Sindrome dolor
lumbar
   Dr. Ives Loewenwarter
 Universidad de Antofagasta
Metas u objetivos

 Reconocer BANDERAS ROJAS
 Reconocer BANDERAS AMARRILLAS
 Reconocer distinciones de lumbago simple y
  complicado
 Aliviar el dolor
 Mejorar las discapacidades del paciente
 Evitar recurencia y cronificación
Anatomia
Nerves and Vessels
 Neural Foramen


 Spinal Nerve


 Dorsal Root
  ganglion

 Relationships
Historia natural
 Es una patología muy prevalente 1%
    consultas, asociada muchas veces a licencias
    medicas (13% de toda los días ausentados)
   La mayoría son evolución autolimitada
   Menos de un 10% son cuadros severos
   Una vez producido el evento, un tercio continuará
    con algunas molestia un año.
   Lo importante es poder diferenciar los graves y
    poder predecir una posible evolución
   En atencion primaria 1% son neoplasias, 4%
    fracturas por aplastamiento y 1-3% protrusion discal
 Estadísticamente las deorigen mecánico
  son un 90% y de buen pronóstico
 El cuadro agudo el 50% mejora en una
  semana y el 90% total se resuelve en 8
  semanas
 Cuadro crónico:<5% de lumbalgia aguda
  pasa a dolor crónico
A nivel de la consulta no especializada, la historia del
  dolor y el examen físico cuidadoso deben permitir
  una primera distinción entre 3 posibilidades:
-Dolor o molestias lumbares menores de carácter
  mecánico-postural-tensional.
-Dolor radicular
-Dolor neoplásico y/u otro síntoma de alarma.




La norma clínica clave radica en reconocer los casos en que el
dolor se aparta del patrón “menor” y que obliga a practicar
exámenes complementarios y derivar al especialista
¿Cuan comunes son los
casos severos?
 <5% tienen una raiz nerviosa comprometida


 <1% tiene patologia grave como infección o
  tumoral

 <1% enfermedades inflamatorias como
  espondilitis anquilosante
Clasificación
según evolución temporal
 Agudo es el que dura hasta 3-6 semanas
 Lumbago prolongado hasta 3 meses
 Lumbago crónico más de 3 a 6 meses
Según origen
y consecuencias a futuro
 Lumbago mecánico o inespecifico
 Asociado a enfermedades graves
 Lumbago asociado a ciatialgias
 Referido o gananciales u otros
Descartar Dolor Referido

 Abdomen: aneurisma aortico
 Riñones: pielonefritis, hidronefrosis, calculo, tumor,
  absceso perirrenal
 Ovario: quiste, cancer
 Pelvis: endometriosis, menstruación, pelvic
  inflammatory disease
 Vejiga: infecciones
Dolores referidos a la espalda:

-Riñón: Infección, inflamatoria, neoplásia, obstrución
  ureteral, trombosis arteria renal
-Próstata: Prostatitis crónica
-Páncreas: pancreatitis, cáncer.
-Retroperitoneo: Hemorragia, tumor, absceso
-Colon: Colitis ulcerosa, diverticulitis, cáncer colon
-Ligamento utero-sacro: Endometriosis, Ca
  endometrio, mal posición uterina
-Aneurisma abdominal
Dolor referido

•Dolor pleural
•Renal, cálculos
•Aneurisma
aorticoAbdominal
•Patologia uterina(mioma)
•Colon irritable(dolor sacro)
•Patologia cadera
Edades en relación al
lumbago
 Osteoma osteoide en adolescentes
 Enfermedad inflamatoria intestinal a los 20
  años
 Mieloma múltiple alrededor 70 años
 Aneurisma Abdominal 70 o más
 Sexo
     Fracturas Osteoporoticas > mujeres
     Fibromyalgia > mujeres
Lumbago mecánico puro
 90% de los casos
 Inicio agudo y relacionado a un evento
  laboral o de esfuerzo
 Empeora con el movimiento y mejora con el
  reposo. Amanece un poco mejor. Si hay
  ciatialgia esta no es metamérica.
 No tiene banderas rojas
 Evoluciona a la mejoría antes de 3
  semanas
¿Qué se busca?
 Que no se nos pase algo de gravedad asociado,
    (tumores, fracturas,etc).
   Descartar cuadros neurológicos
   Mejorar causas desencadenantes laborales o de su
    hogar, ( trabajos duros o esfuerzos no habituales o
    sedentarismo)
   Se pide rx con el fin de descartar otras patologias y
    con mayor razón en menores de 20 y mayores de
    50 años.
   En la rx no se ve causa en la mayoría de los casos o
    bien si no se asocia a la anamnesis y examen físico
    puede llevarnos a error…
-Historia clínica
                          -Exploración física

        Síntomas                                         Síntomas
        menores                                          de alarma

                                                -Dolor en reposo y/o nocturno
-Molestias dolorosas                            -Baja de peso
-Contractura muscular                           -Sensación febril
-Examen neurológico normal                      -Rigidez matinal poliartralgias
-Rx simples normales                            -Dolor agudo persistente
                                                -Dolor prolongado
                                                -Déficit neurológico
      DIAGNOSTICO

                                                Exámenes complementarios
ALGIA: Mecánica-tensional-postural


                          FRACTURA              ESPONDILODICITIS
Tratamiento sintomático                            -Inespecífica      COMPRESION
                           PATOLOGICA                                   NEURAL
                                                   -Inflamatoria
                          -Neoplásica                 PELVI-
                          -Porótica              ESPONDILOPATIA
¿Y de verdad cómo
evolucionan?
 Hay que tener paciencia y gobernar la situación,
  dado que el paciente lo primero que piensa es LO
  PEOR. ( la verdad es que la mayoría son de buen
  pronóstico)
 ¿Dr. No será un hernia, me van a operar o quedaré
  así de por vida, y la invalidez y la silla de ruedas….?
  ¿Y si pedimos un tac o una rnm o me manda a un
  especialista en Santiago?
 La mayoría se mejora dentro de 3 semanas, de
  estos el dolor cede significativamente en 7 a 14
  días. Casi hay que hacer labor educativa y
  psicoterapia al paciente y su familia.
indicaciones
 Reposo absoluto en cama 2 a 3 días, más
  dias se ha visto que puede prolongar el
  cuadro, volver a actividad normal en forma
  progresiva es mejor que reposo alargado
 Mucho calor local
 Analgesicos
 Relajantes musculares o sensillamente si es
  necesario Diazepam
 Citar al paciente en 3 días y reevaluar
 Al tercer día si está mejor, pasamos a la fase
  de recuperación por 4 a 10 días.
 Pasamos a fase de tratar de reincorporarlo a su
  trabajo, iniciar knt si hay contractura,
  ergonometria, enseñar medidas preventivas.
 Asegurarnos que no se nos haya pasado alguna
  enfermedad grave.
¿Por qué no pedir Rxs en la
etapa aguda?
 Las imagenes pueden estar alteradas por
  posiciones antálgicas del paciente.
 Bajo los 60 años:   bajo rendimiento
  resultados inesperadas , Rxs demuestran
  solamente alteración 1 de cada 2.500
  pacientes con dolor lumbar.
 Confunden: abombamiento de disco 1 c/3rx
 Herniación de disco en pacientes sin dolor 1
  de c/5tac
Estudio George Washington -
1990
 67 pacientes que nunca tuvieron lumbago
 ni ciatialgia
     < 60 y o
          MRI + 20% Herniated Disc
          MRI + 50% Bulging Disc
     > 60 y o
          MRI + 30% Herniated Disc
          MRI + 80% Bulging Disc
          MRI + 20% Spinal Stenosis
¿Y si no se mejora?
 ¿habrá seguido las indicaciones?
 ¿Estará disfrutando de su licencia medica?
 ¿No le han pagado y no pudo cumplir lo
  indicado?
 Al 10º día se piden rx, examenes de
  laboratorio , reevaluar, y posible derivación?
 ¿Estaremos frente a un cuadro cronificado?
Lumbagos agudos con signos
inflamatorios
 Son un 10% de los casos, se inician en forma
    progresiva y gradual, sin causa
   Empeora con movimientos, no mejora con el reposo
   Amanecen con rigidez matutina
   Puede haber signos Alerta como astenia ,adinamia,
    anorexia, fiebre, pérdida de peso
   Debemos descartar cuadros tumorales,metastásicos,
    reumatologícos, infecciosos, etc
Cuando tenga su paciente un
sindrome dolor lumbar, no debe
olvidar
1. Tumores (metástasis)
2. Infección
3. Fracturas por compresión
   (osteoporosis)
4. Sindrome cauda equina


 37
-Historia clínica
                          -Exploración física

        Síntomas                                         Síntomas
        menores                                          de alarma

