Mareo
● SÍNCOPE Y VÉRTIGO
Definiciones
• Desequilibrio: sensación de incapacidad para mantener en bipedestación el
centro de gravedad dentro de la base de sustentación (sensación de caída
inminente).
• Presíncope: por déficit de los requerimientos esenciales cerebrales
(hipoglucemia, hipoxia, anemia, baja presión de perfusión). visión borrosa,
acaloramiento, molestias abdominales, sensación de falta de aire, sudoración
fría, debilidad, sensación de ir a perder la conciencia, lo que a veces ocurre
(síncope).
• Vértigo: sensación ilusoria de movimiento rotatorio con síntomas
vegetativos, nistagmo y empeoramiento con el movimiento. Si hay vértigo
tiene que aparecer un nistagmo espontáneo, pero puede haber nistagmo sin
vértigo.
• Mareo: alteración de la orientación espacial sin ilusión de movimiento.
Sintomatología que no se adapta a ninguna de las definiciones anteriores.
Introducción al Síncope
● El síncope es una pérdida brusca y transitoria de la conciencia y del
tono muscular con recuperación espontánea y completa en segundos y
sin secuelas.
● Se debe a una reducción del flujo sanguíneo del sistema activador
reticular localizado en el tronco cerebral.
● En el presíncope no existe pérdida completa de la conciencia, pero si
inestabilidad, y otros signos y síntomas que habitualmente acompañan a
los episodios sincopales.
● 20% de la población adulta, aumenta con la edad (incidencia anual según
el estudio Framingham del 3% en hombres y del 3,5% en mujeres). 3% de
todas las consultas en urgencias, variada etiología y pronóstico,
estratificación del riesgo.
Etiología sincopal (1)
● NEUROMEDIADO (reflejo): vasovagales, hipersensibilidad del seno
carotideo, valsalva, situacionales, dolor.
● ORTOSTÁTICOS: Disminución del tono venoso, depleción de volumen,
fármacos vasodilatadores, disfunción autonómica. Nauseas, sudoracion,
mareo, calor, palidez. Puede haber relajación de esfínteres, hipotensión
habitual, síntomas residuales (cansancio).
● ARRÍTMICOS: alteración del ritmo (disfunción del nodo sinusal,
trastornos de conducción auriculoventricular, taquiarritmias
supraventriculares, taquiarritmias ventriculares), trastornos hereditarios (S.
de Brugada, displasia de ventrículo derecho, QT largo), disfunción de
marcapasos, efecto proarritmogénico por farmacos.
Etiología sincopal (2)
● DEFECTOS ESTRUCTURALES: valvulopatías, miocardiopatía hipertrófica
obstructiva, disección de aorta, cardiopatía isquémica, taponamiento
cardiaco, mixoma auricular, tromboembolismo pulmonar, hipertensión
pulmonar
● NEUROLÓGICOS: Patologia cerebrovascular (hemorragia subaracnoidea,
accidente cerebrovascular, accidente isquemico transitorio, alteraciones
esqueleticas cervicales, Sindrome del robo de la subclavia), migrana,
crisis epileptica.
● METABÓLICOS: Drogas de abuso, fármacos, alcohol, hipoxia,
hiperventilación, hipoglucemia.
● PSIQUIÁTRICOS: histeria, transtornos de pánico o ansiedad, transtornos
por somatización.
Primer contacto
CONCEPTOS EN URGENCIAS:
● Anamnesis + exploracion física = diagnóstico 50%
● Pruebas complementarias (analítica general, ECG, Rx tórax) = 30%
● De inicio medir:
Constantes vitales, estabilidad hemodinámica, nivel de conciencia y
glicemia capilar.
●
PASOS A SEGUIR:
● Intervención directa vs Anamnesis dirigida
Anamnesis (!!!)
1. Antecedentes personales:
- Edad y situación basal previa
- Historia de cardiopatía previa (factores de riesgo cardiovascular, ,TEP,
historia de muerte súbita familiar)
- Sincopes o mareos previos (frecuencia, características y estudio sobre estos
si los hubiera),
- Farmacoterapia activa: atención a diuréticos, vasodilatadores, hipotensores
y bloqueantes alfa-adrenérgicos.
2. Historia actual: verdadero episodio vs episodio presincopal, debilidad,
confusión, alteración transitoria del nivel de conciencia, quién lo ha
presenciado.
ESPECIAL ATENCIÓN a: precipitantes, pródromos, actividad durante el
episodio, duración y recuperación del mismo..
Anamnesis: historia del episodio (1)
1.- Factores precipitantes
– Postura: bipedestación (ortostáticos y vasovagales) vs decúbito.
Alguna vez el desencadenante es el cambio postural (mixoma auricular),
algunos movimientos cefálicos (hipersensibilidad del seno carotídeo)
– Circunstancias desencadenantes: vasovagal (calor, sangre, dolor,
relación con ingesta), situacional (tos, micción) o por hipersensibilidad del
seno carotídeo (corbata, afeitarse).
– Ejercicio: asociados a cardiopatía (miocardiopatía hipertrófica
obstructiva, estenosis aórtica o HTP), arrítmias tanto supraventriculares
como taquicardias ventriculares (típico de la displasia arrítmogénica)
2. Pródromos
- Vasovagales u ortostáticos: cortejo vagal, estimulación simpática
(taquicardia, diaforesis, sudoración, nauseas, etc).
