INFERTILIDAD Evaluación de la pareja  Infértil Dr. Víctor Figueroa Z. Instituto de Ginecología y Fertilidad
INFERTILIDAD Definiciones : Fertilidad Esterilidad Infertilidad Inf. Primaria Inf. Secundaria Subfertilidad
INFERTILIDAD Fertilidad Humana : Riesgo de embarazo por ciclo ovulatorio ± 25 % Tiempo requerido para la concepción : 3 meses  57% 6 meses  72% 12 meses  80% 24 meses  90% Incidencia : 10 %
INFERTILIDAD Factores que afectan la fertilidad Edad : 20 – 30 años  7 % 30 – 34 años  15 % 35 – 39 años  20 % 40 – 44 años  25 %
INFERTILIDAD Factores que afectan la fertilidad Edad : Aborto espontáneo según edad < 30 años  10% > 35 años  18% > 40 años  34%
INFERTILIDAD Se considera infértil a la pareja que luego de 2 años de RS no logra un embarazo. Infertilidad Mujer  Hombre 40 %   20 %  26 % ESCA 14 %
INFERTILIDAD -  Evaluación Objetivos : Buscar y corregir causas de infertilidad Dar información adecuada Aconsejar cuando iniciar o suspender investigación y proponer adopción
INFERTILIDAD  - Evaluación Historia clínica Ex. clinico Factores: Fc. Cervical  Fc. Uterino Fc. Tubario Fc. Ovárico Fc. Hormonal Fc. Peritoneal Fc. Masculino
INFERTILIDAD -  Evaluación Factor Cervical  : Ex. Clínico Est. Moco cervical Test postcoital (TPC) –  Sims Hubner
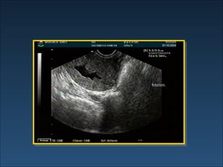
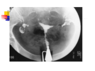
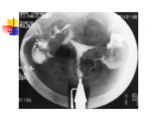
INFERTILIDAD - Evaluación Factor Uterino  : Ecografía HSG Ecosonografía Histeroscopía Factor tubario : HSG
 
 
 
Histerosonografía
 
 
INFERTILIDAD -  Evaluación Factor Ovárico : Temp. Basal Moco cervical Bx. Endometrio Monitoreo ecográfico de ovulación Progesterona
INFERTILIDAD -  Evaluación Factor Hormonal  : Evaluación de reserva ovárica FSH LH E 2 Prolactina TSH – T 3  , T 4
INFERTILIDAD -  Evaluación LAPAROSCOPÍA : D/c Endometriosis Adherencias Permeabilidad tubaria Tumores
INFERTILIDAD –  Evaluación FACTOR MASCULINO  : Hist. Clínica Antc. Patológicos Criptorquidia Orquitis urleana Infecciones:  ITS, TBC Otros : tabaco, drogas, Rt. Ex. Clínico Espermatograma
INFERTILIDAD -  Evaluación Espermatograma  : Ex. Macroscópico : Aspecto  Licuefacción :  ÷ 30 – 60´ Volúmen :  > 2 ml Consistencia :  filamento no > 2 ml Ph :  72. – 7.8
INFERTILIDAD -  Evaluación Ex. Microscópico  :  OMS Concentración :  > 20 x 10 6  x cc Motilidad :    50 % Mot. III-II (a-b)    25 % Mot. III (a) Motilidad III (a)  Líneal rápida Motilidad II  (b)  Líneal lenta Motilidad I  (c)  Mov. No progresivo Motilidad 0  (d)  Inmóvil Morfología :  > 50 % espermatozoides normales
INFERTILIDAD -  Tratamiento El tratamiento dependerá del factor  o factores que se hallan encontrado. No debiera de iniciarse ningún Tto. sino se ha realizado una evaluación de todos los factores de fertilidad.
INFERTILIDAD -  Tratamiento Fertilizac. asistida de baja complej. Inducción de ovulación Coito dirigido IIU Fertilizac. Asistida de alta complej. GIFT FIV ICSI TOMI
Aparato reproductor femenino
 
 
Laboratorio – Fertilización Asistida
Fertilización in Vitro
ICSI
ICSI
 
 

