejo molecular resultante (111In-BnDTPA-F3). En modelos in
vivo, se analizó la distribución de este radiofármaco en roedores genomodificados en los cuales se había efectuado un
xenoimplante de cáncer mamario humano.
Según verificaron los expertos, se demostró la unión del FITC-F3 con la membrana celular de las células neoplásicas.
De igual forma, se comprobó la localización conjunta de este producto y de la nucleolina en el núcleo de esos
elementos celulares. Se comprobó que alrededor del 1.7% del 111In incorporado a 111In-BnDTPA-F3 se fijaba a las
membranas celulares; cerca del 15% de los átomos de indio fijados eran posteriormente internalizados, con una tasa
de localización nuclear de 37%. En la experiencia in vitro de exposición al radiofármaco, se comprobó una reducción
significativa de la supervivencia de los clones celulares neoplásicos en comparación con las líneas celulares de control
y con las células expuestas al complejo molecular no radiomarcado. En el modelo in vivo con roedores
xenoimplantados, se demostró una disminución acentuada y significativa del crecimiento tumoral después de la
terapia con dosis de 3 µg de 111In-BnDTPA-F3 indicados por vía parenteral, con una actividad de 6 MBq/µg.

La terapia con electrones Auger ha sido objeto de estudio en modelos in vitro e in vivo, así como en ensayos
preclínicos. En el presente análisis, se demostró que FITC-F3 puede interactuar con células neoplásicas mamarias con
posterior traslocación nuclear, en coincidencia con estudios anteriores. Las variantes radiomarcadas de este fármaco
también fueron internalizadas, con llegada y acumulación en el núcleo celular. La biodistribución de 111In-BnDTPA-F3
en este modelo con roedores xenoimplantados con tejido tumoral humano fue similar a la informada en modelos
previos para otros radiofármacos conjugados con el péptido F3.

De este modo, los investigadores hacen énfasis en que 111In-BnDTPA-F3 constituye un radiofármaco emisor de
electrones Auger que se asocia con una disminución de la supervivencia de los clones celulares neoplásicas y del
crecimiento tumoral en un modelo in vivo




EL FENOFIBRATO MEJORA LA FUNCIóN VASCULAR ENDOTELIAL EN LOS
                                                                                               ReSIIC editado en:
ADULTOS MAYORES SANOS NORMOLIPIDéMICOS

                                                                                                Cardiología
Salt Lake, EE.UU.
                                                                                                Medicina
                                                                                               Farmacéutica
La disfunción vascular endotelial relacionada con la edad se asocia con un
incremento en el riesgo de enfermedad cardiovascular. El tratamiento con                        Geriatría
fenofibrato a corto plazo ha demostrado mejorar la función endotelial en adultos                Medicina Interna
normolipidémicos mediante la reducción del estrés oxidativo.                                    Farmacología


Hypertension60(6):1517-1523 Dic, 2012


Autores:
Seals DR, Walker AE, Kaplon RE


Institución/es participante/s en la investigación:
University of Utah


Título original:
Fenofibrate Improves Vascular Endothelial Function by Reducing Oxidative Stress
While Increasing Endothelial Nitric Oxide Synthase in Healthy Normolipidemic Older
Adults


Título en castellano:
El Fenofibrato Mejora la Función Vascular Endotelial Mediante la Reducción del Estrés
Oxidativo al Incrementar la Óxido Nítrico Sintasa Endotelial en Adultos Mayores
Sanos Normolipidémicos


Extensión del Resumen-SIIC en castellano:
3.39 páginas impresas en papel A4




IntroducciónEl riesgo de enfermedad cardiovascular se incrementa progresivamente en las personas de edad
avanzada. Esto se debe, al menos en parte, a la presencia de una disfunción endotelial vascular asociada con la edad.
La función endotelial vascular se evalúa habitualmente mediante la determinación de la dilatación dependiente del
endotelio (DDE). Este parámetro se encuentra alterado en los adultos desde la mediana edad y en los la edad
avanzada, aun en ausencia de enfermedad clínica. Por lo tanto, es clínicamente relevante identificar estrategias
terapéuticas potenciales a fin de mejorar la función endotelial vascular en dicha población. El fenofibrato es un
fármaco hipolipemiante que ejerce efectos pleiotrópicos más allá de su acción sobre los lípidos, dado que activa el
receptor activador de la proliferación de peroxisomas alfa (PPAR-alfa). Se ha demostrado que esta droga mejora la
DDE en la microcirculación en ratas de edad avanzada. Sin embargo, hasta el momento en que se realizó el presente
trabajo, no se habían investigado sus efectos sobre la DDE en seres humanos adultos mayores.Las alteraciones de la
DDE asociadas con la edad son el resultado del incremento en el estrés oxidativo y de la disminución en la
biodisponibilidad de óxido nítrico, factor vasodilatador que ejerce una función de protección sobre los vasos. En las
ratas de edad avanzada, los efectos beneficiosos sobre la DDE alcanzados con el fenofibrato dependen de la
disminución del estrés oxidativo generada por el fármaco. Asimismo, en cultivos de células endoteliales se ha
demostrado que el fenofibrato induce un incremento en la expresión de la óxido nítrico sintasa endotelial (eNOS),
enzima encargada de la síntesis de óxido nítrico en el endotelio.Sobre la base de esta información, se llevó a cabo un
estudio para evaluar si el fenofibrato es capaz de mejorar la DDE en adultos de edad mediana y avanzada, además de
establecer si la reducción del estrés oxidativo constituye un mecanismo relevante para lograr ese objetivo. Asimismo,
el trabajo tuvo por objetivo determinar si la droga en estudio incrementa la expresión de la eNOS en las células
endoteliales de dicha población.
MétodosSe diseñó un estudio prospectivo, aleatorizado, a doble ciego y controlado con placebo. Para minimizar la
influencia potencial que pudiera causar la disminución de los lípidos plasmáticos, se incluyeron sólo adultos
normolipidémicos y se utilizó una terapia con fenofibrato a corto plazo (7 días). Los resultados fueron evaluados a los
2 y a los 7 días de tratamiento. En total, 22 participantes, hombres y mujeres de entre 50 y 77 años, fueron incluidos
en el análisis de la información. Se trataba de adultos saludables, no fumadores, aunque sedentarios. La DDE se midió
mediante la determinación de la dilatación mediada por flujo (DMF) de la arteria humeral por ecografía dúplex en
posición supina. Por este método también se midió la dilatación independiente del endotelio (en respuesta a la
administración de nitroglicerina sublingual) y la tasa de cizallamiento. La DMF fue medida primero durante una
infusión salina (control) y luego durante una infusión suprafisiológica intravenosa de vitamina C. Asimismo, se
obtuvieron células endoteliales de la vena antecubital para analizar la expresión de la eNOS.Los participantes fueron
divididos aleatoriamente en dos grupos: uno, integrado por 12 personas, recibió 145 mg/día de fenofibrato durante 7
días, mientras que el otro, integrado por los 10 participantes restantes, sólo recibió placebo. El comprimido
correspondiente debía ser ingerido con la cena. Las consultas en las que se llevaron a cabo todas las mediciones
pertinentes tuvieron lugar en la mañana antes de la primera dosis (nivel basal) y en las mañanas posteriores a la
segunda y la séptima dosis.
ResultadosA nivel basal, las características clínicas de los grupos no presentaban diferencias significativas. La
respuesta al tratamiento con fenofibrato a corto plazo no difirió de la respuesta al placebo para los siguientes
parámetros: presión arterial, glucemia en ayunas, insulina, resistencia a la insulina medida por el modelo de
homeostasis (HOMA-IR), colesterol asociado a lipoproteínas de alta densidad (HDLc), triglicéridos y proteína C-
reactiva. No obstante, la terapia con fenofibrato redujo la concentración sérica de colesterol total a los 2 y a los 7
días, y la de colesterol asociado a lipoproteínas de baja densidad (LDLc) a los 7 días. En cambio, no se registraron
cambios en estos parámetros en el grupo placebo. De acuerdo con los resultados del estudio, la DMF de la arteria
humeral mejoró en alrededor de un 20% luego de dos días de terapia con fenofibrato, y en alrededor de un 30%
luego de siete días. Por el contrario, no se observaron cambios en el grupo placebo, ni a los dos ni a los siete días. Por
su parte, el diámetro basal de la arteria humeral, el pico de la tasa de cizallamiento luego de la liberación del
manguito y la dilatación de la arteria humeral en respuesta a la nitroglicerina (dilatación independiente del endotelio)
no mostraron diferencias significativas entre los grupos ni entre los participantes a lo largo del tiempo.Por otra parte,
a nivel basal, la infusión intravenosa de vitamina C, que funciona como antioxidante, mejoró la DMF humeral en
ambos grupos en alrededor de un 25%. Esta mejoría se mantuvo en el grupo placebo transcurridos 2 y 7 días. En
cambio, durante la terapia con fenofibrato, la DMF humeral ya no sufrió modificaciones en respuesta a la vitamina C.
El diámetro basal de la arteria humeral y el pico de la tasa de cizallamiento no fueron afectados por la vitamina C en
ningún momento y en ninguno de los grupos. El LDLc oxidado es un marcador del estrés oxidativo sistémico. Este
parámetro no mostró cambios luego de dos días de terapia con fenofibrato, pero luego de siete días se pudo apreciar
una disminución del 21%, la cual resulta ser significativamente mayor que la ligera disminución observada en el grupo
placebo (8%).
Asimismo, la expresión de la eNOS en las células endoteliales no mostró cambios luego de dos días de tratamiento
con fenofibrato, pero se incrementó en un 41% luego de siete días. Por el contrario, no se observaron cambios luego
de dos y siete días en el grupo placebo.Por último, los autores analizaron las correlaciones potenciales de la DDE.
Luego de dos días de tratamiento, el cambio en la DMF de la arteria humeral en respuesta al fenofibrato sólo tuvo
relación con el cambio en el nivel de colesterol total; al tomar en cuenta las modificaciones en el colesterol total, el
efecto sobre la DMF humeral se volvió no significativo. Luego de siete días, el cambio en la DMF humeral en respuesta
al fenofibrato tuvo relación con modificaciones en los valores de presión arterial sistólica y diastólica. Sin embargo, un
análisis de regresión lineal múltiple reveló que el tratamiento con fenofibrato afectó significativamente el cambio en la
DMF humeral, pero no afectó la presión arterial sistólica y diastólica. Asimismo, en un subgrupo de participantes
apareados según la DMF basal, el cambio en la DMF humeral a lo largo del tiempo siguió siendo significativamente
mayor en el grupo tratado con fenofibrato, respecto del grupo placebo.
DiscusiónLos autores destacan que los resultados del estudio han demostrado por primera vez que el tratamiento
con fenofibrato mejora la DDE en adultos normolipidémicos de edad mediana y avanzada, y que esta mejora tiene que
ver con una reducción en el estrés oxidativo. Además, se señala que éste es el primer estudio en demostrar que el
fenofibrato induce un incremento en la expresión de la eNOS en las células endoteliales de los seres humanos. Por lo
tanto, estos hallazgos estarían indicando que la droga en estudio podría utilizarse como estrategia efectiva para tratar
la disfunción endotelial vascular en personas de edad mediana o avanzada aun con niveles de lípidos plasmáticos
normales.Se sabe que el fenofibrato mejora la DDE en personas con diabetes mellitus tipo 2 e hiperlipidemia; los
resultados del presente estudio extienden este hallazgo también a adultos saludables normolipidémicos. Además, los
resultados coinciden con las observaciones realizadas en ensayos con animales. Es interesante destacar que las
mejorías en la DMF humeral halladas en el presente trabajo fueron específicas del endotelio vascular, dado que el
tratamiento con fenofibrato no produjo cambios en la dilatación independiente del endotelio.Por otra parte, en el
grupo tratado con fenofibrato se halló una disminución significativa en los niveles plasmáticos de LDLc oxidado, el cual
constituye un marcador del estrés oxidativo sistémico. Esto coincide con los resultados de un ensayo previo llevado a
cabo con pacientes con hipertrigliceridemia. En el presente estudio, se ratifican esos hallazgos al demostrar que la
vitamina C, sustancia con actividad antioxidante, mejora la DMF humeral a nivel basal, pero no la afecta luego del
tratamiento con fenofibrato. También en este caso los resultados coinciden con ensayos previos llevados a cabo con
animales.
En el presente estudio, la expresión de la eNOS se incrementó en el grupo medicado con fenofibrato. Este hallazgo
coincide con informes previos que señalaban que la droga es capaz de aumentar la expresión de dicha enzima en
cultivos de células endoteliales y en la aorta de roedores. De todos modos, no es posible determinar a partir de estos
datos si el incremento en la expresión de la eNOS genera un beneficio funcional, dado que el modelo de la DMF
humeral no permite determinar en qué medida el óxido nítrico contribuye a la dilatación. Aunque los valores de
colesterol total y de LDLc disminuyeron levemente con el tratamiento, las mejorías en la DMF humeral a los siete días
no tuvieron correlación con los lípidos plasmáticos. En este sentido, los resultados sugieren que la mejoría en la
función endotelial luego de una semana de tratamiento con fenofibrato fue independiente de los cambios producidos
en los lípidos plasmáticos, aunque no se puede descartar cierta influencia sobre la DMF humeral. También cabe la
posibilidad de que la relación entre los cambios en la función vascular y en los lípidos plasmáticos obtenidos con el
tratamiento con fenofibrato difiera en adultos normolipidémicos y en pacientes con hiperlipidemia. En pacientes con
hipertrigliceridemia o diabetes mellitus, la mejoría en la DDE obtenida con fenofibrato ha sido asociada, por algunos
autores, con reducciones en los niveles de lípidos. Por lo tanto, los resultados del presente trabajo son coherentes con
el amplio abanico de observaciones postuladas sobre el tema en estudios anteriores.Con respecto a la relación del
fenofibrato con la presión arterial, la información disponible hasta el momento era contradictoria. En el presente
estudio, aunque la presión arterial no se redujo significativamente con la terapia con fenofibrato, se observó una
relación entre los cambios en la presión sistólica y diastólica y los cambios en la DMF humeral luego de 7 días de
tratamiento en algunos sujetos. No obstante, un análisis de regresión indicó que la mejoría en la DMF humeral era
independiente de los cambios en la presión arterial.Se ha postulado que las acciones pleiotrópicas del fenofibrato
están mediadas fundamentalmente por la activación del PPAR-alfa, factor de transcripción nuclear que incrementa la
oxidación de los ácidos grasos y es capaz de suprimir el estrés oxidativo y las vías de señalización proinflamatorias. La
actividad del PPAR-alfa no es fácil de evaluar en los seres humanos. No obstante, los resultados de ensayos realizados
en animales permiten postular que los efectos del fenofibrato sobre el estrés oxidativo serían dependientes de su
actividad sobre el PPAR-alfa. Por lo tanto, la activación del PPAR-alfa pudo haber contribuido a la mejoría en la DDE, la
reducción en el estrés oxidativo y el incremento en la expresión de la eNOS en los participantes del presente estudio,
aunque esto aún no ha podido ser comprobado en forma directa. Asimismo, los efectos beneficiosos del fenofibrato
también pueden ser el resultado de la reducción en la actividad de las vías de señalización proinflamatorias que ejerce
el PPAR-alfa. En el presente estudio, el tratamiento con fenofibrato no redujo la concentración de proteína C-reactiva,
aunque este marcador de inflamación no necesariamente está reflejando el estado inflamatorio vascular. Por lo tanto,
es posible que la reducción en las vías de señalización proinflamatorias a nivel vascular generadas por la activación
del PPAR-alfa haya contribuido a mejorar la función endotelial. La expresión del PPAR-alfa disminuye con la edad en
numerosos tejidos, por lo que el uso de medicaciones como los fibratos podría ser de importancia para prevenir o
tratar diversas disfunciones relacionadas con la edad.
El uso de hipolipemiantes en las personas normolipidémicas es controvertido, aunque estaría avalado por el hecho de
que el nivel óptimo de LDLc es más bajo que el indicado por las normativas actuales y, por lo tanto, estos fármacos
podrían ser utilizados para alcanzar este objetivo. Además, tanto las estatinas como los fibratos presentan beneficios
pleiotrópicos más allá de su efecto hipolipemiante. Sin embargo, los efectos adversos potenciales de estas drogas
hacen que su uso deba limitarse a poblaciones específicas con beneficios demostrados, tales como adultos
normolipidémicos con niveles elevados de proteína C-reactiva o, posiblemente, personas de edad avanzada, además
de los pacientes con dislipidemia clínica.
ConclusiónEl presente estudio ha demostrado que el tratamiento a corto plazo con fenofibrato mejora la función
vascular endotelial en adultos sanos normolipidémicos de edad mediana y avanzada. Las mejorías observadas en la
DDE se deben, al menos en parte, a la reducción del estrés oxidativo vascular, y coinciden con la reducción
concomitante del LDLc oxidado plasmático, el cual es un marcador del estrés oxidativo sistémico. Asimismo, las
mejorías en la DDE no obtuvieron correlación con los cambios en los lípidos plasmáticos, pero se asociaron con un
incremento en la expresión de la enzima eNOS. Por lo tanto, el fenofibrato tiene efectos pleiotrópicos más allá de su
actividad sobre los lípidos. Estos efectos mejorarían la función vascular endotelial aun en personas normolipidémicas.
En definitiva, el fenofibrato y otras estrategias asociadas con la vía del PPAR-alfa podrían tener resultados promisorios
en el tratamiento de la disfunción vascular relacionada con la edad y en la prevención de la enfermedad
cardiovascular.
DETERMINAN EL PAPEL DE LOS ACIDOS GRASOS OMEGA-3 EN LA
                                                                                               ReSIIC editado en:
PREVENCION DE EVENTOS CARDIOVASCULARES MAYORES

                                                                                                 Cardiología
Ioannina, Grecia
                                                                                                 Epidemiología

En general, el aporte de ácidos grasos omega-3 no reduce el riesgo de mortalidad                Atención Primaria
general, mortalidad cardíaca, muerte súbita, infarto de miocardio o accidente                   Bioquímica
cerebrovascular, en el contexto de la prevención cardiovascular primaria o                      Diagnóstico por
secundaria.                                                                                    Laboratorio
                                                                                                Educación Médica
JAMA308(9):1024-1033 Sep, 2012                                                                  Endocrinología y
                                                                                               Metabolismo
                                                                                                Farmacología
Autores:                                                                                        Geriatría
Ntzani EE, Elisaf MS, Rizos EC                                                                  Medicina Familiar
                                                                                                Medicina Interna
Institución/es participante/s en la investigación:                                              Neurología
University Hospital of Ioannina                                                                 Nutrición
                                                                                                Salud Pública

Título original:
Association between Omega-3 Fatty Acid Supplementation and Risk of Major
Cardiovascular Disease Events: A Systematic Review and Meta-Analysis


Título en castellano:
Asociación entre los Suplementos de Acidos Grasos Omega-3 y el Riesgo de Eventos
Cardiovasculares Mayores: Revisión Sistemática y Metanálisis


Extensión del Resumen-SIIC en castellano:
2.84 páginas impresas en papel A4




Introducción
Diversos estudios clínicos aleatorizados han sugerido que el tratamiento con ácidos grasos (AG) poliinsaturados
omega-3 (PUFA, por sus siglas en inglés) reduce el riesgo de eventos cardiovasculares mayores. Por el contrario,
otras investigaciones no refirieron los mismos beneficios. La disminución de los niveles séricos de los triglicéridos, la
prevención de las arritmias graves y la reducción de la presión arterial y de la agregación plaquetaria son algunos de
los mecanismos por los cuales los PUFA podrían modificar favorablemente el riesgo cardiovascular. En la actualidad,
las normativas vigentes recomiendan el consumo de PUFA, en forma de suplementos o con la dieta, en los pacientes
que han sufrido infarto agudo de miocardio (IAM). En cambio, la US Food and Drug Administration solo aprobó su uso
en el contexto de la disminución de los triglicéridos. Algunas organizaciones europeas, por su parte, recomiendan el
consumo de PUFA para mejorar el perfil de riesgo cardiovascular. La heterogeneidad de los resultados de los estudios
y de las pautas establecidas por diversas organizaciones genera gran confusión para el médico, en el ámbito de la
asistencia diaria. Por su parte, las revisiones sistemáticas y los metanálisis de los trabajos clínicos aleatorizados
inducen mayor confusión aún porque refieren hallazgos contradictorios. En la presente síntesis a gran escala, los
autores intentaron esclarecer la asociación entre el consumo de PUFA y el riesgo de eventos cardiovasculares
mayores.

Pacientes y métodos
Se incluyeron todos los trabajos aleatorizados que evaluaron la eficacia de los suplementos con PUFA omega-3; las
variables de evolución analizadas incluyeron la mortalidad global, la mortalidad cardiovascular, la muerte súbita, el
IAM y el accidente cerebrovascular. Los AG omega-3 pudieron administrarse en forma de suplementos o mediante
dietas especiales. Los estudios debían incluir un grupo placebo o control con otra dieta y debían haberse realizado en
el contexto de la prevención cardiovascular primaria o secundaria. Se excluyeron los trabajos de menos de un mes de
duración. Los artículos correspondientes se identificaron a partir de una búsqueda en PubMed, EMBASE y el Cochrane
Central Register of Controlled Trials hasta 2012. Se obtuvo información sobre el año de publicación, el tamaño de las
muestras, las características de los enfermos, la indicación del tratamiento, la dosis y forma de administración de los
AG omega-3, la duración del estudio y la evolución. La calidad metodológica y el riesgo de sesgo se valoraron con el
sistema de la Cochrane Collaboration. Se analizaron por separado los estudios en los cuales los AG omega-3 se
administraron en forma de suplementos y aquellos en los cuales los AG omega-3 se incorporaron con dietas
especiales. Cada variable mayor de evolución también se analizó en forma individual. Se efectuaron análisis por
subgrupos en función de los antecedentes cardiovasculares de los enfermos (prevención primaria o secundaria) y
según tuvieran implantados desfibriladores-cardioversores (DC). En los análisis de metarregresión, se consideró la
dosis de AG omega-3.
El criterio principal de valoración fue el riesgo relativo (RR) y la reducción absoluta del riesgo (RAR) de eventos
cardiovasculares. La heterogeneidad estadística se valoró con la prueba Q y la I2 (0% a 100%). Las variables de
análisis se estimaron con modelos de efectos aleatorios o fijos (según la magnitud de la heterogeneidad entre los
estudios).
El sesgo de publicación se determinó con gráficos en embudo y pruebas de Begg-Mazumbar. Se realizó metanálisis
acumulado para determinar la evolución de los efectos observados, en el transcurso del tiempo.

Resultados
Los análisis se realizaron en un total de 20 estudios, con 68 680 enfermos evaluados; se registraron 7 044 decesos, 3
993 fallecimientos por causa cardiovascular, 1 150 muertes súbitas, 1 837 IAM y 1 490 ACV. Los primeros estudios se
publicaron en 1989 y la mitad de los trabajos se llevó a cabo luego de que se recomendara el uso rutinario de
estatinas para mejorar el perfil de riesgo cardiovascular (a partir de 1998). El estudio más amplio fue realizado en
Japón, en 18 645 pacientes. En 18 estudios, los AG omega-3 se administraron en forma de suplementos; la dosis
promedio fue de 1.51 g por día (0.77 g/día de ácido eicosapentaenoico [EPA] y 0.60 g/día de ácido docosahexaenoico
[DHA]), en tanto que, en 10 trabajos, se utilizó una dosis de 1 g o más por día. La mediana de la duración de la
terapia fue de 2 años, con un máximo de 6.2 años. Por lo general, los PUFA se indicaron en el contexto de la
prevención cardiovascular secundaria. La mortalidad global, la mortalidad cardiovascular y el IAM fueron los
parámetros evolutivos considerados con mayor frecuencia. La mayoría de los estudios fue de alta calidad
metodológica; 16 de ellos tuvieron un diseño a doble ciego.
Los datos en conjunto sugieren que existe una importante brecha en el conocimiento acerca de la administración de
PUFA omega-3 en el contexto de la dieta. Este abordaje se aplicó en 2 estudios con 5 147 enfermos; se produjeron
749 fallecimientos, 513 decesos de origen cardíaco, 120 muertes súbitas y 82 IAM no fatales. Los dos trabajos
presentaron asociaciones, en direcciones opuestas, para la mortalidad global y cardíaca, un fenómeno que no pudo
atribuirse a las características de los ensayos, ya que ambos fueron de diseño abierto y realizados por el mismo grupo
de investigadores en participantes de origen europeo. Además, en los dos estudios se utilizaron PUFA en dosis
superiores a 1 g en el contexto de la prevención cardiovascular secundaria.
En la evaluación de los efectos de los suplementos con PUFA sobre la mortalidad global, se incluyeron 17 estudios que
refirieron 6 295 eventos en 63 279 participantes. En general, la administración de AG omega-3 no se asoció con
reducciones significativas de la mortalidad global (RR de 0.96; IC 95%: 0.91 a 1.02; p = 0.17; I2 = 12%; RAR: -
0.004; IC 95%: -0.01 a 0.02; p = 0.19; I2 = 38%).
En el metanálisis acumulado de la mortalidad global, el efecto propuesto para los PUFA desapareció a partir de 2007.
Los resultados se mantuvieron sin cambios posteriormente. No se encontraron interacciones entre el efecto de los
PUFA, el diseño del estudio, la dosis, el tipo de prevención o la presencia de DC. Si bien el gráfico en embudo reveló
cierta asimetría, la prueba de Begg-Mazumbar no fue estadísticamente significativa y los métodos de ajuste y relleno
también sugirieron un riesgo bajo de sesgo de publicación.
En 13 estudios que incluyeron 56 407 pacientes, se registraron 3 480 decesos de causa cardíaca. No se encontraron
asociaciones significativas para los PUFA, después del ajuste para comparaciones múltiples (RR de 0.91; IC 95%: 0.85
a 0.98; p = 0.01; I2 = 6%), aunque sí un efecto no significativo en la reducción absoluta del riesgo (RAR: -0.01; IC
95%: -0.02 a 0.00; p = 0.09; I2 = 78%). Tampoco se encontraron interacciones importantes con los factores
evaluados. Nuevamente, los gráficos en embudo mostraron asimetría, pero las pruebas restantes no sugirieron sesgo
de publicación.
Para la muerte súbita se analizaron 7 estudios con 41 751 pacientes y 1 030 eventos. El aporte de suplementos de
PUFA omega-3 no se asoció en forma sustancial con los índices de muerte súbita (RR de 0.87; IC 95%: 0.75 a 1.01; p
= 0.06; I2 = 8%; RAR: -0.003; IC 95%: -0.012 a 0.006; p = 0.49; I2 = 91%). No se encontró sesgo de publicación.
Trece estudios con 53 875 enfermos y 1 755 IAM permitieron determinar los efectos de los suplementos de PUFA
sobre este parámetro evolutivo. En general, la administración de PUFA omega-3 no se asoció con reducción
significativa del riesgo de IAM (RR de 0.89; IC 95%: 0.76 a 1.04; p = 0.14; I2 = 35%; RAR: -0.002; IC 95%: -0.007
a 0.002; p = 0.23; I2 = 35%). No se encontraron interacciones importantes con los parámetros analizados. Los
gráficos en embudo y las pruebas de Begg-Mazumbar sugirieron sesgo de publicación.
Para el análisis del ACV, se dispuso de 9 estudios que incluyeron 52 589 pacientes y 1 490 eventos (RR de 1.05; IC
95%: 0.93 a 1.18; p = 0.47; I2 = 14%; RAR: 0.001; IC 95%: -0.002 a 0.004; p = 0.46; I2 = 15%). En todos los
estudios, se incluyeron pacientes sin DC, tratados con suplementos de PUFA. No se encontraron indicios de
interacciones importantes entre el efecto de la terapia, el diseño del estudio, el tipo de prevención y la dosis de los AG
omega-3. El riesgo de sesgo de publicación fue bajo.




Discusión
La presente revisión que abarcó todos los estudios disponibles que analizaron los efectos de los PUFA sobre la
evolución cardiovascular no indica que la terapia sea eficaz en los pacientes con mayor riesgo de sufrir eventos
cardiovasculares. La administración de PUFA omega-3 no se asoció en forma significativa con la mortalidad global, la
mortalidad cardíaca, la muerte súbita, el IAM o el ACV, independientemente del método de tratamiento utilizado y el
contexto (prevención primaria o secundaria).
La falta de efectos significativos se mantuvo estable en los trabajos realizados en los últimos 5 años a pesar de que el
número acumulado de enfermos se incrementó en forma sustancial.
Nueve trabajos incluyeron más de 1 000 participantes cada uno. El DART1 fue el primer estudio que evaluó los efectos
de los PUFA en la dieta; en el ensayo se observaron beneficios muy significativos en términos de la evolución
cardiovascular. Los mismos efectos se comprobaron en la investigación abierta a gran escala GISSI (realizada antes
de la introducción de las estatinas, en pacientes predominantemente de sexo masculino, con IAM reciente). No
obstante, los efectos favorables no se confirmaron en al menos 8 trabajos posteriores. Más aún, el DART2, llevado a
cabo por el mismo grupo de investigadores del DART1 no confirmó los beneficios, referidos en el DART1 y en el GISSI.
Por su parte, la investigación abierta japonesa (JELIS), realizada fundamentalmente en mujeres en el ámbito de la
prevención primaria, no reveló efectos favorables en términos de la mortalidad cardíaca o la muerte súbita. Asimismo,
uno de los estudios más recientes (el ORIGIN que abarcó 12 536 pacientes) no encontró que el aporte de AG omega-3
reduzca la mortalidad o el riesgo de eventos cardiovasculares en pacientes de riesgo alto. En el presente estudio, el
posible efecto beneficioso de los PUFA sobre los niveles de los triglicéridos no se confirmó.

Conclusión
La administración de AG omega-3 no se asocia significativamente con la evolución cardiovascular, de forma tal que el
uso de PUFA no parece estar justificado en forma sistemática, en el ámbito de la medicina asistencial. Los metanálisis
futuros con los datos individuales de los enfermos serán de gran ayuda para conocer mejor los efectos de esta forma
de terapia, en términos de la prevención de eventos cardiovasculares.




DESCRIBEN LOS EFECTOS FARMACOLOGICOS DE LOS EXTRACTOS DE
                                                                                             InSIIC editado en:
TRACHYSPERMUM AMMI

                                                                                              Medicina
                                                                                             Farmacéutica
Rajasthan, India                                                                               Toxicología


Trachyspermum ammi es un vegetal empleado en la medicina herbal asiática, con                 Farmacología
diversos efectos farmacológicos, entre los que sobresale su actividad espasmolítica
y su acción antimicrobiana.


  Fuente científica: Pharmacognosy Reviews6(11):56-60 Ene, 2012 aSNC


  Autores: Sodha RS, Rajawat BS, Bairwa R

  Palabras clave: antimicrobiano, ajwain, fruto, semilla, Trachyspermum ammi

  Key Words: Apiaceae, antimicrobial, ajwain, fruit (seed), Trachyspermum ammi




  Institución principal: Jaipur National University

  Correspondencia: RS Sodha, Jaipur National University, Rajasthan India

  Patrocinio: No declarado.

  Conflicto de interés: No declarado.

  Agradecimientos: No declarado.




Trachyspermum ammi es un vegetal cultivado en gran parte de Asia y forma parte de los recursos de medicina herbal
de esa región. Mientras que las raíces presentan propiedades diuréticas, las semillas se han vinculado con otros usos,
entre los que sobresale la utilización de su aceite, denominado ajwain. Este producto incluye timol como principal
principio activo, el cual se relaciona con actividad estimulante, antiespasmódica y carminativa, por lo cual se lo ha
empleado en la práctica para la terapia de la diarrea, la dispepsia atónica y el meteorismo.
En la evaluación fitoquímica, se ha informado que las semillas de Trachyspermum ammi incluyen fibras, hidratos de
carbono, taninos, glucósidos, proteínas, saponinas, ácido nicotínico, flavonas y componentes minerales (calcio,
fósforo, hierro). La proporción de aceites esenciales en los frutos se estima en 2% a 4%, con predominio de timol; la
fracción exenta de timol comprende paracimeno, gamma-terpentina, dipentenos y alfa-terpinenos, entre otros.

En términos de sus efectos clínicos, se ha observado en modelos in vitro que la administración de extractos de
Trachyspermum ammi se vincula con acciones antagonistas sobre los canales de calcio. Esta actividad parece
fundamentar su acción antiespasmódica en procesos que desencadenan diarrea y cólicos, así como en relación con el
tratamiento de la hipertensión. En otro orden, Trachyspermum ammi se ha vinculado en modelos con roedores con
efectos hepatoprotectores en el contexto de la intoxicación experimental con dosis letales de paracetamol. Del mismo
modo, se ha señalado que este producto herbal sería útil para la degradación de la aflatoxina G1.

Se destaca que los derivados de Trachyspermum ammi se han correlacionado con actividad antiinflamatoria en
estudios con animales de laboratorio. Asimismo, el efecto antimicrobiano y parasiticida de estos productos ha
motivado la investigación de su potencial aplicación para la protección de alimentos y para la terapia en seres
humanos. El timol se caracteriza por su actividad lítica sobre microorganismos resistentes a antibióticos de última
generación; por otra parte, se ha comprobado el efecto antifúngico de Trachyspermum ammi sobre al menos 10
especies de hongos.

Se advierte que Trachyspermum ammi es uno de los productos vegetales empleados en la medicina herbal india que
han sido vinculado con efectos abortivos. Asimismo, se señala su potencial actividad teratogénica, en función de los
resultados observados en ensayos con roedores. En coincidencia, se postula que los extractos de Trachyspermum
ammi presentan efectos inductores de la secreción mamaria, en virtud de su elevado contenido de fitoestrógenos y de
su actividad para el incremento de la producción de leche en el ganado en el marco de su utilización tradicional.




INCIDENCIA DE LESION DEL NERVIO LINGUAL EN LA EXODONCIA DEL
                                                                                             InSIIC editado en:
TERCER MOLAR

                                                                                               Cirugía
                                                                                               Odontología
Amritsar, India
                                                                                              Neurología
Se describen parestesias en el territorio inervado por el nervio lingual en el 6.6%
de los pacientes sometidos a exéresis del tercer molar. impactado. En forma
independiente de la evaluación clínica y radiológica, se recomienda el
asesoramiento y la información a los enfermo acerca de esta potencial
complicación con el fin de evitar un eventual litigio medicolegal.


  Fuente científica: National Journal of Maxillofacial Surgery2(2):137-140 Jul,
2012 aSNC

  Autores: Lata J, Tiwari AK

  Palabras clave: nervio lingual, parestesia, tercer molar

  Key Words: lingual nerve, paraesthesia, third molar




  Institución principal: Punjab Government Dental College and Hospital

  Correspondencia: J Lata, Department of Oral and Maxillofacial Surgery Punjab Government Dental College and
Hospital, Amritsar India
  Patrocinio: No declarado.

  Conflicto de interés: No declarado.

  Agradecimientos: No declarado.
La exodoncia de un tercer molar impactado suele asociarse con complicaciones como dolor, tumefacción local o
trismus. El procedimiento puede vincularse además con lesión del nervio lingual, con alteraciones sensitivas o pérdida
de la sensibilidad. La incidencia de esta complicación varía en función de la experiencia del odontólogo y la técnica
aplicada, entre otros. Si bien no se ha definido con exactitud, se especula que el mecanismo causal de esta lesión es
la perforación maxilar y el trauma del colgajo lingual durante la remoción ósea o la sección de la pieza dentaria.
En el presente modelo de análisis, se llevó a cabo un estudio prospectivo de la incidencia de lesiones del nervio lingual
como consecuencia de la exéresis del tercer molar con el fin de evaluar los posibles factores relacionados con esta
complicación. Se evaluaron los datos de una cohorte de 90 enfermos asistidos en un hospital con servicio de cirugía
odontológica, que concurrieron con el objetivo de remoción de un tercer molar impactado. En todos los pacientes se
implementó una incisión con técnica convencional de Terence Wards para reducir el riesgo de lesión del nervio lingual.
Asimismo, se optó por efectuar colgajos a partir de tejido de la mucosa yugal con el mismo fin.
Se reconocieron seis casos de lesión del nervio lingual, equivalentes a una incidencia de 6.6%; mientras que uno de
los pacientes no continuó el seguimiento, en otros 4 sujetos se confirmó recuperación dentro de los seis meses del
seguimiento. El enfermo restante persistió con parestesias pese a la terapia propuesta con altas dosis de
cianocobalamina. Aunque el reducido número de individuos impidió la realización de un análisis estadístico completo,
se advirtió que la presencia de parestesias se asociaba en general con las alteraciones angulares del molar impactado,
la inclinación lingual de la pieza dentaria y la duración de la cirugía, entre otras variables. Se advierte que la tasa de
6.6% es superior a la informada en otros ensayos, pero permite validar los datos de modelos previos en los cuales se
manifestó una asociación entre la presencia de parestesias y el diagnóstico de un tercer molar impactado, la remoción
de tejido óseo durante la exéresis y la posición de la pieza dental. De acuerdo con los contenidos de este ensayo, los
autores destacan que, en forma independiente de la evaluación clínica y radiológica, se recomienda el asesoramiento
y la información a los pacientes acerca de esta potencial complicación con el fin de evitar un eventual litigio
medicolegal.




ANALIZAN LAS CARACTERISTICAS CLINICAS DE LA NEURITIS VESTIBULAR
                                                                                               ReSIIC editado en:
INFERIOR

                                                                                                 Otorrinolaringología
Tokio, Japón

                                                                                                 Neurología
La neuritis vestibular inferior tiene una baja incidencia entre las neuritis                     Medicina Interna
vestibulares, pero presenta algunas características clínicas particulares que la                 Geriatría
diferencian de la neuritis vestibular superior. El uso combinado de la prueba calórica           Medicina Familiar
y de los potenciales evocados miogénicos vestibulares cervicales facilita su
diagnóstico.


Acta Oto-Laryngologica132(12):1288-1294 Dic, 2012


Autores:
Chihara Y, Iwasaki S


Institución/es participante/s en la investigación:
University of Tokyo


Título original:
Clinical Characteristics of Inferior Vestibular Neuritis


Título en castellano:
Características Clínicas de la Neuritis Vestibular Inferior


Extensión del Resumen-SIIC en castellano:
2.61 páginas impresas en papel A4




Introducción
La neuritis vestibular es una enfermedad del sistema vestibular periférico unilateral, y constituye la tercera causa más
común de vértigo vestibular periférico. Esta entidad se caracteriza por un episodio de vértigo de comienzo súbito
debido a la pérdida unilateral de la función vestibular, pero sin signos neurológicos ni pérdida auditiva.
Por décadas, la ausencia de respuesta a la prueba calórica, o una respuesta considerablemente reducida, ha sido
considerada como factor esencial para el diagnóstico de la neuritis vestibular. Sin embargo, la prueba calórica refleja
la función del canal semicircular lateral y del nervio vestibular superior, pero no evalúa la función de otros
componentes del sistema vestibular, tales como los órganos otolíticos, los canales semicirculares superior y posterior
o el nervio vestibular inferior.
Recientemente, se han comenzado a utilizar potenciales evocados miogénicos vestibulares cervicales (cVEMP, por sus
siglas en inglés) para evaluar la función del sáculo y del nervio vestibular inferior. Estos potenciales evocados
registran la respuesta a sonidos conducidos por el aire mediante electrodos colocados en la superficie del músculo
esternocleidomastoideo. El uso combinado de los cVEMP y de la prueba calórica permite examinar la función de los
nervios vestibulares superior e inferior en forma separada.
La neuritis vestibular inferior (NVI) se presenta con un comienzo súbito de vértigo o mareos y nistagmo espontáneo,
en ausencia de hallazgos auditivos o neurológicos, y con cVEMP reducidos o ausentes de un lado pero respuesta
normal a la prueba calórica de ambos lados. No obstante, las características clínicas de la NVI aún no han sido
descritas en detalle en la literatura.
En este contexto, se llevó a cabo una revisión retrospectiva de las características clínicas de pacientes con NVI y se
las comparó con las características de la neuritis vestibular superior (NVS) y con las de la neuritis vestibular total
(NVT) (superior e inferior).

Materiales y métodos
Se llevó a cabo una revisión retrospectiva de 1 777 pacientes consecutivos, de los cuales 104 obtuvieron el
diagnóstico de neuritis vestibular. De éstos, un total de 71 pacientes fueron incluidos en el estudio debido a que
contaban con documentación completa sobre el caso. Los siguientes fueron considerados criterios de inclusión:
episodio de vértigo o mareos con una duración de al menos varias horas, función del canal semicircular lateral
gravemente alterada (paresia del canal > 50% del lado afectado en la prueba calórica) o función sacular alterada
(cociente de asimetría > 34.1% del lado afectado en el cVEMP), y ausencia de signos cocleares u otros signos
neurológicos.
De acuerdo con los resultados de la prueba calórica y del cVEMP, los pacientes fueron divididos en tres grupos: un
grupo con NVI, cuyos miembros presentaban respuestas asimétricas en el cVEMP pero simétricas en la prueba
calórica; un grupo con NVS, cuyos integrantes presentaban respuestas asimétricas en la prueba calórica pero
simétricas en el cVEMP, y un grupo con NVT, integrado por pacientes que obtuvieron respuestas asimétricas tanto en
la prueba calórica como en el cVEMP.
Por otra parte, se registraron distintas características clínicas de cada participante, las cuales fueron comparadas
entre los tres grupos. Dichas características son las siguientes: edad al comienzo de los síntomas, sexo, lado de la
lesión (izquierdo o derecho), síntoma principal (vértigo o mareos), duración del ataque, duración de la hospitalización
y tiempo transcurrido hasta la remisión del cuadro clínico. La duración del ataque fue definida como el período que va
desde el comienzo de los síntomas hasta que el paciente es capaz de caminar nuevamente en forma independiente.
Asimismo, el tiempo transcurrido hasta la remisión fue definido como el período que va desde el comienzo de los
síntomas hasta el momento en que el paciente puede retomar sus tareas habituales. Por último, se investigó la
presencia de secuelas del episodio en cada caso.

Resultados
De un total de 71 pacientes, 13 (18%) tenían NVI, 34 (48%) tenían una NVS, y 24 (34%) presentaban NVT. La edad
promedio de los pacientes con NVI resultó ser significativamente inferior que la de aquellos con NVT (44.2 ± 4.8 años
versus 57.3 ± 2.5 años, respectivamente). En cambio, no se hallaron diferencias significativas con respecto al sexo, el
lado de la lesión o los principales síntomas en los distintos grupos.
En términos generales, el tiempo que duraron los síntomas en los pacientes con NVI fue más corto que en los otros
grupos. El análisis estadístico reveló que el período que va desde el comienzo de los síntomas hasta la remisión fue
significativamente más corto en los pacientes con NVI que en aquellos con NVT (0.9 ± 0.5 meses versus 4.9 ± 4.7
meses, respectivamente), mientras que no hubo diferencias significativas en cuanto a la duración del episodio o la
duración de la hospitalización entre los tres grupos.
Cuatro de los 34 pacientes con NVS y siete de los 24 pacientes con NVT presentaron vértigo posicional paroxístico
benigno (VPPB) durante el período de seguimiento; en cambio, ninguno de los participantes con diagnóstico de NVI
padeció esta secuela. Todos los episodios de VPPB observados en los pacientes con NVS y con NVT se presentaron en
el mismo oído que la neuritis vestibular y, en la mayoría de los casos, el canal posterior era el afectado.

Discusión
En primer lugar, los autores destacan que el presente trabajo es el primero en revelar las características clínicas de la
NVI en relación con las de la NVS y la NVT. Los resultados muestran que la población de pacientes con NVI representa
sólo el 18% del total. Un estudio previo había informado que los casos de NVI representaban el 3.7% del total de
casos de neuritis vestibular analizados. El hecho de tener una baja incidencia entre los casos de neuritis vestibular
podría ser una de las razones por las cuales hasta el momento la NVI no ha sido investigada en detalle.

En cuanto a la etiología de la neuritis vestibular, estudios previos han postulado una causa viral, y se ha demostrado
que la división superior del nervio vestibular es la que se ve afectada con mayor frecuencia. La distinta prevalencia en
el compromiso del nervio vestibular superior e inferior podría tener que ver con determinadas características
anatómicas: se ha postulado que el canal óseo del nervio vestibular superior tiene una mayor longitud y presenta más
espículas que el del nervio vestibular inferior, por lo que el primero sería más susceptible a los problemas de
conducción en la inflamación.
En el presente estudio, los pacientes con NVI eran significativamente más jóvenes que aquellos con NVT, dato que
coincide con lo informado previamente. Por otra parte, no se hallaron diferencias significativas en otras características
clínicas entre los tres grupos analizados, hallazgo que sugiere que es difícil diferenciar la NVI de la NVS o de la NVT a
partir del perfil clínico o la sintomatología. Por lo tanto, la combinación de la prueba calórica con el cVEMP cobra un
papel verdaderamente importante para arribar al diagnóstico correcto en este tipo de pacientes.
Por otra parte, el tiempo hasta la remisión fue significativamente más corto para el grupo con NVI que para el grupo
con NVT, pero no se hallaron diferencias en la duración del ataque ni en la duración de la hospitalización entre los tres
grupos. La remisión temprana para el caso de la NVI podría estar indicando que el sistema del nervio vestibular
inferior tiene una menor influencia sobre el equilibrio postural y sobre la estabilidad de la mirada, o el hecho podría
tener que ver con una mejor capacidad de recuperación por parte del sistema del nervio vestibular inferior en
comparación con el superior. Estudios previos han demostrado que la capacidad de recuperación funcional del sistema
del nervio vestibular superior es más lenta y menos frecuente que la del inferior. Estos resultados deben ser tomados
en cuenta al planificar las posibles estrategias terapéuticas para la NVI. Se ha demostrado que el tratamiento con
metilprednisolona mejora notablemente la recuperación de la función vestibular periférica en pacientes con neuritis
vestibular tradicional. Por lo tanto, será necesario investigar si este mismo tratamiento puede ser aplicable en
pacientes con NVI.
Asimismo, se ha informado que entre el 9.8% y el 15% de los pacientes con neuritis vestibular presentan VPPB como
secuela. En el presente estudio se ha observado una incidencia similar (19.0%). No obstante, ninguno de los
pacientes con NVI tuvo VPPB durante el seguimiento, lo cual puede tener que ver con el lugar en que se produce la
lesión y las estructuras implicadas en la génesis de dicha secuela.
Por último, los autores mencionan que la combinación de la prueba calórica y de los cVEMP con otro tipo de exámenes
(como la prueba del impulso cefálico o los potenciales evocados miogénicos vestibulares oculares) podría brindar un
abordaje diagnóstico más rápido a fin de distinguir a la NVI de la NVS y de la NVT. De todos modos, aún se requieren
más estudios con muestras más amplias de pacientes con NVI para dilucidar esta cuestión.

Conclusión
Tanto los cVEMP como la prueba calórica juegan un papel importante en el diagnóstico de pacientes con síntomas
compatibles con neuritis vestibular. Si bien la NVI es un subtipo menor dentro de las neuritis vestibulares, se debe
tener presente que algunos aspectos de sus características clínicas difieren con respecto a las características de la
NVS y de la NVT.




CONFIRMAN LA EFICACIA ANATOMICA Y FUNCIONAL A LARGO PLAZO DE
                                                                                              InSIIC editado en:
LA EPIQUERATOPLASTIA EN PACIENTES CON QUERATOCONO

                                                                                                Oftalmología
                                                                                                Trasplantes
New Delhi, India


En sujetos con queratocono que no toleran el uso de lentes de contacto y que no
presentan cicatrices apicales, la epiqueratoplastia constituye un abordaje
beneficioso en términos anatómicos y funcionales, en forma independiente de la
magnitud del astigmatismo y del espesor de la córnea.


  Fuente científica: Indian Journal of Ophthalmology (IJO)61(1):18-22 Ene,
2013 aSNC

  Autores: Vajpayee R, Panda A, Gupta AK

  Palabras clave: astigmatismo, epiqueratoplastia, queratocono

  Key Words: astigmatism, epikeratoplasty, keratoconus
Institución principal: Cornea and OSD Services

  Correspondencia: A Panda, Cornea and OSD Services, New Delhi India

  Patrocinio: No declarado.

  Conflicto de interés: No declarado.

  Agradecimientos: No declarado.




La curvatura anormal de la córnea desencadena astigmatismo irregular de difícil tratamiento. En los pacientes con
queratocono, la corrección con gafas es en general suficiente en la etapa inicial. Las formas leves a moderadas
pueden tratarse con lentes de contacto o anillos intracórneos, pero los casos más graves requieren el abordaje
mediante queratoplastia. En este sentido, la epiqueratoplastia constituye el tratamiento quirúrgico menos invasivo.

En este estudio, se presentan los resultados de un análisis de los datos de 59 procedimientos quirúrgicos de sujetos
con una agudeza visual corregida inferior a 20 puntos de 200 posibles, astigmatismo superior a 12 dioptrías y sin
tolerabilidad a los lentes de contacto. En todos los casos se evaluó a los pacientes mediante examen físico,
biomicroscopia con lámpara de hendidura, queratometría, tonometría por aplanamiento y ecografía ocular. De igual
modo, se llevó a cabo una evaluación electrofisiológica para descartar asociación con retinitis pigmentaria, así como
una prueba de Schimer con el objetivo de identificar anomalías en la superficie de la córnea.

Se realizaron los procedimientos de epiqueratoplastia con córneas de donantes preservadas o en fresco, con remoción
de una capa localizada de epitelio de la córnea del receptor por medios mecánicos. Tras la eliminación con solución
salina de los restantes locales, se implantó el tejido del donante con sutura al lecho quirúrgico subyacente. Se indicó
lubricación posquirúrgica con colirios de uso frecuente y administración de ciclopléjicos en caso necesario.
La media de edad de la cohorte de estudio era de 27.86 ± 5.6 años. Sólo 26 de los 59 pacientes permanecía bajo
seguimiento después de 10 años. De acuerdo con los investigadores, la agudeza visual corregida a los 3 meses de la
cirugía alcanzó niveles superiores a los 20 puntos sobre 60 posibles en el 84.7% de los enfermos. Este porcentaje se
estimó en 84.4% y 80.3% después de 1 y 5 años, en ese orden. En aquellos participantes que continuaban en
seguimiento a los 10 años, la proporción de agudeza visual corregida mayor a 20/60 puntos era de 73%, como
consecuencia de la formación de cataratas subcapsulares de localización posterior. Sin embargo, la media del nivel de
astigmatismo estimado mediante queratometría, así como el promedio del aplanamiento de la córnea, alcanzaron
valores estables a los 3 meses del procedimiento y se mantuvieron constantes durante el período de seguimiento.
La epiqueratoplastia se aplicó inicialmente como una técnica quirúrgica para la corrección de la afaquia, si bien sus
indicaciones se expandieron luego para la terapia de la miopía y del queratocono. Esta estrategia se considera más
sencilla que otros procedimientos superficiales y no se vincula con el riesgo de complicaciones que podrían
desencadenar ceguera. En función de los resultados verificados en esta casuística, los autores aseguran que, en
sujetos con queratocono que no toleran el uso de lentes de contacto y que no presentan cicatrices apicales, la
epiqueratoplastia constituye un abordaje beneficioso en términos anatómicos y funcionales, en forma independiente
de la magnitud del astigmatismo y del espesor de la córnea.




BENEFICIOS DE LA PREGABALINA EN PACIENTES CON DEPENDENCIA DE
                                                                                             ReSIIC editado en:
ALCOHOL

Roma, Italia


La pregabalina es un análogo estructural de ácido gamma aminobutírico, aunque no
posee un mecanismo de acción gabaérgico. Su empleo puede resultar útil en
pacientes con dependencia de alcohol, posiblemente debido a que disminuye la
hiperexcitabilidad neuronal.


Advances in TherapyEpub: Nov, 2012


Autores:
Clerici M, Janiri L, Guglielmo R, Martinotti G


Institución/es participante/s en la investigación:
Catholic University Medical School
Título original:
Pregabalin for Alcohol Dependence: A Critical Review of the Literature


Título en castellano:
Empleo de Pregabalina en Pacientes con Dependencia de Alcohol: Una Revisión
Crítica de la Información Disponible


Extensión del Resumen-SIIC en castellano:
3.34 páginas impresas en papel A4




Introducción y objetivos
El alcoholismo crónico genera cambios adaptativos en diferentes sistemas de neurotransmisión. Por ejemplo, existe
una asociación entre el consumo crónico de alcohol, la disminución de la neurotransmisión gabaérgica y el aumento de
la neurotransmisión glutamatérgica. Por este motivo, ante la suspensión abrupta del consumo de alcohol, el sistema
nervioso central se encuentra en un estado de hiperexcitabilidad.
En la actualidad, el tratamiento de los pacientes con dependencia de alcohol consiste en la administración de fármacos
con diversos mecanismos de acción, como el antagonista de los receptores glutamatérgicos N-metil-D-aspartato
(NMDA), acamprosato, el antagonista opioide, naltrexona y el antagonista de la enzima acetaldehído deshidrogenada,
disulfiram. Las benzodiazepinas son las sustancias de elección en pacientes con síndrome de abstinencia de alcohol,
pero su empleo acarrea un riesgo de tolerancia y dependencia.
Una de las cuestiones más importantes y difíciles de lograr a la hora de tratar a los pacientes con dependencia de
alcohol es la prevención de recaídas. Entre las causas más frecuentes de aparición de recaídas, se destacan el deseo y
la compulsión por consumir alcohol, lo cual generó la búsqueda de agentes que disminuyeran dicho deseo y
modularan la conducta. En este contexto, los agentes antiepilépticos son de especial interés. De hecho, el tratamiento
con topiramato, carbamazepina, oxcarbazepina, gabapentina o valproato se asoció con la prevención de recaídas y la
disminución del consumo de alcohol.
La pregabalina es un fármaco antiepiléptico análogo estructural del ácido gamma aminobutírico (GABA). Es empleada
para el tratamiento de los pacientes con epilepsia, la neuropatía diabética, la neuralgia posherpética, la fibromialgia, el
trastorno de ansiedad generalizada y el trastorno de ansiedad social. La sustancia también podría ser de utilidad en
pacientes con trastorno por consumo de alcohol.
El presente estudio se llevó a cabo con el objetivo de evaluar el papel de la pregabalina para el tratamiento de los
pacientes con alcoholismo.

Métodos
Se efectuó una búsqueda de estudios mediante el empleo de la base de datos PubMed, que resultó en la selección de
cinco ensayos sobre el empleo de pregabalina en pacientes alcohólicos que presentaban recaídas o abstinencia.
Además, se sumaron artículos de interés sobre las características de la pregabalina.

Resultados
La pregabalina es un análogo estructural del GABA, aunque no comparte un mecanismo de acción con dicho
neurotransmisor. En cambio, actúa como modulador presináptico de la liberación excesiva de neurotransmisores
excitatorios en las neuronas hiperexcitadas. El mecanismo de acción de la pregabalina consiste en la unión a la
subunidad a2d de los canales de calcio dependientes de voltaje ubicados en la membrana plasmática. Esto resulta en
la disminución del influjo de calcio y de la exocitosis de las vesículas sinápticas.
La pregabalina tiene un perfil farmacocinético predecible que favorece su utilización. Luego de su administración por
vía oral, se absorbe en forma rápida y presenta una biodisponibilidad del 90%. El máximo de concentración
plasmática tiene lugar a las 0.7 a 1.3 horas de su administración. La sustancia no se une a las proteínas plasmáticas y
posee una vida media de eliminación de 6 horas. Su eliminación tiene lugar por vía renal y no inhibe ni induce a las
isoenzimas del sistema enzimático citocromo P450. Por lo tanto, el potencial de interacciones farmacológicas de la
pregabalina es bajo. En general, la pregabalina es bien tolerada. Sus efectos adversos más frecuentes son los mareos
y la somnolencia. Ambos cuadros son reversibles y dependientes de la dosis.
La eficacia de la pregabalina para prevenir las recaídas en pacientes alcohólicos se evaluó en dos estudios. Martinotti y
colaboradores llevaron a cabo, en 2008, un estudio abierto de 16 semanas de duración sobre la eficacia de la
pregabalina para disminuir la dependencia y favorecer la abstinencia de alcohol. Se incluyeron 31 pacientes con
dependencia de alcohol. El primer período fue de desintoxicación y tuvo una duración de 5 a 10 días. Durante este, los
pacientes recibieron tratamiento con benzodiazepinas. Luego, se administró pregabalina en dosis finales de 150 a 450
mg/día. Además, se ofreció asesoramiento psicológico y la participación en un grupo de autoayuda. El estudio fue
completado por 15 pacientes, 5 de los cuales recayeron. El deseo de consumo fue evaluado mediante la Obsessive
Compulsive Drinking Scale (OCDS) y la Visual Analog Scale for Craving (VAS), en tanto que los síntomas de
abstinencia fueron evaluados mediante la Clinical Institute Withdrawal Assessment of Alcohol Scale, Revised (CIWA-
Ar), cuyo puntaje disminuyó significativamente. También, se observó una disminución significativa del puntaje de las
escalas Symptom Checklist-90-R (SCL-90-R), General Severity Index (GSI) y Positive Symptom Total. El tratamiento
se asoció con una mejoría de los niveles de gamma glutamil transpeptidasa (GGT), aspartato aminotransferasa (AST),
alanina aminotransferasa (ALT) y colesterol y del volumen corpuscular medio (VCM). El único efecto adverso asociado
con el uso de la pregabalina fue la confusión. La interrupción del tratamiento no generó síntomas de suspensión.
Martinotti y colaboradores realizaron un estudio multicéntrico, aleatorizado y a doble ciego de 16 semanas de
duración, en el cual se comparó el tratamiento con pregabalina o naltrexona en 102 pacientes con dependencia de
alcohol de 14.8 ± 6.7 años de evolución. La detoxificación tuvo lugar mediante el empleo de benzodiazepinas. Un total
de 59 pacientes que completaron dicho período fueron distribuidos en forma aleatoria para recibir naltrexona 50
mg/día o pregabalina 150 a 450 mg/día. Además, se ofreció a todos los pacientes la participación en un grupo de
autoayuda conducido por asesores y psicólogos. El estudio fue completado por 48 pacientes, de los cuales 21
recibieron naltrexona y 27 recibieron pregabalina. Ambos grupos presentaron una disminución significativa del deseo
de consumo de alcohol de acuerdo con el resultado de las escalas VAS y OCDS. Los síntomas de abstinencia
disminuyeron significativamente en ambos grupos, aunque la administración de pregabalina resultó significativamente
superior en este sentido en comparación con la administración de naltrexona. El puntaje de la SCL-90-R
correspondiente a los síntomas positivos disminuyó de manera significativa en ambos grupos. En cambio, la
disminución significativa del puntaje de las subescalas de ansiedad fóbica, hostilidad y psicoticismo solo tuvo lugar
ante la administración de pregabalina. Asimismo, solo la pregabalina se asoció con una mejoría significativa de la
calidad de vida. Los grupos no difirieron significativamente en cuanto a la abstinencia de alcohol durante el estudio,
aunque el análisis llevado a cabo permitió apreciar que los pacientes tratados con pregabalina permanecieron en
abstinencia durante un período más prolongado que los pacientes tratados con naltrexona. Además, la proporción de
pacientes con diagnósticos duales que permanecieron en abstinencia completa de alcohol hasta el final del estudio fue
significativamente superior ante la administración de pregabalina. Este fármaco generó un índice de interrupción
asociado con los eventos adversos del tratamiento significativamente inferior en comparación con la naltrexona. La
suspensión del tratamiento con pregabalina no generó ansiedad de rebote. Ambos tratamientos se asociaron con una
mejoría de los parámetros de función hepática y de los exámenes de sangre.
La eficacia de la pregabalina para lograr la abstinencia de alcohol se evaluó en tres estudios. Martinotti y
colaboradores efectuaron un estudio multicéntrico y aleatorizado de 14 días de duración en 111 pacientes, quienes
recibieron pregabalina 450 mg/día, tiaprida 800 mg/día o lorazepam 10 mg/día. El resultado de la CIWA-Ar disminuyó
significativamente en todos los grupos. No obstante, la disminución correspondiente a los ítems vinculados con las
cefaleas y la orientación fue mayor en el grupo tratado con pregabalina. Todos los grupos presentaron una
disminución significativa y de magnitud similar del deseo de consumo. Los grupos tampoco difirieron en cuanto a la
mejoría de la calidad de vida y a la disminución de los síntomas psiquiátricos, las cuales fueron estadísticamente
significativas. No obstante, la pregabalina generó una disminución superior de los síntomas de sensibilidad
interpersonal, depresión, hostilidad y del puntaje del Global Severity Index. Todos los tratamientos se asociaron con
una disminución significativa del nivel de GGT, AST y ALT. La pregabalina tuvo una eficacia superior en comparación
con la tiaprida. Al considerar determinados parámetros de evaluación, la eficacia de la pregabalina también fue
superior frente al lorazepam.
Di Nicola y colaboradores realizaron un estudio abierto y prospectivo de 14 días de duración. El objetivo fue evaluar la
eficacia y seguridad de la pregabalina en 40 pacientes con dependencia de alcohol que estaban en abstinencia como
parte del tratamiento ambulatorio de detoxificación. La dosis final de pregabalina fue de 200 a 450 mg/día. La
sustancia se administró durante los primeros 7 días de estudio, para luego interrumpirse en forma paulatina durante
los 7 días restantes. Dicho tratamiento se complementó con la asistencia a grupos de autoayuda. El tratamiento con
pregabalina se asoció con una disminución significativa de los síntomas de abstinencia y del deseo de consumir
alcohol. Igualmente, se observó una mejoría significativa de la calidad de vida y un efecto favorable sobre los
síntomas psiquiátricos comórbidos. También se encontró una disminución significativa del nivel de GGT, AST y ALT y
no se observaron eventos adversos.
Förg y colaboradores realizaron un estudio aleatorizado, a doble ciego y controlado con placebo de 6 días de duración
en pacientes internados con dependencia de alcohol. La pregabalina se administró en dosis decrecientes de 300 mg,
200 mg y 100 mg. La disminución de la dosis tuvo lugar cada dos días. Tanto el agente como el placebo permitieron
disminuir significativamente el uso de diazepam, sin diferencias entre ambos grupos al respecto. Los eventos adversos
observados con mayor frecuencia entre los pacientes tratados con pregabalina fueron la hipokalemia, la diarrea y la
epigastralgia. No obstante, dichos cuadros no fueron graves.

Discusión
La pregabalina resultó beneficiosa para prevenir las recaídas en pacientes con dependencia de alcohol. Según los
resultados obtenidos, el tratamiento con 150 a 450 mg/día de pregabalina podría ser eficaz y seguro para el
tratamiento a largo plazo de los pacientes con alcoholismo moderado a grave. La sustancia resultó igualmente eficaz
que la naltrexona, agente aprobado para el tratamiento de los pacientes con dependencia de alcohol. Más aún, la
pregabalina brindó ciertas ventajas como un alivio más temprano de los síntomas de abstinencia, una disminución
significativa de la ansiedad fóbica, la hostilidad y el psicoticismo y una mejoría significativa de la calidad de vida en
comparación con la naltrexona, entre otras ventajas. En coincidencia, en estudios anteriores se informó que la
pregabalina es un fármaco eficaz para tratar a los pacientes con alcoholismo en comorbilidad con otros trastornos
psiquiátricos. Una ventaja de la pregabalina es que no se metaboliza en el hígado, lo cual la convierte en una
sustancia adecuada para el tratamiento de los pacientes alcohólicos con hepatopatías.
No pudo demostrarse la eficacia de la pregabalina para el tratamiento de los pacientes que presentan un síndrome de
abstinencia de alcohol. Los estudios disponibles al respecto no arrojaron resultados claros. Los resultados de los
estudios abiertos fueron positivos, en tanto que el único estudio a doble ciego y controlado con placebo disponible no
permitió encontrar diferencias a favor de la pregabalina. Por lo tanto, la interpretación de los resultados debe ser
cautelosa. Dichos estudios incluyeron diseños y poblaciones de características diferentes que deben considerarse a la
hora de evaluar los resultados.
Como ya se mencionó, el alcoholismo es un trastorno que afecta el funcionamiento de diferentes sistemas de
neurotransmisión. Esto incluye la disminución de la neurotransmisión inhibitoria gabaérgica y el aumento de la
neurotransmisión excitatoria glutamatérgica. En consecuencia, la suspensión abrupta del consumo de alcohol resulta
en hiperexcitabilidad del sistema nervioso central. Hasta el momento, no se conoce con exactitud el mecanismo de
acción de la pregabalina en pacientes con alcoholismo. Se propuso que la sustancia disminuye la liberación de
neurotransmisores excitatorios y la frecuencia de la actividad theta en el hipocampo inducida por la estimulación. Este
último efecto disminuiría el nivel de ansiedad. La administración aguda de pregabalina a individuos sanos se asoció
con una disminución de la activación de la amígdala izquierda y de la ínsula anterior durante la anticipación ante
imágenes positivas y negativas. Además, el fármaco estimuló la neurogénesis en el hipocampo de roedores, lo cual se
asociaría con la prevención de conductas de tipo depresivo. Lo antedicho resulta importante si se considera la
asociación frecuente entre el alcoholismo y los trastornos depresivos y de ansiedad.

Conclusión
La administración de pregabalina a pacientes con dependencia de alcohol no se asoció con la aparición de efectos
adversos graves. Los cuadros más frecuentes ante su administración fueron la confusión, la hipokalemia, la diarrea y
la epigastralgia. De hecho, el agente mejoró los indicadores de función hepática y los parámetros hematológicos.
Debe considerarse que la pregabalina tiene potencial de abuso en pacientes con antecedentes de dependencia de
alcohol u otras sustancias, aunque dicho hallazgo no tuvo lugar en ninguno de los estudios considerados en la
presente revisión. Por lo tanto, el empleo de pregabalina debería tenerse en cuenta para el tratamiento de la
población de pacientes con dependencia de alcohol.




