TUBERCULOSIS PULMONAR
DR. ALDO RENATO CASANOVA MENDOZA
NEUMÓLOGO ASISTENTE SERVICIO DE NEUMOLOGÍA DEL HOSPITAL NACIONAL DOS
DE MAYO – SANNA EPS
MIEMBRO DE LA SOCIEDAD PERUANA DE NEUMOLOGÍA (SPN) - AMERICAN THORACIC
SOCIETY (ATS) - ASOCIACIÓN LATINOAMERICANA DEL TÓRAX (ALAT)– EUROPEAN
RESPIRATORY SOCIETY (ERS)
DOCENTE UNMSM – USMP - UCSUR
LIMA PERÚ 2015
TUBERCULOSIS PULMONAR
¿Es la TBC una enfermedad más?
No, es una enfermedad infectocontagiosa, producida por
El Mycobacterium tuberculosis, causante de más de la
cuarta parte de las muertes evitables en la edad adulta,
que enferma 8 millones y mata 3 millones de personas
anuales en el mundo.
Mycobacterium
Tuberculosis:
 BAAR
 Aerobio estricto pero
puede modificar su
metabolismo a
microaerofilo.
 No esporulado
 Inmovil
 No toxinas
 Gran cantidad de lípidos
y ac. Micólicos
 Sensible al sol, la
temperatura de
ebullición y los
desinfectantes caseros.
Robert Koch
Esquema de la pared de Micobacterias
Esquema de la pared de Micobacterias
Momia Egipcia de la XXI dinastía
-Sacerdote de Amòn-
(1000 años a.c)
Signos de TB vertebral
Mal de Pott
Momia Peruana de
700 años d.c.
Niño con TB
Vertebral y visceral,
en la que se
observó BAAR.
Cultura Paracas.
Cultura Paracas. Museo de Ica - Perú
La tisis es la
enfermedad mas
extendida y fatal de
todos los tiempos.
Hipocrates 460 a.c.
ASPECTOS
EPIDEMIOLÓGICOS
ESTADO ACTUAL DE LA TUBERCULOSIS EN EL
MUNDO
Población Mundial 6000 millones
Infección M. TB 1900 millones
Enfermos TB actuales 16 millones
Nuevos enfermos/año 8 millones
Numero de muertes 2-3 millones
95 % en Países Pobres
Fuente: Global Tuberculosis Control. WHO Report 2005.
Tasa de incidencia estimada por 100.000 hab.
> 85 >50-84 25-49 <24
Bolivia
Ecuador
Guyana
Haití
Perú
República
Dominicana
Belice
Brasil
Colombia
El Salvador
Guatemala
Honduras
Nicaragua
Paraguay
Surinam
Argentina
Bahamas
México
Panamá
St Vincent
&Granadinas
Uruguay
Venezuela
Caribe inglés *
Chile
Costa Rica
Cuba
Canadá
EUA
Puerto Rico
Tasa de incidencia estimada de tuberculosis
(Región de las Américas, 2003)
Fuente: Global Tuberculosis Control. WHO Report 2005.
Las Américas frente a los
Objetivos de Desarrollo del Milenio
Incidencia de TB estimada por país, las Américas 2010
TB cases per 100,000 population
< 25
25 - 49
50 - 99
100+
Países que concentran el >80%
de la carga, 2010
Países con las mas altas tasas
de incidencia, 2010
# Country
Incident
TB Cases %
Cumulative
%
1 Brazil 85,000 32% 32%
2 Peru 31,000 12% 43%
3 Haiti 23,000 8.6% 52%
4 Mexico 18,000 6.7% 59%
5 Colombia 16,000 6.0% 65%
6 Bolivia 13,000 4.9% 70%
7 United States 13,000 4.9% 75%
8 Argentina 11,000 4.1% 79%
9 Venezuela 9,700 3.6% 82%
10 Ecuador 9,400 3.5% 86%
Others 37,880 14% 100%
Progreso de las Américas hacia el cumplimiento de los
indicadores del Plan Mundial Alto a la TB, 2015
230
145
135
111
106
67
65
62
51
48
20
0 50 100 150 200 250
Haiti
Suriname
Bolivia
Guyana
Peru
Dominican Republic
Ecuador
Guatemala
Honduras
Panama
(Others)
SMEAR(+) PULMONARY TB INCIDENCE 2004
More than 66 cases x 100 000 inh.
25 - 65 cases x 100 000 inh.
Less than 25 cases x 100 000 inh.
Rate per 100,000 Inh.
Source: DGSP - ESNC de la Tuberculosis. Ministerio de Salud
 Cada enfermo infecta a otras 10-15 personas por
año, en promedio.
 Tres cuartos de todos los enfermos son adultos
jóvenes.
 De ellos, 2,5 millones fallecen cada año
 Eso significa una vida cada 15 segundos.
 Globalmente hay un 3% de incremento de casos
nuevos cada año.
TUBERCULOSIS
Tuberculosis mata una persona en el mundo cada 15 segundos
Según el Ministerio de Salud (MINSA), cada hora,
cuatro ciudadanos peruanos son diagnosticados
de TB.
Cada año se reportan cerca de 35,000 ciudadanos
con TB activa, de los cuales cerca del 7 a 10% son
producidos por cepas mutantes resistentes a
múltiples drogas.
La tasa de Incidencia global esta en 106x100 000
aproximadamente.
TB EN EL PERÚ
142
nuevos enfermos
TB EN EL PERÚ
cada día
Distribución Mundial de la TBC-MDR
MUNDO INDUSTRIALIZADO
Baja MDR
AMERICA LATINA
Moderada MDR
AFRICA
Alta MDR
ESTE MEDIO
MDR? ASIA
Alta MDR
ANTERIOR URSS
Alta MDR
Programa Global de TB de la OMS
Perú figura en el sétimo puesto en el mundo
entre los países con mayor problema de TB
multidrogorresistente y cuarto en número
absoluto estimado de casos de personas con TB
MDR.
TB MDR en Perú
MDR in
Initial
Resistance
to Anti-TB
Drugs
(Americas, 1994–
2002)
USA
1.2%
CUBA 0.3%
PER 3.0%
PR 2.5%
NIC 1.2%
R.DOM 6.6%
Ar
1.8% Ur 0.01%
0.9%
Ch 0.6%
Bo
1.2%
CAN
1.2%
CO 1.47%
VE 0.3%
MEX
3 estados 2.4%
ECU 5.0%
ELS 0.3%
HON 1.8%
(MDR-TB < 3%)
(MDR-TB =< 1%)
(MDR-TB >= 3%)
No data
GUA 3.7%
DISTRIBUCIÓN GEOGRÁFICA DE CASOS TBC-MDR EN
EL PERÚ
Diciembre 2004
30
Lambayeque 20
La Libertad 24
Ancash 28
Ica 34
Arequipa 17
Lima Norte 343
Lima Este 161
Callao 83
Lima Ciudad 181
Lima Sur 168
EL DESCENSO DE LAS TASAS DE MORBILIDAD ESTA ACOMPAÑADA DE UN
AUMENTO DEL NÚMERO DE CASOS DE TB MDR
0
50
100
150
200
250
Incidencias(100,000hab.)
0
200
400
600
800
1000
1200
NoCasosTBMDR
MORBIL 198.6 202.3 256.1 248.6 227.9 208.7 198.1 193.1 186.4 165.4 155.6 146.7
INCID TBC 183.3 192.0 243.2 233.5 215.7 196.7 161.5 158.2 156.6 141.4 133.6 126.8
INCID BK+ 116.1 109.2 148.7 161.1 150.5 139.3 111.9 112.8 111.7 97.1 87.9 83.1
# casos mdr 68 389 343 589 765 987
1990 1991 1992 1993 1994 1995 1996 1997 1998 1999 2000 2001 2002
Fuente: Dirección de Prevención, Control de Riesgos y Daños. Ministerio de Salud
Contacto TB MDR
TB VIH (+)
Diabetes Mellitus
Trabajador de Salud
Intervalos cortos de recaída (> 6 meses)
Personas en carcelería.
