MANEJO INICIAL
TRAUMA
EN EXTREMIDADES
Meisser Alberto López Córdoba
Cirujano de Mano y Miembro Superior
Universidad de Antioquia
Hospital Universitario San Vicente Fundación
Medellín -Colombia
Manejo inmediato !!!
EMERGENCIAS
Fractura abierta
Inicio precóz
de antibióticos
Luxación
Siempre intento
hacer reducción
Sind.
Compartimental
El dolor es el principal
elemento Dx
Fx intracapsular de
cadera
Riesgo de necrosis
avascular en menores de
65 años
Artritis séptica
Drenaje urgente
de la colección
2 2
2
El trauma musculoesquelético se evalúa siempre con
dos o más proyecciones: AP y lateral o AP y oblicua
IMÁGENES DX
Articulación
proximal y distal
a la fractura
Ap y oblicua en
mano y pie
Comparativas en
los niños
En fractura de
fémur siempre
Rx AP de pelvis
En Fx de cadera
siempre Rx
AP de pelvis
Fx tibia
AP Lateral
En algunos casos una proyección no muestra el
trazo de Fx pero la otra si ….
La proyección AP muestra el trazo de Fx
mas claro que la lateral
Fx del carpo (triquetral o piramidal)
Al evaluar un trauma musculoesqueletico con Rx
siempre solicitar al menos dos proyecciones
Fractura del piramidal o triquetral
En los traumas del codo, podemos encontrar un signo
indirecto de Fx no desplazada en la lateral:
el signo del cojinete graso posterior y
el signo de “la vela” anterior (zonas radiolúcidas)
1
2
1
3
2
4
El hematoma
genera signos
del cojinete y de la vela
Cojinete
posterior
Signo
de la vela
Cojinete
posterior
Signo
de la vela
Además de la Fx del cúbito
también hay una luxación radiocubital proximal…
Recuerde siempre incluir articulación proximal y distal
en las Fx diafisiarias
Anatomía
El conocimiento de la anatomía, por parte del médico,
es fundamental para el Dx y sospecha de lesiones asociadas de tejidos blandos
Quien tiene la lesión?ANAMNESIS
Las fracturas en los niños tienen mayor potencial
de remodelación y toleran mas angulaciones
Personalidad de la Fx …
Mecanismo de lesión?
ANAMNESIS
El mecanismo
ayuda a
sospechar el
Dx y lesiones
asociadas
Las caídas en personas de edad avanzada nos deben alertar respecto a tres causas:
-Caída por tropezar
-Caída por un sincope
-Caída por dolor asociado a Fx patológica
Impresión Dx
Tx de
tejidos
blandos
Avulsión o Fx abierta
FX o esguince de tobilloluxación
Que hago? Remisión?
TRATAMIENTO
Reducción?
Inmovilizo?
Como pongo la férula?
Antibióticos?
Remisión urgente?
Las clasificaciones son muy importantes, unas más útiles que otras;
sin embargo no son indispensables para el manejo inicial
por parte del médico general.
Lo importante es identificar en forma genérica las lesiones,
y así de esta manera orientar el manejo.
Esta recomendación no aplica para las Fx abiertas, cuya clasificacion es importante conocer
Fractura abierta en antebrazo
Tamaño de la Hx?
Contaminacion?
Lesiones asociadas?
Tiempo de evolución?
Inicio precoz de antibióticos
Fractura cerrada de humero
Trazo transverso
No desplazada
Inmovilizo con pinza de azucar
Lesión del radial?
Fractura oblicua larga tibia distal
Inestable, con fragmento en mariposa
Férula inguinopédica
Fractura diafisiaria de tibia
Trazo transverso
inestable
Inmovilizo con férula inguinopédica
Fractura de radio +
Lx radioulnar distal
(Galeazzi)
Fx desplazada
Férula braquiopalmar
Remisión para Cx
Fractura de MTC
Fx oblicua larga
Fx desplazada, inestable
Férula antebraquiodigital
Remisión para Cx
Clavicula
Escápula
Húmero
proximal
Trauma de miembro superior
Cerca del 75 a 80% se presentan en el tercio medio
A pesar de su proximidad con grandes vasos y nervios
las lesiones neurovasculares son raras
CLAVICULA
CLAVICULA
Lateral Medio Medial
El desplazamiento esta asociado a
tracción muscular y
lesión de ligamentos coracoclaviculares
Deformidad clínica que sugiere Fx de clavícula;
sin embargo siempre es necesario hacer Rx
para descartar o confirmar lesiones en la escápula y hombro
Rx verdadera AP
de hombro
La glenoides se
observa como un
borde
Rx Lateral de escápula
Coracoides (C), espina (E)
de la escápula
Co E
A: acromion
Co: coracoides
E: espina
Cl: clavícula
Cl A
Axial
o
axilar
A: acromion
C: coracoides
G: glenoides
CH: cabeza humeral A
G
C
CH
Fx conminuta del tercio medio
Tto NoQx
Fx del tercio medio acortada >2cm
Tto Qx
Fx del tercio externo, desplazada,
ruptura inminente de piel
Tto Qx
Fx del tercio externo, poco desplazada,
Tto NoQx
34
Fx del tercio medio, poco desplazada,
Tto NoQx
Fx del tercio medio,
Conminuta.