OBSERVAN BENEFICIOS CON EL TRATAMIENTO CON CELULAS MADRE EN
                                                                                             ReSIIC editado en:
PACIENTES CON PIE DIABETICO ASOCIADO CON ISQUEMIA GRAVE

                                                                                               Diabetología
Bochum, Alemania
                                                                                               Nutrición

La terapia con células madre parece mejorar la microcirculación, al menos en forma             Cardiología
transitoria, y la capacidad de cicatrización en pacientes con pie diabético sin                Cirugía
posibilidad de recibir tratamiento de revascularización.                                       Medicina Farmacéutica


International Journal of Clinical Practice66(4):384-393 Abr, 2012


Autores:
Kirana S, Stratmann B, Tschoepe D


Institución/es participante/s en la investigación:
University of Bochum


Título original:
Autologous Stem Cell Therapy in the Treatment of Limb Ischaemia Induced Chronic
Tissue Ulcers of Diabetic Foot Patients


Título en castellano:
Terapia Autóloga con Células Madre en el Tratamiento de las Lesiones Crónicas
Inducidas por Isquemia en Pacientes con Pie Diabético


Extensión del Resumen-SIIC en castellano:
2.76 páginas impresas en papel A4




La arteriopatía periférica es una de las principales complicaciones macrovascualres de la diabetes; se describe en
alrededor de la mitad de los pacientes con pie diabético y se vincula con amputaciones en los miembros inferiores. El
riesgo de amputación a lo largo de la vida se ha estimado en 10% a 15% en los individuos con diabetes; asimismo, el
pie diabético se asocia con un incremento de la mortalidad del 47% en estos pacientes. Se admite que estos enfermos
suelen consultar en forma tardía y no son tratados en instituciones especializadas, con limitaciones en la posibilidad
de revascularización.
Uno de los mecanismos relevantes vinculados con la cicatrización en la neoformación vascular en la matriz de la
herida quirúrgica, denominada tejido de granulación. Este proceso involucra la participación de angiogénesis,
vasculogénesis o ambas. La angiogénesis terapéutica se ha propuesto como alternativa de tratamiento en aquellos
individuos con arteriopatía periférica en quienes no puede llevarse a cabo la revascularización quirúrgica o la
angioplastia percutánea. Es posible inducir angiogénesis por medio del uso de factores de crecimiento, terapia génica
o aplicación de células madre que incluyen precursores de células endoteliales (PCE) y células mesenquimáticas
derivadas de la médula ósea (CMMO). De todos modos, la terapia con células madre es motivo de controversias y la
mayor parte de los estudios se han efectuado en individuos sin diabetes.
En este contexto, se presentan los resultados de un estudio en el cual se evaluó la aplicación de tratamiento con
células madre en sujetos con pie diabético e isquemia grave de extremidades inferiores.

Pacientes y métodos
Se propuso a 30 pacientes la participación en este protocolo prospectivo, controlado y aleatorizado. Los criterios de
inclusión eran el diagnóstico de diabetes tipo 1 o tipo 2; una edad de 18 a 80 años; arteriopatía periférica en estadio
III o IV de Fontaine; pie diabético en un estadio de Wagner menor de III, con úlceras crónicas de al menos 6 semanas
de evolución y ausencia de tendencia a la cicatrización tras una semana de tratamiento convencional (desbridamiento
quirúrgico de tejidos necróticos y alivio de presión, eventual uso de antibióticos). Se requirió la presencia de isquemia
grave, definida como un índice tobillo/brazo (ITB) < 0.90 en asociación con dolor persistente y recurrente y una
presión sistólica tibial posterior < 50 mm Hg, en el hallux < 30 mm Hg, o ambas. Se excluyeron los individuos con
hemoglobina glucosilada por encima del 8%, hemoglobinemia < 10 mg/dl, insuficiencia renal, retinopatía, infecciones
sistémicas, embarazo, alteraciones de la salud mental, insuficiencia cardíaca grave o terapia previa de células madre,
entre otros. Los participantes se dividieron de modo aleatorio para formar parte de un grupo de control o para recibir
por vía intramuscular o intraarterial la aplicación de células madre obtenidas de medula ósea con técnicas de
expansión o sin ellas. El grupo de control fue excluido del análisis estadístico, dado que 2 pacientes fallecieron por
eventos cardiovasculares, 1 enfermo requirió amputación y otro participante abandonó el protocolo.
Se procedió a la aspiración de médula ósea a partir de la cresta ilíaca posterior bajo anestesia local y sedación leve.
Para la formulación expandida, se efectuó en las muestras obtenidas el aislamiento de las CMMO, con cultivo en un
biorreactor y posterior purificación y concentración. El producto final de células de reparación tisular (CRT) incluía un
recuento total no menor de 30 x 106 elementos, con una proporción de células CD90+/CD14+ del 5% al 26%, un
porcentaje de células CD14+ del 9.6% al 48.5%, una proporción de células CD45+ del 71.2% al 81.8% y la presencia
de células CD105+/CD14+/CD45+ de entre 0% y 33.3%. Once pacientes recibieron tratamiento por vía intramuscular
a nivel de la región de los gemelos (6 de ellos con CRT y los 5 restantes con CMMO) y en otros 11 se administró
terapia por vía intraarterial con igual distribución en la arteria femoral superficial.
Se efectuaron controles en períodos predefinidos mediante los hallazgos clínicos, los parámetros de perfusión y los
estudios por imágenes (angiografía por resonancia magnética o por sustracción digital). Se definió como criterio
principal de valoración a la cicatrización completa de las lesiones, mientras que los criterios secundarios fueron el
tiempo transcurrido hasta la cicatrización completa, las amputaciones, la mejoría del ITB, la optimización de la presión
de oxígeno estimada por vía transcutánea (PO2TC), la mejoría angiográfica y los cambios en la perfusión local medidos
por técnica láser Doppler o el nivel de oxígeno en los músculos de la región gemelar (BOLD).

Resultados
De acuerdo con los autores, no se describieron casos de contaminación de los preparados de células madre ni efectos
adversos relacionados con la aspiración de médula ósea o la aplicación de las formulaciones. La media de edad de los
participantes era de 70 años, con un predominio de pacientes de sexo masculino. El promedio del tiempo de evolución
de la diabetes superaba los 20 años. La prevalencia de enfermedad coronaria e hipertensión era de más del 80%. En
virtud de las múltiples comorbilidades descritas en los participantes, se efectuó tratamiento asociado con
antihipertensivos, antiagregantes plaquetarios y antidiabéticos, entre otros.
En función de la reducida cantidad de participantes, los pacientes fueron reagrupados en términos de la utilización de
CRT o CMMO, en forma independiente de la vía de administración. Se cita que la aplicación por vía intramuscular o
intraarterial no se asoció con diferencias estadísticamente significativas. En la cohorte de tratamiento con CMMO, se
comprobó ausencia de cicatrización en 2 individuos que requirieron amputación a las 14 ó 16 semanas. Un enfermo de
este grupo falleció a las 41 semanas por causas desconocidas y otro participantes presentó hemorragia subaracnoidea
grave a las 44 semanas; ambos sujetos habían logrado cicatrización completa a las 6 y 37 semanas, en ese orden. Por
otra parte, en el grupo de tratamiento con CRT, se demostró un caso de mortalidad a las 49 semanas en el contexto
de un síndrome de falla multiorgánica posterior a la amputación del antepié.
En el análisis de los parámetros de perfusión, se comprobó la mejoría significativa de la PO2TC hacia la semana 12, en
forma previa a la optimización del ITB. Esta mejoría resultó más acentuada en los sujetos que recibieron CRT, aunque
esta diferencia no alcanzó niveles de significación estadística. En comparación con los valores iniciales, se demostró en
los pacientes tratados con CRT una mejoría clínicamente significativa de la PO2TC a las 12 y 52 semanas, con una
tendencia no significativa a la optimización hacia la semana 36. La administración de CMMO se asoció con la mejoría
significativa de la PO2TC a las semanas 12, 36 y 52, en relación con los niveles iniciales.
Por otra parte, en ambos grupos de tratamiento se verificó una optimización continua del ITB a partir de la semana
36. De igual modo, se comprobó una mejoría del BOLD a partir de la semana 20, con una posterior declinación de la
progresión lineal de este parámetro a predominio del grupo de tratamiento con CRT.
En 7 de los 22 individuos tratados con células madre se definió la aparición de neovasos colaterales mediante
angiografías por sustracción digital efectuadas a las 20 y 52 semanas, mientras que en un enfermo se verificó
deterioro de la circulación.

Discusión
La diabetes se asocia con alto riesgo cardiovascular y con tasas de mortalidad superiores a las informadas en
individuos no diabéticos. En el presente estudio, los pacientes se caracterizaron por una media de edad mayor de 65
años, con prolongado tiempo de evolución de la enfermedad y con múltiples factores de comorbilidad. Con 1
excepción en cada grupo de tratamiento, los participantes sobrevivieron durante todo el período de seguimiento. En
ese lapso no se comprobaron recurrencias ipsilaterales en la mayor parte de los enfermos, sin efecto adversos
asociados con al recolección de las células o con la aplicación de las formulaciones. De los 22 individuos tratados en
forma inicial, se alcanzó cicatrización completa en 18 casos. Por lo tanto, los autores destacan que la administración
de CMMO o CRT en pacientes con pie diabético e isquemia grave de los miembros inferiores mejoró la microcirculación
y optimizó la curación de las lesiones. Dada la ausencia de un grupo control, no fue posible demostrar si la
combinación de la terapia con células madre y el tratamiento convencional puede reducir la incidencia de
amputaciones en aquellos individuos en quienes no es posible la revascularización quirúrgica o mediante angioplastia.
Sin embargo, esta terapia permitió evitar las amputaciones o llevar a una amputación limitada en lugar de una
exéresis de mayor envergadura.
Se cita que los resultados logrados coinciden con los datos de otros modelos previos, en los cuales se habían
requerido mayores alícuotas de aspirados de la médula ósea. La mejoría obtenida puede atribuirse a los vasos
colaterales, cuya presencia fue demostrada en algunos enfermos mediante estudios angiográficos. Se postula que este
efecto es una consecuencia ya sea del desplazamiento de las células madre a los territorios isquémicos o hipóxicos o
bien a su acción como activadores de las PCE. Si bien no fue posible comprobar que las CRT desencadenaran una
mayor formación de vasos en comparación con las CMMO, se admite que la potencia estadística del estudio era
insuficiente para demostrar diferencias. Se agrega que la evolución de la PO2TC y del ITB podría describirse mediante
curvas parabólicas; dado que el número de participantes era reducido, puede asumirse que el efecto logrado no era
permanente, con un nivel máximo de perfusión que podía correlacionarse con el proceso de cicatrización.
Asimismo, los autores mencionan que la ausencia de complicaciones relacionadas con el procedimiento permite
afirmar que esta terapia fue segura, en forma independiente de la aplicación de CMMO o CRT, o bien de la vía de
indicación elegida.

Conclusiones
La terapia con células madre podría mejorar la microcirculación, al menos en forma transitoria, y la capacidad de
cicatrización en sujetos con pie diabético sin posibilidad de un tratamiento de revascularización. Se propone la
realización de un estudio multicéntrico, aleatorizado y controlado para confirmar los resultados.




REPERCUSION DE LA EDAD EN LA MORTALIDAD ASOCIADA CON EL
                                                                                            InSIIC editado en:
CANCER PROSTATICO AVANZADO

                                                                                              Geriatría
                                                                                              Urología
Baltimore, EE.UU.
                                                                                             Anatomía Patológica
Los individuos de más de 75 años con de cáncer de próstata tienen un incremento              Epidemiología
de la probabilidad de presentación clínica con un estadio avanzado y un mayor                Medicina Interna
riesgo de letalidad secundaria a la enfermedad, a pesar de las mayores tasas de              Oncología
mortalidad por otras causas.


  Fuente científica: Journal of Urology187(6):2096-2097 Jun, 2012 aSNC


  Autores: Walsh Patrick C

  Palabras clave: cáncer de próstata, mortalidad, envejecimiento

  Key Words: prostate cancer, mortality, aging
Institución principal: Johns Hopkins Outpatient Center

  Correspondencia: PC Walsh, Johns Hopkins Outpatient Center, Baltimore EE.UU.

  Patrocinio: No declarado.

  Conflicto de interés: No declarado.

  Agradecimientos: No declarado.




En un estudio en el cual se analizaron las historias clínicas de 464 918 pacientes con diagnóstico de cáncer de
próstata incluidos en la base de datos Surveillance, Epidemiology and End Results (SEER), se llevó a cabo un análisis
para definir la prevalencia de la presentación de formas metastásicas de la enfermedad en función del grupo etario.
Del mismo modo, se propuso evaluar la participación relativa de los pacientes de distintos grupos de edad en términos
de la mortalidad asociada con el cáncer de próstata. De acuerdo con el análisis por el método de Gray, se verificó que
la frecuencia de esta neoplasia en estadio M1 era del 3% entre los menores de 75 años, mientras que alcanzaba el 5%
en individuos de 75 a 79 años, el 8% entre los sujetos de 80 a 84 años, el 13% para los pacientes de entre 85 y 89
años, y de 17% entre los enfermos no menores de 90 años. Las respectivas tasas de incidencia acumulativa de
mortalidad secundaria a la enfermedad en un lapso de 5 años se calcularon en 3% a 4%, 7%, 13%, 20% y 30%. Se
advirtió que, si bien los sujetos de al menos 75 años al momento del diagnóstico de cáncer de próstata constituían
alrededor de la cuarta parte de los casos de la enfermedad, este grupo etario representaba al 48% de los tumores en
estadio M1 y el 53% de todos los casos de mortalidad asociada con la enfermedad. Por consiguiente, en el estudio se
afirmó que los individuos de mayor edad presentaban un incremento de la probabilidad de presentación clínica con un
estadio avanzado y un mayor riesgo de letalidad por cáncer de próstata, a pesar de las mayores tasas de mortalidad
por otras causas.
En este contexto, se señala que, pese a la presunción de un crecimiento lento en los individuos de mayor edad, se
reconoce que el cáncer de próstata en los sujetos más ancianos se caracteriza por una mayor agresividad. Mientras
que sólo el 5% de los hombres de 75 a 79 años con diagnóstico de esta afección fallecen como consecuencia de la
neoplasia en un período de 5 años, ese porcentaje asciende al 30% en los pacientes de 90 años. Se cita que la
postura de limitar la pesquisa del cáncer de próstata en los individuos mayores de 75 años no permitiría la detección
de los pacientes afectados. Así, se cita que en el protocolo Baltimore Longitudinal Study of Aging, ninguno de los 154
participantes de 75 años que presentaba niveles de antígeno prostático específico inferiores a 3 ng/ml falleció como
consecuencia de un cáncer de próstata. Por consiguiente, se sugiere que los individuos sanos de 75 años con
concentraciones de este biomarcador por debajo de los 3 ng/ml podrían continuar con un plan de pesquisa de la
enfermedad.




REVISAN LA SEGURIDAD Y EFICACIA DEL ACONDICIONAMIENTO CON
                                                                                            ReSIIC editado en:
BUSULFANO POR VIA INTRAVENOSA ANTES DEL TRASPLANTE DE
PRECURSORES HEMATOPOYETICOS
                                                                                              Farmacología

Auckland, Nueva Zelanda                                                                       Farmacología
                                                                                              Hematología
                                                                                              Trasplantes
Los estudios en niños y adultos mostraron que la administración intravenosa de
busulfano antes del trasplante de precursores hematopoyéticos se asocia con índices
                                                                                             Anatomía Patológica
altos de injerto, baja mortalidad relacionada con el trasplante, y supervivencia
                                                                                             Bioquímica
global y sin enfermedad aceptables. El perfil de seguridad ha sido el esperado.
                                                                                             Dermatología
                                                                                             Diagnóstico por
Clinical Drug Investigation32(9):641-648, 2012                                              Laboratorio
                                                                                             Epidemiología
                                                                                             Farmacología
Autores:
                                                                                             Gastroenterología
Scott LJ
                                                                                             Genética Humana
                                                                                             Medicina Farmacéutica
Institución/es participante/s en la investigación:                                           Inmunología
ADIS
Medicina Interna
Título original:
Intravenous Busulfan: A Guide to Its Use as Conditioning Treatment Before
Transplantation of Haematopoietic Progenitor Cells


Título en castellano:
Busulfano por Vía Intravenosa: Guía para su Uso como Tratamiento de
Acondicionamiento Antes del Trasplante de Precursores Hematopoyéticos


Extensión del Resumen-SIIC en castellano:
3.19 páginas impresas en papel A4




Factores que motivaron la creación del busulfano para uso por vía intravenosa
El tratamiento óptimo para diversos trastornos hematológicos, en niños y adultos, consiste en el trasplante de
precursores hematopoyéticos (TPH), autólogo o alogénico. Para ello, los enfermos deben ser sometidos a un
tratamiento previo de acondicionamiento con radioterapia y quimioterapia en dosis altas con el objetivo de eliminar
las células malignas o anormales y, en el caso del TPH alogénico, suprimir la respuesta inmunitaria del receptor. La
irradiación corporal total se incluyó, durante mucho tiempo, en los protocolos de acondicionamiento; sin embargo,
dado que
la administración de dosis altas de radiación se asocia con importante morbilidad y toxicidad, en los últimos años
comenzaron a aplicarse esquemas menos tóxicos que consisten en la radioterapia con dosis reducidas o fraccionadas,
en combinación con la quimioterapia en dosis altas.
El busulfano por vía oral es uno de los antineoplásicos más utilizados en los esquemas previos al TPH; el fármaco
induce la supresión medular y se asocia con efectos antitumorales, pero tiene un margen terapéutico estrecho.
Además, la exposición sistémica al busulfano, administrado por vía oral, varía considerablemente en relación con la
absorción intestinal, la presencia de vómitos y la dieta. La menor exposición se asocia con mayor riesgo de rechazo
del injerto y de recaída de la enfermedad. Por el contrario, la mayor exposición sistémica incrementa
considerablemente el riesgo de enfermedad hepática venooclusiva (EHVO) o síndrome de obstrucción sinusoidal.
Además, en los esquemas que incluyen la administración de busulfano por vía oral es necesaria la ingesta de 500 a
600 comprimidos de 2 mg en el transcurso de 4 días, un objetivo muy difícil de lograr, sobre todo en los enfermos con
vómitos o con dificultades para la deglución. Estos factores motivaron la elaboración del preparado con dosis altas de
busulfano para uso por vía intravenosa (BIV). En el presente artículo, los autores describen las características el
esquema de BIV que se utiliza en Europa (infusión de 2 horas, cada 6 horas, en 4 días consecutivos).




Mecanismo de acción del busulfano
El busulfano es un alquilante del ADN que actúa en cualquier estadio de la mitosis. El fármaco se asocia con efectos
citotóxicos en los tejidos en proliferación, especialmente sobre los progenitores granulopoyéticos en la médula ósea.
Diversos trabajos mostraron que el BIV en combinación con ciclofosfamida o melfalán, en el contexto del
acondicionamiento previo al TPH, induce una inmunosupresión importante.

Indicaciones del busulfano
Aunque la información relacionada con la seguridad del busulfano en los pacientes con insuficiencia renal o hepática es
limitada, en el primer caso por lo general no son necesarios los ajustes de la dosis, en tanto que debe administrarse
con mucha precaución en los enfermos con insuficiencia hepática grave.
En el primer estudio, 91%, 87% y 82% de los pacientes evaluados presentaron un área bajo la curva (ABC) de
concentración-tiempo de 900 a 1 500 µmol min/l después de la administración de la primera, novena y decimotercera
dosis, respectivamente. El 2% de los enfermos presentaron una exposición inferior o igual a 900 µmol min/l, en tanto
que en el 11% de los pacientes, la exposición fue igual o superior a 1 500 µmol min/l.
Debido a que el busulfano, en dosis mielosupresoras, puede asociarse con convulsiones mioclónicas, se recomienda la
administración simultánea de anticonvulsivos. Los estudios no hallaron interacciones farmacológicas de importancia
con las benzodiazepinas, los antieméticos que actúan sobre los receptores 5-HT3 (ondansetrón y granisetrón) o el
fluconazol. Sin embargo, el tratamiento simultáneo con itraconazol y BIV en dosis altas se asoció con menor
depuración del busulfano y mayor riesgo de toxicidad. Además, el busulfano debe utilizarse con cautela cuando se usa
paracetamol porque este último agente puede causar un descenso de los niveles séricos y tisulares del glutatión y, por
ende, menor depuración del busulfano. El intervalo entre la última dosis de busulfano y la primera dosis de
ciclofosfamida o melfalán debe ser superior a 24 horas para reducir el riesgo de EHVO.
Eficacia terapéutica del BIV en la población pediátrica
En 2 estudios prospectivos, abiertos y multicéntricos, realizados en los Estados Unidos y Europa, se analizó la eficacia
del BIV. En el primero de ellos, 24 niños fueron tratados con 0.8 mg/kg (dosis máxima de 1.6 mg/kg; dosis ajustada
para lograr un ABC de 900 a 1 350 µmol min/l) en infusión de 2 horas, cada 6 horas durante 4 días, seguidos de 50
mg/kg de ciclofosfamida 1 vez por día durante 4 días antes del TPH alogénico. El injerto (recuento absoluto de
neutrófilos [RAN] > 0.5 x 109/l) se logró a los 13 días (mediana) del trasplante en 23 enfermos. La mediana del
intervalo hasta observar un recuento de plaquetas igual o superior a 20 y 50 x 109/l fue de 23 y 32 días,
respectivamente. En el 86% de los niños con injerto exitoso se comprobó quimerismo total y en el resto de los
pacientes, quimerismo mixto. No se registró ningún caso de rechazo tardío o fracaso del injerto. Después de una
mediana de seguimiento de 305 días, la probabilidad estimada de supervivencia fue del 85%.
El estudio europeo tuvo por objetivo determinar la dosis óptima de BIV en 67 niños tratados con 1 mg/kg, 1.2 mg/kg,
1.1 mg/kg, 0.95 mg/kg y 0.8 mg/kg, en los pacientes de menos de 9 kg, 9 a 16 kg, 16 a 23 kg, 23 a 34 kg y más de
34 kg, respectivamente. Luego de la administración de BIV se indicó melfalán en una dosis única de 140 mg/m2 (en
los enfermos que serían sometidos a TPH autólogo) o ciclofosfamida, en dosis de 50 mg/kg 1 vez por día durante 4
días (antes del TPH alogénico). En los 67 enfermos se logró el injerto, con recuperación del recuento de neutrófilos y
plaquetas. La mediana del tiempo hasta el RAN igual o superior a 0.5 x 109/l fue de 11 días en los 31 enfermos
sometidos a TPH autólogo y de 19 días en los 36 niños que recibieron TPH alogénico. En el 92% de estos últimos se
logró el quimerismo completo (95% o más de células del dador) después de 90 días y en el 8% se observó
quimerismo mixto (85% o más de células del donante). No se registraron casos de rechazo del injerto, precoz o
tardío. Las curvas de Kaplan-Meier mostraron índices de supervivencia global de 59% y 82% en los niños que
recibieron TPH autólogo y alogénico, respectivamente, después de una mediana de seguimiento de 4.3 años. Los
índices correspondientes de supervivencia sin eventos fueron de 46% y 80.6%, y la incidencia acumulada de rechazo
fue de 13.8%.

Eficacia terapéutica del BIV en la población adulta
Dos estudios prospectivos, abiertos y multicéntricos (OMC-BUS-3 y 4) evaluaron la eficacia del BIV en pacientes
adultos con neoplasias hematológicas. El 92% de los pacientes tenían alto riesgo de recaída y de evolución
desfavorable después del TPH. En todos los enfermos se obtuvo la supresión medular y el éxito del injerto. La
mediana del intervalo hasta lograr el RAN de 0.5 o más x 109/l fue de 13 días en los enfermos sometidos a TPH
alogénico en el OMC-BUS-4 y de 10 días en los que recibieron TPH autólogo en el OMC-BUS-3. No se registraron
rechazos primarios o secundarios del injerto. Los índices de mortalidad global más de 100 días después del trasplante
y de mortalidad no relacionada con recidivas fueron de 13% y 10%, en ese orden, en los sujetos con TPH alogénico;
ningún paciente sometido a TPH autólogo falleció. El 88% (38 de 43) de los enfermos tratados con TPH alogénico
lograron el quimerismo completo; en los 5 pacientes restantes se constató quimerismo mixto.

Perfil de tolerabilidad del BIV
La toxicidad exclusivamente atribuible al tratamiento es difícil de valorar, debido a las enfermedades subyacentes y al
hecho de que los efectos adversos hematológicos se confunden con los objetivos buscados con la terapia respecto de
la supresión medular previa al trasplante. Los efectos adversos hepáticos y respiratorios pueden obedecer per se al
esquema de acondicionamiento o al proceso del trasplante. Aún así, el perfil de tolerabilidad del BIV ha sido, en
general aceptable, tanto en los estudios en niños como en los trabajos en poblaciones adultas.
En el estudio de determinación de la dosis óptima, casi todas las manifestaciones secundarias del BIV a los 28 días del
trasplante fueron las esperadas para los esquemas de acondicionamiento aplicados. La mayoría fue de intensidad leve
a moderada. Los efectos adversos más frecuentes fueron los gastrointestinales (náuseas, estomatitis, vómitos y
diarrea), en el 97%, 96%, 91% y 80% de los casos, respectivamente. En el estudio de evaluación de la dosis, en
enfermos pediátricos, la gravedad de la estomatitis, una causa importante de morbilidad posterior al trasplante, se
correlacionó con los valores más altos de ABC para el busulfano en los enfermos con TPH autólogo, no así en los que
recibieron TPH alogénico. El 96.8% de los sujetos sometidos a TPH autólogo presentaron al menos un episodio de
estomatitis (35.5% de los enfermos tuvieron estomatitis de grado 3 y el mismo porcentaje, estomatitis de grado 4).
En cambio, los porcentajes correspondientes entre los pacientes tratados con TPH alogénico fueron de 16.7% y 5.6%,
respectivamente.
La mayoría de los pacientes (65%) sometidos a TPH alogénico presentaron exantemas y descamación cutánea; entre
los enfermos con TPH autólogo, el porcentaje fue de 25%. Sólo los pacientes de este último grupo presentaron vitiligo
de grado 1 o 2.
Las infecciones también fueron efectos adversos frecuentes. El 89% de los pacientes presentaron neutropenia febril,
por lo general sin foco. El 76% de los niños tuvieron fiebre leve a moderada, en tanto que el 39% de los adultos
tratados sufrieron al menos un episodio de infección (en 83% de los casos, las infecciones fueron de intensidad leve o
moderada). En 3% de los casos se produjeron neumonías graves (1% de estos enfermos murieron a causa de
infecciones respiratorias).
Se sabe que los esquemas de acondicionamiento que incluyen busulfano pueden ocasionar daño hepático, que
consiste en la elevación de las transaminasas, la hepatitis y la EHVO. La mayoría de los niños tratados presentaron un
aumento de las transaminasas de grado 1 a 2; ningún paciente tuvo incremento de grado 4. La elevación de la
bilirrubina y de la gamma-glutamiltransferasa por lo general fue de intensidad 1 a 2.
En la población adulta, 15% de los efectos adversos graves consistieron en daño hepático; 8.2% de los 61 enfermos
sometidos a TPH alogénico y 2.5% de los 42 pacientes con TPH autólogo presentaron EHVO.
Se registró EHVO en 4 de 31 niños con TPH autólogo y en 3 de los 36 pacientes que recibieron TPH alogénico. Todos
los episodios fueron de intensidad leve a moderada y, en todos los casos, se logró la remisión con el tratamiento
sintomático. Un adulto presentó síndrome de dificultad respiratoria aguda mortal en asociación con fibrosis pulmonar
intersticial.
En los niños tratados con TPH alogénico, la frecuencia de enfermedad de injerto contra huésped (EICH) de grado 1 a 4
fue de 50% (14 de 28 pacientes); 13 niños tuvieron EICH de grado 1 a 2, y el paciente restante presentó EICH de
grado 3 a 4. En los adultos del estudio OMC-BUS-4, 18% de los 61 sujetos sometidos a TPH alogénico presentaron
EICH aguda (13% de los episodios fue de grado 1 a 2, y 5% de ellos, de grado 3 a 4). Tres pacientes murieron como
consecuencia de EICH crónica.
Si bien el preparado de BIV tiene dimetilacetamida (DMA), potencialmente asociada con toxicidad neurológica y
hepatotoxicidad, no se observó acumulación de DMA durante los 4 días de infusión intravenosa; tampoco se
encontraron diferencias en la función hepática entre los enfermos que recibieron BIV con DMA y los tratados con
busulfano por vía oral.

Estado actual
En Europa, el esquema que consiste en la administración de BIV seguido de ciclofosfamida o melfalán está aprobado
como terapia de acondicionamiento antes del TPH en niños y adultos; en los estudios clínicos, el BIV se asoció con
supresión medular y con injerto exitoso del trasplante en todos los pacientes, con independencia del tipo de
trasplante. Los índices de mortalidad fueron bajos y se lograron índices favorables de supervivencia luego del
trasplante. En los niños, el ajuste de la dosis según el peso corporal se asocia con la misma exposición al fármaco que
en los adultos. En comparación con el tratamiento por vía oral, el BIV se asoció con menor variabilidad, mayor
facilidad de uso y mejor adhesión a la terapia. El perfil de tolerabilidad fue aceptable; la mayoría de los efectos
adversos fueron los esperados, es decir, hematológicos y gastrointestinales. El BIV no parece asociarse con EHVO
grave.
Los estudios futuros deberán establecer la eficacia y seguridad de los esquemas con BIV que consisten en una única
administración por día, asociados con resultados favorables en los trabajos preliminares, concluyen los expertos.




ANALIZAN DIFERENTES NIVELES DE HIPOTERMIA TERAPEUTICA EN
                                                                                             ReSIIC editado en:
SOBREVIVIENTES COMATOSOS DE UN PARO CARDIACO SUCEDIDO EN LA
COMUNIDAD
                                                                                               Cardiología

Madrid, España                                                                                 Cuidados Intensivos

                                                                                               Emergentología
El logro de una temperatura de enfriamiento de 32º C puede mejorar los desenlaces              Geriatría
clínicos de los sobrevivientes de un paro cardíaco sucedido en la comunidad,                   Medicina Familiar
secundario a fibrilación ventricular o taquicardia ventricular sin pulso.                      Medicina Interna


Circulation126(24):2826-2833 Dic, 2012


Autores:
Lopez de Sa E, Lopez-Sendon J, Rey JR


Institución/es participante/s en la investigación:
Hospital Universitario La Paz


Título original:
Hypothermia in Comatose Survivors from Out-of-Hospital Cardiac Arrest: Pilot Trial
Comparing 2 Levels of Target Temperature


Título en castellano:
Hipotermia en Sobrevivientes Comatosos de un Paro Cardíaco Sucedido en la
Comunidad: Estudio Piloto que Comparó 2 Niveles de Temperatura como Objetivo
Terapéutico


Extensión del Resumen-SIIC en castellano:
3.31 páginas impresas en papel A4
Introducción
La fisiopatología de la lesión cerebral luego de la resucitación por un paro cardíaco se considera multifactorial. El daño
inicial se relaciona directamente con el tiempo transcurrido entre el paro cardíaco y el retorno de la circulación
espontánea (RCE). La anoxia cerebral no sólo provoca la muerte del tejido cerebral y neuronal, sino que también
favorece la lesión posterior durante la fase de reperfusión.
Los estudios experimentales y los datos clínicos confirmaron los efectos neuroprotectores de la hipotermia terapéutica
(HT) moderada a leve (30° C a 35° C), probablemente por sus efectos sobre múltiples vías deletéreas. Sobre la base
de 2 ensayos clínicos aleatorizados, laAmerican Heart Association y el European Resuscitation Council recomendaron
la HT para los adultos que quedaron en coma luego de la resucitación inicial por RCE sucedida en la comunidad, con
fibrilación ventricular o taquicardia ventricular sin pulso como ritmo cardíaco inicial luego del paro circulatorio y,
también, afirmaron que podría ser beneficiosa para el tratamiento de otros ritmos cardíacos y para el paro cardíaco
intrahospitalario. Las temperaturas recomendadas varían entre 32° C a 34° C durante 12 a 24 horas, aunque se
desconoce cuál de ellas es más eficaz. Según señalan los autores, los estudios clínicos existentes compararon la
normotermia con la HT leve, pero ninguno contrastó diferentes niveles de temperatura. Se estima que las
temperaturas inferiores brindan más protección. Al respecto, los modelos experimentales indican que por cada
descenso en 1° C de la temperatura central corporal, la tasa metabólica cerebral se reduce en un 6%, aunque según
datos de una investigación que analizó diferentes niveles de HT, los valores inferiores a 32° C parecen ser peligrosos.
Tampoco hay información de estudios clínicos sobre el efecto de la HT en el paro cardíaco sucedido en la comunidad
(PCC), con asistolia como primer ritmo.
El objetivo de este ensayo piloto, aleatorizado y realizado en un único centro fue obtener los datos iniciales sobre el
efecto de diferentes niveles de HT en sobrevivientes comatosos de un PCC. La hipótesis de estudio fue que las
temperaturas inferiores se asocian con mejor supervivencia y mejores resultados neurológicos.

Métodos
Fueron elegibles para participar en la investigación los pacientes internados, en forma consecutiva, entre marzo
de2008 y agosto de 2011, en la unidad de cuidados intensivos cardiovasculares del Hospital Universitario La Paz,
Madrid, España, por PCC aparentemente relacionado con enfermedad cardíaca y un intervalo de 60 minutos o menos
entre el colapso y el RCE. Otros criterios de inclusión abarcaron la edad > 18 años y asistolia o ritmo inicial registrado
capaz de producir shock (fibrilación ventricular o taquicardia ventricular sin pulso).
Los criterios de exclusión fueron el embarazo, un puntaje > 8 en la escala de coma de Glasgow después del RCE,
shock cardiogénico y otros ritmos cardíacos que no producen shock (actividad eléctrica sin pulso), una enfermedad
terminal presente antes del PCC y otras posibles causas de coma (sobredosis de droga, traumatismo de cráneo o
accidente cerebrovascular).
Los participantes fueron divididos al azar para ser sometidos a una temperatura de 32° C o 34° C y se realizó una
estratificación según el ritmo inicial (ritmo capaz de producir shock o asistolia).
El personal asignado a la atención de los pacientes durante las primeras 48 horas luego del paro cardíaco estaba al
tanto de la asignación del tratamiento, mientras que la desconocían los médicos responsables de la evaluación de los
resultados neurológicos en los primeros 6 meses luego del PCC. Todos los participantes recibieron la atención
estándar acorde con un protocolo detallado. Al ingreso se procedió al enfriamiento con la infusión de solución salina
por vía intravenosa a < 8° C a una tasa de 1 000 ml/hora y a la colocación de un catéter Icy 9.3F de 38 cm en la vena
cava inferior a través de la vena femoral, conectado a un sistema de control de la temperatura (Thermogard XP
Temperature Management System). El sistema consiste en una bomba que hace circular la solución salina refrigerada
(a una temperatura mínima de 4° C a 5° C) a partir de un dispositivo externo por balones montados sobre el catéter,
que permite el enfriamiento directo de la sangre. El enfriamiento se estableció a una tasa máxima, hasta el logro de
una temperatura de 32° C o 34° C, según la aleatorización. Una vez lograda la temperatura deseada, se mantuvo
durante 24 horas y luego se procedió al calentamiento controlado a una tasa de 0.1° C a 0.3° C por hora hasta
alcanzar los 37° C en 12 a 24 horas. El resto de los aspectos terapéuticos quedó a criterio del médico tratante.
Se realizaron determinaciones de laboratorio al inicio, a las 24 y 48 horas posteriores al PCC y, luego, según
indicación clínica. Además, se recabó información sobre los datos del paro cardíaco y los factores de riesgo de un
pronóstico desfavorable.
El criterio principal de valoración fue el efecto de 2 valores de HT sobre la supervivencia sin dependencia grave a los 6
meses del PCC. La independencia se definió según un puntaje del índice de Barthel de 60 o más, que mide el cuidado
personal, el control de esfínteres y la movilidad. Un puntaje de 60 o más indica que un paciente es independiente para
los cuidados personales esenciales. Un especialista en rehabilitación, que desconocía la asignación terapéutica, evaluó
a cada sobreviviente después del alta y a los 6 meses.
Los criterios secundarios de valoración abarcaron la mortalidad total y los desenlaces neurológicos favorables a los 6
meses, determinados por una categoría de 1 o 2 en la escala de rendimiento cerebral de Pittsburgh (discapacidad leve
o moderada) de 5 categorías.
Los criterios de valoración de seguridad se basaron en la tasa de complicaciones durante las primeras 72 horas y los 7
días luego del PCC. Las complicaciones evaluadas fueron las hemorragias (sangrado causal de mortalidad, hemorragia
intracraneal y otros sangrados que requirieron transfusión), la infección (sepsis, neumonía, infección urinaria) con
cultivos positivos, la insuficiencia renal, la hipopotasemia (< 3.5 mEq/l) y la arritmia (fibrilación ventricular,
taquicardia ventricular, bradicardia, fibrilación y aleteo auricular, necesidad de marcapasos, nuevo paro cardíaco) con
los diferentes niveles de hipotermia. También se analizó la presencia de otros efectos adversos, como la incidencia de
convulsiones o hipertermia (38° C o más dentro de los 7 días).
Las variables continuas se presentaron como media ± desviación estándar y se compararon con la prueba de la t de
Student, mientras que las que no siguieron una distribución normal se presentaron como mediana y rangos de
intercuartilos y se compararon con el método de Kruskal-Wallis. Las variables categóricas se compararon con la
prueba de ?2 o exacta de Fisher. Se presentaron las curvas de supervivencia por grupo de tratamiento y por ritmo
cardíaco inicial y las tasas de eventos se expresaron con las estimaciones de Kaplan-Meier a los 6 meses. Se
calcularon los odds ratio ajustados para la supervivencia sin dependencia grave a los 6 meses mediante regresión
logística multivariada, con la inclusión de variables con un valor de p < 0.05 en el modelo de Cox.

Resultados
Se incluyeron en el estudio 36 pacientes, 18 asignados al grupo de HT a 34° C y 18 al grupo de 32° C. Todos los
participantes alcanzaron la temperatura deseada y completaron el tratamiento. La media de la temperatura durante el
período de 24 horas de HT fue de 32.11 ± 0.23° C y 34.09 ± 0.20° C, respectivamente. Sólo un paciente asignado al
grupo de 32° C, con un índice de masa corporal de 38.1 kg/m2, tuvo dificultades para mantener la temperatura
deseada. Dos personas asignadas al grupo de 32° C fallecieron durante el período de recalentamiento y no alcanzaron
los 37° C.
Ocho de los 18 pacientes (44.4%) en el grupo de 32° C permanecieron con vida sin dependencia grave a los 6 meses,
en comparación con 2 de 18 sujetos (11.1%) en el grupo de 34° C (p = 0.12). Todos los participantes, cuyo ritmo
inicial fue la asistolia, fallecieron antes de los 6 meses en ambos grupos de HT (p = 0.24). En los casos cuyo ritmo
inicial fue la fibrilación ventricular se observó una tasa mayor de supervivencia sin dependencia grave a los 6 meses
en los sujetos asignados al grupo de 32° C (61.5%) en comparación con los incluidos en el grupo de 34° C (15.4%) (p
= 0. 029).
El modelo de Cox mostró una interacción significativa entre la temperatura deseada y el ritmo inicial. En toda la
población estudiada el modelo de Cox identificó 2 variables significativamente relacionadas con el criterio principal de
valoración: un ritmo inicial capaz de producir shock (risk ratio [RR]: 0.35; intervalo de confianza del 95% [IC]: 0.15-
0.84; p = 0.02) y un puntaje de 4 a 8 en la escala de coma de Glasgow al ingreso (RR: 0.0000007; IC: 0.0-0.58; p =
0.01), confirmado con el análisis multivariado de regresión logística (p = 0.015 y p = 0.01, respectivamente).
En las personas con un ritmo inicial capaz de producir shock, el modelo de Cox identificó 3 variables relacionadas
significativamente con el criterio principal de valoración: edad < 66 años (RR: 0.28; IC: 0.09-0.82; p = 0.02), puntaje
de 4 a 8 en la escala de coma de Glasgow (RR: 0.0000007; IC: 0.0-0.91; p = 0.04) y la asignación al grupo de HT a
32° C (RR: 0.31; IC: 0.09-0.94; p = 0.04), confirmado con el análisis multivariado de regresión logística (p = 0.006,
p = 0.046 y p = 0.03, respectivamente).
En cuanto a los criterios secundarios de valoración, 26 pacientes (72.2%) fallecieron 6 meses después del PCC: fueron
todos los pacientes con ritmo inicial de asistolia (100%) y 16 (61.5%) de aquellos con ritmo inicial capaz de producir
shock. A los 6 meses permanecía vivo sólo un paciente con una categoría de rendimiento cerebral de 3 (con un
puntaje < 60 en el índice de Barthel) asignado al grupo de 34° C.
Se obtuvo un resultado neurológico favorable en 8 de 14 pacientes (57.1%) asignados al grupo de 32° C en
comparación con 5 de 17 (29.4%) del grupo de 34° C antes de la muerte o el alta (RR: 2.06; IC: 0.86-4.92). En los
pacientes cuyo ritmo inicial fue asistolia, sólo uno, perteneciente al grupo de 34° C, tuvo un resultado neurológico
favorable antes de fallecer por síndrome de distrés respiratorio agudo. En las personas cuyo ritmo inicial fue un ritmo
capaz de producir shock, se alcanzó un resultado neurológico favorable en 4 de 11 (36.3%) en el grupo de 32° C en
comparación con 4 de 13 (30.8%) en el grupo de 34° C antes del fallecimiento o del alta (RR: 2.36; IC: 0.97-5.77; p
= 0.059).
La incidencia de convulsiones fue baja (1 contra 11; p = 0.0002) en pacientes asignados al grupo de 32° C en
comparación con los sujetos asignados al grupo de 34° C. Se verificó una tendencia hacia una mayor incidencia de
bradicardia (7 contra 2; p = 0.054) en los pacientes asignados al grupo de 32° C. La incidencia de hipopotasemia fue
similar entre los grupos, aunque los niveles de potasio disminuyeron en mayor grado en los pacientes asignados al
grupo de 32° C.

Discusión y conclusión
Comentan los autores que los resultados del presente estudio piloto y aleatorizado indicaron que la HT de 32° C
parece brindar mayor protección que el enfriamiento a 34° C, con mejores resultados a corto y a largo plazo.
Si bien la HT forma parte de la atención estándar en los pacientes que permanecen en coma luego de un PCC, no se
cuenta con información sobre la temperatura óptima a lograr, la duración del enfriamiento y la metodología óptima
para el enfriamiento y el recalentamiento. La utilización temprana de HT con temperaturas inferiores a 30° C se asoció
con arritmias cardíacas, coagulopatía y aumento de la tasa de infección. Los estudios en animales indicaron que se
logra mayor protección cuando se alcanzan temperaturas menores. Para disminuir los efectos adversos, algunos
ensayos señalaron como objetivo el logro de temperaturas de 33 ± 1° C luego de la resucitación, definida como HT
leve. Debido al riesgo de posibles complicaciones con temperaturas inferiores a 32º C, estos valores no se evaluaron
en el presente ensayo.
Otro factor que puede tener impacto sobre los mejores resultados en los pacientes asignados al grupo de 32° C es
que permanecieron bajo enfriamiento por un período mayor que los asignados al grupo de 34° C. Si bien el tiempo en
que permanecieron los participantes bajo la temperatura deseada fue similar, los asignados al grupo de 32º C
requirieron mayor tiempo para alcanzarla y para lograr el recalentamiento.
La mayor exposición a HT puede tener un mayor impacto sobre el pronóstico, como se demostró previamente en una
serie de pacientes, ya que los que mantuvieron una temperatura estable de 33° C durante 18 horas tuvieron
desenlaces neurológicos más favorables que los que permanecieron un tiempo menor. La elección de una temperatura
de 32º C aparentemente es tan segura como la de 34º C. Este estudio mostró que la frecuencia cardíaca desciende
más con temperaturas inferiores, pero no se encontraron otras diferencias en la incidencia de otros efectos
secundarios, con la excepción de la incidencia de convulsiones, que fueron más frecuentes en el grupo de 34º C.
Como limitaciones del estudio se señalan el tamaño pequeño de la muestra y la variabilidad inherente al pronóstico,
con múltiples factores de confusión que pueden influir en los resultados.
En conclusión, los resultados de esta investigación piloto indicaron que el logro de una temperatura de enfriamiento
de 32º C puede mejorar los desenlaces clínicos de los sobrevivientes de un PCC secundario a fibrilación ventricular o
taquicardia ventricular sin pulso. Los investigadores concluyen que es necesaria la realización de más investigaciones
para evaluar el nivel óptimo de HT.




ANALIZAN LOS COMPONENTES SOCIALES, INDIVIDUALES Y
                                                                                             InSIIC editado en:
PROGRAMATICOS DE LA VULNERABILIDAD DE LOS ANCIANOS

                                                                                               Geriatría
                                                                                               Salud Pública
Campinas, Brasil
                                                                                               Atención Primaria
En el análisis de los distintos dominios de la vulnerabilidad (social, individual y            Epidemiología
programática) de los sujetos ancianos, se advierte que los factores sociales, como             Medicina Familiar
el ingreso familiar, coexisten con elementos propios de la vulnerabilidad individual
en estos pacientes.


  Fuente científica: Ciência & Saúde Coletiva17(8):2129-2139 Ago, 2012 aSNC


  Autores: Rodrigues Natália, Liberalesso Neri Anita

  Palabras clave: ancianidad, velhice, acesso a serviços de saúde, acceso al
sistema de salud, nivel socioeconómico, status socioeconômico, comorbilidades,
comorbidades, capacidade funcional, capacidad funcional

 Key Words: old age, access to health services, socioeconomic status,
comorbidities, functional ability




  Institución principal: Universidade Estadual de Campinas

  Correspondencia: Anita Liberalesso Neri, Universidade Estadual de Campinas, Campinas Brasil

  Patrocinio: No declarado.

  Conflicto de interés: No declarado.

  Agradecimientos: No declarado.




Se define a la vulnerabilidad como aquel estado en el cual un individuo presenta una reducción de su capacidad de
autodeterminación. Las eventuales dificultades para la protección de los propios intereses se atribuyen a la reducción
de distintos atributos (recursos, fortaleza, inteligencia, educación). Se clasifica a la vulnerabilidad como individual
(aspectos biológicos, emocionales, cognitivos), social (variables culturales, sociales y económicas que determinan el
acceso a bienes y servicios) y programática (recursos sociales dirigidos a la protección del individuo para asegurar el
bienestar físico, psicológico y social). Así, la vulnerabilidad depende de la interacción de estos elementos en un
momento dado. Se advierte que ciertos grupos de pacientes, como los ancianos, se caracterizan por una mayor
vulnerabilidad. Se presume que las variables indicadoras de vulnerabilidad programática se asocian con los
parámetros predictivos de vulnerabilidad social para determinar la vulnerabilidad individual, expresada por
condiciones deficientes de salud física y mental en sujetos de edad avanzada.

En este contexto, se llevó a cabo un análisis de los datos de 688 pacientes ancianos que formaron parte del estudio
Fragilidade em Idosos Brasileiros (FIBRA). Se obtuvo información acerca de variables sociodemográficas, el resultado
de la evaluación cognitiva MiniExame do Estado Mental (MEEM), los parámetros antropométricos, la presión arterial, el
examen odontológico, las pruebas de laboratorio y las variables asociadas con el fenotipo de fragilidad. Para estimar
la vulnerabilidad social se consideraron la edad, el sexo y el ingreso socioeconómico, mientras que para la estimación
de la vulnerabilidad individual se pesquisó la cantidad de comorbilidades, la presencia de signos y síntomas específicos
(incontinencia urinaria, hiporexia, trastornos de la memoria, alteraciones del sueño, caídas), la disponibilidad de
ayuda social (estimada por medio de la escala Interpersonal Support Evaluation List), la participación en actividades
avanzadas de la vida diaria ([AAVD]: visitas a otras personas, recepción de visitas, concurrencia a actividades
religiosas o culturales, viajes de duración prolongada, entre otras) y en actividades instrumentales de la vida diaria
(AIVD). Con la meta de estimar la vulnerabilidad programática, se verificó tanto el acceso al sistema de salud como el
Índice Paulista de Vulnerabilidad Social.

En el análisis de los datos, se verificó que la media de edad de los pacientes era de 72.28 ± 5.41 años. El promedio
del ingreso familiar se calculó en 4.72 ± 5.28 salarios mínimos. La mayor parte de los participantes eran mujeres (n =
470). De acuerdo con los investigadores, las pacientes de sexo femenino se caracterizaban por un número
significativamente mayor de comorbilidades y por la presencia de una mayor proporción de signos y síntomas. Sin
embargo, en las mujeres se reconoció una mayor participación tanto en las AAVD como en las AIVD cuando se las
comparó con los hombres. Se señala que los enfermos con menor nivel socioeconómico presentaron un porcentaje
más elevado de signos y síntomas, como probable consecuencia del menor acceso a los servicios de salud a lo largo
de la vida. En coincidencia, los pacientes con mejor autopercepción de la salud presentaban un nivel socioeconómico
más elevado; se cita que la percepción subjetiva de la salud personal, así como la presencia de los indicadores de
vulnerabilidad, podría explicarse por mecanismos de autorregulación cognitivos y emocionales, con mayor adhesión a
los tratamientos y a los hábitos saludables. Por otra parte, el incremento de la edad se correlacionó con mayores
índices de interrupción de las AIVD y con mayor necesidad de ayuda para concretar las AAVD. Por consiguiente, los
parámetros vinculados con una mayor variabilidad de los datos pertenecían al dominio de la vulnerabilidad
programática. Aunque se sugiere la profundización de esta evaluación mediante estudios transversales, se concluye
que la divulgación de estos datos a los financiadores de los servicios de salud permitirá mejorar la toma de decisiones
acerca de las prioridades para la aplicación de recursos financieros, por un lado, y para el entrenamiento del personal
encargado de la asistencia a estos enfermos, por el otro.




DETERMINAN LA SEGURIDAD Y TOLERABILIDAD DE LA INMUNOTERAPIA
                                                                                              ReSIIC editado en:
SUBLINGUAL CON UN PREPARADO ESTANDARIZADO DE POLEN DE
GRAMINEAS
                                                                                               Alergia

Créteil, Francia                                                                               Farmacología

                                                                                               Bioquímica
La administración diaria de un comprimido de extracto liofilizado en unidades de               Diagnóstico por
calidad estandarizada de polen de gramíneas (GRAZAX®) por vía sublingual,                     Laboratorio
durante 3 estaciones polínicas, es segura y se tolera bien. La incidencia de efectos           Epidemiología
adversos fue significativamente inferior al reintroducir la inmunoterapia sublingual           Medicina Farmacéutica
en los 2 últimos años respecto del primer año de terapia.                                      Inmunología
                                                                                               Neumonología
Clinical Drug Investigation32(7):451-463, 2012                                                 Oftalmología
                                                                                               Otorrinolaringología

Autores:
Magnan A, Meunier JP, Chartier A, Wessel F


Institución/es participante/s en la investigación:
INSERM


Título original:
Safety and Tolerability of an SQ-Standardized GRAss ALlergy Immunotherapy Tablet
(Grazax) in a Real-Life Setting for Three Consecutive Seasons - The GRAAL Trial


Título en castellano:
Seguridad y Tolerabilidad de la Inmunoterapia con Comprimidos de Polen de
Gramíneas en Unidades de Calidad Estandarizada (GRAZAX®) en la Práctica Diaria
Durante Tres Estaciones Polínicas ? Estudio GRAAL
Extensión del Resumen-SIIC en castellano:
3.53 páginas impresas en papel A4




Introducción
Un estudio reciente en sujetos adultos de Europa halló una incidencia de rinoconjuntivitis alérgica (RCA) que varió de
17% a 29%, en tanto que una amplia investigación epidemiológica de 2006 en sujetos de Francia mostró una
frecuencia de 31%. Aunque la RCA se considera una entidad benigna, por su elevada frecuencia implica costos
sustanciales para los sistemas de salud. Además, sus síntomas interfieren con las actividades cotidianas y las
interacciones sociales, y afectan en gran medida la calidad de vida. Asimismo, la RCA suele asociarse con otras
comorbilidades, como trastornos respiratorios, faringitis y otitis. Se la considera uno de los principales factores de
riesgo de asma.
La inmunoterapia (IT) específica tiene un papel fundamental en el tratamiento de la RCA; a diferencia de los fármacos
utilizados para el alivio de los síntomas, la IT se asocia con beneficios sostenidos en cuanto a las manifestaciones
clínicas y la necesidad de medicación. Numerosos estudios demostraron que la IT evita nuevas sensibilizaciones a
alérgenos inhalatorios, y disminuye el riesgo de progresión al asma.
Los pólenes de gramíneas son la causa más común de alergias estacionales respiratorias y son responsables de más
del 50% de los casos de RCA. La IT específica por vía subcutánea es eficaz, pero puede asociarse con efectos
adversos sistémicos. Además, los enfermos deben asistir al consultorio para las aplicaciones. La IT sublingual (ITSL)
presenta indudables ventajas en ambos sentidos. GRAZAX® (liofilizado de Phleum Pratense con 75 000 unidades de
calidad estandarizada [SQ-T]/2 800 unidades biológicas de alergia [BAU]) es un preparado de disolución rápida que se
administra por vía sublingual 1 vez por día. Los pacientes pueden utilizar los comprimidos en su hogar y la vacuna se
ha asociado con excelente eficacia y perfil de seguridad, a juzgar por los resultados globales de un programa en gran
escala iniciado en 2001. La vacuna ha sido aprobada en 30 países de Europa para el tratamiento de la RCA asociada
con pólenes de gramíneas en adultos y niños de 5 años o más, y síntomas importantes. El presente estudio de fase
IV, prospectivo, abierto y de observación, tuvo por finalidad conocer la tolerabilidad de la vacuna GRAZAX® en la
práctica diaria de Francia. El GRAss ALlergy (GRAAL) valoró la seguridad de la vacuna durante 3 estaciones
consecutivas de exposición al polen de gramíneas; los autores señalan que los resultados para el primer año han sido
comunicados con anterioridad, motivo por el cual en la presente ocasión se refieren los hallazgos correspondientes a
los 2 últimos años.

Pacientes y métodos
El estudio incluyó a pacientes de 18 años o más con RCA asociada con la sensibilización a pólenes de gramíneas,
confirmada por pruebas cutáneas o IgE específica para pólenes en el suero. Se excluyeron los pacientes con asma
grave e inestable (volumen espiratorio forzado en el primer segundo < 70% del valor esperado), los sujetos con
hipersensibilidad a alguno de los componentes de la vacuna y los enfermos con trastornos autoinmunitarios,
neoplasias o enfermedades inflamatorias de la cavidad bucal. Aunque se excluyeron los enfermos que recibían
antidepresivos tricíclicos o inhibidores de la monoaminooxidasa, se permitió el ingreso de pacientes tratados con beta
bloqueantes o inhibidores de la enzima convertidora de la angiotensina, con el propósito de que la cohorte estudiada
fuera representativa de la totalidad de los enfermos asistidos en la práctica diaria.
El ensayo multicéntrico se llevó a cabo entre 2007 y 2010; participaron alergólogos y neumonólogos de diversos
centros de todas las regiones de Francia. Los pacientes asignados a la ITSL con GRAZAX® recibieron el primer
comprimido en el consultorio y fueron controlados durante 30 minutos. Posteriormente debían utilizar 1 comprimido
por día en su hogar. El tratamiento se inició 4 meses o más antes de la estación polínica de 2008. En el primer año,
los pacientes fueron controlados en los días 28 y al final de la estación (180 días o más posteriores al comienzo de la
ITSL).




El estudio original fue extendido para abarcar las estaciones polínicas de 2009 y 2010. En la estación de 2009
(segundo año de tratamiento), los enfermos iniciaron la ITSL entre 2 y 4 meses antes del momento de la polinización
y la mantuvieron hasta el final de esta, momento en el cual se llevó a cabo la segunda visita (8 meses o menos
después de la administración del primer comprimido); en 2010 se aplicó el mismo procedimiento. Durante el estudio,
los pacientes podían consultar al profesional en cualquier oportunidad.
La variable principal de evaluación fue la tolerabilidad, para lo cual los enfermos completaron planillas sintomáticas y
de efectos adversos diariamente durante 1 mes el primer año del estudio y luego cada semana durante 8 semanas
desde el 28 de abril hasta el 28 de junio de 2008. Los efectos adversos se registraron según el sistema Medical
Dictionary for Regulatory Activities (MedDRA), versión 13. La gravedad de las manifestaciones colaterales se definió
según la International Conference on Harmonisation (ICH) Harmonised Tripartite Guideline E2A, Step 5. Los efectos
adversos graves fueron aquellos que afectaron considerablemente la realización de las actividades cotidianas, que
pusieron en peligro la vida del enfermo, que motivaron la internación o que la prolongaron, o que ocasionaron
incapacidades permanentes, la muerte o anomalías congénitas, y todos los eventos considerados clínicamente
relevantes.
La tolerabilidad aguda fue supervisada por el profesional, en el transcurso de los 30 minutos posteriores a la
administración de la ITSL. Las reacciones tolerables fueron las manifestaciones benignas, locales, de corta duración
(menos de 30 minutos) y que no motivaron tratamientos específicos; las reacciones que no reunieron las
características mencionadas se consideraron como no tolerables. El análisis estadístico se realizó con pruebas de la ?2,
de Fisher, de la t o de Wilcoxon, según el caso. Las comparaciones de la incidencia de efectos adversos en los
distintos años de tratamiento se realizaron con modelos lineales generalizados para mediciones reiteradas.

Resultados
En la investigación participaron 103 alergólogos y 27 neumonólogos, quienes inicialmente registraron 833 pacientes
con RCA asociada con la sensibilización al polen de gramíneas; 628 de ellos ingresaron en el estudio y comenzaron el
tratamiento con la ITSL antes de la estación polínica de 2008.
Las características de los pacientes de la cohorte inicial y de los enfermos que retomaron el tratamiento en el segundo
y el tercer año fueron similares. Por lo general los participantes presentaban RCA moderada a grave (en 94.2% de los
casos, la enfermedad afectaba el sueño y las actividades cotidianas). El 93.6% de los pacientes había recibido
antialérgicos en la estación polínica previa (antihistamínicos por vía oral y corticosteroides intranasales en el 91.5% y
51.2% de los casos, respectivamente).
El 70.2% y 78.9% (367 de 523 y 277 de 351, respectivamente) de los enfermos que completaron el protocolo en
2008 y 2009, en ese orden, retomaron la ITSL al año siguiente. En el transcurso de las 3 estaciones polínicas, 78
enfermos (12.4%) abandonaron el estudio por efectos adversos; sin embargo, se comprobó una declinación
progresiva importante en la incidencia de reacciones adversas a medida que la IT continuó: 16.9%, 4.4% y 1.8% en
el primero, segundo y tercer año, respectivamente. Los porcentajes de enfermos que interrumpieron el protocolo por
efectos adversos fueron de 11.1%, 1.9% y 0.4%, en ese orden.
La exposición de la ITSL fue similar cada año, con un promedio de 5.5 meses por año (primer año: 5.5 meses;
segundo año: 5.6 meses y tercer año: 5.5 meses). La exposición acumulada en los 3 períodos de tratamiento fue de
576 paciente/años. El 95.4% y 97.1% de los enfermos utilizaron la IT antes y durante la estación polínica,
respectivamente; los pacientes restantes se aplicaron IT durante todo el año (GRAZAX® durante el período de estudio
y solución con extractos alergénicos el resto del año).
Un total de 343 pacientes (54.6%) presentaron reacciones tolerables en el transcurso de los 30 minutos que siguieron
a la aplicación del primer comprimido sublingual. El 2.2% (n: 14) presentaron reacciones intolerables que motivaron
tratamientos adicionales o la interrupción del protocolo. Al segundo año, la reintroducción de la terapia se asoció con
un índice de reacciones tolerables del 38.4% (n: 141); sólo un enfermo presentó un efecto adverso intolerable. Al
tercer año, 33.6% y 0% de los pacientes presentaron reacciones tolerables y no tolerables, respectivamente.
Durante la primera estación polínica, 53.8% de los pacientes presentaron uno o más efectos adversos; los porcentajes
se redujeron sustancialmente en las estaciones siguientes (17.7% en el segundo año y 4.7% en el tercer año). Los
efectos adversos más comunes en el segundo año fueron prurito bucal (6.3%), parestesias bucales (2.2%) e irritación
de las fauces (1.6%); sin embargo, la frecuencia de estas manifestaciones fue 3 veces más baja en comparación con
los datos correspondientes al primer año. La mayoría de los efectos adversos durante el segundo año fueron locales y
de gravedad leve a moderada.
Los efectos adversos locales, de intensidad moderada a grave, fueron menos frecuentes aun en el segundo y el tercer
año (18.3% en 2008, 4.9% en 2009 y 1.1% en 2010). Durante el segundo año, sólo un enfermo presentó prurito
bucofaríngeo intolerable, que debió ser tratado, luego de la primera administración de la vacuna. Otros 2 enfermos
presentaron taquicardia supraventricular moderada y paro cardíaco no mortal, no relacionados con la terapia, a juicio
del investigador. En el último año, los efectos adversos fueron infrecuentes y de intensidad leve a moderada. En todo
el período de tratamiento no se registraron reacciones adversas sistémicas graves.
Los pacientes que habían recibido IT inyectable con anterioridad tuvieron 1.5 veces menos riesgo de sufrir reacciones
adversas en comparación con los que nunca habían recibido tratamiento específico (odds ratio [OR] = 0.67; p =
0.015).
En el subgrupo de 277 enfermos que recibieron ITSL con GRAZAX® en las 3 estaciones consecutivas, 50.5% no
presentaron ningún efecto adverso, en tanto que 49.5% refirieron manifestaciones secundarias locales (prurito y
parestesias bucales, irritación bucofaríngea y edema de la boca), ninguna de gravedad. La incidencia global de estas
manifestaciones adversas disminuyó en los 2 últimos años de tratamiento respecto del primero. En particular, la
incidencia de reacciones locales de intensidad moderada a grave se redujo de 11.2% en 2008 a 4.3% en 2009 y a
1.1% en 2010. El mismo patrón se observó para las reacciones inmediatas. Los efectos adversos más comunes por lo
general aparecieron en el mes que siguió al inicio del tratamiento.
La frecuencia de efectos adversos fue similar en los enfermos con sensibilización a un único alérgeno o con
polisensibilizaciones; sin embargo, se observó un porcentaje levemente más alto de reacciones adversas en los
asmáticos (24%) que en los sujetos sin asma (14.5%; p = 0.023) en el segundo año de terapia.
En los modelos lineales generalizados, el asma o la sensibilización a múltiples alérgenos no influyó sobre la incidencia
de efectos adversos en el transcurso del tiempo en los 277 enfermos tratados durante las 3 estaciones (asma, OR =
1.35; polisensibilización, OR = 1.27). Ningún paciente presentó agravamiento del asma.
El índice de cumplimiento de la terapia fue de 71.8% en el primer año y cercano al 90% en los 2 años siguientes. La
falta de adhesión sólo obedeció a efectos adversos en el 24.7% de los casos. Alrededor del 85% de los investigadores
y de los pacientes refirieron estar satisfechos o muy satisfechos con la terapia. Discusión
El objetivo del estudio GRAAL fue establecer la tolerabilidad de la IT específica sublingual durante 3 años (la duración
mínima recomendada para este tipo de tratamiento) en el ámbito de la práctica diaria. Los resultados comunicados
para el primer año y las observaciones obtenidas en esta ocasión, en los 2 años siguientes, confirman el excelente
perfil de seguridad asociado con la IT con el preparado comercial estandarizado con polen de gramíneas, administrado
antes y durante la estación polínica. Más aún, la tolerabilidad aumentó en el segundo y el tercer año respecto del
primero. En el transcurso de los 3 años, sólo 12.4% de los pacientes debieron interrumpir el protocolo por efectos
adversos. Un 53.8%, 17.7% y 4.7% de los pacientes presentaron efectos adversos el primero, segundo y tercer año,
respectivamente. Aunque en un trabajo anterior se obtuvieron los mismos resultados, en dicho trabajo la dosis de la
IT se incrementó en forma progresiva, en tanto que en la presente ocasión se administró la totalidad de la dosis desde
el comienzo de la terapia.
Los efectos adversos más frecuentes fueron locales; aparecieron por lo general después de la primera o primeras
dosis, y desaparecieron espontáneamente en el transcurso de pocas semanas. De hecho, 34.5% y 76.4% de las
manifestaciones secundarias que ocurrieron el primer año se observaron en el día de la primera aplicación o en el mes
siguiente. Los pacientes que completaron la primera secuencia de tratamiento, por lo general toleraron mejor la IT
sublingual en los años posteriores, posiblemente porque la IT ejerce modificaciones en el sistema inmunitario que
modifican favorablemente el curso de la enfermedad.
La tolerabilidad aguda (inmediatamente después de la administración sublingual del comprimido) también mejoró con
la reintroducción del tratamiento. Aunque la mayoría de los enfermos presentaron reacciones adversas después de la
primera administración, 96.1% de los pacientes toleraron la terapia y sólo 1.7% de los sujetos con reacciones agudas
abandonaron el protocolo en forma prematura. En los ciclos siguientes se produjeron reacciones agudas en 38.7% y
33.6% de los casos. Aún así, los hallazgos ponen de manifiesto que el inicio de la IT sublingual debe realizarse en el
consultorio, bajo estricta supervisión médica.
Si bien la coexistencia de asma leve a moderada aumentó considerablemente el riesgo de efectos adversos durante el
segundo año de tratamiento, el efecto no influyó en la tolerabilidad del producto; los autores destacan, sin embargo,
que los enfermos no efectuaron pruebas objetivas de funcionalidad respiratoria.
Los índices de adhesión fueron muy elevados: de 71.8% en el primer año a 90.3% en el último año. Sin duda, la
posibilidad de que los enfermos realicen la IT en su hogar favorece sustancialmente el cumplimiento.

