1. Reconocer de forma precoz un
   accidente cerebrovascular
   agudo

2. Actitud ante una sospecha de
  ACVA en el SUH?

3. Protocolos y criterios de
  derivación
   ICTUS : lat. 'golpe', 'ataque'

   Accidente CerebroVascular Agudo: ACVA

Es el desarrollo rápido de signos clínicos de disturbios
   de la función cerebral o global, con síntomas que
   persisten 24 horas o más, o que llevan a la muerte
   con ninguna otra causa evidente que el origen
   vascular.

                                 Organización Mundial de la Salud

Inglés: Stroke
   Enfermedad grave y frecuente.

   Incidencia: 200/100.000 hab/año.

   Cerca del 15% recidiva a los 2 años.

       1ª causa de discapacidad motora: 50-75%
    secuelas.
       2ª causa de demencia.
       3ª Causa de mortalidad en países desarrollados.

   Costes : $43 billones por año en EE.UU.
Aterotrombótico
       Isquémico     Lacunar
          85%        Embolia cardiogénica
                     Causa no precisada
                     Otras
ACVA




       Hemorrágico      Intraparenquimatoso
                        Subaracnoideo
          15%
   Agudo: primeras 4h


 AIT: episodio breve de disfunción
neurológica, con síntomas clínicos
que duran <1h y sin evidencia de infarto
en las técnicas de neuroimagen.

 Otros:
Deficit isquémico reversible, Progresivo,
  Deteriorante, Recurrente precoz, Establecido.
Oclusión de circulación cerebral:
  Completa : Muerte de tejido cerebral: 4 a 10´
 <16 a 18 ml/100 g/min infarto en unos 60´
 <20ml/100 g/min  isquemia sin infarto


Hemorragia intracerebral:
Hipoxemia central: pCO2, VD cerebral  PIC
Neurotoxicidad: degradación de la Hb…
Efecto masa de la sangre, edema…
 Instauración brusca o rápidamente progresiva
 Déficit neurológico central persistente>de 24h


                 3 Entidades:
 Accidente cerebrovascular  territorio vascular
 Hemorragia intracerebral  Cefalea ++
 Trombosis de senos venosos cerebrales:
     deficit focal + cefalea +/-convulsiones
 Reconocimiento precoz
 Anamnesis rápida guiada
 Pruebas complementarias
 Hª clínica y EF
 Tratamiento
 Criterios de derivación
  A nivel Prehospitalario:
Face Arm Speech Test (FAST) S: 98% VPP: 97%
Personal paramédico y populación general
Al menos 3 síntomas : llamar al 112.





    Establecer la probabilidad de un
    ACVA a nivel hospitalrio.
     Ictus o No-Ictus

    Un Score neg no descarta el Ictus.
   Datos del paciente: nombre, SIP, Nº tlf de
    familiares o testigos…
   Inicio de los síntomas: al despertar?
   Trat habitual: ACO, HBPM…
   Antec medico-quirurgicos.
   Estado de salud previo: FRCV…
   Anamnesis y EF guiada: Glasgow, Escalas:
    FAST, ROSIER, RANKIN…

NOTA: es recomendable un formulario protocolizado de AP, Ttos
  vigentes, Escala NIH de la gravedad…
Generales:

   Estabilizar al paciente:
       ABC, revertir Hipoglucemia…
   Derivar de forma rápida
       y segura hacia un SUH-UNV

Específicos:

   FSP de los síntomas neurológicos actuales?
   Descartar CI de trombolisis en ACV Isquémico.
   Evitar el empeoramiento de la hipoxemia cerebral.
   Prevenir, detectar y tratar de forma precoz las
    complicaciones.
A todos:
Ctes vitales; PA, StO2, BM test y Tª
ECG, Peso aproximado, Hemog, bioq, coagul,
  enzimas cardiacas, perfíl lipídico.
         TAC cerebral urgente

Según sospecha:
Perfíl hepático, tóxicos, alcoholemia, Test de
  embarazo, GAB, cruzar y reservar CCHH,
  PL, EEG, Rx de Torax.
Orientada al DD de ictus y/o Alteración
  nivel de consciencia:
 CyC: soplos o ausencia de pulsos,
  traumatismos, signos meningeos…
 Boca: mordeduras de la lengua…
 ACP: soplos, arritmias…
 Piel: petequias, púrpuras…
 Extremidades: TVP…
 SN: ++ Glasgow, Escala NIHSS…
TAC cerebral
         Generalmente el Dx es radiológico

