APARATO LOCOMOTOR DE LA EXTREMIDAD SUPERIOR Dr. Carlos Azañero Inope
Homínidos adquieren marcha bípeda. Extremidad Superior liberada de la función de sustentación . La extremidad superior, a diferencia de la inferior, posee huesos más ligeros y articulaciones menos estables y más móviles
 
EXTREMIDAD SUPERIOR SEGMENTOS ARTICULADOS LA CINTURA ESCAPULAR CLAVICULA ESCAPULA BRAZO ANTEBRAZO MANO HUMERO Y SU ARTICULACION EN EL HOMBRO RADIO CUBITO CARPO METACARPO FALANGES
HUESOS DE LA EXTREMIDAD SUPERIOR
LA CLAVICULA Hueso de forma alargada localizado en el extremo anterosuperior del tórax Clavícula del latín clavis = llave (las llaves romanas tenían la forma de S tendida como la clavícula)
LA CLAVICULA Se extiende entre la extremidad superior del esternón y la escápula, con los cuales establece las articulaciones esternoclavicular y acromioclavicular.
LA CLAVICULA Hueso Plano, en la que se puede distinguir un cuerpo central y dos extremidades. Carece de cavidad medular, formado por una zona central de tejido esponjoso rodeada por hueso compacto.
LA CLAVICULA La Cara superior es lisa La Cara Inferior es rugosa, con un canal central  ( surco del músculo subclavio)  y rugosidades de inserción ligamentosa en el extremo interno :  La Tuberosidad Costal;  y en el externo,  Tuberosidad Coracoclavicular.
LA CLAVICULA Los Extremos del hueso son articulares.  El Extremo Externo (extremo acromial) tiene una carilla articular para el acromion. El Extremo Interno (extremo esternal) posee una superficie articular para el esternón.
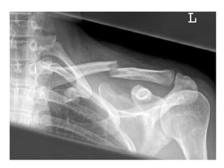
FRACTURAS DE LA CLAVICULA Las Fracturas de la clavícula son frecuentes, en el adulto por traumatismos aplicados en el hombro y en el recién nacido por tracciones efectuadas durante el parto.
FRACTURAS DE LA CLAVICULA Las relaciones que posee la clavícula con los vasos subclavios y nervios braquiales en su trayecto desde la base del cuello hacia la axila motivan que exista un  riesgo potencial de lesión vascular o nerviosa asociado a las fracturas claviculares.
 
 
 
LA ESCAPULA Sinonimia:  OMOPLATO Es un hueso plano de forma triangular que se encuentra sobre la parte posterior de la caja torácica, a nivel de las 7 primeras costillas.
La Cara Anterior mira hacia la pared torácica (Cara Costal)
La Cara Posterior mira hacia la piel del dorso y esta dividido en dos segmentos por la Espina del Escápula
LA ESCAPULA La  Espina de la Escápula  es un reborde óseo diagonal que se encuentra en su superficie posterior
LA ESCAPULA Encima de la espina se ubica la  FOSA SUPRAESPINOSA  y debajo de la espina la  FOSA INFRAESPINOSA
LA ESCAPULA La Espina se prolonga hacia el hombro, formando una voluminosa prominencia,  ACROMION , el cual sirve para la inserción de varios músculos, así como para la articulación con la clavícula.
LA ESCAPULA Inferior al acromión se encuentra una leve depresión, la  CAVIDAD GLENOIDEA ,  en la cual ingresa la cabeza del húmero.
LA ESCAPULA En los extremos superior e inferior del contorno de la cavidad glenoidea muestra  las tuberosidades supraglenoidea e infraglenoidea,   para inserciones musculares.
LA ESCAPULA Sobre la cavidad glenoidea se encuentra una proyección ósea llamada  PROCESO CORACOIDE.
LA ESCAPULA Sobre la superficie anterior de la escápula existe un área levemente cóncava conocida como  FOSA SUBESCAPULAR.
LA ESCAPULA Tiene tres bordes : Borde Superior  : Margen superior. Borde Medial:   cerca a  la columna vertebral. Borde Lateral:  dirigido hacia el brazo.
LA ESCAPULA Tiene tres Ángulos : Ángulo Superior  : Entre el borde superior y medial. Ángulo Inferior:   En la unión del borde medial y lateral. Ángulo Lateral:  En la unión del borde superior y lateral.
LIGAMENTOS PROPIOS DE LA ESCAPULA Ligamento Transverso Superior de la Escápula (coracoideo),  se extiende de un extremo al otro de la escotadura supraescapular transformándola en un conducto osteofibroso por donde pasa el  Nervio Supraescapular.
LIGAMENTOS PROPIOS DE LA ESCAPULA Ligamento Coraco-acromial,  es una banda fibrosa que se extiende desde la apófisis coracoides hacia el acromión.
 
