FRACTURA DE CALCÁNEOCastillo Sánchez María del CarmenDel Angel López Ana LúzHernández Salazar Itzel Iyeharu
60% de las Fx del tarso2% de todas las fracturas87% Hombres de 40 añosLesiones asociadas: 30-50%M. inf. Contralateral 5%M. infhomolateral 25%Columna vertebral 10%Fx abiertas 5%
PIE: AnatomíaHUESOS – Vista Lateral (Externa)Astrálago o TalusEscafoides (Navicular)Cuneiformes:Medial, Intermedio y LateralArticulación subtalar(talocalcánea o astralagocalcánea)Dedo Gordo del Pie (Hallux)CalcáneoProximal, Medial, Distal(Falanges)MetatarsosCuboidesDe: (1997) 3DSuper Anatomy. Cleveland, OH: LifeART – TechPool Studios, Inc.
PIE: AnatomíaHUESOS – Vista Superior (Dorsal)Dedo Gordo del Pie (Hallux)Escafoides (Navicular)Cuneiformes:Medial, Intermedio y LateralCalcáneoCuboidesMetatarsosDistal, Medial, ProximalFalangesDe: (1997) 3DSuper Anatomy. Cleveland, OH: LifeART – TechPool Studios, Inc.
PIE: AnatomíaHUESOS – Vista Lateral (Externa)Astrálago o TalusEscafoides (Navicular)Cuneiformes:Medial, Intermedio y LateralArticulación subtalar(talocalcánea)Dedo Gordo del Pie (Hallux)CalcáneoCuboidesMetatarsosFalanges:(Distal, Medial, Proximal)SesamoideNOTA: De: (1997) 3DSuper Anatomy. Cleveland, OH: LifeART – TechPool Studios, Inc.
PIE: AnatomíaHUESOS Y LIGAMENTOS – Vista OblicuaTibiaFíbulaCalcáneoHalluxNOTA: De: (1997) 3DSuper Anatomy. Cleveland, OH: LifeART – TechPool Studios, Inc.
AnatomíaHUESOS  Y MÚSCULOS – Vista OblicuaPeróneo LargoExtensor Corto de los DedosMaleoloPeróneo TertiusTendón de AquilesCalcáneoHalluxMetatarsosFalanges Distales o FalanginaNOTA: De: (1997) 3DSuper Anatomy. Cleveland, OH: LifeART – TechPool Studios, Inc.
PIE: AnatomíaMÚSCULOS: Vista Superior (Dorsal)Ligamento  Largo PlantarPeróneoCortoFlexor Largo de los DedosFlexor Corto del HalluxFlexor Corto de los Dedos (Quinti)Flexor Largo del HalluxNOTA: De: (1997) Super Anatomy. Cleveland, OH: LifeART – TechPool Studios, Inc.
PIE: ANATOMÍA- Ligamentos (Vista Lateral):Ligamento Tibioperoneo AnteriorTibiaPeroné o FíbulaLigamento Peroneoastragalino Ligamento TibioperoneoPosteriorCalcáneoLigamento PeroneocalcáneoLigamento MetacarpocuboidesLigamento CalcaneocuboideNOTA: De: (1997) 3DSuper Anatomy. Cleveland, OH: LifeART – TechPool Studios, Inc.
PIE: AnatomíaVASOS SANGUÍNEOS: Vista Superior (Dorsal)Arteria Tibial AnteriorArteria PeronealNOTA: De: (1997) Super Anatomy. Cleveland, OH: LifeART – TechPool Studios, Inc.
PIE: AnatomíaNERVIOS: Vista Superior (Dorsal)Nervio Peroneal ProfundoNervio Tibial PosteriorNOTA: De: (1997) Super Anatomy. Cleveland, OH: LifeART – TechPool Studios, Inc.
