Víctor Cortés Sánchez Departamento de Agentes Biológicos
Mujer de 78 años de edad que ingreso al hospital con dolor abdominal progresivo, su padecimiento inicio 6 meses antes del ingreso con dolor abdominal urente en epigastrio, de moderada intensidad sin irradiación, intermitente, vómitos, distensión abdominal y perdida de peso.  Su esposo padeció tuberculosis ganglionar 10 años atrás.  A la exploración física se le encontró caquéctica , con signos vitales normales, sin adenopatías cervicales  y abdomen globoso y protuberante a expensas de líquido de ascitis. Departamento de Agentes Biológicos
Estudios de imagenología compatible con probable carcinoma peritoneal, por probable neoplasia primaria en estómago. Se practicó una endoscopia, con la que se encontró una mucosa gástrica ulcerada y friable con múltiples lesiones polipoideas que afectaban el cuerpo, antro y píloro gástricos de manera circunferencial, sin condicionar obstrucción al vaciamiento gástrico. La biopsia demostró infiltrado inflamatorio granulomatoso con necrosis y células gigantes multinucleadas, se practico tinción de Ziehl Neelsen que resultó positiva para mycobacterias. Departamento de Agentes Biológicos
Mycobacterium tuberculosis  agente causal de la tuberculosis: bacilo acidoalcoholresistente patógeno intracelular capaz de producir infecciones de por vida. La Tuberculosis  es una infección sistémica, con un cuadro inicialmente pulmonar, capaz de persistir o bien reactivarse en sujetos asintomáticos. Su evolución natural es la emaciación crónica hasta la muerte. Prevenible, Diagnosticable y Curable Departamento de Agentes Biológicos
Uno  de los Azotes más devastadores y antiguos del humano, en la actualidad se conserva como causa principal de defunciones por infecciones en el mundo. Condiciones de Pobreza, Desnutrición y Hacinamiento. Consumidores de Drogas Pacientes Inmunodeprimidos +++ La infección se contrae tras inhalar gotitas contaminadas, o al ingerir leche contaminada ( Mycobacterium bovis ). Departamento de Agentes Biológicos
La Duración e intimidad de los contactos , el grado de contagiosidad y el ambiente son factores importantes. El Ser Humano es el único reservorio. Se estima que  esta infectada la tercera parte del mundo , cuya mortalidad anual va de dos a tres millones de personas cada año. En 2005 8 millones de nuevos casos… Distribución de casos de tuberculosis: Asia, África, Medio Oriente, América Latina. En países desarrollados la enfermedad es propia de adultos jóvenes con VIH . En México  17,000 nuevos casos y 2,000 defunciones. Departamento de Agentes Biológicos
Bacilos Aerobios Inmóviles Gram + No esporulados- Acidoalcohol resistentes Crecimiento lento en medio de cultivo Lowenstein-Jensen Crece a 37 grados centígrados. Resistente a la desecación y a la mayoría de los desinfectantes. Sensibles al calor. Poseen una pared compleja y rica en ácidos grasos de cadena larga denominados ácidos micólicos, los cuales constituyen el 60% de la pared total. Antígeno Lipoarabinomanano (LAM)  Departamento de Agentes Biológicos
Departamento de Agentes Biológicos
Departamento de Agentes Biológicos
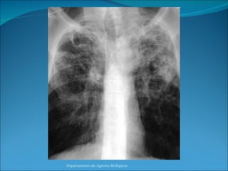
La Infección es lograda cuando el bacilo alcanza el alveolo pulmonar y posteriormente es fagocitada por los macrófagos del polvo, donde se replica intracelularmente.  El equilibrio entre la actividad bactericida del macrófago y la virulencia del bacilo es la que determina la efectividad de la fagocitosis. Formación de un granuloma produciendo lesión histica. Células multinucleadas de Langanhs – Necrosis Caseosa Diseminación – Fibrosis y Calcificación de lesiones pulmonares. Departamento de Agentes Biológicos
