TUMORES OSEOS BENIGNOS Y MALIGNOS
Carlos Sevillano Bautista
Diagnóstico por Imágenes
14/05/2018
Osteoma, Osteoma Osteoide, Condroma :Encondroma,
Osteocondroma,Tumor de células gigantes, Quiste Oseo,
Osteosarcoma, Sarcoma de Ewing, Condrosarcoma
Índice o tabla de contenidos
• 1º sub tema, OSTEOMA
• 2º sub tema, OSTEOMA OSTEOIDE
• 3º sub tema, CONDROMA
• 4º sub tema, ENCONDROMA
• 5º sub tema, OSTEOCONDROMA
• 6º sub tema, TUMOR DE CELULAS GIGANTES
• 7º sub tema, QUISTE OSEO/ QUISTE OSEO ANEURISMATICO
• 8º sub tema, OSTEOSARCOMA
• 9º sub tema, SARCOMA DE EWING
• 10º sub tema, CONDROSARCOMA
• 11º Fuentes de información
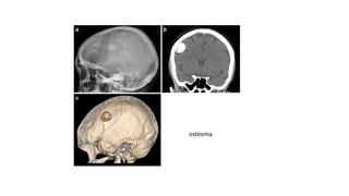
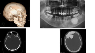
OSTEOMA
El osteoma es un tumor benigno raro de hueso, que parece tener un origen
perióstico o yuxtacortical.
Se da más a menudo en adolescentes y adultos, y tiene preferencia por el
sexo masculino.
Tipos: .- Clásico o convencional (huesos de osificación membranosa),
.- Parosteal (exostosis o hiperostosis postraumática),
.- Medular (islas óseas) y
.- Síndrome de Gardner (osteomas, poliposis colónica, tumores de
tejidos blandos. De transmisión autosómica dominante).
I. OSTEOMA
El osteoma clásico se da en el cráneo, senos paranasales y la mandíbula.
El parosteal en los huesos largos y
El medular en el tercio medio de la tibia y el fémur.
Clínica:
Los osteomas suelen ser de crecimiento lento, indoloros salvo cuando ejercen
acción mecánica sobre estructuras vecinas, pero producirán una gran masa ósea
visible y palpable. En ocasiones debuta con una sinusitis o una masa que deforma
las paredes de la órbita, o una protrusión en la mucosa bucal.
Rayos X ; La lesión es circunscrita de extraordinaria densidad, redondeada y
generalmente menor de 2 cm, aunque pueden alcanzar dimensiones enormes.
osteoma
OSTEOMA OSTEOIDE
II. OSTEOMA OSTEOIDE:
El osteoma osteoide representa aproximadamente el 10% de los tumores óseos
benignos. Se presenta con mayor frecuencia en la segunda década de la vida, con
un predominio en el sexo masculino (proporción hombre-mujer 4:1).
Característicamente los pacientes presentan dolor óseo no relacionado con la actividad
física y que a menudo empeora por la noche. Se suele aliviar con la administración
de salicilatos u otros fármacos antiinflamatorios no esteroideos. Otras manifestaciones
menos frecuentes son los trastornos de crecimiento, la deformidad ósea o la
escoliosis dolorosa.
Rx: nido central radiolúcido con esclerosis reactiva densa y osteogénesis perióstica.
TC: ayuda a localizar nido con calcificación central.
RM: T1 intensidad intermedia. T2 hiperintenso. Cubierta cartilaginosa.
OSTEOMA OSTEOIDE:
HALLAZGOS EN RADIOGRAFÍA CONVENCIONAL:
Las radiografías muestran característicamente una radiolucencia en el hueso de
morfología redonda u ovalada que representa el nidus (por lo general menor de 2 cm), el
cual muestra una cantidad variable de mineralización central y se acompaña de un grado
variable esclerosis y engrosamiento cortical adyacente.
Puede ser difícil identificar el nidus si la esclerosis ósea es muy significativa.
OSTEOMA OSTEOIDE:
HALLAZGOS EN TOMOGRAFÍA COMPUTARIZADA (TC):
La TC proporciona la mejor caracterización tanto del nidus como de la esclerosis ósea que
lo rodea.
El nidus es visualizado como una lesión de baja atenuación, bien definida, de morfología
redonda u oval y que presenta diferentes grados de mineralización central.
Cuando la esclerosis ósea reactiva está presente puede variar desde leve a esclerosis
significativa con reacción perióstica y formación de hueso nuevo, lo cual puede
enmascarar el nidus.
Aunque el uso de contraste intravenoso no es necesario, puede observarse el realce de
un nidus hipervascular (no calcificado) en los estudios de TC dinámicos.
OSTEOMA OSTEOIDE:
HALLAZGOS EN RESONANCIA MAGNÉTICA (RM):
El nidus presenta una baja-intermedia intensidad de señal en secuencias potenciadas en
T1 y una intensidad de señal variable en secuencias potenciadas en T2, dependiendo de
la cantidad de mineralización presente en el centro del nidus.
Se observa hiperintensidad de señal en la zona reactiva que rodea al nidus cuando el
edema en la médula ósea y en los tejidos blandos adyacentes está presente.
El nidus puede presentar intenso realce tras la administración de gadolinio intravenoso.
Los hallazgos de imagen pueden ser inespecíficos y confundirse con otras patologías
(fracturas de estrés u osteomielitis) en casos que el edema circundante sea extenso y
oculte el nidus.
Frecuentemente no se pueden detectar nidus de pequeño tamaño en la RM porque la
señal del nidus es a menudo similar a la señal del hueso cortical.