     Siempre después de estabilizar al paciente

TAC Emergente <1h si:
Alteración del nivel de consciencia GCS< 13
indicación de trombolisis o anticoagulación precoz,
   toma de ACO, predisposición al sangrado,
   sintomas neurológicos progresivos o fluctuantes
   inexplicados, fiebre, signos de irritación meningea,
   cefalea brusca intensa.
                              NICE clinical guideline
   TAC exámen de elección

    DESCARTA O CONFIRMA HEMORRAGIA

• Isquémico :
– Hiperagudo <12 hrs.
– Agudo 12-24 hrs.
                        TAC~ 50-60% normal

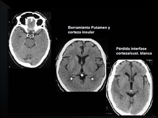
Signos precoces : hiperdensidad arterial,
borrosidad lenticular, banda insular, interfase
  grisblanca
   Se ve en la mayoría de los TEC moderados o
    intensos

   TAC sensibilidad > 90% episodio agudo
               TAC emergente < 1h

   Signos precoces : finas colecciones líquidas de
    alta densidad en las cisternas basales, cisura
    interhemisférica, cisura silviana y surcos
    intracraneales.
   Si persiste alta sospecha de HSA: punción
    lumbar con xantocromía
 Enf poco frec: sexo femenino, toma de
  ACHO, estados de hipercoagulabilidad…
 ACV en diferentes territorios arteriales.
Neuroprotección no-farmacológica:
- Vía aerea: disfagia, aspiración…
- Posición de la cabeza


Neuroprotección farmacológica:
- Antihipertensivos
- Antiagregación
- Neuroprotectores
 ACVAh: hipoventilación central,
  hipercapnia , VD cerebral y aumento PIC
Si glasgow <8  IOT
Si buena oxigenación: Monitorización de
  StO2.
No O2 de forma sistemática
Sólo si Hipoxia comprobada:
GAB: pO2<60mmHg o StO2<95%
   ACVAi: riesgo elevado de Neumonía
    aspirativa

   Generalmente optamos por dieta absoluta
    en la fase aguda hasta evaluación de la
    función deglutoria.

   Si disfagia evaluar: SNG para alimentación
    y medicamentos.
 ACVA: cabecera elevada a 30º si:
- Signos PIC (ACVAh, ACVAi extenso…)
- Riesgo de aspiración (disfagia o nivel de
  consciencia)
- Descompensación cardiovascular o StO2
  asociadas

 Cabecera entre 0-15º si:
- ACVA sin los riesgos anteriormente
  mencionados.
 BM test: descartar hipoglucemia.
Glucosmon de entrada en paciente
  insulinizados o toman ADO.

 Hiperglucemia:
- mantenida empeora el pronóstico final
- Tratar si es severa > 180mg/dl
               [European Stroke Initiative Guidelines]
   Lo primero excluir causa infecciosa:
    meningitis, absceso cerebral, endocarditis…

   Causas frecuentes: Neumonía aspirativa e
    ITUs.

   Tratar sólo si >37ºc : Paracetamol 1gr
    cada 8h.
   HTA previa, respuesta SNA…

   ACVAi no tratar si no PAS>220mmHg o
    PAD>120mmHg o LOD: SCA, FRA…

   Si esta indicado: bajar un 15% en 24h

   Si tomaba AntiHTA: reiniciar a las 24h

 Si candidato para trombolisis:
PAS<185mmHg y PAD<110mmHg
   PPC =PAM =(PS)+(PD x 2)/3
Normal: 70-105mmHg           Objetivo: 60–70mmHg


 Agentes AntiHTA:
- Labetalol
- Nitroglicerina:
(Arritmias graves, FA lenta BAV)
- Urapidilo
(si CI Labetalol)
 Apririna 300mg si :
- AIT primeras horas, ACVAi *: dentro de las primeras
  24h y descartado hemorragia. (clopidogrel sólo si
    intolerancia/alergia documentada a Aspirina)

