ULTRASONIDO
ABDOMINAL
Dra. Noelia Morales Martínez
oConocer los principales planos de corte
oConocer los artefactos en ecografía
oConocer que órganos que se evalúan en el ultrasonido
abdominal.
oEvaluación de las medidas normales de los órganos de la
cavidad abdominal.
oPrincipales patologías que se valoran en la ecografía
abdominal.
La calidad o resolución de la imagen en los monitores dependerá de la
capacidad de distinguir la morfología normal o alterada en los tejidos
(resolución de contraste) y de la capacidad de diferenciar objetos
próximos (resolución axial y lateral):
• La resolución axial permite
distinguir dos objetos como
separados cuando están situados
uno encima del otro y depende de
la frecuencia del transductor (a
mayor frecuencia, mayor
resolución axial y viceversa)
• La resolución lateral permite
distinguir dos objetos separados,
cuando están localizados uno al
lado del otro. Este tipo de
resolución depende del diseño del
transductor y se puede modificar
ajustando la anchura del pulso en
la zona focal.
Corte longitudinal o sagital
Con el paciente en decúbito supino
se coloca la sonda paralela al eje
mayor del paciente y el marcador
hacia la cabeza.
La imagen que se obtiene es un
corte longitudinal del paciente, a un
determinado nivel y visto desde su
•En la parte superior, la parte anterior del paciente (lo más
cercano a la sonda).
•En la parte inferior, la parte posterior del paciente (lo más
alejado de la sonda).
•El segmento corporal proximal o craneal se presentará a la
izquierda de la pantalla.
•El segmento corporal distal o caudal se muestra a la derecha
de la pantalla.
Corte transversal
Con el paciente en decúbito
supino se coloca la sonda
perpendicular al eje mayor del
paciente y el marcador hacia la
derecha del paciente. La imagen
será parecida a la que se
obtiene en un TAC (similar a
cortar al paciente en transversal
y ver la imagen desde los pies).
•En la parte superior, la parte anterior del paciente (la más
cercana a la sonda).
•En la parte inferior, la parte posterior del paciente (lo más
alejado de la sonda).
•A la derecha de la pantalla, la parte derecha del paciente.
•A la izquierda de la pantalla, la parte izquierda del paciente.
Reflectores especulares
• La reflexión de los ultrasonidos cuando se
encuentra una interfase acústica esta
determinada por el tamaño y las propiedades de
la interfase. Si la interfase es grande y
relativamente lisa, refleja el sonido igual que el
espejo refleja la luz.
• Estas interfases se denominan reflectores
especulares porque se comportan como espejos
para el sonido.
Artefactos en ecografía
Sombra acústica posterior
• Zonas sin ecos que aparecen detrás de estructuras que reflejan todos los
ultrasonidos. La imagen ecográfica muestra una zona oscura detrás de una
estructura hiperecogénica. Es una interfase muy reflexiva y casi toda la
energía del haz sónico incidente sobre ellas se reflejará. Es similar a la
sombra que emite un edificio en un día soleado. Ejemplo fisiológico: el
hueso. Ejemplo patológico: cálculos o calcificaciones. La sombra sucia es
característica del gas dentro de los tejidos. La sombra por refracción o
sombra por ángulo crítico se observa cuando se visualizan objetos con
superficie curvada como la diáfisis de un hueso largo
Refuerzo acústico posterior
• Aumento en la amplitud de los ecos que se generan tras atravesar
una estructura anecoica. La imagen ecográfica muestra una
estructura anecoica e inmediatamente detrás de esta aparece una
zona hiperecogénica. Se da detrás de estructuras que contienen
líquido. Ejemplo fisiológico: la vesícula biliar, un vaso. Ejemplo
patológico: un quiste, un derrame
Artefacto en cola de cometa
• Este artefacto es el resultando de la reverberación que se produce
dentro de un objeto metálico o vidrio. Se encuentra en cuerpos
extraños o en los adenomiomas de pared vesical. La periodicidad de
las bandas dentro de la cola de cometa es igual al grosor del objeto.
