Tumores óseos.
Dr. Michael Patrick Prud’homme Mena.
Imagenología Diagnóstica y Terapéutica.
Hospital Regional “Lic. Adolfo López Mateos”.
I. S. S. S. T. E.
Tumores formadores de hueso.
•Osteoma.
•Osteoma osteoide.
•Osteoblastoma.
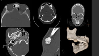
Osteoma.
• Lesión benigna de crecimiento lento.
• Tejido óseo maduro bien diferenciado con estructura
laminar.
• 75% en senos paranasales (frontal y etmoidal).
Adam Greenspan et al. Tumores osteoblásticos (formadores de hueso). Tumores de huesos y articulaciones. Capítulo 2. PP. 25 – 26.
Osteoma.
• Se presenta en pacientes desde los 10 a
79 años con mayor incidencia en la 4ª y 5ª
décadas de la vida.
• Sin predominio de sexo.
•Incidencia de 0.4%
• Las lesiones pequeñas son asintomáticas.
Adam Greenspan et al. Tumores osteoblásticos (formadores de hueso). Tumores de huesos y articulaciones. Capítulo 2. PP. 25 – 26.
Osteoma.
• Tumores grandes:
Obstrucción de conductos nasales.
Mucoceles.
Rinorrea.
Cefalea.
Dolor.
Pérdida del olfato.
Exoftalmos, diplopía y compresión del Nn óptico.
Adam Greenspan et al. Tumores osteoblásticos (formadores de hueso). Tumores de huesos y articulaciones. Capítulo 2. PP. 25 – 26.
Osteoma.
• RX 
Masa densa, esclerótica con aspecto de marfil, con
márgenes definidos, unida al hueso.
• TC 
Es eficaz para demostrar la ausencia de invasión cortical.
• IRM
Imágenes con señal baja en T1 y T2 sin realce.
Adam Greenspan et al. Tumores osteoblásticos (formadores de hueso). Tumores de huesos y articulaciones. Capítulo 2. PP. 25 – 26.
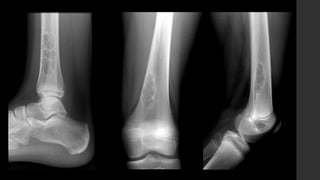
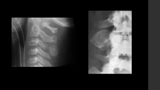
Osteoma osteoide.
• Tumores benignos que se presentan en niños y adolescentes, entre los 10 y 35 años.
• Representan aproximadamente el 10% de todas las lesiones benignas.
• Predominio M:F – 2-4:1.
• Clásicamente presentan dolor nocturno que cede a salicilatos.
• Cuando se presentan en la columna, son causa de escoliosis dolorosa, con concavidad
en el lado de la lesión.
• Puede haber inflamación de los tejidos blandos y, si están cerca del núcleo de
crecimiento, pueden presentar aceleración del crecimiento, presumiblemente relacionado
con hiperemia.
• Presentan un nido menor a 2cm rodeados de reacción perióstica sólida.
Greenspan A, Jundt G, Remagen W. Differential diagnosis in orthopaedic oncology. Lippincott Williams & Wilkins. (2006)
Osteoma osteoide.
• Huesos largos y
extremidades  65 – 80%.
• Falanges  20%.
• Vértebras  10%.
Greenspan A, Jundt G, Remagen W. Differential diagnosis in orthopaedic oncology. Lippincott Williams & Wilkins. (2006)
Osteoma osteoide.
• RX 
 Puede ser normal.
 Reacción perióstica sólida con
engrosamiento cortical.
 El nido es, a veces, visible como una
región radiolúcida circunscrita con un punto
esclerótico central.
• TC 
 El método de elección ya que es el mejor
para caracterizar la lesión.
 Nido hipodenso rodeado de hueso
esclerótico reactivo.
 Puede verse, dentro del nido, una
calcificación central.
• Centellografía 
 Captación típica focal central intensa con
anillo periférico de menor captación (signo
de doble densidad).
• US 
 Irregularidad cortical focalizada.
 Nido puede ser hipoecoico con refuerzo
acústico distal.
 Doppler  puede mostrar
hipervascularidad del nido.
• IRM 
 Es sensitiva más no específica para
identificar el nido.
 La intensidad de señal del nido y el realce
que presenta, es variable en todas las
secuencias.
