Fractura luxación de muñeca
Postgrato de Ortopedia y Traumatología
PUCE
Marlon Miller Neira Pacherres
Fractura muñeca
Historia
Abraham Colles (1814), según la bibliografía
inglesa, hizo la primera descripción del patrón de
fractura,
Pouteau (1783) 41 años antes en Francia, por lo
que en la literatura europea se designa bajo el
epónimo “Fractura de Pouteau-Colles” .
Rhea Barton (1838) en Filadelfia describe las
fracturas del reborde articular radial,
distinguiendo dos tipos: dorsal “Fractura de
Barton” y palmar ó “Fractura de Barton invertida”.
Historia
El irlandés Smith (1854) describió una
lesión infrecuente producida por una
caída sobre el dorso de la mano “la
fractura de Colles invertida”.
Hutchinson que describió una
fractura que ocurría entre
conductores “fractura del chofer” o
fractura cuneana externa, conocida
hoy comúnmente como fractura de
la estiloides radial
Epidemiologia
Rookwwod: Las fracturas del tercio distal del radio constituyen
del 15 al 20 % de todas las fracturas.
Green: fx radio distal 3% de las fracturas del m. superior. )
Mas del 50 % son fracturas intraarticulares.
18% de a población anciana
Se dan en dos grandes grupos de edad niños y acianos. curva
bimodal: adultos jovenes por trauma de alta energia y
ancianos osteopenicos por trauma de baja energia)
Más frecuente en mujeres de 50 años
Ancianos como pacientes de 50 a 75 años
Cavidad sigmoidea Semilunar Escafoides
Facetas articulares
D. Green Cirugía de mano vol 1, Marban, España, 2007
Mecanismo
Comúnmente por: –
Caídas con la mano en
extensión y pronación
del antebrazo
Mecanismo
Facturas por
Compresión-
Extensión
Fracturas por
aplastamiento con
desplazamiento
dorsal
Fracturas por
Compresión-
Flexión
Aplastamiento con
desplazamiento
palmar
Fracturas
Complejas
Imagen
AP , LATERAL Y OBLICUA
23° 11°
http://www.scielo.org.ve/scielo.php?script=sci_arttext&pid=S0798-04692006000100009
Goniometria
10mm 1-2mm
Epónimos
Fractura extra
articular del radio
distal con
desplazamiento
dorsales y
acortamiento
radial
Colles
Fractura extra
articular de radio
distal con
desplazamiento
Palmar
Smith
FRACTURA O FX-LX
del reborde
articular volar o
dorsal con
desplazamiento
del carpo. Puede
ser volar o dorsal
Barton
Fractura aislada de
la apofisis
estiloides del Radio
CHAUFEUR
Fractura que
presenta un
hundimiento del
BORDE DORSAL de
la fosa semilunar
del radio
Die-Punch
Clasificaciones
Frykman Melone
D. Green Cirugía de mano vol 1, Marban, España, 2007
Clasificación: AO
Extraarticulares:
A1 : cubito
A2: radio simple e
impactada
A3: radio
multifragmentaria
A
D. Green Cirugía de mano vol 1, Marban, España, 2007
Clasificación: AO
Intraarticulares
simples:
B1: sagital
B2: coronal dorsal
B3:coronal volar
B
D. Green Cirugía de mano vol 1, Marban, España, 2007
Clasificación: AO
Articulares complejas:
C1: completa articular radio
metafisiaria simple
C2: completa articular radio
metafisiaria conminuta
C3: completa articular radio
conminuta y metafisiaria
conminuta
C
D. Green Cirugía de mano vol 1, Marban, España, 2007
Clasificación: Fernández
(Mecanismo de Producción)
Estable: no operatorio
Inestable: percutáneo fijación
Fijación externa Volar
bloqueado placa Fijación
intramedular
Placa dorsal Fijación radial de
columnas Volar contrafuerte o
bloqueado placa Combinación
Abierto o artroscópico
reducción de articular
superficie y dorsal volar, o
fragmento específico fijación ±
injerto óseo Aumentado
externo fijación ± injerto óseo
Fijación con placa
Reducción cerrada o abierta y
K-alambre o tensión fijación
de banda Fijación columnar
Fragmentos específicos de
fijación Fijación de placa de
expansión Evaluar la
traducción carpal tratar en
consecuencia
Fijación estable angular
Fragmentos específicos de
fijación Fijación de placa de
expansión Aumentado externo
fijación Combinació
Criterios de inestabilidad LaFontaine
Distal Radius Fractures: Approaches, Indications, and Techniques. Current concept. Ram K. Alluri. 2016 by the American Society for Surgery of the Hand.