Departamento de Agentes Biológicos
Complejo Primario de Ranke: Neumonitis, Linfangitis y Adenitis Departamento de Agentes Biológicos
Departamento de Agentes Biológicos
Departamento de Agentes Biológicos
Departamento de Agentes Biológicos
Departamento de Agentes Biológicos
Departamento de Agentes Biológicos
Departamento de Agentes Biológicos
Departamento de Agentes Biológicos
Varia del estado inmunológico del paciente. Ataque al estado general Hemoptisis Caquexia  Fiebre Disnea Diaforesis Departamento de Agentes Biológicos
Departamento de Agentes Biológicos
Departamento de Agentes Biológicos
Departamento de Agentes Biológicos Factores de riesgo de tuberculosis reactiva. Infección reciente (Menor de 1 año) Lesiones fibróticas Infección por VIH Silicosis Insuficiencia Renal Crónica Diabetes Mellitus Consumo de drogas intravenosas Gastrectomía Derivación Yeyunoileal Tratamiento prolongado con glucocorticoides Pacientes con Cáncer Malnutrición
33% de los pacientes tendrán padecimientos extrapulmonares. Derrame Pleural Unilateral  Pleuritis Tuberculosis extrapulmonar Meningitis Departamento de Agentes Biológicos
Departamento de Agentes Biológicos
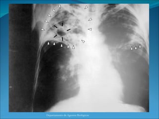
Clínico - Epidemiológico Microscopia – Tinción de  Ziehl Neelsen  Serie de 3. Prueba de  Tuberculina  (Pacientes Pediátricos) Medio de cultivo  Löwenstein-Jensen  (3 semanas). Estudios de Imagenología  (Foco de  Gonh ) Departamento de Agentes Biológicos
Departamento de Agentes Biológicos
Departamento de Agentes Biológicos
Etambutol 1.200 mg Dosis Diaria Isoniazida 300 mg Dosis Diaria Estreptomicina  0.75 mg Dosis Diaria Rifampicina 600 mg Dosis Diaria. La Mayor parte de los pacientes requiere 6 meses de tratamiento. Departamento de Agentes Biológicos
Departamento de Agentes Biológicos
De Reserva a Malo. Dependiendo del estado inmunológico del paciente. Si se trata correctamente debida a cepas farmacosensibles, cura prácticamente en todos los casos. Pacientes con cepas multiresistente cura 50% a 80%. Sin tratamiento el 65% de los pacientes morirán en un lapso de 5 años. En inmunocompromeditos mortalidad del 90%. Departamento de Agentes Biológicos
Uso de vacuna con cepa similar ( Mycobacterium bovis ), previene formas graves de tuberculosis.  BCG Departamento de Agentes Biológicos

9. Mycobacterium tuberculosis

  • 1.
    Víctor Cortés SánchezDepartamento de Agentes Biológicos
  • 2.
    Mujer de 78años de edad que ingreso al hospital con dolor abdominal progresivo, su padecimiento inicio 6 meses antes del ingreso con dolor abdominal urente en epigastrio, de moderada intensidad sin irradiación, intermitente, vómitos, distensión abdominal y perdida de peso. Su esposo padeció tuberculosis ganglionar 10 años atrás. A la exploración física se le encontró caquéctica , con signos vitales normales, sin adenopatías cervicales y abdomen globoso y protuberante a expensas de líquido de ascitis. Departamento de Agentes Biológicos
  • 3.
    Estudios de imagenologíacompatible con probable carcinoma peritoneal, por probable neoplasia primaria en estómago. Se practicó una endoscopia, con la que se encontró una mucosa gástrica ulcerada y friable con múltiples lesiones polipoideas que afectaban el cuerpo, antro y píloro gástricos de manera circunferencial, sin condicionar obstrucción al vaciamiento gástrico. La biopsia demostró infiltrado inflamatorio granulomatoso con necrosis y células gigantes multinucleadas, se practico tinción de Ziehl Neelsen que resultó positiva para mycobacterias. Departamento de Agentes Biológicos
  • 4.
