PAOLA GURAIEB CHAHÍN R3N
ANATOMÍA DE LOS
NERVIOS CRANEALES
LOS CINCO SENTIDOS
PINTADOS POR JUSEPE DE
RIBERA “EL SPAGNOLETTO”
EL OLFATO EL GUSTO LA VISTA
EL OÍDO EL TACTO
I OLFATORIO
• Forma un tracto y no un
nervio.
• Por tradición el bulbo y el
tracto olfatorio se conocen
como “nervio olfatorio”
MOLÉCULAS
AROMÁTICAS SE
DISUELVEN
RECEPTORES
SENSITIVOS DEL
EPITELIO OLFATORIO
RECEPTORES
TRASMITEN A
PROCÉSOS
CENTRALES QUE
ATRVIESAN EL
PLATILLO CRIBIFORME
DEL ETMOIDES
SINAPSIS EN
NEURONAS
SECUNDARIAS DEL
BULBO OLFATORIO
Tracto olfatorio
Estría lateral
Área olfatoria lateral
(uncus, área entorrinal
y lumen insulae = área
piriforme)
Estría intermedia
Área olfatoria
intermedia
Sustancia perforada
anterior
Estría medial
Área olfatoria medial
(septal) región
subcallosa de la
superficie medial del
lóbulo frontal.
HIPOTÁLAMO TÁLAMO
NÚCLEO
HABENULAR
PROYECCIONES:
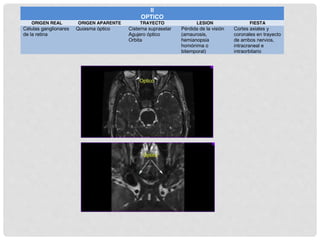
II ÓPTICO
ENERGIA
LUMINOSA
CONOS Y
BASTONES
CÉLULAS
GANGLIONARES
NERVIO ÓPTICO
Se traduce en señal
eléctrica en los conos y
bastones
Pasa a las células
bipolares que son las
neuronas sensoriales
primarias
De ahí pasa a las células
ganglionares que son las
neuronas sensoriales
secundarias
Los axones de
las c
ganglionares
convergen en el
NO
NO DEJA
LA ÓRBITA
POR EL
CANAL
ÓPTICO
SE UNE AL
DEL OTRO
LADO Y
FORMA EL
QUIASMA
LA MITAD
DE LOS
AXONES
CRIZAN LA
LÍNEA
MEDIA
CGL
TRACTO
G.C
(RADIACI
ONES
ÓPTICAS)
CORTEZA
VISUAL
PRIMARIA
III OCULOMOTOR
• Núcleo situado en el mesencéfalo.
• Cerca de la línea media justo
ventral al acueducto cerebral.
• Se acepta que los subnucleos del
complejo OM inervan a los
músculos individuales.
SALE DEL MESENCÉFALO EN LA FOSA
INTERPEDUNCULAR
VIAJA ENTRE LA CEREBRAL POSTERIOR
Y LA SUCA Y CORRE AL LADO DE LA
COMUNICANTE POSTERIOR
SENO CAVERNOSO
FISURA ORBITARIA SUPERIOR
COMPLEJO OCULOMOTOR NUCLEAR
• La parte lateral del
complejo OM está
formado por sub-núcleos
de los laterales que
inervan de dorsal a
ventral, el RI, el OI y el RM
ipsilateral.
• El sub-núcleo medial
inerva al RS contralateral
y el elevador del
párpado superior
bilateral.
COMPLEJO MOTOR VISCERAL
NÚCLEO EW EN MESENCÉFALO
AXONES VISCERALES
PREGANGLIONARES CURSAN
VENTRALMENTE CON LOS
AXONES MOTORES SOMÁTICOS
ENTRAN A LA ÓRBITA Y VAN AL
GANGLIO CILIAR
LOS AXONES
POSTGANGLIONARES DEJAN EL
GC Y ENTRAN AL OJO
EN EL OJO CORREN ENTRE LA
COROIDES Y LA ESCLERA Y
TERMINAN EN EL CPO CILIAR Y
EL IRIS
FIBRAS MOTORAS VISCERALES CONTROLAN
EL CONSTRICTOR DE LA PUPILA Y EL
MÚSCULO CILIAR
IV TROCLEAR
EL NÚCLEO SE LOCALIZA EN EL TEGMENTO DEL
MESENCÉFALO A NIVEL DEL COLÍCULO INFERIOR
CERCA DE LA LÍNEA MEDIA Y VENTRAL AL ACUEDUCTO
COMO EL NERVIO CRUZA AL LADO OPUESTO CADA
MUSCULO OBLICUO SUPERIOR ESTA INERVADO POR EL
NUCLEO TROCLEAR CONTRALATERAL
ENTRA POR
ENCIMA DEL
ANILLO
TENDINOSO
CRUZA LA LÍNEA MEDIA
ALCANZA EL
OS
CORRE EN DIAGONAL
JUNTO CON EP Y EL RS
AQUÍ SE
SEPARA
PARA
ENTRAR AL
OS
JUSTO EN EL TERCIO
PROXIMAL
AXONES EMERGEN
ENTRE LA ACP Y LA
SUCA CON EL III NC
CORREN
ANTERIORMENTE
ENTRAN AL SENO
CAVERNOSO
V TRIGÉMINO
OFTÁLMICA
V1
FISURA
ORBITARIA
SUPERIOR
MAXILAR
V2
FORAMEN
ROTUNDUM
MANDIBULAR
V3
FORAMEN
OVAL
RAMA MOTORA VIAJA CON V3
Inerva el maseterino, el temporalis y el
pterigoideo
FIBRAS SENSITIVAS TERMINAN EN EL NÚCLEO
SENSORIAL PPAL EN EL PUNTE Y EN EL NÚCLEO
DEL TRACTO ESPINAL QUE SE EXTIENDE A LA
MÉDULA CERVICAL SUPERIOR
NÚCLEO MOTOR O MASTICATORIO SE
LOCALIZA EN EL PUENTE MEDIO JUSTO
MEDIAL AL NÚCLEO SENSORIAL
PRINCIPAL
Núcleo sensitivo
del V es el más
grande
En la médula crea
una elevación
lateral, el
tubérculo cinéreo
3 subnúcleos:
mesencefálico,
sensorial principal
y el núcleo del
tracto espinal.
NÚCLEO
MESENCEFÁLICO
Información
propioceltiva de los
músculos masticación
NÚCLEO SENSORIAL
PPAL
Sensación táctil de la
cara
NÚCLEO DEL TRACTO
ESPINAL.