Greenspan A, Jundt G, Remagen W. Differential diagnosis in orthopaedic oncology. Lippincott Williams & Wilkins. (2006)
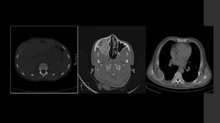
Osteoblastoma.
• Tumores benignos raros.
• Pueden ser localmente agresivos y tienden a afectar al esqueleto axial más
frecuente que el osteoma osteoide.
• Representan 1 – 3% de todos los tumores primarios óseos.
• Se presentan entre la 2ª y 3ª décadas e la vida.
• Sexo M:F – 2.5:1.
• Presentación clínica:
 Escoliosis dolorosa.
 Dolor de instalación insidiosa que empeora en las noches, no cede a salicilatos.
 Inflamación y mayor sensibilidad del área con disminución del rango de movimiento.
Trübenbach J, Nägele T, Bauer T et-al. Preoperative embolization of cervical spine osteoblastomas: report of three cases. AJNR Am J Neuroradiol. 2006;27 (9): 1910-2.
Osteoblastoma.
• Distribución:
• Columna vertebral:
 Lumbar  40%.
 Cervical  9 – 39%.
 Sacro  17%.
• Diáfisis de huesos largos:
 Fémur y tibia.
Trübenbach J, Nägele T, Bauer T et-al. Preoperative embolization of cervical spine osteoblastomas: report of three cases. AJNR Am J Neuroradiol. 2006;27 (9): 1910-2.
Osteoblastoma.
• RX 
Lesiones predominantemente líticas con un anillo esclerótico
reactivo periférico.
Tendencia a ser expansivas.
Presencia de calcificaciones internas.
Puede presentar masa de tejidos blandos asociada.
Tienen crecimiento rápido demostrado por expansión cortical,
algunas veces con destrucción cortical.
Puede presentar quiste óseo aneurismático en 20%.
Trübenbach J, Nägele T, Bauer T et-al. Preoperative embolization of cervical spine osteoblastomas: report of three cases. AJNR Am J Neuroradiol. 2006;27 (9): 1910-2.
Osteoblastoma.
• TC 
 Lesiones predominantemente líticas similares a la radiografía.
 La matriz interna se demuestra mejor en TC.
• IRM 
 Características no específicas.
 T1: Señal intermedia con áreas de menor intensidad de señal que
corresponden a focos de calcificación.
 T1+C: Realce ávido del tumor con realce asociado de tejidos blandos
periféricos.
 T2: Señal intermedia a baja con focos de calcificación hipointensos. Puede
haber señal alta debido a edema de la médula ósea y tejidos blandos
periféricos (fenómeno de llamarada”).
Trübenbach J, Nägele T, Bauer T et-al. Preoperative embolization of cervical spine osteoblastomas: report of three cases. AJNR Am J Neuroradiol. 2006;27 (9): 1910-2.
Tumores de origen fibroso.
•Displasia fibrosa.
•Fibroma no osificante.
Displasia fibrosa.
• Proceso congénito no neoplásico similar a tumor que se manifiesta como un defecto
localizado en la diferenciación y maduración osteoblástica con reemplazo del hueso
normal con estroma fibroso e islotes de tejido óseo inmaduro.
• Puede afectar cualquier hueso y se divide en 4 subtipos:
 Monostótica  1 hueso.
 Poliostótica  múltiples huesos.
 Displasia fibrosa craneofacial  sólo huesos del cráneo y macizo facial.
 Querubismo  Sólo mandíbula y maxilar (displasia fibrosa no verdadera).
Fitzpatrick KA, Taljanovic MS, Speer DP et-al. Imaging findings of fibrous dysplasia with histopathologic and intraoperative correlation. AJR Am J Roentgenol. 2004;182 (6): 1389-98.
Displasia fibrosa.
• Se presenta predominantemente en niños y adultos jóvenes antes de los 30 años (mayor
incidencia entre los 3 y 15 años).
• En el tipo poliostótico la edad de presentación es a los 10 años.
• No hay predilección de género.
• Se asocia a:
 Síndrome de McCune-Albright  2 – 3%.
 Síndrome de Mazabraud (mixomas de tejidos blandos).
• Presentación clínica:
 Generalmente es un hallazgo incidental.