RAFA
Tratamiento por médico particular
Abandonos recuperados
Multitratados
BK inicial (+ + +)
Esquema inadecuado
Contacto de fallecido por TB
Fracaso de tratamiento
TB MDR : FACTORES DE RIESGO
El tratamiento en TBC MDR se prolonga de 6 a
24 meses, con drogas menos efectivas, más
tóxicas e inyecciones intramusculares diarias.
El 80% de ciudadanos con TB MDR viven en
Lima y Callao y pertenecen a la población
económicamente productiva, por lo que hasta
un 15% abandonan el tratamiento cuando se
sienten aliviados y se reinsertan a la actividad
laboral porque tienen que mantener a sus
familias.
XDR-TB
TBC EXTREMADAMENTE RESISTENTE O XDR
TB - XDR, o TBC extremadamente resistente a
medicamentos es la MDR-TB que además es
resistente a dos o mas de los inyectables de
segunda línea y una quinolona.
La Organización Mundial de la Salud ha
declarado su preocupación sobre el brote y
diseminación mundial de esta nueva bacteria
y considera que un solo caso de TB XDR en
un país es suficiente para declarar una
emergencia sanitaria.
TB-XDR 2005
TB-XDR 2006
TB-XDR 2007
TB-XDR 2008
Las formas de tuberculosis resistentes a
medicamentos requieren de esquemas largos que
no son tan efectivos como en los casos de TBC
sensible.
La enfermedad TBC drogoresistente en muchos
pacientes se vuelve crónica y va destruyendo
lentamente los tejidos pulmonares.
Las secuelas generarán serio deterioro de la
calidad de vida.
 Por otro lado, la tuberculosis amenaza al personal de
salud que trabaja en condiciones no adecuadas, sin la
seguridad que garantice no contagiarse.
 Esto es común en todos los hospitales del Perú y ha
provocado, según cifras oficiales del MINSA, 170 casos de
tuberculosis en trabajadores de salud el último año, 67
de ellos con TB MDR.

Casos de Trabajadores de Salud en re-tratamientoTB MDR
Grupos Ocupacionales. 1997-2008
Fuente: UTTBMDR/ESN-PCT/DGSP/MINSA/PERU
Sistema de Registro de Re-tratamientos
1/ Actualizado al 30-12-2008
24%
21%
18%
6%
6%
3%
3%
3%
4%
3%
1%
1%
3% 2%
PS-TEC. ENFERM ERIA
PS-ENFERM ERO(A)
PS-M EDICO
PS-ADM INISTRATIVO
PS-FARM ACIA
PS-LIM PIEZA
PS-OBSTETRIZ
PS-ODONTOLOGA
PS-ESTUDIANTE
PS-TEC. LABORATORIO
PS-PSICOLOGO(A)
PS-VIGILANCIA
PS-BIOLOGO
PS-TECNOLOGO M EDICO
PS-S/I DE OCUPACION
PS-Otros
PROPORCION DE CASOS EN TRATAMIENTO PARA TB MDR EN PERSONAL
DE SALUD REGISTRADOS EN LA UTTBMDR
Fuente: UTTBMDR/ESN-PCT/DGSP/MINSA/PERU
Sistema de Registro de Re-tratamientos
ASPECTOS
FISIOPATOLÓGICOS
Núcleos de gotitas
suspendidas en el aire
expulsadas por personas con
tuberculosis pulmonar o
laríngea durante los
esfuerzos espiratorios, como
la tos, el canto o el estornudo
(Pfluge) menores de 10
micras .
Vías de transmisión
• Aerógena.
• Digestiva.
• Urogenital.
• Cutaneomucosa.
• Transplacentaria.
Modos de transmisión
Vías de Transmisión:
 Aérea: Gotas de pflugge.
 Digestiva: M. Bovis.
 Inoculación directa: Piel
RESERVORIO : FUENTE DE INFECCION
Hombre Enfermo
de TB:
16 Millones en el
Mundo
g
La infección por Mycobacterium
tuberculosis se inicia cuando una persona
susceptible a la enfermedad inhala gotitas
en aerosol que contienen microorganismos
viables.
Fuente de contagio
BK
Huésped
Gotas con bacilos
TUBERCULOSIS PULMONAR - FISIOPATOLOGÍA
Huésped
Primoinfección
Ganglios
Regionales
Mecanismos de defensa Respiratoria
Macrófagos
Vía linfática
Foco primario
Localización
Extrapulmonar
Vía
sanguínea
Alvéolo
Macrófago
Bacterias
TNF-α IL-1, IL-6 ,
Quimiocinas
Sadek MI, Sada E, Toossi Z, Schwander SK, Rich EA.
Chemokines induced by infection of mononuclear phagocytes with mycobacteria and present in lung alveoli during active
pulmonary tuberculosis. Am J Respir Cell Mol Biol 1998; 19:513-521.
Wang Q. Sem Respir Crit Care Med 2004; 25(1): 33 – 41
ACTIVIDAD DEL
NEUTRÓFILO
CD54 (ICAM-1), CD106 (VCAM-
1) y CD62-E (selectina E)
Roitt et all. Inmunología. Editorial Harcourt.
5ta edición
T CD4+ T CD8+Macrófago
Célula Dendritica
Activación
MHC-II MHC-I
ACP
Th1 Th2
IL-12, TNF-α (linfotoxina) e IFN-γ
promoviendo la respuesta inmune
celular y la
activación de macrófagos
IL-4,
IL-10 e IL-13 tienen la capacidad
de modular
negativamente la respuesta Th1
Saposinas, Caspasas.
Inducen apoptosis de
las células huésped
Tc1
Apoptosis
macrófagos
Roitt et all. Inmunología. Editorial Harcourt.
5ta edición
Rivas-Santiago B, Vieyra-Reyes P, Araujo
Z. The Cellular Immune Response in Pulmonary Tuberculosis.
Invest Clin 2005; 46(4):391-412.
Células de Langhans
Homer L. Sem Respir Crit Care Med 2004; 25(1): 21 – 31
GRANULOMA
GANGLIOS
REGIONALES
GRANULOMA
GANGLIOS
REGIONALES
VÍA LINFÁTICA, HEMATOGENA,
BRONCOGENA
VÍA HEMATOGENA
FOCO DE GHON
COMPLEJO PRIMARIO DE RANKE O
GHON
TUBERCULOSIS DE REACTIVACIÓN
Licuefacción del caseum
SUSCEPTIBILIDAD GENETICA FRENTE A LA INFECCIÓN
POR M. TUBERCULOSIS
 Los pacientes con alteraciones genéticas del receptor de
IFN-gamma (deficiencia o alteraciones) tienen una gran
susceptibilidad a infecciones diseminadas debido a que los
monocitos y/o macrófagos no pueden ser activados
adecuadamente.
 La diseminación es consecuencia de una falla en la
formación de granuloma, debido a que no hay producción
de las citocinas, principalmente Factor de Necrosis
Tumoral-alfa (TNF-a) y quimiocinas involucradas en este
proceso.
 la deficiencia de otros genes tal como el Nramp ha sido
también asociada a la susceptibilidad o resistencia a
padecer de TB
Dupuis S, Doffinger R, Picar C, Fieschi C, Altare F, Jouanguy E, Abel L, Casanova
LJ. Human interferon mediated immunity is a genetically controlled continuous trait that determines the outcome of
mycobacterial invasion. Immunol Rev 2000; 178:129-137.
A
POBLACIONES BACILARES
Extracelular
Reproducción activa
Intracelular
Reproducción esporádica
Nº DE BACILOS
TIEMPO
Intracelular
Reproducción
lenta
SINTOMAS
Desarrollo de resistencia
FRACASOS
Recaídas
POBLACION BACILAR SEGÚN TIPO DE LESION
 TB Frotis positivo 107- 109 bacilos
 Cavitaria 107-109 bacilos
 Infiltrado 104-107 bacilos
 Nódulos 104-106 bacilos
 Adenopatías 104-106 bacilos
 TB renal 107-109 bacilos
 TB Extrapulmonar 104-106 bacilos
ASPECTOS CLÍNICOS
Y DIAGNÓSTICOS
A
SÍNTOMAS TÍPICOS EN TUBERCULOSIS PULMONAR
Iseman D. Michael. A clinician’s guide to tuberculosis. Lippincott Williams & Wilkins. USA, 2000.