                                                -Dolor en reposo y/o nocturno
-Molestias dolorosas                            -Baja de peso
-Contractura muscular                           -Sensación febril
-Examen neurológico normal                      -Rigidez matinal poliartralgias
-Rx simples normales                            -Dolor agudo persistente
                                                -Dolor prolongado
                                                -Déficit neurológico
      DIAGNOSTICO

                                                Exámenes complementarios
ALGIA: Mecánica-tensional-postural


                          FRACTURA              ESPONDILODICITIS
Tratamiento sintomático                            -Inespecífica      COMPRESION
                           PATOLOGICA                                   NEURAL
                                                   -Inflamatoria
                          -Neoplásica                 PELVI-
                          -Porótica              ESPONDILOPATIA
Tumores y metástasis lumbares
 Las neoplasias corresponden a un 1% de los
  lumbagos
 Factores de riesgo o banderas rojas:
      edad> 50
      Previa historia de cáncer
      Pérdida inexplicada de peso en 6 meses(> 4.5 kg )
      Falla del tratamiento en 4 semanas
      Emperan con reposo en cama
 En los pacientes sin esta historia, la probabilidad se
  acerca a cero
Metàstasis son las principales
 Pulmonar
 mamario
 prostata
 linfoma
 carcinoma renal
 melanoma
 Sarcoma
 mieloma múltiple
 tiroideo
No confundir con dolor Sacroiliaco
Enfermedades inflamatorias
 Espondilitis anquilosante


 Polimialgia reumatica


 Artritis reumatica (rara)


 Pelviespondilopatias
Test de Patrick o Faber
Test de compresión pelvica

Positivo si duele SI
Gaenslen’s Sign
 Nalgas y extremidad
  cuelga fuera de
  camilla
 Positivo si dolor es
  alrededor de SI
Dolor y rigidez matutina persistente
en espondilitis anquilosante
Infecciones
 Shigelosis

 Discitis


 Osteomielitis


 Absesos epidurales
Infecciones
 En general tienen lo siguiente:
   fiebre
   drogadictos
   Infecciones urinarias
   Cateteres urinarios
   Infecciones a la piel
 He visto pacientes con TBC de publos del
  interior que no se vacunaron

 50
                                   See Notes for References.
infecciòn
 Compromete 2
  vertebras y el disco
  intervertebral,
  espondilodiscitis.
 S.aureus. Gram -,


 TBC en crónicos
Degenerativo y estructural
 Spondilosis


 Spondilolistesis


Grosera escoliosis o cifosis
Enfermedades metabólicas
 Osteoporosis (fracturas por compresión)


 Osteomalacia


 Enfermedad de Paget
Fracturas por compresión
 Son un 4% de las causas de lumbago
 Factores de riesgo:
         edad > 70
         Uso de corticoides largo plazo
         Con o sin antecedente de trauma menor o
          mayor



 54
                                           See Notes for References.
Lumbalgia aguda con afección
radicular
 También, la mayoría son de buen
  pronóstico, y la mayoría no requieren
  cirugía.
 Tienen lumbago más dolor metamérico
 Se pretende buscar causa desencadenante y
  factores de riesgo.
 Se hace diagnóstico, se ubica posible raíz
  afectada y grado de compromiso
 Y se descartará afección medular.
lumbociatica
 90% son de origen causado por HNP
 96% son L4-L5 y L5-S1
 Inicio habitualmente brusco, aunque no
  siempre
 Dolor lumbar que se irradia a gluteo ,muslo y
  cara externa y posterior de pierna y termina
  en ortejos
 Aumenta con el esfuerzo, tos, valsalva
 Cede el dolor con reposo y posición fetal
Examen físico
 Signos irritativos dolor irradiado y al
  presionar trayecto n. ciático
 Signos deficitarios : motores, sensitivo,rot
 Signos semiologicos: postura antalgica,
  contractura muscular, alteraciones movilidad
Signos irritativos
 ¿cómo se saca los pantalones y ropa?
 Cojera o se tropieza
 Escoliosis antialgica
 Columna rígida (signos de Schober)
 Se palpa intensa contractura muscular
 Atrofia glutea (raíz S1 crónica)
 No puede caminar con punta de pie (S1)
 No puede caminar con talones (L5)
 Maniobras de valsalva aumentan dolor
 Signo de Lasegue al tener cadera en 90º y extender la rodilla se
  reproduce el dolor ( no los isquiotibiales)
 Signos de TEPE con extremidad extendida sobre 30º o
  contralateral.
 Signo de Growers-Bragard al dorsiflectar pie al hacer TEPE
Schobers Test
Maniobra de Valsalva
 Examina lo siguiente
  Irritación de
     Disco herniados, tumor,
       osteofitos deentos del
       canal medular



 Positivo
      Aumenta dolor por
       aumento de presión
       intratecal.
      Puede ser dermatómico
Unilateral Straight Leg Raise
         Test (Laseque Test)
 Evalua lo siguiente IRRITACIÖN de
    Articulación SI, lumbar s, isquiotibiales, o
     compromiso dural
 Procedimiento
    Paciente relajado con cadera y rodilla
     extendida
    Dr pasivamente eleva extremidad hasta
     que aparezca dolor
    Dr baja suavemente extremidad hasta
     que cede dolor
    Dr dorsiflecta el tobillo mientras paciente
     flexiona cuello
 Positivo
    Dolor con dorsiflexión o flexón cuello =
     compromiso dural
    No hay dolor al dorsiflectar tobillo y
     flexión cuello = acortamiento
     isquiotibiales, o SI o compromiso lumbar
    Dolor sobre 70º = compromiso lumbar o
     SI
Lasegue bilateral
 Examina Irritación de
    Articulación sacroiliaca y
     lumbar
 Técnica
    Igual al lasegue unilateral
    Levantar ambas
     extremidades
     simultaneamente
 Positivo
    dolor > 70º flexion cadera
     = articulación SI
    Dolor < 70º = compromiso
     columa lumbar
Lasegue contralateral
 Examina Irritación de
    Disco herniado

 procedimiento
    Paciente supino
    Dr pasivamente flexiona
     cadera de extremiada no
     afectada con rodilla
     extendida
 Positivo
    Doloren lado afectado
       Puede ser radicular
Straight Leg Raising
Signos neurologicos
 Raiz L4 (4%) disminuye rot patelar y
  sensibilidad metamérica raiz L4 cara interna
  de tibia
 Raiz L5 (48%) disminue fza de extensor
  propio ortejo mayor, ( no camina en talones),
  disminuye sensibilidad de parte externa de
  pierna y dorso pie 1er espacio intermtt
 Raiz S1 (48%) Rot aquiliano, no camina de
  puntillas, sensibilidad disminuida en cara
  extena de pie y 5to ortejo
Examen neurológico básico

Disfunción marcha por paresia de miómeros
 L4: incapacidad de marcha en talones por paresia
  músculo tibial anterior.
 L5: marcha en talones sin extensión de dedos por
  compromiso músculo extensor del primer ortejo y
  común de los dedos
 S1: Incapacidad de marcha en punta de pies por
  perdida de fuerza de soleos y gastronemios.
Pruebas de tensión del nervio ciático
 Test de elevación de pierna extendida (TEPE):
  Decúbito dorsal, mano examinador bajo el talón se
  eleva la extremidad con rodilla extendida.
 TEPE contralateral: Gran valor diagnostico cuando
  reproduce raquialgia en extremidad contralateral.
 Signo de Lasegue: Decúbito dorsal cadera y rodilla
  en 90°, se extiende la rodilla: despierta dolor en
  pierna y muslo (no confundir con isquiotibiales
  acortados)
Pruebas de tensión del nervio
 femoral
 Signo de O´Connell:

 Decúbito ventral se flecta la rodilla
 desencadenado dolor en cara anterior del muslo.
 Se puede levantar el muslo extendiendo la cadera
 logrando extender mas el nervio.
Lumbociatica bilateral o
sindrome Cauda equina
 Descartar compromiso masivo o cauda
  equina que tiene compromiso esfinteriano
  vesical y pérdida sensibilidad en silla de
  montar. Es de mal pronóstico, es urgencia,
  muchos quedan secuelados. Su fc es de
  0,04% de los casos
 Saber que en general se dividen en HNP
  (95%) y no HNP; (tumores oseos, tumores
  sns, congenitas, espondilositesis,
  estenorraquis,etc)
 SI UN PACIENTE NO PUEDE CAMINAR Y
  NO CONTROLA ESFINTER HOSPITALIZAR
  POR SER EMERGENCIA NEUROQX
Cauda Equina syndrome
(spinal canal compression)
Que saber de las HNP
 El tratamiento es conservador exitoso en 90% de los casos
    en un plazo de 3 semanas.
   Indicación quirúrgica inmediata son HNP masivas , compromiso
    neurológico deficitario significativo, o no respondieron en las 3
    semanas a tto medico. Ej HNP extruidas.
   Cuando se requiere cirugía (imagen +clinica que confirma
    compresión radicular y no simple irritación), hay un 90% de
    desaparición del dolor en post op inmediato y un 85% de
    satisfacción a largo plazo
   Los malos resultados qx son por error dg, qx realizadas a
    destiempo ( o muy precoz o muy tardía), mala
    interpretacion de imágenes , banderas amarrilas ,
    complicaciones quirúrgicas. ( infección, fibrosis,
    inestabilidad, etc)
   Reintervenciones quirúrgicas, en general el éxito es mucho
    menor
Lumbociática radicular
 Manifestaciones clínicas son metaméricas. Carácter preciso
  alcanza pierna tobillo y pie. Compromete músculos de
  miomero correspondiente hay hipo o arreflexia.

