RESTRICCIÓN DE CRECIMIENTO
INTRAUTERINO
REPÚBLICA BOLIVARIANA DE VENEZUELA
UNIVERSIDAD DEL ZULIA
FACULTAD DE MEDICINA
POSTGRADO DE OBSTETRICIA Y GINECOLOGÍA
HOSPITAL CHIQUINQUIRÁ
Coordinador:
Dr. Juan Pulido
Expositor (a):
M.C. Juliana Vivas
RESTRICCIÓN DE CRECIMIENTO INTRAUTERINO
DEFINICIÓN
Incapacidad de lograr un crecimiento
intrauterino óptimo dado por su
potencial genético
''Un feto con un peso estimado
por debajo del décimo percentil
para la edad gestacional’’
Pérez Wulff J, Márquez Contreras D, Muñoz H, Solís Delgado A, Otaño L, Ayala Hung V. Restricción
de Crecimiento Intrauterino. FLASOG, GC;2013:2
Colegio Americano de
Obstetras y Ginecólogos
Crecimiento fetal por debajo del percentil 10 para la edad
gestacional con signos de compromiso fetal que incluyen
anormalidades de la circulación feto placentaria identificadas
por Doppler, disminución del líquido amniótico o alteraciones en
las pruebas de bienestar fetal (Perfil biofísico fetal, monitoreo no
estresante - NST).
OMS: BPN:
RN <2500gr
Independiente de EG
RESTRICCIÓN DE CRECIMIENTO INTRAUTERINO
El feto con un peso inferior al percentil 3 para la edad gestacional
calculado por ecografía.
Feto con circunferencia abdominal por debajo del percentil 2,5
para la edad gestacional sin alteraciones de otros parámetros
biométricos.
Un feto pequeño para la edad gestacional
es aquel cuyo peso fetal está entre el
percentil 3 y 10, muestra una valoración
anatómica por ultrasonido normal, presenta
pruebas de bienestar fetal normales y al
realizar una valoración prospectiva persiste
en similares percentiles de crecimiento.
DEFINICIÓN
Pérez Wulff J, Márquez Contreras D, Muñoz H, Solís Delgado A, Otaño L, Ayala Hung V. Restricción
de Crecimiento Intrauterino. FLASOG, GC;2013:2
RESTRICCIÓN DE CRECIMIENTO INTRAUTERINO
Los RN con BPN se clasifican en 3
grupos
RN prematuro <37 semanas con peso
apropiado para EG
RN prematuro con
RCIU
RN a termino con RCIU
Al tomar el percentil 10
80% Normal
(pero pequeño
constitucionalmente)
20% RCIU
(morbilidad incrementada de
2-6 veces)
Al tomar el percentil 3
2% Normal 98% RCIU
RESTRICCIÓN DE CRECIMIENTO INTRAUTERINO
Bases Fisiológicas del crecimiento fetal
Fase Cambios Semanas de
gestación
Ganancia de peso
Hiperplasia celular Incremento rápido en
el número de células.
Primeras 16
semanas
5 g/día a la semana
15
Hiperplasia e
hipertrofia celular
Incremento en el
número y tamaño de
células.
17 a 32 semanas 15 a 20 g/día a la
semana 24
Hipertrofia celular Incremento rápido en
el tamaño celular.
Depósito de grasa y
glucógeno.
> 32 semanas 30 a 35 g/día a la
semana 34
Fuente: datos tomados de Lin CC, Santolaya-Forgas J. Current concepts of fetal growth restriction: part I. Causes, classification, and pathophysiology.
Obstet Gynecol 1998;92(6):1044-55.
