FRACTURAS DE HUMERO
DISTAL
ELMER J. NARVAEZ RODRIGUEZ
MR3 TRAUMATOLOGIA
Y ORTOPEDIA
OBJETIVOS
1. DEFINICION
2. EPIDEMIOLOGIA
3. ANATOMIA QUIRURGICA
4. DIAGNOSTICO Y CLASIFICACION
5. ABORDAJES
7. INDICACIONES QX
6. TECNICAS DE OSTEOSINTESIS O ARTROPLASTIA
7. REHABILITACION
8. COMPLICACIONES
DEFINICION
EPIDEMIOLOGIA
• 0,5 DE TODAS LAS FRACTURAS DEL ADULTO Y REPRESENTAN
AL 20-30% DE LAS FRACTURAS DEL CODO EN EL ADULTO
• EN EL NIÑO CORRESPONDEN AL 15 %, 75 % DE LAS FRACTURAS
DEL CODO, 75 % DE ESTAS SON SUPRACONDILEAS
• EL MECANISMO MAS COMUN ES EL TRAUMA DIRECTO EN EL
ADULTO E INDIRECTO EN EL NIÑO
EPIDEMIOLOGIA
ANATOMIA
QUIRURGICA
• CAMBIO DE FORMA EN EL
HUMERO A MEDIDA QUE SE
HACE MAS DISTAL
--
Tratamiento.Practico.de.Fracturas.McRae.5a.Ed
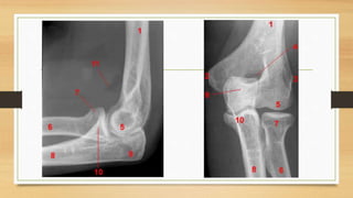
DIAGNOSTICO
CLASIFICACION
• DE ACUERDO A LA FORMA DEL TRAZO
• DE ACUERDO A TRAZO ARTICULAR O
EXTRARTICULAR
• DE ACUERDO A LA CONMINUCION
MEHNE Y JUPITER PARA
FRACTURAS ARTICULARES
EN H Y LAMBDA TIENE
MAYOR RIESGO DE NECROSIS
AVASCULAR
CLASIFICACION AO
POSICION DEL PACIENTE
_DECUBITO PRONO (MEJOR EXPOSICION Y MANEJO DE FRAGMENTOS OSEOS)
_DECUBITO LATERAL
EN LOS DOS CASOS SE PREFIERE UNA FLEXION DEL CODO MAYOR A 90 GRADOS
EN LOS DOS ES FACTIBLE OSTEOTOMIA DEL OLECRANON
ABORDAJES
_POSTERIOR: TRANSTRICIPITAL Y
TRANSOLECRANEANA
_LATERAL
• FORMAS DE ACCEDER AL HUMERO
DISTAL A TRAVES DEL TENDON DEL
TRICEPS
OSTEOTOMIA DEL OLECRANON:
SE PREFIERE LA OSTEOTOMIA ESTILO
CHEVRON EN V A LA TRANSVERSA DEBIDO A
QUE DURANTE LA OSTEOSINTESIS DE ESTA LA
SURPEFICIE DE CONTACTO ES MAYOR Y LA
SUPERFICIE EN V DA MAYOR ESTABILIDAD QUE
LA TRNASVERSA
LATERAL
INDICACIONES Y OPCIONES
DE TRATAMIENTO
1.CONSERVADOR
2.RAFI
3.ARTROPLASTIA TOTAL O PARCIAL
INDICACIONESS PARA TTO
CONSERVADOR
INDICACIONESS
PARA TTO
CONSERVADOR
• EN NIÑOS FX
SUPRACONDILEAS NO
DESPLAZADAS:
• GARLAND I O IIA
EN ADULTOS JOVENES:
• El tratamiento conservador presenta 3 veces mas resultados inaceptables que
el tratamiento quirúrgico
• Pacientes en tratamiento conservador : 6 vcs mas riesgo de no unión
• 4 veces más propensos a retardo de la consolidacion
OPCIONES DE TRATAMIENTO
INDICACIONES PARA TRATAMIENTO
QUIRURGICO
LIMITACIONES PARA TTO QX
OSTEOSISNTESIS DE FX DE HUMERO
DISTAL
• Principios del tratamiento:
• Reducción Anatómica
• Fijación rígida con 2 placas fuertes
• Placas Fuertes: Altamente rígidas y mínimo 3.5 en adultos y 2,7 en niños
• No se recomienda el uso de placas tercio de caña
MATERIAL DE OSTEOSINTESIS:
PLACAS DE RECONSTRUCCION
PLACAS ANATOMICAS TIPO LCP
TORNILLOS CANULADOS , ESPONJOSOS O CORTICALES
SIMPLES
AGUJA KIRHSNER
TECNICAS DE REDUCCION
CONSTRUCTO ESTABLE
SE LOGRA MEDIANTE LA CONFIGURACION ORTOGONAL Y PARALELA
COMPARACION ENTRE SISTEMA
PARALALEO Y ORTOGONAL
RIGIDEZ: NO EXISTE DIFERENCIA SIGNIFICATIVA
COMPARACION ENTRE SISTEMA PARALALEO Y ORTOGONAL
POSTERIOR: TIRANTE Y SOPORTAN LAS
FUERZAS DE FLEXION, NO TOLERA LA
EXTENSION
LATERAL O MEDIAL: ESTABILIDAD EN
SENTIDO SAGITAL Y A FUERZAS DE
EXTENSION PERO A TAMBIEN LAS
FUERZAS DE FLEXION
NUNCA SOLO POSTERIORES O
POSTEROMEDIAL
+POSTEROLATERAL
FUERZAS DE FLEXION Y
EXTENSION FATIGAN
LOS IMPLANTES Y
LLEVAN AL FRACAZO
? ? ?
Para que el constructo pueda soportar las
fuerzas de extension
ES SIMEPRE NECESARIO UN
COMPONENTE PARALELO!!!!
Concepto del Andamiaje
Andamio a 90 grados con sistema ortogonal
Andamio con placas paralelas
Andamio
a 90 grados
Andamio
paralelo
Para que cumpla
función de andamio:
llegar a la otra
cortical,
entrecruzarse con los
tornillos paralelos
contralaterales
FRACTURAS CONDILEAS
• PRINCION DE TORNILLO INTERFRAGMENTARIO
FRACTURAS IRREDUCTIBLES Y DE
ALTA CONMINUCION
SE PUEDE OPTAR POR ARTROPLASTIA O ARTRODESIS,
DEPENDIENDO DE LAS CARACTERISTICAS DEL PACIENTE
Hemiartroplastia de codo
• Reemplazo epifisis distal del humero
• Indicación
– < 65 años
– Importante conminución
• Requiere
– LLCC indemne
– Posibilidad de reconstrucción de una columna
Artroplastía total de codo (TEA)
• Incapacidad de lograr reduccion
• Pude ir sumada a un implante de osteosíntesis
• De preferencia en mayores de 65 años
ARTRODESIS DE CODO
• Salvataje
– Post Fx
• Dolor
• Inestabilidad
• Déficit stock óseo
• Infección crónica
• Falla TEA
COMPLICACIONES
LESION VASCULAR
LESION NERVIOSA
INFECCION
EXPOSICION DE MATERIAL
RIGIDEZ
MALA CONSOLIDACION
PSEUDOARTROSIS
GRACIAS

Fx de humero distal