TU LOGO
AQUÍ
C A R L O S M A R T I N E Z R O D R I G U E Z
U R I E L J I M E N E Z C A R B A L L O S
G A R Y M I C H E L R E Y E S R E Y E S
E D G A R D E J E S Ú S R Í O S L I M E T A
¿ E N Q U E C O N S I S T E ?
Consiste en la detención del tránsito
intestinal, de forma completa y persistente
en algún punto del intestino delgado o
grueso.
Cuando no sea completa o persistente
hablaremos de suboclusión intestinal.
Es responsable del 20% de las causas de dolor abdominal agudo.
El intestino delgado (ID) es el punto de obstrucción en 60-80% de casos;
asociada a una mortalidad del 5,5%.
CARACTERISTICAS
Mecánica o
adinámica
Aguda o crónica
Simple o
estrangulada
Puede producirse
en el intestino
delgado o grueso.
TU LOGO
AQUÍ
Se presenta cuando existe un obstáculo al paso del
contenido intestinal (pudiendo acompañarse de
compromiso vascular).
·Las causas de obstrucción mecánica más frecuentes
son:
1.Las bridas (50%)
2.Las neoplasias (15%)
3.Las hernias (15%).
TU LOGO
AQUÍ
Hablamos de íleo paralítico, cuando no hay
una verdadera interrupción del tránsito
intestinal, sino una detención o
enlentecimiento.
Se produce por trastornos neuromusculares
que generan íleo dinámico o adinámico.
TU LOGO
AQUÍ
• Es la causa más frecuente de obstrucción.
• Aparece cuando la ausencia de estimulación
nerviosa refleja impide el peristaltismo.
• Se presentará después de cualquier agresión al
peritoneo, neumonía del lóbulo inferior, costillas
fracturadas o infarto de miocardio.
• Interviene el componente hormonal del sistema
suprarrenal.
TU LOGO
AQUÍ
Es muy raro
Es producto de la contracción extrema y
prolongada del intestino.
Se ha observado en casos de
• Envenenamiento con metales pesados
• Uremia
• Porfiria
• Ulceraciones intestinales extensas.
TU LOGO
AQUÍ
Las adherencias y hernias en el intestino
delgado.
Llegando a constituir del 70 al 75% de todos
los casos.
TU LOGO
AQUÍ
Las adherencias casi nunca producen
obstrucción en esta zona.
Las causas más comunes son:
• Carcinoma.
• Diverticulitis del sigma.
• Vólvulo.
TU LOGO
AQUÍ
El paciente típico con obstrucción intestinal aguda
presenta un cuadro de retortijones, vómitos,
distensión abdominal y alteración del ritmo intestinal.
Íleo adinámico
• No hay dolor cólico,molestia por distensión.
• Los vómitos pueden ser frecuentes, de contenido
gástrico y biliar; casi nunca fecaloideos.
• El hipo es muy común.
Obstrucción intestinal mecánica
• Es de tipo cólico, insidioso o brusco e intenso si
existe compromiso vascular (estrangulación),
perforación o peritonitis.
• El dolor es paroxístico y suele localizarse en
mesogastrio
Obstrucción colonica
• El dolor es de menor intensidad o puede estar
ausente
Estrangulación
El dolor suele ser más localizado, continuo e intenso,
no de tipo cólico.
Se presentan desde el comienzo si la obstrucción es
alta, de aspecto biliogástrico, alimenticio y con moco.
Obstrucción del intestino grueso
• Aparecen mucho más tarde o es nulo, y son
fecaloideos.
Obstrucción ileal baja
• Es fecaloideo, de color pardo anaranjado y
fétido, por la proliferación bacteriana proximal a
la obstrucción.
El examen general nos aporta:
• Datos de gravedad evolutiva.
• Estado de hidratación.
• Fiebre.
• Alteración del pulso y tensión arterial.
• Actitud del paciente.
• Pueden aparecer signos de gravedad como shock y sepsis (íleo
mecánico complicado y, más tardíamente).
EXPLORACIÓN FÍSICA
Inspección:
• Abdomen en busca de cicatrices de intervenciones previas y
de hernias inguinales.
• Abdomen distendido (de forma general en el íleo adinámico, o
local en el íleo mecánico).
EXPLORACIÓN FÍSICA
Ascultación:
• La frecuencia y características de los ruidos.
