INFECCIÓN URINARIA EN PEDIATRIA Servicio de Nefrología Hospital de Niños V.J.Vilela Setiembre 2009
CONCEPTOS Bacteriuria significativa Bacteriuria asintomática Cistitis Pielonefritis aguda Infección urinaria crónica
Uro + No es = Inf. Urinaria
Uro + No es = Inf. Urinaria Infección urinaria: Sedimento patológico + Clínica + Uro positivo Factores predisponentes ? Constipación Vulvovaginitis Higiene Hábito miccional Signos de inestabilidad vesical.
DATOS BACTERIOLÓGICOS GÉRMENES COMUNES E. Coli...........................................85% Proteus.........................................10% Klebsiella – Enterobacter...........5-10% Proteus indol +............................1-5% Estafilococo epidermidis............5% Enterococo..................................1-4% Estafilococo Aureus...................infrecuente Serratia – Pseudomona.............infrecuente
PATOGENIA Factores mecánicos Uretra corta femenina Obstrucción del tracto urinario ( estenosis de la vía urinaria, reflujo vesicoureteral, disfunción vesical) Factores de virulencia bacterianos Fimbrias o adhesinas de ciertas especies de patógenos Antígeno polisacárido K de la E. Coli, inhiben la fagocitosis Producción de hemolisinas o ureasas por otras especies
SÍNTOMAS CLÍNICOS DE INFECCIÓN URINARIA NEONATOS LACTANTES Y ESCOLARES   NIÑOS PEQUEÑOS 1.Rechazo del alimento  1.Dolor abdominal  1.Disuria 2.Sepsis 2.Vómitos   2.Polaquiuria 3.Hiper o hipotonía   3.Diarrea  3.Dolor abdominal 4.Mal progreso de peso 4.Detención del crecimiento  4.Alteración de la    micción 5.Hiperbilirrubinemia  5.Trastornos miccionales 5.Orina maloliente 6.Diarrea   6.Orina maloliente 6.Fiebre 7.Vómitos   7. Deshidratación 7.Constipación 8.Irritabilidad 9.Distensión abdominal ADOLESCENTES   1.Disuria   2.Polaquiuria   3.dolor abdominal o en flancos   4.Fiebre  5.Escalofríos 6.Dolor lumbar  7.Orina maloliente
Diagnóstico De Infección Urinaria Por Urocultivo  (1) TÉCNICA  RESULTADO  DIAGNÓSTICO   AL ACECHO (chorro medio)   >10 4  UFC/ml......................... ITU De elección: para  <10 3  UFC/ml..........................no ITU niños que controlan  10 3  - 10 5  UFC/ml..................no  interpretable  o no esfínteres (Conviene 2do. Uroc.)  PUNCIÓN VESICAL SUPRAPÚBICA De elección:  1 UFC/ml.......................ITU -RN y quizás  (Enterobacteria) primeros 2 o 3  10 3  UFC/ml meses de vida  (Cocos G(+) ) ..................ITU  -Necesidad de confirmar diag. -Varones con pre- pucio no rebatible.
Diagnóstico De Infección Urinaria Por Urocultivo SONDA VESICAL De elección:  >10 3  10 4UFC/ml  germen  único  ITU Niños con vejiga neurogénica  <10 3 UFC/ml  no ITU BOLSA COLECTORA No es método útil...............altísimo riesgo de contaminación,  confirmar sospecha de ITU por otro método
ALGORRITMO PARA LA INTERPRETACIÓN DE ANÁLISIS DE ORINA SOLO PIURIA  BACT. EN ORINA  PIURIA    Y  BACT. PRESENTES ENVIAR UROCULT.  ENVIAR  UROCULT.  ENVIAR UROCULT.     CULTIVO POSITIVO NEGATIVO  POSITIVO  REPETIR  ORINA    Piuria y  Solo bacterias  Nada bacterias PIURIA NO  I. U. TTO.  BACTERIURIA  CONTAMI-  I. U.  TTO.  ESPECIFICA  ASINTOM.  NACIÓN
Imágenes  Evaluar qué espero de cada método y pedir  lo que me puede dar, según lo que busco:  1 o 2 riñones ? Normales en tamaño, parénquima y ubicación ? Hay signos de obstrucción del tracto urinario  y/o estasis ? Hay reflujo vesicoureteral ?