OSTEOMAOSTEOIDE NIÑO 11A.: gonalgia
derecha de larga evolución.Epífisis tibial
proximalderecha, opacidadcentral. Abajo
derecha: corte transversal de TAC.
Nidus calcificado.
OSTEOMA OSTEOIDE NIÑO 12A.: bultoma
pierna derecha. Engrosamiento focal y
esclerosis cortical medial diáfisis tibial
derecha regular.
Abajo derecha: corte transversal de TAC.
Pequeña imagen lítica de aprox. 0.5 cm de
diámetro.
Nidus sin calcificar
CONDROMA
ENCONDROMA, OSTEOCONDROMA
El CONDROMA es un tumor benigno compuesto por cartílago hialino
maduro.
Localización :
.- Central === encondromas. (frecuentes)
.- claramente excéntricos === condroma perióstico.
En huesos delgados o planos, tales como las costillas, la escápula, o el
hueso innominado, el origen exacto del condroma que si es central o
subperióstico, no puede ser determinado
ENCONDROMA
Encondroma .- Consideraciones Generales
•Tumor cartilaginoso benigno que se desarrolla en cavidad medular
•Generalmente solitarios, (puede ser múltiple)
•Surgen de restos ectópicos de cartílago hialino
•Ocurren principalmente en la segunda o tercera década
•El sitio más común es pequeños huesos de manos y pies
• La mayoría ocurre en la falange proximal
•El tumor más común de la mano
• También ocurre en el húmero, el fémur, la tibia y las costillas
•En huesos largos, su calcificación es similar a un infarto óseo intramedular
• Infartos de hueso tienden a tener margen esclerótico bien circunscrito
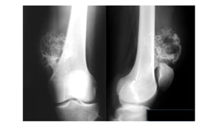
OSTEOCONDROMA
Osteocondroma .- Consideraciones Generales
•El osteocondroma es el tumor óseo benigno más común y la neoplasia
esquelética más común
o Representan aproximadamente el 35% de todos los tumores óseos benignos
y el 9% de todos los tumores óseos
•Son proyecciones óseas cubiertas de cartílago de la superficie externa de un
hueso
•Se encuentran con mayor frecuencia alrededor de la rodilla (40%) y del hombro,
aunque pueden aparecer en cualquier hueso.
•Casi todos se diagnostican en pacientes menores de 20 años con un marcado
predominio masculino: femenino (3: 1)
•Crecen hasta la madurez esquelética y luego dejan de crecer cuando se fusiona
la placa epifisaria, Los osteocondromas tienden a aparecer cerca de una placa de
crecimiento epifisario y se alejan de la fisis
OSTEOCONDROMATOSIS
MÚLTIPLE EN NIÑA DE
13A.
TUMOR DE CELULAS
GIGANTES
TUMORDE CÉLULAS GIGANTES
 Tiene mayor incidencia entre los 20 y los 40 años. Se ve con más
frecuencia en fémur distal, tibia proximal, radio distal y húmero proximal;
en el esqueleto axial, predomina en el sacro.
 Es un tumor benigno, pero agresivo localmente, que nace en la metáfisis y
avanza posteriormente hacia la región subarticular de la epífisis.
 Se aprecia una lesión epifisiaria, lítica, excéntrica, expansiva, asimétrica,
sin esclerosis, pero con bordes bien definidos, que adelgaza la cortical
hasta destruirla. No presenta matriz calcificada, puede haber compromiso
de partes blandas y puede contener niveles líquido-líquido.
Pieza patológica
correspondientea un TCG
- Destrucción significativa de
hueso, recidiva y a veces
metástasis (pulmón, ganglios
linfáticos) ó transformación
maligna (rara).
TÉCNICAS DE DIAGNÓSTICO POR LA IMAGEN:
- Radiografía convencional., Tomografía computerizada.RMN (mas eficaz)
- Gammagrafía ósea (detección de TCG multicéntricos).
CARACTERÍSTICAS RADIOLÓGICAS:
- Lesión lítica, pseudotrabeculada, excéntrica, con estrecha zona de
transición.
- No borde esclerótico (aparece en <1%), aunque en ocasiones puede
observarse un fino borde.
- Adelgazamiento de la cortical, penetrancia cortical (33-50%) y masa de
tejidos blandos asociada.
- Remodelación expansiva de los huesos (47-60%).
- Ausencia de remineralización.
- Hipervascularizada.
- Fracturas patológicas completas o incompletas (11-33%).
TAC:
- Ventajas sobre la radiografía convencional:
Mejor delineación de los tumores.
Valorar la extensión a tejidos blandos.
Estadificación de los TCG.
.RMN:
- Ventajas sobre la TAC:
Delimitación de tejidos blandos afectados.
Valoración de la extensión del tumor.
- Se prefiere la TAC para valorar:
Reacción perióstica.
Fractura patológica.
Ausencia de mineralización de matriz.
TRANSFORMACIÓN MALIGNA:
- 5-10% de todos los TCG.
- Posibilidades de transformación maligna (aunque en la práctica el término se reserva
para b y c):
a) TCG benignos que producen metástasis
b) Transformación maligna de TCG
c) TCG malignos secundarios (postradiacción).
d) Sarcoma de células gigantes.
a) Metástasis pulmonares:
- 1-8.5 % TCG
- Metástasis histológicamente benignas.
- Predisposición (diversas posturas contradictorias): lesiones en radio distal, apariencia
radiológica agresiva, extensión a tejidos blandos, más de una recidiva local.