RESTRICCIÓN DE CRECIMIENTO INTRAUTERINO
RESTRICCIÓN DE CRECIMIENTO INTRAUTERINO
ETIOLOGIA
 Constitución materna: peso<50 kg y/o talla <150 cm
 Desnutrición severa previa o escasa ganancia de
peso
 Enfermedades crónicas: HTA, DM, enfermedad
vascular, mesenquimopatías, cardiopatía cianótica,
insuficiencia respiratoria crónica, ERC
 Abuso de sustancias: tabaco, alcohol, cocaína
 Factores ambientales
 Anomalías uterinas
 Infecciones durante embarazo: TORCH
Causas
Maternas
RESTRICCIÓN DE CRECIMIENTO INTRAUTERINO
ETIOLOGIA
Causas
Fetales
Gestación múltiple
 Malformaciones congénitas
Anomalías cromosómicas
Síndromes genéticos
Embarazo prolongado
RESTRICCIÓN DE CRECIMIENTO INTRAUTERINO
ETIOLOGIA
Causas
Ovulares
Placentarias
Insuficiencia placentaria
 Desprendimiento placentario crónico
Placenta previa
Acretismo placentario
Patologías del cordón umbilical
 Inserción velamentosa del cordón
Arteria umbilical única
RESTRICCIÓN DE CRECIMIENTO INTRAUTERINO
CLASIFICACIÓN
Etiopatogénica
Intrínseco
Fetos con malformaciones graves, placenta
con volumen y número de células normales
Extrínseco Fetos pequeños sin anomalías estructurales, placenta
pequeña y disminución del número de células
Simétrico
Uniformemente pequeños, PC ,
aprox. 20% de células del encéfalo y
otros órganos principalmente hígado.
(madres que padecieron grave restricción
nutricional)
Asimétrico
Pequeños con perímetro cefálico
normal, tamaño de diversos
órganos, 50% células hepáticas, el
número de células de encéfalo es
normal
Winick y
cols.
Usandizaga & De La Fuente, Obstetricia y Ginecología, Marbán 2011, 4ªEdición capítulo 9 pág 364-365
RESTRICCIÓN DE CRECIMIENTO INTRAUTERINO
CLASIFICACIÓN
Ecográfica
Perfil
Bajo
PC es inferior al normal durante toda la gestación. Fetos
con anomalías o infecciones congénitas, insuficiencia útero-
placentaria de inicio temprano
RCIU con
aplanamiento
tardío
PC normal hasta el III trimestre. Factores maternos o
placentarios, déficit en el intercambio en el III trimestre
Disarmónico= PC normal y PA disminuido
Usandizaga & De La Fuente, Obstetricia y Ginecología, Marbán 2011, 4ªEdición capítulo 9 pág 364-365
Armónico= PC y PA disminuidos
Clínica Crónico (Simétrico) Subagúdo (Asimétrico)
RCIU Temprano
<28 semanas
RCIU Tardío
>28 semanas
RESTRICCIÓN DE CRECIMIENTO INTRAUTERINO
RESTRICCIÓN DE CRECIMIENTO INTRAUTERINO
CARACTERISTICAS TIPO I. SIMETRICO TIPO II. ASIMETRICO
Causas
Intrínseco: genético y/o
hereditario
Extrínseco: infección
intrauterina, teratógenos y el
uso de drogas
Extrínseco: insuficiencia
placentaria (patología
materna), alteraciones
primarias de la placenta y
situaciones en las que existe
disminución de O2.
Frecuencia 33% 55%
Comienzo Temprano (<28 sem) Tercer trimestre (>28 sem)
Órganos afectados Microcefalia, disminución del
tamaño del cerebro e hígado.
Peso < longitud
Cerebro normal é hígado
disminuido.
Características celulares Hipoplasia
Tamaño normal
Hipotrofia
Numero normal
Crecimiento placentario Tamaño normal Tamaño disminuido
Anomalías fetales Frecuentes, múltiples Infrecuentes
RESTRICCIÓN DE CRECIMIENTO INTRAUTERINO
CARACTERISTICAS TIPO I. SIMETRICO TIPO II. ASIMETRICO
Diámetro biparietal (DBP) Disminuido Normal
Circunferencia abdominal Disminuido Disminuido
Relación CC/CA Normal Aumentada
Relación fémur/abdomen Normal Aumentado
Índice ponderal Normal Disminuido
Evolución neonatal y
Crecimiento postnatal
La evolución neonatal es
complicada, mal pronóstico.