Tto Qx
Fx del tercio externo,
desplazada,
Tto Qx
Fx del tercio medio, conminuta.
Ruptura inminente de piel
Tto Qx
La ruptura inminente de piel es una indicación de remisión para Cx,
ya que se convertirá en una Fx abierta.
Tratamiento NoQx, en niños por 2 a 3 semanas y
en adultos 4 a 6 semanas con cabestrillo
Inmovilizador en “8”,
otra opción de tto. NoQx
Criterios para cirugía
-Lesión neurovascular
-Fx abierta
-Desplazamiento >2 CM
-Ruptura inminente de piel
-Politrauma
-Hombro flotante
-No unión
LxFx con lesión vascular
Llevada a cx
Fx bilateral. Tto Qx
Hombro flotante
Fractura de clavícula + fractura de glenoides
Fractura de clavicula
Fractura del
Cuello de la escapula
La cirugía tiene riesgos,
de no unión al desvascularizar
los fragmentos y la infección,
entre otros… sin embargo
en algunas ocasiones es la mejor opción.
Fx del 1/3 externo
desplazada
Clavícula
Otras posibles técnicas Qx de acuerdo a la lesión
ACROMIOCLAVICULAR
Clavícula
Acromion
Acromioclavicular
Escápula
Capsula
Articular
Mecanismo
de lesión
Grado I Grado I ó II
Los esguinces GI y GII son indiferenciables en la Rx; en ausencia
de lesiones óseas en la Rx y con dolor a la palpación se trata
entonces de un esguince GI o GII, y el tratamiento es el mismo,
cabestrillo por 7 a 10 días, hielo local los 1ros 3 días
y antiinflamatorios
Grado IIIGrado III
Los esguinces GIII son evidentes en al radiografía por el
desplazamiento. El tratamiento se hace con frio local,
cabestrillo por 4 a 6 semanas y antiinflamatorios.
Grado III Grado V
En el esguince GV el desplazamiento es mayor por desgarro de
Inserciones musculares y del periostio
Lx AC
GIV
Lx AC
GV
Lx acromioclavicular
Lx AC
GV
Lx AC
GV
Lx acromioclavicular GV
a>= 2b entonces = GV
a
b
A: GIII cicatrizando.
Las demás son diferentes
técnicas quirúrgicas
A
Tratamiento No Qx…..
Cabestrillo 7-10 dias
Tipo III
Tratamiento No Qx…..
Cabestrillo 4 a 6 semanas
Tratamiento Qx en caso de:
-Persistir molestias y/o
dolor después de tto NoQx
-Deportistas de alto rendimiento
-Militares
Inmovilización con cabestrillo y remisión para tratamiento Qx…..
Cirugía con placa gancho
ESTERNOCLAVICULAR
Acromioclavicular
Esternoclavicular
Clavícula
Acromion
Esternón
Cabeza
Humeral
Mecanismo de lesión
Posterior Anterior
La incidencia, en una serie de 1,603
lesiones del hombro Cave et al (10) .
Reportó, Lx glenohumeral, 85%;
acromioclavicular, 12%; y
esternoclavicular, 3%.
