DR JULIO CONTRERAS CASTILLO.
MEDICINA INTERNA NEUMOLOGIA
UDEM.
TUMORES DE MEDIASTINO
ANATOMIA DEL MEDIASTINO
• Límites:
– Anterior: plastrón esternocostal.
– Posterior: columna dorsal desde D1 hasta L1.
– Laterales: cara mediastinal de ambos pulmones.
– Superior: abertura superior del tórax.
– Inferior: diafragma.
• División (Sabiston):
– Posterior: entre el pericardio y los canales vertebrales.
– Medio: entre las hojas del pericardio e incluye los grandes vasos.
– Anterior: por delante del pericardio, la aorta y los vasos
braquiocefálicos.
CONTENIDO MEDIASTINAL
• Anterior:
– Celda tímica: timo o cuerpo adiposo de waldeyer.
– Ramas de las arterias y venas mamarias internas.
– Ligamento esternopericárdico inferior
– Ganglios y tejido adiposo.
• Medio:
– Pericardio.
– Corazón.
– Porción ascendente y transversa de la aorta.
– Venas cavas superior e inferior.
– Arterias y venas braquiocefálicas.
– Nervio frénico y porción superior del vago.
– Tráquea , bronquiofuentes y tejido ganglionar.
– Arterias y venas pulmonares.
Contenido Mediastinal
• Posterior:
– Aorta descendente.
– Esófago.
– Conducto torácico.
– Vena ácigos y hemiácigos.
– Tejido adiposo y ganglionar.
– Nervios autonómicos.
EPIDEMILOGIA
• Incidencia:
– Primarios 1 cada 100.000 habitantes
– Secundarios > de 20 cada 100.000 habitantes
• Relación hombre/mujer:
– Primarios 1/1
– Secundarios 5/1
• Distribución por edades (primarios):
– Adultos: 30% son malignos
– Niños: 50% son malignos
• Distribución por localización:
– Adultos: Anterior > Medio > Posterior
– Niños: Posterior > Anterior > Medio
– Secundarios: Medio > Anterior > posterior
DISTRIBUCION
• Tumores de mediastino anterior: 50 a 60%
• Tumores de mediastino medio: 20 a 30%
• Tumores de mediastino posterior: 10 a 20%
TUMORES ANTERIORES
• Timomas:
• Germinales: teratomas, seminomas, no seminomatosos.
• Linfomas:
• Mesenquimáticos: lipomas, liposarcomas, lipomatosis,
fibromas, hemangiomas, linfangiomas
• Otros tumores tímicos: quistes tímicos, timolipomas,
carcinoma tímico, hiperplasia tímica
• Paratiroides:
• Bocio intratorácico:
TUMORES MEDIOS
• MTS ganglionares:
• Linfomas: Hodgkin, No Hodgkin, enfermedad de Castelman
• Mesenquimáticos:
• TBC ganglionar:
• Quistes: pericárdicos, entéricos, broncogénicos
• Sarcoidosis:
• Quistes del conducto torácico:
TUMORES POSTERIORES
• Neurogénicos:
– Nervios perisféricos: Schwanoma, neurosarcoma,
neurofibroma
– Ganglios simpáticos: ganglioneuroma,
ganglioneuroblastoma, neuroblastoma, simpaticoblastoma
– Paraganglionares: paraganglioma, feocromocitoma,
quemodectoma
• Neuroentéricos:
• Mesenquimáticos
SINTOMATOLOGIA
• Compresión o infiltración:
– Respiratoria: tos, disnea, estridor, hemoptisis
– Pleural: derrame pleural
– Digestiva: disfagia, reflujo
– Cardíaca: ICC, taponamiento, arritmias
– Nerviosa: dolor, parálisis frénica, síndrome medular,
Claude Bernard Horner, disfonía
– Vascular: síndrome de vena cava superior
• Neurohormonal: fiebre, miastenia, Wipple, aplasia medular,
hipogamaglobulinemia, osteopatía hipertrófica, ginecomastia,
HTA, taquicardia, sudoración, hipoglucemia
LABORATORIO
• Citológico
• VSG
• Anticuerpos antirreceptor de acetilcolina: miastenia,
linfoma.
