MIGUEL ANIBAL APAZA CANAZA
MEDICO RADIOLOGO
SERVICIO DE ECOTAC- UNIDAD DE DIAGNOSTICO
MULTISCIPLINARIO DEL HOSPITAL GUILLERMO ALMENARA-
UDIM
HIDRO- ANGIOTEM EN LA EVALUACION
PREQUIRURGICA EN CANCER GASTRICO
• CONCEPTOS GENERALES
– IMPORTANCIA DE TOMOGRAFIA
– HIDROCT
– ESTADIAJE
• DESARROLLO DE TEMA
– ANGIOTEM EN CANCER GASTRICO
IMPORTANCIA DE LA TOMOGRAFIA
• Como resumen podíamos decir que el uso de la tecnología en el
diagnóstico tiene como indicaciones:
• Reforzar una hipótesis diagnóstica; para comprobar una
hipótesis diagnóstica; para excluir una enfermedad o reducir sus
posibilidades; para pesquisar o rastrear enfermedades
asintomáticas, en este caso descubren o excluyen una enfermedad
específica; y no es menos cierto que algunas veces en el proceso
del diagnóstico hay exámenes que se indican para tranquilizar al
paciente y/o al médico.
• Entonces la espacialidad de radiología queda relegada a: examen auxiliares,
ayuda diagnostica, diagnóstico por imágenes, etc.
PROBLEMATICA
• MUCHOS PACIENTES CON MAL DIAGNOSTICO
• PACIENTES SIN DIAGNOTICO
• SOBRE DIAGNOTICO, ENCARNIZAMIENTO
DIAGNOSTICO.
MARIO BUNGE
• “A mí, el problema que me inicio en la filosofía en la medicina
o en pensar y hacer algunas publicaciones sueltas, fue en el
problema del diagnóstico, que me parece de los problemas
más difíciles, a mí no me extraña que gran parte de los
diagnósticos sean equivocados, y en todo caso temporarios
porque es un problema inverso. Los problemas inversos
van del efecto a la causa, no van de arriba para abajo,
de axioma a teoremas, si no al revés de teoremas a
axiomas. Y no hay reglas no hay algoritmos para
resolver problemas inversos. Ni en física, ni en
ingeniería, ni en medicina. Cada problema debe tratarse
independientemente como problema nuevo y exige ingenio
para resolver el problema”.
SIGNOS TOMOGRÁFICOS
• Superficie luminal irregular, nodular.
• Engrosamiento asimétrico de pliegues.
• Engrosamiento pared focal, difuso (linitis plástica),
o una masa lobular c/s ulceraciones.
• Densidad incrementada de grasa perigástrica.
• Nódulos de superficie serosa = linfáticos dilatados.
• Diámetro de esófago en UGE > aorta (DDx hernia
hiatal).
ESTADIFICACION DEL TUMOR (T)
Estadio I. (a) tumor intraluminal que invade la
mucosa. (b) Imagen coronal con realce focal
no transmural en el cuerpo superior
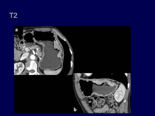
Estadio II. Engrosamiento de la pared mayor
de 1 cm e invade la submucosa y la
muscularis propia. (b) Imagen axial muestra
una masa en el cuerpo inferior, ulcerativa,
focal, transmural con realce sin extensión
perigástrica.
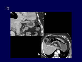
Estadio III: (a) El tumor invade la muscularis propia y la serosa. Adenopatías
en la cadena ganglionar. (b) Tumor en el antro con gruesa infiltración de la
grasa perigástrica.
Estadio IV. (a) Extensión a través de la serosa dentro de la cavidad peritoneal.
Adenopatías y metastasis hepáticas (b) Gran masa ulcerante, exofítica, con
metastasis hepáticas. La masa parece comprometer el páncreas.
ANGIOTEM EN CANCER GASTRICO
CANCER GASTRICO
• El cáncer al estómago es la primera causa de mortalidad
por cáncer en el Perú y, según laOrganización Mundial
de la Salud (OMS), ocupa el segundo lugar en el mundo.
• TASA DE SOBREVIDA A LOS CINCO AÑOS 20%
GRUPO DE TRABAJO DE CANCER
GASTRICO EN LA RED ASISTENCIAL
GUILLERMO ALMENARA
LAPAROSCOPIA, CIRUGÍA ABIERTA
• Menor pérdida de sangre, menos dolor postoperatorio,
recuperación más rápida de la función intestinal, la
estancia hospitalaria y la morbilidad postoperatoria
menor, al precio de un mayor tiempo operatorio.
• No hay diferencias estadísticas en la disección de los
ganglios linfáticos, el margen de resección, la mortalidad
hospitalaria, y los resultados a largo plazo, lo que indica
el parecido seguridad oncológica.
