El Hombro
Es una articulación compleja, que goza de gran movilidad
+ Biomecánica es sofisticada
+ Balance es el resultado de la interacción dinámica
El Hombro
Introducción
Anatomía
Biomecánica
Patologías hombro
Conflicto
Lesiones manguito
Capsulitis
Tendinopatias calcificaciones
Instabilidad
Ex objetivo
Imágenes
Preoperatorio
Rehabilitación
•El 95% del dolor
son problemas
periarticulares
El Hombro
¿Qué estructuras alejadas del hombro pueden producir dolor
referido? 

✓ Radiculopatías cervicales.
✓ Hepatopatías.
✓ Cardiopatías.
✓ Tumores torácicos.
ARTICULACION DEL HOMBRO
Es la mas móvil del cuerpo humano, posee 5
articulaciones:
1.- Articulación Esterno-clavicular.
2.- Articulación Acromio- clavicular.
3.- Articulación Gleno- humeral.
4.- Articulación Escapulo-toracica.
5.- Articulación Subdeltoidea.
Estabilidad articular
El Hombro
HUMERO ANTERIOR
CABEZA HUMERAL
TROQUITER
TROQUIN
CUELLO ANATOMICO
CUELLO QUIRURGICO
CANAL HUMERAL
HUMERO POSTERIOR
CABEZA HUMERAL
CUELLO ANATOMICO
TROQUITER
CUELLO QUIRURGICO
ANGULO DE TORSION
HUMERAL: es el eje principal
de la epífisis distal que forma
un ángulo con el de la cabeza
femoral
POSICION ANATOMICA: el
antebrazo forma un ángulo de
170 º con el brazo
HUMERO ANTERIOR
SUPRAESPINOSO
SUBESCAPULAR
PECTORAL MAYOR
REDONDO MAYOR
DORSAL ANCHO
HUMERO POSTERIOR
SUPRAESPINOSO
INFRAESPINOSO
REDONDO
MENOR
ANATOMIA
ANTERIOR POSTERIOR
ANATOMIA
T C
	
  	
  	
  	
  	
  	
  	
  	
  	
  	
  	
  	
  Enartrosis	
  
Estabilidad	
  Intrinseca:	
  
Ligamentos	
  capsulares	
  
(coracohumeral/glenohumeral)	
  
Estabilidad	
  activa:	
  
Manguito	
  Rotador	
  
Supraespinoso	
  	
  
Subescapular	
  	
  	
  	
  
Redondo	
  Menor	
  
Infraespinoso
Estabilidad del hombro
Concepto del circulo de la
estabilidad:
	
“la luxación en una dirección
exige un daño al capsular o de
la misma parte o de la parte
opuesta”
Warren: Orthop Trans, 1984
Función:
Barrera a la luxación anterior en la
abducción 45°-90°
Warner JJP. J Shoulder Elbow Surg 1993
Ligamento Glenohumeral medio
Ligamento glenohumeral inferior
“… “hamaca” por debajo la cabeza humeral…”
Warner Am J Sport Med, 1992
John E. Kun, Shoulder and Elbow 1997
Ligamento glenohumeral inferior
La rotación interna restringe la traslación
posterior de la cabeza humeral.
La rotación externa restringe la traslación anterior
Inervación
Músculos ventrales del brazo
inervados por el
MUSCULOCUTANEO
El Tríceps braquial inervado por el
RADIAL
Los nervios MEDIANO, RADIAL Y
CUBITAL se originan en Axila de
los troncos secundarios del plexo
braquial
Anatomía vascular

Vista anterior
1. Arteria Axilar
2. A circunfleja Posterior
3. A circunfleja Anterior
4. Rama anteroexterna de la
circunfleja Anterior
5. Tuberosidad mayor
6. Tuberosidad menor
7. Corredera bicipital
12
3
4
7
65
PERFUNDE LA CABEZA HUMERAL
1. Arteria Axilar
2. A circunfleja Posterior
3. A circunfleja Anterior
4. Tuberosidad mayor
5. Insercion tendones infraespinoso y
redondo menor
Anatomia vascular