A
B
C
A
B
C
Proyección de Serendipity
Lx posterior izquierda
Proyección de Serendipity
Luxación anterior derecha
Proyección de Serendipity
Luxación posterior derecha
Proyección de Serendipity
Anterior
Usualmente la Rx no es suficiente para el Dx
Luxación posterior
Anterior
Posterior
Esternoclavicular
Clavicula
Arteria innominada
Vena subclavia
Nódulo linfático
Esófago
Pulmón derecho
Arteria carotida común
Vena subclavia
Arteria subclavia
Pulmón izq
Relación de articulaciones esternoclaviculares
y estructuras mediastinales
TRATAMIENTO NO QX
ANTERIOR
Subluxacion: hielo local +
cabestrillo
4-6 semanas
Luxación: reducción cerrada +
cabestrillo 4-6 semanas
POSTERIOR
Subluxación: hielo local +
cabestrillo 2-4 semanas
Luxación: reducción cerrada +
cabestrillo 4-6 semanas (puede
requerir anestesia general)
A. Lx anterior
B. Lx posterior
C. Lx posterior
Reducción
Reducción de Lx Posterior
TRATAMIENTO QX
El tratamiento Qx esta indicado en los casos crónicos con dolor o
cambios artrósicos, y en los agudos inestables según algunos autores.
No todas las series reportan buenos resultados.
ESCAPULA
Cuerpo
Espina
Glenoides
Coracoides
Acromion
Cuerpo
Acromion
Glenoides
3
4
1
2
5
3
1
2
6
1. Acromion
2. Coracoides
3. Cuerpo
4. Glenoides articular
5. Espina
6. Cuello de la glenoides
Figura 3
malcPosibles trazos de fractura
Fx de glenoides y
cuello de la escápula
Esguince
acromioclavicular
Fx articular de la glenoides Fx de la espina de la escapula
Fx de la coracoides
Las fracturas de la escapula hacen
parte de los traumas de alta energia
Esta protegida por férulas biológicas,
los musculos a su alrededor.
Desplazamiento >10mm indicación de Cx
CUERPO
GLENOIDES EXTRA-ARTICULAR
Desplazamiento >10 mm y/o angulación >40° es indicación de Cx
Fracturas desplazadas de escápula
Desplazamiento >2 mm dentro de la articulacion es indicación de Cx
GLENOIDES INTRA-ARTICULAR
Fracturas articular de la glenoides
Desplazamiento >10 mm indicación de Cx
ACROMION
Desplazamiento >10 mm indicación de Cx
CORACOIDES
Fx escápula
Hombros flotantes; Fx de clavicula y cuello de la glenoides
El manejo inicial para el hombro flotante u otra lesion de escapula es inmovilizar
con cabestrillo; esto como manejo definitivo en fracturas no desplazadas
o para inmovilizar mientras es llevado a cirugía
• Luxación hombro
• Fx húmero proximal
• Fx humero diafisiario
HUMERO
Luxación hombro
Urgencia !!!
Luxación anterior
95% de las Lx de hombro Puede haber lesión del plexo
braquial tipo neuropraxia
Luxofractura
sin disociación
de la cabeza y la diáfisis;
por lo tanto se puede
intentar la reducción
cerrada
Siempre radiografía de
control después de cada
reducción de luxación o
fractura
Luxación anterior
Maniobra de reducción
flexión + aducción +
rotación externa
Diversas maniobras
de reducción
Una vez lograda la reducción se comprueba la estabilidad y se deben
tomar radiografías de control. Se inmoviliza con cabestrillo y se protege
para no hacer rotación externa.
Si es inestable y se luxa fácilmente se inmoviliza por 3 semanas; si es
estable se inmoviliza por 2 semanas.
AP verdadera de hombro, esta proyección es importante porque permite
descartar luxación posterior de hombro….
La glenoides se ve como un borde y si la cabeza esta superpuesta
entonces esta luxada
Luxación posterior
Esta es una proyección
axial normal
Lx posterior con imagen de
lesión tipo HillSachs
AP y axial
HillSachs
Luxación posterior de hombro y radiografías AP verdaderas de hombro,
así es más fácil hacer el Dx
A) Lx posterior en Rx
verdadera AP
B) Y C) Lx posterior en AP
de hombro.
Estas son Lxs posteriores de hombro,
y el Dx imaginológico puede ser difícil
al evaluar una RX AP del hombro; a
diferencia de cuando se evalúa una
verdadera AP, en la cual al ver la
glenoides como un borde se debe
observar el espacio articular, en caso
contrario esta luxado posterior
Luxado Reducido
Una vez lograda la reducción se comprueba la estabilidad y se deben
tomar radiografías de control. Se inmoviliza con cabestrillo y cojín de
abducción y rotación externa.
Si es inestable y se luxa fácilmente se inmoviliza por 6 semanas; si es
estable se inmoviliza por 2 a 3 semanas.