- Implantes benignos de pulmón (¿osificación periférica?).
- Pronóstico favorable: tiempo de supervivencia largo, 13% mortalidad.
b) y c) Transformación maligna de TCG y TCG malignos secundarios (postradiacción).
- TCG primario: crecimiento sarcomatoso yuxtapuesto a zonas de TCG benigna. TMS 4
años
- TCG secundario: crecimiento sarcomatoso en zona donde previamente anidó un TCG
( tras radioterapia o cirugía).
Cuando dosis de radiacción >40 Gy = 29% transformación sarcomatosa.
d) Sarcoma de células gigantes
- Alto grado de malignidad: osteoclastos, estroma y células gigantes anaplásicas en las
que no hay evidencia de tumor osteoide, hueso o cartílago.
- De novo ó asociados a enfermedad de Paget poliostótica severa.
- Pronóstico reservado.
- Diagnóstico diferencial: osteosarcoma, fibrosarcoma e histiocitoma fibroso maligno.
DIAGNÓSTICO DIFERENCIAL:
- Tumor pardo del hiperparatiroidismo.
- Fibroma no osificante.
- Ganglión intraóseo.
- Quiste óseo aneurismático.
- Mieloma y metástasis líticas.
- Condroblastoma.
- Condrosarcoma.
- Fibrosarcoma, histiocitoma fibroso maligno.
- Osteosarcoma fibroblástico.
Extensa lesión osteolíticaubicada en tibia proximal con discretas
trabeculaciones en su interior, que adelgaza la cortical en la región
medial/condilo medial de la tibia proximal.
TC recon axial ventana ósea: en la imagen de tc se comprueba que el tumor
invade y destruye la cortical de la porción medial de tibia proximal/ RM
sagital lesión lítica isointensa con destrucción de la cortical
TC multidetector, recon
axial/sagital/coronal: Lesión
osteolítica sacra con
voluminosa masa de partes
blandas. Presentadensidad
heterogenea con
calcificaciones centrales y
áreas de degeneración
quística en su interior.
Observese el globo vesical
secundario a la compresión
de estructuras vecinas.
Gammagrafía ósea: Se visualiza hipercaptación en tibia distal por
tumoración ósea de celulas gigantes.
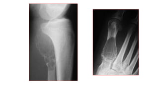
QUISTE OSEO
El quiste óseo simple supone un 3% de todas las lesiones primarias
del hueso. Se trata de un quiste benigno unilocular o parcialmente
septado de etiología discutida , si bien parece estar en relación con
un trastorno local del crecimiento secundario a la obstrucción del
drenaje intersticial.
El 80 % de casos sucede en primeras dos décadas, con
predominancia hombre: mujer de 2:1
Radiológicamente se caracteriza por ser una lesión radiolucente bien
definida, geográfica, con estrecha zona de transición, en posición central, sin
margen escleroso, que expande, sin reacción perióstica a menos que se
produzca fractura (complicación más frecuente, signo del fragmento caído) y
sin sobrepasar el platillo de crecimiento, a diferencia del quiste óseo
aneurismático. Con el crecimiento óseo la lesión presenta migración hacia la
diáfisis.
Se origina en las metáfisis, adyacente a la fisis de húmero (50% de los
casos) y fémur proximal (25%) del esqueleto en desarrollo.
Menos frecuentemente se situa en ileon, tibia proximal, peroné, calcáneo,
costillas, escápula, rótula, radio, cúbito, metacarpianos y metatarsianos,
habitualmente en grupos de mayor edad. Lesiones grandes o con evidencia
de septos son factores de mala respuesta al tratamiento.
Su síntomatología suele venir asociada a la presencia de fractura patológica,
más habitual en aquellas lesiones que afectan a más del 85% del hueso en
plano transversal.
Se describe el signo del " fragmento caído” : que se refiere al
desplazamiento de fragmento de hueso cortical roto dentro del quiste
El signo de la "escotilla", en la cual el fragmento se encuentra unido al
periostio y se dobla hacia el interior.
Estos signos ayudan en el diagnóstico diferencial con quiste óseo
aneurismático, displasia fibrosa, fibroma no osificante y encondroma en los
cuales está ausente.
LESION LITICA,
EXPANSIVA Y NO
TRABECULADA
Lesión líticaen metáfisis del peroné,
unilocular,en relacióncon QOS de
localización nohabitual
Lesión lítica unilocularen epífisis proximaltibial.RM hipointensa T1, Hiperintensa T2
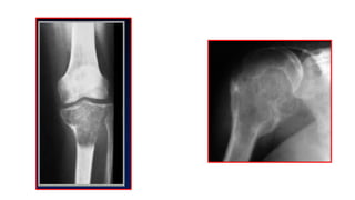
QUISTE OSEO ANEURISMATICO
Most common signs/symptoms: Progressive pain and swelling. o Rapid
increase of pain over 6-12 weeks.