• Alfafetoproteína: solo en no seminomatosos,
• Fracción beta de gonadotrofina coriónica humana: no
seminomatosos, 10% de seminomas
• CEA: no seminomatosos, MTS de CA de colon
• FAL: linfomas e hiperparatiroidismo
• Calcio: Hiperparatiroidismo
• Acido Vanil Mandélico: feocromocitoma
OBJETIVOS DIAGNOSTICOS
• Diferenciar una radiografía normal de una patológica
• Diferenciar un verdadero tumor de mediastino de una
estructura mediastinal alterada
• Diferenciar patología primaria de secundaria
• Determinar si la patología necesita alguna cirugía
• Evaluar compresión vs infiltración
• Evaluar resecabilidad
• Obtener diagnóstico definitivo (histología)
METODOS DIAGNOSTICOS
• Radiografía de tórax
• Tomografía axial computada
• Resonancia magnética nuclear
• Tomografía por emisión de positrones
• Estudios de laboratorio
• Estudios para la búsqueda del tumor primario
• Estudios de estadificación
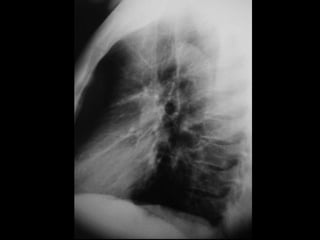
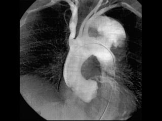
RADIOGRAFIA
• Radiografía normal
• Radiografía patológica
– Ensanchamiento mediastinal
• Técnica radiográfica
• Estructuras normales de tamaño o distribución atípica
• Estructuras vasculares
• Tumores
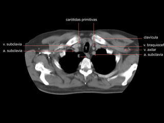
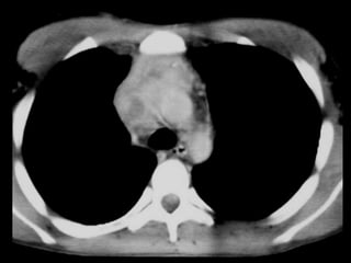
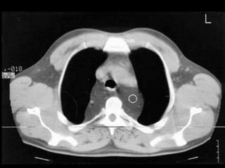
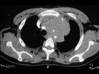
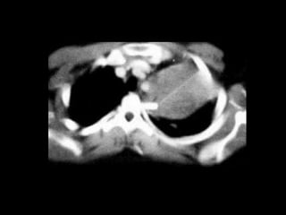
TOMOGRAFIA
yugular int.
carótida
v. axilar
gland.
tiroides
T clavícula
esófago
T
yugular
carótida
v.axilar
a. subclavia
a. axilar
E
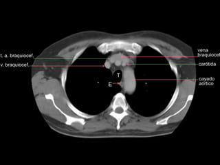
v. braquiocef
T
a. subclavia
v. subclavia
v. axilar
clavícula
E
a. subclavia
carótidas primitivas
v. braquiocef.
T
E
carótidas primitivas
a. subclavia
v. braquiocef.
v. axilar
clavícula
vena
braquiocef
T
E
cayado
aórtico
carótida
t. a. braquiocef.
v. braquiocef.
esternón
v.c.s.
carina
v. ácigos
espacio
prevascular
aorta
ascendente
a. pulmonar
izquierda
aorta
descendente
vasos
mamarios
internos
aorta
ascendente
v.c.s.
br. derecho
receso
pleuro-
acigoesofágico
rama a.
pulmonar
tronco a.
pumonar
a. pulm. der.
br. izquierdo
aorta
descendente
espacio
prevascular
E
aorta
ascendente
v.c.s.
