Tumores de crecimiento óseo
Universidad Autónoma de Baja California
Escuela de Ciencias de la Salud
Traumatología y Ortopedia
Valle – Gutiérrez, Andrés
Tumores de tejidos blandos
 Los tumores de tejido conectivo, representan un 16.6% de los casos de tumores malignos anuales
en México, sin embargo solo menos de 0.6% tumores primarios de hueso.
 Osteosarcoma y el sarcoma de Ewing son los más frecuentes y predominan en la infancia y
adolescencia, en el caso de los malignos.
Tumores óseos
 Neoplasias mesenquimatosas formadoras de hueso, se clasifican según la célula o el tipo de
tejido del que proceden
Tumores de tejido conectivo
Óseos
Benigno
Osteocondroma Más frecuentes
Maligno
1ero. Metástasis
de Mama,
Próstata y
Riñón.
2do. Mieloma en
adultos mayores
de 50.
3er. Niños y
Jóvenes, tumor
de Ewing
4to.
Osteosarcoma
Neoplasias óseas
La mayoría se presentan en los huesos que más crecen
(fémur, tibia, húmero), en los sitios que más crecen
(metáfisis), y a la edad en que más se crece (14 a 20
años).
En estas condiciones, los tumores adoptan sus
características típicas.
Patrones radiológicos
 Los tumores óseos son relativamente poco frecuentes, teniendo una relación 1:3 maligno/benigno.
Tumores óseos y su clasificación
 Los tumores del hueso difieren en sus características macroscópicas y morfológicas y varían en
su evolución natural desde inocuos a rápidamente mortales.
Clasificación por origen celular
Tumores formadores de
hueso
Formación de hueso por las células
neoplásicas.
El hueso tumoral se deposita en forma de
trabéculas entrelazadas con diferente grado
de mineralización.
Clasificación de la OMS
Tumores esqueléticos
Osteoma
Tumor exclusivo de huesos planos de cara y cráneo.
Se dividen en periféricos y centrales.
Pueden protruir hacia la cavidad nasal o craneal.
Patología
Se compone de hueso laminar, denso y maduro.
No se considera como tal una neoplasia
verdadera.
Carácter benigno.
Manejo es la remoción quirúrgica con bordes
limpios.
Tumores óseos, pueden encontrarse en todo el esqueleto, se
extienden desde la cortical al periostio.
Principalmente en huesos largos y vertebras.
Dolor intenso, especialmente por la noche.
Osteoblastoma y
Osteoma Osteoide
Patrónsexo:etario
Cuadro Clínico
Osteoma Osteoide
Los osteoma osteoides son <2cm de
diámetro.
El 50% de los casos afectan al fémur
o la tibia.
Mejoran con el uso de ASA.
Osteoblastoma
El osteoblastoma es >2cm
Con más frecuencia afecta la
columna.
Dolor sordo, continuo y no mejora con
salicilatos.
Osteoma Osteoide
Nido de Osteoide calcificado, acompañado de
tejido conectivo en aumento sin inflamación.
Se observa una zona esclerótica dentro del
hueso.
Zona radiotransparente redonda pequeña que
puede estar mineralizada en el centro.
Osteoblastoma
Nido de Osteoide
calcificado de
mayor tamaño.
Matriz cartilaginosa.
Neoplasia maligna.
Manejo
 El osteoma osteoide se trata mediante ablación por radiofrecuencia.
 El osteoblastoma se trata mediante legrado o resección conservadora en bloque.
Tumor de células
gigantes
Tumor benigno principalmente.
Una variante del tumor de células gigantes que adquiere
un comportamiento maligno, en 10% de los casos.
Se conoce como Osteosarcoma de células gigantes.
Tumor de células gigantes
Más común en pacientes orientales, arriba de los
20 años o en niños.
Más común en femeninas.
Afección de huesos largos, en su zona
metafisiaria y epifisiaria.
Clínica y Paraclínica
Fracturas patológicas, dolor óseo e inhibición
del crecimiento.