Pathologic fracture: 20%
Demographics
• Age : 10-30 years old.- ( < 20 years in 76% )
• Gender: M:F = 1:1.2
Benign
• Locally destructive
• Recurrence in 10-20%
• Recurrence increased in young patients with open growth plate
• No,malignant transformation
• Never metastasizes
ANEURYSMAL BONE CYST
• Radiography findings
o Multicystic, eccentric expansion of bone with thin periosteal reaction
o Geographic type of bone destruction with narrow zone of transition
o Sclerotic margin
o Trabeculation within lesion
o Internal calcification rare
o Phase of rapid growth with marked bone destruction can be mistaken for
malignant neoplasm
CT Findings
• NECT : o Helpful in delineating extent, soft tissue involvement
o Can show trabeculations , WITH Intact, thin cortex
o HU: 20-78.- Fluid-FLuid levels
• CECT: No enhancement of cystic components
MR Findings
• T1WI: Cyst of different signal intensity (different stages of blood products)
Cystic cavities with fluid-fluid levels.- Internal septations
QUISTE ANEURISMATICO
LESION LITICA, EXPANSIVA Y TRABECULADA
Lesión lítica multilocular no expansiva en ala ilíaca derecha, con afectación supraacetabular.
RM potenciada en T1 y T2. Hipo e hiperintensidad respectivamante con niveles líquido-
líquido
OSTEOSARCOMA
FRANJAS DE EDAD DE
PRESENTACIÓN DETUMORES
ÓSEOS BENIGNOS Y MALIGNOS
TUMORES MALIGNOS:
Osteosarcoma:
Sarcoma de Ewing:
Histiocitosis de células de Langerhans:
Leucemia:
Metástasis:
TUMORES MALIGNOS:
Osteosarcoma:
Tumor óseo maligno + frecuente.
A partir 10 años de edad.
Dolor y tumefacción local.
Orden frec.:fémur, tibia, húmero.
Metafisarios.
“Skip lesions” en 20%.
Metástasis al diagnóstico en 10-20%.: pulmonares.
Rx: mixta, osteolítica, osteoesclerótica. Reacción perióstica.
OSTEOSARCOMANIÑA
11A.: metáfisis femur
distal dcho.,
osteoesclerosa,
algodonosa, reacción
perióstica y afectación
partes blandas.
OSTEOSARCOMA NIÑO
11A.: metafisodiafisario
distal femur izq.,
osteolítica irregular con
reacción perióstica
compleja.
OSTEOSARCOMANIÑO 10A.:
metafisodiafisaria femoraldistal
derecha, osteoesclerosa con
reacción perióstica agresiva
posterior, masa de partes blandas
hacia hueco poplíteo.
OSTEOSARCOMA
NIÑO 10A.:
fractura
patológica,
metáfisis femur
dcho., lesión
osteolítica.
OSTEOSARCOMANIÑO
11A.: diafisis tibia dcha.
Detallede la misma.
Engrosamientocortical
anterior, reacción
perióstica en sol
naciente, aumento
partes blandas
OSTEOSARCOMANIÑA 23 MESES: Patrón infiltrativo
difuso cortical y esponjoso distal fémur izquierdo.
Componentede partes blandas
SARCOMA DE EWING
TUMORES MALIGNOS:
Sarcoma de Ewing:
Segundo más frecuente.
10 - 15 años.
Dolor y tumefacción local.
Orden frec.:fémur, tibia, peroné, pelvis.
Metafisarios.
Metástasis al diagnóstico en 30%.: pulmón, hueso, adrenales,
cerebro.
60% Lítica, 15% Esclerótica, 25% Mixta.
Rx: permeativo intramedular, engrosamiento cortical, reacción
perióstica, masa partes blandas.
SARCOMA DE EWING
NIÑO 12A.: Lesión lítica
destructiva con masa de
partes blandasen diafisis
femoral izq.
SARCOMA DE EWING NIÑA 8A.: Lesión blástica,radiodensa,rama isquiopúbica izqday
techo acetabular,reacción perióstica en vertiente de agujero obturador; borramientode
la cortical rama iliopúbica delmismo ladoy masa de partes blandasadyacenteque
desplaza hacia dcha. ampollarectal.
SARCOMA DE EWING NIÑO 12A.: Lesión lítica, erosiva, insuflante,en ángulo
inferior y borde lateralde la escápula izquierda. Márgenes irregulares, mal
definidos, reacción cortical de aspecto agresivo y escaso componentede partes
blandas.
CONDROSARCOMA
(50%)
CONDROSARCOMA
Tumor maligno del tejido conectivo que se caracteriza por la
formación de matriz cartilaginosa por las células tumorales.
Es el tercer tumor maligno más frecuente del hueso después del
mieloma y del osteosarcoma.
Los condrosarcomas primarios surgen de novo, mientras que los
secundarios se desarrollan sobre una neoplasia benigna como
un encondroma u osteocondroma.
Los hallazgos de imagen sugieren con frecuencia el diagnóstico
de condrosarcoma al mostrar una lesión con la mineralización
condroide típica y características agresivas de crecimiento.
6.1 CONDROSARCOMA CONVENCIONAL
El condrosarcoma convencional intramedular es el tipo más frecuente de todos los
condrosarcomas (80%). Se presentacon mayor frecuencia entre la cuarta y quinta
década de la vida con predilección por el sexo masculino. Suelen ser lesiones
centrales y especialmente frecuentesen las metáfisis proximales de los huesos
largos, pelvis y hombro. El 90% de los condrosarcomas convencionales, tanto
centrales como periféricos, son lesiones de bajo grado. Los síntomas son
inespecíficos y los pacientes generalmente debutan con dolor (90%), masa palpable
de partes blandas o fractura patológica.
El principal diagnostico diferencial del condrosarcoma es el encondroma. Si no se
ven calcificaciones condrogénicas, debe incluirse un grupo mayor de tumores, p.ej.
metástasis,histiocitoma fibroso maligno, fibrosarcoma u osteosarcoma lítico
secundario.
