HEMANGIOMAS Por: Julio César Contreras Viveros 9º Semestre Médico Cirujano
DEFINICIÓN Los hemangiomas son los tumores benignos más frecuentes de la infancia, con una incidencia entre 10-12% de los menores de un año y de 2,5% en los recién nacidos, siendo más frecuentes en los prematuros. Son más afectadas las niñas, con una proporción que varía entre 6: 1 a 2: 1, con respecto a los niños, excepto en los prematuros en que la proporción es de 1:1.
 
Los hemangiomas son una neoplasia vascular benigna, originada en las células endoteliales: Es el tumor de partes blandas mas frecuente en la infancia. son lesiones  caracterizadas por un período de crecimiento, seguido por uno de estabilización e inactividad, para finalmente involucionar y desaparecer espontáneamente en la mayoría de los casos.
HEMANGIOMAS Los hemangiomas están presentes al nacimiento en un tercio de los casos, apareciendo el resto en el transcurso del primer mes de vida.   Aproximadamente 50-60% de los hemangiomas ha desaparecido a los 5 años de edad, 70% a los 7 años, 95-97% a los 10-12 años.
UBICACIÓN EN PLANOS DE LA PIEL HEMANGIOMA SUPERFICIAL: 60%. Se ubica en la dermis superficial. Se presenta como un solevantamiento o pápula, o bien como placa o nódulo rojo brillante, bien delimitada, firme de superficie lisa o abollonada.
 
HEMANGIOMA PROFUNDO:  15% se localiza en la dermis profunda y o tejido subcutáneo. Corresponde a una masa o nódulo blando, mal delimitado, de color piel o tinte azulado
HEMANGIOMA MIXTO:   22% Combinación de ambas formas anteriores.
TOPOGRAFÍA. El sitio de presentación más frecuente es cabeza y cuello (60%), seguido por tronco (25%) y extremidades (15%). Además, pueden presentarse en casi cualquier órgano interno. Estudios encontraron una incidencia de 11 ,5% de hemangiomas viscerales asociados a hemangiomas cutáneos.  Los lugares de presentación más frecuentes fueron la laringe, hígado y el tracto gastrointestinal y SNC. La mayoría de los hemangiomas son únicos, (80%) aunque entre un 15-30% de los niños pueden tener lesiones múltiples. 
La gran masa hepática vista en la TAC de abdomen es un hemangioma  cavernoso gigante. Microscopicamente se observan grandes espacios tapizados por endotelio, y separados por finos septos, patrón típico del  hemangioma cavernoso. Los pequeños hemangiomas hepáticos de hassta  2 cm o menos , son comunes, pero los mayores de 4 cm (hemangiomas gigantes)  son raros. 
 
HEMANGIOMAS CAVERNOSOS Los cavernomas son hamartomas vasculares benignos presentes entre el 0,1 y el 4% de la población general. La prevalencia real es difícil de estimar dada su sobreposición y coexistencia con otros tipos de malformaciones vasculares
Anatómicamente, las lesiones son intraparenquimatosas, bien circunscritas, lobuladas, de morfología similar a una frambuesa. Histológicamente aparecen como una masa de vasos irregularmente dilatados, conteniendo sangre en espacios limitados por endotelio vascular, sin las capas elástica ni muscular. La presencia de microhemorragias y cicatrización fibrosa es un hallazgo constante en los cavernomas, independientemente de si son o no sintomáticos, así como grados variables de gliosis en su periferia y calcificaciones. No existe tejido nervioso en el interior de la malformación.
TOPOGRAFÍA El lóbulo más afectado es el frontal (24%), seguido por el temporal (16%) y el parietal (9%), siendo la ubicación infratentorial relativamente rara (14%)
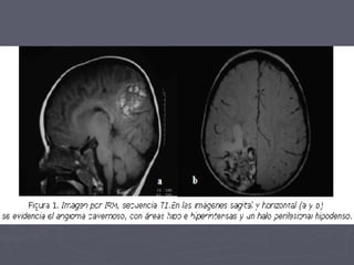
Fig- RMN cerebral evidenciando un típico hemangioma cavernoso  a nivel del lóbulo temporal izquierdo (flecha roja)
RM: Lesión con aspecto tipo nodular Hipointenso en T1, Rodeado de un Halo de Hemosiderina.
 
SÍNTOMAS Los síntomas más frecuentes de estas lesiones son crisis convulsivas. ictus secundarios a hemorragias y déficit neurológicos focales.  es menos frecuente la presentación con hidrocefalia. hipertensión intracraneana. alteraciones hipotalámicas. compromiso neurológico global 
TRATAMIENTO QUIRÚRGICO la cirugía tiene una clara indicación en los casos de hemorragia significativa y en epilepsia médicamente intratable, especialmente en lesiones accesibles quirúrgicamente. Más discutible es planteable en el caso de déficit focal progresivo y localización en sitio elocuente.  Las lesiones asintomáticas deben observarse solamente, en atención a que su mayor posibilidad de manifestación clínica es la epilepsia y la gran mayoría pueden ser controlables con tratamiento médico.
 