Crecimiento postnatal pobre
Evolución neonatal y
crecimiento postnatal
bueno.
RESTRICCIÓN DE CRECIMIENTO INTRAUTERINO
FISIOPATOLOGIA
Malformaciones
Infecciones
Hipoxia (70-80%)
Factores no del todo conocidos (genéticos, inmunológicos,
ambientales, Fx predisponentes de la madre como: obesidad,
Sind. Metabólico, HTA crónica, trombofilias, entre otras
HIF
>12sem.
COMT
Fx antiangiogénicos como el receptor
soluble simil de tirosina 1 (SFlt1)
Fx Angiogénicos (PGF y TGF)
Apoptosis placentaria
ON y stress oxidativo
Falla remodelación placentaria, tamaño y flujo placentario
R C I U
Pérez Wulff J, Márquez Contreras D, Muñoz H, Solís Delgado A, Otaño L, Ayala Hung V. Restricción de Crecimiento
Intrauterino. FLASOG, GC;2013:2
HIPOXIA
RESTRICCIÓN DE CRECIMIENTO INTRAUTERINO
Pérez Wulff J, Márquez Contreras D, Muñoz H, Solís Delgado A, Otaño L, Ayala Hung V. Restricción de Crecimiento
Intrauterino. FLASOG, GC;2013:2
Mecanismo de adaptación fetal a la HIPOXIA
RESTRICCIÓN DE CRECIMIENTO INTRAUTERINO
DIAGNÓSTICO
HISTORIA CLÍNICA:
Anamnesis
Examen físico
ECOGRAFÍA
Biometría fetal
Longitud cráneo caudal
DBP
CC
CA
Relación CC/CA
Relación fémur/abdomen
Peso estimado fetal
Volumen de líquido amniótico
RESTRICCIÓN DE CRECIMIENTO INTRAUTERINO
DIAGNÓSTICO
VELOCIMETRIA DOPPLER
• Arterias uterinas
•Arterias umbilicales
•Arteria cerebral media
VELOCIMETRIA DOPPLER
Fase Silente
Fase de aumento de la resistencia de
arteria umbilical
Fase de centralización Inicial “circuito
de ahorro cerebral”
Fase de centralización avanzada
Fase de descentralización o falsa
normalización
Arteria uterina normal
Arteria uterina con presencia de escotadura protodiastólica y aumento en los indices de resistencia y pulsatilidad
Arteria umbilical con indices de resistencia y pulsatilidad normales
Fin de diástole ausente en Doppler de arteria umbilical
Arteria umbilical con flujo diastólico reverso
RESTRICCIÓN DE CRECIMIENTO INTRAUTERINO
DIAGNÓSTICO
DIAGNÓSTICO BIOQUÍMICO
•Estriol
•Lactógeno placentario
•Alfa feto proteína
•Beta-hCG
•PAPP-A
Esquema Diagnóstico de RCIU
DIAGNÓSTICO
Schwarcz R, Fescina R, Duverges C, Obsteticia, El Ateneo 2005, 6ta Edición, Capítulo 8
RCIU Simétrico o Asimétrico
PA/LF= > o < 4.25
RESTRICCIÓN DE CRECIMIENTO INTRAUTERINO
Conducta Obstétrica
Medidas generales
Tratar la patología materna
Administración de O2 a la madre
Mejorar el flujo uteroplacentario
Agonista betaadrenérgicos a dosis bajas
Ácido acetilsalicilico
Calcio
Magnesio
L-carnitina
Manejo RCIU
< 27sem 28-33 sem >37sem34-36 sem
Parto- elección de vía
según situación obstétrica
Tx: de la patología especifica-reposo-supresión de tóxicos-ajustes de dieta
Control ecográfico del
crec. c/2 sem hasta
que alcance las 28 sem.
