Dr. Mario A. Ruiz Cruz
TOMOGRAFÍA COMPUTARIZADA
PRINCIPIOS FÍSICOS
PRINCIPIOS BASICOS
• CONCEPTO FUNDA,MENTAL DE T, ESTRUCTURA INTERNA DE UN OBJETO PUEDE
RECONSTRUIRSE APARTIR DE MULTIPL ES PROYECCIONES DEL MISMO.
ATENUACION MEDIDA
VOXEL
• PIXEL
• Unidad de superficie de la imagen (picture element)
• Es la unidad de información más pequeña que puede procesar una computadora y
posee una absorción característica. Se trata de un punto en una rejilla rectilínea de
miles de puntos tratados individualmente, para formar una imagen en la pantalla de
la computadora de la TAC
• Mientras mayor es la cantidad de píxeles, mayor será la resolución de la imagen.
• La palabra resolución se usa generalmente para indicar el número de píxeles
mostrados horizontal o verticalmente en el monitor del equipo.
•
• Por ejemplo, una resolución de 512×1 024 significa una resolución horizontal de 512
píxeles y una resolución vertical de 1 024. Una imagen de la pantalla no es
solamente una representación 2D de la anatomía, sino que contiene información
sobre la atenuación media hística en una matriz.
• Es decir, una matriz de 1 024 x 1 024 tiene mayor resolución que una de 512 x 512
elementos (píxeles).
• VOXEL:
• Unidad de volumen de la imagen.
• Es la unidad de volumen que representa el píxel en el monitor de la TAC (píxel por
sección de corte) que es representada en la imagen plana por el píxel.
• Dentro de cada voxel se considera constante el coeficiente de atenuación del
objeto
• . Un corte (scan) tiene un grosor definido y se compone de una matriz de unidades
cúbicas o cuboideas (voxels) de idéntico tamaño
• MATRIZ:
• Es un espacio cuadriculado de filas y columnas que
determinan cada uno de los píxeles donde son
almacenados los coeficientes de atenuación en
correspondencia con la posición de cada voxel.
• SELECCIÓN DE VENTANA:
• PROESO DE SELECCIÓN DEL NUMERO DE TONOS DE GRISES.
• PROCESO PARA GENERAR UNA IMAGEN EN TC
• 1.- EXPLORACION O ADQUISICION DE DATOS
• 2.-RECONSTRUCCION
• 3.- REPRESENTACION
• 1.- ADQUISICION DE DATOS:
EXPLORACION EN DONDE SE INTEGRAN TODOS LOS DATOS
COMPONENENTES:
1.- SISTEMA DE EXPLORACION:
UTILIZAN ANILLOS DEZLIZANTES, DISPOSITIVOS ELECTROMECANICOS QUE
TRANSMITEN ENERGIA ELECTRICAATRAVEZ DE UNA SUPERFICIE GIRATORIA
2.- GENERADORES DE RAYOS X:
UTILIZAN GENERADORES DE ALTA FRECUENCIA
LAS FRECUENCIAS NORMALES OSCILAN ENTRE 5 Y 50 KHz
POTENCIA DEL GENERADOR: 15 KW- 60- 70 KW
30- 500 Ma.
GANTRY
ANILLOS DESLIZANTES
Son dispositivos electromecánicos formados por anillos eléctricamente conductores
(material conductor: aleación de plata y grafito) paralelos al eje del gantry o carcasa y
cepillos que transmiten impulsos eléctricos a través de una superficie en movimiento a
una fija.
• Conectan el tubo de Rx, los detectores y los circuitos de control
por contactos deslizantes enganchados sobre rieles que
permiten el paso de la corriente eléctrica y la rotación continua del
tubo de Rx y los detectores, manteniendo el contacto eléctrico con
los componentes fijos, lo que evita la necesidad de pausas para el
desenrollado de los cables como sucedía en anteriores
generaciones de TC.
• TUBO DE RAYOS X.
