SILADEPA-26.svs
Caso Clínico - Patológico
Mariela Huertas. MC, R2
Sandro Casavilca Zambrano. MC, Mg
Instituto Nacional de Enfermedades Neoplásicas
HISTORIA CLINICA
• Paciente varón de 65 años de edad,
• Natural y procedente de Lima
• En región superciliar izquierda, presenta
cicatriz quirúrgica de 2.5 cm, adyacente a
la cual se observa nódulo pardo
amarillento de 0.6 cm, móvil, no doloroso
a la palpación.
• No se palpan masas en parótida ni cuello
• Resto de examen no contributorio
Región superciliar
HE 40X
Región superciliar
HE 100X
Región superciliar
HE 400X
Diagnóstico
• Sebaceoma
• Múltiples nódulos simetricos con discreta variación de tamaño y
compromiso epidermico
• Compuesto por una mezcla de sebocitos maduros y células basaloides
de aspect germinativo
• Antecedentes familiares: padre fallecido por cáncer de colon a los 31
años, madre fallecida por un tumor cerebral a los 55 años, hermano
fallecido por cáncer de colon a los 33 años, hermana con cáncer de
endometrio (33años) y adenoma de recto (49 años)
Antecedentes Personales:
• 10/2008: Presenta lesión, ulcerada y verrucosa en arco superciliar
izquierdo, a nivel de borde externo, el cual fue resecado en otra
institución con AP: carcinoma epidermoide con bordes
comprometidos
• 12/2008: A nivel de cicatriz, en el borde externo presenta lesión
verrucosa de 0.3 cm de diámetro bien delimitada: AP: Carcinoma
Epidermoide infiltrante, queratinizante, de 7mm de espesor, que
infiltra la dermis y focalmente el tejido muscular estriado
Lesion Superciliar
HE 40X
Antecedentes Personales:
• 1983: (29 años) Adenocarcinoma de colon derecho operado
• 1995: (41 años) Adenocarcinoma de colon transverso operado.
• 2009: (55 años) Adenocarcinoma tubular moderadamente
diferenciado de la tercera porción de duodeno PT3 N0, por lo
que se le realiza una Pancreatectomía proximal con
preservación de píloro
Duodeno
HE 4X
MLH 1
PMS 2
MLH 2
MSH 6
• 01/2013: Presenta una lesión exofitica proliferativa de 1 cm de
diámetro mayor, de bordes bien definidos, en región axilar derecha
AP: carcinoma de glándulas sebaceas
• 05/2014: presenta dos nódulo subcutáneo el primero localizado en
región pectoral izquierda de 1cm y el otro en región inguinal derecha
de 2 cm, móviles
AP: carcinoma Sebáceo G2
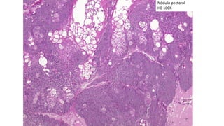
Nódulo pectoral
HE 40X
Nódulo pectoral
HE 40X
Nódulo pectoral
HE 100X
Nódulo pectoral
HE 400X
MLH 1
PMS 2
MLH 2
MSH 6
John K. C. Chan, Yiu-Tung Ip and Wah Cheuk. The Utility of Immunohistochemistry for Providing Genetic Information on
Tumors. INT J SURG PATHOL 2013 21: 455
Estudio de PCR INEN
• Genética: Alta inestabilidad microsatelital
Evolución
• 10/2011: Presenta una lesión ulcerada costrosa en la región interciliar
de 0.5 cm, además otra lesión a nivel de labio superior de 1.2 cm
AP: Queratoacantoma
Gracias

Muir Torre vs Lynch

  • 1.
    SILADEPA-26.svs Caso Clínico -Patológico Mariela Huertas. MC, R2 Sandro Casavilca Zambrano. MC, Mg Instituto Nacional de Enfermedades Neoplásicas
  • 2.
    HISTORIA CLINICA • Pacientevarón de 65 años de edad, • Natural y procedente de Lima • En región superciliar izquierda, presenta cicatriz quirúrgica de 2.5 cm, adyacente a la cual se observa nódulo pardo amarillento de 0.6 cm, móvil, no doloroso a la palpación. • No se palpan masas en parótida ni cuello • Resto de examen no contributorio
  • 3.
  • 4.
  • 5.
  • 6.
    Diagnóstico • Sebaceoma • Múltiplesnódulos simetricos con discreta variación de tamaño y compromiso epidermico • Compuesto por una mezcla de sebocitos maduros y células basaloides de aspect germinativo
  • 7.
    • Antecedentes familiares:padre fallecido por cáncer de colon a los 31 años, madre fallecida por un tumor cerebral a los 55 años, hermano fallecido por cáncer de colon a los 33 años, hermana con cáncer de endometrio (33años) y adenoma de recto (49 años)
  • 8.
    Antecedentes Personales: • 10/2008:Presenta lesión, ulcerada y verrucosa en arco superciliar izquierdo, a nivel de borde externo, el cual fue resecado en otra institución con AP: carcinoma epidermoide con bordes comprometidos • 12/2008: A nivel de cicatriz, en el borde externo presenta lesión verrucosa de 0.3 cm de diámetro bien delimitada: AP: Carcinoma Epidermoide infiltrante, queratinizante, de 7mm de espesor, que infiltra la dermis y focalmente el tejido muscular estriado
  • 9.
  • 10.
    Antecedentes Personales: • 1983:(29 años) Adenocarcinoma de colon derecho operado • 1995: (41 años) Adenocarcinoma de colon transverso operado. • 2009: (55 años) Adenocarcinoma tubular moderadamente diferenciado de la tercera porción de duodeno PT3 N0, por lo que se le realiza una Pancreatectomía proximal con preservación de píloro
  • 11.
  • 13.
  • 14.
  • 15.
  • 16.
  • 17.
    • 01/2013: Presentauna lesión exofitica proliferativa de 1 cm de diámetro mayor, de bordes bien definidos, en región axilar derecha AP: carcinoma de glándulas sebaceas • 05/2014: presenta dos nódulo subcutáneo el primero localizado en región pectoral izquierda de 1cm y el otro en región inguinal derecha de 2 cm, móviles AP: carcinoma Sebáceo G2
  • 18.
  • 19.
  • 20.
  • 21.
  • 22.
  • 23.
  • 24.
  • 25.
  • 26.
    John K. C.Chan, Yiu-Tung Ip and Wah Cheuk. The Utility of Immunohistochemistry for Providing Genetic Information on Tumors. INT J SURG PATHOL 2013 21: 455
  • 27.
    Estudio de PCRINEN • Genética: Alta inestabilidad microsatelital
  • 30.
    Evolución • 10/2011: Presentauna lesión ulcerada costrosa en la región interciliar de 0.5 cm, además otra lesión a nivel de labio superior de 1.2 cm AP: Queratoacantoma
  • 31.