1er TALLER DE RADIOLOGÍA TORÁCICA.
          APRENDE A LEER PLACAS DE TÓRAX COMO UN PROFESIONAL


Día 18 de Febrero:

1. Presentación
2. Visita al Servicio de Radiodiagnóstico para ver cómo se hace una placa de tórax.
3. Fundamentos físicos de la imagen. Cómo se forman los rayos X.
4. Sistemática de lectura de la placa simple de tórax.
5. Anatomía radiológica del tórax.
                     i. Anatomía hiliar.
                    ii. Líneas mediastínicas.
                   iii. Silueta cardiaca.
                   iv. Pleura y cisuras.
6. Anatomía lobar y segmentaria del tórax.
7. Semiología torácica:
                    v. Signo de la silueta. Localización de las lesiones

  3. FUNDAMENTOS FÍSICOS DE LA IMAGEN. .................................................................................. 2
     Los Rayos X: Bases de formación de la Imagen ................................................................................. 2
  4. SISTEMÁTICA DE LECTURA DE LA PLACA DE TÓRAX ......................................................... 10
     Características de la placa ............................................................................................................... 12
     La radiografía de tórax normal: lectura como los profesionales ..................................................... 17
  5. ANATOMÍA RADIOLÓGICA DEL TÓRAX .................................................................................. 25
     A) ANATOMIA HILIAR .................................................................................................................... 25
     Proyección PA .................................................................................................................................. 25
     Proyección Lateral ........................................................................................................................... 28
     B) ANATOMÍA MEDIASTÍNICA. ..................................................................................................... 30
     Líneas mediastínicas ......................................................................................................................... 37
     C) PLEURA Y CISURAS. CISURAS ACCESORIAS. ........................................................................ 50
     Anatomía pleural .............................................................................................................................. 50
     Cisuras normales .............................................................................................................................. 52
     Cisuras accesorias: ........................................................................................................................... 57
     D) ANATOMÍA DE LA PARED TORÁCICA .................................................................................... 60
  6. ANATOMÍA LOBAR Y SEGMENTARIA DEL TÓRAX................................................................ 66
     Los segmentos pulmonares ............................................................................................................... 66
  7. EL SIGNO DE LA SILUETA. LOCALIZACIÓN DE LAS LESIONES. .......................................... 69
  8. SEMIOLOGÍA TORÁCICA ...................................................... ¡ERROR! MARCADOR NO DEFINIDO.
     BRONCOGRAMA AÉREO ................................................................ ¡Error! Marcador no definido.
     ATELECTASIA................................................................................... ¡Error! Marcador no definido.
     NEUMOTÓRAX ................................................................................. ¡Error! Marcador no definido.
     DERRAME PLEURAL ....................................................................... ¡Error! Marcador no definido.
  9. LESIÓN PLEURAL Y EXTRAPLEURAL ................................ ¡ERROR! MARCADOR NO DEFINIDO.
  10. ENFERMEDAD CARDIOVASCULAR .................................. ¡ERROR! MARCADOR NO DEFINIDO.
  11. EL MEDIASTINO .................................................................... ¡ERROR! MARCADOR NO DEFINIDO.
3. FUNDAMENTOS FÍSICOS DE LA IMAGEN.
Los Rayos X: Bases de formación de la Imagen
La radiografía de tórax se basa en la utilización un aparato disparador de Rayos X. De
ahí que estimo conveniente hacer un repaso a las bases físicas que permiten producir y
usar los rayos X en la generación de imágenes con utilidad en el diagnóstico médico.

Origen:

Los Rayos X fueron descubiertos por W. K Roentgen en 1.895, y a los pocos meses ya
se usaban con fines de diagnóstico médico.

Los Rayos X forman parte del espectro de radiaciones electromagnéticas, al igual que
las ondas eléctricas y las de radio,(éstos en un extremo), y los rayos infrarrojos, los
visibles, y los ultravioleta (en la zona media), situándose, junto a los rayos cósmicos, al
otro extremo del espectro.
Esto es un tubo de rayos X por fuera:




Los Rayos X se originan cuando los electrones inciden con muy alta velocidad sobre la
materia y son frenados repentinamente. Se produce así la radiación X, de muy distintas
longitudes de onda ("espectro continuo"), debido a la diferente velocidad de los
electrones al chocar. Si la energía del bombardeo de electrones es mayor todavía, se
producirá otro tipo de radiación, cuyas características dependerán del material del
blanco ("radiación característica").


La diferente longitud de onda de la radiación determina la calidad o dureza de los rayos
X: cuanto menor es la longitud de onda, la radiación se dice más dura, que tiene mayor
poder de penetración. A lo contrario se denomina "radiación blanda".


Propiedades de los rayos X:

       Poder de penetración: los rayos X tienen la capacidad de penetrar en la
       materia.
       Efecto luminiscente: los rayos X tienen la capacidad de que al incidir sobre
       ciertas sustancias y éstas emiten luz.
       Efecto fotográfico: los rayos X tienen la capacidad de producir el
       ennegrecimiento de las emulsiones fotográficas, una vez reveladas y fijadas
       éstas. Esta es la base de la imagen radiológica
       Efecto ionizante: los rayos X tienen la capacidad de ionizar los gases
       (Ionización: acción de eliminar o añadir electrones).
       Efecto biológico: son los efectos más importantes para el hombre, y se estudian
       desde el aspecto beneficioso para el ser humano en la Radioterapia, y desde el
       negativo, intentando conocer sus efectos perjudiciales, en la Protección
       Radiológica.
Formación de la imagen:

Para producir rayos X primeramente se necesita una fuente de electrones que choque
contra una diana con suficiente energía: el tubo de rayos X.

                                        El tubo de rayos X es básicamente un vidrio
                                         (una ampolla de cristal en el que se ha hecho
                                         el vacío) conteniendo en su interior un
                                         electrodo negativo llamado cátodo, y uno
                                         positivo llamado ánodo. En el cátodo hay un
                                         filamento (generalmente un alambre de
                                         tungsteno o wolframio) que emite electrones
                                         cuando se calienta hasta la incandescencia.
                                         La cantidad de electrones está en relación
                                         directa con la temperatura que alcanza, por lo
                                         cual este calentamiento del filamento
                                         controla la cantidad de radiación. Estos
                                         electrones producidos en el cátodo son
                                         enfocados para chocar contra una zona del
ánodo que se llama blanco, mancha focal o foco.

 Cuando se aplica un alto voltaje entre el cátodo y el ánodo, los electrones son
acelerados por la diferencia de potencial entre ellos y al chocar contra el blanco se
producen los rayos X.
El impacto de los electrones produce fundamentalmente calor y una pequeña parte
producen rayos X. El calor debe ser disipado por lo que todos los tubos de rayos X
tienen un sistema de refrigeración.
De esta zona surge el haz de rayos X (radiación incidente), que se dirige al objeto en
estudio (el cuerpo humano en nuestro caso).

Esto es un tubo de Rx por dentro:
Vamos a tener dos parámetros que nos hablarán de las características de la radiación:
  1. Cantidad de radiación: es proporcional a la intensidad de la corriente catódica.
      (se expresa en mA), al número de electrones que interaccionan con el ánodo, al
      número atómico del ánodo y al cuadrado del kilovoltaje.

   2. Calidad de radiación: Es la dureza o poder de penetración de la radiación. La
      calidad del haz de rayos X viene dada por la energía de los fotones que lo
      forman y depende de la aceleración de los electrones catódicos. Esta aceleración
      depende del voltaje aplicado al tubo (que se expresa en Kv)

En resumen:

A mayor kilovoltaje:
- Electrones más rápidos
- Mayor energía de los rayos X
- Menor longitud de onda
- Mayor poder de penetración
- Rayos X más duros

A menor kilovoltaje:
- Electrones más lentos
- Menor energía de los rayos X
- Mayor longitud de onda
- Menor poder de penetración
- Rayos X más blandos



La imagen radiológica se obtiene la someter la región anatómica que se va a explorar a
un haz de rayos X que, por sus propiedades, se absorberá en mayor o menor medida
según su número atómico, la densidad y el espesor de las estructuras observadas. De la
radiación homogénea que ha incidido sobre el paciente, parte de ella se absorbe, parte se
dispersa y parte atraviesa las estructuras orgánicas. De esta manera, del sujeto sale un
haz de rayos X , ahora heterogéneo, que representará cada una de las estructuras que
haya atravesado. Esta cantidad de rayos que atraviesa al objeto se puede visualizar
como imagen permanente en una placa radiográfica, o bien como imagen transitoria en
una pantalla fluoroscópica. Así registraremos la imagen.

Es necesario que la imagen que se ha generado sea de la máxima información, para lo
cual hay que procurar que sea lo más nítida y exacta posible y que posea un máximo de
contraste con la densidad adecuada.
Densidades en radiodiagnóstico

Hablaremos de densidad y contraste

1. La densidad deriva de la dosis de exposición (mAs) que es el producto de la
intensidad de la radiación por el tiempo que actúa (mA x s). A mayor dosis (mayor
miliamperaje x segundo) se produce mayor absorción y por tanto mayor “densidad”.

Sobre una película sin nada delante, a mayor dosis, mayor ennegrecimiento. Si ponemos
delante un individuo tendremos reflejado en la película la cantidad de radiación que deja
pasar, lo que nos dibujará una silueta y las diferentes estructuras del organismo. En
nuestro cuerpo tenemos huesos, grasa, agua….es decir diferentes elementos y
composiciones que tienen diferentes densidades y cuando la radiación incide sobre ellos
la van a absorber de forma diferente y por tanto la van a dejar pasar de forma diferente.
En la placa incide la radiación que atraviesa el cuerpo. El hueso absorbe más rayos que
los músculos, estos más que la grasa y la grasa más que el aire. A mayor absorción,
menor es la dosis de radiación que alcanza la película y por tanto menor será su
ennegrecimiento. Así el hueso absorbe mucha radiación, deja pasar poca y se ve blanco
en una placa; el aire absorbe poca, deja pasar mucha radiación y se ve negro. Si se
aumenta el miliamperaje por segundo (es decir la dosis de radiación) el pulmón será
más negro y el hueso un poco más oscuro, menos blanco.

Las cinco densidades radiológicas básicas apreciables en una radiografía son, en orden
creciente de capacidad de absorción o densidad:

- densidad aire: producida por los gases. Aparece en la película como negro

- densidad grasa: se produce por el tejido adiposo. En la placa se ve como
moderadamente radiotransparente.

- densidad agua: proporcionada por tejidos blandos, los músculos, la sangre, la bilis,
vísceras, cartílagos y se visualiza como una densidad intermedia.

- densidad hueso: originada por los huesos, los dientes y las sales cálcicas (cálculos o
litiasis). Radiologicamente se aprecia como moderadamente radiopaca.

- densidad metal: causada por los contrastes artificiales positivos como el bario, el
Yodo, las prótesis. Se observa muy radiopaca, muy blanca en la película.

Todo lo que se ve en las imágenes radiográficas son interfases entre las estructuras
de diferentes densidades.




2. El contraste depende fundamentalmente de la tensión o kilovoltaje y determina la
calidad de radiación. Si el kilovoltaje es bajo, es decir, si la tensión es baja
produciremos radiación de baja penetración, llamada radiación blanda. Una tensión
elevada produce radiación de alta penetración.

La Radiografía simple

La radiografía simple es la técnica inicial de imagen por excelencia, llegando a ser el
primer examen diagnóstico que se realiza después de la historia clínica de la mayoría de
pacientes. Sus indicaciones son múltiples, y no es misión de estas páginas enumerarlas
todas: la Rx de tórax ante cualquier síntoma cardiorrespiratorio, la Rx simple de
cualquier parte del cuerpo accidentada, la placa simple de abdomen ante molestias del
aparato digestivo, la radiografía simple de cráneo en traumatismos craneoencefálicos
(niños), hipertensión intracraneal, y ciertos tipos de tumores, etc. 





Así es cómo se hace la Rx de tórax. ¿recordáis?. El rayo incide por la espalda del
paciente, por eso decimos posteroanterior (RX PA). Cuando el individuo está
tumbado el rayo incide por delante (Rx AP o anteroposterior). En la lateral el
individuo se pone de lado y con los brazos hacia arriba. El rayo incide debajo de la
axila. La luz que vemos en la espalda del paciente es el campo que vamos a
irradiar y la cruz que se dibuja en la espalda es el centraje.

Podemos radiografiar lo que queramos. Sólo tenemos que centrar en la parte
deseada y poner la técnica (dosis de radiación) adecuada.
4. SISTEMÁTICA DE LECTURA DE LA PLACA DE TÓRAX

Partiendo de la base que sólo el examen radiográfico de buena calidad puede entregar
una información completa y fidedigna, lo primero que el clínico debe hacer es verificar
que ha recibido un examen técnicamente adecuado.




Esta es una radiografía frontal o póstero-anterior (PA) de buena calidad, de un sujeto
normal en posición de pies.

Para que una radiografía de tórax se considere adecuada debe reunir las siguientes
características:

a) La placa debe incluir la totalidad del tórax, desde los vértices pulmonares hasta el
fondo de los recesos costodiafragmáticos (CD) tanto en proyección frontal como
lateral. Las escápulas (E) deben estar desplazadas fuera de los campos pulmonares.

b) La radiografía frontal debe estar bien centrada, lo que se puede verificar
comprobando que los extremos esternales de ambas clavículas (C) equidisten de la
sombra central de las apófisis espinosas vertebrales (AE).
c) La dureza o penetración de los rayos debe ser tal que alcance a distinguirse detrás de
la sombra cardiaca la columna vertebral tenuemente segmentada en cuerpos
vertebrales (V) y discos intervertebrales (DV). Debe existir, además, una gama bien
diferenciable de grises, negro y blanco.

d) Salvo que se haya solicitado de otra manera, la placa se toma en inspiración
profunda sostenida. El tamaño, posición y forma de las estructuras endotorácicas varía
considerablemente en espiración y, si no se han detenido los movimientos respiratorios,
las imágenes, especialmente de los vasos, resultan borrosas.

e) Si lo permite el estado del paciente, la radiografía de tórax se toma ordinariamente en
posición de pies. Esto determina una morfología y topografía características debidas a
la acción cráneo-caudal de la fuerza de gravedad. Un índice de que la radiografía ha
sido tomada en esta posición es la presencia de la burbuja de aire del estómago (G) en
contacto con la cara inferior del hemidiafragma izquierdo.
Características de la placa




El extremo de la clavícula izquierda está más cerca de la apófisis espinosa que el de la
clavícula derecha. Esto indica que el tronco está rotado, con el hombro izquierdo hacia
adelante ( oblicua anterior izquierda). Como se ilustra en el esquema adjunto, con este
giro la apófisis espinosa se desvía hacia la izquierda de la línea media, mientras que el
extremo de la clavícula izquierda se acerca a la línea media. Los hilos pulmonares, al
acercarse ambos a la línea media, se confunden parcialmente con el corazón. El
siguiente esquema ilustra lo que ha ocurrido con esta placa mal rotada.
Esta radiografía es muy “blanda”, o sea la intensidad y penetración de los rayos ha sido
insuficiente.:

       la columna vertebral no se alcanza a distinguir a través de la sombra del corazón
       y aún menos el pulmón
       la trama vascular da origen a sombras lineales marcadas, que pueden simular
       una infiltración intersticial.
       las costillas dan sombras densas que no permiten ver bien el parénquima
       pulmonar.
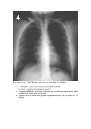
Esta placa es muy “dura” debido a una excesiva intensidad de radiación:

       La estructura ósea de la columna se ve con toda claridad
       La trama vascular se contrasta escasamente.
       En estas condiciones una lesión pulmonar que normalmente daría origen a una
       sombra tenue puede pasar inadvertida.
       Algunas de estas limitaciones pueden superarse mirando la placa contra una luz
       intensa.
Esta radiografía 5 es del mismo sujeto de la placa 1, pero fue tomada en espiración: los
pulmones se ven de un menor volumen por tener un menor contenido aéreo y los vasos,
aglomerados en un área mas restringida, impresionan como una aumento de trama
intersticial (flecha). El ascenso diafragmático reduce la elongación del mediastino que
aparece ensanchado con aumento aparente de tamaño del corazón porque este está en
una posición más horizontal.
La falta de burbuja gástrica bajo el diafragma izquierdo indica que esta placa fue
tomada en decúbito. Si no se repara en que la radiografía no es de pies, el aparente
aumento del tamaño del corazón, secundario a su horizontalización, pueden conducir a
un falso diagnóstico de insuficiencia cardiaca.
La radiografía de tórax normal: lectura como los profesionales


   Las claves de la lectura de las radiografías son:

   1. entender bien la anatomía normal y

   2. un patrón ordenado de búsqueda

Vamos a intentar desarrollar un patrón de búsqueda. Siendo sistemático pasaremos por
alto menos hallazgos importantes. Aplicando la sistemática una placa detrás de otra
pareceremos profesionales.

Para lograr la máxima precisión debemos tener un patrón organizado de búsqueda.
Primero exploraremos las zonas de menos interés y después nos dirigiremos hacia las
zonas más importantes.

En la radiografía de Tórax
empezaremos por la parte superior
del abdomen.




1. Lo primero que vamos a valorar son los
diafragmas:

DIAFRAGMA: En inspiración profunda
la parte más alta de la cúpula
diafragmática derecha (DD) coincide
aproximadamente con el extremo anterior
de la 6» costilla. Debido al peso del
corazón, la cúpula izquierda (DI) está 1,5
a 2,5 cm más abajo en el 90% de los
sujetos normales. Usualmente las cúpulas
son regularmente redondeadas, pero
pueden presentar lobulaciones. A ambos
lados contactan en ángulo agudo con las
paredes costales formando los senos
costofrénicos laterales (CF). Hacia la línea media, la cúpula derecha termina formando
con el corazón el ángulo cardiofrénico, mientras que a la izquierda puede seguirse por
varios centímetros dentro de la sombra cardiaca. Uno a dos cm. bajo el diafragma
izquierdo se observa la burbuja de aire del estómago (G), relación que sirve para
reconocer la posición de pies en la placa frontal, identificar este hemidiafragma en la
radiografía lateral y para sospechar, la existencia de un derrame infrapulmonar al lado
izquierdo. En esta última proyección puede apreciarse que, por tener las inserciones
posteriores del diafragma una posición más caudal, los senos costofrénicos posteriores
(CFP), están situados varios centímetros por debajo de los anteriores y laterales y son
los primeros que se borran al iniciarse un derrame pleural.