• ANODOS ROTATORIOS , CON METODOS DE REFRIGERACION ESPECIALES,
PARA MEJORAR LA CAPACIDAD DEL SISTEMA
LOS VALORES TIPICOS DE TUBO DE SCANERES VARIA ENTRE 2 MILLONES DE
UNIDADES DE CALOR ( MHU) DE CAPACIDAD DE ALMACENAMIENTO, CON
REFIRGERACION DE 300 000 UNIDADES DE CALOR ( Kmhu/)
• SISTEMA DE FILTRACION DE HACES DE RAYOS X:
• SE SUPONE QUE LA TC UTILIZA UN HAZ MONOCROMATICA , PERO ES LO
CONTRARIO, ES POLICORMATICO, PARA COMPENSAR EL HAZ DE RAYOS X SE
CONFORMA MEDIANTE FILTROS DE COMPENSACION
• OBJETIVO:
• A) ELIMINAR LOS RX DE LONGITUD DE ONDA LARGA, NO CONTRIBUYE ALA
IMAGEN DE TC, PERO SI ALA RADIACION; LOS RAYOS BLANCOS
• B) SUMINISTRA UN HAZ UNIFORME
• SISTEMA DE ADQUISICION DE DATOS:
• SON EL NUCLEO DE UN ESCANNER:
• 1.- SISTEMA DETECTOR
• 2.- LA CONVERSION ANALOGICODIGITAL
• 3.- PRETRATAMIENTO DE LOS DATOS
• FUNCIONES:
• 1.- CONVERTIR EL FLUJO DE LOS RX EN CORRIENTE ELECTRICA
• 2.- CONVERTIR LA CORRIENTE ELECTRICA EN TENSION
• 3.- CONVERTIR LA TENSION ANALOGICA EN FORMA DIGITAL
• 4.- RESTAR LA SEÑAL DE COMPENSACION DE FONDO
• 5.- PROPORCIONAR LA CONVERSION LOGARITMICA DE DATOS
CRISTALES DE WOLFROMATO
CADMIO, OXISULFURO DE
GADOLINEO
CONVIERTEN LOS RX EN LUZ
LUZ SE CONVIERTE EN CORRIENTE LA CORRIENTE EN TENSION
DATOS DIGITALES
• DETECTOR:
• Componentes del sistema de exploración (grupo de sensores) que mide la intensidad del
haz de radiación X atenuada y la transforman en impulsos eléctricos (voltaje). Este
voltaje es convertido en datos digitales (Raw Data).
• Los datos obtenidos en el canal del detector son transmitidos, perfil a perfil, a la
electrónica de este como señales eléctricas correspondientes a la atenuación real de los
rayos X. Estas señales son digitalizadas y transmitidas al procesador de la imagen. En
este punto, las imágenes son reconstruidas por medio del "principio de la tubería", que
consiste en preprocesado, convolución y retroproyección.
D: DETECTOR
T: TUBO RX
X: RAYOS X
R: ROTACION DEL GANTRY
• EVOLUCION DE LOS SISTEMAS DE ADQUISICION
• 1.- SISTEMA DE PRIMERA GENERACION
• SE BASABA EN LA GEOMTETRIA DE HACES PARALELOS, CON EL PRINCIPIO
DE TRASLACION- ROTACION
• SIST. RX Y SIST. DETECTORES MUEVEN EN FORMA CONTINUA REALIZA 160
DETERMINACIONES MULTIPLES
• PROCESO DE TRASLACION-ROTAC REPITE DURANTE 180 TRASLACIONES
PROPRCIONA 28 000 DETERMINACIONES DONDE SE REQUERIA 5 MINUTOS
• SISTEMA DE SEGUNDA GENERACION
• LA ADQUISICION DE DATOS Y LA GEOMETRIA DE ESCANER INCLUYERON LA
RECONSTRUCCION DE HAZ EN ABANICOCON DETECTORES LINEALES
TENIA ENTONCES LA VENTAJA DE REDUCCION DE TIEMPO.
• SISTEMA DE TERCERA GENERACION:
• UTILIZA UNA GEOMETRIA DE HAZ DIVERGENTE , ARCO DE DETECTORES Y UN
TUBO DE RX ROTAN EN FORMA CONTINUAALREDEDOR DEL PACIENTEHASTA
COMPLETAR 360 GRADOS
• SISTEMA DE CUARTA GENERACION:
• L A ADQUISICION DE DATOSN Y LA GEOMETRIA UTILIZAN UN HAZ DIVERGENTE DE
ANGULO ANCHO DE 50 55 GRADOS, EL TUBO ROTA CON UN ARCO DE
DETECTORES DE 360 GRADOS.