Laparoscopic versus Open Total Gastrectomy for Gastric
Cancer: An Updated Meta-Analysis
Weizhi Wang1, Xiaoyu Zhang1, Chen Shen2, Xiaofei Zhi1, Baolin Wang2*, Zekuan Xu1*
1 Department of General Surgery, The First Affiliated Hospital of Nanjing Medical University, Nanjing, China, 2 Department of General Surgery, The Second Affiliated
Hospital of Nanjing Medical University, Nanjing, China
D1
N1 : Ganglios paracardiales derechos
N2 : Ganglios paracardiales izqierdos.
N3 : Ganglios a lo largo de la curvatura menor.
N4 : Ganglios a lo largo de la curvatura mayor.
N5 : Ganglios suprapilóricos.
N6 : Ganglios infrapilóricos.
D2
N7 : Ganglios a lo largo de la arteria gástrica izquierda.
N8 : Ganglios a lo largo de la arteria hepática común.
N9 : Ganglios alrededor del tronco celiaco.
N10 : Ganglios a nivel del hilio esplénico.
N11 : Ganglios a nivel de la arteria esplénica.
N12 : Ganglios a nivel del ligamento hepatoduodenal
D3
N13 : Ganglios retropancreáticos.
N15 : Ganglios en el mesocolon del colon transverso.
N16 : Ganglios paraórticos.
DEBERÁ EN LO POSIBLE HACERSE UNA CIRUGÍA CON NIVEL D2 (GASTRECTOMÍA D2), PARA
LA MAYORÍA DE LOS PACIENTES CON CÁNCER GÁSTRICO QUE INCLUYE:
1. Omentectomía mayor y menor.
2. Disección de la hoja anterior del mesocolon transverso.
3. Disección de la superficie serosa del borde superior del páncreas.
4. Remoción de los ganglios Infrapilóricos (No.6).
5. Disección de los ganglios de la arteria gástrica derecha, (Pilórica) (No.5).
6. Disección de los ganglios de la arteria hepática (No.8).
7. Disección de los ganglios del tronco celiaco (No.9) y gástrica izquierda (No.7).
8. Disección de los ganglios de la arteria esplénica (No.11).
9.
Si es gastrectomía total la esplenectomía esta indicada, como en la gran mayoría
de los casos la pancreatectomía distal, (No 10) (hilio esplenico).
10. Disección de los ganglios Hepato-duodenales (No 12)
ESTADIO N
NX No se pueden evaluar los ganglios linfáticos regionales.
N0 No hay metástasis a los ganglios linfáticos regionales.
b
N1 Metástasis en 1–2 ganglios linfáticos regionales.
N2 Metástasis en 3–6 ganglios linfáticos regionales.
N3 Metástasis en ≥7 ganglios linfáticos regionales.
N3a Metástasis en 7–15 ganglios linfáticos regionales.
N3b Metástasis en ≥16 ganglios linfáticos regionales.
T1
T2
T3
T4
CRITERIOS DE INFILTRACIÓN ADENOPÁTICA
El diámetro menor es mayor a 6mm (ganglios perigástricos) o mayor a
8mm (ganglios linfáticos extraperigástricos).
Morfología redondeada (ratio de diámetros longitudinal-tranversal
inferior a 0,5)
Hilio graso excéntrico o ausente.
Realce heterogéneo o aumentado.
Necrosis central.
GASTRECTOMÍA TOTAL Y SUBTOTAL
D0: Linfadenectomia menor a D1
D1: 1-7
D1+: D1+ grupos 8-9-11p
D2: D1+ grupos 8-9-10-11p-11d- 12a
D0: Linfadenectomía menor a D1
D1: Grupos 1- 3- 4d-s4b-5-6-7
D1+: D1 + grupos 8a-9
D2: D1 + grupos 8a-9-11p-12a
T - N EN ESTADIAJE
• 2D: AXIALES- MPR
• 3D: VOLUMEN RENDERING
• Exactitud de la estadificación T: 3D 84% Y 2D 77%.
• Estadificación N: 3D 63% y 2D 61%.
Imaging abdominal
Julio / agosto de 2005 , Volumen 30 , Número 4 , pp 465-472
Fecha: 29 de marzo 2005
EL PUNTO DE VISTA ONCOLOGICO
EN CANCER GASTRICO
• ESTADIFICACION TNM
• HIDROTOMOGRAFIA
• DISEMINACION REGIONAL
• ANATOMIA VASCULAR POR TOMOGRAFIA
• OTROS:
EL PUNTO DE VISTA ONCOLOGICO
EN CANCER GASTRICO
• ESTADIFICACION TNM
• HIDROTOMOGRAFIA
• DISEMINACION REGIONAL
• ANATOMIA VASCULAR POR TOMOGRAFIA
• OTROS:
VIAS DE DISEMINACION
• LIGAMENTOS:
o GASTROHEPATICO
o HEPATODUODENAL
o GASTROESPLENICO
o ESPLENORRENAL
o GASTROCOLICO
PARAMETROS TECNICOS- ANGIOTEM
• 120 kVp, 300 mA, la velocidad de 0,5 segundos de rotación del gantry,
de 1 mm de grosor de corte, velocidad de la mesa de 15 mm por
rotación, y los intervalos de reconstrucción de 0,5 mm.