a. pulmonar
derecha
espacio
prevascular
tronco a.
pulmonar
aorta
descendente
v. ácigos E
rama a.
pulmonar
a. pulmonar
v.c.s.
v. ácigos
ramas a.
pulmonar
E
aorta
ascendente
aorta
descendente
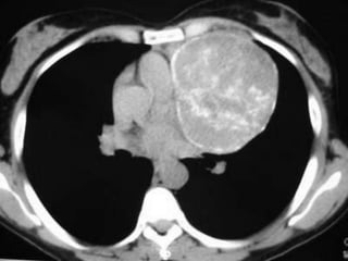
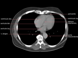
ventrículo der.
aurícula izq.
v. ácigos
aurícula der.
aorta
descendente
ventrículo izq
tabique
interventric.
pericardio
aurícula der.
ventrículo der.
ventríc. izq.
E
pericardio
pericardio
aorta
descendente
seno
coronario
hígado
v.c.i.
espacio
retrocrural
colon
ángulo
esplénico
estómago
bazo
aorta
descendente
MEDIASTINO ANTERIOR
TIMOMA
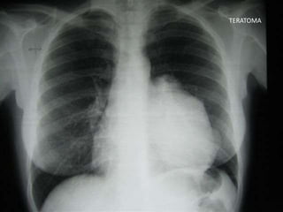
TERATOMA
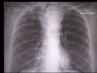
LIPOSARCOMA
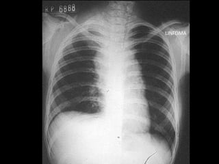
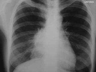
LINFOMA
LINFOMA
BOSIO
TIMOLIPOMA
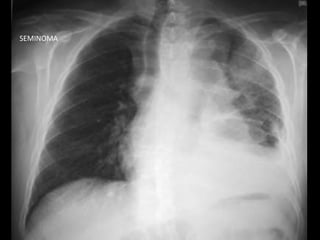
SEMINOMA
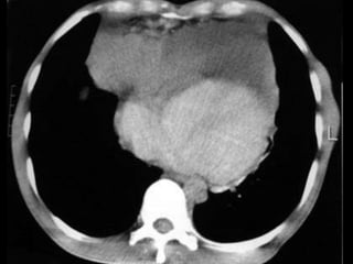
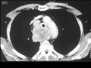
MEDIASTINO MEDIO
CANDER DE ESOFAGO
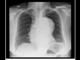
ANEURISMA
QUISTE PERICARDICO
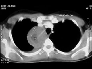
MEDIASTINO POSTERIOR
NEUROGENICO
SCHUANOMA
LIPOMA
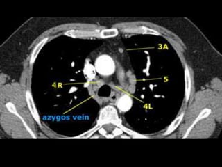
Ganglios
• Mediastinales superiores:
– 1) Mediastinales altos: encima de una linea que pasa por el borde
superior de la vena innominada izquierda, al cruzar la traquea.
– 2R y 2L) Paratraqueales superiores derechos e izquierdos: encima
de una linea que pasa por el borde superior del arco aórtico.
– 3A) Prevasculares.
– 3P) Retrotraqueales.
– 4R y 4L) Paratraqueales inferiores derechos e izquierdos: por
encima de una linea que pasa por el borde superior del
bronquiofuente respectivo, a nivel de la salida del bronquio lobar
superior.
Ganglios
• Aórticos
– 5) Subaórticos: en la ventana aortopulmonar, laterales al
ligamento arterioso, próximos a la rama izquierda de la arteria
pulmonar.
– 6) Paraaórticos: en la cara anterior y lateral de la aorta
ascendente, el cayado y el tronco braquiocefálico.