Vista posterior
1
3
2
5
4
REGION POSTERIOR DEL TROQUITER Y
UNA PEQUENA REGION
POSTEROINFERIOR DE LA CABEZA
HUMERAL
Arcos de movilidad
Valorar movimientos activos y
pasivos
Abducción.
Aducción.
Extensión.
Flexión.
Rotación Interna
Rotación Externa.
Circunducción.
Abducción 180º.
Aducción 45º.
Flexión 90º.
Extensión 45º.
Rotación interna 55º
Rotación externa 40 –45º.
Arcos de movilidad
Fácil arrivo al diagnostico
Anamnesis
Ex Objetivo
Pruebas clínicas
DIAGNOSTICO
Hombro doloroso:

Organización
Anamnesis
• Edad
• Profesión
• Estilo de vida
• Patologias
• Trauma/microtrauma
• Tipo de dolor
• …..
Examen clínico
➢ Inspección
➢ Palpación
➢ Valoración articular
➢ Valoración fuerza muscular
➢ Valoración neurológica
➢ Pruebas especificas
Hombro doloroso:

Organización
Fácil arrivo al diagnostico
Examen objetivo
Inspección
Actitud postural
Aspecto muscular
Deformidad
Tumefacción
Manifestaciones cutáneas
PALPACIÓN
▪ Prominencias óseas
▪ Articulaciones
▪ Tejidos blandos
Examen objetivo
VALORACIÓN ARTICULAR
▪ Posición de inicio
▪ Movilidad activa y pasiva
▪ Comparación contralateral
▪ Posición conford
Examen objetivo
Examen objetivo
VALORACIÓN
ARTICULAR
▪ Elevación anterior
Examen objetivo
VALORACIÓN
ARTICULAR
▪ Rotación externa
RE1
▪(brazo add)
VALORACIÓN
ARTICULAR
▪ Rotación externa
RE2
▪(brazo adb 90º)
Examen objetivo
Examen objetivo
VALORACIÓN
ARTICULAR
▪ Rotación interna
Examen objetivo
Valoración articular activa y pasiva
▪ Elevación
▪ Rotación externa RE1
▪ (brazo add)
▪ Rotación externa RE2
▪ (brazo abd a 90°)
▪ Rotación interna
▪ Abducción
Examen objetivo
Valoración fuerza muscular
0 (ZERO) = contrazione non palpabile
1 (TRACE) = contrazione palpabile ma assenza di movimento
2 (POOR) = movimento possibile senza resistenza
3 (FAIR) = movimento possibile contro resistenza entro un
certo range
4 (GOOD) = movimento possibile contro resistenza
5 (EXCELLENT) = forza normale contro massima resistenza
Examen objetivo
Valoración neurológica
▪FUNCIÓN
▪ MOTORA
▪ SENSITIVA
▪REFLEJOS
▪ATROFIA MUSCULAR
Examen objetivo
Valoración neurológia
▪ATROFIA MUSCULAR
Pruebas ESPECIFICAS
✓CUFIA (MANGUITO) DE LOS ROTADORES
✓CONFLICTO SUBACROMIAL
✓HOMBRO INESTABLE
Examen objetivo
Manguito rotadores
▪ Lesión antero-superior
▪ Lesión superior
▪ Lesión postero-superior
▪ Lesión masiva
Examen objetivo: manguito
LESIÓN ANTERO SUPERIOR
3 test di JOBE
3 ERLS
3 Bicipital groove pain
3 test de YERGASON
❑ SPEED test (Palm up)
❑ Test de Gerber (Lift off)
❑ Test de Napoleon (Belly-Press)
❑ IRLS
Examen objetivo manguito
-
LESIONE ANTERO-SUPERIORE
3 test di JOBE
3 ERLS
3 Bicipital groove pain
3 test di SPEED
3 test di YERGASON
3 LIFT-OFF sign
3 BELLY-PRESS sign
LESIONE ANTERO-SUPERIORE
test di JOBE
ERLS
Bicipital groove pain
test di SPEED
test di YERGASON
LIFT-OFF sign
BELLY-PRESS sign
Examen objetivo manguito
LESIONE ANTERO-SUPERIORE
➢ test di JOBE
➢ ERLS
➢ Bicipital groove pain
➢ test di SPEED
➢ test di YERGASON
➢ LIFT-OFF sign
➢ BELLY-PRESS sign
Examen objetivo manguito
LESIONE ANTERO-SUPERIORE
➢ test di JOBE
➢ ERLS
➢ Bicipital groove pain
➢ test di SPEED
➢ test di YERGASON
➢ LIFT-OFF sign
➢ BELLY-PRESS sign
Examen objetivo manguito
LESIONE ANTERO-SUPERIORE
➢ test di JOBE
➢ ERLS
➢ Bicipital groove pain
➢ test di SPEED
➢ test di YERGASON
➢ LIFT-OFF sign
➢ BELLY-PRESS sign
Examen objetivo manguito
LESIONE ANTERO-SUPERIORE
➢ test di JOBE
➢ ERLS
➢ Bicipital groove pain
➢ test di SPEED
➢ test di YERGASON
➢ LIFT-OFF sign
➢ BELLY-PRESS sign
Examen objetivo manguito
➢Test de Napoleon (BELLY-PRESS sign
(Schwamborn T. 1999)
	
