Prueba diagnóstica utilizada en el campo de la
Gastroenterología que consiste en obtener imágenes
radiológicas en movimiento del tracto digestivo alto (esófago,
estómago, e intestino delgado) mediante el empleo de
radiación ionizante (rayos X) continua (fluoroscopia) y de un
contraste opaco baritado que se administra por vía oral.

                        Doble contraste




                            +
           Bario                      Cristales de NaHCO3
Permite Observar:


                          Función digestiva
    Enfermedades        como el peristaltismo o   La presencia de
     inflamatorias      contracciones de estos        tumores
                               órganos.




•   Esofagitis                                    •   Cáncer de
•   Gastroduodenitis                                  esófago,
                                                  •   Estómago y
                                                  •   Duodeno



       Úlceras
En pacientes con:


        Disfagia             Pirosis


       Regurgitación   Enfermedad Ácido
                            Péptica

         Vómito
                       Plenitud gástrica
                          temprana

      Hematoquecia
                         Epigastrálgia

       Masa palpable
                        Indigestión grave
        epigástrica
El paciente deglutirá 345
    Ayuno de 12 horas.       a 570 ml. de medio de
                                    contraste




                                  Inmediatamente se toman
                                  de 2 a 3 radiografías (AP y
                                            oblicua)




                              Espera de para dar
     Se realizan las          tiempo al medio de
proyecciones necesarias            contraste



                          Tiempo de estudio:
                            15 a 20 minutos
 En bipedestación

 En decúbito
  supino

 En decúbito
  prono

 Diversas oblicuas




  Posición Trendelemburg
Mal sabor del Bario

 Estreñimiento o diarrea

Meteorismo

Heces blancas o grises

 Cólicos

Nauseas o vómito
Estudio baritado en paciente con esclerodermia que desarrolló esofagitis
   severa por reflujo por la incompetencia del esfínter esofágico inferior
La SEGD muestra una estenosis concéntrica (flecha) en el tercio
    esofágico medio en un paciente con esófago de Barret
El estudio baritado muestra un esófago dilatado por alteración del peristaltismo y
falta de relajación del esfínter esofágico inferior, que presenta el típico aspecto en
                               "pico de flauta" (flechas)
Anillo de Shatzky. SEGD que muestra una indentación de las
paredes anterior y posterior del esófago distal en relación con
       anillo de Shatzky, en un paciente con hernia hiatal
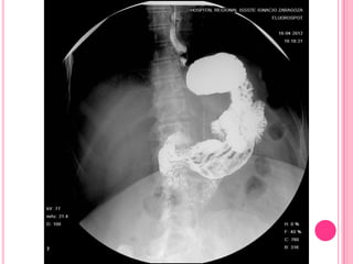
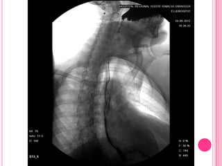
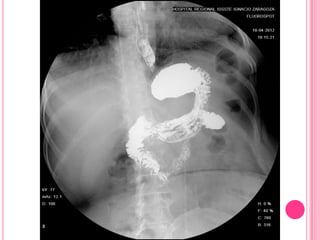
Serie esofagogastroduodenal
Serie esofagogastroduodenal
Serie esofagogastroduodenal
Serie esofagogastroduodenal
Serie esofagogastroduodenal
Serie esofagogastroduodenal
Serie esofagogastroduodenal
Serie esofagogastroduodenal
Serie esofagogastroduodenal
Serie esofagogastroduodenal
Serie esofagogastroduodenal
Serie esofagogastroduodenal
Serie esofagogastroduodenal
Serie esofagogastroduodenal

Serie esofagogastroduodenal

  • 4.
    Prueba diagnóstica utilizadaen el campo de la Gastroenterología que consiste en obtener imágenes radiológicas en movimiento del tracto digestivo alto (esófago, estómago, e intestino delgado) mediante el empleo de radiación ionizante (rayos X) continua (fluoroscopia) y de un contraste opaco baritado que se administra por vía oral. Doble contraste + Bario Cristales de NaHCO3
  • 5.
    Permite Observar: Función digestiva Enfermedades como el peristaltismo o La presencia de inflamatorias contracciones de estos tumores órganos. • Esofagitis • Cáncer de • Gastroduodenitis esófago, • Estómago y • Duodeno Úlceras
  • 6.
    En pacientes con: Disfagia Pirosis Regurgitación Enfermedad Ácido Péptica Vómito Plenitud gástrica temprana Hematoquecia Epigastrálgia Masa palpable Indigestión grave epigástrica
  • 7.
    El paciente deglutirá345 Ayuno de 12 horas. a 570 ml. de medio de contraste Inmediatamente se toman de 2 a 3 radiografías (AP y oblicua) Espera de para dar Se realizan las tiempo al medio de proyecciones necesarias contraste Tiempo de estudio: 15 a 20 minutos
  • 8.
     En bipedestación En decúbito supino  En decúbito prono  Diversas oblicuas Posición Trendelemburg
  • 10.
    Mal sabor delBario Estreñimiento o diarrea Meteorismo Heces blancas o grises Cólicos Nauseas o vómito
  • 12.
    Estudio baritado enpaciente con esclerodermia que desarrolló esofagitis severa por reflujo por la incompetencia del esfínter esofágico inferior
  • 13.
    La SEGD muestrauna estenosis concéntrica (flecha) en el tercio esofágico medio en un paciente con esófago de Barret
  • 14.
    El estudio baritadomuestra un esófago dilatado por alteración del peristaltismo y falta de relajación del esfínter esofágico inferior, que presenta el típico aspecto en "pico de flauta" (flechas)
  • 15.
    Anillo de Shatzky.SEGD que muestra una indentación de las paredes anterior y posterior del esófago distal en relación con anillo de Shatzky, en un paciente con hernia hiatal