 La magnitud del dolor se relaciona con el grado de
  inflamación de la raíz y el ganglio dorsal.
 El déficit motor, sensitivo y de los reflejos están relacionados
  con el grado de compresión de los elementos neurales
Se debe distinguir entre:

-Lumbociática radicular irritativa
-Lumbociática radicular compresiva

En la primera la alteración tisular es bioquímica y en
  la segunda es biomecánica, lo que significa un
  conflicto continente-contenido con compresión
  neural
Síndrome radicular irritativo
 Corresponde a una radiculitis secundaria a la
  filtración de neuropeptidos a través del anulus
  fibroso o a la extrusión menor de fragmentos
  nucleares.
 El dolor es intenso, lasegue y TEPE(+) desde
  primeros grados
 El déficit motor es poco relevante.
 Existe hipoestesia cutánea frecuentemente.
 (TEPE: Test de elevación de pierna extendida)
Síndrome radicular irritativo
 Las imágenes de TAC y RNM muestran
  protusión difusa discal que se informan como
  “Hernia” siendo un evento normal del
  proceso degenerativo discal.
 Las radiculopatias irritativas son de
  tratamiento medico. La cirugía esta
  contraindicada
Hernia nucleo pulposo HNP
 La degeneración
 progresiva de un disco,
 o por un evento
 traumatico, puede
 conducir a una falla del
 anillo fibroso y así no
 logra contener el tejido
 del nucleus pulposus
HNP Hernia nucleo pulposo
 síntomas
     lumbago
     ciatialgia
     disestesias
     Anestesias
Síndrome radicular compresivo
 La compresión de una raíz y/o su ganglio
  dorsal puede expresarse solo con dolor
  (moderado)
 Cuando es intenso se asocia a inflamación
  periradicular por extrusión nuclear masiva.
 El dolor sigue claramente un dermatoma
 Las paresias afectan a los músculos del
  momero de la raíz comprometida.
Hernia Nucleo Pulposo
Varios grados
 Protrusión discal
      Signos moderados
         Usualmente cede

          con tto conservador
      Raramente qx
 Extrusión (herniación)
    Sintomas moderados a
     severos
       Tratamiento

        conservador
Abordaje conservador ciatialgia
 Mucha paciencia, familia y paciente sienten
  que no les están ayudando.
 Pedir rx y tac y rnm con precaución , sobre
  15 dias de evolución insatisfactoria, si el
  cuadro es recidivante, banderas rojas, o
  sospecha de raquiestenosis u otra causa.
 Educar y convencer al paciente
 Reposo en cama 3 a 4 dias
 Mucho calor local,
 Posicion de feto si lo tolera
 Aines, tramadol,
 Relajantes musculares o diazepam
 Citar al paciente a los 10 dias y si hay mejoría iniciar
  knt. Vuelta laboral faena liviana,
 Si al reevaluar hay signos irritativos pero no deficitarios
  se mantiene aines evitar esfuerzos, evaluar situación
  laboral y se pide TAC. De lo contrario derivar. Si hay
  déficit o es recidivante o banderas rojas derivar.
Indicaciones de cirugía HNP
 Absoluta
      Cauda Equina Syndrome
      Inicio reciente, déficit motor Severo y Progresivo

 Relativas
      Fracaso de un tratamiento conservador bien llevado de ciatialgia de 3
       a 6 semanas
      Dolor radicular severo e intratable
      Herniación en un canal espinal estenosado o canal radicular
       estenosado
      Déficit motor significativo con signos positivos de irritación radicular
      Fragmentos grandes extruidos
      Recurrencia de ciatialgia depués de un tratamiento conservador


   La presencia de un déficit motor leve o moderado no implica un tto
      quirurgico o conservador.
Indicación QX de HNP

   Fracaso de tratamiento
    conservador
        Minimo 6 semanas de tto
   Discectomia
        Remoción de zona discal herniada
        A través de incisión mínima
        Alta tasa de resultado ok
imagenes
 Rx no ve HNP, es un método de descarte de otras patologías
 TAC permite ubicar HNP, pero no ve tumores intratecales
 RNM ideal para ver partes blandas, pero puede confundir al ver
  demasiado…
 Recordar que existen HNP imagenológicas en un 25 a 50%de
  la gente SANA, o sea tenerla no es estar enfermo y menos que
  me tengan que operar
 Discopatias o degeneración discal está presente en un 25 a
  70% de las personas SANAS Asintomáticos, y es un signo de
  ENVEJECIMIENTO Y SOBREUSO
Banderas amarrillas
 Actitudes y creencias sobre el lumbago
 Estres emocional
 Compensación laboral
 Somatización
 Depresión
 Temor a agravarse, ansiedad,angustia
Banderas rojas
 Primer episodio antes de 20 y despues de 50
  años
 Dolor nocturno mayor que diurno
 Sintomas generales de fiebre, aaa, baja peso
 Antecedente cáncer
 Trauma reciente
 Inmunocomprometidos
¿Cuando derivar?
 Cauda equina - immediatamente
 Patologia espinal seria – una semana
 Déficit neurológico progresivo –una semana
 Ciatialgia que no se resuelve en 6 semanas –
  en 3 semanas
 Enfermedades inflamatorias -2 semanas
 Bandera amarrilla no resueltas en 2 meses
  referir antes de 2 semanas
Lumbalgia crónica
 Paciente de más de 6 semanas, sin
  radiculalgia
 Objetivo, dg diferencial de causas no
  mecanicas, y problemas graves, diferenciar
  de complicaciones y otros origenes
 Dg de existir factores que prolongen la
  enfermedad.
   Buscar banderas rojas y amarrillas,
   Correlación clinica e imagen
   Dolores de causa diferida
   Origenes vasculares
   Neoplacias-fracturas ocultas
   Neuropatía diabetica
   Embarazo-ginecologicas
   Cambios de peso
   Factores laborales-economicas-familiar
   Creencias-expectativas- preocupaciones
 Laboratorio hemograma vhs,calcio,
  fosforo,fosfatasas alcalinas, si tiene más de 50
  años f. acidas, bence jones,etc
 Rx ap-lat
 Definir si el lumbago cronico es de origen
  conocido (tumores, estenorraquis, hnp no
  tratadas, DM, fracturas,etc)
 O es de causa inespecífica.
tratamiento
   Tener como fin tratar origen específico
   Disminuir consumo de fármacos, aines,etc
   Disminuir procedimientos invasivos
   Incrementar capacidad del paciente
   Disminuir la intensidad subjetiva dolor
   Disminuir consumo de servicios de salud
   Ayudar en conflictos M-L
   Minimizar costos
 Disminuir dias de reposo y solo darlos en
  cuando dolor exacerbe
 Mantenerlos activos laboralmente siempre que
  sea posible
 Antidepresivos
 Knt
 Ejercicios aerobicos
 Psicologos
 Higiene postural
Higiene postural
minimizarse transporte manual carga
Usar herramientas ergonométricas
Técnicas adecuadas de levantar objetos
Transportar en posición erguida erecta
Utilizar musculatura piernas-rodillas al levantar carga
No reir, toser,estornudar al transportar carga
Armonia al transportar objetos
Nunca doble sólo cintura, use cadera-rodillas
No levantar objetos sobre cintura
Llevar objetos equilibradamente
Mantenga la cabeza en línea con la columna
Sillas blandas y camas profundas no son adecuadas
Use tacones en los zapatos moderados y siempre los mismos
Utilize músculos abdominales
Factores pronósticos de
evolución a cronicidad
 Varones en edad laboral
 Nivel educativo bajo
 Drogadicción y oh
 Antecendentes de otras patologías dolorosas cronicas
 Otras patologías somáticas (cefaleas, ci)
 No se descubres signos orgánicos
 No se encuentra origen específicos
 Niveles de dolor muy intensos
 Personalidad rígidad, o psiquiatrica, o frustables
 Factores laborales (trabajo duro, posturas prolongadas, cargas
  importantes, repetitivas, insatisfactorio,accidente laboral previo
  al cuadro,alta rotación laboral)
 Factores de ganancia económica y litigios laborales, cobrar
  seguros e indemnizaciones
Algorithm 1: Initial evaluation of acute low back problem
Algorithm 2: Treatment of acute low back problem on initial and followup visits
Algorithm 3: Evalation of the slow-to-recover patient (symptoms > 4 weeks
Algorithm 4: Surgical considerations for patients with persistent sciatica
Algorithm 5: Further management of acute low back problem
Spondylosis
 Generalized process of the axial skeleton
 Sequence of degenerative change
 Start biochemical and cellular level
 Manifest biomechanical and morphologic level
Indicaciones de cirugía HNP
 Absoluta
      Cauda Equina Syndrome
      Inicio reciente, déficit motor Severo y Progresivo

