Dr. Helbert Fernando Rodriguez Franco
R2 Medicina de Urgencias
2014
Rx lateral de cuello*
Rx de torax
Rx de pelvis*
*Según cinematica del trauma, síntomas y examen fisico
Rx tórax en herida toracoabdominal.
Rx AP y Lateral abdomen en herida por
proyectil arma de fuego.
Urografía, hematuria macro, heridas lumbares.
Cisto uretrografía sospecha lesión uretra o
vejiga
HISTORIA:
1965, Root introdujo el diagnóstico por lavado
peritoneal.
1967 Veith describió su utilidad en la enfermedad
abdominal aguda no traumática.
DEFINICION: El lavado peritoneal consiste en la
introducción a la cavidad peritoneal de una
solución (L.R ò SSN) y su recuperación posterior
con fines diagnósticos.
Politraumatismo con hipotensión persistente no
explicada por hemorragia externa, intratoráxica
o esquelética.
Politraumatismo con lesión craneoencefálica y
alteraciones de conciencia.
Traumatismo abdominal no penetrante con
signos de lesión grave al nivel de la pared
abdominal.
Estado comatoso, de embriaguez o bajo acción
de drogas de efecto neurológico, y con huellas
de traumatismo múltiple.
Politraumatismo con lesión de medula espinal y
alteraciones de la sensibilidad, secundarias al
traumatismo.
Lesión grave de la región inferior del tórax.
Heridas penetrantes de un hemitórax, por
debajo del quinto espacio intercostal, con
sospecha de lesión diafragmática o visceral.
Politraumatismo con lesiones graves de los
tejidos blandos en dos extremidades, o una
superior y una inferior.
Con fines terapéuticos, como es el
recalentamiento de enfermos que sufren de
hipotermia.
Daños múltiples ortopédicos, fracturas torácicas
o lumbares, pélvicas, paraplejía o cuadriplejía
secundaria al daño, aire libre peritoneal en
radiografías
Las contraindicaciones absolutas son:
Indicación evidente de laparotomía inmediata.
Historia de múltiples operaciones abdominales
previas.
Son contraindicaciones relativas:
Obesidad extrema.
Embarazo.
Cirrosis avanzada
Coagulopatía preexistente.
Cirugías abdominales previas.
1. Positivo (trauma abdominal cerrado):
1.1. Aspiración de > 10 ml de sangre
1.2. Hematíes > 100.000 / mm3.
1.3. Leucocitos > 500 / mm3.
1.4. Amilasa > 175 U I / L.
1.5. Presencia de bilis, bacterias o restos de
alimentos.
2. Positivo (trauma abdominal penetrante):
2.1. Hematíes > 10.000 / mm3.
3. Negativo (trauma abdominal cerrado):
3.1. Hematíes < 50.000 / mm3.
3.2. Leucocitos 100 / mm3.
3.3. Amilasa < 75 U I / L.
4. Indeterminado (trauma abdominal
cerrado):
4.1. Hematíes > 50.000 y < 100.000 / mm3.
4.2. Leucocitos > 100 y < 500 / mm3.
4.3. Amilasa > 75 y < 175 U I / L.
Surg Clin N Am 91 (2011) 195–207
• Método FAST (Focused Abdominal Sonography on
Trauma) Rozycki y col. en el año 1996.
• El objetivo del examen FAST es la detección de líquido
libre.
• La sensibilidad 90%, Especificidad 100%
Traumatismo toracoabdominal cerrado.
Traumatismo toracoabdominal penetrante.
Sospecha de taponamiento pericárdico.
Paciente traumatológico con hipotensión de
origen desconocido.
Traumatismo toracoabdominal en mujer
gestante.
Objetivo: decidir si el paciente precisa cirugía
urgente.
Surg Clin N Am 91 (2011) 195–207
[REV. MED. CLIN. CONDES - 2011; 22(5) 633-639]
El fast scan puede detectar:
1. Líquido pericárdico.
2. Líquido intratorácico.
3. Líquido intraabdominal.
4. Líquido retroperitoneal.
La calidad de la imagen depende de numerosos factores:
