TUMORES
ÓSEOS
DR DANIEL FERNANDO
QUEZADA GATICA
R3 TRAUMATOLOGIA Y
ORTOPEDIA IMSS/VILLACOAPA
Que es un tumor óseo?
 Crecimiento celular descontrolado y
desorganizado del tejido óseo el cual
puede originar lesiones benignas y
malignas y que tienden a crear
metástasis.
1.- Historia clínica:
 Síntomas (dolor nocturno)
 Fracturas
 Compresión medular
 Hipercalcemia
Localización de la lesión
2.- localización
Variedades
Por origen y naturaleza:
 Tumores primitivos
 Tumores metastáticos
 Lesiones seudotumorales
Por su evolución:
 Tumores benignos y
lesiones seudotumorales
 Tumores óseos malignos
3.-Radiología
 La Radiología es más específica que la
clínica pero casi nunca es definitiva, ya
que requiere confirmación histológica.
ESTUDIO DE UNA RX.
 Partes blandas, periostio, cortical,
medular ósea,
 Áreas comprometidas (diáfisis, metáfisis o
epífisis),
 Estado del cartílago de crecimiento y,
finalmente, afectación articular.
 2
 1
 3
 4
 6
 5
 7
 8
 9
Fémur normal
Caracteristicas radiológicas
de los tumores óseos
Reacción perióstica
 La reacción perióstica del hueso tiene
también características que pueden
orientar sobre la benignidad o
malignidad de la lesión
ojo
Radiografía simple
 Signos de benignidad :
 imagen bien definida
 cortical normal
A nivel de la cadera: las localizaciones más frecuentes son próximas a los
cartílagos de crecimiento
Radiografía simple
 Signos de benignidad :
 imagen bien definida
 cortical normal
Radiografía simple
 Signos de benignidad :
 imagen bien definida
 cortical normal
Tumor a células gigantes
Radiografía simple
 Signos de benignidad :
 imagen bien definida
 cortical normal
Quiste óseo solitario
Migración hacia la diáfisis con
el crecimiento
6 años 9 años
Osteoma osteoide
Radiografía simple
 Signos de benignidad :
 imagen bien definida
 cortical normal
Clasificación
O s t e o m a
O s t e o m a o s t e o i d e
O s t e o b l a s t o m a
B e n i g n o s
O s t e o s a r c o m a
O s t e o s a r c o m a y u x t a c o r t i c a l
O s t e o b l a s t o m a m a l i g n o
M a l ig n o s
T u m o r e s f o r m a d o r e s d e t e jid o ó s e o
BIOPSIA
 Sistemática en caso de duda
 biopsia con trocar (TAC)
 Esperar el resultado para iniciar el
tratamiento
 El diagnóstico anátomo-patológico a
veces es difícil
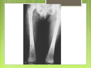
Fibromas condromixoides
Metáfisis
Quiste óseo Quiste aneurismático
Quiste óseo Displasia fibrosa
Condroblastomas Tumor a células gigantes Quistes aneurismáticos
Epífisis
xxxxxxxxxxxxxxxxxxxxxx
 RM : Tumores en T1 intermedia se observan y
en T2 alta
 RM con gadolinio se observan tumores
cuando están vascularizados hiperintensos
 RM con técnica de supresión adiposa
muestra intensidad alta
 Gamma con Tc, citrato de galio y leucocitos
marcados con In. Sensible pero poco
especifico
C o n d ro m a
O s te o c o n d ro m a
F ib ro m a c o n d ro m ix o id e
B e n ig n o s
C o n d ro s a rc o m a
C o n d ro s a rc o m a y u x ta c o rtic a l
C o n d ro s a rc o m a d e c é lu la s c la ra s
M a lig n o s
T u m o re s fo rm a d o re s d e te jid o c a rtila g in o s o
Tumor de células gigantes (osteoclastoma)
H e m a n g io m a
L in fa n g io m a
T u m o r g ló m ic o
B e n ig n o s
H e m a n g io e n d o te lio m a
H e m a n g io p e ric ito m a
In d e te rm in a d o s
A n g io s a rc o m a
M a lig n o s
T u m o re s v a s c u a lre s
F i b r o m a d e s m o p l á s i c o
L i p o m a
B e n i g n o s
F i b r o s a r c o m a
L i p o s a r c o m a
M e s e n q u i m o m a m a l i g n o
F i b r o h i s ti o c i t o m a m a l i g n o
S a r c o m a i n d i f e r e n c i a d o
M a l ig n o s
O t r o s t u m o r e s c o n e c t iv o s
C o r d o m a
A d a m a n t i m o m a
B e n i g n o s
N e u r i le n o m a
N e u r o f i b r o m a
M a l ig n o s
O t r o s t u m o r e s
Tumores de la médula ósea
 Sarcoma de Ewing
 Linfomas malignos
 Mieloma
Signos de malignidad
 Zonas líticas
 Reacción perióstica
 Efracción de la cortical
 Imagen de osificaciones de partes blandas
Osteosarcomas
Condrosarcoma periférico
 Invasión inmediata de partes blandas
 Difícil de visualizar en la radiografía
• Signos de malignidad
Atención a las formas debutantes :
 pequeña zona difusa
 pequeña reacción perióstica
enfrente de una zona densa
• Signos de malignidad
Cáncer óseo secundario
• Signos de malignidad
Condroma perióstico (juxtacortical)
• Invasión de partes blandas
Osteoma
 Tumor benigno, no maligniza
 Hueso maduro, hiperdenso, con cápsula
fibrosa
 Crecimiento muy lento
 Aparición: infantil.