Criterios de inestabilidad Fernández.
Diagnóstico
Clínico
Hist. Clínica
Exp. Física
Exp. Neurológica
Examen Tendinoso
Lesiones asociadas
Fx. Escafoides
lesiones escafo-
lunares
Fx.Estiloides cubital
Diagnóstico: Radiológico
RX AP + LATERAL
AP
Acortamiento
radial
Inclinación radial 23
grados
Desplazamiento
Radial
Plano Sagital
Inclinación
Radial
Desplazamiento
TAC
Fracturas intrarticulares
Detectar hundimientos
No congruencia
Lesiones asociadas.
RMN
Lesiones ligamentares
Fx Escafoides.
Tratamiento
Factores
que influyen
en el
tratamiento
• Calidad ósea.
• Lesión de tejidos.
• Conminución.
• Grado de
desplazamiento.
• Energía del
traumatismo.
• Edad
• Profesión.
• Lado dominante
• Comorbilidades
• Actividad o no
• Exposicion osea
Tratamiento
Reducción
Cerrada con
férula
enyesado.
Fijación con
clavos
percutáneos.
Reducción
abierta y
fijación interna
con placa y
tornillos.
Fijadores
externos.
Tratamiento
D. Green Cirugía de mano vol 1, Marban
Incruento
• Fracturas no desplazadas se pueden tratar con reducción cerrada e
inmovilización.
• Yeso en 20º de flexión palmar y desviación cubital.
• Debe evitarse la flexión extrema de la muñeca. (Cotton-Loder)
• Duración de la fijación de yeso 6 semanas
Tiempos en tratamiento incruento
• Valva braquipalmar posterior 4 dias
• Yeso cerrado braquipalmar 4 semanas
• Liberacion codo
• Yeso cerrado antebraquipalmar 2 semanas
• Evaluación semanal por varias semanas
EN PACIENTES ANCIANOS
COLOCAR ALGODONADO EN
SITIO DELA MANIOBRA PARA
EL CUIDADO DE LA PIEL
Minimización dela rigidez en la mano
Reducción con clavos percútaneos
• Colocacion de clavos percutaneos
• Se introducen por la apofisis estiloides del radio
• Se utilizan clavos kirschner 1.5 mm
• Se coloca yeso por 3- 4 semanas
D. Green Cirugía de mano vol 1, Marban, España, 2007
Kapadnji
D. Green Cirugía de mano vol 1, Marban, España, 2007
Reducción abierta + Fijación Interna
Distal Radius Fractures: Approaches, Indications, and Techniques. Current concept. Ram K. Alluri. 2016 by the American Society for Surgery of the Hand.
Abordaje
Distal Radius Fractures: Approaches, Indications, and Techniques. Current concept. Ram K. Alluri. 2016 by the American Society for Surgery of the Hand.
Tutores externos
• Fragmentos son pequeños y cercanos a la articulación,
• Gran conminución
• Fractura expuesta
• Se puede utilizar clavos percutáneos y emplearlos por un lapso de 4 a
6 semanas
TECNICA DE TUTOR MAS AUMENTO CON
CLAVOS
Distal Radius Fractures: Approaches, Indications, and Techniques. Current concept. Ram K. Alluri. 2016 by the American Society for Surgery of the Hand.
