ATELECTASIA PULMONAR
Dr. Juan F. Salcedo Brand MEDICO RADIOLOGO HOSP. UNIVERSIDAD DEL NORTE
DEFINICIÓN Griego  ateles : incompleto   ektasis : dilatación Disminución en la cantidad de aire + volumen pulmonar disminuido Pérdida de volumen “  Colapso pulmonar”
TIPOS DE ATELECTASIA Atelectasia de reabsorción Atelectasia pasiva Atelectasia adhesiva Atelectasia de cicatrización
Reabsorción de gas desde los alvéolos  Comunicación obstruida  entre el alvéolo y la traquea En un lóbulo obstruido, el aire desaparece en 18 a 24 horas Obstrucción bronquial aguda ATELECTASIA DE REABSORCIÓN
ATELECTASIA DE REABSORCIÓN
VENTILACIÓN COLATERAL
ATELECTASIA OBSTRUCTIVA ATELECTASIA PASIVA
ATELECTASIA ADHESIVA Colapso pulmonar con vías aéreas  permeables  Membrana hialina : deficiencia de surfactante Atelectasia post-operatoria
ATELECTASIA DE CICATRIZACIÓN Fibrosis Aumento del colágeno Disminuye la cantidad de aire Aumento en la densidad radiológica
ATELECTASIA DE CICATRIZACIÓN
ANATOMÍA
CONSIDERACIONES ANATÓMICAS Cisura mayor izquierda disposición más vertical Cisura mayor derecha termina 4 costilla  Cisura  mayor izquierda termina 3 costilla
ANATOMÍA
ANATOMÍA
SIGNOS RADIOLÓGICOS DE ATELECTASIA SIGNOS DIRECTOS Desplazamiento de cisuras interlobares
SIGNOS RADIOLÓGICOS DE ATELECTASIA SIGNOS INDIRECTOS Aumento de la densidad Elevación del hemidiafragma Desplazamiento de hilio Desplazamiento del mediastino Hiperinsuflación compensatoria Aproximación de las costillas Ausencia de broncograma aéreo
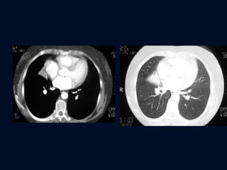
PATRONES DE ATELECTASIA LOBAR Y SEGMENTARIA
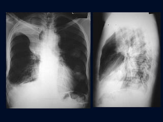
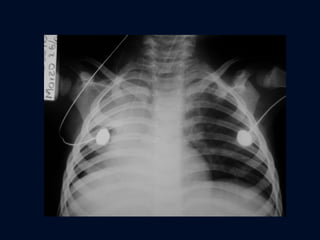
ATELECTASIA PULMONAR TOTAL Opacidad  del hemitórax Elevación del hemidiafragma  Desviación completa del mediastino Sobreinsuflación que pasa la línea media
ATELECTASIA PULMONAR TOTAL
ATELECTASIA PULMONAR TOTAL
ATELECTASIA PULMONAR TOTAL
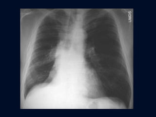
ATELECTASIA LÓBULO SUPERIOR DERECHO Aproximación de cisura menor y mitad superior de la cisura mayor Cisura menor configuración cóncava hacia abajo. Ensanchamiento del mediastino superior en proyección PA Cuña mediastínica en la proyección lateral
ATELECTASIA LÓBULO SUPERIOR DERECHO
 
 
ATELECTASIA LÓBULO SUPERIOR IZQUIERDO Origen del bronquio hipoarterial Ausencia de cisura menor Ramificación bronquial diferente Expansión LII Elevación y pobre definición hilio izquierdo Desplazamiento cisura mayor
ATELECTASIA LÓBULO SUPERIOR IZQUIERDO
ATELECTASIA LÓBULO SUPERIOR IZQUIERDO Desplazamiento cisura mayor adelante, paralelo a la pared torácica Opacidad lineal ancha, paralela a la pared anterior TAC apariencia triangular con punta hacia la superficie anterior del tórax
 
 
ATELECTASIA LÓBULO SUPERIOR IZQUIERDO
ATELECTASIA LÓBULO MEDIO Lateral Opacidad lineal ensanchada orientación horizontal , oblicua ó  paralela a la cisura mayor PA No aumento en densidad. Obliteración borde cardiaco derecho
ATELECTASIA LÓBULO MEDIO
ATELECTASIA LÓBULO MEDIO
 
ATELECTASIA LÓBULOS INFERIORES Bronquio lobar desplazado posterior y medialmente Arteria pulmonar no es visible no hay interfase  Lateral: sombra triangular posterior al surco costofrénico Porción anterior es cóncava
ATELECTASIA LÓBULOS INFERIORES La mayor densidad representa pulmón colapsado debajo de un lóbulo medio y superior expandidos Caso extremo  Franja en posición paravertebral
ATELECTASIA LÓBULO INFERIOR DERECHO
ATELECTASIA LÓBULO INFERIOR DERECHO
ATELECTASIA LÓBULO INFERIOR IZQUIERDO
ATELECTASIA LÓBULO INFERIOR IZQUIERDO
 
 
 
 
 
 
 
 
 
 
 
 
 
 
 
 
 
 
 
MUCHAS   GRACIAS !!!

2. atelectasia pulmonar