Ya hemos dicho previamente que en la placa lo que vemos son interfases entre
estructuras más densas y estructuras menos densas. Así en la proyección
posteroanterior, la parte del diafragma que vemos es la parte más anterior que es la más
alta y vemos su contorno por la interfase que forma con el aire del pulmón adyacente. Si
nos fijamos, podemos ver los vasos de los lóbulos inferiores a través de la densidad de
los diafragmas ya que están en un plano posterior.
En el lado izquierdo la parte del diafragma que vemos no es exactamente la más
anterior, ya que el diafragma contacta con el corazón y como tienen igual densidad
borran sus contornos (signo de la silueta), así pues, la parte del diafragma izquierdo que
vemos en la proyección PA es justamente la retrocardiaca y eso nos va a servir para
diagnosticar lesiones que se encuentran detras del corazón, es decir, que están
localizadas en el lóbulo inferior izquierdo.


2. Después iremos a la pared torácica (partes blandas y hueso).

Lo miraremos en zig-zag, siguiendo un orden ascendente por la derecha y descendiendo
por la izquierda hasta haber
visto todas las costillas y
por supuesto los hombros,
clavículas y partes blandas.

Para valorar las partes
blandas empezaremos por
la base derecha observando
sucesivamente las partes
blandas (músculos, mama,
etc…)de la pared torácica,
las costillas y la cintura
escapular. Terminamos en
orden              inverso,
descendiendo por el lado
izquierdo
COSTILLAS: por su trayecto oblicuo los arcos posteriores de las costillas se proyectan
varios centímetros más arriba que sus extremos anteriores, que son los más fáciles de
individualizar para contar las costillas. Sus bordes son aproximadamente paralelos, y los
espacios intercostales son iguales a ambos lados del tórax. En personas de edad, los
cartílagos costales suelen calcificarse, dando imágenes que pueden confundirse con
lesiones patológicas del pulmón.


CLAVICULA: es importante individualizar sus extremos internos (C) en relación a las
apófisis espinosas para verificar si la placa esté bien centrada.





ESCAPULA: al tomarse una radiografía, los brazos se ponen en posición tal que las
escápulas (E) son desplazadas fuera del campo de proyección de los pulmones, pero
generalmente es posible ver su borde interno proyectado sobre éstos.

PARTES BLANDAS PARIETALES. Usualmente su situación externa al tórax es
evidente pero, en ocasiones, los pezones y tumores superficiales pueden simular
nódulos, mientras que los pliegues cutáneos pueden dar falsas imágenes lineales. Las
mamas voluminosas pueden producir un velamiento tenue y una mastectomía, una falsa
imagen de hipertranslucencia pulmonar.
3. en tercer lugar valoraremos el mediastino.

La exploración organizada del mediastino es complicada porque existen muchas
estructuras superpuestas.

Comenzamos con una visión global del mediastino, buscando alteraciones del contorno
(es decir, ensanchamiento generalizado o global) y después continuamos con la
búsqueda dirigida.




Empezaremos por la tráquea, y seguimos con bronquios, hilios y silueta cardiaca.

                                                       TRAQUEA: en la placa
                                                       frontal se ve como una tenue
                                                       columna aérea (T) que baja por
                                                       la línea media, desviándose
                                                       ligeramente a la derecha a nivel
                                                       del cayado aórtico. En la
                                                       radiografía lateral es levemente
                                                       oblicua de delante a atrás.


                                                                       BRONQUIOS
                                                       PRINCIPALES: en la placa
                                                       frontal, un poco por debajo del
                                                       nivel del botón aórtico, se
                                                       separan las columnas aéreas de
                                                       los bronquios derecho (BD) e
                                                       izquierdo (BI), formado una
                                                       carina de ángulo variable entre
                                                       50 y 100º (otros dicen entre 35
                                                       y 90º) El valor medio del
ángulo de la bifurcación traqueal es 70º. Aceptaremos un valor patológico por encima
de 90-100º.
 En proyección lateral, estos bronquios principales se superponen y no son
diferenciables, pero las ramas para los lóbulos superiores de ambos pulmones (BSD y
BSI) siguen un trayecto horizontal, relativamente paralelo al haz de rayos, por lo que
sus paredes son atravesadas longitudinalmente y contrastan como claridades
                                                      redondeadas superpuestas al eje
                                                      traqueal, siendo la más alta la
                                                      correspondiente al bronquio
                                                      derecho. Las ramas bronquiales
                                                      lobulares y sus subdivisiones no
                                                      son visibles por estar rodeadas de
                                                      pulmón lleno de aire.


                                                     MEDIASTINO: Los órganos
                                                     centrales del tórax forman una
                                                     silueta característica en la placa
                                                     frontal, cuyo borde derecho está
                                                     formado      de     arriba   abajo
                                                     sucesivamente por el tronco
                                                     braquiocefálico derecho, la vena
                                                     cava superior (VCS), la aurícula
                                                     derecha (AD) y una pequeña
                                                     parte de la vena cava inferior
                                                     (VCI).

El borde izquierdo empieza arriba con la arteria subclavia y sigue con la prominencia
del botón aórtico (BA). En la parte media se proyecta el tronco de la arteria pulmonar
(AP), parte de la aurícula izquierda y finalmente, el ventrículo izquierdo (VI), que
forma un arco fuertemente prominente.

                                               En la placa lateral la sombra cardiaca
                                               descansa y se confunde con la mitad
                                               anterior del hemidiafragma izquierdo.
                                               Su borde anterior está formado por el
                                               ventrículo derecho (VD) y el posterior
                                               por la aurícula izquierda arriba, el
                                               ventrículo al medio y la vena cava
                                               inferior, abajo. El cayado aórtico (CA)
                                               puede distinguirse parcialmente como
                                               un arco anteroposterior.


                                               En este momento y por último
                                               valoramos la columna vertebral tanto en
                                               la proyección PA como en la Lateral.

                                             HILIOS                PULMONARES.
                                             Anatómicamente son el conjunto de
                                             vasos, bronquios, nervios que desde el
mediastino penetran al pulmón, más algunos ganglios linfáticos pequeños. Su principal
componente radiográfico al lado derecho son las ramas de la arteria pulmonar derecha,
mientras que al lado izquierdo son la arteria pulmonar izquierda en sí misma y sus
divisiones. En condiciones normales, los demás componentes contribuyen poco a las
sombras hiliares. El hilio derecho se encuentra aproximadamente 1,5 cm más bajo que
el izquierdo.


COLUMNA VERTEBRAL: los cuerpos vertebrales se ven en forma borrosa, y las
apófisis espinosas (AE), dispuestas a lo largo de la línea media, se aprecian mejor en la
parte alta del tórax, perdiéndose detrás del corazón. En la proyección lateral las
vértebras se ven más claramente, viéndose más blancas las superiores por la
superposición de las masas musculares de la cintura escapular.





4. Por último valoramos el pulmón.

Miraremos cada pulmón por separado y al final compararemos el derecho con el
izquierdo.

Pulmones. La mayoría de las radiografías de tórax se solicitan para evaluar afecciones
pulmonares de forma que los pulmones se evalúan en último lugar. Son tan importantes
los pulmones que los evaluamos dos veces. Comenzamos por el angulo costofrénico
derecho, examinando primero el pulmón derecho hacia arriba y después continuamos
examinando el izquierdo hacia abajo hasta llegar al ángulo costofrénico. La segunda
mirada consiste en una comparación de uno con otro. Esto debe proporcionar una
segunda visión de los ángulos costofrénicos y los hilios.

                                            La radiografía lateral es muy valiosa pero a
                                            menudo se ignora. ¡ESTO NO DEBE
                                            HACERSE NUNCA!. El patrón de
                                            búsqueda es similar al de la placa AP:
                                            Abdomen-pared           torácica-mediastino-
                                            pulmones. Comenzamos la búsqueda por




debajo del diafragma, seguimos por la
parte inferior de la columna buscando las
partes blandas y los huesos de detrás y
después las partes blandas y huesos de
delante. Volvemos hacia la tráquea y
bajamos por ella estudiando el mediastino.
Finalmente, en zigzag bajamos desde los vértices pulmonares a los senos costofrénicos.
PARENQUIMA PULMONAR.

El aire, las paredes bronquiales, los tabiques alveolares y el intersticio normales no dan
imagen radiográfica notoria. La trama que se ve en los campos pulmonares corresponde
a los vasos pulmonares llenos de sangre que contrastan con el parénquima aireado. Las
arterias pulmonares y el nacimiento de sus ramas principales forman parte del
mediastino y de las sombras hiliares. Hacia la periferia, las arterias (A) se ven más
tenues, pero es posible seguirlas hasta 1 a 2 cm de la pleura y apreciar sus divisiones,
que se suceden con intervalos de 1 a 2 cm. Por efecto de la gravedad, la presión
hidrostática intravascular es mayor en las bases, por lo cual los vasos en estas zonas
están más distendidos y se ven un 50 - 75% más gruesos que los de la mitad superior del
pulmón. En la mitad inferior de los pulmones, las arterias siguen un trayecto oblicuo
cercano a la vertical, mientras que las venas siguen una dirección casi horizontal hacia
la aurícula izquierda. Los bronquios intrapulmonares no se ven por constituir
prácticamente una interfase aire-aire. Ocasionalmente pueden dar origen a una imagen
anular cercana a los hilios cuando los rayos los atraviesan a lo largo de su eje
longitudinal.


PLEURAS. En la mayor parte de su extensión, estas membranas se encuentran en
contacto con la superficie interna del tórax, formando una interfase sólido-sólido, que
no da imagen radiográfica. A nivel de las cisuras pulmonares, en cambio, la pleura tiene
aire por ambos lados, de manera que da origen a una fina imagen lineal en las zonas en
que los rayos la atraviesan tangencialmente. La cisura menor u horizontal del lado
derecho se ve frecuentemente en la radiografía frontal y casi siempre en la lateral. Las
cisuras mayores u oblicuas (CO) no son apreciables en la placa frontal, pero suelen
verse en la lateral como finas líneas oblicuas de atrás a adelante y de arriba a abajo.



CONCEPTO CLAVE: La radiografía previa es vuestra mejor amiga. Los radiólogos
siempre miramos las placas previas si están disponibles. Vosotros también debéis
hacerlo. Ayudan muchísimo a detectar nuevas afecciones y a evaluar alteraciones en las
enfermedades preexistentes.

¿cómo saber quién fue el último en usar la carpeta de las radiografías?:

Un radiólogo: Las radiografías PA y Laterales están en orden cronológico.

Un internista: Las radiografías PA están delante, en orden cronológico y las laterales
están detrás desordenadas

Un cirujano: todas las placas están desordenadas

Un traumatólogo: faltan la mitad de las placas
5. ANATOMÍA RADIOLÓGICA DEL TÓRAX

A) ANATOMIA HILIAR
Los hilios representan la unión del pulmón con el mediastino y están formados por las
venas pulmonares y ramas de las arterias pulmonares y bronquios correspondientes.

Anatómicamente el hilio pulmonar es un
área deprimida de la superficie
mediastínica del pulmón por donde las
arterias, venas, bronquios principales y
vasos linfáticos entran o salen de éste.

Las venas de los lóbulos inferiores no
cruzan el hilio cuando se dirigen a la
aurícula izquierda, por lo cual no forman
parte de la sombra hiliar.

Los bronquios, por contener aire,
aportan poca densidad al hilio. Los
ganglios linfáticos normales son
demasiado pequeños para contribuir a
formar el hilio radiológico.

Por tanto, sólo algunas estructuras
vasculares (arterias pulmonares y
venas de los lóbulos superiores) son
responsables de la densidad hiliar.



                                                  Proyección PA
                                                  En la proyección posteroanterior
                                                  los     hilios  aparecen  como
                                                  estructuras de densidad agua a
                                                  ambos lados de la silueta
                                                  cardiovascular.

                                                  El hilio derecho está formado por:
1. la arteria pulmonar principal derecha (que no forma parte de la imagen hiliar ya
        que aún dentro del saco pericárdico se divide en una rama ascendente o tronco
        anterior y una rama descendente que constituye la arteria interlobar o lobular
        inferior derecha)
    2. el bronquio principal derecho que se dividen en ramas superiores e inferiores.
Radiológicamente lo vamos a ver con forma de “V” mirando hacia la derecha y, por
tanto, lo podemos dividir en una región superior y otra inferior.

La región superior del hilio pulmonar derecho está formada por la vena pulmonar
superior derecha, el bronquio del lóbulo superior y la arteria del lóbulo superior derecho
(más conocida como tronco anterior):
       Vena del lóbulo superior: tiene un trayecto vertical anterolateral al tronco
       anterior. Forma la mayor parte del perfil de la mitad superior del hilio. Forma el
       margen lateral de la porción superior del hilio derecho.
       El tronco anterior se sitúa medial respecto a las venas del lóbulo superior y no
       contribuye a la sombra hiliar.
                                                     La región inferior del hilio derecho
                                                     está formada por la arteria
                                                     pulmonar interlobar derecha y el
                                                     bronquio intermediario. La arteria
                                                     discurre paralela al bronquio y se
                                                     sitúa por delante y por fuera de
                                                     éste.
                                                     El tamaño de la arteria interlobular
                                                     o interlobar no debe ser mayor de
                                                     16 mm en hombres y 15 mm en
                                                     mujeres. Cuando sobrepasa estas
                                                     cifras se puede hablar de
                                                     hipertensión arterial pulmonar.

                                                        Esta morfología en forma de “V”
   hacia la derecha que constituyen la región superior en inferior del hilio derecho
   forma un ángulo llamado “angulo venoarterial o venolobar” en el que la rama
   superior es venosa y la inferior arterial (arteria interlobar).

   En el lado izquierdo la arteria pulmonar cruza por encima del bronquio en el ángulo
   formado por el bronquio principal y el bronquio del lóbulo superior izquierdo para
   dividirse posteriormente en las arterias lobares superior e inferior.
   La porción inferior del hilio izquierdo está formada por la arteria interlobar
   izquierda que se sitúa inmediatamante por detrás del bronquio del lóbulo inferior
   izquierdo
El hilio izquierdo se sitúa entre 0.5 y 3 mm por encima del derecho (90%). Ello se
debe a que la arteria pulmonar izquierda describe un arco por encima del bronquio
del lóbulo superior izquierdo mientras que la arteria pulmonar derecha se coloca por
debajo del bronquio del lóbulo superior derecho. En el 10% restante ambos hilios
están a la misma altura pero nunca el hilio derecho es craneal y superior al
izquierdo. Si esto ocurre se debe sospechar atelectasia y pérdida de volumen del
LSD o LII.

La densidad de la porción superior del hilio izquierdo está compuesta centralmente
por la arteria pulmonar principal y más periféricamente por una o más ramas de su
división lobar superior y la división posterior de la vena pulmonar. Tanto la vena
pulmonar superior como la rama apicoposterior de la arteria puede formar el borde
lateral de la sombra hiliar superior. La arteria interlobar inferior forma la porción
inferior de la sombra hiliar.

Por tanto, las arterias pulmonares derecha e izquierda constituyen la porción más
importante de la densidad hiliar (y se localizan en la región inferior) y en menor
medida las venas pulmonares superiores. Los bronquios lobares, los ganglios
linfáticos broncopulmonares y la grasa contribuyen poco a la densidad global de los
hilios.
Proyección Lateral
     En la radiografía lateral las sombras hiliares derecha e izquierda está superpuestas y
     producen una opacidad ovalada que representa una combinación de las arterias
     pulmonares derecha e izquierda y de las venas pulmonares superiores.

                                                 En el 97% de los individuos normales
                                                 puede verse la pared posterior del
                                                 bronquio intermediario que continua con
                                                 la pared traqueal posterior. Por delante de
                                                 éste aparece una sombra oval que
                                                 corresponde a la arteria interlobar. La
                                                 confluencia de las venas superiores
                                                 pulmonares derechas se superpone a la
                                                 porción inferior de la arteria pulmonar
                                                 derecha y contribuye a su densidad.
                                                 A veces, por debajo de la densidad de la
                                                 arteria interlobular se reconoce una




                                                                                    Areria
                                                                                    pulmonar
     estructura aérea: el bronquio del lóbulo      Vasos                            izquierda
     medio. Normalmente la parte visible del       pulmonares
                                                   derechos
     bronquio es su pared que aparece como
     una línea de densidad agua. Cuando en vez
     de densidades lineales los bronquios
     se ven como broncogramas aéreos Bronquio del LM
     debe sospecharse la existencia de
     adenopatías hiliares, subcarinales o ambas.
     El espacio que queda entre el bronquio del
                                                   Bronquio del LID
     lóbulo medio y el del lóbulo inferior
     derecho se llama ventana hiliar inferior.
                                                                        Bronquio del LII

     Las estructuras vasculares de la densidad hiliar rodean los
     bronquios                                        centrales. Empezando por arriba, el
                               Bronquio del LSD       bronquio del lóbulo superior
                                                        derecho       se      ve      en
                                Bronquio                aproximadamente el 50% de los
                                intermediario           individuos como una lucencia
                                                        redondeada vista de frente en el
                                                        margen superior de la densidad
                                                hiliar. La pared posterior del bronquio
                                                      intermediario (que se continúa con
                               Bronquio del LSI
                                                      la pared traqueal posterior) se ve
                                                 como una línea vertical delgada de
                                       2mm o menos de grosor que se dirige caudalmente
                                       dividiendo la lucencia del bronquio del lóbulo
                                       superior izquierdo visto de frente en una

Ventana hiliar inferior
radiografía lateral correctamente realizada. Se identifica porque el aire del bronquio
intermediario por delante y el pulmón del receso ácigo-esofágico por detrás delimitan su
pared posterior. El engrosamiento o nodularidad de esta línea puede verse en el
carcinoma broncogénico, en el edema pulmonar o por adenopatías en el receso
pleuroacigoesofágico.
El bronquio del lóbulo superior izquierdo se ve en el 75% de los sujetos y se localiza no
más de 4 cm por debajo del bronquio del lóbulo superior derecho. Este bronquio se ve
con más frecuencia que el del lóbulo superior derecho porque está bordeado por la
arteria pulmonar izquierda superior y posteriormente, por la vena pulmonar superior
posteroinferiormente y la porción superior de la aurícula izquierda inferiormente
mientras anteroinferiormente.