• Mediatinales inferiores:
– 7) Subcarinales:
– 8) Paraesofagicos:
– 9) Del ligamento pulmonar
DIAGNOSTICO HISTOLOGICO
1. Mediastinoscopía cervical estándar
2. Mediastinoscopía infraesternal
3. Mediastinostomía anterior
4. PAAF
5. VATS
6. Esternotomía mediana
7. Toracotomía
MEDIASTINOSCOPIA
• Indicaciones
– Biopsia de ganglios
– Biopsia de tumores
– Timectomía (miastenia)
– Resección de adenoma paratiroideo ectópico
– Resección de quistes tímico
– Drenaje de colecciones cérvico-torácicas
• Contraindicaciones
– Artrosis cervical severa
– Cuello corto
– Traqueostomía previa
MEDIASTINOSCOPIA
• Complicaciones
– Hemorragia
– Infecciones
– Lesiones nerviosas
– Lesiones de vía aérea
– Neumotórax
– Quilotórax
– Implante tumoral en herida
MEDIASTINOSTOMIA
• Indicaciones
– Biopsias de tumores de mediastino anterior
– Biopsia de ganglios parahiliares y de la ventana
aortopulmonar
– Estadificación del cáncer pulmonar
– Complemento de la mediastinoscopía
• Contraindicaciones
– Coagulopatías
• Complicaciones
– Hemorragia
– Infecciones
– Neumotórax
– Implante tumoral en herida
VATS
• Indicaciones
– Biopsia de ganglios
– Biopsia de tumor de mediastino
– Resección de tumores pequeños
– Resección de quistes o tumores benignos
– Timectomía (miastenia)
• Ventajas
– Adecuada exposición del el mediastino
– Altísima sensibilidad y especificidad
– Poco riesgo quirúrgico
– Permite resecciones curativas en algunos casos
– Reducción del trauma quirúrgico y de las incisiones
– Excelentes resultados estéticos
TORACOTOMIA
ESTERNOTOMIA
PAAF
TIMOMAS
• Ubicación: mediastino anterior
• Edad: 50-60 años
• Clínica: 30% miastenia, 70% alguna manifestación
neurohumoral
• Variedades: corticales, medulares, mixtos
• Clasificación de Masaoka
– Tipo I: encapsulado (95% sobrevida)
– Tipo II: invade cápsula y grasa mediastinal (85% sobrevida)
– Tipo III: invade un órgano vecino (70% sobrevida)
– Tipo IV: invade pleura, pericardio, o está diseminado (50%
sobrevida)
• Diagnóstico: nunca PAAF
• Tratamiento: cirugía agresiva, si está extendido QTX + RTX
OTROS TUMORES TIMICOS
• Hiperplasia tímica
• Quistes tímicos
• Timolipoma
• Carcinoma tímico
TERATOMAS
• Ubicación: mediastino anterior
• Edad: sin prevalencias
• Clínica: por efecto de masa
• Variedades: diferenciados e indiferenciados (potencial
maligno)
• Diagnóstico: TAC
– Cápsula con realce del contraste
– Poliloculado
– Contenido líquido o graso
– Calcificaciones
• Tratamiento: cirugía, QTX solo en inmaduros
SEMINOMAS
• Ubicación: mediastino anterior
• Edad: 30 años
• Clínica: por efecto de masa
• Diagnóstico:
– PAAF
– GCH aumentada en 10%
– Alfafetoproteína siempre negatina
• Tratamiento: QTX + RTX + cirugía de lesiones residuales con
excelente respuesta
NO SEMINOMATOSOS
• Ubicación: mediastino anterior
• Edad: 30 años
• Clínica: por efecto de masa y secreción neurohumoral
• Variedades: coriocarcinoma, tumor del saco vitelino,
carcinoma embrionario y tumores mixtos
• Diagnóstico:
• TAC: masas necrosadas con hemorragias, de bordes mal
definidos, voluminosas
• PAAF
• GCH aumentada
• Alfafetoproteína aumentada
• CEA aumentado