6.2 CONDROSARCOMA DE CELULAS CLARAS
6.3 CONDROSARCOMA MIXOIDE
6.4 CONDROSARCOMA DESDIFERENCIADO
6.5 CONDROSARCOMA SECUNDARIO
6.6 CONDROSARCOMA EXTRAESQUELÉTICO
DIAGNOSTICODIFERENCIAL
ENCONDROMA
OSTEONECROSIS
CONDROBLASTOMA
TUMOR DE CELULAS GIGANTES
FIBROSARCOMA
Dx 4 en 4
Dx 4 en 4
Dx 4 en 4
Dx 4 en 4
Dx 4 en 4

Dx 4 en 4

  • 1.
    TUMORES OSEOS BENIGNOSY MALIGNOS Carlos Sevillano Bautista Diagnóstico por Imágenes 14/05/2018 Osteoma, Osteoma Osteoide, Condroma :Encondroma, Osteocondroma,Tumor de células gigantes, Quiste Oseo, Osteosarcoma, Sarcoma de Ewing, Condrosarcoma
  • 2.
    Índice o tablade contenidos • 1º sub tema, OSTEOMA • 2º sub tema, OSTEOMA OSTEOIDE • 3º sub tema, CONDROMA • 4º sub tema, ENCONDROMA • 5º sub tema, OSTEOCONDROMA • 6º sub tema, TUMOR DE CELULAS GIGANTES • 7º sub tema, QUISTE OSEO/ QUISTE OSEO ANEURISMATICO • 8º sub tema, OSTEOSARCOMA • 9º sub tema, SARCOMA DE EWING • 10º sub tema, CONDROSARCOMA • 11º Fuentes de información
  • 4.
  • 5.
    El osteoma esun tumor benigno raro de hueso, que parece tener un origen perióstico o yuxtacortical. Se da más a menudo en adolescentes y adultos, y tiene preferencia por el sexo masculino. Tipos: .- Clásico o convencional (huesos de osificación membranosa), .- Parosteal (exostosis o hiperostosis postraumática), .- Medular (islas óseas) y .- Síndrome de Gardner (osteomas, poliposis colónica, tumores de tejidos blandos. De transmisión autosómica dominante). I. OSTEOMA
  • 6.
    El osteoma clásicose da en el cráneo, senos paranasales y la mandíbula. El parosteal en los huesos largos y El medular en el tercio medio de la tibia y el fémur. Clínica: Los osteomas suelen ser de crecimiento lento, indoloros salvo cuando ejercen acción mecánica sobre estructuras vecinas, pero producirán una gran masa ósea visible y palpable. En ocasiones debuta con una sinusitis o una masa que deforma las paredes de la órbita, o una protrusión en la mucosa bucal. Rayos X ; La lesión es circunscrita de extraordinaria densidad, redondeada y generalmente menor de 2 cm, aunque pueden alcanzar dimensiones enormes.
  • 9.
  • 10.
  • 11.
    II. OSTEOMA OSTEOIDE: Elosteoma osteoide representa aproximadamente el 10% de los tumores óseos benignos. Se presenta con mayor frecuencia en la segunda década de la vida, con un predominio en el sexo masculino (proporción hombre-mujer 4:1). Característicamente los pacientes presentan dolor óseo no relacionado con la actividad física y que a menudo empeora por la noche. Se suele aliviar con la administración de salicilatos u otros fármacos antiinflamatorios no esteroideos. Otras manifestaciones menos frecuentes son los trastornos de crecimiento, la deformidad ósea o la escoliosis dolorosa. Rx: nido central radiolúcido con esclerosis reactiva densa y osteogénesis perióstica. TC: ayuda a localizar nido con calcificación central. RM: T1 intensidad intermedia. T2 hiperintenso. Cubierta cartilaginosa.
  • 12.
    OSTEOMA OSTEOIDE: HALLAZGOS ENRADIOGRAFÍA CONVENCIONAL: Las radiografías muestran característicamente una radiolucencia en el hueso de morfología redonda u ovalada que representa el nidus (por lo general menor de 2 cm), el cual muestra una cantidad variable de mineralización central y se acompaña de un grado variable esclerosis y engrosamiento cortical adyacente. Puede ser difícil identificar el nidus si la esclerosis ósea es muy significativa.
  • 13.
    OSTEOMA OSTEOIDE: HALLAZGOS ENTOMOGRAFÍA COMPUTARIZADA (TC): La TC proporciona la mejor caracterización tanto del nidus como de la esclerosis ósea que lo rodea. El nidus es visualizado como una lesión de baja atenuación, bien definida, de morfología redonda u oval y que presenta diferentes grados de mineralización central. Cuando la esclerosis ósea reactiva está presente puede variar desde leve a esclerosis significativa con reacción perióstica y formación de hueso nuevo, lo cual puede enmascarar el nidus. Aunque el uso de contraste intravenoso no es necesario, puede observarse el realce de un nidus hipervascular (no calcificado) en los estudios de TC dinámicos.
  • 14.
    OSTEOMA OSTEOIDE: HALLAZGOS ENRESONANCIA MAGNÉTICA (RM): El nidus presenta una baja-intermedia intensidad de señal en secuencias potenciadas en T1 y una intensidad de señal variable en secuencias potenciadas en T2, dependiendo de la cantidad de mineralización presente en el centro del nidus. Se observa hiperintensidad de señal en la zona reactiva que rodea al nidus cuando el edema en la médula ósea y en los tejidos blandos adyacentes está presente. El nidus puede presentar intenso realce tras la administración de gadolinio intravenoso. Los hallazgos de imagen pueden ser inespecíficos y confundirse con otras patologías (fracturas de estrés u osteomielitis) en casos que el edema circundante sea extenso y oculte el nidus. Frecuentemente no se pueden detectar nidus de pequeño tamaño en la RM porque la señal del nidus es a menudo similar a la señal del hueso cortical.
