HOSPITAL NACIONAL “DANIEL ALCIDES CARRIÓN” 
ECOGRAFIA EN EL CÁNCER 
PROSTATICO 
EXPOSITOR: REMÓN TORRES MAX MICHELE 
RESIDENTE DE RADIOLOGIA
INTRODUCCIÓN 
• Ecografía transrectal (ETR) desarrollado entre 1960 -1970 en Japón. 
• Evolución a sondas más pequeñas, de imágenes en tiempo real de escala de 
grises dispositivos de orientación de biopsias. 
• Un gran avance fue el desarrollo adicional de la "PISTOLA DE BIOPSIA" por 
Lindgren en Suecia. 
• La biopsia guiada sistemática vía ETR es ahora el método de diagnóstico 
estándar de oro , reemplazando la biopsia transrectal guiada "a ciegas" 
mediante el dedo y los enfoques transperineales anteriores.
PROSTATA 
• Órgano compuesto por glándulas y estroma, 
íntimamente unidos y delimitados por la cápsula 
prostática común. 
• Tiene forma de castaña o triángulo achatado 
en su base o cara superior. 
• Pesa 20 a 25 g 
• Mide 3 x 4 x 2,5 cm (adulto). 
• Su extremo opuesto, más aguzado, el ápex o 
vértice prostático, termina junto al segmento 
distal de la uretra prostática en la aponeurosis 
perineal media
• Base: en contacto con la vejiga 
• Vértice: situado en el diafragma pélvico 
• Pared anterior: separada de la sínfisis del 
pubis por el espacio graso retropúbico 
(Retzius) 
• Pared posterior: en contacto con el recto 
• Dos paredes inferolaterales en contacto 
c/ los músculos de la pared pelviana 
lateral y la porción anterior del músculo 
elevador del ano de cada lado.
UTRÍCULO PROSTÁTICO 
VERUMONTANUN 
EL DUCTO O CONDUCTO EYACULADOR RESULTA DE LA UNIÓN 
DEL CONDUCTO DEFERENTE CON LA VESÍCULA SEMINAL. 
ES MUY CORTO, UNOS DOS CENTÍMETROS Y EN SU TRAYECTO 
ATRAVIESA LA PRÓSTATA, TIENE LA FUNCIÓN DE CONDUCIR EL 
ESPERMA A LA URETRA. 
EL DUCTO EYACULADOR DESEMBOCA EN UNA ELEVACIÓN DE LA 
URETRA PROSTÁTICA CONOCIDA COMO COLÍCULO SEMINAL.
UNA DEPRESIÓN EN FORMA DE SACO DENOMINADO UTRÍCULO PROSTÁTICO. 
ESTE UTRÍCULO CORRESPONDE AL VESTIGIO EMBRIONARIO DEL ÚTERO, QUE PRODUCE 
SANGRAMIENTO (PSEUDOMENSTRUACIÓN) EN ALGUNOS CASOS. LA URETRA 
PROSTÁTICA ESTA CRIBADA POR LA DESEMBOCADURA DE LOS DUCTILLOS PROSTÁTICOS.
VESICULAS SEMINALES 
• EN PROMEDIO HASTA 6CM 
• Divertículos saculares 
• Detrás de la próstata 
• Almacenan el líquido seminal 
• Conductos sinuosos 
• se estrechan en sus extremos distales para 
fusionarse c/ los conductos seminales Y 
constituir los conductos eyaculadores
ARTERIAL PROSTATICA ( ART 
CAPSULAR 
ILIACA INT VESICOPROSTATICA URETRAL) 
VESICAL INFERIOR 
IRRIGA VES SEMINALES, 
BASE DE VEJIGA, URETER 
VENOSA : 
DRENAN AL PLEXO PERIPROSTÁTICO CONECTADA A LA DORSAL 
PROFUNDA DEL PENE Y VENAS ILIACAS INTERNAS (HIPOGÁSTRICAS). 
INERVACIÓN: 
SIMPÁTICA Y PARASIMPÁTICA.
ANATOMÍA LOBULAR ( LOWSLEY) 
LOB ANTERIOR (ISTMO): QUE ES ANTERIOR A A LA 
URETRA 
COMPUESTA POR FIBRAS FIBROMUSCULARES POCO 
TEJIDO GLANDULAR. 
LOB POSTERIOR: POSTERIOR A LA URETRA E INFERIOR A 
LA INSERSION DE LOS CONDUCTOS EYACULADORES 
LOB MEDIO: ENTRE LA URETRA Y LOS CONDUCTOS 
EYACULADORES. 
LOB LATERALES: FORMAN LA PARTE GRUESA DE LA 
GLANDULA
MODELO DE MAC NEAL: 
La próstata incluye esquemáticamente cinco zonas: 
1- La zona periférica. 
2- La zona de transición. 
3- La zona central. 
4- La zona de glándulas periuretrales. 
5- La zona fibromuscular.
• Zona central : 25% 
• Zona periferica : 70 % ( CANCER ) 
• Zona trancisional : 5 % ( HPB )
ZONA PERIFÉRICA 
ZT, ZC, Area Perigland
secuencia ponderada en T2. Señal hiperintensa normal de la zona periférica 
(ZP). Zona central (ZC) o cápsula quirúrgica-pseudocápsula (flechas blancas). 
Zona transicional (ZT) con hipertrofia heterogénea hipointensa normal. Cápsula 
verdadera (cabezas de flechas blancas). Plexo neurovascular (cabezas de 
flechas negras). Zona anterior fibroestromal (ZA).