El reconocimiento de este artefacto permite al examinado
diagnosticar rápidamente cuerpos extraños metálicos y de vidrio. Se
puede establecer con exactitud la posición del objeto, sin embargo no
se puede determinar con precisión el tamaño de los objetos
relativamente pequeños. Un ejemplo serían los cilindros metálicos o
de vidrio
Artefacto de centelleo
• El "artefacto de centelleo" (twinkling artifact), llamado
también "artefacto en cola de cometa en color" (color
comet-tail artifact) aparece en el ultrasonido (US) con
Doppler color como una rápida alternancia del color
inmediatamente detrás de un objeto ecogénico
estacionario, dando a éste una falsa apariencia de
movimiento
consiste en
un artefacto de
flujo de color
por ecografía de
scrito en una
ubicación
posterior a las
calcificaciones
EVALUACION DE LOS
ORGANOS DE LA CAVIDAD
ABDOMINAL
HIGADO
 Peso de 1500 gramos
 Órgano más grande del cuerpo humano
 Se de evaluar con ayuno y vejiga distendida
 Evaluarse en proyecciones sagital, transversa,
coronal y oblicua subcostal.
 Se divide en tres lóbulos: Derecho, izquierdo y
lóbulo caudado
 El lóbulo derecho está separado del izquierdo
por la fisura lobar principal, LD se divide en los
segmentos anterior y posterior
 Lóbulo izquierdo se divide en los segmentos
medial y lateral.
 El lóbulo caudado esta situado en la cara
posterior del hígado y tiene como borde
posterior la vena cava inferior y como borde
anterior la fisura para el ligamento venoso.
 El borde superior se dispone
alrededor del nivel del 5to espacio
intercostal en la línea media clavicular
 El borde inferior se extiende hasta
ligeramente por debajo del borde
costal.
 Hígado se mide en el eje longitudinal,
línea clavicular media, el lóbulo
derecho.
 13 cm a 15,5 cm (130 a 155 mm).
 La medida, va a depender de la edad,
sexo, talla, peso, superficie corporal.
ANATOMIA DE
COUINAUD
 Se utiliza para localizar
una lesión hepática
 Se basa en segmentos
portales y tiene
importancia funcional y
patológica.
 Cada segmento tiene un
aporte sanguíneo
(arterial, venoso portal y
venoso hepático),
linfáticos y drenaje biliar
propios
 Existen ocho segmentos
 Las venas hepáticas,
derecha, media e
izquierda dividen al
hígado longitudinalmente
en cuatro secciones
Agenesia
 Agenesia del hígado es incompatible con la vida.
 Se han descrito agenesias del lóbulo derecho e
izquierdo
 En casos publicados de agenesia del lóbulo
derecho también faltaba el lóbulo caudado
 Produce hipertrofia compensadora del resto de
los lóbulos
 Pruebas de función hepática son normales.
congénitas)
 Es un espacio definido lleno de
líquido que tiene recubrimiento
epitelial
 Los abscesos, quistes parasitarios
y los quistes postraumáticos no
son verdaderos quistes
 Existen:
 Quiste simples benignos
(anecoicos, pared fina y bien
delimitada y refuerzo acústico
posterior.
 Quiste complejos: ecos internos,
tabiques finos, puede parecer
sólido o puede tener tabiques
gruesos o nódulos internos
Hepatititis víricas
 El parénquima hepática
puede tener una menor
ecogenicidad difusa con un
brillo acentuado de las tríadas
postales, los maguitos
periportales
 Hepatomegalia
(agrandamiento del hígado
 Engrosamiento de la pared de
la vesícula
 La mayoría de los casos el
Abscesos
 Son lesiones redondas u ovales
 Ausencia de pared prominente
 Hipoecogenicidad compara con el hígado normal
 Ecos internos de bajo nivel
 Contigüidad con el diafragma
 Los abscesos amebianos son mas frecuentes en
el lóbulo derecho.
 Hay abscesos puede contener aire, por
bacterias.
Hígado graso
 Causa mas frecuente es la obesidad
 Otras causas: alcohol, hiperlipidemia mal
controlada, diabetes, el exceso de
corticoides, el embarazo, hiperalimentación
parenteral total, algunos fármacos, ente
otras
Infiltración grasa difusa
 Leve: aumento difuso mínimo de la ecogenicidad
hepática, visualización normal del diafragma y de
los vasos intrahepáticos.
 Moderada: aumento difuso moderado de la
ecogenicidad hepática; ligera pérdida de la
visualización de los vasos intrahepáticos y del
diafragma.
