LUXACIONES DE CODO Y
 FRACTURAS DEL CODO
    Y ANTEBRAZO
     Dr. Alexander Arévalo.
    Residente de Ortopedia.
LUXACION DE CODO
 Hablamos    de luxación cuando a la lesión
 de la capsula y ligamentos (alargamiento,
 ruptura o      desinserción) se añade la
 separación permanente de las carillas
 articulares.

 La  luxación del codo es la segunda mas
  frecuente en adultos.
 Determinar si se acompaña de lesion
  vascular o nerviosa.
Los tipos de luxaciones pueden ser:
1. Anterior.
2. Posterior. (90%)
3. Lateral.
4. Medial.
5. Divergente.


Mecanismo de la lesion.
 El   objetivo del tratamiento debe ser:
   conseguir un codo estable, con las
   diferentes estructuras bien posicionadas,
   y con la mínima pérdida de movimiento.
 Tratamiento:

1. Cerrado.
2. Abierto.
Después de la reducción se debe colocar
escayola de yeso con antebrazo a 90
grados y en rotación neutra, por una a
dos semanas.

Iniciar fisioterapia a la semana, después
de la reducción.
FRACTURAS
EXTREMO DISTAL
   HUMERO.
 Estas se clasifican:


1. Supracondíleas.
2. Transcondileas.
3. Intercondileas.
4. Fractura de los cóndilos.
5. Fractura de los epicóndilos.
FRACTURA SUPRACONDILEA.

A  menudo se trata con yeso colgante o
 ferula de coaptacion.

 Cuando reduccion abierta?
  – Reduccion insatisfactoria.
  – Daño neurovascular.
TRANSCONDILEAS.

          Son inestables.
          Con frecuencia son
           intraarticulares.
          Se debe realizar una
           reducción y fijación
           para     tener   una
           movilización precoz
Si la lesión tiene un
trazo intraarticular y
pobre fijación , puede
complicarse con un
necrosis avascular de
los fragmentos.
INTERCONDILEAS.

        Clasificación de Mehne y
        Matta es la que mejor
        describe los hallazgos
        transquirúrgicos.

        Si los fragmentos estan
        alineados se trata con
        ferula y movilizacion
        gradual hasta consolidar
   Cuando              los
    fragmentos        estan
    desplazados          es
    preferible la reduccion
    abierta.
   La cirugía se realiza
    con mayor facilidad
    en las primeras 24 a
    48 horas.
    Vía  de abordaje de
     Campbell, sus ventajas
     son:
1.   Buena exposición de
     todas las superficies
     articulares.


2.   Lo cual permite libertad
     de seleccionar el tipo de
     fijación interna.
3. Una vez que el nervio
  cubital     a      sido
  identificado y retraido
  medialmente, no hay
  grandes     vasos     o
  nervios en el sitio de
  la insición
Los       pobres
resultados    se
deben a:
1.Osificación
heterotópica
2.Infección
3.Parálisis     del
nervio cubital.
4.Fallo   en     la
fijación          y
pseudoatrosis.
Tratamiento post-quirúrgico:
1. Férula posterior, desde el pliegue axilar.
2. A los 7 días retiro intermitente de férula y   se
  inicia movilización precoz.
3. A las 3 semanas retiro definitivo de la férula.
4. Prohibido movilizaciones vigorosas o
  forzadas, sean activas o pasivas.
FRACTURA DE CONDILOS.

             Son raras.
             Cuando             están
              desplazadas,           la
              fijación interna   es la
              elección.
             Insicion     lateral    o
              medial.
             Rehabilitación igual.
FRACTURAS DE LA SUPERFICIE
ARTICULAR DISTAL DEL HUMERO.
                 Son           puramente
                  intraarticulares.
                 Habitualmente se dan
                  por una caída sobre la
                  extremidad superior
                  extendida, por         el
                  impacto de la cabeza
                  radial contra la porción
                  anterior del condilo
                  humeral (capitellum).
                 Diferenciar     de     la
                  condilea.
  El tratamiento depende
   del grado de la lesión,
   y puede ser:
1. Reducción cerrada.
2. Reducción abierta con
   o sin fijación interna.
3. Exsición.
4. Colocación       de una
   protesis.
FRACTURAS-LUXACIONESDEL
          CODO.
 Por
    lo general se tratan quirurgicamente,
 la mayoría son inestables por el
 componente fracturario.

 Elmecanismo de lesión el por una caída
 sobre el brazo extendido con una fuerza
 cizallante asociada.