Craneal y posteriormente, la arteria pulmonar izquierda tiene forma de coma y pasa por
encima y detrás de la lucencia redonda y ovalada que corresponde al bronquio de lóbulo
superior izquierdo, orientado horizontalmente y luego desciende por detrás del bronquio
del lóbulo inferior izquierdo.
B) ANATOMÍA MEDIASTÍNICA.
Es la zona situada entre los dos pulmones y está limitada por la pleura parietal medial.
Contiene las estructuras cardiovasculares centrales, traqueobronquiales y el esófago.
Todo ello envuelto en grasa y rodeado de una gran cantidad de pequeños ganglios
linfáticos.

Para efectos docentes dividiremos el mediastino en tres compartimentos (según Felson).

   1. mediastino anterior (prevascular)

   2. mediastino medio (vascular)

   3. mediastino posterior (postvascular)

Esta división del mediastino corresponde a regiones fácilmente reconocibles en la
proyección lateral del tórax.




                                                           A



                                                               M

                                                                      P




En la proyección PA de torax podemos identificar los contornos del mediastino que
corresponden a diferentes estructuras. Debemos conocerlas y son:
c


                                   b
                                           d

                                           e


                                               f
                               a




a. borde derecho del corazón

b. vena cava superior

c. pared derecha de la tráquea

d. botón aórtico

e. aorta descendente

f. borde izquierdo del corazón
Aquí os adjunto un esquema sobrepuesto a una placa de tórax dónde se puede
comprender muy bien la anatomía cardiovascular y silueta mediastínica.
Para comprender mejor la anatomía radiologica de la placa simple del tórax vamos a
estudiar la anatomía del tórax en el plano axial con cortes axiales en ventana de
mediastino o también llamada de partes blandas. En esta ventana no vamos a ver los
pulmones que quedan totalmente ocultos. Veremos muy bien el mediastino con sus
estructuras vasculares y su grasa así como los ganglios linfáticos que están en él.
También veremos muy bien las partes blandas de la caja torácica. Aunque el hueso
queda bien evidendente esta ventana no sirve para evaluar alteraciones óseas. Para ello
tendríamos que usar una ventana más adaptada para ver claramente el hueso y sólo el
hueso.
Las interfases entre los pulmones y el mediastino, formadas por las pleuras, producen en
la placa de tórax unas líneas que se llaman: LÍNEAS MEDIASTÍNICAS.

Líneas mediastínicas
Estas líneas típicamente miden menos de 1 mm de grosor y se forman por la interfase
entre el aire del pulmón y el borde de diferentes estructuras, bien pleura entre los dos
pulmones (lineas de reflexión pleural anterior y posterior) o bien interfase entre el
pulmón y estructuras del mediastino (tráquea, esófago, etc…). Este aire delimita tejido
sólido que es lo que da la sombra que forma la línea.


   1. Línea de unión anterior: es la interfase que se produce por la unión de ambos
      pulmones por detrás del esternón.




                                      Esta línea se forma por la aposición de las
                                      pleuras visceral y parietal en las regiones
                                      anteromediales de los pulmones a lo que se
                                      añade una pequeña proporción de grasa. En
                                      la placa de tórax aparece como una línea
                                      oblícua que cruza los dos tercios superiores
                                      del esternón desde la región superior derecha
                                      hacia la región inferior izquierda. Una
                                      pequeña cantidad de grasa se encuentra
                                      normalmente dentro de la línea. Puede no
                                      verse (realmente se ve en el 25-57% de las
                                      Rx de tórax). Una alteración de la línea:
   obliteración o convexidad anormal se puede ver en casos de enfermedad
   mediastínica subyacente como masas tiroideas, linfadenopatías, neoplasias, masas
tímicas o lipomatosis. También pueden desplazar la línea la pérdida de volumen
   pulmonar o la hiperinsuflación pulmonar.




   2. Línea de unión posterior: Se ve menos frecuentemente. Es la interfase que se
      produce cuando se unen los dos pulmones por detrás del tercio superior del
      esófago.




                                        Se forma por la aposición de las pleuras
                                        visceral y parietal en la región posteromedial
                                        de los pulmones, posterior al esófago y
                                        anterior a las 3ª-5ª vértebras dorsales.

                                         Aparece como una línea recta o levemente
                                         convexa hacia la izquierda que se proyecta
                                         típicamente a través de la tráquea. Se ve más
                                         craneal que la linea de unión anterior y se ve
                                         incluso por encima de las clavículas.Puede
                                         aparecer, sin embargo con una cantidad
                                          variable de grasa en su interior. Se ve en el
32% de las placas AP de tórax. Un abombamiento anormal de la línea de unión
posterior sugiere una anomalía mediastínica como masa esofágica, linfadenopatía,
enfermedad de la aorta o tumor neurogénico. También la pérdida de volumen o la
hiperinsuflación pueden desplazar la línea.
3. Línea paratraqueal derecha: Es la interfase que se produce por contacto del
      pulmón con la pared lateral derecha de la tráquea. Su región inferior está
      condicionada por la presencia del cayado de la vena ácigos.




                                                  Cuando la pleura visceral y parietal
                                                  del lóbulo superior derecho contactan
                                                  con el borde lateal derecho de la
                                                  tráquea y con la grasa mediastínica
                                                  adyacente, el aire del pulmón
                                                  delimita estas estructuras y forma la
                                                  línea paratraqueal derecha que no
                                                  debe medir más de 4 mm de grosor.
                                                  Comienza cranealmente a nivel de las
                                                  clavículas     y      se     extiende
                                                  inferiormente      hastael     angulo
                                                  traqueobronquial derecho, lugar
                                                  donde se situa el cayado de la vena
                                                  ácigos. Esta línea es quizás la línea
mediastínica que se ve con mayor frecuencia (97% de las placas PA de tórax). Una
gran variedad de enfermedades pueden producir ensanchamiento de esta línea como las
adenopatías paratraqueales, neoplasias tiroideas y paratifoideas, carcinoma traqueal o
estenosis. Las enfermedades pleurales como el derrame o en engrosamiento son de las
causas más comunes que producen ensanchamiento de la línea paratraqueal derecha.
4. Línea paratraqueal izquierda: Se forma por contacto entre el lóbulo superior
      izquierdoy la grasa mediastínica adyacente a la pared traqueal izquierda o la
      pared traqueal izquierda en si misma. El aire dentro de la tráquea ayuda a
      delimitar la línea. La línea se extiende superiormente desde el cayado aórtico
      para unirse a la reflexión de la arteria subclavia izquierda.




Esta línea se ve en el 21-31% de las Rx Pa de torax. Se ve mucho menos
frecuentemente que la línea derecha ya que queda ocult entre el pulmón izquierdo y los
troncos supraaórticos izquierdos (arteria carótida por delante y arteria subclavia por
detrás). Sus contornos anormales también se ven en casos de derrame pleural
importante, adenopatías paratraqueales izquierdas o hematomas mediastínicos).
5. Banda aorto-pulmonar: representa una reflexión mediastínica o interfase
   formada por la pleura de la región anterior del pulmón izquierdo que está en
   contacto y reflejandose tangencialmente sobre la grasa mediastínica anterolateral
   a la arteria pulmonar izquierda y arco aórtico. La banda es recta o ligeramente
   convexa cruzando lateralmente sobre el arco aórtico y la arteria pumonar
   izquierda.




                                          Esta banda puede alterarse en
                                          enfermedades del mediastino como
                                          masasa      tiroideas,    tímicas     o
                                          linfadenopatías del espacio prevascular,
                                          produciendo un aumento de su
                                          convexidad.
6. Ventana aortopulmonar: Representa un espacio mediastínico que en la placa
      PA de tórax se ve como una interfase. Esta ventana aortopulmonar se localiza
      posteriormente a la banda aortopulmonar vista en el punto nº5 y no deben
      confundirse aunque tengan nombre parecidos.




Se limita cranealmente por la pared inferior del cayado aórtico e inferiormente por la
pared superior de la arteria pulmonar izquierda. La pared posterior de la aorta
ascendente forma el límite anterior, mientras que la superficie anterior de la aorta
descendente forma el límite posterior.

El borde medial lo forma la tráquea por delante y la pared lateral del bronquio principal
y el esófago por detrás.

El pulmón se localiza lateral a la ventana aortopulmonar y se mete un poquito en ella
dando una morfología cóncava a la ventana en la proyección PA. Un contorno convexo
de la ventana aortopulmonar en la proyección AP del tórax se considera patológico. Un
contorno recto de la ventana puede considerarse normal. Lo consideraremos patológico
si en las placas previas era cóncavo.

Cuando tenemos una apariencia anormal de la ventana aortopulmonar puede deberse a
enfermedades que afectan a su contenido como son el nervio laríngeo recurrente, nervio
vago izquierdo, ligamento arterioso, grasa mediastínica, ganglios linfáticos y arterias
bronquiales izquierdas. Una convexidad anormal puede deberse a adenopatías, grasa
mediastínicas, aneurismas de arterias bronquiales o tumores de vainas nerviosas.
Cuando tenemos una paralisis diafragmática o de cuerdas vocales debemos buscar en la
ventana aortopulmonar. También pueden alterar la apariencia de la ventana
aortopulmonar las enfermedades de las estructuras que la rodean como por ejemplo los
aneurismas de aorta.




   7. Línea paraespinal derecha: Se producen por la reflexión de ambas pleuras
      sobre los bordes laterales de la columna.




                                              La línea paraespinal derecha se forma
                                              cunando el pulmón derecho y la pleura
                                              entran en contacto tangencial con los
                                              tejidos    blandos    del    mediastino
                                              posterior. A pesar de su nombre, la
                                              línea parespinal derecha no es una línea
                                              mediastínica verdadera, sino que más
                                              bien es una interfase entre el pulmón y
                                              los tejidos blandos y la grasa del
                                              mediastino posterior. No existe
                                              realmente una línea blanca que realce
el borde de la línea paraespinal derecha pero sí es percibido así por nuestro ojo. Esta
línea se nos muestra recta y típicamente se extiende desde los cuerpos vertebrales 8º al
12º. Se ve aproximadamente en el 23% de las Rx AP de Tórax.

Puede desplazarse lateralmente por osteofitos o por grasa mediastínica prominente, sin
embargo, una anomalía en su contorno o un desplazamiento de la misma, sugiere una
anomalía mediastínica posterior como un hematoma mediastínico, masa mediastínica o
hematopoyesis extramedular.




   8. Línea paraespinal izquierda: Se forma por un contacto tangencial del pulmón
      izquierdo y la pleura con la grasa mediastínica posterior, los músculos
      paraspinales y los tejidos blandos adyacentes.




Se extiende verticamente desde el arco aórtico asta el diafragma y típicamente se coloc
medial a la pared lateral de la aorta desdendente. A veces, sin embargo, puede
localizarse lateral a la aorta a lo largo del curso intratorácico más inferior de la aorta.

Al igual que la línea paraespinal derecha, la izquierda, representa una interfase entre el
pulmón y el mediastino y se asocia a un fenómeno visual que da la sensación de formar
una línea blanca. Aparece en el 41% de las Rx PA de tórax. A la izquierda
identificamos la línea paraaórtica (interfase entre la aorta y el pulmón)
También los osteofitos y la grasa mediastínica prominente puede ensanchar y desplazar
esta línea, sin embargo, también puede desplazarse por la tortuosidad de la aorta
descendente o por anomalías del mediastino posterior como hematoma y masas
mediastínicas, hematopoyesis extramedular o varices esofágicas.




   9. Línea paratraqueal posterior: Se delimita por el contacto entre el pulmón y la
      pared posterior de la tráquea.




Es una banda vertical que se ven en la placa lateral de tórax y que se forma por el aire
de dentro de la tráquea y el pulmón derecho que delimita la pared traqueal posterior y
los tejidos blandos que quedan en medio de estas dos estructuras aéreas.

La línea paratraqueal posterior puede llegar a medir hasta 2,5 mm de forma habitual. A
veces cuando contacta la tráquea con el esófago, se unen la pared traqueal, la del
esófago y la grasa mediastínica que hay en medio y forman una línea paratraqueal
posterior más gruesa que puede llegar a medir hasta 5,5 mm de grosor.
La linea traqueal posterior forma el borde anterior del espacio retrotraqueal llamado
triángulo retrotraqueal o de Raider) y sus bordes son la columna posteriormente, el arco
aórtico inferiormente y el opérculo torácico en la región superior.

La linea paratraqueal posterior estará alterada (engrosada) cuando tengamos lesiones
vasculares adquiridas, lesiones esofágicas, malformaciones linfáticas, mediastinitis y
hematomas postraumáticos.




   10. Receso acigoesofágico: Aunque no se considera una línea mediastínica
       propiamente dicha, el receso acigoesofágico es una importante interfase causada
       por diferencias en la densidad entre el mediastino y la porción posteromedial del
       lóbulo inferior derecho.
El receso acigoesofágico representa un
                                                espacio que se situa lateral o posterior
                                                al esófago y anterior a la columna y se
                                                extiende desde el nivel del cayado de la
                                                ácigos hasta el hiato aórtico
                                                inferiormente.

                                                La banda infraácigos pleuroesofágica
                                                delimita este receso y se forma cuando
                                                el esófago y la pleura adyacente
                                                contactan con el lóbulo inferior del
                                                pulmón derecho.

                                                En la parte superior el receso se
                                                continua con el espacio subcarinal y
puede demostrar una ligera convexidad hacia la izquierda. El tercio medio es
ligeramente convexo hacia la derecha y el inferior aparece como una línea recta de
forma típica. La convexidad superior hacia la derecha se puede ver en niños y personas
jóvenes, pero cuando el receso sea convexo hacia la derecha en la región superior
(infracarinal) en un adulto hay que pensar en anomalías (linfadenopatías, hernias de
hiato, malformaciones broncopulmonares y del tubo digestivo, neoplasias esofágicas,
anomalías pleurales y cardiomegalia con agrandamiento de la aurícula izquierda.

El contacto del pulmón derecho con el esófago en el tercio inferior del tórax, por tanto,
delimita una línea llamada infraacigospleuroesofágica o (para los amigos) línea
paraesofágica.




   11. Lineas paravenosas: En proyección posteroanterior las estructuras vasculares
       forman una serie de líneas visibles en el mediastino superior. En el lado derecho
la cava superior y los troncos supraaórticos delimitan claramente la silueta
       mediastínica. En el lado izquierdo, la subclavia presenta una línea cóncava
       hacia fuera, por encima del botón aórtico.

   12. Línea paraaórtica: Es la interfase del pulmón con la pared de la aorta
       descendente. Digamos que es el contorno de la aorta.

   13. Bronquio intermediario: La pared posterior del bronquio intermediario aparece
       como una banda en la radiografía lateral del tórax. Después de la salida del
       bronquio del lóbulo superior el bronquio intermedio continua descendiendo
       aproximadamente 3-4 cm. La banda que repreenta la pared posterior del
       bronquio se horma cuando el pulmón del receso pleuroacigoesofágico delimita
       su pared posterior.




Esta banda está presenta en aproximadamente 90-95% de las radiografías laterales de
tórax y aparece como una línea fina, vertical, y ligeramente oblicua que se proyecta
típicamente a través de la licencia del bronquio del lóbulo superior izquierdo.

Normalmente la pared posterior del bronquio intermedio mide entre 0,5 y 3 mm. El
engrosamiento anormal puede tener una morfología lobulada o de banda. La causa más
común de engrosamiento de las paredes del bronquio intermedio es el edema pulmonar
por fallo cardiaco congestivo. Otras causas incluyen neoplasias como el carcinoma
pulmonar primario, adenopatías por linfoma, tuberculosis o sarcoidosis.
En los siguientes esquemas tenéis resumidas prácticamente todas las líneas:
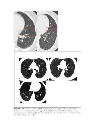
C) PLEURA Y CISURAS. CISURAS ACCESORIAS.
El espacio pleural está comprendido entre la pleura visceral que reviste a los pulmones
y la pleura parietal que cubre por dentro la cavidad torácica, el mediastino y el
diafragma para unirse en la región hiliar. Es como una bolsa que rodea el pulmón y la
apertura estaría en el hilio. Rodea, por tanto todo el pulmón, excepto los hilios.




El grosor total de las pleuras parietal y visceral sobre la convexidad pulmonar y sobre
las superficies diafragmática y mediastínica es normalmente insuficiente para permitir
que sean visibles radiográficamente, sin embargo, debido a la presencia del pulmón que
contiene aire a ambos lados de la pleura visceral en las regiones interlobares, las capas
contiguas de pleural visceral sí son visibles cuando un haz de rayos X incide
tangencialmente sobre sus superficies.

Anatomía pleural
La pleura es una membrana serosa que envuelve el pulmón y delinea la superficie
costal, diafragma y mediastino. Se compone, como ya hemos dicho de dos
componentes: la pleura visceral y la pleura parietal que se unen en el hilio. La pleura
parietal se continua con la pared torácica y el diafragma y además se extiende
profundamente en la parte posterior dentro del seno costofrénico, mientras que la pleura
visceral se adhiere a la superficie del pulmón. El espacio pleural es un espacio potencial
entre las dos hojas pleurales y normalmente contiene una pequeña cantidad de líquido
que reduce la fricción durante la respiración.

La pleura costal, diafragmática y mediastínica normal no es visible en las Rx simples de
tórax ni en TC. En TC de alta resolución una banda de 1-2 mm puede verse delineando
los espacios intercostales entre las costillas adyacentes. Esta “banda intercostal”
representa la combinación de las dos hojas pleurales, la fascia endotorácica y la porción
más interna del músculo intercostal. Esto lo podemos ver en el siguiente esquema.