 	
 	
 	
 % Lesión
Negativo o normal	
 	
 0%
Medio (muñeca 30°-60°)< 50%	
Positivo (muñeca a 90°)	
 > 50%
D. Richards, S Burkhart, I Lo Orthopedic Clinics of North America 2003
Examen objetivo manguito
LESIONE SUPERIORE
➢ test di JOBE
➢ ERLS
➢ test di YOCUM
Examen objetivo manguito
LESIONE SUPERIORE
3 test di JOBE
3 ERLS
3 test di YOCUM
Examen objetivo manguito
LESIONE POSTERO-SUPERIORE
➢ test di JOBE
➢ ERLS
➢ DROP sign
Examen objetivo manguito
LESIONE POSTERO-SUPERIORE
➢ test di JOBE
➢ test di PATTE
➢ ERLS
➢ DROP sign
Examen objetivo manguito
Jobe ERLS Speed
Lift off IRLS
Examen objetivo manguito
✓Test de Neer
✓ Test de Hawkins
✓ Test de Yocum
Examen objetivo conflicto subacromial
Test de Neer
Examen objetivo conflicto subacromial
Test de
Hawkins
Examen objetivo conflicto subacromial
Test de Yocum
Examen objetivo conflicto subacromial
Aprehensión
●Rockwood
●Fulcrum
●Relocation
Dolor
●Rockwood
●O’Brien
Laxitud
●Cajón
●Sulcus
●Gagey
●Janhkee
●Jerk
●Kim
PRUEBAS ESPECIFICAS
Hombro inestable

Examen objetivo
Prueba del cajón
➢Posterior
➢Anterior
➢Inferior
Hombro inestable

Examen objetivo
Hombro inestable

Examen objetivo
Test del CAJÓN
TEST S ESPECIFICO
Signo del solco
TEST ESPECIFICO
Hombro inestable

Examen objetivo
Signo del sulcus
Posicion Neutra
A 45° de Rotacion Ext.
Hombro inestable

Examen objetivo
Test di Gagey
TEST ESPECIFICO
Hombro inestable

Examen objetivo
Instabilidad Posterior
✓Janhkee	
✓Jerk
✓Kim
Hombro inestable

Examen objetivo
Test di Jahnke
TEST ESPECIFICO
Hombro inestable

Examen objetivo
Instabilidad Posterior
3Janhkee 	
Jerk 	
Hombro inestable

Examen objetivo
Instabilidad Posterior
3Janhkee 	
3Jerk 	
Kim
Hombro inestable

Examen objetivo
Prueba
Aprehensión
Dolor
Hombro inestable

Examen objetivo
Aprehensión
Rockwood
Fulcrum
a 45°
a 90°
a 140°
TEST ESPECIFICO
Hombro inestable

Examen objetivo
RELOCATION Test
TEST ESPECIFICO
Hombro inestable

Examen objetivo
test di O’BRIEN
TEST ESPECIFICO
Hombro inestable

Examen objetivo
El Hombro
Introducción
Anatomía
Biomecánica
Patologías hombro
Conflicto
Lesiones manguito
Capsulitis
Tendinopatias calcifi
Instabilidad
Ex objetivo
Imágenes
Preoperatorio
Rehabilitación
Tendencia actual
Exige cada vez más los exámenes (Rx diversas proyecciones,
ecografía, artrografía, TC, ArtroTC, RM, ArtroRM)
La formulación del diagnostico se remite cada vez más al
radiólogo
Dolor del Hombro