Imágenes de lesiones líticas y expansivas en la
zona epifisiaria.
Sin lesión perióstica.
Patogenia
Anatomía Patológica
Apariencia quística, necrótica y hemorrágica, con
trabéculas fibrótica.
Células mesenquimatosas multinucleadas, con o sin
formación de Osteoide.
Se piensa que son osteoclastos, por lo que la IHQ
revelara ALP, Marcadores histoliticos, receptor para
calcitonina y RANK-L.
Manejo del tumor de células gigantes
 Radioterapia, solo en casos de que sea
imposible su resección.
 Resección en bloque, con remplazo o
relleno de hueso con injerto artificial o
aloinjerto.
Metástasis
Principalmente a pulmón por vía hematógena.
Solo en estadios III de los Osteoclastomas.
Se aprecia un pleomorfismo, atipia nuclear,
mitosis, formas nucleares bizarras.
Osteoblastoma maligno
Tumor diferenciable histológicamente por presentar células
de diferenciación osteoblástica de aspecto epiteloide.
Se habla de transformación a Osteosarcoma.
Osteosarcoma
Tumor óseo primario maligno más frecuente.
Aparece generalmente en las diáfisis de huesos largos.
Patrónsexo:etario
Genética,alteraciones
enelP53yRB
Traumarepetitivo
Cuerposextrañoso
prótesis
Lesionesóseas
preexistentesyPaget
Radiacióno
Quimioterapia
Dinovo
FactoresdeRiesgo
Localización
 Más frecuente en las metáfisis óseas de huesos largos
 Fémur distal
 Tibia proximal
 Humero proximal
 Más rara en huesos planos.
 Hueso iliaco y acetábulo
Múltiples
Patogenia del tumor
Clínica
Inicio gradual y
progresivo de dolor
e inflamación.
Dolor óseo tras
ejercicio o nocturno.
Restricción de la
motilidad de la
articulación.
Fractura patológica
Diagnostico
Reacción perióstica:
 (a) Laminar “ en capas de cebolla”.
 (b) Espiculada “ en cepillo”.
 (c) Espiculada “ en rayos de sol”.
 (d) Triángulo de Codman en
Osteosarcoma convencional de metáfisis
distal tibial.
Imagenología: Reacción perióstica maligna
RayosdeSol
Capasdecebolla
Espículas finas de hueso debidamente calcificado Delgadas láminas calcificadas paralelas a la
superficie perióstica en la zona tumoral.
Otras imágenes
 Lesiones con destrucción de la cortical ósea.
Anatomía Patológica: Biopsia Ósea
Diagnostico
definitivo
Buena Muestra
Comunicación entre
Clínico – Radiólogo -
Patólogo
Apariencia macroscópica
 Dependerá de la celularidad y tipo.
 Puede presentarse como hueso
aparentemente normal intramedular,
quístico, hemorrágico.
 Destrucción de la corteza y elevación del
periostio.
 Extender a tejidos blandos hasta ulcerar
piel o articulaciones.
Aspecto microscópico:
Células pleomorficas y bizarras con núcleos
hipercrómicos.
Cúmulos en palomitas de maíz.
Aspecto papilar o cartilaginoso.
La formación de trabéculas basófilas como hifas.
Osteoide esparcido masivamente.
Sarcoma osteoblástico (50%) Sarcoma condroblástico (25%)
Sarcoma fibroblástico (25%)
Tiposcelulares
Estudios complementarios
Gammagrafía ósea con fosfato 99mTc
Serie ósea y TAC/RM para valorar invasión y
metástasis.
Analítica completa previa a envió a Oncología
Medica y Quirúrgica.
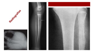
Otras pruebas de imagen
A: Rx AP. Lesión expansiva de localización subperióstica.
B: Rx AP. Exostosis en cortical de la tibia proximal.
C: TAC axial. Lesión parosteal.
Metástasis
 Hematógena:
 Pleuropulmonar.
 Otros huesos.
 Corazón.
Clasificación
Manejo: Oncología Médica
 Es muy sensible a la quimioterapia en
estadios tempranos.
