Síndrome
Nefrótico
Dr. Florencio McCarthy
Pediatra Nefrólogo
MENU
Sindrome Nefrótico
• Generalidades
• Definición
• Epidemiología
• Fisiopatología
• Manifestaciones clínicas
• Clasificación
• Tratamiento
• Complicaciones
• Pronóstico
GENERALIDADES
• No es una enfermedad
• Síndrome renal más frecuente en
Pediatría
• Proteinuria masiva,
hipoalbuminemia,
hipercolesterolemia y edema
DEFINICIÓN
• Proteinuria masiva:
– >50mg/kg/día
– >40mg/m2/h
– >1000mg/m2/día
– Proteína/Creatinina en orina >2.0
Proteinuria mg/m2/h Upr/Ucr
Normal ≤ 4 ≤ 0.2
Leve 4 – 20 0.2 – 1.0
Moderada 20 – 40 1.1 – 2.0
Severa ≥ 40 ≥ 2.0
EPIDEMIOLOGÍA
• Incidencia de 2-7 por cada 100000 niños por
año
• 15 veces mayor en niños que adultos
• Tipo más frecuente: Lesiones glomerulares
mínimas y se presenta entre los 2 y 4 años
• Masculino:Femenino 2:1
– Se iguala en adolescentes y adultos
FISIOPATOLOGÍA
• Patogenia(LGM)
– Desorden primario de la función de
los linfocitos T
• Drogas
• Atopías
• S. pneumoniae
• Hodgking y linfomas
• Sarampión y malaria
• Bajas concentraciones de sulfato
de heparán en la membrana
glomerular
• Excreción de proteínas de bajo
peso molecular
– Albúmina: 68000daltons
MANIFESTACIONES
CLÍNICAS
• Edema
• Ascitis, efusión pleural, derrame
pericárdico
• Edema escrotal o vulvar
• Celulitis, piodermitis, estrías
• Inapetencia
• Diarrea
Edema
• Hipoalbuminemia
– Aumento del catabolismo
principalmente
– Pérdida urinaria
– No hay evidencia de disminución de
la síntesis
• Hiperlipidemia
– Aumento de la
síntesis proteícas
en el hígado
– Lipoproteínas
• VLDL
– Disminución del
catabolismo de
los lípidos
• Disminución de
lipoproteinlipasa
• Trygvason. 1998
– Gen
NPHS1.Cromosom
a19q13.1
– Codifica para la
síntesis de nefrina
de los podocitos
– Se asocia a
síndrome
nefrótico
congénito
– NPHS2 y WT1
• Proteinuria
– Requisito sine qua non
– Más de 40mg/m2/h
– Albúmina/Creatinina en orina mayor
de 2
– 50mg/kg/día
• Hipoproteinemia
– Albúmina menor de 2.5g/dL y
usualmente menor a 0.5g/dL
– Albúmina/Globulina menor de 1
• Hipercolesterolemia
– Mayor de 200mg/dL
– Usualmente 500mg/dL o más
CLASIFICACIÓN
• Primario
• Secundario
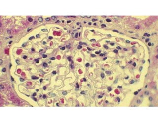
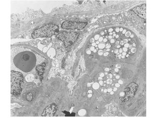
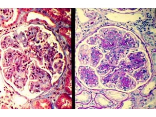
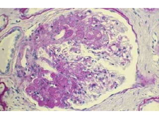
• Histológica
– Lesiones glomerulares mínimas
– Proliferación mesangial difusa
– Glomeruloesclerosis focal y segmentaria
– Glomerulonefritis membranosa
– Glomerulonefritis membranoproliferativa
– Glomerulonefritis endocapilar y extracapilar
difusa
• Clasificación según respuesta terapéutica
– Corticosensible
– Corticoresistente
– Corticodependiente
– Recaídas frecuentes
TRATAMIENTO
• Dieta
– Adecuada ingesta calórica y proteica
– Restricción de sal (2mEq/kg/día)
– No restringir líquidos excepto en edema
severo
– Menos de 30% de calorías de lípidos
• Ingesta de poliinsaturados
• Tratamiento del edema
– Dieta
– Restricción hídrica en casos extremos
– Diuréticos
• Esteroides
– Sospecha clínica y de
laboratorios de LGM
– Disminuye la
respuesta inflamatoria
y el aumento de la
permeabilidad capilar
– Suprime PMN
– Dosis única aumenta
la adherencia
• Esquema de tratamiento con
Prednisona
• 60mg/m2/día sin exceder de 80mg por 6
semanas y luego igual dosis en días alternos
por 6 semanas
• Remisión
– Tira reactiva negativa por 3 días consecutivos
o proteinuria menor a 4mg/m2/hora
• Recaída
– Tira reactiva con 2+ por 3 días o 3 -4+ con
edema
• Recaídas frecuentes
– 2 recaídas en 6 meses
– 4 recaídas en 1 año
– Efectos adversos
• Crisis adrenal
• Edema
• Osteonecrosis
• Miopatía