 Grave: aumento acentuado de la ecogenicidad;
mala penetración del segmento posterior del
lóbulo derecho del hígado y mala visualización o
ninguna de los vasos hepáticos y del diafragma
Grasa focal
Hipertensión portal o Cirrosis
 Vena porta:
 Mide hasta 13
mm.
 Presión normal
es de 5-10 mm
Hg (14 cm de
agua)
 Velocidad
Neoplasias hepáticas benignas
 Hemangioma cavernoso
 Tumores benignos hepáticos mas
frecuentes
 Habitualmente es pequeña, menos de 3
cm, bien definida, homogénea e
hiperecoica
Hiperplasia nodular focal
 2da mas frecuente
 Son lesiones hiperplásicas del
desarrollo relacionadas con un área
de malformación vascular.
 Puede haber influencias
hormonales
 Mas frecuente en mujeres que en
varones, en edad fértil.
 Masa bien delimitada, circunscrita,
a menudo solitaria, con una cicatriz
central.
 Mayoría de menos de 5 cm.
Neoplasia hepática maligna
 Carcinoma hepatocelular
 Uno de los mas frecuentes
 El aspecto por ecografía es
variable.
 Masas pueden ser hipoecoicas,
complejas o ecógenas
 Menores de <5 cm son
hipoecoicos
 Masas grandes son
heterogéneas
BAZO
 Forma es variable
 Forma típica es en
coma invertida
 Mide 12 cm o 120
mm, la anchura
menor de 7 cm y
espesor 5cm
Esplenomegalia
 Aumento de tamaño del Bazo
 El diagnóstico diferencia de la esplenomegalia es extremadamente
largo
 Comprende la infección, las neoplasias, la infiltración, traumas, las
discrasias sanguínea, la hipertensión portal
 La esplenomegalia leve y moderada; infección, hipertensión portal o
sida.
 La esplenomegalia mas acentuada, suele ser el resultado de un
trastorno hematológico, como leucemia y el linfoma, así como
mononucleosis infecciosa
 La esplenomegalia masiva puede deberse a mielofibrosis
 Lesiones focales, dentro del bazo, como quistes o hematomas.
 Signos asociados, diferencian entre una causa u otra, por ejemplo
Quistes esplénicos
Traumatismos esplénicos
 Laceraciones
 Hematomas
 Contusiones
 Estallido o ruptura
esplénica
Vesícula biliar y colédoco
 Vesicular biliar
 Colédoco medida normal es menor de 6
mm, pacientes con cirugía de extracción de
la vesícula puede llegar a 10 mm
 Puede aumentar con la edad.
Coledocolitiasis
 Cálculo a nivel
del colédoco
 Colédoco
aumentado de
tamaño
Neumobilia
 Presencia de gas en la vía biliar.
 Pacientes con cirugía previa
Colangiocarcinomas
 Neoplasia de la vía biliar
 Es infrecuente
 Pueden ser
intrahepáticos, hiliares y
distales.
 Masa firme que rodea y
estrecha el conducto
afectado, con un
componente dentro del
ducto nodular.
Vesícula biliar
 Se divide en fondo, cuerpo y
cuello
 En la región del cuello puede
haber un infundíbulo que se le
denomina bolsa de Hartmann,
sitio frecuente de impactación
del cálculo.
 La vesícula contraída puede
tener la pared gruesa
 La pared de la vesícula biliar
debe medir menos de 3 mm.
 Mide de 7 a 10 cm de largo por 3
cm de diámetro transverso y una
capacidad de 30 a 35 cc.
Litiasis biliar (Colelitiasis)
 Común, factores de riesgo son la edad y el sexo
femenino, la fecundidad, la obesidad, la diabetes y el
embarazo.
 La mayoría son asintomáticos, la quinta parte presenta
alguna complicación, como el cólico biliar la mas
frecuente
 Ecografía es sensible
 El tamaño de los cálculos le da aspectos diferentes en la
ecografía.