 Prequirúrgico.
Metotrexate
• Citostatico
Adriomicina
• Intercala al
DNA
Cisplatino
• Antimitotico
Analítica
 Fosfatasa Alcalina:
 44 -147 UI/L
 Asocia a metástasis.
 Deshidrogenasa Láctica:
 105 – 133 UI/L
 Necrosis celular.
Seguimiento
Hemorragia y
necrosis tumoral es
buen pronostico al
tratamiento.
Manejo Quirúrgico
Amputación con desarticulación.
Salvar la extremidad en casos de que el margen
sea más de 5 cm.
Remplazo con endoprotesis tumorales
Valoración del tratamiento
 Volumen, edad, localización, elevación DHL,
subtipo histológico y grado.
Pronostico
A 5 años la supervivencia es muy variable, de
20% a 70% en la mayoría de las series.
Factores que aumentan la mortalidad:
• Paget
• Tumores del esqueleto axial
• Celularidad tipo telangectasica o de células
pequeñas
• Aneploidia y mutaciones en el DNA.
Sarcoma de Ewing
La familia de tumores del sarcoma de Ewing comprende el sarcoma de
Ewing y el tumor neuroectodérmico primitivo, que son tumores de
célula redondas malignos primarios del hueso y las partes blandas
Patogenia
Tienen una translocación en el gen EWS
localizado en el cromosoma 22 y en un gen que
codifica un factor de transcripción de la familia
ETS.
El gen ETS afectado con más frecuencia es FLI1,
formando parte de una translocación (11;22)
(q24;q12).
EpidemiologíadelSarcoma
Datos clínicos
Tumor puede similar una osteomielitis, dolor,
fiebre y leucocitosis.
Aumento de volumen.
Predilección por los huesos largos y axiales.
Son generalmente intramedulares y generalmente
hacen una reacción en capas de cebolla.
Anatomía Patológica
Surgen en la cavidad medular, invaden la cortical, el periostio y las
partes blandas.
El tumor es blando, pardo-blanquecino y contiene zonas de hemorragia
y necrosis.
Microscopia
Formado por láminas de células redondas
pequeñas uniformes.
Tiene escaso citoplasma, puede ser claro, por
contenido abundante de glucógeno.
Metástasis
 Principalmente es pleuropulmonar.
 Luego a otros huesos, principalmente del
macizo facial y cráneo.
 Por ultimo SNC.
Manejo medico
• 4 a 6 ciclos
• Base del tratamiento
• Etopoxido- Ifosfamida
Manejo multimodal
Nuevos manejos quirúrgicos
 Escisión del tumor, con remplazo por endoprotesis artificiales.
 Bordes sanos de 4 cm del tumor.
 No amputativa.
Pronostico
 Va de un15% sin tratamiento hasta un
75% aprox. de supervivencia a los 5 años,
con un adecuado manejo.
 Mismos factores de mal pronostico que el
Osteosarcoma:
 Tipo histológico
 Alteraciones genéticas
 Expansión a tejidos blandos
 Metástasis
 Diferenciación neural
Bibliografía
Rosai, J.. (2011). Bone and Joints. En Rosai and Ackerman’s surgical pathology (2014-2079). Milán: Mosby.
Rodríguez-Jurado, R.. (2009). Biopsia de Hueso y Articulación. Acta Pediátrica de México, 30(5), 275-287.
Sánchez-Torres, LJ y Santos-Hernandéz M.. (2012). El arte de diagnosticar tumores óseos. Acta Ortopédica Mexicana, 26(1), 57-67.
Kumar V., Abbas A.K., Fausto N., Aster JC. y cols. Robbins y Cotran, Patología Estructural y Funcional. Barcelona: ELSEVIER, 2010; vol. 1:
1450.
Farreras Valenti P. y Rozman C. Medicina Interna. Barcelona: ELSEVIER: 17º Edición, 2012.
Sistema Nacional de Vigilancia Epidemiológica. Perfil Epidemiológico de los tumores malignos en México. México, 2012: Ciudad de
México, 2012.