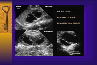
Como detectamos anormalidades de los riñones o de las vías urinarias La ecografia renal permite identificar la morfología renal  y es útil para establecer calidad de las vías urinarias. Permite observar cálices y la pelvis pudiendo medir los diámetros anteroposteriores y espesor del parénquima
 
 
Los infantes y niños presentan un riesgo mayor que los mayores de incurrir en daño renal agudo con  una infección urinaria. La incidencia de reflujo es mayor en este grupo etario  y la severidad es variable pudiendo presentarse formas de reflujo intrarrenal  o pielotubulares
 
La SAP divide los reflujos vesicoureterales en cuatro grados de acuerdo a la extensión del mismo y el compromiso renal. Se consideran que los reflujos de menor grado presentan altas chances de resolución espontánea a los cinco años de edad sostenidos hasta ese término con tratamiento profiláctico antibiótico.
  En las siguientes  imágenes podemos  evidenciar como se manifiestan los diversos   grados de reflujos según estudio CUMGS.
 
El diagnostico precoz garantiza la oportunidad de prevenir el daño renal. La demora en instituir  el tratamiento de la pielonefritis aguda conlleva a riesgo aumentado de daño renal . Localiza el sitio de IU el recuento de blancos, la PCR o la velocidad de eritrosedimentación. Sólo da evidencia confirmatoria estudios por imágenes tales como  DMSA que determina la presencia de áreas de hipocaptación correspondientes a escaras renales.
 
 
CUANDO Y A QUIEN ESTUDIAR Los niños hospitalizados deben efectuar ecografía renal y la CUMGS se puede retrasar a tres o cuatro semanas de transcurrida la I.U. (dejando siempre con profilaxis hasta descartar R.V.U. (reflujo vesicoureteral). La CUMGS debe hacerse siempre con urocultivo negativo y con profilaxis. Todos los menores de 2 años deben ser estudiados independientemente del sexo. Mayores de 2 años con IU febril si es posible realizar DMSA a los 15 días priorizar esto y luego si se confirma pielonefritis realizar CUMGS.
Si no es posible realizar DMSA y la IU fue febril o recurrente también debe realizarse CUMGS- Todo paciente con cistitis primer episodio, debe realizar ecografía renal y si ésta muestra dilatación de la vía urinaria debe completar con CUMGS. Los niños con reflujo deben completar con D.M.S.A. (centellografía) que detecta formación de tejido cicatrizal renal, cuantifica la función renal, a seis meses del episodio. Cuando se demuestra hidronefrosis en ausencia de reflujo debe realizarse D.T.P.A con diuréticos. Ante IU recurrente no febril , con sospecha de inestabilidad vesical, realizar RX de columna lumbosacra para estudio de espina bífida.
CRITERIOS DE INTERNACIÓN MENORES DE 3 MESES Y SEGÚN CUADRO CLÍNICO A LOS MENORES DE 6 MESES. LOS PACIENTES QUE PRESENTEN SIGNOS CLÍNICOS DE BACTERIEMIAS O DE PIELONEFRITES GRAVE. LOS PACIENTES DESHIDRATADOS, LACTANTES POR VÓMITOS, DIARREA O POR POLIURIA. LOS PACIENTES CON FALLO RENAL ASOCIADO.
Los infantes y niños pequeños con IU requieren una especial atención debido a la oportunidad de prevenir daño renal. Las IU deberían  ser cuidadosamente tratadas en niños con obstrucción o severo RVU. Debido a que los infantes y niños pequeños con IU pueden tener enfermedad febril y no presentar infección localizada, podría haber una demora en el diagnóstico y tratamiento de la IU. La demora en instituir un tratamiento apropiado de la pielonefritis aguda incrementa el riesgo de generar daño renal. El riesgo de daño renal incrementa así como el número de recurrencias.