AO Surgery
Fijación externa combinada con percutanea
Reducción fijación externa combinada con
reducción abierta ,síntesis con agujas de Kirschner
Tecnica artroscòpica
Estabilización de fragmento
• Estiloides
piedra angular .
• Borde volar del
radio
• C dorsal y
palmares de la
carilla lunar del
radio
• La cavidad
Sigmoidea
Reducción abierta placa dorsal
• Complicaciones del tendón extensor,
incluyendo irritación, sinovitis,
atrición y tendón
ruptura
• El colgajo se inicia justo cubital al
tubérculo de Lister y se eleva
para exponer el EPL y los tendones
de la cuarta
compartimiento
• Colocación de la placa puede ser
facilitada por la eliminación de la
Lister
Reducción abierta placa volar
• Mínima conminución volar facilita la reducción de la dorsal
fracturas desplazadas.
• Facilita la restauración de longitud radial, inclinación e inclinación
volar.
•Preserva el suministro vascular de fragmentos dorsal conminuto.
• Debido a que el compartimento volar de la muñeca tiene una
sección transversal mayor espacio y el implante está separado del
flexor
tendones por el pronador cuadrado, la incidencia de flexores
las complicaciones del tendón se minimizan.
• El uso de diseños de placa voladora de ángulo fijo evita el "alternar"
del tornillo en el fragmento distal y por lo tanto reduce el peligro de
desplazamiento secundario
 Aplicar una pinza de azúcar en supinación durante 10 a
12 días hasta la retiro de sutura .
 Comience ejercicios de rango de movimiento digital
inmediatamente.
 Comience la rotación del antebrazo y los ejercicios
suaves de movimiento de la muñeca en la primera visita
postoperatoria.
 Evaluar con radiografías en la visita postoperatoria
inicial y a las 6 semanas
postoperatorio.
Lesión radiocubital distal
Clasificación Lesiones ARCD
Complicaciones
• Neuropatia del nervio mediano
• Complicacino mas frecuente
• 1-12% en fx por baja energia y 30% en fx por alta energia
• Previene evitando inmovilizar en flexion excesiva
• Tratamiento con la liberacion del tunel del carpo
• Parestesias progresivas antes de la cirugia 24 horas
Complicaciones
• Rotura del Extensor pollicis Longus
• Fx radio distal no desplazada tienen mayor probabilidad de una
rotura espontanea del Extensor pollicis Longus
• el tendón después de una fractura no desplazada sufre desgaste
mecánicoo un área local de isquemia en el tendón
• Tratamiento con trasferencia del extensor indicis proprius al
Extensor pollicis Longus
Complicaciones
• Mal-union y No-union
• Mal union intraarticular
• Tratar con revisión > 6 semanas
• Malformación angular extraarticular
• Tratar con osteotomía de cuña de apertura con ORIF (PLACA BLOQUEADA ANGULO FIJO
O VARIABLE CON / SIN injerto óseo
• Acortamiento radial.
• Asociado con mayor pérdida de función de la muñeca y cambios degenerativos en fxs
extra-articulares
• Tratar con acortamiento ulnar
Osteotomía en consolidación viciosa
• J Am Acad Orthop Surg 2017; 25: 179-187 DOI: 10.5435 / JAAOS-D-15-00676 Derechos de autor de 2017 por la Academia Americana de
Cirujanos Ortopédicos.
• 2017 marzo, Vol 25, No 3
• Representan hasta el 18% de todas las fracturas en la población
anciana.
• Importante preguntar acerca de las secuelas de un trauma anterior
,osteoartritis existente que puede limitar el paciente
• Rx AP, lateral y oblicua
• La recomendación relativa a placa volar bloqueada frente clavos
percutáneos también se clasificó “ poco concluyente.}
• No quirúrgico pinza de azúcar
• Proteccion de la piel.
• La complicación quirúrgica más frecuente fue la infección del sitio
quirúrgico (12%)
• Neuropatía mediana (11%).
• CRPS, la ruptura del tendón extensor, y la irritación dispositivo.