 Lesion vascular y nerviosa.
En la fractura- luxacion del codo
  podemos encontrar:
1.   Luxación posterior.
2.   Fractura de la cabeza del
     radio.
3.   Fractura del cuello del radio .
4.   Fractura de la apófisis
     coronoides.
5.   Una combinación de ellas.
   TRATAMIENTO:
   Reducción cerrada lo
    antes posible.
   Iniciar    movilizacion
    precoz a        las 2-3
    semanas.
   Reduccion abierta en
    las inestables.



Clasificacion de Regan y
  Moorey para fracturas
  de apófisis coronoides.
Complicaciones:
   Rigidez.
   Artrosis
    postraumatica.
   Osificación
    heterotópica.
FRACTURAS DEL
            OLECRANON.
   En fracturas       no desplazadas,     debe
    realizarse reducción cerrada.

   La reducción debe ser exacta.

   Las complicaciones más frecuentes son:
    seudoartrosis y la pérdida de la movilidad,
    sobre todo en extensión.

   Su mecanismo puede ser: directo e indirecto.
  Los métodos habituales del tratamiento
   quirúrgico pueden ser:
1. Reducción abierta y fijación interna con cerclaje
   funcional en ocho de guarismo.
2. Fijación medular.
3. Combinación de fijación medular con aguja o
   tornillo y cerclaje a tensión.
4. Placa moldeada a mano y tornillos.
5. Extirpación del fragmento proximal.
 Ventajas de reducción abierta y fijación
 interna:
1. Permite la reducción anatómica.
2. Permite movilización precoz.
3. Conserva la estabilidad del codo.
4. Se mantiene poder extensor del triceps
Extirpacion de fragmento.
              Se    puede        extirpar
               hasta el 80%.
              Indicaciones:


             1.   Fracturas conminutas
                  graves.
             2.   Fracturas
                  extraarticulares.
             3.   Fracaso        de     la
                  reducción.
             4.   Pseudoartrosis.
             5.   Tratamiento retrasado.
             6.   Fracturas abiertas tipo
   Tratamiento post- quirurgico:

A- Se deberá colocar férula posterior con el codo a 90 grados.
B- A los 7 – 10 días se comenzará ejercicios activos y activos-
  asistidos.
C- El codo se inmoviliza entre estos periodos con una férula
  amovible.
D- La férula se retira a las cuarta semana.

    La pronación y supinación apenas se afectan, no así la
    extensión y flexión. La función máxima puede alcanzarse a
    los 6-12 meses.
FRACTURAS DE LA CABEZA Y
   CUELLO DEL RADIO.
            Clasificación de Mason:
            Tipo I: fractura no desplazada
               segmentaria.


            Tipo II: fractura segmentaria
               desplazada.


            Tipo III: fractura conminuta.


            Tipo IV: fractura asociada con
               luxación posterior del codo.
El tratamiento puede ser
   conservador.
Cuando será quirúrgico:
1. Presentan gran conminución
   en el cuello o cabeza.
2. Marginales que afectan más
   de 1/3 de la superficie
   articular.
3. Presentan fragmentos
   articulares libres.
4. Las del cuello del radio con
   suficiente angulación que
   interfieran con la rotación.
Tratamiento           post-
  quirúrgico:

A- miembro superior a 90
  grados       con    férula
  posterior .
B- una semana posterior,
  se retira férula y se
  coloca       brazo     en
  cabestrillo, que se retira
  a las tres semanas.
C- a la semana se inicia
  movimientos activos y
  activos-asistidos.
Fractura de la cabeza o cuello del radio
  con luxación radio-cubital (fractura-
      luxación de Essex-Lopresti)
                      Caida sobre la mano
                      extendida.
                      Si se reseca la cabeza
                      habrá dolor en la muñeca
                      por pinzamiento cubito
                      carpal y dolor en el codo
                      por pinzamiento radio
                      humeral.
                      Se debe realizar reducción
                      abierta y fijación de la
                      fractura proximal de radio
                      y bloqueo con pines de la
                      articulación   radio-cubital
                      por 6 semanas.
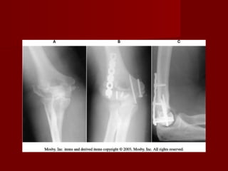
Fractura del tercio proximal del cúbito
   con luxación de la cabeza radial
  (fractura-luxación de Monteggia)
                      Clasificación de Bado en 4
                      tipos.
                      Mecanismo es por: golpe
                      directo en la cara cubital
                      del antebrazo o por caída
                      en      hiperpronación   e
                      hiperextensión.