Fx húmero proximal
Factores del paciente
Patrón de fractura
Estado de la vascularización
Grado de conminución
Calidad ósea
Fx húmero
proximal
Fx cuatro partes
impactada en valgo
Fracturas no desplazadas
para manejo con cabestrillo por 4 a 6 semanas
Fracturas desplazadas
para remitir con cabestrillo
y con indicación de Cx
Fx tres partes…
Cuello, cabeza, tub (-) Cuello, cabeza, tub (+)
Fx diafisis húmero
El desplazamiento de los fragmentos dependerá del nivel de
la fractura y su relación con las inserciones musculares.
Fx transversa
Reducción + pinza de azúcar
Rx de control
Fx transversa
pinza de azúcar
Rx de control
Fx transversa
Reducción + pinza de azúcar
Rx de control
Lesión
del nervio radial
Reducción con desviación en valgo y tracción longitudinal
+ inmovilización con pinza de azúcar
Control postreducción
Reducción adecuada
Control postreducciónno
No adecuada
Indicación de Cx
Fx conminuta, inmovilizada y luego llevada a Cx
A partir de la 2da o 3ra semana
se puede usar una ortesis o brace
La inmovilización es por
12 a 16 semanas
• Humero distal
• Olecranon
• Cúpula radial
• Luxación codo
CODO
Fractura
supracondilea
Clínicamente hay edema y deformidad
Es importante descartar lesiones
del nervio interóseo anterior,
con la flexión de la interfalángica
distal de índice y pulgar,
y descartar lesiones del nervio radial
Fractura supracondilea
de húmero
La inmovilización
se hace en la posición
en la que llega el paciente,
extensión completa o semiflexión,
y así no aumentar la compresión neurovascular
Fractura de la epitroclea
Esta Fx es de manejo
Qx cuando el desplazamiento
es igual o mayor a 10mm
Estas fracturas usualmente desplazadas,
son de manejo quirúrgico
Se deben inmovilizar con férula braquiopalmar y remitir
Olecranon
Intraarticular?
Inestabilidad?
Fx no desplazada
Nucleo de osificación secundario
Esta Fx es de manejo
Qx al comprometer la articulación
y estar desplazada
Fracturas desplazadas, para manejo quirúrgico
Las fracturas de olecranon se inmovilizan con férula braquiopalmar
Cúpula radial
Las fracturas aisladas de la cúpula radial
no son frecuentes, sin embargo
se deben sospechar en ausencia de otras lesiones
Las fracturas aisladas de la cúpula radial
No desplazadas o menos de 2mm,
son de manejo conservador
Las fracturas desplazadas de la cúpula radial
2mm, o más, comprometiendo la articulación
son de manejo quirúrgico
Las fracturas de la cúpula radial
Anguladas mas de 30º
son de manejo quirúrgico
Diferentes opciones de fijación con placa
Cuando no es posible la fijación,
se indica el uso de prótesis
En lesiones complejas e irreconstruibles del codo,
una opción es la prótesis total
Luxación codo
Urgencia !!!
Trauma codo
Fx antebrazo
Fx radio distal
En Lx de codo se inmoviliza
por dos semanas
CUBITO - RADIO
Galeazzi
Monteggia
Essex lopresti
Tratamiento NOQx
Tratamiento Qx
RADIO DISTAL
Qx
Vs
NoQx
 Criterios de LaFontaine
- Angulación dorsal >20º
- Fx ulnar asociada
- Trazo intra-articular
- Compromiso dorsal > 30%
- >60 años
INESTABILIDAD
 Reducción aceptable:
 Inclinación radial: > 15°
 Angulación palmar neutro.
 No pérdida de altura radial o
menor a 5mm
 No brechas ni escalones > 2mm
ReducciónReducción
cerradacerrada
 Fracturas intraarticulares conminutasFracturas intraarticulares conminutas
desplazadasdesplazadas
 Reducción cerrada fallidaReducción cerrada fallida
 Pérdida de la reducción inicialPérdida de la reducción inicial
 ““Casos especiales”: Fx bilateral o con la manoCasos especiales”: Fx bilateral o con la mano
contralateral incapacitadacontralateral incapacitada
 Fractura AbiertaFractura Abierta
 Lesiones nerviosasLesiones nerviosas
Implantes
Implantes especificos para radio distal
Hand innovation
Volar plate
I.T.S.