Conclusiones
La ITSL con el comprimido de polen de gramíneas en unidades de calidad estandarizada por lo general se toleró bien;
la mayoría de los efectos adversos se observaron durante el primer año de terapia y en el primer mes de tratamiento.
Los resultados ponen de manifiesto la necesidad de que el tratamiento (ya sea en la primera estación polínica o en los
años posteriores) debe iniciarse bajo supervisión médica, señalan por último los autores.




DETERMINAN LA UTILIDAD DIAGNOSTICA DE LA ELECTROCOCLEOGRAFIA
                                                                                            ReSIIC editado en:
EXTRATIMPANICA EN PACIENTES CON ENFERMEDAD DE MENIèRE

                                                                                              Neurología
Madrid, España
                                                                                              Otorrinolaringología

La electrococleografía extratimpánica es una prueba útil para el diagnóstico y                Medicina Familiar
seguimiento de los pacientes con enfermedad de Ménière. La información obtenida               Medicina Interna
se correlaciona con el estadio diagnóstico.                                                   Geriatría


Acta Otorrinolaringológica Española63(6):421-428 Nov, 2012


Autores:
Sanz Fernández R, Martin-Sanz E, Sánchez JE


Institución/es participante/s en la investigación:
Hospital Universitario de Getáfe


Título original:
Electrococleografía Extratimpánica en la Enfermedad de Méniere


Título en castellano:
Electrococleografía Extratimpánica en la Enfermedad de Ménière


Extensión del Resumen-SIIC en castellano:
2.68 páginas impresas en papel A4




Introducción
La electrococleografía (ECoG) es el registro de un trazado electrofisiológico en la cóclea, en respuesta a un estímulo
acústico. El procedimiento comenzó a utilizarse en la clínica en la década de 1970, como consecuencia de la
comprobación de las aplicaciones de los potenciales evocados auditivos de tronco cerebral. Actualmente, la ECoG,
transtimpánica o extratimpánica, forma parte del arsenal de procedimientos diagnósticos en numerosos centros de
otorrinolaringología. Las indicaciones más importantes de la ECoG incluyen el estudio del hidrops
endolinfático/enfermedad de Ménière (EM), la evaluación auditiva en la población pediátrica y la monitorización
intraoperatoria. Por la facilidad de realización y por la escasa morbilidad, la ECoG extratimpánica se utiliza cada vez
más.
Por lo general, los pacientes con EM presentan amplitudes aumentadas de los potenciales de sumación (PS), como
consecuencia de la alteración de la capacidad vibratoria del órgano de Corti, secundaria a la presencia de mayor
volumen endolinfático. Sin embargo, este hallazgo –aunque es muy frecuente– tiene baja especificidad. Empero, la
relación entre los PS y los potenciales de acción (PA) se asocia con un aumento significativo del rendimiento
diagnóstico de la ECoG. De hecho, en la actualidad la mayoría de los especialistas considera que el aumento del
cociente PS/PA utilizando “clicks” es un hallazgo típico del hidrops. La sensibilidad de la prueba se incrementa aun
más cuando además del cociente PS/PA se determina el área PS/PA. En la presente investigación, los autores
determinaron la sensibilidad y especificidad de la ECoG en un grupo de sujetos con EM; también establecieron las
correlaciones entre los resultados de la prueba y los obtenidos en la evaluación clínica y vestibular.

Pacientes y métodos
El estudio tuvo un diseño longitudinal y prospectivo; entre 2008 y 2011 fueron reclutados pacientes con EM unilateral
diagnosticada según los criterios de la Academia Americana de Otorrinolaringología y Patología Cervicofacial (AAO-
HSN). Los participantes fueron sometidos a una evaluación clínica y a estudio de la función auditiva y vestibular con
audiometría tonal liminar, pruebas calóricas (procedimiento de Fitzgerald y Hallpike) y rotatorias (sinusoidal de
aceleración armónica y rotatoria impulsiva) y a ECoG extratimpánica. Fue requisito que los enfermos presentaran
función acústica normal en el oído contralateral.
Se excluyeron los sujetos con antecedentes de cirugías del oído medio porque éstas pueden comprometer la
interpretación de las pruebas vestibulares y de la ECoG, así como también los enfermos con alteraciones anatómicas
del oído externo o del oído medio que complicasen la realización de las pruebas vestibulares y electrofisiológicas.
Tampoco se incluyeron los enfermos con otros trastornos vestibulares (vértigo posicional paroxístico benigno, neuritis
vestibular, fístula perilinfática o vértigo asociado a migraña). El grupo control estuvo integrado por 20 individuos
normoacúsicos, sin antecedentes de afecciones vestibulares u otológicas ni historia de cirugía del oído medio.
Se tuvo en cuenta el número de episodios, su duración, los síntomas asociados, su duración y el nivel funcional. Todos
los pacientes realizaron una prueba oculomotora estándar para la evaluación sistemática del nistagmo espontáneo, de
agitación cefálica, de posición y posicionamiento. Asimismo, en todos los participantes se llevó a cabo la prueba de
Halmagyi o maniobra oculocefálica, la prueba de Romberg y la prueba de Fukuda.
Se determinó el umbral audiométrico por vía área y ósea para las frecuencias 0.25, 0.5, 1, 2, 3, 4 y 6 kHz. En la base
de datos se registró la peor audiometría en los seis meses previos a la realización del estudio.
A partir de la prueba rotatoria impulsiva se determinó la constante de tiempo posrotatoria en cada oído, en tanto que
con la aceleración sinusoidal armónica se determinaron los valores de fase, ganancia y simetría de cada frecuencia
estudiada.
La ECoG se realizó en un cuarto aislado acústicamente y en penumbra; la cabeza se flexionó hacia el oído
contralateral al estimulado en cada momento; luego de la introducción del electrodo extratimpánico se obtuvieron los
registros de potenciales evocados con equipos Smart EP®. Se efectuaron dos registros de cada oído con estímulo
monoaural de 0.1 ms y de polaridad alternante a 90 dB. La actividad de los potenciales evocados se filtró con un
rango de 5 a 1 500 Hz. El análisis estadístico incluyó pruebas post-hoc de Duncan y Scheffé.

Resultados
Se estudiaron 100 pacientes (57 de ellos de sexo femenino) de 54.6 años en promedio. Cincuenta y tres enfermos
presentaban compromiso del oído izquierdo. El intervalo promedio desde la última crisis de vértigo hasta la realización
de la ECoG fue de 1.5 meses (0.5 a 5). Tal como lo establecen las recomendaciones de la AAO-HNS, los pacientes se
clasificaron en estadios (1 a 4) según el umbral tonal medio (UTM) previo. El UTM, antes de comenzar el protocolo,
fue de 57.25 dB. Sesenta y dos enfermos presentaron EM definida, 13 tuvieron EM probable y en 25 se consideró EM
posible; la duración de la enfermedad fue similar en todos los grupos.
El valor medio del grado de paresia canalicular fue de 36%; el 14% presentó preponderancia direccional en la prueba
calórica. El 41%, 58% y 1% de los enfermos tuvieron prueba calórica normal, paresia canalicular unilateral y
arreflexia unilateral, respectivamente. En la prueba vestibular rotatoria, 15 pacientes mostraron un patrón de déficit
vestibular agudo descompensado; 23 enfermos presentaron un patrón de déficit vestibular agudo compensado; 5
sujetos tuvieron un patrón de habituación y en 57 enfermos, la prueba fue normal.
El cociente PS/PA superior a 0.5 (nivel superior del percentilo 95 de la población de 20 sujetos sanos) en la ECoG se
consideró indicador de disfunción del oído interno. El 85% de los pacientes evaluados cumplieron los criterios
electrofisiológicos de EM (PS/PA > 0.5). Los porcentajes de ECoG anormales fueron de 92%, 78%, 75% y 20% en los
sujetos con EM definida, probable y posible y en los controles, respectivamente. La diferencia ente los sujetos con EM
definida y los pacientes con EM probable y posible fue estadísticamente significativa; en cambio, no se encontraron
diferencias importantes entre los sujetos con EM probable y EM posible.
Cuando se compararon los cocientes PS/PA de los oídos afectados y de los oídos sanos también se registraron
diferencias muy significativas (p < 0.001) en los enfermos con EM definida y significativas en los pacientes con EM
probable. Por el contrario, en los enfermos con EM posible, los valores no fueron estadísticamente significativos.
Los cocientes tendieron a ser más altos en los pacientes con mayor pérdida auditiva. La duración de la enfermedad en
meses se correlacionó fuertemente con los cocientes PS/PA (los enfermos con mayor tiempo de evolución tuvieron
cocientes más altos); en cambio, el intervalo entre la última crisis de vértigo y la realización de la ECoG se asoció en
forma inversa con los valores del cociente PS/PA (los intervalos más cortos se asociaron con cocientes más altos). Los
resultados de las pruebas vestibulares y de la ECoG no se correlacionaron; tampoco se observaron asociaciones entre
los cocientes PS/PA y los resultados de las pruebas rotatorias (ganancia, fase y simetría en la prueba sinusoidal
armónica y constante de tiempo en la prueba impulsiva).

Discusión
Los hallazgos de este estudio confirman la presencia de anormalidades en la ECoG extratimpánica en los pacientes
con EM. En diversas series anteriores se han aplicado umbrales distintos para el cociente PS/PA, en ocasiones,
diferentes para hombres y mujeres. Por este motivo es importante que cada laboratorio establezca sus propios
valores de referencia, de forma tal de optimizar la sensibilidad y especificidad del procedimiento. En el presente
estudio, al igual que en un ensayo anterior, el cociente superior a 0.5 (sugestivo de hidrops endolinfático) se asoció
con sensibilidad de 85% (85 de los 100 enfermos evaluados) y especificidad de 80%.
Los pacientes con mayor tiempo de evolución y con EM definida (en comparación con los sujetos con EM probable o
posible) presentaron cocientes más altos. Aunque los resultados de la ECoG no se correlacionaron significativamente
con los de las pruebas auditivas es posible que el fenómeno obedezca al escaso número de enfermos.
En los pacientes con EM, la persistencia del hidrops se asocia con daño irreversible de la membrana de Reissner; es
probable que este proceso explique, al menos en parte, el aumento del cociente PS/PA. También explicaría la relación
inversa entre el intervalo desde la última crisis de vértigo y el cociente PS/PA. En este contexto, algunos grupos
consideran que la ECoG sólo sería útil en las crisis de la EM, caracterizadas por la presencia de hidrops. Sin embargo,
se ha observado que las alteraciones de la ECoG persisten incluso en los períodos entre las crisis.




Las pruebas vestibulares calóricas y rotatorias se consideran la herramienta estándar para el diagnóstico de los
trastornos vestibulares, entre ellos la EM; ambas son útiles para la detección de compromiso vestibular periférico,
pero la sensibilidad disminuye en forma significativa en las fases iniciales de la EM cuando el hidrops todavía no
ocasionó lesiones en el canal semicircular lateral. De hecho, no es infrecuente que las pruebas vestibulares clásicas
sean negativas en los estadios tempranos de la EM. Por el contrario, la ECoG es útil para detectar tempranamente el
hidrops coclear, presente desde las primeras etapas de la enfermedad.

Conclusiones
Los hallazgos del presente estudio indican que la ECoG es un procedimiento útil para el diagnóstico y seguimiento de
los pacientes con EM; además, ayuda a comprender los mecanismos fisiopatológicos que participan en el hidrops
endolinfático en estos enfermos, concluyen los expertos.




INVESTIGAN EL VALOR DEL CORTISOL MEDIDO EN EL CABELLO COMO
                                                                                             InSIIC editado en:
BIOMARCADOR DEL ESTRES SUBJETIVO CRONICO

                                                                                              Diagnóstico por
                                                                                             Laboratorio
Boston, EE.UU.                                                                                 Salud Mental


La determinación de los niveles de cortisol en el cabello podría representar un                Atención Primaria
parámetro útil para la cuantificación global y no específica del estrés subjetivo              Bioquímica
crónico.
Fuente científica: Stress and HealthEpub: Dic, 2012 aSNC


  Autores: O'Brien KM, Tronick EZ, Moore CL

 Palabras clave: cortisol en el cabello, estrés crónico, estrés subjetivo,
disparidades en salud, identidad social

 Key Words: head cortisol, chronic stress, percieved stress, health disparities,
social identity




  Institución principal: University of Massachusetts Boston

  Correspondencia: KM O'Brien, University of Massachusetts Boston, MA 02125, Boston EE.UU.

  Patrocinio: National Institute on Minority Health and Health Disparities.

  Conflicto de interés: No declarado.

  Agradecimientos: National Institute on Minority Health and Health Disparities.




Se ha sugerido que la determinación de cortisol en el cabello podría representar un marcador confiable de estrés
crónico. Sin embargo, se trata de un biomarcador que ha sido evaluado sólo en ciertos grupos de pacientes, como los
sujetos con estrés postraumático, los trabajadores con turnos rotativos y los neonatos hospitalizados, entre otros.
Asimismo, se admiten incongruencias en la bibliografía en relación con la correlación entre este parámetro y los
eventos de estrés agudo. Del mismo modo, no se dispone de información en términos de la asociación entre el nivel
de cortisol y las variables de percepción del estrés.
Sobre la base de estos datos, se describen los resultados de un estudio en el cual participaron 135 individuos adultos.
Se llevaron a cabo determinaciones de cortisol en el cabello con técnicas de cromatografía líquida de alto rendimiento.
Además, se efectuó la medición de los parámetros antropométricos vinculados con la salud y la carga alostática
(cociente cintura/cadera [CCC], presión arterial en reposo). Para la evaluación de las variables psicosociales se aplicó
el cuestionario Percieved Stress Scale, considerado un instrumento validado para la cuantificación del estrés subjetivo.
Por otra parte, por medio de la escala Chaos, Hubbub and Order se estimó el nivel de orden doméstico, al tiempo que
la repercusión de los factores de riesgo originados en el vecindario se calculó mediante el índice validado City Stress.
La totalidad de estos puntajes se estandarizaron para la generación posterior de una escala global de estrés subjetivo.
Se obtuvieron además datos demográficos, entre los que se citan el nivel socioeconómico, el grupo racial o étnico y la
edad.

En el análisis estadístico, se procedió a la transformación logarítmica de los resultados del cortisol en cabello debido al
sesgo positivo de los valores obtenidos. En este modelo, se verificó que el cortisol no se asociaba de modo
significativo con los índices subjetivos individuales de cada dominio de cuantificación del estrés. Sin embargo, se
comprobó una correlación positiva con el puntaje total combinado de las 3 escalas (r = 0.19; p < 0.05) y con la
presión sistólica (r = 0.25; p < 0.01). Se advirtió que el cortisol en el cabello no se asoció en forma significativa con la
circunferencia de cintura y el CCC en esta cohorte. Aunque el CCC es un reconocido indicador de la carga alostática y
ha sido relacionado con el cortisol en otros ensayos, se admite que no se ha definido si esta hormona se correlaciona
en forma sistemática con aspectos crónicos de la salud o bien si es posible definirla como un marcador predictivo
confiable de la carga alostática.

Por otra parte, en este ensayo se demostraron diferencias significativas entre los sexos, ya que los participantes de
sexo masculino se caracterizaron por mayores niveles de cortisol en el cabello. Además, en un modelo de análisis de
covarianza, se señaló que los pacientes de raza blanca con mayor nivel socioeconómico informaron menos estrés
subjetivo en comparación con las minorías étnicas de igual nivel económico. En cambio, los participantes de raza
blanca de ingresos intermedios declararon mayor nivel subjetivo de estrés en comparación con los restantes
pacientes. Estas diferencias en la percepción del estrés no se reconocieron en los individuos de bajo nivel
socioeconómico. Se postula que los factores socioeconómicos podrían asociarse con distintos significados para las
minorías étnicas, o bien que la mejora del nivel económico podría tanto reducir el estrés al disminuir la pobreza como
incorporar nuevos componentes estresantes relacionados con la discriminación en algunos grupos sociales.

De esta forma, se destaca que, si bien el cortisol medido en el cabello no se asoció de forma significativa con los
dominios individuales de las escalas de medición del estrés, fue posible demostrar una correlación con un sistema de
puntuación combinado para el estrés subjetivo. Por consiguiente, este biomarcador podría representar un parámetro
útil para la cuantificación global y no específica del estrés, que requiere de nuevos estudios de confirmación.
INDICE DE MASA CORPORAL MATERNO, VIA DE RESOLUCION DEL EMBARAZO Y RESULTADOS
                                                   PERINATALES
                                    (especial para SIIC © Derechos reservados)
Introducción
Actualmente, la obesidad es un problema de salud pública que afecta a embarazadas, niños y adultos por igual,
y no se encuentra limitado a una sola región geográfica. Puede estar siendo condicionada por los cambios en
las circunstancias económicas y culturales de cada región. Se considera una epidemia mundial y de acuerdo con
datos de la Organización Mundial de la Salud (OMS), se estima que más de 1 500 millones de personas en el
mundo tendrán sobrepeso u obesidad para 2015.1 En Estados Unidos, el 34% de las personas tienen sobrepeso
(índice de masa corporal [IMC] > 25 a 29.99 kg/m2) y el 32% son obesas (IMC > 30 kg/m2). La incidencia de
obesidad en el embarazo varía del 20% al 40% y, probablemente, esta cifra se incremente aún más, dado el
aumento continuo en la frecuencia de obesidad.2 México es el país que ocupa el segundo lugar con mayor
proporción de población con obesidad, ya que tres de cada 10 personas padecen este problema y casi siete de
cada 10 tienen sobrepeso. De acuerdo con la última Encuesta Nacional de Salud y Nutrición del Instituto
Nacional de Salud Pública (INSP), en el país contamos con 52.2 millones de personas con sobrepeso y
obesidad, lo cual es una cifra alarmante cuando se sabe que una proporción importante de esta población son
niños y adolescentes, hombres y mujeres que están en su etapa reproductiva.3 De acuerdo con la distribución
del IMC (kg/m2) para la edad, el 26% de los escolares en México y uno de cada tres adolescentes presentan
exceso de peso, es decir, la combinación de sobrepeso más obesidad. En las personas mayores de 20 años, las
prevalencias de sobrepeso y obesidad (IMC = 25) se han incrementado de manera alarmante. En la actualidad,
el 71.9% de las mujeres y el 66.7% de los hombres mexicanos tienen exceso de peso. 3 La obesidad, incluyendo
el sobrepeso, es considerada un estado premórbido, que se caracteriza por el almacenamiento en exceso de
tejido adiposo en el organismo, lo cual se relaciona con alteraciones metabólicas que predisponen a la
presentación de trastornos que deterioran el estado de salud. En la mayoría de los casos, se encuentra asociada
con enfermedad endocrina, cardiovascular y ortopédica, principalmente. La obesidad durante el embarazo es un
factor que influye en la mayor frecuencia de operación cesárea, distocia del hombro, infección, hipertensión
crónica, preeclampsia, diabetes mellitus, durante el embarazo y después de éste. La obesidad materna puede
ser un factor que aumenta la frecuencia de recién nacidos con peso al nacimiento mayor de 4 000 g y mayor
riesgo de anomalías fetales (principalmente defectos del tubo neural) y de muerte fetal intrauterina. Se ha
informado que pacientes embarazadas con obesidad mórbida tienen un mayor riesgo de operación cesárea (RR:
2.2; intervalo de confianza [IC] 95%: 1.7 a 2.8), presentan 3 veces más riesgo de macrosomía fetal (RR: 3.1;
IC95%: 2.1 a 4.8) y mayor mortalidad perinatal (RR: 16.7; IC95%: 4.9 a 56).4 En un informe reciente,5 se
concluyó que la obesidad materna incrementa la frecuencia de operación cesárea tanto en primíparas como en
multíparas. En este estudio, la frecuencia general de cesárea fue del 30.1% en mujeres obesas, en
comparación con el 19.2% en mujeres con peso normal determinado por IMC (p < 0.001). En las primíparas
obesas, el incremento de cesáreas se debió a una mayor incidencia de sufrimiento fetal (urgencia) (p < 0.005)
y en el grupo de multíparas fue, principalmente, por una indicación electiva (p < 0.01).5 Una embarazada obesa
tiene un riesgo de 3 a 10 veces mayor de presentar hipertensión (RM ajustado: 2.38; IC95%: 2.24 a 2.52) o
diabetes, infección de la herida quirúrgica (RM ajustado: 1.60; IC95%: 1.53 a 1.67), enfermedad
tromboembólica venosa (razón de momios [RM] ajustada: 2.17; IC95%: 1.30 a 3.63), parto por cesárea (RM
ajustada 1.60, 95% 1.53 a 1.67), inducción del parto (RM ajustada: 1.94; IC95%: 1.86 a 2.04) o preeclampsia
(RM ajustada: 3.5; IC95%: 2.49 a 3.62) que las de peso normal.6,7 La obesidad antes del embarazo aumenta el
riesgo de rotura prematura de membranas y disminuye el riesgo de parto pretérmino espontáneo sin rotura. 8
Debido a la alta prevalencia de sobrepeso y obesidad en México y en el mundo, y al impacto que ésta tiene
sobre la salud global de los individuos, se llevó a cabo un estudio en embarazadas que acudieron antes de las
13 semanas de gestación, con el propósito de evaluar si el IMC durante el embarazo es un factor que influye en
la vía de resolución del embarazo y en los resultados perinatales.

Material y métodos
De noviembre de 2010 a diciembre de 2011 se llevó a cabo un estudio de cohortes comparativas, en el cual se
incluyeron 595 embarazadas que acudieron al Hospital Civil de Culiacán, Sinaloa, México, para una consulta
prenatal antes de las 13 semanas de gestación. Las mujeres fueron divididas en tres grupos de acuerdo con su
IMC: normal 24.5% (n = 146), sobrepeso 40.3% (n = 240) y obesidad 35.1% (n = 209). El IMC fue
determinado de acuerdo con la relación existente entre el peso en kg y la talla en metros elevada al cuadrado
[peso en kg/ (talla en m)2]. Se consideró, de acuerdo con las referencias establecidas por la OMS,1 como peso
normal un IMC de 18.5 a 24.9 kg/m2, sobrepeso con IMC de 25 a 29.9 kg/m2 y obesidad cuando el IMC es > 30
kg/m2. Durante la primera visita prenatal, a cada embarazada se le realizaron los siguientes exámenes
prenatales: determinación de hemoglobina (Hb) y hematocrito (Hto), glucosa sérica, orina, grupo y Rh en caso
de que lo desconocieran, pruebas para detección de enfermedades venéreas (Venereal Disease Research
Laboratory [VDRL]) y anticuerpos contra el virus de la inmunodeficiencia humana (VIH), y se iniciaba la
administración de hierro oral y acido fólico. Se efectuó, además, un ultrasonido transvaginal para evaluar el
número de sacos gestacionales y confirmar la edad gestacional. El seguimiento prenatal se llevó a cabo cada 4
semanas o antes, de acuerdo con la presencia de alguna complicación clínica (diabetes mellitus, hipertensión
arterial). Entre las 20 y 22 semanas, se realizó un ultrasonido estructural del feto para la búsqueda de
malformaciones congénitas graves y se repitió a las 28 y 32 semanas para evaluar el crecimiento fetal. Entre
las 24 y 28 semanas de gestación, se les realizó la prueba para detección de diabetes gestacional con una
carga de 50 g de glucosa vía oral y determinación a la hora de los niveles de glucosa sérica; se consideró
anormal un valor mayor o igual a 140 mg/dl. A las 28 semanas, se repitió la determinación de Hb y Hto y un
examen general de orina. De acuerdo con los hallazgos en la exploración física de cada visita prenatal, se
efectuaban exámenes complementarios. En cada vista prenatal, se anotaba peso de la madre, presión arterial,
tamaño de fondo uterino, situación del feto y frecuencia cardíaca fetal. Se analizaron las siguientes variables:
vía de resolución del embarazo (vía vaginal o por operación cesárea), hipertensión gestacional (definida como
la presencia de cifras tensionales mayores o iguales a 140/90 mm Hg después de las 20 semanas de gestación,
con ausencia de proteínas en la orina, en dos tomas consecutivas con un intervalo de 4 horas entre una toma y
otra. En caso de existir proteinuria en dos muestras consecutivas, se efectuó el diagnóstico de preeclampsia-
eclampsia); diabetes mellitus gestacional (diagnosticada por medio de una curva de tolerancia a la glucosa
realizada entre la semana 24 y 28 de gestación, por la presencia de dos valores alterados: ayuno: 95 mg/dl, 1
hora: 180 mg/dl, 2 horas: 155 mg/dl, 3 horas: 140 mg/dl, efectuada después de una prueba de tamizaje
anormal);frecuencia de macrosomía fetal (peso mayor o igual a 4 000 g al nacimiento o bien por arriba del
percentil 90); restricción del crecimiento intrauterino (peso estimado para la edad gestacional por debajo del
percentil 3, o entre el percentil 3 y 10 con alteración del flujo cerebro-umbilical o de las arterias uterinas
durante el estudio Doppler realizado en cada visita prenatal después de existir la sospecha). Se analizaron otras
variables de interés secundario como: edad materna, número de embarazos, número de partos, abortos
previos, edad gestacional al momento de la resolución del embarazo (pretérmino, termino o prolongado),
enfermedades crónicas asociadas, frecuencia de rotura prematura de membranas, indicación de cesárea, parto
pretérmino, dehiscencia de herida quirúrgica, inducción del trabajo de parto. Los resultados perinatales
analizados fueron: puntaje de Apgar al nacimiento (minuto y 5 minutos), peso del recién nacido, presencia de
malformaciones congénitas, mortalidad perinatal, presencia de meconio e ingreso a la unidad de cuidados
intensivos neonatales.

El análisis de los datos se determinó mediante el cálculo de medidas de asociación, diferencias entre medias y
pruebas estadísticas adecuadas de acuerdo con el tipo de variable: prueba de chi al cuadrado para variables
categóricas y prueba de la t de Student, análisis de varianza de una vía (ANOVA) y prueba de Tukey para
comparaciones múltiples en el caso de variables numéricas. Se calculó la RM, con IC95% para sobrepeso y
obesidad en relación con el grupo de peso normal por medio de un análisis de regresión logística multinomial de
las complicaciones médicas, obstétricas y perinatales. Se utilizó la prueba de Kruskal-Wallis para la
comparación de la puntuación de Apgar < 7 al minuto y a los 5 minutos entre los grupos. Un valor de p menor
o igual a 0.05 fue considerado estadísticamente significativo. Los análisis se realizaron con el programa
estadístico SPSS v. 15.


Resultados
La edad promedio, el número de embarazos, en número de partos y el número de cesáreas previas fueron
significativamente diferentes entre los tres grupos (Tabla 1).
Se observó una diferencia significativa (p = 0.000) entre los grupos en la ganancia de peso, con un promedio
de ganancia de 10.6 kg (desviación estándar [DE]: 4.92), 12.5 kg (DE: 5.1) y 13.7 kg (DE: 6.6) para normal,
sobrepeso y obesidad, respectivamente. La prueba de Tukey mostró diferencias significativas entre el grupo de
peso normal y sobrepeso (diferencia de 1.96 kg; p = 0.003), entre el grupo normal y obesidad (diferencia de
3.14 kg; p = 0.000). No se observaron diferencias significativas en la ganancia de peso entre el grupo de
sobrepeso y obesidad (p = 0.072).

Con respecto a las complicaciones clínicas maternas, no se encontraron diferencias significativas en la
frecuencia de diabetes mellitus gestacional entre los grupos (p = 0.397). Comparado con las embarazadas con
IMC normal, existe un mayor riesgo de hipertensión durante el embarazo en mujeres con sobrepeso (RM: 1.48;
IC95%: 0.51 a 4.32) y en obesas (RM: 4.71; IC95%: 1.79 a 12.5). No se observaron diferencias significativas
en la frecuencia de rotura prematura de membranas (p = 0.686), parto pretérmino (p = 0.580), embarazo
prolongado (p = 0.062), inducción del trabajo de parto (p = 0.115), distocia del trabajo de parto (p = 0.290) y
operación cesárea (p = 0.988). El 2.7% del grupo con IMC normal y el 4.2% del grupo con sobrepeso
presentaron complicaciones transoperatorias y no hubo casos en el grupo de obesas (p = 0.012). No se
encontraron diferencias significativas (p = 0.290) en la frecuencia de complicaciones posoperatorias entre los
grupos (0%, 1.7% y 1.9% para los grupos de peso normal, sobrepeso y obesidad, respectivamente) (Tabla 2).
La frecuencia de macrosomía fetal fue del 0.7% (n = 1), 2.9% (n = 7) y 8.6% (n = 18) para los grupos de
peso normal, sobrepeso y obesidad, respectivamente (p = 0.001). En comparación con las mujeres con peso
normal, existe un mayor riesgo de macrosomía en embarazadas con sobrepeso (RM: 4.35; IC95%: 0.53 a
35.71) y en aquellas con obesidad (RM: 13.70; IC95%: 1.80 a 100).

No se observaron diferencias significativas entre los grupos con respecto al puntaje de Apgar del recién nacido
medido a 1 minuto (p = 0.580) y a los 5 minutos (p = 0.143). El 3.4%, 2.5% y 1.9% de los nacidos de madres
con peso normal, sobrepeso y obesidad presentaron puntajes de Apgar menores de 7 al minuto (p = 0.527). A
los 5 minutos, la frecuencia de puntaje de Apgar menor de 7 fue de 1.4% en el grupo de peso normal, 0.4% en
el de sobrepeso y 1.0% en el grupo de obesidad (p = 0.551). No se encontraron diferencias significativas en la
frecuencia de hospitalización del neonato en la UCIN, con el 7.5% (n = 11) en el grupo de peso normal, 7.5%
(n = 18) para el de sobrepeso y 4.8% (n = 10) para el de obesidad (p = 0.440). Asimismo, no se observaron
diferencias en la frecuencia de bajo peso al nacer (p = 0.739) entre los grupos. La frecuencia de líquido con
meconio fue de 6 mujeres en el grupo de peso normal (4.1%), 18 en el de sobrepeso (7.5%) y ninguna en el
grupo de obesidad, sin diferencias entre los grupos (p = 0.300). Se registró sólo un caso de muerte perinatal
(0.7%) que correspondió al grupo de peso normal (p = 0.210) (Tabla 2). La frecuencia de recién nacidos con
malformación congénita fue del 1.4% (n = 2) en mujeres con peso normal, ningún recién nacido del grupo de
sobrepeso y del 1.0% (n = 2) en el de mujeres con obesidad, sin diferencias significativas entre los grupos (p =
0.230).


Discusión
La obesidad es un factor que afecta, sin duda, la evolución del embarazo y, actualmente, se considera un
problema de salud pública. Su incremento en países desarrollados y no desarrollados es significativo. Es un
factor que aumenta el riesgo de resistencia a la insulina, por lo que la frecuencia de diabetes tipo 2 es mayor en
obesos. Además, tienen mayor predisposición a hipertensión arterial y dislipidemia (el riesgo de síndrome
metabólico aumenta con la edad). Las mujeres que presentan hipertensión en el embarazo tienen de 3 a 5
veces más probabilidades de padecer síndrome metabólico. Todos estas complicaciones clínicas asociadas con
la obesidad pueden afectar adversamente la evolución del embarazo y los resultados perinatales (la tasa de
cesárea, complicaciones anestésicas, diabetes, hipertensión y defectos de tubo neural se elevan 3 veces más).
La incidencia de la obesidad durante el embarazo se ha modificado en el tiempo. Actualmente, se encuentra
entre el 6% y el 28%, y depende de la definición y de ciertos factores maternos, como la edad y las
características de la población de estudio. En una revisión sistematica,9 en la que se evaluaron diversos
estudios de tipo cohorte y casos y controles, con distintos tamaños de muestra de embarazadas clasificadas de
acuerdo con su IMC, no se informó que existiera variación en las complicaciones anteparto, intraparto,
posparto, complicaciones perinatales y clínicas entre los estudios revisados. El método utilizado en estos
trabajos para clasificar a las embarazadas según su IMC es el mismo que se empleó en esta investigación. La
complicación anteparto informada con mayor frecuencia asociada con un IMC elevado es la infertilidad, y en
estas pacientes (obesidad-infertilidad) se incrementa el riesgo de aborto espontáneo. Esto coincide con lo
indicado en este trabajo, en el que las embarazadas con IMC elevados tuvieron infertilidad y éstas, a su vez,
presentaron mayor frecuencia de abortos.9 Otra complicaciones que se presentan con mayor frecuencia en
mujeres con IMC elevado (sobrepeso y obesidad) son la hipertensión esencial (RM ajustado: 2.38; IC95%: 2.24
a 2.52) y la diabetes mellitus (diabetes gestacional: 6.5% a 8%).5,10,11 En el presente estudio, la frecuencia de
diabetes gestacional fue menor que lo informado previamente (1.5%), pero no la frecuencia de hipertensión
arterial sistémica.

El incremento de peso durante el embarazo se debe a que las mujeres, en general, tienen un apetito
notablemente mayor, lo cual conduce a la creación de un amortiguamiento de la grasa, con el objetivo de
atender las demandas del feto en desarrollo. Esto brinda protección al feto, en especial cuando existe mayor
riesgo de desnutrición.

Uno de los riesgos inherentes a las mujeres obesas que se embarazan es que presenten mayor ganancia de
peso en comparación con aquellas con peso normal. Las normativas existentes de incremento de peso en
mujeres obesas normalmente recomiendan que la embarazada obesa incremente como máximo 7 kg durante
todo el embarazo.12 En este estudio, las mujeres obesas aumentaron 13.75 kg durante el embarazo y este
incremento es mayor que en las embarazadas con sobrepeso y peso normal. Esto difiere de lo señalado en un
estudio realizado en México, en el que el incremento de peso en embarazadas obesas no fue mayor de 2.2 kg.
Estas diferencias en el aumento de peso entre el presente trabajo y el de Perichart2 pudo deberse a un control
más estricto en la ingesta calórica de las participantes en este último estudio.

En lo que respecta a las complicaciones obstétricas, éstas se presentan con mayor frecuencia en mujeres
obesas que se embarazan, y pueden dividirse en 2 grupos: las que afectan a la madre y las que afectan al feto.
Dentro del primer grupo incluimos rotura prematura de membranas, parto pretérmino, inducción del parto,
embarazo prolongado, complicaciones transoperatorias (atonía uterina, procesos embólicos y anestésicos) y
posoperatorias (infección de la herida, procesos embólicos). Dentro del segundo grupo se incluyen las
siguientes complicaciones: macrosomía fetal, bajo peso al nacer, puntaje de Apgar al minuto y a los 5 minutos,
hospitalización del neonato, desprendimiento de placenta, placenta previa, distocia del trabajo de parto, líquido
meconial, mortalidad perinatal y malformaciones congénitas.

Se considera que el IMC materno, ya sea bajo o elevado, es un factor de riesgo modificable para nacimiento
pretérmino. Un estudio informó mayor frecuencia de nacimientos pretérmino en pacientes con peso materno
bajo.8 En ese mismo trabajo, la obesidad ha sido asociada con disminución en la frecuencia de nacimientos
pretérmino espontáneos y no se ha vinculado con rotura prematura de membranas y mayor riesgo de rotura de
membranas en embarazos pretérmino y de término, lo cual difiere de los hallazgos de la presente investigación,
en la cual la frecuencia de nacimientos pretérmino y rotura de membranas fue similar en mujeres con peso
normal, con sobrepeso o con obesidad. La inducción del trabajo de parto también ha sido informada con mayor
frecuencia en embarazadas obesas (RM: 1.94 IC95% 1.86 a 2.04),6,7 lo cual no coincide con el resultado de
este estudio en el cual la frecuencia de inducción del trabajo de parto fue similar entre los tres grupos.
Asimismo, se ha considerado a la obesidad durante el embarazo como un factor de riesgo para embarazo
prolongado, lo cual difiere de los hallazgos de esta investigación en la cual no se encontraron diferencias en la
frecuencia de embarazo prolongado entre embarazadas con peso normal, sobrepeso u obesidad (0.7%, 2.9%
contra 0.5%).6-8 En el presente estudio, la frecuencia de rotura prematura de membranas fue similar entre
mujeres con peso normal, sobrepeso u obesidad (5.5%, 6.7% frente a 4.8%; p = 0.686), lo cual difiere de lo
señalado en la bibliografía, en la que se considera a la obesidad como un factor de riesgo para rotura
prematura de membranas pretérmino.8 Existen varios informes de que la obesidad preembarazo incrementa el
riesgo de nacimiento por cesárea (RR: 1.6; IC95%: 1.53 a 1.67),6,7,13 además de mayor pérdida sanguínea,
tiempo operatorio e infección del sitio quirúrgico. En otro estudio retrospectivo realizado en Sheffield, Reino
Unido, se evaluó la influencia que ejerce el incremento del IMC en mujeres nulíparas en los resultados del
embarazo y se determinó que la mujer con obesidad mórbida tiene mayor riesgo en la incidencia de operación
cesárea (RR: 2.2; IC95%: 2.1 a 4.8).4 Esto difiere de los hallazgos del presente estudio en el que la frecuencia
de operación cesárea fue similar entre los tres grupos (peso normal, sobrepeso y obesidad) (47.3%, 49.2%,
48.8%, respectivamente).

Aunque la frecuencia fue similar entre los tres grupos, es importante investigar cuáles son los factores que
impactan en este incremento en la tasa de operación cesárea observada en este estudio, lo cual podría,
probablemente, estar influenciado por ser el hospital un ámbito donde se forman recursos humanos para la
salud y muchos médicos están actualmente practicando una medicina defensiva, que resulta contraproducente,
ya que la operación cesárea no está exenta de riesgos.

La frecuencia de complicaciones transoperatorias indicadas en este trabajo difiere de lo informado en la
bibliografía, y se encontraron como hallazgos una mayor frecuencia en el grupo de sobrepeso en comparación
con las mujeres con obesidad o peso normal. Las complicaciones transoperatorias que se presentaron con
mayor frecuencia son: atonía uterina (peso normal n = 2, sobrepeso n = 4), hemorragia obstétrica (normal n =
1, sobrepeso n = 1), desgarro vaginal (normal n = 2, sobrepeso n = 1), crisis convulsivas (sobrepeso n = 1),
complicación anestésica (sobrepeso n = 1) e inversión uterina (n = 1).
La frecuencia de complicaciones posoperatorias fue similar entre los tres grupos, lo cual es diferente a lo
informado en la bibliografía, en la que se señala mayor riesgo en mujeres con obesidad. Las complicaciones
posoperatorias inmediatas que se presentaron fueron 2 reingresos al tercer día de egreso, uno por
deciduomiometritis (posparto) en una paciente con sobrepeso, sin factores de riesgo, y dehiscencia quirúrgica
de una paciente con obesidad (poscesárea).

La macrosomía fetal, definida como un peso mayor de 4 000 g, ha sido registrada con mayor frecuencia en
embarazadas con un IMC elevado (RR: 3.1; IC95%: 2.1 a 4.8).4,13,14 Esto coincide con los hallazgos del
presente estudio, en el cual la frecuencia de macrosomía fue mayor en mujeres obesas (8.6%) en comparación
con las de peso normal (0.7%) y sobrepeso (2.9%). En lo que respecta al bajo peso al nacimiento, no se
encontraron diferencias entre los tres grupos.

En general, el puntaje de Apgar de los recién nacidos no se ve afectado únicamente por la obesidad13,14 y esto
dependerá de las comorbilidades o complicaciones que se presenten durante el embarazo, como se demuestra
en este trabajo, en el que las puntuaciones de Apgar fueron similares entre los grupos de embarazadas con
peso normal, sobrepeso y obesidad.

Se refiere que la frecuencia de ingresos de los recién nacidos a la UCIN es significativamente mayor en aquellos
nacidos de madres con obesidad y generalmente es secundario a dificultad respiratoria, hipoglucemia, ictericia,
hipocalcemia y policitemia.14 Esto difiere de los hallazgos de este estudio, ya que no se encontraron diferencia
en la frecuencia de hospitalización neonatal entre los tres grupos.

En cuanto a los resultados perinatales, se ha señalado que la obesidad se asocia con malformaciones
congénitas al nacimiento (2 veces mayor el riesgo de defectos del tubo neural), defectos cardíacos, de la pared
abdominal u orofaciales. Asimismo, se ha asociado con un incremento en la mortalidad perinatal (37/1 000 en
mujeres de peso normal frente a 121/1 000 en mujeres obesas [p < 0.001]).4,5,9 En este trabajo no se
encontraron diferencias en estas variables entre los tres grupos de estudio.

En lo que se refiere a la frecuencia de desprendimiento de placenta, distocia del trabajo de parto y líquido
amniótico meconial, no se registraron diferencias entre los 3 grupos de estudio, lo cual se contrapone a lo
señalado en la bibliografía en la que se informa mayor frecuencia de estas variables en embarazadas con
obesidad.

Conclusiones
Sobre la base de los hallazgos del presente estudio se puede concluir que es importante tener en mente que,
aunque no se encontraron diferencias en la vía de resolución del embarazo entre los grupos, existe mayor
riesgo de complicaciones en el período transoperatorio en mujeres obesas sometidas a operación cesárea.
Asimismo, la obesidad se asocia con mayor riesgo de macrosomía fetal, lo que puede condicionar que se
presente mayor frecuencia de complicaciones al momento de un parto vaginal, como la distocia de hombros y
lesiones del canal del parto. El sobrepeso y la obesidad no incrementaron el riesgo de complicaciones durante el
embarazo ni el riesgo de un resultado perinatal adverso. Un buen control durante el seguimiento prenatal en
embarazadas con obesidad o sobrepeso puede hacer que se obtengan resultados obstétricos y perinatales
similares a los obtenidos en pacientes con IMC normal.



         Bibliografía del artículo1. Organización Mundial de la Salud 2010. Diez datos para la obesidad.
         http://www.who.int/features/factfiles/obesity/facts/es/.
         2. Bobrowski R. Pulmonary physiology in pregnancy. Clin Obstet Gynecol Obstet 53(2):285-300,
         2010.
         3. Olaiz-Fernández G, Rivera-Dommarco J, Shamah-Levy T, Rojas R, Villalpando-Hernández S,
         Hernández-Avila M, Sepúlveda-Amor J. Encuesta Nacional de Salud y Nutrición 2006. Cuernavaca,
         México: Instituto Nacional de Salud Pública; 2006.
         4. Mantakas A, Farrell T. The influence of increasing BMI in nulliparous women on pregnancy outcome.
         Eur J Obstet Gynecol Reprod Biol 153:43-46, 2010.
         5. O´Dwyer V, Farah N, Fattah N, O´Connor N, Kennelly MM, Turner MJ. The risk of caesarean section
         in obese women analysed by parity. Eur J Obstet Gynecol Reprod Biol 158(1):28-32, 2011.
         6. Robinson HE, Colleen M, O´Connell KS. Joseph MD, McLeod L. Maternal outcomes in pregnancies
         complicated by obesity. Obstet Gynecol 106(6):1357-1364, 2005.
         7. Dietl JJ. Maternal obesity and complications during pregnancy. J Perinat Med 33:100-105, 2005.
         8. Zhong Y, Cahill GA, Macones GA, Zhu F, Odibo AO. The Association between Prepregnancy
         maternal body mass index and preterm delivery. Am J Perinatol 27(4):293-98, 2010.
         9. Nuthalapaty FS, Rouse DJ. The impact of obesity on obstetrical practice and Outcome. Clin Obstet
         Gynecol 47:898-913, 2004.
         10. Weiss JL, Malone FD, Emig D, Ball RH, Nyberg DA, Comstock CH, et al. Obesity, obstetric
         complications and cesarean delivery rate-a population-based screening study. Am J Obstet Gynecol
         190:1091-1097, 2004.
         11. Chauhan SP, Magann EF, Carroll CS. Mode of delivery for the obese with prior cesarean delivery:
         vaginal versus repeat cesarean section. Am J Obstet Gynecol 185:349-354, 2004.
         12. Perichart PO. Impacto de la obesidad pregestacional en el estado nutricio de mujeres
         embarazadas de la ciudad de México. Ginecol Obstet Mex 74:77-88, 2006.
         13. Flick AA, Brookfield KF. Excessive weight gain among obese women and pregnancy outcomes. Am
         J Perinatol 27:4, 2010.
14. Wylie BR, Kong J, Kozak SE, Marshall CJ, Tong SO, Thompson DM. Normal perinatal mortality in
             type 1 diabetes mellitus in a series of 300 consecutive pregnancy outcomes. Am J Perinatol 19:4,
             2002.




¿COMO DETECTAR Y EVITAR LAS REACCIONES ADVERSAS A FARMACOS EN
                                                                                             ReSIIC editado en:
LOS PACIENTES DE EDAD AVANZADA?

                                                                                               Geriatría
Gent, Bélgica
                                                                                               Farmacología

Las reacciones adversas a fármacos, muy frecuentes en los sujetos de edad                      Alergia
avanzada, son una causa importante de morbilidad y mortalidad. Los pacientes                   Atención Primaria
seniles, por diferentes motivos, son particularmente proclives a presentar este tipo           Bioquímica
de reacciones. La identificación de los enfermos más vulnerables representa el                 Cardiología
primer paso para minimizar el riesgo.                                                          Diagnóstico por
                                                                                             Laboratorio
Drugs & Aging29(6):453-462, 2012                                                               Educación Médica
                                                                                               Epidemiología
                                                                                               Gastroenterología
Autores:                                                                                       Hematología
Petrovic C, van der Cammen T, Onder G                                                          Medicina Farmacéutica
                                                                                               Medicina Familiar
Institución/es participante/s en la investigación:                                             Medicina Interna
Ghent University Hospital                                                                      Nefrología y Medio
                                                                                             Interno
                                                                                               Neurología
Título original:                                                                               Salud Mental
Adverse Drug Reactions in Older People: Detection and Prevention                               Salud Pública
                                                                                               Dermatología
Título en castellano:
Reacciones Adversas a Fármacos en los Sujetos de Edad Avanzada. Detección y
Prevención


Extensión del Resumen-SIIC en castellano:
2.82 páginas impresas en papel A4




Introducción
Las reacciones adversas a fármacos (RAF) son muy frecuentes en los pacientes de edad avanzada; son una causa
común de internación y son habituales en los enfermos internados. Las RAF son una causa importante de morbilidad y
mortalidad en los sujetos seniles, una población particularmente susceptible por las comorbilidades, las modificaciones
farmacodinámicas y farmacocinéticas asociadas con la edad y la utilización de múltiples drogas. Se estima que el 88%
de las RAF son evitables. Las RAF también tienen consecuencias muy desfavorables en términos económicos.

Clasificación.
Las RAF de tipo A se asocian con la acción farmacológica de la droga, se relacionan con la dosis y a menudo son
evitables; son frecuentes y predecibles y se asocian con baja mortalidad. Por el contrario, las RAF de tipo B no se
relacionan con los efectos farmacológicos; por lo general, están mediadas por mecanismos inmunológicos y suelen ser
más graves que las RAF de tipo A. Las RAF de tipo C se observan luego de la administración prolongada del fármaco y
se vinculan con la dosis acumulada, en tanto que las RAF de tipo D y E aparecen tiempo después de interrumpido el
tratamiento y son infrecuentes. Las RAF tipo F obedecen a las interacciones farmacológicas. Más del 80% de las RAF
que motivan la internación o que suceden durante esta son de tipo A; los fármacos más frecuentemente involucrados
en estas reacciones son los antibióticos, los anticoagulantes, la digoxina, los diuréticos, los hipoglucemiantes y los
antiinflamatorios no esteroides.
Factores de riesgo asociados con las RAF en los sujetos de edad avanzada
Las RAF son más frecuentes cuando existen diversos factores que modifican la distribución o el metabolismo de los
fármacos, tales como los trastornos de la funcionalidad renal o hepática, la edad, el número de medicamentos que
recibe el enfermo y las comorbilidades. La menor depuración renal es una de las situaciones más comúnmente
asociada con RAF y una de las causas más frecuentes que motivan la reducción de la dosis de muchos fármacos. Lo
mismo sucede en los sujetos con insuficiencia hepática para las sustancias que se metabolizan en el hígado. La
oxidación que depende del sistema enzimático hepático citocromo P450 declina en los pacientes de edad avanzada.
Otros factores que pueden modificar la concentración de determinados fármacos incluyen la declinación rápida de los
niveles séricos de albúmina, el volumen minuto (asociado con la perfusión de los riñones y del hígado), la masa magra
y la cantidad total de agua corporal.
Los cambios farmacodinámicos pueden motivar un aumento de la sensibilidad a ciertas sustancias, por ejemplo,
anticoagulantes y fármacos cardiovasculares y psicotrópicos. La utilización de numerosos agentes incrementa
considerablemente el riesgo de RAF y de interacciones farmacológicas. En un estudio, el riesgo de RAF fue de 13%,
38% y 82% en los pacientes tratados con dos, cuatro y siete o más fármacos, respectivamente. La falta de adhesión
también suele ser consecuencia del uso de múltiples sustancias. En este sentido, en una investigación realizada en
Suecia en sujetos de 75 años o más, el 18% de los fármacos prescriptos no tenía indicación precisa. Se dispone de
diversos instrumentos para evaluar la prescripción inapropiada de medicamentos en los pacientes de edad avanzada.

Diagnóstico y comunicación de las RAF
Las RAF en los pacientes seniles pueden manifestarse con síntomas atípicos e inespecíficos, motivo por el cual se
suele establecer el diagnóstico incorrecto de una nueva enfermedad e indicar otro fármaco para aliviarla (“cascada de
prescripciones”). Esta situación es común en los enfermos añosos que presentan delirio, sedación, apatía, dispepsia,
anorexia, constipación crónica e incontinencia o retención urinaria, entre otros ejemplos. El problema es aun mayor
porque muchos efectos adversos no se comunican correctamente. El algoritmo de Naranjo y el sistema del World
Health Organization – Uppsala Monitoring Centre (WHO-UMC) pueden ser de ayuda, ya que permiten establecer una
relación cierta, probable, posible o improbable entre un determinado fármaco y un trastorno clínico o bioquímico.
El antecedente de RAF con un medicamento aumenta considerablemente el riesgo de RAF en una nueva exposición;
de allí, la importancia de que todos estos efectos queden correctamente registrados en las historias clínicas y en las
bases de datos correspondientes. El enfermo debe conocer la relación, ya que de esta forma puede advertir a los
profesionales para que no prescriban la misma medicación.
Diversos puntajes son útiles para predecir el riesgo de RAF en las personas de edad avanzada; la escala creada por
investigadores de cuatro universidades europeas pertenecientes al grupo GerontoNet podría ser de gran ayuda en la
práctica diaria. El instrumento se formuló a partir del análisis secundario de la información registrada por el Gruppo
Italiano di Farmacoepidemiologia nell’ Anziano (GIFA; Italian Group of Pharmacoepidemiology in the Elderly) y tuvo
por objetivo principal recoger información sobre las RAF, en pacientes italianos internados. La edad promedio de los 5
936 enfermos incluidos en el GIFA fue de 78 años y la media de fármacos prescriptos durante la internación, de 6.3.
La incidencia global de RAF fue de 6.5%. El número de medicamentos y el antecedente de RAF fueron los factores que
mejor predijeron el riesgo de RAF. La insuficiencia cardíaca, las enfermedades hepáticas, la presencia de 4 o más
comorbilidades y la insuficiencia renal fueron otros factores importantes, asociados con la aparición de RAF. La
precisión del instrumento para anticipar las RAF fue de 0.71. En el estudio de validación del instrumento, se
incluyeron 483 pacientes de 80.3 años en promedio, tratados durante la internación con una media de 11 fármacos.
La incidencia de RAF fue de 11.6%. Los factores asociados con el riesgo de RAF incluyeron la presencia de 4 o más
comorbilidades (1 punto), la insuficiencia cardíaca congestiva (1 punto), los trastornos hepáticos (1 punto), el número
de fármacos (1 punto en los enfermos tratados con 5 a 7 agentes y 4 puntos en los pacientes que reciben 8 o más
sustancias), el antecedente de RAF (2 puntos) y la insuficiencia renal (1 punto). El puntaje posible es de 0 a 10
puntos; el umbral de 3 y 4 puntos se asocia con sensibilidad de 68% y especificidad de 65%, de modo tal que el
GerontoNet ADR Risk Score podría ser una herramienta práctica y simple para identificar los enfermos con más riesgo
de presentar RAF. La capacidad predictiva de la escala, en el estudio de validación, fue de 0.7. Cabe destacar,
también, que ciertos enfermos, por sus características étnicas, genéticas o culturales, son más vulnerables a
presentar RAF. El instrumento todavía debe ser validado en otros ámbitos y países, ya que los resultados podrían no
ser aplicables a las personas de edad avanzada que residen en la comunidad o en instituciones geriátricas. Además,
los patrones de prescripción difieren de un país a otro al igual que la epidemiología de las enfermedades.

Prevención de las RAF
Por lo general, las RAF en los sujetos de edad avanzada son evitables, ya que la mayoría es de tipo A y, por lo tanto,
se relacionan con la dosis. El profesional debe analizar cuidadosamente la verdadera necesidad de prescripción de
cada sustancia y siempre debe utilizarse la menor dosis posible. Las terapias se deben monitorizar en forma regular y
adaptarse a las condiciones clínicas del enfermo. Algunos síntomas son muy sugestivos de RAF, de manera que
deberían motivar la interrupción del tratamiento y no el agregado de un nuevo fármaco.
La prescripción apropiada incluye no solo la elección del fármaco, sino también la consideración de la dosis, duración
de la terapia e interacciones farmacológicas y la monitorización de los efectos adversos. En los enfermos de edad
avanzada, a menudo asistidos por diversos profesionales que indican distintos fármacos, la probabilidad de RAF
aumenta considerablemente.
Los sistemas nacionales de farmacovigilancia representan los mecanismos principales para la identificación de las RAF
y los factores asociados con estas. Los profesionales tienen la responsabilidad de comunicar cualquier RAF, aun
cuando la relación causal con el fármaco no sea segura. Los programas computarizados y la participación del
especialista en farmacología clínica son especialmente útiles en este contexto. Para los pacientes internados, la buena
comunicación entre los profesionales que asisten al paciente, la educación del enfermo, los familiares (quienes deben
conocer los fármacos indicados) y de todo el personal de salud y el registro correcto de las RAF son algunos de los
factores que minimizan el riesgo. Incluso, los fármacos que han demostrado ser seguros en los trabajos clínicos
pueden ser causa de RAF en los pacientes seniles, como consecuencia de las interacciones con las enfermedades
subyacentes o los síndromes geriátricos. En cualquiera de estas situaciones, el riesgo puede ser superior al beneficio
eventual de un determinado tratamiento. La valoración geriátrica exhaustiva (comprehensive geriatric assessment
[CGA]) es una metodología que garantiza un mejor abordaje global del enfermo. Consiste en la evaluación simultánea
de múltiples dominios (médico, psiquiátrico, funcional y social) por un equipo multidisciplinario de profesionales, que
crea un plan de tratamiento que incluye también la rehabilitación. La aplicación de la CGA aumenta las posibilidades
de que el enfermo sobreviva y esté de vuelta en su hogar al año de la internación, debido a la atención focalizada en
numerosas áreas problemáticas. Diversos trabajos demostraron que la CGA mejora sustancialmente la calidad de las
prescripciones. Por ejemplo, una investigación en 834 pacientes de edad avanzada y estado de salud desfavorable,
internados en hospitales para veteranos de los Estados Unidos, mostró una reducción de 33% en el riesgo de RAF
graves y una disminución importante de la utilización de sustancias innecesarias cuando se aplicó la CGA. No
obstante, los resultados de esta investigación deben extrapolarse con cautela a otros ámbitos. De todas formas, la
CGA es el único abordaje que demostró ser eficaz en los pacientes añosos para mejorar los patrones de prescripción,
evitar tratamientos innecesarios y reducir al máximo posible el riesgo de RAF.

Conclusiones
La asistencia médica apropiada incluye la detección y prevención de las RAF; en la mayoría de los casos, sin embargo,
estos objetivos no son fáciles de cumplir. La identificación de los enfermos que tienen un riesgo particularmente alto
de RAF ayuda, sin duda, a evitarlas y así a reducir las consecuencias desfavorables en términos clínicos, económicos
para los sistemas de salud y de calidad de vida para el paciente.




DESCRIBEN LOS MECANISMOS PATOGENICOS DE LA DEPRESION Y SU
                                                                                             ReSIIC editado en:
RELACION CON LA EPILEPSIA

                                                                                               Neurología
Chicago, EE.UU.

                                                                                               Anatomía Patológica
Existe una relación bidireccional entre depresión y epilepsia: los pacientes con               Salud Mental
epilepsia tienen un alto riesgo de padecer trastornos depresivos y, a su vez, aquellos
con trastornos depresivos tienen riesgo aumentado de padecer epilepsia. Se ha
postulado que los mecanismos patogénicos que participan en la génesis de los
trastornos depresivos actuarían como facilitadores del proceso epileptogénico.


Lancet Neurology11(11): Nov, 2012


Autores:
Kanner AM


Institución/es participante/s en la investigación:
Rush University Medical Center


Título original:
Can Neurobiological Pathogenic Mechanisms of Depression Facilitate the
Development of Seizure Disorders?


Título en castellano:
¿Los Mecanismos Patogénicos de la Depresión Pueden Facilitar la Génesis de
Trastornos Convulsivos?
Extensión del Resumen-SIIC en castellano:
2.79 páginas impresas en papel A4




Introducción
Los trastornos depresivos constituyen la comorbilidad psiquiátrica más común en los pacientes con epilepsia, con
tasas de prevalencia que alcanzan el 35% en estudios poblacionales. Los enfermos con epilepsia tienen un alto riesgo
de padecer trastornos depresivos; a su vez, las personas con trastornos depresivos primarios tienen un alto riesgo de
padecer epilepsia. Además, aquellos enfermos con trastornos convulsivos que presentan antecedentes de depresión
suelen tener una mala respuesta al tratamiento farmacológico y quirúrgico de dichos trastornos.
Los trastornos epilépticos que se presentan en pacientes con depresión con frecuencia han sido atribuidos al posible
efecto proconvulsivo de los antidepresivos, aunque este efecto sólo fue descrito en casos de sobredosis o de altas
concentraciones séricas de los fármacos. Por otra parte, la mala evolución de los trastornos convulsivos en pacientes
con depresión ha sido asociada con el bajo cumplimiento terapéutico que suele tener este tipo de pacientes.
Es probable que la depresión desempeñe un papel en la génesis y evolución de los trastornos convulsivos; si así fuera,
sus mecanismos patogénicos neurobiológicos deberían ser capaces de facilitar el proceso epileptogénico.
En este contexto, se llevó a cabo una revisión en la que se describe la información disponible sobre los mecanismos
neurobiológicos patogénicos de los trastornos depresivos, identificados en modelos de depresión con animales y en
estudios clínicos de pacientes con trastorno depresivo mayor (TDM) y trastorno bipolar, los cuales tendrían influencia
sobre la excitabilidad cortical y podrían facilitar la aparición de convulsiones.

Epidemiología y prevalencia
A los fines de la presente revisión, sólo se seleccionaron estudios poblacionales, los cuales incluían información sobre
la incidencia de trastornos depresivos en personas con epilepsia. Este tipo de estudios son más probablemente
representativos de la población general con epilepsia y permiten informar con mayor precisión la prevalencia de los
trastornos depresivos en dicha población.
El estudio poblacional más amplio sobre el tema fue llevado a cabo en Canadá. Este ensayo informó una prevalencia
de trastornos del estado de ánimo a lo largo de la vida del 24.4% en pacientes con epilepsia, en comparación con un
13.2% en sujetos de control. La prevalencia del TDM fue del 17.4% para los pacientes con epilepsia y del 10.7% para
el grupo control. Asimismo, la prevalencia para cualquier tipo de trastorno del estado de ánimo (incluyendo TDM,
trastorno bipolar, distimia o ciclotimia) fue del 34.2% y del 19.6%, respectivamente.
Otros trabajos epidemiológicos sugieren una relación bidireccional entre la epilepsia y los trastornos psiquiátricos.
Varios estudios poblacionales han demostrado que las personas con epilepsia tienen un alto riesgo de padecer
trastornos depresivos, y que, a su vez, aquellas que padecen trastornos depresivos primarios presentan un alto riesgo
de tener epilepsia.
Por otra parte, la presencia de antecedentes de depresión a lo largo de la vida ha sido asociada con una mala
evolución de los trastornos convulsivos. Por ejemplo, un estudio informó que los pacientes con antecedentes de
depresión tenían más del doble del riesgo de presentar resistencia al tratamiento con drogas antiepilépticas en
comparación con aquellos que no tenían antecedentes psiquiátricos relevantes. Otros estudios avalan estos hallazgos
y agregan que el control de las convulsiones que se logra con la lobectomía en pacientes con epilepsia del lóbulo
temporal refractaria al tratamiento es menos efectivo en aquellos que presentan antecedentes de depresión.
Estos hallazgos sugieren que, en pacientes con epilepsia, los mecanismos patogénicos de los trastornos depresivos
podrían tener relación con la génesis de la epilepsia, con la mala evolución de los trastornos convulsivos, o con
ambos.

Mecanismos patogénicos de la depresión que podrían contribuir a la génesis de la epilepsia
Existen diversos mecanismos neurobiológicos patogénicos para los trastornos depresivos primarios que tienen efectos
sobre la hiperexcitabilidad cortical y que, por lo tanto, podrían participar en el proceso epileptogénico. Entre estos
mecanismos se encuentran las alteraciones endocrinas, las alteraciones estructurales y funcionales a nivel cortical y
subcortical, las alteraciones de neurotransmisores y las inmunitarias.
En el primer caso, la hiperactividad del eje hipotalámico-hipofisario-suprarrenal da como resultado una alta
concentración de cortisol sérico, mecanismo que se encuentra dentro de las principales alteraciones neurobiológicas
de la depresión, identificada en hasta el 50% de los pacientes con TDM. En estudios experimentales llevados a cabo
con ratas se ha demostrado que el exceso de cortisol facilita el proceso de sensibilización, el cual constituye uno de
los principales modelos para la epileptogénesis. Las altas concentraciones de cortisol pueden afectar la
hiperexcitabilidad cortical mediante sus efectos sobre distintos neurotransmisores (glutamato, serotonina y ácido
gamma aminobutírico [GABA]). En este sentido, los trastornos depresivos primarios han sido asociados con una
actividad excesiva del glutamato; a su vez, el cortisol reduce la actividad de la serotonina, neurotransmisor que ha
demostrado tener efectos anticonvulsivos en modelos de epilepsia con animales.
En cuanto a la alteración estructural y funcional cortical y subcortical, la información disponible indica que en modelos
animales de depresión existe una reducción en el número total de neuronas CA3 y una interferencia con la
neurogénesis de las células granulosas en la circunvolución dentada del hipocampo. Estos cambios aparecen
típicamente en modelos con animales con epilepsia crónica del lóbulo temporal y han sido asociados con persistencia
de convulsiones espontáneas. Además, en pacientes con TDM, se ha observado una disminución del 10% al 20% del
volumen del hipocampo bilateral. Asimismo, las altas concentraciones de cortisol plasmático han sido asociadas con
una disminución en el espesor cortical del lóbulo frontal en pacientes con TDM. Esta disminución ha sido atribuida a
una reducción en la densidad y tamaño de neuronas y células gliales de distintas localizaciones. Aparentemente, estos
cambios neuropatológicos desempeñarían un papel relevante en el mal control de los ataques epilépticos que se
observa en las personas con epilepsia y trastornos depresivos concomitantes.
Por otro lado, la participación de los neurotransmisores como mecanismo patogénico en la depresión y la epilepsia ha
sido postulada desde hace al menos dos décadas. Por una parte, se ha propuesto un efecto anticonvulsivo de la
serotonina en varios modelos con animales con epilepsia, mientras que por otra parte, se ha demostrado que el
glutamato y el GABA cumplen funciones patogénicas opuestas en dicha enfermedad: el glutamato tiene propiedades
excitatorias, mientras que el GABA presenta efectos inhibitorios. En consecuencia, la elevada actividad glutamatérgica
y la baja actividad gabaérgica observadas en pacientes con trastornos depresivos desempeñarían un papel importante
en la facilitación de un estado de hiperexcitabilidad. La existencia de este tipo de alteraciones ha sido avalada tanto
por los hallazgos obtenidos en ensayos llevados a cabo en modelos con animales con depresión como por los
resultados de estudios realizados con personas con TDM y trastorno bipolar.
En relación con las alteraciones inmunológicas, la actividad de varias citoquinas proinflamatorias ha sido identificada
entre los mecanismos patogénicos de la depresión en modelos con animales y en ensayos clínicos llevados a cabo en
pacientes con trastornos del estado de ánimo. Entre las distintas citoquinas estudiadas, la interleuquina 1 beta tendría
propiedades proconvulsivas. Se ha postulado que el mecanismo responsable de las propiedades proconvulsivas de
dicha citoquina tendría que ver con una reducción en la captación de glutamato por parte de las células gliales, o con
un mayor estímulo para su liberación, efecto mediado por el factor de necrosis tumoral alfa.
Por último, los autores mencionan que los fármacos antidepresivas que aumentan los niveles extracelulares de
serotonina y noradrenalina (inhibidores selectivos de la recaptación de serotonina [ISRS], antidepresivos tricíclicos,
etc.) han demostrado ser capaces de inhibir ataques epilépticos focales y generalizados en modelos con animales con
epilepsia. A este respecto, en ensayos abiertos se ha observado una mejoría en la frecuencia de los ataques
epilépticos de pacientes con epilepsia resistente al tratamiento que habían sido medicados con ISRS. De todos modos,
esta información aún debe ser corroborada por ensayos aleatorizados a doble ciego y controlados con placebo.