TRATAMIENTO INICIAL PACIENTES HOSPITALIZADOS CEFTRIAXONE 50-80MG/k/DÍA Ó CEFOTAXIME 100-150mg/K/día PACIENTES AMBULATORIOS CEFALOSPORINAS 1º GEN.(CEFADROXILO)  30mg/k/día v.o C/12hs ó CEFALEXINA   50mg/K/día c/6-8hs  ó CEFTRIAXONE   50-80mg/K/día  1/día NITROFURANTOINA   5-8-mg/K/día c/8hs T.M.S   6/30mg/k/día
PREVENCIÓN INDICACIONES Niños con R.V.U. I.U. recidivante Niños con anomalías estructurales Niños con alteraciones urodinámicas funcionales Niños con malformación urinaria de diagnostico Prenatal Niños con primer episodio de I.U. hasta ser estudiado
Profilaxis INDICACIONES Niños con R.V.U. I.U. recidivante Niños con anomalías estructurales Niños con alteraciones urodinámicas funcionales Niños con malformación urinaria de diagnostico Prenatal Niños con primer episodio de I.U. hasta ser estudiado Se utiliza para prevención : los nitrofuranos a 1 –2 mg/Kg/día  ó cotrimoxasol a 2 mg/Kg/día
La I.U. es una de las enfermedades bacterianas mas frecuentes en la infancia. Permite reconocer malformaciones de la vía urinaria. Los pacientes con pielonefritis pueden desarrollar escaras con complicaciones en la vida adulta.  El diagnostico es clínico-bacteriológico. La ecografía es el estudio inicial, mientras que la CUMGS es el método de elección para detectar R.V.U. La cetellografia diagnostica, mediante defectos de captación, la presencia de pielonefritis.
El tratamiento no solo erradica los microorganismos sino que además previene el daño renal. Puede ser efectivo, en la cistitis un tratamiento corto de cinco días, pero la pielonefritis requiere de diez a catorce días. La profilaxis esta indicada en niños con reflujos o con otras mal formaciones o defectos funcionales de la vía urinaria demostrados.
Caso clinico T.I.  Sexo:masc. FN: 05/05/2005  Paciente de 7 dias de vida que ingresa a Neonatología por presentar ictericia generalizada,rechazo al alimento, disminución de peso y fiebre. Antecedentes personales : embarazo controlado,parto eutócico,PN:3400 Apgar 9/10,GS:0RH+VDRL(-) .Sin antecedentes fliares. de jerarquia.  A su ingreso se encuentra irritable, febril(38ºC), ictérico, deposiciones liquidas, abdomen tenso, doloroso a la palpación profunda y superficial , regular perfusión. Diuresis (+). Buena suficiencia cardiorrespiratoria SS2/6. P:3145 TA:77/48. Se coloca SNG (con débito bilioso con algunas estrias porráceas) e HP:120/3/1.
Rx de Abdomen : importantes niveles intestinales difusos. PL: normal Se realizan cultivos(Hemo-Uro(PSP)-Copro)  y con diagnóstico de enteritis comienza ATB (ampi 100mg/k/dia-genta 5mg/k/dia). Laboratorio :  GB:15.100mil/mm3(0-78-2-0-16-4) GR:6.30millones/mm3 Hto:59.8 Hb:19g/dl plaq:280mil/mm3 PCR:382mg/l Glic:133mg% Urea:65mg% Creat:0.8mg/%  Bilirrubinemia: T:20.8mg% D:0.5mg% I:20.3mg% TGO:25mUI/ml TGP:10mUI/ml  EAB:ph:743 PO2:45mmHg PCO2:37mmHg Bic:23.9meq/l EB:-0.3meq/l  Orina : ph:5  D:1010  prot:trazas  Hb(++)  leuco(++++)  pioc(+++)cel(++) Hties(++).  ECOGRAFIA : RD: Aumentado de tamaño, parenquima ecogénico, se observa hidronefrosis moderada con dilatación del uréter homolateral en todo su trayecto. RI:s/p Vejiga:s/p.