- Neurológicos: generalmente vienen precedidos de focalidad
neurológica o aura.
- Cardiogénicos como regla general son bruscos, sin pródromos. Dolor
torácico, disnea, cefalea o palpitaciones
Anamnesis: historia del episodio (2)
3.- Durante el síncope
- Presencia de convulsiones, actividad motora (mordedura de lengua,
movimiento de masticación o chupeteo, etc), relajación de esfinteres,
traumatismo y sobre la duración del episodio.
- El síncope cardiogénico suele ser breve (de segundos o pocos minutos,
excepto en e lcaso de la estenosis aórtica que puede ser más prolongado).
4. Recuperación
- Generalmente la recuperación es espontanea con buen nivel de
conciencia. En la crisis comicial encontramos un estado post crítico,
- Disnea en el TEP o insuficiencia cardiaca
- Cefalea, focalidad neurológica (AVC, AIT, HSA),
- Dolor torácico (angor, IAM, disección aórtica)
Exploración física (1)
1. Inspeccion general: nivel de conciencia (estado postcrítico o situación de
coma), hidratación (sobre todo en anciano), perfusión y coloración de piel y
mucosas (anemia).
2. Constantes vitales: ortostatismo, obtención de la FC y la TA en ambos
brazos, en decúbito y tras la bipedestación (al menos 5 minutos). Se
considera respuesta positiva a ortostatismo cuando hay una caída de TA de
20 mm Hg.
3. Cabeza y cuello: soplos carotideos. Ante toda sospecha y en adultos (>55
anos), donde la hipersensibilidad del seno carotídeo es una causa frecuente
de síncope, debe realizarse el masaje del seno carotídeo (evitar si soplo o
historia de AVC).
Exploración física (2)
●
4. Auscultación cardíaca: alteraciones del ritmo cardíaco, extratonos y
soplos (estenosis aórtica, etc.).
5. Auscultación pulmonar: signos de insuficiencia cardíaca o de patología
pulmonar.
6. Abdomen: con especial atención a megalias, masas pulsátiles y soplos
(aterosclerosis, disección aórtica).
7. Extremidades: pulsos (si son asimétricos pensar en disección aórtica,
coartación aórtica o robo de la subclavia), edemas y signos de trombosis
venosa profunda.
8. Tacto rectal: si hay sospecha de hemorragia digestiva.
9. Exploración neurológica: detección de anomalías neurológicas
significativas sugestivas de disautonomía o enfermedad cerebrovascular.
Exploraciones complementarias
1. ECG: 12 derivaciones y la tira de ritmo se debe realizar siempre.
- Un ECG normal no descarta la presencia de un sincope cardiogénico.
- Bloqueo bifascicular, trastornos de conduccion intraventricular (duracion del
QRS > 120 mseg), bradicardia sinusal sintomatica, bloqueo sinoauricular o
pausas sinusales > 3 seg, preexcitacion, intervalo QT corto (< 330 ms) o
prolongado (> de 440 ms), patron de BRD con elevacion segmento ST en V1-
V3 (S. de Brugada), ondas T negativas en derivaciones precordiales.
2. Analítica: anemias, estudio de coagulación, gasometría arterial basal (si se
precisa), iones (deshidratación, alteraciones del potasio), glucosa, urea
(insuficiencia renal, hemorragia digestiva), CPK- Troponina (sospecha de
cardiopatía isquémica (con MB) o en dudosa crisis comicial para comprobar
actividad muscular importante), quedando como opcionales otras como el
calcio o la creatinina.
3. Rx de tórax: se debe realizar para descartar cardiopatía (cardiomegalia,
insuficiencia cardíaca, derrame pericardico) o ensanchamiento mediastinico
(diseccion aortica).
4. Otras: TAC helicoidal si sospecha TEP o disección aórtica,
ecocardiograma, TAC de cráneo, EEG, Ergometría, Holter, etc.
Estratificación del riesgo
● Riesgo ALTO:
- Pacientes de cualquier edad con datos de cardiopatía significativa y
sincope posiblemente relacionado con la misma.
- Enfermedad cardíaca (coronaria o estructural severa), insuficiencia
cardiaca, FEVI baja o infarto de miocardio. Características clínicas del
ECG que indiquen o sugieran síncope arrítmico. Hematocrito <30%
Desequilibrios electrolíticos graves. Palpitaciones en el momento del
síncope. Síncope durante el esfuerzo o en decúbito. Historia familiar de
muerte súbita cardiaca prematura.
● Riesgo MEDIO:
- Pacientes mayores de 70 años y síncope psicógeno, ortostático, vagal,
situacional o indeterminado.
- Pacientes de más de 30 años y sincope neurologico, metabólico o
farmacológico.
● Riesgo BAJO:
- Pacientes < 30 años sin datos de cardiopatía.
- Pacientes < 70 años y síncope psicógeno, ortostático, vagal situacional o
indeterminado.
Criterios de ingreso
El ingreso debe estar indicado para estudio completo y/o tratamiento
específico en los pacientes catalogados de riesgo alto.