 Relativas
      Fracaso de un tratamiento conservador bien llevado de ciatialgia de 3
       a 6 semanas
      Dolor radicular severo e intratable
      Herniación en un canal espinal estenosado o canal radicular
       estenosado
      Déficit motor significativo con signos positivos de irritación radicular
      Fragmentos grandes extruidos
      Recurrencia de ciatialgia depués de un tratamiento conservador


   La presencia de un déficit motor leve o moderado no implica un tto
      quirurgico o conservador.
Timing of Surgery
 Cauda Equina Syndrome
      ASAP

 Relative Indications
      Lack of scientific evidence on optimal timing

      Rarely <6 weeks
           Period in which improvement in symptoms generally known to
            occur


      Should not be delayed beyond 3-4 months
           Chances of improvement in radicular pain are slight and
            decrease further after 6 months
Ciatialgias puras, no HNP
    Bursitis trocantéreas
    Artrosis cadera
    raquiestenosis
1. Characteristics of the Pain
 Location
      leg pain > back pain
           Suggests lumbar radiculopathy
           Sensitivity 95% and specificity of 85%
    Leg pain aggravated by walking and standing but
     relieved by sitting suggests spinal stenosis
    Anterior thigh pain suggests upper lumbar
     radiculopathy or hip disease
 Onset
    Gradual, slow – degenerative mechanical pain
    Sudden and severe – osteoporotic compression
     fracture.
 Effect of positional change
    Constant unrelieved with position change – cancer
    Mechanical – relieved when supine, increased when
     position is changed
Cancer y Lumbago
 2/3 de cancer presentan lumbago
 Màs comunes: mama,pulmon, riñon o prostata
 Mieloma múltiple es lo más común
 Enfermedades malignas no espinales asociadas
  lumbago
     Pancreatic carcinoma
     Renal cell cancer
     Intrapelvic tumors
     Lymphoma with retroperitoneal lymphadeopathy
Cancer y lumbago
 78 – 94% lumbago VHS >20 mm/hr
 RX AP-LAT es sensible en 65%
 MRI y CT son sensibles en 95% detectar cáncer
 Cintigrama óseo es sensible en 95% sensitive
  pero puede ser normal en mieloma múltiple
Radiograph (left) Vertebral compression fracture (arrow) in an
elderly patient. Bone scan (right shows increased uptake in the
acutely compressed vertebra.
Abdominal Aortic Aneurysm
 Occur in 4% of persons > 50 yr.s
 Men>Women
 More common in persons with Peripheral Vascular Disease
 Most are asymptomatic
 10 – 15% present with: Back pain
    Often associated with abdominal pain
    Radiating to the hips and thighs
    Aneurysm rupture assoc/w a sudden dramatic increase
     in pain
 Pulsatile abdominal mass in 50%
 AP and lateral lumbar spine films – 70% curvilinear aortic
  calcifications
 Abdominal ultrasound or CT – 100% sensitive
Polymyalgia Rheumatica
 Sudden (often overnight) onset of pain
  and stiffness in the neck, upper back,
  shoulders, lower back, buttocks and hips
 Usually in persons > 50 yr.s (prevalence
  increases with age)
 Giant cell arteritis found in 40%
 Sed rate > 40mm/hr.
 Dramatic response to trial of low dose
  prednisone confirms the diagnosis
Síndrome lumbar puro
 Localizado en zona lumbar, de tipo axial o
 paravertebral, uni o bilateral, en franja o
 cinturón, puede tener una irradiación a
 sacroiliacas o glúteos no sobrepasando su
 pliegue distal

 Se asocia a contractura muscular y rigidez
 vertebral
Síndrome lumbo crural
 Es equivalente a una lumbociática crural pero su
  irradiación ocurre en la cara anterior del muslo y la
  pierna debido a que se comprometen raíces mas
  altas L2, L3 y L4.
 La tensión radicular se busca con el signo de
  O´Connell que elonga el nervio femoral.
 La paresia se expresa en el cuadriceps.
 El reflejo patelar esta disminuido.
Síndrome de claudicación neural
 intermitente
 Típicamente la persona inicia actividad sin
  molestias, en la medida que marcha progresa
  empieza a sentir dolor lo que le obliga a
  detenerse en ante flexión
 Mayores de 65 años
 Espondiloartrosis lumbar difusa
 Dg. diferencial.
Neural                 Vascular


Localización       Proximal lumbar-       Distal pantorrilla
                   muslo
Cede con..         Anteflexión,           Al detenerse de pie
                   sentado
Referido como..    Debilidad rodillas y   Agarrotamiento de
                   piernas                pantorrillas
Al subir plano     Disminuye es           Aumenta
inclinado          soportable             francamente

Al bajar plano     Aumenta por            Disminuye por
inclinado          hiperlordosis          menor demanda

Pulsos periféricos Simétricos amplios     Asimétricos
                                          ausentes o débiles
Spinal Stenosis
 Grouped as “spinal
  stenosis”
      Central stenosis
         Narrowing of the

          central part of the
          spinal canal
      Foraminal stenosis
         Narrowing of the

          foramen, resulting in
          pressure on the
          exiting nerve root
      Far lateral recess
       stenosis
         Narrowing of the
Spinal Stenosis
 Symptoms
    Back pain
    Pain, dysthesias,
     anesthesias in the
     buttocks, thighs,
     and legs
    Unilateral or bilateral
    Symptoms occur
     while walking or
     standing,
     and remit when sitting
    May start in the
     buttocks and traverse
     to the legs or vice
Spinal Stenosis
 Diagnosis
      MRI/computerized
       tomography (CT) scan/
       patient examination
 Nonoperative care
    Rest
    NSAID medication
    Physical therapy
       Exercise/walking

    Steroid injections
Spinal Stenosis
 Surgical care
      Failure of
       nonoperative
       treatment
           Minimum of 3-6
            months’ duration
      Decompression
           Bone removal to
            widen area
               Laminectomy
               Foraminotomy
           High success rate
           May require adjunct
            fusion
            to address instability
Spinal Stenosis
 Laminectomy
Spinal Stenosis
 Foraminotomy
Segmental Instability
 Spondylolisthesis
   Forward   displacement
 Retrolisthesis
   Backward displacement
 Lateral listhesis
   Sideways displacement

 Axial and rotational
 displacement
   Segmental hypo- and
   hyper- kyphosis or
   lordosis
Segmental Instability
 Spondylolisthesis
    A forward translation of 1 vertebral body
     over the adjacent vertebra
        Degenerative

           “Adult-onset” progressive slip
        Lytic

           Develops in children or adolescents, but
             only 25% experience symptoms
 Spondylolysis
    A fracture or defect in the vertebra, usually in the
     posterior elements—most frequently in the pars
     interarticularis
 Spondyloloptosis
    Complete dislocation
Spondylolisthesis
 Gradation of
  spondylolisthesis
      Meyerding’s Scale
         Grade 1 = up to 25%

         Grade 2 = up to 50%

         Grade 3 = up to 75%

         Grade 4 = up to

          100%
         Grade 5 >100%

          (complete
          dislocation,
Spondylolisthesis
 Symptoms
  Low   back pain
     With or without buttock

      or thigh pain
  Pain aggravated by
   standing or walking
  Pain relieved by lying down
  Concomitant spinal
   stenosis, with or without leg
   pain, may be present
  Other possible symptoms
     Tired legs, dysthesias,

      anesthesias
Spondylolisthesis
 Surgical care
      Failure of nonoperative
       treatment