• Al principio presenta:
• Ruidos hidroaéreos aumentados, de lucha y metálicos (en
intestino delgado)
• Borborigmo (en intestino grueso)
• Fases avanzadas silencio abdominal.
EXPLORACIÓN FÍSICA
Percusión:
• Ayuda a evaluar la distensión dependiendo de su contenido:
• Gaseoso (timpanismo)
• Líquido (matidez)
• Será dolorosa si hay afectación de las asas o peritoneo.
EXPLORACIÓN FÍSICA
Palpación:
• Debe ser superficial y profunda.
• Realizarse con extrema suavidad y comenzando siempre desde
las zonas más distales al dolor.
• El dolor selectivo a la descompresión abdominal, considerado
esencial en el diagnóstico de irritación peritoneal, está ausente
en gran número de ancianos.
• El vientre en tabla puede estar ausente en muchos pacientes
mayores.
• El signo de rebote típico dependerá de la localización del
proceso, de la integridad del sistema nervioso, así como de la
velocidad de instauración del cuadro.
EXPLORACIÓN FÍSICA
Tratamiento
Reposición de:
• Líquidos
• Electrolitos
- potasio
Instaurar una descompresión
con sonda nasogástrica.
Administración antibióticos
de amplio espectro.
ECOGRAFIA
Hallazgos
→
Ventajas
1
Riesgos biologicos
Acción térmica
fenomeno cavitario
Tipos de imagenes
→
→
Signo del teclado
E N O B S T R U C C I Ó N I N T E S T I N A L
TU LOGO
AQUÍ
VENTAJAS DESVENTAJAS
No se expone a los pacientes a radiación. Hay largo tiempo de exploración.
Su uso no está limitado por la administración
previa de contraste baritado.
Tiene una menor resolución.
Son similares a los hallazgos en TC
TU LOGO
AQUÍ
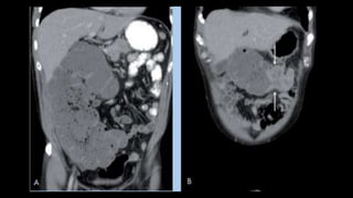
Los puntos más importantes son detectar el punto de transición, determinar la causa y
descartar la presencia de complicaciones.
Para facilitar la búsqueda del PT se emplean dos signos:
El “signo del pico”, dado que el punto de cambio de calibre simula un pico.
El “signo de las heces”, dado que debido a la obstrucción en el PT las heces se acumulan
proximalmente a este dando la típica imagen de patrón en miga de pan.
TU LOGO
AQUÍ
Obstrucción Intestinal
Signos Radiológicos
Recapitulemos
La interferencia con el transporte intestinal, debida a un bloqueo de la luz
intestinal por obstáculos diversos, se conoce con el nombre de obstrucción
mecánica
También se utiliza el término de íleo mecánico e íleo paralitico
En el adulto normal, la presencia de gas y heces mezcladas es reconocible
en el colon, mientras que, normalmente, no existe o hay una mínima
cantidad de gas en el intestino delgado.
Cuando existe oclusión intestinal, la ingestión de líquido puede estar
detenida, pero la secreción glandular continua, por lo que el contenido
líquido intestinal aumenta.
Obstrucción intestinal
Mecánico
Obstrucción intestinal
Obstrucción intestinal mecánica
Oclusión intestinal
Íleo dinámico
Funcional
Íleo adinámico
Íleo reflejo
Pseudoclusión intestinal
Síndrome de ogilve
Anatomía y reglas iniciales
Anatomía y reglas iniciales
Reglas iniciales
Ante la
obstrucción
intestinal las asas
proximales se
dilatan por aire,
gases o ambos
La peristalsis
continua para
intentar vencer la
obstrucción
Las asas distales
a una
obstrucción se
colapsan y
pierden
contenido
Las asas más
grandes (como el
ciego) se
hincharán antes y
más.
Reglas iniciales
Obstrucción de intestino delgado
Ausencia de gas en el colón
Niveles hidroaéreos
Se concentran en el epigastrio
Se amontonan unas asas encimas de otras
en forma de escalera
Dilatación de asas de intestino delgado >2.5
cm proximales a la obstrucción
Busca el ciego no dilatado
Busca el ciego no dilatado
Ausencia de gas en el colón
Niveles hidroaéreos
Se concentran en el epigastrio
Se amontonan unas asas encimas de otras en forma
de escalera
Dilatación de asas de intestino delgado >2.5 cm
proximales a la obstrucción
Obstrucción de intestino grueso
Busca el
sigma no
dilatado
Busca el sigma no dilatado
¿Qué esta dilatado?