ORGANIZACIÓN
Examen instrumental
Rx
TC
RM
Ecografia
Artro TC
ArtroRM
Rx
✓ Morfología ósea
✓ Calcificaciones
✓ Espacios articulares
✓ Tejidos blandos?
Proyección para el manguito
✓AP verdadera (tubo inclinado de 45° lateralmente)
con rotación int y externa
- calcificaciones supraespinoso
✓Proyección de Lamy o en Y (proyección lateral
con el tubo inclinado 10° a caudal)
Proyección para el manguito
✓Rotación externa (proyección lateral con el tubo inclinado 20°
caudal)
- Morfología del acromion
✓AP con la inclinación 30° caudal
- Osteofitos acromion y osificación coracoacromial
Proyección inestabilidad
AP verdadera (tubo inclinado de 45° lateralmente) con
rotaciones
- calcificaciones supraespinoso
Proyección de West Point (es el lateral axilar con el tubo
estado dirigido en el axila 25°
- visualización glena y cabeza humeral
Proyecciones en traumatismos
✓AP verdadera (tubo inclinado de 45° lateralmente)
✓Proyección axilar (miembro a 70°-90° de la abducción y del
paquete dirigidos axila) visualización del glenoide y de la
cabeza humeral
AP verdadera
Axilar lateral
	
Proyecciones en artrosis
Rx
Muestra directa de
patología traumática o
degenerativa ósea
Rx
Evidencia de fracturas o de luxaciones
Visualización de la degeneración del
artrósica
Muestras directas de Trauma o de Artrosis
Rx Anteroposterior
40º 40º
Rx Lateral
40º
Rx AXIAL
Rx
ABD 30º
✓Lateral
Rx
✓Axial
Rx
AP 3 ROTATION:
NEUTRAL:
EXTERNAL:
INTERNAL:
Rx
Rx
Rx
Rotura dentro de la bursa
Rx
Xerografía:
Rx
Osteofito
inferior
Rx
Artropatia
degenerativa
Rx
Solamente muestras indirectas de
inestabilidad y patología del
manguito
Rx
Calcificaciones tendinosas
Inflamación del troquiter
Quistes o geodas subcondrales
Esclerosis troquiter
Osteofitos anterior acromion
Esclerosis del acromion
Signos indirectos de patologías del manguito
Rx
Calcificación
Rx
Esclerosis
Trquiter
Rx
Arco fusionado
Rx
Disminución de la distancia del Acromion
humeral (inferior 7 mm)
Interrupción de la línea tendinosa
Degeneración Acromion Clavicular
Signos Indirecto de Patología del Manguito
Rx
Espacio
subacromial
Rx
Lesión de Hill Sachs
Lesión ósea Bankart
Laxitud capsular
Signos Indirectos de Inestabilidad
Rx
Bankart
Rx
Hombro inestable

Imágen
Posición de la cabeza
humeral
Fractura de la
glenoide
Rx
Otras lesiones óseas
Hombro inestable

Imágen
Rx
Laxitud capsular
Rx
Simple
Información ósea
No información directa
tendinosa
No información LGH,
labrum y cápsula
Ventajas Desventajas
Ecografía
Depende del:
operador
equipo ( 5 - 7,5 - 13 MHz)
Tendinitis manguito (calcificaciones,
rotura)
Bursitis
Lesión porción larga biceps
Articulación Acromion clavicular
Ecografía
Depositos en la bursa
sub acromial
Ecografía
esclerosis del
troquiter
Fibrosis y
calcificaciones
Ecografía
“tendinitis”
lesiones parciales
Ecografía
No Invasivo
Rápido
Dinámico
Comparativo
No trofismo muscolar
No óseo
Depende del operador
No información cápsula
Ventajas Desventajas
Ecografía
conflicto subacromial
en abdución
Ecografía
TC
Información poco relevante tendones y
cápsula
Útil en lesiones óseas
artrosis, osteofitos, calcificaciones,
cuerpos libres, conflictos subacromiales
TC
	