• Enfermedad
úlceropéptica
• Hipokalemia
• Osteoporosis
• Euforia
• Sicosis
• Miastenia gravis
• Supresión del
crecimiento
• Infecciones
• Hipertensión
• Labilidad emocional
• Retención hidrica
• Sudoración nocturna
• Cataratas
• Seudotumor cerebri
• Diabetes
• Apetito voraz
• Corticosensible
– Negativización de la proteinuria
• Corticodependiente
– Aparición de 2 recaídas mientras se recibe
tratamiento esteroideo o durante los 14 días
después de suspendido
• Corticoresistente
– Falta de respuesta terapéutica luego de
esquema de 8 semanas de tratamiento
• Pulsos esteroideos
– Resistencia a esteroides
– Metilprednisolona a 30mg/kg/día por 6
infusiones en días alternos y luego descenso
por 18 meses
• Ciclofosfamida
– Recaídas frecuentes en corticosensibles
– 3mg/kg/día por 8 semanas
– Esterilidad, depresión de médula ósea,
sepsis, alopecia, cistitis hemorrágica,
leucemia
• Ciclosporina A
– Esteroidedependientes o resistentes
– Suprime la respuesta celular y humoral
– 5 – 20mg/kg/día hasta por 4 años
– Efectivo en producir remisión pero recaen al
suspender
– Nefrotoxicidad, hipertensión
• Micofenolato de mofetil
– Glomerulonefritis proliferativa difusa
– Inhibe la monofosfato deshidrogenasa y
suprime la síntesis de proteínas en los
linfocitos
– Inhibe la producción de anticuerpos
– 25mg/kg/día en dos dosis por un año
– Efectos gastrointestinales
• Albúmina
– Anasarca con compromiso respiratorio,
hidrotórax o hidrocele a tensión
– 0.5 – 1g/kg/dosis
– Hipertensión, edema pulmonar
agudo,hipokalemia, hipocalcemia y tetania y
crisis convulsivas
– Retarda la respuesta a esteroides
– Recaídas más frecuentes
• Inmunizaciones
– Pneumococo y Varicela
– No se deben administrar vacunas de virus
vivos atenuados si recibe esteroides
COMPLICACIONES
• Infecciones
– Sobrevida del paciente
– Disminución de IgG,factor B, disminución del
flujo mesentérico, aumento de la
coagulabilidad, uso de esteroides
– Gérmenes encapsulados y bacterias gram
negativas
– Neumonías, artritis séptica, peritonitis
primaria, erisipela,infecciones respiratorias
altas, meningitis, sepsis y shock séptico
• Infecciones virales
– Se asocian a recaídas
– No son graves
• Excepto varicela, herpes zoster y citomegalovirus
• Trombosis
– 5% de los pacientes
– Pérdida de
antitrombina III y
plasminógeno
– Incremento de la
agregación
plaquetaria,
fibrinógeno,factor V
plaquetario, factores
VII y VIII y alfa2
macroglobulina
– Potenciados por hipovolemia, hiperviscosidad
sanguínea y uso de diuréticos
– Generalmente venosas
• Vasos profundos de las extremidades,vena renal,
sistema venoso pulmonar y sistema cortical
cerebral.
– Oclusiones arteriales raras y devastadoras
– Hipocalcemia
• Calcio iónico normal
• Pérdida de vitamina D unida a proteínas en orina
• Malabsorción de calcio y desarrollo de
enfermedad ósea por aumento de PTH
• Osteomalacia
• Deficiencias de densidad mineral ósea es rara en
niños
SÍNDROME NEFRÓTICO EN
NIÑOS
En la práctica clínica
Conducta del Médico de
Atención Primaria
 Confirmar el diagnóstico de síndrome nefrótico
 Orientar el diagnóstico hacia un síndrome
nefrótico primario, secundario o congénito
 Decidir que estudios complementarios deben
realizarse
 Decidir si el paciente debe o no ser
hospitalizado
 Decidir si el paciente debe o no ser referido al
especialista
• Confirmar el diagnóstico
– Proteinuria masiva
– hipoalbuminemia
• Orientar el diagnóstico hacia un síndrome
nefrótico primario, secundario o congénito
– 2 - 5 años
– Sin otros síntomas
– Sin antecedentes de enfermedades crónicas,
ingesta de drogas, metales pesados, alergias,
etc.