Dolor y temperatura
Control reflejo de la
mordida
V1: división oftálmica V2: división maxilar V3: división mandibular
N. BUCCAL
N.
AURICULOTEMPORAL
N. LINGUAL Y
ALVEOLAR INFERIOR
RAMA MENÍNGEA
MUCOSAS Y
ENCIAS DE LA
BOCA
SENSIBILIDAD
DEL LADO DE
LA CABEZA
MANDÑIBULA
INFERIOR
MENINGES Y
FOSA
CRANEAL
MEDIA
nervio intraorbitario +
nervio alveolar superior y
medio + nervio maxilar +
zigomático = división
maxilar del trigémino
VI ABDUCENS
NÚCLEO LOCALIZADO EN EL
TEGMENTO PONTINO
AXONES EMERGEN
EN LA SUPERFICIE
VENTRAL DEL TALLO
ASCIENDE EL CLIVUS,
ATRAVIESA EL SENO
CAVERNOSO Y
ACOMPAÑA A III, IV,
V1 Y V2
ENTRA A LA ÓRBITA
EN EL EXTREMO
MEDIAL DE LA FOS
DONDE SE RODEA EL
ANILLO TENDINOSO
ENTRA PROFUNDO
EN LA SUPERFICIE
DEL RL
TRANSFIGURAZIONE
RAFAELLO, 1518-1520, MUSEO VATICANO
VII FACIAL
Áreas motoras
Sinapsis en el núcleo
motor
Cursan alrededor del
N. Abducens
Colículo facial
Emergencia en el
aspecto VL del puente
FIBRAS QUE INERVAN LA MUSCULATURA FACIAL POR DEBAJO DE LAS
CEJAS CRUZAN LA LÍNEA MEDIA. LAS FIBRAS QUE INERVAN LOS
MÚSCULOS DE LA FRENTE VIAJAN IPSILATERAL.
COMPONENTE MOTOR DEL FACIAL
• INCLUYE:
• Músculos de la
expresión facial
• Músculo
estapedio
• Músculo
estilohioideo
• Vientre posterior
del digástrico
FIBRAS MOTORAS SALEN DEL
CANAL FACIAL
DA RAMAS AL ESTILOHIOIDEO Y
AL VIENTRE POST DEL DIGÁSTRICO
PERFORA Y YACE EN LA
SUSTANCIA DE LA PAROTIDA
NERVIO DE WRISBERG (NEVUS INTERMEDIUS)
• CONTIENE FIBRAS SENSITIVAS, SENSITIVAS
ESPECIALES Y PARASIMPÁTICAS
• Sensibilidad de la
concha posterior y el
CAE.
• Sensibilidad de los 2/3
anteriores de la
lengua
• Función
secretomotora de
glándulas lacrimales y
sublinguales.
ENTONCES…. EXISTEN 4 NÚCLEOS INVOLUCRADOS EN LAS
FUNCIONES DEL N. FACIAL
N. Motor
N. salivar
superior
N. del trigémino
(porción
espinal)
N. Del tracto
solitario
Gl. lacrimal y Gl. salivares pequeñas
M. Estapedio
Lengua
Gl. Submaxilares y submandibulares
M. Expresión facial
RAMASDELNERVIO
FACIAL
Viajan anterolat en
el poro acústico
CAI ant al VIII
Raíz motora +
nervus intermedius
El nervus intermedio se une a la
raíz motora conforme emerge
del tallo o cerca del meato del
CAI.
DUCHENNE DE BOULOGNE
TRABAJOS SOBRE LA EXPRESIÓN FACIAL EN:
Mécanisme de la physionomie humaine (Ed. 1862)
VIII VESTIBULO-COCLEAR
Receptores sensitivos del oído están situados en el laberinto membranoso
que es una estructura dentro del temporal petroso llena de endolinfa.
Sonido entra al meato
acúsitco externo
Vibra la membrana
timpánica
Vibración se transmite
Vía la ventana redonda
a los 3 huesecillos
Vía la ventana oval a la
cóclea
• Los receptores sensoriales:
células vellosas
• Hacen sinapsis con N.
sensoriales primarias
• Neuronas sensoriales primarias
alrededor del centro de la
cóclea constituyen el ganglio
coclear (espiral).
• Los procesos primarios de
estas neuronas forman el
componente auditivo del N
vestibulococlear
RECORRIDO DE LA RAMA COCLEAR
Nervio Acústico
atraviesa el CAI
Viaja lateral e
inferior al NC VII
Cruza el ángulo
pontocerebelo
Pasa rodeando
el pédunculo
cerebelar inferior
Entra a nivel de
la parte superior de
la médula oblonga
en la unión con el
puente
Se bifurca para
hacer sinapsis en los
núcleos cocleares
anterior y posterior
ORGANIZACIÓN
TONOTÓPICA
NÚCLEO POSTERIOR:
ALTA FRECUENCIA
NÚCLEO ANTERIOR:
BAJA FRECUENCIA
VÍAS AUDITIVAS
Núcleo coclear
anterior
Estría Acústica
Intermedia (Vía
monoaural)
Lemnisco Lateral
Contralateral
Colículo Inferior
Contralateral
Estría Acústica
Ventral (Vía
biaural)
Fibras
Trapezoides
Lemnisco Lateral
Fibras hacia el
Complejo Olivar
Superior
Lemnisco Lateral
Fibras hacia e
Núcleo de
Lemnisco Lateral
Lemnisco Lateral
Núcleo
coclear
Posterior
Estría Acústica
Posterior (Vía
monoaural)
Lemnisco
Lateral
Contralateral
Colículo
Inferior
Contralateral
¿COMO LLEGA A LA CORTEZA?
Lemnisco Lateral Colículo Inferior
Brazo Colículo Inferior
Cuerpo Geniculado
Medial
Radiaciones Auditivas
(Fibras
geniculotemporales)
Lámina IV Corteza
primaria (área 41) en el
Giro Temporal Transverso
de Heschl y Corteza de
asociación (área 42)
RAMA VESTIBULAR
• EL APARATO VESTIBULAR CONSISTE DEL SÁCULO, EL UTRÍCULO Y
TRES CANALES SEMICIRCULARES.
• LA PRINCIPAL FUNCIÓN DEL SACULO Y EL UTRÍCULO ES
DETECTAR LA POSICÍON DE LA CABEZA RELATIVO A LA
GRAVEDAD
• T
• ANTO EL SACULO COMO EL UTRÍCULO TIENEN UN PARCHE DE
RECEPTORES SENSITIVOS CONSITEN DE CÉLULAS CILIADAS
VELLOSAS CUBIERTAS POR UNA MASA GELATINOSA.
