por:
Gustavo Arias
Santiago Castiello
Javier Ortiz
¿?
Caso No. 1
• Hombre de 56 años acude al servicio de urgencias con disnea de
cuatro meses de evolución. Al inicio la disnea era cuando realizaba
ejercicio pero empeoró progresivamente y ahora le falta la respiración
incluso cuando está sentado. Además presenta disnea paroxística
nocturna y edema en extremidades inferiores.
• Niega dolor torácico. Ha fumado un paquete de cigarrillos al día por
los últimos 10 años, toma alcohol frecuentemente. Su madre murió
de cáncer de mama a los 57 años.
Qué preguntarías?
Clínica
• Signos vitales i.e. frecuencia cardiaca 86 lpm, frecuencia respiratoria
13 rpm, presión arterial 113/76 mmHg, Temperatura 37.1 C.
• A la auscultación precordial se escucha galope S3, sin soplos.
Auscultación de campos pulmonares revela crépitos basales
bilaterales.
Paraclínicos
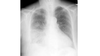
• Radiografía de tórax muestra C. EKG muestra cambios en ondas ST
inespecíficos. Ecocardiograma muestra ventrículo izquierdo dilatado y
disfunción sistólica (Fracción de eyección de 28%).
• Biometría hemática: Hematocrito 32%, leucocitos 6,000/µL, plaquetas
60,000/µL, volumen corpuscular medio 101fL.
• Pruebas de función hepática: AST 180 u/L, ALT 66 u/L.
• Se decide su ingreso.
Qué preguntarías?
• Esta es la tercera ocasión que el paciente ingresa al Hospital en los
últimos 2 meses por exacerbación de su padecimiento. El paciente
actualmente se encuentra en tratamiento con furosemida (diurético),
enalapril (IECA), propanolol (ß-bloqueador), digoxina, y aspirina.
• Ahora, en su tercer hospitalización el paciente se encuentra frustrado
porque continúa con sus síntomas, y está preocupado sobre su
futuro, debido a sus frecuentes exacerbaciones, donde siempre ha
terminado en el hospital.
Qué preguntarías?
• Preguntas volando
Novato Experto
Preguntas
básicas
Preguntas
avanzadas
Pregunta clínica estructurada
•Planteamiento sencillo
•Relevante al problema
•Identificar palabras clave (búsqueda)
•Determinar tipo de estudio
Pregunta PICO
P I C O
• Población
• Paciente
• Problema
• Descripción
• Intervención
• Exposición
• Factor pronóstico
• Factor de riesgo
• Prueba Dx
• Medicamento
• Cirugía
• No tratamiento
• Comparación
• Alternativa
• 2 medicamentos
• V.S. Placebo
• V.S. No
medicamento
• 2 probables DX
• 2 tratamientos QX
• Control
• Outcome
• Resultado de
interés clínico
• Qué se busca
lograr?
• Morbilidad
• Mortalidad
• Complicaciones
• Síntomas
• Calidad de vida
• Días de estancia
hospitalaria
Qué tipo de pregunta estamos enfrentando?
•Diagnóstico
•Daño
•Tratamiento
•Pronóstico
PACIENTE en cuestión
• Se debe definir la población a la cual se refiere la pregunta
• En el ejemplo:
1. Paciente con Disnea.
2. Paciente masculino en la quinta década
de la vida con disnea.
P I C O
“Adulto con
ICC”
INTERVENCIÓN en cuestión
• Es la intervención o exposición en cuestión
• Puede ser un tratamiento, un método diagnóstico, una exposición dañina, etc.
• En el ejemplo:
1. …presenta disnea paroxística nocturna y edema en
extremidades inferiores..
2. Ha fumado un paquete de cigarrillos al día por los últimos
10 años, toma alcohol frecuentemente..
3. A la auscultación precordial se escucha galope S3
4. se encuentra en tratamiento con furosemida (diurético),
enalapril (IECA), propanolol (ß-bloqueador), digoxina, y
aspirina
P I C O
ß-
Bloquead
ores
COOMPARACIÓN
•Existe cuando hay más de una intervención
•Se compara contra placebo, otra prueba
diagnóstica, un goldstandard, o simplemente con
nada.
P I C O
Placebo
OUTCOME (resultados)
•Puede ser clínico, de laboratorio, una presunción
diagnóstica, etc.
•Se puede ser tan específico como se desee.
P I C O
Mortalidad
Pregunta 1
• En pacientes con disnea, que tan preciso es escuchar un tercer ruido
cardiaco (S3), en diagnosticar insuficiencia cardiaca congestiva?
P I C O
Congestive Heart
failure
Furosemide Dead
• Es una pregunta sobre…. Tratamiento, diagnóstico, daño, pronóstico?
sinónimos
Pregunta 1
En adultos que presentan insuficiencia cardiaca congestiva, el uso de
furosemida comparado con placebo disminuye síntomas de dificultad
respiratoria?