Obstrucción por estrangulación
Completa o incompleta
Incompleta, es muy difícil
diferenciarla de la
obstrucción simple.
La obstrucción del
intestino delgado puede
ocurrir simultáneamente a
dos niveles diferentes,
conformando un asa
cerrada que
frecuentemente se dobla
sobre sí misma, al tiempo
que produce el llamado
signo «del grano de
café».
Semiología radiológica
A)Dilatación gástrica
1. Obstrucción pilórica (casi
siempre por úlcera
piloroduodenal).
2. Dilatación gástrica refleja. 3. Atonía gástrica (diabéticos).
4. Uremia
Obstrucciones GI Adulto:
Secundaria a estenosis
cicatricial: post-úlcera o
carcinoma pilórico
Casos de vólvulo gástrico
asociados a herniación
diafragmática: Cuadro agudo,
violento, clínicamente
caracterizado por el deseo de
vomitar del paciente, sin
conseguirlo.
Obstrucción duodenal del adulto:
Frecuentemente a cicatriz de
úlcera, síndrome de la arteria
mesentérica superior y
obstrucción intraluminal por
cálculo biliar o cuerpo extraño.
B)Dilatación del intestino delgado
La dilatación aislada
del intestino delgado
es sinónima de la
obstrucción mecánica
Íleo paralítico va
siempre acompañado
de dilatación cólica
En la obstrucción
intestinal con
estrangulamiento, el
asa afectada está
obstruida en sus
extremos y existe
compromiso vascular
agudo.
Los signos
radiológicos de la
oclusión simple del
intestino delgado
están reflejados en el
cuadro 4.
El colon y el intestino delgado distales a
una obstrucción se vacían de gas y de
heces, entre las 24 y 48 horas del comienzo
de la misma , por lo que la ausencia de gas
más allá de la obstrucción, indica que ésta
tiene ya cierto tiempo de evolución
Cuando se repite el estudio, unas horas
después, se puede ver la acumulación
progresiva de gas y líquido en el intestino
delgado , con producción de niveles
hidroaéreos, etc.
En fases tempranas puede existir un patrón
anodino
C. Dilatación del colón
D) Dilatación del colón e intestino delgado
Dilatación aislada de
colón
Obstrucción
simultanea del
delgado y del grueso
Obstrucción cólica
con válvula ileocecal
incompleta
Oclusión cólica con
válvula continente y
obstrucción
secundaria de
intestino delgado
Oclusión intestinal
con íleo paralitico
asociado
E N O B S T R U C C I Ó N I N T E S T I N A L
•
•
•
•
•
•
•¿
•¿
•¿
•¿
•
•
•
 Hidrosoluble (Bario) diluido 60-120 min previos a
estudio para evalución y grado.
 Contraste Yodado en un volumen de 100ml
inyectado a flujo de 2-3ml/seg
Asas dilatadas, colapsadas
o de calibre normal
Engrosamiento con
hipocaptacion de la pared
Ingurgitacion de vasos
mesentéricos
Obstrucción en asa cerrada
Colapso intestinal
Gas en sistema portal o
neumoperitoneo
• ¿
• ¿
• ¿
• ¿
• ¿
• ¿
• ¿
• ¿
• DARNELL, A., & MARTÍN, J. (JULIO-AGOSTO de 2018). Tomografía computarizada en el diagnóstico de la
obstrucción intestinal. GH CONTINUADA, 7(4).
• S., D. A. (2013). EVALUACIÓN IMAGINOLÓGICA DEL INTESTINO DELGADO POR TC Y RM. CLIN. CONDES, 109-
105.
• Uriel, E. D., & Galeano, N. A. (2012). OBSTRUCCION DE INTESTINO DELGADO: BUSCANDO DÓNDE Y POR QUÉ.
Sociedad Española de Radiología Médica.
• Rosero, Y. Factores predictores en tomografía computarizada de necesidad de cirugía en pacientes con
obstrucción del intestino delgado: Estudio de cohorte (mayo de 2016 hasta mayo de 2018). Universidad
Nacional de Colombia Facultad de Medicina Departamento de Imágenes Diagnósticas. Bogotá D.C., Colombia
2018.