 Manifestación: jóvenes y adultos
 En huesos membranosos (cráneo y cara)
 Senos frontal y etmoidal 75%
Clínica y diagnóstico
 Asintomático, salvo compresión estructuras
 Imagen de osteocondensación redondeada
Conducta terapéutica
Observación
Si clínica o deformidad: exéresis
Osteoma osteoide
 Tumor que se manifiesta como nido
menor de 1cm, con tejido muy
vascularizado.
 Entre la 2ª y 3ª década (el 75% tienen
menos de 25 años) y es más frecuente en
varones (2/1).
 Predilección por los huesos de las
extremidades(50% fémur o tibia), donde
se originan en la cortical
Osteoma osteoide
• Clínica: dolor nocturno y que mejora con
la aspirina. Es debido a un exceso de
producción de prostaglandina E2.
• Radiológicamente se manifiesta como
una transparencia pequeña y redonda
(nidus)
Condensación cortical
En la cortical,
el nido.
Diáfisis
Osteoma osteoide
Antonio Ferrández Izquierdo
Osteoma
osteoide
Antonio Ferrández Izquierdo
Osteoma
osteoide
Osteoblastoma
 Tumor benigno, no maligniza
 Hueso maduro, con nido central de material
osteoide.
 Puede alcanzar gran tamaño
 Más en varones (2:1), 20-40 años
 Asienta en:
 Columna (50%)
 Maxilares
 Extremidades (huesos largos y cortos)
Clínica y diagnóstico
Dolor, tumefacción e incapacidad
funcional
Dolor sensible a salicilatos
Cortical siempre conservada
Condensación + núcleo claro
Conducta terapéutica
Extirpar el nidus
dudas, añadir radioterapia
• Proliferación benigna de cartílago unida por un
pedículo óseo.
• Lesión relativamente frecuente y puede ser solitaria
o múltiple (exostosis múltiple hereditaria).
• Los solitarios suelen diagnosticarse al final de la
adolescencia y al inicio de la edad adulta pero los
múltiples aparecen en la infancia.
Osteocondroma
Osteocondroma
• Son más frecuentes en los hombres (3/1)
• Aparecen en las metáfisis próximas a los
cartílagos de crecimiento de los huesos
largos, especialmente en la rodilla.
• Ocasionalmente aparecen en la pelvis,
escápula y costillas.
• Crecimiento lento y pueden ser dolorosos si
comprimen un nervio o se rompe el pedículo
Antonio Ferrández Izquierdo
Osteocondroma
• Tumores de cartílago más frecuentes y se
suelen diagnosticar entre los 20-50 años.
• Pueden originarse en la cavidad medular
(encondromas) o en la superficie del hueso
(condromas subperiósticos o
yuxtacorticales).
• Los encondromas pueden ser solitarios o
múltiples.
Condroma
Condroma
- Los solitarios se localizan en la región
metafisaria de los huesos cilíndricos,
sobre todo en manos y pies.
- Los múltiples (encondromatosis) se
conocen como enfermedad de Ollier
o síndrome de Maffucci (si se asocia a
angiomas de partes blandas).
Antonio Ferrández Izquierdo
Condroma
Condroblastoma
- Menos del 1% de los tumores óseos primarios
- 2ª década con predominio en varones (2/1).
- La mayoría cerca de la rodilla, predilección
por la epífisis. Menos frecuentemente en la
pelvis y costillas.
- Dolorosos, por su localización próxima a las
articulaciones producen derrames que
limitan la movilidad articular.
- Es el tumor de cartílago más infrecuente pero por
su variada morfología puede confundirse con un
sarcoma.
- Afecta a pacientes entre la segunda y tercera
década con claro predominio por el varón.
- Se originan más frecuentemente en las metáfisis de
los huesos cilíndricos largos.
- Suelen presentar dolor sordo localizado.
Fibroma
condromixoide
- Miden entre 3-8 cm de diámetro y están bien delimitados.
- Son sólidos y de color pardo grisáceo brillante.
- Microscópicamente existen nódulos nódulos de cartílago hialino mal
formado y tejido mixoide delineado por tabiques fibrosos.
- La celularidad es variable, suelen ser más celulares la periferia de los
nódulos.
- Las áreas mixoides están constituidas por células estrelladas.
- A diferencia de otros tumores benignos del cartílago, las células
neoplásicas muestran diversos grados de atipia citológica.