 Los cálculos son hiperecogénicos, la mayoría redondos,
tienen SAP y son móviles
 Tríada de Wes (Pared, eco, sombra)
(Inflamación de la pared y
cálculos)
 Aguda
 Crónica
Colecistitis aguda litiásica
Colecistitis crónica
 Se asocia a la mera presencia de cálculos
 Suele ser asintomática y de grado leve
 Misma incidencia y factores de riesgo que la
litiasis
 Vesícula biliar de paredes gruesas y cálculos
 Se diferencia de la colecistitis aguda por la falta
de otros signos, sobre todo la distención de la
vesícula, síndrome de Murphy y la hiperemia de
la pared
BARRO BILIAR
 Tierra biliar o
Microlitiasis,
mezcla de
partículas y bilis
que aparece
cuando los
solutos de la bilis
se precipitan
Pólipo de la vesícula
 Tamaño menor de
10 mm y la
multiplicidad
indican
benignidad
PANCREAS
 Cabeza, proceso uncinado, cuello, Cuerpo
y cola
 Es una estructura peritoneal
 Longitud de 12,5 a 15 cm
 Cabeza 3 cm, cuerpo 2 cm y cola 1 cm
 Conducto pancreático, cabeza 3 mm, 2,1
mm cuerpo y 1,6 mm cola
Pancreatitis
 Agrandamiento del páncreas
 Complicaciones
 Disminución de la ecogenicidad
 Sin necrosis o con necrosis
RIÑONES
 9 a 13 cm (90 a 130 mm) Longitud x 2,5 a 4,0 cm de grosor y 5,0 cm
de anchura
 RD<RI
 No pasar los 10 mm
 Volumen normal promedio RD 134 cm3 y 146 cm3
 Pelvis renal <10mm
 El uréter menor de 5 mm
 Ancho del parénquima renal es de 13 a 15 mm
 Cálculos mayores de 4 mm, se detectan en ecografía, sensibilidad
del 100%
Nefrolitiasis renal
 Frecuentes
 12% de la población
 >Varones
 UUP, Cruce de los
iliacos y UUV
 UUV (75-80%)
HIDRONEFROSIS
Nefropatía crónica
 Aumento de la
ecogenicidad renal
 Disminución del
tamaño
 Pérdida de la
diferenciación seno-
parénquima
 Disminución del
parénquima
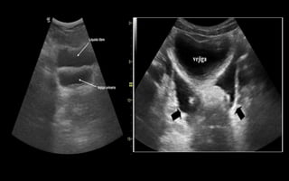
Vejiga
Vejiga
 Volumen normal 500-600 ml
 Residual significativo mayor del 20%
 O Mayor de 50-100 ml
 Pared <3 mm
Engrosamiento de la pared
vesical
Engrosamiento por tumores
Líquido libre
ULTRASONIDO ABDOMINAL.pptx

ULTRASONIDO ABDOMINAL.pptx

  • 1.
  • 2.
    oConocer los principalesplanos de corte oConocer los artefactos en ecografía oConocer que órganos que se evalúan en el ultrasonido abdominal. oEvaluación de las medidas normales de los órganos de la cavidad abdominal. oPrincipales patologías que se valoran en la ecografía abdominal.
  • 3.
    La calidad oresolución de la imagen en los monitores dependerá de la capacidad de distinguir la morfología normal o alterada en los tejidos (resolución de contraste) y de la capacidad de diferenciar objetos próximos (resolución axial y lateral): • La resolución axial permite distinguir dos objetos como separados cuando están situados uno encima del otro y depende de la frecuencia del transductor (a mayor frecuencia, mayor resolución axial y viceversa) • La resolución lateral permite distinguir dos objetos separados, cuando están localizados uno al lado del otro. Este tipo de resolución depende del diseño del transductor y se puede modificar ajustando la anchura del pulso en la zona focal.
  • 4.
    Corte longitudinal osagital Con el paciente en decúbito supino se coloca la sonda paralela al eje mayor del paciente y el marcador hacia la cabeza. La imagen que se obtiene es un corte longitudinal del paciente, a un determinado nivel y visto desde su •En la parte superior, la parte anterior del paciente (lo más cercano a la sonda). •En la parte inferior, la parte posterior del paciente (lo más alejado de la sonda). •El segmento corporal proximal o craneal se presentará a la izquierda de la pantalla. •El segmento corporal distal o caudal se muestra a la derecha de la pantalla.
  • 5.
    Corte transversal Con elpaciente en decúbito supino se coloca la sonda perpendicular al eje mayor del paciente y el marcador hacia la derecha del paciente. La imagen será parecida a la que se obtiene en un TAC (similar a cortar al paciente en transversal y ver la imagen desde los pies). •En la parte superior, la parte anterior del paciente (la más cercana a la sonda). •En la parte inferior, la parte posterior del paciente (lo más alejado de la sonda). •A la derecha de la pantalla, la parte derecha del paciente. •A la izquierda de la pantalla, la parte izquierda del paciente.