Volar; angle 70-110°;
Dotize
Königsee
Leibinger
Pechlaner /
Rogachewsky
Substitutos óseos
Trauma de mano
CARPO
1 mm
tratamiento
Indicación de cirugía:
- Estabilidad de la
Fractura
- Conveniencia del
paciente
Fijación percutánea
Urgencia !!!
METACARPIANOS Y FALANGES
• Evaluación radiológica
– Muñeca: anteroposterior
(AP) y lateral.
– Mano: AP, Lateral y
oblicua.
– Dedos: AP y lateral de
cada dedo.
– Comparativas.
En fracturas de la mano recuerde siempre retirar los anillos
Fracturas Estables
• Impactadas.
• No desplazadas o poco.
• Fractura metacarpiano aislada.
• Fractura falange distal.
• Fractura sin desplazamiento al
movilizar el dedo.
Fractura epibasal
LxFx de Bennett
Fx de Rolando
CUELLO
4 y 5 MTC: 30° y 40 °
 Reducción
cerrada:
- Maniobra de Jahss
- MCF e IFP 90°
- Presión axial
- Inmovilización
Jahss SA: fractures of the proximal phalange and metacarpal. A new method of
reducition and inmobilization. JBJS 1938
Tratamiento
• Inmovilización
funcional de
Burkhalter, en
posición de
seguridad: Muñeca
20°
• MCF >70°, IF 0°
• Burkhalter JHS 1989
OPERATIVE TREATMENT...,J BONE JOINT
SURG 2001;83A(6):927-945
INDICACIONES DE FIJACIÓN
• Fractura inestable
• Fractura irreducible
• Fractura abierta
• Fracturas múltiples
• Perdida ósea
• Ruptura tendinosa
• Fx intraarticular…
Fracturas Inestables
• Fracturas espiroideas rotadas.
• Fracturas conminutas.
• Fracturas severamente desplazadas.
• Fracturas oblicuas cortas.
• Fracturas múltiples.
Dedo en martillo
Dedo en martillo
Ligamento
colateral ulnar
CONCLUSIONES
• Haga el diagnóstico
• Usted es el protagonista en el
manejo del paciente
• No dude …
• Inmovilización
• Remisión
Fracturas miembro inferior
-Pelvis
-Cadera
-Femur
-Patela
-Tibia
-Tobillo
-Pie
Fx pelvis
Fx pelvis
Trauma de alta energía jóvenes – adultos
Trauma de baja energía ancianos
Fx pelvis
AP
Fx pelvis
ENTRADA
Fx pelvis
SALIDA
Fx pelvis
Fx pelvis
Fx pelvis
Fx pelvis
Fx pelvis
Fx pelvis
Fx pelvis
AP
Fx pelvis
ENTRADA
Fx pelvis
SALIDA
Fx pelvis
Fracturas miembro inferior
-Acetábulo
Fx acetábulo
Fx acetábulo
Fx acetábulo
Fx acetábulo
Fx acetábulo
Fracturas miembro inferior
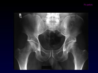
-Fx cadera
Fx cadera
Fx cadera
Fx cadera
Fx cadera
Fx cadera
Mujer 86a, HTA, DM
Hombre 98a, HTA
Cardiopatía, DM
Fracturas miembro inferior
-Fx fémur
Fx fémur
Fx fémur
Fx fémur
Fx fémur
Fracturas miembro inferior
-Fx rótula
Fx rótula
Fx rótula
Fx rótula
Patela bipartita
Fx rótula
Fx rótula
Fx rótula
Fracturas miembro inferior
-Fx tibia
Fx tibia
Fx tibia
Fx tibia
Fx tibia
Fx tibia
Fx tibia
Fx tibia
CRITERIOS DE REDUCCION
< 5° varo o valgo
< 10° angulación anterior y posterior
0 ° desviaciones rotacionales
< 1 cm acortamiento
> 50 % aposición
0 mm de distracción
TRATAMIENTO ORTOPEDICO
Reducción cerrada
Ferula bivalva
Yeso circular
Soporte progresivo de peso
( yeso – Brace
sarmiento )
TRATAMIENTO ORTOPEDICO
YESO SARMIENTOYESO SARMIENTO
Soporte patelar
95 %: acortamiento < 2 mm
No unión: 1.1 %
Angulación < 6 grados : 90 %
90 % consolidación 26
semanas
Fx tibia
• APOSICIÓN > 50%
• VARO –VALGO < 8º
• ANTEC-RECUR <10º
• ACORTAMIENTO <1CM
• ROTACIÓN INT <5º
• ROTACIÓN EXT <5º
INDICACIONES DE CIRUGIA
Fracturas inestables - segmentarias
Fractura del fémur ipsilateral ( rodilla flotante )
Intraarticulares desplazadas
Fracturas bilaterales
Fracturas abiertas
Fracaso del tratamiento ortopédico
Fx tibia
Fx tibia
Fracturas miembro inferior
-Fx tobillo
Fx tibia
Fx tobillo
Fx tobillo
Fx tobillo
Fx tobillo
Fracturas miembro inferior
-Fx pie
Talo
Articulación subtalar
Calcáneo
Articulación tibiotalar
Fractura
Fx pie
Fx pie
Fx calcaneo
Fx pie
Fx pie
Fx pie
Fx pie
Lesión arteria poplitea
Manejo tx ms ss 2
Manejo tx ms ss 2
Manejo tx ms ss 2
Manejo tx ms ss 2
Manejo tx ms ss 2
Manejo tx ms ss 2
Manejo tx ms ss 2
Manejo tx ms ss 2
Manejo tx ms ss 2
Manejo tx ms ss 2
Manejo tx ms ss 2
Manejo tx ms ss 2