Fibroma
condromixoide
Antonio Ferrández Izquierdo
- Es un proceso muy frecuente que se encuentra en
el 30-50% de los niños de más de 2 años.
- Con frecuencia son pequeños (media 0,5 cm)
- Se cree que son defectos congénitos más que
neoplasias.
- La mayoría aparecen en la metáfisis distal del
fémur y de la proximal de la tibia y casi la mitad son
bilaterales o múltiples.
- Son asintomáticos y suelen detectarse casualmente
en la radiografía y la mayoría se resuelven
espontáneamente.
Defecto cortical
fibroso
Antonio Ferrández Izquierdo
- Coloración gris o pardo-amarillento.
- Celularidad constituida por fibroblastos e
histiocitos.
- Los fibroblastos se disponen en patrón
arremolinado y los histiocitos son células
multinucleadas gigantes o grupos de macrófagos
espumosos.
Defecto cortical
fibroso
Antonio Ferrández Izquierdo
- Lesiones similares al defecto cortical fibroso pero
de mayor tamaño (5-6 cm) y que se desarrollan en la
adolescencia.
- Pueden presentarse como fractura patológica
Fibroma no
osificante
Antonio Ferrández Izquierdo
Fibroma no
osificante
Antonio Ferrández Izquierdo
Displasia
fibrosa
- Tumor benigno de la infancia, que se ha
comparado a una detención localizada del desarrollo
del hueso.
- Se puede presentar como afectación de un único
hueso (monostótica) (70%), afectación de múltiples
huesos (poliostótica) (27%) o múltiple asociada a
manchas café con leche en la piel y anomalías
endocrinas, especialmente pubertad precoz (síndrome
de McCune-Albright) (3%).
- Una complicación rara, puede ser la transformación
maligna, sobre todo en la forma poliostótica y si se ha
irradiado.
Antonio Ferrández Izquierdo
Displasia
fibrosa
- Macroscópicamente las lesiones están bien
circunscritas, intramedulares y varían mucho en
tamaño.
-Microscópicamente está compuesto por trabéculas
curvilíneas de hueso reticular rodeadas por una
proliferación fibroblástica moderadamente celular.
- Las trabéculas se disponen de forma que recuerdan
los caracteres chinos y el hueso carece de reborde
osteoblástico
Tumor de células gigantes
• Se denomina así por que está constituido por
células multinucleadas gigantes de tipo osteoclasto
(osteoclastoma)
• Es un tumor infrecuente relativamente benigno
pero localmente agresivo.
• Suele aparecer entre la tercera y quinta década.
• Afectan a las epífisis y metáfisis sobre todo en la
rodilla.
• La mayoría son solitarios pero pueden ser múltiples.
Tumor de células
gigantes
- Tumores grandes y de color pardo rojizo que
sufren frecuentemente degeneración quística.
- Están formados por células mononucledas
ovaladas uniformes con membranas celulares
mal definidas, mitosis frecuentes y que parecen
crecer en un sincitio.
- En forma dispersa se observan numerosas
células gigantes de tipo osteoclasto (100 o más
núcleos).
Antonio Ferrández Izquierdo
Tumor de células gigantes
Argumentos topográficos
 Metáfisis
 Tumores cartilaginosos
 Quistes
 Fibromas no osificantes
 Epífisis
 Condroblastomas
 Tumor de células gigantes
 Quistes aneurismáticos
 Diálisis
 Displasia fibrosa, adamantinomas, osteomas
osteoides
Fibromas condromixoides
Metáfisis
Quiste óseo Quiste aneurismático
Quiste óseo Displasia fibrosa
Condroblastomas Tumor a células gigantes Quistes aneurismáticos
Epífisis
Radiografía RMN TDM Centellografía
Mujer de 30 años :
Dolor a la marcha
Displasia fibrosa
Diáfisis
Condensación cortical
En la cortical,
el nido.
Diáfisis
Osteoma osteoide
Lisis cortical lacunar
Diáfisis
Adamantinoma
Argumentos topográficos
 Columna vertebral
 Granulomas eosinófilos
 Angiomas, quistes aneurismáticos, osteoblastomas,
cordomas
 Huesos planos
 Granulomas eosinófilos
 Huesos de la mano
 Condromas
 Localización plurifocal
 Displasia fibrosa, condromatosis osteocondromatosis
Columna Vertebral
Osteoma osteoide
Evolución: La curación se obtiene en caso de
la exéresis completa del nido
Osteoblastoma Quiste aneurismático
M 18 años
Condromas
Mano
El diagnóstico es con frecuencia
difícil
Quiste óseo Displasia fibrosa
Curetaje + relleno + osteosíntesis en caso de fragilidad
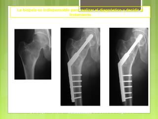
La biopsia es indispensable para realizar el diagnóstico y decidir el
tratamiento
Cirugía
- Amputación
- Resección y reconstrucción
(por medio de prótesis)
- Amputación
- Resección y
reconstrucción
(por prótesis)
Osteosarcoma
Tumores malignos: cirugía de exéresis y de
reconstrucción
Osteosarcoma Mujer de 25 años
La resección se debe realizar a distancia de la lesión
Prótesis de reconstrucción
a) Quimioterapia
 entre 6 meses y 1 año- dependiendo del
tipo de tumor. Algunos centros emplean
estos
 fármacos por vía intraarterial, con
evidentes ventajas.