   Si asocia:
-   FA: Aspirina dte 2sem antes de ACO.
-   Valvulas protésicas y riesgo de transformación
    hemorragica alto  Stop ACO y sustituir por Aspirina
    dte 1 sem

-   Trombosis de senos venosos:
Iniciar anticoagulación: HBPM + Sintom dte 3 a 6 meses
    (incluso si pequeña hemorragia secundaria en TAC).
Indicado si:
   AIT cardioembólico
   Infarto cerebral origen cardioembólico a partir del 4-7º día desde
    el inicio del ictus por riesgo de transformación hemorrágica
   AITs de repetición que no responde a antiagregantes
   Infarto cerebral progresivo de territorio vertebrobasilar
   Infartos por trombosis de los senos venosos intracerebrales
   Infartos cerebrales por disección carotídea o vertebral
   Determinados estados trombofílicos

          Enoxaparina (Clexane) 1mg/kg/12h

En ACVh iniciar a las 48h, mientras tanto
  medidas físicas
   Sospecha:        Alerta , resp de Cheynes-stokes, signos de herniación,
    hidrocefalia: midriasis arrectiva…

                             TAC Urgente

     fluidos(1- 1,5l/d) y evitar S.glucosados e hipotónicos.
   detectar y tratar: hipertermia, hipoxemia, hipercapnia…


   Agentes osmóticos:
Manitol al 20% : 250cc en 20 min, (0.25-0.5g/Kg) 125 cc /6 h el
  1er día en 30min, cada 8h el 2ª, cada 12 h el 3er, cada 24h el 4ªy
  retirar el 5ª día.

Objetivo: Osm [300-310]      E.A: evitar FRA

                    Contraindicados CORTICOIDES
   Riesgo en ACVh [4,2 - 29%]
   Suelen ser No-convulsivos

   Lorazepam o diazepam IV de elección para
    control de crisis aguda.

 No profilaxis de forma sistemática con
  antiepilepticos.
Sólo si riesgo de repetición y ACVAh

   Levetiracetam (Keppra) 1amp 500mg
    (100mg/ml). ½ amp en 100 SF en 15min cada
    12h (facilidad de administración, menos
    interacciones, = eficacia)
Estatinas:
 No esta indicado iniciar tratamiento en fase aguda.
 Si ya estaba tomando, continuar


Neuroprotectores:
 Citicolina (Somazina) 1 amp de 1 gramo en 100cc SF iv/ 12
  horas o 1 amp bebida / 12 horas.
 No hay datos suficientes que avalen su uso en fase aguda.


  Fluidoterapia:
Suero Fisiológico 2000- 2500 ml/ 24h.
S.glucosados si diabético o necesidad de insulina o hipoglucemia.

 Profilaxis de hemorragia digestiva:
Omeprazol 40 mg/ 24h IV
   Edad [18 – 80] años
   Inicio < 3h , Rankin < 2
   Disponibilidad de UNV / Neurólogo de
    guardia localizable.
   Mortalidad entre 32 – 52%

   La primeras 48h son críticas

   Px: localización, tamaño del hematoma*, nivel de
    consciencia*, edad, ACO…

   ICH score: predice mortalidad
•   >60cc en el TAC y GCS<8  mortalidad 91% a los 30 días.


   Fact imp recurrencia: HTA mal controlada, ACO,
    localización lobar, vejez…
   Suspender antiagegación y/o anticogulación*
    durante 2 Sem mínimo.

*Revertir con VitK si INR > 1,4 Fitomenadiona:
  1ml/10mg ( 1 o 2 ampollas en 100SF iv lento
  en 30 min)

   TVP sintomática o TEP: ACO si no CI


   HBPM: sulfato de protamina

                  IC a hematología
   ACVAh: riesgo/beneficio de la      PA es
    favorable. disminuye resangrado…

PAS>200 o PAD>150: PA y control cada 5 min

PAS>180 o PAD>130: si signos de HIC  PA
  con infusión intermitente o continua de
  AntiHTA.

