TEMA:
DIAGNÓSTICO
ALUMNA:
NATHALY RAMIREZ GARCIA
CURSO:
5/4
DOCENTE:
DRA. NELLY VASQUEZ
 Diagnóstico es aquello que, en el ámbito de
la medicina, está vinculado a la diagnosis.
Este término, a su vez, hace referencia a
diagnosticar: recabar datos para analizarlos e
interpretarlos, lo que permite evaluar una
cierta condición.
http://www.odontologosecuador.com/esp
anol/artpacientes/amb/diagnostico-
dental.htm
 Es el procedimiento que
consiste en aceptar a un
paciente, reconocer que
tiene un problema y
descubrir la causa de éste,
e idear un plan de
tratamiento que resolverá
y aliviara tal problema. La
metodología a desarrollarse
para la planificación del
diagnostico comprende
etapas fundamentales
como:
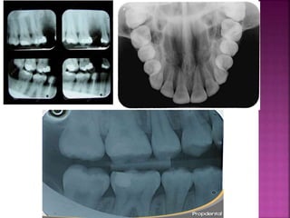
 la anamnesis o
interrogatorio, el análisis
por imágenes (aspecto
radiográfico) y si es
necesario solicitud de
análisis complementarias.
http://www.odontologosecuador.com/esp
anol/artpacientes/amb/diagnostico-
dental.htm
RESPUESTAS
SINTOMAS
SIGNOS
http://es.slideshare.net/cgonzalez248/diagnostico-pronostico-y-plan-de-tratamiento
DIAGNOSTICO
EN
ENDODONCIA
CONOCIMIENTOS
SENTIDO
COMÚN
INTUICIÓN
EXPERIENCIA
CLÍNICA
http://es.slideshare.net/cgonzalez248/
diagnostico-pronostico-y-plan-de-
tratamiento
ETAPAS
ANAMNESIS
HISTORIA CLINICA
EXAMEN (INTRAORAL-
EXTRAORAL)
ANALISIS
RADIOGRAFICA
 Información recopilada por un odontólogo
mediante preguntas específicas hacia el
paciente, para así obtener información que
permita llevar a cabo el diagnóstico y
tratamiento correspondiente.
http://es.slideshare.net/javieriperezcontreras/anamnesis-odontologica
 Contener solo datos
confiables
 No omitir ninguna
información útil.
 Ser concisa
 libre de datos superfluos
 Objetiva
http://www.odontologosecuador.com/esp
anol/artpacientes/amb/diagnostico-
dental.htm
Tractos sinusales
Palpación
de cara y
cuello
Exploración
visual
INSPECCION
VISUAL
PERCUSION
PALPACIÓN
MOVILIDAD
PRUEBAS DE
SENSIBILIDAD
EXPLORACION
PERIODONTAL
 PROCEDIMIENTO.- Secar encías y mucosas.
 INDENTIFICAR.- Anomalías de color y textura.
 DETERMINAR.- Necesidad de exámenes
complementarios (biopsia).
 CLASE I.-
movilidad de 1mm.
 CLASE II.-
movilidad de mas
de 1mm.
 CLASE II.-
movilidad
bucolingual y
oclusoapicalmente
 ESTIMULOS ELÉCTRICOS ESTIMULOS TÉRMICOS
 USADAS COMO COMPLEMETO DE DIAGNÓSTICO
http://www.ucv.
ve/fileadmin/us
er_upload/facult
ad_odontologia/I
magenes/Portal/
Endodoncia/Instr
umental_utilizad
o_en_endodonci
a.pdf
 INSTRUMENTAL BÁSICO.
PINZA
ESPEJO
EXPLORADOR
EXPLORADOR ENDODONTICO
DG 16
ESPATULA DE ZINQUENOL
SONDA PERIODONTAL
http://www.ucv.ve/fileadmin/user_upload/facultad_odontol
ogia/Imagenes/Portal/Endodoncia/Instrumental_utilizado_e
n_endodoncia.pdf
 Campos de Tela o Desechables :
 - Arco de Young :
 - Perforador de Dique de Goma.
 - Diques de goma de 6X6.
 - Grapas cervicales:
 - Porta grapas:
http://www.ucv.ve/fileadmin/user_uploa
d/facultad_odontologia/Imagenes/Portal/
Endodoncia/Instrumental_utilizado_en_en
dodoncia.pdf
http://www.ucv.ve/fileadmin/user_uploa
d/facultad_odontologia/Imagenes/Portal/
Endodoncia/Instrumental_utilizado_en_en
dodoncia.pdf
 Fresas Redondas de
Carburo: N° 2 -3- 4 – 6:
Utilizadas para la
eliminación de caries y para
la apertura de la cámara de
acceso.
 - Cucharita de Dentina o
excavador de dentina para
endodoncia: Para
eliminación de dentina
reblandecida y del tejido
pulpar cameral profundo.
 - Exploradores D-G 16 : Se
utiliza para localizar el
acceso a la cámara pulpar.
Y encontrar las entradas de
los conductos radiculares.
 Limas tipo K . ó Flexo File
 - Fabricados en longitudes de 21, 25, 28 y 31 mm.