CUGM : no se visualiza reflujo vésico ureteral activo ni pasivo. EstudioDinámico Renal (DTPA-DMSA) :  Marcada alteración anatómica y  de captación para el riñon dcho.(8% de captación) RI: normal
Estado Actual : 11meses  P:9800(P50) T:72cm TA:90/50  Buen desarrollo pondoestatural . No ha presentado episodios de IU.  Continúa en profilaxis ATB .  Urologia realizará cirugía para  el año de edad Laboratorio Actual :  GB:5.65 mil/mm3(31-4-1-55-9) GR:4.98millones/mm3 Hb:12.3g/dl Hto:35.9%  plaq:334mil/mm3  Glic:83mg/dl urea:31mg% Creat:0.40mg% Ca:10.4mg% P:5.7mg% FA: 527UI/l  EAB: ph7.32 PO2:73mmHg PCO2:29mmHg Bic:18.4meq/l EB:-4.6meq/l . Na:136meq/l K:4.4meq/l Cl:104meq/l  Orina :ph 5  D1020  prot(-)  HB(-)  Leuco+/-  cel+/-  Urocultivo : negativo
Gracias por su atención!!!!
 

Infeccion Urinaria 2009

  • 1.
    INFECCIÓN URINARIA ENPEDIATRIA Servicio de Nefrología Hospital de Niños V.J.Vilela Setiembre 2009
  • 2.
    CONCEPTOS Bacteriuria significativaBacteriuria asintomática Cistitis Pielonefritis aguda Infección urinaria crónica
  • 3.
    Uro + Noes = Inf. Urinaria
  • 4.
    Uro + Noes = Inf. Urinaria Infección urinaria: Sedimento patológico + Clínica + Uro positivo Factores predisponentes ? Constipación Vulvovaginitis Higiene Hábito miccional Signos de inestabilidad vesical.
  • 5.
    DATOS BACTERIOLÓGICOS GÉRMENESCOMUNES E. Coli...........................................85% Proteus.........................................10% Klebsiella – Enterobacter...........5-10% Proteus indol +............................1-5% Estafilococo epidermidis............5% Enterococo..................................1-4% Estafilococo Aureus...................infrecuente Serratia – Pseudomona.............infrecuente
  • 6.
    PATOGENIA Factores mecánicosUretra corta femenina Obstrucción del tracto urinario ( estenosis de la vía urinaria, reflujo vesicoureteral, disfunción vesical) Factores de virulencia bacterianos Fimbrias o adhesinas de ciertas especies de patógenos Antígeno polisacárido K de la E. Coli, inhiben la fagocitosis Producción de hemolisinas o ureasas por otras especies
  • 7.
    SÍNTOMAS CLÍNICOS DEINFECCIÓN URINARIA NEONATOS LACTANTES Y ESCOLARES NIÑOS PEQUEÑOS 1.Rechazo del alimento 1.Dolor abdominal 1.Disuria 2.Sepsis 2.Vómitos 2.Polaquiuria 3.Hiper o hipotonía 3.Diarrea 3.Dolor abdominal 4.Mal progreso de peso 4.Detención del crecimiento 4.Alteración de la micción 5.Hiperbilirrubinemia 5.Trastornos miccionales 5.Orina maloliente 6.Diarrea 6.Orina maloliente 6.Fiebre 7.Vómitos 7. Deshidratación 7.Constipación 8.Irritabilidad 9.Distensión abdominal ADOLESCENTES 1.Disuria 2.Polaquiuria 3.dolor abdominal o en flancos 4.Fiebre 5.Escalofríos 6.Dolor lumbar 7.Orina maloliente
  • 8.
    Diagnóstico De InfecciónUrinaria Por Urocultivo (1) TÉCNICA RESULTADO DIAGNÓSTICO AL ACECHO (chorro medio) >10 4 UFC/ml......................... ITU De elección: para <10 3 UFC/ml..........................no ITU niños que controlan 10 3 - 10 5 UFC/ml..................no interpretable o no esfínteres (Conviene 2do. Uroc.) PUNCIÓN VESICAL SUPRAPÚBICA De elección: 1 UFC/ml.......................ITU -RN y quizás (Enterobacteria) primeros 2 o 3 10 3 UFC/ml meses de vida (Cocos G(+) ) ..................ITU -Necesidad de confirmar diag. -Varones con pre- pucio no rebatible.
  • 9.
    Diagnóstico De InfecciónUrinaria Por Urocultivo SONDA VESICAL De elección: >10 3 10 4UFC/ml germen único ITU Niños con vejiga neurogénica <10 3 UFC/ml no ITU BOLSA COLECTORA No es método útil...............altísimo riesgo de contaminación, confirmar sospecha de ITU por otro método
  • 10.