• Decidir que estudios
complementarios
deben realizarse
– BHC, Lipidograma,
proteinograma,
ionograma
– Urinálisis
– Proteínas cuantitativa
– Rx de tórax
– Ultrasonograma renal
• Si sospecha lesión diferente a cambios
mínimos
– Complemento, antiDNA, serología viral,
• Decidir si el paciente debe o no ser
hospitalizado
– Riesgo de descompensación hemodinámica
– Anasarca
– Complicaciones
• Decidir si el paciente debe o no ser
referido al especialista
– No se puede completar el diagnóstico
– Complicaciones
– Biopsia
• ISKDC
– Corticosensibles
• 91.8% LGM
– Corticorresistentes
• 25% LGM
PRONÓSTICO
Peor pronóstico en
síndrome nefrótico
congénito
Lesiones
glomerulares mínimas
98% responden a
esteroides
50% 1 o 2 recaídas en 5
años
20% continuan con
recaídas después de 10
años
30% nunca tendrán
recaídas
3% se hacen
esteroideresistentes
• Recaídas frecuentes a menor edad y en varones
• Hipertensión y hematuria: mal pronóstico
• Glomeruloesclerosis focal y segmentaria
– 20% remiten
– 10% mejoran pero persiste la proteinuria
– Muchos presentan recaídas frecuentes
– 25 – 30% IRCT en 5 años
– 30 – 40% IRCT en 10 años
– 25% de recurrencia en el transplante
• Proliferación mesangial
– 50% remisión
– 20% remisión tardía
– 20% proteinuria permanente
– 6% IRCT
• Glomerulonefritis membranoproliferativa
– Pobre pronóstico
– Los beneficios del tratamiento no son claros
– 30% IRCT en 5 años
– 50% IRCT en 10 años
– 30% recurrencia en transplante en tipo I
– 90% recurrencia en transplante en tipo II
• Indicaciones de biopsia
– Corticoresistentes
– Recaídas frecuentes
– Hipocomplememtemia
– Hipertensión al momento del diagnóstico
– Menores de 1 año
– Mayores de 10 años
– Evidencia de falla renal

Sn virtual

  • 1.
  • 2.
    MENU Sindrome Nefrótico • Generalidades •Definición • Epidemiología • Fisiopatología • Manifestaciones clínicas • Clasificación • Tratamiento • Complicaciones • Pronóstico
  • 3.
    GENERALIDADES • No esuna enfermedad • Síndrome renal más frecuente en Pediatría • Proteinuria masiva, hipoalbuminemia, hipercolesterolemia y edema
  • 4.
    DEFINICIÓN • Proteinuria masiva: –>50mg/kg/día – >40mg/m2/h – >1000mg/m2/día – Proteína/Creatinina en orina >2.0
  • 5.
    Proteinuria mg/m2/h Upr/Ucr Normal≤ 4 ≤ 0.2 Leve 4 – 20 0.2 – 1.0 Moderada 20 – 40 1.1 – 2.0 Severa ≥ 40 ≥ 2.0
  • 6.
    EPIDEMIOLOGÍA • Incidencia de2-7 por cada 100000 niños por año • 15 veces mayor en niños que adultos • Tipo más frecuente: Lesiones glomerulares mínimas y se presenta entre los 2 y 4 años • Masculino:Femenino 2:1 – Se iguala en adolescentes y adultos
  • 7.
    FISIOPATOLOGÍA • Patogenia(LGM) – Desordenprimario de la función de los linfocitos T • Drogas • Atopías • S. pneumoniae • Hodgking y linfomas • Sarampión y malaria
  • 8.
    • Bajas concentracionesde sulfato de heparán en la membrana glomerular • Excreción de proteínas de bajo peso molecular – Albúmina: 68000daltons
  • 10.
    MANIFESTACIONES CLÍNICAS • Edema • Ascitis,efusión pleural, derrame pericárdico • Edema escrotal o vulvar • Celulitis, piodermitis, estrías • Inapetencia • Diarrea
  • 11.
  • 13.
    • Hipoalbuminemia – Aumentodel catabolismo principalmente – Pérdida urinaria – No hay evidencia de disminución de la síntesis
  • 14.