• DIMINUTOS CRISTALES DE CARBONATO DE CALCIO, LOS OTOLITOS,
SON EMEBIDOS EN EL GEL. CON LOS CAMBIOS DE POSICIÓN DE
LA CABEZA RELATIVOS A LA GRAVEDAD, O ACELERACIÓN LINEAR
LOS OTOLITOS ESTIMULAN SUS CELULAS VELLOSAS DOBLANDO
LOS CILOS EN DIFERENTES DIRECCIONES.
3 CANALES
SEMICIRCULARES
PERCIBEN MOV
ANGULARES DE LA
CABEZA
NOS REFERIMOS A
ELLOS COMO
LABERINTO CINÉTICO
CADA CANAL TIENE UN
FINAL EXPANDIDO QUE
SE LLAMA ÁMPULA
EL MOV DE LA
ENDOLINFA CAUSA QUE
LOS CILIOS SE DOBLEN Y
SE TRADUZCA EN ACT
ELÉCTRICA.
LAS CÉLULAS VELLOSAS
HACEN SINAPSIS CON
LOS PROCESOS
PERIFÉRICOS DE LAS N.
SENSITIVAS 1arias
LOS CPOS CELULARES
FORMAN EL GANGLIO
VESTIBULAR
LOS PROCESOS
CENTRALES FORMAN
LA DIVISIÓN
VESTIBULAR DEL VIII NC
ESTOS AXONES
CORREN CON EL VII
POR EL CAI
TERMINAN EN EL
COMPLEJO NUCLEAR
VESTIBULAR EN EL PISO
DEL IV VENTRICULO
LAS NEURONAS
SENSOIALES
SECUNDARIAS
MANDAN SUS AXONES
AL CEREBELO Y TALLO
EL NUCLEO VESTIBULAR
(DE DEITER)
MANDA AXONES
IPSILTATERAL A LA
MÉDULA PARA FORMAR
EL TRACTO
VESTIBULOESPINAL LAT
ESTOS AXONES
FACILITAN LA ACCIÓN
DE NMI QUE INERVA LOS
MUSC
ANTIGRAVITATORIOS
(EXTENSORES)
Los nucleos vestibulares medial e inferior tienen
conexiones recíprocas con el cerebelo (tracto
vestibulocerebelar) que permite que el cerebelo
coordine el balance durante el movimiento.
TODOS LOS NUCLEOS DEL
COMPLEJO VESTIBULAR
TIENEN FIBRAS QUE
CONTRIBUYEN CON EL
FASCÍCULO LONGITUDINAL
MEDIAL.
IX GLOSOFARÍNGEO
• El núcleo ambiguo manda
axones vía NC IC para
inervar el plexo faríngeo.
• Las funciones de los NC IX y
X son virtualmente
inseparables.
• El único músculo inervado
solamente por el IX es el
estilofaríngeo.
• También transmite impulsos
del tercio posterior de la
lengua y da impulsos
parasimáticos para la
parótida
FUNCIÓN
Inerva al estilofaringeo
Inerva al ganglio ótico, que manda
fibras para estimular la parótida
Lleva sensación del seno carotídeo
Sensibilidad al tercio posterior de la
lengua, la piel del oído externo y la
superficie externa del tímpano.
Estimula los receptores del gusto en el
tercio posterior de la lengua.
COMPONENTE MOTOR
FIBRAS
CORTICOBULBARES
POR LA CÁPSULA
INTERNA
SINAPSIS BILATERAL
EN NÚCLEO
AMBIGUO
AXONES DE LA NMI
SE UNEN CON
OTRAS
MODALIDADES DEL
NC IX
EMERGE DEL BULBO
COMO 3 O 4
RAICILLAS
EMERGE DEL
FORÁMEN YUGULAR
LOS AXONES
MOTORES SE VAN AL
ESTILOFARÍNGEO
X VAGO
• Lleva fibras motoras del núcleo ambiguo al paladar, la
faringe y la laringe.
• Además del núcleo motor dorsal del vago se transmiten
las fibras parasimpáticas para inervar las vísceras del
tórax y el abdomen.
• El vago lleva aferentes viscerales y de gusto.
• Da la sensibilidad de la laringe, faringe y el canal
auditivo externo y la superficie externa del tímpano.
COMPONENTE MOTOR
FIBRAS CORTICOBULBARES
SINAPSIS EN EL NÚCLEO
AMBIGUO
LOS NÚCLEOS AMBIGUOS
RECIBEN SEÑALES
SENSITIVAS QUE INICIAN
RESPUESTAS REFLEJAS
AXONES DE LAS
NEURONAS MOTORAS
SALEN DE LA MEDULA
COMO 8 O 10 RAÍCES
FORÁMEN YUGULAR
MÚSCULO CONSTRICTOR
DE LA FARINGE Y LOS
MÚSCULOS INTRÍNSECOS
DE LA LARINGE
FIBRAS MOTORAS DEJAN EL VAGO COMO 3 RAMAS PPALES: RAMA
FARÍNGEA, RAMA N. LARÍNGEO SUPERIOR, N. LARÍNGEO RECURRENTE.
COMPONENTE MOTOR VISCERAL
• FIBRAS PARASIMPÁTICAS
LOCALIZADAS EN EL NÚCLEO
MOTOR DORSAL DEL VAGO.
• ES EL CENTRO SECRETOMOTOR
DEL VAGO
• EMERGEN EN LA SUP. LAT DEL
BULBO Y VIAJAN EN EL NERVIO
VAGO.
Nucleo
motor
dorsal
del vago
Hipotalamo
Sistema
olfatorio
Formación
reticular
Núcleo del
tracto
solitario
INERVA GL SECRETOMOTORAS MUCOSA LARINGEA Y FARINGEA,
DISMINUYEN CICLO CARDIACO, CAUSAN
BRONCOCOSTRICCION Y ACELERAN LA PERISTALSIS, ESTIMULAN
LA SECRECION DE GLANDULAS DEL ESTOMAGO Y DEL INTESTINO.