  • 17.
    OSTEOMAOSTEOIDE NIÑO 11A.:gonalgia derecha de larga evolución.Epífisis tibial proximalderecha, opacidadcentral. Abajo derecha: corte transversal de TAC. Nidus calcificado.
  • 18.
    OSTEOMA OSTEOIDE NIÑO12A.: bultoma pierna derecha. Engrosamiento focal y esclerosis cortical medial diáfisis tibial derecha regular. Abajo derecha: corte transversal de TAC. Pequeña imagen lítica de aprox. 0.5 cm de diámetro. Nidus sin calcificar
  • 19.
  • 21.
    El CONDROMA esun tumor benigno compuesto por cartílago hialino maduro. Localización : .- Central === encondromas. (frecuentes) .- claramente excéntricos === condroma perióstico. En huesos delgados o planos, tales como las costillas, la escápula, o el hueso innominado, el origen exacto del condroma que si es central o subperióstico, no puede ser determinado
  • 22.
  • 23.
    Encondroma .- ConsideracionesGenerales •Tumor cartilaginoso benigno que se desarrolla en cavidad medular •Generalmente solitarios, (puede ser múltiple) •Surgen de restos ectópicos de cartílago hialino •Ocurren principalmente en la segunda o tercera década •El sitio más común es pequeños huesos de manos y pies • La mayoría ocurre en la falange proximal •El tumor más común de la mano • También ocurre en el húmero, el fémur, la tibia y las costillas •En huesos largos, su calcificación es similar a un infarto óseo intramedular • Infartos de hueso tienden a tener margen esclerótico bien circunscrito
  • 28.
  • 29.
    Osteocondroma .- ConsideracionesGenerales •El osteocondroma es el tumor óseo benigno más común y la neoplasia esquelética más común o Representan aproximadamente el 35% de todos los tumores óseos benignos y el 9% de todos los tumores óseos •Son proyecciones óseas cubiertas de cartílago de la superficie externa de un hueso •Se encuentran con mayor frecuencia alrededor de la rodilla (40%) y del hombro, aunque pueden aparecer en cualquier hueso. •Casi todos se diagnostican en pacientes menores de 20 años con un marcado predominio masculino: femenino (3: 1) •Crecen hasta la madurez esquelética y luego dejan de crecer cuando se fusiona la placa epifisaria, Los osteocondromas tienden a aparecer cerca de una placa de crecimiento epifisario y se alejan de la fisis
  • 31.
  • 33.
  • 34.
    TUMORDE CÉLULAS GIGANTES Tiene mayor incidencia entre los 20 y los 40 años. Se ve con más frecuencia en fémur distal, tibia proximal, radio distal y húmero proximal; en el esqueleto axial, predomina en el sacro.  Es un tumor benigno, pero agresivo localmente, que nace en la metáfisis y avanza posteriormente hacia la región subarticular de la epífisis.  Se aprecia una lesión epifisiaria, lítica, excéntrica, expansiva, asimétrica, sin esclerosis, pero con bordes bien definidos, que adelgaza la cortical hasta destruirla. No presenta matriz calcificada, puede haber compromiso de partes blandas y puede contener niveles líquido-líquido.
  • 38.
    Pieza patológica correspondientea unTCG - Destrucción significativa de hueso, recidiva y a veces metástasis (pulmón, ganglios linfáticos) ó transformación maligna (rara).
  • 39.
    TÉCNICAS DE DIAGNÓSTICOPOR LA IMAGEN: - Radiografía convencional., Tomografía computerizada.RMN (mas eficaz) - Gammagrafía ósea (detección de TCG multicéntricos). CARACTERÍSTICAS RADIOLÓGICAS: - Lesión lítica, pseudotrabeculada, excéntrica, con estrecha zona de transición. - No borde esclerótico (aparece en <1%), aunque en ocasiones puede observarse un fino borde. - Adelgazamiento de la cortical, penetrancia cortical (33-50%) y masa de tejidos blandos asociada. - Remodelación expansiva de los huesos (47-60%). - Ausencia de remineralización. - Hipervascularizada. - Fracturas patológicas completas o incompletas (11-33%).
  • 40.
    TAC: - Ventajas sobrela radiografía convencional: Mejor delineación de los tumores. Valorar la extensión a tejidos blandos. Estadificación de los TCG. .RMN: - Ventajas sobre la TAC: Delimitación de tejidos blandos afectados. Valoración de la extensión del tumor. - Se prefiere la TAC para valorar: Reacción perióstica. Fractura patológica. Ausencia de mineralización de matriz.
  • 41.
    TRANSFORMACIÓN MALIGNA: - 5-10%de todos los TCG. - Posibilidades de transformación maligna (aunque en la práctica el término se reserva para b y c): a) TCG benignos que producen metástasis b) Transformación maligna de TCG c) TCG malignos secundarios (postradiacción). d) Sarcoma de células gigantes. a) Metástasis pulmonares: - 1-8.5 % TCG - Metástasis histológicamente benignas. - Predisposición (diversas posturas contradictorias): lesiones en radio distal, apariencia radiológica agresiva, extensión a tejidos blandos, más de una recidiva local. - Implantes benignos de pulmón (¿osificación periférica?). - Pronóstico favorable: tiempo de supervivencia largo, 13% mortalidad.
