Dr. Juan Manuel Hernández Herrera
Residente Radiología e Imágenes Medicas.
          Hospital México
 Metástasis
 Carcinoma Hepatocelular
 Colangiocarcinoma
   Más frecuente que CHC.
   Incidencia depende tipo de tumor y estadío del dx inicial.
   Ùnica o mùltiple
   Infiltración difusa o geográfica.
Ùnica
Múltiples
Tamaño variable
Halo hipoecoico rodeando
Masa
Metástasis ecógenas
  Ca digestivo
  Ca hepatocelular (indica
   vascularidad).
Ca de mama, pulmón, estomago, páncreas y esófago.
Las hipovasculares son mas frecuentes que las hipervasculares, usualmente
  de neoplasias primarias extrahepáticas
Casi siempre múltiples, pueden coalecer y formar grandes masas que
  remplazan al parénquima
 Ojo  de toro o diana: zona hipoecoica
  periférica
 Frec en carcinoma broncógeno.
   Subgrupo de lesiones metástasis con importante
    aportevascular.
   Similar aspecto a las hipovasculares, pero con
    flujo importante a la valoración con Doppler color y
    muchas veces son ecogénicas.
   Lostumores primarios con implantes hepáticos
    hipervasculares mas frecuentes :
    • Neuroendocrinos, sarcomas, células renales y melanoma.
    • Neuroendocrinas: diferencial con hemangiomas
    • Metástasis de melanomas: usualmente con sangrado
 Ecogenicidadacentuada
   Sombra acústica




Adenocarcinoma mucinoso de colon
Adenoca gástrico
Tumores pancreáticos endocrinos
 Infrecuentes
  Nódulos  murales
  Paredes gruesas
  Niveles hidrohídricos
  Tabiques internos




Cistadenocarcinoma ovario
Páncreas
Carcinoma mucinoso colon
 Desorganización    difusa
 Infiltración
 Carcinoma      de mama
 Pulmón
 Melanomas  malignos
 Colangiocarcinoma


 Dx   difícil en caso de hígado graso.
Desorganización difusa
Infiltración
Carcinoma de mama
Pulmón
Melanomas malignos
Colangiocarcinoma
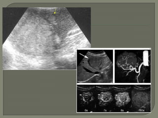
Evaluaciòn de masas focales hepàticas




Wilson S R , Burns P N Radiology 2010;257:24-39
Algoritmo diferencial de masas benignas y malignas en
                   paciente cirròticos
   Tumor solitario
   Nódulos múltiples
   Infiltración difusa.
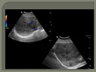
   Vascularizaciòn intralesional
•   Invasión vena porta 30-60%.
   Masas complejas, hipoecoicas o ecógenas.
   < 5 cms son hipo a hiperecoicos, con halo hipoecoico periférico fino.
   Grandes, complejas, heterogéneas por necrosis y fibrosis.
   N                                    M

   NX. No se pueden evaluar los         Mx no se puede evaluar la
    ganglios linfàticos regionales        presencia de metàstasis
   N0. No hay propagación de los        M1 No hay metàstasis a los
    ganglios linfàticos regionales        ganglios linfàticos distantes ni a
   N1. Propagación de los ganglios       otros organos.
    linfàticos regionales                M2 propagaciòn a ganglios
                                          linfàticos distantes
   Epitelio de la via biliar        Hiperecoicas
   Periféricos o intrahepático      Masas ecogénicas
   Masas homo o heterogéneas         intraductales
    de 5-15cm                        Dilatación de la via biliar
   Bordes irregulares                intrahepática
   Nódulos satélites,
    predominantemente
   Masas hipoecoicas delimitadas
    por un halo hipoecoico
    periférico
   Semejantes en imagen a las
    metástasis
Metástasis                              Carcinoma                                   Colangiocarcinoma
                                        Hepatocelular


Metástasis ecógenas: origen digestivo   Masas complejas, hipoecoicas o              Epitelio de la via biliar
o de un ca hepatocelular (indica        ecógenas.                                   Periféricos o intrahepático
vascularidad).                          < 5 cms son hipo a hiperecoicos, con        Masas homo o heterogéneas de 5-
Metástasis hipoecoicas: ca de mama,     halo hipoecoico periférico fino.            15cm
pulmón, estomago, páncreas y            Grandes, complejas, heterogéneas            Bordes irregulares
esófago.                                por necrosis y fibrosis                     Nódulos satélites, predominantemente
Ojo de toro o diana: zona hipoecoica    Malignos más frecuentes, varones 5:1.
periférica, frec en carcinoma
broncógeno.
Calcificadas: ecogenicidad acentuada
y sombra acústica, más frec en
adencarcinoma gástrico y de colon
Incidencia depende tipo de tumor y      •Factores riesgo: cirrosis, hepatitis B y   Hiperecoicas
estadío del dx inicial.                 C.                                          Masas ecogénicas intraductales
                                                                                    Dilatación de la via biliar intrahepática
Una sola lesión o múltiples masas       •Asintomáticos o dolor, perdida de
focales.                                peso.
Infiltración difusa o geográfica        •Tres formas anatomo patológicas:
                                               Tumor solitario
                                               Nódulos múltiples
                                               Infiltración difusa
                                               •Invasión vena porta 30-60%.
Más frecuente que CHC