 
HUMERO Forma el esqueleto del brazo y es un hueso largo en el que se puede distinguir un cuerpo (diáfisis) y dos extremidades (epífisis).
HUMERO Es casi rectilíneo. En su superficie se inserta numerosos músculos, los cuales producen relieves reconocibles. CUERPO
 
HUMERO En la parte superior de su cara anterolateral está la  tuberosidad deltoidea,  que es una huella en forma de V causada por la inserción del deltoides. CUERPO
HUMERO En la cara anteromedial se encuentra el agujero nutricio. La cara posterior está recorrida por un surco oblícuo hacia abajo,  EL SURCO RADIAL (Canal de Torsión) CUERPO
 
HUMERO La Extremidad superior presenta tres eminencias: Una de ellas es la  Cabeza  (articular) y las otras son las  tuberosidades mayor y menor  (para inserciones musculares) EXTRREMIDAD SUPERIOR
HUMERO La Cabeza es redondeada y representa aprox. un tercio de esfera, está separada de las tuberosidades por un surco ,  EL CUELLO ANATOMICO DEL HUMERO. EXTRREMIDAD SUPERIOR
HUMERO Entre las dos tuberosidades se establece el  SURCO INTERTUBEROSITARIO (Corredera bicipital). EXTRREMIDAD SUPERIOR
HUMERO El límite entre la extremidad superior y el cuerpo del húmero es una zona frecuente de fracturas que se sitúa por debajo de las tuberosidades y se denomina  CUELLO QUIRURGICO. EXTRREMIDAD SUPERIOR
 
HUMERO La extremidad inferior es ancha y aplanada y forma con la diáfisis un ángulo de 45 grados. EXTRREMIDAD INFERIOR
HUMERO Lateralmente se observa los  EPICONDILOS , que hacia arriba se prolongan mediante las  CRESTAS SUPRACONDILEAS EXTRREMIDAD INFERIOR
HUMERO La Zona media presenta la  TROCLEA HUMERAL , que es una superficie en forma de polea para la extremidad superior del cúbito . EXTRREMIDAD INFERIOR
 
HUMERO Por fuera se aprecia el  cóndilo humeral , que es una superficie ovoide para la cabeza del radio EXTRREMIDAD INFERIOR
HUMERO Entre el cóndilo humeral y la tróclea se encuentra el surco cóndilo troclear. EXTRREMIDAD INFERIOR
HUMERO El plano posterior, por encima de la tróclea se encuentra la  FOSA OLECRANEANA. Además se observa el  Surco para el Nervio Cubital. EXTRREMIDAD INFERIOR
HUMERO En el plano anterior, por encima del cóndilo, se encuentra la  FOSA RADIAL  (Supracondílea) y por encima de la tróclea,  la FOSA CORONOIDEA  (Supratroclear). EXTRREMIDAD INFERIOR
FRACTURA DE HUMERO