• TOMOGRAFIA AXIAL:
• DURANTE LA OBTENCION DE DATOS , LA MESA DEL PACIENTE
PERMANECE INMOVIL , CADA REVOLUCION DEL TUBO DE RX
ALREDEDOR DEL PACIENTE PRODUCE UN UNICO CONJUNTO DE
DATOS ( CORTE).
• PARA CREAR OTRO CORTE SE AVANZA LA MESA UN ESPACIO
DETERMINADO Y SE VUELVE A GIRAR OTRAVEZ EL TUBO RX.
• TC ESPIRAL / HELICOIDAL:
• LA MESA DEL PACIENTE PASA POR GANTRY , EN TANTO QUE LOS
TUBOS DE RX ( CUARTA GENERACION ) O LOS ONJUNTOS DE TUBO
DE RAYOS X / DETECTOR GIRAN CONTINUAMENTE ALREDEDOR DEL
PACIENTE, CREANDO UN VOLUMEN DE DATOS
• LOS SIST DE ADQ. DE DATOS, DEBE DE SER CAPACES DE RECOGER
GRANDES VOLUMENES DE DATOS A VELOCIDADES RAPIDAS.
• LA VELOCIDAD DE DATOS DE MUCHOS SISTEMAS SUPERAN 200
MEGABITS POR SEGUNDO.
• TC ESPIRAL MULTICORTE:
• UTILIZAN GEOMETRIA DE TERCERA GENERACION ( SOLO ROTACION) , DONDE SE
USAN UN DETECTOR DE DOBLE ARCIO
• DONDE SE OBTIENEN 2, 4 8 Y 16 IMÁGENES EN MENOS DE UN SEGUNDO
• COLIMACION:
• Se determina, en primera instancia, mediante el dispositivo
limitador del haz que determina el grosor del corte y otro a
nivel de los colimadores y se denominan:
• Colimación prepaciente.
• Colimación pospaciente.
• La colimación prepaciente emplea un colimador para
conformar el haz de rayos X y es la que define el grosor del
corte (de 0,5 a 10 mm), dependiendo del tipo de equipo y
marca comercial.
• La colimación pospaciente, también llamada colimación de
los detectores, tiene como función absorber la radiación
secundaria, como lo realiza el bucky en radiología. La
combinación de ambos colimadores asegura un grosor de
corte constante del haz de rayos X sobre el detector.
• RECONSTRUCCION:
• INCLUYE TODOS LOS COMPONENTES DEL SISTEMA NCESARIO PARA REALIZAR
CALCULOS MATEMATICOS QUE SE REQUIEREN PARA CONVERTIR LOS DATOS
DIGITALES
• ANTES DE LA RECONSTRUCCIÓN, SE TOMA EL LOGARITMO DE LA
INVERSA DE LA TRANSMISIÓN NORMALIZADA PARA CADA MEDIDA,
TC
Dr. Mario A. Ruiz Cruz R1RX
HISTORIA DE TAC
• 1917: El matemático J. Radon estableció los fundamentos matemáticos de la TAC
• 1963: El físico A.M Cormack indico la utilización practica de los resultados de Randon para
las aplicaciones en medicina
• 1967: Goodfrey. Hounsfield propuso la construcción del escáner EMI, fue la base para
desarrollar TAC.
Housfield desarrolla el primer TC listo para ser usado en forma comercial.
1972: Introduccion al mercado de los EEUU
LA UNIDAD HOUSFIED
• La unidad fundamental de la reconstrucción en 3D.
• TC solo nos proporciona un criterio para determinar de que esta compuesto un tejido; el
coeficiente de atenuación, medido en UH
• El principio relaciona el coeficiente de atenuación lineal con la intensidad de la fuente de
radiación
• It = I0.e- µ.X
• It: intensidad recibida tras atravesar un objeto finito con grosor X.
• Io; Intensidad de radiación emitida
• M: coeficiente de atenuacion lineal.
• Coeficiente de TC:
• Es el valor numérico del pixel como resultado de la reconstrucción de la imagen
• Es una medida de las propiedades de atenuación del tejido incluido en cada voxel
• Las UH, expresan en escala de grises con valores de – 1000 + 1000
• 6 grupos
• Denominadas ventanas de reconstrucción
• Rangos de visualizacion en UH.