Conclusiones
La presente revisión establece una asociación entre los antecedentes de trastornos psiquiátricos (en particular, los
trastornos del estado de ánimo) y el incremento en el riesgo de epilepsia. Además, las comorbilidades psiquiátricas se
asocian con una mala respuesta al tratamiento antiepiléptico.
En estudios experimentales se ha demostrado que los mecanismos neurobiológicos patogénicos de los trastornos
depresivos aquí descritos estimulan la hiperexcitabilidad cortical y facilitan el proceso epileptogénico. Si bien la
información derivada de ensayos clínicos avala la validez de los hallazgos experimentales, aún no se ha podido
demostrar que éstos sean efectivamente los mecanismos patogénicos que median el incremento del riesgo de ataques
epilépticos en pacientes con depresión. No obstante, esta información sirve de base para el diseño de futuros estudios
clínicos y experimentales tendientes a identificar los mecanismos patogénicos que contribuyen a esta relación
bidireccional entre epilepsia y trastornos depresivos.
Más allá de lo antedicho, los autores agregan que, de todos modos, se debe tener presente la posibilidad de que
exista un trastorno epiléptico parcial no reconocido que pueda llevar a la aparición de un trastorno del estado de
ánimo, el cual es reconocido antes de la identificación del trastorno epiléptico.
La información presentada en esta revisión enfatiza la necesidad de reconocer y tratar tempranamente todo trastorno
psiquiátrico concomitante en pacientes con epilepsia. Sin embargo, aún se desconoce si el tratamiento oportuno y
efectivo de un primer episodio depresivo mayor es capaz de evitar el incremento en el riesgo de padecer epilepsia en
este tipo de pacientes. Futuros estudios deberán brindar más respuestas sobre esta cuestión.




RELACIONAN LA CALIDAD DE VIDA CON LA PROMOCION DE UN ESTILO DE
                                                                                             InSIIC editado en:
VIDA SALUDABLE EN ESTUDIANTES UNIVERSITARIOS

                                                                                               Salud Pública
                                                                                               Atención Primaria
Isfahan, Irán
                                                                                               Epidemiología
En esta cohorte de estudiantes universitarios, se demostró una correlación                     Medicina Familiar
significativa entre la calidad de vida y variables asociadas con el estilo de vida,
como el crecimiento espiritual y el abordaje del estrés. La promoción de un estilo
de vida saludable podría constituir una extensión de la dinámica para el
mantenimiento y la optimización de la salud a nivel individual y social.
Fuente científica: Journal of Education and Health Promotion2:29-32 Mar,
2013 aSNC

  Autores: Tol Azar, Shariferad Gholam Reza

 Palabras clave: calidad global de vida, calidad de vida en general, estilo de vida
saludable, calidad de vida relacionada con la salud

   Key Words: general quality of life, global quality of life, health promoting
lifestyle, health-related quality of life




  Institución principal: Isfahan University of Medical Sciences

  Correspondencia: Gholam Reza Shariferad, Isfahan University of Medical Sciences, Isfahan Irán

  Patrocinio: Isfahan University of Medical Sciences (Irán).

  Conflicto de interés: No declarado.

  Agradecimientos: Isfahan University of Medical Sciences (Irán).




Se define al estilo de vida como las actividades convencionales de la vida cotidiana que son aceptadas por cada
individuo. La elección del estilo de vida puede mantener la salud de las personas y evitar la aparición de enfermedad,
mediante el mantenimiento de una dieta adecuada, la realización de ejercicio y el control del peso corporal, entre
otros factores. Se reconoce la relevancia de la promoción de un estilo de vida saludable en el ámbito de la salud
pública, ya que alrededor del 53% de las causas de mortalidad se correlacionan con estos factores. Se acota que
numerosas afecciones como la obesidad, la enfermedad cardiovascular, las neoplasias y las adicciones se
correlacionan con los cambios en el estilo de vida. Asimismo, se señala la participación de un estilo de vida
inadecuado en la patogenia de afecciones crónicas como el cáncer de colon, la hipertensión, la cirrosis, la úlcera
péptica y la enfermedad cardiovascular.
La relación entre los indicadores de salud y la calidad de vida se considera un componente importante en la toma de
decisiones clínicas. En función de esta información, se llevó a cabo un estudio transversal para evaluar la correlación
entre la promoción de un estilo de vida saludable y la calidad de vida en una cohorte de estudiantes de ciencias de la
salud de menos de 25 años, sin enfermedades crónicas. Se cuantificaron los componentes saludables del estilo de
vida por medio del cuestionario estandarizado Health Promotion LifeStyle Profile Two (HPL), mientras que la calidad de
vida se evaluó por medio de la escala validada QLQ-C30.

De acuerdo con los expertos, en este grupo de estudiantes universitarios con una media de edad de 21.12 años, se
identificó al crecimiento espiritual y a la responsabilidad como las variables con mayor asociación con un estilo de vida
saludable. Se indica que la mayoría de los participantes manifestaron una adecuada calidad de vida relacionada con la
salud, al definirla como muy buena (58.6%) o excelente (9%). Se destaca que, con la excepción del enfoque del
estrés, no se reconocieron diferencias significativas entre los puntajes obtenidos en el cuestionario HPL en función del
sexo. Del mismo modo, en el análisis estadístico no se comprobaron asociaciones de significación estadística entre la
calidad global de vida de los estudiantes y variables como la nutrición, la actividad física, la responsabilidad sobre la
propia salud y el enfoque del estrés. Si bien se advirtió una correlación significativa y mutua entre la calidad de vida
relacionada con la salud y el abordaje del estrés, este aspecto de la calidad de vida no se asoció en forma significativa
con las relaciones interpersonales, el crecimiento espiritual, la actividad física y la nutrición.

Se señala que los cambios epidemiológicos se han vinculado con variaciones en las condiciones y el estilo de vida, en
términos de las enfermedades no transmisibles. Las nuevas tendencias culturales y tecnológicas han inducido rápidas
modificaciones en el estilo de vida. Como consecuencia, se describe una mayor prevalencia de enfermedades crónicas,
en el marco de un crecimiento de la expectativa de vida. Por consiguiente, se postula que, en un futuro próximo, la
prevalencia de afecciones dependientes del comportamiento podría seguir incrementándose.
Algunos conceptos novedosos, como la solidaridad y la interdependencia social, han sido implementados como
estrategias de promoción de la salud, con resultados exitosos a corto plazo. La mayor percepción de las relaciones
interpersonales en la sociedad ha motivado la generación de nuevos enfoques para la promoción de la salud. En el
presente análisis, los autores verificaron la importancia de las relaciones entre los individuos como indicador relevante
de la salud. Por lo tanto, proponen que intervenciones como la estimulación de la comunicación podrían considerarse
como estrategias prioritarias en esta población. De esta manera, concluyen afirmando que la promoción de un estilo
de vida saludable constituye una extensión de la dinámica continua del mantenimiento y la optimización de la salud a
nivel individual y social.