Detención del crecimiento
Control ecográfico del crec.
c/1-2sem hasta 34 sem.
NO SÍ
Maduración pulmonar
NO SÍ
P. Confirmación de daño fetal
Negativa Positiva
Est. mad. pulmonar
Cont. Ecográfico
Repetir en 1 sem.
RESTRICCIÓN DE CRECIMIENTO INTRAUTERINO
SEGUI MIENTO
RESTRICCIÓN DE CRECIMIENTO INTRAUTERINO
Complicaciones
Inmediatas
Asfixia perinatal
 Aspiración de meconio
 Policitemia.
 Hipoglicemia, hipocalcemia.
 Hemorragia cerebral y
pulmonar.
 Trastorno de la Coagulación.
 Enterocolitis necrotizante.
 Riesgo de muerte súbita del
lactante
Tardías/Secuelas
 Parálisis Cerebral.
 Convulsiones.
 Retardo mental
 Retardo del aprendizaje.
 Alteraciones pondoestaturales.
 Enfermedad coronarias.
 Diabetes.
 Accidente cerebrovascular
RESTRICCIÓN DE CRECIMIENTO INTRAUTERINO
RESTRICCIÓN DE CRECIMIENTO INTRAUTERINO
PRONOSTICO
 9 a 27% de los casos tienen anomalías genéticas o anatómicas
 Mayor morbilidad perinatal por asfixia intraparto
 Mayor morbilidad perinatal por hipoglicemia, hipocalcemia
 Mayor riesgo de daño intelectual y neurológico
 Mayor mortalidad perinatal
 Probablemente mayor riesgo de muerte súbita del lactante
 La mayoría de los infantes que tuvieron RCIU tienen tasas de
crecimiento normales durante la infancia y la adolescencia
 La desnutrición intrauterina constituye un factor de riesgo para
HTA, diabetes, ECV e IM en la vida adulta
RESTRICCIÓN DE CRECIMIENTO INTRAUTERINO

RCIU

  • 1.
    RESTRICCIÓN DE CRECIMIENTO INTRAUTERINO REPÚBLICABOLIVARIANA DE VENEZUELA UNIVERSIDAD DEL ZULIA FACULTAD DE MEDICINA POSTGRADO DE OBSTETRICIA Y GINECOLOGÍA HOSPITAL CHIQUINQUIRÁ Coordinador: Dr. Juan Pulido Expositor (a): M.C. Juliana Vivas
  • 2.
    RESTRICCIÓN DE CRECIMIENTOINTRAUTERINO DEFINICIÓN Incapacidad de lograr un crecimiento intrauterino óptimo dado por su potencial genético ''Un feto con un peso estimado por debajo del décimo percentil para la edad gestacional’’ Pérez Wulff J, Márquez Contreras D, Muñoz H, Solís Delgado A, Otaño L, Ayala Hung V. Restricción de Crecimiento Intrauterino. FLASOG, GC;2013:2 Colegio Americano de Obstetras y Ginecólogos Crecimiento fetal por debajo del percentil 10 para la edad gestacional con signos de compromiso fetal que incluyen anormalidades de la circulación feto placentaria identificadas por Doppler, disminución del líquido amniótico o alteraciones en las pruebas de bienestar fetal (Perfil biofísico fetal, monitoreo no estresante - NST). OMS: BPN: RN <2500gr Independiente de EG
  • 3.