• Para el examen de TC con contraste, un agente de contraste no iónico
(300 mg de I / ml)
• 5 ml /seg. usando un inyector automático .
• 100 ml < 40 kg
• 2,5 ml x Kg. Pacientes entre 40 y 60 kg
• 150 ml > 60 kg.
• Se plantea: siendo el campo de escaneo
de 200 a 250 mm. que incluye de la
cúpula hepática al borde inferior
gástrico en apnea.
– Promedio de 8 segundos en una fase
para 16 filas de detectores.
– Promedio de 20 segundos en una fase
para 4 filas de detectores.
TIEMPOS PROMEDIO
Takahasi--------------------------------------------------- Mitsuru
ANGIOTEM
• FASES ARTERIAL Y VENOSA
• RECONSTRUCCIONES MIP
• VOLUMEN RENDERING-3D
ARTERIAS
VENAS
TIPOS PROPUESTOS POR MICHELS
Tipo
I Anatomía normal
II La AHI está reemplazada desde la AGI
III La AHD está reemplazada desde la arteria mesentérica superior
(AMS).
IV Ambas AHI y AHD están reemplazadas.
V Hay una AHI accesoria, rama de la AGI.
VI Hay una AHD accesoria, rama de la AMS.
VII Ambas AHI y AHD son accesorias.
VIII
Combinación de patrones correspondientes bien a una AHI
reemplazada
asociada a una AHD accesoria, o bien a una AHI accesoria y una
AHD reemplazada.
IX El TC está ausente. Todo el tronco hepático deriva de la AMS.
X No hay AH en el TC. Todo el tronco hepático deriva de la AGI.
AH= la arteria hepática, AE= arteria esplénica, AGI= gástrica izquierda, TrC= tronco celíaco, AHI= arteria hepática
izquierda, AHD= arteria hepática derecha. (AHD) para el LHD. AHC= arteria hepática común. AGD= arteria
gastroduodenal , AHP= arteria hepática propia. Existe una arteria hepática media, irriga el segmento IV hepático
nace de la AHD como de la AHI (1/1).
EVALUACIÓN VASCULAR PREOPERATORIA
July 2004, Volume 183, Number 1
Gastrointestinal Imaging
Preoperative Assessment of Vascular Anatomy Around the Stomach by 3D Imaging Using MDCT Before Laparoscopy-Assisted Gastrectomy
Mitsuru Matsuki1, Hiroyuki Kani1, Fuminari Tatsugami1, Shushi Yoshikawa1, Isamu Narabayashi1, Sang-Woong Lee2,Hisashi Shinohara2, Eiji
Nomura2 and Nobuhiko Tanigawa
IMPORTANCIA DEL DRENAJE VENOSO
ANGIOTEM
CRITERIO RADIOLÓGICO PUEDE
VARIAR SEGÚN EL TIPO DE CIRUGÍA
• GASTRECTOMIA SUBTOTAL.
• GASTRECTOMIA TOTAL.
• GASTRECTOMIA TOTAL CON PRESERVACION DE
BAZO.
CIRUGIA ABIERTA VS LAPAROSCOPIA
• VENTAJAS
– INCISION MAS PEQUEÑA
– MENOR SANGRADO INTRA OPERATORIO
– MENOR DOLOR POSTOPERATORIO
– RECUPERACION FUNCIONAL INTESTINAL
TEMPRANA
– MEJOR CALIDAD DE VIDA
• DESVENTAJAS
– FALTA DE SENSACION TACTIL
– MENOR CAMPO OPERATORIO
– INCAPACIDAD PARA MANIPULAR ORGANOS
CIRUGIA LAPAROSCOPIA
• GASTRECTOMIA DISTAL:
• GASTRECTOMIA TOTAL: Necesidad de disección de
ganglios linfáticos en hilio esplénico y necesidad de
esofagoyeyunostomia.
• DIRECTRICES JAPONESAS: Recomiendan disección
hiliar esplénica en pacientes con neo proliferación de
tercio superior y medio que se someten a laparoscopia
con disección D2.
PUNTOS TÉCNICOS IMPORTANTES EN
GASTRECTOMÍA LAPAROSCÓPICA DISTAL
• Abordaje de la arteria y vena gastro epiploica izquierda.
Disección de ganglios.