Por dentro de las costillas la pleura normal no se ve y parece que la superficie interna de
la costilla contacta con el pulmón. La presencia de densidad de tejidos blandos entre la
porción más interna de la costilla y el pulmón, mejor apreciada en el TC de alta
resolución, indica engrosamiento pleural. La porción más interna del músculo
intercostal está anatómicamente ausente en la región paravertebral y si vemos una fina
línea visible entre el pulmón y la grasa paravertebral o las costillas, ello rereseta una
combinación de las dos pleuras y la fascia endotorácica.
Cisuras normales
Las cisuras forman las superficies de contacto entre los lóbulos pulmonares. Aunque
podrían extenderse hasta el hilio –dando como resultado una separación lobar completa-
, normalmente son incompletas.

Una cisura es una invaginacion de profundidad variable, completa o incompleta, de
pleura visceral, cuyas dos hojas están separadas por un espacio virtual en el interior del
pulmón. Así el pulmón derecho queda dividido en tres lóbulos (el superior y el medio
separados por la cisura menor u horizontal y ambos separados del inferior por la cisura
mayor u oblícua) y el pulmón derecho se divide en dos lóbulos (el superior y el inferior,
separados por la cisura mayor).

El que las cisuras interlobares sean incompletas es un hecho importante pues eso
conlleva a que exista un “puente” parenquimatoso entre los diferentes lóbulos que deja
pasar el aire de un lóbulo a otro y también deja que se expanda la enfermedad de un
lóbulo a otro.

Cisuras mayores:
Las cisuras mayores que separan los lóbulos superiores (y en el lado derecho el lóbulo
medio) de los lóbulos inferiores, comienzan en o sobre el nivel de la quinta vértebra
dorsal y se extienden oblicuamente hacia abajo y hacia delante, discurriendo de una
forma más o menos paralela a la sexta costilla y terminando en el diafragma, unos pocos
centímetros de la pared pleural anterior.

La cisura mayor no se ve en la proyección PA y se identifica en la lateral. Cuando se
ven las dos cisuras mayores en la proyección lateral, la diferenciación entre ambas
depende de que se vea la unión de la cisura menor con la mayor en el lado derecho o
bien que sea visible la unión de alguna de ellas con el diafragma homolateral.

A menudo existe una opacidad triangular en el extremo inferior y anterior de las cisuras
mayores, causada por la presencia de tejido adiposo, de base diafragmática, y cuyo
vértice se estrecha en sentido craneal hacia la cisura.




En la TC aparecen como bandas avasculares entre ambos lóbulos mientras que en los
cortes de alta resolución se reconocen como líneas blancas finas.
Cisura menor:

La cisura menor u horizontal separa el segmento anterior del lóbulo superior derecho
del lóbulo medio y es aproximadamente horizontal a la altura de la cuarta costilla en su
parte anterior. Se ve en las dos proyecciones en más de la mitad de los sujetos normales.
Su tamaño y posición son muy variables. La cisura menor incompleta es la forma más
frecuente de cisura menor incompleta. La cisura menor origina en los cortes axiales de
TC la llamada “ventana mediopulmonar derecha” o “hiperlucencia pulmonar derecha”
y se atribuye a la posición de las arterias, presentando la región lateral al bronquio
intermediario menor proporción de vasos grandes por lo que se ve como un área radio
transparente por su menor vascularización en sólo uno o dos cortes a nivel del bronquio
intermediario. La mayoría de las veces es de forma triangular con el vértice hacia el
hilio pero a veces es redondeada u oval (probablemente debido a la morfología
cuculiforme de la cisura).

Anatómicamente la cisura menor llega al mediastino en raras ocasiones, pero es
frecuente ver como llega la cisura al borde lateral de la arteria pulmonar interlobar.
Tenemos que tener en cuenta un dato importante: Una línea de cisura o una interfase
que se proyecte más medial que este punto corresponde casi invariablemente a una
cisura menor desplazada hacia abajao y conlleva una eficencia cierta de perdida de
volumen del lóbulo inferior derecho.
Ligamento pulmonar:

                                         El ligamento pulmonar consiste en una doble
                                         capa pleural que nace caudalmente del hilio
                                         pulmonar y fija la cara medial del lógulo
                                         inferior al mediastino y al diafragma. Se
                                         forma por la prelura mediastínica (parietal) al
                                         reflejarse en el bronquio principal, en la
                                         arteria y vena pulmonar y cubrir la superficie
                                         del pulmón como pleura visceral.

                                          Los ligamentos pulmonares no se ven en la
                                          Rx de tórax convencional PA o lateral, pero si
                                          se identifican en la TC. La apariencia es
                                          variable pero normalmente consiste en un
                                          pequeño pico o pirámide en la superficie
mediastínica y una estrecha opacidad lineal triangular que se que se extiende oblícua y
posteriormente desde hilio a la cúpula diafragmática.




Es más evidente en cortes obtenidos a nivel o inmediatamente por encima del
diafragma. En el lado derecho se sitúa entre la cava (anteriormente) y la vena ácigos
(posteriormente). En el lado izquierdo está en íntima relación con el esófago y se rodea
posteriormente por la aorta descendente.

Cisuras accesorias:
Cualquier porción del pulmón puede estar parcial o totalmente separada de porciones
adyacentes por una cisura pleural accesoria. La mayoría son de interés radiológico
meramente académico. Cuando están bien desarrolladas, sin embargo, su
reconocimiento es importante por tres razones:

   1. el parénquima pulmonar que limita puede ser el único sitio de asiento de
      enfermedad, cuya extensión está limitada por la cisura.

   2. Una cisura en una localización específica (ej. Entre los segmentos superior y
      basal del lóbulo inferior derecho) puede ser confundida con otra (cisura menor
      desplazada).

   3. Son componentes importantes de las atelectasias discordes.

La parte del pulmón separada por una cisura accesoria se llama lóbulo accesorio.



Vamos a estudiar 4 cisuras accesorias:

   a) Cisura de la ácigos. Se crea por la invaginación de la vena ácigos hacia la
      porción apical del lóbulo superior derecho. Carece de significación patológica.
      Está formada por cuatro capas pleurales: dos viscerales y dos parietales, ya que
      la v. Ácigos es extrapleural y al invaginarse arrastra las dos pleuras que al
      aponerse se unen y forman las cuatro capas.




       Se identifica como una fina línea convexa hacia fuera con la sombra de la vena
ácigos en su parte más inferior, situándose entre el mediastino superior y el vértice
pulmonar derecho. La importancia de esta anomalía radiologicamente radica en el fallo
de la superfice pleural apical cuando hay neumotórax. La existencia de un lóbulo de la
ácigos en contacto con la cara posterior de la tráquea hace que las medidas de
engrosamiento de la banda traqueal posterior no tengan valor en los pacientes con esta
variante anatómica.




   b) Cisura inferior accesoria. Es de profundidad variable y separa el segmento
      medial basal del resto del lóbulo inferior. Cuando es completa la parte de
      pulmón delimitada se llama lóbulo accesorio inferior o retrocardiaco. En las
      radiografías PA se identifica como una fina línea blanca en las proximidades del
      ángulo cardiofrénico, nace en la zona más medial del hemidiafragma
      correspondiente y se dirige oblicuamente hacia el hilio. La mayoría de las veces
      esta cisura es incompleta.




   c) Cisura superior accesoria. Separa el segmento superior del segmento basal del
      lóbulo inferior. Generalmente es horizontal y puede confundirse con la cisura
      menor en la Rx. PA o bien verse dos cisuras menores. En la proyección lateral se
      visualiza la cisra horizontal en la región posterior.

   d) Cisura menor izquierda. Esta cisura separa la língula del resto del lóbulo
      superior. El resto de los segmentos del lóbulo superior están preservados.
      Presenta una forma de cúpula convexa hacia arriba y normalmente es más
      cefálica que su homóloga del lado derecho.
Os adjunto un esquema en el que tenéis las cisuras más importantes representadas.
D) ANATOMÍA DE LA PARED TORÁCICA
La pared torácica consta de tejidos blandos y huesos.

Los tejidos blandos de la pared torácica consisten en piel, grasa subcutánea y
músculos. Los bordes laterales del músculo esternocleidomastoideo son fácilmente
visibles en todos los pacientes. La visualización de grasa normal en la fosa
supraclavicular y las sombras acompañantes de la piel y la grasa subcutánea
discurriendo paralelas a las clavículas ayuda a excluir la existencia de una masa,
adenopatías o edema en esta región. El borde inferolateral del músculo pectoral mayor
generalmente se ve curvándose hacia las axilas. Las sombras mamarias deben
visualizarse y evaluarse de rutina para excluir la existencia de mastectomía o una masa.
Los tejidos blandos laterales al torax óseo deben ser suaves, simétricos y de densidad
homogénea.

Los huesos del tórax. La columna torácia, las costillas y los cartílagos costales, las
clavículas y la escápula se ven de rutina en la placa de tórax. Los cuerpos de la columna
se alinean verticalmente visualizándose los platillos vertebrales, los pedículos y los
procesos o apófisis espinosas. Se pueden ver doce pares de costillas simétricas. Las
costillas primera y segunda muestran una “sombra acompañante” que representa la
grasa extrapleural. Los cartílagos costales calcificados se ven en la mayoría de los
adultos y aumenta su prevalencia con la edad, dando a veces múltiples sombras sobre el
tórax. Los hombres suelen mostral calcificación de los cartílagos costales en los
             márgenes superiores e                                  inferiores,     mientras
              que     las      mujeres                              muestran             una
                        calcificación                                          cartilaginosa
central.




                        Sombras acompañantes de las costillas en la placa de torax
                        (flechas).
Reconstrucción sagital de una TC de tórax que muestra la porción posterolateral de la
segunda costilla (2) localizada en la zona superoposterior del los tejidos blandos que
protruyen en el 2º espacio intercostal (flecha) que produce la sombra acompañante
debajo de la segunda costilla. 1= primera costilla; 2= segunda costilla; 3= tercera
costilla y 4= cuarta costilla.




La Tomografía computerizada (TC) muestra una información detallada de la pared
normal y las axilas. El conocimiento detallado de la anatomia axial del torax es clave
para localizar y caracterizar las enfermedades con precisión. Seguidamente se muestra
la anatomía axial del tórax en los niveles más representativos identificando las
diferentes estructuras.
6. ANATOMÍA LOBAR Y SEGMENTARIA DEL TÓRAX
Tamaño del pulmón

El tamaño de los pulmones se aprecia en la radiografía especialmente por la posición
del diafragma y mediastino y por la conformación de la caja torácica. Varía
ampliamente con la contextura y talla del individuo. En posición de pies y en
inspiración profunda, el vértice de la cúpula diafragmática derecha coincide con el
extremo anterior de la 5a a 6a costilla. Al lado izquierdo la base pulmonar está, en
general, hasta 2,5 cm más bajo. En decúbito el tórax se acorta considerablemente, el
corazón se dispone más horizontalmente y el mediastino se ensancha. Lo mismo sucede,
en menor grado, en la espiración. En alteraciones unilaterales el mediastino suele
desplazarse hacia el pulmón de menor tamaño al tiempo que los espacios intercostales
de ese lado se ven más estrechos.


Proyección de los lóbulos pulmonares

En esta figura se esquematiza la proyección de los lóbulos pulmonares en la radiografía
frontal y lateral. La figura también ilustra la utilidad de la placa lateral para la
diferenciación de los lóbulos.




Se puede apreciar la importante superposición que existe en la proyección frontal, que
se debe a la oblicuidad de la cisura mayor y a la situación anterior del lóbulo medio.
Esta disposición debe tenerse presente para no atribuir al lóbulo superior toda lesión de
la mitad superior de la radiografía y al lóbulo inferior, las de la mitad inferior.

Cisura mayor: línea negra.
Cisura menor: línea roja.

Azul: lóbulo superior derecho y Lóbulo superior izquierdo. El izquierdo es mayor pues
también consta de la ínsula.
Verde: lóbulo inferior. De similar tamaño en ambos pulmones
Rosa: Lóbulo medio. El lóbulo medio no existe en el lado izquierdo. En la lateral todo
lo anterior a la cisura mayor sería el lóbulo superior. oK?




   Recordad: hay 10 segmentos en cada pulmón (10 es la nota que tenéis que sacar en
   el examen de radiología). 5 segmentos están por encima de la cisura mayor –
   repartidos entre el lóbulo superior y el lóbulo medio o língula- y 5 por debajo de la
   cisura mayor -En el lóbulo inferior-.

   Lóbulo superior: Segmentos 1 (anterior), 2 (apical), 3 (posterior)
Lóbulo medio/ língula: Segmentos 4 (medial), 5 (lateral) (como el lóbulo medio o
la língula son más pequeños tienen un segmento menos que el superior). Ya sabéis
que el medio se separa del superior por la cisura menor y que la língula forma parte
del lóbulo superior izquierdo pero que equivale al lóbulo medio)

Lóbulo inferior :        REGLA      NEMOTÉNICA         :   SU-ME-AN-LA-PO         ó
SUMEANLAPO ó

SU (superior) 6

ME (medial) 7

AN (anterior) 8

LA (lateral) 9

PO (posterior) 10
6. ANATOMÍA LOBAR Y SEGMENTARIA DEL TÓRAX
Los segmentos pulmonares
Cada pulmón está dividido en lóbulos y cada lóbulo en segmentos. Cada segmento
recibe su propio bronquio, que se denomina bronquio segmentario. Aprenderemos al
mismo tiempo la anatomía del árbol traqueobronquial y la de los segmentos, puesto que
están íntimamente relacionados.

La tráquea se bifurca en la carina en los bronquios principales derecho e izquierdo. El
derecho se subdivide a su vez en tres (bronquios lobulares) puesto que tenemos tres
lóbulos pulmonares derechos: superior, medio e inferior. El izquierdo se divide en dos
bronquios lobulares: superior e inferior.




                               Apical


                Posterior

                               3 1
                       2
            Anterior


                       4
           Lateral         5



                     Medial




El bronquio del lóbulo inferior derecho es la prolongación directa del bronquio
intermediario después de la salida del bronquio del lóbulo medio.
Apical


              Posterior

                          3 1
                   2
          Anterior
                SUPERIOR
                   Bronquio del
                      6
                   Lóbulo Medio


                  4
        Lateral
                5
      LATERAL
          9                     MEDIAL
                                  7
                  Medial

      ANTERIOR
         8
           POSTERIOR
               10




El segmento 6 se superpone a los lóbulos medio y superior.
Los cuatro bronquios segmentarios basales restantes (7, 8, 9, 10) ventilan los cuatro
segmentos basales del LID. Reciben su nombre por la localización en la base pulmonar.
Dos segmentos basales están localizados centralmente (medial (7) y anterior (8)) y dos




                                           Apical
                                              1           Posterior
                                                             3
                                Anterior
                                   2
                                                          SUPERIOR
                                                              6
                         Lateral
                           4
                                               ANTERIOR
                                                  8              POSTERIOR
                               Medial                                10
                                 5
                                                    LATERAL
                                                       8

                                               MEDIAL
                                                 7




dorsalmente (lateral (9) y posterior (10)).



Los dos segmentos basales que están en contacto con la cisura mayor son el medial (7)
y anterior (8). Los dos que están en contacto con la pared torácica posterior son el
lateral (9) y el posterior (10).

Si se conocen los segmentos del pulmón derecho, los del izquierdo son fáciles de
recordar. En el pulmón izquierdo sólo hay dos lóbulos (superior e inferior). El
homólogo del lóbulo medio se denomina língula y pertenece al lóbulo superior. El
bronquio principal izquierdo se divide en dos: el superior y el inferior o intermediario.
El superior que tiene un trayecto horizontal se divide en dos ramas: una para el lóbulo
superior y otra, más inferior, para la língula. El lóbulo superior izquierdo sólo tiene dos
lóbulos: el Apicoposterior (1 y 3)y el anterior (2). La língula se divide en dos
segmentos: el superior y el inferior. El superior (4) de la língula equivale al lateral (4)
del lóbulo medio y el inferior (5) de la língula equivale al medial (5) del lóbulo medio.

Las anatomías segmentarias del lóbulo inferior izquierdo y derecho son similares: SU-
ME-AN-LA-PO (6-7-8-9-10).

La anatomía bronquial y segmentaria como se ha presentado es en un estado “ideal”.
Existen numerosas variaciones en el origen de los bronquios y tamaño de los
segmentos, sin embargo, los patrones básicos son reconocibles generalmente.

Como ejercicio intenta “pintar” la disposición de los lóbulos y segmentos en el pulmón
izquierdo.




7. EL SIGNO DE LA SILUETA. LOCALIZACIÓN DE LAS
LESIONES.
El signo de la silueta se basa en el hecho de que cualquier opacidad pulmonar
intratorácica que esté en contacto con el borde cardiaco, de la aorta o del diafragma lo
borrará, mientras que una lesión torácica que no esté en contacto con estas estructuras
no obliterará su borde. Aplicando este signo a las lesiones alveolares se pueden
considerar dentro del tórax las siguientes posibilidades:

    1. cuando una lesión alveolar borra el borde cardiaco parcial o totalmente, su
       localización es anterior y puede afectar al lóbulo medio, a la língula o al
       segmento anterior del lóbulo superior.
2. Cuando una densidad se superpone al borde cardiaco sin borrarlo está situada
   en el lóbulo inferior.




3. Cuando el borde derecho de la aorta ascendente está obliterado o borrado la
   lesión está situada en el segmento anterior (2) del lóbulo superior derecho o en
   el lóbulo medio (5).




4. Cuando una densidad se superpone al borde derecho de la aorta ascendente sin
   obliterarlo la lesión es de localización posterior y por tanto debe estar en el
   segmento superior del lóbulo inferior derecho (6) o en el segmento posterior del
   lóbulo superior (3)
5. Cuando el borde izquierdo del arco aórtico está obliterado la lesión se localiza
   en el segmento apicoposterior del lóbulo superior izquierdo




6. Cuando la densidad se superpone al arco aórtico sin obliterarlo, la lesión es
   anterior y se sitúa en el segmento anterior del lóbulo superior o en el segmento
   superior de la língula. O por el contrario es muy posterior y se sitúa cerca de la
   unión costovertebral.