Respiratorios Constitucionales
Tos Malestar General
Dolor Torácico Lasitud/Debilidad
Hemoptisis Fiebre
Insuficiencia Respiratoria Sudoración
Disfonía Anorexia
DIAGNÓSTICO DE TUBERCULOSIS
Infección Tuberculosa : Tuberculina
Enfermedad Tuberculosa :
• Factores de riesgo.
• Valoración Clínica
• Exploración Física
• Técnicas de Imagen
• Diagnóstico de Laboratorio: Baciloscopia y
cultivos.
• Procedimientos invasivos.
El diagnóstico esta respaldado por la
presencia de Bacilos Ácido Alcohol
Resistentes (BAAR), pero el Gold estándar es
el cultivo BK.
DIAGNÓSTICO TUBERCULOSIS
DIAGNOSTICO PRESUNTIVO
COLORACIONES
Con Carbolfucsina:
 Ziehl neelsen (coloración en caliente)
 Kinyoun (coloración en frio)
Con fluorocromos:
 Auramina
 Auramina con rodamina
Ambos colorantes se unen al acido micólico
COLORACION ZIEHL
NEELSEN
• Con microscopia de
luz.
• Con objetivo 100x.
• Tener experiencia.
Se ha demostrado que son
necesarios de 5.000 a
10.000 bacilos por ml de
esputo para el
reconocimiento en la
microscopio directa .
Otros gérmenes ácido
alcohol resistentes
• Nocardia sp
• Rhodococcus sp
• Coccidios
NOCARDIA
ASTEROIDES
• Con la coloración
Ziehl Neelsen se
colorea de rosado
pálido.
• Coloración Gram:
bacilos Gram positivos.
Coloración gram: coco
bacilos gram positivos
Rhodococcus equis
Coloración ziehl neelsen.
Coccidios
Coloración Auramina - Rodamina
Ulukanligil M, Aslan G, Tasci S. A comparative study on the different staining methods and number of
specimens for the detection of acidfast bacilli. Mem Inst Oswaldo Cruz. 2000; 95: 855-8.
Los cultivos son mucho más
sensibles que los exámenes
microscópicos, pudiendo
detectar una cantidad tan
pequeña como 10 bacterias
por ml. de muestra clínica
digerida y concentrada.
Cultivo de Lowenstein-Jensen.
MYCOBACTERIUM TUBERCULOSIS
 Las colonias son rugosas, no
pigmentadas, de color gamuza.
 Crecimiento lento: De 2 a 4 semanas
en los medios solidos.
 Niacina positiva: Carece de las
enzimas necesarias para convertir la
niacina a ribonucleotido de niacina.
 Reducen los nitratos a nitritos.
 Catalasa positiva a medio ambiente.
 Catalasa negativa después de calentar
el cultivo a 68°C durante 20 minutos.
MICOBACTERIAS NO TUBERCULOSIS
1. Crecimiento rápido, crecen antes de los 7 días
(Mycobacterium fortuitum, Mycobacterium
chelonei).
2. Crecimiento lento, crecen después de 7 días
a) No Fotocromógenas: No pigmento en la oscuridad ni
en la luz (M. avium-intracellulare).
b) Fotocromógenas: No pigmento en la oscuridad,
pigmentan en la luz (M. Kansasii).
c) Escotocromógena: Pigmento en la oscuridad y en la
luz (M. scrofulaceum).
PRUEBA DE ORO
CULTIVOS PARA BK:
 Lowenstein-Jensen.
 Agar Middlebrock 7H10.
 Bactec 460 TB.
CULTIVOS PARA SENSIBILIDAD:
 Métodos convencionales: Proporciones, Agar en placa.
 Métodos rápidos: MODS, Griess, Bactec, etc.
PRUEBAS GENOTÍPICAS:
 Genotype TBMDR/Plus, Second Line.
 PCR para BK y/o Mycobacterias atipicas.
 Identificación de genes de resistencia: Gen KanG (H),
Gen rpoB (R), Gen emb B.
MODS
Crecimiento de M. tuberculosis en forma de curvas, comas o espirales
Aspecto de las microcolonias de M.
tuberculosis en pozos de cultivo en
medio líquido (objetivo 20x)
Placas con medio
líquido
Microscopio invertido
Efecto cordon
MODS
MODS - características diagnósticas
MODS MBBacT LJ
Sensibilidad - cultivo 98% 89% 84%
Especifidad - cultivo 99.6% 99.9% 100%
Características - PS (sens,
espec, VPP & VPN)
Equivalente
Costo
Diagnostico + PS (USD)
2 50 9
Método GRIESS (determinación de la actividad
de reducción de nitrato en el cultivo )
Cepa M. tuberculosis, sensible a las
cuatro drogas estudiadas.
Cepa M. tuberculosis resistente a
INH y sensible al resto de las drogas.
Cepa M. tuberculosis resistente
a INH - RIF
INH RIF
INH
GenoType
GenoType MTBDRplus
Cuevas-Córdoba B, Zenteno-Cuevas R. Tuberculosis drogorresistente: mecanismos moleculares y métodos
diagnósticos. Enferm Infecc Microbiol Clin. 2010;28(9):621–628
IMÁGENES EN TUBERCULOSIS
(ACTIVA y SECUELAR)
 NO SE OLVIDEN: “NO EXISTE UN PATRÓN
RADIOLÓGICO O TOMOGRÁFICO
PATOGNOMÓNICO EN TUBERCULOSIS”.
 LA TUBERCULOSIS ES LA ENFERMEDAD MÁS
PROTEIFORME- “LA GRAN SIMULADORA”.
TUBERCULOSIS PLEURAL
 Líquido pleural amarillo citrino.
 Exudado a predominio mononuclear
(Linfocitario).
 ADA (adenosina desaminasa)>45 u/l.
 Diagnóstico: Biopsia pleural.
 Solicitar cultivo BK de tejido pleural.
La Tuberculina (PPD)
 La reacción positiva al PPD:
 Infección tuberculosa.
 No confirma enfermedad.
 Resultado de la reactividad inmunitaria del sujeto.
 Persiste toda la vida generalmente.
 PPD (+): Niños>5 mm; Adultos > 10 mm.
DIAGNÓSTICO TUBERCULOSIS
PPP (falso negativo):
 Anergia por inmunodepresiones.
 Desnutrición.
 Neoplasias.
 Virosis sistémicas graves.
 Sarcoidosis.
 Uso de corticosteroides.
 Mala técnica.
 Mala cadena de frio.
Interferon Gamma Release Assay
 IFN-γ son liberados de linfocitos T
cuando son estimulados con
antigenos especificos de TB.
 Los antigenos especificos de TB
incluyen:
 ESAT 6
 CFP-10
 TB 7.7
 Los IFN-γ liberados son medidos
en el plasma.
Whole Blood IFN- Assay
QuantiFERON-TB Test
Cellestis
ESAT-6 CFP 10Mitogen
Control
TMB
COLOR
Stage 1 Whole Blood Culture
Stage 2 IFN-gamma ELISA
Nil
Control
Incubate → INF- from
sensitized T-cells
Draw blood
+ heparin
Aliquot blood &
add antigen
Harvest plasma from
above settled cells
Measure [ IFN- ] in
‘Sandwich’ ELISA
Computerized
interpretation
Control Mitogeno es el control positivo
Control Nulo es el control negativo
Vacunación BCG
 BCG por Bacilo Calmette-Guerin.
 Forma atenuada de Mycobacterium Bovis.
 Previene la aparición de una diseminación linfohemática del bacilo
como la meningitis, tuberculosis miliar y otras lesiones hematógenas.
 Hay controversia sobre su eficacia, ya que diferentes trabajos dan
protección que va del 0 a 80% en diversas poblaciones.
 Intradérmica en hombro derecho al nacimiento.
 No en inmunosuprimidos, prematuros o con enfermedad grave.
Tuberculosis miliar
Por diseminación hematógena.
Riesgo a diseminaciones al SNC y
resto del organismo.
 Las diseminaciones por TBC miliar son más frecuentes en:
Los lactantes.
Niños menores de cinco años.
Los adolescentes.
Adultos desnutridos.
Alcohólicos crónicos.
Pacientes sometidos a tratamientos con inmuno
supresores.
Los infectados HIV.
Diabéticos.