COMPONENETE SENSITIVO VISCERAL
VAGO
ENTRAN AL BULBO
(NÚCLEO DEL TRACTO
SOLITARIO)
CONEXIONES BILATERALES
EN EL CONTROL REFLEJO
DEL HIPOTÁLAMO Y LA
FORMACIÓN RETICULAR
CPOS
CELULARES DE
LAS NEURONAS
SENSORIALES
VISCERALES
Visceras
abdominales
Corazón
Pulmones
Epilotis
Laringe
XI ACCESORIO
• De la corteza motora los
axones descienden en el
tracto corticoespinal
cruzan la línea media y
hacen sinapsis en el
núcleo accesorio.
• De ahí el nervio sale del
foramen yugular para
inervar el ECM y el
trapezio.
XII HIPOGLOSO
• Inerva todos los músculos
intrínsecos de la lengua y
todos menos 1 de los
extrínsecos (al palatogloso
lo inerva el X).
NMS en la corteza
motora precentral
Fibras
corticobulbares al
núcleo hipogloso
contralateral
Se extiende
rostralmente para
formar el triángulo
hipogloso en el piso
del 4to ventrículo
LESIONES DE LA NMS
DAÑO A LA NMS PUEDE RESULTAR EN
FASCICULACIONES DE LOS MUSCULOS DE LA
LENGUA SIN ATROFIA EN EL LADO AFECTADO.
EN ESTE CASO, LA LENGUA SE DESVÍA AL LADO
OPUESTO DE LA LESIÓN
LESIONES DE LA NMI
DAÑO A LA NMI RESULTA EN PARÁLISIS
FLÁCIDA DE LA LENGUA CON ATROFIA DE LOS
MUSCULOS DE LA LENGUA DEL LADO
AFECTADO. EN ESTE CASO LA LENGUA SE
DESVIA HACIA EL LADO DE LA LESION
GRACIAS

Nervios Craneales

  • 1.
    PAOLA GURAIEB CHAHÍNR3N ANATOMÍA DE LOS NERVIOS CRANEALES
  • 2.
    LOS CINCO SENTIDOS PINTADOSPOR JUSEPE DE RIBERA “EL SPAGNOLETTO” EL OLFATO EL GUSTO LA VISTA EL OÍDO EL TACTO
  • 3.
    I OLFATORIO • Formaun tracto y no un nervio. • Por tradición el bulbo y el tracto olfatorio se conocen como “nervio olfatorio” MOLÉCULAS AROMÁTICAS SE DISUELVEN RECEPTORES SENSITIVOS DEL EPITELIO OLFATORIO RECEPTORES TRASMITEN A PROCÉSOS CENTRALES QUE ATRVIESAN EL PLATILLO CRIBIFORME DEL ETMOIDES SINAPSIS EN NEURONAS SECUNDARIAS DEL BULBO OLFATORIO
  • 5.
    Tracto olfatorio Estría lateral Áreaolfatoria lateral (uncus, área entorrinal y lumen insulae = área piriforme) Estría intermedia Área olfatoria intermedia Sustancia perforada anterior Estría medial Área olfatoria medial (septal) región subcallosa de la superficie medial del lóbulo frontal. HIPOTÁLAMO TÁLAMO NÚCLEO HABENULAR PROYECCIONES:
  • 7.
    II ÓPTICO ENERGIA LUMINOSA CONOS Y BASTONES CÉLULAS GANGLIONARES NERVIOÓPTICO Se traduce en señal eléctrica en los conos y bastones Pasa a las células bipolares que son las neuronas sensoriales primarias De ahí pasa a las células ganglionares que son las neuronas sensoriales secundarias Los axones de las c ganglionares convergen en el NO
  • 8.
    NO DEJA LA ÓRBITA POREL CANAL ÓPTICO SE UNE AL DEL OTRO LADO Y FORMA EL QUIASMA LA MITAD DE LOS AXONES CRIZAN LA LÍNEA MEDIA CGL TRACTO G.C (RADIACI ONES ÓPTICAS) CORTEZA VISUAL PRIMARIA
  • 11.
    III OCULOMOTOR • Núcleosituado en el mesencéfalo. • Cerca de la línea media justo ventral al acueducto cerebral. • Se acepta que los subnucleos del complejo OM inervan a los músculos individuales. SALE DEL MESENCÉFALO EN LA FOSA INTERPEDUNCULAR VIAJA ENTRE LA CEREBRAL POSTERIOR Y LA SUCA Y CORRE AL LADO DE LA COMUNICANTE POSTERIOR SENO CAVERNOSO FISURA ORBITARIA SUPERIOR
  • 12.
    COMPLEJO OCULOMOTOR NUCLEAR •La parte lateral del complejo OM está formado por sub-núcleos de los laterales que inervan de dorsal a ventral, el RI, el OI y el RM ipsilateral. • El sub-núcleo medial inerva al RS contralateral y el elevador del párpado superior bilateral.
  • 13.
    COMPLEJO MOTOR VISCERAL NÚCLEOEW EN MESENCÉFALO AXONES VISCERALES PREGANGLIONARES CURSAN VENTRALMENTE CON LOS AXONES MOTORES SOMÁTICOS ENTRAN A LA ÓRBITA Y VAN AL GANGLIO CILIAR LOS AXONES POSTGANGLIONARES DEJAN EL GC Y ENTRAN AL OJO EN EL OJO CORREN ENTRE LA COROIDES Y LA ESCLERA Y TERMINAN EN EL CPO CILIAR Y EL IRIS FIBRAS MOTORAS VISCERALES CONTROLAN EL CONSTRICTOR DE LA PUPILA Y EL MÚSCULO CILIAR
  • 16.
    IV TROCLEAR EL NÚCLEOSE LOCALIZA EN EL TEGMENTO DEL MESENCÉFALO A NIVEL DEL COLÍCULO INFERIOR CERCA DE LA LÍNEA MEDIA Y VENTRAL AL ACUEDUCTO COMO EL NERVIO CRUZA AL LADO OPUESTO CADA MUSCULO OBLICUO SUPERIOR ESTA INERVADO POR EL NUCLEO TROCLEAR CONTRALATERAL
  • 17.
    ENTRA POR ENCIMA DEL ANILLO TENDINOSO CRUZALA LÍNEA MEDIA ALCANZA EL OS CORRE EN DIAGONAL JUNTO CON EP Y EL RS AQUÍ SE SEPARA PARA ENTRAR AL OS JUSTO EN EL TERCIO PROXIMAL AXONES EMERGEN ENTRE LA ACP Y LA SUCA CON EL III NC CORREN ANTERIORMENTE ENTRAN AL SENO CAVERNOSO
  • 19.