    ALGORRITMO PARA LAINTERPRETACIÓN DE ANÁLISIS DE ORINA SOLO PIURIA BACT. EN ORINA PIURIA Y BACT. PRESENTES ENVIAR UROCULT. ENVIAR UROCULT. ENVIAR UROCULT. CULTIVO POSITIVO NEGATIVO POSITIVO REPETIR ORINA Piuria y Solo bacterias Nada bacterias PIURIA NO I. U. TTO. BACTERIURIA CONTAMI- I. U. TTO. ESPECIFICA ASINTOM. NACIÓN
  • 11.
    Imágenes Evaluarqué espero de cada método y pedir lo que me puede dar, según lo que busco: 1 o 2 riñones ? Normales en tamaño, parénquima y ubicación ? Hay signos de obstrucción del tracto urinario y/o estasis ? Hay reflujo vesicoureteral ?
  • 12.
    Como detectamos anormalidadesde los riñones o de las vías urinarias La ecografia renal permite identificar la morfología renal y es útil para establecer calidad de las vías urinarias. Permite observar cálices y la pelvis pudiendo medir los diámetros anteroposteriores y espesor del parénquima
  • 13.
  • 14.
  • 15.
    Los infantes yniños presentan un riesgo mayor que los mayores de incurrir en daño renal agudo con una infección urinaria. La incidencia de reflujo es mayor en este grupo etario y la severidad es variable pudiendo presentarse formas de reflujo intrarrenal o pielotubulares
  • 16.
  • 17.
    La SAP dividelos reflujos vesicoureterales en cuatro grados de acuerdo a la extensión del mismo y el compromiso renal. Se consideran que los reflujos de menor grado presentan altas chances de resolución espontánea a los cinco años de edad sostenidos hasta ese término con tratamiento profiláctico antibiótico.
  • 18.
    Enlas siguientes imágenes podemos evidenciar como se manifiestan los diversos grados de reflujos según estudio CUMGS.
  • 19.
  • 20.
    El diagnostico precozgarantiza la oportunidad de prevenir el daño renal. La demora en instituir el tratamiento de la pielonefritis aguda conlleva a riesgo aumentado de daño renal . Localiza el sitio de IU el recuento de blancos, la PCR o la velocidad de eritrosedimentación. Sólo da evidencia confirmatoria estudios por imágenes tales como DMSA que determina la presencia de áreas de hipocaptación correspondientes a escaras renales.
  • 21.
  • 22.
  • 23.
    CUANDO Y AQUIEN ESTUDIAR Los niños hospitalizados deben efectuar ecografía renal y la CUMGS se puede retrasar a tres o cuatro semanas de transcurrida la I.U. (dejando siempre con profilaxis hasta descartar R.V.U. (reflujo vesicoureteral). La CUMGS debe hacerse siempre con urocultivo negativo y con profilaxis. Todos los menores de 2 años deben ser estudiados independientemente del sexo. Mayores de 2 años con IU febril si es posible realizar DMSA a los 15 días priorizar esto y luego si se confirma pielonefritis realizar CUMGS.
  • 24.
    Si no esposible realizar DMSA y la IU fue febril o recurrente también debe realizarse CUMGS- Todo paciente con cistitis primer episodio, debe realizar ecografía renal y si ésta muestra dilatación de la vía urinaria debe completar con CUMGS. Los niños con reflujo deben completar con D.M.S.A. (centellografía) que detecta formación de tejido cicatrizal renal, cuantifica la función renal, a seis meses del episodio. Cuando se demuestra hidronefrosis en ausencia de reflujo debe realizarse D.T.P.A con diuréticos. Ante IU recurrente no febril , con sospecha de inestabilidad vesical, realizar RX de columna lumbosacra para estudio de espina bífida.
  • 25.
    CRITERIOS DE INTERNACIÓNMENORES DE 3 MESES Y SEGÚN CUADRO CLÍNICO A LOS MENORES DE 6 MESES. LOS PACIENTES QUE PRESENTEN SIGNOS CLÍNICOS DE BACTERIEMIAS O DE PIELONEFRITES GRAVE. LOS PACIENTES DESHIDRATADOS, LACTANTES POR VÓMITOS, DIARREA O POR POLIURIA. LOS PACIENTES CON FALLO RENAL ASOCIADO.