Manejo tx ms ss 2
Manejo tx ms ss 2

Manejo tx ms ss 2

Notas del editor

  • #3 Este libro esta dirigido a médicos generales, quienes, en la gran mayoría de los casos de traumas musculoesqueléticos, son el primer contacto del paciente con el sistema de salud. Con este libro deseo entregar al médico general las herramientas necesarias de evaluación, ejercicio diagnóstico y manejo inicial de los pacientes con trauma musculoesquelético; y de esta forma contribuir al enfoque adecuado desde el inicio del manejo. Mejorando así el pronostico y recuperación de los pacientes, contribuyendo además a las buenas practicas médicas que traen consigo no solo la adecuada atención, sino una disminución en complicaciones y costos generados dentro del sistema de salud.
  • #5 Dentro de las lesiones musculoesqueléticas existen cuadros ante los cuales se debe actuar de manera urgente, definir la impresión diagnóstica o el diagnóstico, y de esta manera dar inicio al manejo adecuado. Ante una fractura abierta todo es importante, evaluar estado neurovascular, retirar macrocontaminación, alinear la extremidad e inmovilizar, pero hay algo que jamás debemos olvidar ni posponer, y es el inicio precoz de los antibióticos, ya que esta claramente demostrado que su retraso aumenta el riesgo de desarrollar infección ósea. (Clinical Orthopaedics &amp; Related Research: June 1989 SECTION I: SYMPOSIUM: THE SEVERELY TRAUMATIZED LOWER LIMB: RECONSTRUCTION VERSUS AMPUTATION: PDF Only Factors Influencing Infection Rate in Open Fracture Wounds. PATZAKIS, MICHAEL J. M.D.; WILKINS, JEANETTE M.D . , …. Tratamiento de pacientes con fracturas por proyectil de arma de fuego de baja velocidad, Hospital Universitario San Vicente de Paúl, Medellín, 2002-2003 JUAN CARLOS ARANGO GÓMEZ1, FRANCISCO JAVIER MONSALVE2, ALEJANDRO URIBE RÍOS3) /// Trends in the Management of Open Fractures. A Critical Analysis. Kanu Okike, BA; Timothy Bhattacharyya, MD. J Bone Joint Surg Am, 2006 Dec; 88 (12): 2739 -2748 . http://dx.doi.org/10.2106/JBJS.F.00146 //////////////// Cochrane Database Syst Rev. 2004;(1):CD003764. Antibiotics for preventing infection in open limb fractures. Gosselin RA1, Roberts I, Gillespie WJ. //////////// 8 The Open Orthopaedics Journal, 2014, 8, (Suppl 1: M7) 178-184 1874-3250/14 2014 Bentham. Controversies in the Management of Open Fractures C.L. O’Brien, M. Menon and N.M. Jomha En relación con el sindrome compartimental agudo; cuadro de edema importante, en un escenario de trauma de la extremidad, asociado a dolor realmente incontrolable, aun usando analgésicos tipo opioide. No es necesario esperar la aparición de parestesias, palidez o ausencia de pulso en la extremidad, o pérdida de la propiocepción. La sola presencia del dolor descrito incontrolable, en una extremidad con edema, es suficiente para sospechar este diagnóstico y remitir de inmediato al paciente para ser llevado a fasciotomas. Siempre, ante una luxación, el medico general debe hacer al menos dos o tres intentos de reducción, bajo sedación. Una vez hecha la reducción verificar la estabilidad de la articulación con maniobras gentiles e inmovilizar. Es importante conocer las maniobras de reducción, así como el tipo de inmovilización apropiado para la zona afectada. Recordar que después de toda reducción de luxación o fractura siempre sin excepción, se debe hacer una radiografía de control. Ante una fractura intracapsular de cadera en pacientes menores de 65 años, siempre debemos intentar conservar la cabeza (epifisis) femoral, pues con esta lesion la epifisis sufre amputacion de la irrigación, generando un alto riesgo de necrosis avascular; que aunque esta relacionada con la severidad del trauma y desplazamiento de la fractura, puede disminuir con un manejo precoz para reducción y fijacion, de acuerdo al trazo de fractura y caractarísticas fisiologicas del paciente. En