 Puede presentar dolor debido a la expansión o remodelado óseos.
 Puede comprimir y desplazar estructuras, particularmente en el tipo craneofacial.
Fitzpatrick KA, Taljanovic MS, Speer DP et-al. Imaging findings of fibrous dysplasia with histopathologic and intraoperative correlation. AJR Am J Roentgenol. 2004;182 (6): 1389-98.
Displasia fibrosa.
• Monostótica 
 Representa 70 – 80% de los casos.
 Usualmente asintomático.
 Después de la pubertad la enfermedad es inactiva y no progresa al tipo poliostótico.
• Poliostótica 
 Representa 20 – 30% de los casos.
 Involucra múltiples huesos.
 Se presenta más tempranamente (edad media 8 años) y 2/3 son sintomáticas a los 10 años.
Fitzpatrick KA, Taljanovic MS, Speer DP et-al. Imaging findings of fibrous dysplasia with histopathologic and intraoperative correlation. AJR Am J Roentgenol. 2004;182 (6): 1389-98.
Displasia fibrosa.
• Monostótica 
 Costillas – 28%.
 Fémur proximal – 23%.
 Tibia y huesos craneofaciales – 10
– 25%.
 Húmero.
• Poliostótica 
 Fémur – 91%.
 Tibia – 81%.
 Pelvis – 78%.
 Costillas – 73%.
 Huesos craneofaciales – 50%.
 Columna lumbar – 14%.
 Clavícula – 10%.
 Columna cervical – 7%.
Fitzpatrick KA, Taljanovic MS, Speer DP et-al. Imaging findings of fibrous dysplasia with histopathologic and intraoperative correlation. AJR Am J Roentgenol. 2004;182 (6): 1389-98.
Displasia fibrosa.
• RX 
 Lesiones circunscritas con matriz en “vidrio deslustrado”, pueden ser completamente sólidas o
escleróticas y no presentan reacción perióstica.
 Las costillas son el sitio más común en el tipo monostótico.
 Lesiones expansivas quísticas. Engrosamiento fusiforme de las costillas.
 En extremidades puede condicionar fusión prematura de los núcleos de crecimiento, arqueamiento
de la extremidad.
• TC 
 Matriz en vidrio deslustrado 56%.
 Escleróticas homogéneas 23%.
 Quísticas 21%.
 Muestran contornos bien definidos con expansión ósea sin afección al hueso subyacente.
 Puede presentar remodelamiento óseo.
Fitzpatrick KA, Taljanovic MS, Speer DP et-al. Imaging findings of fibrous dysplasia with histopathologic and intraoperative correlation. AJR Am J Roentgenol. 2004;182 (6): 1389-98.
Displasia fibrosa.
• IRM 
 No es útil para realizar diagnóstico diferencial.
 T1  Señal intermedia heterogénea.
 T1+C  Realce heterogéneo.
 T2  Señal baja heterogénea con áreas de señal alta.
• MN 
 Incremento en la captación de Tc99 en gamagrafía ósea.
 Las lesiones se mantienen metabólicamente activas en la etapa adulta.
Fitzpatrick KA, Taljanovic MS, Speer DP et-al. Imaging findings of fibrous dysplasia with histopathologic and intraoperative correlation. AJR Am J Roentgenol. 2004;182 (6): 1389-98.
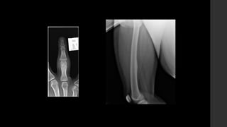
Fibroma no osificante.
• Lesión ósea no neoplásica más común.
• Son comunes en niños y adolescentes con un pico de incidencia entre los 10 y 15
años.
• Prevalencia 30 – 40% de todos los niños normales.
• Predominio M:F – 2:1.
• La mayoría son asintomáticas, pero las lesiones grandes (>3cm) pueden ser
dolorosas y pueden debilitar al hueso y predisponerlo a fracturas patológicas.
• Cuando son múltiples se asocian a Neurofibromatosis tipo 1, displasia fibrosa y
síndrome de Jaffe-Campanacci.
Hetts SW, Hilchey SD, Wilson R et-al. Case 110: Nonossifying fibroma. Radiology. 2007;243 (1): 288-92.
Fibroma no osificante.