 • Alquilantes (ciclofosfamida).
 • Antimetabolitos (methotrexate).
 • Antibióticos (actinomicina D).
 • Vegetales (vinblastina).
 Derivados del platino (cis o carboplatino).
 Entre las complicaciones del uso de estas
drogas cabe destacar la toxicidad sobre
 sangre, riñón, hígado, corazón, S.
nervioso, etc., infecciones, inhibición de
la
 osteogénesis, osteoporosis, mucositis,
carcinogénesis y alopecia.
 Además, con frecuencia se emplea la
inmunoterapia (BCG, interferón, etc.)
 b) Radioterapia
 Indicada en tumores radiosensibles y localizados.
Por ejemplo, es útil en el sarcoma de
 Ewing, o en el tratamiento sintomático de algunas
metástasis.
 Es ineficaz en lesiones, como el osteosarcoma
parostial, condrosarcoma, fibrosarcoma,
 cordoma, etc.
 Según el momento de aplicación distinguimos
diferentes tipos: preoperatoria,
 intraoperatoria, y postoperatoria (convencional,
braquiterapia...).
 Como complicaciones más frecuentes de
la radioterapia (que además se
potencian con
 los efectos secundarios de la
quimioterapia), tenemos: anemia-
leucemia, alteraciones
 Tumores óseos 10
 genéticas, dermitis, necrosis ósea,
alteraciones del crecimiento y
transformación
 tumoral (sarcomas radioinducidos).
 c) Tratamiento quirúrgico
 El aspecto más importante del
tratamiento quirúrgico estriba en
conseguir unos
 márgenes de extirpación del tumor que
aseguren la posibilidad de recidiva de la
lesión,
 limitando al máximo la diseminación
metastásica. Además, la cirugía debe
preservar al
 máximo la funcionalidad del paciente
proporcionándole la mejor calidad de
vida
 posible.
 En relación a los márgenes de extirpación
del tumor, las técnicas quirúrgicas de
 resección se denominan:
 • Intralesional: curetaje simple de la
lesión, con y sin aporte de injerto o
 sustitutos óseos. Es una técnica más
apropiada para tumores benignos en
fase
 activa.
 • Marginal: la resección incluye la
psuedo-capsula del tumor. Está indicada
en
 tumores benignos activos o agresivos.
Puede servir como técnica paliativa en
 algunos tumores malignos.
 • Amplia: implica la resección de tejido
sano circundante o peritumoral de
 variable grosor. Se emplea para
extirpación de tumores benignos en
estado de
 recidiva y para tumores malignos
intracompartimetales (IA y IIA).
 • Radical: consiste en la extirpación de todo el
compartimento músculoesquelético
 donde se aloja el tumor. Está indicada en recidivas
de tumores
 intracompartimentales (IA y IIA) y todos aquellos con
extensión
 extracaompartimental.
 La cirugía radical puede requerir amputación
o desarticulación. La mayoría de las veces
 no es necesario sacrificar la extremidad para
curar el tumor, si se cuenta con un buen
 equipo de profesionales con experiencia que
incluya radiólogos, patólogos, oncólogos,
 radioterapeutas, pediatras ... y la
infraestructura necesaria (quimioterapia
íntraarterial,
 radioterapia intraoperatoria, perfusión aislada
de extremidad con tumor necrosis factor
 (TNF), etc.).
 Cirugía de salvamento de la extremidad
 Esta técnica requiere dos fases quirúrgicas: la
resección tumoral y la reconstrucción.
 Para poder curar un tumor óseo maligno,
habitualmente es necesaria la resección en
 bloque de toda la enfermedad con márgenes de
seguridad, junto con el trayecto de la
 biopsia. La tasa de recidivas locales es un buen
índice para evaluar la "calidad" de la
 resección.
 Los procedimientos de reconstrucción incluyen
prótesis, aloinjertos óseos-articulares,
 aloinjertos con prótesis y artrodesis. La
reconstrucción necesita individualizare
 basándose en la edad del paciente, talla,
demanda funcional, deseos del paciente y en la
 experiencia del cirujano.
 Las diversas reconstrucciones pueden ser
subdivididas en dos grandes grupos: a) las
 realizadas tras una resección diafisaria, y b) tras la
resección de una articulación. Las
 resecciones diafisarias con preservación de la
epífisis, suele ser más frecuente en los
 Con los aloinjertos osteoarticulares se
reemplaza una articulación por otra y la
 musculatura se puede reinsertar sobre
material biológico. Presentan, sin
embargo,
 ciertos problemas como puede ser la
degeneración articular neuropática,
fracturas,
 pseudoartrosis, inestabilidades o
rigideces, etc.