ANATOMÍAEl calcáneo es un hueso cuboideoque, colocado bajo el astrágalo, apoya directamente contra el suelo.Anatomía LatargetRuiz Liar pag 862 4ta edición
ANATOMÍAanatomialatargetruiz liar pag 862 4ta edición
ANATOMIAAnatomía LatargetRuiz Liar pag 862 4ta edición
ANATOMÍAAnatomía LatargetRuiz Liar pag 862 4ta edición
Anatomía LatargetRuiz Liar pag 862 4ta edición
Factores de riesgoDeportes EmpleosDe: (1997) 3DSuper Anatomy. Cleveland, OH: LifeART – TechPool Studios, Inc.
FISIOPATOLOGÍAMECANISMO:INDIRECTO POR AVULSIÓNDIRECTO POR COMPRESIÓN AXIALDe: (1997) 3DSuper Anatomy. Cleveland, OH: LifeART – TechPool Studios, Inc.
MecanismoDe: (1997) 3DSuper Anatomy. Cleveland, OH: LifeART – TechPool Studios, Inc.
De: (1997) 3DSuper Anatomy. Cleveland, OH: LifeART – TechPool Studios, Inc.
De: (1997) 3DSuper Anatomy. Cleveland, OH: LifeART – TechPool Studios, Inc.
ClínicaDolor espontáneo e intenso a la movilizaciónImposibilidad de apoyo del talónDe: (1997) 3DSuper Anatomy. Cleveland, OH: LifeART – TechPool Studios, Inc.
Clínica Edema intenso de talón e infiltración hemorrágica tempranaEnsanchamiento y acortamiento del talón con descenso del nivel de los maleolos (según el grado de desplazamiento)De: (1997) 3DSuper Anatomy. Cleveland, OH: LifeART – TechPool Studios, Inc.
De: (1997) 3DSuper Anatomy. Cleveland, OH: LifeART – TechPool Studios, Inc.
PRESENTACIÓN DE CASO CLÍNICO
IMMS Hospital HRG n°6 FECHA: 04-03-11CAMA: 630 N° AFILIACIÓN: 49967648621M78FICHA DE IDENTIFICACIÓNNOMBRE: M R EEDAD: 34 añosSEXO: masculinoOCUPACIÓN: guardia de seguridad FECHA DE NACIMIENTO: 29-10-76 LUGAR DE NACIMIENTO: Tampico, TamaulipasLUGAR DE RESIDENCIA: Altamira, Tamaulipas RELIGIÓN: católica ESCOLARIDAD: preparatoria ESTADO CIVIL: casadoRh: O+DIAGNÓSTICO: fractura multifragmentada de ambos calcáneos  FECHA DE INGRESO: 01-03-11HORA DE INGRESO: 11:45 am
ANTECEDENTES HEREDOFAMILIARESPADRE: 58 años, vivo, aparentemente sanoMADRE: 55 años, viva, DM2 de 10 años de evoluciónHIJOS: 2, 1 masculino y 1 femenino, ambos aparentemente sanosANTECEDENTE PERSONALES NO PATOLÓGICOS VIVIENDA: cohabita en casa de material de 2 cuartos con su esposa y dos hijos, cuenta con todos los servicios de urbanizaciónDIETA: buena en calidad y cantidadZOONOSIS: negativaCOMBE: negativoALERGIAS: negativoASEO: adecuadoINMUNIZACIONES: refiere todas
ANTECEDENTES PERSONALES PATOLÓGICOSTABAQUISMO: positivo, ocasionalmente, uno cada 2 díasALCOHOLISMO: positivo, una vez al mes
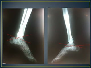
PADECIMIENTO ACTUALInicia el lunes 28 de febrero del 2011 en la tarde, al estar pintando su casa, sufre caída de aproximadamente 8 metros de altura, sin alteraciones de la conciencia, cayendo parado y recibiendo impacto en ambos pies, posteriormente cursa con dolor en ambos calcáneos e incapacidad para deambular, es llevado al servicio de urgencias del IMSS en Altamira donde no puede ser completa su valoración debido a la falta de rayos X, se decide su traslado al IMSS HGR 6 donde es recibido en el servicio de urgencias a las 23:00 horas, se realiza una rx lateral de ambos pies, es diagnosticado por traumatología como fractura multifragmentada de ambos calcáneos, sin lesiones en columna vertebral o cadera, se estable como tratamiento cirugía, se ingresa para su internamiento, sube a piso el 01-03-11 a las 11:45 horas y después se realiza TC la cual confirma el diagnostico antes dado
EXPLORACIÓN FÍSICA Paciente tranquilo, cooperador, orientado en sus 3 esferas, con piel y tegumentos bien hidratados y de buena coloración, sin compromiso cardiorrespiratorio, tórax normolíneo, campos pulmonares bien ventilados sin crepitantes, ruidos cardiacos normales de buena intensidad, abdomen blando, depresible, no doloroso, no datos de irritación peritoneal, buena peristalsis. Extremidades integras, con aumento de volumen a nivel de ambos maléolos, dolor a la digitopresión en ambas plantas de los pies y maléolos, llenado capilar normal.	FC: 118 x’    FR: 18 x’    TA: 110/70 mmHg T: 36°C