PUNTOS CLAVE 
• EL CÁNCER DE PRÓSTATA ES EL CÁNCER MÁS FRECUENTEMENTE 
DIAGNOSTICADO EN LOS HOMBRES, ALREDEDOR DE 2 O 3 VECES MÁS QUE 
LOS PULMONES Y EL CÁNCER COLORRECTAL. 
• LA BIOPSIA TRANSRECTAL SISTEMÁTICA GUIADA POR US DE LA PRÓSTATA ES EL 
ESTÁNDAR DE ORO PARA LA DETECCIÓN DE CÁNCER DE PRÓSTATA. 
• EL CÁNCER DE PRÓSTATA PUEDE SER VISIBLE EN LA (ECOGRAFÍA 
TRANSRECTAL) ETR Y POR LO GENERAL ES VISTO COMO NÓDULOS 
HIPOECOICAS.
PUNTOS CLAVE 
• EL CONTROL DE PSA SISTEMÁTICO EL DX DE CA DE PRÓSTATA HA 
DISMINUIDO, AHORA SON DE BAJO GRADO Y LIMITADO AL 
ORGANO. 
• CON LA RM MULTIPARAMÉTRICA, Y EN LAS TÉCNICAS DE US MÁS 
RECIENTES, COMO LA ECOGRAFÍA Y LA ELASTOGRAFÍA CON 
CONTRASTE, SU PAPEL PUEDE EVOLUCIONAR HACIA BIOPSIAS 
DIRIGIDAS EN LUGAR DE BIOPSIA SISTEMÁTICA.
CÁNCER DE PROSTATA Y PROYECCIONES: 
• AFECTA PRINCIPALMENTE >50 AÑOS, 1 DE CADA 7 SE VEN AFECTADOS. 
• MAYOR RIESGO EN AFROAMERICANOS Y ANTEC. 
• >95% SON ADENOCARCINOMAS PRODUCIDOS EN LOS ACINOS. 
• 80% PRODUCIDOS EN LA ZONA PERIFÉRICA, 15% Z. TRANSISCIÓN. 
• OTROS CARCINOMA CEL DE TRANSICIÓN, SARCOMAS LINFOMAS 
• ES DESCRITO POR ESXTENSIÓN CLINICA (TNM) Y DESDIFERENCIACIÓN 
HISTOLOGICA (GLEASON: GRADOS I-5) 
LA PUNTUACIÓN: SUMA DE DOS PATRONES HISTOLÓGICOS MÁS FRECUENTES.
CÁNCER DE PROSTATA Y PROYECCIONES: 
• EL CRIBADO TEMPRANO UBICA AL CANCÉR CONFINADO POR PSA. 
• EL ESTUDIO ERSPC (ALEATORIZADO EUROPEO DE CRIBADO PARA CA DE PROSTATA) 
SUGIERE BENEFICIO ENTE 55-69 AÑOS. 
• EL DE INICIO ES TR Y PSA. 
• EL CA PRODUCE 10 VECES MÁS PSA EN EL SUERO. 
• LA PROPORCIÓN PSALIBRE/ PSA TOTAL ES EN EL CÁNCER Y PROSTATITIS CRÓNICA. 
• EN LA ACTUALIDAD NO HAY LÍMITE INFERIOR PARA LA BIOPSIA DIRIGIDA 
• PSA>2.5ng 20% DETECCIÓN DE CA EN LA BIOPSIA. 
• PSA>10 ng 50% DETECCIÓN DE CA EN LA BIOPSIA. 
• SI PSA > 0.75NG/ML POR AÑO INDEPENDIENTE DEL NIVEL DE PSA BIOPSIA. 
• HAY UN 20-40% DE CA SIN PSA, BIOPSIA INDICADA SI HAY ALGÚN NÓDULO EN EL TR.
ECOGRAFIA TRANSRECTAL 
MORFOLOGIA NORMAL
MORFOLOGIA SONOGRAFICA NORMAL 
• (A) MUESTRA AXIAL zona 
periférica (PZ) y la zona de 
transición (TZ) separados por 
una línea hipoecoica que 
representa la cápsula 
quirúrgica. 
• Uretra interna y muscular del 
esfínter uretral interno forman 
una banda hipoecogénica (U). 
La punta de flecha muestra el 
verumontanum.
MORFOLOGIA SONOGRAFICA NORMAL 
• (B) VISTA SAGITAL 
• Esfínter uretral interno hipoecoica (U) 
corriendo hacia verumontanum 
(punta de flecha). 
 En este punto, la uretra ángulos 
ligeramente y finalmente sale de la 
próstata en su vértice en la uretra 
distal (DU). 
 Los conductos eyaculadores (ejac) 
curso horizontalmente desde la base 
de la próstata se unan a la uretra en 
la verumontarum (punta de flecha).
MORFOLOGIA SONOGRAFICA NORMAL 
• (C) Axial vista de derecha e izquierda 
de la vesícula seminal (SV) y el 
conducto deferente con sólo lado 
izquierdo etiquetado. 
• La flecha apunta al conducto 
deferente.
ASPECTOS ECOGRÁFICO DEL CÁNCER DE 
PRÓSTATA 
• TIPICAMENTE EL CÁNCER ES UN ÁREA HIPOECOICA, GENERALMENTE EN LA 
ZONA PERIFÉRICA. 