Además es recomendable en pacientes con:
- Síncope de esfuerzo o durante el decúbito
- Historia familiar de muerte súbita
- Síncope que causa traumatismo grave
- Exploración sugerente de focalidad neurológica
- Múltiples episodios sincopales no explicados
El enfoque terapéutico de un paciente con síncope depende en gran medida
de la etiología (tratamiento específico).
Se deben considerar las siguientes medidas generales: terminal heparinizado,
sueroterapia (en funcion de TA y glucemia capilar), oxigenoterapia si precisa y
monitorizacion ECG en pacientes con inestabilidad hemodinamica, arrítmia
significativa o sospecha de síncope arrítmico.
Vértigo
• El sistema vestibular está formado por tres componentes:
- Aparato sensorial periférico
- Un procesador central (protuberancia, cerebelo)
- Mecanismo de respuesta motora (Vestíbulo ocular, Vestíbulo espinal)
El aparato periférico consiste en un conjunto de sensores de movimiento que
envían la información hacia protuberancia y cerebelo, donde se procesa junto
con información visual y propioceptiva para estimar la posición del paciente.
Con esta información se elabora una respuesta dirigida hacia los músculos
oculares y a la médula espinal para controlar dos reflejos, el vestíbulo-ocular
(VOR) y vestíbulo-espinal (VSR), encargados de los movimientos oculares y
corporales compensatorios para mantener la estabilidad de la cabeza y la
postura, además de mantener una visión clara ante los movimientos en el
espacio.
• El vértigo es la sintomatología producida por la asimetría de las
informaciones vestibulares de un lado respecto al otro, creando una
sensación ilusoria de movimiento rotatorio, acompañado de síntomas
vegetativos y que empeora con los movimientos. Su expresión en la
exploración es la existencia de nistagmo y asimetrías posturales.
Vértigo
ANAMNESIS
Duración:
ANAMNESIS
• Toma previa de sustancias: anticomiciales, alcohol, aminoglucósidos,
furosemida, salicilatos
• Infección local reciente: neuronitis vestibular, laberintitis
• Antecedente de traumatismo: VPPB, fístula perilinfática
• Enfermedades neurológicas
• Factores de riesgo cardiovascular
• Forma de instauración: brusca, insidiosa
• Patrón temporal
• Intensidad
ANAMNESIS
• Recurrencia
• Desencadenado por movimientos nos indica posible origen en un VPPB
• Desencadenado por la maniobra de Valsalva indica la posibilidad de una
fístula
perilinfática o una enfermedad cardiovascular
• Síntomas óticos (hipoacusia, plenitud ótica, acúfenos) orientan a
enfermedad de Ménière
• Las náuseas y vómitos acompañan a casi todos los vértigos, migraña y
presíncope
• Sudoración, palpitaciones, opresión torácica, disnea y parestesias indican un
ataque de
pánico, siempre descartada antes una enfermedad cardiovascular.
• Síntomas neurológicos: disartria, diplopía, parestesias
EXPLORACIÓN FÍSICA
• NRL: Nivel de conciencia; pares craneales; motilidad; sensibilidad
(neuropatía periférica, déficit de vitamina B); función cerebelosa (dismetrías,
hipotonía y disdiadococinesias); marcha; Romberg, RCP bilateral, ROT
• CV: Tensión arterial; pulsos (carotídeos y craneales); auscultación cardiaca
• ORL: Otoscopia bilateral. Nistagmus:
- Oscilación rítmica e involuntaria de los ojos
- Un componente rápido, que define la dirección del nistagmo y otro lento
- En los síndromes periféricos la fase lenta nos va a señalar el lado
hipofuncionante del vestíbulo, de tal forma que la fase lenta del nistagmo, la
desviación de los miembros y la tendencia a caerse van hacia el vestíbulo
enfermo
- Además, en el síndrome periférico, el nistagmo es congruente, es decir,
los dos ojos se desplazan en la misma dirección, con igual amplitud y
frecuencia.
Nistagmus
Pruebas complementarias
1.- ECG
2.- Analítica general
3.- Pruebas de neuroimagen si:
SÍNDROMES VERTIGINOSOS PERIFÉRICOS
•Completo: aparecen la mayoría de los síntomas
•Proporcionado: con la intensidad del vértigo
•Armónico: desviaciones corporales hacia el lado afecto y el nistagmo (fase
rápida) hacia el lado contrario
– Vértigo posicional paroxístico benigno. El más frecuente. La mayoría de
origen desconocido. Breves episodios de vértigo (< 30-60 seg) originados por
cambios de posición (típico al levantarse de la cama).
Es especial ya que es el único con exploración normal salvo por test
posturales de provocación (Dix-Hallpike) y tratamiento con maniobras de
recolocación (Epley, Semond)
– Vértigo asociado a migraña. El vértigo se presenta como aura de una
migraña, dura < 60 min con clara fotofobia y sonofobia. Importante completar
bien los antecedentes. Es el típico y casi exclusivo vértigo de la infancia
– Enfermedad de Ménière. Vértigo espontáneo y recurrente acompañado de
acúfenos, plenitud ótica e hipoacusia fluctuante. Duración de horas, siempre <
48h
SÍNDROMES VERTIGINOSOS PERIFÉRICOS
– Fístula perilinfática. Cuadros de vértigo, hipoacusia y acúfenos con
desencadenantes típicos como la maniobra de Valsalva. Test de la fístula
positivo.