presencia de artritis séptica o de osteomielitis la secrecion purulenta, en un periodo de 3 días se estimula la hiperplasia sinovial, que libera un gran numero de citoquinas que generan hidrolisis de proteoglicanos y colageno, y junto con las metaloproteinasas, enzimas lisosomales y toxinas bacterianas conducen a daños irreverisible del cartilago. Por esta razon el inicio del tratamiento antibiotico empirico es imperativo, y el drenaje de la articulacion mediante artrotomia o artroscopia es imprescindible y urgente, ademas es la oportunidad de tomar muestras para cultivo de secrecion y tejido sinovial. /////////////// Septic Arthritis Abby Abelson Published: August 2010 //// http://www.clevelandclinicmeded.com/medicalpubs/diseasemanagement/rheumatology/septic-arthritis/ /////// Pioro MH, Mandell BF. Septic arthritis [review]. Rheum Dis Clin North Am. 1997, 23: 239-258. //////////////
  • #6 Siempre dentro del proceso diagnostico, en un trauma musculoesqueletico, debemos tener en cuenta la radiografía como elemento fundamental dentro de este ejercicio. En este orden ideas es importante recordar que la radiografía en una imagen bidimensional, por lo tanto siempre es necesario tener información de al menos dos proyecciones y con ello disminuir la posibilidad de omitir diagnósticos, ya que una proyección puede no mostrar líneas de fractura o desplazamientos mientras la otra si. En la evaluación radiológica hay especial consideración cuando se trata de mujeres en embarazo; es por esto que surge siempre una pregunta obligatoria acerca de la posibilidad de estar en embarazo; por lo tanto a toda mujer en edad fértil se le debe indagar al respecto y advertir los riesgos que existen para el bebe, en caso de estar en embarazo. Si bien es cierto que las dosis que se utilizan de rutina en la evaluación radiológica del trauma de extremidades es muy inferior a la que podría causar daño, la aparición de complicaciones a raíz de la exposición a radiaciones ionizantes de mujeres en embarazo dependen de la dosis y del periodo gestacional en el cual se da la exposición; de esta forma aun cuando las dosis son muy inferiores a la s que pueden casar daño, es mayor el riesgo antes de la implantación del embrión y durante el primer trimestre; sin embargo se le de debe advertir a todas las pacientes independiente del periodo gestacional y priorizar solo en los casos que teniendo en cuenta el riesgo/beneficio se justifique el examen; es decir si hay algún caso cuya clínica es clara en determinar la necesidad o no de la radiografía pues se hará uso de ella de acuerdo a esto. ////////////1. Directiva 97/43/Euratom del Consejo de 30 de junio de 1997 relativa a la protección de la salud frente a los riesgos derivados de las radiaciones ionizantes en exposiciones médicas, por la que se deroga la Directiva 4/466/Euratom. Diario Oficial de las Comunidades Europeas; 1997.///////////// Riesgos durante el embarazo asociados a exposición a rayos X con fines de diagnóstico médico. Risks associated to exposition to X-rays for medical diagnosis during pregnancy Ma Luisa España a, Carlos Prieto a, Pilar López Franco a ….. http://www.elsevier.es/es-revista-radiologia-119-articulo-riesgos-durante-el-embarazo-asociados-13004548 ///////////
  • #7 Por otro lado existe algo que hemos denominado la “regla de las dos”, que hace referencia a parámetros que siempre se deben tener en cuenta, de acuerdo al segmento evaluado; asi tenemos entonces: En toda lesión de huesos largos se debe solicitar una radiografía que incluya una articulación por encima y por debajo de la lesión diafisiaria En manos y pies no debemos olvidar solicitar radiografia anteroposterior y oblicua, cuando estemos evaluando metacarpianos, o falanges proximales, y para el caso de los pies metatarsianos y antepie. En los niños son muy útiles las imágenes comparativas, ya que