7. Cuando el borde lateral de la aorta descendente está obliterado hay afectación
   de los segmentos superior y posterobasal del lóbulo inferior izquierdo

8. La borrosidad del diafragma derecho no tiene valor absoluto ya que existe gran
   variabilidad en la morfología del diafragma y además tenemos que tener en
   cuenta que en la radiografía PA la porción del diafragma que vemos es la
   anterior. La posterior habitualmente está más baja y queda oculta, por lo que
   puede haber lesiones ocultas en la Rx. PA de tórax en esa localización. Sin
   embargo el diafragma izquierdo es visible parcialmente a través de la silueta
   cardiaca y se borra ocasionalmente por lesiones en el lóbulo inferior izquierdo.
   Cuando la obliteración del diafragma tiene lugar por fuera de la silueta cardiaca,
   casi siempre hay afectación del lóbulo inferior.

9. En la proyección lateral, las alteraciones del lóbulo inferior derecho producen un
   borramiento parcial o completo del diafragma que habitualmente es visible en su
   totalidad. El diafragma izquierdo generalmente solo es visible en sus dos tercios
posteriores y se oblitera cuando existe enfermedad en el lóbulo inferior
       izquierdo.



Descargado de www.casimedicos.com



Si quieres hacernos algún comentario. Sólo tienes que enviarnos un mensaje por
correo electrónico a apuntes@casimedicos.com, o contactarnos en el foro de
http://www.casimedicos.com , nuestro punto de encuentro



RECUERDA: Los contenidos que encuentras en esta web han sido elaborados por
compañeros de otros años que generosamente los han cedido para que puedas
utilizarlos.



Asi aqui tienes los apuntes de los últimos cursos escaneados o pasados a ordenador,
asi como algunas de las presentaciones de los profesores.



Con una pequeña aportación puedes ayudar a otras personas. Lo importante es ir
renovando material, gracias a la colaboración de tod@s vosotr@s. Mándanos
apuntes de cualquier curso de medicina de otros años o los que acabes de hacer.
También queremos que nos mandéis sugerencias, cosas que cambiaríais, cosas que
mejoraríais, errores en la web, etc...



¡Anímate y participa!