Hetts SW, Hilchey SD, Wilson R et-al. Case 110: Nonossifying fibroma. Radiology. 2007;243 (1): 288-92.
Fibroma no osificante.
• RX y CT
 Típicamente son circunscritos, asimétricos, lesiones radiolúcidas corticales con un anillo esclerótico.
 Frecuentemente son multiloculadas.
 Se localizan en la metáfisis, adyacente a la fisis.
 Cuando el paciente crece, parece que migra lejos del núcleo de crecimiento.
 No hay reacción perióstica asociada.
• IRM 
 Apariencia variable, depende de la etapa del desarrollo e involución de la lesión.
 Inicialmente la lesión muestra señal alta en T2 con anillo periférico con señal baja.
 Mientras madura la lesión muestra disminución de señal en todas las secuencias.
 Realce variable.
• MN 
 La apariencia depende, en el gamagrama, de la fase de la lesión.
 Generalmente es negativo, pero puede haber hiperemia leve con captación moderada durante la etapa de sanación.
Hetts SW, Hilchey SD, Wilson R et-al. Case 110: Nonossifying fibroma. Radiology. 2007;243 (1): 288-92.
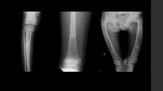
Tumor de Células Gigantes.
•También conocidos como osteoclastomas.
•Son tumores óseos relativamente comunes,
usualmente benignos que nacen de la metáfisis y se
extienden hacia la epífisis de los huesos largos.
•Representan 18 – 23% de los tumores benignos óseos
y 4 – 9.5% de todos los tumores primarios óseos.
Murphey MD, Nomikos GC, Flemming DJ et-al. From the archives of AFIP. Imaging of giant cell tumor and giant cell reparative granuloma of bone: radiologic-pathologic correlation. Radiographics. 21 (5): 1283-309.
Tumor de Células Gigantes.
• Se presentan una vez que los núcleos de osificación ya cerraron, por lo que se
observan en la etapa adulta temprana (80% de los casos se presentan entre los 20 y
50 años con pico de incidencia entre los 20 y 30 años).
• Hay discreto predominio por las mujeres, sin embargo la transformación maligna es
más común en hombres (M:F – 3:1).
• No tienen presentación clínica específica, sin embargo presenta dolor óseo insidioso,
masa de tejidos blandos, compresión de estructuras adyacentes o, de forma aguda,
con fractura patológica.
Murphey MD, Nomikos GC, Flemming DJ et-al. From the archives of AFIP. Imaging of giant cell tumor and giant cell reparative granuloma of bone: radiologic-pathologic correlation. Radiographics. 21 (5): 1283-309.
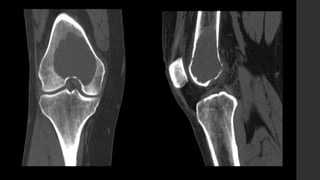
Tumor de Células Gigantes.
Murphey MD, Nomikos GC, Flemming DJ et-al. From the archives of AFIP. Imaging of giant cell tumor and giant cell reparative granuloma of bone: radiologic-pathologic correlation. Radiographics. 21 (5): 1283-309.
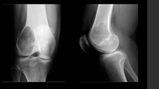
Tumor de Células Gigantes.
• Se localizan en huesos largos y sólo en núcleos de osificación cerrados, cercanos a
la superficie articular (84 – 99% <1cm).
• Son lesiones bien definidas excéntricas con margen no esclerótico.
• RX y TC 
 Zona de transición delgada sin esclerosis periférica.
 La corteza adyacente está adelgazada, expandida o deficiente.
 Reacción perióstica sólo en 10 - 30% de los casos.
 Puede presentar masa de tejidos blandos.
 Puede haber fracturas patológicas.
 No presentan matriz calcificada.
Murphey MD, Nomikos GC, Flemming DJ et-al. From the archives of AFIP. Imaging of giant cell tumor and giant cell reparative granuloma of bone: radiologic-pathologic correlation. Radiographics. 21 (5): 1283-309.
Tumor de Células Gigantes.
• IRM 
 T1 
 Componente sólido con señal intermedia a baja.
 Periferia con señal baja.
 T1+C 
 Realce de los componentes sólidos (lo distingue del quiste óseo aneurismático).
 Puede mostrar realce en la médula ósea adyacente.