– Laberintitis. Infección del laberinto desde el oído medio. Vértigo > 48 h, con
hipoacusia y posible test de la fístula positivo.
– Neuritis vestibular. Infección vírica que afecta al nervio vestibular. Comienzo
brusco con duración > 48h y muy sintomático. Posible antecedente catarral.
– Vértigo psicógeno-ansiedad. Síntomas de mareo muy variables
acompañados de síntomas somáticos y gran ansiedad. Test de
hiperventilación positivo.
Síndrome vertiginoso central
Alteraciones vasculares (Insuficiencia vertebro-basilar (AIT VB), Síndrome
de Wallemberg Infarto cerebeloso
Tumores del ángulo pontocerebeloso
Enfermedad desmielinizante
Vértigo asociado a migraña
Epilepsia
Diagnóstico diferencial
Tratamiento
• Reposo
• Fluidoterapia iv un ambiente adecuado (eliminar ruidos y exceso de luz)
• Sedantes vestibulares: Sulpirida (Dogmatil®), tietilperazina (Torecán®).
• Sedantes Centrales: Diazepam
• Antieméticos
• Analgesia si migraña asociada
• Corticoides: acción sobre componente inflamatorio del origen
Caso clínico
● Paciente varón de 49 años de edad
● AP: fumador de 50 paquetes año, diabetes mellitus
insulinodependiente
● Consulta por presentar cuadro de mareo con pérdida de conciencia
de segundos de duración, mientras salía del baño. Refiere sensación
disneica de inicio brusco, junto a naúseas y sudoración , que el
paciente relaciona con la limpieza con lejía en su domicilio. No
refiere dolor torácico.
● A su llegada a Urgencias, TA 104/78mmHg, FC 94lpm. SatO2 99%
● .En la exploración física destaca dolor y tumefacción en pantorrilla
derecha, que el paciente refiere desde hace 15 días.
● Qué tipo de síncope podría definirse?
Etiología sincopal (1)
● NEUROMEDIADO (reflejo): vasovagales, hipersensibilidad del seno
carotideo, valsalva, situacionales, dolor.
● ORTOSTÁTICOS: Disminución del tono venoso, depleción de volumen,
fármacos vasodilatadores, disfunción autonómica. Nauseas, sudoracion,
mareo, calor, palidez. Puede haber relajación de esfínteres, hipotensión
habitual, síntomas residuales (cansancio).
● ARRÍTMICOS: alteración del ritmo (disfunción del nodo sinusal,
trastornos de conducción auriculoventricular, taquiarritmias
supraventriculares, taquiarritmias ventriculares), trastornos hereditarios (S.
de Brugada, displasia de ventrículo derecho, QT largo), disfunción de
marcapasos, efecto proarritmogénico por farmacos.
Etiología sincopal (2)
● DEFECTOS ESTRUCTURALES: valvulopatías, miocardiopatía hipertrófica
obstructiva, disección de aorta, cardiopatía isquémica, taponamiento
cardiaco, mixoma auricular, tromboembolismo pulmonar, hipertensión
pulmonar
● NEUROLÓGICOS: Patologia cerebrovascular (hemorragia subaracnoidea,
accidente cerebrovascular, accidente isquemico transitorio, alteraciones
esqueleticas cervicales, Sindrome del robo de la subclavia), migrana,
crisis epiléptica.
● METABÓLICOS: Drogas de abuso, fármacos, alcohol, hipoxia,
hiperventilación, hipoglucemia.
● PSIQUIÁTRICOS: histeria, transtornos de pánico o ansiedad, transtornos
por somatización.
ECG
EECC
● En ECG se objetiva FA a 144 lpm no conocida, de duración
inderminada, no refiere palpitaciones.
● Se realiza hemograma, bioquimica y hemostasia, destacando
un Dímero D de 3238. Marcadores de necrosis miocárdica en
rango de la normalidad. En la gasometría arterial basal: pH
7.40, pCO2 40, pO2 80, EB -1.3, SatO2 99%. La Rx de tórax
no muestra hallazgos significativos.
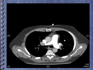
● AngioTAC: defectos de repleción (tromboémbolos flotantes)
en ambas arterias pulmonares principales que se extienden
hacia las arterias lobares y segmentarias.
● En la venografía de MMII, se identifica un defecto de
repleción en el tercio medio de la vena femoral superficial
derecha, que se extiende hasta la vena poplítea.
● Realizada Ecocardiografía transtorácica donde no se objetiva
dilataciones de las cavidades cardíacas ni derrame
pericárdico.
Evolución
● Se procede a tto fibrinolítico con rt-PA
presentando buena evolución, y pasando a ritmo
sinusal.
● Se trata de un paciente que acude a urgencias con
clínica de sincope con recuperación espontánea sin
presentar en ningún momento disnea ni dolor
torácico, con determinación gasométrica normal y
sin patrón S1Q3T3 en el ECG. Destacar la
importancia de la exploración física a nivel de
MMII , aún con síntomas inespecíficos.