• El tronco gastrocólico de Henle puede ser erróneamente
disecado bajo guía laparoscópica
• El accesorio vena cólica derecha puede ser lesionado
por error durante la disección de ganglios linfáticos
subpiloricos.
• El origen de la RGA debe ser ligado después de la disección de la
primera porción del duodeno o la eversión de la curvatura mayor.
• Es esencial que la vena gástrica izquierda se confirme y se ligue
antes de la disección de los ganglios linfáticos.
• Si la ligadura no se realiza antes, puede lesionarse por error
durante la disección de los ganglios linfáticos (8a), que conduce a
una hemorragia masiva.
• La disección en bloque de los ganglios linfáticos alrededor del
tronco celíaco (9) expondrá la arteria gástrica izquierda.
• Por lo tanto, para ligar de manera segura los orígenes arteriales y
venas y para diseccionar los ganglios linfáticos mediante guía
laparoscópica, la evaluación simultánea de las arterias y las venas
alrededor del estómago utilizando 3D CTA antes de gastrectomía
laparoscópica se considera útil.
• GASTRICA DERECHA
•
Read More: http://www.ajronline.org/doi/full/10.2214/ajr.183.1.1830145
• Cuando la arteria gástrica derecha de origina a partir de GDA, el estómago debe se evertido, se
identifica el origen de RGA, y la arteria se liga.
PUNTOS TÉCNICOS IMPORTANTES EN
GASTRECTOMÍA LAPAROSCÓPICA TOTAL
PROBLEMA A RESOLVER
• DISECCION HILIAR ESPLENICA CON
PRESERVACION DE BAZO.
La incapacidad para juzgar intuitivamente la
forma de los vasos esplénicos aumenta la
probabilidad de lesión vascular y sangrado.
• Arteria gastroepiploica izquierda: nacimiento en arteria
esplénica lobar inferior.
• Vasos gástricos cortos son liberados, sujetan, y se
cortan en el origen.
• Tejidos grasos linfáticos detrás del hilio esplénico se
disecan.
• Los tejidos grasos, incluyendo los ganglios linfáticos del
bazo, son retirados del hilio esplénico
A: LA EVALUACIÓN PREOPERATORIA DE LA ANATOMÍA VASCULAR ESPLÉNICA MEDIANTE TOMOGRAFÍA
COMPUTARIZADA CON IMÁGENES IMÁGENES 3D; B: VISTA OPERATIVO DESPUÉS DE LA FINALIZACIÓN DE
LA DISECCIÓN DE LOS GANGLIOS LINFÁTICOS DEL BAZO
World J Gastroenterol. Apr 28, 2014; 20(16): 4797–4805.
Published online Apr 28, 2014. doi: 10.3748/wjg.v20.i16.4797
PMCID: PMC4000518
Role of 3DCT in laparoscopic total gastrectomy with spleen-preserving splenic lymph node dissection
Jia-Bin Wang,
TWO-LOBE SPLENIC VESSELS
TRES VASOS ESPLÉNICOS.
• La identificación de los vasos esplénicos es crítico en
preservación laparoscópica de bazo.
• La técnica laparoscópica tiene limitaciones significativas:
– Siendo esencialmente de dos dimensiones con una
pérdida de la percepción de profundidad y la
orientación espacial
• Evaluación 3DCT preoperatoria de la anatomía ayuda a
la ligadura segura y rápida, y la disección de los
linfonodos hiliares esplénicos, especialmente en los
pacientes obesos.
Tanto la sensibilidad y el valor predictivo positivo de 3D ​​CTA
revelan 100% correcta determinación de la arteria gástrica
izquierda, origen de arteria hepática izquierda, y la vena
coronaria gástrica izquierda.
La sensibilidad y el valor predictivo positivo de la arteria gástrica
derecha fueron del 97% y 100%, respectivamente.
July 2004, Volume 183, Number 1
« Previous Article | Next Article »
Gastrointestinal Imaging
Preoperative Assessment of Vascular Anatomy Around the Stomach by 3D Imaging Using MDCT Before Laparoscopy-
Assisted Gastrectomy
Mitsuru Matsuki1, Hiroyuki Kani1, Fuminari Tatsugami1, Shushi Yoshikawa1, Isamu Narabayashi1, Sang-Woong Lee2,Hisashi
Shinohara2, Eiji Nomura2 and Nobuhiko Tanigawa2
RESUMEN: ANGIOTEM EN CANCER GASTRICO.
• DISTENSION ADECUADA: TECNICA
HIDROGASTRICA.
• SEGÚN TECNOGIA: REDUCIR CAMPO DE BARRIDO,
EN UNA SOLA APNEA.
• RECONSTRUCIONES CON CONOCIMIENTO DE
ANATOMIA QUIRURGICA. EN LO POSIBLE
REPRESENTACION DE ARTERIAS Y VENAS
JUNTAS.