Asci7

  • 1.
    ACTUALIZAN LA CLINICA,EL DIAGNOSTICO Y LA TERAPIA DE LOS PACIENTES CON ANGIOSARCOMA CARDIACO (especial para SIIC © Derechos reservados) Las neoplasias más frecuentes del corazón son las metástasis de otros tumores, cuya prevalencia es 20 a 40 veces mayor que la correspondiente a las neoplasias malignas primarias.1 Los tumores malignos primitivos del corazón y el pericardio resultan poco frecuentes; aproximadamente el 25% de los casos corresponde a sarcomas.2 Entre los sarcomas cardíacos, el angiosarcoma (AS) se considera la variante de mayor prevalencia y constituye menos del 10% de todos los tumores cardíacos primarios.3,4,5,6,7,8,9 Los AS se localizan con mayor frecuencia en la aurícula derecha (78% a 93% de los casos) y se caracterizan por su crecimiento rápido, con invasión local y metástasis a distancia.10,11 Debido a estos parámetros, la mayoría de los pacientes presenta muy mal pronóstico y, en general, fallece dentro de los primeros meses de la aparición de los síntomas, pese a la resección quirúrgica y el trasplante cardíaco.11,12,13 Los AS cardíacos se describen habitualmente en pacientes jóvenes (tercera a quinta décadas de la vida), en comparación con los AS de otra localización, con predominio en sujetos de sexo masculino.15 La clasificación histopatológica de los sarcomas cardíacos se realiza en general sobre la base de la combinación de parámetros morfológicos y de los datos de las tinciones por inmunohistoquímica.5,16 Los tumores se clasifican en AS, sarcomas indiferenciados, osteosarcomas, fibrosarcomas, fibrohistiocitomas malignos, leiomiosarcomas, mixosarcomas, sarcomas sinoviales, neurofibrosarcomas y rabdomiosarcomas. El AS cardíaco constituye una masa de gran tamaño, macroscópicamente hemorrágica, multilobulada, que reemplaza la pared auricular (Figura 1) y puede protruir u ocupar las cámaras cardíacas adyacentes. Con frecuencia se expanden hacia la superficie del epicardio y provocan derrame con taponamiento, así como hacia la vena cava o la válvula tricúspide para producir obstrucción al flujo y síndrome de la vena cava superior. La presencia de un tumor pericárdico extenso con continuidad en la pared de la aurícula o el ventrículo derecho puede motivar dudas acerca de su origen exacto, pero la mayor parte de los casos se origina en la aurícula derecha.11 Habitualmente se describen metástasis al momento del comienzo de los síntomas (66% a 89%); 5-17 los pulmones son los órganos de localización más habitual. Pueden observarse metástasis también en ganglios linfáticos, hueso, hígado, cerebro, tubo digestivo, bazo, glándulas suprarrenales, pleura, diafragma, riñón, tiroides y piel.18 Los AS son neoplasias malignas de diferenciación endotelial. Varían desde tumores bien diferenciados (conformados por áreas vasculares con anastomosis, alineadas con células neoplásicas elongadas, fusiformes y mononucleadas [Figura 2], que en ocasiones protruyen hacia la luz vascular) hasta tumores indiferenciados (constituidos por capas sólidas de células anaplásicas fusiformes). Las tinciones por inmunohistoquímica para los marcadores CD31, CD34 (Figura 3) y la proteína relacionada con el factor VIII resultan útiles para confirmar el origen endotelial de estos tumores.19
  • 2.
    Zu y col.informaron la presencia de las anomalías cromosómicas 55,XY,+der(1:17) (q10:q10),+2,+7,+8,+19,+20,+21,+22 en el análisis citogenético.20 La hibridación in situ con fluorescencia multicolor en muestras de tejido fijado en parafina demostró polisomía del cromosoma 8. En el análisis por inmunohistoquímica, en los núcleos de las células tumorales se observó una expresión elevada de los productos del gen p53 mutado.21,22 El diagnóstico clínico de los sarcomas cardíacos puede resultar muy difícil. Es importante un elevado índice de
  • 3.
    sospecha, dado que,a menudo, estos tumores son asintomáticos hasta los estadios avanzados de la enfermedad. Las manifestaciones pueden ser proteiformes y asemejarse a las de otras enfermedades. El pronóstico es en general adverso, dada la extensa invasión local, la presencia de metástasis a distancia al momento de la presentación inicial, o ambas. Los síntomas de los sarcomas cardíacos pueden originarse a partir de los siguientes mecanismos fisiopatológicos: en primer lugar, obstrucción al flujo de los principales vasos de sangre e interferencia de la función valvular como consecuencia de un tumor intracavitario; en segundo lugar, invasión local del tejido muscular y del sistema de conducción, con inducción de arritmias, o bien del pericardio, con constricción cardíaca o hemopericardio recurrente con taponamiento cardíaco; en tercer lugar, embolia de fragmentos tumorales o trombos peritumorales friables; los tumores de las cavidades izquierdas provocan embolia cerebral, coronaria o retiniana, mientras que los tumores de las cavidades derechas son fuentes de émbolos que pueden provocar hipertensión pulmonar en función de su tamaño; en cuarto lugar, síntomas constitucionales o sistémicos como disnea, ortopnea, síncope, dolor torácico, fiebre, malestar general, vómitos, anorexia y pérdida de peso.23 Existen diversos factores que determinan las manifestaciones clínicas de la enfermedad, como el tamaño, la tasa de crecimiento, la localización, la tendencia a la embolia y el grado de invasión del tumor.24 La obstrucción al flujo de la arteria pulmonar o del ventrículo derecho puede provocar en ocasiones paro cardíaco.23 Las metástasis pulmonares desencadenan tos y hemoptisis.19 Murinello y col. han informado un caso de AS del ventrículo derecho con urticaria grave recurrente concomitante.25 Se ha demostrado que el AS atrae células inflamatorias, en especial mastocitos, con mecanismos de retroalimentación positiva que inducen mayor liberación de citoquinas y factores de crecimiento, como el factor de crecimiento básico de los fibroblastos y el factor de crecimiento vascular endotelial (VEGF [vascular endothelial growth factor]).26 En la mayor parte de los textos de dermatología no se considera la asociación entre la urticaria y las afecciones malignas. Dado que los mastocitos incluyen grandes concentraciones de histamina, que es la principal molécula mediadora de la urticaria, la atracción de estas células por parte del AS podría explicar esta relación de causa y efecto. La radiografía de tórax no brinda información relevante para la detección del AS cardíaco. Sólo demuestra cambios secundarios a las repercusiones hemodinámicas del crecimiento tumoral, como cardiomegalia, insuficiencia cardíaca, derrame pleural, masa cardíaca focal, consolidaciones pulmonares y derrame pericárdico. Los avances en las técnicas no invasivas de diagnóstico por imágenes, como el ecocardiograma transesofágico (ETE),27 la tomografía computarizada (TAC) y la resonancia magnética (RM),28 pueden orientar y completar el diagnóstico de las masas intracardíacas. El ecocardiograma es un método confiable, no invasivo y ampliamente disponible para la detección de los tumores cardíacos, la localización tumoral, el patrón de movimiento y el tamaño. Por motivos técnicos, el ETE se asocia con limitada precisión para el diagnóstico.15,29 Como contrapartida, el ETE tiene mucha mayor resolución para distinguir entre tumores benignos y malignos, que en general alteran, infiltran y oscurecen los planos tisulares de la anatomía cardíaca subyacente.30 La presencia de un tumor en las venas pulmonares o la extensión a la vena cava se han descrito como signos útiles para diferenciar una neoplasia maligna de un mixoma.27,30 El ETE también resulta de utilidad para guiar las biopsias tumorales transvenosas en los casos en que este procedimiento es necesario, si bien existe riesgo de hemorragia grave.23 A pesar de las ventajas del ETE, aún se lo considera inferior a la TAC helicoidal y la RM en términos de la caracterización de los tejidos blandos y de la detección de infiltración tumoral. Tanto el ecocardiograma transtorácico como el ETE ofrecen imágenes limitadas del mediastino, por lo cual no permiten evaluar las manifestaciones extracardíacas de la enfermedad. No obstante, a diferencia de la ecografía, la TAC y la RM no pueden caracterizar las estructuras en movimiento, como las válvulas cardíacas.28 Según Jannigan y col.,11 se distinguen dos variantes morfológicas principales de AS cardíaco. El primer tipo consiste en una masa bien definida que protruye dentro de una cámara cardíaca, en general con preservación del tabique interauricular. En la macroscopia, estos tumores son hemorrágicos, necróticos y, en general, se adhieren al pericardio. La TAC muestra a menudo una masa irregular o nodular de baja atenuación, originada con frecuencia a partir de la pared libre de la aurícula derecha. En la TAC y la RM se demuestra, en general, infiltración tumoral del miocardio, compresión de las cámaras cardíacas, extensión directa hacia el pericardio y compromiso de los grandes vasos mediastinales (Figura 4). El segundo tipo es una masa infiltrativa y difusa que se extiende a lo largo del pericardio. El espacio pericárdico puede obliterarse por la presencia de restos tumorales necróticos o hemorrágicos que se visualizan como derrame o engrosamiento pericárdico en la TAC.
  • 4.
    Debido a latendencia a la necrosis y el sangrado de los AS cardíacos, la señal en la RM resulta, en general, de intensidad heterogénea. Las áreas de hiperintensidad en las imágenes ponderadas en T1 pueden ser focales o periféricas y se postula que representan coágulos.28 Las áreas nodulares focales con señal de mayor intensidad, intercaladas con sectores con señal de moderada intensidad en las imágenes ponderadas en T1 y T2, se asemejan a “coliflores”.31 El refuerzo lineal del material de contraste en las áreas vasculares ofrece una apariencia “en rayos de sol” en los casos de infiltración difusa del pericardio.32 La estrategia terapéutica principal del AS cardíaco es la resección quirúrgica, asociada o no con radioterapia, quimioterapia o ambas. Aunque la cirugía es el tratamiento de primera elección, la mayoría de los pacientes se presenta con tumores apenas resecables o sin posibilidades técnicas de resección al momento del diagnóstico. Como resultado, el período de supervivencia es limitado y varía entre los 6 y los 12 meses.33 Debido a las dificultades técnicas para la exéresis completa de estos tumores, algunos autores recurren a la remoción cardíaca para la resección tumoral con posterior autotrasplante, mientras que otros expertos evitan esta cirugía y optan por la cirugía cardíaca parcial ex situ para la resección del tumor.34,35 Dadas estas deficiencias de la cirugía y el riesgo de metástasis a distancia, se ha intentado tanto la radioterapia adyuvante como la quimioterapia sistémica, con resultados no satisfactorios.4,7 En una serie de casos en la que se indicó quimioterapia adyuvante con doxorrubicina convencional o liposomal, los pacientes con AS presentaron la peor evolución entre todos los sujetos con sarcomas cardíacos.4 En forma reciente se ha utilizado doxorrubicina liposomal pegilada, con prolongación de la supervivencia de los pacientes por 15 meses.36 Se han observado mejores resultados con el uso concurrente de radioterapia y quimioterapia con carboplatino y paclitaxel.37 Pigot y col. señalaron la posibilidad de lograr una mejor respuesta en pacientes seleccionados con AS cardíaco cuando se combina la resección quirúrgica con quimioterapia neoadyuvante (con el fin de reducir el tamaño tumoral) y quimioterapia adyuvante posterior para erradicar las células neoplásicas remanentes.38 En un caso clínico se informó que la terapia multidisciplinaria con interleuquina 2 de origen recombinante (inmunoterapia), quimioterapia posquirúrgica (ciclofosfamida, vincristina, doxorrubicina, dacarbazina) y radioterapia mejoró la supervivencia del paciente por 30 meses.39 Se ha enfatizado siempre la importancia del diagnóstico precoz, dado que la sola presencia de metástasis al momento del diagnóstico se asocia con peor pronóstico. La supervivencia después del enfoque multimodal es en general breve, pero resulta levemente superior cuando se logra la exéresis tumoral completa.39 Se ha realizado en forma ocasional trasplante cardíaco ortotópico, aunque en general los resultados no han sido adecuados.14,40 Asimismo, existe preocupación acerca de la recurrencia tumoral en el caso de neoplasias de rápido crecimiento, como los AS cardíacos, en el contexto de los largos períodos de espera para el trasplante. Además, se observa escasez de donantes, mientras que la inmunosupresión podría también estimular el crecimiento de micrometástasis no reconocidas en el momento del diagnóstico, o bien predisponer a los pacientes a la aparición de una nueva neoplasia.41 Incluso a pesar de una adecuada pesquisa preoperatoria de lesiones secundarias, muchos pacientes fallecen como consecuencia de las metástasis. Si bien algunos autores han informado períodos de supervivencia de
  • 5.
    hasta 3 años,42otros expertos no han identificado diferencias en el pronóstico a largo plazo.43 Sólo el trasplante en los pacientes con respuesta al tratamiento se asocia con la posibilidad de supervivencia a largo plazo. La eventual curación de la enfermedad probablemente tendrá lugar a partir de las terapias biológicas que se encuentran en investigación.44 Se están llevando a cabo estudios clínicos con compuestos como la angiostatina y la endostatina, que inhiben la formación y el crecimiento de neovasos que se originan por la acción del VEGF producido por el propio tumor.44 En conclusión, dada la escasa prevalencia de los AS cardíacos, resulta muy difícil para los cirujanos torácicos disponer de la experiencia suficiente para recomendar la mejor estrategia terapéutica para cada paciente. La terapia multimodal aplicada por numerosos centros cardiotorácicos de referencia podría allanar el camino para un mejor tratamiento de estos tumores. Full text (english) para suscriptores/ assinantes Bibliografía del artículo1. Sabatine MS, Colucci WS, Schoen FJ. Primary tumors of the heart. En: Zipes DP, Libby P, Bonow RO, Braunwald E, editores. Braunwald's heart disease 7a ed. Filadelfia, EE.UU.: Elsevier Saunders; 2005. p. 1741-1755. 2. Silverman NA. Primary cardiac tumors. Ann Surg 191:127-138, 1980. 3. Rettmarr K, Stierle U, Sheikhzadeh A y col. Primary angiosarcoma of the heart. Report of a case and review of the literature. Jpn Heart J 34:667-683, 1993. 4. Burke AP, Cowan D, Virmani R. Primary sarcomas of the heart. Cancer 69:387-395, 1992. 5. Tazelaar HD, Locke TJ, Mc Gregor LG. Pathology of surgically excised primary cardiac tumors. Mayo Clin Proc 67:957-965, 1992. 6. Burke AP, Virmani R. Tumors and tumor-like conditions of the heart. En: Silver MD, Gottlieb AI, Schoen FJ, editores. Cardiovascular pathology. Filadelfia, EE.UU.: Churchill Livingstone; 2001. p. 583- 565. 7. Putnam JB, Sweeny MS, Colon R, Lanza LA, Frazier OH, Cooley DA. Primary cardiac sarcomas. Ann Thor Surg 51:906-910, 1991. 8. Piazza N, Chughtai T, Toledano K y col. Primary cardiac tumors. Eighteen years of surgical experience on 21 patients. Can J Cardiol 20:1443-1448, 2004. 9. Dennig K, Lehmann G, Richter T. An angiosarcoma in the left atrium. N Engl J Med 342:443-444, 2000. 10. Gong Y, Hong T, Chen M, Huo Y. A right heart angiosarcoma with rapidly progressing hemorrhagic pericardial effusion. Intern Med 50:455-458, 2011. 11. Janigan DT, Husain A, Robinson NA. Cardiac angiosarcoma-a review and a case report. Cancer 57:852-859, 1986. 12. Fayete J, Martin E, Piperno-Neumann S y col. Angiosarcomas, a heterogenous group of sarcomas with specific behavior depending on primary site: a retrospective review of 161 cases. Ann Oncol 18:2030-2036, 2007. 13. Young RJ, Brown NJ, Reed MW, Hughes D, Woll PJ. Angiosarcoma. Lancet Oncol 4:66-74, 2011. 14. Crespo MG, Pulpon LA, Pradas G y col. Heart transplantation for cardiac angiosarcoma: should its indication be questioned? J Heart Lung Transplant 12:527-530, 1993. 15. Kurian KC, Weisshaar D, Parekh H, Berry GJ, Reitz B. Primary cardiac angiosarcoma: case report and review of the literature. Cardiovascular Pathology 15:110-112, 2006. 16. Donsbeck AV, Ranchere D, Coindre JM, Le Gall F, Cordier JF, Loire R. Primary cardiac sarcomas: an immunohistochemical and grading study with long-term follow-up of 24 cases. Histopathology 34:295-304, 1999. 17. Amonkar GP, Desanpande JR. Images in Cardiovascular Pathology-cardiac angiosarcoma. Cardiovascular Pathology 15:57-58, 2006. 18. Burke A, Virmani R. Tumors of the heart and great vessels. En: Atlas of tumor pathology. Washington DC, EE.UU.: Armed Forces Institute of Pathology; 1996. p. 136-140. (3rd series; fasc 16). 19. Adem C, Ambry MC, Tazeler HD, Meyers JL. Metastatic angiosarcoma masquerading as diffuse pulmonary hemorrhage. Arch Pathol Lab Med 125:1562-1565, 2001. 20. Zu Y, Perle MA, Yan Z, Liu J, Kumar A, Waisman J. Chromosomal abnormalities and p53 gene mutation in a cardiac angiosarcoma. Appl Immunohistochem Mol Morphol 9:24-28, 2001. 21. Naka M, Tomita Y, Nakanishi H, et al. Mutations of p53 tumor-supressor gene in angiosarcoma. Int J Cancer 71:952-955, 1997. 22. García JM, González R, Silva JM y col. Mutational status of K-ras and TP53 genes in primary sarcomas of the heart. Brit J Cancer 82:1183-1185, 2000. 23. Shanmugan G. Primary cardiac tumors. Europ J Cardio-Thor Surg 29:925-932, 2006.
  • 6.
    24. Grebenc ML,Rosado de Christensen ML, Green CE, Galfin KR. Primary cardiac and pericardial neoplasms: radiologic-pathologic correlation. Radiographics 20:1073-1103, 2000. 25. Murinello A, Mendonça P, Abreu A y col. Cardiac angiosarcoma-a review. Portuguese J Cardiol 26(5):577-584, 2007. 26. Yamamoto T, Umeda T, Nishioka K. Immunohistological distribution of stem cell factor and kit receptor in angiosarcoma. Acta Derm Venereol 80:443-445, 2000. 27. Hsieh P-L, Lee D, Chiou K-R y col. Echocardiographic features of primary cardiac sarcomas. Echocardiography 19:215-220, 2002. 28. Araoz PA, Eklund HE, Wech TJ, Breen JF. CT and MR imaging of primary cardiac malignancies. Radiographics 19:1421-1434, 1999. 29. Qingyi M, Hong L, Lima J, Wenjing T, Yuanyu Q, Shengan L. Echocardiographic and pathologic characteristics of primary cardiac tumors: a study of 149 patients. Int J Cardiol 84:69-75, 2002. 30. Freeman WK, Reeder GS. Cardiac neoplasias and thrombi. En: Freeman WK, Seward JB y col., editores. Transesophageal echocardiography. New York, EE.UU.: Little Brown; 1994. p. 339-384. 31. Kim EE, Wallace S, Abello Ry col. Malignant cardiac fibrous histiocytoma and angiosarcoma: MR features. J Comput Assist Tomogr 13:627-632, 1989. 32. Yahata S, Endo T, Houma H, et al. Sunray appearance on enhanced magnetic resonance image of cardiac angiosarcoma with pericardial obliteration. Am Heart J 127:468-471, 1994. 33. Herman MA, Shankerman RA, Edwards WD, Shub C, Schaff HV. Primary cardiac angiosarcoma: a clinicopathologic study of six cases. J Thorac Cardiovascul Surg 103:655-664, 1992. 34. Scheld HH, Nestle HW, King D. Resection of a heart tumour using autotransplantation. Thorac Cardiovasc Surg 36:40-43, 1988. 35. Kallenbach K, Haverich A. Explantation of the heart for resection of primary cardiac tumors can be avoided by partial ex situ heart surgery. Thorac Cardiovasc Surg 51:293-294, 2003. 36. Kodali D, Seetharamansk K. Sarcoma, Article ID 39130 (online). 1-3, 2006. 37. Nobuyukik K, Shiro F, Masaki K, Yukibiro T. Angiosarcoma arising from the right atrium: remarkable response to concurrent chemoradiotherapy with carboplatin and paclitaxel. J Thorac Oncology 6:970, 2011. 38. Pigot C, Welker M, Khosla P, Higgins RS. Improved outcome with multimodality therapy in primary cardiac angiosarcoma. Nature Clinical Practice Oncology 5:112-115, 2008. 39. Kakizaki S, Tagari H, Hosaka Y. Cardiac angiosarcoma responding to multidisciplinary treatment. Int J Cardiol 62:273-275, 1997. 40. Armitage JM, Kormos RL, Griffith BP, Fricker FJ, Hardesty RL. Heart transplantation in patients with malignant disease. J Heart Transplant 9:627-629, 1990. 41. Frota-Filho JD, Lucchese FA, Leães P, Valente LA, Vieira MS, Blacher C. Primary cardiac angiosarcoma. A therapeutical dilemma. Arq Bras Cardiol 78:589-591, 2002. 42. Gowdamarajan A, Michler RE. Therapy for primary cardiac tumours: is there a role for heart transplantation? Curr Opin Cardiol 15:121-125, 2000. 43. Uberfuhr P, Meiser B, Fuchs Ay col. Heart transplantation: an approach to treating primary cardiac sarcoma? J Heart Lung Transplant 21:1135-1139, 2002. 44. Reardon MJ. Cardiac angiosarcoma. Amschwand Sarcoma Cancer Foundation. Disponible en: www.sarcomacancer.org/index.php?page=dr-michael-j-reardon-on-cardiac-angiosarcoma. Consultado Feb 25, 2013. COMPARAN DOS FORMAS DE BLOQUEO ANALGESICO EN PACIENTES InSIIC editado en: PEDIATRICOS SOMETIDOS A CIRUGIA CARDIACA Anestesiología Cirugía Mansoura, Egipto Cardiología En pacientes pediátricos que requieren una cirugía cardíaca, tanto la analgesia Pediatría epidural como el uso de catéteres a nivel paravertebral mejoran el control del dolor, si bien la indicación de analgésicos por vía paravertebral se asocia con un mejor perfil de seguridad.
  • 7.
    Fuente científica: Annalsof Cardiac Anaesthesia15(4):259-263 Oct, 2012 aSNC Autores: El-Deeb A, Elgamal AF, El-Morzy GZ Palabras clave: bloqueo epidural, bloqueo paravertebral, dolor por toracotomía Key Words: epidural block, paravertebral block, post-thoracotomy pain Institución principal: University of Mansoura Correspondencia: GZ El-Morzy, Department of Anesthesia Mansoura University, Mansoura Egipto Patrocinio: No declarado. Conflicto de interés: No declarado. Agradecimientos: No declarado. Se define al bloqueo paravertebral como una estrategia eficaz para reducir el dolor postoperatorio, tanto mediante el uso de dosis únicas como por medio de la infusión local continua con catéteres. No obstante, en los individuos sometidos a toracotomía, la analgesia epidural se ha considerado como el recurso de elección para la reducción del dolor. De todos modos, el uso de analgésicos por vía epidural se correlaciona con efectos adversos o complicaciones como la retención aguda de orina, la hipotensión o la aparición de hematomas epidurales o disfunción neurológica. Por consiguiente, se postula la necesidad de recursos terapéuticos alternativos que permiten obtener un nivel de analgesia similar, en el contexto de un mejor perfil de seguridad. En este ensayo, se describen los resultados de un estudio prospectivo de una cohorte de 60 pacientes pediátricos de hasta 24 meses de edad, sometidos a toracotomía por cirugía cardíaca. Los niños fueron divididos de modo aleatorio para recibir ya sea analgesia por vía epidural tras identificación del área de inserción mediante ecografía a nivel de los espacios intervertebrales T6 a T9 (n = 27), o bien por un acceso paravertebral hasta ubicación del ligamento costotransverso (n = 28). La solución administrada consistió en bupivacaína al 0.25% asociada con fentanilo en dosis ajustadas por el peso corporal. En todos los casos se indicó anestesia general con sevoflurano, con relajación muscular con atracurio para facilitar la intubación orotraqueal. En ambos subgrupos, la principal motivación de la cirugía consistió en el cierre del conducto arterioso persistente. Se cuantificó el efecto de la infusión continua de los analgésicos en cada grupo durante el período posquirúrgico mediante la aplicación de escalas validadas. Asimismo, se determinaron los niveles de cortisolemia en forma seriada, así de los gases exhalados durante la etapa postoperatoria. Aunque tanto el nivel de analgesia obtenido como las variables bioquímicas y respiratorias se consideraron similares en ambas cohortes, la tasa de errores en la colocación de los catéteres fue significativamente más elevada entre los niños sometidos a analgesia epidural, en comparación con aquellos tratados mediante abordaje paravertebral (7% contra ningún caso, en ese orden). Por otra parte, la incidencia de complicaciones asociadas con la administración continua de analgesia alcanzó niveles estadísticamente mayores en los pacientes con catéteres epidural, en relación con la hipotensión, la retención de orina y la aparición de vómitos. Se hace énfasis en que el dolor posterior a una toracotomía constituye una de las experiencias dolorosas más acentuadas, debido a la lesión quirúrgica costal, de los nervios intercostales, la pared torácica y de la pleura, con inserción de drenajes locales. La optimización de la analgesia mejora la capacidad ventilatoria y reduce el riesgo de complicaciones postoperatorias. Si bien tanto el bloqueo paravertebral como el abordaje epidural parecen asociarse con niveles equivalentes de eficacia analgésica en pacientes pediátricos con cirugía cardíaca, la infusión de estos productos por medio de un acceso paravertebral podría relacionarse con un mejor perfil de seguridad y una menor incidencia de errores en la colocación de los catéteres. COMPLICACIONES PULMONARES EN LA NEUMONIA NEUMOCOCICA Las complicaciones pulmonares fueron frecuentes (38%) en pacientes con neumonía neumocócica, aunque la mortalidad fue similar en ambos grupos, los pacientes con complicaciones pulmonares presentaron mas bacteremia,shock y necesidad de ventilacion mecanica, como consecuencia necesitaron mas ingreso en UCI y tuvieron una mayor estancia hospitalaria.No hubo diferencia en cuanto a distribucion de serotipos, pero si una tendencia a la presencia del serotipo 19A en los casos con complicaciones pulmonares. *Catia Cillóniz describe para SIIC los aspectos relevantes de su trabajo
  • 8.
    COMPLICACIONES PULMONARES ENLA NEUMONIA NEUMOCOCICA, Clinical Microbiology and Infection, 18(11):1134-1142 Nov, 2012 Esta revista, clasificada por SIIC Data Bases, integra el acervo bibliográfico de la Biblioteca Biomédica (BB) SIIC. Institución principal de la investigación *Hospital Clinic de Barcelona, Departamento de Neumologia, Instituto Clinico del Torax. Ciber de Enfermedades Respiratorias (ciberes), Barcelona, España Descripción de la investigación Barcelona, España(especial para SIIC) Streptococcus pneumoniae (neumococo) es el principal agente etiológico de la neumonía bacteriana adquirida en la comunidad en niños y adultos, es un patógeno asociado a una alta tasa de mortalidad y morbilidad a nivel mundial. En la actualidad son 93 serotipos reportados, los cuales presentan diferencias en cuanto a su capacidad antigénica, virulencia, poder de colonización, características epidemiológicas y resistencia a los antibióticos. Además, la distribución de los serotipos varía en función de la edad del individuo, área geográfica, cuadro o forma clínica a la que da lugar y sensibilidad a los antibióticos. No todos los serotipos producen enfermedad, concentrándose el 85% de aislamientos de muestras de enfermos en 17 serotipos y de ellos son 6 los más frecuentes: 19, 6, 3, 23, 14,9. En USA la vacuna conjugada VCN7 cubre el 80% de los serotipos causantes de enfermedad neumoccica invasora, en España los serotipos prevalentes son: 6, 14 y 19. Con la introducción de las diferentes vacunas conjugadas neumocócicas y el fenómeno de emergencia de serotipos no vacunales, se ha observado un incremento en el numero de casos de neumonía complicada (derrame pleural, empiema, afectación multilobar) por tal motivo se hace indispensable conocer las características clínicas, predictores de complicaciones pulmonares, serotipos causales y características de evolución clínica en la población de pacientes con neumonía neumocócica adquirida en la comunidad. Este estudio incluyo la todos los pacientes adultos ingresados en el Hospital Clinic de Barcelona durante el periodo 2001-2009 con el diagnostico de neumonía neumocócica. Los datos demográficos, clínicos, microbiológicos (serotipo y antibiograma) y de evolución fueron sistemáticamente incluidos en una base datos para su posterior análisis. Los pacientes fueron estratificados mediante el escore Pneumonia Severity Index (PSI). Los pacientes fueron visitados después de 30 0 40 días después del alta hospitalaria para controlar su evolución. El diagnostico de neumonía se baso en la presencia de síntomas clínicos y en la presencia de un nuevo infiltrado en la radiografía de tórax y teniendo en cuenta no otro diagnostico alternativo. En este estudio se definieron las complicaciones pulmonares como la presencia de derrame pleural, empiema o afectación multilobar. Durante el periodo de estudio se incluyeron 626 pacientes adultos, de los cuales el 85% (235 pacientes) presentaron complicaciones pulmonares: derrame pleural, 122 (52%), empiema 18 (8%), afectación multilobar 151 (64%) y 46 (20%) presentaron mas de una complicación. La clasificion de los pacientes utilizando el escore PSI mostro que: 48% se clasificaron como de bajo riesgo (PSI I-III), 34% como riesgo moderado( PSI IV) , Y 18% como pacientes de riesgo alto (PSI V). La mortalidad de nuestra población fue del 9%: Los pacientes que presentaron complicaciones pulmonares mostraron: mayor ingreso en la unidad de cuidados intensivos, shock, mayor estancia hospitalaria, los neumococos presentaron una menor tasa de resistencia a la penicilina, presentaron similar tasa de mortalidad. En cuanto a la distribución de serotipos, no hubo diferencia entre la presencia de serotipos incluidos en la vacuna VCN7 y los serotipos no vacunales aun que si observamos una tendencia a la presencia del serotipo 19A en los pacientes con complicaciones pulmonares. En los análisis multivariados de complicaciones pulmonares, el tratamiento previo con corticoides inhalados y la presencia de la enfermedad pulmonar obstructiva crónica fueron factores de protección al desarrollo de complicaciones pulmonares. En conclusion, la neumonia neumococica con complicaciones pulmonares se caracterizo por un cuadro clinico mas grave, pero no se asocio con una mayor mortalidad.La resistencia a los antibioticos fue menor en los casos complicados. Este ha sido el primer estudio que evalúa el impacto clínico de las complicaciones pulmonares en pacientes hospitalizados con neumonía neumocócica adquirida en la comunidad en una amplia población de pacientes incluidos consecutivamente durante un período de 9 años y el primero en aplicar este nuevo concepto de complicaciones pulmonares reuniendo el derrame pleural, empiema y la afectación multilobar en una sola variable de estudio. Una limitación del estudio es la falta de datos del tiempo de la primera dosis de antibióticos, una variable que
  • 9.
    potencialmente puede influenciaren la mortalidad. Así también la disponibilidad de los serotipos neumococicos en el periodo 2006 – 2009. DEMUESTRAN LA EFICACIA DE UN PROGRAMA BREVE DE CAPACITACION EN ReSIIC editado en: TERAPIA INTENSIFICADA CON INSULINA EN PACIENTES CON DIABETES TIPO 1 Diabetología Hvidovre, Dinamarca Enfermería Endocrinología y Los programas de breve duración para la aplicación de la terapia intensificada con Metabolismo dosis flexibles de insulina y el recuento de hidratos de carbono se asocian con una Medicina Interna optimización del control metabólico y de la satisfacción del tratamiento en pacientes Medicina Familiar con diabetes tipo 1. Nutrición Atención Primaria Diabetes Care35(5):984-990 May, 2012 Autores: Schmidt S, Meldgaard M, Nørgaard K Institución/es participante/s en la investigación: Hvidovre University Hospital Título original: Use of an Automated Bolus Calculator in MDI-Treated Type 1 Diabetes: The BolusCal Study, a Randomized Controlled Pilot Study Título en castellano: Uso de un Calculador Automatizado de Bolos de Insulina en Pacientes con Diabetes Tipo 1 Tratados con Múltiples Aplicaciones Diarias de Insulina: Boluscal, un Estudio Piloto Aleatorizado y Controlado Extensión del Resumen-SIIC en castellano: 2.73 páginas impresas en papel A4 Introducción En el estudio Diabetes Control and Complications Trial se ha demostrado la importancia de alcanzar niveles de glucemia cercanos a la normalidad para evitar las complicaciones microvasculares de la diabetes. En ese ensayo se llevó a cabo una terapia intensificada con dosis flexibles de insulina (TIDF), con administración de múltiples dosis de este fármaco en función de la glucemia, la ingesta de hidratos de carbono y el ejercicio. Se cita que la promoción de este abordaje se efectúa mediante programas estructurados de cinco días en los cuales se enseña a los pacientes la instrumentación de la TIDF, con la posibilidad de enfocar por sí mismos las alteraciones metabólicas leves. Esta modalidad se ha extendido en diversas naciones y su eficacia ha sido demostrada en estudios como el protocolo Dose Adjustament for Normal Eating (DAFNE), en términos de la mejoría del control de la glucemia y la calidad de vida relacionada con la enfermedad. En este contexto, se señala que Dinamarca ha recomendado la aplicación de la TIDF en sus normativas nacionales, con la inclusión del recuento de hidratos de carbono (RHC) en sujetos con diabetes tipo 1. Sin embargo, se admiten las dificultades en su implementación. Mientras que los usuarios de bombas de insulina parecen adaptarse con facilidad a la TIDF, no se describe el mismo fenómeno en los sujetos que utilizan múltiples inyecciones diarias (MID) de insulina. La diferencia se atribuye a la ventaja de los pacientes que utilizan bombas que incorporan funciones para el cálculo de los bolos de insulina. Se acota que la reciente creación de los lectores de glucemia que incorporan una calculadora de bolos de insulina podría facilitar la aplicación de la TIDF en los pacientes con diabetes tipo 1 que emplean MID de insulina. Se presentan los resultados de un estudio piloto para demostrar esta hipótesis. Pacientes y métodos El BolusCal Study consistió en un protocolo prospectivo, aleatorizado, de diseño abierto y con grupos paralelos, en el cual participaron individuos adultos con diabetes tipo 1 de al menos 12 meses de evolución tratados con MID de análogos de la insulina de acción rápida o prolongada. Se definieron como criterios de exclusión el embarazo, la gastroparesia y la aplicación actual o previa de técnicas de RHC.
  • 10.
    Los participantes formaronparte de un programa de entrenamiento de 3 horas con nutricionistas y enfermeros especialistas en diabetes, en el cual se capacitó a los pacientes en relación con las recomendaciones nutricionales, las técnicas de automonitoreo de la glucemia, las diferentes insulinas y el tratamiento de la hiperglucemia y la hipoglucemia en forma global o en asociación con el ejercicio, las infecciones, el estrés o los ciclos menstruales. Se destacó en el programa la capacitación para el abordaje por parte de los pacientes de los ajustes racionales de la dosis diaria de insulina. Los participantes se dividieron en forma aleatoria para integrar ya sea un grupo control (enseñanza de los principios generales de una dieta saludable, sin entrenamiento en RHC), un primer grupo de intervención con entrenamiento en el RHC (en términos teóricos y prácticos, con aplicación personalizada de cocientes insulina/hidratos de carbono y factores de sensibilidad a la insulina) y un segundo grupo de intervención con capacitación en RHC asociada con la utilización del nuevo equipo de cálculo automático de bolos de insulina. Tras el programa de capacitación, en el grupo de control se continuó con la estimación de la dosis de insulina previa a las comidas con bolos de corrección en forma empírica. El criterio principal de valoración del estudio consistió en los cambios en el nivel de hemoglobina glucosilada (HbA1c) observados a las 16 semanas, mientras que, entre los criterios secundarios, se consideraron las variaciones en la satisfacción vinculada con el tratamiento, los cambios en la calidad de vida relacionada con la enfermedad y la prevalencia de hipoglucemia e hiperglucemia estimadas mediante cuestionarios validados, como el Diabetes Treatment Satisfaction Questionnaire (DTSQ). Los datos reunidos se procesaron con pruebas estadísticas específicas. Resultados En total, 51 pacientes completaron el estudio. No se verificaron diferencias significativas en las características iniciales de los tres grupos de participantes. En ambos grupos de intervención se comprobó una variación significativa de los niveles de HbA1c. En la comparación de ambos subgrupos, no se identificaron diferencias en esta variación (p = 0.756); del mismo modo, mediante la aplicación de un modelo de análisis de la varianza no se demostraron diferencias significativas en los cambios de la HbA1c entre los tres grupos. Cuando se incorporó el valor inicial de este parámetro en un modelo de regresión, las diferencias en el cambio de la HbA1c entre los tres grupos alcanzaron niveles próximos a la significación estadística (p = 0.056). Sin embargo, en comparación con el grupo control, la diferencia relativa fue de -0.6% (p = 0.082) para el grupo de RHC y de -0.8% (p = 0.017) para el grupo de pacientes que aplicaron la calculadora de bolos de insulina. Dado que se detectó un caso aislado de variación extrema de la HbA1c en el grupo de aplicación del equipo de cálculo de bolos de insulina, se excluyó a ese paciente en un análisis de sensibilidad. Mientras que en el análisis inicial no se reconocieron diferencias entre los tres grupos, la incorporación de la HbA1c en el modelo de regresión permitió identificar una diferencia relativa significativa en la variación de este parámetro para el grupo de RHC (-0.4%) y de uso de la calculadora de bolos de insulina (-0.7%). La diferencia relativa entre ambos grupos de intervención en este modelo favoreció al uso de este equipo de cálculo (-0.3%; p = 0.075). Por otra parte, si bien en el control efectuado a las dos semanas no se advirtieron diferencias en los resultados del cuestionario DTSQ entre los tres grupos, los autores aseguran que se reconocieron variaciones significativas en esta evaluación hacia la semana 16. Asimismo, se verificó la ausencia de diferencias de significación estadística entre los tres grupos en términos del recuento de eventos de hipoglucemia referidos por los participantes. La media del cambio del peso corporal fue menor de 1 kg en todos los grupos, mientras que el promedio de la variación de la dosis diaria de insulina fue reducida en las tres cohortes. Se cita que la media de la aplicación de la TIDF informada por los participantes fue de 70% ± 27% en el grupo de RHC y de 89% ± 14% en el grupo de aplicación del calculador de bolos de insulina (p = 0.010). Discusión y conclusiones El BolusCalStudy se considera el primer protocolo aleatorizado y controlado en el cual se evaluaron los efectos de un nuevo equipo de cálculo de bolos de insulina en una cohorte de pacientes diabéticos tipo 1 con inadecuado control metabólico. De igual modo, se lo define como el primer ensayo en el que se informó un resultado exitoso de la aplicación de un programa estructurado de enseñanza de la TIDF de sólo tres horas. En este análisis, se comprobó un cambio estadísticamente significativo de la HbA1c y de la satisfacción asociada con la terapia en ambos grupos de intervención, con predominio de los pacientes que utilizaron el nuevo equipo de cálculo de bolos de insulina. Todos los criterios de valoración elegidos mejoraron entre los participantes que aplicaron este equipo, si bien no todas las variaciones alcanzaron niveles de significación estadística. Así, la reducción de la HbA1c en el grupo control fue de 0.1%, en comparación con la disminución clínicamente relevante informada en los grupos de intervención. Se agrega que la TIDF aplicada en ambas cohortes representó un régimen eficaz para la mejoría del control metabólico. Se acota que la mejoría en la HbA1c descrita en los grupos de intervención no se consideró el solo resultado de una mayor atención por parte de los prestadores de salud. En un modelo de regresión ajustado por los valores iniciales de HbA1c, se demostró que la aplicación de los equipos de cálculo de bolos de insulina se correlacionó con una reducción relativa más acentuada de esta variable, estimada en una media de -0.8%. Se cita que la satisfacción asociada con el tratamiento fue similar para todos los grupos en las primeras dos semanas, pero alcanzó diferencias a favor del uso de equipo de cálculo de bolos de insulina hacia las 16 semanas. Se especula que esta diferencia era atribuible a la posibilidad de evitar cálculos mentales complejos para definir el régimen de tratamiento. Las diferencias en la tasa de aplicación de la TIDF entre ambos grupos de intervención parece, a juicio de los autores, fundamentar esta hipótesis. Se señala que el uso combinado de TIDF y el equipo calculador de bolos de insulina permitió una optimización de la distribución de los valores de glucemia estimados por automonitoreo, con una mayor duración de los períodos de euglucemia y reducción de las fases de hiperglucemia e hipoglucemia. Se admite que las intervenciones no farmacológicas en general y los programas de autocuidado en pacientes diabéticos representan recursos de difícil implementación, en los cuales se incluyen diversos componentes (motivación y capacitación del equipo de salud) que inciden en los resultados. Para compensar el papel de estas variables, se incluyó en este ensayo un grupo control como fortaleza del estudio, dada la imposibilidad de efectuar un protocolo de diseño a ciego. De esta forma, los expertos aseguran que los resultados obtenidos representan una validación de los beneficios de la aplicación de la TIDF y del RHC en la población danesa con diabetes tipo 1 y mal control metabólico. Los principios de la TIDF pudieron incorporarse en un programa estructurado de tres horas. Además, se hace énfasis en la elevada satisfacción y adhesión al tratamiento en el marco de la utilización de un equipo calculador de bolos de insulina. Se
  • 11.
    postula la necesidadde nuevos estudios con mayor cantidad de participantes y duración más prolongada para profundizar los conocimientos acerca de la asociación de estos equipos de cálculo en el marco del uso de MID de insulina. CORRELACIONAN LAS VARIACIONES GENETICAS DEL CROMOSOMA Y CON ReSIIC editado en: EL RIESGO CARDIOVASCULAR Ballarat, Australia Diagnóstico por Laboratorio Genética Humana El haplogrupo I del cromosoma Y se asocia de forma significativa con un mayor riesgo de enfermedad coronaria, en comparación con otros linajes del mismo Bioquímica cromosoma. Esta correlación es independiente de los principales factores de riesgo, Cardiología si bien parece mediada por un perfil genético relacionado con la inmunidad y la Epidemiología respuesta a la inflamación. Lancet379(9819):915-922 Mar, 2012 Autores: Charchar FJ, Bloomer LD, Tomaszewski M Institución/es participante/s en la investigación: University of Ballarat Título original: Inheritance of Coronary Artery Disease in Men: An Analysis of the Role of the Y Chromosome Título en castellano: Herencia de la Enfermedad Coronaria en Varones: un Análisis del Papel del Cromosoma Y Extensión del Resumen-SIIC en castellano: 2.77 páginas impresas en papel A4 Introducción El cromosoma Y es el cromosoma humano con menor número de genes. Su segmento principal, denominado MSY, se transmite en forma intacta del padre al hijo e incluye información para codificar unas 27 proteínas. Si bien el papel biológico fundamental del cromosoma Y es la transmisión de caracteres masculinos, se dispone de datos que vinculan este cromosoma con el sistema cardiovascular. Así, entre otras alteraciones, la polisomía del cromosoma Y se correlaciona con mayor mortalidad por causa cardiovascular. Se ha señalado que las variaciones genéticas del MSY podrían asociarse con el riesgo vascular en los varones. Debido a la naturaleza haploide del cromosoma Y, y a su bajo nivel de recombinación, las técnicas convencionales de evaluación genética no son útiles para valorar sus variaciones. En cambio, se afirma que el análisis del árbol filogenético de este cromosoma es un método apropiado, mediante el cual es posible segmentar el MSY en 20 haplogrupos principales que descienden de un ancestro común. En este análisis, se presentan los resultados de una evaluación de la asociación entre los haplogrupos comunes del cromosoma Y con el riesgo cardiovascular. Pacientes y métodos Se efectuó una evaluación transversal de casos y controles en la que se incluyeron datos de los 811 varones con enfermedad coronaria que participaron del British Heart Foundation Family Heart Study (BFH-FHS) y de 633 sujetos de control que integraban el Wellcome Trust Case Control Consortium (WTCCC). Los pacientes del estudio BFH-FHS se caracterizaban por un diagnóstico confirmado de enfermedad coronaria, fundamentado en el antecedente de infarto de miocardio, angor inestable o necesidad de revascularización coronaria, así como de antecedentes familiares de cardiopatía isquémica. Los sujetos de control no padecían enfermedad coronaria y se incluyeron en proporciones correspondientes a cada grupo etario entre los 30 y los 70 años. Tanto en los casos como en los controles se efectuó genotipificación con métodos de matriz multigénica. Por otra parte, se seleccionaron sujetos del estudio West of Scotland Coronary Prevention Study (WOSCOPS), en el cual participaron varones de 45 a 64 años que no recibían estatinas, con un nivel de colesterol sérico total de entre 6.5 y 7.8 mmol/l al comienzo del estudio, niveles de colesterol unido a lipoproteínas de baja densidad superiores a 4.5 mmol/l y sin antecedentes de infarto de miocardio. En el ensayo original, los participantes se distribuyeron de forma aleatoria para recibir ya sea 40 mg diarios de pravastatina o bien placebo. Para el presente análisis, se incluyeron
  • 12.
    como casos los580 enfermos con infarto de miocardio no mortal, muerte de causa coronaria o necesidad de revascularización. Por cada uno de estos sujetos, se seleccionaron como controles dos participantes sin eventos, con edad, seguimiento y consumo de tabaco de iguales características. Se dispuso de ADN leucocitario de 484 casos y 1 058 controles, de los cuales fue posible efectuar la genotipificación de los polimorfismos de nucleótidos simples (PNS) del cromosoma Y en 482 y 1 052 individuos, en ese orden. Asimismo, se obtuvo información del Cardiogenics Study en términos de los datos de 918 participantes (459 individuos con infarto de miocardio y 459 controles) de cinco centros europeos para el análisis de la expresión de ARN mensajero. Sobre la base de los datos existentes acerca de la diversidad del cromosoma Y en la población británica, se seleccionaron 11 PNS bialélicos (M9, M35, M45, M89, M170, M173, M201, M207, M269, M304 y SRY10831) para su genotipificación. La información obtenida se procesó con modelos estadísticos y bioinformáticos, con estratificación de los datos para el reconocimiento de similitudes genéticas entre los participantes de las diferentes cohortes. Resultados Con el fin de definir si el cromosoma Y se vincula con la enfermedad coronaria, se llevó a cabo una reconstrucción del árbol filogenético de los principales haplogrupos de este cromosoma en las cohortes de los estudios BHF-FHS y WOSCOPS. Se comprobó que los haplogrupos I y R1b1b2 se correlacionan con el 90% de las variaciones del cromosoma Y en ambos ensayos. Entre los participantes del estudio BHF-FHS, el haplogrupo I se encontraba presente en una proporción significativamente mayor entre los sujetos con enfermedad coronaria, en comparación con los pacientes de control (20% contra 13%, en ese orden; p = 0.0001). Tras el ajuste estadístico por el grupo etario, se confirmó la asociación del haplogrupo I con la cardiopatía coronaria (odds ratio [OR]: 1.75; intervalo de confianza [IC] del 95%: 1.20 a 2.54; p = 0.004). En el modelo prospectivo ofrecido por el estudio WOSCOPS, se verificó este predominio significativo del haplogrupo I entre los pacientes con enfermedad coronaria, en comparación con la cohorte de control (18% contra 13%, respectivamente; p = 0.014). Esta asociación se corroboró tras el ajuste estadístico en función de la edad (OR: 1.45; IC 95%: 1.08 a 1.95; p = 0.012). Si bien los participantes del estudio WOSCOPS habían sido caracterizados en términos del riesgo vascular (presión arterial, lípidos, índice de masa corporal, diabetes, proteína C-reactiva, consumo de alcohol y tabaco), estas variables no se correlacionaron de forma significativa con el haplogrupo I, ya que el ajuste estadístico por estos factores no modificó el nivel de asociación estadística con la enfermedad coronaria. En un análisis combinado de los datos de ambos estudios, se confirmó que el haplogrupo I se relacionaba con un incremento del riesgo de enfermedad coronaria estimado en 50% (OR: 1.56; IC 95%: 1.24 a 1.97; p = 0.0002). Asimismo, mediante la aplicación de un modelo multidimensional de escalas no métricas para los PNS autosómicos, se observó que todos los casos y controles que participaron del estudio BHF-FHS parecían compartir ancestros europeos, sin diferencias relevantes entre los varones con el haplogrupo I y aquellos portadores de otros haplogrupos para el cromosoma Y. Se destaca que ninguno de los 31 PNS autosómicos relacionados con la enfermedad coronaria se vinculó con frecuencias diferentes entre los portadores del haplogrupo I y aquellos con otros linajes del MSY. La aplicación de otras técnicas de evaluación amplificada del genoma permitió confirmar que el haplogrupo I se vinculaba con un mayor riesgo de cardiopatía coronaria en forma independiente de los PNS previamente reconocidos. Se agrega que, en los 255 varones participantes del Cardiogenics Study en los cuales se completó un análisis de transcriptomas, se advirtió que los individuos con enfermedad coronaria se caracterizaban por mayor edad y un índice de masa corporal superior a la de los controles. Sin embargo, estas variables no difirieron entre los portadores del haplogrupo I y los pacientes con otras variaciones del linaje del cromosoma Y. En los análisis de enriquecimiento genético, no se verificaron diferencias entre los transcriptomas de los monocitos de ambos subgrupos de participantes; sin embargo, al estudiar los transcriptomas de los macrófagos, se reconocieron 30 vías metabólicas KEGG con expresión diferencial entre el haplogrupo I y otros linajes del cromosoma Y. Se advirtió que 19 de estas vías metabólicas se interconectaban para aquellos genes asociados con la inflamación y la inmunidad, con siete vías reguladas en aumento y doce vías reguladas en decremento en los sujetos portadores del haplogrupo I, en comparación con los individuos con otros haplogrupos. Discusión y conclusiones En este análisis, los autores hacen énfasis en que el haplogrupo I del cromosoma Y se asoció de forma significativa con un mayor riesgo de enfermedad coronaria, en comparación con otros linajes del mismo cromosoma. Esta correlación fue independiente de los principales factores de riesgo cardiovascular, si bien parecía mediada por un perfil genético relacionado con la inmunidad y la respuesta a la inflamación. En el análisis de los transcriptomas se comprobó que algunas de las 19 vías metabólicas interconectadas con la inflamación y la inmunidad podrían vincularse con la aterosclerosis. Se ha reconocido que el pasaje de los leucocitos a través de la barrera endotelial constituye un mecanismo involucrado en la aterosclerosis. Las adherencias focales, el control del citoesqueleto y la dinámica de la adhesividad modifican tanto la motilidad de los leucocitos como las interacciones entre las plaquetas y el endotelio; estos procesos se vinculan con la patogenia de la enfermedad coronaria. Del mismo modo, el equilibrio entre las citoquinas inflamatorias y antiinflamatorias forma parte de la progresión de las placas de ateroma. Estas redes moleculares podrían constituir el fundamento de la asociación entre el haplogrupo I y la cardiopatía isquémica. Se hace hincapié en que el haplogrupo I se asoció con la regulación en descenso de distintos vías metabólicas relacionadas con el sistema inmunitario. Se postula que las disfunciones de la inmunidad se correlacionan con la aterosclerosis y la enfermedad coronaria, de acuerdo con resultados de estudios previos. Se acota que los portadores del haplogrupo I podrían presentar anomalías crónicas de los mecanismos de homeostasis de la inmunidad adquirida, con mayor tendencia a la inflamación y compromiso del sistema cardiovascular. Estos mecanismos forman parte de otras afecciones complejas, como la enfermedad inflamatoria intestinal, en las que se ha descrito deficiencia de la inmunidad e incremento de la inflamación sistémica. De todos modos, se verificó que la asociación entre el haplogrupo I y el mayor riesgo de cardiopatía isquémica fue independiente de los niveles de proteína C-reactiva, un reconocido marcador de inflamación. Se especula con la necesidad de futuros estudios en los cuales se determinen marcadores relevantes de la acción específica del sistema inmunitario para un mejor análisis de esta asociación. Se cita que, en la opinión de los autores, es poco probable que la presencia del haplogrupo I del cromosoma Y sea suficiente por sí misma para brindar un elevado valor predictivo positivo de enfermedad coronaria. De todos modos, el riesgo relativo de cardiopatía isquémica en estos enfermos no resultó menor desde el punto de vista del análisis de asociación genética. Se propone la replicación de los resultados en estudios poblacionales prospectivos con gran cantidad de participantes para definir con precisión la estimación del riesgo de enfermedad coronaria atribuible a las
  • 13.
    variaciones en elcromosoma Y. DETERMINAN LA ASOCIACION ENTRE LA INSUFICIENCIA CARDIACA Y EL ReSIIC editado en: RIESGO DE FRACTURAS POR OSTEOPOROSIS Edmonton, Canadá Cardiología Osteoporosis y Osteopatías Médicas La insuficiencia cardíaca aumenta aproximadamente un 30% la probabilidad de fracturas graves asociadas con la osteoporosis; el incremento del riesgo es Administración independiente de los factores tradicionales de riesgo y de la densidad mineral ósea. Hospitalaria Atención Primaria Journal of Clinical Endocrinology and Metabolism97(4):1179-1186 Abr, 2012 Diagnóstico por Imágenes Educación Médica Autores: Endocrinología y Majumdar SR, Ezekowitz JA, Leslie WD Metabolismo Epidemiología Institución/es participante/s en la investigación: Farmacología University of Alberta Geriatría Medicina Farmacéutica Medicina Familiar Título original: Medicina Interna Heart Failure is a Clinically and Densitometrically Independent Risk Factor of Ortopedia y Osteoporotic Fractures: Population-Based Cohort Study of 45 509 Subjects Traumatología Salud Pública Título en castellano: La Insuficiencia Cardíaca es un Factor Independiente de Riesgo de Fracturas Osteoporóticas, de los Hallazgos Clínicos y de la Densitometría: Estudio de Población en 45 509 Individuos Extensión del Resumen-SIIC en castellano: 2.62 páginas impresas en papel A4 Introducción La edad avanzada, el estado posmenopáusico, el tabaquismo y la diabetes son factores de riesgo comunes a la osteoporosis (OP) y a la insuficiencia cardíaca (IC), enfermedades crónicas muy frecuentes, por lo general subdiagnosticadas y no tratadas correctamente. Además, los fármacos que se utilizan para el tratamiento de la IC pueden afectar la salud ósea. La IC parece un factor predictivo independiente de OP, a juzgar por los resultados generales de los estudios de casos y controles y prospectivos. Cuantitativamente, el riesgo relativo de fracturas graves por OP en los enfermos con IC ha sido de 1.4 a 6.3. La limitación principal de estos estudios se relacionó con la falta de información sobre la densidad mineral ósea (DMO) antes del evento esquelético. La DMO, valorada con absorciometría de rayos X de energía dual (DXA), representa la estrategia estándar para predecir el riesgo de fracturas. En al menos 2 investigaciones, la DMO baja se asoció con mayor morbimortalidad cardiovascular. Si bien diversos factores parecen predecir el riesgo de fracturas, independientemente de la DMO, la asociación con la IC no ha sido evaluada con precisión. El presente estudio de población realizado en la provincia de Manitoba, Canadá, tuvo por finalidad determinar la prevalencia de OP en los enfermos con IC de diagnóstico reciente y establecer la relación entre la IC y la incidencia de fracturas graves respecto de la DMO. Pacientes y métodos El estudio incluyó todas las personas de 50 años o más sometidas a una primera valoración de la DMO entre 1998 y 2009; los participantes fueron seguidos hasta 2010. Se utilizó la información proporcionada por los registros de la región controlados por el Manitoba Centre for Health Policy. Se tuvieron en cuenta las características sociodemográficas y clínicas y los fármacos utilizados. En Manitoba existe un registro de todas las densitometrías que incluye, también, datos acerca de los factores de riesgo de OP. Para el presente estudio se consideraron los T-scores de cadera total y columna lumbar y los valores más bajos en cualquier localización anatómica (cadera total, columna lumbar, cuello femoral o trocánter). Los T-scores (cantidad de desviaciones estándares por encima o por debajo de los valores promedio de DMO correspondientes a adultos jóvenes) se calcularon con los datos de referencia para las mujeres blancas de los EE.UU. según las recomendaciones del WHO Collaborating Centre for Metabolic Bone Diseases. Se identificaron los enfermos con un primer diagnóstico de IC, según la Clasificación Internacional de Enfermedades, en cualquier momento en el transcurso de los 2 años previos a la primera densitometría. La variable principal de análisis fue la incidencia de fracturas graves por OP (fracturas no traumáticas del antebrazo, húmero, vértebras o cadera) posteriores a la valoración de la DMO. Los factores convencionales de riesgo de OP incluyeron la edad, el sexo, el índice de masa corporal (IMC), el antecedente de fracturas por OP y la exposición a corticosteroides por vía
  • 14.
    sistémica (90 díaso más o menos de 90 días) en el año anterior a la densitometría. También se tuvo en cuenta la utilización de fármacos contra la OP (bisfosfonatos, calcitonina, terapias hormonales, raloxifeno y teriparatida) y la IC (inhibidores de la enzima convertidora de la angiotensina, bloqueantes de los receptores de angiotensina, beta bloqueantes [BB] y diuréticos) en el año previo a la valoración de la DMO. Por último, se consideraron diversas comorbilidades, como enfermedad coronaria, enfermedad pulmonar obstructiva crónica, infarto de miocardio y diabetes. La incidencia de fracturas se conoció con curvas de Kaplan-Meier; las diferencias se analizaron con pruebas de orden logarítmico. Se realizaron 5 modelos secuenciales de Cox, con diversos grados de ajuste. En los análisis, de antemano se decidió considerar la DMO de cadera total porque los T-scores en dicha localización son los que mejor predicen el riesgo de fracturas. En 4 análisis de sensibilidad se consideraron la gravedad de la IC, el puntaje más bajo de DMO, el T-score del cuello femoral en vez del T-score de cadera total y la exposición a BB. Resultados La cohorte para el análisis final estuvo integrada por 45 509 pacientes sometidos a una primera densitometría entre 1998 y 2009, seguidos por una mediana de 5 años (rango intercuartilo [RIC]: 3 a 7 años). La media de edad de los enfermos fue de 66 años; 92% eran mujeres, 98% eran caucásicos y 14% tenían antecedentes de fracturas graves por OP antes de la valoración inicial de la DMO. En el 4% (n = 1 841) se estableció el diagnóstico de IC. El antecedente de fracturas fue significativamente más frecuente en los enfermos que presentaron IC respecto de los pacientes sin IC (21% y 13%). El uso de corticosteroides fue más común en los sujetos con IC (12% contra 5%). Además, los pacientes con IC presentaron T- scores más bajos de cadera total (-1.3 contra -0.9). Sin embargo, el tratamiento de la OP antes de la primera densitometría fue menos frecuente en los sujetos con IC respecto de los individuos sin esta enfermedad (14% y 21%, en ese orden). Sobre los valores de los T-score y el antecedente de fracturas, se estimó que 889 enfermos (48%) con IC de diagnóstico reciente fueron candidatos a recibir fármacos contra la OP en comparación con 15 559 (36%) enfermos sin IC en el momento de la valoración de la DMO (p < 0.001). En el transcurso de 223 188 personas/año de seguimiento se registraron 2 703 fracturas graves por OP en 2 495 pacientes; el 62% de los eventos esqueléticos se produjo en los miembros superiores, en 26% de los casos fueron fracturas vertebrales diagnosticadas clínicamente y el 21% de los pacientes presentó fracturas de cadera. La mediana del intervalo entre la primera densitometría y la primera fractura fue de 3.6 años (RIC: 1.5 a 6.2). Los pacientes con IC tuvieron el doble de riesgo de presentar fracturas (185 de 1 841; 10% en comparación con 2 310 de 43 668, 5%; p < 0.001). Durante el período de observación de 5 años, el diagnóstico de IC se asoció con un hazard ratio (HR) sin ajuste de fracturas mayores por OP de 2.45 (intervalo de confianza del 95% [IC]: 2.11 a 2.85). En los modelos que consideraron todos los factores de confusión (edad, sexo, otros factores de riesgo de OP, tratamientos de la OP, comorbilidades, fármacos contra los trastornos cardíacos y DMO de cadera total), la asociación entre la IC de diagnóstico reciente y las fracturas por OP se atenuó, pero se mantuvo significativa (HR 1.28; IC: 1.06 a 1.53; p = 0.009). El riesgo fue similar al que confiere la artritis reumatoidea o la diabetes, y más alto que el vinculado con el antecedente de fracturas. En el primer análisis de sensibilidad no se observaron asociaciones entre la gravedad de la IC (sobre la base de las internaciones) y la incidencia de fracturas; en el segundo análisis, la consideración del T-score más bajo en vez del T- score de cadera total no modificó los resultados (HR: 1.30; p = 0.005); lo mismo ocurrió cuando se consideró el T- score del cuello femoral (HR: 1.32; p = 0.003). Por último, los enfermos en tratamiento crónico con BB presentaron T-scores significativamente más altos de cadera total respecto de los sujetos que no los recibieron; más aún, en los modelos finales que no incluyeron la DMO, la utilización de BB se asoció con una reducción del 9% del riesgo de fracturas (HR: 0.91; p = 0.10). Cuando se incluyó la DMO, la relación se atenuó (p = 0.14). Discusión Este amplio estudio de población en casi 50 000 personas mostró que el diagnóstico reciente de IC se asocia con un riesgo casi 30% más alto de fracturas graves asociadas con la OP al cabo de 5 años de seguimiento. El hallazgo fue independiente de los factores tradicionales de riesgo de OP, las comorbilidades, los tratamientos y, por primera vez, de la DMO. Aunque diversos estudios previos también sugirieron que la IC incrementa el riesgo de fracturas, la mayoría de ellos fue de corta duración, incluyó un escaso número de enfermos, consideró exclusivamente las fracturas de cadera y se limitó al análisis de mujeres posmenopáusicas. Tampoco consideraron la DMO, el principal factor predictivo de fracturas. En el curso de los 2 años posteriores al diagnóstico de IC, los autores comprobaron una reducción significativa de la DMO en todas las localizaciones esqueléticas, en comparación con los sujetos sin IC. La inclusión de la DMO y de los factores restantes de riesgo atenuó, pero no eliminó, la asociación, de modo que la DMO sólo explicaría en parte el mayor riesgo de fracturas en los enfermos con IC. En los estudios futuros se deberán identificar aquellos factores residuales que aumentan el riesgo de fracturas en los pacientes con IC (fármacos, hiperaldosteronismo asociado con la IC, hiperparatiroidismo secundario, deficiencia de vitamina D y factores genéticos, entre otros). En conclusión, los resultados del presente estudio indicaron que los pacientes con IC de diagnóstico reciente tienen menor DMO respecto de los enfermos sin IC. Sin embargo, las diferencias en la DMO y los factores de riesgo compartidos por ambas enfermedades no explicaron por completo la asociación. Por lo tanto, concluyen los expertos, los estudios venideros deberán intentar analizar los mecanismos que vinculan la IC con el riesgo de fracturas por OP. Mientras tanto, y desde la perspectiva clínica, los profesionales deben tener en cuenta que los pacientes con IC están expuestos a mayor riesgo de presentar fracturas y que podrían beneficiarse particularmente a partir de la valoración de la DMO y de las medidas saludables en el estilo de vida. También serían candidatos a recibir fármacos específicos contra la OP.
  • 15.
    EFECTO DEL TRATAMIENTOCON HORMONA LUTEINIZANTE RECOMBINANTE ReSIIC editado en: EN LAS MUJERES DE 35 AñOS O MAS SOMETIDAS A TECNICAS DE REPRODUCCION ASISTIDA Endocrinología y Bethesda, EE.UU. Metabolismo Medicina Reproductiva En las mujeres de 35 años o más, el agregado de hormona luteinizante recombinante a los protocolos de reproducción asistida con FSH recombinante podría Bioquímica mejorar los índices de implantación y de embarazo clínico. Diagnóstico por Laboratorio Fertility and Sterility97(5):1108-1114 May, 2012 Farmacología Obstetricia y Ginecología Autores: Hill MJ, Levens ED, Whitcomb BW Institución/es participante/s en la investigación: Eunice Kennedy Shriver National Institute of Child Health and Human Development Título original: The Use of Recombinant Luteinizing Hormone in Patients Undergoing Assisted Reproductive Techniques With Advanced Reproductive Age: A Systematic Review and Meta-Analysis Título en castellano: Utilización de Hormona Luteinizante Recombinante en las Pacientes de Edad Reproductiva Avanzada Sometidas a Técnicas de Reproducción Asistida: Revisión Sistemática y Metanálisis Extensión del Resumen-SIIC en castellano: 2.56 páginas impresas en papel A4 Introducción En las pacientes con hipogonadismo hipogonadotrófico e infertilidad, la administración de LH y FSH en el contexto de las técnicas de reproducción asistida (TRA) incrementa las posibilidades de éxito. Aun así, diversos estudios mostraron evoluciones favorables con el uso de FSH recombinante sola. En un trabajo se comprobó que se requiere la ocupación de 1% de los receptores de LH para lograr la síntesis ovárica apropiada de hormonas esteroides para la reproducción. Dado que la mayoría de las pacientes normogonadotróficas tienen una producción endógena normal de LH, los posibles beneficios asociados con el agregado de LH a las TRA han sido motivo de controversia. Numerosos estudios evaluaron el efecto del agregado de LH recombinante en los esquemas de hiperestimulación ovárica controlada. Diversos metanálisis no mostraron beneficios en comparación con el uso exclusivo de FSH en las pacientes sometidas a TRA; sin embargo, para las mujeres de mayor edad, el agregado de LH podría asociarse con ciertas ventajas. Según varios trabajos, el tratamiento con LH recombinante sería más eficaz en las mujeres de 35 años o mayores. Sin embargo, los datos son limitados y no permiten establecer conclusiones firmes respecto de los índices de éxito (embarazo clínico). En la presente revisión sistemática y metanálisis se resumen los resultados de los estudios aleatorizados y controlados que compararon la eficacia de los protocolos que consisten en la administración de FSH y de aquellos que combinan el uso de FSH y LH en pacientes de edad reproductiva avanzada. Pacientes y métodos A partir de una búsqueda en PubMed, Embase, Scopus, ClinicalTrials.gov y la Cochrane Database of Clinical Trials, se identificaron los trabajos de TRA con FSH recombinante o con protocolos mixtos. Sólo se incluyeron estudios aleatorizados y controlados, realizados en mujeres de 35 años o más. Siete de los 147 artículos identificados originalmente fueron aptos para revisión y metanálisis. Los datos analizados fueron los índices de gestación e implante, los niveles de estradiol, los ovocitos y los ovocitos en metafase II, y el tamaño de la muestra. También se tuvieron en cuenta el año de publicación, el método de asignación al tratamiento, la edad, la utilización de anticonceptivos orales antes de la TRA y los protocolos de estimulación ovárica. Los parámetros principales de evolución fueron los índices de implantación y de embarazo clínico. Los niveles séricos de estradiol en el momento de la administración de hCG, los ovocitos recuperados, la cantidad de ovocitos en metafase II y la fertilización fueron parámetros secundarios de análisis. La heterogeneidad entre los estudios se determinó con la prueba Q y el índice I2; cuando se comprobó la falta de heterogeneidad entre los trabajos se aplicaron modelos de efectos fijos; en caso contrario, se utilizaron modelos de efectos aleatorios. El sesgo de publicación de estimó con gráficos en embudo. Se realizaron análisis por subgrupos según la utilización de protocolos con agonistas o antagonistas de la hormona liberadora de gonadotrofinas (GnRH). Resultados Siete trabajos (Marrs y colaboradores; Humaidan y colaboradores; Fabregues y colaboradores; Barrenetxea y colaboradores; NyboeAndersen y colaboradores; Matorras y colaboradores y Bosch y colaboradores) reunieron los criterios de inclusión; estos abarcaron 902 ciclos de estimulación con FSH o con FSH más LH. Tres estudios sólo incluyeron a pacientes de edad reproductiva avanzada; en 3, los resultados para estas enfermas se publicaron por separado, mientras que en el último trabajo, los análisis se realizaron con ajuste según la edad. Se utilizaron diferentes esquemas de supresión hipofisaria. Las 7 investigaciones tuvieron un diseño abierto. No se encontraron diferencias en los niveles de estradiol el día de la administración de hCG. Fabregues y colaboradores refirieron un menor índice de recuperación de ovocitos en el grupo asignado al tratamiento con LH
  • 16.
    recombinante (6.3 contra7.9; p = 0.001); Bosch y colaboradores observaron los mismos resultados (8.4 contra 10.1; p = 0.008). En los restantes trabajos no se encontraron diferencias en los índices de recuperación de ovocitos entre los 2 protocolos. En el trabajo de Fabregues y colegas, el índice de recuperación de ovocitos en metafase II fue más bajo en las pacientes tratadas con LH recombinante (5.5 contra 6.9; p = 0.001), en tanto que en el estudio de Bosch y colaboradores no se encontraron diferencias entre los grupos en este parámetro (6.6 contra 7; p = 0.303). En el ensayo de Bosch y colaboradores, el índice de fertilización fue más alto en las mujeres que recibieron LH recombinante (68% y 61%; p = 0.027), mientras que en el estudio de Humaidan y colaboradores se comprobó un aumento no significativo de los índices de fertilización en el grupo de mujeres tratadas con LH (62% contra 48%). En el trabajo de Fabregues y colaboradores, el número de embriones fertilizados fue inferior en las pacientes que recibieron LH recombinante (4 contra 5.5; p = 0.01). En los otros estudios no hubo diferencias en los índices de fertilización. No se observaron diferencias en las pruebas de reserva ovárica (valorada mediante los niveles de FSH al tercer día o el recuento basal de folículos del antro). Humaidan y su grupo refirieron índices de implantación más altos en las pacientes tratadas con LH recombinante (36.4% contra 13.3%; p < 0.05); el mismo efecto se encontró en el estudio de Bosch y colaboradores (26.7% contra 18.6%; p < 0.05). En el resto de los ensayos no se hallaron diferencias entre los 2 grupos de terapia. Los modelos de efectos fijos mostraron índices más altos de implante en las mujeres tratadas con LH recombinante humana (odds ratio [OR] 1.36; IC 95% 1.05 a 1.78). No se encontraron indicios de heterogeneidad (prueba Q = 0.32 e índice I2 = 13%). En el estudio de Marrs y colaboradores, el índice de embarazos clínicos fue mayor en las mujeres que recibieron LH recombinante (45.8% contra 22.5%; p = 0.027). En el estudio de Bosch y colaboradores y en el trabajo de Matorras y colaboradores, las diferencias no fueron significativas (33.5% en comparación con 25.3% en el primer caso y 27% y 14.7% en el segundo estudio). En los restantes ensayos no se observaron diferencias significativas entre los 2 grupos al respecto. Los modelos de efectos fijos mostraron un mayor índice de embarazo en el grupo tratado con LH recombinante (OR 1.37; IC 95% 1.03 a 1.83); sin indicios de heterogeneidad (prueba Q = 0.20 e índice I2 = 29%). Los modelos de efectos aleatorios mostraron los mismos resultados, con índices más altos de implantación en las pacientes tratadas con LH recombinante (OR 1.35; IC 95% 1.03 a 1.76) y aumentos no significativos en los índices de embarazo clínico en las mismas enfermas (OR 1.36; IC 95% 0.94 a 1.97). En 5 estudios se utilizaron agonistas de la GnRH de larga duración; en un trabajo se aplicó una microdosis y en otro, un antagonista de la GnRH. En este último se observó un índice más alto de implante (OR 1.56; IC 95% 1.04 a 2.33) y un incremento no significativo del índice de embarazo (OR 1.49; IC 95% 0.93 a 2.38) en las pacientes que recibieron LH recombinante. En el subanálisis de los estudios que utilizaron agonistas de la GnRH de acción prolongada sólo se comprobaron efectos no significativos en los índices de implante (OR 1.26; IC 95% 0.93 a 1.71) y de embarazo clínico (OR 1.32; IC 95% 0.89 a 1.96). Discusión En el presente metanálisis, el protocolo que consistió en la administración de LH recombinante más FSH recombinante se asoció con índices más altos de implante y de embarazo clínico en las mujeres de más de 35 años sometidas a TRA. En cambio, no se registraron diferencias entre los esquemas en la recuperación de ovocitos u ovocitos en metafase II. Por lo tanto, los beneficios no parecen obedecer a la mayor recuperación de ovocitos sino a la mayor eficacia de estos y a una mejor receptividad endometrial. En un trabajo anterior se encontró menor apoptosis en los ciclos en los cuales se administró LH recombinante en comparación con aquellos en los que sólo se utilizó FSH, un fenómeno que sugiere que el uso de ambas hormonas aumentaría la calidad de los ovocitos. Los expertos recuerdan que en las mujeres de mayor edad se produce un aumento de la FSH, no así de la LH, en la fase folicular precoz. En este escenario, es probable que la administración de LH se asocie con la recuperación del microambiente folicular en las pacientes sometidas a TRA. La FSH estimula la síntesis de progesterona mediante la conversión de colesterol mientras que la LH estimula la CYP17 y convierte la progesterona en andrógenos, los cuales posteriormente se transforman en estrógenos mediante aromatización. La LH podría reducir el riesgo del incremento prematuro de progesterona y, así, aumentar la posibilidad de implante y embarazo. A pesar de las limitaciones inherentes al diseño de la revisión, los resultados del presente metanálisis sugieren que el uso de LH recombinante podría mejorar los índices de implante y de gestación; los estudios futuros permitirán establecer si el efecto es el mismo cuando se utilizan agonistas o antagonistas de la GnRH. INFORMAN UN ELEVADO SUBDIAGNOSTICO DE INFLUENZA EN PACIENTES InSIIC editado en: CON INFECCION RESPIRATORIA AGUDA GRAVE Cuidados Intensivos Infectología Madrid, España Bioquímica La influenza parece constituir un motivo frecuente de enfermedad respiratoria Diagnóstico por aguda en los pacientes internados en cuidados intensivos durante la epidemia Laboratorio estacional. Sin embargo, la infección suele ser subdiagnosticada, con riesgo de Epidemiología demora en el inicio del tratamiento antiviral y con mayor probabilidad de Medicina Interna transmisión intrahospitalaria de esta enfermedad.
  • 17.
    Fuente científica: CriticalCare16(3): Jun, 2012 aSNC Autores: Giannella M, Rodriguez-Sánchez B, Bouza E Palabras clave: influenza, influenza estacional, unidad de cuidados intensivos Key Words: influenza, influenza season, intensive care unit Institución principal: Hospital General Universitario Gregorio Marañón Correspondencia: M Giannella, Department of Clinical Microbiology and Infectious Diseases Hospital General Universitario Gregorio Marañón, 28007, Madrid España Patrocinio: El estudio fue parcialmente financiado por el Programa de Centros de Investigación Biomédica en Red (CIBER) de Enfermedades Respiratorias. Conflicto de interés: No declarado. Agradecimientos: El estudio fue parcialmente financiado por el Programa de Centros de Investigación Biomédica en Red (CIBER) de Enfermedades Respiratorias. La influenza es un motivo frecuente de internación en las unidades cuidados intensivos durante las pandemias y por razones estacionales. Sin embargo, esta enfermedad puede no diagnosticarse en aquellos sujetos con manifestaciones clínicas que pueden atribuirse a otras infecciones o incluso a causas no infecciosas. Por otra parte, se dispone de escasa información acerca del contagio de influenza durante una internación en cuidados intensivos. En este ensayo, se describen los resultados de un protocolo prospectivo en el cual participaron pacientes adultos internados en 3 unidades de cuidados intensivos, de quienes se obtuvieron muestras de aspirado traqueal para la pesquisa sistemática del virus de la influenza. En aquellos individuos en los cuales se confirmó el diagnóstico mediante reacción en cadena de la polimerasa, se indicó tratamiento con 150 mg diarios de oseltamivir por 5 a 10 días. El objetivo del seguimiento de los pacientes consistió en la determinación de la incidencia de la enfermedad durante la temporada de influenza y la evaluación de las tasas de prevalencia de casos no sospechados y de contagio durante la internación. Se procesaron muestras de aspirado traqueal de 105 enfermos, con detección de influenza en 31 sujetos, de los cuales el 48.4% (n = 15) se consideraron casos inesperados y el 42% (n = 13) habían adquirido la enfermedad durante la internación. Se reconocieron diferencias significativas entre los sujetos con sospecha inicial de influenza y aquellos con diagnóstico inesperado en relación con la mediana de edad (53 contra 69 años, en ese orden), la tasa de insuficiencia respiratoria grave (68.8% contra 20%, respectivamente), el antecedente quirúrgico (6.3% contra 60%), la mediana de la duración de la internación en cuidados intensivos antes del diagnóstico (1 contra 4 días), la presencia de infección intrahospitalaria (18.8% contra 66.7%), la detección de infiltrados localizados en la radiografía de tórax (6.3% contra 40%) y la mediana de la duración de la terapia antiviral (2 contra 9 días), entre otros. Mediante la aplicación de un modelo de análisis multivariado, se reconocieron como factores asociados de forma significativa e independiente con el diagnóstico no esperado de influenza a la internación en la unidad de cuidados intensivos para pacientes quirúrgicos y a la presencia de infiltrados localizados en la radiología torácica. Asimismo, la hospitalización en cuidados intensivos motivada por insuficiencia respiratoria grave se definió como una variable asociada de forma independiente con un mayor riesgo de mal pronóstico. La mortalidad global de la cohorte de estudio se estimó en 29% después de un mes de seguimiento. En este contexto, los investigadores destacan que la influenza parece constituir un motivo frecuente de enfermedad respiratoria aguda en los pacientes internados en cuidados intensivos durante la epidemia estacional. Sin embargo, la infección suele ser subdiagnosticada, con riesgo de demora en el inicio del tratamiento antiviral y con mayor probabilidad de transmisión intrahospitalaria de esta enfermedad. Se propone la pesquisa sistemática de la influenza en las muestras de las secreciones respiratorias de los pacientes con requerimientos de internación en la unidad de cuidados intensivos durante los períodos de epidemia de esta afección. LOS AGONISTAS DOPAMINERGICOS NO PARECEN MODIFICAR LAS VIAS InSIIC editado en: NEURALES RELACIONADAS CON LA TOMA DE DECISIONES Neurología Amsterdam, Países Bajos Anatomía Patológica Diagnóstico por Imágenes Aunque los ganglios basales forman parte de la preparación para optar por una Endocrinología y decisión rápida, la terapia con bromoergocriptina parece correlacionarse con Metabolismo cambios en el umbral de decisión o provocar variaciones en la activación de los Farmacología circuitos cerebrales asociados con la velocidad. Salud Mental Fuente científica: Frontiers in neuroscienceAgo, 2012 aSNC
  • 18.
    Autores: Van MaanenL, Forstmann BU, Winkel J Palabras clave: bromocriptina, dopamina, velocidad y precisión, cuerpo estriado, resonancia magnética funcional, patrón de difusión mixto, acumulador balístico lineal, modelos por neuroimágenes Key Words: bromocriptine, dopamine, speed–accuracy tradeoff, striatum, functional magnetic resonance imaging, drift diffusion model, linear ballistic accumulator, model-based neuroimaging Institución principal: University of Amsterdam Correspondencia: J Winkel, University of Amsterdam Cognitive Science Center Amsterdam, 1018 VZ, Amsterdam Países Bajos Patrocinio: General Life Sciences, Netherlands Organization for Scientific Research, entre otras. Conflicto de interés: No declarado. Agradecimientos: General Life Sciences, Netherlands Organization for Scientific Research, entre otras. La toma de decisiones es uno de los parámetros fundamentales de la vida cotidiana y se define como la capacidad de efectuar una elección en el contexto de la información disponible como función cerebral relevante. Se destaca que la velocidad para adoptar una decisión suele vincularse en forma inversa con su precisión; para comprender esta asociación, se han propuesto distintos modelos de análisis, entre los que sobresale el patrón de difusión mixto (drift difussion model). En virtud de la repercusión de la toma de decisiones en términos de la función cognitiva, se admite un interés por el mejor entendimiento de los procesos cerebrales involucrados. Con este objetivo, se han sugerido distintos modelos de representación neural, con especial énfasis en los ganglios basales, debido a que estas estructuras, como el cuerpo estriado, se encargarían de la selección de un programa motor específico mediante la inhibición global de otros patrones. Se advierte que la disminución del umbral de decisión podría vincularse con la actividad de las neuronas dopaminérgicas del cuerpo estriado. Si bien la dopamina es el neurotransmisor más involucrado en el proceso de recompensa, se postula que esta molécula se encuentra comprometida en otros aspectos de la cognición, como el ajuste entre la velocidad y la precisión de una respuesta. En el presente modelo, 20 voluntarios de un grupo de estudiantes universitarios sin antecedentes de afecciones psiquiátricas, que recibieron ya sea bromoergocriptina (un agonista del receptor de dopamina) o placebo. Se investigaron en esta cohorte los parámetros de velocidad y precisión en la toma de decisiones, mediante técnicas de resonancia magnética funcional. Con esta meta, se optó por 2 modelos de análisis, que incluyeron el patrón de difusión mixto, por un lado, y un modelo de acumulación lineal balística. En términos conductuales, se reconocieron diferencias definidas en el umbral de toma de decisiones en relación con la velocidad y la precisión, si bien estos parámetros no presentaron diferencias de significación estadística entre los participantes que recibieron bromoergocriptina o bien placebo. Por consiguiente, el uso de agonistas dopaminérgicos no se relacionó con repercusiones sobre el umbral de decisión en la evaluación de la conducta. Del mismo modo, en términos neuronales, el análisis de las imágenes por resonancia magnética permitió advertir la activación del cuerpo estriado y del área motora presuplementaria en relación con la velocidad y en comparación con la precisión de las decisiones. De esta forma, en una evaluación conjunta de las pruebas conductuales y de los parámetros funcionales observados en las imágenes, si bien los ganglios basales forman parte de la preparación para optar por una decisión rápida, la bromoergocriptina no se correlacionó con cambios en el umbral de decisión ni provocó variaciones en la activación de los circuitos cerebrales asociados con la velocidad. CARACTERIZAN LAS ANORMALIDADES EN LOS POTENCIALES EVOCADOS ReSIIC editado en: AUDITIVOS EN LOS NIñOS CON TRASTORNO POR DEFICIT DE ATENCION E HIPERACTIVIDAD Pediatría Taipei, Taiwán (Republica Nacionalista China) Salud Mental Diagnóstico por Los potenciales evocados por eventos auditivos (PEA) endógenos (P3 y N2) están Imágenes significativamente comprometidos en los niños con trastorno por déficit de atención Farmacología e hiperactividad, en comparación con los PEA exógenos (N1 y P2). La mayor latencia Neurología y la menor amplitud en P3 sugieren alteraciones en el control inhibitorio y Otorrinolaringología anormalidades neurocognitivas en estos enfermos. Pediatrics and Neonatology53(2):118-124 Abr, 2012