• Mala unión es otra complicación asociada con el tratamiento no
quirúrgico, con tasas reportadas de hasta 89%
• Mayor tasa complicion Qx vs conservador
• Qx mejor fuerza de agarre ->6-12 m no diferencia
• suplementos de calcio y vitamina D->Osteoporoticos
• A finales de la temporada, una fractura desplazada requiere cirugía
puede ser tratado en una forma retrasada por la espera 1 - 2
semanas si el atleta podrían de otro modo competir eficazmente en
un molde.
• no quirúrgico
• El tratamiento no quirúrgico puede ser considerado en el no
desplazada, fractura extra-articular o la, reducción de fractura
estable. Sin embargo, incluso si se cumplen los criterios no hay
inestabilidad, todavía existe la posibilidad de desplazamiento
secundario en una fractura reducida
• En el atleta competitivo, los riesgos de desplazamiento y tiempo
prolongado fuera de deporte si se requiere cirugía en una forma
retardada deben equilibrarse con los riesgos inherentes de la cirugía.
Si el paciente se presenta con una fractura no desplazada, pueden ser
tratados con 4 a 6 semanas de un yeso de brazo corto seguido por el
uso de una ortesis según sea necesario para la comodidad
Quirúrgico
• Hay varias opciones para la cirugía en pacientes con fracturas
inestables, o en aquellos que valoran una rehabilitación más rápida y
quieren la restauración anatómica. La mayoría de los estudios
muestran resultados equivalentes a 1 - 2 años después de la
reducción adecuada de la fractura independientemente de la
elección de la fijación, dejando el tratamiento específico depende de
las características. de fractura
• Placas dorsales y volares
Artroscopia
• También puede ayudar en la reducción de las pequeñas fracturas
articulares desplazadas, tales como en una impactación perforadora
de matriz, proporcionando una mejor visualización de la superficie
articular.
• Además, en la configuración de radiocubital distal inestabilidad de la
articulación que persiste después de la fijación placa volar.
Rehabilitacion
• Férula 10 -14 días
• Retiro de suturas 10-14 días
• Movimiento activo de muñeca 2 y 6 semas
• Seguimiento cada 2 semanas
• Movimiento dedos
Vuelta al deporte
• Riesgo de caídas
• 4 semanas deportista pediátrico
• 6 semanas adulto

Fractura de muñeca

  • 1.
    Fractura luxación demuñeca Postgrato de Ortopedia y Traumatología PUCE Marlon Miller Neira Pacherres
  • 2.
  • 3.
    Historia Abraham Colles (1814),según la bibliografía inglesa, hizo la primera descripción del patrón de fractura, Pouteau (1783) 41 años antes en Francia, por lo que en la literatura europea se designa bajo el epónimo “Fractura de Pouteau-Colles” . Rhea Barton (1838) en Filadelfia describe las fracturas del reborde articular radial, distinguiendo dos tipos: dorsal “Fractura de Barton” y palmar ó “Fractura de Barton invertida”.
  • 4.
    Historia El irlandés Smith(1854) describió una lesión infrecuente producida por una caída sobre el dorso de la mano “la fractura de Colles invertida”. Hutchinson que describió una fractura que ocurría entre conductores “fractura del chofer” o fractura cuneana externa, conocida hoy comúnmente como fractura de la estiloides radial
  • 5.
    Epidemiologia Rookwwod: Las fracturasdel tercio distal del radio constituyen del 15 al 20 % de todas las fracturas. Green: fx radio distal 3% de las fracturas del m. superior. ) Mas del 50 % son fracturas intraarticulares. 18% de a población anciana Se dan en dos grandes grupos de edad niños y acianos. curva bimodal: adultos jovenes por trauma de alta energia y ancianos osteopenicos por trauma de baja energia) Más frecuente en mujeres de 50 años Ancianos como pacientes de 50 a 75 años
  • 7.
    Cavidad sigmoidea SemilunarEscafoides Facetas articulares D. Green Cirugía de mano vol 1, Marban, España, 2007
  • 10.