las líneas de crecimiento o fisis y los nucleos de osificación secundarios pueden fácilmente confundirse en la radiografía con una lesión tipo fractura, sin existir, en el escenario del trauma de una extremidad con dolor. Siempre que sospechemos de una fractura de cadera, con o sin desplazamiento clínicamente evidente, es necesario solicitar una radiografía anteroposterior (AP) de pelvis y lateral de la cadera que estamos evaluando; esto por que algunas fracturas con trazos sutiles y no desplazadas no son fácilmente identificables, a menos que tengamos un parámetro para comparar, y en este caso seria la cadera contralateral. Además en algunas ocasiones, en las que a pesar de una clínica muy clara de lesión en la cadera no es posible ver la lesión en las radiografías convencionales, se hace necesario solicitar imágenes con tracción longitudinal y rotaciones, maniobra que se realizad durante la toma de la radiografía. Toda fractura diafisiaria de femur, ademas de incluir la rodilla en la evaluación imaginológica, también debe incluir una radiografía AP de pelvis. Ejemplos:
  • #11 Existen signos indirectos que buscados en la radiografía nos orientan hacia el diagnóstico. Tal es el caso de las fracturas supracondileas no desplazadas, mas frecuentemente en niños; donde a pesar de no verse un trazo de fractura, el contexto clínico del trauma, edema, déficit funcional y dolor se suman a signos radiológicos conocidos como el “cojinete graso posterior” y signo de la “vela anterior” Ejemplo: Figuras,
  • #17 Saber quien tiene la lesión es de suma importancia, debemos conocer dominancia, entorno laboral y sus exigencias, actividades lúdicas y edad; esto ultimo muy relacionado con la respuesta del organismo frente al trauma y por la presencia o no de comorbilidades, que modifican la evolución del trauma o que se descompensan con el trauma. Es asi como no es lo mismo manejar una fractura de antebrazo en un niño de 5 años, en quien podemos tolerar algunas angulaciones y desplazamientos mayores que en adultos; esto gracias al gran potencial de remodelación que le confiere el grueso periostio, que a medida que aumentamos en edad se torna mas delgado y menos activo.
  • #18 En cuanto al mecanismo de lesión es otro elemento fundamental para el ejercicio diagnóstico y terapeútico. Por ejemplo, una lesión del tobillo en eversión nos invita a pensar en la posibilidad de lesión del ligamento peroneoastragalino anterior, y la presencia de signos como edema y equimosis hablan de la gravedad de la lesión, así como el dolor sobre prominencias óseas de maléolos fibular y tibial nos elevan la sospecha de fractura. La exposición ósea ya sea evidente o sospechada por asociación de la fractura con una herida, el entorno en el que ocurre dicha fractura abierta, ya sea en el campo o en terreno sin macrocontaminación. Cuando se tata de caídas de persona de la tercera o cuarta edad, en estos casos siempre debemos preguntarnos a que se debió la caída; Fue un síncope?, lo cual nos obliga a descartar descompensación de enfermedades previas o a indagar sobre nuevos diagnósticos. Fue primero el dolor y fractura, y a raíz de esto sufrió la caída?. Lo cual nos lleva a pensar en fragilidad ósea, ya sea por metástasis o por osteoporosis. (fractura patológica) Sufrio un tropezón y al caerse se fracturo?. En ese caso también debemos buscar causa de la caída y corregirla, y así disminuir riesgo de nueva caída.
  • #20 Una vez el médico general tiene una impresión diagnóstica o clínica, debe iniciar el manejo, dentro del cual debe considerar varios puntos: Inmovilizo o no al paciente? Hago maniobra de reducción?, teniendo en cuenta que siempre después de cada maniobra de reducción de fractura o luxación debe hacerse radiografía de control. Como lo inmovilizo?, desde donde y hasta donde va la férula?, utilizo cabestrillo?, sugiero muletas?.