Examen físico al ingreso a urgencias:Aumento de volumen en ambos maléolos dolor a la digitopresión en ambas plantas de los pies y maléolos	FC: 118 x’	FR: 18 x’   TA: 110/70 mmHg	T: 36°C
Diagnóstico: fractura multifragmentada de ambos 	calcáneos 	Tipo III en calcáneo derecho y tipo II según 	Crosby y fitzgibbon y de Sanders
TRATAMIENTO
Según el grado de desplazamiento Conservador, seguido de movilización precoz para fracturas no desplazadas o mínimamente desplazadas  fijación axial con clavos metálicos en las fracturas en lengua Reducción abierta y fijación interna en las fracturas por depresión articular  Campbell Cirugía Ortopédica 10° edición vól. IV
REDUCCIÓN CERRADA  Manipulación cerrada e inmovilización con yeso Vendaje compresivo y movilización precozTracción-suspensión Manipulación y estabilización con clavos  Campbell Cirugía Ortopédica 10° edición vól. IV
REDUCCIÓN ABIERTA Abordaje medialMcReynoldsBurdeauxAbordaje medial y lateral StephensonRomashAbordaje lateral único Benirschke y SangeorzanSander y cols.  Campbell Cirugía Ortopédica 10° edición vól. IV
Objetivos: Restaurar la congruencia articular Restauras ángulo de BohlerReducir anchura del calcáneoDescomprimir espacio subperonealRealinear tuberosidad posterior a valgoReducir articulación calcáneocuboideaCampbell Cirugía Ortopédica 10° edición vól. IV
Factores a tomar en cuenta:Edad del pacienteEstado general Tipos de fracturaLesión de tejidos blandos Experiencia del cirujano Campbell Cirugía Ortopédica 10° edición vól. IV
TÉCNICAS Primeras 12-14 horas o 10-14 diasAplicar vendaje almohadilla de Jones Realizar TC  Campbell Cirugía Ortopédica 10° edición vól. IV
De Benirsche y SangeorzanCampbell Cirugía Ortopédica 10° edición vól. IV
Abordaje medial y lateral Insicion medial:1 cm debajo del borde escafoides tarsiano hasta 1-2 cm por delante del tendón de Aquiles Insicion lateral:Del verticeanterolateral de la art calcaneocuboidea hasta 1-2 cm por delante del tendón de Aquiles Campbell Cirugía Ortopédica 10° edición vól. IV
Fijación axial o técnica de Essex-Lopresti
Paciente en decúbito prono se realiza incisión sobre la tuberosidad del calcáneo desplazadaSe introduce un clavo de Steinmann o de Gissane (3 mm)  realizar controles 				        radiográficos Con la rodilla en flexión se reduce la fractura
Después se reduce el ensanchamiento del calcáneoImportante liberar la parte inferior del maléolo perneo del contacto con algún fragmento óseo protruyente que se pueda introducir en el espacio de los tendones peroneos y dar una tenosinovitis crónica Realizar radiografía final para confirmar posición
Tratamiento postoperatorio:Yeso en forma de zapatilla que incluya la porción saliente del clavoDeambulación en descarga 4-6 semanas se extrae el clavo y se aplica yeso desde la tuberosidad tibial hasta los dedosSi la rx muestra consolidación y relleno con hueso esponjoso = carga de peso (8-10 semanas despues de reducción)  Campbell Cirugía Ortopédica 10° edición vól. IV
Complicaciones y prevención:Necrosis cutánea, dehiscencia de la herida e infección Perdida de reducción de los fragmentos principalesReducción inadecuadaLesiones del nervio sural y de los tendones peroneosCampbell Cirugía Ortopédica 10° edición vól. IV
Complicaciones tardías:Dolor cronicoArtrosis subastragalinapostraumaticaPinzamiento lateral subperoneal con o sin problemas en los tendones peroneosPinzamiento anterior del tobilloComplicaciones de los N tibial o suralAtrofia de la almohadilla grasaSx doloroso mediado por el simpático Campbell Cirugía Ortopédica 10° edición vól. IV
diagnostico
Síntomas caída
 Mantenga el talón del pie del paciente en la palma de la mano, y apretar suavemente. dolor producido sugiere fractura de calcáneo.