• TRABAJO MULTIDISCIPLINARIO.
GRACIAS

Charla Dr Apaza 1

  • 1.
    MIGUEL ANIBAL APAZACANAZA MEDICO RADIOLOGO SERVICIO DE ECOTAC- UNIDAD DE DIAGNOSTICO MULTISCIPLINARIO DEL HOSPITAL GUILLERMO ALMENARA- UDIM HIDRO- ANGIOTEM EN LA EVALUACION PREQUIRURGICA EN CANCER GASTRICO
  • 2.
    • CONCEPTOS GENERALES –IMPORTANCIA DE TOMOGRAFIA – HIDROCT – ESTADIAJE • DESARROLLO DE TEMA – ANGIOTEM EN CANCER GASTRICO
  • 3.
  • 4.
    • Como resumenpodíamos decir que el uso de la tecnología en el diagnóstico tiene como indicaciones: • Reforzar una hipótesis diagnóstica; para comprobar una hipótesis diagnóstica; para excluir una enfermedad o reducir sus posibilidades; para pesquisar o rastrear enfermedades asintomáticas, en este caso descubren o excluyen una enfermedad específica; y no es menos cierto que algunas veces en el proceso del diagnóstico hay exámenes que se indican para tranquilizar al paciente y/o al médico. • Entonces la espacialidad de radiología queda relegada a: examen auxiliares, ayuda diagnostica, diagnóstico por imágenes, etc.
  • 5.
    PROBLEMATICA • MUCHOS PACIENTESCON MAL DIAGNOSTICO • PACIENTES SIN DIAGNOTICO • SOBRE DIAGNOTICO, ENCARNIZAMIENTO DIAGNOSTICO.
  • 6.
    MARIO BUNGE • “Amí, el problema que me inicio en la filosofía en la medicina o en pensar y hacer algunas publicaciones sueltas, fue en el problema del diagnóstico, que me parece de los problemas más difíciles, a mí no me extraña que gran parte de los diagnósticos sean equivocados, y en todo caso temporarios porque es un problema inverso. Los problemas inversos van del efecto a la causa, no van de arriba para abajo, de axioma a teoremas, si no al revés de teoremas a axiomas. Y no hay reglas no hay algoritmos para resolver problemas inversos. Ni en física, ni en ingeniería, ni en medicina. Cada problema debe tratarse independientemente como problema nuevo y exige ingenio para resolver el problema”.
  • 7.
    SIGNOS TOMOGRÁFICOS • Superficieluminal irregular, nodular. • Engrosamiento asimétrico de pliegues. • Engrosamiento pared focal, difuso (linitis plástica), o una masa lobular c/s ulceraciones. • Densidad incrementada de grasa perigástrica. • Nódulos de superficie serosa = linfáticos dilatados. • Diámetro de esófago en UGE > aorta (DDx hernia hiatal).
  • 8.
    ESTADIFICACION DEL TUMOR(T) Estadio I. (a) tumor intraluminal que invade la mucosa. (b) Imagen coronal con realce focal no transmural en el cuerpo superior
  • 9.
    Estadio II. Engrosamientode la pared mayor de 1 cm e invade la submucosa y la muscularis propia. (b) Imagen axial muestra una masa en el cuerpo inferior, ulcerativa, focal, transmural con realce sin extensión perigástrica.
  • 10.
    Estadio III: (a)El tumor invade la muscularis propia y la serosa. Adenopatías en la cadena ganglionar. (b) Tumor en el antro con gruesa infiltración de la grasa perigástrica.
  • 11.
    Estadio IV. (a)Extensión a través de la serosa dentro de la cavidad peritoneal. Adenopatías y metastasis hepáticas (b) Gran masa ulcerante, exofítica, con metastasis hepáticas. La masa parece comprometer el páncreas.
  • 12.
  • 13.
    CANCER GASTRICO • Elcáncer al estómago es la primera causa de mortalidad por cáncer en el Perú y, según laOrganización Mundial de la Salud (OMS), ocupa el segundo lugar en el mundo. • TASA DE SOBREVIDA A LOS CINCO AÑOS 20% GRUPO DE TRABAJO DE CANCER GASTRICO EN LA RED ASISTENCIAL GUILLERMO ALMENARA
  • 14.
    LAPAROSCOPIA, CIRUGÍA ABIERTA •Menor pérdida de sangre, menos dolor postoperatorio, recuperación más rápida de la función intestinal, la estancia hospitalaria y la morbilidad postoperatoria menor, al precio de un mayor tiempo operatorio. • No hay diferencias estadísticas en la disección de los ganglios linfáticos, el margen de resección, la mortalidad hospitalaria, y los resultados a largo plazo, lo que indica el parecido seguridad oncológica. Laparoscopic versus Open Total Gastrectomy for Gastric Cancer: An Updated Meta-Analysis Weizhi Wang1, Xiaoyu Zhang1, Chen Shen2, Xiaofei Zhi1, Baolin Wang2*, Zekuan Xu1* 1 Department of General Surgery, The First Affiliated Hospital of Nanjing Medical University, Nanjing, China, 2 Department of General Surgery, The Second Affiliated Hospital of Nanjing Medical University, Nanjing, China
  • 15.