  • 19.
    Autores: Tsai ML, HungKL, Lu HH Institución/es participante/s en la investigación: Cheng Hsin General Hospital Título original: Auditory Event-Related Potentials in Children With Attention Deficit Hyperactivity Disorder Título en castellano: Potenciales Evocados por Eventos Auditivos en los Niños con Trastorno por Déficit de Atención e Hiperactividad Extensión del Resumen-SIIC en castellano: 2.78 páginas impresas en papel A4 Introducción El registro de los potenciales relacionados con eventos auditivos (potenciales evocados auditivos [PEA]) en el cuero cabelludo es un procedimiento no invasivo que aporta importante información sobre la actividad neurológica asociada con las funciones sensitiva, cognitiva, de atención y de ejecución. Los PEA han sido aplicados al estudio de diversas enfermedades neurológicas y psiquiátricas, trastornos del aprendizaje y atención, demencias y deterioro neurocognitivo. El trastorno por déficit de atención e hiperactividad (TDAH) se caracteriza por anormalidades en la atención y el comportamiento, impulsividad cognitiva e inquietud. Diversos trabajos sugirieron que los niños con TDAH también presentan anormalidades en los PEA. Los trastornos en las ondas de los PEA reflejan la función de la atención selectiva y la categorización de los estímulos involucrados en las funciones cognitivas. Los estudios al respecto permitieron identificar los componentes N1 y P2 en respuesta a los tonos habituales y el componente P3 (onda P300) en respuesta a los tonos inusuales. Se considera que P3 es un potencial endógeno que se genera en la región cortical o subcortical, sensible a la decisión o respuesta del enfermo; otro estudio sugirió que P3 representa la actualización de la memoria ejecutora. La información en conjunto indica que la mejor comprensión de las anormalidades de los PEA en los pacientes con TDAH podría ser de mucha utilidad para conocer la fisiopatología de los procesos que participan en el control cognitivo. El componente P3 ha sido el más estudiado en los trastornos cognitivos y de la atención. Por ejemplo, un estudio reveló una disminución significativa de la amplitud de P3 en los pacientes con TDAH; en cambio, los hallazgos en relación con la latencia de P3 han sido mixtos y otros componentes (N2, P2 y N1) han recibido mucha menos atención en estos enfermos. Diversas investigaciones pusieron de manifiesto la importancia de la edad en la regulación y la dirección de la atención, tanto en niños sanos como en enfermos con TDAH. En este último caso, en al menos dos estudios solo se observó menor amplitud de P3 en los niños, pero no en los adolescentes, de modo tal que la edad es un factor esencial para tener en cuenta cuando se estudian los PEA en pacientes con TDAH. En la presente investigación, se estudiaron las diferencias en las respuestas a los PEA, con especial atención a las latencias y amplitudes de P3, N2, P2 y N1 entre niños con TDAH y controles de 6 a 13 años. Los participantes se clasificaron en cuatro grupos de edad con el propósito de establecer la influencia de la edad sobre los PEA. Pacientes y métodos Fueron reclutados 42 niños y 8 niñas con TDAH de 6 a 13 años divididos en grupos de 6 a 7 años; 8 a 9 años; 10 a 11 años y 12 a 13 años. Los pacientes completaron el Child Activity Checklist en chino. La versión para los educadores permite conocer el comportamiento, en general, durante las actividades escolares y grupales, y la conducta a órdenes simples, en tanto que la versión para los padres está destinada a conocer el control del comportamiento y la atención en el hogar, y la funcionalidad en las actividades cotidianas. Todos los niños con TDAH reunieron los criterios del Statistical Manual of Mental Disorders (DSM-IV de 1994); 48 de los 50 pacientes tenían TDAH de tipo combinado, en tanto que en dos pacientes predominaban los trastornos de la atención. El puntaje en la escala Wechsler Intelligence Scale for Children (WISC) IV en los pacientes con TDAH fue de 80 o mayor en todos los casos. Ningún paciente estaba medicado; se excluyeron los niños con síndrome de Tourette, trastornos convulsivos, trastornos del aprendizaje, autismo, enfermedad de Asperger, retardo mental u otras enfermedades psiquiátricas. El grupo control estuvo integrado por 40 varones y 11 niñas de 6 a 13 años que consultaron por diversas enfermedades agudas, sin antecedentes de patología neurológica o psiquiátrica. Los electrodos superficiales se colocaron en la región frontal media (Fz), central (Cz) y parietal (Pz), según el sistema internacional para la realización del electroencefalograma. También, se colocaron electrodos en la región infraorbitaria con el propósito de registrar los movimientos oculares y electrodos de referencia en la región de la mastoides. La impedancia se valoró a menos de 5 kohms.
  • 20.
    Se aplicó elparadigma de disparidad oddball (PO) de estimulación auditiva; los PEA se indujeron mediante audífonos, con una intensidad típica de 60 dB por encima del nivel auditivo; se utilizaron en total 200 tonos, 20% de ellos “raros” (3 000 Hz) y el resto, frecuentes (2 000 Hz). La secuencia de aplicación de estímulos raros y frecuentes fue aleatorizada. Los períodos de latencia fueron de 75 a 150 ms para N1, 120 a 250 ms para P2, 150 a 350 ms para N2 y 250 a 700 ms para P3. Los análisis estadísticos se realizaron con pruebas de la t o de la U de Mann-Whitney. Las asociaciones entre la edad y la latencia de P3 se determinaron con análisis de regresión y correlación de Pearson en los dos grupos por separado. Resultados Todos los participantes tuvieron entre 6 y 13 años; la edad promedio de los niños con TDAH fue de 8.9 años, en tanto que la del grupo control fue de 9 años. La latencia de P3 en Pz, en los enfermos con TDAH, fue de 384.6 ± 51.1 ms, significativamente más prolongada que la registrada en los controles, de 329 ± 32.3 ms (p < 0.01). Asimismo, las latencias de P3 en Fz y Cz fueron mayores en los pacientes respecto de los controles (p < 0.01 en los dos casos). El componente N2 en Pz fue más largo en los niños con TDAH (254.7 ± 22.6 ms) en comparación con los controles (238.4 ± 28.9 ms; p < 0.01). Por el contrario, no se encontraron diferencias significativas en las latencias de N2 en Fz o Cz o en las latencias de P2 y N1 entre los pacientes y los controles. La amplitud de P3 fue de 12.5 ± 4.5 µV en Pz en los pacientes con TDAH y de 14.7 ± 4.6 µV en los controles; en los niños con TDAH, la amplitud de P3 fue significativamente menor en todos los electrodos (p < 0.05). En cambio, las amplitudes de los otros componentes (N2, P2 y N1) fueron semejantes en los dos grupos. Los análisis de regresión lineal revelaron correlaciones significativas negativas entre la latencia de P3 en Pz y la edad en el grupo control (r = -0.33; p = 0.02), un fenómeno que no se observó en los pacientes con TDAH (r = -0.17; p = 0.24). Al considerar los diversos grupos de edad, la latencia de P3 estuvo significativamente aumentada en cada grupo de edad entre los pacientes con TDAH respecto de los controles. Asimismo, las latencias de N2 en Pz en los grupos de 8 a 9 años, 10 a 11 años y 12 a 13 años fueron significativamente más prolongadas en los enfermos con TDAH respecto de los controles. No se encontraron diferencias en los niños de 6 a 7 años. La amplitud de P3 en Cz fue significativamente inferior en los grupos de 10 a 11 años y de 12 a 13 años (p < 0.05) y tendió a ser más baja en Pz en los pacientes con TDAH de 10 a 11 años y de 12 a 13 años, en comparación con los controles de la misma edad (p = 0.07 y 0.09, respectivamente). La amplitud de P3 en los grupos de 6 a 7 años y de 8 a 9 años fue similar en los enfermos y controles. Respecto de los controles también se comprobó menor amplitud de P2 en los enfermos de 10 a 11 años y de 12 a 13 años (p < 0.05). Discusión En las últimas décadas, los PEA –y en especial el componente P3– han sido muy utilizados como procedimientos no invasivos para conocer la función cognitiva y la atención en los niños. La mayor latencia y menor amplitud de P3 en respuesta a tonos “raros” fue un hallazgo característico en los niños con TDAH de 6 a 13 años, respecto de los controles de la misma edad. Al considerar 4 grupos de edad, la latencia de P3 estuvo significativamente aumentada en todos los grupos de pacientes con TDAH, en tanto que la amplitud fue menor en los enfermos con TDAH de más de 10 años. Se considera que la latencia de P3 refleja el tiempo necesario para la categorización de los estímulos; la mayor latencia de P3 indica defectos en el procesamiento cerebral de la atención y menor velocidad en el procesamiento de los estímulos en estos enfermos. De hecho, diversos estudios mostraron trastornos en el procesamiento cognitivo de la información en pacientes con TDAH. En la presente investigación, se comprobó mayor latencia de P3. La amplitud de P3 podría representar una impronta psicofisiológica de deficiencias relacionadas con el control inhibitorio. De hecho, la reducción de la amplitud de P3 en respuesta al PO es un trastorno específico de los pacientes con TDAH, ya que no se observa en los niños con autismo o dislexia. La menor amplitud de P3 indicaría la desinhibición del comportamiento, una deficiencia en el control de la conducta o la hiperexcitabilidad del sistema nervioso central. En trabajos previos se comprobó una correlación negativa entre las latencias de los PEA y la edad en niños normales. En la presente investigación, se observó una influencia de la edad sobre la latencia de P3 en los controles, pero no en los pacientes con TDAH, tal como se observó en niños con otros trastornos cognitivos. Asimismo, se observó un efecto de la edad sobre la amplitud de P3, es decir que la amplitud fue sustancialmente inferior en el área central de los pacientes de más de 10 años, pero no en los enfermos de menos de 9 años. También, se comprobó mayor latencia de N2 en la región parietal en los niños con TDAH. Las ondas en N2 estarían relacionadas con la detección y discriminación de las señales. En el presente estudio, la amplitud de N2 fue menor en los pacientes con TDAH; sin embargo, las diferencias con los controles no fueron significativas. El componente P3 se ha utilizado como un factor predictivo de la respuesta al tratamiento con estimulantes del sistema nervioso central, tales como el metilfenidato y la atomoxetina. De hecho, en dos trabajos, la administración de metilfenidato indujo la normalización de los índices de los PEA y de la amplitud y latencia de P3. Conclusión Los hallazgos de este trabajo revelan un incremento significativo de la latencia de P3 y menor amplitud, en comparación con los controles comparables en edad. Los resultados en conjunto sugieren que los pacientes con TDAH
  • 21.
    tienen anormalidades neurocognitivas.La combinación de los PEA con los estudios de resonancia magnética funcional podría ser de gran utilidad diagnóstica. UTILIDAD DE LA ULTRASONOGRAFIA ENDOSCOPICA EN EL DIAGNOSTICO DE LINFOMA (especial para SIIC © Derechos reservados) Introducción Los linfomas gastrointestinales son los más frecuentes dentro de los extraganglionares primarios (LEP) y son habitualmente diagnosticados mediante la toma de biopsias endoscópicas múltiples.1 Sin embargo, el diagnóstico de linfomas con afectación ganglionar u orgánica es a menudo difícil o comporta elevados riesgos mediante punción percutánea guiada por técnicas de imagen, como la ecografía (US) o tomografía computarizada (TC).2, 3 De hecho, la mayoría de ellos son diagnosticados mediante procedimientos invasivos y costosos, como toracotomía, laparotomía, mediatinoscopía o laparoscopía. La reciente clasificación de la Organización Mundial de la Salud (OMS)4 contempla 70 formas diferentes de linfoma. El pronóstico y el tratamiento de los linfomas cambian radicalmente dependiendo del estadio de la enfermedad y de la clasificación histopatológica, ya que los distintos linfomas tienen poco en común. Asimismo, el diagnóstico del linfoma ha aumentado su complejidad en los últimos años con el desarrollo de técnicas moleculares e inmunohistoquímicas. Con todo ello, hematólogos y patólogos exigen muestras de elevada calidad para realizar un diagnóstico certero de linfoma, así como la tipificación de este.5, 6 La ecoendoscopía (USE) es una técnica que combina la imagen endoscópica convencional y la ecográfica. La cercanía a la pared gastrointestinal de la sonda de ecografía, así como a los órganos vecinos, hace de ella una herramienta de gran utilidad para la estadificación de las lesiones de la pared gastrointestinal, la evaluación de órganos, como el páncreas o el bazo, y de adenopatías de difícil acceso mediante otras técnicas. Además, la USE permite realizar punción aspiración con aguja fina (USE-PAAF) o biopsia guiada por ecoendoscopía (USE-B) y obtener muestras citológicas o histológicas de buena calidad para el diagnóstico de distintos tipos de lesiones.7, 8 La USE presenta ventajas con respecto a otras técnicas de imagen, como punción en tiempo real o proximidad a la pared gastrointestinal, lo que reduce el número de complicaciones y riesgo de siembra de células neoplásicas en el trayecto de la aguja y la capacidad de efectuar biopsias de lesiones de pequeño tamaño, difíciles de realizar mediante otros métodos.9 En esta revisión se exponen las aplicaciones de esta técnica en los linfomas extranodales (gastrointestinales, pancreáticos y esplénicos), así como en el linfoma nodal. Linfomas extraganglionares primarios La enfermedad linfomatosa constituye con frecuencia un reto diagnóstico. Los LEP constituyen del 25% al 35% de los linfoma no Hodgkin (LNH).10, 11 El aparato digestivo supone la localización más frecuente (35% a 50%) de los LEP.12, 13 Dentro de los LEP del tubo digestivo, el 60% de los casos afectan al estómago. Los LEP en los cuales la USE tiene algún papel, bien en la estadificación o en el diagnóstico, incluyen, principalmente, los linfomas gastrointestinales, los linfomas pancreáticos y los esplénicos. Linfomas gastrointestinales Los linfomas gastrointestinales constituyen la mayoría de los LEP. Dentro de estos, los linfomas gástricos primarios constituyen el 70% del total. Dentro de ellos, los linfomas MALT (tejido linfoide asociado a mucosas) y los linfomas difusos de células grandes tipo B (DLBCL) son los más frecuentes. Otros más raros son los linfomas del manto, linfomas foliculares o linfomas periféricos de células T. La localización gástrica es la más frecuente en el 70% de los casos.14 El diagnóstico y tipificación del linfoma se logra habitualmente a partir de biopsias endoscópicas, a menudo realizando macrobiopsias. Una vez diagnosticado y tipificado, el siguiente paso es la estadificación del tumor. La USE es el único procedimiento que permite distinguir con elevada precisión las diferentes capas de la pared gastrointestinal, por lo que se considera la técnica de elección para la estadificación locorregional de estos tumores.15 De esta forma, la ecoendoscopía es capaz de diferenciar estadios T1 m/sm (EI1 de la clasificación de Ann Arbor), de T2-T4 (EI2) y también de TxN1 (EII1). 16 Dentro de los linfomas gastrointestinales, la USE tiene especial interés en los linfomas tipo MALT. A diferencia del DLBCL, en que la ecoendoscopía tiene escaso impacto en el manejo clínico del paciente, el linfoma MALT no siempre se trata como una enfermedad sistémica, sino que dependerá de la estadificación de este tumor. Las aplicaciones de la USE en el linfoma MALT van dirigidas a la estadificación locorregional pretratamiento, predicción de la respuesta al tratamiento, vigilancia de la recurrencia postratamiento y, en raros casos en los que la biopsia endoscópica es negativa, el diagnóstico citológico o histológico del tumor. Más del 90% de los linfomas tipo MALT se asocian a infección por Helicobacter pylori y varios estudios demuestran que, en estadios precoces (afectación mucosa o submucosa), la enfermedad regresa tras el tratamiento erradicador.17-19 Sin embargo, los tumores con invasión más profunda son tratados con quimioterapia o inmunoterapia. La imagen del linfoma MALT por USE no es específica y, por lo tanto, no tiene valor diagnóstico. El linfoma MALT por USE puede simular tanto enfermedades benignas de la pared gástrica como gastritis crónica por H. pylori o enfermedad de Ménétrier en los estadios precoces hasta una linitis plástica en los estadios más avanzados. En un estudio, la afectación difusa y superficial evaluada mediante USE se correlacionó con linfoma de tipo MALT, mientras que la presencia de una masa gástrica fue más típica del DLBCL.20 En relación con la estadificación locorregional, para el estadio T, varias series demuestran una precisión diagnóstica entre el 80% y 90%21, 22 , mientras que, para el estadio N, entre 71% y 90%.21, 23 Cuando
  • 22.
    se asocia aUSE-PAAF y análisis mediante citometría de flujo, alcanza el 97%.24 Dado que la respuesta al tratamiento erradicador frente al H. pylori se correlaciona con el grado de infiltración del tumor y que, como se ha mencionado, la USE es una técnica ideal para diferenciar las distintas capas de la pared de tracto gastrointestinal, no es de extrañar que esta técnica de imagen tenga gran valor en la predicción de la respuesta al tratamiento. De esta forma, distintos estudios coinciden en que, cuando la afectación por USE es superficial (mucosa con afectación submucosa o sin esta), la probabilidad de curación tras el tratamiento erradicador es superior al 75%, mientras que, en estadios más avanzados, se reduce notablemente.17, 25, 26 En relación con la utilidad de la prueba en el seguimiento tras el tratamiento, aunque algunos autores observaron una correlación elevada entre remisión histológica y normalización de la pared gástrica evaluada por USE,27, 28 otros artículos presentan una correlación entre la imagen ecoendoscópica y la resolución histológica entre el 33% y 54%29, 30, por lo que, en el momento actual, no se puede recomendar la USE de forma generalizada para el seguimiento del linfoma MALT tras el tratamiento. Por último, la USE-PAAF permite la obtención de material de utilidad para el diagnóstico y estadificación de la enfermedad, bien a partir de adenopatías regionales o en los raros casos en los que múltiples biopsias gástricas resultan negativas. 31 El uso de agujas de gran calibre (19 gauge) permiten, incluso, obtener muestras histológicas, útiles para diagnóstico inmunohistoquímico.32 Linfomas pancreáticos El linfoma pancreático primario (LPP) es un linfoma extranodal infrecuente, que representa únicamente el 0.5% de todas las neoplasias pancreáticas.33 Los LNH pueden afectar a la glándula pancreática hasta en el 30% de los casos, pero en menos de un 1% se pueden considerar como LPP.10 Para realizar el diagnóstico de LPP, se requieren los siguientes criterios:34 1. Masa que afecta predominantemente el páncreas. 2. Afectación ganglios peripancreáticos. 3. Ausencia de adenopatías palpables. 4. Ausencia de afectación mediastínica. 5. Ausencia de metástasis hepato-esplénicas. 6. Hemograma dentro de límites normales. La mayoría de los LPP son LNH DLBCL y, habitualmente, se presentan como masas pancreáticas, por lo que deben ser diferenciadas del mucho más frecuente adenocarcinoma de páncreas, cuyo manejo clínico es radicalmente diferente. Todo esto hace que el diagnóstico de esta entidad sea un verdadero desafío. Tanto la sintomatología clínica como las pruebas de imagen utilizadas rutinariamente para el diagnóstico de estos linfomas son de poca utilidad para realizar un correcto diagnóstico diferencial. Aunque la ecoendoscopía es muy precisa para evaluar el parénquima pancreático, tampoco permite una diferenciación precisa entre ambas entidades.35 Por este motivo es esencial disponer de una confirmación citohistológica. El examen citológico tiene un papel controvertido pero, a raíz de la reciente revisión de los sistemas de clasificación de la OMS y del Sistema Europeo-Americano,36 se han incorporado el uso del análisis inmunofenotípico y la citometría de flujo (CF), permitiendo una subclasificación de los linfomas sobre la base de estas técnicas. 37 Solo un estudio ha evaluado la utilidad diagnóstica de la USE-PAAF en el diagnóstico de linfoma pancreático.2 Una serie de casos incluyó a 14 pacientes con diagnóstico final de linfoma pancreático primario a los cuales se les realizó USE- PAAF.2 Los autores evaluaron la rentabilidad diagnóstica de la citología de forma aislada frente a la combinación del análisis citológico y la CF. El diagnóstico final de linfoma se logró en el 84.6% de los pacientes y resultó superior con la combinación de técnicas (30.8% contra 84.6%). Además, en todos los sujetos en los que el diagnóstico de linfoma fue positivo, este se clasificó correctamente mediante la CF. Resultados similares se obtuvieron en otra serie de casos en la cual se realizó una técnica citológica utilizando una fijación de la muestra con metanol (citología en base líquida), la cual podría mejorar la rentabilidad diagnóstica de la citología convencional.35 Por todo lo descrito, se puede concluir que la USE-PAAF es un procedimiento eficaz y seguro en el diagnóstico de los LPP y, por lo tanto, se podría evitar la realización de procedimientos más invasivos. Linfomas esplénicos El linfoma es una de las etiologías más frecuentes de lesiones focales esplénicas. No obstante, los valores de incidencia varían dependiendo de la serie analizada.38 Los linfomas con compromiso exclusivo del bazo son mucho más infrecuentes. Aunque estas lesiones pueden ser diagnosticadas mediante biopsia percutánea, puede incrementar el riesgo de complicaciones, debido a que el bazo está rodeado de estructuras como el pulmón, riñón izquierdo y el colon, además del riesgo de hemorragia secundaria a la punción del hilio esplénico. 3 Además, la precisión de las técnicas percutáneas se encuentra comprometida por la distancia entre la aguja y el órgano que se pretende puncionar, y este aspecto resulta de mayor relevancia en lesiones pequeñas. Varios estudios han demostrado la eficacia de la PAAF realizada por técnicas percutáneas en el diagnóstico de los trastornos linfoproliferativos.39, 40 Un estudio italiano multicéntrico evaluó la eficacia y seguridad de la punción percutánea de lesiones esplénicas en 398 pacientes.3 El linfoma fue el diagnóstico más frecuente y la precisión diagnóstica mediante citología e histología fue similar (88.4% y 88.3%, respectivamente). Sin embargo, estos esperanzadores resultados no han sido corroborados en otros estudios que ofrecen una precisión diagnóstica tan baja como del 25% de los aspirados esplénicos de pacientes con sospecha de linfoma.41 La USE-PAAF es una prueba segura y precisa en la evaluación de alteraciones esplénicas. Esta técnica ofrece una serie de ventajas únicas sobre otros métodos que pueden reducir el riesgo de complicaciones e incrementar la precisión diagnóstica, como la escasa distancia entre el transductor de ecografía y el bazo, y ofrecer una
  • 23.
    imagen en tiemporeal. Tres series de casos han evaluado la utilidad de la USE-PAAF en lesiones focales esplénicas, incluyendo un total de 23 pacientes.38, 42, 43 El diagnóstico de linfoma fue correctamente establecido en el 75% de los casos. Además, en todos ellos, fue posible determinar el subtipo. No se produjeron complicaciones relevantes. Linfomas nodales La evaluación histológica es el patrón de oro para el diagnóstico final de linfoma,4 mientras que el valor de la citología es controvertido. Algunos autores defienden que el uso del examen citológico combinado con el inmunotipificación mediante la CF podría obviar procedimientos más invasivos para el estudio de esta enfermedad.37, 44, 45 La citología combinada con la CF es especialmente útil para diferenciar linfocitos B reactivos de la células B monoclonales y, por lo tanto, en muchos centros se utilizan estas técnicas como estudio inicial ante la sospecha de un linfoma nodal.46 Varios estudios demuestran la eficacia de la citología en el diagnóstico de linfomas nodales. En estudios mediante punción percutánea, la sensibilidad y la precisión diagnóstica oscila entre el 66% y el 90% y entre el 60% y 80%, respectivamente.47-49 La CF es también muy útil para determinar el subtipo de linfoma. Varios estudios han utilizado la USE-PAAF en combinación con la CF para el diagnóstico de linfoma nodal, todos ellos de diseño retrospectivo.31, 45, 50-54 El uso de la CF incrementó notablemente la sensibilidad (72.7% a 100%) y especificidad (93% a 100%) para el diagnóstico de linfoma amparado con el análisis citológico (sensibilidad y especificidad de 30.8% a 87% y de 0% a 100%, respectivamente). Las limitaciones de la CF incluyen la dificultad diagnóstica de los linfomas de células T, dado que, habitualmente, estos expresan marcadores encontrados frecuentemente en linfocitos T maduros y linfoma Hodgkin, debido a la rareza de las células de Reed-Sternberg en muestras citológicas y la ausencia de monoclonalidad.55, 56 Estos problemas pueden ser solventados con la obtención de muestras para histología mediante la USE. Actualmente, se disponen de agujas de grueso calibre (19 gauge) con las cuales es posible obtener una muestra para análisis histológico. Este aspecto ha sido evaluado en varios estudios, en los cuales se utilizaron muestras histológicas obtenidas por USE para la subclasificación del linfoma.32, 42, 57-59 Un total de 240 pacientes fueron incluidos. En general, se utilizó una aguja gruesa para la toma de la muestra (Quick core needle™, Cook Endoscopy, Winston Salem, NC o aguja de citología 19 Gauge) y, en todos ellos, se realizó una evaluación citológica, por CF e inmunohistoquímica. En general, el diagnóstico de linfoma se logró en el 94% de los casos y la subclasificación según la OMS fue posible en el 85%. En 29 casos no fue posible la subclasificación del linfoma. Los resultados falsamente negativos fueron atribuidos a una importante necrosis del tumor,58 a una insuficiente cantidad de material59 y a limitaciones técnicas relacionadas con el tipo de aguja o el calibre (Quick core needle™, Cook Endoscopy Inc, Limerick, Ireland).58 Solo 7 complicaciones han sido comunicadas (2.9%), la mayoría de escasa relevancia: 3 casos de hematoma submucoso, 1 caso de dolor abdominal leve, 2 casos de fiebre tras el procedimiento.42, 57-59 Un fallecimiento fue informado secundario a hemorragia secundaria a varices, aunque no fue asociado por los autores al procedimiento.59 Conclusión La USE es una herramienta de gran utilidad para la estadificación locorregional del linfoma MALT, así como un buen predictor de respuesta al tratamiento erradicador. Asimismo, la USE-PAAF es una técnica útil en pacientes con sospecha de linfoma localizado en órganos cuya punción por otras técnicas es difícil por su acceso o en la que esta supone un elevado riesgo para el paciente, como es el caso de la glándula pancreática o el bazo. Además, el desarrollo tecnológico en este campo hace posible la obtención de muestras histológicas y se pueden obviar, en muchos casos, procedimientos diagnósticos más invasivos. EVALUAN EL COMIENZO DE ACCION DEL FORMOTEROL EN COMPARACION ReSIIC editado en: CON EL SALMETEROL EN LA ENFERMEDAD PULMONAR OBSTRUCTIVA CRONICA MODERADA Farmacología Roma, Italia Neumonología Atención Primaria En pacientes con enfermedad pulmonar obstructiva crónica moderada, el Medicina Farmacéutica tratamiento con formoterol en dosis de 9 µg demostró un comienzo del efecto Medicina Familiar broncodilatador más rápido que el salmeterol en dosis de 50 µg, indicado por la Medicina Interna magnitud de la mejoría en el flujo espiratorio forzado durante el primer segundo a los 5 minutos luego de la dosis. Clinical Drug Investigation32(3):147-155, 2012 Autores: Lotvall J, Cazzola M, Paggiaro P Institución/es participante/s en la investigación: University of Rome "Tor Vergata"
  • 24.
    Título original: Onset ofAction of Formoterol versus Salmeterol Via Dry Powder Inhalers in Moderate Chronic Obstructive Pulmonary Disease: A Randomized, Placebo- Controlled, Double-Blind, Crossover Study Título en castellano: Comienzo de Acción del Formoterol en Comparación con el Salmeterol Administrados por Inhaladores de Polvo Seco en la Enfermedad Pulmonar Obstructiva Crónica Moderada: Estudio Aleatorizado, Controlado con Placebo, a Doble Ciego y Cruzado Extensión del Resumen-SIIC en castellano: 3.04 páginas impresas en papel A4 Introducción El tratamiento broncodilatador es fundamental para el alivio sintomático de la enfermedad pulmonar obstructiva crónica (EPOC). Estos fármacos se utilizan a demanda para el alivio de los síntomas persistentes o el empeoramiento sintomático, o de manera regular para prevenir o reducir los síntomas. En los pacientes con EPOC leve se recomienda el tratamiento con broncodilatadores de acción corta, mientras que, en aquellos con EPOC moderada a grave, se prefieren los beta2 agonistas de acción prolongada (betaAAP) y los anticolinérgicos. Si bien la limitación al flujo aéreo en la EPOC no es completamente reversible, los broncodilatadores son capaces de mejorarlo y contribuyen con el alivio de los síntomas de la enfermedad. En una encuesta realizada en personas con EPOC grave o muy grave, el peor momento del día para la aparición de los síntomas es la mañana, y es la disnea el síntoma informado con más frecuencia. Además, se encontró una correlación sustancial entre los síntomas y las actividades matinales de la vida diaria. El objetivo de este estudio fue evaluar el comienzo del efecto (flujo espiratorio forzado durante el primer segundo [VEF1] a los 5 minutos) de dosis únicas del broncodilatador formoterol en dosis de 9 µg mediante el dispositivo Turbuhaler y del salmeterol en dosis de 50 µg por el dispositivo Diskus en pacientes con EPOC moderada. Métodos El diseño del estudio fue multicéntrico, a doble ciego, con doble enmascaramiento, controlado con placebo y cruzado. Se realizó en 14 centros (6 en Italia, 4 en Suecia y 4 en España). Los criterios de inclusión fueron: edad de 40 años o más; diagnóstico clínico de EPOC según las normas de la Global Initiative for Chronic Obstructive Lung Disease (GOLD) y los síntomas de EPOC al momento del estudio; tabaquismo al momento del estudio o en el pasado (10 paquetes o más de cigarrillos por año); el uso documentado de broncodilatadores de acción corta (beta 2 agonistas o anticolinérgicos) como medicación de rescate; VEF1/capacidad vital forzada posterior al broncodilatador < 70%, VEF1 posterior al broncodilatador del 50% o más, pero igual o inferior al 80% del valor predicho (se evaluó la reversibilidad con los broncodilatadores, pero no se consideró un criterio de inclusión). Se les permitió a los pacientes el uso de corticoides inhalatorios (CI) en dosis estables si los recibían 3 meses o más antes de la primera visita y de beta2 agonistas de acción corta o anticolinérgicos, excepto dentro de las 8 horas previas a las visitas de seguimiento. Los betaAAP se interrumpieron 48 horas antes de la visita 2 y, en su lugar, se permitió el uso de terbutalina mediante el dispositivo Turbuhaler. Los participantes en tratamiento con CI/betaAAP debieron interrumpirlos y cambiar a las dosis correspondientes de CI más terbutalina mediante el dispositivo Turbuhaler como medicación de rescate, 48 horas antes de la visita 2. Se programaron 5 visitas de seguimiento durante el período de estudio. La elegibilidad se evaluó en la visita 1 y, en la visita 2, se realizaron pruebas de función pulmonar y se constataron los criterios de inclusión y de exclusión. En la visita 3 se realizó la aleatorización y, en las visitas 4 y 5, las personas elegibles recibieron una dosis única de 9 µg de formoterol por Turbuhaler más placebo por Diskus; una dosis única de 50 µg de salmeterol por Diskus más placebo por Turbuhaler o placebo por Turbuhaler y Diskus. Todos los pacientes recibieron cada uno de estos tres tratamientos en un orden aleatorio, con un período de reposo farmacológico de 2 a 7 días entre ellos. Durante el período de estudio se utilizó terbutalina por Turbuhaler como medicación de rescate. Se recomendó a los pacientes que evitasen los ejercicios extenuantes 2 horas antes de la realización de la espirometría. El objetivo principal del estudio fue evaluar el comienzo de inicio del efecto de los broncodilatadores de dosis únicas de formoterol, salmeterol y placebo en pacientes con EPOC moderada. El criterio principal de valoración fue el cambio en el valor del VEF1 a los 5 minutos luego de la dosis, en comparación con el valor basal. Luego de la administración de la medicación en estudio, el VEF1 se evaluó a los 5, 10, 15, 20, 30, 40, 50, 60 y 120 minutos. Los criterios secundarios de valoración fueron el porcentaje de pacientes que logró un incremento del 12% o más en el VEF1 a los 5 minutos luego de la dosis; el porcentaje (acumulativo) de pacientes que logró un incremento del 12% o más en el VEF1 entre los 10 y los 120 minutos luego de la dosis; el tiempo hasta alcanzar el incremento del 12% o más en el VEF1; el VEF1 promedio durante los primeros 15 minutos luego de la dosis (área bajo la curva entre 0 a 15 minutos [ABC15] del VEF1) y VEF1 promedio durante los 120 minutos luego de la dosis (ABC entre 0 y 120 minutos [ABC120] del VEF1). En las visitas 2 a 5 se registró la naturaleza, la incidencia y la intensidad de los efectos adversos
  • 25.
    junto con ladeterminación de la frecuencia cardíaca y la presión arterial. Se realizó la comparación del criterio principal de valoración, el VEF1 a los 5 minutos de la dosis, entre los tratamientos, por análisis de varianza (ANOVA). Las diferencias entre los tratamientos se estimaron a partir del modelo y se calcularon los intervalos de confianza del 95% (IC). Se realizaron comparaciones pareadas, pero la comparación principal se realizó entre el formoterol y el salmeterol. Los valores del ABC15 del VEF1 y el ABC120 del VEF1 se compararon entre los tratamientos con el mismo modelo. A los 5 minutos luego de la dosis se realizaron comparaciones pareadas entre los grupos de tratamiento con respecto al porcentaje de pacientes que logró una mejoría del 12% o más con la prueba exacta de McNemar. Todas las pruebas fueron de dos colas y se consideraron estadísticamente significativos los valores de p de 0.05 o menos. Los efectos adversos, los signos vitales, la frecuencia cardíaca y la presión arterial se analizaron mediante estadísticas descriptivas. Resultados Ciento nueve pacientes fueron distribuidos en forma aleatoria a las secuencias de tratamiento; de éstos, 108 completaron el estudio. Ochenta y un (74.3%) participantes en hombres, la media de la duración de la EPOC a partir del diagnóstico fue de 4.7 años (0 a 27 años) y la media del valor del VEF1 luego del broncodilatador fue del 65% del valor predictivo normal. El incremento en el VEF1 a los 5 minutos luego de la dosis de la medicación en estudio, en comparación con el valor basal (criterio principal de valoración), fue del 7.2% para formoterol, 4.1% para salmeterol y 0.7% para placebo, que corresponden a incrementos de 127, 73 y 12 ml, respectivamente. El aumento en el VEF1 a los 5 minutos luego de la dosis, en comparación con el valor basal, fue significativamente superior para formoterol en comparación con salmeterol (relación formoterol:salmeterol 1.030; IC: 1.008 a 1.052; p = 0.009), para formoterol contra placebo (1.064; IC: 1.041 a 1.087; p < 0.001) y para salmeterol contra placebo (1.033; IC: 1.011 a 1.056; p = 0.003). En cuanto a los criterios secundarios de valoración, se observó que los porcentajes de pacientes con un incremento en el VEF1 del 12% o más a los 5 minutos luego de la dosis fueron del 23.1%, 9.2% y 6.4% para los grupos de formoterol, salmeterol y placebo, respectivamente. Este incremento fue estadísticamente significativo para formoterol con respecto a salmeterol (p = 0.008) o placebo (p < 0.001), mientras que no hubo diferencias significativas entre salmeterol y placebo (p = 0.549). El porcentaje acumulativo de pacientes que lograron un incremento del 12% o más en el VEF1 entre los 10 y 120 minutos luego de la dosis fue mayor en el grupo de formoterol en comparación con los grupos de salmeterol y placebo, mientras que también fue superior en el grupo de salmeterol en comparación con placebo. Las comparaciones pareadas entre los tratamientos demostraron que el tiempo hasta lograr un incremento del 12% o más en el VEF1 fue significativamente más corto para formoterol con respecto a salmeterol (hazard ratio [HR] para formoterol contra salmeterol: 2.090; IC: 1.31 a 3.35; p = 0.002) y placebo (HR: 6.534; IC: 3.55 a 12.02; p < 0.001); el lapso fue significativamente más corto para salmeterol en comparación con placebo (HR: 3.127; IC: 1.77 a 5.552; p < 0.001). El incremento promedio en el VEF1 durante los primeros 15 minutos luego de la dosis con respecto al valor basal fue de 6.4%, 4.1% y 1.2% para los grupos de formoterol, salmeterol y placebo, respectivamente. Este aumento fue significativamente superior para el formoterol en comparación con salmeterol (HR: 1.022; IC: 1.005 a 1.039; p = 0.009) y placebo (HR: 1.051; IC: 1.034 a 1.069; p < 0.001) y para salmeterol en comparación con placebo (HR: 1.029; IC: 1.012 a 1.046; p < 0.001). El incremento promedio en el VEF1 durante los 120 minutos luego de la dosis, con respecto al valor basal, fue del 9.6%, 8.2% y 1.4% para los grupos de formoterol, salmeterol y placebo, respectivamente. No hubo diferencias significativas entre formoterol y salmeterol (HR: 1.013; IC: 0.991 a 1.034; p = 0.245), mientras que el aumento fue significativamente superior para formoterol en comparación con placebo (HR: 1.081; IC: 1.058 a 1.104; p < 0.001) y para salmeterol con respecto a placebo (HR: 1.067; IC: 1.045 a 1.090; p < 0.001). El número de pacientes con efectos adversos y la frecuencia de efectos adversos fueron bajos y ninguno de estos eventos adversos fue grave. Seis de 108 participantes (5.6%) informaron un efecto adverso durante el tratamiento con formoterol en comparación con 6 de 109 (5.5%) en el grupo de salmeterol y 2 de 109 (1.8%) en el grupo placebo. Sólo un efecto adverso (perforación de la membrana timpánica) se consideró relacionado con la medicación en estudio (salmeterol). Los efectos adversos fueron generalmente leves a moderados y el más común fue la rinofaringitis. No hubo diferencias significativas entre los tres grupos con respecto a la frecuencia cardíaca o la presión arterial. Discusión Los resultados del presente estudio demostraron que, en pacientes con EPOC moderada, el incremento en el VEF1 a los 5 minutos luego de la dosis, con respecto al valor basal, fue significativamente superior para formoterol y salmeterol en comparación con placebo. Además, el aumento observado con formoterol fue significativamente superior con respecto a salmeterol. Cuando se consideraron los criterios secundarios de valoración, referidos al porcentaje de pacientes con un incremento de 12% o más en el VEF1 a los 5 minutos luego de la dosis, el tiempo hasta lograr este aumento de 12% o más en el VEF1 y el incremento en el VEF1 durante los primeros 15 minutos luego de la dosis, el efecto de formoterol también fue significativamente superior con respecto a salmeterol. El aumento en el VEF1 durante los 120 minutos luego de la dosis fue similar para formoterol y salmeterol y, en ambos, el incremento fue significativamente superior en comparación con placebo. El inicio de acción y la magnitud del efecto de formoterol y salmeterol encontrados en esta investigación fueron similares a lo informado en publicaciones previas con el uso de betaAAP solos o en combinación con CI. En la EPOC ya se había demostrado que formoterol tiene un comienzo similar de acción a salbutamol y más rápido que salmeterol. El comportamiento de ambos fármacos en la EPOC es semejante al observado en el asma. Los tratamientos fueron bien tolerados.
  • 26.
    Conclusión En pacientes conEPOC moderada, el tratamiento con formoterol en dosis de 9 µg por medio del dispositivo Turbuhaler mostró un comienzo más rápido del efecto broncodilatador que el salmeterol en dosis de 50 µg administrado por medio del dispositivo Diskus indicado por la magnitud de la mejoría en el VEF1 a los 5 minutos posteriores a la dosis. ANALIZAN LA EFICACIA ANTITUMORAL DE UN RADIOFARMACO EMISOR InSIIC editado en: DE ELECTRONES AUGER EN UN MODELO IN VIVO Medicina Nuclear Oncología Oxford, Reino Unido Medicina Farmacéutica El péptido F3 marcado con indio 111 constituye un radiofármaco emisor de electrones Auger que se asocia con una disminución de la supervivencia de los clones celulares neoplásicas y del crecimiento tumoral en un modelo in vivo. Fuente científica: EJNMMI Research2:9-9 Feb, 2012 aSNC Autores: Cornelissen B, Waller A, Vallis KA Palabras clave: péptido F3, electrón Auger, nucleolina, nucléolo, 111In Key Words: F3 peptide, Auger electron, nucleolin, nucleolus, 111In Institución principal: University of Oxford Correspondencia: B Cornelissen, University of Oxford, OX3 7DQ, Oxford Reino Unido Patrocinio: El estudio fue financiado por CR-UK/EPSRC Oxford Cancer Imaging Centre, NIHR Oxford Biomedical Research Centre y Cancer Research-UK. Conflicto de interés: No declarado. Agradecimientos: El estudio fue financiado por CR-UK/EPSRC Oxford Cancer Imaging Centre, NIHR Oxford Biomedical Research Centre y Cancer Research-UK. La radioterapia dirigida es una modalidad terapéutica en la cual se emplea la radiación emitida por radionúclidos (en forma de partículas alfa o beta, o bien de electrones Auger) con el fin de irradiar de modo específico a las células neoplásicas y detener el crecimiento tumoral. Entre estos radiofármacos se citan el 131I-tositumomab y el 90Y- ibritumomab, utilizados para el tratamiento del linfoma no Hodgkin CD20 positivo. Sin embargo, se advierte que los nucleidos emisores de electrones Auger difieren de los radioisótopos que emiten partículas beta o alfa, debido que, en el marco de la breve trayectoria de estos electrones, se requiere la internalización celular y localización nuclear del radiofármaco para lograr eficacia antitumoral. En este sentido, se destaca que el péptido F3, conformado por una secuencia de 31 aminoácidos, es un derivado de la proteína de alta movilidad del grupo 2 (HMGN2); esta molécula puede unirse de modo específico con la nucleolina expresada en la membrana de las células neoplásicas, los neovasos y el endotelio. Una vez producida esta interacción, el péptido F3 se internaliza y se trasloca al núcleo celular. Esta molécula se ha utilizado con el fin de transportar diferentes principios activos, como nanopartículas de óxido férrico, agentes de terapia fotodinámica y oligonucléotidos, entre otros. En el presente modelo experimental, se describe la marcación de la molécula F3 con isotiocianato de fluoresceína (FITC) con posterior conjugación con benzil-dietil-enetriamina-pentaacetato unido con 111In. Una línea celular neoplásica mamaria humana fue incubada con el complejo molecular resultante (111In-BnDTPA-F3). En modelos in vivo, se analizó la distribución de este radiofármaco en roedores genomodificados en los cuales se había efectuado un xenoimplante de cáncer mamario humano. Según verificaron los expertos, se demostró la unión del FITC-F3 con la membrana celular de las células neoplásicas. De igual forma, se comprobó la localización conjunta de este producto y de la nucleolina en el núcleo de esos elementos celulares. Se comprobó que alrededor del 1.7% del 111In incorporado a 111In-BnDTPA-F3 se fijaba a las
  • 27.
    membranas celulares; cercadel 15% de los átomos de indio fijados eran posteriormente internalizados, con una tasa de localización nuclear de 37%. En la experiencia in vitro de exposición al radiofármaco, se comprobó una reducción significativa de la supervivencia de los clones celulares neoplásicos en comparación con las líneas celulares de control y con las células expuestas al complejo molecular no radiomarcado. En el modelo in vivo con roedores xenoimplantados, se demostró una disminución acentuada y significativa del crecimiento tumoral después de la terapia con dosis de 3 µg de 111In-BnDTPA-F3 indicados por vía parenteral, con una actividad de 6 MBq/µg. La terapia con electrones Auger ha sido objeto de estudio en modelos in vitro e in vivo, así como en ensayos preclínicos. En el presente análisis, se demostró que FITC-F3 puede interactuar con células neoplásicas mamarias con posterior traslocación nuclear, en coincidencia con estudios anteriores. Las variantes radiomarcadas de este fármaco también fueron internalizadas, con llegada y acumulación en el núcleo celular. La biodistribución de 111In-BnDTPA-F3 en este modelo con roedores xenoimplantados con tejido tumoral humano fue similar a la informada en modelos previos para otros radiofármacos conjugados con el péptido F3. De este modo, los investigadores hacen énfasis en que 111In-BnDTPA-F3 constituye un radiofármaco emisor de electrones Auger que se asocia con una disminución de la supervivencia de los clones celulares neoplásicas y del crecimiento tumoral en un modelo in vivo EL FENOFIBRATO MEJORA LA FUNCIóN VASCULAR ENDOTELIAL EN LOS ReSIIC editado en: ADULTOS MAYORES SANOS NORMOLIPIDéMICOS Cardiología Salt Lake, EE.UU. Medicina Farmacéutica La disfunción vascular endotelial relacionada con la edad se asocia con un incremento en el riesgo de enfermedad cardiovascular. El tratamiento con Geriatría fenofibrato a corto plazo ha demostrado mejorar la función endotelial en adultos Medicina Interna normolipidémicos mediante la reducción del estrés oxidativo. Farmacología Hypertension60(6):1517-1523 Dic, 2012 Autores: Seals DR, Walker AE, Kaplon RE Institución/es participante/s en la investigación: University of Utah Título original: Fenofibrate Improves Vascular Endothelial Function by Reducing Oxidative Stress While Increasing Endothelial Nitric Oxide Synthase in Healthy Normolipidemic Older Adults Título en castellano: El Fenofibrato Mejora la Función Vascular Endotelial Mediante la Reducción del Estrés Oxidativo al Incrementar la Óxido Nítrico Sintasa Endotelial en Adultos Mayores Sanos Normolipidémicos Extensión del Resumen-SIIC en castellano: 3.39 páginas impresas en papel A4 IntroducciónEl riesgo de enfermedad cardiovascular se incrementa progresivamente en las personas de edad avanzada. Esto se debe, al menos en parte, a la presencia de una disfunción endotelial vascular asociada con la edad. La función endotelial vascular se evalúa habitualmente mediante la determinación de la dilatación dependiente del endotelio (DDE). Este parámetro se encuentra alterado en los adultos desde la mediana edad y en los la edad avanzada, aun en ausencia de enfermedad clínica. Por lo tanto, es clínicamente relevante identificar estrategias terapéuticas potenciales a fin de mejorar la función endotelial vascular en dicha población. El fenofibrato es un
  • 28.
    fármaco hipolipemiante queejerce efectos pleiotrópicos más allá de su acción sobre los lípidos, dado que activa el receptor activador de la proliferación de peroxisomas alfa (PPAR-alfa). Se ha demostrado que esta droga mejora la DDE en la microcirculación en ratas de edad avanzada. Sin embargo, hasta el momento en que se realizó el presente trabajo, no se habían investigado sus efectos sobre la DDE en seres humanos adultos mayores.Las alteraciones de la DDE asociadas con la edad son el resultado del incremento en el estrés oxidativo y de la disminución en la biodisponibilidad de óxido nítrico, factor vasodilatador que ejerce una función de protección sobre los vasos. En las ratas de edad avanzada, los efectos beneficiosos sobre la DDE alcanzados con el fenofibrato dependen de la disminución del estrés oxidativo generada por el fármaco. Asimismo, en cultivos de células endoteliales se ha demostrado que el fenofibrato induce un incremento en la expresión de la óxido nítrico sintasa endotelial (eNOS), enzima encargada de la síntesis de óxido nítrico en el endotelio.Sobre la base de esta información, se llevó a cabo un estudio para evaluar si el fenofibrato es capaz de mejorar la DDE en adultos de edad mediana y avanzada, además de establecer si la reducción del estrés oxidativo constituye un mecanismo relevante para lograr ese objetivo. Asimismo, el trabajo tuvo por objetivo determinar si la droga en estudio incrementa la expresión de la eNOS en las células endoteliales de dicha población. MétodosSe diseñó un estudio prospectivo, aleatorizado, a doble ciego y controlado con placebo. Para minimizar la influencia potencial que pudiera causar la disminución de los lípidos plasmáticos, se incluyeron sólo adultos normolipidémicos y se utilizó una terapia con fenofibrato a corto plazo (7 días). Los resultados fueron evaluados a los 2 y a los 7 días de tratamiento. En total, 22 participantes, hombres y mujeres de entre 50 y 77 años, fueron incluidos en el análisis de la información. Se trataba de adultos saludables, no fumadores, aunque sedentarios. La DDE se midió mediante la determinación de la dilatación mediada por flujo (DMF) de la arteria humeral por ecografía dúplex en posición supina. Por este método también se midió la dilatación independiente del endotelio (en respuesta a la administración de nitroglicerina sublingual) y la tasa de cizallamiento. La DMF fue medida primero durante una infusión salina (control) y luego durante una infusión suprafisiológica intravenosa de vitamina C. Asimismo, se obtuvieron células endoteliales de la vena antecubital para analizar la expresión de la eNOS.Los participantes fueron divididos aleatoriamente en dos grupos: uno, integrado por 12 personas, recibió 145 mg/día de fenofibrato durante 7 días, mientras que el otro, integrado por los 10 participantes restantes, sólo recibió placebo. El comprimido correspondiente debía ser ingerido con la cena. Las consultas en las que se llevaron a cabo todas las mediciones pertinentes tuvieron lugar en la mañana antes de la primera dosis (nivel basal) y en las mañanas posteriores a la segunda y la séptima dosis. ResultadosA nivel basal, las características clínicas de los grupos no presentaban diferencias significativas. La respuesta al tratamiento con fenofibrato a corto plazo no difirió de la respuesta al placebo para los siguientes parámetros: presión arterial, glucemia en ayunas, insulina, resistencia a la insulina medida por el modelo de homeostasis (HOMA-IR), colesterol asociado a lipoproteínas de alta densidad (HDLc), triglicéridos y proteína C- reactiva. No obstante, la terapia con fenofibrato redujo la concentración sérica de colesterol total a los 2 y a los 7 días, y la de colesterol asociado a lipoproteínas de baja densidad (LDLc) a los 7 días. En cambio, no se registraron cambios en estos parámetros en el grupo placebo. De acuerdo con los resultados del estudio, la DMF de la arteria humeral mejoró en alrededor de un 20% luego de dos días de terapia con fenofibrato, y en alrededor de un 30% luego de siete días. Por el contrario, no se observaron cambios en el grupo placebo, ni a los dos ni a los siete días. Por su parte, el diámetro basal de la arteria humeral, el pico de la tasa de cizallamiento luego de la liberación del manguito y la dilatación de la arteria humeral en respuesta a la nitroglicerina (dilatación independiente del endotelio) no mostraron diferencias significativas entre los grupos ni entre los participantes a lo largo del tiempo.Por otra parte, a nivel basal, la infusión intravenosa de vitamina C, que funciona como antioxidante, mejoró la DMF humeral en ambos grupos en alrededor de un 25%. Esta mejoría se mantuvo en el grupo placebo transcurridos 2 y 7 días. En cambio, durante la terapia con fenofibrato, la DMF humeral ya no sufrió modificaciones en respuesta a la vitamina C. El diámetro basal de la arteria humeral y el pico de la tasa de cizallamiento no fueron afectados por la vitamina C en ningún momento y en ninguno de los grupos. El LDLc oxidado es un marcador del estrés oxidativo sistémico. Este parámetro no mostró cambios luego de dos días de terapia con fenofibrato, pero luego de siete días se pudo apreciar una disminución del 21%, la cual resulta ser significativamente mayor que la ligera disminución observada en el grupo placebo (8%). Asimismo, la expresión de la eNOS en las células endoteliales no mostró cambios luego de dos días de tratamiento con fenofibrato, pero se incrementó en un 41% luego de siete días. Por el contrario, no se observaron cambios luego de dos y siete días en el grupo placebo.Por último, los autores analizaron las correlaciones potenciales de la DDE. Luego de dos días de tratamiento, el cambio en la DMF de la arteria humeral en respuesta al fenofibrato sólo tuvo relación con el cambio en el nivel de colesterol total; al tomar en cuenta las modificaciones en el colesterol total, el efecto sobre la DMF humeral se volvió no significativo. Luego de siete días, el cambio en la DMF humeral en respuesta al fenofibrato tuvo relación con modificaciones en los valores de presión arterial sistólica y diastólica. Sin embargo, un análisis de regresión lineal múltiple reveló que el tratamiento con fenofibrato afectó significativamente el cambio en la DMF humeral, pero no afectó la presión arterial sistólica y diastólica. Asimismo, en un subgrupo de participantes apareados según la DMF basal, el cambio en la DMF humeral a lo largo del tiempo siguió siendo significativamente mayor en el grupo tratado con fenofibrato, respecto del grupo placebo. DiscusiónLos autores destacan que los resultados del estudio han demostrado por primera vez que el tratamiento con fenofibrato mejora la DDE en adultos normolipidémicos de edad mediana y avanzada, y que esta mejora tiene que ver con una reducción en el estrés oxidativo. Además, se señala que éste es el primer estudio en demostrar que el fenofibrato induce un incremento en la expresión de la eNOS en las células endoteliales de los seres humanos. Por lo tanto, estos hallazgos estarían indicando que la droga en estudio podría utilizarse como estrategia efectiva para tratar la disfunción endotelial vascular en personas de edad mediana o avanzada aun con niveles de lípidos plasmáticos
  • 29.
    normales.Se sabe queel fenofibrato mejora la DDE en personas con diabetes mellitus tipo 2 e hiperlipidemia; los resultados del presente estudio extienden este hallazgo también a adultos saludables normolipidémicos. Además, los resultados coinciden con las observaciones realizadas en ensayos con animales. Es interesante destacar que las mejorías en la DMF humeral halladas en el presente trabajo fueron específicas del endotelio vascular, dado que el tratamiento con fenofibrato no produjo cambios en la dilatación independiente del endotelio.Por otra parte, en el grupo tratado con fenofibrato se halló una disminución significativa en los niveles plasmáticos de LDLc oxidado, el cual constituye un marcador del estrés oxidativo sistémico. Esto coincide con los resultados de un ensayo previo llevado a cabo con pacientes con hipertrigliceridemia. En el presente estudio, se ratifican esos hallazgos al demostrar que la vitamina C, sustancia con actividad antioxidante, mejora la DMF humeral a nivel basal, pero no la afecta luego del tratamiento con fenofibrato. También en este caso los resultados coinciden con ensayos previos llevados a cabo con animales. En el presente estudio, la expresión de la eNOS se incrementó en el grupo medicado con fenofibrato. Este hallazgo coincide con informes previos que señalaban que la droga es capaz de aumentar la expresión de dicha enzima en cultivos de células endoteliales y en la aorta de roedores. De todos modos, no es posible determinar a partir de estos datos si el incremento en la expresión de la eNOS genera un beneficio funcional, dado que el modelo de la DMF humeral no permite determinar en qué medida el óxido nítrico contribuye a la dilatación. Aunque los valores de colesterol total y de LDLc disminuyeron levemente con el tratamiento, las mejorías en la DMF humeral a los siete días no tuvieron correlación con los lípidos plasmáticos. En este sentido, los resultados sugieren que la mejoría en la función endotelial luego de una semana de tratamiento con fenofibrato fue independiente de los cambios producidos en los lípidos plasmáticos, aunque no se puede descartar cierta influencia sobre la DMF humeral. También cabe la posibilidad de que la relación entre los cambios en la función vascular y en los lípidos plasmáticos obtenidos con el tratamiento con fenofibrato difiera en adultos normolipidémicos y en pacientes con hiperlipidemia. En pacientes con hipertrigliceridemia o diabetes mellitus, la mejoría en la DDE obtenida con fenofibrato ha sido asociada, por algunos autores, con reducciones en los niveles de lípidos. Por lo tanto, los resultados del presente trabajo son coherentes con el amplio abanico de observaciones postuladas sobre el tema en estudios anteriores.Con respecto a la relación del fenofibrato con la presión arterial, la información disponible hasta el momento era contradictoria. En el presente estudio, aunque la presión arterial no se redujo significativamente con la terapia con fenofibrato, se observó una relación entre los cambios en la presión sistólica y diastólica y los cambios en la DMF humeral luego de 7 días de tratamiento en algunos sujetos. No obstante, un análisis de regresión indicó que la mejoría en la DMF humeral era independiente de los cambios en la presión arterial.Se ha postulado que las acciones pleiotrópicas del fenofibrato están mediadas fundamentalmente por la activación del PPAR-alfa, factor de transcripción nuclear que incrementa la oxidación de los ácidos grasos y es capaz de suprimir el estrés oxidativo y las vías de señalización proinflamatorias. La actividad del PPAR-alfa no es fácil de evaluar en los seres humanos. No obstante, los resultados de ensayos realizados en animales permiten postular que los efectos del fenofibrato sobre el estrés oxidativo serían dependientes de su actividad sobre el PPAR-alfa. Por lo tanto, la activación del PPAR-alfa pudo haber contribuido a la mejoría en la DDE, la reducción en el estrés oxidativo y el incremento en la expresión de la eNOS en los participantes del presente estudio, aunque esto aún no ha podido ser comprobado en forma directa. Asimismo, los efectos beneficiosos del fenofibrato también pueden ser el resultado de la reducción en la actividad de las vías de señalización proinflamatorias que ejerce el PPAR-alfa. En el presente estudio, el tratamiento con fenofibrato no redujo la concentración de proteína C-reactiva, aunque este marcador de inflamación no necesariamente está reflejando el estado inflamatorio vascular. Por lo tanto, es posible que la reducción en las vías de señalización proinflamatorias a nivel vascular generadas por la activación del PPAR-alfa haya contribuido a mejorar la función endotelial. La expresión del PPAR-alfa disminuye con la edad en numerosos tejidos, por lo que el uso de medicaciones como los fibratos podría ser de importancia para prevenir o tratar diversas disfunciones relacionadas con la edad. El uso de hipolipemiantes en las personas normolipidémicas es controvertido, aunque estaría avalado por el hecho de que el nivel óptimo de LDLc es más bajo que el indicado por las normativas actuales y, por lo tanto, estos fármacos podrían ser utilizados para alcanzar este objetivo. Además, tanto las estatinas como los fibratos presentan beneficios pleiotrópicos más allá de su efecto hipolipemiante. Sin embargo, los efectos adversos potenciales de estas drogas hacen que su uso deba limitarse a poblaciones específicas con beneficios demostrados, tales como adultos normolipidémicos con niveles elevados de proteína C-reactiva o, posiblemente, personas de edad avanzada, además de los pacientes con dislipidemia clínica. ConclusiónEl presente estudio ha demostrado que el tratamiento a corto plazo con fenofibrato mejora la función vascular endotelial en adultos sanos normolipidémicos de edad mediana y avanzada. Las mejorías observadas en la DDE se deben, al menos en parte, a la reducción del estrés oxidativo vascular, y coinciden con la reducción concomitante del LDLc oxidado plasmático, el cual es un marcador del estrés oxidativo sistémico. Asimismo, las mejorías en la DDE no obtuvieron correlación con los cambios en los lípidos plasmáticos, pero se asociaron con un incremento en la expresión de la enzima eNOS. Por lo tanto, el fenofibrato tiene efectos pleiotrópicos más allá de su actividad sobre los lípidos. Estos efectos mejorarían la función vascular endotelial aun en personas normolipidémicas. En definitiva, el fenofibrato y otras estrategias asociadas con la vía del PPAR-alfa podrían tener resultados promisorios en el tratamiento de la disfunción vascular relacionada con la edad y en la prevención de la enfermedad cardiovascular.
  • 30.
    DETERMINAN EL PAPELDE LOS ACIDOS GRASOS OMEGA-3 EN LA ReSIIC editado en: PREVENCION DE EVENTOS CARDIOVASCULARES MAYORES Cardiología Ioannina, Grecia Epidemiología En general, el aporte de ácidos grasos omega-3 no reduce el riesgo de mortalidad Atención Primaria general, mortalidad cardíaca, muerte súbita, infarto de miocardio o accidente Bioquímica cerebrovascular, en el contexto de la prevención cardiovascular primaria o Diagnóstico por secundaria. Laboratorio Educación Médica JAMA308(9):1024-1033 Sep, 2012 Endocrinología y Metabolismo Farmacología Autores: Geriatría Ntzani EE, Elisaf MS, Rizos EC Medicina Familiar Medicina Interna Institución/es participante/s en la investigación: Neurología University Hospital of Ioannina Nutrición Salud Pública Título original: Association between Omega-3 Fatty Acid Supplementation and Risk of Major Cardiovascular Disease Events: A Systematic Review and Meta-Analysis Título en castellano: Asociación entre los Suplementos de Acidos Grasos Omega-3 y el Riesgo de Eventos Cardiovasculares Mayores: Revisión Sistemática y Metanálisis Extensión del Resumen-SIIC en castellano: 2.84 páginas impresas en papel A4 Introducción Diversos estudios clínicos aleatorizados han sugerido que el tratamiento con ácidos grasos (AG) poliinsaturados omega-3 (PUFA, por sus siglas en inglés) reduce el riesgo de eventos cardiovasculares mayores. Por el contrario, otras investigaciones no refirieron los mismos beneficios. La disminución de los niveles séricos de los triglicéridos, la prevención de las arritmias graves y la reducción de la presión arterial y de la agregación plaquetaria son algunos de los mecanismos por los cuales los PUFA podrían modificar favorablemente el riesgo cardiovascular. En la actualidad, las normativas vigentes recomiendan el consumo de PUFA, en forma de suplementos o con la dieta, en los pacientes que han sufrido infarto agudo de miocardio (IAM). En cambio, la US Food and Drug Administration solo aprobó su uso en el contexto de la disminución de los triglicéridos. Algunas organizaciones europeas, por su parte, recomiendan el consumo de PUFA para mejorar el perfil de riesgo cardiovascular. La heterogeneidad de los resultados de los estudios y de las pautas establecidas por diversas organizaciones genera gran confusión para el médico, en el ámbito de la asistencia diaria. Por su parte, las revisiones sistemáticas y los metanálisis de los trabajos clínicos aleatorizados inducen mayor confusión aún porque refieren hallazgos contradictorios. En la presente síntesis a gran escala, los autores intentaron esclarecer la asociación entre el consumo de PUFA y el riesgo de eventos cardiovasculares mayores. Pacientes y métodos Se incluyeron todos los trabajos aleatorizados que evaluaron la eficacia de los suplementos con PUFA omega-3; las variables de evolución analizadas incluyeron la mortalidad global, la mortalidad cardiovascular, la muerte súbita, el IAM y el accidente cerebrovascular. Los AG omega-3 pudieron administrarse en forma de suplementos o mediante dietas especiales. Los estudios debían incluir un grupo placebo o control con otra dieta y debían haberse realizado en el contexto de la prevención cardiovascular primaria o secundaria. Se excluyeron los trabajos de menos de un mes de duración. Los artículos correspondientes se identificaron a partir de una búsqueda en PubMed, EMBASE y el Cochrane Central Register of Controlled Trials hasta 2012. Se obtuvo información sobre el año de publicación, el tamaño de las muestras, las características de los enfermos, la indicación del tratamiento, la dosis y forma de administración de los AG omega-3, la duración del estudio y la evolución. La calidad metodológica y el riesgo de sesgo se valoraron con el
  • 31.
    sistema de laCochrane Collaboration. Se analizaron por separado los estudios en los cuales los AG omega-3 se administraron en forma de suplementos y aquellos en los cuales los AG omega-3 se incorporaron con dietas especiales. Cada variable mayor de evolución también se analizó en forma individual. Se efectuaron análisis por subgrupos en función de los antecedentes cardiovasculares de los enfermos (prevención primaria o secundaria) y según tuvieran implantados desfibriladores-cardioversores (DC). En los análisis de metarregresión, se consideró la dosis de AG omega-3. El criterio principal de valoración fue el riesgo relativo (RR) y la reducción absoluta del riesgo (RAR) de eventos cardiovasculares. La heterogeneidad estadística se valoró con la prueba Q y la I2 (0% a 100%). Las variables de análisis se estimaron con modelos de efectos aleatorios o fijos (según la magnitud de la heterogeneidad entre los estudios). El sesgo de publicación se determinó con gráficos en embudo y pruebas de Begg-Mazumbar. Se realizó metanálisis acumulado para determinar la evolución de los efectos observados, en el transcurso del tiempo. Resultados Los análisis se realizaron en un total de 20 estudios, con 68 680 enfermos evaluados; se registraron 7 044 decesos, 3 993 fallecimientos por causa cardiovascular, 1 150 muertes súbitas, 1 837 IAM y 1 490 ACV. Los primeros estudios se publicaron en 1989 y la mitad de los trabajos se llevó a cabo luego de que se recomendara el uso rutinario de estatinas para mejorar el perfil de riesgo cardiovascular (a partir de 1998). El estudio más amplio fue realizado en Japón, en 18 645 pacientes. En 18 estudios, los AG omega-3 se administraron en forma de suplementos; la dosis promedio fue de 1.51 g por día (0.77 g/día de ácido eicosapentaenoico [EPA] y 0.60 g/día de ácido docosahexaenoico [DHA]), en tanto que, en 10 trabajos, se utilizó una dosis de 1 g o más por día. La mediana de la duración de la terapia fue de 2 años, con un máximo de 6.2 años. Por lo general, los PUFA se indicaron en el contexto de la prevención cardiovascular secundaria. La mortalidad global, la mortalidad cardiovascular y el IAM fueron los parámetros evolutivos considerados con mayor frecuencia. La mayoría de los estudios fue de alta calidad metodológica; 16 de ellos tuvieron un diseño a doble ciego. Los datos en conjunto sugieren que existe una importante brecha en el conocimiento acerca de la administración de PUFA omega-3 en el contexto de la dieta. Este abordaje se aplicó en 2 estudios con 5 147 enfermos; se produjeron 749 fallecimientos, 513 decesos de origen cardíaco, 120 muertes súbitas y 82 IAM no fatales. Los dos trabajos presentaron asociaciones, en direcciones opuestas, para la mortalidad global y cardíaca, un fenómeno que no pudo atribuirse a las características de los ensayos, ya que ambos fueron de diseño abierto y realizados por el mismo grupo de investigadores en participantes de origen europeo. Además, en los dos estudios se utilizaron PUFA en dosis superiores a 1 g en el contexto de la prevención cardiovascular secundaria. En la evaluación de los efectos de los suplementos con PUFA sobre la mortalidad global, se incluyeron 17 estudios que refirieron 6 295 eventos en 63 279 participantes. En general, la administración de AG omega-3 no se asoció con reducciones significativas de la mortalidad global (RR de 0.96; IC 95%: 0.91 a 1.02; p = 0.17; I2 = 12%; RAR: - 0.004; IC 95%: -0.01 a 0.02; p = 0.19; I2 = 38%). En el metanálisis acumulado de la mortalidad global, el efecto propuesto para los PUFA desapareció a partir de 2007. Los resultados se mantuvieron sin cambios posteriormente. No se encontraron interacciones entre el efecto de los PUFA, el diseño del estudio, la dosis, el tipo de prevención o la presencia de DC. Si bien el gráfico en embudo reveló cierta asimetría, la prueba de Begg-Mazumbar no fue estadísticamente significativa y los métodos de ajuste y relleno también sugirieron un riesgo bajo de sesgo de publicación. En 13 estudios que incluyeron 56 407 pacientes, se registraron 3 480 decesos de causa cardíaca. No se encontraron asociaciones significativas para los PUFA, después del ajuste para comparaciones múltiples (RR de 0.91; IC 95%: 0.85 a 0.98; p = 0.01; I2 = 6%), aunque sí un efecto no significativo en la reducción absoluta del riesgo (RAR: -0.01; IC 95%: -0.02 a 0.00; p = 0.09; I2 = 78%). Tampoco se encontraron interacciones importantes con los factores evaluados. Nuevamente, los gráficos en embudo mostraron asimetría, pero las pruebas restantes no sugirieron sesgo de publicación. Para la muerte súbita se analizaron 7 estudios con 41 751 pacientes y 1 030 eventos. El aporte de suplementos de PUFA omega-3 no se asoció en forma sustancial con los índices de muerte súbita (RR de 0.87; IC 95%: 0.75 a 1.01; p = 0.06; I2 = 8%; RAR: -0.003; IC 95%: -0.012 a 0.006; p = 0.49; I2 = 91%). No se encontró sesgo de publicación. Trece estudios con 53 875 enfermos y 1 755 IAM permitieron determinar los efectos de los suplementos de PUFA sobre este parámetro evolutivo. En general, la administración de PUFA omega-3 no se asoció con reducción significativa del riesgo de IAM (RR de 0.89; IC 95%: 0.76 a 1.04; p = 0.14; I2 = 35%; RAR: -0.002; IC 95%: -0.007 a 0.002; p = 0.23; I2 = 35%). No se encontraron interacciones importantes con los parámetros analizados. Los gráficos en embudo y las pruebas de Begg-Mazumbar sugirieron sesgo de publicación. Para el análisis del ACV, se dispuso de 9 estudios que incluyeron 52 589 pacientes y 1 490 eventos (RR de 1.05; IC 95%: 0.93 a 1.18; p = 0.47; I2 = 14%; RAR: 0.001; IC 95%: -0.002 a 0.004; p = 0.46; I2 = 15%). En todos los estudios, se incluyeron pacientes sin DC, tratados con suplementos de PUFA. No se encontraron indicios de interacciones importantes entre el efecto de la terapia, el diseño del estudio, el tipo de prevención y la dosis de los AG omega-3. El riesgo de sesgo de publicación fue bajo. Discusión La presente revisión que abarcó todos los estudios disponibles que analizaron los efectos de los PUFA sobre la
  • 32.
    evolución cardiovascular noindica que la terapia sea eficaz en los pacientes con mayor riesgo de sufrir eventos cardiovasculares. La administración de PUFA omega-3 no se asoció en forma significativa con la mortalidad global, la mortalidad cardíaca, la muerte súbita, el IAM o el ACV, independientemente del método de tratamiento utilizado y el contexto (prevención primaria o secundaria). La falta de efectos significativos se mantuvo estable en los trabajos realizados en los últimos 5 años a pesar de que el número acumulado de enfermos se incrementó en forma sustancial. Nueve trabajos incluyeron más de 1 000 participantes cada uno. El DART1 fue el primer estudio que evaluó los efectos de los PUFA en la dieta; en el ensayo se observaron beneficios muy significativos en términos de la evolución cardiovascular. Los mismos efectos se comprobaron en la investigación abierta a gran escala GISSI (realizada antes de la introducción de las estatinas, en pacientes predominantemente de sexo masculino, con IAM reciente). No obstante, los efectos favorables no se confirmaron en al menos 8 trabajos posteriores. Más aún, el DART2, llevado a cabo por el mismo grupo de investigadores del DART1 no confirmó los beneficios, referidos en el DART1 y en el GISSI. Por su parte, la investigación abierta japonesa (JELIS), realizada fundamentalmente en mujeres en el ámbito de la prevención primaria, no reveló efectos favorables en términos de la mortalidad cardíaca o la muerte súbita. Asimismo, uno de los estudios más recientes (el ORIGIN que abarcó 12 536 pacientes) no encontró que el aporte de AG omega-3 reduzca la mortalidad o el riesgo de eventos cardiovasculares en pacientes de riesgo alto. En el presente estudio, el posible efecto beneficioso de los PUFA sobre los niveles de los triglicéridos no se confirmó. Conclusión La administración de AG omega-3 no se asocia significativamente con la evolución cardiovascular, de forma tal que el uso de PUFA no parece estar justificado en forma sistemática, en el ámbito de la medicina asistencial. Los metanálisis futuros con los datos individuales de los enfermos serán de gran ayuda para conocer mejor los efectos de esta forma de terapia, en términos de la prevención de eventos cardiovasculares. DESCRIBEN LOS EFECTOS FARMACOLOGICOS DE LOS EXTRACTOS DE InSIIC editado en: TRACHYSPERMUM AMMI Medicina Farmacéutica Rajasthan, India Toxicología Trachyspermum ammi es un vegetal empleado en la medicina herbal asiática, con Farmacología diversos efectos farmacológicos, entre los que sobresale su actividad espasmolítica y su acción antimicrobiana. Fuente científica: Pharmacognosy Reviews6(11):56-60 Ene, 2012 aSNC Autores: Sodha RS, Rajawat BS, Bairwa R Palabras clave: antimicrobiano, ajwain, fruto, semilla, Trachyspermum ammi Key Words: Apiaceae, antimicrobial, ajwain, fruit (seed), Trachyspermum ammi Institución principal: Jaipur National University Correspondencia: RS Sodha, Jaipur National University, Rajasthan India Patrocinio: No declarado. Conflicto de interés: No declarado. Agradecimientos: No declarado. Trachyspermum ammi es un vegetal cultivado en gran parte de Asia y forma parte de los recursos de medicina herbal de esa región. Mientras que las raíces presentan propiedades diuréticas, las semillas se han vinculado con otros usos, entre los que sobresale la utilización de su aceite, denominado ajwain. Este producto incluye timol como principal principio activo, el cual se relaciona con actividad estimulante, antiespasmódica y carminativa, por lo cual se lo ha empleado en la práctica para la terapia de la diarrea, la dispepsia atónica y el meteorismo.
  • 33.
    En la evaluaciónfitoquímica, se ha informado que las semillas de Trachyspermum ammi incluyen fibras, hidratos de carbono, taninos, glucósidos, proteínas, saponinas, ácido nicotínico, flavonas y componentes minerales (calcio, fósforo, hierro). La proporción de aceites esenciales en los frutos se estima en 2% a 4%, con predominio de timol; la fracción exenta de timol comprende paracimeno, gamma-terpentina, dipentenos y alfa-terpinenos, entre otros. En términos de sus efectos clínicos, se ha observado en modelos in vitro que la administración de extractos de Trachyspermum ammi se vincula con acciones antagonistas sobre los canales de calcio. Esta actividad parece fundamentar su acción antiespasmódica en procesos que desencadenan diarrea y cólicos, así como en relación con el tratamiento de la hipertensión. En otro orden, Trachyspermum ammi se ha vinculado en modelos con roedores con efectos hepatoprotectores en el contexto de la intoxicación experimental con dosis letales de paracetamol. Del mismo modo, se ha señalado que este producto herbal sería útil para la degradación de la aflatoxina G1. Se destaca que los derivados de Trachyspermum ammi se han correlacionado con actividad antiinflamatoria en estudios con animales de laboratorio. Asimismo, el efecto antimicrobiano y parasiticida de estos productos ha motivado la investigación de su potencial aplicación para la protección de alimentos y para la terapia en seres humanos. El timol se caracteriza por su actividad lítica sobre microorganismos resistentes a antibióticos de última generación; por otra parte, se ha comprobado el efecto antifúngico de Trachyspermum ammi sobre al menos 10 especies de hongos. Se advierte que Trachyspermum ammi es uno de los productos vegetales empleados en la medicina herbal india que han sido vinculado con efectos abortivos. Asimismo, se señala su potencial actividad teratogénica, en función de los resultados observados en ensayos con roedores. En coincidencia, se postula que los extractos de Trachyspermum ammi presentan efectos inductores de la secreción mamaria, en virtud de su elevado contenido de fitoestrógenos y de su actividad para el incremento de la producción de leche en el ganado en el marco de su utilización tradicional. INCIDENCIA DE LESION DEL NERVIO LINGUAL EN LA EXODONCIA DEL InSIIC editado en: TERCER MOLAR Cirugía Odontología Amritsar, India Neurología Se describen parestesias en el territorio inervado por el nervio lingual en el 6.6% de los pacientes sometidos a exéresis del tercer molar. impactado. En forma independiente de la evaluación clínica y radiológica, se recomienda el asesoramiento y la información a los enfermo acerca de esta potencial complicación con el fin de evitar un eventual litigio medicolegal. Fuente científica: National Journal of Maxillofacial Surgery2(2):137-140 Jul, 2012 aSNC Autores: Lata J, Tiwari AK Palabras clave: nervio lingual, parestesia, tercer molar Key Words: lingual nerve, paraesthesia, third molar Institución principal: Punjab Government Dental College and Hospital Correspondencia: J Lata, Department of Oral and Maxillofacial Surgery Punjab Government Dental College and Hospital, Amritsar India Patrocinio: No declarado. Conflicto de interés: No declarado. Agradecimientos: No declarado.
  • 34.
    La exodoncia deun tercer molar impactado suele asociarse con complicaciones como dolor, tumefacción local o trismus. El procedimiento puede vincularse además con lesión del nervio lingual, con alteraciones sensitivas o pérdida de la sensibilidad. La incidencia de esta complicación varía en función de la experiencia del odontólogo y la técnica aplicada, entre otros. Si bien no se ha definido con exactitud, se especula que el mecanismo causal de esta lesión es la perforación maxilar y el trauma del colgajo lingual durante la remoción ósea o la sección de la pieza dentaria. En el presente modelo de análisis, se llevó a cabo un estudio prospectivo de la incidencia de lesiones del nervio lingual como consecuencia de la exéresis del tercer molar con el fin de evaluar los posibles factores relacionados con esta complicación. Se evaluaron los datos de una cohorte de 90 enfermos asistidos en un hospital con servicio de cirugía odontológica, que concurrieron con el objetivo de remoción de un tercer molar impactado. En todos los pacientes se implementó una incisión con técnica convencional de Terence Wards para reducir el riesgo de lesión del nervio lingual. Asimismo, se optó por efectuar colgajos a partir de tejido de la mucosa yugal con el mismo fin. Se reconocieron seis casos de lesión del nervio lingual, equivalentes a una incidencia de 6.6%; mientras que uno de los pacientes no continuó el seguimiento, en otros 4 sujetos se confirmó recuperación dentro de los seis meses del seguimiento. El enfermo restante persistió con parestesias pese a la terapia propuesta con altas dosis de cianocobalamina. Aunque el reducido número de individuos impidió la realización de un análisis estadístico completo, se advirtió que la presencia de parestesias se asociaba en general con las alteraciones angulares del molar impactado, la inclinación lingual de la pieza dentaria y la duración de la cirugía, entre otras variables. Se advierte que la tasa de 6.6% es superior a la informada en otros ensayos, pero permite validar los datos de modelos previos en los cuales se manifestó una asociación entre la presencia de parestesias y el diagnóstico de un tercer molar impactado, la remoción de tejido óseo durante la exéresis y la posición de la pieza dental. De acuerdo con los contenidos de este ensayo, los autores destacan que, en forma independiente de la evaluación clínica y radiológica, se recomienda el asesoramiento y la información a los pacientes acerca de esta potencial complicación con el fin de evitar un eventual litigio medicolegal. ANALIZAN LAS CARACTERISTICAS CLINICAS DE LA NEURITIS VESTIBULAR ReSIIC editado en: INFERIOR Otorrinolaringología Tokio, Japón Neurología La neuritis vestibular inferior tiene una baja incidencia entre las neuritis Medicina Interna vestibulares, pero presenta algunas características clínicas particulares que la Geriatría diferencian de la neuritis vestibular superior. El uso combinado de la prueba calórica Medicina Familiar y de los potenciales evocados miogénicos vestibulares cervicales facilita su diagnóstico. Acta Oto-Laryngologica132(12):1288-1294 Dic, 2012 Autores: Chihara Y, Iwasaki S Institución/es participante/s en la investigación: University of Tokyo Título original: Clinical Characteristics of Inferior Vestibular Neuritis Título en castellano: Características Clínicas de la Neuritis Vestibular Inferior Extensión del Resumen-SIIC en castellano: 2.61 páginas impresas en papel A4 Introducción La neuritis vestibular es una enfermedad del sistema vestibular periférico unilateral, y constituye la tercera causa más
  • 35.