TBC MILIAR
 Múltiples imágenes
nodulares que de 1 a 2mm de
diámetro, distribuidas al
azar. Dx con Bx pulmonar
abierta.
ASPECTOS TERAPÉUTICOS
Esquemas de tratamiento de la
tuberculosis
Bases bacteriológicas del tratamiento
Evitar selección
de resistencia
Matar diferentes
Poblaciones
Tratamientos
Prolongados
Asociación de
Medicamentos
Isoniazida
Rifampicina
Pirazinamida
Estreptomicina
Kanamicina
Amikacina
Capreomicina
Ciprofloxacina
Ofloxacina
Levofloxacina
Moxifloxacino
Ethionamida
Prothionamida
Cicloserina
PAS
Amoxicilina -
A.Clavulánico
Rifabutina
Claritromicina
Clofazimina
Meropenen
Imipenen –
cilastatina
Linezolid
Ethambutol
FÁRMACOS DE
PRIMERA LÍNEA
FÁRMACOS DE
SEGUNDA LÍNEA
I N Y E C T A B L E S
Moderada
multiplicación
lenta pH ácido
Escasa
multiplicación
esporádica
Escasa
Sin multiplicación
EXTRACELULAR
INTRACELULAR
LESIONES
CASESOSAS
FOCOS
FIBROTICOS O
CALCIFICADOS
Isoniacida
Estreptomicina
Rifampicina
Etambutol
Pirazinamida
Rifampicina
Isoniacida.
Rifampicina
Isoniacida
Inmunidad
del
Huésped
ESQUEMAS DE TRATAMIENTO
 La Isoniazida (H): actúa inhibiendo la síntesis de los ácidos
micólicos (estructura de la membrana de las micobacterias).
 La Rifampicina (R): se fija a la subunidad b de la ARN-polimerasa
bloqueando la formación de las cadenas del ARN de la
micobacteria.
 La Pirazinamida (Z): interferiere en el metabolismo de esta enzima
Pirazinamidasa y así se impide el crecimiento del BK.
 El Etambutol actúa inhibiendo la síntesis y estabilización del ARN
bacteriano. Bacteriostático.
 La Estreptomicina se une de manera irreversible a la subunidad
30S del ribosoma bacteriano.
TRATAMIENTO FARMACOLOGICODOTS-PLUS
➽ PRIMARIO O UNO
➽ TBC SISTEMA NERVIOSO U
OSTEOARTICULAR
➽ TBC /VIH
➽ ESTANDARIZADO
➽ EMPÍRICO
➽ INDIVIDUALIZADO
➽ MODIFICADOS POR RAFAs o
SITUACIONES ESPECIALES.
ESQUEMA UNO - ADULTOS
ESQUEMA UNO - NIÑOS
TUBERCULOSIS
MULTIDROGORESISTENTE
TBC-MDR
“… Resistente a por los menos ISONIAZIDA y
RIFAMPICINA …”
SI FUERA SOLO RESISTENTE A ISONIACIDA O RIFAMPICINA ASOCIADA A
OTRAS DROGAS SE LE DENOMINA POLIRRESISTENTE.
XDR-TB
ENFERMEDAD TUBERCULOSA CAUSADA POR UNA
CEPA DE MICOBACTERIUM RESISTENTE A H, R, E, Z,
S, UN INYECTABLE DE SEGUNDA LÍNEA Y UNA
FLUORQUINOLONA.
DISEÑO SECUENCIAL DE UN ESQUEMA
DE RETRATAMIENTO DOTS-PLUS
Primera línea
H
R
Z
E
Parenteral
S
KM
CM
AMK
Quinolona
Cpx
Ofx
Lfx
Moxi
Bacteriostáticos
CS
PAS
Ethio
Prothio
OTROS
Amx/Clv
CLR
RFB
H-AD
Imipenen
Meropenen
Linezolid
Thioridazina
New SS+ (All)
(N=122,372)
New SS+ (HIV+)
(N=5,728)
Re-treatment
(N=19,146)
MDR
(N=1,732)
XDR
(N=118)
Not evaluated 11% 12% 21% 23% 25%
Defaulted 7.5% 12% 19% 13% 7.6%
Failed 0.9% 1.1% 2.6% 6.4% 35%
Died 5.1% 18% 7.6% 10% 21%
Completed 23% 19% 22% 22% 0.8%
Cured 53% 37% 29% 25% 11%
76%
57%
50%
47%
12%
0%
10%
20%
30%
40%
50%
60%
70%
80%
90%
100%
%ofcohort
Not evaluated
Defaulted
Failed
Died
Completed
Cured
Tratamiento exitoso diferentes cohortes
Las Américas, 2009 (TB, TB/VIH) y 2008 (TB-MDR y XDR)
Progreso de las Américas hacia el cumplimiento de los
indicadores del Plan Mundial Alto a la TB, 2015
Las formas de tuberculosis resistentes a
medicamentos son muy difíciles de tratar que
incluso en muchos casos el tratamiento incluye
cirugías de resección pulmonar, es decir
estamos regresando al manejo de la TBC como
se realizaba en la era pre antibiótica.
QUIMIOPROFILAXIS
REACCIONES ADVERSAS - RAFAS
Fármaco Efectos adversos
Isoniacida Hepatitis. Neuropatía periférica. Reacción de
Hipersensibilidad. Fiebre. Seudolupus. Vértigo.
Convulsiones. Psicosis. Ataxia cerebelosa.
Neuritis óptica. Anemia. Agranulocitosis,
Ginecomastia. Artralgias. Pelagra.
Rifampicina Hepatitis. Colostasis. Reacción de
hipersensibilidad. Intolerancia digestiva. Fiebre.
Interacción medicamentosa. Trombopenia.
Anemia hemolítica. Necrosis tubular. Nefritis
intersticial. Síndrome gripal.
Pirazinamida Hepatitis. Trastornos gastrointestinales.
Artralgia. Hipersensibilidad cutánea.
Hiperuricemia. Gota. Fotosensibilidad.
Etambutol Neuritis retrobulbar. Artralgia. Hiperuricemia.
Neuropatía periférica. Reacción de
hipersensibilidad. Trombocitopenia.
Estreptomicina Toxicidad auditiva, vestibular y renal. Reacción
de hipersensibilidad. Bloqueo neuromuscular.
Citopenias.
ASPECTOS PREVENTIVO -
PROMOCIONALES
HACINAMIENTO TB EN SALAS DE ESPERA
 Hacinamiento en las
salas de espera de la
consulta externa
 Se junta la atención de
pacientes TB con los de
otras patologías,
incluso con los
inmunosuprimidos.
Promotores y personal no aplican
medidas de CONTROL DE INFECCIONES
Pabellones de pacientes en
hacinamiento
FALTA MEDIDAS DE CONTROL DE
INFECCIONES TB EN EMERGENCIA
 Salas de
emergencia con
hacinamiento, no
adecuada
ventilación, se
juntan pacientes
respiratorios y
otras patologías.
Personal de UCI no aplica medidas de
CONTROL DE INFECCIONES
Sala de operaciones sin medidas de CONTROL DE
INFECCIONES TB
MEDIDAS GENERALES
•NUTRICIÓN BALANCEADA Y ADECUADA.
•NO HACINAMIENTO.
•VACUNACIÓN: BCG.
•MEJORA DEL NIVEL SOCIOECONÓMICO CULTURAL.
•CONTROL DE ENFERMEDADES DEBILITANTES (VIH, DIABETES)
•ADECUADA MANIPULACIÓN DE RESIDUOS BIOLÓGICOS.
•AMBIENTES VENTILADOS E ILUMINADOS.
•PROTECCIÓN RESPIRATORIA.
•EDUCACIÓN Y CAPACITACIÓN.
Falta de educación
 Los sintomáticos
respiratorios son los
principales
diseminadores de la
enfermedad.
 Deben de cubrirse la
boca al toser
IDENTIFICACIÓN PRECOZ
DEL SINTOMÁTICO
RESPIRATORIO
CONTROL PERSONAL
 Uso obligatorio de mascarilla simple en todo
paciente con diagnóstico o sospecha de TB.
 Uso de protector respiratorio N 95 en todo
trabajador de salud en contacto con paciente con
diagnóstico TB.
 Suministro permanente de equipos de protección
personal respiratoria.