• Tratamiento: QTX, en rescate Cirugía + RTX
BOSIO ENDOTORÁCICO
• Ubicación: mediastino anterior 80%, posterior 20%
• Edad: sin prevalencia
• Clínica: compresión de tráquea y VCS
• Variedades: benigno o maligno (raro)
• Clasificación
– Endotorácico puro (verdadero)
– Cervicotorácico (falso)
• Diagnóstico:
– PAAF
– T4
– Gammagrafía con Iodo
• Tratamiento: Cervicotomía en benignos y esternotomía en
malignos
MTS GANGLIONARES
• Ubicación: mas frecuente en mediastino medio
• Edad: 60 – 70 años
• Clínica: efecto de masa
• Orígen:
– 80% de CA de pulmón
– 18% de otros CA intratorácicos
– 2% de CA extratorácicos
• Diagnóstico: mediastinostoía, mediastinoscopía, VATS
• Tratamiento: QTX
LINFOMAS
• Ubicación: mediastino medio y anterior
• Clínica: poca, en general neurohumoral
• Variedades:
– Hodgkin
– No Hodgkin
• Diagnóstico: mediastinostoía, mediastinoscopía, VATS
• Tratamiento: QTX + RTX
QUISTES
• Ubicación: mediastino posterior, medio
• Edad: congénitos
• Clínica: por compresión, pueden infectarse
• Variedades:
– Broncogénicos
– Pericárdicos
– Entéricos
– Del conducto torácico
• Diagnóstico: TAC
• Tratamiento: cirugía, si está contraindicada punción
evacuación
NEUROGENICOS
• Ubicación: mediastino posterior
• Edad: sin predominio
• Clínica: dolor, síndrome medular
• Diagnóstico:
– RMN para ver invasión de canal raquídeo
• Tratamiento: cirugía
GRACIAS POR SU ATENCION

Tumores de-mediastino

  • 1.
    DR JULIO CONTRERASCASTILLO. MEDICINA INTERNA NEUMOLOGIA UDEM. TUMORES DE MEDIASTINO
  • 2.
    ANATOMIA DEL MEDIASTINO •Límites: – Anterior: plastrón esternocostal. – Posterior: columna dorsal desde D1 hasta L1. – Laterales: cara mediastinal de ambos pulmones. – Superior: abertura superior del tórax. – Inferior: diafragma. • División (Sabiston): – Posterior: entre el pericardio y los canales vertebrales. – Medio: entre las hojas del pericardio e incluye los grandes vasos. – Anterior: por delante del pericardio, la aorta y los vasos braquiocefálicos.
  • 4.
    CONTENIDO MEDIASTINAL • Anterior: –Celda tímica: timo o cuerpo adiposo de waldeyer. – Ramas de las arterias y venas mamarias internas. – Ligamento esternopericárdico inferior – Ganglios y tejido adiposo. • Medio: – Pericardio. – Corazón. – Porción ascendente y transversa de la aorta. – Venas cavas superior e inferior. – Arterias y venas braquiocefálicas. – Nervio frénico y porción superior del vago. – Tráquea , bronquiofuentes y tejido ganglionar. – Arterias y venas pulmonares.
  • 5.
    Contenido Mediastinal • Posterior: –Aorta descendente. – Esófago. – Conducto torácico. – Vena ácigos y hemiácigos. – Tejido adiposo y ganglionar. – Nervios autonómicos.
  • 11.
    EPIDEMILOGIA • Incidencia: – Primarios1 cada 100.000 habitantes – Secundarios > de 20 cada 100.000 habitantes • Relación hombre/mujer: – Primarios 1/1 – Secundarios 5/1 • Distribución por edades (primarios): – Adultos: 30% son malignos – Niños: 50% son malignos • Distribución por localización: – Adultos: Anterior > Medio > Posterior – Niños: Posterior > Anterior > Medio – Secundarios: Medio > Anterior > posterior
  • 12.