  • 6.
    Reflectores especulares • Lareflexión de los ultrasonidos cuando se encuentra una interfase acústica esta determinada por el tamaño y las propiedades de la interfase. Si la interfase es grande y relativamente lisa, refleja el sonido igual que el espejo refleja la luz. • Estas interfases se denominan reflectores especulares porque se comportan como espejos para el sonido.
  • 7.
    Artefactos en ecografía Sombraacústica posterior • Zonas sin ecos que aparecen detrás de estructuras que reflejan todos los ultrasonidos. La imagen ecográfica muestra una zona oscura detrás de una estructura hiperecogénica. Es una interfase muy reflexiva y casi toda la energía del haz sónico incidente sobre ellas se reflejará. Es similar a la sombra que emite un edificio en un día soleado. Ejemplo fisiológico: el hueso. Ejemplo patológico: cálculos o calcificaciones. La sombra sucia es característica del gas dentro de los tejidos. La sombra por refracción o sombra por ángulo crítico se observa cuando se visualizan objetos con superficie curvada como la diáfisis de un hueso largo
  • 8.
    Refuerzo acústico posterior •Aumento en la amplitud de los ecos que se generan tras atravesar una estructura anecoica. La imagen ecográfica muestra una estructura anecoica e inmediatamente detrás de esta aparece una zona hiperecogénica. Se da detrás de estructuras que contienen líquido. Ejemplo fisiológico: la vesícula biliar, un vaso. Ejemplo patológico: un quiste, un derrame
  • 9.
    Artefacto en colade cometa • Este artefacto es el resultando de la reverberación que se produce dentro de un objeto metálico o vidrio. Se encuentra en cuerpos extraños o en los adenomiomas de pared vesical. La periodicidad de las bandas dentro de la cola de cometa es igual al grosor del objeto. El reconocimiento de este artefacto permite al examinado diagnosticar rápidamente cuerpos extraños metálicos y de vidrio. Se puede establecer con exactitud la posición del objeto, sin embargo no se puede determinar con precisión el tamaño de los objetos relativamente pequeños. Un ejemplo serían los cilindros metálicos o de vidrio
  • 11.
    Artefacto de centelleo •El "artefacto de centelleo" (twinkling artifact), llamado también "artefacto en cola de cometa en color" (color comet-tail artifact) aparece en el ultrasonido (US) con Doppler color como una rápida alternancia del color inmediatamente detrás de un objeto ecogénico estacionario, dando a éste una falsa apariencia de movimiento consiste en un artefacto de flujo de color por ecografía de scrito en una ubicación posterior a las calcificaciones
  • 12.
    EVALUACION DE LOS ORGANOSDE LA CAVIDAD ABDOMINAL
  • 13.
    HIGADO  Peso de1500 gramos  Órgano más grande del cuerpo humano  Se de evaluar con ayuno y vejiga distendida  Evaluarse en proyecciones sagital, transversa, coronal y oblicua subcostal.  Se divide en tres lóbulos: Derecho, izquierdo y lóbulo caudado  El lóbulo derecho está separado del izquierdo por la fisura lobar principal, LD se divide en los segmentos anterior y posterior  Lóbulo izquierdo se divide en los segmentos medial y lateral.  El lóbulo caudado esta situado en la cara posterior del hígado y tiene como borde posterior la vena cava inferior y como borde anterior la fisura para el ligamento venoso.
  • 14.
     El bordesuperior se dispone alrededor del nivel del 5to espacio intercostal en la línea media clavicular  El borde inferior se extiende hasta ligeramente por debajo del borde costal.  Hígado se mide en el eje longitudinal, línea clavicular media, el lóbulo derecho.  13 cm a 15,5 cm (130 a 155 mm).  La medida, va a depender de la edad, sexo, talla, peso, superficie corporal.
  • 15.
    ANATOMIA DE COUINAUD  Seutiliza para localizar una lesión hepática  Se basa en segmentos portales y tiene importancia funcional y patológica.  Cada segmento tiene un aporte sanguíneo (arterial, venoso portal y venoso hepático), linfáticos y drenaje biliar propios  Existen ocho segmentos  Las venas hepáticas, derecha, media e izquierda dividen al hígado longitudinalmente en cuatro secciones
  • 17.