 Uso obligatorio de mascarilla por parte de los
familiares de pacientes con TB.
INFRAESTRUCTURA- SALA DE HOSPITALIZACIÓN
EJEMPLO MODELO: SALA TISIOLOGÍA CENTRO MÉDICO
NAVAL.
INFRAESTRUCTURA- SALA DE HOSPITALIZACIÓN
EJEMPLO MODELO: SALA SANTA ROSA III - HOSPITALIZACIÓN
NEUMOLOGÍA - HOSPITAL NACIONAL DOS DE MAYO.
GRACIAS
Paginas WEBs:
http://www.neumovida.es.tl
http://www.Slideshare.Net/ALDORENATO
http://centrodeltorax.blogspot.com/
Email: neumovida@hotmail.com.

Tuberculosis

  • 1.
    TUBERCULOSIS PULMONAR DR. ALDORENATO CASANOVA MENDOZA NEUMÓLOGO ASISTENTE SERVICIO DE NEUMOLOGÍA DEL HOSPITAL NACIONAL DOS DE MAYO – SANNA EPS MIEMBRO DE LA SOCIEDAD PERUANA DE NEUMOLOGÍA (SPN) - AMERICAN THORACIC SOCIETY (ATS) - ASOCIACIÓN LATINOAMERICANA DEL TÓRAX (ALAT)– EUROPEAN RESPIRATORY SOCIETY (ERS) DOCENTE UNMSM – USMP - UCSUR LIMA PERÚ 2015
  • 2.
    TUBERCULOSIS PULMONAR ¿Es laTBC una enfermedad más? No, es una enfermedad infectocontagiosa, producida por El Mycobacterium tuberculosis, causante de más de la cuarta parte de las muertes evitables en la edad adulta, que enferma 8 millones y mata 3 millones de personas anuales en el mundo.
  • 3.
    Mycobacterium Tuberculosis:  BAAR  Aerobioestricto pero puede modificar su metabolismo a microaerofilo.  No esporulado  Inmovil  No toxinas  Gran cantidad de lípidos y ac. Micólicos  Sensible al sol, la temperatura de ebullición y los desinfectantes caseros. Robert Koch
  • 4.
    Esquema de lapared de Micobacterias
  • 5.
    Esquema de lapared de Micobacterias
  • 6.
    Momia Egipcia dela XXI dinastía -Sacerdote de Amòn- (1000 años a.c) Signos de TB vertebral Mal de Pott
  • 7.
    Momia Peruana de 700años d.c. Niño con TB Vertebral y visceral, en la que se observó BAAR. Cultura Paracas. Cultura Paracas. Museo de Ica - Perú
  • 8.
    La tisis esla enfermedad mas extendida y fatal de todos los tiempos. Hipocrates 460 a.c.
  • 10.
  • 11.
    ESTADO ACTUAL DELA TUBERCULOSIS EN EL MUNDO Población Mundial 6000 millones Infección M. TB 1900 millones Enfermos TB actuales 16 millones Nuevos enfermos/año 8 millones Numero de muertes 2-3 millones 95 % en Países Pobres Fuente: Global Tuberculosis Control. WHO Report 2005.
  • 12.
    Tasa de incidenciaestimada por 100.000 hab. > 85 >50-84 25-49 <24 Bolivia Ecuador Guyana Haití Perú República Dominicana Belice Brasil Colombia El Salvador Guatemala Honduras Nicaragua Paraguay Surinam Argentina Bahamas México Panamá St Vincent &Granadinas Uruguay Venezuela Caribe inglés * Chile Costa Rica Cuba Canadá EUA Puerto Rico Tasa de incidencia estimada de tuberculosis (Región de las Américas, 2003) Fuente: Global Tuberculosis Control. WHO Report 2005.
  • 13.
    Las Américas frentea los Objetivos de Desarrollo del Milenio Incidencia de TB estimada por país, las Américas 2010 TB cases per 100,000 population < 25 25 - 49 50 - 99 100+
  • 14.
    Países que concentranel >80% de la carga, 2010 Países con las mas altas tasas de incidencia, 2010 # Country Incident TB Cases % Cumulative % 1 Brazil 85,000 32% 32% 2 Peru 31,000 12% 43% 3 Haiti 23,000 8.6% 52% 4 Mexico 18,000 6.7% 59% 5 Colombia 16,000 6.0% 65% 6 Bolivia 13,000 4.9% 70% 7 United States 13,000 4.9% 75% 8 Argentina 11,000 4.1% 79% 9 Venezuela 9,700 3.6% 82% 10 Ecuador 9,400 3.5% 86% Others 37,880 14% 100% Progreso de las Américas hacia el cumplimiento de los indicadores del Plan Mundial Alto a la TB, 2015 230 145 135 111 106 67 65 62 51 48 20 0 50 100 150 200 250 Haiti Suriname Bolivia Guyana Peru Dominican Republic Ecuador Guatemala Honduras Panama (Others)
  • 15.
    SMEAR(+) PULMONARY TBINCIDENCE 2004 More than 66 cases x 100 000 inh. 25 - 65 cases x 100 000 inh. Less than 25 cases x 100 000 inh. Rate per 100,000 Inh. Source: DGSP - ESNC de la Tuberculosis. Ministerio de Salud
  • 16.
     Cada enfermoinfecta a otras 10-15 personas por año, en promedio.  Tres cuartos de todos los enfermos son adultos jóvenes.  De ellos, 2,5 millones fallecen cada año  Eso significa una vida cada 15 segundos.  Globalmente hay un 3% de incremento de casos nuevos cada año. TUBERCULOSIS
  • 17.
    Tuberculosis mata unapersona en el mundo cada 15 segundos
  • 18.
    Según el Ministeriode Salud (MINSA), cada hora, cuatro ciudadanos peruanos son diagnosticados de TB. Cada año se reportan cerca de 35,000 ciudadanos con TB activa, de los cuales cerca del 7 a 10% son producidos por cepas mutantes resistentes a múltiples drogas. La tasa de Incidencia global esta en 106x100 000 aproximadamente. TB EN EL PERÚ
  • 20.
    142 nuevos enfermos TB ENEL PERÚ cada día
  • 27.
    Distribución Mundial dela TBC-MDR MUNDO INDUSTRIALIZADO Baja MDR AMERICA LATINA Moderada MDR AFRICA Alta MDR ESTE MEDIO MDR? ASIA Alta MDR ANTERIOR URSS Alta MDR Programa Global de TB de la OMS
  • 28.
    Perú figura enel sétimo puesto en el mundo entre los países con mayor problema de TB multidrogorresistente y cuarto en número absoluto estimado de casos de personas con TB MDR. TB MDR en Perú
  • 29.
    MDR in Initial Resistance to Anti-TB Drugs (Americas,1994– 2002) USA 1.2% CUBA 0.3% PER 3.0% PR 2.5% NIC 1.2% R.DOM 6.6% Ar 1.8% Ur 0.01% 0.9% Ch 0.6% Bo 1.2% CAN 1.2% CO 1.47% VE 0.3% MEX 3 estados 2.4% ECU 5.0% ELS 0.3% HON 1.8% (MDR-TB < 3%) (MDR-TB =< 1%) (MDR-TB >= 3%) No data GUA 3.7%
  • 30.
    DISTRIBUCIÓN GEOGRÁFICA DECASOS TBC-MDR EN EL PERÚ Diciembre 2004 30 Lambayeque 20 La Libertad 24 Ancash 28 Ica 34 Arequipa 17 Lima Norte 343 Lima Este 161 Callao 83 Lima Ciudad 181 Lima Sur 168
  • 31.
    EL DESCENSO DELAS TASAS DE MORBILIDAD ESTA ACOMPAÑADA DE UN AUMENTO DEL NÚMERO DE CASOS DE TB MDR 0 50 100 150 200 250 Incidencias(100,000hab.) 0 200 400 600 800 1000 1200 NoCasosTBMDR MORBIL 198.6 202.3 256.1 248.6 227.9 208.7 198.1 193.1 186.4 165.4 155.6 146.7 INCID TBC 183.3 192.0 243.2 233.5 215.7 196.7 161.5 158.2 156.6 141.4 133.6 126.8 INCID BK+ 116.1 109.2 148.7 161.1 150.5 139.3 111.9 112.8 111.7 97.1 87.9 83.1 # casos mdr 68 389 343 589 765 987 1990 1991 1992 1993 1994 1995 1996 1997 1998 1999 2000 2001 2002 Fuente: Dirección de Prevención, Control de Riesgos y Daños. Ministerio de Salud
  • 34.