 El tercer tipo de reconstrucción es el
empleo asociado de aloinjertos y prótesis.
Esta
 asociación puede disminuir alguno de los
problemas, al poder reinsertar la
musculatura

LO BASICO DE TUMORES OSEOS

  • 1.
    TUMORES ÓSEOS DR DANIEL FERNANDO QUEZADAGATICA R3 TRAUMATOLOGIA Y ORTOPEDIA IMSS/VILLACOAPA
  • 2.
    Que es untumor óseo?  Crecimiento celular descontrolado y desorganizado del tejido óseo el cual puede originar lesiones benignas y malignas y que tienden a crear metástasis.
  • 3.
    1.- Historia clínica: Síntomas (dolor nocturno)  Fracturas  Compresión medular  Hipercalcemia
  • 4.
  • 6.
  • 7.
    Variedades Por origen ynaturaleza:  Tumores primitivos  Tumores metastáticos  Lesiones seudotumorales Por su evolución:  Tumores benignos y lesiones seudotumorales  Tumores óseos malignos
  • 8.
    3.-Radiología  La Radiologíaes más específica que la clínica pero casi nunca es definitiva, ya que requiere confirmación histológica.
  • 29.
    ESTUDIO DE UNARX.  Partes blandas, periostio, cortical, medular ósea,  Áreas comprometidas (diáfisis, metáfisis o epífisis),  Estado del cartílago de crecimiento y, finalmente, afectación articular.
  • 30.
     2  1 3  4  6  5  7  8  9
  • 31.
  • 32.
  • 33.
  • 36.
     La reacciónperióstica del hueso tiene también características que pueden orientar sobre la benignidad o malignidad de la lesión
  • 51.
  • 65.
    Radiografía simple  Signosde benignidad :  imagen bien definida  cortical normal
  • 66.
    A nivel dela cadera: las localizaciones más frecuentes son próximas a los cartílagos de crecimiento Radiografía simple  Signos de benignidad :  imagen bien definida  cortical normal
  • 67.
    Radiografía simple  Signosde benignidad :  imagen bien definida  cortical normal Tumor a células gigantes
  • 68.
    Radiografía simple  Signosde benignidad :  imagen bien definida  cortical normal Quiste óseo solitario Migración hacia la diáfisis con el crecimiento 6 años 9 años
  • 69.
    Osteoma osteoide Radiografía simple Signos de benignidad :  imagen bien definida  cortical normal
  • 70.
    Clasificación O s te o m a O s t e o m a o s t e o i d e O s t e o b l a s t o m a B e n i g n o s O s t e o s a r c o m a O s t e o s a r c o m a y u x t a c o r t i c a l O s t e o b l a s t o m a m a l i g n o M a l ig n o s T u m o r e s f o r m a d o r e s d e t e jid o ó s e o
  • 71.
    BIOPSIA  Sistemática encaso de duda  biopsia con trocar (TAC)  Esperar el resultado para iniciar el tratamiento  El diagnóstico anátomo-patológico a veces es difícil
  • 72.
    Fibromas condromixoides Metáfisis Quiste óseoQuiste aneurismático Quiste óseo Displasia fibrosa
  • 73.
    Condroblastomas Tumor acélulas gigantes Quistes aneurismáticos Epífisis
  • 74.
    xxxxxxxxxxxxxxxxxxxxxx  RM :Tumores en T1 intermedia se observan y en T2 alta  RM con gadolinio se observan tumores cuando están vascularizados hiperintensos  RM con técnica de supresión adiposa muestra intensidad alta  Gamma con Tc, citrato de galio y leucocitos marcados con In. Sensible pero poco especifico
  • 75.
    C o nd ro m a O s te o c o n d ro m a F ib ro m a c o n d ro m ix o id e B e n ig n o s C o n d ro s a rc o m a C o n d ro s a rc o m a y u x ta c o rtic a l C o n d ro s a rc o m a d e c é lu la s c la ra s M a lig n o s T u m o re s fo rm a d o re s d e te jid o c a rtila g in o s o Tumor de células gigantes (osteoclastoma)
  • 76.
    H e ma n g io m a L in fa n g io m a T u m o r g ló m ic o B e n ig n o s H e m a n g io e n d o te lio m a H e m a n g io p e ric ito m a In d e te rm in a d o s A n g io s a rc o m a M a lig n o s T u m o re s v a s c u a lre s
  • 77.
    F i br o m a d e s m o p l á s i c o L i p o m a B e n i g n o s F i b r o s a r c o m a L i p o s a r c o m a M e s e n q u i m o m a m a l i g n o F i b r o h i s ti o c i t o m a m a l i g n o S a r c o m a i n d i f e r e n c i a d o M a l ig n o s O t r o s t u m o r e s c o n e c t iv o s
  • 78.
    C o rd o m a A d a m a n t i m o m a B e n i g n o s N e u r i le n o m a N e u r o f i b r o m a M a l ig n o s O t r o s t u m o r e s
  • 80.