  • 26.
    Los infantes yniños pequeños con IU requieren una especial atención debido a la oportunidad de prevenir daño renal. Las IU deberían ser cuidadosamente tratadas en niños con obstrucción o severo RVU. Debido a que los infantes y niños pequeños con IU pueden tener enfermedad febril y no presentar infección localizada, podría haber una demora en el diagnóstico y tratamiento de la IU. La demora en instituir un tratamiento apropiado de la pielonefritis aguda incrementa el riesgo de generar daño renal. El riesgo de daño renal incrementa así como el número de recurrencias.
  • 27.
    TRATAMIENTO INICIAL PACIENTESHOSPITALIZADOS CEFTRIAXONE 50-80MG/k/DÍA Ó CEFOTAXIME 100-150mg/K/día PACIENTES AMBULATORIOS CEFALOSPORINAS 1º GEN.(CEFADROXILO) 30mg/k/día v.o C/12hs ó CEFALEXINA 50mg/K/día c/6-8hs ó CEFTRIAXONE 50-80mg/K/día 1/día NITROFURANTOINA 5-8-mg/K/día c/8hs T.M.S 6/30mg/k/día
  • 28.
    PREVENCIÓN INDICACIONES Niñoscon R.V.U. I.U. recidivante Niños con anomalías estructurales Niños con alteraciones urodinámicas funcionales Niños con malformación urinaria de diagnostico Prenatal Niños con primer episodio de I.U. hasta ser estudiado
  • 29.
    Profilaxis INDICACIONES Niñoscon R.V.U. I.U. recidivante Niños con anomalías estructurales Niños con alteraciones urodinámicas funcionales Niños con malformación urinaria de diagnostico Prenatal Niños con primer episodio de I.U. hasta ser estudiado Se utiliza para prevención : los nitrofuranos a 1 –2 mg/Kg/día ó cotrimoxasol a 2 mg/Kg/día
  • 30.
    La I.U. esuna de las enfermedades bacterianas mas frecuentes en la infancia. Permite reconocer malformaciones de la vía urinaria. Los pacientes con pielonefritis pueden desarrollar escaras con complicaciones en la vida adulta. El diagnostico es clínico-bacteriológico. La ecografía es el estudio inicial, mientras que la CUMGS es el método de elección para detectar R.V.U. La cetellografia diagnostica, mediante defectos de captación, la presencia de pielonefritis.
  • 31.
    El tratamiento nosolo erradica los microorganismos sino que además previene el daño renal. Puede ser efectivo, en la cistitis un tratamiento corto de cinco días, pero la pielonefritis requiere de diez a catorce días. La profilaxis esta indicada en niños con reflujos o con otras mal formaciones o defectos funcionales de la vía urinaria demostrados.
  • 32.
    Caso clinico T.I. Sexo:masc. FN: 05/05/2005 Paciente de 7 dias de vida que ingresa a Neonatología por presentar ictericia generalizada,rechazo al alimento, disminución de peso y fiebre. Antecedentes personales : embarazo controlado,parto eutócico,PN:3400 Apgar 9/10,GS:0RH+VDRL(-) .Sin antecedentes fliares. de jerarquia. A su ingreso se encuentra irritable, febril(38ºC), ictérico, deposiciones liquidas, abdomen tenso, doloroso a la palpación profunda y superficial , regular perfusión. Diuresis (+). Buena suficiencia cardiorrespiratoria SS2/6. P:3145 TA:77/48. Se coloca SNG (con débito bilioso con algunas estrias porráceas) e HP:120/3/1.
  • 33.
    Rx de Abdomen: importantes niveles intestinales difusos. PL: normal Se realizan cultivos(Hemo-Uro(PSP)-Copro) y con diagnóstico de enteritis comienza ATB (ampi 100mg/k/dia-genta 5mg/k/dia). Laboratorio : GB:15.100mil/mm3(0-78-2-0-16-4) GR:6.30millones/mm3 Hto:59.8 Hb:19g/dl plaq:280mil/mm3 PCR:382mg/l Glic:133mg% Urea:65mg% Creat:0.8mg/% Bilirrubinemia: T:20.8mg% D:0.5mg% I:20.3mg% TGO:25mUI/ml TGP:10mUI/ml EAB:ph:743 PO2:45mmHg PCO2:37mmHg Bic:23.9meq/l EB:-0.3meq/l Orina : ph:5 D:1010 prot:trazas Hb(++) leuco(++++) pioc(+++)cel(++) Hties(++). ECOGRAFIA : RD: Aumentado de tamaño, parenquima ecogénico, se observa hidronefrosis moderada con dilatación del uréter homolateral en todo su trayecto. RI:s/p Vejiga:s/p.