1. Calidad del aparato y de la sonda.
2. Hábito somático del paciente (peor los obesos, ya que la grasa impide ver bien).
3. Heridas previas.
4. Presencia de enfisema subcutáneo.
5. Presencia de abundante gas intestinal.
Score USG mayor o igual a 3, más de 1.000 ml de
sangre laparotomía 96% ,menos de 3 sólo la
requieren en el 36%
Surg Clin N Am 91 (2011) 195–207
[REV. MED. CLIN. CONDES - 2011; 22(5) 633-639]
SI
NO
SI
Surg Clin N Am 91 (2011) 195–207
[REV. MED. CLIN. CONDES - 2011; 22(5) 633-639]
Surg Clin N Am 91 (2011) 195–207
[REV. MED. CLIN. CONDES - 2011; 22(5) 633-639]
Cortes desde bases pulmonares hasta la pelvis
Medio de contraste VO, IV, VR
Pacientes estables Hemodinamicamente
Aspectos negativos
• Paciente no cooperador
• Disponibilidad
• Alergia al medio de contraste
• No disponibilidad de un medio no iónico
Medio contraste IV para acentuar aéreas del parénquima
Contraste oral para visualizar áreas de lesión del duodeno y del
páncreas
Contraste rectal ante sospecha de lesión colonica
Knudson y col.
1. Leve (250 ml; presencia de mínima cantidad de líquido subfrénico o
subhepático)
2. Moderado (250 a 500 ml; lo anterior más sangre en alguna gotera)
3. Grave (más de 500 ml; lo anterior más sangre en la pelvis)
Surg Clin N Am 91 (2011) 195–207
[REV. MED. CLIN. CONDES - 2011; 22(5) 633-639]
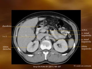
A
TC axial con contraste
duodeno
v.c.i.
riñón
derecho
v. renal
izquierda
a. renal
izquierda
riñón
izquierdo
a.m.s.
m.psoasilíaco
vejiga
vesículas
seminales
recto
a. ilíaca
v. ilíaca
uréter
techo
acetabular
TC axial con contraste
hematoma mesentérico postraumático
L.P.D. ECO T.A.C.
Ventajas Sensibilidad
98%
Dx. temprano
Dx temprano
No invasivo
Repetible
Comfiable
86 - 97%
Específico
Localiza
lesión
Severidad
Surg Clin N Am 91 (2011) 195–207
[REV. MED. CLIN. CONDES - 2011; 22(5) 633-639]
L.P.D. ECO T.A.C.
Desventajas -Invasivo
-Muy sensible
-Malo
diafragna,
vejiga y
retroperitoneo
-Operador
dependiente
-Obesos,
enfisema, tx.
pared
-Toma tiempo
-Experiencia
-Diafragma y
víscera hueca
Surg Clin N Am 91 (2011) 195–207
[REV. MED. CLIN. CONDES - 2011; 22(5) 633-639]
Examenes diagnósticos trauma abdominal

Examenes diagnósticos trauma abdominal

  • 1.
    Dr. Helbert FernandoRodriguez Franco R2 Medicina de Urgencias 2014
  • 2.
    Rx lateral decuello* Rx de torax Rx de pelvis* *Según cinematica del trauma, síntomas y examen fisico
  • 3.
    Rx tórax enherida toracoabdominal. Rx AP y Lateral abdomen en herida por proyectil arma de fuego. Urografía, hematuria macro, heridas lumbares. Cisto uretrografía sospecha lesión uretra o vejiga
  • 5.
    HISTORIA: 1965, Root introdujoel diagnóstico por lavado peritoneal. 1967 Veith describió su utilidad en la enfermedad abdominal aguda no traumática. DEFINICION: El lavado peritoneal consiste en la introducción a la cavidad peritoneal de una solución (L.R ò SSN) y su recuperación posterior con fines diagnósticos.
  • 6.
    Politraumatismo con hipotensiónpersistente no explicada por hemorragia externa, intratoráxica o esquelética. Politraumatismo con lesión craneoencefálica y alteraciones de conciencia. Traumatismo abdominal no penetrante con signos de lesión grave al nivel de la pared abdominal. Estado comatoso, de embriaguez o bajo acción de drogas de efecto neurológico, y con huellas de traumatismo múltiple.
  • 7.
    Politraumatismo con lesiónde medula espinal y alteraciones de la sensibilidad, secundarias al traumatismo. Lesión grave de la región inferior del tórax. Heridas penetrantes de un hemitórax, por debajo del quinto espacio intercostal, con sospecha de lesión diafragmática o visceral.
  • 8.
    Politraumatismo con lesionesgraves de los tejidos blandos en dos extremidades, o una superior y una inferior. Con fines terapéuticos, como es el recalentamiento de enfermos que sufren de hipotermia. Daños múltiples ortopédicos, fracturas torácicas o lumbares, pélvicas, paraplejía o cuadriplejía secundaria al daño, aire libre peritoneal en radiografías
  • 9.
    Las contraindicaciones absolutasson: Indicación evidente de laparotomía inmediata. Historia de múltiples operaciones abdominales previas. Son contraindicaciones relativas: Obesidad extrema. Embarazo. Cirrosis avanzada Coagulopatía preexistente. Cirugías abdominales previas.