Este patrón particular de equimosis, conocido como el signo de Mondor, es patognomónico de la fractura de calcáneo.
IIIIVVRADIOGRAFÍASSIMPLES 		    TOMOGRAFÍApreoperatoria
TAC
II  BTC  preoperatoriaIncongruencia subtalica  post.   :  90 %Conflicto maleolar externo            :  80 %Lesión calcáneo-cuboidea             :  40 %
El diagnóstico diferencial
Crosby y fitzgibbon y de Sanders Tipo I son fracturas no desplazadas. Tipo II son dos partes o dividir las fracturasTipo III son de tres partes o las fracturas de la depresión de división. Tipo IV fueron de cuatro partes o muy conminutas fracturas articulares. Basada en TAC: lesiones complejas
Clasificaciones El Essex-Lopresti Clasificación de las fracturas del calcáneo Tipo A - Tipo de Lengua Tipo B - Tipo Mixto depresión Essex-lopresti
FRACTURA DE LA CARILLA POSTERIORCARILLA ANTERIORASTRAGALO EMPUJA CARILLA ARTICULAR POSTERIOR
La clasificación de ROWE fracturas del calcáneo Tipo 1a - fractura medial o lateral Tuberosidad  Tipo 1b - Fractura del sustentáculo del astrágalo  Tipo 1c - Fractura de la apófisis anterior del calcáneo Tipo 2A - Pico fractura del calcáneo posterior      Tipo 2b - fractura por avulsión que incluye la inserción del tendón de Aquiles Tipo 3 - fractura oblicua que no implican la articulación subastragalina tipo  4 - Fractura Consejo de participación de la articulación subastragalina Tipo 5 - Consejo de fractura con depresión articulación subastragalina y trituración
De: (1997) 3DSuper Anatomy. Cleveland, OH: LifeART – TechPool Studios, Inc.
COMENTARIO“ El hombre que se rompe el hueso del talón está acabado” Cotton y Wilson (1916) “Las fracturas del calcáneo son muy graves e incapacitantes, y el resultado final sigue siendo increíblemente malo” Conn (1935) “Los resultados de las fracturas aplastamiento del calcáneo son malísimos” Bankart (1942)Las fracturas de calcáneo, así como las del astrágalo revisten gravedad para la estabilidad futura de la articulación del tobillo, generando en un alto número de casos un tobillo doloroso e inestable. Las mejoras en la tecnología, especialmente en el campo de la tomografía computarizada, han permitido a los cirujanos seleccionar cuidadosamente las lesiones que son particularmente susceptibles a la intervención quirúrgica.mejora de los resultados a largo plazo en muchos casos.

Fractura calcaneo

  • 1.
    FRACTURA DE CALCÁNEOCastilloSánchez María del CarmenDel Angel López Ana LúzHernández Salazar Itzel Iyeharu
  • 2.