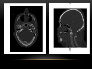
RECONSTRUCCIÓN MULTIPLANAR MPR
• No es reconstrucción tridimensional
• Es una deformación geométrica de los datos.
• Crea una imagen bidimensional con un punto de vista tridimensional
• Las reconstrucciones multiplanares deben de ser calculadas a partir de voxeles isotropicos (
voxel con lados iguales en 3 dimensiones)
RECONSTRUCCIÓN CURVA
• Es una variante de las rec. Multiplanares.
• Obj: mostrar un órgano que ocupa varios planos, en un solo plano.
• Desv: Dependen de la precisión de la curva.
• El resultado de la reconstrucción curva es aislado y mostrado en 2D.
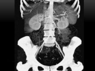
• 3 grandes sistemas de reconstrucción de imágenes:
• 1.- SSD ( reconst. Sup, sombreada)
• 2.- MIP ( Proy. Maxima Intensidad)
• 3.- VR ( Reconst de volumen)
SSD
• Fue la primera técnica reconst. En 3D
• Muestra la superficie de un órgano o hueso , definida en UH, por encima de un valor
determinado
• Muestra poca profundidad ya que no se observan las estructuras adentro o detrás de las
superficies.
PROYECCIÓN DE MÁXIMA INTENSIDAD MIP
• Selecciona un rango de cortes bidimensionales
• Permite realzar las estructuras con mayor atenuación, facilita una visualización rápida y
efectiva de estructuras densas ( vasos contrastados y huesos)
• Este procedmiento se emplea principamente para examinar v. sang contrastados
MINIP
• Proyección de mínima intensidad.
• Visualización voxeles de menor absorción.
• Utilidad valoración del parénquima pulmonar para la búsqueda de áreas de enfisema o
atrapamiento aéreo.
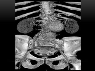
RECONSTRUCCIÓN DE VOLUMEN VR
• Toma todo el volumen de datos y suma la contribucion de cada voxel.
MAPAS DE COLOR
• Se asignan colores a los tejidos que se quieren visualizar.
• Asignan colores artificialmente .
Física en tomografía computarizada
Física en tomografía computarizada

Física en tomografía computarizada

  • 1.
    Dr. Mario A.Ruiz Cruz TOMOGRAFÍA COMPUTARIZADA PRINCIPIOS FÍSICOS
  • 2.
    PRINCIPIOS BASICOS • CONCEPTOFUNDA,MENTAL DE T, ESTRUCTURA INTERNA DE UN OBJETO PUEDE RECONSTRUIRSE APARTIR DE MULTIPL ES PROYECCIONES DEL MISMO.
  • 3.
  • 4.
    • PIXEL • Unidadde superficie de la imagen (picture element) • Es la unidad de información más pequeña que puede procesar una computadora y posee una absorción característica. Se trata de un punto en una rejilla rectilínea de miles de puntos tratados individualmente, para formar una imagen en la pantalla de la computadora de la TAC • Mientras mayor es la cantidad de píxeles, mayor será la resolución de la imagen. • La palabra resolución se usa generalmente para indicar el número de píxeles mostrados horizontal o verticalmente en el monitor del equipo. •
  • 5.
    • Por ejemplo,una resolución de 512×1 024 significa una resolución horizontal de 512 píxeles y una resolución vertical de 1 024. Una imagen de la pantalla no es solamente una representación 2D de la anatomía, sino que contiene información sobre la atenuación media hística en una matriz. • Es decir, una matriz de 1 024 x 1 024 tiene mayor resolución que una de 512 x 512 elementos (píxeles).
  • 6.
    • VOXEL: • Unidadde volumen de la imagen. • Es la unidad de volumen que representa el píxel en el monitor de la TAC (píxel por sección de corte) que es representada en la imagen plana por el píxel. • Dentro de cada voxel se considera constante el coeficiente de atenuación del objeto • . Un corte (scan) tiene un grosor definido y se compone de una matriz de unidades cúbicas o cuboideas (voxels) de idéntico tamaño
  • 7.
    • MATRIZ: • Esun espacio cuadriculado de filas y columnas que determinan cada uno de los píxeles donde son almacenados los coeficientes de atenuación en correspondencia con la posición de cada voxel.
  • 8.
    • SELECCIÓN DEVENTANA: • PROESO DE SELECCIÓN DEL NUMERO DE TONOS DE GRISES.
  • 9.