HEMANGIOMAS Y HEMANGIOMAS CAVERNOSOS

  • 1.
    HEMANGIOMAS Por: JulioCésar Contreras Viveros 9º Semestre Médico Cirujano
  • 2.
    DEFINICIÓN Los hemangiomasson los tumores benignos más frecuentes de la infancia, con una incidencia entre 10-12% de los menores de un año y de 2,5% en los recién nacidos, siendo más frecuentes en los prematuros. Son más afectadas las niñas, con una proporción que varía entre 6: 1 a 2: 1, con respecto a los niños, excepto en los prematuros en que la proporción es de 1:1.
  • 3.
  • 4.
    Los hemangiomas sonuna neoplasia vascular benigna, originada en las células endoteliales: Es el tumor de partes blandas mas frecuente en la infancia. son lesiones  caracterizadas por un período de crecimiento, seguido por uno de estabilización e inactividad, para finalmente involucionar y desaparecer espontáneamente en la mayoría de los casos.
  • 5.
    HEMANGIOMAS Los hemangiomasestán presentes al nacimiento en un tercio de los casos, apareciendo el resto en el transcurso del primer mes de vida.  Aproximadamente 50-60% de los hemangiomas ha desaparecido a los 5 años de edad, 70% a los 7 años, 95-97% a los 10-12 años.
  • 6.
    UBICACIÓN EN PLANOSDE LA PIEL HEMANGIOMA SUPERFICIAL: 60%. Se ubica en la dermis superficial. Se presenta como un solevantamiento o pápula, o bien como placa o nódulo rojo brillante, bien delimitada, firme de superficie lisa o abollonada.
  • 7.
  • 8.
    HEMANGIOMA PROFUNDO: 15% se localiza en la dermis profunda y o tejido subcutáneo. Corresponde a una masa o nódulo blando, mal delimitado, de color piel o tinte azulado
  • 9.
    HEMANGIOMA MIXTO: 22% Combinación de ambas formas anteriores.
  • 10.
    TOPOGRAFÍA. El sitiode presentación más frecuente es cabeza y cuello (60%), seguido por tronco (25%) y extremidades (15%). Además, pueden presentarse en casi cualquier órgano interno. Estudios encontraron una incidencia de 11 ,5% de hemangiomas viscerales asociados a hemangiomas cutáneos.  Los lugares de presentación más frecuentes fueron la laringe, hígado y el tracto gastrointestinal y SNC. La mayoría de los hemangiomas son únicos, (80%) aunque entre un 15-30% de los niños pueden tener lesiones múltiples. 
  • 11.
    La gran masahepática vista en la TAC de abdomen es un hemangioma cavernoso gigante. Microscopicamente se observan grandes espacios tapizados por endotelio, y separados por finos septos, patrón típico del hemangioma cavernoso. Los pequeños hemangiomas hepáticos de hassta 2 cm o menos , son comunes, pero los mayores de 4 cm (hemangiomas gigantes) son raros. 
  • 12.
  • 13.
    HEMANGIOMAS CAVERNOSOS Loscavernomas son hamartomas vasculares benignos presentes entre el 0,1 y el 4% de la población general. La prevalencia real es difícil de estimar dada su sobreposición y coexistencia con otros tipos de malformaciones vasculares
  • 14.
    Anatómicamente, las lesionesson intraparenquimatosas, bien circunscritas, lobuladas, de morfología similar a una frambuesa. Histológicamente aparecen como una masa de vasos irregularmente dilatados, conteniendo sangre en espacios limitados por endotelio vascular, sin las capas elástica ni muscular. La presencia de microhemorragias y cicatrización fibrosa es un hallazgo constante en los cavernomas, independientemente de si son o no sintomáticos, así como grados variables de gliosis en su periferia y calcificaciones. No existe tejido nervioso en el interior de la malformación.
  • 15.
    TOPOGRAFÍA El lóbulomás afectado es el frontal (24%), seguido por el temporal (16%) y el parietal (9%), siendo la ubicación infratentorial relativamente rara (14%)
  • 16.
    Fig- RMN cerebralevidenciando un típico hemangioma cavernoso a nivel del lóbulo temporal izquierdo (flecha roja)
  • 17.
    RM: Lesión conaspecto tipo nodular Hipointenso en T1, Rodeado de un Halo de Hemosiderina.
  • 18.
  • 19.
    SÍNTOMAS Los síntomasmás frecuentes de estas lesiones son crisis convulsivas. ictus secundarios a hemorragias y déficit neurológicos focales. es menos frecuente la presentación con hidrocefalia. hipertensión intracraneana. alteraciones hipotalámicas. compromiso neurológico global 
  • 20.
    TRATAMIENTO QUIRÚRGICO lacirugía tiene una clara indicación en los casos de hemorragia significativa y en epilepsia médicamente intratable, especialmente en lesiones accesibles quirúrgicamente. Más discutible es planteable en el caso de déficit focal progresivo y localización en sitio elocuente. Las lesiones asintomáticas deben observarse solamente, en atención a que su mayor posibilidad de manifestación clínica es la epilepsia y la gran mayoría pueden ser controlables con tratamiento médico.
  • 21.