Tumores de tejido óseo

  • 1.
    Tumores de crecimientoóseo Universidad Autónoma de Baja California Escuela de Ciencias de la Salud Traumatología y Ortopedia Valle – Gutiérrez, Andrés
  • 2.
    Tumores de tejidosblandos  Los tumores de tejido conectivo, representan un 16.6% de los casos de tumores malignos anuales en México, sin embargo solo menos de 0.6% tumores primarios de hueso.  Osteosarcoma y el sarcoma de Ewing son los más frecuentes y predominan en la infancia y adolescencia, en el caso de los malignos.
  • 3.
    Tumores óseos  Neoplasiasmesenquimatosas formadoras de hueso, se clasifican según la célula o el tipo de tejido del que proceden
  • 4.
    Tumores de tejidoconectivo Óseos Benigno Osteocondroma Más frecuentes Maligno 1ero. Metástasis de Mama, Próstata y Riñón. 2do. Mieloma en adultos mayores de 50. 3er. Niños y Jóvenes, tumor de Ewing 4to. Osteosarcoma
  • 5.
    Neoplasias óseas La mayoríase presentan en los huesos que más crecen (fémur, tibia, húmero), en los sitios que más crecen (metáfisis), y a la edad en que más se crece (14 a 20 años). En estas condiciones, los tumores adoptan sus características típicas.
  • 6.
    Patrones radiológicos  Lostumores óseos son relativamente poco frecuentes, teniendo una relación 1:3 maligno/benigno.
  • 7.
    Tumores óseos ysu clasificación  Los tumores del hueso difieren en sus características macroscópicas y morfológicas y varían en su evolución natural desde inocuos a rápidamente mortales.
  • 8.
  • 9.
    Tumores formadores de hueso Formaciónde hueso por las células neoplásicas. El hueso tumoral se deposita en forma de trabéculas entrelazadas con diferente grado de mineralización.
  • 10.
  • 11.
  • 12.
    Osteoma Tumor exclusivo dehuesos planos de cara y cráneo. Se dividen en periféricos y centrales. Pueden protruir hacia la cavidad nasal o craneal.
  • 13.
    Patología Se compone dehueso laminar, denso y maduro. No se considera como tal una neoplasia verdadera. Carácter benigno. Manejo es la remoción quirúrgica con bordes limpios.
  • 14.
    Tumores óseos, puedenencontrarse en todo el esqueleto, se extienden desde la cortical al periostio. Principalmente en huesos largos y vertebras. Dolor intenso, especialmente por la noche. Osteoblastoma y Osteoma Osteoide
  • 15.
  • 16.
    Cuadro Clínico Osteoma Osteoide Lososteoma osteoides son <2cm de diámetro. El 50% de los casos afectan al fémur o la tibia. Mejoran con el uso de ASA. Osteoblastoma El osteoblastoma es >2cm Con más frecuencia afecta la columna. Dolor sordo, continuo y no mejora con salicilatos.
  • 17.
    Osteoma Osteoide Nido deOsteoide calcificado, acompañado de tejido conectivo en aumento sin inflamación. Se observa una zona esclerótica dentro del hueso. Zona radiotransparente redonda pequeña que puede estar mineralizada en el centro.
  • 18.
    Osteoblastoma Nido de Osteoide calcificadode mayor tamaño. Matriz cartilaginosa. Neoplasia maligna.
  • 19.
    Manejo  El osteomaosteoide se trata mediante ablación por radiofrecuencia.  El osteoblastoma se trata mediante legrado o resección conservadora en bloque.
  • 20.
    Tumor de células gigantes Tumorbenigno principalmente. Una variante del tumor de células gigantes que adquiere un comportamiento maligno, en 10% de los casos. Se conoce como Osteosarcoma de células gigantes.
  • 21.
    Tumor de célulasgigantes Más común en pacientes orientales, arriba de los 20 años o en niños. Más común en femeninas. Afección de huesos largos, en su zona metafisiaria y epifisiaria.