 - En cualquiera de los tamaños la parte activa
siempre medirá 16 mm.
 - Los movimientos de limado. El corte ocurre en el
movimiento de Impulsión y tracción, ejerciendo
presión contra la pared del conducto.
 - Estan regidos por las normas de la Asociación Dental
Americana (ADA). Con Numeración y conicidades
preestablecidas.
 - Vienen en cajas de N° 08, N° 10 , de diferentes
longitudes. Y en cajas de Primera Serie, de la N°15 a
la N° 40 y de Segunda Serie de la N°45 a la N° 80. de
diferentes longitudes.
 - Se fabrican con alambre
circular en cuya superficie
se labran muescas en
forma de ganchos o barbas
dobladas.
 - Se emplean para la
extirpación de las pulpas
vitales.
 Reglas milimetradas
metálicas.
 - Sirven para llevar las
medidas de la longitud de
los conductos radiculares a
los instrumentos
endodónticos, conos de
papel, y gutapercha
http://www.ucv.ve/fileadmin/user_
upload/facultad_odontologia/Image
nes/Portal/Endodoncia/Instrumenta
l_utilizado_en_endodoncia.pdf
 Conos de Gutapercha. : Los conos de
gutapercha se utilizan para la técnica
de obturación lateral, se fabrican en
tamaño, diámetro y conicidad acordes
con las normas de la ADA para las limas
tipo K.
 - Láminas de vidrio pequeña : Para la
mezcla de cementos o selladores.
 - Espaciadores o Condensadores
Digitales: Son instrumentos metálicos
delgados terminados en punta,
ahusados, utilizados para obturación con
gutapercha en la técnica de
condensación lateral
 - Condensador manual para gutapercha
D – 11: Cumple la misma función que los
condensadores digitales.
 - Tijera Pequeña: Se utiliza para
recortar la punta del cono de
gutapercha durante el ajuste del cono
principal, y del “penacho” de
gutapercha, durante la fase final de la
obturación.
 - Mechero de alcohol: Sirve para
calentar el atacador tipo Mortonson
durante la fase final de la obturación.
 - Condensador tipo Mortonson: Es plano
en su parte activa. Después de ser
calentado, se utiliza para atacar en
forma vertical la gutapercha en el
tercio coronal,
 - Atacador de cemento: Nos permite
llevar y condensar diversos tipos de
cementos hacia el diente y la cavidad
pulpar.
 - Caja metálica para instrumentos de
Endodoncia: se utiliza para:
 - Organizar y visualizar el instrumental
sin dificultad.
 - Puede alojar todas limas, sondas
barbadas, condensadores, fresas, equipo
para la obturación , puntas de papel, y
torundas de algodón.
 - Realizar fácilmente la esterilización.
http://www.ucv.ve/fileadmin/user_uploa
d/facultad_odontologia/Imagenes/Portal/
Endodoncia/Instrumental_utilizado_en_en
dodoncia.pdf
http://es.slideshare.net/LuisanaAnzola/instrumentacio
n-endodoncia?next_slideshow=2
http://es.slideshare.net/LuisanaAnzola/instrumentacion-
endodoncia?next_slideshow=2
http://es.slideshare.net/LuisanaAnzola/i
nstrumentacion-
endodoncia?next_slideshow=2
http://www.ucv.ve/fileadmin/user_upload/facultad_odontologia/Ima
genes/Portal/Endodoncia/Instrumental_utilizado_en_endodoncia.pdf
 Lentes protectores.-
 para estudiante. Para trabajo en laboratorio y clinica los
lentes deben ser transparentes, con protector UV y con
aletas laterales para evitar el ingreso de cualquier
particula a los ojos tranto de frente como de lado.
http://dentalexperience.es.tl/LISTADO-
MATERIALES-DE-ENDODONCIA.htm
 Guantes de latex.
 Los alergicos al latex pueden utilizar guantes de vinilo o
silicona. Siempre deben tener varios pares de respuesta en
caso de ruptura de alguno de los guantes. Esta prohibido el
uso de joyas o accesorios en sus muñecas y/o dedos.
http://dentalexperience.es.tl/LISTADO-
MATERIALES-DE-ENDODONCIA.htm
 Gorros desechables. En endodoncia NO se
aceptan gorros de tela. El gorro desechable
debe cubrir todo el cabello recogido, incluso
debe proteger los oidos.
http://dentalexperience.es.tl/LISTADO-
MATERIALES-DE-ENDODONCIA.htm
 Tapabocas desechables. Este articulo debe
cubrir la nariz y la boca durante todo el
procedimiento clinico o preclinico.
http://dentalexperience.es.tl/LISTADO-
MATERIALES-DE-ENDODONCIA.htm
 Servilletas faciales o bucales para paciente.
 Vasos desechables para enjuegue bucal del
paciente.
 Pechera o servilleta desechable para paciente.
http://dentalexperience.es.tl/LISTADO-
MATERIALES-DE-ENDODONCIA.htm
http://dentalexperience.es.tl/LISTADO-
MATERIALES-DE-ENDODONCIA.htm

Diagnostico en endodoncia protocolo de bioseguridad