• 40 - 60& DE LOS CA NO SON VISIBLES EN LA ETR, MÁS AUN LOS DE BAJO 
GRADO. 
• UNA ETR NORMAL NO DESCARTA CA, SI HAY TR Y PSA ELEVADO ENTONCES 
DEBE SER REFERIDO PARA ETR CON BIOPSIA. 
• LAS BIOPSIAS DE ESTAS ÁREAS TIENEN EL DOBLE DE SALIR DE ALTO GRADO 
COMO LA BIOPSIA SISTEMÁTICA.
ASPECTOS ECOGRÁFICO DEL CÁNCER 
DE PRÓSTATA 
• LEE ET AL Y OTROS ESTUDIOS PROPONEN QUE EL CA ES HIPOECOICA POR LA 
SUSTITUCIÓN DEL TEJIDO GLANDULAR NORMAL, POR LA TUMORAL QUE TIENE 
MENOS INTERFASES REFLECTANTES. 
• ALGUNOS CA INFILTRANTES CONSERVAN ESTRUCTURA GLANGULAR Y PUEDEN 
NO SER VISIBLES EN ETR, ALGUNOS CON MARGENES NO BIEN DEFINIDAS DE 
IGUAL MANERA SE PUEDEN PASAR POR ALTO. 
• SHINOHARA ENCONTROÓ QUE LAS LESIONES HIPOECOICAS SON MÁS 
AGRESIVOS, QUE LOS ISOECOICOS “NO VISIBLES”.
• Fig. 2. cáncer típica visible como nódulo hipoecoico vascular. 
• (A) nódulo hipoecoico en la zona periférica (flecha). 
• (B) El aumento de la vascularización se muestra en el nódulo (flecha)
ASPECTOS ECOGRÁFICO DEL 
CÁNCER DE PRÓSTATA 
• OTRAS PATOLOGIAS TMBN PUEDE DAR LESIONES HIPOECOICA: 
HIPERPLASIA 
ECTASIA GLANDULAR BENINGA. 
FIBROSIS 
QUISTES. 
• PUEDE SER HIPERECOICO SECUNDARIOA UNA RESPUESTA DESMOPLASTICA. 
• OTROS TIPOS HISTOLÓGICOS RAROS SON LOS CRIBIFORMES Y 
COMEDONECROSIS CON ASPECTO “CIELO ESTRELLADO” 
• MAS DEL 30% DE CA SON ISOECOICOS POR TANTO IMPOSIBLE DE DETECTAR 
SIN BIOPSIAS SISTEMÁTICAS.
• Fig. 3. calcificaciones irregulares Focales (cielo estrellado) que puede estar asociada 
con el cáncer (flecha). El cáncer es hipoecoico y puede ser visto a tener extensión 
extracapsular (CEPE), donde se rompe el contorno de próstata (punta de flecha).
ASPECTOS ECOGRÁFICO DEL 
CÁNCER DE PRÓSTATA 
• SIGNOS SECUNDARIOS COMO: 
 ASIMETRIA DE LA CAPSULA. 
ABULTAMIENTO CAPSULAR. 
ATENUACIÓN POSTERIOR. 
 EL GRUPO DIFICIL DE DETECTAR EN ETR SON LOS DE Z DE TRANSICIÓN, Y LOS 
ANTERIORES, OCULTOS POR LOS REMEDOS DE LA URETRA. 
 LOS ANTERIORES PUEDEN SER IGNORADOS POR EL OPERADOR (FIG 4)
• Fig. 4. cáncer Pequeño posterior (flecha) y el cáncer anterior mucho más 
grandes (puntas de flecha). Es importante buscar y áreas hipoecoicas 
biopsia anterior.
DOPPLER POWER COLOR 
• DETECTAR AUMENTO DE LA VASCULARIZACIÓN PUEDE ESTAR ASOCIADO CON EL CA, 
MÁS EN CASOS ISOECOICOS. 
• SE DEBE AL AUMENTO DE LA DENSIDAD DE LOS MICROVASOS. 
• EN ESTUDIOS SOLO HASTA UN 17% DEMOSTRO POWER COLOR. 
• LA VASCULARIDAD SE PUEDE INCREMENTAR EN INFECCION E INFLAMACION (FIG 5) 
•
• Fig. 5. (A) Hay un pequeño nódulo posterior obvio cáncer hipoecoica (flecha). 
• (B) Power Doppler muestra que el pequeño nódulo no es vascular (flecha) a pesar de que 
es el cáncer; sin embargo, existe la vascularidad anormal en todo el lóbulo derecho 
(puntas de flecha) que indica un área mucho mayor de cáncer de isoecoicos. En 
retrospectiva en la Fig. 5A, hay cambios sutiles que sugieren cáncer en todo: todo el lóbulo 
derecho se amplía y deforme, y la cápsula quirúrgica se borra.
AVANCES RECIENTES EN ETR 
• DEBIDO A QUE NO TODOS LOS CA SON HIPOECOICOS SE BUSCA CADA VEZ 
MEJORES MÉTODOS DIAGNOSTICOS. 
ULTRASONIDO CON CONTRASTE: MICRO-NEOVASCULARIZACIÓN. 
• SE PUEDE DETECTAR MICROBURBUJAS CON CONTRASTE EN AL US, 
ACTUALMENTE EN INVESTIGACIÓN. 
• UN ESTUDIO DEMOSTRO MEJOR SENSIBILIDAD PERO ESPECIFICIDAD NO 
SIGNIFICTIVA. 