PAS>180 o PAD>130 y no evidencia de HIC, PA
  de forma menos agresiva.
   Unidad de cuidados intensivos:
               Son pacientes de manejo en UCI
         Sedación/IOT, control estricto de PA, PIC…

  Unidad de neurocirugía: Tto quirúrgico
Localización cerebelar >3cm y deterioro neurológico
Paciente no comatoso, jóven, inicio reciente con deterioro
   progresivo, localización del hematoma cerca de la
   corteza, hemisferio no-dominante

Cranetomía evacuadora diferida: Localización supratentorial
   y vol<30ml y menos de 1cm de la superficie.
Ventriculostomía y drenaje externo: localización
   intraventricular e hidrocefalia, compresión…
   Verdadera emergencia médica
   Rotura de un aneurisma intracraneal ++
   HTA mal controlada ++

   Cerca del 10% fallecen antes de llegar al
    hospital.

   Px: nivel ce consciencia, edad del paciente,
    presencia de sangre en el TAC incial,
    Vasoespasmo sintomático…

   Derivación a UNV: cirugía dentro de las 48-
    72h post-hemorragia.
   Clasificación clínica en base a Expl neurológica
                    Escala de Hunt and Hess

  Tratar HTA si 170-230/100-120mmHg
Evitar Nitroglic y Nitroprus en el manejo de la HTA 
   aumentan la PIC (Labetalol de elección)

   Evitar el vómito (metoclopramida) , estreñimiento
    (hodernal) el dolor y ansiedad (mórficos)…

 Vasoespasmo (máx 3er y 7 día): Nimodipino de
  elección P.O o SNG: 60mg/ 4h dentro de primeros
  4 días.
Mejora el Px final, pero no previene ni trata el
  vasoespasmo. Evitar Administración IV

              Uso de Corticoides controvertido
ESCALA
ABCD2
Si tiene seguro
médico, esta en coma
y si no, esta muerto!
   Harrison: Principios de medicina interna.
   Initial assesment and management of acute stroke. Up ToDate. 2010.
   Spontaneous intracerebral hemorrhage: Prognosis and treatment. Up ToDate.
   Guía de Práctica Clínica para el Manejo de Pacientes con Ictus en Atención
    Primaria.
   NICE clinical guideline CG68. Diagnosis and initial management of acute stroke
    and transient ischaemic attack (TIA).
   Manejo inicial del ictus isquémico agudo. Med Intensiva. 2008;32(9):431-43.
   http://www.mdcalc.com/
   Protocolo de tratamiento fibrinolitico en el ictus agudo en el hospital de
    manacor.
Accidente cerebrovascular agudo