    D1 N1 : Gangliosparacardiales derechos N2 : Ganglios paracardiales izqierdos. N3 : Ganglios a lo largo de la curvatura menor. N4 : Ganglios a lo largo de la curvatura mayor. N5 : Ganglios suprapilóricos. N6 : Ganglios infrapilóricos.
  • 16.
    D2 N7 : Gangliosa lo largo de la arteria gástrica izquierda. N8 : Ganglios a lo largo de la arteria hepática común. N9 : Ganglios alrededor del tronco celiaco. N10 : Ganglios a nivel del hilio esplénico. N11 : Ganglios a nivel de la arteria esplénica. N12 : Ganglios a nivel del ligamento hepatoduodenal
  • 17.
    D3 N13 : Gangliosretropancreáticos. N15 : Ganglios en el mesocolon del colon transverso. N16 : Ganglios paraórticos.
  • 18.
    DEBERÁ EN LOPOSIBLE HACERSE UNA CIRUGÍA CON NIVEL D2 (GASTRECTOMÍA D2), PARA LA MAYORÍA DE LOS PACIENTES CON CÁNCER GÁSTRICO QUE INCLUYE: 1. Omentectomía mayor y menor. 2. Disección de la hoja anterior del mesocolon transverso. 3. Disección de la superficie serosa del borde superior del páncreas. 4. Remoción de los ganglios Infrapilóricos (No.6). 5. Disección de los ganglios de la arteria gástrica derecha, (Pilórica) (No.5). 6. Disección de los ganglios de la arteria hepática (No.8). 7. Disección de los ganglios del tronco celiaco (No.9) y gástrica izquierda (No.7). 8. Disección de los ganglios de la arteria esplénica (No.11). 9. Si es gastrectomía total la esplenectomía esta indicada, como en la gran mayoría de los casos la pancreatectomía distal, (No 10) (hilio esplenico). 10. Disección de los ganglios Hepato-duodenales (No 12)
  • 19.
    ESTADIO N NX Nose pueden evaluar los ganglios linfáticos regionales. N0 No hay metástasis a los ganglios linfáticos regionales. b N1 Metástasis en 1–2 ganglios linfáticos regionales. N2 Metástasis en 3–6 ganglios linfáticos regionales. N3 Metástasis en ≥7 ganglios linfáticos regionales. N3a Metástasis en 7–15 ganglios linfáticos regionales. N3b Metástasis en ≥16 ganglios linfáticos regionales.
  • 20.
  • 21.
  • 22.
  • 23.
  • 25.
    CRITERIOS DE INFILTRACIÓNADENOPÁTICA El diámetro menor es mayor a 6mm (ganglios perigástricos) o mayor a 8mm (ganglios linfáticos extraperigástricos). Morfología redondeada (ratio de diámetros longitudinal-tranversal inferior a 0,5) Hilio graso excéntrico o ausente. Realce heterogéneo o aumentado. Necrosis central.
  • 26.
    GASTRECTOMÍA TOTAL YSUBTOTAL D0: Linfadenectomia menor a D1 D1: 1-7 D1+: D1+ grupos 8-9-11p D2: D1+ grupos 8-9-10-11p-11d- 12a D0: Linfadenectomía menor a D1 D1: Grupos 1- 3- 4d-s4b-5-6-7 D1+: D1 + grupos 8a-9 D2: D1 + grupos 8a-9-11p-12a
  • 27.
    T - NEN ESTADIAJE • 2D: AXIALES- MPR • 3D: VOLUMEN RENDERING • Exactitud de la estadificación T: 3D 84% Y 2D 77%. • Estadificación N: 3D 63% y 2D 61%. Imaging abdominal Julio / agosto de 2005 , Volumen 30 , Número 4 , pp 465-472 Fecha: 29 de marzo 2005
  • 28.
    EL PUNTO DEVISTA ONCOLOGICO EN CANCER GASTRICO • ESTADIFICACION TNM • HIDROTOMOGRAFIA • DISEMINACION REGIONAL • ANATOMIA VASCULAR POR TOMOGRAFIA • OTROS:
  • 29.
    EL PUNTO DEVISTA ONCOLOGICO EN CANCER GASTRICO • ESTADIFICACION TNM • HIDROTOMOGRAFIA • DISEMINACION REGIONAL • ANATOMIA VASCULAR POR TOMOGRAFIA • OTROS:
  • 30.