    DISTRIBUCION • Tumores demediastino anterior: 50 a 60% • Tumores de mediastino medio: 20 a 30% • Tumores de mediastino posterior: 10 a 20%
  • 13.
    TUMORES ANTERIORES • Timomas: •Germinales: teratomas, seminomas, no seminomatosos. • Linfomas: • Mesenquimáticos: lipomas, liposarcomas, lipomatosis, fibromas, hemangiomas, linfangiomas • Otros tumores tímicos: quistes tímicos, timolipomas, carcinoma tímico, hiperplasia tímica • Paratiroides: • Bocio intratorácico:
  • 14.
    TUMORES MEDIOS • MTSganglionares: • Linfomas: Hodgkin, No Hodgkin, enfermedad de Castelman • Mesenquimáticos: • TBC ganglionar: • Quistes: pericárdicos, entéricos, broncogénicos • Sarcoidosis: • Quistes del conducto torácico:
  • 15.
    TUMORES POSTERIORES • Neurogénicos: –Nervios perisféricos: Schwanoma, neurosarcoma, neurofibroma – Ganglios simpáticos: ganglioneuroma, ganglioneuroblastoma, neuroblastoma, simpaticoblastoma – Paraganglionares: paraganglioma, feocromocitoma, quemodectoma • Neuroentéricos: • Mesenquimáticos
  • 16.
    SINTOMATOLOGIA • Compresión oinfiltración: – Respiratoria: tos, disnea, estridor, hemoptisis – Pleural: derrame pleural – Digestiva: disfagia, reflujo – Cardíaca: ICC, taponamiento, arritmias – Nerviosa: dolor, parálisis frénica, síndrome medular, Claude Bernard Horner, disfonía – Vascular: síndrome de vena cava superior • Neurohormonal: fiebre, miastenia, Wipple, aplasia medular, hipogamaglobulinemia, osteopatía hipertrófica, ginecomastia, HTA, taquicardia, sudoración, hipoglucemia
  • 17.
    LABORATORIO • Citológico • VSG •Anticuerpos antirreceptor de acetilcolina: miastenia, linfoma. • Alfafetoproteína: solo en no seminomatosos, • Fracción beta de gonadotrofina coriónica humana: no seminomatosos, 10% de seminomas • CEA: no seminomatosos, MTS de CA de colon • FAL: linfomas e hiperparatiroidismo • Calcio: Hiperparatiroidismo • Acido Vanil Mandélico: feocromocitoma
  • 18.
    OBJETIVOS DIAGNOSTICOS • Diferenciaruna radiografía normal de una patológica • Diferenciar un verdadero tumor de mediastino de una estructura mediastinal alterada • Diferenciar patología primaria de secundaria • Determinar si la patología necesita alguna cirugía • Evaluar compresión vs infiltración • Evaluar resecabilidad • Obtener diagnóstico definitivo (histología)
  • 19.
    METODOS DIAGNOSTICOS • Radiografíade tórax • Tomografía axial computada • Resonancia magnética nuclear • Tomografía por emisión de positrones • Estudios de laboratorio • Estudios para la búsqueda del tumor primario • Estudios de estadificación
  • 20.
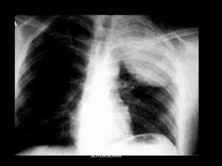
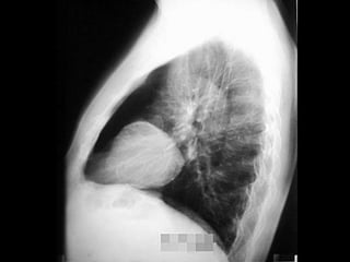
    RADIOGRAFIA • Radiografía normal •Radiografía patológica – Ensanchamiento mediastinal • Técnica radiográfica • Estructuras normales de tamaño o distribución atípica • Estructuras vasculares • Tumores
  • 26.
  • 27.
  • 28.