gracias, El equipo de ApuntesdeMedicina.net

Radiologa Torcica

  • 1.
    1er TALLER DERADIOLOGÍA TORÁCICA. APRENDE A LEER PLACAS DE TÓRAX COMO UN PROFESIONAL Día 18 de Febrero: 1. Presentación 2. Visita al Servicio de Radiodiagnóstico para ver cómo se hace una placa de tórax. 3. Fundamentos físicos de la imagen. Cómo se forman los rayos X. 4. Sistemática de lectura de la placa simple de tórax. 5. Anatomía radiológica del tórax. i. Anatomía hiliar. ii. Líneas mediastínicas. iii. Silueta cardiaca. iv. Pleura y cisuras. 6. Anatomía lobar y segmentaria del tórax. 7. Semiología torácica: v. Signo de la silueta. Localización de las lesiones 3. FUNDAMENTOS FÍSICOS DE LA IMAGEN. .................................................................................. 2 Los Rayos X: Bases de formación de la Imagen ................................................................................. 2 4. SISTEMÁTICA DE LECTURA DE LA PLACA DE TÓRAX ......................................................... 10 Características de la placa ............................................................................................................... 12 La radiografía de tórax normal: lectura como los profesionales ..................................................... 17 5. ANATOMÍA RADIOLÓGICA DEL TÓRAX .................................................................................. 25 A) ANATOMIA HILIAR .................................................................................................................... 25 Proyección PA .................................................................................................................................. 25 Proyección Lateral ........................................................................................................................... 28 B) ANATOMÍA MEDIASTÍNICA. ..................................................................................................... 30 Líneas mediastínicas ......................................................................................................................... 37 C) PLEURA Y CISURAS. CISURAS ACCESORIAS. ........................................................................ 50 Anatomía pleural .............................................................................................................................. 50 Cisuras normales .............................................................................................................................. 52 Cisuras accesorias: ........................................................................................................................... 57 D) ANATOMÍA DE LA PARED TORÁCICA .................................................................................... 60 6. ANATOMÍA LOBAR Y SEGMENTARIA DEL TÓRAX................................................................ 66 Los segmentos pulmonares ............................................................................................................... 66 7. EL SIGNO DE LA SILUETA. LOCALIZACIÓN DE LAS LESIONES. .......................................... 69 8. SEMIOLOGÍA TORÁCICA ...................................................... ¡ERROR! MARCADOR NO DEFINIDO. BRONCOGRAMA AÉREO ................................................................ ¡Error! Marcador no definido. ATELECTASIA................................................................................... ¡Error! Marcador no definido. NEUMOTÓRAX ................................................................................. ¡Error! Marcador no definido. DERRAME PLEURAL ....................................................................... ¡Error! Marcador no definido. 9. LESIÓN PLEURAL Y EXTRAPLEURAL ................................ ¡ERROR! MARCADOR NO DEFINIDO. 10. ENFERMEDAD CARDIOVASCULAR .................................. ¡ERROR! MARCADOR NO DEFINIDO. 11. EL MEDIASTINO .................................................................... ¡ERROR! MARCADOR NO DEFINIDO.
  • 2.
    3. FUNDAMENTOS FÍSICOSDE LA IMAGEN. Los Rayos X: Bases de formación de la Imagen La radiografía de tórax se basa en la utilización un aparato disparador de Rayos X. De ahí que estimo conveniente hacer un repaso a las bases físicas que permiten producir y usar los rayos X en la generación de imágenes con utilidad en el diagnóstico médico. Origen: Los Rayos X fueron descubiertos por W. K Roentgen en 1.895, y a los pocos meses ya se usaban con fines de diagnóstico médico. Los Rayos X forman parte del espectro de radiaciones electromagnéticas, al igual que las ondas eléctricas y las de radio,(éstos en un extremo), y los rayos infrarrojos, los visibles, y los ultravioleta (en la zona media), situándose, junto a los rayos cósmicos, al otro extremo del espectro.
  • 5.
    Esto es untubo de rayos X por fuera: Los Rayos X se originan cuando los electrones inciden con muy alta velocidad sobre la materia y son frenados repentinamente. Se produce así la radiación X, de muy distintas longitudes de onda ("espectro continuo"), debido a la diferente velocidad de los electrones al chocar. Si la energía del bombardeo de electrones es mayor todavía, se producirá otro tipo de radiación, cuyas características dependerán del material del blanco ("radiación característica").
 La diferente longitud de onda de la radiación determina la calidad o dureza de los rayos X: cuanto menor es la longitud de onda, la radiación se dice más dura, que tiene mayor poder de penetración. A lo contrario se denomina "radiación blanda". Propiedades de los rayos X: Poder de penetración: los rayos X tienen la capacidad de penetrar en la materia. Efecto luminiscente: los rayos X tienen la capacidad de que al incidir sobre ciertas sustancias y éstas emiten luz. Efecto fotográfico: los rayos X tienen la capacidad de producir el ennegrecimiento de las emulsiones fotográficas, una vez reveladas y fijadas éstas. Esta es la base de la imagen radiológica Efecto ionizante: los rayos X tienen la capacidad de ionizar los gases (Ionización: acción de eliminar o añadir electrones). Efecto biológico: son los efectos más importantes para el hombre, y se estudian desde el aspecto beneficioso para el ser humano en la Radioterapia, y desde el negativo, intentando conocer sus efectos perjudiciales, en la Protección Radiológica.
  • 6.
    Formación de laimagen: Para producir rayos X primeramente se necesita una fuente de electrones que choque contra una diana con suficiente energía: el tubo de rayos X. El tubo de rayos X es básicamente un vidrio (una ampolla de cristal en el que se ha hecho el vacío) conteniendo en su interior un electrodo negativo llamado cátodo, y uno positivo llamado ánodo. En el cátodo hay un filamento (generalmente un alambre de tungsteno o wolframio) que emite electrones cuando se calienta hasta la incandescencia. La cantidad de electrones está en relación directa con la temperatura que alcanza, por lo cual este calentamiento del filamento controla la cantidad de radiación. Estos electrones producidos en el cátodo son enfocados para chocar contra una zona del ánodo que se llama blanco, mancha focal o foco. Cuando se aplica un alto voltaje entre el cátodo y el ánodo, los electrones son acelerados por la diferencia de potencial entre ellos y al chocar contra el blanco se producen los rayos X. El impacto de los electrones produce fundamentalmente calor y una pequeña parte producen rayos X. El calor debe ser disipado por lo que todos los tubos de rayos X tienen un sistema de refrigeración. De esta zona surge el haz de rayos X (radiación incidente), que se dirige al objeto en estudio (el cuerpo humano en nuestro caso). Esto es un tubo de Rx por dentro:
  • 7.
    Vamos a tenerdos parámetros que nos hablarán de las características de la radiación: 1. Cantidad de radiación: es proporcional a la intensidad de la corriente catódica. (se expresa en mA), al número de electrones que interaccionan con el ánodo, al número atómico del ánodo y al cuadrado del kilovoltaje. 2. Calidad de radiación: Es la dureza o poder de penetración de la radiación. La calidad del haz de rayos X viene dada por la energía de los fotones que lo forman y depende de la aceleración de los electrones catódicos. Esta aceleración depende del voltaje aplicado al tubo (que se expresa en Kv) En resumen: A mayor kilovoltaje: - Electrones más rápidos - Mayor energía de los rayos X - Menor longitud de onda - Mayor poder de penetración - Rayos X más duros A menor kilovoltaje: - Electrones más lentos - Menor energía de los rayos X - Mayor longitud de onda - Menor poder de penetración - Rayos X más blandos La imagen radiológica se obtiene la someter la región anatómica que se va a explorar a un haz de rayos X que, por sus propiedades, se absorberá en mayor o menor medida según su número atómico, la densidad y el espesor de las estructuras observadas. De la radiación homogénea que ha incidido sobre el paciente, parte de ella se absorbe, parte se dispersa y parte atraviesa las estructuras orgánicas. De esta manera, del sujeto sale un haz de rayos X , ahora heterogéneo, que representará cada una de las estructuras que haya atravesado. Esta cantidad de rayos que atraviesa al objeto se puede visualizar como imagen permanente en una placa radiográfica, o bien como imagen transitoria en una pantalla fluoroscópica. Así registraremos la imagen. Es necesario que la imagen que se ha generado sea de la máxima información, para lo cual hay que procurar que sea lo más nítida y exacta posible y que posea un máximo de contraste con la densidad adecuada.
  • 8.
    Densidades en radiodiagnóstico Hablaremosde densidad y contraste 1. La densidad deriva de la dosis de exposición (mAs) que es el producto de la intensidad de la radiación por el tiempo que actúa (mA x s). A mayor dosis (mayor miliamperaje x segundo) se produce mayor absorción y por tanto mayor “densidad”. Sobre una película sin nada delante, a mayor dosis, mayor ennegrecimiento. Si ponemos delante un individuo tendremos reflejado en la película la cantidad de radiación que deja pasar, lo que nos dibujará una silueta y las diferentes estructuras del organismo. En nuestro cuerpo tenemos huesos, grasa, agua….es decir diferentes elementos y composiciones que tienen diferentes densidades y cuando la radiación incide sobre ellos la van a absorber de forma diferente y por tanto la van a dejar pasar de forma diferente. En la placa incide la radiación que atraviesa el cuerpo. El hueso absorbe más rayos que los músculos, estos más que la grasa y la grasa más que el aire. A mayor absorción, menor es la dosis de radiación que alcanza la película y por tanto menor será su ennegrecimiento. Así el hueso absorbe mucha radiación, deja pasar poca y se ve blanco en una placa; el aire absorbe poca, deja pasar mucha radiación y se ve negro. Si se aumenta el miliamperaje por segundo (es decir la dosis de radiación) el pulmón será más negro y el hueso un poco más oscuro, menos blanco. Las cinco densidades radiológicas básicas apreciables en una radiografía son, en orden creciente de capacidad de absorción o densidad: - densidad aire: producida por los gases. Aparece en la película como negro - densidad grasa: se produce por el tejido adiposo. En la placa se ve como moderadamente radiotransparente. - densidad agua: proporcionada por tejidos blandos, los músculos, la sangre, la bilis, vísceras, cartílagos y se visualiza como una densidad intermedia. - densidad hueso: originada por los huesos, los dientes y las sales cálcicas (cálculos o litiasis). Radiologicamente se aprecia como moderadamente radiopaca. - densidad metal: causada por los contrastes artificiales positivos como el bario, el Yodo, las prótesis. Se observa muy radiopaca, muy blanca en la película. Todo lo que se ve en las imágenes radiográficas son interfases entre las estructuras de diferentes densidades. 2. El contraste depende fundamentalmente de la tensión o kilovoltaje y determina la calidad de radiación. Si el kilovoltaje es bajo, es decir, si la tensión es baja
  • 9.
    produciremos radiación debaja penetración, llamada radiación blanda. Una tensión elevada produce radiación de alta penetración. La Radiografía simple La radiografía simple es la técnica inicial de imagen por excelencia, llegando a ser el primer examen diagnóstico que se realiza después de la historia clínica de la mayoría de pacientes. Sus indicaciones son múltiples, y no es misión de estas páginas enumerarlas todas: la Rx de tórax ante cualquier síntoma cardiorrespiratorio, la Rx simple de cualquier parte del cuerpo accidentada, la placa simple de abdomen ante molestias del aparato digestivo, la radiografía simple de cráneo en traumatismos craneoencefálicos (niños), hipertensión intracraneal, y ciertos tipos de tumores, etc. 
 Así es cómo se hace la Rx de tórax. ¿recordáis?. El rayo incide por la espalda del paciente, por eso decimos posteroanterior (RX PA). Cuando el individuo está tumbado el rayo incide por delante (Rx AP o anteroposterior). En la lateral el individuo se pone de lado y con los brazos hacia arriba. El rayo incide debajo de la axila. La luz que vemos en la espalda del paciente es el campo que vamos a irradiar y la cruz que se dibuja en la espalda es el centraje. Podemos radiografiar lo que queramos. Sólo tenemos que centrar en la parte deseada y poner la técnica (dosis de radiación) adecuada.
  • 10.
    4. SISTEMÁTICA DELECTURA DE LA PLACA DE TÓRAX Partiendo de la base que sólo el examen radiográfico de buena calidad puede entregar una información completa y fidedigna, lo primero que el clínico debe hacer es verificar que ha recibido un examen técnicamente adecuado. Esta es una radiografía frontal o póstero-anterior (PA) de buena calidad, de un sujeto normal en posición de pies. Para que una radiografía de tórax se considere adecuada debe reunir las siguientes características: a) La placa debe incluir la totalidad del tórax, desde los vértices pulmonares hasta el fondo de los recesos costodiafragmáticos (CD) tanto en proyección frontal como lateral. Las escápulas (E) deben estar desplazadas fuera de los campos pulmonares. b) La radiografía frontal debe estar bien centrada, lo que se puede verificar comprobando que los extremos esternales de ambas clavículas (C) equidisten de la sombra central de las apófisis espinosas vertebrales (AE).
  • 11.
    c) La durezao penetración de los rayos debe ser tal que alcance a distinguirse detrás de la sombra cardiaca la columna vertebral tenuemente segmentada en cuerpos vertebrales (V) y discos intervertebrales (DV). Debe existir, además, una gama bien diferenciable de grises, negro y blanco. d) Salvo que se haya solicitado de otra manera, la placa se toma en inspiración profunda sostenida. El tamaño, posición y forma de las estructuras endotorácicas varía considerablemente en espiración y, si no se han detenido los movimientos respiratorios, las imágenes, especialmente de los vasos, resultan borrosas. e) Si lo permite el estado del paciente, la radiografía de tórax se toma ordinariamente en posición de pies. Esto determina una morfología y topografía características debidas a la acción cráneo-caudal de la fuerza de gravedad. Un índice de que la radiografía ha sido tomada en esta posición es la presencia de la burbuja de aire del estómago (G) en contacto con la cara inferior del hemidiafragma izquierdo.
  • 12.
    Características de laplaca El extremo de la clavícula izquierda está más cerca de la apófisis espinosa que el de la clavícula derecha. Esto indica que el tronco está rotado, con el hombro izquierdo hacia adelante ( oblicua anterior izquierda). Como se ilustra en el esquema adjunto, con este giro la apófisis espinosa se desvía hacia la izquierda de la línea media, mientras que el extremo de la clavícula izquierda se acerca a la línea media. Los hilos pulmonares, al acercarse ambos a la línea media, se confunden parcialmente con el corazón. El siguiente esquema ilustra lo que ha ocurrido con esta placa mal rotada.
  • 13.
    Esta radiografía esmuy “blanda”, o sea la intensidad y penetración de los rayos ha sido insuficiente.: la columna vertebral no se alcanza a distinguir a través de la sombra del corazón y aún menos el pulmón la trama vascular da origen a sombras lineales marcadas, que pueden simular una infiltración intersticial. las costillas dan sombras densas que no permiten ver bien el parénquima pulmonar.
  • 14.
    Esta placa esmuy “dura” debido a una excesiva intensidad de radiación: La estructura ósea de la columna se ve con toda claridad La trama vascular se contrasta escasamente. En estas condiciones una lesión pulmonar que normalmente daría origen a una sombra tenue puede pasar inadvertida. Algunas de estas limitaciones pueden superarse mirando la placa contra una luz intensa.
  • 15.
    Esta radiografía 5es del mismo sujeto de la placa 1, pero fue tomada en espiración: los pulmones se ven de un menor volumen por tener un menor contenido aéreo y los vasos, aglomerados en un área mas restringida, impresionan como una aumento de trama intersticial (flecha). El ascenso diafragmático reduce la elongación del mediastino que aparece ensanchado con aumento aparente de tamaño del corazón porque este está en una posición más horizontal.
  • 16.
    La falta deburbuja gástrica bajo el diafragma izquierdo indica que esta placa fue tomada en decúbito. Si no se repara en que la radiografía no es de pies, el aparente aumento del tamaño del corazón, secundario a su horizontalización, pueden conducir a un falso diagnóstico de insuficiencia cardiaca.
  • 17.
    La radiografía detórax normal: lectura como los profesionales Las claves de la lectura de las radiografías son: 1. entender bien la anatomía normal y 2. un patrón ordenado de búsqueda Vamos a intentar desarrollar un patrón de búsqueda. Siendo sistemático pasaremos por alto menos hallazgos importantes. Aplicando la sistemática una placa detrás de otra pareceremos profesionales. Para lograr la máxima precisión debemos tener un patrón organizado de búsqueda. Primero exploraremos las zonas de menos interés y después nos dirigiremos hacia las zonas más importantes. En la radiografía de Tórax empezaremos por la parte superior del abdomen. 1. Lo primero que vamos a valorar son los diafragmas: DIAFRAGMA: En inspiración profunda la parte más alta de la cúpula diafragmática derecha (DD) coincide aproximadamente con el extremo anterior de la 6» costilla. Debido al peso del corazón, la cúpula izquierda (DI) está 1,5 a 2,5 cm más abajo en el 90% de los sujetos normales. Usualmente las cúpulas son regularmente redondeadas, pero pueden presentar lobulaciones. A ambos lados contactan en ángulo agudo con las paredes costales formando los senos
  • 18.
    costofrénicos laterales (CF).Hacia la línea media, la cúpula derecha termina formando con el corazón el ángulo cardiofrénico, mientras que a la izquierda puede seguirse por varios centímetros dentro de la sombra cardiaca. Uno a dos cm. bajo el diafragma izquierdo se observa la burbuja de aire del estómago (G), relación que sirve para reconocer la posición de pies en la placa frontal, identificar este hemidiafragma en la radiografía lateral y para sospechar, la existencia de un derrame infrapulmonar al lado izquierdo. En esta última proyección puede apreciarse que, por tener las inserciones posteriores del diafragma una posición más caudal, los senos costofrénicos posteriores (CFP), están situados varios centímetros por debajo de los anteriores y laterales y son los primeros que se borran al iniciarse un derrame pleural.
 Ya hemos dicho previamente que en la placa lo que vemos son interfases entre estructuras más densas y estructuras menos densas. Así en la proyección posteroanterior, la parte del diafragma que vemos es la parte más anterior que es la más alta y vemos su contorno por la interfase que forma con el aire del pulmón adyacente. Si nos fijamos, podemos ver los vasos de los lóbulos inferiores a través de la densidad de los diafragmas ya que están en un plano posterior. En el lado izquierdo la parte del diafragma que vemos no es exactamente la más anterior, ya que el diafragma contacta con el corazón y como tienen igual densidad borran sus contornos (signo de la silueta), así pues, la parte del diafragma izquierdo que vemos en la proyección PA es justamente la retrocardiaca y eso nos va a servir para diagnosticar lesiones que se encuentran detras del corazón, es decir, que están localizadas en el lóbulo inferior izquierdo. 2. Después iremos a la pared torácica (partes blandas y hueso). Lo miraremos en zig-zag, siguiendo un orden ascendente por la derecha y descendiendo por la izquierda hasta haber visto todas las costillas y por supuesto los hombros, clavículas y partes blandas. Para valorar las partes blandas empezaremos por la base derecha observando sucesivamente las partes blandas (músculos, mama, etc…)de la pared torácica, las costillas y la cintura escapular. Terminamos en orden inverso, descendiendo por el lado izquierdo
  • 19.
    COSTILLAS: por sutrayecto oblicuo los arcos posteriores de las costillas se proyectan varios centímetros más arriba que sus extremos anteriores, que son los más fáciles de individualizar para contar las costillas. Sus bordes son aproximadamente paralelos, y los espacios intercostales son iguales a ambos lados del tórax. En personas de edad, los cartílagos costales suelen calcificarse, dando imágenes que pueden confundirse con lesiones patológicas del pulmón.
 CLAVICULA: es importante individualizar sus extremos internos (C) en relación a las apófisis espinosas para verificar si la placa esté bien centrada.
 ESCAPULA: al tomarse una radiografía, los brazos se ponen en posición tal que las escápulas (E) son desplazadas fuera del campo de proyección de los pulmones, pero generalmente es posible ver su borde interno proyectado sobre éstos. PARTES BLANDAS PARIETALES. Usualmente su situación externa al tórax es evidente pero, en ocasiones, los pezones y tumores superficiales pueden simular nódulos, mientras que los pliegues cutáneos pueden dar falsas imágenes lineales. Las mamas voluminosas pueden producir un velamiento tenue y una mastectomía, una falsa imagen de hipertranslucencia pulmonar.
  • 20.
    3. en tercerlugar valoraremos el mediastino. La exploración organizada del mediastino es complicada porque existen muchas estructuras superpuestas. Comenzamos con una visión global del mediastino, buscando alteraciones del contorno (es decir, ensanchamiento generalizado o global) y después continuamos con la búsqueda dirigida. Empezaremos por la tráquea, y seguimos con bronquios, hilios y silueta cardiaca. TRAQUEA: en la placa frontal se ve como una tenue columna aérea (T) que baja por la línea media, desviándose ligeramente a la derecha a nivel del cayado aórtico. En la radiografía lateral es levemente oblicua de delante a atrás.
 BRONQUIOS PRINCIPALES: en la placa frontal, un poco por debajo del nivel del botón aórtico, se separan las columnas aéreas de los bronquios derecho (BD) e izquierdo (BI), formado una carina de ángulo variable entre 50 y 100º (otros dicen entre 35 y 90º) El valor medio del
  • 21.
    ángulo de labifurcación traqueal es 70º. Aceptaremos un valor patológico por encima de 90-100º.
 En proyección lateral, estos bronquios principales se superponen y no son diferenciables, pero las ramas para los lóbulos superiores de ambos pulmones (BSD y BSI) siguen un trayecto horizontal, relativamente paralelo al haz de rayos, por lo que sus paredes son atravesadas longitudinalmente y contrastan como claridades redondeadas superpuestas al eje traqueal, siendo la más alta la correspondiente al bronquio derecho. Las ramas bronquiales lobulares y sus subdivisiones no son visibles por estar rodeadas de pulmón lleno de aire.
 MEDIASTINO: Los órganos centrales del tórax forman una silueta característica en la placa frontal, cuyo borde derecho está formado de arriba abajo sucesivamente por el tronco braquiocefálico derecho, la vena cava superior (VCS), la aurícula derecha (AD) y una pequeña parte de la vena cava inferior (VCI). El borde izquierdo empieza arriba con la arteria subclavia y sigue con la prominencia del botón aórtico (BA). En la parte media se proyecta el tronco de la arteria pulmonar (AP), parte de la aurícula izquierda y finalmente, el ventrículo izquierdo (VI), que forma un arco fuertemente prominente. En la placa lateral la sombra cardiaca descansa y se confunde con la mitad anterior del hemidiafragma izquierdo. Su borde anterior está formado por el ventrículo derecho (VD) y el posterior por la aurícula izquierda arriba, el ventrículo al medio y la vena cava inferior, abajo. El cayado aórtico (CA) puede distinguirse parcialmente como un arco anteroposterior.
 En este momento y por último valoramos la columna vertebral tanto en la proyección PA como en la Lateral. HILIOS PULMONARES. Anatómicamente son el conjunto de vasos, bronquios, nervios que desde el mediastino penetran al pulmón, más algunos ganglios linfáticos pequeños. Su principal
  • 22.
    componente radiográfico allado derecho son las ramas de la arteria pulmonar derecha, mientras que al lado izquierdo son la arteria pulmonar izquierda en sí misma y sus divisiones. En condiciones normales, los demás componentes contribuyen poco a las sombras hiliares. El hilio derecho se encuentra aproximadamente 1,5 cm más bajo que el izquierdo.
 COLUMNA VERTEBRAL: los cuerpos vertebrales se ven en forma borrosa, y las apófisis espinosas (AE), dispuestas a lo largo de la línea media, se aprecian mejor en la parte alta del tórax, perdiéndose detrás del corazón. En la proyección lateral las vértebras se ven más claramente, viéndose más blancas las superiores por la superposición de las masas musculares de la cintura escapular.
 4. Por último valoramos el pulmón. Miraremos cada pulmón por separado y al final compararemos el derecho con el izquierdo. Pulmones. La mayoría de las radiografías de tórax se solicitan para evaluar afecciones pulmonares de forma que los pulmones se evalúan en último lugar. Son tan importantes los pulmones que los evaluamos dos veces. Comenzamos por el angulo costofrénico derecho, examinando primero el pulmón derecho hacia arriba y después continuamos examinando el izquierdo hacia abajo hasta llegar al ángulo costofrénico. La segunda mirada consiste en una comparación de uno con otro. Esto debe proporcionar una segunda visión de los ángulos costofrénicos y los hilios. La radiografía lateral es muy valiosa pero a menudo se ignora. ¡ESTO NO DEBE HACERSE NUNCA!. El patrón de búsqueda es similar al de la placa AP: Abdomen-pared torácica-mediastino- pulmones. Comenzamos la búsqueda por debajo del diafragma, seguimos por la parte inferior de la columna buscando las partes blandas y los huesos de detrás y después las partes blandas y huesos de delante. Volvemos hacia la tráquea y bajamos por ella estudiando el mediastino. Finalmente, en zigzag bajamos desde los vértices pulmonares a los senos costofrénicos.
  • 23.
    PARENQUIMA PULMONAR. El aire,las paredes bronquiales, los tabiques alveolares y el intersticio normales no dan imagen radiográfica notoria. La trama que se ve en los campos pulmonares corresponde a los vasos pulmonares llenos de sangre que contrastan con el parénquima aireado. Las arterias pulmonares y el nacimiento de sus ramas principales forman parte del mediastino y de las sombras hiliares. Hacia la periferia, las arterias (A) se ven más tenues, pero es posible seguirlas hasta 1 a 2 cm de la pleura y apreciar sus divisiones, que se suceden con intervalos de 1 a 2 cm. Por efecto de la gravedad, la presión hidrostática intravascular es mayor en las bases, por lo cual los vasos en estas zonas están más distendidos y se ven un 50 - 75% más gruesos que los de la mitad superior del pulmón. En la mitad inferior de los pulmones, las arterias siguen un trayecto oblicuo cercano a la vertical, mientras que las venas siguen una dirección casi horizontal hacia la aurícula izquierda. Los bronquios intrapulmonares no se ven por constituir prácticamente una interfase aire-aire. Ocasionalmente pueden dar origen a una imagen anular cercana a los hilios cuando los rayos los atraviesan a lo largo de su eje longitudinal.
 PLEURAS. En la mayor parte de su extensión, estas membranas se encuentran en contacto con la superficie interna del tórax, formando una interfase sólido-sólido, que no da imagen radiográfica. A nivel de las cisuras pulmonares, en cambio, la pleura tiene aire por ambos lados, de manera que da origen a una fina imagen lineal en las zonas en
  • 24.
    que los rayosla atraviesan tangencialmente. La cisura menor u horizontal del lado derecho se ve frecuentemente en la radiografía frontal y casi siempre en la lateral. Las cisuras mayores u oblicuas (CO) no son apreciables en la placa frontal, pero suelen verse en la lateral como finas líneas oblicuas de atrás a adelante y de arriba a abajo. CONCEPTO CLAVE: La radiografía previa es vuestra mejor amiga. Los radiólogos siempre miramos las placas previas si están disponibles. Vosotros también debéis hacerlo. Ayudan muchísimo a detectar nuevas afecciones y a evaluar alteraciones en las enfermedades preexistentes. ¿cómo saber quién fue el último en usar la carpeta de las radiografías?: Un radiólogo: Las radiografías PA y Laterales están en orden cronológico. Un internista: Las radiografías PA están delante, en orden cronológico y las laterales están detrás desordenadas Un cirujano: todas las placas están desordenadas Un traumatólogo: faltan la mitad de las placas
  • 25.
    5. ANATOMÍA RADIOLÓGICADEL TÓRAX A) ANATOMIA HILIAR Los hilios representan la unión del pulmón con el mediastino y están formados por las venas pulmonares y ramas de las arterias pulmonares y bronquios correspondientes. Anatómicamente el hilio pulmonar es un área deprimida de la superficie mediastínica del pulmón por donde las arterias, venas, bronquios principales y vasos linfáticos entran o salen de éste. Las venas de los lóbulos inferiores no cruzan el hilio cuando se dirigen a la aurícula izquierda, por lo cual no forman parte de la sombra hiliar. Los bronquios, por contener aire, aportan poca densidad al hilio. Los ganglios linfáticos normales son demasiado pequeños para contribuir a formar el hilio radiológico. Por tanto, sólo algunas estructuras vasculares (arterias pulmonares y venas de los lóbulos superiores) son responsables de la densidad hiliar. Proyección PA En la proyección posteroanterior los hilios aparecen como estructuras de densidad agua a ambos lados de la silueta cardiovascular. El hilio derecho está formado por:
  • 26.
    1. la arteriapulmonar principal derecha (que no forma parte de la imagen hiliar ya que aún dentro del saco pericárdico se divide en una rama ascendente o tronco anterior y una rama descendente que constituye la arteria interlobar o lobular inferior derecha) 2. el bronquio principal derecho que se dividen en ramas superiores e inferiores. Radiológicamente lo vamos a ver con forma de “V” mirando hacia la derecha y, por tanto, lo podemos dividir en una región superior y otra inferior. La región superior del hilio pulmonar derecho está formada por la vena pulmonar superior derecha, el bronquio del lóbulo superior y la arteria del lóbulo superior derecho (más conocida como tronco anterior): Vena del lóbulo superior: tiene un trayecto vertical anterolateral al tronco anterior. Forma la mayor parte del perfil de la mitad superior del hilio. Forma el margen lateral de la porción superior del hilio derecho. El tronco anterior se sitúa medial respecto a las venas del lóbulo superior y no contribuye a la sombra hiliar. La región inferior del hilio derecho está formada por la arteria pulmonar interlobar derecha y el bronquio intermediario. La arteria discurre paralela al bronquio y se sitúa por delante y por fuera de éste. El tamaño de la arteria interlobular o interlobar no debe ser mayor de 16 mm en hombres y 15 mm en mujeres. Cuando sobrepasa estas cifras se puede hablar de hipertensión arterial pulmonar. Esta morfología en forma de “V” hacia la derecha que constituyen la región superior en inferior del hilio derecho forma un ángulo llamado “angulo venoarterial o venolobar” en el que la rama superior es venosa y la inferior arterial (arteria interlobar). En el lado izquierdo la arteria pulmonar cruza por encima del bronquio en el ángulo formado por el bronquio principal y el bronquio del lóbulo superior izquierdo para dividirse posteriormente en las arterias lobares superior e inferior. La porción inferior del hilio izquierdo está formada por la arteria interlobar izquierda que se sitúa inmediatamante por detrás del bronquio del lóbulo inferior izquierdo
  • 27.