    60% de lasFx del tarso2% de todas las fracturas87% Hombres de 40 añosLesiones asociadas: 30-50%M. inf. Contralateral 5%M. infhomolateral 25%Columna vertebral 10%Fx abiertas 5%
  • 3.
    PIE: AnatomíaHUESOS –Vista Lateral (Externa)Astrálago o TalusEscafoides (Navicular)Cuneiformes:Medial, Intermedio y LateralArticulación subtalar(talocalcánea o astralagocalcánea)Dedo Gordo del Pie (Hallux)CalcáneoProximal, Medial, Distal(Falanges)MetatarsosCuboidesDe: (1997) 3DSuper Anatomy. Cleveland, OH: LifeART – TechPool Studios, Inc.
  • 4.
    PIE: AnatomíaHUESOS –Vista Superior (Dorsal)Dedo Gordo del Pie (Hallux)Escafoides (Navicular)Cuneiformes:Medial, Intermedio y LateralCalcáneoCuboidesMetatarsosDistal, Medial, ProximalFalangesDe: (1997) 3DSuper Anatomy. Cleveland, OH: LifeART – TechPool Studios, Inc.
  • 5.
    PIE: AnatomíaHUESOS –Vista Lateral (Externa)Astrálago o TalusEscafoides (Navicular)Cuneiformes:Medial, Intermedio y LateralArticulación subtalar(talocalcánea)Dedo Gordo del Pie (Hallux)CalcáneoCuboidesMetatarsosFalanges:(Distal, Medial, Proximal)SesamoideNOTA: De: (1997) 3DSuper Anatomy. Cleveland, OH: LifeART – TechPool Studios, Inc.
  • 6.
    PIE: AnatomíaHUESOS YLIGAMENTOS – Vista OblicuaTibiaFíbulaCalcáneoHalluxNOTA: De: (1997) 3DSuper Anatomy. Cleveland, OH: LifeART – TechPool Studios, Inc.
  • 7.
    AnatomíaHUESOS YMÚSCULOS – Vista OblicuaPeróneo LargoExtensor Corto de los DedosMaleoloPeróneo TertiusTendón de AquilesCalcáneoHalluxMetatarsosFalanges Distales o FalanginaNOTA: De: (1997) 3DSuper Anatomy. Cleveland, OH: LifeART – TechPool Studios, Inc.
  • 8.
    PIE: AnatomíaMÚSCULOS: VistaSuperior (Dorsal)Ligamento Largo PlantarPeróneoCortoFlexor Largo de los DedosFlexor Corto del HalluxFlexor Corto de los Dedos (Quinti)Flexor Largo del HalluxNOTA: De: (1997) Super Anatomy. Cleveland, OH: LifeART – TechPool Studios, Inc.
  • 9.
    PIE: ANATOMÍA- Ligamentos(Vista Lateral):Ligamento Tibioperoneo AnteriorTibiaPeroné o FíbulaLigamento Peroneoastragalino Ligamento TibioperoneoPosteriorCalcáneoLigamento PeroneocalcáneoLigamento MetacarpocuboidesLigamento CalcaneocuboideNOTA: De: (1997) 3DSuper Anatomy. Cleveland, OH: LifeART – TechPool Studios, Inc.
  • 10.
    PIE: AnatomíaVASOS SANGUÍNEOS:Vista Superior (Dorsal)Arteria Tibial AnteriorArteria PeronealNOTA: De: (1997) Super Anatomy. Cleveland, OH: LifeART – TechPool Studios, Inc.
  • 11.
    PIE: AnatomíaNERVIOS: VistaSuperior (Dorsal)Nervio Peroneal ProfundoNervio Tibial PosteriorNOTA: De: (1997) Super Anatomy. Cleveland, OH: LifeART – TechPool Studios, Inc.
  • 12.
    ANATOMÍAEl calcáneo esun hueso cuboideoque, colocado bajo el astrágalo, apoya directamente contra el suelo.Anatomía LatargetRuiz Liar pag 862 4ta edición
  • 13.
  • 14.
  • 15.
  • 16.