● ANAMNESIS + EXPLORACIÓN FÍSICA !!!
Mareos

Mareos

  • 1.
  • 2.
    Definiciones • Desequilibrio: sensaciónde incapacidad para mantener en bipedestación el centro de gravedad dentro de la base de sustentación (sensación de caída inminente). • Presíncope: por déficit de los requerimientos esenciales cerebrales (hipoglucemia, hipoxia, anemia, baja presión de perfusión). visión borrosa, acaloramiento, molestias abdominales, sensación de falta de aire, sudoración fría, debilidad, sensación de ir a perder la conciencia, lo que a veces ocurre (síncope). • Vértigo: sensación ilusoria de movimiento rotatorio con síntomas vegetativos, nistagmo y empeoramiento con el movimiento. Si hay vértigo tiene que aparecer un nistagmo espontáneo, pero puede haber nistagmo sin vértigo. • Mareo: alteración de la orientación espacial sin ilusión de movimiento. Sintomatología que no se adapta a ninguna de las definiciones anteriores.
  • 3.
    Introducción al Síncope ●El síncope es una pérdida brusca y transitoria de la conciencia y del tono muscular con recuperación espontánea y completa en segundos y sin secuelas. ● Se debe a una reducción del flujo sanguíneo del sistema activador reticular localizado en el tronco cerebral. ● En el presíncope no existe pérdida completa de la conciencia, pero si inestabilidad, y otros signos y síntomas que habitualmente acompañan a los episodios sincopales. ● 20% de la población adulta, aumenta con la edad (incidencia anual según el estudio Framingham del 3% en hombres y del 3,5% en mujeres). 3% de todas las consultas en urgencias, variada etiología y pronóstico, estratificación del riesgo.
  • 4.
    Etiología sincopal (1) ●NEUROMEDIADO (reflejo): vasovagales, hipersensibilidad del seno carotideo, valsalva, situacionales, dolor. ● ORTOSTÁTICOS: Disminución del tono venoso, depleción de volumen, fármacos vasodilatadores, disfunción autonómica. Nauseas, sudoracion, mareo, calor, palidez. Puede haber relajación de esfínteres, hipotensión habitual, síntomas residuales (cansancio). ● ARRÍTMICOS: alteración del ritmo (disfunción del nodo sinusal, trastornos de conducción auriculoventricular, taquiarritmias supraventriculares, taquiarritmias ventriculares), trastornos hereditarios (S. de Brugada, displasia de ventrículo derecho, QT largo), disfunción de marcapasos, efecto proarritmogénico por farmacos.
  • 5.
    Etiología sincopal (2) ●DEFECTOS ESTRUCTURALES: valvulopatías, miocardiopatía hipertrófica obstructiva, disección de aorta, cardiopatía isquémica, taponamiento cardiaco, mixoma auricular, tromboembolismo pulmonar, hipertensión pulmonar ● NEUROLÓGICOS: Patologia cerebrovascular (hemorragia subaracnoidea, accidente cerebrovascular, accidente isquemico transitorio, alteraciones esqueleticas cervicales, Sindrome del robo de la subclavia), migrana, crisis epileptica. ● METABÓLICOS: Drogas de abuso, fármacos, alcohol, hipoxia, hiperventilación, hipoglucemia. ● PSIQUIÁTRICOS: histeria, transtornos de pánico o ansiedad, transtornos por somatización.
  • 6.
    Primer contacto CONCEPTOS ENURGENCIAS: ● Anamnesis + exploracion física = diagnóstico 50% ● Pruebas complementarias (analítica general, ECG, Rx tórax) = 30% ● De inicio medir: Constantes vitales, estabilidad hemodinámica, nivel de conciencia y glicemia capilar. ● PASOS A SEGUIR: ● Intervención directa vs Anamnesis dirigida
  • 7.
    Anamnesis (!!!) 1. Antecedentespersonales: - Edad y situación basal previa - Historia de cardiopatía previa (factores de riesgo cardiovascular, ,TEP, historia de muerte súbita familiar) - Sincopes o mareos previos (frecuencia, características y estudio sobre estos si los hubiera), - Farmacoterapia activa: atención a diuréticos, vasodilatadores, hipotensores y bloqueantes alfa-adrenérgicos. 2. Historia actual: verdadero episodio vs episodio presincopal, debilidad, confusión, alteración transitoria del nivel de conciencia, quién lo ha presenciado. ESPECIAL ATENCIÓN a: precipitantes, pródromos, actividad durante el episodio, duración y recuperación del mismo..
  • 8.
    Anamnesis: historia delepisodio (1) 1.- Factores precipitantes – Postura: bipedestación (ortostáticos y vasovagales) vs decúbito. Alguna vez el desencadenante es el cambio postural (mixoma auricular), algunos movimientos cefálicos (hipersensibilidad del seno carotídeo) – Circunstancias desencadenantes: vasovagal (calor, sangre, dolor, relación con ingesta), situacional (tos, micción) o por hipersensibilidad del seno carotídeo (corbata, afeitarse). – Ejercicio: asociados a cardiopatía (miocardiopatía hipertrófica obstructiva, estenosis aórtica o HTP), arrítmias tanto supraventriculares como taquicardias ventriculares (típico de la displasia arrítmogénica) 2. Pródromos - Vasovagales u ortostáticos: cortejo vagal, estimulación simpática (taquicardia, diaforesis, sudoración, nauseas, etc). - Neurológicos: generalmente vienen precedidos de focalidad neurológica o aura. - Cardiogénicos como regla general son bruscos, sin pródromos. Dolor torácico, disnea, cefalea o palpitaciones
  • 9.