                      Tratamiento consiste en la
                      reducción cerrada de la
                      luxación del radio y fijación
                      de la fractura del cubito.
Tratamiento      post-
operatorio:   a    las   2
semanas se retira férula y
puntos y se coloca yeso.
 Durante la primeras 4-6
semanas el codo debe
mantenerse a 110 – 120
grados de flexión. A las 4
semanas se retira yeso y
el brazo se coloca en un
cuello-puño y se inicia
suave y progresivamente
movimientos             de
pronosupinación.
La extensión se autoriza
hasta las 6 semanas.
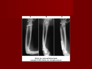
Fractura-luxación del tercio distal del
  radio con luxación de la articulación
radio-cubital distal(fractura-luxacion de
                Galeazzi)
                        La fractura inevitable.
                        El tratamiento mediante
                         reducción      cerrada  e
                         inmovilización con yeso
                         tiene una alta taza de
                         fracaso.
                        La reducción abierta y
                         fijación con placa de
                         compresión 3.5 es el
                         método de elección.
                        Si aún después de fijar el
                         radio, la luxación radio
                         cubital es inestable, se
                         debe fijar con pines
                         Kirschner.
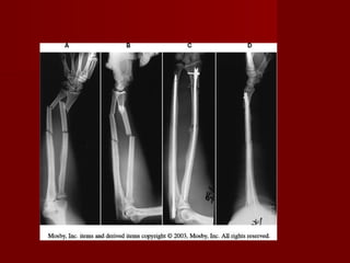
Fracturas de la diafisis del
      radio y cubito
                 Las fracturas de ambo
                  huesos del antebrazo
                  producirá una grave
                  secuela funcional si no
                  se trata adecuadamente.
                 La pérdida funcional
                  puede aparecer incluso
                  tras      la   adecuada
                  consolidación    de   la
                  fractura.
Para evitar las limitacion
    funcional debe
    mantenerse
    correctamente las
    relaciones:
-   Radio humeral.
-   Radio cubital proximal.
-   Humero cubital.
-   Radiocarpiana.
-   Radio cubital distal.
-   Espacio interoseo
Los metodos de fijación
  pueden ser:
- intramedulares.
- Fijación con placas
  compresivas o no.
 Si se colocan placas en
  radio: en el tercio distal
  puede ser anterior y en
  el tercio proximal como
  esta indicado. En el
  cubito es independiente.
Sage
True-flex

            ForeSight
Tratamiento post-quirúrgico:
 Si se tiene una buena fijación, las fractura no son
  conminutas,se ha hecho una buena compresión y
  el paciente es colaborador no es necesario
  férulas. Se aplica vendaje compresivo durante
  unos días y se comienza precozmente ejercicios
  suaves de codo, muñeca y mano.
 Evitar el levantamiento de peso y otras
  actividades pesadas que evitan la consolidación
  de la fractura.
 Retiro de placa: 2 años con protección con férula
  por 6 semanas, y un uso pleno en 6 meses.