    Anatomía LatargetRuiz Liarpag 862 4ta edición
  • 17.
    Factores de riesgoDeportesEmpleosDe: (1997) 3DSuper Anatomy. Cleveland, OH: LifeART – TechPool Studios, Inc.
  • 18.
    FISIOPATOLOGÍAMECANISMO:INDIRECTO POR AVULSIÓNDIRECTOPOR COMPRESIÓN AXIALDe: (1997) 3DSuper Anatomy. Cleveland, OH: LifeART – TechPool Studios, Inc.
  • 19.
    MecanismoDe: (1997) 3DSuperAnatomy. Cleveland, OH: LifeART – TechPool Studios, Inc.
  • 20.
    De: (1997) 3DSuperAnatomy. Cleveland, OH: LifeART – TechPool Studios, Inc.
  • 21.
    De: (1997) 3DSuperAnatomy. Cleveland, OH: LifeART – TechPool Studios, Inc.
  • 22.
    ClínicaDolor espontáneo eintenso a la movilizaciónImposibilidad de apoyo del talónDe: (1997) 3DSuper Anatomy. Cleveland, OH: LifeART – TechPool Studios, Inc.
  • 23.
    Clínica Edema intensode talón e infiltración hemorrágica tempranaEnsanchamiento y acortamiento del talón con descenso del nivel de los maleolos (según el grado de desplazamiento)De: (1997) 3DSuper Anatomy. Cleveland, OH: LifeART – TechPool Studios, Inc.
  • 24.
    De: (1997) 3DSuperAnatomy. Cleveland, OH: LifeART – TechPool Studios, Inc.
  • 25.
  • 26.
    IMMS Hospital HRGn°6 FECHA: 04-03-11CAMA: 630 N° AFILIACIÓN: 49967648621M78FICHA DE IDENTIFICACIÓNNOMBRE: M R EEDAD: 34 añosSEXO: masculinoOCUPACIÓN: guardia de seguridad FECHA DE NACIMIENTO: 29-10-76 LUGAR DE NACIMIENTO: Tampico, TamaulipasLUGAR DE RESIDENCIA: Altamira, Tamaulipas RELIGIÓN: católica ESCOLARIDAD: preparatoria ESTADO CIVIL: casadoRh: O+DIAGNÓSTICO: fractura multifragmentada de ambos calcáneos FECHA DE INGRESO: 01-03-11HORA DE INGRESO: 11:45 am
  • 27.
    ANTECEDENTES HEREDOFAMILIARESPADRE: 58años, vivo, aparentemente sanoMADRE: 55 años, viva, DM2 de 10 años de evoluciónHIJOS: 2, 1 masculino y 1 femenino, ambos aparentemente sanosANTECEDENTE PERSONALES NO PATOLÓGICOS VIVIENDA: cohabita en casa de material de 2 cuartos con su esposa y dos hijos, cuenta con todos los servicios de urbanizaciónDIETA: buena en calidad y cantidadZOONOSIS: negativaCOMBE: negativoALERGIAS: negativoASEO: adecuadoINMUNIZACIONES: refiere todas
  • 28.
    ANTECEDENTES PERSONALES PATOLÓGICOSTABAQUISMO:positivo, ocasionalmente, uno cada 2 díasALCOHOLISMO: positivo, una vez al mes
  • 29.
    PADECIMIENTO ACTUALInicia ellunes 28 de febrero del 2011 en la tarde, al estar pintando su casa, sufre caída de aproximadamente 8 metros de altura, sin alteraciones de la conciencia, cayendo parado y recibiendo impacto en ambos pies, posteriormente cursa con dolor en ambos calcáneos e incapacidad para deambular, es llevado al servicio de urgencias del IMSS en Altamira donde no puede ser completa su valoración debido a la falta de rayos X, se decide su traslado al IMSS HGR 6 donde es recibido en el servicio de urgencias a las 23:00 horas, se realiza una rx lateral de ambos pies, es diagnosticado por traumatología como fractura multifragmentada de ambos calcáneos, sin lesiones en columna vertebral o cadera, se estable como tratamiento cirugía, se ingresa para su internamiento, sube a piso el 01-03-11 a las 11:45 horas y después se realiza TC la cual confirma el diagnostico antes dado
  • 30.