    RESTRICCIÓN DE CRECIMIENTOINTRAUTERINO El feto con un peso inferior al percentil 3 para la edad gestacional calculado por ecografía. Feto con circunferencia abdominal por debajo del percentil 2,5 para la edad gestacional sin alteraciones de otros parámetros biométricos. Un feto pequeño para la edad gestacional es aquel cuyo peso fetal está entre el percentil 3 y 10, muestra una valoración anatómica por ultrasonido normal, presenta pruebas de bienestar fetal normales y al realizar una valoración prospectiva persiste en similares percentiles de crecimiento. DEFINICIÓN Pérez Wulff J, Márquez Contreras D, Muñoz H, Solís Delgado A, Otaño L, Ayala Hung V. Restricción de Crecimiento Intrauterino. FLASOG, GC;2013:2
  • 4.
    RESTRICCIÓN DE CRECIMIENTOINTRAUTERINO Los RN con BPN se clasifican en 3 grupos RN prematuro <37 semanas con peso apropiado para EG RN prematuro con RCIU RN a termino con RCIU
  • 5.
    Al tomar elpercentil 10 80% Normal (pero pequeño constitucionalmente) 20% RCIU (morbilidad incrementada de 2-6 veces) Al tomar el percentil 3 2% Normal 98% RCIU
  • 6.
    RESTRICCIÓN DE CRECIMIENTOINTRAUTERINO Bases Fisiológicas del crecimiento fetal Fase Cambios Semanas de gestación Ganancia de peso Hiperplasia celular Incremento rápido en el número de células. Primeras 16 semanas 5 g/día a la semana 15 Hiperplasia e hipertrofia celular Incremento en el número y tamaño de células. 17 a 32 semanas 15 a 20 g/día a la semana 24 Hipertrofia celular Incremento rápido en el tamaño celular. Depósito de grasa y glucógeno. > 32 semanas 30 a 35 g/día a la semana 34 Fuente: datos tomados de Lin CC, Santolaya-Forgas J. Current concepts of fetal growth restriction: part I. Causes, classification, and pathophysiology. Obstet Gynecol 1998;92(6):1044-55.
  • 7.
  • 8.
    RESTRICCIÓN DE CRECIMIENTOINTRAUTERINO ETIOLOGIA  Constitución materna: peso<50 kg y/o talla <150 cm  Desnutrición severa previa o escasa ganancia de peso  Enfermedades crónicas: HTA, DM, enfermedad vascular, mesenquimopatías, cardiopatía cianótica, insuficiencia respiratoria crónica, ERC  Abuso de sustancias: tabaco, alcohol, cocaína  Factores ambientales  Anomalías uterinas  Infecciones durante embarazo: TORCH Causas Maternas
  • 9.
    RESTRICCIÓN DE CRECIMIENTOINTRAUTERINO ETIOLOGIA Causas Fetales Gestación múltiple  Malformaciones congénitas Anomalías cromosómicas Síndromes genéticos Embarazo prolongado
  • 10.
    RESTRICCIÓN DE CRECIMIENTOINTRAUTERINO ETIOLOGIA Causas Ovulares Placentarias Insuficiencia placentaria  Desprendimiento placentario crónico Placenta previa Acretismo placentario Patologías del cordón umbilical  Inserción velamentosa del cordón Arteria umbilical única
  • 11.
    RESTRICCIÓN DE CRECIMIENTOINTRAUTERINO CLASIFICACIÓN Etiopatogénica Intrínseco Fetos con malformaciones graves, placenta con volumen y número de células normales Extrínseco Fetos pequeños sin anomalías estructurales, placenta pequeña y disminución del número de células Simétrico Uniformemente pequeños, PC , aprox. 20% de células del encéfalo y otros órganos principalmente hígado. (madres que padecieron grave restricción nutricional) Asimétrico Pequeños con perímetro cefálico normal, tamaño de diversos órganos, 50% células hepáticas, el número de células de encéfalo es normal Winick y cols. Usandizaga & De La Fuente, Obstetricia y Ginecología, Marbán 2011, 4ªEdición capítulo 9 pág 364-365
  • 12.