      Decompression and fusion
           Instrumented
           Posterior approach
           With interbody fusion
Spondylolysis
 Spondylolysis
      Also known as pars
       defect
      Also known as pars
       fracture
      With or without
       spondylolisthesis
      A fracture or defect in
       the vertebra, usually in
       the posterior elements—
       most frequently in the
       pars interarticularis
Spondylolysis
 Symptoms
   Low  back
    pain/stiffness
   Forward bending
    increases pain
   Symptoms get worse
    with activity
   May include a stenotic
    component resulting
    in
    leg symptoms
   Seen most often in
    athletes
Spondylolysis
 Diagnosis
      Plain oblique
       radiographs
      CT, in some cases
 Nonoperative care
      Limit athletic activities
      Physical therapy
         Most fractures heal

          without other
          medical
          intervention
Degenerative Disease:
Facet Arthritis
 Changes in disc
 structure and function
 can lead to changes in
 the articular facets,
 especially hypertrophy
 (overgrowth), resulting
 from the redirection of
 compressive loads from
 the anterior and middle
 columns to
 the posterior elements
Degenerative Disease:
Facet Arthritis
 Facet Injections
   Anesthetic effect
   Relief may last for
    several months or only a
    few weeks, or a few
    days
Definitions, continued
 Compression Fracture – fracture that
  collapses a vertebrae