P I C O
Adults with Heart
Failure
Furosemide Placebo Dyspnea
Congestive Heart
failure
Shortness of Breath
Cardiac failure
Pregunta 3
• En pacientes adultos con insuficiencia cardiaca congestiva con FEVI <
40%, el uso de IECAs ¿Disminuye la mortalidad a 5 años?
P I C O
Pregunta 4
• En pacientes adultos entre 40 y 60 años, ¿Qué tanto influye el consumo de
alcohol para desarrollar insuficiencia cardiaca congestiva secundaria a
miocardiopatía dilatada?
P I C O
Adults between 40 and
60 years
Alcohol
Congestive Heart
Failure
Búsqueda
Operadores booleanos
A B
A
B
Intersección o AND
1
A ∩ B
A B
AND
A B
congestive
heart failure
dyspneadiagnostic
congestive
heart failure
diagnostic dyspnea
clinical trial
Unión u OR
2
A ∪ B
A B
OR
A B
congestive
heart failure
dyspneadiagnostic
congestive
heart failure
diagnostic dyspnea
clinical trial
“congestive heart failure”
AND “dyspnea” AND
“diagnostic”
N = 114
“congestive heart failure”
OR “dyspnea” OR
“diagnostic”
N = 633703
Exclusión o NOT
3
(A ∪ B) - B
A B
(A ∪ B) - B
-
NOT
A B
congestive
heart failure
dyspnea
treatment
Descriptores
Field Descriptions and Tags
de PICO a búsqueda
…hacer un código de búsqueda…
En adultos que presentan insuficiencia cardiaca congestiva, el uso de
furosemida comparado con placebo disminuye síntomas de dificultad
respiratoria?
P I C O
Adults whit Heart
Failure
Furosemide Placebo Dyspnea
Congestive Heart
failure
Shortness of Breath
Cardiac failure
(OR)
(OR)
(OR) (OR) (OR)
(AND) (AND) (AND)
("Heart Failure"[Mesh] AND
"Furosemide"[tiab]) AND
("shortness of breath"[tiab] OR
"dyspnea"[tiab]) AND Clinical
Trial[ptyp]
Caso No. 2
• Mujer de 23 años, infectado con VIH, se presenta al servicio de
urgencias con antecedente de 5 días con fiebre y tos productiva.
• Actualmente se encuentra con terapia antiretroviral, y su conteo de
CD4 es de 300/mm³. Su temperatura es 39 C, pulso 95/min, 22
respiraciones por minuto, presión arterial de 115/76.
• El examen físico revela matidez a la percusión estertores en la base
del pulmón derecho.
• Se obtiene la siguiente radiografía.
P I C O
por:
Gustavo Arias
Santiago Castiello
gracias

Pregunta pico y booleanos

  • 1.
  • 2.
    Caso No. 1 •Hombre de 56 años acude al servicio de urgencias con disnea de cuatro meses de evolución. Al inicio la disnea era cuando realizaba ejercicio pero empeoró progresivamente y ahora le falta la respiración incluso cuando está sentado. Además presenta disnea paroxística nocturna y edema en extremidades inferiores. • Niega dolor torácico. Ha fumado un paquete de cigarrillos al día por los últimos 10 años, toma alcohol frecuentemente. Su madre murió de cáncer de mama a los 57 años.
  • 3.
  • 4.
    Clínica • Signos vitalesi.e. frecuencia cardiaca 86 lpm, frecuencia respiratoria 13 rpm, presión arterial 113/76 mmHg, Temperatura 37.1 C. • A la auscultación precordial se escucha galope S3, sin soplos. Auscultación de campos pulmonares revela crépitos basales bilaterales.
  • 5.
    Paraclínicos • Radiografía detórax muestra C. EKG muestra cambios en ondas ST inespecíficos. Ecocardiograma muestra ventrículo izquierdo dilatado y disfunción sistólica (Fracción de eyección de 28%). • Biometría hemática: Hematocrito 32%, leucocitos 6,000/µL, plaquetas 60,000/µL, volumen corpuscular medio 101fL. • Pruebas de función hepática: AST 180 u/L, ALT 66 u/L. • Se decide su ingreso.
  • 6.
  • 7.
    • Esta esla tercera ocasión que el paciente ingresa al Hospital en los últimos 2 meses por exacerbación de su padecimiento. El paciente actualmente se encuentra en tratamiento con furosemida (diurético), enalapril (IECA), propanolol (ß-bloqueador), digoxina, y aspirina. • Ahora, en su tercer hospitalización el paciente se encuentra frustrado porque continúa con sus síntomas, y está preocupado sobre su futuro, debido a sus frecuentes exacerbaciones, donde siempre ha terminado en el hospital.
  • 8.
  • 9.
  • 10.
  • 11.
    Pregunta clínica estructurada •Planteamientosencillo •Relevante al problema •Identificar palabras clave (búsqueda) •Determinar tipo de estudio
  • 12.