• MITTER BERGER DEMOSTRO UN GLEASON MAS ALTO C/C, TMBN DEMOSTRÓ 
QUE LA DUTASTERIDA7-14 D ANTES MEJORA LA DETECCIÓN POR QUE BAJA LA 
VASCULATURA EN TEJIDO BENIGNO.
LA ELASTOGRAFÍA 
• EVALUA EL CAMBIO DE ELASTICIDAD O RIGIDEZ DEL TEJIDO. 
• EL CA TIENE TIPICAMENTE DENSIDAD DEL TEJIDO Y VASOS. 
• UN ESTUDIO DETECTO 28 DE 32 FOCOS DE CANCER (88% S) 
• KONING ET AL 127 DE 151 TIPOS MEDIANTE ELASTOGRAFIA EN TIEMPO REAL 
CON BIOPSIA.
• Fig. 6. La imagen de la izquierda muestra elastografia una zona azul más 
rígido (flecha) que es sospechoso de cáncer. 
• El cáncer es mucho menos visible en la imagen en escala de grises a juego 
derecho (flecha)
PAPEL ACTUAL DE LA ECOGRAFÍA 
TRANSRECTAL 
• ACTUALMENTE SU FUNCIÓN PRINCIPAL SON: 
GUIA DE BIOPSIA. 
COLOCACIÓN DE MARCADORES DE REFERENCIA PARA RADIOTERAPIA. 
BRAQUITERIA. 
CRIOABLACIÓN DE ALTA INTENSIDAD (HIFU) 
 MEDICION DEL VOLUMEN PROSTÁTICO EN EL CONTROL DE LA BRAQUITERAPIA. 
 ESTADIFIACIÓN LOCAL (EXTENSIÓN EXTRACAPSULAR+ AFECTACIÓN DE LA 
VESÍCULA SEMINAL FIG.7
FIG. 7. LA EXTENSIÓN EXTRACAPSULAR DEL CÁNCER VISIBLE COMO UN NÓDULO 
HIPOECOICO QUE SOBRESALE CLARAMENTE A TRAVÉS DE LA CÁPSULA (FLECHA).
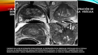
• LA RM HA DEMOSTRADO SER MÁS PRECISA EN LA DEMOSTRACIÓN DE 
EXTENSIÓN EXTRACAPSULAR Y LA PARTICIPACIÓN DE LA VESÍCULA 
SEMINAL Y TAMBIÉN PUEDE EVALUAR LINFADENOPATÍA 
CRITERIOS EN LA RM DE EXTENSIÓN EXTRACAPSULAR. A) PROTRUSIÓN FOCAL IRREGULAR, ESPICULADA DE LA CÁPSULA 
(FLECHA). B) OBLITERACIÓN DEL ÁNGULO RECTOPROSTÁTICO (FLECHA). C) AFECTACIÓN Y ASIMETRÍA DEL PLEXO 
NEUROVASCULAR Y GRASA PERIPROSTÁTICA (FLECHA). D) EXTENSIÓN A LA VESÍCULA SEMINAL IZQUIERDA (FLECHA
ESPECTROSCOPIA 
IMAGEN AXIAL PONDERADA 
EN T2 Y ESPECTROSCOPIA. 
• ESPECTRO NORMAL CON AUMENTO DEL CITRATO Y NIVEL BAJO DE COLINA CON 
SEÑAL HIPERINTENSA NORMAL DE LA ZONA PERIFÉRICA DERECHA DE LA PRÓSTATA 
(FLECHA DELGADA). 
• ESPECTRO PATOLÓGICO CON ELEVACIÓN DE LA COLINA Y DESCENSO DEL CITRATO 
CORRESPONDIENTE A LESIÓN HIPOINTENSA DE LA ZONA PERIFÉRICA IZQUIERDA POR 
CARCINOMA (FLECHA GRUESA).
BIOPSIA DE PRÓSTATA 
• DE FORMA AMBULATORIA, PROFILAXIS ATB. 
• LIMPIEZA RECTAL CON ENEMA, O LAXANTE. 
• NO ES UN AMBIENTE ASEPTICO, ATB PRE Y POST BIOPSIA CON 
FLUOROQUINOLONAS, LA ADICIÓN DE AMINOGLUCOSICOS MEJORA. 
• EVITAR ANTIPLAQUETARIOS (AAS, CLOPIDOGREL) DABIGATRAN, WARFARINA. 
• APLICAR 5-10 ml LIDOCAINA AL 1 – 2 %, BILATERALAL HAZ NEUROVASCULAR 
EN LA UNIÓN ENTRE PROSTATA Y VESICULA SEMINAL. 
• La pistola de biopsia automática con 18 agujas de los manómetros se ha 
demostrado para obtener buenas muestras con notable aceptación y la 
seguridad del paciente.
BIOPSIA DE PRÓSTATA 
• INICIA EN ÁREAS SOSPECHOSAS, EVITAR LA ZONA PERIURETRAL, POR 
CONSIDERABLE SANGRADO. 
• PRESIÓN POR UN MINUTO PARA MEJORAR SANGRADO. 
• OBSERVACION 1 HORA, VER REACCIONES VAGALES. 