    Anamnesis: historia delepisodio (2) 3.- Durante el síncope - Presencia de convulsiones, actividad motora (mordedura de lengua, movimiento de masticación o chupeteo, etc), relajación de esfinteres, traumatismo y sobre la duración del episodio. - El síncope cardiogénico suele ser breve (de segundos o pocos minutos, excepto en e lcaso de la estenosis aórtica que puede ser más prolongado). 4. Recuperación - Generalmente la recuperación es espontanea con buen nivel de conciencia. En la crisis comicial encontramos un estado post crítico, - Disnea en el TEP o insuficiencia cardiaca - Cefalea, focalidad neurológica (AVC, AIT, HSA), - Dolor torácico (angor, IAM, disección aórtica)
  • 10.
    Exploración física (1) 1.Inspeccion general: nivel de conciencia (estado postcrítico o situación de coma), hidratación (sobre todo en anciano), perfusión y coloración de piel y mucosas (anemia). 2. Constantes vitales: ortostatismo, obtención de la FC y la TA en ambos brazos, en decúbito y tras la bipedestación (al menos 5 minutos). Se considera respuesta positiva a ortostatismo cuando hay una caída de TA de 20 mm Hg. 3. Cabeza y cuello: soplos carotideos. Ante toda sospecha y en adultos (>55 anos), donde la hipersensibilidad del seno carotídeo es una causa frecuente de síncope, debe realizarse el masaje del seno carotídeo (evitar si soplo o historia de AVC).
  • 11.
    Exploración física (2) ● 4.Auscultación cardíaca: alteraciones del ritmo cardíaco, extratonos y soplos (estenosis aórtica, etc.). 5. Auscultación pulmonar: signos de insuficiencia cardíaca o de patología pulmonar. 6. Abdomen: con especial atención a megalias, masas pulsátiles y soplos (aterosclerosis, disección aórtica). 7. Extremidades: pulsos (si son asimétricos pensar en disección aórtica, coartación aórtica o robo de la subclavia), edemas y signos de trombosis venosa profunda. 8. Tacto rectal: si hay sospecha de hemorragia digestiva. 9. Exploración neurológica: detección de anomalías neurológicas significativas sugestivas de disautonomía o enfermedad cerebrovascular.
  • 12.
    Exploraciones complementarias 1. ECG:12 derivaciones y la tira de ritmo se debe realizar siempre. - Un ECG normal no descarta la presencia de un sincope cardiogénico. - Bloqueo bifascicular, trastornos de conduccion intraventricular (duracion del QRS > 120 mseg), bradicardia sinusal sintomatica, bloqueo sinoauricular o pausas sinusales > 3 seg, preexcitacion, intervalo QT corto (< 330 ms) o prolongado (> de 440 ms), patron de BRD con elevacion segmento ST en V1- V3 (S. de Brugada), ondas T negativas en derivaciones precordiales. 2. Analítica: anemias, estudio de coagulación, gasometría arterial basal (si se precisa), iones (deshidratación, alteraciones del potasio), glucosa, urea (insuficiencia renal, hemorragia digestiva), CPK- Troponina (sospecha de cardiopatía isquémica (con MB) o en dudosa crisis comicial para comprobar actividad muscular importante), quedando como opcionales otras como el calcio o la creatinina. 3. Rx de tórax: se debe realizar para descartar cardiopatía (cardiomegalia, insuficiencia cardíaca, derrame pericardico) o ensanchamiento mediastinico (diseccion aortica). 4. Otras: TAC helicoidal si sospecha TEP o disección aórtica, ecocardiograma, TAC de cráneo, EEG, Ergometría, Holter, etc.
  • 14.
    Estratificación del riesgo ●Riesgo ALTO: - Pacientes de cualquier edad con datos de cardiopatía significativa y sincope posiblemente relacionado con la misma. - Enfermedad cardíaca (coronaria o estructural severa), insuficiencia cardiaca, FEVI baja o infarto de miocardio. Características clínicas del ECG que indiquen o sugieran síncope arrítmico. Hematocrito <30% Desequilibrios electrolíticos graves. Palpitaciones en el momento del síncope. Síncope durante el esfuerzo o en decúbito. Historia familiar de muerte súbita cardiaca prematura. ● Riesgo MEDIO: - Pacientes mayores de 70 años y síncope psicógeno, ortostático, vagal, situacional o indeterminado. - Pacientes de más de 30 años y sincope neurologico, metabólico o farmacológico. ● Riesgo BAJO: - Pacientes < 30 años sin datos de cardiopatía. - Pacientes < 70 años y síncope psicógeno, ortostático, vagal situacional o indeterminado.
  • 15.