ecografia lesiones hepàticas

  • 1.
    Dr. Juan ManuelHernández Herrera Residente Radiología e Imágenes Medicas. Hospital México
  • 3.
     Metástasis  CarcinomaHepatocelular  Colangiocarcinoma
  • 4.
    Más frecuente que CHC.  Incidencia depende tipo de tumor y estadío del dx inicial.  Ùnica o mùltiple  Infiltración difusa o geográfica.
  • 5.
  • 7.
    Metástasis ecógenas Ca digestivo Ca hepatocelular (indica vascularidad).
  • 8.
    Ca de mama,pulmón, estomago, páncreas y esófago. Las hipovasculares son mas frecuentes que las hipervasculares, usualmente de neoplasias primarias extrahepáticas Casi siempre múltiples, pueden coalecer y formar grandes masas que remplazan al parénquima
  • 10.
     Ojo de toro o diana: zona hipoecoica periférica  Frec en carcinoma broncógeno.
  • 11.
    Subgrupo de lesiones metástasis con importante aportevascular.  Similar aspecto a las hipovasculares, pero con flujo importante a la valoración con Doppler color y muchas veces son ecogénicas.  Lostumores primarios con implantes hepáticos hipervasculares mas frecuentes : • Neuroendocrinos, sarcomas, células renales y melanoma. • Neuroendocrinas: diferencial con hemangiomas • Metástasis de melanomas: usualmente con sangrado
  • 15.
     Ecogenicidadacentuada  Sombra acústica Adenocarcinoma mucinoso de colon Adenoca gástrico Tumores pancreáticos endocrinos
  • 16.
     Infrecuentes Nódulos murales  Paredes gruesas  Niveles hidrohídricos  Tabiques internos Cistadenocarcinoma ovario Páncreas Carcinoma mucinoso colon
  • 17.
     Desorganización difusa  Infiltración  Carcinoma de mama  Pulmón  Melanomas malignos  Colangiocarcinoma  Dx difícil en caso de hígado graso.
  • 18.
    Desorganización difusa Infiltración Carcinoma demama Pulmón Melanomas malignos Colangiocarcinoma
  • 19.
    Evaluaciòn de masasfocales hepàticas Wilson S R , Burns P N Radiology 2010;257:24-39
  • 20.
    Algoritmo diferencial demasas benignas y malignas en paciente cirròticos
  • 21.
    Tumor solitario  Nódulos múltiples  Infiltración difusa.  Vascularizaciòn intralesional • Invasión vena porta 30-60%.
  • 22.
    Masas complejas, hipoecoicas o ecógenas.  < 5 cms son hipo a hiperecoicos, con halo hipoecoico periférico fino.  Grandes, complejas, heterogéneas por necrosis y fibrosis.
  • 30.
    N  M  NX. No se pueden evaluar los  Mx no se puede evaluar la ganglios linfàticos regionales presencia de metàstasis  N0. No hay propagación de los  M1 No hay metàstasis a los ganglios linfàticos regionales ganglios linfàticos distantes ni a  N1. Propagación de los ganglios otros organos. linfàticos regionales  M2 propagaciòn a ganglios linfàticos distantes
  • 31.
    Epitelio de la via biliar  Hiperecoicas  Periféricos o intrahepático  Masas ecogénicas  Masas homo o heterogéneas intraductales de 5-15cm  Dilatación de la via biliar  Bordes irregulares intrahepática  Nódulos satélites, predominantemente
  • 32.
    Masas hipoecoicas delimitadas por un halo hipoecoico periférico  Semejantes en imagen a las metástasis
  • 35.
    Metástasis Carcinoma Colangiocarcinoma Hepatocelular Metástasis ecógenas: origen digestivo Masas complejas, hipoecoicas o Epitelio de la via biliar o de un ca hepatocelular (indica ecógenas. Periféricos o intrahepático vascularidad). < 5 cms son hipo a hiperecoicos, con Masas homo o heterogéneas de 5- Metástasis hipoecoicas: ca de mama, halo hipoecoico periférico fino. 15cm pulmón, estomago, páncreas y Grandes, complejas, heterogéneas Bordes irregulares esófago. por necrosis y fibrosis Nódulos satélites, predominantemente Ojo de toro o diana: zona hipoecoica Malignos más frecuentes, varones 5:1. periférica, frec en carcinoma broncógeno. Calcificadas: ecogenicidad acentuada y sombra acústica, más frec en adencarcinoma gástrico y de colon Incidencia depende tipo de tumor y •Factores riesgo: cirrosis, hepatitis B y Hiperecoicas estadío del dx inicial. C. Masas ecogénicas intraductales Dilatación de la via biliar intrahepática Una sola lesión o múltiples masas •Asintomáticos o dolor, perdida de focales. peso. Infiltración difusa o geográfica •Tres formas anatomo patológicas: Tumor solitario Nódulos múltiples Infiltración difusa •Invasión vena porta 30-60%. Más frecuente que CHC