• HEMATURIA, SANGRADO EN HECES Y HASTA SEPSIS (1-2%) 
• ADVERTIR SOBRE SINTOMAS SUGERENTES DE INFECCION,
BIOPSIA DE PRÓSTATA MUESTREO 
PROTOCOLOS 
EN LA BIOPSIA INICIAL, DE 10 A 12 
MUESTRAS SON TÍPICAMENTE 
OBTENIDO DE UNA MANERA 
SISTEMÁTICA Y SE TOMAN MUESTRAS 
ADICIONALES SI CUALQUIER ÁREA 
SOSPECHOSA SE VEN EN EL 
MOMENTO DE LA ETR
Ecografia cancer prostata

Ecografia cancer prostata

  • 1.
    HOSPITAL NACIONAL “DANIELALCIDES CARRIÓN” ECOGRAFIA EN EL CÁNCER PROSTATICO EXPOSITOR: REMÓN TORRES MAX MICHELE RESIDENTE DE RADIOLOGIA
  • 2.
    INTRODUCCIÓN • Ecografíatransrectal (ETR) desarrollado entre 1960 -1970 en Japón. • Evolución a sondas más pequeñas, de imágenes en tiempo real de escala de grises dispositivos de orientación de biopsias. • Un gran avance fue el desarrollo adicional de la "PISTOLA DE BIOPSIA" por Lindgren en Suecia. • La biopsia guiada sistemática vía ETR es ahora el método de diagnóstico estándar de oro , reemplazando la biopsia transrectal guiada "a ciegas" mediante el dedo y los enfoques transperineales anteriores.
  • 3.
    PROSTATA • Órganocompuesto por glándulas y estroma, íntimamente unidos y delimitados por la cápsula prostática común. • Tiene forma de castaña o triángulo achatado en su base o cara superior. • Pesa 20 a 25 g • Mide 3 x 4 x 2,5 cm (adulto). • Su extremo opuesto, más aguzado, el ápex o vértice prostático, termina junto al segmento distal de la uretra prostática en la aponeurosis perineal media
  • 4.
    • Base: encontacto con la vejiga • Vértice: situado en el diafragma pélvico • Pared anterior: separada de la sínfisis del pubis por el espacio graso retropúbico (Retzius) • Pared posterior: en contacto con el recto • Dos paredes inferolaterales en contacto c/ los músculos de la pared pelviana lateral y la porción anterior del músculo elevador del ano de cada lado.
  • 5.
    UTRÍCULO PROSTÁTICO VERUMONTANUN EL DUCTO O CONDUCTO EYACULADOR RESULTA DE LA UNIÓN DEL CONDUCTO DEFERENTE CON LA VESÍCULA SEMINAL. ES MUY CORTO, UNOS DOS CENTÍMETROS Y EN SU TRAYECTO ATRAVIESA LA PRÓSTATA, TIENE LA FUNCIÓN DE CONDUCIR EL ESPERMA A LA URETRA. EL DUCTO EYACULADOR DESEMBOCA EN UNA ELEVACIÓN DE LA URETRA PROSTÁTICA CONOCIDA COMO COLÍCULO SEMINAL.
  • 6.
    UNA DEPRESIÓN ENFORMA DE SACO DENOMINADO UTRÍCULO PROSTÁTICO. ESTE UTRÍCULO CORRESPONDE AL VESTIGIO EMBRIONARIO DEL ÚTERO, QUE PRODUCE SANGRAMIENTO (PSEUDOMENSTRUACIÓN) EN ALGUNOS CASOS. LA URETRA PROSTÁTICA ESTA CRIBADA POR LA DESEMBOCADURA DE LOS DUCTILLOS PROSTÁTICOS.
  • 8.
    VESICULAS SEMINALES •EN PROMEDIO HASTA 6CM • Divertículos saculares • Detrás de la próstata • Almacenan el líquido seminal • Conductos sinuosos • se estrechan en sus extremos distales para fusionarse c/ los conductos seminales Y constituir los conductos eyaculadores
  • 9.
    ARTERIAL PROSTATICA (ART CAPSULAR ILIACA INT VESICOPROSTATICA URETRAL) VESICAL INFERIOR IRRIGA VES SEMINALES, BASE DE VEJIGA, URETER VENOSA : DRENAN AL PLEXO PERIPROSTÁTICO CONECTADA A LA DORSAL PROFUNDA DEL PENE Y VENAS ILIACAS INTERNAS (HIPOGÁSTRICAS). INERVACIÓN: SIMPÁTICA Y PARASIMPÁTICA.
  • 10.
    ANATOMÍA LOBULAR (LOWSLEY) LOB ANTERIOR (ISTMO): QUE ES ANTERIOR A A LA URETRA COMPUESTA POR FIBRAS FIBROMUSCULARES POCO TEJIDO GLANDULAR. LOB POSTERIOR: POSTERIOR A LA URETRA E INFERIOR A LA INSERSION DE LOS CONDUCTOS EYACULADORES LOB MEDIO: ENTRE LA URETRA Y LOS CONDUCTOS EYACULADORES. LOB LATERALES: FORMAN LA PARTE GRUESA DE LA GLANDULA
  • 11.
    MODELO DE MACNEAL: La próstata incluye esquemáticamente cinco zonas: 1- La zona periférica. 2- La zona de transición. 3- La zona central. 4- La zona de glándulas periuretrales. 5- La zona fibromuscular.
  • 12.
    • Zona central: 25% • Zona periferica : 70 % ( CANCER ) • Zona trancisional : 5 % ( HPB )
  • 13.