    El hilio izquierdose sitúa entre 0.5 y 3 mm por encima del derecho (90%). Ello se debe a que la arteria pulmonar izquierda describe un arco por encima del bronquio del lóbulo superior izquierdo mientras que la arteria pulmonar derecha se coloca por debajo del bronquio del lóbulo superior derecho. En el 10% restante ambos hilios están a la misma altura pero nunca el hilio derecho es craneal y superior al izquierdo. Si esto ocurre se debe sospechar atelectasia y pérdida de volumen del LSD o LII. La densidad de la porción superior del hilio izquierdo está compuesta centralmente por la arteria pulmonar principal y más periféricamente por una o más ramas de su división lobar superior y la división posterior de la vena pulmonar. Tanto la vena pulmonar superior como la rama apicoposterior de la arteria puede formar el borde lateral de la sombra hiliar superior. La arteria interlobar inferior forma la porción inferior de la sombra hiliar. Por tanto, las arterias pulmonares derecha e izquierda constituyen la porción más importante de la densidad hiliar (y se localizan en la región inferior) y en menor medida las venas pulmonares superiores. Los bronquios lobares, los ganglios linfáticos broncopulmonares y la grasa contribuyen poco a la densidad global de los hilios.
  • 28.
    Proyección Lateral En la radiografía lateral las sombras hiliares derecha e izquierda está superpuestas y producen una opacidad ovalada que representa una combinación de las arterias pulmonares derecha e izquierda y de las venas pulmonares superiores. En el 97% de los individuos normales puede verse la pared posterior del bronquio intermediario que continua con la pared traqueal posterior. Por delante de éste aparece una sombra oval que corresponde a la arteria interlobar. La confluencia de las venas superiores pulmonares derechas se superpone a la porción inferior de la arteria pulmonar derecha y contribuye a su densidad. A veces, por debajo de la densidad de la arteria interlobular se reconoce una Areria pulmonar estructura aérea: el bronquio del lóbulo Vasos izquierda medio. Normalmente la parte visible del pulmonares derechos bronquio es su pared que aparece como una línea de densidad agua. Cuando en vez de densidades lineales los bronquios se ven como broncogramas aéreos Bronquio del LM debe sospecharse la existencia de adenopatías hiliares, subcarinales o ambas. El espacio que queda entre el bronquio del Bronquio del LID lóbulo medio y el del lóbulo inferior derecho se llama ventana hiliar inferior. Bronquio del LII Las estructuras vasculares de la densidad hiliar rodean los bronquios centrales. Empezando por arriba, el Bronquio del LSD bronquio del lóbulo superior derecho se ve en Bronquio aproximadamente el 50% de los intermediario individuos como una lucencia redondeada vista de frente en el margen superior de la densidad hiliar. La pared posterior del bronquio intermediario (que se continúa con Bronquio del LSI la pared traqueal posterior) se ve como una línea vertical delgada de 2mm o menos de grosor que se dirige caudalmente dividiendo la lucencia del bronquio del lóbulo superior izquierdo visto de frente en una Ventana hiliar inferior
  • 29.
    radiografía lateral correctamenterealizada. Se identifica porque el aire del bronquio intermediario por delante y el pulmón del receso ácigo-esofágico por detrás delimitan su pared posterior. El engrosamiento o nodularidad de esta línea puede verse en el carcinoma broncogénico, en el edema pulmonar o por adenopatías en el receso pleuroacigoesofágico. El bronquio del lóbulo superior izquierdo se ve en el 75% de los sujetos y se localiza no más de 4 cm por debajo del bronquio del lóbulo superior derecho. Este bronquio se ve con más frecuencia que el del lóbulo superior derecho porque está bordeado por la arteria pulmonar izquierda superior y posteriormente, por la vena pulmonar superior posteroinferiormente y la porción superior de la aurícula izquierda inferiormente mientras anteroinferiormente. Craneal y posteriormente, la arteria pulmonar izquierda tiene forma de coma y pasa por encima y detrás de la lucencia redonda y ovalada que corresponde al bronquio de lóbulo superior izquierdo, orientado horizontalmente y luego desciende por detrás del bronquio del lóbulo inferior izquierdo.
  • 30.
    B) ANATOMÍA MEDIASTÍNICA. Esla zona situada entre los dos pulmones y está limitada por la pleura parietal medial. Contiene las estructuras cardiovasculares centrales, traqueobronquiales y el esófago. Todo ello envuelto en grasa y rodeado de una gran cantidad de pequeños ganglios linfáticos. Para efectos docentes dividiremos el mediastino en tres compartimentos (según Felson). 1. mediastino anterior (prevascular) 2. mediastino medio (vascular) 3. mediastino posterior (postvascular) Esta división del mediastino corresponde a regiones fácilmente reconocibles en la proyección lateral del tórax. A M P En la proyección PA de torax podemos identificar los contornos del mediastino que corresponden a diferentes estructuras. Debemos conocerlas y son:
  • 31.
    c b d e f a a. borde derecho del corazón b. vena cava superior c. pared derecha de la tráquea d. botón aórtico e. aorta descendente f. borde izquierdo del corazón
  • 32.
    Aquí os adjuntoun esquema sobrepuesto a una placa de tórax dónde se puede comprender muy bien la anatomía cardiovascular y silueta mediastínica.
  • 33.
    Para comprender mejorla anatomía radiologica de la placa simple del tórax vamos a estudiar la anatomía del tórax en el plano axial con cortes axiales en ventana de mediastino o también llamada de partes blandas. En esta ventana no vamos a ver los pulmones que quedan totalmente ocultos. Veremos muy bien el mediastino con sus estructuras vasculares y su grasa así como los ganglios linfáticos que están en él. También veremos muy bien las partes blandas de la caja torácica. Aunque el hueso queda bien evidendente esta ventana no sirve para evaluar alteraciones óseas. Para ello tendríamos que usar una ventana más adaptada para ver claramente el hueso y sólo el hueso.
  • 37.
    Las interfases entrelos pulmones y el mediastino, formadas por las pleuras, producen en la placa de tórax unas líneas que se llaman: LÍNEAS MEDIASTÍNICAS. Líneas mediastínicas Estas líneas típicamente miden menos de 1 mm de grosor y se forman por la interfase entre el aire del pulmón y el borde de diferentes estructuras, bien pleura entre los dos pulmones (lineas de reflexión pleural anterior y posterior) o bien interfase entre el pulmón y estructuras del mediastino (tráquea, esófago, etc…). Este aire delimita tejido sólido que es lo que da la sombra que forma la línea. 1. Línea de unión anterior: es la interfase que se produce por la unión de ambos pulmones por detrás del esternón. Esta línea se forma por la aposición de las pleuras visceral y parietal en las regiones anteromediales de los pulmones a lo que se añade una pequeña proporción de grasa. En la placa de tórax aparece como una línea oblícua que cruza los dos tercios superiores del esternón desde la región superior derecha hacia la región inferior izquierda. Una pequeña cantidad de grasa se encuentra normalmente dentro de la línea. Puede no verse (realmente se ve en el 25-57% de las Rx de tórax). Una alteración de la línea: obliteración o convexidad anormal se puede ver en casos de enfermedad mediastínica subyacente como masas tiroideas, linfadenopatías, neoplasias, masas
  • 38.
    tímicas o lipomatosis.También pueden desplazar la línea la pérdida de volumen pulmonar o la hiperinsuflación pulmonar. 2. Línea de unión posterior: Se ve menos frecuentemente. Es la interfase que se produce cuando se unen los dos pulmones por detrás del tercio superior del esófago. Se forma por la aposición de las pleuras visceral y parietal en la región posteromedial de los pulmones, posterior al esófago y anterior a las 3ª-5ª vértebras dorsales. Aparece como una línea recta o levemente convexa hacia la izquierda que se proyecta típicamente a través de la tráquea. Se ve más craneal que la linea de unión anterior y se ve incluso por encima de las clavículas.Puede aparecer, sin embargo con una cantidad variable de grasa en su interior. Se ve en el 32% de las placas AP de tórax. Un abombamiento anormal de la línea de unión posterior sugiere una anomalía mediastínica como masa esofágica, linfadenopatía, enfermedad de la aorta o tumor neurogénico. También la pérdida de volumen o la hiperinsuflación pueden desplazar la línea.
  • 39.
    3. Línea paratraquealderecha: Es la interfase que se produce por contacto del pulmón con la pared lateral derecha de la tráquea. Su región inferior está condicionada por la presencia del cayado de la vena ácigos. Cuando la pleura visceral y parietal del lóbulo superior derecho contactan con el borde lateal derecho de la tráquea y con la grasa mediastínica adyacente, el aire del pulmón delimita estas estructuras y forma la línea paratraqueal derecha que no debe medir más de 4 mm de grosor. Comienza cranealmente a nivel de las clavículas y se extiende inferiormente hastael angulo traqueobronquial derecho, lugar donde se situa el cayado de la vena ácigos. Esta línea es quizás la línea mediastínica que se ve con mayor frecuencia (97% de las placas PA de tórax). Una gran variedad de enfermedades pueden producir ensanchamiento de esta línea como las adenopatías paratraqueales, neoplasias tiroideas y paratifoideas, carcinoma traqueal o estenosis. Las enfermedades pleurales como el derrame o en engrosamiento son de las causas más comunes que producen ensanchamiento de la línea paratraqueal derecha.
  • 40.
    4. Línea paratraquealizquierda: Se forma por contacto entre el lóbulo superior izquierdoy la grasa mediastínica adyacente a la pared traqueal izquierda o la pared traqueal izquierda en si misma. El aire dentro de la tráquea ayuda a delimitar la línea. La línea se extiende superiormente desde el cayado aórtico para unirse a la reflexión de la arteria subclavia izquierda. Esta línea se ve en el 21-31% de las Rx Pa de torax. Se ve mucho menos frecuentemente que la línea derecha ya que queda ocult entre el pulmón izquierdo y los troncos supraaórticos izquierdos (arteria carótida por delante y arteria subclavia por detrás). Sus contornos anormales también se ven en casos de derrame pleural importante, adenopatías paratraqueales izquierdas o hematomas mediastínicos).
  • 41.
    5. Banda aorto-pulmonar:representa una reflexión mediastínica o interfase formada por la pleura de la región anterior del pulmón izquierdo que está en contacto y reflejandose tangencialmente sobre la grasa mediastínica anterolateral a la arteria pulmonar izquierda y arco aórtico. La banda es recta o ligeramente convexa cruzando lateralmente sobre el arco aórtico y la arteria pumonar izquierda. Esta banda puede alterarse en enfermedades del mediastino como masasa tiroideas, tímicas o linfadenopatías del espacio prevascular, produciendo un aumento de su convexidad.
  • 42.
    6. Ventana aortopulmonar:Representa un espacio mediastínico que en la placa PA de tórax se ve como una interfase. Esta ventana aortopulmonar se localiza posteriormente a la banda aortopulmonar vista en el punto nº5 y no deben confundirse aunque tengan nombre parecidos. Se limita cranealmente por la pared inferior del cayado aórtico e inferiormente por la pared superior de la arteria pulmonar izquierda. La pared posterior de la aorta ascendente forma el límite anterior, mientras que la superficie anterior de la aorta descendente forma el límite posterior. El borde medial lo forma la tráquea por delante y la pared lateral del bronquio principal y el esófago por detrás. El pulmón se localiza lateral a la ventana aortopulmonar y se mete un poquito en ella dando una morfología cóncava a la ventana en la proyección PA. Un contorno convexo de la ventana aortopulmonar en la proyección AP del tórax se considera patológico. Un contorno recto de la ventana puede considerarse normal. Lo consideraremos patológico si en las placas previas era cóncavo. Cuando tenemos una apariencia anormal de la ventana aortopulmonar puede deberse a enfermedades que afectan a su contenido como son el nervio laríngeo recurrente, nervio vago izquierdo, ligamento arterioso, grasa mediastínica, ganglios linfáticos y arterias
  • 43.
    bronquiales izquierdas. Unaconvexidad anormal puede deberse a adenopatías, grasa mediastínicas, aneurismas de arterias bronquiales o tumores de vainas nerviosas. Cuando tenemos una paralisis diafragmática o de cuerdas vocales debemos buscar en la ventana aortopulmonar. También pueden alterar la apariencia de la ventana aortopulmonar las enfermedades de las estructuras que la rodean como por ejemplo los aneurismas de aorta. 7. Línea paraespinal derecha: Se producen por la reflexión de ambas pleuras sobre los bordes laterales de la columna. La línea paraespinal derecha se forma cunando el pulmón derecho y la pleura entran en contacto tangencial con los tejidos blandos del mediastino posterior. A pesar de su nombre, la línea parespinal derecha no es una línea mediastínica verdadera, sino que más bien es una interfase entre el pulmón y los tejidos blandos y la grasa del mediastino posterior. No existe realmente una línea blanca que realce
  • 44.
    el borde dela línea paraespinal derecha pero sí es percibido así por nuestro ojo. Esta línea se nos muestra recta y típicamente se extiende desde los cuerpos vertebrales 8º al 12º. Se ve aproximadamente en el 23% de las Rx AP de Tórax. Puede desplazarse lateralmente por osteofitos o por grasa mediastínica prominente, sin embargo, una anomalía en su contorno o un desplazamiento de la misma, sugiere una anomalía mediastínica posterior como un hematoma mediastínico, masa mediastínica o hematopoyesis extramedular. 8. Línea paraespinal izquierda: Se forma por un contacto tangencial del pulmón izquierdo y la pleura con la grasa mediastínica posterior, los músculos paraspinales y los tejidos blandos adyacentes. Se extiende verticamente desde el arco aórtico asta el diafragma y típicamente se coloc medial a la pared lateral de la aorta desdendente. A veces, sin embargo, puede localizarse lateral a la aorta a lo largo del curso intratorácico más inferior de la aorta. Al igual que la línea paraespinal derecha, la izquierda, representa una interfase entre el pulmón y el mediastino y se asocia a un fenómeno visual que da la sensación de formar una línea blanca. Aparece en el 41% de las Rx PA de tórax. A la izquierda identificamos la línea paraaórtica (interfase entre la aorta y el pulmón)
  • 45.
    También los osteofitosy la grasa mediastínica prominente puede ensanchar y desplazar esta línea, sin embargo, también puede desplazarse por la tortuosidad de la aorta descendente o por anomalías del mediastino posterior como hematoma y masas mediastínicas, hematopoyesis extramedular o varices esofágicas. 9. Línea paratraqueal posterior: Se delimita por el contacto entre el pulmón y la pared posterior de la tráquea. Es una banda vertical que se ven en la placa lateral de tórax y que se forma por el aire de dentro de la tráquea y el pulmón derecho que delimita la pared traqueal posterior y los tejidos blandos que quedan en medio de estas dos estructuras aéreas. La línea paratraqueal posterior puede llegar a medir hasta 2,5 mm de forma habitual. A veces cuando contacta la tráquea con el esófago, se unen la pared traqueal, la del esófago y la grasa mediastínica que hay en medio y forman una línea paratraqueal posterior más gruesa que puede llegar a medir hasta 5,5 mm de grosor.
  • 46.
    La linea traquealposterior forma el borde anterior del espacio retrotraqueal llamado triángulo retrotraqueal o de Raider) y sus bordes son la columna posteriormente, el arco aórtico inferiormente y el opérculo torácico en la región superior. La linea paratraqueal posterior estará alterada (engrosada) cuando tengamos lesiones vasculares adquiridas, lesiones esofágicas, malformaciones linfáticas, mediastinitis y hematomas postraumáticos. 10. Receso acigoesofágico: Aunque no se considera una línea mediastínica propiamente dicha, el receso acigoesofágico es una importante interfase causada por diferencias en la densidad entre el mediastino y la porción posteromedial del lóbulo inferior derecho.
  • 47.
    El receso acigoesofágicorepresenta un espacio que se situa lateral o posterior al esófago y anterior a la columna y se extiende desde el nivel del cayado de la ácigos hasta el hiato aórtico inferiormente. La banda infraácigos pleuroesofágica delimita este receso y se forma cuando el esófago y la pleura adyacente contactan con el lóbulo inferior del pulmón derecho. En la parte superior el receso se continua con el espacio subcarinal y puede demostrar una ligera convexidad hacia la izquierda. El tercio medio es ligeramente convexo hacia la derecha y el inferior aparece como una línea recta de forma típica. La convexidad superior hacia la derecha se puede ver en niños y personas jóvenes, pero cuando el receso sea convexo hacia la derecha en la región superior (infracarinal) en un adulto hay que pensar en anomalías (linfadenopatías, hernias de hiato, malformaciones broncopulmonares y del tubo digestivo, neoplasias esofágicas, anomalías pleurales y cardiomegalia con agrandamiento de la aurícula izquierda. El contacto del pulmón derecho con el esófago en el tercio inferior del tórax, por tanto, delimita una línea llamada infraacigospleuroesofágica o (para los amigos) línea paraesofágica. 11. Lineas paravenosas: En proyección posteroanterior las estructuras vasculares forman una serie de líneas visibles en el mediastino superior. En el lado derecho
  • 48.
    la cava superiory los troncos supraaórticos delimitan claramente la silueta mediastínica. En el lado izquierdo, la subclavia presenta una línea cóncava hacia fuera, por encima del botón aórtico. 12. Línea paraaórtica: Es la interfase del pulmón con la pared de la aorta descendente. Digamos que es el contorno de la aorta. 13. Bronquio intermediario: La pared posterior del bronquio intermediario aparece como una banda en la radiografía lateral del tórax. Después de la salida del bronquio del lóbulo superior el bronquio intermedio continua descendiendo aproximadamente 3-4 cm. La banda que repreenta la pared posterior del bronquio se horma cuando el pulmón del receso pleuroacigoesofágico delimita su pared posterior. Esta banda está presenta en aproximadamente 90-95% de las radiografías laterales de tórax y aparece como una línea fina, vertical, y ligeramente oblicua que se proyecta típicamente a través de la licencia del bronquio del lóbulo superior izquierdo. Normalmente la pared posterior del bronquio intermedio mide entre 0,5 y 3 mm. El engrosamiento anormal puede tener una morfología lobulada o de banda. La causa más común de engrosamiento de las paredes del bronquio intermedio es el edema pulmonar por fallo cardiaco congestivo. Otras causas incluyen neoplasias como el carcinoma pulmonar primario, adenopatías por linfoma, tuberculosis o sarcoidosis.
  • 49.
    En los siguientesesquemas tenéis resumidas prácticamente todas las líneas:
  • 50.
    C) PLEURA YCISURAS. CISURAS ACCESORIAS. El espacio pleural está comprendido entre la pleura visceral que reviste a los pulmones y la pleura parietal que cubre por dentro la cavidad torácica, el mediastino y el diafragma para unirse en la región hiliar. Es como una bolsa que rodea el pulmón y la apertura estaría en el hilio. Rodea, por tanto todo el pulmón, excepto los hilios. El grosor total de las pleuras parietal y visceral sobre la convexidad pulmonar y sobre las superficies diafragmática y mediastínica es normalmente insuficiente para permitir que sean visibles radiográficamente, sin embargo, debido a la presencia del pulmón que contiene aire a ambos lados de la pleura visceral en las regiones interlobares, las capas contiguas de pleural visceral sí son visibles cuando un haz de rayos X incide tangencialmente sobre sus superficies. Anatomía pleural La pleura es una membrana serosa que envuelve el pulmón y delinea la superficie costal, diafragma y mediastino. Se compone, como ya hemos dicho de dos componentes: la pleura visceral y la pleura parietal que se unen en el hilio. La pleura parietal se continua con la pared torácica y el diafragma y además se extiende profundamente en la parte posterior dentro del seno costofrénico, mientras que la pleura visceral se adhiere a la superficie del pulmón. El espacio pleural es un espacio potencial entre las dos hojas pleurales y normalmente contiene una pequeña cantidad de líquido que reduce la fricción durante la respiración. La pleura costal, diafragmática y mediastínica normal no es visible en las Rx simples de tórax ni en TC. En TC de alta resolución una banda de 1-2 mm puede verse delineando los espacios intercostales entre las costillas adyacentes. Esta “banda intercostal”
  • 51.
    representa la combinaciónde las dos hojas pleurales, la fascia endotorácica y la porción más interna del músculo intercostal. Esto lo podemos ver en el siguiente esquema. Por dentro de las costillas la pleura normal no se ve y parece que la superficie interna de la costilla contacta con el pulmón. La presencia de densidad de tejidos blandos entre la porción más interna de la costilla y el pulmón, mejor apreciada en el TC de alta resolución, indica engrosamiento pleural. La porción más interna del músculo intercostal está anatómicamente ausente en la región paravertebral y si vemos una fina línea visible entre el pulmón y la grasa paravertebral o las costillas, ello rereseta una combinación de las dos pleuras y la fascia endotorácica.
  • 52.
    Cisuras normales Las cisurasforman las superficies de contacto entre los lóbulos pulmonares. Aunque podrían extenderse hasta el hilio –dando como resultado una separación lobar completa- , normalmente son incompletas. Una cisura es una invaginacion de profundidad variable, completa o incompleta, de pleura visceral, cuyas dos hojas están separadas por un espacio virtual en el interior del pulmón. Así el pulmón derecho queda dividido en tres lóbulos (el superior y el medio separados por la cisura menor u horizontal y ambos separados del inferior por la cisura mayor u oblícua) y el pulmón derecho se divide en dos lóbulos (el superior y el inferior, separados por la cisura mayor). El que las cisuras interlobares sean incompletas es un hecho importante pues eso conlleva a que exista un “puente” parenquimatoso entre los diferentes lóbulos que deja pasar el aire de un lóbulo a otro y también deja que se expanda la enfermedad de un lóbulo a otro. Cisuras mayores:
  • 53.
    Las cisuras mayoresque separan los lóbulos superiores (y en el lado derecho el lóbulo medio) de los lóbulos inferiores, comienzan en o sobre el nivel de la quinta vértebra dorsal y se extienden oblicuamente hacia abajo y hacia delante, discurriendo de una forma más o menos paralela a la sexta costilla y terminando en el diafragma, unos pocos centímetros de la pared pleural anterior. La cisura mayor no se ve en la proyección PA y se identifica en la lateral. Cuando se ven las dos cisuras mayores en la proyección lateral, la diferenciación entre ambas depende de que se vea la unión de la cisura menor con la mayor en el lado derecho o bien que sea visible la unión de alguna de ellas con el diafragma homolateral. A menudo existe una opacidad triangular en el extremo inferior y anterior de las cisuras mayores, causada por la presencia de tejido adiposo, de base diafragmática, y cuyo vértice se estrecha en sentido craneal hacia la cisura. En la TC aparecen como bandas avasculares entre ambos lóbulos mientras que en los cortes de alta resolución se reconocen como líneas blancas finas.
  • 55.
    Cisura menor: La cisuramenor u horizontal separa el segmento anterior del lóbulo superior derecho del lóbulo medio y es aproximadamente horizontal a la altura de la cuarta costilla en su parte anterior. Se ve en las dos proyecciones en más de la mitad de los sujetos normales. Su tamaño y posición son muy variables. La cisura menor incompleta es la forma más frecuente de cisura menor incompleta. La cisura menor origina en los cortes axiales de TC la llamada “ventana mediopulmonar derecha” o “hiperlucencia pulmonar derecha” y se atribuye a la posición de las arterias, presentando la región lateral al bronquio intermediario menor proporción de vasos grandes por lo que se ve como un área radio transparente por su menor vascularización en sólo uno o dos cortes a nivel del bronquio intermediario. La mayoría de las veces es de forma triangular con el vértice hacia el hilio pero a veces es redondeada u oval (probablemente debido a la morfología cuculiforme de la cisura). Anatómicamente la cisura menor llega al mediastino en raras ocasiones, pero es frecuente ver como llega la cisura al borde lateral de la arteria pulmonar interlobar. Tenemos que tener en cuenta un dato importante: Una línea de cisura o una interfase que se proyecte más medial que este punto corresponde casi invariablemente a una cisura menor desplazada hacia abajao y conlleva una eficencia cierta de perdida de volumen del lóbulo inferior derecho.
  • 56.
    Ligamento pulmonar: El ligamento pulmonar consiste en una doble capa pleural que nace caudalmente del hilio pulmonar y fija la cara medial del lógulo inferior al mediastino y al diafragma. Se forma por la prelura mediastínica (parietal) al reflejarse en el bronquio principal, en la arteria y vena pulmonar y cubrir la superficie del pulmón como pleura visceral. Los ligamentos pulmonares no se ven en la Rx de tórax convencional PA o lateral, pero si se identifican en la TC. La apariencia es variable pero normalmente consiste en un pequeño pico o pirámide en la superficie mediastínica y una estrecha opacidad lineal triangular que se que se extiende oblícua y posteriormente desde hilio a la cúpula diafragmática. Es más evidente en cortes obtenidos a nivel o inmediatamente por encima del
  • 57.
    diafragma. En ellado derecho se sitúa entre la cava (anteriormente) y la vena ácigos (posteriormente). En el lado izquierdo está en íntima relación con el esófago y se rodea posteriormente por la aorta descendente. Cisuras accesorias: Cualquier porción del pulmón puede estar parcial o totalmente separada de porciones adyacentes por una cisura pleural accesoria. La mayoría son de interés radiológico meramente académico. Cuando están bien desarrolladas, sin embargo, su reconocimiento es importante por tres razones: 1. el parénquima pulmonar que limita puede ser el único sitio de asiento de enfermedad, cuya extensión está limitada por la cisura. 2. Una cisura en una localización específica (ej. Entre los segmentos superior y basal del lóbulo inferior derecho) puede ser confundida con otra (cisura menor desplazada). 3. Son componentes importantes de las atelectasias discordes. La parte del pulmón separada por una cisura accesoria se llama lóbulo accesorio. Vamos a estudiar 4 cisuras accesorias: a) Cisura de la ácigos. Se crea por la invaginación de la vena ácigos hacia la porción apical del lóbulo superior derecho. Carece de significación patológica. Está formada por cuatro capas pleurales: dos viscerales y dos parietales, ya que la v. Ácigos es extrapleural y al invaginarse arrastra las dos pleuras que al aponerse se unen y forman las cuatro capas. Se identifica como una fina línea convexa hacia fuera con la sombra de la vena ácigos en su parte más inferior, situándose entre el mediastino superior y el vértice pulmonar derecho. La importancia de esta anomalía radiologicamente radica en el fallo
  • 58.
    de la superficepleural apical cuando hay neumotórax. La existencia de un lóbulo de la ácigos en contacto con la cara posterior de la tráquea hace que las medidas de engrosamiento de la banda traqueal posterior no tengan valor en los pacientes con esta variante anatómica. b) Cisura inferior accesoria. Es de profundidad variable y separa el segmento medial basal del resto del lóbulo inferior. Cuando es completa la parte de pulmón delimitada se llama lóbulo accesorio inferior o retrocardiaco. En las radiografías PA se identifica como una fina línea blanca en las proximidades del ángulo cardiofrénico, nace en la zona más medial del hemidiafragma correspondiente y se dirige oblicuamente hacia el hilio. La mayoría de las veces esta cisura es incompleta. c) Cisura superior accesoria. Separa el segmento superior del segmento basal del lóbulo inferior. Generalmente es horizontal y puede confundirse con la cisura menor en la Rx. PA o bien verse dos cisuras menores. En la proyección lateral se visualiza la cisra horizontal en la región posterior. d) Cisura menor izquierda. Esta cisura separa la língula del resto del lóbulo superior. El resto de los segmentos del lóbulo superior están preservados. Presenta una forma de cúpula convexa hacia arriba y normalmente es más cefálica que su homóloga del lado derecho.
  • 59.
    Os adjunto unesquema en el que tenéis las cisuras más importantes representadas.
  • 60.
    D) ANATOMÍA DELA PARED TORÁCICA La pared torácica consta de tejidos blandos y huesos. Los tejidos blandos de la pared torácica consisten en piel, grasa subcutánea y músculos. Los bordes laterales del músculo esternocleidomastoideo son fácilmente visibles en todos los pacientes. La visualización de grasa normal en la fosa supraclavicular y las sombras acompañantes de la piel y la grasa subcutánea discurriendo paralelas a las clavículas ayuda a excluir la existencia de una masa, adenopatías o edema en esta región. El borde inferolateral del músculo pectoral mayor generalmente se ve curvándose hacia las axilas. Las sombras mamarias deben visualizarse y evaluarse de rutina para excluir la existencia de mastectomía o una masa. Los tejidos blandos laterales al torax óseo deben ser suaves, simétricos y de densidad homogénea. Los huesos del tórax. La columna torácia, las costillas y los cartílagos costales, las clavículas y la escápula se ven de rutina en la placa de tórax. Los cuerpos de la columna se alinean verticalmente visualizándose los platillos vertebrales, los pedículos y los procesos o apófisis espinosas. Se pueden ver doce pares de costillas simétricas. Las costillas primera y segunda muestran una “sombra acompañante” que representa la grasa extrapleural. Los cartílagos costales calcificados se ven en la mayoría de los adultos y aumenta su prevalencia con la edad, dando a veces múltiples sombras sobre el tórax. Los hombres suelen mostral calcificación de los cartílagos costales en los márgenes superiores e inferiores, mientras que las mujeres muestran una calcificación cartilaginosa central. Sombras acompañantes de las costillas en la placa de torax (flechas).
  • 61.
    Reconstrucción sagital deuna TC de tórax que muestra la porción posterolateral de la segunda costilla (2) localizada en la zona superoposterior del los tejidos blandos que protruyen en el 2º espacio intercostal (flecha) que produce la sombra acompañante debajo de la segunda costilla. 1= primera costilla; 2= segunda costilla; 3= tercera costilla y 4= cuarta costilla. La Tomografía computerizada (TC) muestra una información detallada de la pared normal y las axilas. El conocimiento detallado de la anatomia axial del torax es clave para localizar y caracterizar las enfermedades con precisión. Seguidamente se muestra la anatomía axial del tórax en los niveles más representativos identificando las diferentes estructuras.
  • 62.
    6. ANATOMÍA LOBARY SEGMENTARIA DEL TÓRAX
  • 63.
    Tamaño del pulmón Eltamaño de los pulmones se aprecia en la radiografía especialmente por la posición del diafragma y mediastino y por la conformación de la caja torácica. Varía ampliamente con la contextura y talla del individuo. En posición de pies y en inspiración profunda, el vértice de la cúpula diafragmática derecha coincide con el extremo anterior de la 5a a 6a costilla. Al lado izquierdo la base pulmonar está, en general, hasta 2,5 cm más bajo. En decúbito el tórax se acorta considerablemente, el corazón se dispone más horizontalmente y el mediastino se ensancha. Lo mismo sucede, en menor grado, en la espiración. En alteraciones unilaterales el mediastino suele desplazarse hacia el pulmón de menor tamaño al tiempo que los espacios intercostales de ese lado se ven más estrechos. Proyección de los lóbulos pulmonares En esta figura se esquematiza la proyección de los lóbulos pulmonares en la radiografía frontal y lateral. La figura también ilustra la utilidad de la placa lateral para la diferenciación de los lóbulos. Se puede apreciar la importante superposición que existe en la proyección frontal, que se debe a la oblicuidad de la cisura mayor y a la situación anterior del lóbulo medio. Esta disposición debe tenerse presente para no atribuir al lóbulo superior toda lesión de la mitad superior de la radiografía y al lóbulo inferior, las de la mitad inferior.