 Examen fundamenta en la artrosis
con indicación a prótesis valora el
grado de erosión de la glena, de su
dimensión y su orientación
(normalmente 5°-7°)
TC
Artrosis
acromionclavicular
TC
TC y ArtroTC
Fractura de la glena y cabeza
TC e ArtroTC
Fratura omoplato
ArtroTC
	
 Inyección intraarticular con aire o
medio yodado
	
	
 Visualiza la cápsula, labrum glenoideo
+SLAP, Bankart, laxitud capsular
ArtroTC
	
 Mejor definición del volúmen capsular
TC y ArtroTC
Lesiones en todo
su espesor
TC e ArtroTC
Instabilidad Latarjet
TC y ArtroTC
Instabilidad Latarjet
TC y Recostrucción 3d
Bankart
Recostrucción 3d
Bankart
artroTC
Hombro inestable

Imágenes
Volúmen capsular
Lesiones óseas
artroTC
Avulsión cabeza humeral !
(HAGL/RHAGL)
Hombro inestable

Imágenes
TC y Artro TC
Información ósea
Información labrum y
cápsula: lesiones
asociadas (ArtroTC)
Invasivo
No especifico para
tejidos blandos
Ventajas Desventajas
RM
Información importante:
tendones,trofismo muscular,
lesiones asociadas
Información importante:
ligamentos, labrum y
cápsula
Información de daño condral
RM y manguito
Tipos de proyecciones
coronal oblicua (indica la retracción
muscular)
sagital oblicua (indicando el trofismo
muscular)
RM
información importante tendinosa
trofismo y lesión muscular
RM
trofismo muscular
RM
conflicto
subacromial
RM
Lesiones de
espesor total
lesiones parciales ???
RM
	
 Representación optima de la porción
larga del biceps en su inserción en el
labrum en la glenoides
RM
Patologías de la porción
larga del biceps
Jahnke: Arthroscopy 1990
El hombro inestable

Imágenes
RM proporciona la mejor imágen labrum en la
glenoides y estructuras intrarticulares
TC delinea la cápsula del hombro
RM
Lesione del cartilago
Valora estructuras
osteocartilaginosas
Lesiones asociadas de los
tejidos blandos
El hombro inestable

Imágenes
RMN
Lesiones del cartilago
El hombro inestable

Imágenes
RMN
Valora estructuras osteocartilaginosas
El hombro inestable

Imágenes
RMN
Valora la cápsula
(HAGL/RHAGL)
El hombro inestable

Imágenes
RMN
Lesiones asociadas de tejidos blandos
El hombro inestable

Imágenes
RMN
Identifica lesiones asociadas a tejidos blandos
El hombro inestable

Imágenes
RMN
Nunca olvidar el manguito y el biceps !!!
El hombro inestable

Imágenes
RMN
Nunca olvidar el subescapular !
El hombro inestable

Imágenes
Artro RM
	
 Se usa fluidos articulares con
(solución fisiológica -Gadolinio ?)
	
	
 Información precisa de lesiones
parciales
RM y ArtroRM
Ninguna lesión
RM
Lesión parcial
articular ArtroRM
ArtroRM
Lesión de espesor total e hipotrofia muscular
RM y ArtroRM
Información del trofismo
muscular
No invasivo (RM)
Valora lesiones asociadas
Invasiva (ArtroRM)
No sensibile en mínimas
lesiones
No valora calcificaciones
Costo
Ventajas Desventajas
El examen instrumental ayuda si
es el hombro inestable !
La opción de la técnica en el tratamiento de la
inestabilidad fuertemente se condiciona del cuadro
anátomo-patológico
El hombro inestable