 T2 
 Señal alta heterogénea con áreas de señal baja (debido a hemosiderina y fibrosis).
 Si hay componente quístico óseo aneurismático puede mostrar niveles líquido – líquido.
 Si hay señal alta adyacente a la médula ósea puede deberse a edema.
Murphey MD, Nomikos GC, Flemming DJ et-al. From the archives of AFIP. Imaging of giant cell tumor and giant cell reparative granuloma of bone: radiologic-pathologic correlation. Radiographics. 21 (5): 1283-309.
¡Gracias!

Tumores óseos

  • 1.
    Tumores óseos. Dr. MichaelPatrick Prud’homme Mena. Imagenología Diagnóstica y Terapéutica. Hospital Regional “Lic. Adolfo López Mateos”. I. S. S. S. T. E.
  • 2.
    Tumores formadores dehueso. •Osteoma. •Osteoma osteoide. •Osteoblastoma.
  • 3.
    Osteoma. • Lesión benignade crecimiento lento. • Tejido óseo maduro bien diferenciado con estructura laminar. • 75% en senos paranasales (frontal y etmoidal). Adam Greenspan et al. Tumores osteoblásticos (formadores de hueso). Tumores de huesos y articulaciones. Capítulo 2. PP. 25 – 26.
  • 4.
    Osteoma. • Se presentaen pacientes desde los 10 a 79 años con mayor incidencia en la 4ª y 5ª décadas de la vida. • Sin predominio de sexo. •Incidencia de 0.4% • Las lesiones pequeñas son asintomáticas. Adam Greenspan et al. Tumores osteoblásticos (formadores de hueso). Tumores de huesos y articulaciones. Capítulo 2. PP. 25 – 26.
  • 5.
    Osteoma. • Tumores grandes: Obstrucciónde conductos nasales. Mucoceles. Rinorrea. Cefalea. Dolor. Pérdida del olfato. Exoftalmos, diplopía y compresión del Nn óptico. Adam Greenspan et al. Tumores osteoblásticos (formadores de hueso). Tumores de huesos y articulaciones. Capítulo 2. PP. 25 – 26.
  • 6.
    Osteoma. • RX  Masadensa, esclerótica con aspecto de marfil, con márgenes definidos, unida al hueso. • TC  Es eficaz para demostrar la ausencia de invasión cortical. • IRM Imágenes con señal baja en T1 y T2 sin realce. Adam Greenspan et al. Tumores osteoblásticos (formadores de hueso). Tumores de huesos y articulaciones. Capítulo 2. PP. 25 – 26.
  • 10.
    Osteoma osteoide. • Tumoresbenignos que se presentan en niños y adolescentes, entre los 10 y 35 años. • Representan aproximadamente el 10% de todas las lesiones benignas. • Predominio M:F – 2-4:1. • Clásicamente presentan dolor nocturno que cede a salicilatos. • Cuando se presentan en la columna, son causa de escoliosis dolorosa, con concavidad en el lado de la lesión. • Puede haber inflamación de los tejidos blandos y, si están cerca del núcleo de crecimiento, pueden presentar aceleración del crecimiento, presumiblemente relacionado con hiperemia. • Presentan un nido menor a 2cm rodeados de reacción perióstica sólida. Greenspan A, Jundt G, Remagen W. Differential diagnosis in orthopaedic oncology. Lippincott Williams & Wilkins. (2006)
  • 11.
    Osteoma osteoide. • Huesoslargos y extremidades  65 – 80%. • Falanges  20%. • Vértebras  10%. Greenspan A, Jundt G, Remagen W. Differential diagnosis in orthopaedic oncology. Lippincott Williams & Wilkins. (2006)
  • 12.
    Osteoma osteoide. • RX  Puede ser normal.  Reacción perióstica sólida con engrosamiento cortical.  El nido es, a veces, visible como una región radiolúcida circunscrita con un punto esclerótico central. • TC   El método de elección ya que es el mejor para caracterizar la lesión.  Nido hipodenso rodeado de hueso esclerótico reactivo.  Puede verse, dentro del nido, una calcificación central. • Centellografía   Captación típica focal central intensa con anillo periférico de menor captación (signo de doble densidad). • US   Irregularidad cortical focalizada.  Nido puede ser hipoecoico con refuerzo acústico distal.  Doppler  puede mostrar hipervascularidad del nido. • IRM   Es sensitiva más no específica para identificar el nido.  La intensidad de señal del nido y el realce que presenta, es variable en todas las secuencias. Greenspan A, Jundt G, Remagen W. Differential diagnosis in orthopaedic oncology. Lippincott Williams & Wilkins. (2006)
  • 16.