  • 42.
    b) y c)Transformación maligna de TCG y TCG malignos secundarios (postradiacción). - TCG primario: crecimiento sarcomatoso yuxtapuesto a zonas de TCG benigna. TMS 4 años - TCG secundario: crecimiento sarcomatoso en zona donde previamente anidó un TCG ( tras radioterapia o cirugía). Cuando dosis de radiacción >40 Gy = 29% transformación sarcomatosa. d) Sarcoma de células gigantes - Alto grado de malignidad: osteoclastos, estroma y células gigantes anaplásicas en las que no hay evidencia de tumor osteoide, hueso o cartílago. - De novo ó asociados a enfermedad de Paget poliostótica severa. - Pronóstico reservado. - Diagnóstico diferencial: osteosarcoma, fibrosarcoma e histiocitoma fibroso maligno.
  • 43.
    DIAGNÓSTICO DIFERENCIAL: - Tumorpardo del hiperparatiroidismo. - Fibroma no osificante. - Ganglión intraóseo. - Quiste óseo aneurismático. - Mieloma y metástasis líticas. - Condroblastoma. - Condrosarcoma. - Fibrosarcoma, histiocitoma fibroso maligno. - Osteosarcoma fibroblástico.
  • 44.
    Extensa lesión osteolíticaubicadaen tibia proximal con discretas trabeculaciones en su interior, que adelgaza la cortical en la región medial/condilo medial de la tibia proximal.
  • 45.
    TC recon axialventana ósea: en la imagen de tc se comprueba que el tumor invade y destruye la cortical de la porción medial de tibia proximal/ RM sagital lesión lítica isointensa con destrucción de la cortical
  • 47.
    TC multidetector, recon axial/sagital/coronal:Lesión osteolítica sacra con voluminosa masa de partes blandas. Presentadensidad heterogenea con calcificaciones centrales y áreas de degeneración quística en su interior. Observese el globo vesical secundario a la compresión de estructuras vecinas.
  • 48.
    Gammagrafía ósea: Sevisualiza hipercaptación en tibia distal por tumoración ósea de celulas gigantes.
  • 49.
  • 50.
    El quiste óseosimple supone un 3% de todas las lesiones primarias del hueso. Se trata de un quiste benigno unilocular o parcialmente septado de etiología discutida , si bien parece estar en relación con un trastorno local del crecimiento secundario a la obstrucción del drenaje intersticial. El 80 % de casos sucede en primeras dos décadas, con predominancia hombre: mujer de 2:1
  • 51.
    Radiológicamente se caracterizapor ser una lesión radiolucente bien definida, geográfica, con estrecha zona de transición, en posición central, sin margen escleroso, que expande, sin reacción perióstica a menos que se produzca fractura (complicación más frecuente, signo del fragmento caído) y sin sobrepasar el platillo de crecimiento, a diferencia del quiste óseo aneurismático. Con el crecimiento óseo la lesión presenta migración hacia la diáfisis. Se origina en las metáfisis, adyacente a la fisis de húmero (50% de los casos) y fémur proximal (25%) del esqueleto en desarrollo. Menos frecuentemente se situa en ileon, tibia proximal, peroné, calcáneo, costillas, escápula, rótula, radio, cúbito, metacarpianos y metatarsianos, habitualmente en grupos de mayor edad. Lesiones grandes o con evidencia de septos son factores de mala respuesta al tratamiento.
  • 52.
    Su síntomatología suelevenir asociada a la presencia de fractura patológica, más habitual en aquellas lesiones que afectan a más del 85% del hueso en plano transversal. Se describe el signo del " fragmento caído” : que se refiere al desplazamiento de fragmento de hueso cortical roto dentro del quiste El signo de la "escotilla", en la cual el fragmento se encuentra unido al periostio y se dobla hacia el interior. Estos signos ayudan en el diagnóstico diferencial con quiste óseo aneurismático, displasia fibrosa, fibroma no osificante y encondroma en los cuales está ausente.
  • 53.
  • 55.
    Lesión líticaen metáfisisdel peroné, unilocular,en relacióncon QOS de localización nohabitual
  • 56.
    Lesión lítica unilocularenepífisis proximaltibial.RM hipointensa T1, Hiperintensa T2
  • 57.
  • 58.
    Most common signs/symptoms:Progressive pain and swelling. o Rapid increase of pain over 6-12 weeks. Pathologic fracture: 20% Demographics • Age : 10-30 years old.- ( < 20 years in 76% ) • Gender: M:F = 1:1.2 Benign • Locally destructive • Recurrence in 10-20% • Recurrence increased in young patients with open growth plate • No,malignant transformation • Never metastasizes ANEURYSMAL BONE CYST
  • 59.
    • Radiography findings oMulticystic, eccentric expansion of bone with thin periosteal reaction o Geographic type of bone destruction with narrow zone of transition o Sclerotic margin o Trabeculation within lesion o Internal calcification rare o Phase of rapid growth with marked bone destruction can be mistaken for malignant neoplasm CT Findings • NECT : o Helpful in delineating extent, soft tissue involvement o Can show trabeculations , WITH Intact, thin cortex o HU: 20-78.- Fluid-FLuid levels • CECT: No enhancement of cystic components MR Findings • T1WI: Cyst of different signal intensity (different stages of blood products) Cystic cavities with fluid-fluid levels.- Internal septations
  • 60.