  • 29.
    v. braquiocef T a. subclavia v.subclavia v. axilar clavícula E a. subclavia carótidas primitivas
  • 30.
    v. braquiocef. T E carótidas primitivas a.subclavia v. braquiocef. v. axilar clavícula
  • 31.
  • 32.
  • 33.
    aorta ascendente v.c.s. br. derecho receso pleuro- acigoesofágico rama a. pulmonar troncoa. pumonar a. pulm. der. br. izquierdo aorta descendente espacio prevascular E
  • 34.
  • 35.
    a. pulmonar v.c.s. v. ácigos ramasa. pulmonar E aorta ascendente aorta descendente
  • 36.
    ventrículo der. aurícula izq. v.ácigos aurícula der. aorta descendente ventrículo izq tabique interventric. pericardio
  • 37.
    aurícula der. ventrículo der. ventríc.izq. E pericardio pericardio aorta descendente seno coronario
  • 38.
  • 39.
  • 40.
  • 44.
  • 47.
  • 49.
  • 51.
  • 53.
  • 55.
  • 57.
  • 59.
  • 60.
  • 61.
  • 64.
  • 66.
  • 68.
  • 70.
  • 72.
  • 73.
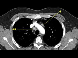
    Ganglios • Mediastinales superiores: –1) Mediastinales altos: encima de una linea que pasa por el borde superior de la vena innominada izquierda, al cruzar la traquea. – 2R y 2L) Paratraqueales superiores derechos e izquierdos: encima de una linea que pasa por el borde superior del arco aórtico. – 3A) Prevasculares. – 3P) Retrotraqueales. – 4R y 4L) Paratraqueales inferiores derechos e izquierdos: por encima de una linea que pasa por el borde superior del bronquiofuente respectivo, a nivel de la salida del bronquio lobar superior.
  • 74.
    Ganglios • Aórticos – 5)Subaórticos: en la ventana aortopulmonar, laterales al ligamento arterioso, próximos a la rama izquierda de la arteria pulmonar. – 6) Paraaórticos: en la cara anterior y lateral de la aorta ascendente, el cayado y el tronco braquiocefálico. • Mediatinales inferiores: – 7) Subcarinales: – 8) Paraesofagicos: – 9) Del ligamento pulmonar
  • 79.
    DIAGNOSTICO HISTOLOGICO 1. Mediastinoscopíacervical estándar 2. Mediastinoscopía infraesternal 3. Mediastinostomía anterior 4. PAAF 5. VATS 6. Esternotomía mediana 7. Toracotomía
  • 80.
    MEDIASTINOSCOPIA • Indicaciones – Biopsiade ganglios – Biopsia de tumores – Timectomía (miastenia) – Resección de adenoma paratiroideo ectópico – Resección de quistes tímico – Drenaje de colecciones cérvico-torácicas • Contraindicaciones – Artrosis cervical severa – Cuello corto – Traqueostomía previa
  • 81.
    MEDIASTINOSCOPIA • Complicaciones – Hemorragia –Infecciones – Lesiones nerviosas – Lesiones de vía aérea – Neumotórax – Quilotórax – Implante tumoral en herida
  • 89.
    MEDIASTINOSTOMIA • Indicaciones – Biopsiasde tumores de mediastino anterior – Biopsia de ganglios parahiliares y de la ventana aortopulmonar – Estadificación del cáncer pulmonar – Complemento de la mediastinoscopía • Contraindicaciones – Coagulopatías • Complicaciones – Hemorragia – Infecciones – Neumotórax – Implante tumoral en herida
  • 92.
    VATS • Indicaciones – Biopsiade ganglios – Biopsia de tumor de mediastino – Resección de tumores pequeños – Resección de quistes o tumores benignos – Timectomía (miastenia) • Ventajas – Adecuada exposición del el mediastino – Altísima sensibilidad y especificidad – Poco riesgo quirúrgico – Permite resecciones curativas en algunos casos – Reducción del trauma quirúrgico y de las incisiones – Excelentes resultados estéticos
  • 95.