    • PROCESO PARAGENERAR UNA IMAGEN EN TC • 1.- EXPLORACION O ADQUISICION DE DATOS • 2.-RECONSTRUCCION • 3.- REPRESENTACION
  • 10.
    • 1.- ADQUISICIONDE DATOS: EXPLORACION EN DONDE SE INTEGRAN TODOS LOS DATOS COMPONENENTES: 1.- SISTEMA DE EXPLORACION: UTILIZAN ANILLOS DEZLIZANTES, DISPOSITIVOS ELECTROMECANICOS QUE TRANSMITEN ENERGIA ELECTRICAATRAVEZ DE UNA SUPERFICIE GIRATORIA 2.- GENERADORES DE RAYOS X: UTILIZAN GENERADORES DE ALTA FRECUENCIA LAS FRECUENCIAS NORMALES OSCILAN ENTRE 5 Y 50 KHz POTENCIA DEL GENERADOR: 15 KW- 60- 70 KW 30- 500 Ma. GANTRY
  • 11.
  • 12.
    Son dispositivos electromecánicosformados por anillos eléctricamente conductores (material conductor: aleación de plata y grafito) paralelos al eje del gantry o carcasa y cepillos que transmiten impulsos eléctricos a través de una superficie en movimiento a una fija.
  • 13.
    • Conectan eltubo de Rx, los detectores y los circuitos de control por contactos deslizantes enganchados sobre rieles que permiten el paso de la corriente eléctrica y la rotación continua del tubo de Rx y los detectores, manteniendo el contacto eléctrico con los componentes fijos, lo que evita la necesidad de pausas para el desenrollado de los cables como sucedía en anteriores generaciones de TC.
  • 14.
    • TUBO DERAYOS X. • ANODOS ROTATORIOS , CON METODOS DE REFRIGERACION ESPECIALES, PARA MEJORAR LA CAPACIDAD DEL SISTEMA
  • 16.
    LOS VALORES TIPICOSDE TUBO DE SCANERES VARIA ENTRE 2 MILLONES DE UNIDADES DE CALOR ( MHU) DE CAPACIDAD DE ALMACENAMIENTO, CON REFIRGERACION DE 300 000 UNIDADES DE CALOR ( Kmhu/)
  • 17.
    • SISTEMA DEFILTRACION DE HACES DE RAYOS X: • SE SUPONE QUE LA TC UTILIZA UN HAZ MONOCROMATICA , PERO ES LO CONTRARIO, ES POLICORMATICO, PARA COMPENSAR EL HAZ DE RAYOS X SE CONFORMA MEDIANTE FILTROS DE COMPENSACION • OBJETIVO: • A) ELIMINAR LOS RX DE LONGITUD DE ONDA LARGA, NO CONTRIBUYE ALA IMAGEN DE TC, PERO SI ALA RADIACION; LOS RAYOS BLANCOS • B) SUMINISTRA UN HAZ UNIFORME
  • 18.
    • SISTEMA DEADQUISICION DE DATOS: • SON EL NUCLEO DE UN ESCANNER: • 1.- SISTEMA DETECTOR • 2.- LA CONVERSION ANALOGICODIGITAL • 3.- PRETRATAMIENTO DE LOS DATOS
  • 19.
    • FUNCIONES: • 1.-CONVERTIR EL FLUJO DE LOS RX EN CORRIENTE ELECTRICA • 2.- CONVERTIR LA CORRIENTE ELECTRICA EN TENSION • 3.- CONVERTIR LA TENSION ANALOGICA EN FORMA DIGITAL • 4.- RESTAR LA SEÑAL DE COMPENSACION DE FONDO • 5.- PROPORCIONAR LA CONVERSION LOGARITMICA DE DATOS
  • 20.
    CRISTALES DE WOLFROMATO CADMIO,OXISULFURO DE GADOLINEO CONVIERTEN LOS RX EN LUZ LUZ SE CONVIERTE EN CORRIENTE LA CORRIENTE EN TENSION DATOS DIGITALES
  • 21.
    • DETECTOR: • Componentesdel sistema de exploración (grupo de sensores) que mide la intensidad del haz de radiación X atenuada y la transforman en impulsos eléctricos (voltaje). Este voltaje es convertido en datos digitales (Raw Data). • Los datos obtenidos en el canal del detector son transmitidos, perfil a perfil, a la electrónica de este como señales eléctricas correspondientes a la atenuación real de los rayos X. Estas señales son digitalizadas y transmitidas al procesador de la imagen. En este punto, las imágenes son reconstruidas por medio del "principio de la tubería", que consiste en preprocesado, convolución y retroproyección.
