Incrustar presentación
Descargar para leer sin conexión
















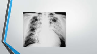
La insuficiencia cardiaca se define como la incapacidad del corazón para bombear sangre a una velocidad y cantidad adecuadas. Las causas afectan primero al ventrículo izquierdo y luego al derecho, resultando en insuficiencia ventricular. La radiología puede detectar signos de cardiomegalia, edema pulmonar, derrame pleural y patrón de "alas de mariposa". El índice cardiotorácico mide el grado de cardiomegalia y es útil para el diagnóstico de insuficiencia cardiaca.