Fracturas de Codo y antebrazo

  • 1.
    LUXACIONES DE CODOY FRACTURAS DEL CODO Y ANTEBRAZO Dr. Alexander Arévalo. Residente de Ortopedia.
  • 2.
    LUXACION DE CODO Hablamos de luxación cuando a la lesión de la capsula y ligamentos (alargamiento, ruptura o desinserción) se añade la separación permanente de las carillas articulares.  La luxación del codo es la segunda mas frecuente en adultos.  Determinar si se acompaña de lesion vascular o nerviosa.
  • 3.
    Los tipos deluxaciones pueden ser: 1. Anterior. 2. Posterior. (90%) 3. Lateral. 4. Medial. 5. Divergente. Mecanismo de la lesion.
  • 4.
     El objetivo del tratamiento debe ser: conseguir un codo estable, con las diferentes estructuras bien posicionadas, y con la mínima pérdida de movimiento.  Tratamiento: 1. Cerrado. 2. Abierto.
  • 5.
    Después de lareducción se debe colocar escayola de yeso con antebrazo a 90 grados y en rotación neutra, por una a dos semanas. Iniciar fisioterapia a la semana, después de la reducción.
  • 6.
  • 7.
     Estas seclasifican: 1. Supracondíleas. 2. Transcondileas. 3. Intercondileas. 4. Fractura de los cóndilos. 5. Fractura de los epicóndilos.
  • 8.
    FRACTURA SUPRACONDILEA. A menudo se trata con yeso colgante o ferula de coaptacion.  Cuando reduccion abierta? – Reduccion insatisfactoria. – Daño neurovascular.
  • 9.
    TRANSCONDILEAS.  Son inestables.  Con frecuencia son intraarticulares.  Se debe realizar una reducción y fijación para tener una movilización precoz
  • 10.
    Si la lesióntiene un trazo intraarticular y pobre fijación , puede complicarse con un necrosis avascular de los fragmentos.
  • 11.
    INTERCONDILEAS. Clasificación de Mehne y Matta es la que mejor describe los hallazgos transquirúrgicos. Si los fragmentos estan alineados se trata con ferula y movilizacion gradual hasta consolidar
  • 12.
    Cuando los fragmentos estan desplazados es preferible la reduccion abierta.  La cirugía se realiza con mayor facilidad en las primeras 24 a 48 horas.
  • 13.
    Vía de abordaje de Campbell, sus ventajas son: 1. Buena exposición de todas las superficies articulares. 2. Lo cual permite libertad de seleccionar el tipo de fijación interna.
  • 14.
    3. Una vezque el nervio cubital a sido identificado y retraido medialmente, no hay grandes vasos o nervios en el sitio de la insición
  • 19.
    Los pobres resultados se deben a: 1.Osificación heterotópica 2.Infección 3.Parálisis del nervio cubital. 4.Fallo en la fijación y pseudoatrosis.
  • 20.
    Tratamiento post-quirúrgico: 1. Férulaposterior, desde el pliegue axilar. 2. A los 7 días retiro intermitente de férula y se inicia movilización precoz. 3. A las 3 semanas retiro definitivo de la férula. 4. Prohibido movilizaciones vigorosas o forzadas, sean activas o pasivas.
  • 21.
    FRACTURA DE CONDILOS.  Son raras.  Cuando están desplazadas, la fijación interna es la elección.  Insicion lateral o medial.  Rehabilitación igual.
  • 22.
    FRACTURAS DE LASUPERFICIE ARTICULAR DISTAL DEL HUMERO.  Son puramente intraarticulares.  Habitualmente se dan por una caída sobre la extremidad superior extendida, por el impacto de la cabeza radial contra la porción anterior del condilo humeral (capitellum).  Diferenciar de la condilea.
  • 23.
     Eltratamiento depende del grado de la lesión, y puede ser: 1. Reducción cerrada. 2. Reducción abierta con o sin fijación interna. 3. Exsición. 4. Colocación de una protesis.
  • 24.
    FRACTURAS-LUXACIONESDEL CODO.  Por lo general se tratan quirurgicamente, la mayoría son inestables por el componente fracturario.  Elmecanismo de lesión el por una caída sobre el brazo extendido con una fuerza cizallante asociada.  Lesion vascular y nerviosa.
  • 25.
    En la fractura-luxacion del codo podemos encontrar: 1. Luxación posterior. 2. Fractura de la cabeza del radio. 3. Fractura del cuello del radio . 4. Fractura de la apófisis coronoides. 5. Una combinación de ellas.
  • 26.
    TRATAMIENTO:  Reducción cerrada lo antes posible.  Iniciar movilizacion precoz a las 2-3 semanas.  Reduccion abierta en las inestables. Clasificacion de Regan y Moorey para fracturas de apófisis coronoides.
  • 27.
    Complicaciones:  Rigidez.  Artrosis postraumatica.  Osificación heterotópica.
  • 28.
    FRACTURAS DEL OLECRANON.  En fracturas no desplazadas, debe realizarse reducción cerrada.  La reducción debe ser exacta.  Las complicaciones más frecuentes son: seudoartrosis y la pérdida de la movilidad, sobre todo en extensión.  Su mecanismo puede ser: directo e indirecto.
  • 30.
     Losmétodos habituales del tratamiento quirúrgico pueden ser: 1. Reducción abierta y fijación interna con cerclaje funcional en ocho de guarismo. 2. Fijación medular. 3. Combinación de fijación medular con aguja o tornillo y cerclaje a tensión. 4. Placa moldeada a mano y tornillos. 5. Extirpación del fragmento proximal.