    común de vértigovestibular periférico. Esta entidad se caracteriza por un episodio de vértigo de comienzo súbito debido a la pérdida unilateral de la función vestibular, pero sin signos neurológicos ni pérdida auditiva. Por décadas, la ausencia de respuesta a la prueba calórica, o una respuesta considerablemente reducida, ha sido considerada como factor esencial para el diagnóstico de la neuritis vestibular. Sin embargo, la prueba calórica refleja la función del canal semicircular lateral y del nervio vestibular superior, pero no evalúa la función de otros componentes del sistema vestibular, tales como los órganos otolíticos, los canales semicirculares superior y posterior o el nervio vestibular inferior. Recientemente, se han comenzado a utilizar potenciales evocados miogénicos vestibulares cervicales (cVEMP, por sus siglas en inglés) para evaluar la función del sáculo y del nervio vestibular inferior. Estos potenciales evocados registran la respuesta a sonidos conducidos por el aire mediante electrodos colocados en la superficie del músculo esternocleidomastoideo. El uso combinado de los cVEMP y de la prueba calórica permite examinar la función de los nervios vestibulares superior e inferior en forma separada. La neuritis vestibular inferior (NVI) se presenta con un comienzo súbito de vértigo o mareos y nistagmo espontáneo, en ausencia de hallazgos auditivos o neurológicos, y con cVEMP reducidos o ausentes de un lado pero respuesta normal a la prueba calórica de ambos lados. No obstante, las características clínicas de la NVI aún no han sido descritas en detalle en la literatura. En este contexto, se llevó a cabo una revisión retrospectiva de las características clínicas de pacientes con NVI y se las comparó con las características de la neuritis vestibular superior (NVS) y con las de la neuritis vestibular total (NVT) (superior e inferior). Materiales y métodos Se llevó a cabo una revisión retrospectiva de 1 777 pacientes consecutivos, de los cuales 104 obtuvieron el diagnóstico de neuritis vestibular. De éstos, un total de 71 pacientes fueron incluidos en el estudio debido a que contaban con documentación completa sobre el caso. Los siguientes fueron considerados criterios de inclusión: episodio de vértigo o mareos con una duración de al menos varias horas, función del canal semicircular lateral gravemente alterada (paresia del canal > 50% del lado afectado en la prueba calórica) o función sacular alterada (cociente de asimetría > 34.1% del lado afectado en el cVEMP), y ausencia de signos cocleares u otros signos neurológicos. De acuerdo con los resultados de la prueba calórica y del cVEMP, los pacientes fueron divididos en tres grupos: un grupo con NVI, cuyos miembros presentaban respuestas asimétricas en el cVEMP pero simétricas en la prueba calórica; un grupo con NVS, cuyos integrantes presentaban respuestas asimétricas en la prueba calórica pero simétricas en el cVEMP, y un grupo con NVT, integrado por pacientes que obtuvieron respuestas asimétricas tanto en la prueba calórica como en el cVEMP. Por otra parte, se registraron distintas características clínicas de cada participante, las cuales fueron comparadas entre los tres grupos. Dichas características son las siguientes: edad al comienzo de los síntomas, sexo, lado de la lesión (izquierdo o derecho), síntoma principal (vértigo o mareos), duración del ataque, duración de la hospitalización y tiempo transcurrido hasta la remisión del cuadro clínico. La duración del ataque fue definida como el período que va desde el comienzo de los síntomas hasta que el paciente es capaz de caminar nuevamente en forma independiente. Asimismo, el tiempo transcurrido hasta la remisión fue definido como el período que va desde el comienzo de los síntomas hasta el momento en que el paciente puede retomar sus tareas habituales. Por último, se investigó la presencia de secuelas del episodio en cada caso. Resultados De un total de 71 pacientes, 13 (18%) tenían NVI, 34 (48%) tenían una NVS, y 24 (34%) presentaban NVT. La edad promedio de los pacientes con NVI resultó ser significativamente inferior que la de aquellos con NVT (44.2 ± 4.8 años versus 57.3 ± 2.5 años, respectivamente). En cambio, no se hallaron diferencias significativas con respecto al sexo, el lado de la lesión o los principales síntomas en los distintos grupos. En términos generales, el tiempo que duraron los síntomas en los pacientes con NVI fue más corto que en los otros grupos. El análisis estadístico reveló que el período que va desde el comienzo de los síntomas hasta la remisión fue significativamente más corto en los pacientes con NVI que en aquellos con NVT (0.9 ± 0.5 meses versus 4.9 ± 4.7 meses, respectivamente), mientras que no hubo diferencias significativas en cuanto a la duración del episodio o la duración de la hospitalización entre los tres grupos. Cuatro de los 34 pacientes con NVS y siete de los 24 pacientes con NVT presentaron vértigo posicional paroxístico benigno (VPPB) durante el período de seguimiento; en cambio, ninguno de los participantes con diagnóstico de NVI padeció esta secuela. Todos los episodios de VPPB observados en los pacientes con NVS y con NVT se presentaron en el mismo oído que la neuritis vestibular y, en la mayoría de los casos, el canal posterior era el afectado. Discusión En primer lugar, los autores destacan que el presente trabajo es el primero en revelar las características clínicas de la NVI en relación con las de la NVS y la NVT. Los resultados muestran que la población de pacientes con NVI representa sólo el 18% del total. Un estudio previo había informado que los casos de NVI representaban el 3.7% del total de casos de neuritis vestibular analizados. El hecho de tener una baja incidencia entre los casos de neuritis vestibular podría ser una de las razones por las cuales hasta el momento la NVI no ha sido investigada en detalle. En cuanto a la etiología de la neuritis vestibular, estudios previos han postulado una causa viral, y se ha demostrado que la división superior del nervio vestibular es la que se ve afectada con mayor frecuencia. La distinta prevalencia en
  • 36.
    el compromiso delnervio vestibular superior e inferior podría tener que ver con determinadas características anatómicas: se ha postulado que el canal óseo del nervio vestibular superior tiene una mayor longitud y presenta más espículas que el del nervio vestibular inferior, por lo que el primero sería más susceptible a los problemas de conducción en la inflamación. En el presente estudio, los pacientes con NVI eran significativamente más jóvenes que aquellos con NVT, dato que coincide con lo informado previamente. Por otra parte, no se hallaron diferencias significativas en otras características clínicas entre los tres grupos analizados, hallazgo que sugiere que es difícil diferenciar la NVI de la NVS o de la NVT a partir del perfil clínico o la sintomatología. Por lo tanto, la combinación de la prueba calórica con el cVEMP cobra un papel verdaderamente importante para arribar al diagnóstico correcto en este tipo de pacientes. Por otra parte, el tiempo hasta la remisión fue significativamente más corto para el grupo con NVI que para el grupo con NVT, pero no se hallaron diferencias en la duración del ataque ni en la duración de la hospitalización entre los tres grupos. La remisión temprana para el caso de la NVI podría estar indicando que el sistema del nervio vestibular inferior tiene una menor influencia sobre el equilibrio postural y sobre la estabilidad de la mirada, o el hecho podría tener que ver con una mejor capacidad de recuperación por parte del sistema del nervio vestibular inferior en comparación con el superior. Estudios previos han demostrado que la capacidad de recuperación funcional del sistema del nervio vestibular superior es más lenta y menos frecuente que la del inferior. Estos resultados deben ser tomados en cuenta al planificar las posibles estrategias terapéuticas para la NVI. Se ha demostrado que el tratamiento con metilprednisolona mejora notablemente la recuperación de la función vestibular periférica en pacientes con neuritis vestibular tradicional. Por lo tanto, será necesario investigar si este mismo tratamiento puede ser aplicable en pacientes con NVI. Asimismo, se ha informado que entre el 9.8% y el 15% de los pacientes con neuritis vestibular presentan VPPB como secuela. En el presente estudio se ha observado una incidencia similar (19.0%). No obstante, ninguno de los pacientes con NVI tuvo VPPB durante el seguimiento, lo cual puede tener que ver con el lugar en que se produce la lesión y las estructuras implicadas en la génesis de dicha secuela. Por último, los autores mencionan que la combinación de la prueba calórica y de los cVEMP con otro tipo de exámenes (como la prueba del impulso cefálico o los potenciales evocados miogénicos vestibulares oculares) podría brindar un abordaje diagnóstico más rápido a fin de distinguir a la NVI de la NVS y de la NVT. De todos modos, aún se requieren más estudios con muestras más amplias de pacientes con NVI para dilucidar esta cuestión. Conclusión Tanto los cVEMP como la prueba calórica juegan un papel importante en el diagnóstico de pacientes con síntomas compatibles con neuritis vestibular. Si bien la NVI es un subtipo menor dentro de las neuritis vestibulares, se debe tener presente que algunos aspectos de sus características clínicas difieren con respecto a las características de la NVS y de la NVT. CONFIRMAN LA EFICACIA ANATOMICA Y FUNCIONAL A LARGO PLAZO DE InSIIC editado en: LA EPIQUERATOPLASTIA EN PACIENTES CON QUERATOCONO Oftalmología Trasplantes New Delhi, India En sujetos con queratocono que no toleran el uso de lentes de contacto y que no presentan cicatrices apicales, la epiqueratoplastia constituye un abordaje beneficioso en términos anatómicos y funcionales, en forma independiente de la magnitud del astigmatismo y del espesor de la córnea. Fuente científica: Indian Journal of Ophthalmology (IJO)61(1):18-22 Ene, 2013 aSNC Autores: Vajpayee R, Panda A, Gupta AK Palabras clave: astigmatismo, epiqueratoplastia, queratocono Key Words: astigmatism, epikeratoplasty, keratoconus
  • 37.
    Institución principal: Corneaand OSD Services Correspondencia: A Panda, Cornea and OSD Services, New Delhi India Patrocinio: No declarado. Conflicto de interés: No declarado. Agradecimientos: No declarado. La curvatura anormal de la córnea desencadena astigmatismo irregular de difícil tratamiento. En los pacientes con queratocono, la corrección con gafas es en general suficiente en la etapa inicial. Las formas leves a moderadas pueden tratarse con lentes de contacto o anillos intracórneos, pero los casos más graves requieren el abordaje mediante queratoplastia. En este sentido, la epiqueratoplastia constituye el tratamiento quirúrgico menos invasivo. En este estudio, se presentan los resultados de un análisis de los datos de 59 procedimientos quirúrgicos de sujetos con una agudeza visual corregida inferior a 20 puntos de 200 posibles, astigmatismo superior a 12 dioptrías y sin tolerabilidad a los lentes de contacto. En todos los casos se evaluó a los pacientes mediante examen físico, biomicroscopia con lámpara de hendidura, queratometría, tonometría por aplanamiento y ecografía ocular. De igual modo, se llevó a cabo una evaluación electrofisiológica para descartar asociación con retinitis pigmentaria, así como una prueba de Schimer con el objetivo de identificar anomalías en la superficie de la córnea. Se realizaron los procedimientos de epiqueratoplastia con córneas de donantes preservadas o en fresco, con remoción de una capa localizada de epitelio de la córnea del receptor por medios mecánicos. Tras la eliminación con solución salina de los restantes locales, se implantó el tejido del donante con sutura al lecho quirúrgico subyacente. Se indicó lubricación posquirúrgica con colirios de uso frecuente y administración de ciclopléjicos en caso necesario. La media de edad de la cohorte de estudio era de 27.86 ± 5.6 años. Sólo 26 de los 59 pacientes permanecía bajo seguimiento después de 10 años. De acuerdo con los investigadores, la agudeza visual corregida a los 3 meses de la cirugía alcanzó niveles superiores a los 20 puntos sobre 60 posibles en el 84.7% de los enfermos. Este porcentaje se estimó en 84.4% y 80.3% después de 1 y 5 años, en ese orden. En aquellos participantes que continuaban en seguimiento a los 10 años, la proporción de agudeza visual corregida mayor a 20/60 puntos era de 73%, como consecuencia de la formación de cataratas subcapsulares de localización posterior. Sin embargo, la media del nivel de astigmatismo estimado mediante queratometría, así como el promedio del aplanamiento de la córnea, alcanzaron valores estables a los 3 meses del procedimiento y se mantuvieron constantes durante el período de seguimiento. La epiqueratoplastia se aplicó inicialmente como una técnica quirúrgica para la corrección de la afaquia, si bien sus indicaciones se expandieron luego para la terapia de la miopía y del queratocono. Esta estrategia se considera más sencilla que otros procedimientos superficiales y no se vincula con el riesgo de complicaciones que podrían desencadenar ceguera. En función de los resultados verificados en esta casuística, los autores aseguran que, en sujetos con queratocono que no toleran el uso de lentes de contacto y que no presentan cicatrices apicales, la epiqueratoplastia constituye un abordaje beneficioso en términos anatómicos y funcionales, en forma independiente de la magnitud del astigmatismo y del espesor de la córnea. BENEFICIOS DE LA PREGABALINA EN PACIENTES CON DEPENDENCIA DE ReSIIC editado en: ALCOHOL Roma, Italia La pregabalina es un análogo estructural de ácido gamma aminobutírico, aunque no posee un mecanismo de acción gabaérgico. Su empleo puede resultar útil en pacientes con dependencia de alcohol, posiblemente debido a que disminuye la hiperexcitabilidad neuronal. Advances in TherapyEpub: Nov, 2012 Autores: Clerici M, Janiri L, Guglielmo R, Martinotti G Institución/es participante/s en la investigación: Catholic University Medical School
  • 38.
    Título original: Pregabalin forAlcohol Dependence: A Critical Review of the Literature Título en castellano: Empleo de Pregabalina en Pacientes con Dependencia de Alcohol: Una Revisión Crítica de la Información Disponible Extensión del Resumen-SIIC en castellano: 3.34 páginas impresas en papel A4 Introducción y objetivos El alcoholismo crónico genera cambios adaptativos en diferentes sistemas de neurotransmisión. Por ejemplo, existe una asociación entre el consumo crónico de alcohol, la disminución de la neurotransmisión gabaérgica y el aumento de la neurotransmisión glutamatérgica. Por este motivo, ante la suspensión abrupta del consumo de alcohol, el sistema nervioso central se encuentra en un estado de hiperexcitabilidad. En la actualidad, el tratamiento de los pacientes con dependencia de alcohol consiste en la administración de fármacos con diversos mecanismos de acción, como el antagonista de los receptores glutamatérgicos N-metil-D-aspartato (NMDA), acamprosato, el antagonista opioide, naltrexona y el antagonista de la enzima acetaldehído deshidrogenada, disulfiram. Las benzodiazepinas son las sustancias de elección en pacientes con síndrome de abstinencia de alcohol, pero su empleo acarrea un riesgo de tolerancia y dependencia. Una de las cuestiones más importantes y difíciles de lograr a la hora de tratar a los pacientes con dependencia de alcohol es la prevención de recaídas. Entre las causas más frecuentes de aparición de recaídas, se destacan el deseo y la compulsión por consumir alcohol, lo cual generó la búsqueda de agentes que disminuyeran dicho deseo y modularan la conducta. En este contexto, los agentes antiepilépticos son de especial interés. De hecho, el tratamiento con topiramato, carbamazepina, oxcarbazepina, gabapentina o valproato se asoció con la prevención de recaídas y la disminución del consumo de alcohol. La pregabalina es un fármaco antiepiléptico análogo estructural del ácido gamma aminobutírico (GABA). Es empleada para el tratamiento de los pacientes con epilepsia, la neuropatía diabética, la neuralgia posherpética, la fibromialgia, el trastorno de ansiedad generalizada y el trastorno de ansiedad social. La sustancia también podría ser de utilidad en pacientes con trastorno por consumo de alcohol. El presente estudio se llevó a cabo con el objetivo de evaluar el papel de la pregabalina para el tratamiento de los pacientes con alcoholismo. Métodos Se efectuó una búsqueda de estudios mediante el empleo de la base de datos PubMed, que resultó en la selección de cinco ensayos sobre el empleo de pregabalina en pacientes alcohólicos que presentaban recaídas o abstinencia. Además, se sumaron artículos de interés sobre las características de la pregabalina. Resultados La pregabalina es un análogo estructural del GABA, aunque no comparte un mecanismo de acción con dicho neurotransmisor. En cambio, actúa como modulador presináptico de la liberación excesiva de neurotransmisores excitatorios en las neuronas hiperexcitadas. El mecanismo de acción de la pregabalina consiste en la unión a la subunidad a2d de los canales de calcio dependientes de voltaje ubicados en la membrana plasmática. Esto resulta en la disminución del influjo de calcio y de la exocitosis de las vesículas sinápticas. La pregabalina tiene un perfil farmacocinético predecible que favorece su utilización. Luego de su administración por vía oral, se absorbe en forma rápida y presenta una biodisponibilidad del 90%. El máximo de concentración plasmática tiene lugar a las 0.7 a 1.3 horas de su administración. La sustancia no se une a las proteínas plasmáticas y posee una vida media de eliminación de 6 horas. Su eliminación tiene lugar por vía renal y no inhibe ni induce a las isoenzimas del sistema enzimático citocromo P450. Por lo tanto, el potencial de interacciones farmacológicas de la pregabalina es bajo. En general, la pregabalina es bien tolerada. Sus efectos adversos más frecuentes son los mareos y la somnolencia. Ambos cuadros son reversibles y dependientes de la dosis. La eficacia de la pregabalina para prevenir las recaídas en pacientes alcohólicos se evaluó en dos estudios. Martinotti y colaboradores llevaron a cabo, en 2008, un estudio abierto de 16 semanas de duración sobre la eficacia de la pregabalina para disminuir la dependencia y favorecer la abstinencia de alcohol. Se incluyeron 31 pacientes con dependencia de alcohol. El primer período fue de desintoxicación y tuvo una duración de 5 a 10 días. Durante este, los pacientes recibieron tratamiento con benzodiazepinas. Luego, se administró pregabalina en dosis finales de 150 a 450 mg/día. Además, se ofreció asesoramiento psicológico y la participación en un grupo de autoayuda. El estudio fue completado por 15 pacientes, 5 de los cuales recayeron. El deseo de consumo fue evaluado mediante la Obsessive Compulsive Drinking Scale (OCDS) y la Visual Analog Scale for Craving (VAS), en tanto que los síntomas de abstinencia fueron evaluados mediante la Clinical Institute Withdrawal Assessment of Alcohol Scale, Revised (CIWA- Ar), cuyo puntaje disminuyó significativamente. También, se observó una disminución significativa del puntaje de las
  • 39.
    escalas Symptom Checklist-90-R(SCL-90-R), General Severity Index (GSI) y Positive Symptom Total. El tratamiento se asoció con una mejoría de los niveles de gamma glutamil transpeptidasa (GGT), aspartato aminotransferasa (AST), alanina aminotransferasa (ALT) y colesterol y del volumen corpuscular medio (VCM). El único efecto adverso asociado con el uso de la pregabalina fue la confusión. La interrupción del tratamiento no generó síntomas de suspensión. Martinotti y colaboradores realizaron un estudio multicéntrico, aleatorizado y a doble ciego de 16 semanas de duración, en el cual se comparó el tratamiento con pregabalina o naltrexona en 102 pacientes con dependencia de alcohol de 14.8 ± 6.7 años de evolución. La detoxificación tuvo lugar mediante el empleo de benzodiazepinas. Un total de 59 pacientes que completaron dicho período fueron distribuidos en forma aleatoria para recibir naltrexona 50 mg/día o pregabalina 150 a 450 mg/día. Además, se ofreció a todos los pacientes la participación en un grupo de autoayuda conducido por asesores y psicólogos. El estudio fue completado por 48 pacientes, de los cuales 21 recibieron naltrexona y 27 recibieron pregabalina. Ambos grupos presentaron una disminución significativa del deseo de consumo de alcohol de acuerdo con el resultado de las escalas VAS y OCDS. Los síntomas de abstinencia disminuyeron significativamente en ambos grupos, aunque la administración de pregabalina resultó significativamente superior en este sentido en comparación con la administración de naltrexona. El puntaje de la SCL-90-R correspondiente a los síntomas positivos disminuyó de manera significativa en ambos grupos. En cambio, la disminución significativa del puntaje de las subescalas de ansiedad fóbica, hostilidad y psicoticismo solo tuvo lugar ante la administración de pregabalina. Asimismo, solo la pregabalina se asoció con una mejoría significativa de la calidad de vida. Los grupos no difirieron significativamente en cuanto a la abstinencia de alcohol durante el estudio, aunque el análisis llevado a cabo permitió apreciar que los pacientes tratados con pregabalina permanecieron en abstinencia durante un período más prolongado que los pacientes tratados con naltrexona. Además, la proporción de pacientes con diagnósticos duales que permanecieron en abstinencia completa de alcohol hasta el final del estudio fue significativamente superior ante la administración de pregabalina. Este fármaco generó un índice de interrupción asociado con los eventos adversos del tratamiento significativamente inferior en comparación con la naltrexona. La suspensión del tratamiento con pregabalina no generó ansiedad de rebote. Ambos tratamientos se asociaron con una mejoría de los parámetros de función hepática y de los exámenes de sangre. La eficacia de la pregabalina para lograr la abstinencia de alcohol se evaluó en tres estudios. Martinotti y colaboradores efectuaron un estudio multicéntrico y aleatorizado de 14 días de duración en 111 pacientes, quienes recibieron pregabalina 450 mg/día, tiaprida 800 mg/día o lorazepam 10 mg/día. El resultado de la CIWA-Ar disminuyó significativamente en todos los grupos. No obstante, la disminución correspondiente a los ítems vinculados con las cefaleas y la orientación fue mayor en el grupo tratado con pregabalina. Todos los grupos presentaron una disminución significativa y de magnitud similar del deseo de consumo. Los grupos tampoco difirieron en cuanto a la mejoría de la calidad de vida y a la disminución de los síntomas psiquiátricos, las cuales fueron estadísticamente significativas. No obstante, la pregabalina generó una disminución superior de los síntomas de sensibilidad interpersonal, depresión, hostilidad y del puntaje del Global Severity Index. Todos los tratamientos se asociaron con una disminución significativa del nivel de GGT, AST y ALT. La pregabalina tuvo una eficacia superior en comparación con la tiaprida. Al considerar determinados parámetros de evaluación, la eficacia de la pregabalina también fue superior frente al lorazepam. Di Nicola y colaboradores realizaron un estudio abierto y prospectivo de 14 días de duración. El objetivo fue evaluar la eficacia y seguridad de la pregabalina en 40 pacientes con dependencia de alcohol que estaban en abstinencia como parte del tratamiento ambulatorio de detoxificación. La dosis final de pregabalina fue de 200 a 450 mg/día. La sustancia se administró durante los primeros 7 días de estudio, para luego interrumpirse en forma paulatina durante los 7 días restantes. Dicho tratamiento se complementó con la asistencia a grupos de autoayuda. El tratamiento con pregabalina se asoció con una disminución significativa de los síntomas de abstinencia y del deseo de consumir alcohol. Igualmente, se observó una mejoría significativa de la calidad de vida y un efecto favorable sobre los síntomas psiquiátricos comórbidos. También se encontró una disminución significativa del nivel de GGT, AST y ALT y no se observaron eventos adversos. Förg y colaboradores realizaron un estudio aleatorizado, a doble ciego y controlado con placebo de 6 días de duración en pacientes internados con dependencia de alcohol. La pregabalina se administró en dosis decrecientes de 300 mg, 200 mg y 100 mg. La disminución de la dosis tuvo lugar cada dos días. Tanto el agente como el placebo permitieron disminuir significativamente el uso de diazepam, sin diferencias entre ambos grupos al respecto. Los eventos adversos observados con mayor frecuencia entre los pacientes tratados con pregabalina fueron la hipokalemia, la diarrea y la epigastralgia. No obstante, dichos cuadros no fueron graves. Discusión La pregabalina resultó beneficiosa para prevenir las recaídas en pacientes con dependencia de alcohol. Según los resultados obtenidos, el tratamiento con 150 a 450 mg/día de pregabalina podría ser eficaz y seguro para el tratamiento a largo plazo de los pacientes con alcoholismo moderado a grave. La sustancia resultó igualmente eficaz que la naltrexona, agente aprobado para el tratamiento de los pacientes con dependencia de alcohol. Más aún, la pregabalina brindó ciertas ventajas como un alivio más temprano de los síntomas de abstinencia, una disminución significativa de la ansiedad fóbica, la hostilidad y el psicoticismo y una mejoría significativa de la calidad de vida en comparación con la naltrexona, entre otras ventajas. En coincidencia, en estudios anteriores se informó que la pregabalina es un fármaco eficaz para tratar a los pacientes con alcoholismo en comorbilidad con otros trastornos psiquiátricos. Una ventaja de la pregabalina es que no se metaboliza en el hígado, lo cual la convierte en una sustancia adecuada para el tratamiento de los pacientes alcohólicos con hepatopatías. No pudo demostrarse la eficacia de la pregabalina para el tratamiento de los pacientes que presentan un síndrome de abstinencia de alcohol. Los estudios disponibles al respecto no arrojaron resultados claros. Los resultados de los
  • 40.
    estudios abiertos fueronpositivos, en tanto que el único estudio a doble ciego y controlado con placebo disponible no permitió encontrar diferencias a favor de la pregabalina. Por lo tanto, la interpretación de los resultados debe ser cautelosa. Dichos estudios incluyeron diseños y poblaciones de características diferentes que deben considerarse a la hora de evaluar los resultados. Como ya se mencionó, el alcoholismo es un trastorno que afecta el funcionamiento de diferentes sistemas de neurotransmisión. Esto incluye la disminución de la neurotransmisión inhibitoria gabaérgica y el aumento de la neurotransmisión excitatoria glutamatérgica. En consecuencia, la suspensión abrupta del consumo de alcohol resulta en hiperexcitabilidad del sistema nervioso central. Hasta el momento, no se conoce con exactitud el mecanismo de acción de la pregabalina en pacientes con alcoholismo. Se propuso que la sustancia disminuye la liberación de neurotransmisores excitatorios y la frecuencia de la actividad theta en el hipocampo inducida por la estimulación. Este último efecto disminuiría el nivel de ansiedad. La administración aguda de pregabalina a individuos sanos se asoció con una disminución de la activación de la amígdala izquierda y de la ínsula anterior durante la anticipación ante imágenes positivas y negativas. Además, el fármaco estimuló la neurogénesis en el hipocampo de roedores, lo cual se asociaría con la prevención de conductas de tipo depresivo. Lo antedicho resulta importante si se considera la asociación frecuente entre el alcoholismo y los trastornos depresivos y de ansiedad. Conclusión La administración de pregabalina a pacientes con dependencia de alcohol no se asoció con la aparición de efectos adversos graves. Los cuadros más frecuentes ante su administración fueron la confusión, la hipokalemia, la diarrea y la epigastralgia. De hecho, el agente mejoró los indicadores de función hepática y los parámetros hematológicos. Debe considerarse que la pregabalina tiene potencial de abuso en pacientes con antecedentes de dependencia de alcohol u otras sustancias, aunque dicho hallazgo no tuvo lugar en ninguno de los estudios considerados en la presente revisión. Por lo tanto, el empleo de pregabalina debería tenerse en cuenta para el tratamiento de la población de pacientes con dependencia de alcohol. OBSERVAN BENEFICIOS CON EL TRATAMIENTO CON CELULAS MADRE EN ReSIIC editado en: PACIENTES CON PIE DIABETICO ASOCIADO CON ISQUEMIA GRAVE Diabetología Bochum, Alemania Nutrición La terapia con células madre parece mejorar la microcirculación, al menos en forma Cardiología transitoria, y la capacidad de cicatrización en pacientes con pie diabético sin Cirugía posibilidad de recibir tratamiento de revascularización. Medicina Farmacéutica International Journal of Clinical Practice66(4):384-393 Abr, 2012 Autores: Kirana S, Stratmann B, Tschoepe D Institución/es participante/s en la investigación: University of Bochum Título original: Autologous Stem Cell Therapy in the Treatment of Limb Ischaemia Induced Chronic Tissue Ulcers of Diabetic Foot Patients Título en castellano: Terapia Autóloga con Células Madre en el Tratamiento de las Lesiones Crónicas Inducidas por Isquemia en Pacientes con Pie Diabético Extensión del Resumen-SIIC en castellano: 2.76 páginas impresas en papel A4 La arteriopatía periférica es una de las principales complicaciones macrovascualres de la diabetes; se describe en alrededor de la mitad de los pacientes con pie diabético y se vincula con amputaciones en los miembros inferiores. El
  • 41.
    riesgo de amputacióna lo largo de la vida se ha estimado en 10% a 15% en los individuos con diabetes; asimismo, el pie diabético se asocia con un incremento de la mortalidad del 47% en estos pacientes. Se admite que estos enfermos suelen consultar en forma tardía y no son tratados en instituciones especializadas, con limitaciones en la posibilidad de revascularización. Uno de los mecanismos relevantes vinculados con la cicatrización en la neoformación vascular en la matriz de la herida quirúrgica, denominada tejido de granulación. Este proceso involucra la participación de angiogénesis, vasculogénesis o ambas. La angiogénesis terapéutica se ha propuesto como alternativa de tratamiento en aquellos individuos con arteriopatía periférica en quienes no puede llevarse a cabo la revascularización quirúrgica o la angioplastia percutánea. Es posible inducir angiogénesis por medio del uso de factores de crecimiento, terapia génica o aplicación de células madre que incluyen precursores de células endoteliales (PCE) y células mesenquimáticas derivadas de la médula ósea (CMMO). De todos modos, la terapia con células madre es motivo de controversias y la mayor parte de los estudios se han efectuado en individuos sin diabetes. En este contexto, se presentan los resultados de un estudio en el cual se evaluó la aplicación de tratamiento con células madre en sujetos con pie diabético e isquemia grave de extremidades inferiores. Pacientes y métodos Se propuso a 30 pacientes la participación en este protocolo prospectivo, controlado y aleatorizado. Los criterios de inclusión eran el diagnóstico de diabetes tipo 1 o tipo 2; una edad de 18 a 80 años; arteriopatía periférica en estadio III o IV de Fontaine; pie diabético en un estadio de Wagner menor de III, con úlceras crónicas de al menos 6 semanas de evolución y ausencia de tendencia a la cicatrización tras una semana de tratamiento convencional (desbridamiento quirúrgico de tejidos necróticos y alivio de presión, eventual uso de antibióticos). Se requirió la presencia de isquemia grave, definida como un índice tobillo/brazo (ITB) < 0.90 en asociación con dolor persistente y recurrente y una presión sistólica tibial posterior < 50 mm Hg, en el hallux < 30 mm Hg, o ambas. Se excluyeron los individuos con hemoglobina glucosilada por encima del 8%, hemoglobinemia < 10 mg/dl, insuficiencia renal, retinopatía, infecciones sistémicas, embarazo, alteraciones de la salud mental, insuficiencia cardíaca grave o terapia previa de células madre, entre otros. Los participantes se dividieron de modo aleatorio para formar parte de un grupo de control o para recibir por vía intramuscular o intraarterial la aplicación de células madre obtenidas de medula ósea con técnicas de expansión o sin ellas. El grupo de control fue excluido del análisis estadístico, dado que 2 pacientes fallecieron por eventos cardiovasculares, 1 enfermo requirió amputación y otro participante abandonó el protocolo. Se procedió a la aspiración de médula ósea a partir de la cresta ilíaca posterior bajo anestesia local y sedación leve. Para la formulación expandida, se efectuó en las muestras obtenidas el aislamiento de las CMMO, con cultivo en un biorreactor y posterior purificación y concentración. El producto final de células de reparación tisular (CRT) incluía un recuento total no menor de 30 x 106 elementos, con una proporción de células CD90+/CD14+ del 5% al 26%, un porcentaje de células CD14+ del 9.6% al 48.5%, una proporción de células CD45+ del 71.2% al 81.8% y la presencia de células CD105+/CD14+/CD45+ de entre 0% y 33.3%. Once pacientes recibieron tratamiento por vía intramuscular a nivel de la región de los gemelos (6 de ellos con CRT y los 5 restantes con CMMO) y en otros 11 se administró terapia por vía intraarterial con igual distribución en la arteria femoral superficial. Se efectuaron controles en períodos predefinidos mediante los hallazgos clínicos, los parámetros de perfusión y los estudios por imágenes (angiografía por resonancia magnética o por sustracción digital). Se definió como criterio principal de valoración a la cicatrización completa de las lesiones, mientras que los criterios secundarios fueron el tiempo transcurrido hasta la cicatrización completa, las amputaciones, la mejoría del ITB, la optimización de la presión de oxígeno estimada por vía transcutánea (PO2TC), la mejoría angiográfica y los cambios en la perfusión local medidos por técnica láser Doppler o el nivel de oxígeno en los músculos de la región gemelar (BOLD). Resultados De acuerdo con los autores, no se describieron casos de contaminación de los preparados de células madre ni efectos adversos relacionados con la aspiración de médula ósea o la aplicación de las formulaciones. La media de edad de los participantes era de 70 años, con un predominio de pacientes de sexo masculino. El promedio del tiempo de evolución de la diabetes superaba los 20 años. La prevalencia de enfermedad coronaria e hipertensión era de más del 80%. En virtud de las múltiples comorbilidades descritas en los participantes, se efectuó tratamiento asociado con antihipertensivos, antiagregantes plaquetarios y antidiabéticos, entre otros. En función de la reducida cantidad de participantes, los pacientes fueron reagrupados en términos de la utilización de CRT o CMMO, en forma independiente de la vía de administración. Se cita que la aplicación por vía intramuscular o intraarterial no se asoció con diferencias estadísticamente significativas. En la cohorte de tratamiento con CMMO, se comprobó ausencia de cicatrización en 2 individuos que requirieron amputación a las 14 ó 16 semanas. Un enfermo de este grupo falleció a las 41 semanas por causas desconocidas y otro participantes presentó hemorragia subaracnoidea grave a las 44 semanas; ambos sujetos habían logrado cicatrización completa a las 6 y 37 semanas, en ese orden. Por otra parte, en el grupo de tratamiento con CRT, se demostró un caso de mortalidad a las 49 semanas en el contexto de un síndrome de falla multiorgánica posterior a la amputación del antepié. En el análisis de los parámetros de perfusión, se comprobó la mejoría significativa de la PO2TC hacia la semana 12, en forma previa a la optimización del ITB. Esta mejoría resultó más acentuada en los sujetos que recibieron CRT, aunque esta diferencia no alcanzó niveles de significación estadística. En comparación con los valores iniciales, se demostró en los pacientes tratados con CRT una mejoría clínicamente significativa de la PO2TC a las 12 y 52 semanas, con una tendencia no significativa a la optimización hacia la semana 36. La administración de CMMO se asoció con la mejoría significativa de la PO2TC a las semanas 12, 36 y 52, en relación con los niveles iniciales. Por otra parte, en ambos grupos de tratamiento se verificó una optimización continua del ITB a partir de la semana
  • 42.
    36. De igualmodo, se comprobó una mejoría del BOLD a partir de la semana 20, con una posterior declinación de la progresión lineal de este parámetro a predominio del grupo de tratamiento con CRT. En 7 de los 22 individuos tratados con células madre se definió la aparición de neovasos colaterales mediante angiografías por sustracción digital efectuadas a las 20 y 52 semanas, mientras que en un enfermo se verificó deterioro de la circulación. Discusión La diabetes se asocia con alto riesgo cardiovascular y con tasas de mortalidad superiores a las informadas en individuos no diabéticos. En el presente estudio, los pacientes se caracterizaron por una media de edad mayor de 65 años, con prolongado tiempo de evolución de la enfermedad y con múltiples factores de comorbilidad. Con 1 excepción en cada grupo de tratamiento, los participantes sobrevivieron durante todo el período de seguimiento. En ese lapso no se comprobaron recurrencias ipsilaterales en la mayor parte de los enfermos, sin efecto adversos asociados con al recolección de las células o con la aplicación de las formulaciones. De los 22 individuos tratados en forma inicial, se alcanzó cicatrización completa en 18 casos. Por lo tanto, los autores destacan que la administración de CMMO o CRT en pacientes con pie diabético e isquemia grave de los miembros inferiores mejoró la microcirculación y optimizó la curación de las lesiones. Dada la ausencia de un grupo control, no fue posible demostrar si la combinación de la terapia con células madre y el tratamiento convencional puede reducir la incidencia de amputaciones en aquellos individuos en quienes no es posible la revascularización quirúrgica o mediante angioplastia. Sin embargo, esta terapia permitió evitar las amputaciones o llevar a una amputación limitada en lugar de una exéresis de mayor envergadura. Se cita que los resultados logrados coinciden con los datos de otros modelos previos, en los cuales se habían requerido mayores alícuotas de aspirados de la médula ósea. La mejoría obtenida puede atribuirse a los vasos colaterales, cuya presencia fue demostrada en algunos enfermos mediante estudios angiográficos. Se postula que este efecto es una consecuencia ya sea del desplazamiento de las células madre a los territorios isquémicos o hipóxicos o bien a su acción como activadores de las PCE. Si bien no fue posible comprobar que las CRT desencadenaran una mayor formación de vasos en comparación con las CMMO, se admite que la potencia estadística del estudio era insuficiente para demostrar diferencias. Se agrega que la evolución de la PO2TC y del ITB podría describirse mediante curvas parabólicas; dado que el número de participantes era reducido, puede asumirse que el efecto logrado no era permanente, con un nivel máximo de perfusión que podía correlacionarse con el proceso de cicatrización. Asimismo, los autores mencionan que la ausencia de complicaciones relacionadas con el procedimiento permite afirmar que esta terapia fue segura, en forma independiente de la aplicación de CMMO o CRT, o bien de la vía de indicación elegida. Conclusiones La terapia con células madre podría mejorar la microcirculación, al menos en forma transitoria, y la capacidad de cicatrización en sujetos con pie diabético sin posibilidad de un tratamiento de revascularización. Se propone la realización de un estudio multicéntrico, aleatorizado y controlado para confirmar los resultados. REPERCUSION DE LA EDAD EN LA MORTALIDAD ASOCIADA CON EL InSIIC editado en: CANCER PROSTATICO AVANZADO Geriatría Urología Baltimore, EE.UU. Anatomía Patológica Los individuos de más de 75 años con de cáncer de próstata tienen un incremento Epidemiología de la probabilidad de presentación clínica con un estadio avanzado y un mayor Medicina Interna riesgo de letalidad secundaria a la enfermedad, a pesar de las mayores tasas de Oncología mortalidad por otras causas. Fuente científica: Journal of Urology187(6):2096-2097 Jun, 2012 aSNC Autores: Walsh Patrick C Palabras clave: cáncer de próstata, mortalidad, envejecimiento Key Words: prostate cancer, mortality, aging
  • 43.
    Institución principal: JohnsHopkins Outpatient Center Correspondencia: PC Walsh, Johns Hopkins Outpatient Center, Baltimore EE.UU. Patrocinio: No declarado. Conflicto de interés: No declarado. Agradecimientos: No declarado. En un estudio en el cual se analizaron las historias clínicas de 464 918 pacientes con diagnóstico de cáncer de próstata incluidos en la base de datos Surveillance, Epidemiology and End Results (SEER), se llevó a cabo un análisis para definir la prevalencia de la presentación de formas metastásicas de la enfermedad en función del grupo etario. Del mismo modo, se propuso evaluar la participación relativa de los pacientes de distintos grupos de edad en términos de la mortalidad asociada con el cáncer de próstata. De acuerdo con el análisis por el método de Gray, se verificó que la frecuencia de esta neoplasia en estadio M1 era del 3% entre los menores de 75 años, mientras que alcanzaba el 5% en individuos de 75 a 79 años, el 8% entre los sujetos de 80 a 84 años, el 13% para los pacientes de entre 85 y 89 años, y de 17% entre los enfermos no menores de 90 años. Las respectivas tasas de incidencia acumulativa de mortalidad secundaria a la enfermedad en un lapso de 5 años se calcularon en 3% a 4%, 7%, 13%, 20% y 30%. Se advirtió que, si bien los sujetos de al menos 75 años al momento del diagnóstico de cáncer de próstata constituían alrededor de la cuarta parte de los casos de la enfermedad, este grupo etario representaba al 48% de los tumores en estadio M1 y el 53% de todos los casos de mortalidad asociada con la enfermedad. Por consiguiente, en el estudio se afirmó que los individuos de mayor edad presentaban un incremento de la probabilidad de presentación clínica con un estadio avanzado y un mayor riesgo de letalidad por cáncer de próstata, a pesar de las mayores tasas de mortalidad por otras causas. En este contexto, se señala que, pese a la presunción de un crecimiento lento en los individuos de mayor edad, se reconoce que el cáncer de próstata en los sujetos más ancianos se caracteriza por una mayor agresividad. Mientras que sólo el 5% de los hombres de 75 a 79 años con diagnóstico de esta afección fallecen como consecuencia de la neoplasia en un período de 5 años, ese porcentaje asciende al 30% en los pacientes de 90 años. Se cita que la postura de limitar la pesquisa del cáncer de próstata en los individuos mayores de 75 años no permitiría la detección de los pacientes afectados. Así, se cita que en el protocolo Baltimore Longitudinal Study of Aging, ninguno de los 154 participantes de 75 años que presentaba niveles de antígeno prostático específico inferiores a 3 ng/ml falleció como consecuencia de un cáncer de próstata. Por consiguiente, se sugiere que los individuos sanos de 75 años con concentraciones de este biomarcador por debajo de los 3 ng/ml podrían continuar con un plan de pesquisa de la enfermedad. REVISAN LA SEGURIDAD Y EFICACIA DEL ACONDICIONAMIENTO CON ReSIIC editado en: BUSULFANO POR VIA INTRAVENOSA ANTES DEL TRASPLANTE DE PRECURSORES HEMATOPOYETICOS Farmacología Auckland, Nueva Zelanda Farmacología Hematología Trasplantes Los estudios en niños y adultos mostraron que la administración intravenosa de busulfano antes del trasplante de precursores hematopoyéticos se asocia con índices Anatomía Patológica altos de injerto, baja mortalidad relacionada con el trasplante, y supervivencia Bioquímica global y sin enfermedad aceptables. El perfil de seguridad ha sido el esperado. Dermatología Diagnóstico por Clinical Drug Investigation32(9):641-648, 2012 Laboratorio Epidemiología Farmacología Autores: Gastroenterología Scott LJ Genética Humana Medicina Farmacéutica Institución/es participante/s en la investigación: Inmunología ADIS
  • 44.
    Medicina Interna Título original: IntravenousBusulfan: A Guide to Its Use as Conditioning Treatment Before Transplantation of Haematopoietic Progenitor Cells Título en castellano: Busulfano por Vía Intravenosa: Guía para su Uso como Tratamiento de Acondicionamiento Antes del Trasplante de Precursores Hematopoyéticos Extensión del Resumen-SIIC en castellano: 3.19 páginas impresas en papel A4 Factores que motivaron la creación del busulfano para uso por vía intravenosa El tratamiento óptimo para diversos trastornos hematológicos, en niños y adultos, consiste en el trasplante de precursores hematopoyéticos (TPH), autólogo o alogénico. Para ello, los enfermos deben ser sometidos a un tratamiento previo de acondicionamiento con radioterapia y quimioterapia en dosis altas con el objetivo de eliminar las células malignas o anormales y, en el caso del TPH alogénico, suprimir la respuesta inmunitaria del receptor. La irradiación corporal total se incluyó, durante mucho tiempo, en los protocolos de acondicionamiento; sin embargo, dado que la administración de dosis altas de radiación se asocia con importante morbilidad y toxicidad, en los últimos años comenzaron a aplicarse esquemas menos tóxicos que consisten en la radioterapia con dosis reducidas o fraccionadas, en combinación con la quimioterapia en dosis altas. El busulfano por vía oral es uno de los antineoplásicos más utilizados en los esquemas previos al TPH; el fármaco induce la supresión medular y se asocia con efectos antitumorales, pero tiene un margen terapéutico estrecho. Además, la exposición sistémica al busulfano, administrado por vía oral, varía considerablemente en relación con la absorción intestinal, la presencia de vómitos y la dieta. La menor exposición se asocia con mayor riesgo de rechazo del injerto y de recaída de la enfermedad. Por el contrario, la mayor exposición sistémica incrementa considerablemente el riesgo de enfermedad hepática venooclusiva (EHVO) o síndrome de obstrucción sinusoidal. Además, en los esquemas que incluyen la administración de busulfano por vía oral es necesaria la ingesta de 500 a 600 comprimidos de 2 mg en el transcurso de 4 días, un objetivo muy difícil de lograr, sobre todo en los enfermos con vómitos o con dificultades para la deglución. Estos factores motivaron la elaboración del preparado con dosis altas de busulfano para uso por vía intravenosa (BIV). En el presente artículo, los autores describen las características el esquema de BIV que se utiliza en Europa (infusión de 2 horas, cada 6 horas, en 4 días consecutivos). Mecanismo de acción del busulfano El busulfano es un alquilante del ADN que actúa en cualquier estadio de la mitosis. El fármaco se asocia con efectos citotóxicos en los tejidos en proliferación, especialmente sobre los progenitores granulopoyéticos en la médula ósea. Diversos trabajos mostraron que el BIV en combinación con ciclofosfamida o melfalán, en el contexto del acondicionamiento previo al TPH, induce una inmunosupresión importante. Indicaciones del busulfano Aunque la información relacionada con la seguridad del busulfano en los pacientes con insuficiencia renal o hepática es limitada, en el primer caso por lo general no son necesarios los ajustes de la dosis, en tanto que debe administrarse con mucha precaución en los enfermos con insuficiencia hepática grave. En el primer estudio, 91%, 87% y 82% de los pacientes evaluados presentaron un área bajo la curva (ABC) de concentración-tiempo de 900 a 1 500 µmol min/l después de la administración de la primera, novena y decimotercera dosis, respectivamente. El 2% de los enfermos presentaron una exposición inferior o igual a 900 µmol min/l, en tanto que en el 11% de los pacientes, la exposición fue igual o superior a 1 500 µmol min/l. Debido a que el busulfano, en dosis mielosupresoras, puede asociarse con convulsiones mioclónicas, se recomienda la administración simultánea de anticonvulsivos. Los estudios no hallaron interacciones farmacológicas de importancia con las benzodiazepinas, los antieméticos que actúan sobre los receptores 5-HT3 (ondansetrón y granisetrón) o el fluconazol. Sin embargo, el tratamiento simultáneo con itraconazol y BIV en dosis altas se asoció con menor depuración del busulfano y mayor riesgo de toxicidad. Además, el busulfano debe utilizarse con cautela cuando se usa paracetamol porque este último agente puede causar un descenso de los niveles séricos y tisulares del glutatión y, por ende, menor depuración del busulfano. El intervalo entre la última dosis de busulfano y la primera dosis de ciclofosfamida o melfalán debe ser superior a 24 horas para reducir el riesgo de EHVO.
  • 45.
    Eficacia terapéutica delBIV en la población pediátrica En 2 estudios prospectivos, abiertos y multicéntricos, realizados en los Estados Unidos y Europa, se analizó la eficacia del BIV. En el primero de ellos, 24 niños fueron tratados con 0.8 mg/kg (dosis máxima de 1.6 mg/kg; dosis ajustada para lograr un ABC de 900 a 1 350 µmol min/l) en infusión de 2 horas, cada 6 horas durante 4 días, seguidos de 50 mg/kg de ciclofosfamida 1 vez por día durante 4 días antes del TPH alogénico. El injerto (recuento absoluto de neutrófilos [RAN] > 0.5 x 109/l) se logró a los 13 días (mediana) del trasplante en 23 enfermos. La mediana del intervalo hasta observar un recuento de plaquetas igual o superior a 20 y 50 x 109/l fue de 23 y 32 días, respectivamente. En el 86% de los niños con injerto exitoso se comprobó quimerismo total y en el resto de los pacientes, quimerismo mixto. No se registró ningún caso de rechazo tardío o fracaso del injerto. Después de una mediana de seguimiento de 305 días, la probabilidad estimada de supervivencia fue del 85%. El estudio europeo tuvo por objetivo determinar la dosis óptima de BIV en 67 niños tratados con 1 mg/kg, 1.2 mg/kg, 1.1 mg/kg, 0.95 mg/kg y 0.8 mg/kg, en los pacientes de menos de 9 kg, 9 a 16 kg, 16 a 23 kg, 23 a 34 kg y más de 34 kg, respectivamente. Luego de la administración de BIV se indicó melfalán en una dosis única de 140 mg/m2 (en los enfermos que serían sometidos a TPH autólogo) o ciclofosfamida, en dosis de 50 mg/kg 1 vez por día durante 4 días (antes del TPH alogénico). En los 67 enfermos se logró el injerto, con recuperación del recuento de neutrófilos y plaquetas. La mediana del tiempo hasta el RAN igual o superior a 0.5 x 109/l fue de 11 días en los 31 enfermos sometidos a TPH autólogo y de 19 días en los 36 niños que recibieron TPH alogénico. En el 92% de estos últimos se logró el quimerismo completo (95% o más de células del dador) después de 90 días y en el 8% se observó quimerismo mixto (85% o más de células del donante). No se registraron casos de rechazo del injerto, precoz o tardío. Las curvas de Kaplan-Meier mostraron índices de supervivencia global de 59% y 82% en los niños que recibieron TPH autólogo y alogénico, respectivamente, después de una mediana de seguimiento de 4.3 años. Los índices correspondientes de supervivencia sin eventos fueron de 46% y 80.6%, y la incidencia acumulada de rechazo fue de 13.8%. Eficacia terapéutica del BIV en la población adulta Dos estudios prospectivos, abiertos y multicéntricos (OMC-BUS-3 y 4) evaluaron la eficacia del BIV en pacientes adultos con neoplasias hematológicas. El 92% de los pacientes tenían alto riesgo de recaída y de evolución desfavorable después del TPH. En todos los enfermos se obtuvo la supresión medular y el éxito del injerto. La mediana del intervalo hasta lograr el RAN de 0.5 o más x 109/l fue de 13 días en los enfermos sometidos a TPH alogénico en el OMC-BUS-4 y de 10 días en los que recibieron TPH autólogo en el OMC-BUS-3. No se registraron rechazos primarios o secundarios del injerto. Los índices de mortalidad global más de 100 días después del trasplante y de mortalidad no relacionada con recidivas fueron de 13% y 10%, en ese orden, en los sujetos con TPH alogénico; ningún paciente sometido a TPH autólogo falleció. El 88% (38 de 43) de los enfermos tratados con TPH alogénico lograron el quimerismo completo; en los 5 pacientes restantes se constató quimerismo mixto. Perfil de tolerabilidad del BIV La toxicidad exclusivamente atribuible al tratamiento es difícil de valorar, debido a las enfermedades subyacentes y al hecho de que los efectos adversos hematológicos se confunden con los objetivos buscados con la terapia respecto de la supresión medular previa al trasplante. Los efectos adversos hepáticos y respiratorios pueden obedecer per se al esquema de acondicionamiento o al proceso del trasplante. Aún así, el perfil de tolerabilidad del BIV ha sido, en general aceptable, tanto en los estudios en niños como en los trabajos en poblaciones adultas. En el estudio de determinación de la dosis óptima, casi todas las manifestaciones secundarias del BIV a los 28 días del trasplante fueron las esperadas para los esquemas de acondicionamiento aplicados. La mayoría fue de intensidad leve a moderada. Los efectos adversos más frecuentes fueron los gastrointestinales (náuseas, estomatitis, vómitos y diarrea), en el 97%, 96%, 91% y 80% de los casos, respectivamente. En el estudio de evaluación de la dosis, en enfermos pediátricos, la gravedad de la estomatitis, una causa importante de morbilidad posterior al trasplante, se correlacionó con los valores más altos de ABC para el busulfano en los enfermos con TPH autólogo, no así en los que recibieron TPH alogénico. El 96.8% de los sujetos sometidos a TPH autólogo presentaron al menos un episodio de estomatitis (35.5% de los enfermos tuvieron estomatitis de grado 3 y el mismo porcentaje, estomatitis de grado 4). En cambio, los porcentajes correspondientes entre los pacientes tratados con TPH alogénico fueron de 16.7% y 5.6%, respectivamente. La mayoría de los pacientes (65%) sometidos a TPH alogénico presentaron exantemas y descamación cutánea; entre los enfermos con TPH autólogo, el porcentaje fue de 25%. Sólo los pacientes de este último grupo presentaron vitiligo de grado 1 o 2. Las infecciones también fueron efectos adversos frecuentes. El 89% de los pacientes presentaron neutropenia febril, por lo general sin foco. El 76% de los niños tuvieron fiebre leve a moderada, en tanto que el 39% de los adultos tratados sufrieron al menos un episodio de infección (en 83% de los casos, las infecciones fueron de intensidad leve o moderada). En 3% de los casos se produjeron neumonías graves (1% de estos enfermos murieron a causa de infecciones respiratorias). Se sabe que los esquemas de acondicionamiento que incluyen busulfano pueden ocasionar daño hepático, que consiste en la elevación de las transaminasas, la hepatitis y la EHVO. La mayoría de los niños tratados presentaron un aumento de las transaminasas de grado 1 a 2; ningún paciente tuvo incremento de grado 4. La elevación de la bilirrubina y de la gamma-glutamiltransferasa por lo general fue de intensidad 1 a 2. En la población adulta, 15% de los efectos adversos graves consistieron en daño hepático; 8.2% de los 61 enfermos sometidos a TPH alogénico y 2.5% de los 42 pacientes con TPH autólogo presentaron EHVO.
  • 46.
    Se registró EHVOen 4 de 31 niños con TPH autólogo y en 3 de los 36 pacientes que recibieron TPH alogénico. Todos los episodios fueron de intensidad leve a moderada y, en todos los casos, se logró la remisión con el tratamiento sintomático. Un adulto presentó síndrome de dificultad respiratoria aguda mortal en asociación con fibrosis pulmonar intersticial. En los niños tratados con TPH alogénico, la frecuencia de enfermedad de injerto contra huésped (EICH) de grado 1 a 4 fue de 50% (14 de 28 pacientes); 13 niños tuvieron EICH de grado 1 a 2, y el paciente restante presentó EICH de grado 3 a 4. En los adultos del estudio OMC-BUS-4, 18% de los 61 sujetos sometidos a TPH alogénico presentaron EICH aguda (13% de los episodios fue de grado 1 a 2, y 5% de ellos, de grado 3 a 4). Tres pacientes murieron como consecuencia de EICH crónica. Si bien el preparado de BIV tiene dimetilacetamida (DMA), potencialmente asociada con toxicidad neurológica y hepatotoxicidad, no se observó acumulación de DMA durante los 4 días de infusión intravenosa; tampoco se encontraron diferencias en la función hepática entre los enfermos que recibieron BIV con DMA y los tratados con busulfano por vía oral. Estado actual En Europa, el esquema que consiste en la administración de BIV seguido de ciclofosfamida o melfalán está aprobado como terapia de acondicionamiento antes del TPH en niños y adultos; en los estudios clínicos, el BIV se asoció con supresión medular y con injerto exitoso del trasplante en todos los pacientes, con independencia del tipo de trasplante. Los índices de mortalidad fueron bajos y se lograron índices favorables de supervivencia luego del trasplante. En los niños, el ajuste de la dosis según el peso corporal se asocia con la misma exposición al fármaco que en los adultos. En comparación con el tratamiento por vía oral, el BIV se asoció con menor variabilidad, mayor facilidad de uso y mejor adhesión a la terapia. El perfil de tolerabilidad fue aceptable; la mayoría de los efectos adversos fueron los esperados, es decir, hematológicos y gastrointestinales. El BIV no parece asociarse con EHVO grave. Los estudios futuros deberán establecer la eficacia y seguridad de los esquemas con BIV que consisten en una única administración por día, asociados con resultados favorables en los trabajos preliminares, concluyen los expertos. ANALIZAN DIFERENTES NIVELES DE HIPOTERMIA TERAPEUTICA EN ReSIIC editado en: SOBREVIVIENTES COMATOSOS DE UN PARO CARDIACO SUCEDIDO EN LA COMUNIDAD Cardiología Madrid, España Cuidados Intensivos Emergentología El logro de una temperatura de enfriamiento de 32º C puede mejorar los desenlaces Geriatría clínicos de los sobrevivientes de un paro cardíaco sucedido en la comunidad, Medicina Familiar secundario a fibrilación ventricular o taquicardia ventricular sin pulso. Medicina Interna Circulation126(24):2826-2833 Dic, 2012 Autores: Lopez de Sa E, Lopez-Sendon J, Rey JR Institución/es participante/s en la investigación: Hospital Universitario La Paz Título original: Hypothermia in Comatose Survivors from Out-of-Hospital Cardiac Arrest: Pilot Trial Comparing 2 Levels of Target Temperature Título en castellano: Hipotermia en Sobrevivientes Comatosos de un Paro Cardíaco Sucedido en la Comunidad: Estudio Piloto que Comparó 2 Niveles de Temperatura como Objetivo Terapéutico Extensión del Resumen-SIIC en castellano: 3.31 páginas impresas en papel A4
  • 47.
    Introducción La fisiopatología dela lesión cerebral luego de la resucitación por un paro cardíaco se considera multifactorial. El daño inicial se relaciona directamente con el tiempo transcurrido entre el paro cardíaco y el retorno de la circulación espontánea (RCE). La anoxia cerebral no sólo provoca la muerte del tejido cerebral y neuronal, sino que también favorece la lesión posterior durante la fase de reperfusión. Los estudios experimentales y los datos clínicos confirmaron los efectos neuroprotectores de la hipotermia terapéutica (HT) moderada a leve (30° C a 35° C), probablemente por sus efectos sobre múltiples vías deletéreas. Sobre la base de 2 ensayos clínicos aleatorizados, laAmerican Heart Association y el European Resuscitation Council recomendaron la HT para los adultos que quedaron en coma luego de la resucitación inicial por RCE sucedida en la comunidad, con fibrilación ventricular o taquicardia ventricular sin pulso como ritmo cardíaco inicial luego del paro circulatorio y, también, afirmaron que podría ser beneficiosa para el tratamiento de otros ritmos cardíacos y para el paro cardíaco intrahospitalario. Las temperaturas recomendadas varían entre 32° C a 34° C durante 12 a 24 horas, aunque se desconoce cuál de ellas es más eficaz. Según señalan los autores, los estudios clínicos existentes compararon la normotermia con la HT leve, pero ninguno contrastó diferentes niveles de temperatura. Se estima que las temperaturas inferiores brindan más protección. Al respecto, los modelos experimentales indican que por cada descenso en 1° C de la temperatura central corporal, la tasa metabólica cerebral se reduce en un 6%, aunque según datos de una investigación que analizó diferentes niveles de HT, los valores inferiores a 32° C parecen ser peligrosos. Tampoco hay información de estudios clínicos sobre el efecto de la HT en el paro cardíaco sucedido en la comunidad (PCC), con asistolia como primer ritmo. El objetivo de este ensayo piloto, aleatorizado y realizado en un único centro fue obtener los datos iniciales sobre el efecto de diferentes niveles de HT en sobrevivientes comatosos de un PCC. La hipótesis de estudio fue que las temperaturas inferiores se asocian con mejor supervivencia y mejores resultados neurológicos. Métodos Fueron elegibles para participar en la investigación los pacientes internados, en forma consecutiva, entre marzo de2008 y agosto de 2011, en la unidad de cuidados intensivos cardiovasculares del Hospital Universitario La Paz, Madrid, España, por PCC aparentemente relacionado con enfermedad cardíaca y un intervalo de 60 minutos o menos entre el colapso y el RCE. Otros criterios de inclusión abarcaron la edad > 18 años y asistolia o ritmo inicial registrado capaz de producir shock (fibrilación ventricular o taquicardia ventricular sin pulso). Los criterios de exclusión fueron el embarazo, un puntaje > 8 en la escala de coma de Glasgow después del RCE, shock cardiogénico y otros ritmos cardíacos que no producen shock (actividad eléctrica sin pulso), una enfermedad terminal presente antes del PCC y otras posibles causas de coma (sobredosis de droga, traumatismo de cráneo o accidente cerebrovascular). Los participantes fueron divididos al azar para ser sometidos a una temperatura de 32° C o 34° C y se realizó una estratificación según el ritmo inicial (ritmo capaz de producir shock o asistolia). El personal asignado a la atención de los pacientes durante las primeras 48 horas luego del paro cardíaco estaba al tanto de la asignación del tratamiento, mientras que la desconocían los médicos responsables de la evaluación de los resultados neurológicos en los primeros 6 meses luego del PCC. Todos los participantes recibieron la atención estándar acorde con un protocolo detallado. Al ingreso se procedió al enfriamiento con la infusión de solución salina por vía intravenosa a < 8° C a una tasa de 1 000 ml/hora y a la colocación de un catéter Icy 9.3F de 38 cm en la vena cava inferior a través de la vena femoral, conectado a un sistema de control de la temperatura (Thermogard XP Temperature Management System). El sistema consiste en una bomba que hace circular la solución salina refrigerada (a una temperatura mínima de 4° C a 5° C) a partir de un dispositivo externo por balones montados sobre el catéter, que permite el enfriamiento directo de la sangre. El enfriamiento se estableció a una tasa máxima, hasta el logro de una temperatura de 32° C o 34° C, según la aleatorización. Una vez lograda la temperatura deseada, se mantuvo durante 24 horas y luego se procedió al calentamiento controlado a una tasa de 0.1° C a 0.3° C por hora hasta alcanzar los 37° C en 12 a 24 horas. El resto de los aspectos terapéuticos quedó a criterio del médico tratante. Se realizaron determinaciones de laboratorio al inicio, a las 24 y 48 horas posteriores al PCC y, luego, según indicación clínica. Además, se recabó información sobre los datos del paro cardíaco y los factores de riesgo de un pronóstico desfavorable. El criterio principal de valoración fue el efecto de 2 valores de HT sobre la supervivencia sin dependencia grave a los 6 meses del PCC. La independencia se definió según un puntaje del índice de Barthel de 60 o más, que mide el cuidado personal, el control de esfínteres y la movilidad. Un puntaje de 60 o más indica que un paciente es independiente para los cuidados personales esenciales. Un especialista en rehabilitación, que desconocía la asignación terapéutica, evaluó a cada sobreviviente después del alta y a los 6 meses. Los criterios secundarios de valoración abarcaron la mortalidad total y los desenlaces neurológicos favorables a los 6 meses, determinados por una categoría de 1 o 2 en la escala de rendimiento cerebral de Pittsburgh (discapacidad leve o moderada) de 5 categorías. Los criterios de valoración de seguridad se basaron en la tasa de complicaciones durante las primeras 72 horas y los 7 días luego del PCC. Las complicaciones evaluadas fueron las hemorragias (sangrado causal de mortalidad, hemorragia intracraneal y otros sangrados que requirieron transfusión), la infección (sepsis, neumonía, infección urinaria) con cultivos positivos, la insuficiencia renal, la hipopotasemia (< 3.5 mEq/l) y la arritmia (fibrilación ventricular, taquicardia ventricular, bradicardia, fibrilación y aleteo auricular, necesidad de marcapasos, nuevo paro cardíaco) con los diferentes niveles de hipotermia. También se analizó la presencia de otros efectos adversos, como la incidencia de convulsiones o hipertermia (38° C o más dentro de los 7 días).
  • 48.
    Las variables continuasse presentaron como media ± desviación estándar y se compararon con la prueba de la t de Student, mientras que las que no siguieron una distribución normal se presentaron como mediana y rangos de intercuartilos y se compararon con el método de Kruskal-Wallis. Las variables categóricas se compararon con la prueba de ?2 o exacta de Fisher. Se presentaron las curvas de supervivencia por grupo de tratamiento y por ritmo cardíaco inicial y las tasas de eventos se expresaron con las estimaciones de Kaplan-Meier a los 6 meses. Se calcularon los odds ratio ajustados para la supervivencia sin dependencia grave a los 6 meses mediante regresión logística multivariada, con la inclusión de variables con un valor de p < 0.05 en el modelo de Cox. Resultados Se incluyeron en el estudio 36 pacientes, 18 asignados al grupo de HT a 34° C y 18 al grupo de 32° C. Todos los participantes alcanzaron la temperatura deseada y completaron el tratamiento. La media de la temperatura durante el período de 24 horas de HT fue de 32.11 ± 0.23° C y 34.09 ± 0.20° C, respectivamente. Sólo un paciente asignado al grupo de 32° C, con un índice de masa corporal de 38.1 kg/m2, tuvo dificultades para mantener la temperatura deseada. Dos personas asignadas al grupo de 32° C fallecieron durante el período de recalentamiento y no alcanzaron los 37° C. Ocho de los 18 pacientes (44.4%) en el grupo de 32° C permanecieron con vida sin dependencia grave a los 6 meses, en comparación con 2 de 18 sujetos (11.1%) en el grupo de 34° C (p = 0.12). Todos los participantes, cuyo ritmo inicial fue la asistolia, fallecieron antes de los 6 meses en ambos grupos de HT (p = 0.24). En los casos cuyo ritmo inicial fue la fibrilación ventricular se observó una tasa mayor de supervivencia sin dependencia grave a los 6 meses en los sujetos asignados al grupo de 32° C (61.5%) en comparación con los incluidos en el grupo de 34° C (15.4%) (p = 0. 029). El modelo de Cox mostró una interacción significativa entre la temperatura deseada y el ritmo inicial. En toda la población estudiada el modelo de Cox identificó 2 variables significativamente relacionadas con el criterio principal de valoración: un ritmo inicial capaz de producir shock (risk ratio [RR]: 0.35; intervalo de confianza del 95% [IC]: 0.15- 0.84; p = 0.02) y un puntaje de 4 a 8 en la escala de coma de Glasgow al ingreso (RR: 0.0000007; IC: 0.0-0.58; p = 0.01), confirmado con el análisis multivariado de regresión logística (p = 0.015 y p = 0.01, respectivamente). En las personas con un ritmo inicial capaz de producir shock, el modelo de Cox identificó 3 variables relacionadas significativamente con el criterio principal de valoración: edad < 66 años (RR: 0.28; IC: 0.09-0.82; p = 0.02), puntaje de 4 a 8 en la escala de coma de Glasgow (RR: 0.0000007; IC: 0.0-0.91; p = 0.04) y la asignación al grupo de HT a 32° C (RR: 0.31; IC: 0.09-0.94; p = 0.04), confirmado con el análisis multivariado de regresión logística (p = 0.006, p = 0.046 y p = 0.03, respectivamente). En cuanto a los criterios secundarios de valoración, 26 pacientes (72.2%) fallecieron 6 meses después del PCC: fueron todos los pacientes con ritmo inicial de asistolia (100%) y 16 (61.5%) de aquellos con ritmo inicial capaz de producir shock. A los 6 meses permanecía vivo sólo un paciente con una categoría de rendimiento cerebral de 3 (con un puntaje < 60 en el índice de Barthel) asignado al grupo de 34° C. Se obtuvo un resultado neurológico favorable en 8 de 14 pacientes (57.1%) asignados al grupo de 32° C en comparación con 5 de 17 (29.4%) del grupo de 34° C antes de la muerte o el alta (RR: 2.06; IC: 0.86-4.92). En los pacientes cuyo ritmo inicial fue asistolia, sólo uno, perteneciente al grupo de 34° C, tuvo un resultado neurológico favorable antes de fallecer por síndrome de distrés respiratorio agudo. En las personas cuyo ritmo inicial fue un ritmo capaz de producir shock, se alcanzó un resultado neurológico favorable en 4 de 11 (36.3%) en el grupo de 32° C en comparación con 4 de 13 (30.8%) en el grupo de 34° C antes del fallecimiento o del alta (RR: 2.36; IC: 0.97-5.77; p = 0.059). La incidencia de convulsiones fue baja (1 contra 11; p = 0.0002) en pacientes asignados al grupo de 32° C en comparación con los sujetos asignados al grupo de 34° C. Se verificó una tendencia hacia una mayor incidencia de bradicardia (7 contra 2; p = 0.054) en los pacientes asignados al grupo de 32° C. La incidencia de hipopotasemia fue similar entre los grupos, aunque los niveles de potasio disminuyeron en mayor grado en los pacientes asignados al grupo de 32° C. Discusión y conclusión Comentan los autores que los resultados del presente estudio piloto y aleatorizado indicaron que la HT de 32° C parece brindar mayor protección que el enfriamiento a 34° C, con mejores resultados a corto y a largo plazo. Si bien la HT forma parte de la atención estándar en los pacientes que permanecen en coma luego de un PCC, no se cuenta con información sobre la temperatura óptima a lograr, la duración del enfriamiento y la metodología óptima para el enfriamiento y el recalentamiento. La utilización temprana de HT con temperaturas inferiores a 30° C se asoció con arritmias cardíacas, coagulopatía y aumento de la tasa de infección. Los estudios en animales indicaron que se logra mayor protección cuando se alcanzan temperaturas menores. Para disminuir los efectos adversos, algunos ensayos señalaron como objetivo el logro de temperaturas de 33 ± 1° C luego de la resucitación, definida como HT leve. Debido al riesgo de posibles complicaciones con temperaturas inferiores a 32º C, estos valores no se evaluaron en el presente ensayo. Otro factor que puede tener impacto sobre los mejores resultados en los pacientes asignados al grupo de 32° C es que permanecieron bajo enfriamiento por un período mayor que los asignados al grupo de 34° C. Si bien el tiempo en que permanecieron los participantes bajo la temperatura deseada fue similar, los asignados al grupo de 32º C requirieron mayor tiempo para alcanzarla y para lograr el recalentamiento. La mayor exposición a HT puede tener un mayor impacto sobre el pronóstico, como se demostró previamente en una serie de pacientes, ya que los que mantuvieron una temperatura estable de 33° C durante 18 horas tuvieron desenlaces neurológicos más favorables que los que permanecieron un tiempo menor. La elección de una temperatura
  • 49.
    de 32º Caparentemente es tan segura como la de 34º C. Este estudio mostró que la frecuencia cardíaca desciende más con temperaturas inferiores, pero no se encontraron otras diferencias en la incidencia de otros efectos secundarios, con la excepción de la incidencia de convulsiones, que fueron más frecuentes en el grupo de 34º C. Como limitaciones del estudio se señalan el tamaño pequeño de la muestra y la variabilidad inherente al pronóstico, con múltiples factores de confusión que pueden influir en los resultados. En conclusión, los resultados de esta investigación piloto indicaron que el logro de una temperatura de enfriamiento de 32º C puede mejorar los desenlaces clínicos de los sobrevivientes de un PCC secundario a fibrilación ventricular o taquicardia ventricular sin pulso. Los investigadores concluyen que es necesaria la realización de más investigaciones para evaluar el nivel óptimo de HT. ANALIZAN LOS COMPONENTES SOCIALES, INDIVIDUALES Y InSIIC editado en: PROGRAMATICOS DE LA VULNERABILIDAD DE LOS ANCIANOS Geriatría Salud Pública Campinas, Brasil Atención Primaria En el análisis de los distintos dominios de la vulnerabilidad (social, individual y Epidemiología programática) de los sujetos ancianos, se advierte que los factores sociales, como Medicina Familiar el ingreso familiar, coexisten con elementos propios de la vulnerabilidad individual en estos pacientes. Fuente científica: Ciência & Saúde Coletiva17(8):2129-2139 Ago, 2012 aSNC Autores: Rodrigues Natália, Liberalesso Neri Anita Palabras clave: ancianidad, velhice, acesso a serviços de saúde, acceso al sistema de salud, nivel socioeconómico, status socioeconômico, comorbilidades, comorbidades, capacidade funcional, capacidad funcional Key Words: old age, access to health services, socioeconomic status, comorbidities, functional ability Institución principal: Universidade Estadual de Campinas Correspondencia: Anita Liberalesso Neri, Universidade Estadual de Campinas, Campinas Brasil Patrocinio: No declarado. Conflicto de interés: No declarado. Agradecimientos: No declarado. Se define a la vulnerabilidad como aquel estado en el cual un individuo presenta una reducción de su capacidad de autodeterminación. Las eventuales dificultades para la protección de los propios intereses se atribuyen a la reducción de distintos atributos (recursos, fortaleza, inteligencia, educación). Se clasifica a la vulnerabilidad como individual (aspectos biológicos, emocionales, cognitivos), social (variables culturales, sociales y económicas que determinan el acceso a bienes y servicios) y programática (recursos sociales dirigidos a la protección del individuo para asegurar el bienestar físico, psicológico y social). Así, la vulnerabilidad depende de la interacción de estos elementos en un momento dado. Se advierte que ciertos grupos de pacientes, como los ancianos, se caracterizan por una mayor vulnerabilidad. Se presume que las variables indicadoras de vulnerabilidad programática se asocian con los parámetros predictivos de vulnerabilidad social para determinar la vulnerabilidad individual, expresada por condiciones deficientes de salud física y mental en sujetos de edad avanzada. En este contexto, se llevó a cabo un análisis de los datos de 688 pacientes ancianos que formaron parte del estudio Fragilidade em Idosos Brasileiros (FIBRA). Se obtuvo información acerca de variables sociodemográficas, el resultado de la evaluación cognitiva MiniExame do Estado Mental (MEEM), los parámetros antropométricos, la presión arterial, el examen odontológico, las pruebas de laboratorio y las variables asociadas con el fenotipo de fragilidad. Para estimar
  • 50.
    la vulnerabilidad socialse consideraron la edad, el sexo y el ingreso socioeconómico, mientras que para la estimación de la vulnerabilidad individual se pesquisó la cantidad de comorbilidades, la presencia de signos y síntomas específicos (incontinencia urinaria, hiporexia, trastornos de la memoria, alteraciones del sueño, caídas), la disponibilidad de ayuda social (estimada por medio de la escala Interpersonal Support Evaluation List), la participación en actividades avanzadas de la vida diaria ([AAVD]: visitas a otras personas, recepción de visitas, concurrencia a actividades religiosas o culturales, viajes de duración prolongada, entre otras) y en actividades instrumentales de la vida diaria (AIVD). Con la meta de estimar la vulnerabilidad programática, se verificó tanto el acceso al sistema de salud como el Índice Paulista de Vulnerabilidad Social. En el análisis de los datos, se verificó que la media de edad de los pacientes era de 72.28 ± 5.41 años. El promedio del ingreso familiar se calculó en 4.72 ± 5.28 salarios mínimos. La mayor parte de los participantes eran mujeres (n = 470). De acuerdo con los investigadores, las pacientes de sexo femenino se caracterizaban por un número significativamente mayor de comorbilidades y por la presencia de una mayor proporción de signos y síntomas. Sin embargo, en las mujeres se reconoció una mayor participación tanto en las AAVD como en las AIVD cuando se las comparó con los hombres. Se señala que los enfermos con menor nivel socioeconómico presentaron un porcentaje más elevado de signos y síntomas, como probable consecuencia del menor acceso a los servicios de salud a lo largo de la vida. En coincidencia, los pacientes con mejor autopercepción de la salud presentaban un nivel socioeconómico más elevado; se cita que la percepción subjetiva de la salud personal, así como la presencia de los indicadores de vulnerabilidad, podría explicarse por mecanismos de autorregulación cognitivos y emocionales, con mayor adhesión a los tratamientos y a los hábitos saludables. Por otra parte, el incremento de la edad se correlacionó con mayores índices de interrupción de las AIVD y con mayor necesidad de ayuda para concretar las AAVD. Por consiguiente, los parámetros vinculados con una mayor variabilidad de los datos pertenecían al dominio de la vulnerabilidad programática. Aunque se sugiere la profundización de esta evaluación mediante estudios transversales, se concluye que la divulgación de estos datos a los financiadores de los servicios de salud permitirá mejorar la toma de decisiones acerca de las prioridades para la aplicación de recursos financieros, por un lado, y para el entrenamiento del personal encargado de la asistencia a estos enfermos, por el otro. DETERMINAN LA SEGURIDAD Y TOLERABILIDAD DE LA INMUNOTERAPIA ReSIIC editado en: SUBLINGUAL CON UN PREPARADO ESTANDARIZADO DE POLEN DE GRAMINEAS Alergia Créteil, Francia Farmacología Bioquímica La administración diaria de un comprimido de extracto liofilizado en unidades de Diagnóstico por calidad estandarizada de polen de gramíneas (GRAZAX®) por vía sublingual, Laboratorio durante 3 estaciones polínicas, es segura y se tolera bien. La incidencia de efectos Epidemiología adversos fue significativamente inferior al reintroducir la inmunoterapia sublingual Medicina Farmacéutica en los 2 últimos años respecto del primer año de terapia. Inmunología Neumonología Clinical Drug Investigation32(7):451-463, 2012 Oftalmología Otorrinolaringología Autores: Magnan A, Meunier JP, Chartier A, Wessel F Institución/es participante/s en la investigación: INSERM Título original: Safety and Tolerability of an SQ-Standardized GRAss ALlergy Immunotherapy Tablet (Grazax) in a Real-Life Setting for Three Consecutive Seasons - The GRAAL Trial Título en castellano: Seguridad y Tolerabilidad de la Inmunoterapia con Comprimidos de Polen de Gramíneas en Unidades de Calidad Estandarizada (GRAZAX®) en la Práctica Diaria Durante Tres Estaciones Polínicas ? Estudio GRAAL
  • 51.
    Extensión del Resumen-SIICen castellano: 3.53 páginas impresas en papel A4 Introducción Un estudio reciente en sujetos adultos de Europa halló una incidencia de rinoconjuntivitis alérgica (RCA) que varió de 17% a 29%, en tanto que una amplia investigación epidemiológica de 2006 en sujetos de Francia mostró una frecuencia de 31%. Aunque la RCA se considera una entidad benigna, por su elevada frecuencia implica costos sustanciales para los sistemas de salud. Además, sus síntomas interfieren con las actividades cotidianas y las interacciones sociales, y afectan en gran medida la calidad de vida. Asimismo, la RCA suele asociarse con otras comorbilidades, como trastornos respiratorios, faringitis y otitis. Se la considera uno de los principales factores de riesgo de asma. La inmunoterapia (IT) específica tiene un papel fundamental en el tratamiento de la RCA; a diferencia de los fármacos utilizados para el alivio de los síntomas, la IT se asocia con beneficios sostenidos en cuanto a las manifestaciones clínicas y la necesidad de medicación. Numerosos estudios demostraron que la IT evita nuevas sensibilizaciones a alérgenos inhalatorios, y disminuye el riesgo de progresión al asma. Los pólenes de gramíneas son la causa más común de alergias estacionales respiratorias y son responsables de más del 50% de los casos de RCA. La IT específica por vía subcutánea es eficaz, pero puede asociarse con efectos adversos sistémicos. Además, los enfermos deben asistir al consultorio para las aplicaciones. La IT sublingual (ITSL) presenta indudables ventajas en ambos sentidos. GRAZAX® (liofilizado de Phleum Pratense con 75 000 unidades de calidad estandarizada [SQ-T]/2 800 unidades biológicas de alergia [BAU]) es un preparado de disolución rápida que se administra por vía sublingual 1 vez por día. Los pacientes pueden utilizar los comprimidos en su hogar y la vacuna se ha asociado con excelente eficacia y perfil de seguridad, a juzgar por los resultados globales de un programa en gran escala iniciado en 2001. La vacuna ha sido aprobada en 30 países de Europa para el tratamiento de la RCA asociada con pólenes de gramíneas en adultos y niños de 5 años o más, y síntomas importantes. El presente estudio de fase IV, prospectivo, abierto y de observación, tuvo por finalidad conocer la tolerabilidad de la vacuna GRAZAX® en la práctica diaria de Francia. El GRAss ALlergy (GRAAL) valoró la seguridad de la vacuna durante 3 estaciones consecutivas de exposición al polen de gramíneas; los autores señalan que los resultados para el primer año han sido comunicados con anterioridad, motivo por el cual en la presente ocasión se refieren los hallazgos correspondientes a los 2 últimos años. Pacientes y métodos El estudio incluyó a pacientes de 18 años o más con RCA asociada con la sensibilización a pólenes de gramíneas, confirmada por pruebas cutáneas o IgE específica para pólenes en el suero. Se excluyeron los pacientes con asma grave e inestable (volumen espiratorio forzado en el primer segundo < 70% del valor esperado), los sujetos con hipersensibilidad a alguno de los componentes de la vacuna y los enfermos con trastornos autoinmunitarios, neoplasias o enfermedades inflamatorias de la cavidad bucal. Aunque se excluyeron los enfermos que recibían antidepresivos tricíclicos o inhibidores de la monoaminooxidasa, se permitió el ingreso de pacientes tratados con beta bloqueantes o inhibidores de la enzima convertidora de la angiotensina, con el propósito de que la cohorte estudiada fuera representativa de la totalidad de los enfermos asistidos en la práctica diaria. El ensayo multicéntrico se llevó a cabo entre 2007 y 2010; participaron alergólogos y neumonólogos de diversos centros de todas las regiones de Francia. Los pacientes asignados a la ITSL con GRAZAX® recibieron el primer comprimido en el consultorio y fueron controlados durante 30 minutos. Posteriormente debían utilizar 1 comprimido por día en su hogar. El tratamiento se inició 4 meses o más antes de la estación polínica de 2008. En el primer año, los pacientes fueron controlados en los días 28 y al final de la estación (180 días o más posteriores al comienzo de la ITSL). El estudio original fue extendido para abarcar las estaciones polínicas de 2009 y 2010. En la estación de 2009 (segundo año de tratamiento), los enfermos iniciaron la ITSL entre 2 y 4 meses antes del momento de la polinización y la mantuvieron hasta el final de esta, momento en el cual se llevó a cabo la segunda visita (8 meses o menos después de la administración del primer comprimido); en 2010 se aplicó el mismo procedimiento. Durante el estudio, los pacientes podían consultar al profesional en cualquier oportunidad. La variable principal de evaluación fue la tolerabilidad, para lo cual los enfermos completaron planillas sintomáticas y de efectos adversos diariamente durante 1 mes el primer año del estudio y luego cada semana durante 8 semanas desde el 28 de abril hasta el 28 de junio de 2008. Los efectos adversos se registraron según el sistema Medical Dictionary for Regulatory Activities (MedDRA), versión 13. La gravedad de las manifestaciones colaterales se definió según la International Conference on Harmonisation (ICH) Harmonised Tripartite Guideline E2A, Step 5. Los efectos adversos graves fueron aquellos que afectaron considerablemente la realización de las actividades cotidianas, que pusieron en peligro la vida del enfermo, que motivaron la internación o que la prolongaron, o que ocasionaron incapacidades permanentes, la muerte o anomalías congénitas, y todos los eventos considerados clínicamente relevantes.