    Agenesia  Agenesia delhígado es incompatible con la vida.  Se han descrito agenesias del lóbulo derecho e izquierdo  En casos publicados de agenesia del lóbulo derecho también faltaba el lóbulo caudado  Produce hipertrofia compensadora del resto de los lóbulos  Pruebas de función hepática son normales.
  • 18.
    congénitas)  Es unespacio definido lleno de líquido que tiene recubrimiento epitelial  Los abscesos, quistes parasitarios y los quistes postraumáticos no son verdaderos quistes  Existen:  Quiste simples benignos (anecoicos, pared fina y bien delimitada y refuerzo acústico posterior.  Quiste complejos: ecos internos, tabiques finos, puede parecer sólido o puede tener tabiques gruesos o nódulos internos
  • 19.
    Hepatititis víricas  Elparénquima hepática puede tener una menor ecogenicidad difusa con un brillo acentuado de las tríadas postales, los maguitos periportales  Hepatomegalia (agrandamiento del hígado  Engrosamiento de la pared de la vesícula  La mayoría de los casos el
  • 20.
    Abscesos  Son lesionesredondas u ovales  Ausencia de pared prominente  Hipoecogenicidad compara con el hígado normal  Ecos internos de bajo nivel  Contigüidad con el diafragma  Los abscesos amebianos son mas frecuentes en el lóbulo derecho.  Hay abscesos puede contener aire, por bacterias.
  • 22.
    Hígado graso  Causamas frecuente es la obesidad  Otras causas: alcohol, hiperlipidemia mal controlada, diabetes, el exceso de corticoides, el embarazo, hiperalimentación parenteral total, algunos fármacos, ente otras
  • 23.
    Infiltración grasa difusa Leve: aumento difuso mínimo de la ecogenicidad hepática, visualización normal del diafragma y de los vasos intrahepáticos.  Moderada: aumento difuso moderado de la ecogenicidad hepática; ligera pérdida de la visualización de los vasos intrahepáticos y del diafragma.  Grave: aumento acentuado de la ecogenicidad; mala penetración del segmento posterior del lóbulo derecho del hígado y mala visualización o ninguna de los vasos hepáticos y del diafragma
  • 24.
  • 26.
    Hipertensión portal oCirrosis  Vena porta:  Mide hasta 13 mm.  Presión normal es de 5-10 mm Hg (14 cm de agua)  Velocidad
  • 29.
    Neoplasias hepáticas benignas Hemangioma cavernoso  Tumores benignos hepáticos mas frecuentes  Habitualmente es pequeña, menos de 3 cm, bien definida, homogénea e hiperecoica
  • 30.
    Hiperplasia nodular focal 2da mas frecuente  Son lesiones hiperplásicas del desarrollo relacionadas con un área de malformación vascular.  Puede haber influencias hormonales  Mas frecuente en mujeres que en varones, en edad fértil.  Masa bien delimitada, circunscrita, a menudo solitaria, con una cicatriz central.  Mayoría de menos de 5 cm.
  • 31.
    Neoplasia hepática maligna Carcinoma hepatocelular  Uno de los mas frecuentes  El aspecto por ecografía es variable.  Masas pueden ser hipoecoicas, complejas o ecógenas  Menores de <5 cm son hipoecoicos  Masas grandes son heterogéneas
  • 32.
    BAZO  Forma esvariable  Forma típica es en coma invertida  Mide 12 cm o 120 mm, la anchura menor de 7 cm y espesor 5cm
  • 33.
    Esplenomegalia  Aumento detamaño del Bazo  El diagnóstico diferencia de la esplenomegalia es extremadamente largo  Comprende la infección, las neoplasias, la infiltración, traumas, las discrasias sanguínea, la hipertensión portal  La esplenomegalia leve y moderada; infección, hipertensión portal o sida.  La esplenomegalia mas acentuada, suele ser el resultado de un trastorno hematológico, como leucemia y el linfoma, así como mononucleosis infecciosa  La esplenomegalia masiva puede deberse a mielofibrosis  Lesiones focales, dentro del bazo, como quistes o hematomas.  Signos asociados, diferencian entre una causa u otra, por ejemplo
  • 35.