    V TRIGÉMINO OFTÁLMICA V1 FISURA ORBITARIA SUPERIOR MAXILAR V2 FORAMEN ROTUNDUM MANDIBULAR V3 FORAMEN OVAL RAMA MOTORAVIAJA CON V3 Inerva el maseterino, el temporalis y el pterigoideo FIBRAS SENSITIVAS TERMINAN EN EL NÚCLEO SENSORIAL PPAL EN EL PUNTE Y EN EL NÚCLEO DEL TRACTO ESPINAL QUE SE EXTIENDE A LA MÉDULA CERVICAL SUPERIOR
  • 20.
    NÚCLEO MOTOR OMASTICATORIO SE LOCALIZA EN EL PUENTE MEDIO JUSTO MEDIAL AL NÚCLEO SENSORIAL PRINCIPAL Núcleo sensitivo del V es el más grande En la médula crea una elevación lateral, el tubérculo cinéreo 3 subnúcleos: mesencefálico, sensorial principal y el núcleo del tracto espinal. NÚCLEO MESENCEFÁLICO Información propioceltiva de los músculos masticación NÚCLEO SENSORIAL PPAL Sensación táctil de la cara NÚCLEO DEL TRACTO ESPINAL. Dolor y temperatura Control reflejo de la mordida
  • 21.
    V1: división oftálmicaV2: división maxilar V3: división mandibular N. BUCCAL N. AURICULOTEMPORAL N. LINGUAL Y ALVEOLAR INFERIOR RAMA MENÍNGEA MUCOSAS Y ENCIAS DE LA BOCA SENSIBILIDAD DEL LADO DE LA CABEZA MANDÑIBULA INFERIOR MENINGES Y FOSA CRANEAL MEDIA nervio intraorbitario + nervio alveolar superior y medio + nervio maxilar + zigomático = división maxilar del trigémino
  • 23.
    VI ABDUCENS NÚCLEO LOCALIZADOEN EL TEGMENTO PONTINO AXONES EMERGEN EN LA SUPERFICIE VENTRAL DEL TALLO ASCIENDE EL CLIVUS, ATRAVIESA EL SENO CAVERNOSO Y ACOMPAÑA A III, IV, V1 Y V2 ENTRA A LA ÓRBITA EN EL EXTREMO MEDIAL DE LA FOS DONDE SE RODEA EL ANILLO TENDINOSO ENTRA PROFUNDO EN LA SUPERFICIE DEL RL
  • 25.
  • 26.
    VII FACIAL Áreas motoras Sinapsisen el núcleo motor Cursan alrededor del N. Abducens Colículo facial Emergencia en el aspecto VL del puente FIBRAS QUE INERVAN LA MUSCULATURA FACIAL POR DEBAJO DE LAS CEJAS CRUZAN LA LÍNEA MEDIA. LAS FIBRAS QUE INERVAN LOS MÚSCULOS DE LA FRENTE VIAJAN IPSILATERAL.
  • 27.
    COMPONENTE MOTOR DELFACIAL • INCLUYE: • Músculos de la expresión facial • Músculo estapedio • Músculo estilohioideo • Vientre posterior del digástrico FIBRAS MOTORAS SALEN DEL CANAL FACIAL DA RAMAS AL ESTILOHIOIDEO Y AL VIENTRE POST DEL DIGÁSTRICO PERFORA Y YACE EN LA SUSTANCIA DE LA PAROTIDA
  • 28.
    NERVIO DE WRISBERG(NEVUS INTERMEDIUS) • CONTIENE FIBRAS SENSITIVAS, SENSITIVAS ESPECIALES Y PARASIMPÁTICAS • Sensibilidad de la concha posterior y el CAE. • Sensibilidad de los 2/3 anteriores de la lengua • Función secretomotora de glándulas lacrimales y sublinguales.
  • 29.
    ENTONCES…. EXISTEN 4NÚCLEOS INVOLUCRADOS EN LAS FUNCIONES DEL N. FACIAL N. Motor N. salivar superior N. del trigémino (porción espinal) N. Del tracto solitario
  • 30.
    Gl. lacrimal yGl. salivares pequeñas M. Estapedio Lengua Gl. Submaxilares y submandibulares M. Expresión facial RAMASDELNERVIO FACIAL Viajan anterolat en el poro acústico CAI ant al VIII Raíz motora + nervus intermedius El nervus intermedio se une a la raíz motora conforme emerge del tallo o cerca del meato del CAI.
  • 31.
    DUCHENNE DE BOULOGNE TRABAJOSSOBRE LA EXPRESIÓN FACIAL EN: Mécanisme de la physionomie humaine (Ed. 1862)
  • 32.
    VIII VESTIBULO-COCLEAR Receptores sensitivosdel oído están situados en el laberinto membranoso que es una estructura dentro del temporal petroso llena de endolinfa.
  • 33.
    Sonido entra almeato acúsitco externo Vibra la membrana timpánica Vibración se transmite Vía la ventana redonda a los 3 huesecillos Vía la ventana oval a la cóclea
  • 34.
    • Los receptoressensoriales: células vellosas • Hacen sinapsis con N. sensoriales primarias • Neuronas sensoriales primarias alrededor del centro de la cóclea constituyen el ganglio coclear (espiral). • Los procesos primarios de estas neuronas forman el componente auditivo del N vestibulococlear
  • 35.
    RECORRIDO DE LARAMA COCLEAR Nervio Acústico atraviesa el CAI Viaja lateral e inferior al NC VII Cruza el ángulo pontocerebelo Pasa rodeando el pédunculo cerebelar inferior Entra a nivel de la parte superior de la médula oblonga en la unión con el puente Se bifurca para hacer sinapsis en los núcleos cocleares anterior y posterior ORGANIZACIÓN TONOTÓPICA NÚCLEO POSTERIOR: ALTA FRECUENCIA NÚCLEO ANTERIOR: BAJA FRECUENCIA
  • 36.
    VÍAS AUDITIVAS Núcleo coclear anterior EstríaAcústica Intermedia (Vía monoaural) Lemnisco Lateral Contralateral Colículo Inferior Contralateral Estría Acústica Ventral (Vía biaural) Fibras Trapezoides Lemnisco Lateral Fibras hacia el Complejo Olivar Superior Lemnisco Lateral Fibras hacia e Núcleo de Lemnisco Lateral Lemnisco Lateral Núcleo coclear Posterior Estría Acústica Posterior (Vía monoaural) Lemnisco Lateral Contralateral Colículo Inferior Contralateral
  • 38.
