Incrustar presentación
Descargar para leer sin conexión























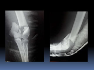
Este documento trata sobre las fracturas del tercio distal del húmero. Brevemente describe que representan el 0-5% de todas las fracturas, que la mayoría son del tipo C, y que pueden causar lesiones de tejidos blandos y nervios. Explica que en niños la línea de fractura suele ser supracondilea. Además, cubre temas como la anatomía relevante, mecanismos de lesión, clínica, diagnóstico, clasificación, y tratamiento quirúrgico y conservador de estas fracturas.





