    Contacto TB MDR TBVIH (+) Diabetes Mellitus Trabajador de Salud Intervalos cortos de recaída (> 6 meses) Personas en carcelería. RAFA Tratamiento por médico particular Abandonos recuperados Multitratados BK inicial (+ + +) Esquema inadecuado Contacto de fallecido por TB Fracaso de tratamiento TB MDR : FACTORES DE RIESGO
  • 35.
    El tratamiento enTBC MDR se prolonga de 6 a 24 meses, con drogas menos efectivas, más tóxicas e inyecciones intramusculares diarias. El 80% de ciudadanos con TB MDR viven en Lima y Callao y pertenecen a la población económicamente productiva, por lo que hasta un 15% abandonan el tratamiento cuando se sienten aliviados y se reinsertan a la actividad laboral porque tienen que mantener a sus familias.
  • 36.
  • 37.
    TBC EXTREMADAMENTE RESISTENTEO XDR TB - XDR, o TBC extremadamente resistente a medicamentos es la MDR-TB que además es resistente a dos o mas de los inyectables de segunda línea y una quinolona.
  • 38.
    La Organización Mundialde la Salud ha declarado su preocupación sobre el brote y diseminación mundial de esta nueva bacteria y considera que un solo caso de TB XDR en un país es suficiente para declarar una emergencia sanitaria.
  • 39.
  • 40.
  • 41.
  • 42.
  • 43.
    Las formas detuberculosis resistentes a medicamentos requieren de esquemas largos que no son tan efectivos como en los casos de TBC sensible. La enfermedad TBC drogoresistente en muchos pacientes se vuelve crónica y va destruyendo lentamente los tejidos pulmonares. Las secuelas generarán serio deterioro de la calidad de vida.
  • 45.
     Por otrolado, la tuberculosis amenaza al personal de salud que trabaja en condiciones no adecuadas, sin la seguridad que garantice no contagiarse.  Esto es común en todos los hospitales del Perú y ha provocado, según cifras oficiales del MINSA, 170 casos de tuberculosis en trabajadores de salud el último año, 67 de ellos con TB MDR. 
  • 47.
    Casos de Trabajadoresde Salud en re-tratamientoTB MDR Grupos Ocupacionales. 1997-2008 Fuente: UTTBMDR/ESN-PCT/DGSP/MINSA/PERU Sistema de Registro de Re-tratamientos 1/ Actualizado al 30-12-2008 24% 21% 18% 6% 6% 3% 3% 3% 4% 3% 1% 1% 3% 2% PS-TEC. ENFERM ERIA PS-ENFERM ERO(A) PS-M EDICO PS-ADM INISTRATIVO PS-FARM ACIA PS-LIM PIEZA PS-OBSTETRIZ PS-ODONTOLOGA PS-ESTUDIANTE PS-TEC. LABORATORIO PS-PSICOLOGO(A) PS-VIGILANCIA PS-BIOLOGO PS-TECNOLOGO M EDICO PS-S/I DE OCUPACION PS-Otros
  • 49.
    PROPORCION DE CASOSEN TRATAMIENTO PARA TB MDR EN PERSONAL DE SALUD REGISTRADOS EN LA UTTBMDR Fuente: UTTBMDR/ESN-PCT/DGSP/MINSA/PERU Sistema de Registro de Re-tratamientos
  • 50.
  • 51.
    Núcleos de gotitas suspendidasen el aire expulsadas por personas con tuberculosis pulmonar o laríngea durante los esfuerzos espiratorios, como la tos, el canto o el estornudo (Pfluge) menores de 10 micras . Vías de transmisión • Aerógena. • Digestiva. • Urogenital. • Cutaneomucosa. • Transplacentaria. Modos de transmisión
  • 52.
    Vías de Transmisión: Aérea: Gotas de pflugge.  Digestiva: M. Bovis.  Inoculación directa: Piel
  • 53.
    RESERVORIO : FUENTEDE INFECCION Hombre Enfermo de TB: 16 Millones en el Mundo
  • 54.
  • 55.
    La infección porMycobacterium tuberculosis se inicia cuando una persona susceptible a la enfermedad inhala gotitas en aerosol que contienen microorganismos viables.
  • 56.
    Fuente de contagio BK Huésped Gotascon bacilos TUBERCULOSIS PULMONAR - FISIOPATOLOGÍA
  • 57.
    Huésped Primoinfección Ganglios Regionales Mecanismos de defensaRespiratoria Macrófagos Vía linfática Foco primario Localización Extrapulmonar Vía sanguínea
  • 58.
    Alvéolo Macrófago Bacterias TNF-α IL-1, IL-6, Quimiocinas Sadek MI, Sada E, Toossi Z, Schwander SK, Rich EA. Chemokines induced by infection of mononuclear phagocytes with mycobacteria and present in lung alveoli during active pulmonary tuberculosis. Am J Respir Cell Mol Biol 1998; 19:513-521.
  • 59.
    Wang Q. SemRespir Crit Care Med 2004; 25(1): 33 – 41 ACTIVIDAD DEL NEUTRÓFILO CD54 (ICAM-1), CD106 (VCAM- 1) y CD62-E (selectina E)
  • 61.
    Roitt et all.Inmunología. Editorial Harcourt. 5ta edición
  • 62.
    T CD4+ TCD8+Macrófago Célula Dendritica Activación MHC-II MHC-I ACP Th1 Th2 IL-12, TNF-α (linfotoxina) e IFN-γ promoviendo la respuesta inmune celular y la activación de macrófagos IL-4, IL-10 e IL-13 tienen la capacidad de modular negativamente la respuesta Th1 Saposinas, Caspasas. Inducen apoptosis de las células huésped Tc1 Apoptosis macrófagos
  • 63.
    Roitt et all.Inmunología. Editorial Harcourt. 5ta edición
  • 64.
    Rivas-Santiago B, Vieyra-ReyesP, Araujo Z. The Cellular Immune Response in Pulmonary Tuberculosis. Invest Clin 2005; 46(4):391-412.
  • 65.
  • 71.
    Homer L. SemRespir Crit Care Med 2004; 25(1): 21 – 31
  • 72.
  • 73.
  • 74.
  • 75.
  • 76.
  • 77.
    SUSCEPTIBILIDAD GENETICA FRENTEA LA INFECCIÓN POR M. TUBERCULOSIS  Los pacientes con alteraciones genéticas del receptor de IFN-gamma (deficiencia o alteraciones) tienen una gran susceptibilidad a infecciones diseminadas debido a que los monocitos y/o macrófagos no pueden ser activados adecuadamente.  La diseminación es consecuencia de una falla en la formación de granuloma, debido a que no hay producción de las citocinas, principalmente Factor de Necrosis Tumoral-alfa (TNF-a) y quimiocinas involucradas en este proceso.  la deficiencia de otros genes tal como el Nramp ha sido también asociada a la susceptibilidad o resistencia a padecer de TB Dupuis S, Doffinger R, Picar C, Fieschi C, Altare F, Jouanguy E, Abel L, Casanova LJ. Human interferon mediated immunity is a genetically controlled continuous trait that determines the outcome of mycobacterial invasion. Immunol Rev 2000; 178:129-137.
  • 78.
    A POBLACIONES BACILARES Extracelular Reproducción activa Intracelular Reproducciónesporádica Nº DE BACILOS TIEMPO Intracelular Reproducción lenta SINTOMAS Desarrollo de resistencia FRACASOS Recaídas
  • 79.
    POBLACION BACILAR SEGÚNTIPO DE LESION  TB Frotis positivo 107- 109 bacilos  Cavitaria 107-109 bacilos  Infiltrado 104-107 bacilos  Nódulos 104-106 bacilos  Adenopatías 104-106 bacilos  TB renal 107-109 bacilos  TB Extrapulmonar 104-106 bacilos
  • 80.
  • 81.