    ¿COMO LLEGA ALA CORTEZA? Lemnisco Lateral Colículo Inferior Brazo Colículo Inferior Cuerpo Geniculado Medial Radiaciones Auditivas (Fibras geniculotemporales) Lámina IV Corteza primaria (área 41) en el Giro Temporal Transverso de Heschl y Corteza de asociación (área 42)
  • 40.
    RAMA VESTIBULAR • ELAPARATO VESTIBULAR CONSISTE DEL SÁCULO, EL UTRÍCULO Y TRES CANALES SEMICIRCULARES. • LA PRINCIPAL FUNCIÓN DEL SACULO Y EL UTRÍCULO ES DETECTAR LA POSICÍON DE LA CABEZA RELATIVO A LA GRAVEDAD • T • ANTO EL SACULO COMO EL UTRÍCULO TIENEN UN PARCHE DE RECEPTORES SENSITIVOS CONSITEN DE CÉLULAS CILIADAS VELLOSAS CUBIERTAS POR UNA MASA GELATINOSA. • DIMINUTOS CRISTALES DE CARBONATO DE CALCIO, LOS OTOLITOS, SON EMEBIDOS EN EL GEL. CON LOS CAMBIOS DE POSICIÓN DE LA CABEZA RELATIVOS A LA GRAVEDAD, O ACELERACIÓN LINEAR LOS OTOLITOS ESTIMULAN SUS CELULAS VELLOSAS DOBLANDO LOS CILOS EN DIFERENTES DIRECCIONES.
  • 41.
    3 CANALES SEMICIRCULARES PERCIBEN MOV ANGULARESDE LA CABEZA NOS REFERIMOS A ELLOS COMO LABERINTO CINÉTICO CADA CANAL TIENE UN FINAL EXPANDIDO QUE SE LLAMA ÁMPULA EL MOV DE LA ENDOLINFA CAUSA QUE LOS CILIOS SE DOBLEN Y SE TRADUZCA EN ACT ELÉCTRICA.
  • 42.
    LAS CÉLULAS VELLOSAS HACENSINAPSIS CON LOS PROCESOS PERIFÉRICOS DE LAS N. SENSITIVAS 1arias LOS CPOS CELULARES FORMAN EL GANGLIO VESTIBULAR LOS PROCESOS CENTRALES FORMAN LA DIVISIÓN VESTIBULAR DEL VIII NC ESTOS AXONES CORREN CON EL VII POR EL CAI TERMINAN EN EL COMPLEJO NUCLEAR VESTIBULAR EN EL PISO DEL IV VENTRICULO LAS NEURONAS SENSOIALES SECUNDARIAS MANDAN SUS AXONES AL CEREBELO Y TALLO
  • 43.
    EL NUCLEO VESTIBULAR (DEDEITER) MANDA AXONES IPSILTATERAL A LA MÉDULA PARA FORMAR EL TRACTO VESTIBULOESPINAL LAT ESTOS AXONES FACILITAN LA ACCIÓN DE NMI QUE INERVA LOS MUSC ANTIGRAVITATORIOS (EXTENSORES) Los nucleos vestibulares medial e inferior tienen conexiones recíprocas con el cerebelo (tracto vestibulocerebelar) que permite que el cerebelo coordine el balance durante el movimiento. TODOS LOS NUCLEOS DEL COMPLEJO VESTIBULAR TIENEN FIBRAS QUE CONTRIBUYEN CON EL FASCÍCULO LONGITUDINAL MEDIAL.
  • 46.
    IX GLOSOFARÍNGEO • Elnúcleo ambiguo manda axones vía NC IC para inervar el plexo faríngeo. • Las funciones de los NC IX y X son virtualmente inseparables. • El único músculo inervado solamente por el IX es el estilofaríngeo. • También transmite impulsos del tercio posterior de la lengua y da impulsos parasimáticos para la parótida FUNCIÓN Inerva al estilofaringeo Inerva al ganglio ótico, que manda fibras para estimular la parótida Lleva sensación del seno carotídeo Sensibilidad al tercio posterior de la lengua, la piel del oído externo y la superficie externa del tímpano. Estimula los receptores del gusto en el tercio posterior de la lengua.
  • 48.
    COMPONENTE MOTOR FIBRAS CORTICOBULBARES POR LACÁPSULA INTERNA SINAPSIS BILATERAL EN NÚCLEO AMBIGUO AXONES DE LA NMI SE UNEN CON OTRAS MODALIDADES DEL NC IX EMERGE DEL BULBO COMO 3 O 4 RAICILLAS EMERGE DEL FORÁMEN YUGULAR LOS AXONES MOTORES SE VAN AL ESTILOFARÍNGEO
  • 49.
    X VAGO • Llevafibras motoras del núcleo ambiguo al paladar, la faringe y la laringe. • Además del núcleo motor dorsal del vago se transmiten las fibras parasimpáticas para inervar las vísceras del tórax y el abdomen. • El vago lleva aferentes viscerales y de gusto. • Da la sensibilidad de la laringe, faringe y el canal auditivo externo y la superficie externa del tímpano.
  • 51.
    COMPONENTE MOTOR FIBRAS CORTICOBULBARES SINAPSISEN EL NÚCLEO AMBIGUO LOS NÚCLEOS AMBIGUOS RECIBEN SEÑALES SENSITIVAS QUE INICIAN RESPUESTAS REFLEJAS AXONES DE LAS NEURONAS MOTORAS SALEN DE LA MEDULA COMO 8 O 10 RAÍCES FORÁMEN YUGULAR MÚSCULO CONSTRICTOR DE LA FARINGE Y LOS MÚSCULOS INTRÍNSECOS DE LA LARINGE FIBRAS MOTORAS DEJAN EL VAGO COMO 3 RAMAS PPALES: RAMA FARÍNGEA, RAMA N. LARÍNGEO SUPERIOR, N. LARÍNGEO RECURRENTE.
  • 52.
    COMPONENTE MOTOR VISCERAL •FIBRAS PARASIMPÁTICAS LOCALIZADAS EN EL NÚCLEO MOTOR DORSAL DEL VAGO. • ES EL CENTRO SECRETOMOTOR DEL VAGO • EMERGEN EN LA SUP. LAT DEL BULBO Y VIAJAN EN EL NERVIO VAGO. Nucleo motor dorsal del vago Hipotalamo Sistema olfatorio Formación reticular Núcleo del tracto solitario INERVA GL SECRETOMOTORAS MUCOSA LARINGEA Y FARINGEA, DISMINUYEN CICLO CARDIACO, CAUSAN BRONCOCOSTRICCION Y ACELERAN LA PERISTALSIS, ESTIMULAN LA SECRECION DE GLANDULAS DEL ESTOMAGO Y DEL INTESTINO.