Accidente cerebrovascular agudo

  • 2.
    1. Reconocer deforma precoz un accidente cerebrovascular agudo 2. Actitud ante una sospecha de ACVA en el SUH? 3. Protocolos y criterios de derivación
  • 3.
    ICTUS : lat. 'golpe', 'ataque'  Accidente CerebroVascular Agudo: ACVA Es el desarrollo rápido de signos clínicos de disturbios de la función cerebral o global, con síntomas que persisten 24 horas o más, o que llevan a la muerte con ninguna otra causa evidente que el origen vascular. Organización Mundial de la Salud Inglés: Stroke
  • 4.
    Enfermedad grave y frecuente.  Incidencia: 200/100.000 hab/año.  Cerca del 15% recidiva a los 2 años. 1ª causa de discapacidad motora: 50-75% secuelas. 2ª causa de demencia. 3ª Causa de mortalidad en países desarrollados.  Costes : $43 billones por año en EE.UU.
  • 5.
    Aterotrombótico Isquémico Lacunar 85% Embolia cardiogénica Causa no precisada Otras ACVA Hemorrágico Intraparenquimatoso Subaracnoideo 15%
  • 6.
    Agudo: primeras 4h  AIT: episodio breve de disfunción neurológica, con síntomas clínicos que duran <1h y sin evidencia de infarto en las técnicas de neuroimagen.  Otros: Deficit isquémico reversible, Progresivo, Deteriorante, Recurrente precoz, Establecido.
  • 7.
    Oclusión de circulacióncerebral: Completa : Muerte de tejido cerebral: 4 a 10´ <16 a 18 ml/100 g/min infarto en unos 60´ <20ml/100 g/min  isquemia sin infarto Hemorragia intracerebral: Hipoxemia central: pCO2, VD cerebral  PIC Neurotoxicidad: degradación de la Hb… Efecto masa de la sangre, edema…
  • 8.
     Instauración bruscao rápidamente progresiva  Déficit neurológico central persistente>de 24h 3 Entidades:  Accidente cerebrovascular  territorio vascular  Hemorragia intracerebral  Cefalea ++  Trombosis de senos venosos cerebrales: deficit focal + cefalea +/-convulsiones
  • 9.
     Reconocimiento precoz Anamnesis rápida guiada  Pruebas complementarias  Hª clínica y EF  Tratamiento  Criterios de derivación
  • 10.
     Anivel Prehospitalario: Face Arm Speech Test (FAST) S: 98% VPP: 97% Personal paramédico y populación general Al menos 3 síntomas : llamar al 112.
  • 11.
    Establecer la probabilidad de un ACVA a nivel hospitalrio.  Ictus o No-Ictus Un Score neg no descarta el Ictus.
  • 12.
    Datos del paciente: nombre, SIP, Nº tlf de familiares o testigos…  Inicio de los síntomas: al despertar?  Trat habitual: ACO, HBPM…  Antec medico-quirurgicos.  Estado de salud previo: FRCV…  Anamnesis y EF guiada: Glasgow, Escalas: FAST, ROSIER, RANKIN… NOTA: es recomendable un formulario protocolizado de AP, Ttos vigentes, Escala NIH de la gravedad…
  • 14.
    Generales:  Estabilizar al paciente: ABC, revertir Hipoglucemia…  Derivar de forma rápida y segura hacia un SUH-UNV Específicos:  FSP de los síntomas neurológicos actuales?  Descartar CI de trombolisis en ACV Isquémico.  Evitar el empeoramiento de la hipoxemia cerebral.  Prevenir, detectar y tratar de forma precoz las complicaciones.
  • 15.
    A todos: Ctes vitales;PA, StO2, BM test y Tª ECG, Peso aproximado, Hemog, bioq, coagul, enzimas cardiacas, perfíl lipídico. TAC cerebral urgente Según sospecha: Perfíl hepático, tóxicos, alcoholemia, Test de embarazo, GAB, cruzar y reservar CCHH, PL, EEG, Rx de Torax.
  • 16.
    Orientada al DDde ictus y/o Alteración nivel de consciencia:  CyC: soplos o ausencia de pulsos, traumatismos, signos meningeos…  Boca: mordeduras de la lengua…  ACP: soplos, arritmias…  Piel: petequias, púrpuras…  Extremidades: TVP…  SN: ++ Glasgow, Escala NIHSS…
  • 18.
    TAC cerebral Generalmente el Dx es radiológico Siempre después de estabilizar al paciente TAC Emergente <1h si: Alteración del nivel de consciencia GCS< 13 indicación de trombolisis o anticoagulación precoz, toma de ACO, predisposición al sangrado, sintomas neurológicos progresivos o fluctuantes inexplicados, fiebre, signos de irritación meningea, cefalea brusca intensa. NICE clinical guideline