    EXPLORACIÓN FÍSICA Pacientetranquilo, cooperador, orientado en sus 3 esferas, con piel y tegumentos bien hidratados y de buena coloración, sin compromiso cardiorrespiratorio, tórax normolíneo, campos pulmonares bien ventilados sin crepitantes, ruidos cardiacos normales de buena intensidad, abdomen blando, depresible, no doloroso, no datos de irritación peritoneal, buena peristalsis. Extremidades integras, con aumento de volumen a nivel de ambos maléolos, dolor a la digitopresión en ambas plantas de los pies y maléolos, llenado capilar normal. FC: 118 x’ FR: 18 x’ TA: 110/70 mmHg T: 36°C
  • 31.
    Examen físico alingreso a urgencias:Aumento de volumen en ambos maléolos dolor a la digitopresión en ambas plantas de los pies y maléolos FC: 118 x’ FR: 18 x’ TA: 110/70 mmHg T: 36°C
  • 36.
    Diagnóstico: fractura multifragmentadade ambos calcáneos Tipo III en calcáneo derecho y tipo II según Crosby y fitzgibbon y de Sanders
  • 39.
  • 40.
    Según el gradode desplazamiento Conservador, seguido de movilización precoz para fracturas no desplazadas o mínimamente desplazadas fijación axial con clavos metálicos en las fracturas en lengua Reducción abierta y fijación interna en las fracturas por depresión articular Campbell Cirugía Ortopédica 10° edición vól. IV
  • 41.
    REDUCCIÓN CERRADA Manipulación cerrada e inmovilización con yeso Vendaje compresivo y movilización precozTracción-suspensión Manipulación y estabilización con clavos Campbell Cirugía Ortopédica 10° edición vól. IV
  • 43.
    REDUCCIÓN ABIERTA AbordajemedialMcReynoldsBurdeauxAbordaje medial y lateral StephensonRomashAbordaje lateral único Benirschke y SangeorzanSander y cols. Campbell Cirugía Ortopédica 10° edición vól. IV
  • 44.
    Objetivos: Restaurar lacongruencia articular Restauras ángulo de BohlerReducir anchura del calcáneoDescomprimir espacio subperonealRealinear tuberosidad posterior a valgoReducir articulación calcáneocuboideaCampbell Cirugía Ortopédica 10° edición vól. IV
  • 45.
    Factores a tomaren cuenta:Edad del pacienteEstado general Tipos de fracturaLesión de tejidos blandos Experiencia del cirujano Campbell Cirugía Ortopédica 10° edición vól. IV
  • 46.
    TÉCNICAS Primeras 12-14horas o 10-14 diasAplicar vendaje almohadilla de Jones Realizar TC Campbell Cirugía Ortopédica 10° edición vól. IV
  • 47.
    De Benirsche ySangeorzanCampbell Cirugía Ortopédica 10° edición vól. IV
  • 48.
    Abordaje medial ylateral Insicion medial:1 cm debajo del borde escafoides tarsiano hasta 1-2 cm por delante del tendón de Aquiles Insicion lateral:Del verticeanterolateral de la art calcaneocuboidea hasta 1-2 cm por delante del tendón de Aquiles Campbell Cirugía Ortopédica 10° edición vól. IV
  • 49.
    Fijación axial otécnica de Essex-Lopresti
  • 50.
    Paciente en decúbitoprono se realiza incisión sobre la tuberosidad del calcáneo desplazadaSe introduce un clavo de Steinmann o de Gissane (3 mm)  realizar controles radiográficos Con la rodilla en flexión se reduce la fractura
  • 51.
    Después se reduceel ensanchamiento del calcáneoImportante liberar la parte inferior del maléolo perneo del contacto con algún fragmento óseo protruyente que se pueda introducir en el espacio de los tendones peroneos y dar una tenosinovitis crónica Realizar radiografía final para confirmar posición
  • 53.