    • Hiperlipidemia – Aumentode la síntesis proteícas en el hígado – Lipoproteínas • VLDL – Disminución del catabolismo de los lípidos • Disminución de lipoproteinlipasa
  • 15.
    • Trygvason. 1998 –Gen NPHS1.Cromosom a19q13.1 – Codifica para la síntesis de nefrina de los podocitos – Se asocia a síndrome nefrótico congénito – NPHS2 y WT1
  • 16.
    • Proteinuria – Requisitosine qua non – Más de 40mg/m2/h – Albúmina/Creatinina en orina mayor de 2 – 50mg/kg/día
  • 17.
    • Hipoproteinemia – Albúminamenor de 2.5g/dL y usualmente menor a 0.5g/dL – Albúmina/Globulina menor de 1
  • 18.
    • Hipercolesterolemia – Mayorde 200mg/dL – Usualmente 500mg/dL o más
  • 19.
  • 20.
    • Histológica – Lesionesglomerulares mínimas – Proliferación mesangial difusa – Glomeruloesclerosis focal y segmentaria – Glomerulonefritis membranosa – Glomerulonefritis membranoproliferativa – Glomerulonefritis endocapilar y extracapilar difusa
  • 21.
    • Clasificación segúnrespuesta terapéutica – Corticosensible – Corticoresistente – Corticodependiente – Recaídas frecuentes
  • 22.
    TRATAMIENTO • Dieta – Adecuadaingesta calórica y proteica – Restricción de sal (2mEq/kg/día) – No restringir líquidos excepto en edema severo – Menos de 30% de calorías de lípidos • Ingesta de poliinsaturados
  • 23.
    • Tratamiento deledema – Dieta – Restricción hídrica en casos extremos – Diuréticos
  • 24.
    • Esteroides – Sospechaclínica y de laboratorios de LGM – Disminuye la respuesta inflamatoria y el aumento de la permeabilidad capilar – Suprime PMN – Dosis única aumenta la adherencia
  • 25.
    • Esquema detratamiento con Prednisona • 60mg/m2/día sin exceder de 80mg por 6 semanas y luego igual dosis en días alternos por 6 semanas
  • 27.
    • Remisión – Tirareactiva negativa por 3 días consecutivos o proteinuria menor a 4mg/m2/hora • Recaída – Tira reactiva con 2+ por 3 días o 3 -4+ con edema • Recaídas frecuentes – 2 recaídas en 6 meses – 4 recaídas en 1 año
  • 28.
    – Efectos adversos •Crisis adrenal • Edema • Osteonecrosis • Miopatía • Enfermedad úlceropéptica • Hipokalemia • Osteoporosis • Euforia • Sicosis • Miastenia gravis • Supresión del crecimiento • Infecciones • Hipertensión • Labilidad emocional • Retención hidrica • Sudoración nocturna • Cataratas • Seudotumor cerebri • Diabetes • Apetito voraz
  • 29.
    • Corticosensible – Negativizaciónde la proteinuria • Corticodependiente – Aparición de 2 recaídas mientras se recibe tratamiento esteroideo o durante los 14 días después de suspendido • Corticoresistente – Falta de respuesta terapéutica luego de esquema de 8 semanas de tratamiento
  • 30.
    • Pulsos esteroideos –Resistencia a esteroides – Metilprednisolona a 30mg/kg/día por 6 infusiones en días alternos y luego descenso por 18 meses
  • 31.
    • Ciclofosfamida – Recaídasfrecuentes en corticosensibles – 3mg/kg/día por 8 semanas – Esterilidad, depresión de médula ósea, sepsis, alopecia, cistitis hemorrágica, leucemia
  • 32.
    • Ciclosporina A –Esteroidedependientes o resistentes – Suprime la respuesta celular y humoral – 5 – 20mg/kg/día hasta por 4 años – Efectivo en producir remisión pero recaen al suspender – Nefrotoxicidad, hipertensión
  • 33.
    • Micofenolato demofetil – Glomerulonefritis proliferativa difusa – Inhibe la monofosfato deshidrogenasa y suprime la síntesis de proteínas en los linfocitos – Inhibe la producción de anticuerpos – 25mg/kg/día en dos dosis por un año – Efectos gastrointestinales
  • 34.
    • Albúmina – Anasarcacon compromiso respiratorio, hidrotórax o hidrocele a tensión – 0.5 – 1g/kg/dosis – Hipertensión, edema pulmonar agudo,hipokalemia, hipocalcemia y tetania y crisis convulsivas – Retarda la respuesta a esteroides – Recaídas más frecuentes
  • 35.