    A SÍNTOMAS TÍPICOS ENTUBERCULOSIS PULMONAR Iseman D. Michael. A clinician’s guide to tuberculosis. Lippincott Williams & Wilkins. USA, 2000. Respiratorios Constitucionales Tos Malestar General Dolor Torácico Lasitud/Debilidad Hemoptisis Fiebre Insuficiencia Respiratoria Sudoración Disfonía Anorexia
  • 82.
    DIAGNÓSTICO DE TUBERCULOSIS InfecciónTuberculosa : Tuberculina Enfermedad Tuberculosa : • Factores de riesgo. • Valoración Clínica • Exploración Física • Técnicas de Imagen • Diagnóstico de Laboratorio: Baciloscopia y cultivos. • Procedimientos invasivos.
  • 83.
    El diagnóstico estarespaldado por la presencia de Bacilos Ácido Alcohol Resistentes (BAAR), pero el Gold estándar es el cultivo BK. DIAGNÓSTICO TUBERCULOSIS
  • 84.
    DIAGNOSTICO PRESUNTIVO COLORACIONES Con Carbolfucsina: Ziehl neelsen (coloración en caliente)  Kinyoun (coloración en frio) Con fluorocromos:  Auramina  Auramina con rodamina Ambos colorantes se unen al acido micólico
  • 85.
    COLORACION ZIEHL NEELSEN • Conmicroscopia de luz. • Con objetivo 100x. • Tener experiencia.
  • 86.
    Se ha demostradoque son necesarios de 5.000 a 10.000 bacilos por ml de esputo para el reconocimiento en la microscopio directa .
  • 88.
    Otros gérmenes ácido alcoholresistentes • Nocardia sp • Rhodococcus sp • Coccidios
  • 89.
    NOCARDIA ASTEROIDES • Con lacoloración Ziehl Neelsen se colorea de rosado pálido. • Coloración Gram: bacilos Gram positivos.
  • 90.
    Coloración gram: coco bacilosgram positivos Rhodococcus equis Coloración ziehl neelsen.
  • 91.
  • 92.
  • 93.
    Ulukanligil M, AslanG, Tasci S. A comparative study on the different staining methods and number of specimens for the detection of acidfast bacilli. Mem Inst Oswaldo Cruz. 2000; 95: 855-8.
  • 94.
    Los cultivos sonmucho más sensibles que los exámenes microscópicos, pudiendo detectar una cantidad tan pequeña como 10 bacterias por ml. de muestra clínica digerida y concentrada. Cultivo de Lowenstein-Jensen.
  • 95.
    MYCOBACTERIUM TUBERCULOSIS  Lascolonias son rugosas, no pigmentadas, de color gamuza.  Crecimiento lento: De 2 a 4 semanas en los medios solidos.  Niacina positiva: Carece de las enzimas necesarias para convertir la niacina a ribonucleotido de niacina.  Reducen los nitratos a nitritos.  Catalasa positiva a medio ambiente.  Catalasa negativa después de calentar el cultivo a 68°C durante 20 minutos.
  • 96.
    MICOBACTERIAS NO TUBERCULOSIS 1.Crecimiento rápido, crecen antes de los 7 días (Mycobacterium fortuitum, Mycobacterium chelonei). 2. Crecimiento lento, crecen después de 7 días a) No Fotocromógenas: No pigmento en la oscuridad ni en la luz (M. avium-intracellulare). b) Fotocromógenas: No pigmento en la oscuridad, pigmentan en la luz (M. Kansasii). c) Escotocromógena: Pigmento en la oscuridad y en la luz (M. scrofulaceum).
  • 97.
  • 98.
    CULTIVOS PARA BK: Lowenstein-Jensen.  Agar Middlebrock 7H10.  Bactec 460 TB. CULTIVOS PARA SENSIBILIDAD:  Métodos convencionales: Proporciones, Agar en placa.  Métodos rápidos: MODS, Griess, Bactec, etc. PRUEBAS GENOTÍPICAS:  Genotype TBMDR/Plus, Second Line.  PCR para BK y/o Mycobacterias atipicas.  Identificación de genes de resistencia: Gen KanG (H), Gen rpoB (R), Gen emb B.
  • 99.
    MODS Crecimiento de M.tuberculosis en forma de curvas, comas o espirales Aspecto de las microcolonias de M. tuberculosis en pozos de cultivo en medio líquido (objetivo 20x)
  • 100.
    Placas con medio líquido Microscopioinvertido Efecto cordon MODS
  • 101.
    MODS - característicasdiagnósticas MODS MBBacT LJ Sensibilidad - cultivo 98% 89% 84% Especifidad - cultivo 99.6% 99.9% 100% Características - PS (sens, espec, VPP & VPN) Equivalente Costo Diagnostico + PS (USD) 2 50 9
  • 102.
    Método GRIESS (determinaciónde la actividad de reducción de nitrato en el cultivo ) Cepa M. tuberculosis, sensible a las cuatro drogas estudiadas. Cepa M. tuberculosis resistente a INH y sensible al resto de las drogas. Cepa M. tuberculosis resistente a INH - RIF INH RIF INH
  • 103.
  • 104.
  • 105.
    Cuevas-Córdoba B, Zenteno-CuevasR. Tuberculosis drogorresistente: mecanismos moleculares y métodos diagnósticos. Enferm Infecc Microbiol Clin. 2010;28(9):621–628
  • 107.
  • 130.
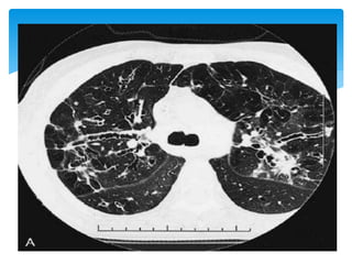
     NO SEOLVIDEN: “NO EXISTE UN PATRÓN RADIOLÓGICO O TOMOGRÁFICO PATOGNOMÓNICO EN TUBERCULOSIS”.  LA TUBERCULOSIS ES LA ENFERMEDAD MÁS PROTEIFORME- “LA GRAN SIMULADORA”.
  • 133.
    TUBERCULOSIS PLEURAL  Líquidopleural amarillo citrino.  Exudado a predominio mononuclear (Linfocitario).  ADA (adenosina desaminasa)>45 u/l.  Diagnóstico: Biopsia pleural.  Solicitar cultivo BK de tejido pleural.
  • 134.
    La Tuberculina (PPD) La reacción positiva al PPD:  Infección tuberculosa.  No confirma enfermedad.  Resultado de la reactividad inmunitaria del sujeto.  Persiste toda la vida generalmente.  PPD (+): Niños>5 mm; Adultos > 10 mm. DIAGNÓSTICO TUBERCULOSIS
  • 136.
    PPP (falso negativo): Anergia por inmunodepresiones.  Desnutrición.  Neoplasias.  Virosis sistémicas graves.  Sarcoidosis.  Uso de corticosteroides.  Mala técnica.  Mala cadena de frio.
  • 137.
    Interferon Gamma ReleaseAssay  IFN-γ son liberados de linfocitos T cuando son estimulados con antigenos especificos de TB.  Los antigenos especificos de TB incluyen:  ESAT 6  CFP-10  TB 7.7  Los IFN-γ liberados son medidos en el plasma.
  • 138.
    Whole Blood IFN-Assay QuantiFERON-TB Test Cellestis ESAT-6 CFP 10Mitogen Control TMB COLOR Stage 1 Whole Blood Culture Stage 2 IFN-gamma ELISA Nil Control Incubate → INF- from sensitized T-cells Draw blood + heparin Aliquot blood & add antigen Harvest plasma from above settled cells Measure [ IFN- ] in ‘Sandwich’ ELISA Computerized interpretation
  • 139.
    Control Mitogeno esel control positivo Control Nulo es el control negativo
  • 140.
    Vacunación BCG  BCGpor Bacilo Calmette-Guerin.  Forma atenuada de Mycobacterium Bovis.  Previene la aparición de una diseminación linfohemática del bacilo como la meningitis, tuberculosis miliar y otras lesiones hematógenas.  Hay controversia sobre su eficacia, ya que diferentes trabajos dan protección que va del 0 a 80% en diversas poblaciones.  Intradérmica en hombro derecho al nacimiento.  No en inmunosuprimidos, prematuros o con enfermedad grave.
  • 141.