    ZONA PERIFÉRICA ZT,ZC, Area Perigland
  • 17.
    secuencia ponderada enT2. Señal hiperintensa normal de la zona periférica (ZP). Zona central (ZC) o cápsula quirúrgica-pseudocápsula (flechas blancas). Zona transicional (ZT) con hipertrofia heterogénea hipointensa normal. Cápsula verdadera (cabezas de flechas blancas). Plexo neurovascular (cabezas de flechas negras). Zona anterior fibroestromal (ZA).
  • 18.
    PUNTOS CLAVE •EL CÁNCER DE PRÓSTATA ES EL CÁNCER MÁS FRECUENTEMENTE DIAGNOSTICADO EN LOS HOMBRES, ALREDEDOR DE 2 O 3 VECES MÁS QUE LOS PULMONES Y EL CÁNCER COLORRECTAL. • LA BIOPSIA TRANSRECTAL SISTEMÁTICA GUIADA POR US DE LA PRÓSTATA ES EL ESTÁNDAR DE ORO PARA LA DETECCIÓN DE CÁNCER DE PRÓSTATA. • EL CÁNCER DE PRÓSTATA PUEDE SER VISIBLE EN LA (ECOGRAFÍA TRANSRECTAL) ETR Y POR LO GENERAL ES VISTO COMO NÓDULOS HIPOECOICAS.
  • 19.
    PUNTOS CLAVE •EL CONTROL DE PSA SISTEMÁTICO EL DX DE CA DE PRÓSTATA HA DISMINUIDO, AHORA SON DE BAJO GRADO Y LIMITADO AL ORGANO. • CON LA RM MULTIPARAMÉTRICA, Y EN LAS TÉCNICAS DE US MÁS RECIENTES, COMO LA ECOGRAFÍA Y LA ELASTOGRAFÍA CON CONTRASTE, SU PAPEL PUEDE EVOLUCIONAR HACIA BIOPSIAS DIRIGIDAS EN LUGAR DE BIOPSIA SISTEMÁTICA.
  • 20.
    CÁNCER DE PROSTATAY PROYECCIONES: • AFECTA PRINCIPALMENTE >50 AÑOS, 1 DE CADA 7 SE VEN AFECTADOS. • MAYOR RIESGO EN AFROAMERICANOS Y ANTEC. • >95% SON ADENOCARCINOMAS PRODUCIDOS EN LOS ACINOS. • 80% PRODUCIDOS EN LA ZONA PERIFÉRICA, 15% Z. TRANSISCIÓN. • OTROS CARCINOMA CEL DE TRANSICIÓN, SARCOMAS LINFOMAS • ES DESCRITO POR ESXTENSIÓN CLINICA (TNM) Y DESDIFERENCIACIÓN HISTOLOGICA (GLEASON: GRADOS I-5) LA PUNTUACIÓN: SUMA DE DOS PATRONES HISTOLÓGICOS MÁS FRECUENTES.
  • 21.
    CÁNCER DE PROSTATAY PROYECCIONES: • EL CRIBADO TEMPRANO UBICA AL CANCÉR CONFINADO POR PSA. • EL ESTUDIO ERSPC (ALEATORIZADO EUROPEO DE CRIBADO PARA CA DE PROSTATA) SUGIERE BENEFICIO ENTE 55-69 AÑOS. • EL DE INICIO ES TR Y PSA. • EL CA PRODUCE 10 VECES MÁS PSA EN EL SUERO. • LA PROPORCIÓN PSALIBRE/ PSA TOTAL ES EN EL CÁNCER Y PROSTATITIS CRÓNICA. • EN LA ACTUALIDAD NO HAY LÍMITE INFERIOR PARA LA BIOPSIA DIRIGIDA • PSA>2.5ng 20% DETECCIÓN DE CA EN LA BIOPSIA. • PSA>10 ng 50% DETECCIÓN DE CA EN LA BIOPSIA. • SI PSA > 0.75NG/ML POR AÑO INDEPENDIENTE DEL NIVEL DE PSA BIOPSIA. • HAY UN 20-40% DE CA SIN PSA, BIOPSIA INDICADA SI HAY ALGÚN NÓDULO EN EL TR.
  • 22.
  • 23.
    MORFOLOGIA SONOGRAFICA NORMAL • (A) MUESTRA AXIAL zona periférica (PZ) y la zona de transición (TZ) separados por una línea hipoecoica que representa la cápsula quirúrgica. • Uretra interna y muscular del esfínter uretral interno forman una banda hipoecogénica (U). La punta de flecha muestra el verumontanum.
  • 24.
    MORFOLOGIA SONOGRAFICA NORMAL • (B) VISTA SAGITAL • Esfínter uretral interno hipoecoica (U) corriendo hacia verumontanum (punta de flecha).  En este punto, la uretra ángulos ligeramente y finalmente sale de la próstata en su vértice en la uretra distal (DU).  Los conductos eyaculadores (ejac) curso horizontalmente desde la base de la próstata se unan a la uretra en la verumontarum (punta de flecha).
  • 25.
    MORFOLOGIA SONOGRAFICA NORMAL • (C) Axial vista de derecha e izquierda de la vesícula seminal (SV) y el conducto deferente con sólo lado izquierdo etiquetado. • La flecha apunta al conducto deferente.
  • 26.