    Pregunta PICO P IC O • Población • Paciente • Problema • Descripción • Intervención • Exposición • Factor pronóstico • Factor de riesgo • Prueba Dx • Medicamento • Cirugía • No tratamiento • Comparación • Alternativa • 2 medicamentos • V.S. Placebo • V.S. No medicamento • 2 probables DX • 2 tratamientos QX • Control • Outcome • Resultado de interés clínico • Qué se busca lograr? • Morbilidad • Mortalidad • Complicaciones • Síntomas • Calidad de vida • Días de estancia hospitalaria
  • 13.
    Qué tipo depregunta estamos enfrentando? •Diagnóstico •Daño •Tratamiento •Pronóstico
  • 14.
    PACIENTE en cuestión •Se debe definir la población a la cual se refiere la pregunta • En el ejemplo: 1. Paciente con Disnea. 2. Paciente masculino en la quinta década de la vida con disnea.
  • 15.
    P I CO “Adulto con ICC”
  • 16.
    INTERVENCIÓN en cuestión •Es la intervención o exposición en cuestión • Puede ser un tratamiento, un método diagnóstico, una exposición dañina, etc. • En el ejemplo: 1. …presenta disnea paroxística nocturna y edema en extremidades inferiores.. 2. Ha fumado un paquete de cigarrillos al día por los últimos 10 años, toma alcohol frecuentemente.. 3. A la auscultación precordial se escucha galope S3 4. se encuentra en tratamiento con furosemida (diurético), enalapril (IECA), propanolol (ß-bloqueador), digoxina, y aspirina
  • 17.
    P I CO ß- Bloquead ores
  • 18.
    COOMPARACIÓN •Existe cuando haymás de una intervención •Se compara contra placebo, otra prueba diagnóstica, un goldstandard, o simplemente con nada.
  • 19.
    P I CO Placebo
  • 20.
    OUTCOME (resultados) •Puede serclínico, de laboratorio, una presunción diagnóstica, etc. •Se puede ser tan específico como se desee.
  • 21.
    P I CO Mortalidad
  • 22.
    Pregunta 1 • Enpacientes con disnea, que tan preciso es escuchar un tercer ruido cardiaco (S3), en diagnosticar insuficiencia cardiaca congestiva? P I C O Congestive Heart failure Furosemide Dead • Es una pregunta sobre…. Tratamiento, diagnóstico, daño, pronóstico?
  • 24.
    sinónimos Pregunta 1 En adultosque presentan insuficiencia cardiaca congestiva, el uso de furosemida comparado con placebo disminuye síntomas de dificultad respiratoria? P I C O Adults with Heart Failure Furosemide Placebo Dyspnea Congestive Heart failure Shortness of Breath Cardiac failure
  • 27.
    Pregunta 3 • Enpacientes adultos con insuficiencia cardiaca congestiva con FEVI < 40%, el uso de IECAs ¿Disminuye la mortalidad a 5 años? P I C O
  • 28.
    Pregunta 4 • Enpacientes adultos entre 40 y 60 años, ¿Qué tanto influye el consumo de alcohol para desarrollar insuficiencia cardiaca congestiva secundaria a miocardiopatía dilatada? P I C O Adults between 40 and 60 years Alcohol Congestive Heart Failure
  • 29.
  • 30.
  • 31.
  • 32.
  • 33.
  • 34.
  • 35.
  • 40.
  • 42.
  • 43.
  • 44.
  • 45.
  • 47.
  • 50.
  • 51.
    “congestive heart failure” AND“dyspnea” AND “diagnostic” N = 114 “congestive heart failure” OR “dyspnea” OR “diagnostic” N = 633703
  • 52.
  • 53.
    (A ∪ B)- B A B
  • 54.
    (A ∪ B)- B -
  • 55.
  • 58.
  • 60.
  • 64.
    de PICO abúsqueda …hacer un código de búsqueda…
  • 65.
    En adultos quepresentan insuficiencia cardiaca congestiva, el uso de furosemida comparado con placebo disminuye síntomas de dificultad respiratoria? P I C O Adults whit Heart Failure Furosemide Placebo Dyspnea Congestive Heart failure Shortness of Breath Cardiac failure (OR) (OR) (OR) (OR) (OR) (AND) (AND) (AND)
  • 66.
    ("Heart Failure"[Mesh] AND "Furosemide"[tiab])AND ("shortness of breath"[tiab] OR "dyspnea"[tiab]) AND Clinical Trial[ptyp]
  • 68.
    Caso No. 2 •Mujer de 23 años, infectado con VIH, se presenta al servicio de urgencias con antecedente de 5 días con fiebre y tos productiva. • Actualmente se encuentra con terapia antiretroviral, y su conteo de CD4 es de 300/mm³. Su temperatura es 39 C, pulso 95/min, 22 respiraciones por minuto, presión arterial de 115/76. • El examen físico revela matidez a la percusión estertores en la base del pulmón derecho. • Se obtiene la siguiente radiografía.
  • 70.
  • 71.