Universidad Laica Eloy Alfaro de Manabí
Facultad de Ciencias Medicas
Neumología
 XAVIER RIVERA ZAMBRANO
 GABRIEL TALLEDO LÓPEZ
5to A
Dra. Vanessa Luzardo
Aspergilosis
pulmonar
Aspergilosis Pulmonar
Es una masa causada por una infección micótica
que crece generalmente en las cavidades
pulmonares.
• Aspergilus fumigatus, niger y clavatus
(AAE)
• Via de entrada: inhalacion de esporas
• Hongo oportunista, afecta a personas
debilitadas o inmunodeprimidas.
Aspergilosis Pulmonar
 El Aspergillus es un hongo
común.
 Crece en hojas muertas,
granos almacenados, estiércol
de aves, pilas de abono u otra
vegetación descompuesta.
Aspergilosis Pulmonar
Formas clínicas:
Broncopulmonar alergica:
 Broncoespasmo paroxistico.
 Eosinofilia
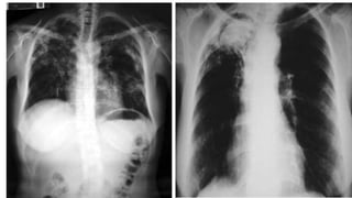
Aspergiloma: “bola fungica”:
 Hemoptisis
 Rx tipica
Masiva diseminada:
 Amenaza la vida, en
Inmunodeprimidos.
 Fiebre
 Tos
 Disnea
 Dolor Toracico Pleuritico.
Aspergiloma: “bola fungica”:
Aspergilosis Pulmonar
Formas clínicas:
Aspergilosis Masiva diseminada:
Aspergilosis Pulmonar
 Amenaza la vida, en
Inmunodeprimidos.
 Fiebre
 Tos
 Disnea
 Dolor Toracico Pleuritico.
Diagnóstico:
• Cuadro clinico sugestivo
• Imagen radiologica de aspergiloma
• Broncografia (falta de impregnacion)
• Prueba serologica de precipitacion
• Hallazgo directo de las hifas y aislar hongo por cultivo.
Aspergilosis Pulmonar
 Forma alergica:
Anfotericina B En Aerosol, corticosteroides,
cromoglicato disodico. Itraconazol profilaxis.
Tratamiento:
 Aspergiloma:
Anfotericina B IV, 5-fluorocitocina y
nistatina.
 A veces necesario reseccion quirurgica.
Aspergilosis Pulmonar
Gracias

neumologia Aspergilosis

  • 1.
    Universidad Laica EloyAlfaro de Manabí Facultad de Ciencias Medicas Neumología  XAVIER RIVERA ZAMBRANO  GABRIEL TALLEDO LÓPEZ 5to A Dra. Vanessa Luzardo Aspergilosis pulmonar
  • 2.
    Aspergilosis Pulmonar Es unamasa causada por una infección micótica que crece generalmente en las cavidades pulmonares. • Aspergilus fumigatus, niger y clavatus (AAE) • Via de entrada: inhalacion de esporas • Hongo oportunista, afecta a personas debilitadas o inmunodeprimidas.
  • 3.
    Aspergilosis Pulmonar  ElAspergillus es un hongo común.  Crece en hojas muertas, granos almacenados, estiércol de aves, pilas de abono u otra vegetación descompuesta.
  • 4.
    Aspergilosis Pulmonar Formas clínicas: Broncopulmonaralergica:  Broncoespasmo paroxistico.  Eosinofilia Aspergiloma: “bola fungica”:  Hemoptisis  Rx tipica Masiva diseminada:  Amenaza la vida, en Inmunodeprimidos.  Fiebre  Tos  Disnea  Dolor Toracico Pleuritico.
  • 5.
  • 15.
    Aspergilosis Masiva diseminada: AspergilosisPulmonar  Amenaza la vida, en Inmunodeprimidos.  Fiebre  Tos  Disnea  Dolor Toracico Pleuritico.
  • 17.
    Diagnóstico: • Cuadro clinicosugestivo • Imagen radiologica de aspergiloma • Broncografia (falta de impregnacion) • Prueba serologica de precipitacion • Hallazgo directo de las hifas y aislar hongo por cultivo. Aspergilosis Pulmonar
  • 18.
     Forma alergica: AnfotericinaB En Aerosol, corticosteroides, cromoglicato disodico. Itraconazol profilaxis. Tratamiento:  Aspergiloma: Anfotericina B IV, 5-fluorocitocina y nistatina.  A veces necesario reseccion quirurgica. Aspergilosis Pulmonar
  • 19.