  • 36.
    Traumatismos esplénicos  Laceraciones Hematomas  Contusiones  Estallido o ruptura esplénica
  • 37.
    Vesícula biliar ycolédoco  Vesicular biliar  Colédoco medida normal es menor de 6 mm, pacientes con cirugía de extracción de la vesícula puede llegar a 10 mm  Puede aumentar con la edad.
  • 38.
    Coledocolitiasis  Cálculo anivel del colédoco  Colédoco aumentado de tamaño
  • 39.
    Neumobilia  Presencia degas en la vía biliar.  Pacientes con cirugía previa
  • 40.
    Colangiocarcinomas  Neoplasia dela vía biliar  Es infrecuente  Pueden ser intrahepáticos, hiliares y distales.  Masa firme que rodea y estrecha el conducto afectado, con un componente dentro del ducto nodular.
  • 41.
    Vesícula biliar  Sedivide en fondo, cuerpo y cuello  En la región del cuello puede haber un infundíbulo que se le denomina bolsa de Hartmann, sitio frecuente de impactación del cálculo.  La vesícula contraída puede tener la pared gruesa  La pared de la vesícula biliar debe medir menos de 3 mm.  Mide de 7 a 10 cm de largo por 3 cm de diámetro transverso y una capacidad de 30 a 35 cc.
  • 42.
    Litiasis biliar (Colelitiasis) Común, factores de riesgo son la edad y el sexo femenino, la fecundidad, la obesidad, la diabetes y el embarazo.  La mayoría son asintomáticos, la quinta parte presenta alguna complicación, como el cólico biliar la mas frecuente  Ecografía es sensible  El tamaño de los cálculos le da aspectos diferentes en la ecografía.  Los cálculos son hiperecogénicos, la mayoría redondos, tienen SAP y son móviles
  • 43.
     Tríada deWes (Pared, eco, sombra)
  • 44.
    (Inflamación de lapared y cálculos)  Aguda  Crónica
  • 45.
  • 47.
    Colecistitis crónica  Seasocia a la mera presencia de cálculos  Suele ser asintomática y de grado leve  Misma incidencia y factores de riesgo que la litiasis  Vesícula biliar de paredes gruesas y cálculos  Se diferencia de la colecistitis aguda por la falta de otros signos, sobre todo la distención de la vesícula, síndrome de Murphy y la hiperemia de la pared
  • 49.
    BARRO BILIAR  Tierrabiliar o Microlitiasis, mezcla de partículas y bilis que aparece cuando los solutos de la bilis se precipitan
  • 50.
    Pólipo de lavesícula  Tamaño menor de 10 mm y la multiplicidad indican benignidad
  • 51.
    PANCREAS  Cabeza, procesouncinado, cuello, Cuerpo y cola  Es una estructura peritoneal  Longitud de 12,5 a 15 cm  Cabeza 3 cm, cuerpo 2 cm y cola 1 cm  Conducto pancreático, cabeza 3 mm, 2,1 mm cuerpo y 1,6 mm cola
  • 52.
    Pancreatitis  Agrandamiento delpáncreas  Complicaciones  Disminución de la ecogenicidad  Sin necrosis o con necrosis
  • 54.
    RIÑONES  9 a13 cm (90 a 130 mm) Longitud x 2,5 a 4,0 cm de grosor y 5,0 cm de anchura  RD<RI  No pasar los 10 mm  Volumen normal promedio RD 134 cm3 y 146 cm3  Pelvis renal <10mm  El uréter menor de 5 mm  Ancho del parénquima renal es de 13 a 15 mm  Cálculos mayores de 4 mm, se detectan en ecografía, sensibilidad del 100%
  • 55.
    Nefrolitiasis renal  Frecuentes 12% de la población  >Varones  UUP, Cruce de los iliacos y UUV  UUV (75-80%)
  • 56.
  • 58.
    Nefropatía crónica  Aumentode la ecogenicidad renal  Disminución del tamaño  Pérdida de la diferenciación seno- parénquima  Disminución del parénquima
  • 59.
  • 60.
    Vejiga  Volumen normal500-600 ml  Residual significativo mayor del 20%  O Mayor de 50-100 ml  Pared <3 mm
  • 61.
    Engrosamiento de lapared vesical
  • 62.
  • 63.