El Hombro

  • 1.
    APARATO LOCOMOTOR DELA EXTREMIDAD SUPERIOR Dr. Carlos Azañero Inope
  • 2.
    Homínidos adquieren marchabípeda. Extremidad Superior liberada de la función de sustentación . La extremidad superior, a diferencia de la inferior, posee huesos más ligeros y articulaciones menos estables y más móviles
  • 3.
  • 4.
    EXTREMIDAD SUPERIOR SEGMENTOSARTICULADOS LA CINTURA ESCAPULAR CLAVICULA ESCAPULA BRAZO ANTEBRAZO MANO HUMERO Y SU ARTICULACION EN EL HOMBRO RADIO CUBITO CARPO METACARPO FALANGES
  • 5.
    HUESOS DE LAEXTREMIDAD SUPERIOR
  • 6.
    LA CLAVICULA Huesode forma alargada localizado en el extremo anterosuperior del tórax Clavícula del latín clavis = llave (las llaves romanas tenían la forma de S tendida como la clavícula)
  • 7.
    LA CLAVICULA Seextiende entre la extremidad superior del esternón y la escápula, con los cuales establece las articulaciones esternoclavicular y acromioclavicular.
  • 8.
    LA CLAVICULA HuesoPlano, en la que se puede distinguir un cuerpo central y dos extremidades. Carece de cavidad medular, formado por una zona central de tejido esponjoso rodeada por hueso compacto.
  • 9.
    LA CLAVICULA LaCara superior es lisa La Cara Inferior es rugosa, con un canal central ( surco del músculo subclavio) y rugosidades de inserción ligamentosa en el extremo interno : La Tuberosidad Costal; y en el externo, Tuberosidad Coracoclavicular.
  • 10.
    LA CLAVICULA LosExtremos del hueso son articulares. El Extremo Externo (extremo acromial) tiene una carilla articular para el acromion. El Extremo Interno (extremo esternal) posee una superficie articular para el esternón.
  • 11.
    FRACTURAS DE LACLAVICULA Las Fracturas de la clavícula son frecuentes, en el adulto por traumatismos aplicados en el hombro y en el recién nacido por tracciones efectuadas durante el parto.
  • 12.
    FRACTURAS DE LACLAVICULA Las relaciones que posee la clavícula con los vasos subclavios y nervios braquiales en su trayecto desde la base del cuello hacia la axila motivan que exista un riesgo potencial de lesión vascular o nerviosa asociado a las fracturas claviculares.
  • 13.
  • 14.
  • 15.
  • 16.
    LA ESCAPULA Sinonimia: OMOPLATO Es un hueso plano de forma triangular que se encuentra sobre la parte posterior de la caja torácica, a nivel de las 7 primeras costillas.
  • 17.
    La Cara Anteriormira hacia la pared torácica (Cara Costal)
  • 18.
    La Cara Posteriormira hacia la piel del dorso y esta dividido en dos segmentos por la Espina del Escápula
  • 19.
    LA ESCAPULA La Espina de la Escápula es un reborde óseo diagonal que se encuentra en su superficie posterior
  • 20.
    LA ESCAPULA Encimade la espina se ubica la FOSA SUPRAESPINOSA y debajo de la espina la FOSA INFRAESPINOSA
  • 21.
    LA ESCAPULA LaEspina se prolonga hacia el hombro, formando una voluminosa prominencia, ACROMION , el cual sirve para la inserción de varios músculos, así como para la articulación con la clavícula.
  • 22.
    LA ESCAPULA Inferioral acromión se encuentra una leve depresión, la CAVIDAD GLENOIDEA , en la cual ingresa la cabeza del húmero.
  • 23.
    LA ESCAPULA Enlos extremos superior e inferior del contorno de la cavidad glenoidea muestra las tuberosidades supraglenoidea e infraglenoidea, para inserciones musculares.
  • 24.
    LA ESCAPULA Sobrela cavidad glenoidea se encuentra una proyección ósea llamada PROCESO CORACOIDE.