    Tumores de lamédula ósea  Sarcoma de Ewing  Linfomas malignos  Mieloma
  • 81.
    Signos de malignidad Zonas líticas  Reacción perióstica  Efracción de la cortical  Imagen de osificaciones de partes blandas Osteosarcomas
  • 82.
    Condrosarcoma periférico  Invasióninmediata de partes blandas  Difícil de visualizar en la radiografía • Signos de malignidad
  • 83.
    Atención a lasformas debutantes :  pequeña zona difusa  pequeña reacción perióstica enfrente de una zona densa • Signos de malignidad
  • 84.
    Cáncer óseo secundario •Signos de malignidad
  • 85.
    Condroma perióstico (juxtacortical) •Invasión de partes blandas
  • 86.
    Osteoma  Tumor benigno,no maligniza  Hueso maduro, hiperdenso, con cápsula fibrosa  Crecimiento muy lento  Aparición: infantil.  Manifestación: jóvenes y adultos  En huesos membranosos (cráneo y cara)  Senos frontal y etmoidal 75%
  • 87.
    Clínica y diagnóstico Asintomático, salvo compresión estructuras  Imagen de osteocondensación redondeada Conducta terapéutica Observación Si clínica o deformidad: exéresis
  • 88.
    Osteoma osteoide  Tumorque se manifiesta como nido menor de 1cm, con tejido muy vascularizado.  Entre la 2ª y 3ª década (el 75% tienen menos de 25 años) y es más frecuente en varones (2/1).  Predilección por los huesos de las extremidades(50% fémur o tibia), donde se originan en la cortical
  • 89.
    Osteoma osteoide • Clínica:dolor nocturno y que mejora con la aspirina. Es debido a un exceso de producción de prostaglandina E2. • Radiológicamente se manifiesta como una transparencia pequeña y redonda (nidus)
  • 90.
    Condensación cortical En lacortical, el nido. Diáfisis Osteoma osteoide
  • 91.
  • 92.
  • 93.
    Osteoblastoma  Tumor benigno,no maligniza  Hueso maduro, con nido central de material osteoide.  Puede alcanzar gran tamaño  Más en varones (2:1), 20-40 años  Asienta en:  Columna (50%)  Maxilares  Extremidades (huesos largos y cortos)
  • 94.
    Clínica y diagnóstico Dolor,tumefacción e incapacidad funcional Dolor sensible a salicilatos Cortical siempre conservada Condensación + núcleo claro Conducta terapéutica Extirpar el nidus dudas, añadir radioterapia
  • 95.
    • Proliferación benignade cartílago unida por un pedículo óseo. • Lesión relativamente frecuente y puede ser solitaria o múltiple (exostosis múltiple hereditaria). • Los solitarios suelen diagnosticarse al final de la adolescencia y al inicio de la edad adulta pero los múltiples aparecen en la infancia. Osteocondroma
  • 96.
    Osteocondroma • Son másfrecuentes en los hombres (3/1) • Aparecen en las metáfisis próximas a los cartílagos de crecimiento de los huesos largos, especialmente en la rodilla. • Ocasionalmente aparecen en la pelvis, escápula y costillas. • Crecimiento lento y pueden ser dolorosos si comprimen un nervio o se rompe el pedículo
  • 97.
  • 98.
    • Tumores decartílago más frecuentes y se suelen diagnosticar entre los 20-50 años. • Pueden originarse en la cavidad medular (encondromas) o en la superficie del hueso (condromas subperiósticos o yuxtacorticales). • Los encondromas pueden ser solitarios o múltiples. Condroma
  • 99.
    Condroma - Los solitariosse localizan en la región metafisaria de los huesos cilíndricos, sobre todo en manos y pies. - Los múltiples (encondromatosis) se conocen como enfermedad de Ollier o síndrome de Maffucci (si se asocia a angiomas de partes blandas).
  • 100.
  • 102.
    Condroblastoma - Menos del1% de los tumores óseos primarios - 2ª década con predominio en varones (2/1). - La mayoría cerca de la rodilla, predilección por la epífisis. Menos frecuentemente en la pelvis y costillas. - Dolorosos, por su localización próxima a las articulaciones producen derrames que limitan la movilidad articular.
  • 104.
    - Es eltumor de cartílago más infrecuente pero por su variada morfología puede confundirse con un sarcoma. - Afecta a pacientes entre la segunda y tercera década con claro predominio por el varón. - Se originan más frecuentemente en las metáfisis de los huesos cilíndricos largos. - Suelen presentar dolor sordo localizado. Fibroma condromixoide
  • 105.
    - Miden entre3-8 cm de diámetro y están bien delimitados. - Son sólidos y de color pardo grisáceo brillante. - Microscópicamente existen nódulos nódulos de cartílago hialino mal formado y tejido mixoide delineado por tabiques fibrosos. - La celularidad es variable, suelen ser más celulares la periferia de los nódulos. - Las áreas mixoides están constituidas por células estrelladas. - A diferencia de otros tumores benignos del cartílago, las células neoplásicas muestran diversos grados de atipia citológica. Fibroma condromixoide
  • 106.