    Mecanismo Comúnmente por: – Caídascon la mano en extensión y pronación del antebrazo
  • 11.
    Mecanismo Facturas por Compresión- Extensión Fracturas por aplastamientocon desplazamiento dorsal Fracturas por Compresión- Flexión Aplastamiento con desplazamiento palmar Fracturas Complejas
  • 12.
  • 13.
  • 14.
  • 17.
    Epónimos Fractura extra articular delradio distal con desplazamiento dorsales y acortamiento radial Colles Fractura extra articular de radio distal con desplazamiento Palmar Smith FRACTURA O FX-LX del reborde articular volar o dorsal con desplazamiento del carpo. Puede ser volar o dorsal Barton Fractura aislada de la apofisis estiloides del Radio CHAUFEUR Fractura que presenta un hundimiento del BORDE DORSAL de la fosa semilunar del radio Die-Punch
  • 18.
    Clasificaciones Frykman Melone D. GreenCirugía de mano vol 1, Marban, España, 2007
  • 20.
    Clasificación: AO Extraarticulares: A1 :cubito A2: radio simple e impactada A3: radio multifragmentaria A D. Green Cirugía de mano vol 1, Marban, España, 2007
  • 21.
    Clasificación: AO Intraarticulares simples: B1: sagital B2:coronal dorsal B3:coronal volar B D. Green Cirugía de mano vol 1, Marban, España, 2007
  • 22.
    Clasificación: AO Articulares complejas: C1:completa articular radio metafisiaria simple C2: completa articular radio metafisiaria conminuta C3: completa articular radio conminuta y metafisiaria conminuta C D. Green Cirugía de mano vol 1, Marban, España, 2007
  • 23.
    Clasificación: Fernández (Mecanismo deProducción) Estable: no operatorio Inestable: percutáneo fijación Fijación externa Volar bloqueado placa Fijación intramedular Placa dorsal Fijación radial de columnas Volar contrafuerte o bloqueado placa Combinación Abierto o artroscópico reducción de articular superficie y dorsal volar, o fragmento específico fijación ± injerto óseo Aumentado externo fijación ± injerto óseo Fijación con placa Reducción cerrada o abierta y K-alambre o tensión fijación de banda Fijación columnar Fragmentos específicos de fijación Fijación de placa de expansión Evaluar la traducción carpal tratar en consecuencia Fijación estable angular Fragmentos específicos de fijación Fijación de placa de expansión Aumentado externo fijación Combinació
  • 32.
    Criterios de inestabilidadLaFontaine Distal Radius Fractures: Approaches, Indications, and Techniques. Current concept. Ram K. Alluri. 2016 by the American Society for Surgery of the Hand.
  • 33.
  • 34.
    Diagnóstico Clínico Hist. Clínica Exp. Física Exp.Neurológica Examen Tendinoso Lesiones asociadas Fx. Escafoides lesiones escafo- lunares Fx.Estiloides cubital
  • 35.
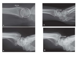
    Diagnóstico: Radiológico RX AP+ LATERAL AP Acortamiento radial Inclinación radial 23 grados Desplazamiento Radial Plano Sagital Inclinación Radial Desplazamiento TAC Fracturas intrarticulares Detectar hundimientos No congruencia Lesiones asociadas. RMN Lesiones ligamentares Fx Escafoides.
  • 36.
    Tratamiento Factores que influyen en el tratamiento •Calidad ósea. • Lesión de tejidos. • Conminución. • Grado de desplazamiento. • Energía del traumatismo. • Edad • Profesión. • Lado dominante • Comorbilidades • Actividad o no • Exposicion osea
  • 37.
  • 38.
    Tratamiento D. Green Cirugíade mano vol 1, Marban
  • 39.
    Incruento • Fracturas nodesplazadas se pueden tratar con reducción cerrada e inmovilización. • Yeso en 20º de flexión palmar y desviación cubital. • Debe evitarse la flexión extrema de la muñeca. (Cotton-Loder) • Duración de la fijación de yeso 6 semanas
  • 40.