Lumbagoives2007

  • 1.
    Sindrome dolor lumbar Dr. Ives Loewenwarter Universidad de Antofagasta
  • 3.
    Metas u objetivos Reconocer BANDERAS ROJAS  Reconocer BANDERAS AMARRILLAS  Reconocer distinciones de lumbago simple y complicado  Aliviar el dolor  Mejorar las discapacidades del paciente  Evitar recurencia y cronificación
  • 4.
  • 10.
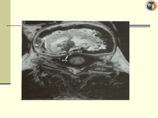
    Nerves and Vessels Neural Foramen  Spinal Nerve  Dorsal Root ganglion  Relationships
  • 14.
    Historia natural  Esuna patología muy prevalente 1% consultas, asociada muchas veces a licencias medicas (13% de toda los días ausentados)  La mayoría son evolución autolimitada  Menos de un 10% son cuadros severos  Una vez producido el evento, un tercio continuará con algunas molestia un año.  Lo importante es poder diferenciar los graves y poder predecir una posible evolución  En atencion primaria 1% son neoplasias, 4% fracturas por aplastamiento y 1-3% protrusion discal
  • 15.
     Estadísticamente lasdeorigen mecánico son un 90% y de buen pronóstico  El cuadro agudo el 50% mejora en una semana y el 90% total se resuelve en 8 semanas  Cuadro crónico:<5% de lumbalgia aguda pasa a dolor crónico
  • 16.
    A nivel dela consulta no especializada, la historia del dolor y el examen físico cuidadoso deben permitir una primera distinción entre 3 posibilidades: -Dolor o molestias lumbares menores de carácter mecánico-postural-tensional. -Dolor radicular -Dolor neoplásico y/u otro síntoma de alarma. La norma clínica clave radica en reconocer los casos en que el dolor se aparta del patrón “menor” y que obliga a practicar exámenes complementarios y derivar al especialista
  • 17.
    ¿Cuan comunes sonlos casos severos?  <5% tienen una raiz nerviosa comprometida  <1% tiene patologia grave como infección o tumoral  <1% enfermedades inflamatorias como espondilitis anquilosante
  • 19.
    Clasificación según evolución temporal Agudo es el que dura hasta 3-6 semanas  Lumbago prolongado hasta 3 meses  Lumbago crónico más de 3 a 6 meses
  • 20.
    Según origen y consecuenciasa futuro  Lumbago mecánico o inespecifico  Asociado a enfermedades graves  Lumbago asociado a ciatialgias  Referido o gananciales u otros
  • 21.
    Descartar Dolor Referido Abdomen: aneurisma aortico  Riñones: pielonefritis, hidronefrosis, calculo, tumor, absceso perirrenal  Ovario: quiste, cancer  Pelvis: endometriosis, menstruación, pelvic inflammatory disease  Vejiga: infecciones
  • 22.
    Dolores referidos ala espalda: -Riñón: Infección, inflamatoria, neoplásia, obstrución ureteral, trombosis arteria renal -Próstata: Prostatitis crónica -Páncreas: pancreatitis, cáncer. -Retroperitoneo: Hemorragia, tumor, absceso -Colon: Colitis ulcerosa, diverticulitis, cáncer colon -Ligamento utero-sacro: Endometriosis, Ca endometrio, mal posición uterina -Aneurisma abdominal
  • 23.
    Dolor referido •Dolor pleural •Renal,cálculos •Aneurisma aorticoAbdominal •Patologia uterina(mioma) •Colon irritable(dolor sacro) •Patologia cadera
  • 24.
    Edades en relaciónal lumbago  Osteoma osteoide en adolescentes  Enfermedad inflamatoria intestinal a los 20 años  Mieloma múltiple alrededor 70 años  Aneurisma Abdominal 70 o más  Sexo  Fracturas Osteoporoticas > mujeres  Fibromyalgia > mujeres
  • 25.
    Lumbago mecánico puro 90% de los casos  Inicio agudo y relacionado a un evento laboral o de esfuerzo  Empeora con el movimiento y mejora con el reposo. Amanece un poco mejor. Si hay ciatialgia esta no es metamérica.  No tiene banderas rojas  Evoluciona a la mejoría antes de 3 semanas
  • 27.
    ¿Qué se busca? Que no se nos pase algo de gravedad asociado, (tumores, fracturas,etc).  Descartar cuadros neurológicos  Mejorar causas desencadenantes laborales o de su hogar, ( trabajos duros o esfuerzos no habituales o sedentarismo)  Se pide rx con el fin de descartar otras patologias y con mayor razón en menores de 20 y mayores de 50 años.  En la rx no se ve causa en la mayoría de los casos o bien si no se asocia a la anamnesis y examen físico puede llevarnos a error…
  • 28.
    -Historia clínica -Exploración física Síntomas Síntomas menores de alarma -Dolor en reposo y/o nocturno -Molestias dolorosas -Baja de peso -Contractura muscular -Sensación febril -Examen neurológico normal -Rigidez matinal poliartralgias -Rx simples normales -Dolor agudo persistente -Dolor prolongado -Déficit neurológico DIAGNOSTICO Exámenes complementarios ALGIA: Mecánica-tensional-postural FRACTURA ESPONDILODICITIS Tratamiento sintomático -Inespecífica COMPRESION PATOLOGICA NEURAL -Inflamatoria -Neoplásica PELVI- -Porótica ESPONDILOPATIA
  • 29.
    ¿Y de verdadcómo evolucionan?  Hay que tener paciencia y gobernar la situación, dado que el paciente lo primero que piensa es LO PEOR. ( la verdad es que la mayoría son de buen pronóstico)  ¿Dr. No será un hernia, me van a operar o quedaré así de por vida, y la invalidez y la silla de ruedas….? ¿Y si pedimos un tac o una rnm o me manda a un especialista en Santiago?  La mayoría se mejora dentro de 3 semanas, de estos el dolor cede significativamente en 7 a 14 días. Casi hay que hacer labor educativa y psicoterapia al paciente y su familia.
  • 30.
    indicaciones  Reposo absolutoen cama 2 a 3 días, más dias se ha visto que puede prolongar el cuadro, volver a actividad normal en forma progresiva es mejor que reposo alargado  Mucho calor local  Analgesicos  Relajantes musculares o sensillamente si es necesario Diazepam  Citar al paciente en 3 días y reevaluar
  • 31.
     Al tercerdía si está mejor, pasamos a la fase de recuperación por 4 a 10 días.  Pasamos a fase de tratar de reincorporarlo a su trabajo, iniciar knt si hay contractura, ergonometria, enseñar medidas preventivas.  Asegurarnos que no se nos haya pasado alguna enfermedad grave.
  • 32.
    ¿Por qué nopedir Rxs en la etapa aguda?  Las imagenes pueden estar alteradas por posiciones antálgicas del paciente.  Bajo los 60 años: bajo rendimiento resultados inesperadas , Rxs demuestran solamente alteración 1 de cada 2.500 pacientes con dolor lumbar.  Confunden: abombamiento de disco 1 c/3rx  Herniación de disco en pacientes sin dolor 1 de c/5tac
  • 33.
    Estudio George Washington- 1990  67 pacientes que nunca tuvieron lumbago ni ciatialgia  < 60 y o  MRI + 20% Herniated Disc  MRI + 50% Bulging Disc  > 60 y o  MRI + 30% Herniated Disc  MRI + 80% Bulging Disc  MRI + 20% Spinal Stenosis
  • 34.
    ¿Y si nose mejora?  ¿habrá seguido las indicaciones?  ¿Estará disfrutando de su licencia medica?  ¿No le han pagado y no pudo cumplir lo indicado?  Al 10º día se piden rx, examenes de laboratorio , reevaluar, y posible derivación?  ¿Estaremos frente a un cuadro cronificado?
  • 36.
    Lumbagos agudos consignos inflamatorios  Son un 10% de los casos, se inician en forma progresiva y gradual, sin causa  Empeora con movimientos, no mejora con el reposo  Amanecen con rigidez matutina  Puede haber signos Alerta como astenia ,adinamia, anorexia, fiebre, pérdida de peso  Debemos descartar cuadros tumorales,metastásicos, reumatologícos, infecciosos, etc
  • 37.
    Cuando tenga supaciente un sindrome dolor lumbar, no debe olvidar 1. Tumores (metástasis) 2. Infección 3. Fracturas por compresión (osteoporosis) 4. Sindrome cauda equina 37
  • 38.
    -Historia clínica -Exploración física Síntomas Síntomas menores de alarma -Dolor en reposo y/o nocturno -Molestias dolorosas -Baja de peso -Contractura muscular -Sensación febril -Examen neurológico normal -Rigidez matinal poliartralgias -Rx simples normales -Dolor agudo persistente -Dolor prolongado -Déficit neurológico DIAGNOSTICO Exámenes complementarios ALGIA: Mecánica-tensional-postural FRACTURA ESPONDILODICITIS Tratamiento sintomático -Inespecífica COMPRESION PATOLOGICA NEURAL -Inflamatoria -Neoplásica PELVI- -Porótica ESPONDILOPATIA
  • 39.
    Tumores y metástasislumbares  Las neoplasias corresponden a un 1% de los lumbagos  Factores de riesgo o banderas rojas:  edad> 50  Previa historia de cáncer  Pérdida inexplicada de peso en 6 meses(> 4.5 kg )  Falla del tratamiento en 4 semanas  Emperan con reposo en cama  En los pacientes sin esta historia, la probabilidad se acerca a cero
  • 41.
    Metàstasis son lasprincipales  Pulmonar mamario prostata linfoma carcinoma renal melanoma Sarcoma mieloma múltiple tiroideo
  • 43.
    No confundir condolor Sacroiliaco
  • 44.
    Enfermedades inflamatorias  Espondilitisanquilosante  Polimialgia reumatica  Artritis reumatica (rara)  Pelviespondilopatias
  • 45.
  • 46.
    Test de compresiónpelvica Positivo si duele SI
  • 47.
    Gaenslen’s Sign  Nalgasy extremidad cuelga fuera de camilla  Positivo si dolor es alrededor de SI
  • 48.
    Dolor y rigidezmatutina persistente en espondilitis anquilosante
  • 49.
    Infecciones  Shigelosis  Discitis Osteomielitis  Absesos epidurales
  • 50.
    Infecciones  En generaltienen lo siguiente:  fiebre  drogadictos  Infecciones urinarias  Cateteres urinarios  Infecciones a la piel  He visto pacientes con TBC de publos del interior que no se vacunaron 50 See Notes for References.
  • 51.
    infecciòn  Compromete 2 vertebras y el disco intervertebral, espondilodiscitis.  S.aureus. Gram -,  TBC en crónicos
  • 52.
    Degenerativo y estructural Spondilosis  Spondilolistesis Grosera escoliosis o cifosis
  • 53.
    Enfermedades metabólicas  Osteoporosis(fracturas por compresión)  Osteomalacia  Enfermedad de Paget
  • 54.
    Fracturas por compresión Son un 4% de las causas de lumbago  Factores de riesgo:  edad > 70  Uso de corticoides largo plazo  Con o sin antecedente de trauma menor o mayor 54 See Notes for References.
  • 57.
    Lumbalgia aguda conafección radicular  También, la mayoría son de buen pronóstico, y la mayoría no requieren cirugía.  Tienen lumbago más dolor metamérico  Se pretende buscar causa desencadenante y factores de riesgo.  Se hace diagnóstico, se ubica posible raíz afectada y grado de compromiso  Y se descartará afección medular.
  • 58.
    lumbociatica  90% sonde origen causado por HNP  96% son L4-L5 y L5-S1  Inicio habitualmente brusco, aunque no siempre  Dolor lumbar que se irradia a gluteo ,muslo y cara externa y posterior de pierna y termina en ortejos  Aumenta con el esfuerzo, tos, valsalva  Cede el dolor con reposo y posición fetal
  • 59.
    Examen físico  Signosirritativos dolor irradiado y al presionar trayecto n. ciático  Signos deficitarios : motores, sensitivo,rot  Signos semiologicos: postura antalgica, contractura muscular, alteraciones movilidad