• Learning Radiology: Recognizing The Basics. Herring W, et al. Elsevier, 4ta edición - 2020

TC en obstrucción intestinal-1.pptx

  • 1.
    TU LOGO AQUÍ C AR L O S M A R T I N E Z R O D R I G U E Z U R I E L J I M E N E Z C A R B A L L O S G A R Y M I C H E L R E Y E S R E Y E S E D G A R D E J E S Ú S R Í O S L I M E T A
  • 2.
    ¿ E NQ U E C O N S I S T E ? Consiste en la detención del tránsito intestinal, de forma completa y persistente en algún punto del intestino delgado o grueso. Cuando no sea completa o persistente hablaremos de suboclusión intestinal.
  • 3.
    Es responsable del20% de las causas de dolor abdominal agudo. El intestino delgado (ID) es el punto de obstrucción en 60-80% de casos; asociada a una mortalidad del 5,5%. CARACTERISTICAS
  • 4.
    Mecánica o adinámica Aguda ocrónica Simple o estrangulada Puede producirse en el intestino delgado o grueso.
  • 5.
    TU LOGO AQUÍ Se presentacuando existe un obstáculo al paso del contenido intestinal (pudiendo acompañarse de compromiso vascular). ·Las causas de obstrucción mecánica más frecuentes son: 1.Las bridas (50%) 2.Las neoplasias (15%) 3.Las hernias (15%).
  • 6.
    TU LOGO AQUÍ Hablamos deíleo paralítico, cuando no hay una verdadera interrupción del tránsito intestinal, sino una detención o enlentecimiento. Se produce por trastornos neuromusculares que generan íleo dinámico o adinámico.
  • 7.
    TU LOGO AQUÍ • Esla causa más frecuente de obstrucción. • Aparece cuando la ausencia de estimulación nerviosa refleja impide el peristaltismo. • Se presentará después de cualquier agresión al peritoneo, neumonía del lóbulo inferior, costillas fracturadas o infarto de miocardio. • Interviene el componente hormonal del sistema suprarrenal.
  • 8.
    TU LOGO AQUÍ Es muyraro Es producto de la contracción extrema y prolongada del intestino. Se ha observado en casos de • Envenenamiento con metales pesados • Uremia • Porfiria • Ulceraciones intestinales extensas.
  • 9.
    TU LOGO AQUÍ Las adherenciasy hernias en el intestino delgado. Llegando a constituir del 70 al 75% de todos los casos.
  • 10.
    TU LOGO AQUÍ Las adherenciascasi nunca producen obstrucción en esta zona. Las causas más comunes son: • Carcinoma. • Diverticulitis del sigma. • Vólvulo.
  • 11.
  • 12.
    El paciente típicocon obstrucción intestinal aguda presenta un cuadro de retortijones, vómitos, distensión abdominal y alteración del ritmo intestinal.
  • 13.
    Íleo adinámico • Nohay dolor cólico,molestia por distensión. • Los vómitos pueden ser frecuentes, de contenido gástrico y biliar; casi nunca fecaloideos. • El hipo es muy común.
  • 14.
    Obstrucción intestinal mecánica •Es de tipo cólico, insidioso o brusco e intenso si existe compromiso vascular (estrangulación), perforación o peritonitis. • El dolor es paroxístico y suele localizarse en mesogastrio
  • 15.
    Obstrucción colonica • Eldolor es de menor intensidad o puede estar ausente
  • 16.
    Estrangulación El dolor sueleser más localizado, continuo e intenso, no de tipo cólico.
  • 17.
    Se presentan desdeel comienzo si la obstrucción es alta, de aspecto biliogástrico, alimenticio y con moco.
  • 18.
    Obstrucción del intestinogrueso • Aparecen mucho más tarde o es nulo, y son fecaloideos.
  • 19.
    Obstrucción ileal baja •Es fecaloideo, de color pardo anaranjado y fétido, por la proliferación bacteriana proximal a la obstrucción.
  • 20.
    El examen generalnos aporta: • Datos de gravedad evolutiva. • Estado de hidratación. • Fiebre. • Alteración del pulso y tensión arterial. • Actitud del paciente. • Pueden aparecer signos de gravedad como shock y sepsis (íleo mecánico complicado y, más tardíamente). EXPLORACIÓN FÍSICA
  • 21.
    Inspección: • Abdomen enbusca de cicatrices de intervenciones previas y de hernias inguinales. • Abdomen distendido (de forma general en el íleo adinámico, o local en el íleo mecánico). EXPLORACIÓN FÍSICA
  • 22.