Infertilidad

  • 1.
    INFERTILIDAD Evaluación dela pareja Infértil Dr. Víctor Figueroa Z. Instituto de Ginecología y Fertilidad
  • 2.
    INFERTILIDAD Definiciones :Fertilidad Esterilidad Infertilidad Inf. Primaria Inf. Secundaria Subfertilidad
  • 3.
    INFERTILIDAD Fertilidad Humana: Riesgo de embarazo por ciclo ovulatorio ± 25 % Tiempo requerido para la concepción : 3 meses 57% 6 meses 72% 12 meses 80% 24 meses 90% Incidencia : 10 %
  • 4.
    INFERTILIDAD Factores queafectan la fertilidad Edad : 20 – 30 años 7 % 30 – 34 años 15 % 35 – 39 años 20 % 40 – 44 años 25 %
  • 5.
    INFERTILIDAD Factores queafectan la fertilidad Edad : Aborto espontáneo según edad < 30 años 10% > 35 años 18% > 40 años 34%
  • 6.
    INFERTILIDAD Se considerainfértil a la pareja que luego de 2 años de RS no logra un embarazo. Infertilidad Mujer Hombre 40 % 20 % 26 % ESCA 14 %
  • 7.
    INFERTILIDAD - Evaluación Objetivos : Buscar y corregir causas de infertilidad Dar información adecuada Aconsejar cuando iniciar o suspender investigación y proponer adopción
  • 8.
    INFERTILIDAD -Evaluación Historia clínica Ex. clinico Factores: Fc. Cervical Fc. Uterino Fc. Tubario Fc. Ovárico Fc. Hormonal Fc. Peritoneal Fc. Masculino
  • 9.
    INFERTILIDAD - Evaluación Factor Cervical : Ex. Clínico Est. Moco cervical Test postcoital (TPC) – Sims Hubner
  • 10.
    INFERTILIDAD - EvaluaciónFactor Uterino : Ecografía HSG Ecosonografía Histeroscopía Factor tubario : HSG
  • 11.
  • 12.
  • 13.
  • 14.
  • 15.
  • 16.
  • 17.
    INFERTILIDAD - Evaluación Factor Ovárico : Temp. Basal Moco cervical Bx. Endometrio Monitoreo ecográfico de ovulación Progesterona
  • 18.
    INFERTILIDAD - Evaluación Factor Hormonal : Evaluación de reserva ovárica FSH LH E 2 Prolactina TSH – T 3 , T 4
  • 19.
    INFERTILIDAD - Evaluación LAPAROSCOPÍA : D/c Endometriosis Adherencias Permeabilidad tubaria Tumores
  • 20.
    INFERTILIDAD – Evaluación FACTOR MASCULINO : Hist. Clínica Antc. Patológicos Criptorquidia Orquitis urleana Infecciones: ITS, TBC Otros : tabaco, drogas, Rt. Ex. Clínico Espermatograma
  • 21.
    INFERTILIDAD - Evaluación Espermatograma : Ex. Macroscópico : Aspecto Licuefacción : ÷ 30 – 60´ Volúmen : > 2 ml Consistencia : filamento no > 2 ml Ph : 72. – 7.8
  • 22.
    INFERTILIDAD - Evaluación Ex. Microscópico : OMS Concentración : > 20 x 10 6 x cc Motilidad :  50 % Mot. III-II (a-b)  25 % Mot. III (a) Motilidad III (a) Líneal rápida Motilidad II (b) Líneal lenta Motilidad I (c) Mov. No progresivo Motilidad 0 (d) Inmóvil Morfología : > 50 % espermatozoides normales
  • 23.
    INFERTILIDAD - Tratamiento El tratamiento dependerá del factor o factores que se hallan encontrado. No debiera de iniciarse ningún Tto. sino se ha realizado una evaluación de todos los factores de fertilidad.
  • 24.
    INFERTILIDAD - Tratamiento Fertilizac. asistida de baja complej. Inducción de ovulación Coito dirigido IIU Fertilizac. Asistida de alta complej. GIFT FIV ICSI TOMI
  • 25.
  • 26.
  • 27.
  • 28.
  • 29.
  • 30.
  • 31.
  • 32.
  • 33.