  • 53.
    COMPONENETE SENSITIVO VISCERAL VAGO ENTRANAL BULBO (NÚCLEO DEL TRACTO SOLITARIO) CONEXIONES BILATERALES EN EL CONTROL REFLEJO DEL HIPOTÁLAMO Y LA FORMACIÓN RETICULAR CPOS CELULARES DE LAS NEURONAS SENSORIALES VISCERALES Visceras abdominales Corazón Pulmones Epilotis Laringe
  • 54.
    XI ACCESORIO • Dela corteza motora los axones descienden en el tracto corticoespinal cruzan la línea media y hacen sinapsis en el núcleo accesorio. • De ahí el nervio sale del foramen yugular para inervar el ECM y el trapezio.
  • 56.
    XII HIPOGLOSO • Inervatodos los músculos intrínsecos de la lengua y todos menos 1 de los extrínsecos (al palatogloso lo inerva el X). NMS en la corteza motora precentral Fibras corticobulbares al núcleo hipogloso contralateral Se extiende rostralmente para formar el triángulo hipogloso en el piso del 4to ventrículo
  • 57.
    LESIONES DE LANMS DAÑO A LA NMS PUEDE RESULTAR EN FASCICULACIONES DE LOS MUSCULOS DE LA LENGUA SIN ATROFIA EN EL LADO AFECTADO. EN ESTE CASO, LA LENGUA SE DESVÍA AL LADO OPUESTO DE LA LESIÓN LESIONES DE LA NMI DAÑO A LA NMI RESULTA EN PARÁLISIS FLÁCIDA DE LA LENGUA CON ATROFIA DE LOS MUSCULOS DE LA LENGUA DEL LADO AFECTADO. EN ESTE CASO LA LENGUA SE DESVIA HACIA EL LADO DE LA LESION
  • 60.

Notas del editor

  • #3 JOSE DE RIBERA pintor y grabador del siglo XVII, que desarrollo su carrera en italia. Aunque era español de nacimiento. Cultivo un estilo naturalista que evoluciono del tenebrismo de Caravaggio hacia una estética más colorista y luminosa influida por Van Dyck y otros mestros del momento.
  • #6 El área subcallosa de broca conecta a las tres áreas olfatorias La mayoría de los axones pasan al área olfatoria primaria: uncus y corteza entorrinal y el lúmen insulae (área piriforme). La estría olfatoria intermedia entra a la sustancia perforada anterior que en humanos es insignificante y la medial entra ala superficie medial del lóbulo frontal. De las proyecciones al núcleo habenular y a ll hipotálamo los impulsos pasan a los núcleos de NC responsables de respuestas viscerales, por ejemplo núcleo salivar superior (salivación) y dorsal vagal (naúsea, aceleración de la peristalsis e incremento de la secreción gástrica).
  • #8 En el disco óptico los axones se van a posterior, pasan a través de la lámina cribiforme de la esclera, salen de la esfera ocular como el nervio óptico.
  • #9 En el quiasma, la mitad de los axones cruza la línea media. La mayoría de los axones continuan a posterior y rodean el pedúnculo cerebral para terminar en el CGL del tálamo. Una proporción pequeña asciende y terminan en el área pretectal del mesencéfalo como parte de la vía del reflejo pupilar. Las células en el CGL son neuronas sensoriales terciarias. Sus axones que forman el tracto geniculocalcarino (radiaciones ópticas) entran a los hemisf cerebrales a través de la cápsula interna se hace un abanico sobre y lateral al cuerno inferior del VL y cursan posteriormente para terminar en la corteza visual primaria, en el lóbulo occipital.
  • #12 Surge del complejo oculomotor en el mesencéfalo y transmite sus impulsos a las fibras motoras de los MEO y fibras parasimáticas para la pupila y el cuerpo ciliar.
  • #14 El núcleo de EW (visceral motor) está localizado en el mesencéfalo dorsal a la parte anterior del complejo oculomotor. Los axones motores viscerales preganglionares dejan el núcleo y cursan ventralmente por el mesencéfalo con los axones motores somáticos. Corren con el III por la fosa craneal media, el seno cavernoso y la fisura orbitaria superior para entrar a la órbita. Aquí dejan al OI y terminan en el ganglio ciliar. Los axones postganglionares cooren hacia delante entre la coroides y la esclera y terminan en el cuerpo ciliar.
  • #15 Al entrar a la órbita se divide en un rama superior que asciende lateral al NO e inerva al RS y al elevador del parpado. Y una división inferior que se divide en 3 ramas para el RI, OI y RM. Las fibras parasimáticas del NEW entran con la división inferior para terminar en el ganglio ciliar.
  • #17 Los axones dejan el núcleo y cursan dorsalmente alrededor del acueducto, se decusan en el vélum medular superior salen del mesencéfalo por la superior y salen del mesencéfalo por la superficie dorsal. El nervio gira alrededor del tallo, después corre hacia delante, pasa a través del seno cavernoso en proximidad con el III NC, atraviesa la FOS y entra a la órbita para inervar al OS.
  • #20 Es el nervio del primer arco branquial. Emergen de la superficie mediolateral del puente como una raíz sensitiva larga y una motora más pequeña. Su ganglio sensitivo es el ganglio semilunar que se sienta en una depresión (cueva de Meckle) en el piso de la fosa craneal media.
  • #22 OFTÁLMICA Conjuntiva, córnea, ojo, órbita, frente, etmoides y senos frontales se llevan en los receptores sensoriales en la periferia hacia el cerebro e tres ramas principales. La división: nervios oftálmica frontal, lacrimal y nasociliar.
  • #27 Las fibras motoras se originan en los cuerpos localizados en la corteza motora frontal. Estas fibras viajan en el brazo posterior de la cápsula interna al puente caudal. Ahí las fibras que inervan la musculatura facial por debajo de las cejas cruzan la línea media para alcanzar el núcleo motor contralateral en el puente bajo (anterior al cuarto ventrículo). Las fibras corticopontinas que inervan los músculos de la frente viajan también al núcleo ipsilateral.
  • #28 Las fibras salen del canal facial en el forámen estilomastoideo y dan ramas inmediatamente para el nervio auricular posterior después perfora y yace en la parótida en donde da michas ramas para la musculatura de la cara y el cuello.