  • 52.
    La tolerabilidad agudafue supervisada por el profesional, en el transcurso de los 30 minutos posteriores a la administración de la ITSL. Las reacciones tolerables fueron las manifestaciones benignas, locales, de corta duración (menos de 30 minutos) y que no motivaron tratamientos específicos; las reacciones que no reunieron las características mencionadas se consideraron como no tolerables. El análisis estadístico se realizó con pruebas de la ?2, de Fisher, de la t o de Wilcoxon, según el caso. Las comparaciones de la incidencia de efectos adversos en los distintos años de tratamiento se realizaron con modelos lineales generalizados para mediciones reiteradas. Resultados En la investigación participaron 103 alergólogos y 27 neumonólogos, quienes inicialmente registraron 833 pacientes con RCA asociada con la sensibilización al polen de gramíneas; 628 de ellos ingresaron en el estudio y comenzaron el tratamiento con la ITSL antes de la estación polínica de 2008. Las características de los pacientes de la cohorte inicial y de los enfermos que retomaron el tratamiento en el segundo y el tercer año fueron similares. Por lo general los participantes presentaban RCA moderada a grave (en 94.2% de los casos, la enfermedad afectaba el sueño y las actividades cotidianas). El 93.6% de los pacientes había recibido antialérgicos en la estación polínica previa (antihistamínicos por vía oral y corticosteroides intranasales en el 91.5% y 51.2% de los casos, respectivamente). El 70.2% y 78.9% (367 de 523 y 277 de 351, respectivamente) de los enfermos que completaron el protocolo en 2008 y 2009, en ese orden, retomaron la ITSL al año siguiente. En el transcurso de las 3 estaciones polínicas, 78 enfermos (12.4%) abandonaron el estudio por efectos adversos; sin embargo, se comprobó una declinación progresiva importante en la incidencia de reacciones adversas a medida que la IT continuó: 16.9%, 4.4% y 1.8% en el primero, segundo y tercer año, respectivamente. Los porcentajes de enfermos que interrumpieron el protocolo por efectos adversos fueron de 11.1%, 1.9% y 0.4%, en ese orden. La exposición de la ITSL fue similar cada año, con un promedio de 5.5 meses por año (primer año: 5.5 meses; segundo año: 5.6 meses y tercer año: 5.5 meses). La exposición acumulada en los 3 períodos de tratamiento fue de 576 paciente/años. El 95.4% y 97.1% de los enfermos utilizaron la IT antes y durante la estación polínica, respectivamente; los pacientes restantes se aplicaron IT durante todo el año (GRAZAX® durante el período de estudio y solución con extractos alergénicos el resto del año). Un total de 343 pacientes (54.6%) presentaron reacciones tolerables en el transcurso de los 30 minutos que siguieron a la aplicación del primer comprimido sublingual. El 2.2% (n: 14) presentaron reacciones intolerables que motivaron tratamientos adicionales o la interrupción del protocolo. Al segundo año, la reintroducción de la terapia se asoció con un índice de reacciones tolerables del 38.4% (n: 141); sólo un enfermo presentó un efecto adverso intolerable. Al tercer año, 33.6% y 0% de los pacientes presentaron reacciones tolerables y no tolerables, respectivamente. Durante la primera estación polínica, 53.8% de los pacientes presentaron uno o más efectos adversos; los porcentajes se redujeron sustancialmente en las estaciones siguientes (17.7% en el segundo año y 4.7% en el tercer año). Los efectos adversos más comunes en el segundo año fueron prurito bucal (6.3%), parestesias bucales (2.2%) e irritación de las fauces (1.6%); sin embargo, la frecuencia de estas manifestaciones fue 3 veces más baja en comparación con los datos correspondientes al primer año. La mayoría de los efectos adversos durante el segundo año fueron locales y de gravedad leve a moderada. Los efectos adversos locales, de intensidad moderada a grave, fueron menos frecuentes aun en el segundo y el tercer año (18.3% en 2008, 4.9% en 2009 y 1.1% en 2010). Durante el segundo año, sólo un enfermo presentó prurito bucofaríngeo intolerable, que debió ser tratado, luego de la primera administración de la vacuna. Otros 2 enfermos presentaron taquicardia supraventricular moderada y paro cardíaco no mortal, no relacionados con la terapia, a juicio del investigador. En el último año, los efectos adversos fueron infrecuentes y de intensidad leve a moderada. En todo el período de tratamiento no se registraron reacciones adversas sistémicas graves. Los pacientes que habían recibido IT inyectable con anterioridad tuvieron 1.5 veces menos riesgo de sufrir reacciones adversas en comparación con los que nunca habían recibido tratamiento específico (odds ratio [OR] = 0.67; p = 0.015). En el subgrupo de 277 enfermos que recibieron ITSL con GRAZAX® en las 3 estaciones consecutivas, 50.5% no presentaron ningún efecto adverso, en tanto que 49.5% refirieron manifestaciones secundarias locales (prurito y parestesias bucales, irritación bucofaríngea y edema de la boca), ninguna de gravedad. La incidencia global de estas manifestaciones adversas disminuyó en los 2 últimos años de tratamiento respecto del primero. En particular, la incidencia de reacciones locales de intensidad moderada a grave se redujo de 11.2% en 2008 a 4.3% en 2009 y a 1.1% en 2010. El mismo patrón se observó para las reacciones inmediatas. Los efectos adversos más comunes por lo general aparecieron en el mes que siguió al inicio del tratamiento. La frecuencia de efectos adversos fue similar en los enfermos con sensibilización a un único alérgeno o con polisensibilizaciones; sin embargo, se observó un porcentaje levemente más alto de reacciones adversas en los asmáticos (24%) que en los sujetos sin asma (14.5%; p = 0.023) en el segundo año de terapia. En los modelos lineales generalizados, el asma o la sensibilización a múltiples alérgenos no influyó sobre la incidencia de efectos adversos en el transcurso del tiempo en los 277 enfermos tratados durante las 3 estaciones (asma, OR = 1.35; polisensibilización, OR = 1.27). Ningún paciente presentó agravamiento del asma. El índice de cumplimiento de la terapia fue de 71.8% en el primer año y cercano al 90% en los 2 años siguientes. La falta de adhesión sólo obedeció a efectos adversos en el 24.7% de los casos. Alrededor del 85% de los investigadores y de los pacientes refirieron estar satisfechos o muy satisfechos con la terapia. Discusión El objetivo del estudio GRAAL fue establecer la tolerabilidad de la IT específica sublingual durante 3 años (la duración mínima recomendada para este tipo de tratamiento) en el ámbito de la práctica diaria. Los resultados comunicados para el primer año y las observaciones obtenidas en esta ocasión, en los 2 años siguientes, confirman el excelente
  • 53.
    perfil de seguridadasociado con la IT con el preparado comercial estandarizado con polen de gramíneas, administrado antes y durante la estación polínica. Más aún, la tolerabilidad aumentó en el segundo y el tercer año respecto del primero. En el transcurso de los 3 años, sólo 12.4% de los pacientes debieron interrumpir el protocolo por efectos adversos. Un 53.8%, 17.7% y 4.7% de los pacientes presentaron efectos adversos el primero, segundo y tercer año, respectivamente. Aunque en un trabajo anterior se obtuvieron los mismos resultados, en dicho trabajo la dosis de la IT se incrementó en forma progresiva, en tanto que en la presente ocasión se administró la totalidad de la dosis desde el comienzo de la terapia. Los efectos adversos más frecuentes fueron locales; aparecieron por lo general después de la primera o primeras dosis, y desaparecieron espontáneamente en el transcurso de pocas semanas. De hecho, 34.5% y 76.4% de las manifestaciones secundarias que ocurrieron el primer año se observaron en el día de la primera aplicación o en el mes siguiente. Los pacientes que completaron la primera secuencia de tratamiento, por lo general toleraron mejor la IT sublingual en los años posteriores, posiblemente porque la IT ejerce modificaciones en el sistema inmunitario que modifican favorablemente el curso de la enfermedad. La tolerabilidad aguda (inmediatamente después de la administración sublingual del comprimido) también mejoró con la reintroducción del tratamiento. Aunque la mayoría de los enfermos presentaron reacciones adversas después de la primera administración, 96.1% de los pacientes toleraron la terapia y sólo 1.7% de los sujetos con reacciones agudas abandonaron el protocolo en forma prematura. En los ciclos siguientes se produjeron reacciones agudas en 38.7% y 33.6% de los casos. Aún así, los hallazgos ponen de manifiesto que el inicio de la IT sublingual debe realizarse en el consultorio, bajo estricta supervisión médica. Si bien la coexistencia de asma leve a moderada aumentó considerablemente el riesgo de efectos adversos durante el segundo año de tratamiento, el efecto no influyó en la tolerabilidad del producto; los autores destacan, sin embargo, que los enfermos no efectuaron pruebas objetivas de funcionalidad respiratoria. Los índices de adhesión fueron muy elevados: de 71.8% en el primer año a 90.3% en el último año. Sin duda, la posibilidad de que los enfermos realicen la IT en su hogar favorece sustancialmente el cumplimiento. Conclusiones La ITSL con el comprimido de polen de gramíneas en unidades de calidad estandarizada por lo general se toleró bien; la mayoría de los efectos adversos se observaron durante el primer año de terapia y en el primer mes de tratamiento. Los resultados ponen de manifiesto la necesidad de que el tratamiento (ya sea en la primera estación polínica o en los años posteriores) debe iniciarse bajo supervisión médica, señalan por último los autores. DETERMINAN LA UTILIDAD DIAGNOSTICA DE LA ELECTROCOCLEOGRAFIA ReSIIC editado en: EXTRATIMPANICA EN PACIENTES CON ENFERMEDAD DE MENIèRE Neurología Madrid, España Otorrinolaringología La electrococleografía extratimpánica es una prueba útil para el diagnóstico y Medicina Familiar seguimiento de los pacientes con enfermedad de Ménière. La información obtenida Medicina Interna se correlaciona con el estadio diagnóstico. Geriatría Acta Otorrinolaringológica Española63(6):421-428 Nov, 2012 Autores: Sanz Fernández R, Martin-Sanz E, Sánchez JE Institución/es participante/s en la investigación: Hospital Universitario de Getáfe Título original: Electrococleografía Extratimpánica en la Enfermedad de Méniere Título en castellano: Electrococleografía Extratimpánica en la Enfermedad de Ménière Extensión del Resumen-SIIC en castellano:
  • 54.
    2.68 páginas impresasen papel A4 Introducción La electrococleografía (ECoG) es el registro de un trazado electrofisiológico en la cóclea, en respuesta a un estímulo acústico. El procedimiento comenzó a utilizarse en la clínica en la década de 1970, como consecuencia de la comprobación de las aplicaciones de los potenciales evocados auditivos de tronco cerebral. Actualmente, la ECoG, transtimpánica o extratimpánica, forma parte del arsenal de procedimientos diagnósticos en numerosos centros de otorrinolaringología. Las indicaciones más importantes de la ECoG incluyen el estudio del hidrops endolinfático/enfermedad de Ménière (EM), la evaluación auditiva en la población pediátrica y la monitorización intraoperatoria. Por la facilidad de realización y por la escasa morbilidad, la ECoG extratimpánica se utiliza cada vez más. Por lo general, los pacientes con EM presentan amplitudes aumentadas de los potenciales de sumación (PS), como consecuencia de la alteración de la capacidad vibratoria del órgano de Corti, secundaria a la presencia de mayor volumen endolinfático. Sin embargo, este hallazgo –aunque es muy frecuente– tiene baja especificidad. Empero, la relación entre los PS y los potenciales de acción (PA) se asocia con un aumento significativo del rendimiento diagnóstico de la ECoG. De hecho, en la actualidad la mayoría de los especialistas considera que el aumento del cociente PS/PA utilizando “clicks” es un hallazgo típico del hidrops. La sensibilidad de la prueba se incrementa aun más cuando además del cociente PS/PA se determina el área PS/PA. En la presente investigación, los autores determinaron la sensibilidad y especificidad de la ECoG en un grupo de sujetos con EM; también establecieron las correlaciones entre los resultados de la prueba y los obtenidos en la evaluación clínica y vestibular. Pacientes y métodos El estudio tuvo un diseño longitudinal y prospectivo; entre 2008 y 2011 fueron reclutados pacientes con EM unilateral diagnosticada según los criterios de la Academia Americana de Otorrinolaringología y Patología Cervicofacial (AAO- HSN). Los participantes fueron sometidos a una evaluación clínica y a estudio de la función auditiva y vestibular con audiometría tonal liminar, pruebas calóricas (procedimiento de Fitzgerald y Hallpike) y rotatorias (sinusoidal de aceleración armónica y rotatoria impulsiva) y a ECoG extratimpánica. Fue requisito que los enfermos presentaran función acústica normal en el oído contralateral. Se excluyeron los sujetos con antecedentes de cirugías del oído medio porque éstas pueden comprometer la interpretación de las pruebas vestibulares y de la ECoG, así como también los enfermos con alteraciones anatómicas del oído externo o del oído medio que complicasen la realización de las pruebas vestibulares y electrofisiológicas. Tampoco se incluyeron los enfermos con otros trastornos vestibulares (vértigo posicional paroxístico benigno, neuritis vestibular, fístula perilinfática o vértigo asociado a migraña). El grupo control estuvo integrado por 20 individuos normoacúsicos, sin antecedentes de afecciones vestibulares u otológicas ni historia de cirugía del oído medio. Se tuvo en cuenta el número de episodios, su duración, los síntomas asociados, su duración y el nivel funcional. Todos los pacientes realizaron una prueba oculomotora estándar para la evaluación sistemática del nistagmo espontáneo, de agitación cefálica, de posición y posicionamiento. Asimismo, en todos los participantes se llevó a cabo la prueba de Halmagyi o maniobra oculocefálica, la prueba de Romberg y la prueba de Fukuda. Se determinó el umbral audiométrico por vía área y ósea para las frecuencias 0.25, 0.5, 1, 2, 3, 4 y 6 kHz. En la base de datos se registró la peor audiometría en los seis meses previos a la realización del estudio. A partir de la prueba rotatoria impulsiva se determinó la constante de tiempo posrotatoria en cada oído, en tanto que con la aceleración sinusoidal armónica se determinaron los valores de fase, ganancia y simetría de cada frecuencia estudiada. La ECoG se realizó en un cuarto aislado acústicamente y en penumbra; la cabeza se flexionó hacia el oído contralateral al estimulado en cada momento; luego de la introducción del electrodo extratimpánico se obtuvieron los registros de potenciales evocados con equipos Smart EP®. Se efectuaron dos registros de cada oído con estímulo monoaural de 0.1 ms y de polaridad alternante a 90 dB. La actividad de los potenciales evocados se filtró con un rango de 5 a 1 500 Hz. El análisis estadístico incluyó pruebas post-hoc de Duncan y Scheffé. Resultados Se estudiaron 100 pacientes (57 de ellos de sexo femenino) de 54.6 años en promedio. Cincuenta y tres enfermos presentaban compromiso del oído izquierdo. El intervalo promedio desde la última crisis de vértigo hasta la realización de la ECoG fue de 1.5 meses (0.5 a 5). Tal como lo establecen las recomendaciones de la AAO-HNS, los pacientes se clasificaron en estadios (1 a 4) según el umbral tonal medio (UTM) previo. El UTM, antes de comenzar el protocolo, fue de 57.25 dB. Sesenta y dos enfermos presentaron EM definida, 13 tuvieron EM probable y en 25 se consideró EM posible; la duración de la enfermedad fue similar en todos los grupos. El valor medio del grado de paresia canalicular fue de 36%; el 14% presentó preponderancia direccional en la prueba calórica. El 41%, 58% y 1% de los enfermos tuvieron prueba calórica normal, paresia canalicular unilateral y arreflexia unilateral, respectivamente. En la prueba vestibular rotatoria, 15 pacientes mostraron un patrón de déficit vestibular agudo descompensado; 23 enfermos presentaron un patrón de déficit vestibular agudo compensado; 5 sujetos tuvieron un patrón de habituación y en 57 enfermos, la prueba fue normal. El cociente PS/PA superior a 0.5 (nivel superior del percentilo 95 de la población de 20 sujetos sanos) en la ECoG se consideró indicador de disfunción del oído interno. El 85% de los pacientes evaluados cumplieron los criterios electrofisiológicos de EM (PS/PA > 0.5). Los porcentajes de ECoG anormales fueron de 92%, 78%, 75% y 20% en los
  • 55.
    sujetos con EMdefinida, probable y posible y en los controles, respectivamente. La diferencia ente los sujetos con EM definida y los pacientes con EM probable y posible fue estadísticamente significativa; en cambio, no se encontraron diferencias importantes entre los sujetos con EM probable y EM posible. Cuando se compararon los cocientes PS/PA de los oídos afectados y de los oídos sanos también se registraron diferencias muy significativas (p < 0.001) en los enfermos con EM definida y significativas en los pacientes con EM probable. Por el contrario, en los enfermos con EM posible, los valores no fueron estadísticamente significativos. Los cocientes tendieron a ser más altos en los pacientes con mayor pérdida auditiva. La duración de la enfermedad en meses se correlacionó fuertemente con los cocientes PS/PA (los enfermos con mayor tiempo de evolución tuvieron cocientes más altos); en cambio, el intervalo entre la última crisis de vértigo y la realización de la ECoG se asoció en forma inversa con los valores del cociente PS/PA (los intervalos más cortos se asociaron con cocientes más altos). Los resultados de las pruebas vestibulares y de la ECoG no se correlacionaron; tampoco se observaron asociaciones entre los cocientes PS/PA y los resultados de las pruebas rotatorias (ganancia, fase y simetría en la prueba sinusoidal armónica y constante de tiempo en la prueba impulsiva). Discusión Los hallazgos de este estudio confirman la presencia de anormalidades en la ECoG extratimpánica en los pacientes con EM. En diversas series anteriores se han aplicado umbrales distintos para el cociente PS/PA, en ocasiones, diferentes para hombres y mujeres. Por este motivo es importante que cada laboratorio establezca sus propios valores de referencia, de forma tal de optimizar la sensibilidad y especificidad del procedimiento. En el presente estudio, al igual que en un ensayo anterior, el cociente superior a 0.5 (sugestivo de hidrops endolinfático) se asoció con sensibilidad de 85% (85 de los 100 enfermos evaluados) y especificidad de 80%. Los pacientes con mayor tiempo de evolución y con EM definida (en comparación con los sujetos con EM probable o posible) presentaron cocientes más altos. Aunque los resultados de la ECoG no se correlacionaron significativamente con los de las pruebas auditivas es posible que el fenómeno obedezca al escaso número de enfermos. En los pacientes con EM, la persistencia del hidrops se asocia con daño irreversible de la membrana de Reissner; es probable que este proceso explique, al menos en parte, el aumento del cociente PS/PA. También explicaría la relación inversa entre el intervalo desde la última crisis de vértigo y el cociente PS/PA. En este contexto, algunos grupos consideran que la ECoG sólo sería útil en las crisis de la EM, caracterizadas por la presencia de hidrops. Sin embargo, se ha observado que las alteraciones de la ECoG persisten incluso en los períodos entre las crisis. Las pruebas vestibulares calóricas y rotatorias se consideran la herramienta estándar para el diagnóstico de los trastornos vestibulares, entre ellos la EM; ambas son útiles para la detección de compromiso vestibular periférico, pero la sensibilidad disminuye en forma significativa en las fases iniciales de la EM cuando el hidrops todavía no ocasionó lesiones en el canal semicircular lateral. De hecho, no es infrecuente que las pruebas vestibulares clásicas sean negativas en los estadios tempranos de la EM. Por el contrario, la ECoG es útil para detectar tempranamente el hidrops coclear, presente desde las primeras etapas de la enfermedad. Conclusiones Los hallazgos del presente estudio indican que la ECoG es un procedimiento útil para el diagnóstico y seguimiento de los pacientes con EM; además, ayuda a comprender los mecanismos fisiopatológicos que participan en el hidrops endolinfático en estos enfermos, concluyen los expertos. INVESTIGAN EL VALOR DEL CORTISOL MEDIDO EN EL CABELLO COMO InSIIC editado en: BIOMARCADOR DEL ESTRES SUBJETIVO CRONICO Diagnóstico por Laboratorio Boston, EE.UU. Salud Mental La determinación de los niveles de cortisol en el cabello podría representar un Atención Primaria parámetro útil para la cuantificación global y no específica del estrés subjetivo Bioquímica crónico.
  • 56.
    Fuente científica: Stressand HealthEpub: Dic, 2012 aSNC Autores: O'Brien KM, Tronick EZ, Moore CL Palabras clave: cortisol en el cabello, estrés crónico, estrés subjetivo, disparidades en salud, identidad social Key Words: head cortisol, chronic stress, percieved stress, health disparities, social identity Institución principal: University of Massachusetts Boston Correspondencia: KM O'Brien, University of Massachusetts Boston, MA 02125, Boston EE.UU. Patrocinio: National Institute on Minority Health and Health Disparities. Conflicto de interés: No declarado. Agradecimientos: National Institute on Minority Health and Health Disparities. Se ha sugerido que la determinación de cortisol en el cabello podría representar un marcador confiable de estrés crónico. Sin embargo, se trata de un biomarcador que ha sido evaluado sólo en ciertos grupos de pacientes, como los sujetos con estrés postraumático, los trabajadores con turnos rotativos y los neonatos hospitalizados, entre otros. Asimismo, se admiten incongruencias en la bibliografía en relación con la correlación entre este parámetro y los eventos de estrés agudo. Del mismo modo, no se dispone de información en términos de la asociación entre el nivel de cortisol y las variables de percepción del estrés. Sobre la base de estos datos, se describen los resultados de un estudio en el cual participaron 135 individuos adultos. Se llevaron a cabo determinaciones de cortisol en el cabello con técnicas de cromatografía líquida de alto rendimiento. Además, se efectuó la medición de los parámetros antropométricos vinculados con la salud y la carga alostática (cociente cintura/cadera [CCC], presión arterial en reposo). Para la evaluación de las variables psicosociales se aplicó el cuestionario Percieved Stress Scale, considerado un instrumento validado para la cuantificación del estrés subjetivo. Por otra parte, por medio de la escala Chaos, Hubbub and Order se estimó el nivel de orden doméstico, al tiempo que la repercusión de los factores de riesgo originados en el vecindario se calculó mediante el índice validado City Stress. La totalidad de estos puntajes se estandarizaron para la generación posterior de una escala global de estrés subjetivo. Se obtuvieron además datos demográficos, entre los que se citan el nivel socioeconómico, el grupo racial o étnico y la edad. En el análisis estadístico, se procedió a la transformación logarítmica de los resultados del cortisol en cabello debido al sesgo positivo de los valores obtenidos. En este modelo, se verificó que el cortisol no se asociaba de modo significativo con los índices subjetivos individuales de cada dominio de cuantificación del estrés. Sin embargo, se comprobó una correlación positiva con el puntaje total combinado de las 3 escalas (r = 0.19; p < 0.05) y con la presión sistólica (r = 0.25; p < 0.01). Se advirtió que el cortisol en el cabello no se asoció en forma significativa con la circunferencia de cintura y el CCC en esta cohorte. Aunque el CCC es un reconocido indicador de la carga alostática y ha sido relacionado con el cortisol en otros ensayos, se admite que no se ha definido si esta hormona se correlaciona en forma sistemática con aspectos crónicos de la salud o bien si es posible definirla como un marcador predictivo confiable de la carga alostática. Por otra parte, en este ensayo se demostraron diferencias significativas entre los sexos, ya que los participantes de sexo masculino se caracterizaron por mayores niveles de cortisol en el cabello. Además, en un modelo de análisis de covarianza, se señaló que los pacientes de raza blanca con mayor nivel socioeconómico informaron menos estrés subjetivo en comparación con las minorías étnicas de igual nivel económico. En cambio, los participantes de raza blanca de ingresos intermedios declararon mayor nivel subjetivo de estrés en comparación con los restantes pacientes. Estas diferencias en la percepción del estrés no se reconocieron en los individuos de bajo nivel socioeconómico. Se postula que los factores socioeconómicos podrían asociarse con distintos significados para las minorías étnicas, o bien que la mejora del nivel económico podría tanto reducir el estrés al disminuir la pobreza como incorporar nuevos componentes estresantes relacionados con la discriminación en algunos grupos sociales. De esta forma, se destaca que, si bien el cortisol medido en el cabello no se asoció de forma significativa con los dominios individuales de las escalas de medición del estrés, fue posible demostrar una correlación con un sistema de puntuación combinado para el estrés subjetivo. Por consiguiente, este biomarcador podría representar un parámetro útil para la cuantificación global y no específica del estrés, que requiere de nuevos estudios de confirmación.
  • 57.
    INDICE DE MASACORPORAL MATERNO, VIA DE RESOLUCION DEL EMBARAZO Y RESULTADOS PERINATALES (especial para SIIC © Derechos reservados) Introducción Actualmente, la obesidad es un problema de salud pública que afecta a embarazadas, niños y adultos por igual, y no se encuentra limitado a una sola región geográfica. Puede estar siendo condicionada por los cambios en las circunstancias económicas y culturales de cada región. Se considera una epidemia mundial y de acuerdo con datos de la Organización Mundial de la Salud (OMS), se estima que más de 1 500 millones de personas en el mundo tendrán sobrepeso u obesidad para 2015.1 En Estados Unidos, el 34% de las personas tienen sobrepeso (índice de masa corporal [IMC] > 25 a 29.99 kg/m2) y el 32% son obesas (IMC > 30 kg/m2). La incidencia de obesidad en el embarazo varía del 20% al 40% y, probablemente, esta cifra se incremente aún más, dado el aumento continuo en la frecuencia de obesidad.2 México es el país que ocupa el segundo lugar con mayor proporción de población con obesidad, ya que tres de cada 10 personas padecen este problema y casi siete de cada 10 tienen sobrepeso. De acuerdo con la última Encuesta Nacional de Salud y Nutrición del Instituto Nacional de Salud Pública (INSP), en el país contamos con 52.2 millones de personas con sobrepeso y obesidad, lo cual es una cifra alarmante cuando se sabe que una proporción importante de esta población son niños y adolescentes, hombres y mujeres que están en su etapa reproductiva.3 De acuerdo con la distribución del IMC (kg/m2) para la edad, el 26% de los escolares en México y uno de cada tres adolescentes presentan exceso de peso, es decir, la combinación de sobrepeso más obesidad. En las personas mayores de 20 años, las prevalencias de sobrepeso y obesidad (IMC = 25) se han incrementado de manera alarmante. En la actualidad, el 71.9% de las mujeres y el 66.7% de los hombres mexicanos tienen exceso de peso. 3 La obesidad, incluyendo el sobrepeso, es considerada un estado premórbido, que se caracteriza por el almacenamiento en exceso de tejido adiposo en el organismo, lo cual se relaciona con alteraciones metabólicas que predisponen a la presentación de trastornos que deterioran el estado de salud. En la mayoría de los casos, se encuentra asociada con enfermedad endocrina, cardiovascular y ortopédica, principalmente. La obesidad durante el embarazo es un factor que influye en la mayor frecuencia de operación cesárea, distocia del hombro, infección, hipertensión crónica, preeclampsia, diabetes mellitus, durante el embarazo y después de éste. La obesidad materna puede ser un factor que aumenta la frecuencia de recién nacidos con peso al nacimiento mayor de 4 000 g y mayor riesgo de anomalías fetales (principalmente defectos del tubo neural) y de muerte fetal intrauterina. Se ha informado que pacientes embarazadas con obesidad mórbida tienen un mayor riesgo de operación cesárea (RR: 2.2; intervalo de confianza [IC] 95%: 1.7 a 2.8), presentan 3 veces más riesgo de macrosomía fetal (RR: 3.1; IC95%: 2.1 a 4.8) y mayor mortalidad perinatal (RR: 16.7; IC95%: 4.9 a 56).4 En un informe reciente,5 se concluyó que la obesidad materna incrementa la frecuencia de operación cesárea tanto en primíparas como en multíparas. En este estudio, la frecuencia general de cesárea fue del 30.1% en mujeres obesas, en comparación con el 19.2% en mujeres con peso normal determinado por IMC (p < 0.001). En las primíparas obesas, el incremento de cesáreas se debió a una mayor incidencia de sufrimiento fetal (urgencia) (p < 0.005) y en el grupo de multíparas fue, principalmente, por una indicación electiva (p < 0.01).5 Una embarazada obesa tiene un riesgo de 3 a 10 veces mayor de presentar hipertensión (RM ajustado: 2.38; IC95%: 2.24 a 2.52) o diabetes, infección de la herida quirúrgica (RM ajustado: 1.60; IC95%: 1.53 a 1.67), enfermedad tromboembólica venosa (razón de momios [RM] ajustada: 2.17; IC95%: 1.30 a 3.63), parto por cesárea (RM ajustada 1.60, 95% 1.53 a 1.67), inducción del parto (RM ajustada: 1.94; IC95%: 1.86 a 2.04) o preeclampsia (RM ajustada: 3.5; IC95%: 2.49 a 3.62) que las de peso normal.6,7 La obesidad antes del embarazo aumenta el riesgo de rotura prematura de membranas y disminuye el riesgo de parto pretérmino espontáneo sin rotura. 8 Debido a la alta prevalencia de sobrepeso y obesidad en México y en el mundo, y al impacto que ésta tiene sobre la salud global de los individuos, se llevó a cabo un estudio en embarazadas que acudieron antes de las 13 semanas de gestación, con el propósito de evaluar si el IMC durante el embarazo es un factor que influye en la vía de resolución del embarazo y en los resultados perinatales. Material y métodos De noviembre de 2010 a diciembre de 2011 se llevó a cabo un estudio de cohortes comparativas, en el cual se incluyeron 595 embarazadas que acudieron al Hospital Civil de Culiacán, Sinaloa, México, para una consulta prenatal antes de las 13 semanas de gestación. Las mujeres fueron divididas en tres grupos de acuerdo con su IMC: normal 24.5% (n = 146), sobrepeso 40.3% (n = 240) y obesidad 35.1% (n = 209). El IMC fue determinado de acuerdo con la relación existente entre el peso en kg y la talla en metros elevada al cuadrado [peso en kg/ (talla en m)2]. Se consideró, de acuerdo con las referencias establecidas por la OMS,1 como peso normal un IMC de 18.5 a 24.9 kg/m2, sobrepeso con IMC de 25 a 29.9 kg/m2 y obesidad cuando el IMC es > 30 kg/m2. Durante la primera visita prenatal, a cada embarazada se le realizaron los siguientes exámenes prenatales: determinación de hemoglobina (Hb) y hematocrito (Hto), glucosa sérica, orina, grupo y Rh en caso de que lo desconocieran, pruebas para detección de enfermedades venéreas (Venereal Disease Research Laboratory [VDRL]) y anticuerpos contra el virus de la inmunodeficiencia humana (VIH), y se iniciaba la administración de hierro oral y acido fólico. Se efectuó, además, un ultrasonido transvaginal para evaluar el número de sacos gestacionales y confirmar la edad gestacional. El seguimiento prenatal se llevó a cabo cada 4 semanas o antes, de acuerdo con la presencia de alguna complicación clínica (diabetes mellitus, hipertensión arterial). Entre las 20 y 22 semanas, se realizó un ultrasonido estructural del feto para la búsqueda de malformaciones congénitas graves y se repitió a las 28 y 32 semanas para evaluar el crecimiento fetal. Entre las 24 y 28 semanas de gestación, se les realizó la prueba para detección de diabetes gestacional con una carga de 50 g de glucosa vía oral y determinación a la hora de los niveles de glucosa sérica; se consideró anormal un valor mayor o igual a 140 mg/dl. A las 28 semanas, se repitió la determinación de Hb y Hto y un examen general de orina. De acuerdo con los hallazgos en la exploración física de cada visita prenatal, se efectuaban exámenes complementarios. En cada vista prenatal, se anotaba peso de la madre, presión arterial, tamaño de fondo uterino, situación del feto y frecuencia cardíaca fetal. Se analizaron las siguientes variables:
  • 58.
    vía de resolucióndel embarazo (vía vaginal o por operación cesárea), hipertensión gestacional (definida como la presencia de cifras tensionales mayores o iguales a 140/90 mm Hg después de las 20 semanas de gestación, con ausencia de proteínas en la orina, en dos tomas consecutivas con un intervalo de 4 horas entre una toma y otra. En caso de existir proteinuria en dos muestras consecutivas, se efectuó el diagnóstico de preeclampsia- eclampsia); diabetes mellitus gestacional (diagnosticada por medio de una curva de tolerancia a la glucosa realizada entre la semana 24 y 28 de gestación, por la presencia de dos valores alterados: ayuno: 95 mg/dl, 1 hora: 180 mg/dl, 2 horas: 155 mg/dl, 3 horas: 140 mg/dl, efectuada después de una prueba de tamizaje anormal);frecuencia de macrosomía fetal (peso mayor o igual a 4 000 g al nacimiento o bien por arriba del percentil 90); restricción del crecimiento intrauterino (peso estimado para la edad gestacional por debajo del percentil 3, o entre el percentil 3 y 10 con alteración del flujo cerebro-umbilical o de las arterias uterinas durante el estudio Doppler realizado en cada visita prenatal después de existir la sospecha). Se analizaron otras variables de interés secundario como: edad materna, número de embarazos, número de partos, abortos previos, edad gestacional al momento de la resolución del embarazo (pretérmino, termino o prolongado), enfermedades crónicas asociadas, frecuencia de rotura prematura de membranas, indicación de cesárea, parto pretérmino, dehiscencia de herida quirúrgica, inducción del trabajo de parto. Los resultados perinatales analizados fueron: puntaje de Apgar al nacimiento (minuto y 5 minutos), peso del recién nacido, presencia de malformaciones congénitas, mortalidad perinatal, presencia de meconio e ingreso a la unidad de cuidados intensivos neonatales. El análisis de los datos se determinó mediante el cálculo de medidas de asociación, diferencias entre medias y pruebas estadísticas adecuadas de acuerdo con el tipo de variable: prueba de chi al cuadrado para variables categóricas y prueba de la t de Student, análisis de varianza de una vía (ANOVA) y prueba de Tukey para comparaciones múltiples en el caso de variables numéricas. Se calculó la RM, con IC95% para sobrepeso y obesidad en relación con el grupo de peso normal por medio de un análisis de regresión logística multinomial de las complicaciones médicas, obstétricas y perinatales. Se utilizó la prueba de Kruskal-Wallis para la comparación de la puntuación de Apgar < 7 al minuto y a los 5 minutos entre los grupos. Un valor de p menor o igual a 0.05 fue considerado estadísticamente significativo. Los análisis se realizaron con el programa estadístico SPSS v. 15. Resultados La edad promedio, el número de embarazos, en número de partos y el número de cesáreas previas fueron significativamente diferentes entre los tres grupos (Tabla 1).
  • 59.
    Se observó unadiferencia significativa (p = 0.000) entre los grupos en la ganancia de peso, con un promedio de ganancia de 10.6 kg (desviación estándar [DE]: 4.92), 12.5 kg (DE: 5.1) y 13.7 kg (DE: 6.6) para normal, sobrepeso y obesidad, respectivamente. La prueba de Tukey mostró diferencias significativas entre el grupo de peso normal y sobrepeso (diferencia de 1.96 kg; p = 0.003), entre el grupo normal y obesidad (diferencia de 3.14 kg; p = 0.000). No se observaron diferencias significativas en la ganancia de peso entre el grupo de sobrepeso y obesidad (p = 0.072). Con respecto a las complicaciones clínicas maternas, no se encontraron diferencias significativas en la frecuencia de diabetes mellitus gestacional entre los grupos (p = 0.397). Comparado con las embarazadas con IMC normal, existe un mayor riesgo de hipertensión durante el embarazo en mujeres con sobrepeso (RM: 1.48; IC95%: 0.51 a 4.32) y en obesas (RM: 4.71; IC95%: 1.79 a 12.5). No se observaron diferencias significativas en la frecuencia de rotura prematura de membranas (p = 0.686), parto pretérmino (p = 0.580), embarazo prolongado (p = 0.062), inducción del trabajo de parto (p = 0.115), distocia del trabajo de parto (p = 0.290) y operación cesárea (p = 0.988). El 2.7% del grupo con IMC normal y el 4.2% del grupo con sobrepeso presentaron complicaciones transoperatorias y no hubo casos en el grupo de obesas (p = 0.012). No se encontraron diferencias significativas (p = 0.290) en la frecuencia de complicaciones posoperatorias entre los grupos (0%, 1.7% y 1.9% para los grupos de peso normal, sobrepeso y obesidad, respectivamente) (Tabla 2).
  • 60.
    La frecuencia demacrosomía fetal fue del 0.7% (n = 1), 2.9% (n = 7) y 8.6% (n = 18) para los grupos de peso normal, sobrepeso y obesidad, respectivamente (p = 0.001). En comparación con las mujeres con peso normal, existe un mayor riesgo de macrosomía en embarazadas con sobrepeso (RM: 4.35; IC95%: 0.53 a 35.71) y en aquellas con obesidad (RM: 13.70; IC95%: 1.80 a 100). No se observaron diferencias significativas entre los grupos con respecto al puntaje de Apgar del recién nacido medido a 1 minuto (p = 0.580) y a los 5 minutos (p = 0.143). El 3.4%, 2.5% y 1.9% de los nacidos de madres con peso normal, sobrepeso y obesidad presentaron puntajes de Apgar menores de 7 al minuto (p = 0.527). A los 5 minutos, la frecuencia de puntaje de Apgar menor de 7 fue de 1.4% en el grupo de peso normal, 0.4% en el de sobrepeso y 1.0% en el grupo de obesidad (p = 0.551). No se encontraron diferencias significativas en la frecuencia de hospitalización del neonato en la UCIN, con el 7.5% (n = 11) en el grupo de peso normal, 7.5% (n = 18) para el de sobrepeso y 4.8% (n = 10) para el de obesidad (p = 0.440). Asimismo, no se observaron diferencias en la frecuencia de bajo peso al nacer (p = 0.739) entre los grupos. La frecuencia de líquido con meconio fue de 6 mujeres en el grupo de peso normal (4.1%), 18 en el de sobrepeso (7.5%) y ninguna en el grupo de obesidad, sin diferencias entre los grupos (p = 0.300). Se registró sólo un caso de muerte perinatal (0.7%) que correspondió al grupo de peso normal (p = 0.210) (Tabla 2). La frecuencia de recién nacidos con malformación congénita fue del 1.4% (n = 2) en mujeres con peso normal, ningún recién nacido del grupo de sobrepeso y del 1.0% (n = 2) en el de mujeres con obesidad, sin diferencias significativas entre los grupos (p = 0.230). Discusión La obesidad es un factor que afecta, sin duda, la evolución del embarazo y, actualmente, se considera un problema de salud pública. Su incremento en países desarrollados y no desarrollados es significativo. Es un factor que aumenta el riesgo de resistencia a la insulina, por lo que la frecuencia de diabetes tipo 2 es mayor en obesos. Además, tienen mayor predisposición a hipertensión arterial y dislipidemia (el riesgo de síndrome metabólico aumenta con la edad). Las mujeres que presentan hipertensión en el embarazo tienen de 3 a 5 veces más probabilidades de padecer síndrome metabólico. Todos estas complicaciones clínicas asociadas con la obesidad pueden afectar adversamente la evolución del embarazo y los resultados perinatales (la tasa de cesárea, complicaciones anestésicas, diabetes, hipertensión y defectos de tubo neural se elevan 3 veces más).
  • 61.
    La incidencia dela obesidad durante el embarazo se ha modificado en el tiempo. Actualmente, se encuentra entre el 6% y el 28%, y depende de la definición y de ciertos factores maternos, como la edad y las características de la población de estudio. En una revisión sistematica,9 en la que se evaluaron diversos estudios de tipo cohorte y casos y controles, con distintos tamaños de muestra de embarazadas clasificadas de acuerdo con su IMC, no se informó que existiera variación en las complicaciones anteparto, intraparto, posparto, complicaciones perinatales y clínicas entre los estudios revisados. El método utilizado en estos trabajos para clasificar a las embarazadas según su IMC es el mismo que se empleó en esta investigación. La complicación anteparto informada con mayor frecuencia asociada con un IMC elevado es la infertilidad, y en estas pacientes (obesidad-infertilidad) se incrementa el riesgo de aborto espontáneo. Esto coincide con lo indicado en este trabajo, en el que las embarazadas con IMC elevados tuvieron infertilidad y éstas, a su vez, presentaron mayor frecuencia de abortos.9 Otra complicaciones que se presentan con mayor frecuencia en mujeres con IMC elevado (sobrepeso y obesidad) son la hipertensión esencial (RM ajustado: 2.38; IC95%: 2.24 a 2.52) y la diabetes mellitus (diabetes gestacional: 6.5% a 8%).5,10,11 En el presente estudio, la frecuencia de diabetes gestacional fue menor que lo informado previamente (1.5%), pero no la frecuencia de hipertensión arterial sistémica. El incremento de peso durante el embarazo se debe a que las mujeres, en general, tienen un apetito notablemente mayor, lo cual conduce a la creación de un amortiguamiento de la grasa, con el objetivo de atender las demandas del feto en desarrollo. Esto brinda protección al feto, en especial cuando existe mayor riesgo de desnutrición. Uno de los riesgos inherentes a las mujeres obesas que se embarazan es que presenten mayor ganancia de peso en comparación con aquellas con peso normal. Las normativas existentes de incremento de peso en mujeres obesas normalmente recomiendan que la embarazada obesa incremente como máximo 7 kg durante todo el embarazo.12 En este estudio, las mujeres obesas aumentaron 13.75 kg durante el embarazo y este incremento es mayor que en las embarazadas con sobrepeso y peso normal. Esto difiere de lo señalado en un estudio realizado en México, en el que el incremento de peso en embarazadas obesas no fue mayor de 2.2 kg. Estas diferencias en el aumento de peso entre el presente trabajo y el de Perichart2 pudo deberse a un control más estricto en la ingesta calórica de las participantes en este último estudio. En lo que respecta a las complicaciones obstétricas, éstas se presentan con mayor frecuencia en mujeres obesas que se embarazan, y pueden dividirse en 2 grupos: las que afectan a la madre y las que afectan al feto. Dentro del primer grupo incluimos rotura prematura de membranas, parto pretérmino, inducción del parto, embarazo prolongado, complicaciones transoperatorias (atonía uterina, procesos embólicos y anestésicos) y posoperatorias (infección de la herida, procesos embólicos). Dentro del segundo grupo se incluyen las siguientes complicaciones: macrosomía fetal, bajo peso al nacer, puntaje de Apgar al minuto y a los 5 minutos, hospitalización del neonato, desprendimiento de placenta, placenta previa, distocia del trabajo de parto, líquido meconial, mortalidad perinatal y malformaciones congénitas. Se considera que el IMC materno, ya sea bajo o elevado, es un factor de riesgo modificable para nacimiento pretérmino. Un estudio informó mayor frecuencia de nacimientos pretérmino en pacientes con peso materno bajo.8 En ese mismo trabajo, la obesidad ha sido asociada con disminución en la frecuencia de nacimientos pretérmino espontáneos y no se ha vinculado con rotura prematura de membranas y mayor riesgo de rotura de membranas en embarazos pretérmino y de término, lo cual difiere de los hallazgos de la presente investigación, en la cual la frecuencia de nacimientos pretérmino y rotura de membranas fue similar en mujeres con peso normal, con sobrepeso o con obesidad. La inducción del trabajo de parto también ha sido informada con mayor frecuencia en embarazadas obesas (RM: 1.94 IC95% 1.86 a 2.04),6,7 lo cual no coincide con el resultado de este estudio en el cual la frecuencia de inducción del trabajo de parto fue similar entre los tres grupos. Asimismo, se ha considerado a la obesidad durante el embarazo como un factor de riesgo para embarazo prolongado, lo cual difiere de los hallazgos de esta investigación en la cual no se encontraron diferencias en la frecuencia de embarazo prolongado entre embarazadas con peso normal, sobrepeso u obesidad (0.7%, 2.9% contra 0.5%).6-8 En el presente estudio, la frecuencia de rotura prematura de membranas fue similar entre mujeres con peso normal, sobrepeso u obesidad (5.5%, 6.7% frente a 4.8%; p = 0.686), lo cual difiere de lo señalado en la bibliografía, en la que se considera a la obesidad como un factor de riesgo para rotura prematura de membranas pretérmino.8 Existen varios informes de que la obesidad preembarazo incrementa el riesgo de nacimiento por cesárea (RR: 1.6; IC95%: 1.53 a 1.67),6,7,13 además de mayor pérdida sanguínea, tiempo operatorio e infección del sitio quirúrgico. En otro estudio retrospectivo realizado en Sheffield, Reino Unido, se evaluó la influencia que ejerce el incremento del IMC en mujeres nulíparas en los resultados del embarazo y se determinó que la mujer con obesidad mórbida tiene mayor riesgo en la incidencia de operación cesárea (RR: 2.2; IC95%: 2.1 a 4.8).4 Esto difiere de los hallazgos del presente estudio en el que la frecuencia de operación cesárea fue similar entre los tres grupos (peso normal, sobrepeso y obesidad) (47.3%, 49.2%, 48.8%, respectivamente). Aunque la frecuencia fue similar entre los tres grupos, es importante investigar cuáles son los factores que impactan en este incremento en la tasa de operación cesárea observada en este estudio, lo cual podría, probablemente, estar influenciado por ser el hospital un ámbito donde se forman recursos humanos para la salud y muchos médicos están actualmente practicando una medicina defensiva, que resulta contraproducente, ya que la operación cesárea no está exenta de riesgos. La frecuencia de complicaciones transoperatorias indicadas en este trabajo difiere de lo informado en la bibliografía, y se encontraron como hallazgos una mayor frecuencia en el grupo de sobrepeso en comparación con las mujeres con obesidad o peso normal. Las complicaciones transoperatorias que se presentaron con mayor frecuencia son: atonía uterina (peso normal n = 2, sobrepeso n = 4), hemorragia obstétrica (normal n = 1, sobrepeso n = 1), desgarro vaginal (normal n = 2, sobrepeso n = 1), crisis convulsivas (sobrepeso n = 1), complicación anestésica (sobrepeso n = 1) e inversión uterina (n = 1).
  • 62.
    La frecuencia decomplicaciones posoperatorias fue similar entre los tres grupos, lo cual es diferente a lo informado en la bibliografía, en la que se señala mayor riesgo en mujeres con obesidad. Las complicaciones posoperatorias inmediatas que se presentaron fueron 2 reingresos al tercer día de egreso, uno por deciduomiometritis (posparto) en una paciente con sobrepeso, sin factores de riesgo, y dehiscencia quirúrgica de una paciente con obesidad (poscesárea). La macrosomía fetal, definida como un peso mayor de 4 000 g, ha sido registrada con mayor frecuencia en embarazadas con un IMC elevado (RR: 3.1; IC95%: 2.1 a 4.8).4,13,14 Esto coincide con los hallazgos del presente estudio, en el cual la frecuencia de macrosomía fue mayor en mujeres obesas (8.6%) en comparación con las de peso normal (0.7%) y sobrepeso (2.9%). En lo que respecta al bajo peso al nacimiento, no se encontraron diferencias entre los tres grupos. En general, el puntaje de Apgar de los recién nacidos no se ve afectado únicamente por la obesidad13,14 y esto dependerá de las comorbilidades o complicaciones que se presenten durante el embarazo, como se demuestra en este trabajo, en el que las puntuaciones de Apgar fueron similares entre los grupos de embarazadas con peso normal, sobrepeso y obesidad. Se refiere que la frecuencia de ingresos de los recién nacidos a la UCIN es significativamente mayor en aquellos nacidos de madres con obesidad y generalmente es secundario a dificultad respiratoria, hipoglucemia, ictericia, hipocalcemia y policitemia.14 Esto difiere de los hallazgos de este estudio, ya que no se encontraron diferencia en la frecuencia de hospitalización neonatal entre los tres grupos. En cuanto a los resultados perinatales, se ha señalado que la obesidad se asocia con malformaciones congénitas al nacimiento (2 veces mayor el riesgo de defectos del tubo neural), defectos cardíacos, de la pared abdominal u orofaciales. Asimismo, se ha asociado con un incremento en la mortalidad perinatal (37/1 000 en mujeres de peso normal frente a 121/1 000 en mujeres obesas [p < 0.001]).4,5,9 En este trabajo no se encontraron diferencias en estas variables entre los tres grupos de estudio. En lo que se refiere a la frecuencia de desprendimiento de placenta, distocia del trabajo de parto y líquido amniótico meconial, no se registraron diferencias entre los 3 grupos de estudio, lo cual se contrapone a lo señalado en la bibliografía en la que se informa mayor frecuencia de estas variables en embarazadas con obesidad. Conclusiones Sobre la base de los hallazgos del presente estudio se puede concluir que es importante tener en mente que, aunque no se encontraron diferencias en la vía de resolución del embarazo entre los grupos, existe mayor riesgo de complicaciones en el período transoperatorio en mujeres obesas sometidas a operación cesárea. Asimismo, la obesidad se asocia con mayor riesgo de macrosomía fetal, lo que puede condicionar que se presente mayor frecuencia de complicaciones al momento de un parto vaginal, como la distocia de hombros y lesiones del canal del parto. El sobrepeso y la obesidad no incrementaron el riesgo de complicaciones durante el embarazo ni el riesgo de un resultado perinatal adverso. Un buen control durante el seguimiento prenatal en embarazadas con obesidad o sobrepeso puede hacer que se obtengan resultados obstétricos y perinatales similares a los obtenidos en pacientes con IMC normal. Bibliografía del artículo1. Organización Mundial de la Salud 2010. Diez datos para la obesidad. http://www.who.int/features/factfiles/obesity/facts/es/. 2. Bobrowski R. Pulmonary physiology in pregnancy. Clin Obstet Gynecol Obstet 53(2):285-300, 2010. 3. Olaiz-Fernández G, Rivera-Dommarco J, Shamah-Levy T, Rojas R, Villalpando-Hernández S, Hernández-Avila M, Sepúlveda-Amor J. Encuesta Nacional de Salud y Nutrición 2006. Cuernavaca, México: Instituto Nacional de Salud Pública; 2006. 4. Mantakas A, Farrell T. The influence of increasing BMI in nulliparous women on pregnancy outcome. Eur J Obstet Gynecol Reprod Biol 153:43-46, 2010. 5. O´Dwyer V, Farah N, Fattah N, O´Connor N, Kennelly MM, Turner MJ. The risk of caesarean section in obese women analysed by parity. Eur J Obstet Gynecol Reprod Biol 158(1):28-32, 2011. 6. Robinson HE, Colleen M, O´Connell KS. Joseph MD, McLeod L. Maternal outcomes in pregnancies complicated by obesity. Obstet Gynecol 106(6):1357-1364, 2005. 7. Dietl JJ. Maternal obesity and complications during pregnancy. J Perinat Med 33:100-105, 2005. 8. Zhong Y, Cahill GA, Macones GA, Zhu F, Odibo AO. The Association between Prepregnancy maternal body mass index and preterm delivery. Am J Perinatol 27(4):293-98, 2010. 9. Nuthalapaty FS, Rouse DJ. The impact of obesity on obstetrical practice and Outcome. Clin Obstet Gynecol 47:898-913, 2004. 10. Weiss JL, Malone FD, Emig D, Ball RH, Nyberg DA, Comstock CH, et al. Obesity, obstetric complications and cesarean delivery rate-a population-based screening study. Am J Obstet Gynecol 190:1091-1097, 2004. 11. Chauhan SP, Magann EF, Carroll CS. Mode of delivery for the obese with prior cesarean delivery: vaginal versus repeat cesarean section. Am J Obstet Gynecol 185:349-354, 2004. 12. Perichart PO. Impacto de la obesidad pregestacional en el estado nutricio de mujeres embarazadas de la ciudad de México. Ginecol Obstet Mex 74:77-88, 2006. 13. Flick AA, Brookfield KF. Excessive weight gain among obese women and pregnancy outcomes. Am J Perinatol 27:4, 2010.
  • 63.
    14. Wylie BR,Kong J, Kozak SE, Marshall CJ, Tong SO, Thompson DM. Normal perinatal mortality in type 1 diabetes mellitus in a series of 300 consecutive pregnancy outcomes. Am J Perinatol 19:4, 2002. ¿COMO DETECTAR Y EVITAR LAS REACCIONES ADVERSAS A FARMACOS EN ReSIIC editado en: LOS PACIENTES DE EDAD AVANZADA? Geriatría Gent, Bélgica Farmacología Las reacciones adversas a fármacos, muy frecuentes en los sujetos de edad Alergia avanzada, son una causa importante de morbilidad y mortalidad. Los pacientes Atención Primaria seniles, por diferentes motivos, son particularmente proclives a presentar este tipo Bioquímica de reacciones. La identificación de los enfermos más vulnerables representa el Cardiología primer paso para minimizar el riesgo. Diagnóstico por Laboratorio Drugs & Aging29(6):453-462, 2012 Educación Médica Epidemiología Gastroenterología Autores: Hematología Petrovic C, van der Cammen T, Onder G Medicina Farmacéutica Medicina Familiar Institución/es participante/s en la investigación: Medicina Interna Ghent University Hospital Nefrología y Medio Interno Neurología Título original: Salud Mental Adverse Drug Reactions in Older People: Detection and Prevention Salud Pública Dermatología Título en castellano: Reacciones Adversas a Fármacos en los Sujetos de Edad Avanzada. Detección y Prevención Extensión del Resumen-SIIC en castellano: 2.82 páginas impresas en papel A4 Introducción Las reacciones adversas a fármacos (RAF) son muy frecuentes en los pacientes de edad avanzada; son una causa común de internación y son habituales en los enfermos internados. Las RAF son una causa importante de morbilidad y mortalidad en los sujetos seniles, una población particularmente susceptible por las comorbilidades, las modificaciones farmacodinámicas y farmacocinéticas asociadas con la edad y la utilización de múltiples drogas. Se estima que el 88% de las RAF son evitables. Las RAF también tienen consecuencias muy desfavorables en términos económicos. Clasificación. Las RAF de tipo A se asocian con la acción farmacológica de la droga, se relacionan con la dosis y a menudo son evitables; son frecuentes y predecibles y se asocian con baja mortalidad. Por el contrario, las RAF de tipo B no se relacionan con los efectos farmacológicos; por lo general, están mediadas por mecanismos inmunológicos y suelen ser más graves que las RAF de tipo A. Las RAF de tipo C se observan luego de la administración prolongada del fármaco y se vinculan con la dosis acumulada, en tanto que las RAF de tipo D y E aparecen tiempo después de interrumpido el tratamiento y son infrecuentes. Las RAF tipo F obedecen a las interacciones farmacológicas. Más del 80% de las RAF que motivan la internación o que suceden durante esta son de tipo A; los fármacos más frecuentemente involucrados en estas reacciones son los antibióticos, los anticoagulantes, la digoxina, los diuréticos, los hipoglucemiantes y los antiinflamatorios no esteroides.
  • 64.
    Factores de riesgoasociados con las RAF en los sujetos de edad avanzada Las RAF son más frecuentes cuando existen diversos factores que modifican la distribución o el metabolismo de los fármacos, tales como los trastornos de la funcionalidad renal o hepática, la edad, el número de medicamentos que recibe el enfermo y las comorbilidades. La menor depuración renal es una de las situaciones más comúnmente asociada con RAF y una de las causas más frecuentes que motivan la reducción de la dosis de muchos fármacos. Lo mismo sucede en los sujetos con insuficiencia hepática para las sustancias que se metabolizan en el hígado. La oxidación que depende del sistema enzimático hepático citocromo P450 declina en los pacientes de edad avanzada. Otros factores que pueden modificar la concentración de determinados fármacos incluyen la declinación rápida de los niveles séricos de albúmina, el volumen minuto (asociado con la perfusión de los riñones y del hígado), la masa magra y la cantidad total de agua corporal. Los cambios farmacodinámicos pueden motivar un aumento de la sensibilidad a ciertas sustancias, por ejemplo, anticoagulantes y fármacos cardiovasculares y psicotrópicos. La utilización de numerosos agentes incrementa considerablemente el riesgo de RAF y de interacciones farmacológicas. En un estudio, el riesgo de RAF fue de 13%, 38% y 82% en los pacientes tratados con dos, cuatro y siete o más fármacos, respectivamente. La falta de adhesión también suele ser consecuencia del uso de múltiples sustancias. En este sentido, en una investigación realizada en Suecia en sujetos de 75 años o más, el 18% de los fármacos prescriptos no tenía indicación precisa. Se dispone de diversos instrumentos para evaluar la prescripción inapropiada de medicamentos en los pacientes de edad avanzada. Diagnóstico y comunicación de las RAF Las RAF en los pacientes seniles pueden manifestarse con síntomas atípicos e inespecíficos, motivo por el cual se suele establecer el diagnóstico incorrecto de una nueva enfermedad e indicar otro fármaco para aliviarla (“cascada de prescripciones”). Esta situación es común en los enfermos añosos que presentan delirio, sedación, apatía, dispepsia, anorexia, constipación crónica e incontinencia o retención urinaria, entre otros ejemplos. El problema es aun mayor porque muchos efectos adversos no se comunican correctamente. El algoritmo de Naranjo y el sistema del World Health Organization – Uppsala Monitoring Centre (WHO-UMC) pueden ser de ayuda, ya que permiten establecer una relación cierta, probable, posible o improbable entre un determinado fármaco y un trastorno clínico o bioquímico. El antecedente de RAF con un medicamento aumenta considerablemente el riesgo de RAF en una nueva exposición; de allí, la importancia de que todos estos efectos queden correctamente registrados en las historias clínicas y en las bases de datos correspondientes. El enfermo debe conocer la relación, ya que de esta forma puede advertir a los profesionales para que no prescriban la misma medicación. Diversos puntajes son útiles para predecir el riesgo de RAF en las personas de edad avanzada; la escala creada por investigadores de cuatro universidades europeas pertenecientes al grupo GerontoNet podría ser de gran ayuda en la práctica diaria. El instrumento se formuló a partir del análisis secundario de la información registrada por el Gruppo Italiano di Farmacoepidemiologia nell’ Anziano (GIFA; Italian Group of Pharmacoepidemiology in the Elderly) y tuvo por objetivo principal recoger información sobre las RAF, en pacientes italianos internados. La edad promedio de los 5 936 enfermos incluidos en el GIFA fue de 78 años y la media de fármacos prescriptos durante la internación, de 6.3. La incidencia global de RAF fue de 6.5%. El número de medicamentos y el antecedente de RAF fueron los factores que mejor predijeron el riesgo de RAF. La insuficiencia cardíaca, las enfermedades hepáticas, la presencia de 4 o más comorbilidades y la insuficiencia renal fueron otros factores importantes, asociados con la aparición de RAF. La precisión del instrumento para anticipar las RAF fue de 0.71. En el estudio de validación del instrumento, se incluyeron 483 pacientes de 80.3 años en promedio, tratados durante la internación con una media de 11 fármacos. La incidencia de RAF fue de 11.6%. Los factores asociados con el riesgo de RAF incluyeron la presencia de 4 o más comorbilidades (1 punto), la insuficiencia cardíaca congestiva (1 punto), los trastornos hepáticos (1 punto), el número de fármacos (1 punto en los enfermos tratados con 5 a 7 agentes y 4 puntos en los pacientes que reciben 8 o más sustancias), el antecedente de RAF (2 puntos) y la insuficiencia renal (1 punto). El puntaje posible es de 0 a 10 puntos; el umbral de 3 y 4 puntos se asocia con sensibilidad de 68% y especificidad de 65%, de modo tal que el GerontoNet ADR Risk Score podría ser una herramienta práctica y simple para identificar los enfermos con más riesgo de presentar RAF. La capacidad predictiva de la escala, en el estudio de validación, fue de 0.7. Cabe destacar, también, que ciertos enfermos, por sus características étnicas, genéticas o culturales, son más vulnerables a presentar RAF. El instrumento todavía debe ser validado en otros ámbitos y países, ya que los resultados podrían no ser aplicables a las personas de edad avanzada que residen en la comunidad o en instituciones geriátricas. Además, los patrones de prescripción difieren de un país a otro al igual que la epidemiología de las enfermedades. Prevención de las RAF Por lo general, las RAF en los sujetos de edad avanzada son evitables, ya que la mayoría es de tipo A y, por lo tanto, se relacionan con la dosis. El profesional debe analizar cuidadosamente la verdadera necesidad de prescripción de cada sustancia y siempre debe utilizarse la menor dosis posible. Las terapias se deben monitorizar en forma regular y adaptarse a las condiciones clínicas del enfermo. Algunos síntomas son muy sugestivos de RAF, de manera que deberían motivar la interrupción del tratamiento y no el agregado de un nuevo fármaco. La prescripción apropiada incluye no solo la elección del fármaco, sino también la consideración de la dosis, duración de la terapia e interacciones farmacológicas y la monitorización de los efectos adversos. En los enfermos de edad avanzada, a menudo asistidos por diversos profesionales que indican distintos fármacos, la probabilidad de RAF aumenta considerablemente. Los sistemas nacionales de farmacovigilancia representan los mecanismos principales para la identificación de las RAF y los factores asociados con estas. Los profesionales tienen la responsabilidad de comunicar cualquier RAF, aun cuando la relación causal con el fármaco no sea segura. Los programas computarizados y la participación del
  • 65.
    especialista en farmacologíaclínica son especialmente útiles en este contexto. Para los pacientes internados, la buena comunicación entre los profesionales que asisten al paciente, la educación del enfermo, los familiares (quienes deben conocer los fármacos indicados) y de todo el personal de salud y el registro correcto de las RAF son algunos de los factores que minimizan el riesgo. Incluso, los fármacos que han demostrado ser seguros en los trabajos clínicos pueden ser causa de RAF en los pacientes seniles, como consecuencia de las interacciones con las enfermedades subyacentes o los síndromes geriátricos. En cualquiera de estas situaciones, el riesgo puede ser superior al beneficio eventual de un determinado tratamiento. La valoración geriátrica exhaustiva (comprehensive geriatric assessment [CGA]) es una metodología que garantiza un mejor abordaje global del enfermo. Consiste en la evaluación simultánea de múltiples dominios (médico, psiquiátrico, funcional y social) por un equipo multidisciplinario de profesionales, que crea un plan de tratamiento que incluye también la rehabilitación. La aplicación de la CGA aumenta las posibilidades de que el enfermo sobreviva y esté de vuelta en su hogar al año de la internación, debido a la atención focalizada en numerosas áreas problemáticas. Diversos trabajos demostraron que la CGA mejora sustancialmente la calidad de las prescripciones. Por ejemplo, una investigación en 834 pacientes de edad avanzada y estado de salud desfavorable, internados en hospitales para veteranos de los Estados Unidos, mostró una reducción de 33% en el riesgo de RAF graves y una disminución importante de la utilización de sustancias innecesarias cuando se aplicó la CGA. No obstante, los resultados de esta investigación deben extrapolarse con cautela a otros ámbitos. De todas formas, la CGA es el único abordaje que demostró ser eficaz en los pacientes añosos para mejorar los patrones de prescripción, evitar tratamientos innecesarios y reducir al máximo posible el riesgo de RAF. Conclusiones La asistencia médica apropiada incluye la detección y prevención de las RAF; en la mayoría de los casos, sin embargo, estos objetivos no son fáciles de cumplir. La identificación de los enfermos que tienen un riesgo particularmente alto de RAF ayuda, sin duda, a evitarlas y así a reducir las consecuencias desfavorables en términos clínicos, económicos para los sistemas de salud y de calidad de vida para el paciente. DESCRIBEN LOS MECANISMOS PATOGENICOS DE LA DEPRESION Y SU ReSIIC editado en: RELACION CON LA EPILEPSIA Neurología Chicago, EE.UU. Anatomía Patológica Existe una relación bidireccional entre depresión y epilepsia: los pacientes con Salud Mental epilepsia tienen un alto riesgo de padecer trastornos depresivos y, a su vez, aquellos con trastornos depresivos tienen riesgo aumentado de padecer epilepsia. Se ha postulado que los mecanismos patogénicos que participan en la génesis de los trastornos depresivos actuarían como facilitadores del proceso epileptogénico. Lancet Neurology11(11): Nov, 2012 Autores: Kanner AM Institución/es participante/s en la investigación: Rush University Medical Center Título original: Can Neurobiological Pathogenic Mechanisms of Depression Facilitate the Development of Seizure Disorders? Título en castellano: ¿Los Mecanismos Patogénicos de la Depresión Pueden Facilitar la Génesis de Trastornos Convulsivos?
  • 66.
    Extensión del Resumen-SIICen castellano: 2.79 páginas impresas en papel A4 Introducción Los trastornos depresivos constituyen la comorbilidad psiquiátrica más común en los pacientes con epilepsia, con tasas de prevalencia que alcanzan el 35% en estudios poblacionales. Los enfermos con epilepsia tienen un alto riesgo de padecer trastornos depresivos; a su vez, las personas con trastornos depresivos primarios tienen un alto riesgo de padecer epilepsia. Además, aquellos enfermos con trastornos convulsivos que presentan antecedentes de depresión suelen tener una mala respuesta al tratamiento farmacológico y quirúrgico de dichos trastornos. Los trastornos epilépticos que se presentan en pacientes con depresión con frecuencia han sido atribuidos al posible efecto proconvulsivo de los antidepresivos, aunque este efecto sólo fue descrito en casos de sobredosis o de altas concentraciones séricas de los fármacos. Por otra parte, la mala evolución de los trastornos convulsivos en pacientes con depresión ha sido asociada con el bajo cumplimiento terapéutico que suele tener este tipo de pacientes. Es probable que la depresión desempeñe un papel en la génesis y evolución de los trastornos convulsivos; si así fuera, sus mecanismos patogénicos neurobiológicos deberían ser capaces de facilitar el proceso epileptogénico. En este contexto, se llevó a cabo una revisión en la que se describe la información disponible sobre los mecanismos neurobiológicos patogénicos de los trastornos depresivos, identificados en modelos de depresión con animales y en estudios clínicos de pacientes con trastorno depresivo mayor (TDM) y trastorno bipolar, los cuales tendrían influencia sobre la excitabilidad cortical y podrían facilitar la aparición de convulsiones. Epidemiología y prevalencia A los fines de la presente revisión, sólo se seleccionaron estudios poblacionales, los cuales incluían información sobre la incidencia de trastornos depresivos en personas con epilepsia. Este tipo de estudios son más probablemente representativos de la población general con epilepsia y permiten informar con mayor precisión la prevalencia de los trastornos depresivos en dicha población. El estudio poblacional más amplio sobre el tema fue llevado a cabo en Canadá. Este ensayo informó una prevalencia de trastornos del estado de ánimo a lo largo de la vida del 24.4% en pacientes con epilepsia, en comparación con un 13.2% en sujetos de control. La prevalencia del TDM fue del 17.4% para los pacientes con epilepsia y del 10.7% para el grupo control. Asimismo, la prevalencia para cualquier tipo de trastorno del estado de ánimo (incluyendo TDM, trastorno bipolar, distimia o ciclotimia) fue del 34.2% y del 19.6%, respectivamente. Otros trabajos epidemiológicos sugieren una relación bidireccional entre la epilepsia y los trastornos psiquiátricos. Varios estudios poblacionales han demostrado que las personas con epilepsia tienen un alto riesgo de padecer trastornos depresivos, y que, a su vez, aquellas que padecen trastornos depresivos primarios presentan un alto riesgo de tener epilepsia. Por otra parte, la presencia de antecedentes de depresión a lo largo de la vida ha sido asociada con una mala evolución de los trastornos convulsivos. Por ejemplo, un estudio informó que los pacientes con antecedentes de depresión tenían más del doble del riesgo de presentar resistencia al tratamiento con drogas antiepilépticas en comparación con aquellos que no tenían antecedentes psiquiátricos relevantes. Otros estudios avalan estos hallazgos y agregan que el control de las convulsiones que se logra con la lobectomía en pacientes con epilepsia del lóbulo temporal refractaria al tratamiento es menos efectivo en aquellos que presentan antecedentes de depresión. Estos hallazgos sugieren que, en pacientes con epilepsia, los mecanismos patogénicos de los trastornos depresivos podrían tener relación con la génesis de la epilepsia, con la mala evolución de los trastornos convulsivos, o con ambos. Mecanismos patogénicos de la depresión que podrían contribuir a la génesis de la epilepsia Existen diversos mecanismos neurobiológicos patogénicos para los trastornos depresivos primarios que tienen efectos sobre la hiperexcitabilidad cortical y que, por lo tanto, podrían participar en el proceso epileptogénico. Entre estos mecanismos se encuentran las alteraciones endocrinas, las alteraciones estructurales y funcionales a nivel cortical y subcortical, las alteraciones de neurotransmisores y las inmunitarias. En el primer caso, la hiperactividad del eje hipotalámico-hipofisario-suprarrenal da como resultado una alta concentración de cortisol sérico, mecanismo que se encuentra dentro de las principales alteraciones neurobiológicas de la depresión, identificada en hasta el 50% de los pacientes con TDM. En estudios experimentales llevados a cabo con ratas se ha demostrado que el exceso de cortisol facilita el proceso de sensibilización, el cual constituye uno de los principales modelos para la epileptogénesis. Las altas concentraciones de cortisol pueden afectar la hiperexcitabilidad cortical mediante sus efectos sobre distintos neurotransmisores (glutamato, serotonina y ácido gamma aminobutírico [GABA]). En este sentido, los trastornos depresivos primarios han sido asociados con una actividad excesiva del glutamato; a su vez, el cortisol reduce la actividad de la serotonina, neurotransmisor que ha demostrado tener efectos anticonvulsivos en modelos de epilepsia con animales. En cuanto a la alteración estructural y funcional cortical y subcortical, la información disponible indica que en modelos animales de depresión existe una reducción en el número total de neuronas CA3 y una interferencia con la neurogénesis de las células granulosas en la circunvolución dentada del hipocampo. Estos cambios aparecen típicamente en modelos con animales con epilepsia crónica del lóbulo temporal y han sido asociados con persistencia de convulsiones espontáneas. Además, en pacientes con TDM, se ha observado una disminución del 10% al 20% del volumen del hipocampo bilateral. Asimismo, las altas concentraciones de cortisol plasmático han sido asociadas con
  • 67.
    una disminución enel espesor cortical del lóbulo frontal en pacientes con TDM. Esta disminución ha sido atribuida a una reducción en la densidad y tamaño de neuronas y células gliales de distintas localizaciones. Aparentemente, estos cambios neuropatológicos desempeñarían un papel relevante en el mal control de los ataques epilépticos que se observa en las personas con epilepsia y trastornos depresivos concomitantes. Por otro lado, la participación de los neurotransmisores como mecanismo patogénico en la depresión y la epilepsia ha sido postulada desde hace al menos dos décadas. Por una parte, se ha propuesto un efecto anticonvulsivo de la serotonina en varios modelos con animales con epilepsia, mientras que por otra parte, se ha demostrado que el glutamato y el GABA cumplen funciones patogénicas opuestas en dicha enfermedad: el glutamato tiene propiedades excitatorias, mientras que el GABA presenta efectos inhibitorios. En consecuencia, la elevada actividad glutamatérgica y la baja actividad gabaérgica observadas en pacientes con trastornos depresivos desempeñarían un papel importante en la facilitación de un estado de hiperexcitabilidad. La existencia de este tipo de alteraciones ha sido avalada tanto por los hallazgos obtenidos en ensayos llevados a cabo en modelos con animales con depresión como por los resultados de estudios realizados con personas con TDM y trastorno bipolar. En relación con las alteraciones inmunológicas, la actividad de varias citoquinas proinflamatorias ha sido identificada entre los mecanismos patogénicos de la depresión en modelos con animales y en ensayos clínicos llevados a cabo en pacientes con trastornos del estado de ánimo. Entre las distintas citoquinas estudiadas, la interleuquina 1 beta tendría propiedades proconvulsivas. Se ha postulado que el mecanismo responsable de las propiedades proconvulsivas de dicha citoquina tendría que ver con una reducción en la captación de glutamato por parte de las células gliales, o con un mayor estímulo para su liberación, efecto mediado por el factor de necrosis tumoral alfa. Por último, los autores mencionan que los fármacos antidepresivas que aumentan los niveles extracelulares de serotonina y noradrenalina (inhibidores selectivos de la recaptación de serotonina [ISRS], antidepresivos tricíclicos, etc.) han demostrado ser capaces de inhibir ataques epilépticos focales y generalizados en modelos con animales con epilepsia. A este respecto, en ensayos abiertos se ha observado una mejoría en la frecuencia de los ataques epilépticos de pacientes con epilepsia resistente al tratamiento que habían sido medicados con ISRS. De todos modos, esta información aún debe ser corroborada por ensayos aleatorizados a doble ciego y controlados con placebo. Conclusiones La presente revisión establece una asociación entre los antecedentes de trastornos psiquiátricos (en particular, los trastornos del estado de ánimo) y el incremento en el riesgo de epilepsia. Además, las comorbilidades psiquiátricas se asocian con una mala respuesta al tratamiento antiepiléptico. En estudios experimentales se ha demostrado que los mecanismos neurobiológicos patogénicos de los trastornos depresivos aquí descritos estimulan la hiperexcitabilidad cortical y facilitan el proceso epileptogénico. Si bien la información derivada de ensayos clínicos avala la validez de los hallazgos experimentales, aún no se ha podido demostrar que éstos sean efectivamente los mecanismos patogénicos que median el incremento del riesgo de ataques epilépticos en pacientes con depresión. No obstante, esta información sirve de base para el diseño de futuros estudios clínicos y experimentales tendientes a identificar los mecanismos patogénicos que contribuyen a esta relación bidireccional entre epilepsia y trastornos depresivos. Más allá de lo antedicho, los autores agregan que, de todos modos, se debe tener presente la posibilidad de que exista un trastorno epiléptico parcial no reconocido que pueda llevar a la aparición de un trastorno del estado de ánimo, el cual es reconocido antes de la identificación del trastorno epiléptico. La información presentada en esta revisión enfatiza la necesidad de reconocer y tratar tempranamente todo trastorno psiquiátrico concomitante en pacientes con epilepsia. Sin embargo, aún se desconoce si el tratamiento oportuno y efectivo de un primer episodio depresivo mayor es capaz de evitar el incremento en el riesgo de padecer epilepsia en este tipo de pacientes. Futuros estudios deberán brindar más respuestas sobre esta cuestión. RELACIONAN LA CALIDAD DE VIDA CON LA PROMOCION DE UN ESTILO DE InSIIC editado en: VIDA SALUDABLE EN ESTUDIANTES UNIVERSITARIOS Salud Pública Atención Primaria Isfahan, Irán Epidemiología En esta cohorte de estudiantes universitarios, se demostró una correlación Medicina Familiar significativa entre la calidad de vida y variables asociadas con el estilo de vida, como el crecimiento espiritual y el abordaje del estrés. La promoción de un estilo de vida saludable podría constituir una extensión de la dinámica para el mantenimiento y la optimización de la salud a nivel individual y social.
  • 68.
    Fuente científica: Journalof Education and Health Promotion2:29-32 Mar, 2013 aSNC Autores: Tol Azar, Shariferad Gholam Reza Palabras clave: calidad global de vida, calidad de vida en general, estilo de vida saludable, calidad de vida relacionada con la salud Key Words: general quality of life, global quality of life, health promoting lifestyle, health-related quality of life Institución principal: Isfahan University of Medical Sciences Correspondencia: Gholam Reza Shariferad, Isfahan University of Medical Sciences, Isfahan Irán Patrocinio: Isfahan University of Medical Sciences (Irán). Conflicto de interés: No declarado. Agradecimientos: Isfahan University of Medical Sciences (Irán). Se define al estilo de vida como las actividades convencionales de la vida cotidiana que son aceptadas por cada individuo. La elección del estilo de vida puede mantener la salud de las personas y evitar la aparición de enfermedad, mediante el mantenimiento de una dieta adecuada, la realización de ejercicio y el control del peso corporal, entre otros factores. Se reconoce la relevancia de la promoción de un estilo de vida saludable en el ámbito de la salud pública, ya que alrededor del 53% de las causas de mortalidad se correlacionan con estos factores. Se acota que numerosas afecciones como la obesidad, la enfermedad cardiovascular, las neoplasias y las adicciones se correlacionan con los cambios en el estilo de vida. Asimismo, se señala la participación de un estilo de vida inadecuado en la patogenia de afecciones crónicas como el cáncer de colon, la hipertensión, la cirrosis, la úlcera péptica y la enfermedad cardiovascular. La relación entre los indicadores de salud y la calidad de vida se considera un componente importante en la toma de decisiones clínicas. En función de esta información, se llevó a cabo un estudio transversal para evaluar la correlación entre la promoción de un estilo de vida saludable y la calidad de vida en una cohorte de estudiantes de ciencias de la salud de menos de 25 años, sin enfermedades crónicas. Se cuantificaron los componentes saludables del estilo de vida por medio del cuestionario estandarizado Health Promotion LifeStyle Profile Two (HPL), mientras que la calidad de vida se evaluó por medio de la escala validada QLQ-C30. De acuerdo con los expertos, en este grupo de estudiantes universitarios con una media de edad de 21.12 años, se identificó al crecimiento espiritual y a la responsabilidad como las variables con mayor asociación con un estilo de vida saludable. Se indica que la mayoría de los participantes manifestaron una adecuada calidad de vida relacionada con la salud, al definirla como muy buena (58.6%) o excelente (9%). Se destaca que, con la excepción del enfoque del estrés, no se reconocieron diferencias significativas entre los puntajes obtenidos en el cuestionario HPL en función del sexo. Del mismo modo, en el análisis estadístico no se comprobaron asociaciones de significación estadística entre la calidad global de vida de los estudiantes y variables como la nutrición, la actividad física, la responsabilidad sobre la propia salud y el enfoque del estrés. Si bien se advirtió una correlación significativa y mutua entre la calidad de vida relacionada con la salud y el abordaje del estrés, este aspecto de la calidad de vida no se asoció en forma significativa con las relaciones interpersonales, el crecimiento espiritual, la actividad física y la nutrición. Se señala que los cambios epidemiológicos se han vinculado con variaciones en las condiciones y el estilo de vida, en términos de las enfermedades no transmisibles. Las nuevas tendencias culturales y tecnológicas han inducido rápidas modificaciones en el estilo de vida. Como consecuencia, se describe una mayor prevalencia de enfermedades crónicas, en el marco de un crecimiento de la expectativa de vida. Por consiguiente, se postula que, en un futuro próximo, la prevalencia de afecciones dependientes del comportamiento podría seguir incrementándose. Algunos conceptos novedosos, como la solidaridad y la interdependencia social, han sido implementados como estrategias de promoción de la salud, con resultados exitosos a corto plazo. La mayor percepción de las relaciones interpersonales en la sociedad ha motivado la generación de nuevos enfoques para la promoción de la salud. En el presente análisis, los autores verificaron la importancia de las relaciones entre los individuos como indicador relevante de la salud. Por lo tanto, proponen que intervenciones como la estimulación de la comunicación podrían considerarse como estrategias prioritarias en esta población. De esta manera, concluyen afirmando que la promoción de un estilo de vida saludable constituye una extensión de la dinámica continua del mantenimiento y la optimización de la salud a nivel individual y social.