    Osteoblastoma. • Tumores benignosraros. • Pueden ser localmente agresivos y tienden a afectar al esqueleto axial más frecuente que el osteoma osteoide. • Representan 1 – 3% de todos los tumores primarios óseos. • Se presentan entre la 2ª y 3ª décadas e la vida. • Sexo M:F – 2.5:1. • Presentación clínica:  Escoliosis dolorosa.  Dolor de instalación insidiosa que empeora en las noches, no cede a salicilatos.  Inflamación y mayor sensibilidad del área con disminución del rango de movimiento. Trübenbach J, Nägele T, Bauer T et-al. Preoperative embolization of cervical spine osteoblastomas: report of three cases. AJNR Am J Neuroradiol. 2006;27 (9): 1910-2.
  • 17.
    Osteoblastoma. • Distribución: • Columnavertebral:  Lumbar  40%.  Cervical  9 – 39%.  Sacro  17%. • Diáfisis de huesos largos:  Fémur y tibia. Trübenbach J, Nägele T, Bauer T et-al. Preoperative embolization of cervical spine osteoblastomas: report of three cases. AJNR Am J Neuroradiol. 2006;27 (9): 1910-2.
  • 18.
    Osteoblastoma. • RX  Lesionespredominantemente líticas con un anillo esclerótico reactivo periférico. Tendencia a ser expansivas. Presencia de calcificaciones internas. Puede presentar masa de tejidos blandos asociada. Tienen crecimiento rápido demostrado por expansión cortical, algunas veces con destrucción cortical. Puede presentar quiste óseo aneurismático en 20%. Trübenbach J, Nägele T, Bauer T et-al. Preoperative embolization of cervical spine osteoblastomas: report of three cases. AJNR Am J Neuroradiol. 2006;27 (9): 1910-2.
  • 19.
    Osteoblastoma. • TC  Lesiones predominantemente líticas similares a la radiografía.  La matriz interna se demuestra mejor en TC. • IRM   Características no específicas.  T1: Señal intermedia con áreas de menor intensidad de señal que corresponden a focos de calcificación.  T1+C: Realce ávido del tumor con realce asociado de tejidos blandos periféricos.  T2: Señal intermedia a baja con focos de calcificación hipointensos. Puede haber señal alta debido a edema de la médula ósea y tejidos blandos periféricos (fenómeno de llamarada”). Trübenbach J, Nägele T, Bauer T et-al. Preoperative embolization of cervical spine osteoblastomas: report of three cases. AJNR Am J Neuroradiol. 2006;27 (9): 1910-2.
  • 22.
    Tumores de origenfibroso. •Displasia fibrosa. •Fibroma no osificante.
  • 23.
    Displasia fibrosa. • Procesocongénito no neoplásico similar a tumor que se manifiesta como un defecto localizado en la diferenciación y maduración osteoblástica con reemplazo del hueso normal con estroma fibroso e islotes de tejido óseo inmaduro. • Puede afectar cualquier hueso y se divide en 4 subtipos:  Monostótica  1 hueso.  Poliostótica  múltiples huesos.  Displasia fibrosa craneofacial  sólo huesos del cráneo y macizo facial.  Querubismo  Sólo mandíbula y maxilar (displasia fibrosa no verdadera). Fitzpatrick KA, Taljanovic MS, Speer DP et-al. Imaging findings of fibrous dysplasia with histopathologic and intraoperative correlation. AJR Am J Roentgenol. 2004;182 (6): 1389-98.
  • 24.