    Tuberculosis miliar Por diseminaciónhematógena. Riesgo a diseminaciones al SNC y resto del organismo.
  • 142.
     Las diseminacionespor TBC miliar son más frecuentes en: Los lactantes. Niños menores de cinco años. Los adolescentes. Adultos desnutridos. Alcohólicos crónicos. Pacientes sometidos a tratamientos con inmuno supresores. Los infectados HIV. Diabéticos.
  • 143.
    TBC MILIAR  Múltiplesimágenes nodulares que de 1 a 2mm de diámetro, distribuidas al azar. Dx con Bx pulmonar abierta.
  • 146.
  • 147.
    Esquemas de tratamientode la tuberculosis Bases bacteriológicas del tratamiento Evitar selección de resistencia Matar diferentes Poblaciones Tratamientos Prolongados Asociación de Medicamentos
  • 148.
  • 149.
    Moderada multiplicación lenta pH ácido Escasa multiplicación esporádica Escasa Sinmultiplicación EXTRACELULAR INTRACELULAR LESIONES CASESOSAS FOCOS FIBROTICOS O CALCIFICADOS Isoniacida Estreptomicina Rifampicina Etambutol Pirazinamida Rifampicina Isoniacida. Rifampicina Isoniacida Inmunidad del Huésped ESQUEMAS DE TRATAMIENTO
  • 150.
     La Isoniazida(H): actúa inhibiendo la síntesis de los ácidos micólicos (estructura de la membrana de las micobacterias).  La Rifampicina (R): se fija a la subunidad b de la ARN-polimerasa bloqueando la formación de las cadenas del ARN de la micobacteria.  La Pirazinamida (Z): interferiere en el metabolismo de esta enzima Pirazinamidasa y así se impide el crecimiento del BK.  El Etambutol actúa inhibiendo la síntesis y estabilización del ARN bacteriano. Bacteriostático.  La Estreptomicina se une de manera irreversible a la subunidad 30S del ribosoma bacteriano.
  • 151.
    TRATAMIENTO FARMACOLOGICODOTS-PLUS ➽ PRIMARIOO UNO ➽ TBC SISTEMA NERVIOSO U OSTEOARTICULAR ➽ TBC /VIH ➽ ESTANDARIZADO ➽ EMPÍRICO ➽ INDIVIDUALIZADO ➽ MODIFICADOS POR RAFAs o SITUACIONES ESPECIALES.
  • 153.
  • 154.
  • 156.
    TUBERCULOSIS MULTIDROGORESISTENTE TBC-MDR “… Resistente apor los menos ISONIAZIDA y RIFAMPICINA …” SI FUERA SOLO RESISTENTE A ISONIACIDA O RIFAMPICINA ASOCIADA A OTRAS DROGAS SE LE DENOMINA POLIRRESISTENTE.
  • 157.
    XDR-TB ENFERMEDAD TUBERCULOSA CAUSADAPOR UNA CEPA DE MICOBACTERIUM RESISTENTE A H, R, E, Z, S, UN INYECTABLE DE SEGUNDA LÍNEA Y UNA FLUORQUINOLONA.
  • 158.
    DISEÑO SECUENCIAL DEUN ESQUEMA DE RETRATAMIENTO DOTS-PLUS Primera línea H R Z E Parenteral S KM CM AMK Quinolona Cpx Ofx Lfx Moxi Bacteriostáticos CS PAS Ethio Prothio OTROS Amx/Clv CLR RFB H-AD Imipenen Meropenen Linezolid Thioridazina
  • 160.
    New SS+ (All) (N=122,372) NewSS+ (HIV+) (N=5,728) Re-treatment (N=19,146) MDR (N=1,732) XDR (N=118) Not evaluated 11% 12% 21% 23% 25% Defaulted 7.5% 12% 19% 13% 7.6% Failed 0.9% 1.1% 2.6% 6.4% 35% Died 5.1% 18% 7.6% 10% 21% Completed 23% 19% 22% 22% 0.8% Cured 53% 37% 29% 25% 11% 76% 57% 50% 47% 12% 0% 10% 20% 30% 40% 50% 60% 70% 80% 90% 100% %ofcohort Not evaluated Defaulted Failed Died Completed Cured Tratamiento exitoso diferentes cohortes Las Américas, 2009 (TB, TB/VIH) y 2008 (TB-MDR y XDR) Progreso de las Américas hacia el cumplimiento de los indicadores del Plan Mundial Alto a la TB, 2015
  • 161.
    Las formas detuberculosis resistentes a medicamentos son muy difíciles de tratar que incluso en muchos casos el tratamiento incluye cirugías de resección pulmonar, es decir estamos regresando al manejo de la TBC como se realizaba en la era pre antibiótica.
  • 166.
  • 167.
    REACCIONES ADVERSAS -RAFAS Fármaco Efectos adversos Isoniacida Hepatitis. Neuropatía periférica. Reacción de Hipersensibilidad. Fiebre. Seudolupus. Vértigo. Convulsiones. Psicosis. Ataxia cerebelosa. Neuritis óptica. Anemia. Agranulocitosis, Ginecomastia. Artralgias. Pelagra. Rifampicina Hepatitis. Colostasis. Reacción de hipersensibilidad. Intolerancia digestiva. Fiebre. Interacción medicamentosa. Trombopenia. Anemia hemolítica. Necrosis tubular. Nefritis intersticial. Síndrome gripal. Pirazinamida Hepatitis. Trastornos gastrointestinales. Artralgia. Hipersensibilidad cutánea. Hiperuricemia. Gota. Fotosensibilidad. Etambutol Neuritis retrobulbar. Artralgia. Hiperuricemia. Neuropatía periférica. Reacción de hipersensibilidad. Trombocitopenia. Estreptomicina Toxicidad auditiva, vestibular y renal. Reacción de hipersensibilidad. Bloqueo neuromuscular. Citopenias.
  • 168.
  • 169.
    HACINAMIENTO TB ENSALAS DE ESPERA  Hacinamiento en las salas de espera de la consulta externa  Se junta la atención de pacientes TB con los de otras patologías, incluso con los inmunosuprimidos.
  • 170.
    Promotores y personalno aplican medidas de CONTROL DE INFECCIONES
  • 171.
    Pabellones de pacientesen hacinamiento
  • 172.
    FALTA MEDIDAS DECONTROL DE INFECCIONES TB EN EMERGENCIA  Salas de emergencia con hacinamiento, no adecuada ventilación, se juntan pacientes respiratorios y otras patologías.
  • 173.
    Personal de UCIno aplica medidas de CONTROL DE INFECCIONES
  • 174.
    Sala de operacionessin medidas de CONTROL DE INFECCIONES TB
  • 175.
    MEDIDAS GENERALES •NUTRICIÓN BALANCEADAY ADECUADA. •NO HACINAMIENTO. •VACUNACIÓN: BCG. •MEJORA DEL NIVEL SOCIOECONÓMICO CULTURAL. •CONTROL DE ENFERMEDADES DEBILITANTES (VIH, DIABETES) •ADECUADA MANIPULACIÓN DE RESIDUOS BIOLÓGICOS. •AMBIENTES VENTILADOS E ILUMINADOS. •PROTECCIÓN RESPIRATORIA. •EDUCACIÓN Y CAPACITACIÓN.
  • 176.
    Falta de educación Los sintomáticos respiratorios son los principales diseminadores de la enfermedad.  Deben de cubrirse la boca al toser
  • 177.
  • 178.
    CONTROL PERSONAL  Usoobligatorio de mascarilla simple en todo paciente con diagnóstico o sospecha de TB.  Uso de protector respiratorio N 95 en todo trabajador de salud en contacto con paciente con diagnóstico TB.  Suministro permanente de equipos de protección personal respiratoria.  Uso obligatorio de mascarilla por parte de los familiares de pacientes con TB.
  • 185.
    INFRAESTRUCTURA- SALA DEHOSPITALIZACIÓN EJEMPLO MODELO: SALA TISIOLOGÍA CENTRO MÉDICO NAVAL.
  • 191.
    INFRAESTRUCTURA- SALA DEHOSPITALIZACIÓN EJEMPLO MODELO: SALA SANTA ROSA III - HOSPITALIZACIÓN NEUMOLOGÍA - HOSPITAL NACIONAL DOS DE MAYO.
  • 198.