  • 22.
    Clínica y Paraclínica Fracturaspatológicas, dolor óseo e inhibición del crecimiento. Imágenes de lesiones líticas y expansivas en la zona epifisiaria. Sin lesión perióstica.
  • 23.
  • 24.
    Anatomía Patológica Apariencia quística,necrótica y hemorrágica, con trabéculas fibrótica. Células mesenquimatosas multinucleadas, con o sin formación de Osteoide. Se piensa que son osteoclastos, por lo que la IHQ revelara ALP, Marcadores histoliticos, receptor para calcitonina y RANK-L.
  • 25.
    Manejo del tumorde células gigantes  Radioterapia, solo en casos de que sea imposible su resección.  Resección en bloque, con remplazo o relleno de hueso con injerto artificial o aloinjerto.
  • 26.
    Metástasis Principalmente a pulmónpor vía hematógena. Solo en estadios III de los Osteoclastomas. Se aprecia un pleomorfismo, atipia nuclear, mitosis, formas nucleares bizarras.
  • 27.
    Osteoblastoma maligno Tumor diferenciablehistológicamente por presentar células de diferenciación osteoblástica de aspecto epiteloide. Se habla de transformación a Osteosarcoma.
  • 28.
    Osteosarcoma Tumor óseo primariomaligno más frecuente. Aparece generalmente en las diáfisis de huesos largos.
  • 29.
  • 30.
  • 31.
    Localización  Más frecuenteen las metáfisis óseas de huesos largos  Fémur distal  Tibia proximal  Humero proximal  Más rara en huesos planos.  Hueso iliaco y acetábulo Múltiples
  • 32.
  • 33.
    Clínica Inicio gradual y progresivode dolor e inflamación. Dolor óseo tras ejercicio o nocturno. Restricción de la motilidad de la articulación. Fractura patológica
  • 34.
  • 35.
    Reacción perióstica:  (a)Laminar “ en capas de cebolla”.  (b) Espiculada “ en cepillo”.  (c) Espiculada “ en rayos de sol”.  (d) Triángulo de Codman en Osteosarcoma convencional de metáfisis distal tibial.
  • 36.
    Imagenología: Reacción periósticamaligna RayosdeSol Capasdecebolla Espículas finas de hueso debidamente calcificado Delgadas láminas calcificadas paralelas a la superficie perióstica en la zona tumoral.
  • 37.
    Otras imágenes  Lesionescon destrucción de la cortical ósea.
  • 38.
    Anatomía Patológica: BiopsiaÓsea Diagnostico definitivo Buena Muestra Comunicación entre Clínico – Radiólogo - Patólogo
  • 39.
    Apariencia macroscópica  Dependeráde la celularidad y tipo.  Puede presentarse como hueso aparentemente normal intramedular, quístico, hemorrágico.  Destrucción de la corteza y elevación del periostio.  Extender a tejidos blandos hasta ulcerar piel o articulaciones.
  • 40.
    Aspecto microscópico: Células pleomorficasy bizarras con núcleos hipercrómicos. Cúmulos en palomitas de maíz. Aspecto papilar o cartilaginoso. La formación de trabéculas basófilas como hifas. Osteoide esparcido masivamente.
  • 41.
    Sarcoma osteoblástico (50%)Sarcoma condroblástico (25%) Sarcoma fibroblástico (25%) Tiposcelulares
  • 42.
    Estudios complementarios Gammagrafía óseacon fosfato 99mTc Serie ósea y TAC/RM para valorar invasión y metástasis. Analítica completa previa a envió a Oncología Medica y Quirúrgica.
  • 43.
    Otras pruebas deimagen A: Rx AP. Lesión expansiva de localización subperióstica. B: Rx AP. Exostosis en cortical de la tibia proximal. C: TAC axial. Lesión parosteal.
  • 44.
  • 45.
  • 46.
    Manejo: Oncología Médica Es muy sensible a la quimioterapia en estadios tempranos.  Prequirúrgico. Metotrexate • Citostatico Adriomicina • Intercala al DNA Cisplatino • Antimitotico
  • 47.