    Displasia fibrosa. • Sepresenta predominantemente en niños y adultos jóvenes antes de los 30 años (mayor incidencia entre los 3 y 15 años). • En el tipo poliostótico la edad de presentación es a los 10 años. • No hay predilección de género. • Se asocia a:  Síndrome de McCune-Albright  2 – 3%.  Síndrome de Mazabraud (mixomas de tejidos blandos). • Presentación clínica:  Generalmente es un hallazgo incidental.  Puede presentar dolor debido a la expansión o remodelado óseos.  Puede comprimir y desplazar estructuras, particularmente en el tipo craneofacial. Fitzpatrick KA, Taljanovic MS, Speer DP et-al. Imaging findings of fibrous dysplasia with histopathologic and intraoperative correlation. AJR Am J Roentgenol. 2004;182 (6): 1389-98.
  • 25.
    Displasia fibrosa. • Monostótica  Representa 70 – 80% de los casos.  Usualmente asintomático.  Después de la pubertad la enfermedad es inactiva y no progresa al tipo poliostótico. • Poliostótica   Representa 20 – 30% de los casos.  Involucra múltiples huesos.  Se presenta más tempranamente (edad media 8 años) y 2/3 son sintomáticas a los 10 años. Fitzpatrick KA, Taljanovic MS, Speer DP et-al. Imaging findings of fibrous dysplasia with histopathologic and intraoperative correlation. AJR Am J Roentgenol. 2004;182 (6): 1389-98.
  • 26.
    Displasia fibrosa. • Monostótica  Costillas – 28%.  Fémur proximal – 23%.  Tibia y huesos craneofaciales – 10 – 25%.  Húmero. • Poliostótica   Fémur – 91%.  Tibia – 81%.  Pelvis – 78%.  Costillas – 73%.  Huesos craneofaciales – 50%.  Columna lumbar – 14%.  Clavícula – 10%.  Columna cervical – 7%. Fitzpatrick KA, Taljanovic MS, Speer DP et-al. Imaging findings of fibrous dysplasia with histopathologic and intraoperative correlation. AJR Am J Roentgenol. 2004;182 (6): 1389-98.
  • 27.
    Displasia fibrosa. • RX  Lesiones circunscritas con matriz en “vidrio deslustrado”, pueden ser completamente sólidas o escleróticas y no presentan reacción perióstica.  Las costillas son el sitio más común en el tipo monostótico.  Lesiones expansivas quísticas. Engrosamiento fusiforme de las costillas.  En extremidades puede condicionar fusión prematura de los núcleos de crecimiento, arqueamiento de la extremidad. • TC   Matriz en vidrio deslustrado 56%.  Escleróticas homogéneas 23%.  Quísticas 21%.  Muestran contornos bien definidos con expansión ósea sin afección al hueso subyacente.  Puede presentar remodelamiento óseo. Fitzpatrick KA, Taljanovic MS, Speer DP et-al. Imaging findings of fibrous dysplasia with histopathologic and intraoperative correlation. AJR Am J Roentgenol. 2004;182 (6): 1389-98.
  • 28.
    Displasia fibrosa. • IRM  No es útil para realizar diagnóstico diferencial.  T1  Señal intermedia heterogénea.  T1+C  Realce heterogéneo.  T2  Señal baja heterogénea con áreas de señal alta. • MN   Incremento en la captación de Tc99 en gamagrafía ósea.  Las lesiones se mantienen metabólicamente activas en la etapa adulta. Fitzpatrick KA, Taljanovic MS, Speer DP et-al. Imaging findings of fibrous dysplasia with histopathologic and intraoperative correlation. AJR Am J Roentgenol. 2004;182 (6): 1389-98.
  • 32.
    Fibroma no osificante. •Lesión ósea no neoplásica más común. • Son comunes en niños y adolescentes con un pico de incidencia entre los 10 y 15 años. • Prevalencia 30 – 40% de todos los niños normales. • Predominio M:F – 2:1. • La mayoría son asintomáticas, pero las lesiones grandes (>3cm) pueden ser dolorosas y pueden debilitar al hueso y predisponerlo a fracturas patológicas. • Cuando son múltiples se asocian a Neurofibromatosis tipo 1, displasia fibrosa y síndrome de Jaffe-Campanacci. Hetts SW, Hilchey SD, Wilson R et-al. Case 110: Nonossifying fibroma. Radiology. 2007;243 (1): 288-92.
  • 33.
    Fibroma no osificante. HettsSW, Hilchey SD, Wilson R et-al. Case 110: Nonossifying fibroma. Radiology. 2007;243 (1): 288-92.
  • 34.