  • 25.
    LA ESCAPULA Sobrela superficie anterior de la escápula existe un área levemente cóncava conocida como FOSA SUBESCAPULAR.
  • 26.
    LA ESCAPULA Tienetres bordes : Borde Superior : Margen superior. Borde Medial: cerca a la columna vertebral. Borde Lateral: dirigido hacia el brazo.
  • 27.
    LA ESCAPULA Tienetres Ángulos : Ángulo Superior : Entre el borde superior y medial. Ángulo Inferior: En la unión del borde medial y lateral. Ángulo Lateral: En la unión del borde superior y lateral.
  • 28.
    LIGAMENTOS PROPIOS DELA ESCAPULA Ligamento Transverso Superior de la Escápula (coracoideo), se extiende de un extremo al otro de la escotadura supraescapular transformándola en un conducto osteofibroso por donde pasa el Nervio Supraescapular.
  • 29.
    LIGAMENTOS PROPIOS DELA ESCAPULA Ligamento Coraco-acromial, es una banda fibrosa que se extiende desde la apófisis coracoides hacia el acromión.
  • 30.
  • 31.
  • 32.
    HUMERO Forma elesqueleto del brazo y es un hueso largo en el que se puede distinguir un cuerpo (diáfisis) y dos extremidades (epífisis).
  • 33.
    HUMERO Es casirectilíneo. En su superficie se inserta numerosos músculos, los cuales producen relieves reconocibles. CUERPO
  • 34.
  • 35.
    HUMERO En laparte superior de su cara anterolateral está la tuberosidad deltoidea, que es una huella en forma de V causada por la inserción del deltoides. CUERPO
  • 36.
    HUMERO En lacara anteromedial se encuentra el agujero nutricio. La cara posterior está recorrida por un surco oblícuo hacia abajo, EL SURCO RADIAL (Canal de Torsión) CUERPO
  • 37.
  • 38.
    HUMERO La Extremidadsuperior presenta tres eminencias: Una de ellas es la Cabeza (articular) y las otras son las tuberosidades mayor y menor (para inserciones musculares) EXTRREMIDAD SUPERIOR
  • 39.
    HUMERO La Cabezaes redondeada y representa aprox. un tercio de esfera, está separada de las tuberosidades por un surco , EL CUELLO ANATOMICO DEL HUMERO. EXTRREMIDAD SUPERIOR
  • 40.
    HUMERO Entre lasdos tuberosidades se establece el SURCO INTERTUBEROSITARIO (Corredera bicipital). EXTRREMIDAD SUPERIOR
  • 41.
    HUMERO El límiteentre la extremidad superior y el cuerpo del húmero es una zona frecuente de fracturas que se sitúa por debajo de las tuberosidades y se denomina CUELLO QUIRURGICO. EXTRREMIDAD SUPERIOR
  • 42.
  • 43.
    HUMERO La extremidadinferior es ancha y aplanada y forma con la diáfisis un ángulo de 45 grados. EXTRREMIDAD INFERIOR
  • 44.
    HUMERO Lateralmente seobserva los EPICONDILOS , que hacia arriba se prolongan mediante las CRESTAS SUPRACONDILEAS EXTRREMIDAD INFERIOR
  • 45.
    HUMERO La Zonamedia presenta la TROCLEA HUMERAL , que es una superficie en forma de polea para la extremidad superior del cúbito . EXTRREMIDAD INFERIOR
  • 46.
  • 47.
    HUMERO Por fuerase aprecia el cóndilo humeral , que es una superficie ovoide para la cabeza del radio EXTRREMIDAD INFERIOR
  • 48.
    HUMERO Entre elcóndilo humeral y la tróclea se encuentra el surco cóndilo troclear. EXTRREMIDAD INFERIOR
  • 49.
    HUMERO El planoposterior, por encima de la tróclea se encuentra la FOSA OLECRANEANA. Además se observa el Surco para el Nervio Cubital. EXTRREMIDAD INFERIOR
  • 50.
    HUMERO En elplano anterior, por encima del cóndilo, se encuentra la FOSA RADIAL (Supracondílea) y por encima de la tróclea, la FOSA CORONOIDEA (Supratroclear). EXTRREMIDAD INFERIOR
  • 51.