  • 22.
    D: DETECTOR T: TUBORX X: RAYOS X R: ROTACION DEL GANTRY
  • 24.
    • EVOLUCION DELOS SISTEMAS DE ADQUISICION • 1.- SISTEMA DE PRIMERA GENERACION • SE BASABA EN LA GEOMTETRIA DE HACES PARALELOS, CON EL PRINCIPIO DE TRASLACION- ROTACION • SIST. RX Y SIST. DETECTORES MUEVEN EN FORMA CONTINUA REALIZA 160 DETERMINACIONES MULTIPLES • PROCESO DE TRASLACION-ROTAC REPITE DURANTE 180 TRASLACIONES PROPRCIONA 28 000 DETERMINACIONES DONDE SE REQUERIA 5 MINUTOS
  • 26.
    • SISTEMA DESEGUNDA GENERACION • LA ADQUISICION DE DATOS Y LA GEOMETRIA DE ESCANER INCLUYERON LA RECONSTRUCCION DE HAZ EN ABANICOCON DETECTORES LINEALES TENIA ENTONCES LA VENTAJA DE REDUCCION DE TIEMPO.
  • 27.
    • SISTEMA DETERCERA GENERACION: • UTILIZA UNA GEOMETRIA DE HAZ DIVERGENTE , ARCO DE DETECTORES Y UN TUBO DE RX ROTAN EN FORMA CONTINUAALREDEDOR DEL PACIENTEHASTA COMPLETAR 360 GRADOS • SISTEMA DE CUARTA GENERACION: • L A ADQUISICION DE DATOSN Y LA GEOMETRIA UTILIZAN UN HAZ DIVERGENTE DE ANGULO ANCHO DE 50 55 GRADOS, EL TUBO ROTA CON UN ARCO DE DETECTORES DE 360 GRADOS.
  • 30.
    • TOMOGRAFIA AXIAL: •DURANTE LA OBTENCION DE DATOS , LA MESA DEL PACIENTE PERMANECE INMOVIL , CADA REVOLUCION DEL TUBO DE RX ALREDEDOR DEL PACIENTE PRODUCE UN UNICO CONJUNTO DE DATOS ( CORTE). • PARA CREAR OTRO CORTE SE AVANZA LA MESA UN ESPACIO DETERMINADO Y SE VUELVE A GIRAR OTRAVEZ EL TUBO RX.
  • 31.
    • TC ESPIRAL/ HELICOIDAL: • LA MESA DEL PACIENTE PASA POR GANTRY , EN TANTO QUE LOS TUBOS DE RX ( CUARTA GENERACION ) O LOS ONJUNTOS DE TUBO DE RAYOS X / DETECTOR GIRAN CONTINUAMENTE ALREDEDOR DEL PACIENTE, CREANDO UN VOLUMEN DE DATOS
  • 34.
    • LOS SISTDE ADQ. DE DATOS, DEBE DE SER CAPACES DE RECOGER GRANDES VOLUMENES DE DATOS A VELOCIDADES RAPIDAS. • LA VELOCIDAD DE DATOS DE MUCHOS SISTEMAS SUPERAN 200 MEGABITS POR SEGUNDO.
  • 35.
    • TC ESPIRALMULTICORTE: • UTILIZAN GEOMETRIA DE TERCERA GENERACION ( SOLO ROTACION) , DONDE SE USAN UN DETECTOR DE DOBLE ARCIO • DONDE SE OBTIENEN 2, 4 8 Y 16 IMÁGENES EN MENOS DE UN SEGUNDO
  • 36.
    • COLIMACION: • Sedetermina, en primera instancia, mediante el dispositivo limitador del haz que determina el grosor del corte y otro a nivel de los colimadores y se denominan: • Colimación prepaciente. • Colimación pospaciente.
  • 37.
    • La colimaciónprepaciente emplea un colimador para conformar el haz de rayos X y es la que define el grosor del corte (de 0,5 a 10 mm), dependiendo del tipo de equipo y marca comercial. • La colimación pospaciente, también llamada colimación de los detectores, tiene como función absorber la radiación secundaria, como lo realiza el bucky en radiología. La combinación de ambos colimadores asegura un grosor de corte constante del haz de rayos X sobre el detector.