    Ascultación: • La frecuenciay características de los ruidos. • Al principio presenta: • Ruidos hidroaéreos aumentados, de lucha y metálicos (en intestino delgado) • Borborigmo (en intestino grueso) • Fases avanzadas silencio abdominal. EXPLORACIÓN FÍSICA
  • 23.
    Percusión: • Ayuda aevaluar la distensión dependiendo de su contenido: • Gaseoso (timpanismo) • Líquido (matidez) • Será dolorosa si hay afectación de las asas o peritoneo. EXPLORACIÓN FÍSICA
  • 24.
    Palpación: • Debe sersuperficial y profunda. • Realizarse con extrema suavidad y comenzando siempre desde las zonas más distales al dolor. • El dolor selectivo a la descompresión abdominal, considerado esencial en el diagnóstico de irritación peritoneal, está ausente en gran número de ancianos. • El vientre en tabla puede estar ausente en muchos pacientes mayores. • El signo de rebote típico dependerá de la localización del proceso, de la integridad del sistema nervioso, así como de la velocidad de instauración del cuadro. EXPLORACIÓN FÍSICA
  • 25.
    Tratamiento Reposición de: • Líquidos •Electrolitos - potasio Instaurar una descompresión con sonda nasogástrica. Administración antibióticos de amplio espectro.
  • 27.
  • 28.
  • 29.
  • 30.
    Riesgos biologicos Acción térmica fenomenocavitario Tipos de imagenes → →
  • 32.
  • 33.
    E N OB S T R U C C I Ó N I N T E S T I N A L
  • 34.
    TU LOGO AQUÍ VENTAJAS DESVENTAJAS Nose expone a los pacientes a radiación. Hay largo tiempo de exploración. Su uso no está limitado por la administración previa de contraste baritado. Tiene una menor resolución. Son similares a los hallazgos en TC
  • 35.
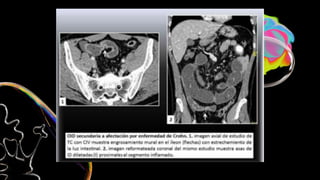
    TU LOGO AQUÍ Los puntosmás importantes son detectar el punto de transición, determinar la causa y descartar la presencia de complicaciones. Para facilitar la búsqueda del PT se emplean dos signos: El “signo del pico”, dado que el punto de cambio de calibre simula un pico. El “signo de las heces”, dado que debido a la obstrucción en el PT las heces se acumulan proximalmente a este dando la típica imagen de patrón en miga de pan.
  • 36.
  • 37.
  • 38.
    Recapitulemos La interferencia conel transporte intestinal, debida a un bloqueo de la luz intestinal por obstáculos diversos, se conoce con el nombre de obstrucción mecánica También se utiliza el término de íleo mecánico e íleo paralitico En el adulto normal, la presencia de gas y heces mezcladas es reconocible en el colon, mientras que, normalmente, no existe o hay una mínima cantidad de gas en el intestino delgado. Cuando existe oclusión intestinal, la ingestión de líquido puede estar detenida, pero la secreción glandular continua, por lo que el contenido líquido intestinal aumenta.
  • 39.
    Obstrucción intestinal Mecánico Obstrucción intestinal Obstrucciónintestinal mecánica Oclusión intestinal Íleo dinámico Funcional Íleo adinámico Íleo reflejo Pseudoclusión intestinal Síndrome de ogilve
  • 40.
  • 41.
  • 42.
    Reglas iniciales Ante la obstrucción intestinallas asas proximales se dilatan por aire, gases o ambos La peristalsis continua para intentar vencer la obstrucción Las asas distales a una obstrucción se colapsan y pierden contenido Las asas más grandes (como el ciego) se hincharán antes y más.
  • 43.
  • 44.
    Obstrucción de intestinodelgado Ausencia de gas en el colón Niveles hidroaéreos Se concentran en el epigastrio Se amontonan unas asas encimas de otras en forma de escalera Dilatación de asas de intestino delgado >2.5 cm proximales a la obstrucción Busca el ciego no dilatado
  • 45.
    Busca el ciegono dilatado Ausencia de gas en el colón Niveles hidroaéreos Se concentran en el epigastrio Se amontonan unas asas encimas de otras en forma de escalera Dilatación de asas de intestino delgado >2.5 cm proximales a la obstrucción
  • 46.