    Tiempos en tratamientoincruento • Valva braquipalmar posterior 4 dias • Yeso cerrado braquipalmar 4 semanas • Liberacion codo • Yeso cerrado antebraquipalmar 2 semanas • Evaluación semanal por varias semanas
  • 41.
    EN PACIENTES ANCIANOS COLOCARALGODONADO EN SITIO DELA MANIOBRA PARA EL CUIDADO DE LA PIEL
  • 44.
  • 45.
    Reducción con clavospercútaneos • Colocacion de clavos percutaneos • Se introducen por la apofisis estiloides del radio • Se utilizan clavos kirschner 1.5 mm • Se coloca yeso por 3- 4 semanas
  • 46.
    D. Green Cirugíade mano vol 1, Marban, España, 2007
  • 47.
    Kapadnji D. Green Cirugíade mano vol 1, Marban, España, 2007
  • 48.
    Reducción abierta +Fijación Interna Distal Radius Fractures: Approaches, Indications, and Techniques. Current concept. Ram K. Alluri. 2016 by the American Society for Surgery of the Hand.
  • 49.
  • 50.
    Distal Radius Fractures:Approaches, Indications, and Techniques. Current concept. Ram K. Alluri. 2016 by the American Society for Surgery of the Hand.
  • 51.
    Tutores externos • Fragmentosson pequeños y cercanos a la articulación, • Gran conminución • Fractura expuesta • Se puede utilizar clavos percutáneos y emplearlos por un lapso de 4 a 6 semanas
  • 53.
    TECNICA DE TUTORMAS AUMENTO CON CLAVOS
  • 54.
    Distal Radius Fractures:Approaches, Indications, and Techniques. Current concept. Ram K. Alluri. 2016 by the American Society for Surgery of the Hand.
  • 56.
  • 58.
  • 59.
    Reducción fijación externacombinada con reducción abierta ,síntesis con agujas de Kirschner
  • 60.
  • 61.
    Estabilización de fragmento •Estiloides piedra angular . • Borde volar del radio • C dorsal y palmares de la carilla lunar del radio • La cavidad Sigmoidea
  • 62.
    Reducción abierta placadorsal • Complicaciones del tendón extensor, incluyendo irritación, sinovitis, atrición y tendón ruptura • El colgajo se inicia justo cubital al tubérculo de Lister y se eleva para exponer el EPL y los tendones de la cuarta compartimiento • Colocación de la placa puede ser facilitada por la eliminación de la Lister
  • 64.
    Reducción abierta placavolar • Mínima conminución volar facilita la reducción de la dorsal fracturas desplazadas. • Facilita la restauración de longitud radial, inclinación e inclinación volar. •Preserva el suministro vascular de fragmentos dorsal conminuto. • Debido a que el compartimento volar de la muñeca tiene una sección transversal mayor espacio y el implante está separado del flexor tendones por el pronador cuadrado, la incidencia de flexores las complicaciones del tendón se minimizan. • El uso de diseños de placa voladora de ángulo fijo evita el "alternar" del tornillo en el fragmento distal y por lo tanto reduce el peligro de desplazamiento secundario
  • 66.
     Aplicar unapinza de azúcar en supinación durante 10 a 12 días hasta la retiro de sutura .  Comience ejercicios de rango de movimiento digital inmediatamente.  Comience la rotación del antebrazo y los ejercicios suaves de movimiento de la muñeca en la primera visita postoperatoria.  Evaluar con radiografías en la visita postoperatoria inicial y a las 6 semanas postoperatorio.
  • 73.
  • 74.
  • 76.
    Complicaciones • Neuropatia delnervio mediano • Complicacino mas frecuente • 1-12% en fx por baja energia y 30% en fx por alta energia • Previene evitando inmovilizar en flexion excesiva • Tratamiento con la liberacion del tunel del carpo • Parestesias progresivas antes de la cirugia 24 horas
  • 77.