    Criterios de ingreso Elingreso debe estar indicado para estudio completo y/o tratamiento específico en los pacientes catalogados de riesgo alto. Además es recomendable en pacientes con: - Síncope de esfuerzo o durante el decúbito - Historia familiar de muerte súbita - Síncope que causa traumatismo grave - Exploración sugerente de focalidad neurológica - Múltiples episodios sincopales no explicados El enfoque terapéutico de un paciente con síncope depende en gran medida de la etiología (tratamiento específico). Se deben considerar las siguientes medidas generales: terminal heparinizado, sueroterapia (en funcion de TA y glucemia capilar), oxigenoterapia si precisa y monitorizacion ECG en pacientes con inestabilidad hemodinamica, arrítmia significativa o sospecha de síncope arrítmico.
  • 16.
    Vértigo • El sistemavestibular está formado por tres componentes: - Aparato sensorial periférico - Un procesador central (protuberancia, cerebelo) - Mecanismo de respuesta motora (Vestíbulo ocular, Vestíbulo espinal) El aparato periférico consiste en un conjunto de sensores de movimiento que envían la información hacia protuberancia y cerebelo, donde se procesa junto con información visual y propioceptiva para estimar la posición del paciente. Con esta información se elabora una respuesta dirigida hacia los músculos oculares y a la médula espinal para controlar dos reflejos, el vestíbulo-ocular (VOR) y vestíbulo-espinal (VSR), encargados de los movimientos oculares y corporales compensatorios para mantener la estabilidad de la cabeza y la postura, además de mantener una visión clara ante los movimientos en el espacio. • El vértigo es la sintomatología producida por la asimetría de las informaciones vestibulares de un lado respecto al otro, creando una sensación ilusoria de movimiento rotatorio, acompañado de síntomas vegetativos y que empeora con los movimientos. Su expresión en la exploración es la existencia de nistagmo y asimetrías posturales.
  • 17.
  • 18.
  • 19.
    ANAMNESIS • Toma previade sustancias: anticomiciales, alcohol, aminoglucósidos, furosemida, salicilatos • Infección local reciente: neuronitis vestibular, laberintitis • Antecedente de traumatismo: VPPB, fístula perilinfática • Enfermedades neurológicas • Factores de riesgo cardiovascular • Forma de instauración: brusca, insidiosa • Patrón temporal • Intensidad
  • 20.
    ANAMNESIS • Recurrencia • Desencadenadopor movimientos nos indica posible origen en un VPPB • Desencadenado por la maniobra de Valsalva indica la posibilidad de una fístula perilinfática o una enfermedad cardiovascular • Síntomas óticos (hipoacusia, plenitud ótica, acúfenos) orientan a enfermedad de Ménière • Las náuseas y vómitos acompañan a casi todos los vértigos, migraña y presíncope • Sudoración, palpitaciones, opresión torácica, disnea y parestesias indican un ataque de pánico, siempre descartada antes una enfermedad cardiovascular. • Síntomas neurológicos: disartria, diplopía, parestesias
  • 21.
    EXPLORACIÓN FÍSICA • NRL:Nivel de conciencia; pares craneales; motilidad; sensibilidad (neuropatía periférica, déficit de vitamina B); función cerebelosa (dismetrías, hipotonía y disdiadococinesias); marcha; Romberg, RCP bilateral, ROT • CV: Tensión arterial; pulsos (carotídeos y craneales); auscultación cardiaca • ORL: Otoscopia bilateral. Nistagmus: - Oscilación rítmica e involuntaria de los ojos - Un componente rápido, que define la dirección del nistagmo y otro lento - En los síndromes periféricos la fase lenta nos va a señalar el lado hipofuncionante del vestíbulo, de tal forma que la fase lenta del nistagmo, la desviación de los miembros y la tendencia a caerse van hacia el vestíbulo enfermo - Además, en el síndrome periférico, el nistagmo es congruente, es decir, los dos ojos se desplazan en la misma dirección, con igual amplitud y frecuencia.
  • 22.
  • 23.
    Pruebas complementarias 1.- ECG 2.-Analítica general 3.- Pruebas de neuroimagen si:
  • 24.
    SÍNDROMES VERTIGINOSOS PERIFÉRICOS •Completo:aparecen la mayoría de los síntomas •Proporcionado: con la intensidad del vértigo •Armónico: desviaciones corporales hacia el lado afecto y el nistagmo (fase rápida) hacia el lado contrario – Vértigo posicional paroxístico benigno. El más frecuente. La mayoría de origen desconocido. Breves episodios de vértigo (< 30-60 seg) originados por cambios de posición (típico al levantarse de la cama). Es especial ya que es el único con exploración normal salvo por test posturales de provocación (Dix-Hallpike) y tratamiento con maniobras de recolocación (Epley, Semond) – Vértigo asociado a migraña. El vértigo se presenta como aura de una migraña, dura < 60 min con clara fotofobia y sonofobia. Importante completar bien los antecedentes. Es el típico y casi exclusivo vértigo de la infancia – Enfermedad de Ménière. Vértigo espontáneo y recurrente acompañado de acúfenos, plenitud ótica e hipoacusia fluctuante. Duración de horas, siempre < 48h
  • 25.