  • 60.
    Signos irritativos  ¿cómose saca los pantalones y ropa?  Cojera o se tropieza  Escoliosis antialgica  Columna rígida (signos de Schober)  Se palpa intensa contractura muscular  Atrofia glutea (raíz S1 crónica)  No puede caminar con punta de pie (S1)  No puede caminar con talones (L5)  Maniobras de valsalva aumentan dolor  Signo de Lasegue al tener cadera en 90º y extender la rodilla se reproduce el dolor ( no los isquiotibiales)  Signos de TEPE con extremidad extendida sobre 30º o contralateral.  Signo de Growers-Bragard al dorsiflectar pie al hacer TEPE
  • 61.
  • 62.
    Maniobra de Valsalva Examina lo siguiente Irritación de  Disco herniados, tumor, osteofitos deentos del canal medular  Positivo  Aumenta dolor por aumento de presión intratecal.  Puede ser dermatómico
  • 63.
    Unilateral Straight LegRaise Test (Laseque Test)  Evalua lo siguiente IRRITACIÖN de Articulación SI, lumbar s, isquiotibiales, o compromiso dural  Procedimiento  Paciente relajado con cadera y rodilla extendida  Dr pasivamente eleva extremidad hasta que aparezca dolor  Dr baja suavemente extremidad hasta que cede dolor  Dr dorsiflecta el tobillo mientras paciente flexiona cuello  Positivo  Dolor con dorsiflexión o flexón cuello = compromiso dural  No hay dolor al dorsiflectar tobillo y flexión cuello = acortamiento isquiotibiales, o SI o compromiso lumbar  Dolor sobre 70º = compromiso lumbar o SI
  • 64.
    Lasegue bilateral  ExaminaIrritación de  Articulación sacroiliaca y lumbar  Técnica  Igual al lasegue unilateral  Levantar ambas extremidades simultaneamente  Positivo  dolor > 70º flexion cadera = articulación SI  Dolor < 70º = compromiso columa lumbar
  • 65.
    Lasegue contralateral  ExaminaIrritación de  Disco herniado  procedimiento  Paciente supino  Dr pasivamente flexiona cadera de extremiada no afectada con rodilla extendida  Positivo  Doloren lado afectado  Puede ser radicular
  • 66.
  • 67.
    Signos neurologicos  RaizL4 (4%) disminuye rot patelar y sensibilidad metamérica raiz L4 cara interna de tibia  Raiz L5 (48%) disminue fza de extensor propio ortejo mayor, ( no camina en talones), disminuye sensibilidad de parte externa de pierna y dorso pie 1er espacio intermtt  Raiz S1 (48%) Rot aquiliano, no camina de puntillas, sensibilidad disminuida en cara extena de pie y 5to ortejo
  • 70.
    Examen neurológico básico Disfunciónmarcha por paresia de miómeros  L4: incapacidad de marcha en talones por paresia músculo tibial anterior.  L5: marcha en talones sin extensión de dedos por compromiso músculo extensor del primer ortejo y común de los dedos  S1: Incapacidad de marcha en punta de pies por perdida de fuerza de soleos y gastronemios.
  • 71.
    Pruebas de tensióndel nervio ciático  Test de elevación de pierna extendida (TEPE): Decúbito dorsal, mano examinador bajo el talón se eleva la extremidad con rodilla extendida.  TEPE contralateral: Gran valor diagnostico cuando reproduce raquialgia en extremidad contralateral.  Signo de Lasegue: Decúbito dorsal cadera y rodilla en 90°, se extiende la rodilla: despierta dolor en pierna y muslo (no confundir con isquiotibiales acortados)
  • 72.
    Pruebas de tensióndel nervio femoral  Signo de O´Connell: Decúbito ventral se flecta la rodilla desencadenado dolor en cara anterior del muslo. Se puede levantar el muslo extendiendo la cadera logrando extender mas el nervio.
  • 80.
    Lumbociatica bilateral o sindromeCauda equina  Descartar compromiso masivo o cauda equina que tiene compromiso esfinteriano vesical y pérdida sensibilidad en silla de montar. Es de mal pronóstico, es urgencia, muchos quedan secuelados. Su fc es de 0,04% de los casos  Saber que en general se dividen en HNP (95%) y no HNP; (tumores oseos, tumores sns, congenitas, espondilositesis, estenorraquis,etc)  SI UN PACIENTE NO PUEDE CAMINAR Y NO CONTROLA ESFINTER HOSPITALIZAR POR SER EMERGENCIA NEUROQX
  • 81.
  • 82.
    Que saber delas HNP  El tratamiento es conservador exitoso en 90% de los casos en un plazo de 3 semanas.  Indicación quirúrgica inmediata son HNP masivas , compromiso neurológico deficitario significativo, o no respondieron en las 3 semanas a tto medico. Ej HNP extruidas.  Cuando se requiere cirugía (imagen +clinica que confirma compresión radicular y no simple irritación), hay un 90% de desaparición del dolor en post op inmediato y un 85% de satisfacción a largo plazo  Los malos resultados qx son por error dg, qx realizadas a destiempo ( o muy precoz o muy tardía), mala interpretacion de imágenes , banderas amarrilas , complicaciones quirúrgicas. ( infección, fibrosis, inestabilidad, etc)  Reintervenciones quirúrgicas, en general el éxito es mucho menor
  • 83.
    Lumbociática radicular  Manifestacionesclínicas son metaméricas. Carácter preciso alcanza pierna tobillo y pie. Compromete músculos de miomero correspondiente hay hipo o arreflexia.  La magnitud del dolor se relaciona con el grado de inflamación de la raíz y el ganglio dorsal.  El déficit motor, sensitivo y de los reflejos están relacionados con el grado de compresión de los elementos neurales
  • 84.
    Se debe distinguirentre: -Lumbociática radicular irritativa -Lumbociática radicular compresiva En la primera la alteración tisular es bioquímica y en la segunda es biomecánica, lo que significa un conflicto continente-contenido con compresión neural
  • 85.
    Síndrome radicular irritativo Corresponde a una radiculitis secundaria a la filtración de neuropeptidos a través del anulus fibroso o a la extrusión menor de fragmentos nucleares.  El dolor es intenso, lasegue y TEPE(+) desde primeros grados  El déficit motor es poco relevante.  Existe hipoestesia cutánea frecuentemente.  (TEPE: Test de elevación de pierna extendida)
  • 86.
    Síndrome radicular irritativo Las imágenes de TAC y RNM muestran protusión difusa discal que se informan como “Hernia” siendo un evento normal del proceso degenerativo discal.  Las radiculopatias irritativas son de tratamiento medico. La cirugía esta contraindicada
  • 89.
    Hernia nucleo pulposoHNP  La degeneración progresiva de un disco, o por un evento traumatico, puede conducir a una falla del anillo fibroso y así no logra contener el tejido del nucleus pulposus
  • 95.
    HNP Hernia nucleopulposo  síntomas  lumbago  ciatialgia  disestesias  Anestesias
  • 96.
    Síndrome radicular compresivo La compresión de una raíz y/o su ganglio dorsal puede expresarse solo con dolor (moderado)  Cuando es intenso se asocia a inflamación periradicular por extrusión nuclear masiva.  El dolor sigue claramente un dermatoma  Las paresias afectan a los músculos del momero de la raíz comprometida.
  • 97.
    Hernia Nucleo Pulposo Variosgrados  Protrusión discal  Signos moderados  Usualmente cede con tto conservador  Raramente qx  Extrusión (herniación)  Sintomas moderados a severos  Tratamiento conservador
  • 99.
    Abordaje conservador ciatialgia Mucha paciencia, familia y paciente sienten que no les están ayudando.  Pedir rx y tac y rnm con precaución , sobre 15 dias de evolución insatisfactoria, si el cuadro es recidivante, banderas rojas, o sospecha de raquiestenosis u otra causa.
  • 100.
     Educar yconvencer al paciente  Reposo en cama 3 a 4 dias  Mucho calor local,  Posicion de feto si lo tolera  Aines, tramadol,  Relajantes musculares o diazepam  Citar al paciente a los 10 dias y si hay mejoría iniciar knt. Vuelta laboral faena liviana,  Si al reevaluar hay signos irritativos pero no deficitarios se mantiene aines evitar esfuerzos, evaluar situación laboral y se pide TAC. De lo contrario derivar. Si hay déficit o es recidivante o banderas rojas derivar.
  • 101.
    Indicaciones de cirugíaHNP  Absoluta  Cauda Equina Syndrome  Inicio reciente, déficit motor Severo y Progresivo  Relativas  Fracaso de un tratamiento conservador bien llevado de ciatialgia de 3 a 6 semanas  Dolor radicular severo e intratable  Herniación en un canal espinal estenosado o canal radicular estenosado  Déficit motor significativo con signos positivos de irritación radicular  Fragmentos grandes extruidos  Recurrencia de ciatialgia depués de un tratamiento conservador La presencia de un déficit motor leve o moderado no implica un tto quirurgico o conservador.
  • 102.
    Indicación QX deHNP  Fracaso de tratamiento conservador  Minimo 6 semanas de tto  Discectomia  Remoción de zona discal herniada  A través de incisión mínima  Alta tasa de resultado ok
  • 103.
    imagenes  Rx nove HNP, es un método de descarte de otras patologías  TAC permite ubicar HNP, pero no ve tumores intratecales  RNM ideal para ver partes blandas, pero puede confundir al ver demasiado…  Recordar que existen HNP imagenológicas en un 25 a 50%de la gente SANA, o sea tenerla no es estar enfermo y menos que me tengan que operar  Discopatias o degeneración discal está presente en un 25 a 70% de las personas SANAS Asintomáticos, y es un signo de ENVEJECIMIENTO Y SOBREUSO
  • 104.
    Banderas amarrillas  Actitudesy creencias sobre el lumbago  Estres emocional  Compensación laboral  Somatización  Depresión  Temor a agravarse, ansiedad,angustia
  • 105.
    Banderas rojas  Primerepisodio antes de 20 y despues de 50 años  Dolor nocturno mayor que diurno  Sintomas generales de fiebre, aaa, baja peso  Antecedente cáncer  Trauma reciente  Inmunocomprometidos
  • 106.
    ¿Cuando derivar?  Caudaequina - immediatamente  Patologia espinal seria – una semana  Déficit neurológico progresivo –una semana  Ciatialgia que no se resuelve en 6 semanas – en 3 semanas  Enfermedades inflamatorias -2 semanas  Bandera amarrilla no resueltas en 2 meses referir antes de 2 semanas
  • 108.
    Lumbalgia crónica  Pacientede más de 6 semanas, sin radiculalgia  Objetivo, dg diferencial de causas no mecanicas, y problemas graves, diferenciar de complicaciones y otros origenes  Dg de existir factores que prolongen la enfermedad.
  • 109.
    Buscar banderas rojas y amarrillas,  Correlación clinica e imagen  Dolores de causa diferida  Origenes vasculares  Neoplacias-fracturas ocultas  Neuropatía diabetica  Embarazo-ginecologicas  Cambios de peso  Factores laborales-economicas-familiar  Creencias-expectativas- preocupaciones
  • 110.
     Laboratorio hemogramavhs,calcio, fosforo,fosfatasas alcalinas, si tiene más de 50 años f. acidas, bence jones,etc  Rx ap-lat  Definir si el lumbago cronico es de origen conocido (tumores, estenorraquis, hnp no tratadas, DM, fracturas,etc)  O es de causa inespecífica.