    Complicaciones • Rotura delExtensor pollicis Longus • Fx radio distal no desplazada tienen mayor probabilidad de una rotura espontanea del Extensor pollicis Longus • el tendón después de una fractura no desplazada sufre desgaste mecánicoo un área local de isquemia en el tendón • Tratamiento con trasferencia del extensor indicis proprius al Extensor pollicis Longus
  • 78.
    Complicaciones • Mal-union yNo-union • Mal union intraarticular • Tratar con revisión > 6 semanas • Malformación angular extraarticular • Tratar con osteotomía de cuña de apertura con ORIF (PLACA BLOQUEADA ANGULO FIJO O VARIABLE CON / SIN injerto óseo • Acortamiento radial. • Asociado con mayor pérdida de función de la muñeca y cambios degenerativos en fxs extra-articulares • Tratar con acortamiento ulnar
  • 79.
  • 87.
    • J AmAcad Orthop Surg 2017; 25: 179-187 DOI: 10.5435 / JAAOS-D-15-00676 Derechos de autor de 2017 por la Academia Americana de Cirujanos Ortopédicos. • 2017 marzo, Vol 25, No 3
  • 88.
    • Representan hastael 18% de todas las fracturas en la población anciana. • Importante preguntar acerca de las secuelas de un trauma anterior ,osteoartritis existente que puede limitar el paciente • Rx AP, lateral y oblicua • La recomendación relativa a placa volar bloqueada frente clavos percutáneos también se clasificó “ poco concluyente.} • No quirúrgico pinza de azúcar • Proteccion de la piel.
  • 91.
    • La complicaciónquirúrgica más frecuente fue la infección del sitio quirúrgico (12%) • Neuropatía mediana (11%). • CRPS, la ruptura del tendón extensor, y la irritación dispositivo. • Mala unión es otra complicación asociada con el tratamiento no quirúrgico, con tasas reportadas de hasta 89% • Mayor tasa complicion Qx vs conservador • Qx mejor fuerza de agarre ->6-12 m no diferencia • suplementos de calcio y vitamina D->Osteoporoticos
  • 101.
    • A finalesde la temporada, una fractura desplazada requiere cirugía puede ser tratado en una forma retrasada por la espera 1 - 2 semanas si el atleta podrían de otro modo competir eficazmente en un molde. • no quirúrgico • El tratamiento no quirúrgico puede ser considerado en el no desplazada, fractura extra-articular o la, reducción de fractura estable. Sin embargo, incluso si se cumplen los criterios no hay inestabilidad, todavía existe la posibilidad de desplazamiento secundario en una fractura reducida
  • 102.
    • En elatleta competitivo, los riesgos de desplazamiento y tiempo prolongado fuera de deporte si se requiere cirugía en una forma retardada deben equilibrarse con los riesgos inherentes de la cirugía. Si el paciente se presenta con una fractura no desplazada, pueden ser tratados con 4 a 6 semanas de un yeso de brazo corto seguido por el uso de una ortesis según sea necesario para la comodidad
  • 103.
    Quirúrgico • Hay variasopciones para la cirugía en pacientes con fracturas inestables, o en aquellos que valoran una rehabilitación más rápida y quieren la restauración anatómica. La mayoría de los estudios muestran resultados equivalentes a 1 - 2 años después de la reducción adecuada de la fractura independientemente de la elección de la fijación, dejando el tratamiento específico depende de las características. de fractura • Placas dorsales y volares
  • 104.
    Artroscopia • También puedeayudar en la reducción de las pequeñas fracturas articulares desplazadas, tales como en una impactación perforadora de matriz, proporcionando una mejor visualización de la superficie articular. • Además, en la configuración de radiocubital distal inestabilidad de la articulación que persiste después de la fijación placa volar.
  • 105.
    Rehabilitacion • Férula 10-14 días • Retiro de suturas 10-14 días • Movimiento activo de muñeca 2 y 6 semas • Seguimiento cada 2 semanas • Movimiento dedos
  • 106.
    Vuelta al deporte •Riesgo de caídas • 4 semanas deportista pediátrico • 6 semanas adulto