    • Inmunizaciones – Pneumococoy Varicela – No se deben administrar vacunas de virus vivos atenuados si recibe esteroides
  • 36.
    COMPLICACIONES • Infecciones – Sobrevidadel paciente – Disminución de IgG,factor B, disminución del flujo mesentérico, aumento de la coagulabilidad, uso de esteroides – Gérmenes encapsulados y bacterias gram negativas – Neumonías, artritis séptica, peritonitis primaria, erisipela,infecciones respiratorias altas, meningitis, sepsis y shock séptico
  • 37.
    • Infecciones virales –Se asocian a recaídas – No son graves • Excepto varicela, herpes zoster y citomegalovirus
  • 38.
    • Trombosis – 5%de los pacientes – Pérdida de antitrombina III y plasminógeno – Incremento de la agregación plaquetaria, fibrinógeno,factor V plaquetario, factores VII y VIII y alfa2 macroglobulina
  • 39.
    – Potenciados porhipovolemia, hiperviscosidad sanguínea y uso de diuréticos – Generalmente venosas • Vasos profundos de las extremidades,vena renal, sistema venoso pulmonar y sistema cortical cerebral. – Oclusiones arteriales raras y devastadoras
  • 40.
    – Hipocalcemia • Calcioiónico normal • Pérdida de vitamina D unida a proteínas en orina • Malabsorción de calcio y desarrollo de enfermedad ósea por aumento de PTH • Osteomalacia • Deficiencias de densidad mineral ósea es rara en niños
  • 41.
    SÍNDROME NEFRÓTICO EN NIÑOS Enla práctica clínica
  • 42.
    Conducta del Médicode Atención Primaria  Confirmar el diagnóstico de síndrome nefrótico  Orientar el diagnóstico hacia un síndrome nefrótico primario, secundario o congénito  Decidir que estudios complementarios deben realizarse  Decidir si el paciente debe o no ser hospitalizado  Decidir si el paciente debe o no ser referido al especialista
  • 43.
    • Confirmar eldiagnóstico – Proteinuria masiva – hipoalbuminemia
  • 44.
    • Orientar eldiagnóstico hacia un síndrome nefrótico primario, secundario o congénito – 2 - 5 años – Sin otros síntomas – Sin antecedentes de enfermedades crónicas, ingesta de drogas, metales pesados, alergias, etc.
  • 45.
    • Decidir queestudios complementarios deben realizarse – BHC, Lipidograma, proteinograma, ionograma – Urinálisis – Proteínas cuantitativa – Rx de tórax – Ultrasonograma renal
  • 46.
    • Si sospechalesión diferente a cambios mínimos – Complemento, antiDNA, serología viral,
  • 47.
    • Decidir siel paciente debe o no ser hospitalizado – Riesgo de descompensación hemodinámica – Anasarca – Complicaciones
  • 48.
    • Decidir siel paciente debe o no ser referido al especialista – No se puede completar el diagnóstico – Complicaciones – Biopsia
  • 49.
    • ISKDC – Corticosensibles •91.8% LGM – Corticorresistentes • 25% LGM
  • 50.
    PRONÓSTICO Peor pronóstico en síndromenefrótico congénito Lesiones glomerulares mínimas 98% responden a esteroides 50% 1 o 2 recaídas en 5 años 20% continuan con recaídas después de 10 años 30% nunca tendrán recaídas 3% se hacen esteroideresistentes
  • 53.
    • Recaídas frecuentesa menor edad y en varones • Hipertensión y hematuria: mal pronóstico
  • 54.
    • Glomeruloesclerosis focaly segmentaria – 20% remiten – 10% mejoran pero persiste la proteinuria – Muchos presentan recaídas frecuentes – 25 – 30% IRCT en 5 años – 30 – 40% IRCT en 10 años – 25% de recurrencia en el transplante
  • 57.
    • Proliferación mesangial –50% remisión – 20% remisión tardía – 20% proteinuria permanente – 6% IRCT
  • 58.
    • Glomerulonefritis membranoproliferativa –Pobre pronóstico – Los beneficios del tratamiento no son claros – 30% IRCT en 5 años – 50% IRCT en 10 años – 30% recurrencia en transplante en tipo I – 90% recurrencia en transplante en tipo II
  • 62.
    • Indicaciones debiopsia – Corticoresistentes – Recaídas frecuentes – Hipocomplememtemia – Hipertensión al momento del diagnóstico – Menores de 1 año – Mayores de 10 años – Evidencia de falla renal