    RESTRICCIÓN DE CRECIMIENTOINTRAUTERINO CLASIFICACIÓN Ecográfica Perfil Bajo PC es inferior al normal durante toda la gestación. Fetos con anomalías o infecciones congénitas, insuficiencia útero- placentaria de inicio temprano RCIU con aplanamiento tardío PC normal hasta el III trimestre. Factores maternos o placentarios, déficit en el intercambio en el III trimestre Disarmónico= PC normal y PA disminuido Usandizaga & De La Fuente, Obstetricia y Ginecología, Marbán 2011, 4ªEdición capítulo 9 pág 364-365 Armónico= PC y PA disminuidos Clínica Crónico (Simétrico) Subagúdo (Asimétrico) RCIU Temprano <28 semanas RCIU Tardío >28 semanas
  • 13.
  • 14.
    RESTRICCIÓN DE CRECIMIENTOINTRAUTERINO CARACTERISTICAS TIPO I. SIMETRICO TIPO II. ASIMETRICO Causas Intrínseco: genético y/o hereditario Extrínseco: infección intrauterina, teratógenos y el uso de drogas Extrínseco: insuficiencia placentaria (patología materna), alteraciones primarias de la placenta y situaciones en las que existe disminución de O2. Frecuencia 33% 55% Comienzo Temprano (<28 sem) Tercer trimestre (>28 sem) Órganos afectados Microcefalia, disminución del tamaño del cerebro e hígado. Peso < longitud Cerebro normal é hígado disminuido. Características celulares Hipoplasia Tamaño normal Hipotrofia Numero normal Crecimiento placentario Tamaño normal Tamaño disminuido Anomalías fetales Frecuentes, múltiples Infrecuentes
  • 15.
    RESTRICCIÓN DE CRECIMIENTOINTRAUTERINO CARACTERISTICAS TIPO I. SIMETRICO TIPO II. ASIMETRICO Diámetro biparietal (DBP) Disminuido Normal Circunferencia abdominal Disminuido Disminuido Relación CC/CA Normal Aumentada Relación fémur/abdomen Normal Aumentado Índice ponderal Normal Disminuido Evolución neonatal y Crecimiento postnatal La evolución neonatal es complicada, mal pronóstico. Crecimiento postnatal pobre Evolución neonatal y crecimiento postnatal bueno.
  • 16.
    RESTRICCIÓN DE CRECIMIENTOINTRAUTERINO FISIOPATOLOGIA Malformaciones Infecciones Hipoxia (70-80%) Factores no del todo conocidos (genéticos, inmunológicos, ambientales, Fx predisponentes de la madre como: obesidad, Sind. Metabólico, HTA crónica, trombofilias, entre otras HIF >12sem. COMT Fx antiangiogénicos como el receptor soluble simil de tirosina 1 (SFlt1) Fx Angiogénicos (PGF y TGF) Apoptosis placentaria ON y stress oxidativo Falla remodelación placentaria, tamaño y flujo placentario R C I U Pérez Wulff J, Márquez Contreras D, Muñoz H, Solís Delgado A, Otaño L, Ayala Hung V. Restricción de Crecimiento Intrauterino. FLASOG, GC;2013:2 HIPOXIA
  • 17.
    RESTRICCIÓN DE CRECIMIENTOINTRAUTERINO Pérez Wulff J, Márquez Contreras D, Muñoz H, Solís Delgado A, Otaño L, Ayala Hung V. Restricción de Crecimiento Intrauterino. FLASOG, GC;2013:2 Mecanismo de adaptación fetal a la HIPOXIA
  • 18.
    RESTRICCIÓN DE CRECIMIENTOINTRAUTERINO DIAGNÓSTICO HISTORIA CLÍNICA: Anamnesis Examen físico ECOGRAFÍA Biometría fetal Longitud cráneo caudal DBP CC CA Relación CC/CA Relación fémur/abdomen Peso estimado fetal Volumen de líquido amniótico
  • 20.