  • 31.
     Ventajas dereducción abierta y fijación interna: 1. Permite la reducción anatómica. 2. Permite movilización precoz. 3. Conserva la estabilidad del codo. 4. Se mantiene poder extensor del triceps
  • 35.
    Extirpacion de fragmento.  Se puede extirpar hasta el 80%.  Indicaciones: 1. Fracturas conminutas graves. 2. Fracturas extraarticulares. 3. Fracaso de la reducción. 4. Pseudoartrosis. 5. Tratamiento retrasado. 6. Fracturas abiertas tipo
  • 36.
    Tratamiento post- quirurgico: A- Se deberá colocar férula posterior con el codo a 90 grados. B- A los 7 – 10 días se comenzará ejercicios activos y activos- asistidos. C- El codo se inmoviliza entre estos periodos con una férula amovible. D- La férula se retira a las cuarta semana. La pronación y supinación apenas se afectan, no así la extensión y flexión. La función máxima puede alcanzarse a los 6-12 meses.
  • 37.
    FRACTURAS DE LACABEZA Y CUELLO DEL RADIO. Clasificación de Mason: Tipo I: fractura no desplazada segmentaria. Tipo II: fractura segmentaria desplazada. Tipo III: fractura conminuta. Tipo IV: fractura asociada con luxación posterior del codo.
  • 38.
    El tratamiento puedeser conservador. Cuando será quirúrgico: 1. Presentan gran conminución en el cuello o cabeza. 2. Marginales que afectan más de 1/3 de la superficie articular. 3. Presentan fragmentos articulares libres. 4. Las del cuello del radio con suficiente angulación que interfieran con la rotación.
  • 39.
    Tratamiento post- quirúrgico: A- miembro superior a 90 grados con férula posterior . B- una semana posterior, se retira férula y se coloca brazo en cabestrillo, que se retira a las tres semanas. C- a la semana se inicia movimientos activos y activos-asistidos.
  • 40.
    Fractura de lacabeza o cuello del radio con luxación radio-cubital (fractura- luxación de Essex-Lopresti) Caida sobre la mano extendida. Si se reseca la cabeza habrá dolor en la muñeca por pinzamiento cubito carpal y dolor en el codo por pinzamiento radio humeral. Se debe realizar reducción abierta y fijación de la fractura proximal de radio y bloqueo con pines de la articulación radio-cubital por 6 semanas.
  • 42.
    Fractura del tercioproximal del cúbito con luxación de la cabeza radial (fractura-luxación de Monteggia) Clasificación de Bado en 4 tipos. Mecanismo es por: golpe directo en la cara cubital del antebrazo o por caída en hiperpronación e hiperextensión. Tratamiento consiste en la reducción cerrada de la luxación del radio y fijación de la fractura del cubito.
  • 45.
    Tratamiento post- operatorio: a las 2 semanas se retira férula y puntos y se coloca yeso. Durante la primeras 4-6 semanas el codo debe mantenerse a 110 – 120 grados de flexión. A las 4 semanas se retira yeso y el brazo se coloca en un cuello-puño y se inicia suave y progresivamente movimientos de pronosupinación. La extensión se autoriza hasta las 6 semanas.
  • 46.
    Fractura-luxación del terciodistal del radio con luxación de la articulación radio-cubital distal(fractura-luxacion de Galeazzi)  La fractura inevitable.  El tratamiento mediante reducción cerrada e inmovilización con yeso tiene una alta taza de fracaso.  La reducción abierta y fijación con placa de compresión 3.5 es el método de elección.  Si aún después de fijar el radio, la luxación radio cubital es inestable, se debe fijar con pines Kirschner.
  • 47.
    Fracturas de ladiafisis del radio y cubito  Las fracturas de ambo huesos del antebrazo producirá una grave secuela funcional si no se trata adecuadamente.  La pérdida funcional puede aparecer incluso tras la adecuada consolidación de la fractura.
  • 48.
    Para evitar laslimitacion funcional debe mantenerse correctamente las relaciones: - Radio humeral. - Radio cubital proximal. - Humero cubital. - Radiocarpiana. - Radio cubital distal. - Espacio interoseo
  • 49.
    Los metodos defijación pueden ser: - intramedulares. - Fijación con placas compresivas o no.  Si se colocan placas en radio: en el tercio distal puede ser anterior y en el tercio proximal como esta indicado. En el cubito es independiente.
  • 54.
    Sage True-flex ForeSight
  • 55.
    Tratamiento post-quirúrgico:  Sise tiene una buena fijación, las fractura no son conminutas,se ha hecho una buena compresión y el paciente es colaborador no es necesario férulas. Se aplica vendaje compresivo durante unos días y se comienza precozmente ejercicios suaves de codo, muñeca y mano.  Evitar el levantamiento de peso y otras actividades pesadas que evitan la consolidación de la fractura.  Retiro de placa: 2 años con protección con férula por 6 semanas, y un uso pleno en 6 meses.