  • 19.
    TAC exámen de elección DESCARTA O CONFIRMA HEMORRAGIA • Isquémico : – Hiperagudo <12 hrs. – Agudo 12-24 hrs. TAC~ 50-60% normal Signos precoces : hiperdensidad arterial, borrosidad lenticular, banda insular, interfase grisblanca
  • 21.
    Se ve en la mayoría de los TEC moderados o intensos  TAC sensibilidad > 90% episodio agudo TAC emergente < 1h  Signos precoces : finas colecciones líquidas de alta densidad en las cisternas basales, cisura interhemisférica, cisura silviana y surcos intracraneales.
  • 22.
    Si persiste alta sospecha de HSA: punción lumbar con xantocromía
  • 23.
     Enf pocofrec: sexo femenino, toma de ACHO, estados de hipercoagulabilidad…  ACV en diferentes territorios arteriales.
  • 24.
    Neuroprotección no-farmacológica: - Víaaerea: disfagia, aspiración… - Posición de la cabeza Neuroprotección farmacológica: - Antihipertensivos - Antiagregación - Neuroprotectores
  • 25.
     ACVAh: hipoventilacióncentral, hipercapnia , VD cerebral y aumento PIC Si glasgow <8  IOT Si buena oxigenación: Monitorización de StO2. No O2 de forma sistemática Sólo si Hipoxia comprobada: GAB: pO2<60mmHg o StO2<95%
  • 26.
    ACVAi: riesgo elevado de Neumonía aspirativa  Generalmente optamos por dieta absoluta en la fase aguda hasta evaluación de la función deglutoria.  Si disfagia evaluar: SNG para alimentación y medicamentos.
  • 27.
     ACVA: cabeceraelevada a 30º si: - Signos PIC (ACVAh, ACVAi extenso…) - Riesgo de aspiración (disfagia o nivel de consciencia) - Descompensación cardiovascular o StO2 asociadas  Cabecera entre 0-15º si: - ACVA sin los riesgos anteriormente mencionados.
  • 28.
     BM test:descartar hipoglucemia. Glucosmon de entrada en paciente insulinizados o toman ADO.  Hiperglucemia: - mantenida empeora el pronóstico final - Tratar si es severa > 180mg/dl [European Stroke Initiative Guidelines]
  • 29.
    Lo primero excluir causa infecciosa: meningitis, absceso cerebral, endocarditis…  Causas frecuentes: Neumonía aspirativa e ITUs.  Tratar sólo si >37ºc : Paracetamol 1gr cada 8h.
  • 30.
    HTA previa, respuesta SNA…  ACVAi no tratar si no PAS>220mmHg o PAD>120mmHg o LOD: SCA, FRA…  Si esta indicado: bajar un 15% en 24h  Si tomaba AntiHTA: reiniciar a las 24h  Si candidato para trombolisis: PAS<185mmHg y PAD<110mmHg
  • 31.
    PPC =PAM =(PS)+(PD x 2)/3 Normal: 70-105mmHg Objetivo: 60–70mmHg  Agentes AntiHTA: - Labetalol - Nitroglicerina: (Arritmias graves, FA lenta BAV) - Urapidilo (si CI Labetalol)
  • 32.
     Apririna 300mgsi : - AIT primeras horas, ACVAi *: dentro de las primeras 24h y descartado hemorragia. (clopidogrel sólo si intolerancia/alergia documentada a Aspirina)  Si asocia: - FA: Aspirina dte 2sem antes de ACO. - Valvulas protésicas y riesgo de transformación hemorragica alto  Stop ACO y sustituir por Aspirina dte 1 sem - Trombosis de senos venosos: Iniciar anticoagulación: HBPM + Sintom dte 3 a 6 meses (incluso si pequeña hemorragia secundaria en TAC).
  • 33.
    Indicado si:  AIT cardioembólico  Infarto cerebral origen cardioembólico a partir del 4-7º día desde el inicio del ictus por riesgo de transformación hemorrágica  AITs de repetición que no responde a antiagregantes  Infarto cerebral progresivo de territorio vertebrobasilar  Infartos por trombosis de los senos venosos intracerebrales  Infartos cerebrales por disección carotídea o vertebral  Determinados estados trombofílicos Enoxaparina (Clexane) 1mg/kg/12h En ACVh iniciar a las 48h, mientras tanto medidas físicas
  • 34.
    Sospecha: Alerta , resp de Cheynes-stokes, signos de herniación, hidrocefalia: midriasis arrectiva… TAC Urgente  fluidos(1- 1,5l/d) y evitar S.glucosados e hipotónicos.  detectar y tratar: hipertermia, hipoxemia, hipercapnia…  Agentes osmóticos: Manitol al 20% : 250cc en 20 min, (0.25-0.5g/Kg) 125 cc /6 h el 1er día en 30min, cada 8h el 2ª, cada 12 h el 3er, cada 24h el 4ªy retirar el 5ª día. Objetivo: Osm [300-310] E.A: evitar FRA Contraindicados CORTICOIDES