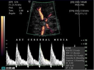
    RESTRICCIÓN DE CRECIMIENTOINTRAUTERINO DIAGNÓSTICO VELOCIMETRIA DOPPLER • Arterias uterinas •Arterias umbilicales •Arteria cerebral media
  • 21.
    VELOCIMETRIA DOPPLER Fase Silente Fasede aumento de la resistencia de arteria umbilical Fase de centralización Inicial “circuito de ahorro cerebral” Fase de centralización avanzada Fase de descentralización o falsa normalización
  • 22.
  • 23.
    Arteria uterina conpresencia de escotadura protodiastólica y aumento en los indices de resistencia y pulsatilidad
  • 24.
    Arteria umbilical conindices de resistencia y pulsatilidad normales
  • 25.
    Fin de diástoleausente en Doppler de arteria umbilical
  • 26.
    Arteria umbilical conflujo diastólico reverso
  • 28.
    RESTRICCIÓN DE CRECIMIENTOINTRAUTERINO DIAGNÓSTICO DIAGNÓSTICO BIOQUÍMICO •Estriol •Lactógeno placentario •Alfa feto proteína •Beta-hCG •PAPP-A
  • 29.
    Esquema Diagnóstico deRCIU DIAGNÓSTICO Schwarcz R, Fescina R, Duverges C, Obsteticia, El Ateneo 2005, 6ta Edición, Capítulo 8 RCIU Simétrico o Asimétrico PA/LF= > o < 4.25
  • 30.
    RESTRICCIÓN DE CRECIMIENTOINTRAUTERINO Conducta Obstétrica Medidas generales Tratar la patología materna Administración de O2 a la madre Mejorar el flujo uteroplacentario Agonista betaadrenérgicos a dosis bajas Ácido acetilsalicilico Calcio Magnesio L-carnitina
  • 31.
    Manejo RCIU < 27sem28-33 sem >37sem34-36 sem Parto- elección de vía según situación obstétrica Tx: de la patología especifica-reposo-supresión de tóxicos-ajustes de dieta Control ecográfico del crec. c/2 sem hasta que alcance las 28 sem. Detención del crecimiento Control ecográfico del crec. c/1-2sem hasta 34 sem. NO SÍ Maduración pulmonar NO SÍ P. Confirmación de daño fetal Negativa Positiva Est. mad. pulmonar Cont. Ecográfico Repetir en 1 sem.
  • 32.
    RESTRICCIÓN DE CRECIMIENTOINTRAUTERINO SEGUI MIENTO
  • 33.
    RESTRICCIÓN DE CRECIMIENTOINTRAUTERINO Complicaciones Inmediatas Asfixia perinatal  Aspiración de meconio  Policitemia.  Hipoglicemia, hipocalcemia.  Hemorragia cerebral y pulmonar.  Trastorno de la Coagulación.  Enterocolitis necrotizante.  Riesgo de muerte súbita del lactante Tardías/Secuelas  Parálisis Cerebral.  Convulsiones.  Retardo mental  Retardo del aprendizaje.  Alteraciones pondoestaturales.  Enfermedad coronarias.  Diabetes.  Accidente cerebrovascular RESTRICCIÓN DE CRECIMIENTO INTRAUTERINO
  • 34.
    RESTRICCIÓN DE CRECIMIENTOINTRAUTERINO PRONOSTICO  9 a 27% de los casos tienen anomalías genéticas o anatómicas  Mayor morbilidad perinatal por asfixia intraparto  Mayor morbilidad perinatal por hipoglicemia, hipocalcemia  Mayor riesgo de daño intelectual y neurológico  Mayor mortalidad perinatal  Probablemente mayor riesgo de muerte súbita del lactante  La mayoría de los infantes que tuvieron RCIU tienen tasas de crecimiento normales durante la infancia y la adolescencia  La desnutrición intrauterina constituye un factor de riesgo para HTA, diabetes, ECV e IM en la vida adulta
  • 35.