  • 104.
  • 112.
  • 114.
    TIMOMAS • Ubicación: mediastinoanterior • Edad: 50-60 años • Clínica: 30% miastenia, 70% alguna manifestación neurohumoral • Variedades: corticales, medulares, mixtos • Clasificación de Masaoka – Tipo I: encapsulado (95% sobrevida) – Tipo II: invade cápsula y grasa mediastinal (85% sobrevida) – Tipo III: invade un órgano vecino (70% sobrevida) – Tipo IV: invade pleura, pericardio, o está diseminado (50% sobrevida) • Diagnóstico: nunca PAAF • Tratamiento: cirugía agresiva, si está extendido QTX + RTX
  • 115.
    OTROS TUMORES TIMICOS •Hiperplasia tímica • Quistes tímicos • Timolipoma • Carcinoma tímico
  • 116.
    TERATOMAS • Ubicación: mediastinoanterior • Edad: sin prevalencias • Clínica: por efecto de masa • Variedades: diferenciados e indiferenciados (potencial maligno) • Diagnóstico: TAC – Cápsula con realce del contraste – Poliloculado – Contenido líquido o graso – Calcificaciones • Tratamiento: cirugía, QTX solo en inmaduros
  • 117.
    SEMINOMAS • Ubicación: mediastinoanterior • Edad: 30 años • Clínica: por efecto de masa • Diagnóstico: – PAAF – GCH aumentada en 10% – Alfafetoproteína siempre negatina • Tratamiento: QTX + RTX + cirugía de lesiones residuales con excelente respuesta
  • 118.
    NO SEMINOMATOSOS • Ubicación:mediastino anterior • Edad: 30 años • Clínica: por efecto de masa y secreción neurohumoral • Variedades: coriocarcinoma, tumor del saco vitelino, carcinoma embrionario y tumores mixtos • Diagnóstico: • TAC: masas necrosadas con hemorragias, de bordes mal definidos, voluminosas • PAAF • GCH aumentada • Alfafetoproteína aumentada • CEA aumentado • Tratamiento: QTX, en rescate Cirugía + RTX
  • 119.
    BOSIO ENDOTORÁCICO • Ubicación:mediastino anterior 80%, posterior 20% • Edad: sin prevalencia • Clínica: compresión de tráquea y VCS • Variedades: benigno o maligno (raro) • Clasificación – Endotorácico puro (verdadero) – Cervicotorácico (falso) • Diagnóstico: – PAAF – T4 – Gammagrafía con Iodo • Tratamiento: Cervicotomía en benignos y esternotomía en malignos
  • 120.
    MTS GANGLIONARES • Ubicación:mas frecuente en mediastino medio • Edad: 60 – 70 años • Clínica: efecto de masa • Orígen: – 80% de CA de pulmón – 18% de otros CA intratorácicos – 2% de CA extratorácicos • Diagnóstico: mediastinostoía, mediastinoscopía, VATS • Tratamiento: QTX
  • 121.
    LINFOMAS • Ubicación: mediastinomedio y anterior • Clínica: poca, en general neurohumoral • Variedades: – Hodgkin – No Hodgkin • Diagnóstico: mediastinostoía, mediastinoscopía, VATS • Tratamiento: QTX + RTX
  • 122.
    QUISTES • Ubicación: mediastinoposterior, medio • Edad: congénitos • Clínica: por compresión, pueden infectarse • Variedades: – Broncogénicos – Pericárdicos – Entéricos – Del conducto torácico • Diagnóstico: TAC • Tratamiento: cirugía, si está contraindicada punción evacuación
  • 123.
    NEUROGENICOS • Ubicación: mediastinoposterior • Edad: sin predominio • Clínica: dolor, síndrome medular • Diagnóstico: – RMN para ver invasión de canal raquídeo • Tratamiento: cirugía
  • 125.