    VIAS DE DISEMINACION •LIGAMENTOS: o GASTROHEPATICO o HEPATODUODENAL o GASTROESPLENICO o ESPLENORRENAL o GASTROCOLICO
  • 31.
    PARAMETROS TECNICOS- ANGIOTEM •120 kVp, 300 mA, la velocidad de 0,5 segundos de rotación del gantry, de 1 mm de grosor de corte, velocidad de la mesa de 15 mm por rotación, y los intervalos de reconstrucción de 0,5 mm. • Para el examen de TC con contraste, un agente de contraste no iónico (300 mg de I / ml) • 5 ml /seg. usando un inyector automático . • 100 ml < 40 kg • 2,5 ml x Kg. Pacientes entre 40 y 60 kg • 150 ml > 60 kg. • Se plantea: siendo el campo de escaneo de 200 a 250 mm. que incluye de la cúpula hepática al borde inferior gástrico en apnea. – Promedio de 8 segundos en una fase para 16 filas de detectores. – Promedio de 20 segundos en una fase para 4 filas de detectores.
  • 32.
  • 33.
    ANGIOTEM • FASES ARTERIALY VENOSA • RECONSTRUCCIONES MIP • VOLUMEN RENDERING-3D
  • 34.
  • 35.
  • 36.
    TIPOS PROPUESTOS PORMICHELS Tipo I Anatomía normal II La AHI está reemplazada desde la AGI III La AHD está reemplazada desde la arteria mesentérica superior (AMS). IV Ambas AHI y AHD están reemplazadas. V Hay una AHI accesoria, rama de la AGI. VI Hay una AHD accesoria, rama de la AMS. VII Ambas AHI y AHD son accesorias. VIII Combinación de patrones correspondientes bien a una AHI reemplazada asociada a una AHD accesoria, o bien a una AHI accesoria y una AHD reemplazada. IX El TC está ausente. Todo el tronco hepático deriva de la AMS. X No hay AH en el TC. Todo el tronco hepático deriva de la AGI. AH= la arteria hepática, AE= arteria esplénica, AGI= gástrica izquierda, TrC= tronco celíaco, AHI= arteria hepática izquierda, AHD= arteria hepática derecha. (AHD) para el LHD. AHC= arteria hepática común. AGD= arteria gastroduodenal , AHP= arteria hepática propia. Existe una arteria hepática media, irriga el segmento IV hepático nace de la AHD como de la AHI (1/1).
  • 37.
    EVALUACIÓN VASCULAR PREOPERATORIA July2004, Volume 183, Number 1 Gastrointestinal Imaging Preoperative Assessment of Vascular Anatomy Around the Stomach by 3D Imaging Using MDCT Before Laparoscopy-Assisted Gastrectomy Mitsuru Matsuki1, Hiroyuki Kani1, Fuminari Tatsugami1, Shushi Yoshikawa1, Isamu Narabayashi1, Sang-Woong Lee2,Hisashi Shinohara2, Eiji Nomura2 and Nobuhiko Tanigawa
  • 38.
  • 39.
  • 40.
    CRITERIO RADIOLÓGICO PUEDE VARIARSEGÚN EL TIPO DE CIRUGÍA • GASTRECTOMIA SUBTOTAL. • GASTRECTOMIA TOTAL. • GASTRECTOMIA TOTAL CON PRESERVACION DE BAZO.
  • 41.
    CIRUGIA ABIERTA VSLAPAROSCOPIA • VENTAJAS – INCISION MAS PEQUEÑA – MENOR SANGRADO INTRA OPERATORIO – MENOR DOLOR POSTOPERATORIO – RECUPERACION FUNCIONAL INTESTINAL TEMPRANA – MEJOR CALIDAD DE VIDA • DESVENTAJAS – FALTA DE SENSACION TACTIL – MENOR CAMPO OPERATORIO – INCAPACIDAD PARA MANIPULAR ORGANOS
  • 42.
    CIRUGIA LAPAROSCOPIA • GASTRECTOMIADISTAL: • GASTRECTOMIA TOTAL: Necesidad de disección de ganglios linfáticos en hilio esplénico y necesidad de esofagoyeyunostomia. • DIRECTRICES JAPONESAS: Recomiendan disección hiliar esplénica en pacientes con neo proliferación de tercio superior y medio que se someten a laparoscopia con disección D2.
  • 43.
    PUNTOS TÉCNICOS IMPORTANTESEN GASTRECTOMÍA LAPAROSCÓPICA DISTAL • Abordaje de la arteria y vena gastro epiploica izquierda. Disección de ganglios. • El tronco gastrocólico de Henle puede ser erróneamente disecado bajo guía laparoscópica • El accesorio vena cólica derecha puede ser lesionado por error durante la disección de ganglios linfáticos subpiloricos.