Imágenes
Algoritmo Manguito
Rx AP
Ecografia
RM o ArtroRM
DIAGNOSTICO
Indicación quirúrgica
Algoritmo Instabilidad
Rx AP
Rx West Point
Artro TC o
Artro Rm
DIAGNOSTICO
Tratamiento
Algoritmo Artrosis
Rx AP
Rx axilar lat.
TC
DIAGNOSTICO
Indicación quirúrgica
Algoritmo
Rx AP
Ecografia
RM o ArtroRM
DIAGNOSTICO
Indicación quirúrgica
MENSAJES
Examen objetivo
+ Imágenes confirman o
sospechan un diagnostico
MENSAJES
Demandas motivadas:
El radiólogo no visita al paciente
El radiólogo no solo debe hacer el
diagnostico
MENSAJES
NO SE OPERA LA RM
SINO AL PACIENTE
Ejercicios Codman
• El paciente se inclina sobre una mesa o silla, deja
colgar el brazo
• Movimientos en sentido horario, antihorario,
vertical y horizontal.
• 10 repeticiones de cada uno cada hora
Traumáticas
Luxación AC
Otras patologías del hombro
Placa Acromionclavicular
El Hombro
• Cápsula
• Labrum
• Tendones
• Músculos
• Hueso
La articulación más inestable del cuerpo!
Estabilidad
Hombro
El Hombro
Lesiones Alteran la biomecanica y el balance
Inestabilidad
Hombro
3 Traumáticas
Luxación AC
Luxación GH
INESTABILIDAD DEL HOMBRO
Traumáticas
Luxación AC
Luxación GH
Examen Físico: Inspección
+ Relieves óseos y
musculares
+ Actitudes antálgicas
+ Modificaciones relieves
óseos
Tratamiento:
Reducción
+ Kocher
+ Hipocrates
+ Motes
Tratamiento:
Reducción
+ Kocher
+ Hipocrates
+ Motes
PRIMER EPISODIO LUXACIÓN TRAUMATICA
TRATAMIENTO CONSERVADOR
Jovenes ( 20 años)
	
 Tasa de recidiva: 94% (Rowe 1961)
	
 	
 	
 	
 	
 56%	
(Kiviluoto 1980)
	
 	
 	
 	
 	
 47%	
(Hovelius 1983)
	
 	
 	
 	
 	
 17%	
(Yoneda 1982)
	
 	
 	
 	
 	
 85%	
(Arciero 1996*)
	
 	
 	
 	
 	
 * cadetti di West Point
Adultos (>40 años)
	
 Recuperación con inmovilización (Kuriyama 1984)
	
 Tasa de recidiva:	
 4% (Pevny 1998)
Jovenes (20 años)
	
	
 Tasa de recidiva:
+10%	
 (Arciero 1995*)
	
 	
 	
 * cadetti di West Point
+15,8% (Kirkley 1999)
PRIMER EPISODIO LUXACIÓN TRAUMATICA
Técnica artroscopica
… Tecnica con Suture anchors
Luxación Anterior: Complicaciones
Luxación Recidivante
Cual es el tratamiento? 

LUXACIÓN RECIDIVANTE
Técnica de Bankart
Capsuloplastia
Latarjet
Tratamento artroscopico
Luxación Recidivante
Luxación Recidivante
Luxación Recidivante
Luxación Recidivante / Cirugía Correctiva
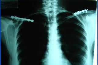
Fx Clavícula
Fx Clavícula
Fx Clavícula
Fx Clavicula: Criterios quirúrgicos
✓Fx abiertas
✓Hombro flotante
✓Pseudoartrosis
✓Interposicion de partes blandas
✓Compromiso neurovascular
✓Compromiso pleuropulmonar
Fx Clavicula: Criterios quirúrgicos
Infiltración: Art. Glenohumeral

El punto de entrada se
localiza a 1 cm. por debajo
del borde externo de la
espina escápula
La dirección de la aguja es
perpendicular para la
infiltración intraarticular y
lateral para el manguito
rotador
Infiltración: Art. Glenohumeral
El punto de entrada se
localiza a 1 cm. por
debajo de la apófisis
coracoides
La dirección de la aguja
es perpendicular hasta
notar un tope óseo
para la infiltración
intraarticular
Bolsa subacromial y Tendón del supraespinoso
● El punto de entrada se
localiza por fuera y debajo
del acromion
● La dirección de la aguja es
perpendicular introduciéndola
3cm. para la infiltración de
la bolsa SA y en su
totalidad para el
supraespinoso
Cuando uno no vive como piensa, acaba
pensando como vive.
Gabriel Marcel
1hombro

1hombro