  • 34.
    CUGM : nose visualiza reflujo vésico ureteral activo ni pasivo. EstudioDinámico Renal (DTPA-DMSA) : Marcada alteración anatómica y de captación para el riñon dcho.(8% de captación) RI: normal
  • 35.
    Estado Actual :11meses P:9800(P50) T:72cm TA:90/50 Buen desarrollo pondoestatural . No ha presentado episodios de IU. Continúa en profilaxis ATB . Urologia realizará cirugía para el año de edad Laboratorio Actual : GB:5.65 mil/mm3(31-4-1-55-9) GR:4.98millones/mm3 Hb:12.3g/dl Hto:35.9% plaq:334mil/mm3 Glic:83mg/dl urea:31mg% Creat:0.40mg% Ca:10.4mg% P:5.7mg% FA: 527UI/l EAB: ph7.32 PO2:73mmHg PCO2:29mmHg Bic:18.4meq/l EB:-4.6meq/l . Na:136meq/l K:4.4meq/l Cl:104meq/l Orina :ph 5 D1020 prot(-) HB(-) Leuco+/- cel+/- Urocultivo : negativo
  • 36.
    Gracias por suatención!!!!
  • 37.

Notas del editor

  • #5 Habiendo obtenido un diagnóstico confiable de infección urinaria, uno debe hacerse tres preguntas: · si hay compromiso del parénquima renal, ya sea si hay malformaciones, impacto pielonefrítico agudo o crónico · si hay reflujo vesicoureteral y de que grado, si es primario o secundario · si hay obstrucción del tracto urinario, cual es su localización y magnitud. - Otro concepto que cambió, es que &amp;quot;cultivo positivo  es igual a infección&amp;quot;. La definición de infección urinaria es &amp;quot; alteraciones que se producen en el árbol urinario como consecuencia de una bacteriuria significativa&amp;quot;. A veces tenemos bacteriurias sin tener infección. O sea, bacteriuria asintomática, con un recuento mayor de 10 a la quinta, con sedimentos normales NO SE TRATAN. Tratar una bacteriuria asintomática es simplemente generar multi resistencias. Tanto cambió el concepto, que no hacemos más urocultivos de rutina. Después del primer episodio de una infección urinaria que uno lo trata o lo pone en quimio, no hacemos cultivos de rutina, puesto que por más que encontremos algún germen, si el niño está asintomático, no lo tratamos.
  • #12 - Habiendo obtenido un diagnóstico confiable de infección urinaria, uno debe hacerse tres preguntas: · si hay compromiso del parénquima renal, ya sea si hay malformaciones, impacto pielonefrítico agudo o crónico · si hay reflujo vesicoureteral y de que grado, si es primario o secundario · si hay obstrucción del tracto urinario, cual es su localización y magnitud. - la ecografía, que es muy útil para el diagnóstico de las obstrucciones persistentes , no así para las funcionales y transitorias de los reflujos. La eco es independiente de la función y no nos identifica si existe función o no.  Los signos de dilatación por encima de la obstrucción es lo que nos permite inferir en donde se encuentra la misma. El aumento del volumen y de ecogenicidad, la pérdida de diferenciación entre corteza y médula, o imágenes quísticas, son todos signos que podemos demostrar por la ecografía. - El reflujo vesico ureteral se puede asociar muchas veces a las uropatías obstructivas y el mejor método para estudiarlo es la uretro cisto. Es el método de elección para demostrar la presencia de mal implantaciones ureterales, de ureteroceles, divertículos funcionales, y es el único estudio que nos da una imagen anatómica precisa de la uretra, hecho fundamental en varones para descattar la presencia de válvulas anómalas. También nos da datos precisos de la vejiga .