  • 10.
    1. Positivo (traumaabdominal cerrado): 1.1. Aspiración de > 10 ml de sangre 1.2. Hematíes > 100.000 / mm3. 1.3. Leucocitos > 500 / mm3. 1.4. Amilasa > 175 U I / L. 1.5. Presencia de bilis, bacterias o restos de alimentos. 2. Positivo (trauma abdominal penetrante): 2.1. Hematíes > 10.000 / mm3.
  • 11.
    3. Negativo (traumaabdominal cerrado): 3.1. Hematíes < 50.000 / mm3. 3.2. Leucocitos 100 / mm3. 3.3. Amilasa < 75 U I / L. 4. Indeterminado (trauma abdominal cerrado): 4.1. Hematíes > 50.000 y < 100.000 / mm3. 4.2. Leucocitos > 100 y < 500 / mm3. 4.3. Amilasa > 75 y < 175 U I / L.
  • 13.
    Surg Clin NAm 91 (2011) 195–207 • Método FAST (Focused Abdominal Sonography on Trauma) Rozycki y col. en el año 1996. • El objetivo del examen FAST es la detección de líquido libre. • La sensibilidad 90%, Especificidad 100%
  • 15.
    Traumatismo toracoabdominal cerrado. Traumatismotoracoabdominal penetrante. Sospecha de taponamiento pericárdico. Paciente traumatológico con hipotensión de origen desconocido. Traumatismo toracoabdominal en mujer gestante. Objetivo: decidir si el paciente precisa cirugía urgente. Surg Clin N Am 91 (2011) 195–207 [REV. MED. CLIN. CONDES - 2011; 22(5) 633-639]
  • 16.
    El fast scanpuede detectar: 1. Líquido pericárdico. 2. Líquido intratorácico. 3. Líquido intraabdominal. 4. Líquido retroperitoneal. La calidad de la imagen depende de numerosos factores: 1. Calidad del aparato y de la sonda. 2. Hábito somático del paciente (peor los obesos, ya que la grasa impide ver bien). 3. Heridas previas. 4. Presencia de enfisema subcutáneo. 5. Presencia de abundante gas intestinal.
  • 17.
    Score USG mayoro igual a 3, más de 1.000 ml de sangre laparotomía 96% ,menos de 3 sólo la requieren en el 36%
  • 18.
    Surg Clin NAm 91 (2011) 195–207 [REV. MED. CLIN. CONDES - 2011; 22(5) 633-639]
  • 19.
    SI NO SI Surg Clin NAm 91 (2011) 195–207 [REV. MED. CLIN. CONDES - 2011; 22(5) 633-639]
  • 20.
    Surg Clin NAm 91 (2011) 195–207 [REV. MED. CLIN. CONDES - 2011; 22(5) 633-639]
  • 21.
    Cortes desde basespulmonares hasta la pelvis Medio de contraste VO, IV, VR Pacientes estables Hemodinamicamente Aspectos negativos • Paciente no cooperador • Disponibilidad • Alergia al medio de contraste • No disponibilidad de un medio no iónico
  • 22.
    Medio contraste IVpara acentuar aéreas del parénquima Contraste oral para visualizar áreas de lesión del duodeno y del páncreas Contraste rectal ante sospecha de lesión colonica Knudson y col. 1. Leve (250 ml; presencia de mínima cantidad de líquido subfrénico o subhepático) 2. Moderado (250 a 500 ml; lo anterior más sangre en alguna gotera) 3. Grave (más de 500 ml; lo anterior más sangre en la pelvis) Surg Clin N Am 91 (2011) 195–207 [REV. MED. CLIN. CONDES - 2011; 22(5) 633-639]
  • 23.
    A TC axial concontraste duodeno v.c.i. riñón derecho v. renal izquierda a. renal izquierda riñón izquierdo a.m.s.
  • 24.
  • 25.
  • 26.
    L.P.D. ECO T.A.C. VentajasSensibilidad 98% Dx. temprano Dx temprano No invasivo Repetible Comfiable 86 - 97% Específico Localiza lesión Severidad Surg Clin N Am 91 (2011) 195–207 [REV. MED. CLIN. CONDES - 2011; 22(5) 633-639]
  • 27.
    L.P.D. ECO T.A.C. Desventajas-Invasivo -Muy sensible -Malo diafragna, vejiga y retroperitoneo -Operador dependiente -Obesos, enfisema, tx. pared -Toma tiempo -Experiencia -Diafragma y víscera hueca Surg Clin N Am 91 (2011) 195–207 [REV. MED. CLIN. CONDES - 2011; 22(5) 633-639]