    Tratamiento postoperatorio:Yeso enforma de zapatilla que incluya la porción saliente del clavoDeambulación en descarga 4-6 semanas se extrae el clavo y se aplica yeso desde la tuberosidad tibial hasta los dedosSi la rx muestra consolidación y relleno con hueso esponjoso = carga de peso (8-10 semanas despues de reducción) Campbell Cirugía Ortopédica 10° edición vól. IV
  • 56.
    Complicaciones y prevención:Necrosiscutánea, dehiscencia de la herida e infección Perdida de reducción de los fragmentos principalesReducción inadecuadaLesiones del nervio sural y de los tendones peroneosCampbell Cirugía Ortopédica 10° edición vól. IV
  • 57.
    Complicaciones tardías:Dolor cronicoArtrosissubastragalinapostraumaticaPinzamiento lateral subperoneal con o sin problemas en los tendones peroneosPinzamiento anterior del tobilloComplicaciones de los N tibial o suralAtrofia de la almohadilla grasaSx doloroso mediado por el simpático Campbell Cirugía Ortopédica 10° edición vól. IV
  • 58.
  • 59.
  • 62.
    Mantenga eltalón del pie del paciente en la palma de la mano, y apretar suavemente. dolor producido sugiere fractura de calcáneo.
  • 63.
    Este patrón particularde equimosis, conocido como el signo de Mondor, es patognomónico de la fractura de calcáneo.
  • 69.
    IIIIVVRADIOGRAFÍASSIMPLES TOMOGRAFÍApreoperatoria
  • 70.
  • 71.
    II BTC preoperatoriaIncongruencia subtalica post. : 90 %Conflicto maleolar externo : 80 %Lesión calcáneo-cuboidea : 40 %
  • 72.
  • 74.
    Crosby y fitzgibbony de Sanders Tipo I son fracturas no desplazadas. Tipo II son dos partes o dividir las fracturasTipo III son de tres partes o las fracturas de la depresión de división. Tipo IV fueron de cuatro partes o muy conminutas fracturas articulares. Basada en TAC: lesiones complejas
  • 76.
    Clasificaciones El Essex-LoprestiClasificación de las fracturas del calcáneo Tipo A - Tipo de Lengua Tipo B - Tipo Mixto depresión Essex-lopresti
  • 77.
    FRACTURA DE LACARILLA POSTERIORCARILLA ANTERIORASTRAGALO EMPUJA CARILLA ARTICULAR POSTERIOR
  • 78.
    La clasificación deROWE fracturas del calcáneo Tipo 1a - fractura medial o lateral Tuberosidad Tipo 1b - Fractura del sustentáculo del astrágalo Tipo 1c - Fractura de la apófisis anterior del calcáneo Tipo 2A - Pico fractura del calcáneo posterior Tipo 2b - fractura por avulsión que incluye la inserción del tendón de Aquiles Tipo 3 - fractura oblicua que no implican la articulación subastragalina tipo 4 - Fractura Consejo de participación de la articulación subastragalina Tipo 5 - Consejo de fractura con depresión articulación subastragalina y trituración
  • 80.
    De: (1997) 3DSuperAnatomy. Cleveland, OH: LifeART – TechPool Studios, Inc.
  • 81.
    COMENTARIO“ El hombreque se rompe el hueso del talón está acabado” Cotton y Wilson (1916) “Las fracturas del calcáneo son muy graves e incapacitantes, y el resultado final sigue siendo increíblemente malo” Conn (1935) “Los resultados de las fracturas aplastamiento del calcáneo son malísimos” Bankart (1942)Las fracturas de calcáneo, así como las del astrágalo revisten gravedad para la estabilidad futura de la articulación del tobillo, generando en un alto número de casos un tobillo doloroso e inestable. Las mejoras en la tecnología, especialmente en el campo de la tomografía computarizada, han permitido a los cirujanos seleccionar cuidadosamente las lesiones que son particularmente susceptibles a la intervención quirúrgica.mejora de los resultados a largo plazo en muchos casos.