  • 111.
    tratamiento  Tener como fin tratar origen específico  Disminuir consumo de fármacos, aines,etc  Disminuir procedimientos invasivos  Incrementar capacidad del paciente  Disminuir la intensidad subjetiva dolor  Disminuir consumo de servicios de salud  Ayudar en conflictos M-L  Minimizar costos
  • 112.
     Disminuir diasde reposo y solo darlos en cuando dolor exacerbe  Mantenerlos activos laboralmente siempre que sea posible  Antidepresivos  Knt  Ejercicios aerobicos  Psicologos  Higiene postural
  • 113.
    Higiene postural minimizarse transportemanual carga Usar herramientas ergonométricas Técnicas adecuadas de levantar objetos Transportar en posición erguida erecta Utilizar musculatura piernas-rodillas al levantar carga No reir, toser,estornudar al transportar carga Armonia al transportar objetos Nunca doble sólo cintura, use cadera-rodillas No levantar objetos sobre cintura Llevar objetos equilibradamente Mantenga la cabeza en línea con la columna Sillas blandas y camas profundas no son adecuadas Use tacones en los zapatos moderados y siempre los mismos Utilize músculos abdominales
  • 114.
    Factores pronósticos de evolucióna cronicidad  Varones en edad laboral  Nivel educativo bajo  Drogadicción y oh  Antecendentes de otras patologías dolorosas cronicas  Otras patologías somáticas (cefaleas, ci)  No se descubres signos orgánicos  No se encuentra origen específicos  Niveles de dolor muy intensos  Personalidad rígidad, o psiquiatrica, o frustables  Factores laborales (trabajo duro, posturas prolongadas, cargas importantes, repetitivas, insatisfactorio,accidente laboral previo al cuadro,alta rotación laboral)  Factores de ganancia económica y litigios laborales, cobrar seguros e indemnizaciones
  • 116.
    Algorithm 1: Initialevaluation of acute low back problem
  • 117.
    Algorithm 2: Treatmentof acute low back problem on initial and followup visits
  • 118.
    Algorithm 3: Evalationof the slow-to-recover patient (symptoms > 4 weeks
  • 119.
    Algorithm 4: Surgicalconsiderations for patients with persistent sciatica
  • 120.
    Algorithm 5: Furthermanagement of acute low back problem
  • 123.
    Spondylosis  Generalized processof the axial skeleton  Sequence of degenerative change  Start biochemical and cellular level  Manifest biomechanical and morphologic level
  • 124.
    Indicaciones de cirugíaHNP  Absoluta  Cauda Equina Syndrome  Inicio reciente, déficit motor Severo y Progresivo  Relativas  Fracaso de un tratamiento conservador bien llevado de ciatialgia de 3 a 6 semanas  Dolor radicular severo e intratable  Herniación en un canal espinal estenosado o canal radicular estenosado  Déficit motor significativo con signos positivos de irritación radicular  Fragmentos grandes extruidos  Recurrencia de ciatialgia depués de un tratamiento conservador La presencia de un déficit motor leve o moderado no implica un tto quirurgico o conservador.
  • 125.
    Timing of Surgery Cauda Equina Syndrome  ASAP  Relative Indications  Lack of scientific evidence on optimal timing  Rarely <6 weeks  Period in which improvement in symptoms generally known to occur  Should not be delayed beyond 3-4 months  Chances of improvement in radicular pain are slight and decrease further after 6 months
  • 126.
    Ciatialgias puras, noHNP  Bursitis trocantéreas  Artrosis cadera  raquiestenosis
  • 127.
    1. Characteristics ofthe Pain  Location  leg pain > back pain  Suggests lumbar radiculopathy  Sensitivity 95% and specificity of 85%  Leg pain aggravated by walking and standing but relieved by sitting suggests spinal stenosis  Anterior thigh pain suggests upper lumbar radiculopathy or hip disease  Onset  Gradual, slow – degenerative mechanical pain  Sudden and severe – osteoporotic compression fracture.  Effect of positional change  Constant unrelieved with position change – cancer  Mechanical – relieved when supine, increased when position is changed
  • 128.
    Cancer y Lumbago 2/3 de cancer presentan lumbago  Màs comunes: mama,pulmon, riñon o prostata  Mieloma múltiple es lo más común  Enfermedades malignas no espinales asociadas lumbago  Pancreatic carcinoma  Renal cell cancer  Intrapelvic tumors  Lymphoma with retroperitoneal lymphadeopathy
  • 129.
    Cancer y lumbago 78 – 94% lumbago VHS >20 mm/hr  RX AP-LAT es sensible en 65%  MRI y CT son sensibles en 95% detectar cáncer  Cintigrama óseo es sensible en 95% sensitive pero puede ser normal en mieloma múltiple
  • 131.
    Radiograph (left) Vertebralcompression fracture (arrow) in an elderly patient. Bone scan (right shows increased uptake in the acutely compressed vertebra.
  • 132.
    Abdominal Aortic Aneurysm Occur in 4% of persons > 50 yr.s  Men>Women  More common in persons with Peripheral Vascular Disease  Most are asymptomatic  10 – 15% present with: Back pain  Often associated with abdominal pain  Radiating to the hips and thighs  Aneurysm rupture assoc/w a sudden dramatic increase in pain  Pulsatile abdominal mass in 50%  AP and lateral lumbar spine films – 70% curvilinear aortic calcifications  Abdominal ultrasound or CT – 100% sensitive
  • 133.
    Polymyalgia Rheumatica  Sudden(often overnight) onset of pain and stiffness in the neck, upper back, shoulders, lower back, buttocks and hips  Usually in persons > 50 yr.s (prevalence increases with age)  Giant cell arteritis found in 40%  Sed rate > 40mm/hr.  Dramatic response to trial of low dose prednisone confirms the diagnosis
  • 136.
    Síndrome lumbar puro Localizado en zona lumbar, de tipo axial o paravertebral, uni o bilateral, en franja o cinturón, puede tener una irradiación a sacroiliacas o glúteos no sobrepasando su pliegue distal  Se asocia a contractura muscular y rigidez vertebral
  • 139.
    Síndrome lumbo crural Es equivalente a una lumbociática crural pero su irradiación ocurre en la cara anterior del muslo y la pierna debido a que se comprometen raíces mas altas L2, L3 y L4.  La tensión radicular se busca con el signo de O´Connell que elonga el nervio femoral.  La paresia se expresa en el cuadriceps.  El reflejo patelar esta disminuido.
  • 140.
    Síndrome de claudicaciónneural intermitente  Típicamente la persona inicia actividad sin molestias, en la medida que marcha progresa empieza a sentir dolor lo que le obliga a detenerse en ante flexión  Mayores de 65 años  Espondiloartrosis lumbar difusa  Dg. diferencial.
  • 141.
    Neural Vascular Localización Proximal lumbar- Distal pantorrilla muslo Cede con.. Anteflexión, Al detenerse de pie sentado Referido como.. Debilidad rodillas y Agarrotamiento de piernas pantorrillas Al subir plano Disminuye es Aumenta inclinado soportable francamente Al bajar plano Aumenta por Disminuye por inclinado hiperlordosis menor demanda Pulsos periféricos Simétricos amplios Asimétricos ausentes o débiles
  • 145.
    Spinal Stenosis  Groupedas “spinal stenosis”  Central stenosis  Narrowing of the central part of the spinal canal  Foraminal stenosis  Narrowing of the foramen, resulting in pressure on the exiting nerve root  Far lateral recess stenosis  Narrowing of the
  • 146.
    Spinal Stenosis  Symptoms  Back pain  Pain, dysthesias, anesthesias in the buttocks, thighs, and legs  Unilateral or bilateral  Symptoms occur while walking or standing, and remit when sitting  May start in the buttocks and traverse to the legs or vice
  • 147.
    Spinal Stenosis  Diagnosis  MRI/computerized tomography (CT) scan/ patient examination  Nonoperative care  Rest  NSAID medication  Physical therapy  Exercise/walking  Steroid injections
  • 148.
    Spinal Stenosis  Surgicalcare  Failure of nonoperative treatment  Minimum of 3-6 months’ duration  Decompression  Bone removal to widen area  Laminectomy  Foraminotomy  High success rate  May require adjunct fusion to address instability
  • 149.
  • 150.
  • 151.
    Segmental Instability  Spondylolisthesis  Forward displacement  Retrolisthesis  Backward displacement  Lateral listhesis  Sideways displacement  Axial and rotational displacement  Segmental hypo- and hyper- kyphosis or lordosis
  • 152.
    Segmental Instability  Spondylolisthesis  A forward translation of 1 vertebral body over the adjacent vertebra  Degenerative  “Adult-onset” progressive slip  Lytic  Develops in children or adolescents, but only 25% experience symptoms  Spondylolysis  A fracture or defect in the vertebra, usually in the posterior elements—most frequently in the pars interarticularis  Spondyloloptosis  Complete dislocation
  • 153.
    Spondylolisthesis  Gradation of spondylolisthesis  Meyerding’s Scale  Grade 1 = up to 25%  Grade 2 = up to 50%  Grade 3 = up to 75%  Grade 4 = up to 100%  Grade 5 >100% (complete dislocation,
  • 154.
    Spondylolisthesis  Symptoms Low back pain  With or without buttock or thigh pain  Pain aggravated by standing or walking  Pain relieved by lying down  Concomitant spinal stenosis, with or without leg pain, may be present  Other possible symptoms  Tired legs, dysthesias, anesthesias
  • 155.
    Spondylolisthesis  Surgical care  Failure of nonoperative treatment  Decompression and fusion  Instrumented  Posterior approach  With interbody fusion
  • 156.
    Spondylolysis  Spondylolysis  Also known as pars defect  Also known as pars fracture  With or without spondylolisthesis  A fracture or defect in the vertebra, usually in the posterior elements— most frequently in the pars interarticularis
  • 157.
    Spondylolysis  Symptoms  Low back pain/stiffness  Forward bending increases pain  Symptoms get worse with activity  May include a stenotic component resulting in leg symptoms  Seen most often in athletes
  • 158.
    Spondylolysis  Diagnosis  Plain oblique radiographs  CT, in some cases  Nonoperative care  Limit athletic activities  Physical therapy  Most fractures heal without other medical intervention
  • 159.
    Degenerative Disease: Facet Arthritis Changes in disc structure and function can lead to changes in the articular facets, especially hypertrophy (overgrowth), resulting from the redirection of compressive loads from the anterior and middle columns to the posterior elements
  • 160.
    Degenerative Disease: Facet Arthritis Facet Injections  Anesthetic effect  Relief may last for several months or only a few weeks, or a few days
  • 161.
    Definitions, continued  CompressionFracture – fracture that collapses a vertebrae