    SÍNDROMES VERTIGINOSOS PERIFÉRICOS –Fístula perilinfática. Cuadros de vértigo, hipoacusia y acúfenos con desencadenantes típicos como la maniobra de Valsalva. Test de la fístula positivo. – Laberintitis. Infección del laberinto desde el oído medio. Vértigo > 48 h, con hipoacusia y posible test de la fístula positivo. – Neuritis vestibular. Infección vírica que afecta al nervio vestibular. Comienzo brusco con duración > 48h y muy sintomático. Posible antecedente catarral. – Vértigo psicógeno-ansiedad. Síntomas de mareo muy variables acompañados de síntomas somáticos y gran ansiedad. Test de hiperventilación positivo.
  • 26.
    Síndrome vertiginoso central Alteracionesvasculares (Insuficiencia vertebro-basilar (AIT VB), Síndrome de Wallemberg Infarto cerebeloso Tumores del ángulo pontocerebeloso Enfermedad desmielinizante Vértigo asociado a migraña Epilepsia
  • 27.
  • 28.
    Tratamiento • Reposo • Fluidoterapiaiv un ambiente adecuado (eliminar ruidos y exceso de luz) • Sedantes vestibulares: Sulpirida (Dogmatil®), tietilperazina (Torecán®). • Sedantes Centrales: Diazepam • Antieméticos • Analgesia si migraña asociada • Corticoides: acción sobre componente inflamatorio del origen
  • 29.
    Caso clínico ● Pacientevarón de 49 años de edad ● AP: fumador de 50 paquetes año, diabetes mellitus insulinodependiente ● Consulta por presentar cuadro de mareo con pérdida de conciencia de segundos de duración, mientras salía del baño. Refiere sensación disneica de inicio brusco, junto a naúseas y sudoración , que el paciente relaciona con la limpieza con lejía en su domicilio. No refiere dolor torácico. ● A su llegada a Urgencias, TA 104/78mmHg, FC 94lpm. SatO2 99% ● .En la exploración física destaca dolor y tumefacción en pantorrilla derecha, que el paciente refiere desde hace 15 días. ● Qué tipo de síncope podría definirse?
  • 30.
    Etiología sincopal (1) ●NEUROMEDIADO (reflejo): vasovagales, hipersensibilidad del seno carotideo, valsalva, situacionales, dolor. ● ORTOSTÁTICOS: Disminución del tono venoso, depleción de volumen, fármacos vasodilatadores, disfunción autonómica. Nauseas, sudoracion, mareo, calor, palidez. Puede haber relajación de esfínteres, hipotensión habitual, síntomas residuales (cansancio). ● ARRÍTMICOS: alteración del ritmo (disfunción del nodo sinusal, trastornos de conducción auriculoventricular, taquiarritmias supraventriculares, taquiarritmias ventriculares), trastornos hereditarios (S. de Brugada, displasia de ventrículo derecho, QT largo), disfunción de marcapasos, efecto proarritmogénico por farmacos.
  • 31.
    Etiología sincopal (2) ●DEFECTOS ESTRUCTURALES: valvulopatías, miocardiopatía hipertrófica obstructiva, disección de aorta, cardiopatía isquémica, taponamiento cardiaco, mixoma auricular, tromboembolismo pulmonar, hipertensión pulmonar ● NEUROLÓGICOS: Patologia cerebrovascular (hemorragia subaracnoidea, accidente cerebrovascular, accidente isquemico transitorio, alteraciones esqueleticas cervicales, Sindrome del robo de la subclavia), migrana, crisis epiléptica. ● METABÓLICOS: Drogas de abuso, fármacos, alcohol, hipoxia, hiperventilación, hipoglucemia. ● PSIQUIÁTRICOS: histeria, transtornos de pánico o ansiedad, transtornos por somatización.
  • 32.
  • 33.
    EECC ● En ECGse objetiva FA a 144 lpm no conocida, de duración inderminada, no refiere palpitaciones. ● Se realiza hemograma, bioquimica y hemostasia, destacando un Dímero D de 3238. Marcadores de necrosis miocárdica en rango de la normalidad. En la gasometría arterial basal: pH 7.40, pCO2 40, pO2 80, EB -1.3, SatO2 99%. La Rx de tórax no muestra hallazgos significativos. ● AngioTAC: defectos de repleción (tromboémbolos flotantes) en ambas arterias pulmonares principales que se extienden hacia las arterias lobares y segmentarias. ● En la venografía de MMII, se identifica un defecto de repleción en el tercio medio de la vena femoral superficial derecha, que se extiende hasta la vena poplítea. ● Realizada Ecocardiografía transtorácica donde no se objetiva dilataciones de las cavidades cardíacas ni derrame pericárdico.
  • 36.
    Evolución ● Se procedea tto fibrinolítico con rt-PA presentando buena evolución, y pasando a ritmo sinusal. ● Se trata de un paciente que acude a urgencias con clínica de sincope con recuperación espontánea sin presentar en ningún momento disnea ni dolor torácico, con determinación gasométrica normal y sin patrón S1Q3T3 en el ECG. Destacar la importancia de la exploración física a nivel de MMII , aún con síntomas inespecíficos. ● ANAMNESIS + EXPLORACIÓN FÍSICA !!!