    ASPECTOS ECOGRÁFICO DELCÁNCER DE PRÓSTATA • TIPICAMENTE EL CÁNCER ES UN ÁREA HIPOECOICA, GENERALMENTE EN LA ZONA PERIFÉRICA. • 40 - 60& DE LOS CA NO SON VISIBLES EN LA ETR, MÁS AUN LOS DE BAJO GRADO. • UNA ETR NORMAL NO DESCARTA CA, SI HAY TR Y PSA ELEVADO ENTONCES DEBE SER REFERIDO PARA ETR CON BIOPSIA. • LAS BIOPSIAS DE ESTAS ÁREAS TIENEN EL DOBLE DE SALIR DE ALTO GRADO COMO LA BIOPSIA SISTEMÁTICA.
  • 27.
    ASPECTOS ECOGRÁFICO DELCÁNCER DE PRÓSTATA • LEE ET AL Y OTROS ESTUDIOS PROPONEN QUE EL CA ES HIPOECOICA POR LA SUSTITUCIÓN DEL TEJIDO GLANDULAR NORMAL, POR LA TUMORAL QUE TIENE MENOS INTERFASES REFLECTANTES. • ALGUNOS CA INFILTRANTES CONSERVAN ESTRUCTURA GLANGULAR Y PUEDEN NO SER VISIBLES EN ETR, ALGUNOS CON MARGENES NO BIEN DEFINIDAS DE IGUAL MANERA SE PUEDEN PASAR POR ALTO. • SHINOHARA ENCONTROÓ QUE LAS LESIONES HIPOECOICAS SON MÁS AGRESIVOS, QUE LOS ISOECOICOS “NO VISIBLES”.
  • 28.
    • Fig. 2.cáncer típica visible como nódulo hipoecoico vascular. • (A) nódulo hipoecoico en la zona periférica (flecha). • (B) El aumento de la vascularización se muestra en el nódulo (flecha)
  • 29.
    ASPECTOS ECOGRÁFICO DEL CÁNCER DE PRÓSTATA • OTRAS PATOLOGIAS TMBN PUEDE DAR LESIONES HIPOECOICA: HIPERPLASIA ECTASIA GLANDULAR BENINGA. FIBROSIS QUISTES. • PUEDE SER HIPERECOICO SECUNDARIOA UNA RESPUESTA DESMOPLASTICA. • OTROS TIPOS HISTOLÓGICOS RAROS SON LOS CRIBIFORMES Y COMEDONECROSIS CON ASPECTO “CIELO ESTRELLADO” • MAS DEL 30% DE CA SON ISOECOICOS POR TANTO IMPOSIBLE DE DETECTAR SIN BIOPSIAS SISTEMÁTICAS.
  • 30.
    • Fig. 3.calcificaciones irregulares Focales (cielo estrellado) que puede estar asociada con el cáncer (flecha). El cáncer es hipoecoico y puede ser visto a tener extensión extracapsular (CEPE), donde se rompe el contorno de próstata (punta de flecha).
  • 31.
    ASPECTOS ECOGRÁFICO DEL CÁNCER DE PRÓSTATA • SIGNOS SECUNDARIOS COMO:  ASIMETRIA DE LA CAPSULA. ABULTAMIENTO CAPSULAR. ATENUACIÓN POSTERIOR.  EL GRUPO DIFICIL DE DETECTAR EN ETR SON LOS DE Z DE TRANSICIÓN, Y LOS ANTERIORES, OCULTOS POR LOS REMEDOS DE LA URETRA.  LOS ANTERIORES PUEDEN SER IGNORADOS POR EL OPERADOR (FIG 4)
  • 32.
    • Fig. 4.cáncer Pequeño posterior (flecha) y el cáncer anterior mucho más grandes (puntas de flecha). Es importante buscar y áreas hipoecoicas biopsia anterior.
  • 33.
    DOPPLER POWER COLOR • DETECTAR AUMENTO DE LA VASCULARIZACIÓN PUEDE ESTAR ASOCIADO CON EL CA, MÁS EN CASOS ISOECOICOS. • SE DEBE AL AUMENTO DE LA DENSIDAD DE LOS MICROVASOS. • EN ESTUDIOS SOLO HASTA UN 17% DEMOSTRO POWER COLOR. • LA VASCULARIDAD SE PUEDE INCREMENTAR EN INFECCION E INFLAMACION (FIG 5) •
  • 34.
    • Fig. 5.(A) Hay un pequeño nódulo posterior obvio cáncer hipoecoica (flecha). • (B) Power Doppler muestra que el pequeño nódulo no es vascular (flecha) a pesar de que es el cáncer; sin embargo, existe la vascularidad anormal en todo el lóbulo derecho (puntas de flecha) que indica un área mucho mayor de cáncer de isoecoicos. En retrospectiva en la Fig. 5A, hay cambios sutiles que sugieren cáncer en todo: todo el lóbulo derecho se amplía y deforme, y la cápsula quirúrgica se borra.
  • 35.
    AVANCES RECIENTES ENETR • DEBIDO A QUE NO TODOS LOS CA SON HIPOECOICOS SE BUSCA CADA VEZ MEJORES MÉTODOS DIAGNOSTICOS. ULTRASONIDO CON CONTRASTE: MICRO-NEOVASCULARIZACIÓN. • SE PUEDE DETECTAR MICROBURBUJAS CON CONTRASTE EN AL US, ACTUALMENTE EN INVESTIGACIÓN. • UN ESTUDIO DEMOSTRO MEJOR SENSIBILIDAD PERO ESPECIFICIDAD NO SIGNIFICTIVA. • MITTER BERGER DEMOSTRO UN GLEASON MAS ALTO C/C, TMBN DEMOSTRÓ QUE LA DUTASTERIDA7-14 D ANTES MEJORA LA DETECCIÓN POR QUE BAJA LA VASCULATURA EN TEJIDO BENIGNO.