  • 44.
    • El origende la RGA debe ser ligado después de la disección de la primera porción del duodeno o la eversión de la curvatura mayor. • Es esencial que la vena gástrica izquierda se confirme y se ligue antes de la disección de los ganglios linfáticos. • Si la ligadura no se realiza antes, puede lesionarse por error durante la disección de los ganglios linfáticos (8a), que conduce a una hemorragia masiva. • La disección en bloque de los ganglios linfáticos alrededor del tronco celíaco (9) expondrá la arteria gástrica izquierda. • Por lo tanto, para ligar de manera segura los orígenes arteriales y venas y para diseccionar los ganglios linfáticos mediante guía laparoscópica, la evaluación simultánea de las arterias y las venas alrededor del estómago utilizando 3D CTA antes de gastrectomía laparoscópica se considera útil.
  • 45.
    • GASTRICA DERECHA • ReadMore: http://www.ajronline.org/doi/full/10.2214/ajr.183.1.1830145
  • 46.
    • Cuando laarteria gástrica derecha de origina a partir de GDA, el estómago debe se evertido, se identifica el origen de RGA, y la arteria se liga.
  • 47.
    PUNTOS TÉCNICOS IMPORTANTESEN GASTRECTOMÍA LAPAROSCÓPICA TOTAL
  • 48.
    PROBLEMA A RESOLVER •DISECCION HILIAR ESPLENICA CON PRESERVACION DE BAZO. La incapacidad para juzgar intuitivamente la forma de los vasos esplénicos aumenta la probabilidad de lesión vascular y sangrado.
  • 49.
    • Arteria gastroepiploicaizquierda: nacimiento en arteria esplénica lobar inferior.
  • 50.
    • Vasos gástricoscortos son liberados, sujetan, y se cortan en el origen.
  • 51.
    • Tejidos grasoslinfáticos detrás del hilio esplénico se disecan.
  • 52.
    • Los tejidosgrasos, incluyendo los ganglios linfáticos del bazo, son retirados del hilio esplénico
  • 53.
    A: LA EVALUACIÓNPREOPERATORIA DE LA ANATOMÍA VASCULAR ESPLÉNICA MEDIANTE TOMOGRAFÍA COMPUTARIZADA CON IMÁGENES IMÁGENES 3D; B: VISTA OPERATIVO DESPUÉS DE LA FINALIZACIÓN DE LA DISECCIÓN DE LOS GANGLIOS LINFÁTICOS DEL BAZO World J Gastroenterol. Apr 28, 2014; 20(16): 4797–4805. Published online Apr 28, 2014. doi: 10.3748/wjg.v20.i16.4797 PMCID: PMC4000518 Role of 3DCT in laparoscopic total gastrectomy with spleen-preserving splenic lymph node dissection Jia-Bin Wang,
  • 54.
  • 55.
  • 56.
    • La identificaciónde los vasos esplénicos es crítico en preservación laparoscópica de bazo. • La técnica laparoscópica tiene limitaciones significativas: – Siendo esencialmente de dos dimensiones con una pérdida de la percepción de profundidad y la orientación espacial • Evaluación 3DCT preoperatoria de la anatomía ayuda a la ligadura segura y rápida, y la disección de los linfonodos hiliares esplénicos, especialmente en los pacientes obesos.
  • 57.
    Tanto la sensibilidady el valor predictivo positivo de 3D ​​CTA revelan 100% correcta determinación de la arteria gástrica izquierda, origen de arteria hepática izquierda, y la vena coronaria gástrica izquierda. La sensibilidad y el valor predictivo positivo de la arteria gástrica derecha fueron del 97% y 100%, respectivamente. July 2004, Volume 183, Number 1 « Previous Article | Next Article » Gastrointestinal Imaging Preoperative Assessment of Vascular Anatomy Around the Stomach by 3D Imaging Using MDCT Before Laparoscopy- Assisted Gastrectomy Mitsuru Matsuki1, Hiroyuki Kani1, Fuminari Tatsugami1, Shushi Yoshikawa1, Isamu Narabayashi1, Sang-Woong Lee2,Hisashi Shinohara2, Eiji Nomura2 and Nobuhiko Tanigawa2
  • 58.
    RESUMEN: ANGIOTEM ENCANCER GASTRICO. • DISTENSION ADECUADA: TECNICA HIDROGASTRICA. • SEGÚN TECNOGIA: REDUCIR CAMPO DE BARRIDO, EN UNA SOLA APNEA. • RECONSTRUCIONES CON CONOCIMIENTO DE ANATOMIA QUIRURGICA. EN LO POSIBLE REPRESENTACION DE ARTERIAS Y VENAS JUNTAS. • TRABAJO MULTIDISCIPLINARIO.
  • 59.