    QUISTE ANEURISMATICO LESION LITICA,EXPANSIVA Y TRABECULADA
  • 61.
    Lesión lítica multilocularno expansiva en ala ilíaca derecha, con afectación supraacetabular. RM potenciada en T1 y T2. Hipo e hiperintensidad respectivamante con niveles líquido- líquido
  • 62.
  • 63.
    FRANJAS DE EDADDE PRESENTACIÓN DETUMORES ÓSEOS BENIGNOS Y MALIGNOS
  • 64.
    TUMORES MALIGNOS: Osteosarcoma: Sarcoma deEwing: Histiocitosis de células de Langerhans: Leucemia: Metástasis:
  • 65.
    TUMORES MALIGNOS: Osteosarcoma: Tumor óseomaligno + frecuente. A partir 10 años de edad. Dolor y tumefacción local. Orden frec.:fémur, tibia, húmero. Metafisarios. “Skip lesions” en 20%. Metástasis al diagnóstico en 10-20%.: pulmonares. Rx: mixta, osteolítica, osteoesclerótica. Reacción perióstica.
  • 66.
    OSTEOSARCOMANIÑA 11A.: metáfisis femur distaldcho., osteoesclerosa, algodonosa, reacción perióstica y afectación partes blandas.
  • 67.
    OSTEOSARCOMA NIÑO 11A.: metafisodiafisario distalfemur izq., osteolítica irregular con reacción perióstica compleja.
  • 68.
    OSTEOSARCOMANIÑO 10A.: metafisodiafisaria femoraldistal derecha,osteoesclerosa con reacción perióstica agresiva posterior, masa de partes blandas hacia hueco poplíteo.
  • 69.
  • 70.
    OSTEOSARCOMANIÑO 11A.: diafisis tibiadcha. Detallede la misma. Engrosamientocortical anterior, reacción perióstica en sol naciente, aumento partes blandas
  • 71.
    OSTEOSARCOMANIÑA 23 MESES:Patrón infiltrativo difuso cortical y esponjoso distal fémur izquierdo. Componentede partes blandas
  • 72.
  • 73.
    TUMORES MALIGNOS: Sarcoma deEwing: Segundo más frecuente. 10 - 15 años. Dolor y tumefacción local. Orden frec.:fémur, tibia, peroné, pelvis. Metafisarios. Metástasis al diagnóstico en 30%.: pulmón, hueso, adrenales, cerebro. 60% Lítica, 15% Esclerótica, 25% Mixta. Rx: permeativo intramedular, engrosamiento cortical, reacción perióstica, masa partes blandas.
  • 74.
    SARCOMA DE EWING NIÑO12A.: Lesión lítica destructiva con masa de partes blandasen diafisis femoral izq.
  • 75.
    SARCOMA DE EWINGNIÑA 8A.: Lesión blástica,radiodensa,rama isquiopúbica izqday techo acetabular,reacción perióstica en vertiente de agujero obturador; borramientode la cortical rama iliopúbica delmismo ladoy masa de partes blandasadyacenteque desplaza hacia dcha. ampollarectal.
  • 76.
    SARCOMA DE EWINGNIÑO 12A.: Lesión lítica, erosiva, insuflante,en ángulo inferior y borde lateralde la escápula izquierda. Márgenes irregulares, mal definidos, reacción cortical de aspecto agresivo y escaso componentede partes blandas.
  • 77.
  • 78.
  • 81.
    CONDROSARCOMA Tumor maligno deltejido conectivo que se caracteriza por la formación de matriz cartilaginosa por las células tumorales. Es el tercer tumor maligno más frecuente del hueso después del mieloma y del osteosarcoma. Los condrosarcomas primarios surgen de novo, mientras que los secundarios se desarrollan sobre una neoplasia benigna como un encondroma u osteocondroma. Los hallazgos de imagen sugieren con frecuencia el diagnóstico de condrosarcoma al mostrar una lesión con la mineralización condroide típica y características agresivas de crecimiento.
  • 82.
    6.1 CONDROSARCOMA CONVENCIONAL Elcondrosarcoma convencional intramedular es el tipo más frecuente de todos los condrosarcomas (80%). Se presentacon mayor frecuencia entre la cuarta y quinta década de la vida con predilección por el sexo masculino. Suelen ser lesiones centrales y especialmente frecuentesen las metáfisis proximales de los huesos largos, pelvis y hombro. El 90% de los condrosarcomas convencionales, tanto centrales como periféricos, son lesiones de bajo grado. Los síntomas son inespecíficos y los pacientes generalmente debutan con dolor (90%), masa palpable de partes blandas o fractura patológica. El principal diagnostico diferencial del condrosarcoma es el encondroma. Si no se ven calcificaciones condrogénicas, debe incluirse un grupo mayor de tumores, p.ej. metástasis,histiocitoma fibroso maligno, fibrosarcoma u osteosarcoma lítico secundario.
  • 83.
    6.2 CONDROSARCOMA DECELULAS CLARAS 6.3 CONDROSARCOMA MIXOIDE 6.4 CONDROSARCOMA DESDIFERENCIADO 6.5 CONDROSARCOMA SECUNDARIO 6.6 CONDROSARCOMA EXTRAESQUELÉTICO DIAGNOSTICODIFERENCIAL ENCONDROMA OSTEONECROSIS CONDROBLASTOMA TUMOR DE CELULAS GIGANTES FIBROSARCOMA