  • 35.
    Riesgo en ACVh [4,2 - 29%]  Suelen ser No-convulsivos  Lorazepam o diazepam IV de elección para control de crisis aguda.  No profilaxis de forma sistemática con antiepilepticos. Sólo si riesgo de repetición y ACVAh  Levetiracetam (Keppra) 1amp 500mg (100mg/ml). ½ amp en 100 SF en 15min cada 12h (facilidad de administración, menos interacciones, = eficacia)
  • 36.
    Estatinas:  No estaindicado iniciar tratamiento en fase aguda.  Si ya estaba tomando, continuar Neuroprotectores:  Citicolina (Somazina) 1 amp de 1 gramo en 100cc SF iv/ 12 horas o 1 amp bebida / 12 horas.  No hay datos suficientes que avalen su uso en fase aguda.  Fluidoterapia: Suero Fisiológico 2000- 2500 ml/ 24h. S.glucosados si diabético o necesidad de insulina o hipoglucemia.  Profilaxis de hemorragia digestiva: Omeprazol 40 mg/ 24h IV
  • 37.
    Edad [18 – 80] años  Inicio < 3h , Rankin < 2  Disponibilidad de UNV / Neurólogo de guardia localizable.
  • 38.
    Mortalidad entre 32 – 52%  La primeras 48h son críticas  Px: localización, tamaño del hematoma*, nivel de consciencia*, edad, ACO…  ICH score: predice mortalidad • >60cc en el TAC y GCS<8  mortalidad 91% a los 30 días.  Fact imp recurrencia: HTA mal controlada, ACO, localización lobar, vejez…
  • 39.
    Suspender antiagegación y/o anticogulación* durante 2 Sem mínimo. *Revertir con VitK si INR > 1,4 Fitomenadiona: 1ml/10mg ( 1 o 2 ampollas en 100SF iv lento en 30 min)  TVP sintomática o TEP: ACO si no CI  HBPM: sulfato de protamina IC a hematología
  • 40.
    ACVAh: riesgo/beneficio de la PA es favorable. disminuye resangrado… PAS>200 o PAD>150: PA y control cada 5 min PAS>180 o PAD>130: si signos de HIC  PA con infusión intermitente o continua de AntiHTA. PAS>180 o PAD>130 y no evidencia de HIC, PA de forma menos agresiva.
  • 41.
    Unidad de cuidados intensivos: Son pacientes de manejo en UCI Sedación/IOT, control estricto de PA, PIC…  Unidad de neurocirugía: Tto quirúrgico Localización cerebelar >3cm y deterioro neurológico Paciente no comatoso, jóven, inicio reciente con deterioro progresivo, localización del hematoma cerca de la corteza, hemisferio no-dominante Cranetomía evacuadora diferida: Localización supratentorial y vol<30ml y menos de 1cm de la superficie. Ventriculostomía y drenaje externo: localización intraventricular e hidrocefalia, compresión…
  • 42.
    Verdadera emergencia médica  Rotura de un aneurisma intracraneal ++  HTA mal controlada ++  Cerca del 10% fallecen antes de llegar al hospital.  Px: nivel ce consciencia, edad del paciente, presencia de sangre en el TAC incial, Vasoespasmo sintomático…  Derivación a UNV: cirugía dentro de las 48- 72h post-hemorragia.
  • 43.
    Clasificación clínica en base a Expl neurológica Escala de Hunt and Hess  Tratar HTA si 170-230/100-120mmHg Evitar Nitroglic y Nitroprus en el manejo de la HTA  aumentan la PIC (Labetalol de elección)  Evitar el vómito (metoclopramida) , estreñimiento (hodernal) el dolor y ansiedad (mórficos)…  Vasoespasmo (máx 3er y 7 día): Nimodipino de elección P.O o SNG: 60mg/ 4h dentro de primeros 4 días. Mejora el Px final, pero no previene ni trata el vasoespasmo. Evitar Administración IV Uso de Corticoides controvertido
  • 46.
  • 47.
    Si tiene seguro médico,esta en coma y si no, esta muerto!
  • 48.
    Harrison: Principios de medicina interna.  Initial assesment and management of acute stroke. Up ToDate. 2010.  Spontaneous intracerebral hemorrhage: Prognosis and treatment. Up ToDate.  Guía de Práctica Clínica para el Manejo de Pacientes con Ictus en Atención Primaria.  NICE clinical guideline CG68. Diagnosis and initial management of acute stroke and transient ischaemic attack (TIA).  Manejo inicial del ictus isquémico agudo. Med Intensiva. 2008;32(9):431-43.  http://www.mdcalc.com/  Protocolo de tratamiento fibrinolitico en el ictus agudo en el hospital de manacor.