    Antonio Ferrández Izquierdo -Es un proceso muy frecuente que se encuentra en el 30-50% de los niños de más de 2 años. - Con frecuencia son pequeños (media 0,5 cm) - Se cree que son defectos congénitos más que neoplasias. - La mayoría aparecen en la metáfisis distal del fémur y de la proximal de la tibia y casi la mitad son bilaterales o múltiples. - Son asintomáticos y suelen detectarse casualmente en la radiografía y la mayoría se resuelven espontáneamente. Defecto cortical fibroso
  • 107.
    Antonio Ferrández Izquierdo -Coloración gris o pardo-amarillento. - Celularidad constituida por fibroblastos e histiocitos. - Los fibroblastos se disponen en patrón arremolinado y los histiocitos son células multinucleadas gigantes o grupos de macrófagos espumosos. Defecto cortical fibroso
  • 108.
    Antonio Ferrández Izquierdo -Lesiones similares al defecto cortical fibroso pero de mayor tamaño (5-6 cm) y que se desarrollan en la adolescencia. - Pueden presentarse como fractura patológica Fibroma no osificante
  • 109.
  • 110.
    Antonio Ferrández Izquierdo Displasia fibrosa -Tumor benigno de la infancia, que se ha comparado a una detención localizada del desarrollo del hueso. - Se puede presentar como afectación de un único hueso (monostótica) (70%), afectación de múltiples huesos (poliostótica) (27%) o múltiple asociada a manchas café con leche en la piel y anomalías endocrinas, especialmente pubertad precoz (síndrome de McCune-Albright) (3%). - Una complicación rara, puede ser la transformación maligna, sobre todo en la forma poliostótica y si se ha irradiado.
  • 111.
    Antonio Ferrández Izquierdo Displasia fibrosa -Macroscópicamente las lesiones están bien circunscritas, intramedulares y varían mucho en tamaño. -Microscópicamente está compuesto por trabéculas curvilíneas de hueso reticular rodeadas por una proliferación fibroblástica moderadamente celular. - Las trabéculas se disponen de forma que recuerdan los caracteres chinos y el hueso carece de reborde osteoblástico
  • 112.
    Tumor de célulasgigantes • Se denomina así por que está constituido por células multinucleadas gigantes de tipo osteoclasto (osteoclastoma) • Es un tumor infrecuente relativamente benigno pero localmente agresivo. • Suele aparecer entre la tercera y quinta década. • Afectan a las epífisis y metáfisis sobre todo en la rodilla. • La mayoría son solitarios pero pueden ser múltiples.
  • 113.
    Tumor de células gigantes -Tumores grandes y de color pardo rojizo que sufren frecuentemente degeneración quística. - Están formados por células mononucledas ovaladas uniformes con membranas celulares mal definidas, mitosis frecuentes y que parecen crecer en un sincitio. - En forma dispersa se observan numerosas células gigantes de tipo osteoclasto (100 o más núcleos).
  • 114.
  • 117.
    Argumentos topográficos  Metáfisis Tumores cartilaginosos  Quistes  Fibromas no osificantes  Epífisis  Condroblastomas  Tumor de células gigantes  Quistes aneurismáticos  Diálisis  Displasia fibrosa, adamantinomas, osteomas osteoides
  • 118.
    Fibromas condromixoides Metáfisis Quiste óseoQuiste aneurismático Quiste óseo Displasia fibrosa
  • 119.
    Condroblastomas Tumor acélulas gigantes Quistes aneurismáticos Epífisis
  • 120.
    Radiografía RMN TDMCentellografía Mujer de 30 años : Dolor a la marcha Displasia fibrosa Diáfisis
  • 121.
    Condensación cortical En lacortical, el nido. Diáfisis Osteoma osteoide
  • 122.
  • 123.
    Argumentos topográficos  Columnavertebral  Granulomas eosinófilos  Angiomas, quistes aneurismáticos, osteoblastomas, cordomas  Huesos planos  Granulomas eosinófilos  Huesos de la mano  Condromas  Localización plurifocal  Displasia fibrosa, condromatosis osteocondromatosis
  • 124.
  • 125.
    Evolución: La curaciónse obtiene en caso de la exéresis completa del nido
  • 126.
  • 127.
  • 128.
    El diagnóstico escon frecuencia difícil Quiste óseo Displasia fibrosa
  • 129.
    Curetaje + relleno+ osteosíntesis en caso de fragilidad La biopsia es indispensable para realizar el diagnóstico y decidir el tratamiento
  • 130.
    Cirugía - Amputación - Reseccióny reconstrucción (por medio de prótesis)
  • 131.
    - Amputación - Reseccióny reconstrucción (por prótesis) Osteosarcoma Tumores malignos: cirugía de exéresis y de reconstrucción
  • 132.