  • #30 N SALIVAR SUPERIOR División autonómica parasimática. Se divide en el nervio petroso principal y la corda timpani. El hipotálamo manda señales que producen que lagrimeo en respuesta a edos emocionales o salivación en respuesta a olores. N DEL TRIGEMINO Da la sensiblidad del meato acústico y la superficie externa de la membrana timpánica. N DEL TRACTO SOLITARIO Sensibilidad de los dos tercios anteriores de la lengua.
  • #31 Después de dejar los núcleos tanto la raíz motora del facial como el nervus intermedius dejan el tallo en el puente dorsal en la unión pontomedular. El nervio viaja anterolateralmente en el poro acústico en el CAI, anterior al VIII. El nervus intermedius se une a la raíz motora conforme emerge del tallo o cerca del meato del CAI. El nervio facial corre en el cuadrante anterosuperior del CAI.
  • #32 Duchenne de Boulogne sabía que los mecanismos voluntarios de la expresión facial eran condicionados socialmente mientras que los involuntarios eran innatos. El interés en los mecanismos fisiológicos que goviernan la expresión facial inició en 1850 cuando comenzó a estimular con electricidad todos los músculos faciales produciendo diferente tipo de expresiones. Los resultados de esto los publicó en su tratados Mecanismo de la fisionomia humana. Su ppal sujeto de fotografiar era este hombrre “el hombre viejo” un zapatero hospitalizado en la Salpetriere que tenia anestesia facial completa lo cuál ermitió a Duchenne fotografiar muchas expresiones faciales. Duchenne creia que algunos musculos no podían ser movidos con la pura voluntad sino solo por emociones profundas. Por ejemplo, la sonrisa de Duchenne se refiere a la diferencia que Duchenne que existía entre una sonrisa verdadera y una falsa. Decía que el orbicularis oculi era el músculo del amor de lo gentil y solo se mueve cuando lo hace el alma. E hizo conclusiones de que existe un músculo facial específico paracada emocion (frontalis para la atención y zigomatico para la felicidad)
  • #33 Las paredes de este túnel se llaman laberinto óseo: El laberinto óseo se comunica con el oído por dos aberturas: la ventana oval y la ventana redonda. Las vibraciones del estapedio ponen ondas de presión dentro de los laberintos (óseo y membranoso) que viajan a través de los canales y causan que la ventana redonda vibre
  • #34 En la cóclea se encuentra el extremo apical de los receptores sensoriales que tienen cilios de proyección que están embebidos en la membrana tectorial (esta membrana es responsable de la respuesta en frecuencia del oído humano)
  • #36 Las fibras centrales son del ápex llevan la información de baja frecuencia Las fibras periféricas son de la base llevan información de alta frecuencia
  • #37 CAda cóclea se proyecta bilateralmente pero lo hace más de manera contralateral Estría acústica intermedia pasa por detrás del pedúnculo cerebeloso y cruza el tegmento Estría acústica intermedia algunas hacen sinapsis en el núcleo del lemnisco lateral Estría acústica ventral al pedúnculo cerebeloso
  • #38 CAda cóclea se proyecta bilateralmente pero lo hace más de manera contralateral Estría acústica intermedia pasa por detrás del pedúnculo cerebeloso y cruza el tegmento Estría acústica intermedia algunas hacen sinapsis en el núcleo del lemnisco lateral Estría acústica ventral al pedúnculo cerebeloso
  • #39 Proyecciones Centrales: tonotòpico (porción central del colículo inferior, porciones del cuerpo geniculado medial, corteza primaria auditiva) Proyecciones Belt: (porciones pericentrales del colículo inferior, porciones no laminadas del CGM, corteza secundaria)
  • #40 Harold Whittles, sordo de nacimiento, oye por primera vez, después de que un médico le coloca un audífono (1974). La foto fue tomada por el propio médico del niño, Jack Bradley, en el momento exacto en el que el pequeño Harold escucha por primera vez en su vida, gracias a un audífono en su oído izquierdo.
  • #43 Las células vellosas hacen sinapsis con los procesos perifericos de las n sensoriales primarias cuyos cuerpos forman el ganglio vestibular. Los procesos centrales de las cleulas ganglionares forman la division vestibular del VIII NC Estos axones corren con la division coclear a través del CAI para terminar en el complejo vestibular en el piso del IV Ventriculo un pequeño numero de axones terminan en el lobulo floculonodular del cerebelo
  • #44 Las neuronas sensoriales secundarias cuyos cuerpos celulares forman el nucleo vestibular mandan sus axones sobre todo al cerebelo y al tallo para mantener el equilibrio
  • #48 EMERGE DEL BULBO EN SU PARTE ROSTRAL entre la oliva y el pedúnculo cerebeloso inferior. Sale por el forámen yugular.
  • #49 El musculo estilofaringeo eleva la faringe en la deglución y el habla Por su fuerte asociación con los NC X y XI, existe raramente una lesión aislada del IX.
  • #50 El componente sensitivo general del NC X lleva sensación (temperatura, dolor y tacto) de la laringe, la faringe y la superficie externa de la memebrana timpánica y las meninges de la fosa cranial posterior.
  • #51 EMERGE DEL BULBO COMO VARIAS RAICES QUE CONVERGEN PARA SALIR DEL FORAMEN YUGULAR EN EL CUELLO SE ENCUENTRA ENTRE LA VENA YUGULAR INTERNA Y LA CI
  • #53 Hiperactividad del vago causa hipersecreción de los fluidos de acido gastrico resultando en ulceración de la pared del estómago. Los pacientes con ulceras persistentes y/o recurrentes pueden ser tratados con vagotomía (cortan nervios gastricos derechos e izquierdos) para aliviar esta condición.
  • #54 LA SENSACION visceral no se parecia a un nivel consciente diferente a “sentirse bien” o “sentirse mal”. Las fibras sensoriales del plexo alrededor de las vísceras abdominales convergen y se unen con. Los axones entran al bulbo al nucleo del tracto solitario.
  • #57 El núcleo esta localizado en el tegmento del bulbo entre le núcleo dorsal del vago y la línea media. Es un núcleo delgado y largo Los axones del núcleo hipogloso pasa ventralmente al lado lateral del lemnisco medial para emerger en el surco ventrolateral entre la oliva y la piramide como raicillas.
  • #60 Albert Einstein fotografia tomada por Arthur Sasse en 1951 despues del cumpleaños 72 del científico La foto original se vendio por 72 300 dolares, volviendola la foto de Einstein mas cara jamas vendida.