MORFOLOGÍA
LATRODECTUS MACTANS 2
Hematopoyesis
Célula madre
Progenitor
Precursor
En sangre
En tejido
LATRODECTUS MACTANS 3
PROERITROBLASTO
LATRODECTUS MACTANS 4
NÚCLEO
Tamaño: grande
Forma: redondo
Color: púrpura claro
Cromatina: laxa en
filamentos
Nucléolos: 2-3
Rel núcleo/citoplasma:
aumentada
CITOPLASMA
Cantidad: escaso
Color: basófilo (morado)
Capta hierro circulante y lo
almacena
LATRODECTUS MACTANS 5
NÚCLEO
Tamaño: grande
Forma: redondo
Color: púrpura oscuro
Localización: generalmente en el
centro de la célula
Nucléolos: puede o no tenerlos
Cromatina: más definida de
aspecto grueso
CITOPLASMA
Color: intensamente basófilo
Capta hierro circulante y lo
almacena
Rel núcleo/citoplasma:
aumentada
LATRODECTUS MACTANS 6
NÚCLEO
Localización: céntrico
Forma: redondo
Color: púrpura claro
Cromatina: compacta y
condensada
Rel núcleo/citoplasma:
intermedia
CITOPLASMA
Color: Ligeramente gris-
azulado
Síntesis a gran escala de
hemoglobina
LATRODECTUS MACTANS 7
NÚCLEO
Color: oscuro y homogéneo
Cromatina: condensada y sin
estructura nuclear
(picnótica)
No efectúa divisiones
mitóticas posteriores
CITOPLASMA
Cantidad: abundante
Color: acidófilo
LATRODECTUS MACTANS 8
CARACTERÍSTICAS
Eritrocito joven que ha perdido el núcleo
Color: violáceo
*Policromatofilia: cuando aumenta en sangre periférica
LATRODECTUS MACTANS 9
LATRODECTUS MACTANS 10
CARACTERÍSTICAS
Color: acidófilo
Carece de núcleo
Halo claro central
LATRODECTUS MACTANS 11
Célula madre hematopoyética
multipotencial
Progenitor mieloide común
Proeritroblasto
(Pronormoblasto)
Eritroblasto basófilo
Eritroblasto ortocromático
Eritrocito policromatofílico
Eritrocitto
LATRODECTUS MACTANS 12
LATRODECTUS MACTANS 13
LATRODECTUS MACTANS 14
LATRODECTUS MACTANS 15
LATRODECTUS MACTANS 16
LATRODECTUS MACTANS 17
LATRODECTUS MACTANS 18
LATRODECTUS MACTANS 19
Microcitosis MacrocitosisNormocitosis
VARIACIÓN EN EL TAMAÑO DE LOS ERITROCITOS
LATRODECTUS MACTANS 20
LATRODECTUS MACTANS 21
LATRODECTUS MACTANS 22
LATRODECTUS MACTANS 23
LATRODECTUS MACTANS 24
LATRODECTUS MACTANS 25
LATRODECTUS MACTANS 26
LATRODECTUS MACTANS 27
LATRODECTUS MACTANS 28
LATRODECTUS MACTANS 29
LATRODECTUS MACTANS 30
LATRODECTUS MACTANS 31
LATRODECTUS MACTANS 32
LATRODECTUS MACTANS 33
LATRODECTUS MACTANS 34
LATRODECTUS MACTANS 35
LATRODECTUS MACTANS 36
LATRODECTUS MACTANS 37
Ontogenia
LATRODECTUS MACTANS 38
LATRODECTUS MACTANS 39
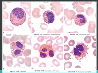
Mieloblasto
Promielocito
Mielocito
Metamielocito
Célula en
banda
Célula
segmentada
Estadío Neutrófilo Eosinófilo Basófilo
Mielocito
Núcleo redondo u oval
sin nucléolos
Núcleo redondo u oval
sin nucléolos
Núcleo redondo u oval
sin nucléolos
Cromatina más gruesa Cromatina más gruesa Cromatina más gruesa
Metamielocito
Núcleo con apariencia
de frijol
Núcleo con apariencia