    Osteosarcoma Mujer de25 años La resección se debe realizar a distancia de la lesión
  • 133.
  • 134.
    a) Quimioterapia  entre6 meses y 1 año- dependiendo del tipo de tumor. Algunos centros emplean estos  fármacos por vía intraarterial, con evidentes ventajas.  • Alquilantes (ciclofosfamida).  • Antimetabolitos (methotrexate).  • Antibióticos (actinomicina D).  • Vegetales (vinblastina).
  • 135.
     Derivados delplatino (cis o carboplatino).  Entre las complicaciones del uso de estas drogas cabe destacar la toxicidad sobre  sangre, riñón, hígado, corazón, S. nervioso, etc., infecciones, inhibición de la  osteogénesis, osteoporosis, mucositis, carcinogénesis y alopecia.  Además, con frecuencia se emplea la inmunoterapia (BCG, interferón, etc.)
  • 136.
     b) Radioterapia Indicada en tumores radiosensibles y localizados. Por ejemplo, es útil en el sarcoma de  Ewing, o en el tratamiento sintomático de algunas metástasis.  Es ineficaz en lesiones, como el osteosarcoma parostial, condrosarcoma, fibrosarcoma,  cordoma, etc.  Según el momento de aplicación distinguimos diferentes tipos: preoperatoria,  intraoperatoria, y postoperatoria (convencional, braquiterapia...).
  • 137.
     Como complicacionesmás frecuentes de la radioterapia (que además se potencian con  los efectos secundarios de la quimioterapia), tenemos: anemia- leucemia, alteraciones  Tumores óseos 10  genéticas, dermitis, necrosis ósea, alteraciones del crecimiento y transformación  tumoral (sarcomas radioinducidos).
  • 138.
     c) Tratamientoquirúrgico  El aspecto más importante del tratamiento quirúrgico estriba en conseguir unos  márgenes de extirpación del tumor que aseguren la posibilidad de recidiva de la lesión,  limitando al máximo la diseminación metastásica. Además, la cirugía debe preservar al  máximo la funcionalidad del paciente proporcionándole la mejor calidad de vida  posible.
  • 139.
     En relacióna los márgenes de extirpación del tumor, las técnicas quirúrgicas de  resección se denominan:  • Intralesional: curetaje simple de la lesión, con y sin aporte de injerto o  sustitutos óseos. Es una técnica más apropiada para tumores benignos en fase  activa.
  • 140.
     • Marginal:la resección incluye la psuedo-capsula del tumor. Está indicada en  tumores benignos activos o agresivos. Puede servir como técnica paliativa en  algunos tumores malignos.  • Amplia: implica la resección de tejido sano circundante o peritumoral de  variable grosor. Se emplea para extirpación de tumores benignos en estado de  recidiva y para tumores malignos intracompartimetales (IA y IIA).
  • 141.
     • Radical:consiste en la extirpación de todo el compartimento músculoesquelético  donde se aloja el tumor. Está indicada en recidivas de tumores  intracompartimentales (IA y IIA) y todos aquellos con extensión  extracaompartimental.
  • 142.
     La cirugíaradical puede requerir amputación o desarticulación. La mayoría de las veces  no es necesario sacrificar la extremidad para curar el tumor, si se cuenta con un buen  equipo de profesionales con experiencia que incluya radiólogos, patólogos, oncólogos,  radioterapeutas, pediatras ... y la infraestructura necesaria (quimioterapia íntraarterial,  radioterapia intraoperatoria, perfusión aislada de extremidad con tumor necrosis factor  (TNF), etc.).
  • 143.
     Cirugía desalvamento de la extremidad  Esta técnica requiere dos fases quirúrgicas: la resección tumoral y la reconstrucción.  Para poder curar un tumor óseo maligno, habitualmente es necesaria la resección en  bloque de toda la enfermedad con márgenes de seguridad, junto con el trayecto de la  biopsia. La tasa de recidivas locales es un buen índice para evaluar la "calidad" de la  resección.
  • 144.
     Los procedimientosde reconstrucción incluyen prótesis, aloinjertos óseos-articulares,  aloinjertos con prótesis y artrodesis. La reconstrucción necesita individualizare  basándose en la edad del paciente, talla, demanda funcional, deseos del paciente y en la  experiencia del cirujano.  Las diversas reconstrucciones pueden ser subdivididas en dos grandes grupos: a) las  realizadas tras una resección diafisaria, y b) tras la resección de una articulación. Las  resecciones diafisarias con preservación de la epífisis, suele ser más frecuente en los
  • 145.
     Con losaloinjertos osteoarticulares se reemplaza una articulación por otra y la  musculatura se puede reinsertar sobre material biológico. Presentan, sin embargo,  ciertos problemas como puede ser la degeneración articular neuropática, fracturas,  pseudoartrosis, inestabilidades o rigideces, etc.  El tercer tipo de reconstrucción es el empleo asociado de aloinjertos y prótesis. Esta  asociación puede disminuir alguno de los problemas, al poder reinsertar la musculatura