    Analítica  Fosfatasa Alcalina: 44 -147 UI/L  Asocia a metástasis.  Deshidrogenasa Láctica:  105 – 133 UI/L  Necrosis celular. Seguimiento Hemorragia y necrosis tumoral es buen pronostico al tratamiento.
  • 48.
    Manejo Quirúrgico Amputación condesarticulación. Salvar la extremidad en casos de que el margen sea más de 5 cm. Remplazo con endoprotesis tumorales
  • 49.
    Valoración del tratamiento Volumen, edad, localización, elevación DHL, subtipo histológico y grado.
  • 50.
    Pronostico A 5 añosla supervivencia es muy variable, de 20% a 70% en la mayoría de las series. Factores que aumentan la mortalidad: • Paget • Tumores del esqueleto axial • Celularidad tipo telangectasica o de células pequeñas • Aneploidia y mutaciones en el DNA.
  • 51.
    Sarcoma de Ewing Lafamilia de tumores del sarcoma de Ewing comprende el sarcoma de Ewing y el tumor neuroectodérmico primitivo, que son tumores de célula redondas malignos primarios del hueso y las partes blandas
  • 52.
    Patogenia Tienen una translocaciónen el gen EWS localizado en el cromosoma 22 y en un gen que codifica un factor de transcripción de la familia ETS. El gen ETS afectado con más frecuencia es FLI1, formando parte de una translocación (11;22) (q24;q12).
  • 53.
  • 54.
    Datos clínicos Tumor puedesimilar una osteomielitis, dolor, fiebre y leucocitosis. Aumento de volumen. Predilección por los huesos largos y axiales. Son generalmente intramedulares y generalmente hacen una reacción en capas de cebolla.
  • 56.
    Anatomía Patológica Surgen enla cavidad medular, invaden la cortical, el periostio y las partes blandas. El tumor es blando, pardo-blanquecino y contiene zonas de hemorragia y necrosis.
  • 57.
    Microscopia Formado por láminasde células redondas pequeñas uniformes. Tiene escaso citoplasma, puede ser claro, por contenido abundante de glucógeno.
  • 58.
    Metástasis  Principalmente espleuropulmonar.  Luego a otros huesos, principalmente del macizo facial y cráneo.  Por ultimo SNC.
  • 59.
    Manejo medico • 4a 6 ciclos • Base del tratamiento • Etopoxido- Ifosfamida
  • 60.
  • 61.
    Nuevos manejos quirúrgicos Escisión del tumor, con remplazo por endoprotesis artificiales.  Bordes sanos de 4 cm del tumor.  No amputativa.
  • 62.
    Pronostico  Va deun15% sin tratamiento hasta un 75% aprox. de supervivencia a los 5 años, con un adecuado manejo.  Mismos factores de mal pronostico que el Osteosarcoma:  Tipo histológico  Alteraciones genéticas  Expansión a tejidos blandos  Metástasis  Diferenciación neural
  • 63.
    Bibliografía Rosai, J.. (2011).Bone and Joints. En Rosai and Ackerman’s surgical pathology (2014-2079). Milán: Mosby. Rodríguez-Jurado, R.. (2009). Biopsia de Hueso y Articulación. Acta Pediátrica de México, 30(5), 275-287. Sánchez-Torres, LJ y Santos-Hernandéz M.. (2012). El arte de diagnosticar tumores óseos. Acta Ortopédica Mexicana, 26(1), 57-67. Kumar V., Abbas A.K., Fausto N., Aster JC. y cols. Robbins y Cotran, Patología Estructural y Funcional. Barcelona: ELSEVIER, 2010; vol. 1: 1450. Farreras Valenti P. y Rozman C. Medicina Interna. Barcelona: ELSEVIER: 17º Edición, 2012. Sistema Nacional de Vigilancia Epidemiológica. Perfil Epidemiológico de los tumores malignos en México. México, 2012: Ciudad de México, 2012.