Medicina XI trimestre 12/I
           Grupo: BK03M

   Bioquímica de la
demencia enfermedad de
      Alzheimer.



                                    S
Introducción.
       Demencia.



        Signos y
       síntomas.               Alzheimer
                                60-80%

                                Vascular
       Deterioro.                 10%

                            Cuerpos de Lewi
                                 10%

Cognitivo.    Funcional.   Causas secundarias
                                   2%
Alteraciones neuropatológicas
   • Degeneración neurofibrilar

   • Placas seniles

   • Pérdida sináptica

   • Depósito amiloideo
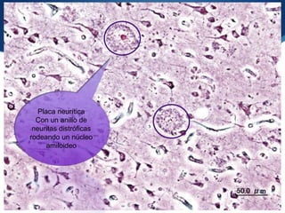
Placa neurítica
  Con un anillo de
 neuritas distróficas
rodeando un núcleo
      amiloideo
Sistemas y neurotransmisores
S Vulnerabilidad selectiva:




Circuito             Circuito          Circuito
límbico              estriado          cerebeloso
• Inicio             • Denervación     • Áreas motoras
• Postcentrales y      motora            primarias
  precentrales       • Áreas motoras
• Ruptura conexión     secundarias
  asociación-motor
S Déficit colinérgico, sólo una cara de la moneda de la patología
  neurotransmisora.
S. colinérgico

Circuito límbico                    Amnesia
CAT disminuida                     Trastornos
50% hipocampo
  v                               psicológicos
   amígdala




                                                 Cuadro afásico
                   Áreas precentrales
                                                  Alteración de
                     AB 10 y Broca
                                                     función
                      35-75% CAT
                                                    ejecutiva
                      disminuida
Déficit unidades        Límbico,
   funcionales de     subcortical, post y
sistemas corticales      precentral




 Afasia, apraxia,     Procesamiento de
    agnosia              información.




Trastornos función       Alteraciones
    ejecutiva y       neurotransmisoras
   alteraciones          en sistemas
  conductuales            corticales
S v
Bibliografía


S   Farmacología básica y clínica, Katzung, 11ª edición, China 2010, Ed. Mc.GrawHill, pp. 95-
    109.

S   Principios de Medicina Interna, Harrison Vol. II 17ª edición, China 2009, ED. Mc-GrawHill,
    pp.2537-2543.

S   Cómo convivir con la Enfermedad de Alzheimer, Fundación americana de asistencia para
    la salud, 2011.

S   Tratamiento de las demencias, Revista colombiana de psiquiatría, año/vol XXXVI, Bogotá
    Colombia, pp. 157-174.



S   http://www.nia.nih.gov/espanol/publicaciones/medicamentos-para-la-enfermedad-de-
    alzheimer

Bioquimica EA

  • 1.
    Medicina XI trimestre12/I Grupo: BK03M Bioquímica de la demencia enfermedad de Alzheimer. S
  • 2.
    Introducción. Demencia. Signos y síntomas. Alzheimer 60-80% Vascular Deterioro. 10% Cuerpos de Lewi 10% Cognitivo. Funcional. Causas secundarias 2%
  • 3.
    Alteraciones neuropatológicas • Degeneración neurofibrilar • Placas seniles • Pérdida sináptica • Depósito amiloideo
  • 4.
    Placa neurítica Con un anillo de neuritas distróficas rodeando un núcleo amiloideo
  • 6.
    Sistemas y neurotransmisores SVulnerabilidad selectiva: Circuito Circuito Circuito límbico estriado cerebeloso • Inicio • Denervación • Áreas motoras • Postcentrales y motora primarias precentrales • Áreas motoras • Ruptura conexión secundarias asociación-motor
  • 7.
    S Déficit colinérgico,sólo una cara de la moneda de la patología neurotransmisora.
  • 8.
    S. colinérgico Circuito límbico Amnesia CAT disminuida Trastornos 50% hipocampo v psicológicos amígdala Cuadro afásico Áreas precentrales Alteración de AB 10 y Broca función 35-75% CAT ejecutiva disminuida
  • 9.
    Déficit unidades Límbico, funcionales de subcortical, post y sistemas corticales precentral Afasia, apraxia, Procesamiento de agnosia información. Trastornos función Alteraciones ejecutiva y neurotransmisoras alteraciones en sistemas conductuales corticales
  • 10.
  • 11.
    Bibliografía S Farmacología básica y clínica, Katzung, 11ª edición, China 2010, Ed. Mc.GrawHill, pp. 95- 109. S Principios de Medicina Interna, Harrison Vol. II 17ª edición, China 2009, ED. Mc-GrawHill, pp.2537-2543. S Cómo convivir con la Enfermedad de Alzheimer, Fundación americana de asistencia para la salud, 2011. S Tratamiento de las demencias, Revista colombiana de psiquiatría, año/vol XXXVI, Bogotá Colombia, pp. 157-174. S http://www.nia.nih.gov/espanol/publicaciones/medicamentos-para-la-enfermedad-de- alzheimer