  • 64.
    Cisura mayor: líneanegra. Cisura menor: línea roja. Azul: lóbulo superior derecho y Lóbulo superior izquierdo. El izquierdo es mayor pues también consta de la ínsula. Verde: lóbulo inferior. De similar tamaño en ambos pulmones Rosa: Lóbulo medio. El lóbulo medio no existe en el lado izquierdo. En la lateral todo lo anterior a la cisura mayor sería el lóbulo superior. oK? Recordad: hay 10 segmentos en cada pulmón (10 es la nota que tenéis que sacar en el examen de radiología). 5 segmentos están por encima de la cisura mayor – repartidos entre el lóbulo superior y el lóbulo medio o língula- y 5 por debajo de la cisura mayor -En el lóbulo inferior-. Lóbulo superior: Segmentos 1 (anterior), 2 (apical), 3 (posterior)
  • 65.
    Lóbulo medio/ língula:Segmentos 4 (medial), 5 (lateral) (como el lóbulo medio o la língula son más pequeños tienen un segmento menos que el superior). Ya sabéis que el medio se separa del superior por la cisura menor y que la língula forma parte del lóbulo superior izquierdo pero que equivale al lóbulo medio) Lóbulo inferior : REGLA NEMOTÉNICA : SU-ME-AN-LA-PO ó SUMEANLAPO ó SU (superior) 6 ME (medial) 7 AN (anterior) 8 LA (lateral) 9 PO (posterior) 10
  • 66.
    6. ANATOMÍA LOBARY SEGMENTARIA DEL TÓRAX Los segmentos pulmonares Cada pulmón está dividido en lóbulos y cada lóbulo en segmentos. Cada segmento recibe su propio bronquio, que se denomina bronquio segmentario. Aprenderemos al mismo tiempo la anatomía del árbol traqueobronquial y la de los segmentos, puesto que están íntimamente relacionados. La tráquea se bifurca en la carina en los bronquios principales derecho e izquierdo. El derecho se subdivide a su vez en tres (bronquios lobulares) puesto que tenemos tres lóbulos pulmonares derechos: superior, medio e inferior. El izquierdo se divide en dos bronquios lobulares: superior e inferior. Apical Posterior 3 1 2 Anterior 4 Lateral 5 Medial El bronquio del lóbulo inferior derecho es la prolongación directa del bronquio intermediario después de la salida del bronquio del lóbulo medio.
  • 67.
    Apical Posterior 3 1 2 Anterior SUPERIOR Bronquio del 6 Lóbulo Medio 4 Lateral 5 LATERAL 9 MEDIAL 7 Medial ANTERIOR 8 POSTERIOR 10 El segmento 6 se superpone a los lóbulos medio y superior.
  • 68.
    Los cuatro bronquiossegmentarios basales restantes (7, 8, 9, 10) ventilan los cuatro segmentos basales del LID. Reciben su nombre por la localización en la base pulmonar. Dos segmentos basales están localizados centralmente (medial (7) y anterior (8)) y dos Apical 1 Posterior 3 Anterior 2 SUPERIOR 6 Lateral 4 ANTERIOR 8 POSTERIOR Medial 10 5 LATERAL 8 MEDIAL 7 dorsalmente (lateral (9) y posterior (10)). Los dos segmentos basales que están en contacto con la cisura mayor son el medial (7) y anterior (8). Los dos que están en contacto con la pared torácica posterior son el
  • 69.
    lateral (9) yel posterior (10). Si se conocen los segmentos del pulmón derecho, los del izquierdo son fáciles de recordar. En el pulmón izquierdo sólo hay dos lóbulos (superior e inferior). El homólogo del lóbulo medio se denomina língula y pertenece al lóbulo superior. El bronquio principal izquierdo se divide en dos: el superior y el inferior o intermediario. El superior que tiene un trayecto horizontal se divide en dos ramas: una para el lóbulo superior y otra, más inferior, para la língula. El lóbulo superior izquierdo sólo tiene dos lóbulos: el Apicoposterior (1 y 3)y el anterior (2). La língula se divide en dos segmentos: el superior y el inferior. El superior (4) de la língula equivale al lateral (4) del lóbulo medio y el inferior (5) de la língula equivale al medial (5) del lóbulo medio. Las anatomías segmentarias del lóbulo inferior izquierdo y derecho son similares: SU- ME-AN-LA-PO (6-7-8-9-10). La anatomía bronquial y segmentaria como se ha presentado es en un estado “ideal”. Existen numerosas variaciones en el origen de los bronquios y tamaño de los segmentos, sin embargo, los patrones básicos son reconocibles generalmente. Como ejercicio intenta “pintar” la disposición de los lóbulos y segmentos en el pulmón izquierdo. 7. EL SIGNO DE LA SILUETA. LOCALIZACIÓN DE LAS LESIONES. El signo de la silueta se basa en el hecho de que cualquier opacidad pulmonar intratorácica que esté en contacto con el borde cardiaco, de la aorta o del diafragma lo borrará, mientras que una lesión torácica que no esté en contacto con estas estructuras no obliterará su borde. Aplicando este signo a las lesiones alveolares se pueden considerar dentro del tórax las siguientes posibilidades: 1. cuando una lesión alveolar borra el borde cardiaco parcial o totalmente, su localización es anterior y puede afectar al lóbulo medio, a la língula o al segmento anterior del lóbulo superior.
  • 70.
    2. Cuando unadensidad se superpone al borde cardiaco sin borrarlo está situada en el lóbulo inferior. 3. Cuando el borde derecho de la aorta ascendente está obliterado o borrado la lesión está situada en el segmento anterior (2) del lóbulo superior derecho o en el lóbulo medio (5). 4. Cuando una densidad se superpone al borde derecho de la aorta ascendente sin obliterarlo la lesión es de localización posterior y por tanto debe estar en el segmento superior del lóbulo inferior derecho (6) o en el segmento posterior del lóbulo superior (3)
  • 71.
    5. Cuando elborde izquierdo del arco aórtico está obliterado la lesión se localiza en el segmento apicoposterior del lóbulo superior izquierdo 6. Cuando la densidad se superpone al arco aórtico sin obliterarlo, la lesión es anterior y se sitúa en el segmento anterior del lóbulo superior o en el segmento superior de la língula. O por el contrario es muy posterior y se sitúa cerca de la unión costovertebral. 7. Cuando el borde lateral de la aorta descendente está obliterado hay afectación de los segmentos superior y posterobasal del lóbulo inferior izquierdo 8. La borrosidad del diafragma derecho no tiene valor absoluto ya que existe gran variabilidad en la morfología del diafragma y además tenemos que tener en cuenta que en la radiografía PA la porción del diafragma que vemos es la anterior. La posterior habitualmente está más baja y queda oculta, por lo que puede haber lesiones ocultas en la Rx. PA de tórax en esa localización. Sin embargo el diafragma izquierdo es visible parcialmente a través de la silueta cardiaca y se borra ocasionalmente por lesiones en el lóbulo inferior izquierdo. Cuando la obliteración del diafragma tiene lugar por fuera de la silueta cardiaca, casi siempre hay afectación del lóbulo inferior. 9. En la proyección lateral, las alteraciones del lóbulo inferior derecho producen un borramiento parcial o completo del diafragma que habitualmente es visible en su totalidad. El diafragma izquierdo generalmente solo es visible en sus dos tercios
  • 72.
    posteriores y seoblitera cuando existe enfermedad en el lóbulo inferior izquierdo. Descargado de www.casimedicos.com Si quieres hacernos algún comentario. Sólo tienes que enviarnos un mensaje por correo electrónico a apuntes@casimedicos.com, o contactarnos en el foro de http://www.casimedicos.com , nuestro punto de encuentro RECUERDA: Los contenidos que encuentras en esta web han sido elaborados por compañeros de otros años que generosamente los han cedido para que puedas utilizarlos. Asi aqui tienes los apuntes de los últimos cursos escaneados o pasados a ordenador, asi como algunas de las presentaciones de los profesores. Con una pequeña aportación puedes ayudar a otras personas. Lo importante es ir renovando material, gracias a la colaboración de tod@s vosotr@s. Mándanos apuntes de cualquier curso de medicina de otros años o los que acabes de hacer. También queremos que nos mandéis sugerencias, cosas que cambiaríais, cosas que mejoraríais, errores en la web, etc... ¡Anímate y participa! gracias, El equipo de ApuntesdeMedicina.net