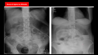
    Obstrucción de intestinogrueso Busca el sigma no dilatado
  • 47.
    Busca el sigmano dilatado
  • 48.
  • 63.
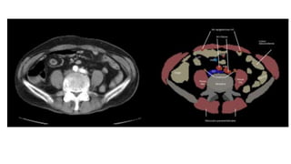
    Obstrucción por estrangulación Completao incompleta Incompleta, es muy difícil diferenciarla de la obstrucción simple. La obstrucción del intestino delgado puede ocurrir simultáneamente a dos niveles diferentes, conformando un asa cerrada que frecuentemente se dobla sobre sí misma, al tiempo que produce el llamado signo «del grano de café».
  • 65.
    Semiología radiológica A)Dilatación gástrica 1.Obstrucción pilórica (casi siempre por úlcera piloroduodenal). 2. Dilatación gástrica refleja. 3. Atonía gástrica (diabéticos). 4. Uremia Obstrucciones GI Adulto: Secundaria a estenosis cicatricial: post-úlcera o carcinoma pilórico Casos de vólvulo gástrico asociados a herniación diafragmática: Cuadro agudo, violento, clínicamente caracterizado por el deseo de vomitar del paciente, sin conseguirlo. Obstrucción duodenal del adulto: Frecuentemente a cicatriz de úlcera, síndrome de la arteria mesentérica superior y obstrucción intraluminal por cálculo biliar o cuerpo extraño.
  • 66.
    B)Dilatación del intestinodelgado La dilatación aislada del intestino delgado es sinónima de la obstrucción mecánica Íleo paralítico va siempre acompañado de dilatación cólica En la obstrucción intestinal con estrangulamiento, el asa afectada está obstruida en sus extremos y existe compromiso vascular agudo. Los signos radiológicos de la oclusión simple del intestino delgado están reflejados en el cuadro 4.
  • 67.
    El colon yel intestino delgado distales a una obstrucción se vacían de gas y de heces, entre las 24 y 48 horas del comienzo de la misma , por lo que la ausencia de gas más allá de la obstrucción, indica que ésta tiene ya cierto tiempo de evolución Cuando se repite el estudio, unas horas después, se puede ver la acumulación progresiva de gas y líquido en el intestino delgado , con producción de niveles hidroaéreos, etc. En fases tempranas puede existir un patrón anodino
  • 68.
  • 69.
    D) Dilatación delcolón e intestino delgado Dilatación aislada de colón Obstrucción simultanea del delgado y del grueso Obstrucción cólica con válvula ileocecal incompleta Oclusión cólica con válvula continente y obstrucción secundaria de intestino delgado Oclusión intestinal con íleo paralitico asociado
  • 70.
    E N OB S T R U C C I Ó N I N T E S T I N A L
  • 72.
  • 75.
  • 76.
    • • •  Hidrosoluble (Bario)diluido 60-120 min previos a estudio para evalución y grado.  Contraste Yodado en un volumen de 100ml inyectado a flujo de 2-3ml/seg
  • 77.
    Asas dilatadas, colapsadas ode calibre normal Engrosamiento con hipocaptacion de la pared Ingurgitacion de vasos mesentéricos
  • 78.
    Obstrucción en asacerrada Colapso intestinal Gas en sistema portal o neumoperitoneo
  • 87.
  • 89.
  • 93.
    • DARNELL, A.,& MARTÍN, J. (JULIO-AGOSTO de 2018). Tomografía computarizada en el diagnóstico de la obstrucción intestinal. GH CONTINUADA, 7(4). • S., D. A. (2013). EVALUACIÓN IMAGINOLÓGICA DEL INTESTINO DELGADO POR TC Y RM. CLIN. CONDES, 109- 105. • Uriel, E. D., & Galeano, N. A. (2012). OBSTRUCCION DE INTESTINO DELGADO: BUSCANDO DÓNDE Y POR QUÉ. Sociedad Española de Radiología Médica. • Rosero, Y. Factores predictores en tomografía computarizada de necesidad de cirugía en pacientes con obstrucción del intestino delgado: Estudio de cohorte (mayo de 2016 hasta mayo de 2018). Universidad Nacional de Colombia Facultad de Medicina Departamento de Imágenes Diagnósticas. Bogotá D.C., Colombia 2018. • Learning Radiology: Recognizing The Basics. Herring W, et al. Elsevier, 4ta edición - 2020