  • 36.
    LA ELASTOGRAFÍA •EVALUA EL CAMBIO DE ELASTICIDAD O RIGIDEZ DEL TEJIDO. • EL CA TIENE TIPICAMENTE DENSIDAD DEL TEJIDO Y VASOS. • UN ESTUDIO DETECTO 28 DE 32 FOCOS DE CANCER (88% S) • KONING ET AL 127 DE 151 TIPOS MEDIANTE ELASTOGRAFIA EN TIEMPO REAL CON BIOPSIA.
  • 37.
    • Fig. 6.La imagen de la izquierda muestra elastografia una zona azul más rígido (flecha) que es sospechoso de cáncer. • El cáncer es mucho menos visible en la imagen en escala de grises a juego derecho (flecha)
  • 38.
    PAPEL ACTUAL DELA ECOGRAFÍA TRANSRECTAL • ACTUALMENTE SU FUNCIÓN PRINCIPAL SON: GUIA DE BIOPSIA. COLOCACIÓN DE MARCADORES DE REFERENCIA PARA RADIOTERAPIA. BRAQUITERIA. CRIOABLACIÓN DE ALTA INTENSIDAD (HIFU)  MEDICION DEL VOLUMEN PROSTÁTICO EN EL CONTROL DE LA BRAQUITERAPIA.  ESTADIFIACIÓN LOCAL (EXTENSIÓN EXTRACAPSULAR+ AFECTACIÓN DE LA VESÍCULA SEMINAL FIG.7
  • 39.
    FIG. 7. LAEXTENSIÓN EXTRACAPSULAR DEL CÁNCER VISIBLE COMO UN NÓDULO HIPOECOICO QUE SOBRESALE CLARAMENTE A TRAVÉS DE LA CÁPSULA (FLECHA).
  • 40.
    • LA RMHA DEMOSTRADO SER MÁS PRECISA EN LA DEMOSTRACIÓN DE EXTENSIÓN EXTRACAPSULAR Y LA PARTICIPACIÓN DE LA VESÍCULA SEMINAL Y TAMBIÉN PUEDE EVALUAR LINFADENOPATÍA CRITERIOS EN LA RM DE EXTENSIÓN EXTRACAPSULAR. A) PROTRUSIÓN FOCAL IRREGULAR, ESPICULADA DE LA CÁPSULA (FLECHA). B) OBLITERACIÓN DEL ÁNGULO RECTOPROSTÁTICO (FLECHA). C) AFECTACIÓN Y ASIMETRÍA DEL PLEXO NEUROVASCULAR Y GRASA PERIPROSTÁTICA (FLECHA). D) EXTENSIÓN A LA VESÍCULA SEMINAL IZQUIERDA (FLECHA
  • 41.
    ESPECTROSCOPIA IMAGEN AXIALPONDERADA EN T2 Y ESPECTROSCOPIA. • ESPECTRO NORMAL CON AUMENTO DEL CITRATO Y NIVEL BAJO DE COLINA CON SEÑAL HIPERINTENSA NORMAL DE LA ZONA PERIFÉRICA DERECHA DE LA PRÓSTATA (FLECHA DELGADA). • ESPECTRO PATOLÓGICO CON ELEVACIÓN DE LA COLINA Y DESCENSO DEL CITRATO CORRESPONDIENTE A LESIÓN HIPOINTENSA DE LA ZONA PERIFÉRICA IZQUIERDA POR CARCINOMA (FLECHA GRUESA).
  • 42.
    BIOPSIA DE PRÓSTATA • DE FORMA AMBULATORIA, PROFILAXIS ATB. • LIMPIEZA RECTAL CON ENEMA, O LAXANTE. • NO ES UN AMBIENTE ASEPTICO, ATB PRE Y POST BIOPSIA CON FLUOROQUINOLONAS, LA ADICIÓN DE AMINOGLUCOSICOS MEJORA. • EVITAR ANTIPLAQUETARIOS (AAS, CLOPIDOGREL) DABIGATRAN, WARFARINA. • APLICAR 5-10 ml LIDOCAINA AL 1 – 2 %, BILATERALAL HAZ NEUROVASCULAR EN LA UNIÓN ENTRE PROSTATA Y VESICULA SEMINAL. • La pistola de biopsia automática con 18 agujas de los manómetros se ha demostrado para obtener buenas muestras con notable aceptación y la seguridad del paciente.
  • 43.
    BIOPSIA DE PRÓSTATA • INICIA EN ÁREAS SOSPECHOSAS, EVITAR LA ZONA PERIURETRAL, POR CONSIDERABLE SANGRADO. • PRESIÓN POR UN MINUTO PARA MEJORAR SANGRADO. • OBSERVACION 1 HORA, VER REACCIONES VAGALES. • HEMATURIA, SANGRADO EN HECES Y HASTA SEPSIS (1-2%) • ADVERTIR SOBRE SINTOMAS SUGERENTES DE INFECCION,
  • 44.
    BIOPSIA DE PRÓSTATAMUESTREO PROTOCOLOS EN LA BIOPSIA INICIAL, DE 10 A 12 MUESTRAS SON TÍPICAMENTE OBTENIDO DE UNA MANERA SISTEMÁTICA Y SE TOMAN MUESTRAS ADICIONALES SI CUALQUIER ÁREA SOSPECHOSA SE VEN EN EL MOMENTO DE LA ETR