    Fibroma no osificante. •RX y CT  Típicamente son circunscritos, asimétricos, lesiones radiolúcidas corticales con un anillo esclerótico.  Frecuentemente son multiloculadas.  Se localizan en la metáfisis, adyacente a la fisis.  Cuando el paciente crece, parece que migra lejos del núcleo de crecimiento.  No hay reacción perióstica asociada. • IRM   Apariencia variable, depende de la etapa del desarrollo e involución de la lesión.  Inicialmente la lesión muestra señal alta en T2 con anillo periférico con señal baja.  Mientras madura la lesión muestra disminución de señal en todas las secuencias.  Realce variable. • MN   La apariencia depende, en el gamagrama, de la fase de la lesión.  Generalmente es negativo, pero puede haber hiperemia leve con captación moderada durante la etapa de sanación. Hetts SW, Hilchey SD, Wilson R et-al. Case 110: Nonossifying fibroma. Radiology. 2007;243 (1): 288-92.
  • 38.
    Tumor de CélulasGigantes. •También conocidos como osteoclastomas. •Son tumores óseos relativamente comunes, usualmente benignos que nacen de la metáfisis y se extienden hacia la epífisis de los huesos largos. •Representan 18 – 23% de los tumores benignos óseos y 4 – 9.5% de todos los tumores primarios óseos. Murphey MD, Nomikos GC, Flemming DJ et-al. From the archives of AFIP. Imaging of giant cell tumor and giant cell reparative granuloma of bone: radiologic-pathologic correlation. Radiographics. 21 (5): 1283-309.
  • 39.
    Tumor de CélulasGigantes. • Se presentan una vez que los núcleos de osificación ya cerraron, por lo que se observan en la etapa adulta temprana (80% de los casos se presentan entre los 20 y 50 años con pico de incidencia entre los 20 y 30 años). • Hay discreto predominio por las mujeres, sin embargo la transformación maligna es más común en hombres (M:F – 3:1). • No tienen presentación clínica específica, sin embargo presenta dolor óseo insidioso, masa de tejidos blandos, compresión de estructuras adyacentes o, de forma aguda, con fractura patológica. Murphey MD, Nomikos GC, Flemming DJ et-al. From the archives of AFIP. Imaging of giant cell tumor and giant cell reparative granuloma of bone: radiologic-pathologic correlation. Radiographics. 21 (5): 1283-309.
  • 40.
    Tumor de CélulasGigantes. Murphey MD, Nomikos GC, Flemming DJ et-al. From the archives of AFIP. Imaging of giant cell tumor and giant cell reparative granuloma of bone: radiologic-pathologic correlation. Radiographics. 21 (5): 1283-309.
  • 41.
    Tumor de CélulasGigantes. • Se localizan en huesos largos y sólo en núcleos de osificación cerrados, cercanos a la superficie articular (84 – 99% <1cm). • Son lesiones bien definidas excéntricas con margen no esclerótico. • RX y TC   Zona de transición delgada sin esclerosis periférica.  La corteza adyacente está adelgazada, expandida o deficiente.  Reacción perióstica sólo en 10 - 30% de los casos.  Puede presentar masa de tejidos blandos.  Puede haber fracturas patológicas.  No presentan matriz calcificada. Murphey MD, Nomikos GC, Flemming DJ et-al. From the archives of AFIP. Imaging of giant cell tumor and giant cell reparative granuloma of bone: radiologic-pathologic correlation. Radiographics. 21 (5): 1283-309.
  • 42.
    Tumor de CélulasGigantes. • IRM   T1   Componente sólido con señal intermedia a baja.  Periferia con señal baja.  T1+C   Realce de los componentes sólidos (lo distingue del quiste óseo aneurismático).  Puede mostrar realce en la médula ósea adyacente.  T2   Señal alta heterogénea con áreas de señal baja (debido a hemosiderina y fibrosis).  Si hay componente quístico óseo aneurismático puede mostrar niveles líquido – líquido.  Si hay señal alta adyacente a la médula ósea puede deberse a edema. Murphey MD, Nomikos GC, Flemming DJ et-al. From the archives of AFIP. Imaging of giant cell tumor and giant cell reparative granuloma of bone: radiologic-pathologic correlation. Radiographics. 21 (5): 1283-309.
  • 46.