  • 39.
    • RECONSTRUCCION: • INCLUYETODOS LOS COMPONENTES DEL SISTEMA NCESARIO PARA REALIZAR CALCULOS MATEMATICOS QUE SE REQUIEREN PARA CONVERTIR LOS DATOS DIGITALES • ANTES DE LA RECONSTRUCCIÓN, SE TOMA EL LOGARITMO DE LA INVERSA DE LA TRANSMISIÓN NORMALIZADA PARA CADA MEDIDA,
  • 40.
    TC Dr. Mario A.Ruiz Cruz R1RX
  • 41.
    HISTORIA DE TAC •1917: El matemático J. Radon estableció los fundamentos matemáticos de la TAC • 1963: El físico A.M Cormack indico la utilización practica de los resultados de Randon para las aplicaciones en medicina • 1967: Goodfrey. Hounsfield propuso la construcción del escáner EMI, fue la base para desarrollar TAC.
  • 42.
    Housfield desarrolla elprimer TC listo para ser usado en forma comercial. 1972: Introduccion al mercado de los EEUU
  • 43.
    LA UNIDAD HOUSFIED •La unidad fundamental de la reconstrucción en 3D. • TC solo nos proporciona un criterio para determinar de que esta compuesto un tejido; el coeficiente de atenuación, medido en UH • El principio relaciona el coeficiente de atenuación lineal con la intensidad de la fuente de radiación
  • 44.
    • It =I0.e- µ.X • It: intensidad recibida tras atravesar un objeto finito con grosor X. • Io; Intensidad de radiación emitida • M: coeficiente de atenuacion lineal.
  • 47.
    • Coeficiente deTC: • Es el valor numérico del pixel como resultado de la reconstrucción de la imagen • Es una medida de las propiedades de atenuación del tejido incluido en cada voxel
  • 48.
    • Las UH,expresan en escala de grises con valores de – 1000 + 1000 • 6 grupos
  • 49.
    • Denominadas ventanasde reconstrucción • Rangos de visualizacion en UH.
  • 50.
    RECONSTRUCCIÓN MULTIPLANAR MPR •No es reconstrucción tridimensional • Es una deformación geométrica de los datos. • Crea una imagen bidimensional con un punto de vista tridimensional
  • 51.
    • Las reconstruccionesmultiplanares deben de ser calculadas a partir de voxeles isotropicos ( voxel con lados iguales en 3 dimensiones)
  • 54.
    RECONSTRUCCIÓN CURVA • Esuna variante de las rec. Multiplanares. • Obj: mostrar un órgano que ocupa varios planos, en un solo plano. • Desv: Dependen de la precisión de la curva. • El resultado de la reconstrucción curva es aislado y mostrado en 2D.
  • 56.
    • 3 grandessistemas de reconstrucción de imágenes: • 1.- SSD ( reconst. Sup, sombreada) • 2.- MIP ( Proy. Maxima Intensidad) • 3.- VR ( Reconst de volumen)
  • 57.
    SSD • Fue laprimera técnica reconst. En 3D • Muestra la superficie de un órgano o hueso , definida en UH, por encima de un valor determinado
  • 60.
    • Muestra pocaprofundidad ya que no se observan las estructuras adentro o detrás de las superficies.
  • 61.
    PROYECCIÓN DE MÁXIMAINTENSIDAD MIP • Selecciona un rango de cortes bidimensionales • Permite realzar las estructuras con mayor atenuación, facilita una visualización rápida y efectiva de estructuras densas ( vasos contrastados y huesos)
  • 62.
    • Este procedmientose emplea principamente para examinar v. sang contrastados
  • 66.
    MINIP • Proyección demínima intensidad. • Visualización voxeles de menor absorción. • Utilidad valoración del parénquima pulmonar para la búsqueda de áreas de enfisema o atrapamiento aéreo.
  • 68.
    RECONSTRUCCIÓN DE VOLUMENVR • Toma todo el volumen de datos y suma la contribucion de cada voxel.
  • 72.
    MAPAS DE COLOR •Se asignan colores a los tejidos que se quieren visualizar. • Asignan colores artificialmente .