de frijol
Núcleo con apariencia
de frijol
Cromatina compacta Cromatina compacta Cromatina compacta
Célula en Banda
Núcleo en forma de
herradura/banda/“C”
Núcleo en forma de
herradura/banda/“C”
Núcleo en forma de
herradura/banda/“C”
Cromatina compacta Cromatina compacta Cromatina compacta
Célula
segmentada
3-5 lóbulos Bilobulados Polimorfismo
Finos filamentos de
cromatina unen los
lóbulos
Cromatina densa Cromatina compacta
LATRODECTUS MACTANS 40
LATRODECTUS MACTANS 41
Estadios Neutrófilo Eosinófilo Basófilo
• Metamielocito
• Célula en
Banda
• Célula
segmentada
Citoplasma
acidófilo
Citoplasma acidófilo Citoplasma acidófilo
Granulaciones finas
y azurófilas
Granulaciones
grandes color rojo
ladrillo (parduzcas)
Granulaciones
grandes de color
púrpura (cubren
núcleo y citoplasma)
LATRODECTUS MACTANS 42
NÚCLEO
Tamaño: grande
Forma: redondo u oval
Localización: excéntrico
Nucleólos: puede o no
tenerlos
Cromatina: laxa o fina
CITOPLASMA
Color: basófilo
Contiene GRANULACIONES
PRIMARIAS OSCURAS en la
mitad de la célula (cubre
núcleo y citoplasma)
Neutrófilo
LATRODECTUS MACTANS 43
LATRODECTUS MACTANS 44
LATRODECTUS MACTANS 45
LATRODECTUS MACTANS 46
LATRODECTUS MACTANS 47
LATRODECTUS MACTANS 48
Eosinófilo
LATRODECTUS MACTANS 49
LATRODECTUS MACTANS 50
LATRODECTUS MACTANS 51
Basófilo
LATRODECTUS MACTANS 52
LATRODECTUS MACTANS 53
LATRODECTUS MACTANS 54
NÚCLEO
Tamaño: grande
Forma: redondo
Color: púrpura claro
Cromatina: laxa en
filamentos
CITOPLASMA
Cantidad: escaso
Color: basófilo (morado)
Capta hierro circulante y lo
almacena
LATRODECTUS MACTANS 55
Neutrófilo
segmentado
Linfocito
Neutrófilo en
banda
Monocito
Eosinófilo
segmentado
Basófilo
LATRODECTUS MACTANS 56
LATRODECTUS MACTANS 57
LATRODECTUS MACTANS 58
LATRODECTUS MACTANS 59
NÚCLEO
Forma: redondo u oval
Cromatina: densa
CITOPLASMA
Color: azul pálido
Con escasas granulaciones
de color rojo púrpura o
azurófilas (Perforinas)
LATRODECTUS MACTANS 60
LATRODECTUS MACTANS 61
NÚCLEO
Ubicación: excéntrico
Cromatina: densa
Nucleólos: no tiene
CITOPLASMA
Color: azul intenso
Presencia de halo claro
perinuclear acromófilo
LATRODECTUS MACTANS 62
NÚCLEO
Forma: Multilobulado y
multiforme
Cromatina: densa e
irregularmente distribuida
Nucléolos: no tiene
Se observa en médula ósea
CITOPLASMA
Cantidad: abundante
Color: ligeramente basófilo a
pálido
Contenido: abundantes gránulos
azurófilos
Pueden observarse plaquetas
desprendiéndose de éste
LATRODECTUS MACTANS 63
CARACTERÍSTICAS
Tamaño: pequeño
Formas: irregulares, ovales, redondas
Nucléolos: no tiene
En frotis teñido: zonas hialina clara con abundantes gránulos
color rojo púrpura (azurófilos)
Me mostrarás el camino de la
vida.
Hay gran alegría en tu presencia;
hay dicha eterna junto a ti.
SALMOS 16:11
LATRODECTUS MACTANS 64

Atlas de hematología