    Mycobacterium tuberculosis agente causal de la tuberculosis: bacilo acidoalcoholresistente patógeno intracelular capaz de producir infecciones de por vida. La Tuberculosis es una infección sistémica, con un cuadro inicialmente pulmonar, capaz de persistir o bien reactivarse en sujetos asintomáticos. Su evolución natural es la emaciación crónica hasta la muerte. Prevenible, Diagnosticable y Curable Departamento de Agentes Biológicos
  • 5.
    Uno delos Azotes más devastadores y antiguos del humano, en la actualidad se conserva como causa principal de defunciones por infecciones en el mundo. Condiciones de Pobreza, Desnutrición y Hacinamiento. Consumidores de Drogas Pacientes Inmunodeprimidos +++ La infección se contrae tras inhalar gotitas contaminadas, o al ingerir leche contaminada ( Mycobacterium bovis ). Departamento de Agentes Biológicos
  • 6.
    La Duración eintimidad de los contactos , el grado de contagiosidad y el ambiente son factores importantes. El Ser Humano es el único reservorio. Se estima que esta infectada la tercera parte del mundo , cuya mortalidad anual va de dos a tres millones de personas cada año. En 2005 8 millones de nuevos casos… Distribución de casos de tuberculosis: Asia, África, Medio Oriente, América Latina. En países desarrollados la enfermedad es propia de adultos jóvenes con VIH . En México 17,000 nuevos casos y 2,000 defunciones. Departamento de Agentes Biológicos
  • 7.
    Bacilos Aerobios InmóvilesGram + No esporulados- Acidoalcohol resistentes Crecimiento lento en medio de cultivo Lowenstein-Jensen Crece a 37 grados centígrados. Resistente a la desecación y a la mayoría de los desinfectantes. Sensibles al calor. Poseen una pared compleja y rica en ácidos grasos de cadena larga denominados ácidos micólicos, los cuales constituyen el 60% de la pared total. Antígeno Lipoarabinomanano (LAM) Departamento de Agentes Biológicos
  • 8.
  • 9.
  • 10.
    La Infección eslograda cuando el bacilo alcanza el alveolo pulmonar y posteriormente es fagocitada por los macrófagos del polvo, donde se replica intracelularmente. El equilibrio entre la actividad bactericida del macrófago y la virulencia del bacilo es la que determina la efectividad de la fagocitosis. Formación de un granuloma produciendo lesión histica. Células multinucleadas de Langanhs – Necrosis Caseosa Diseminación – Fibrosis y Calcificación de lesiones pulmonares. Departamento de Agentes Biológicos
  • 11.
  • 12.
    Complejo Primario deRanke: Neumonitis, Linfangitis y Adenitis Departamento de Agentes Biológicos
  • 13.
  • 14.
  • 15.
  • 16.
  • 17.
  • 18.
  • 19.
  • 20.
    Varia del estadoinmunológico del paciente. Ataque al estado general Hemoptisis Caquexia Fiebre Disnea Diaforesis Departamento de Agentes Biológicos
  • 21.
  • 22.
  • 23.
    Departamento de AgentesBiológicos Factores de riesgo de tuberculosis reactiva. Infección reciente (Menor de 1 año) Lesiones fibróticas Infección por VIH Silicosis Insuficiencia Renal Crónica Diabetes Mellitus Consumo de drogas intravenosas Gastrectomía Derivación Yeyunoileal Tratamiento prolongado con glucocorticoides Pacientes con Cáncer Malnutrición
  • 24.
    33% de lospacientes tendrán padecimientos extrapulmonares. Derrame Pleural Unilateral Pleuritis Tuberculosis extrapulmonar Meningitis Departamento de Agentes Biológicos
  • 25.
  • 26.
    Clínico - EpidemiológicoMicroscopia – Tinción de Ziehl Neelsen Serie de 3. Prueba de Tuberculina (Pacientes Pediátricos) Medio de cultivo Löwenstein-Jensen (3 semanas). Estudios de Imagenología (Foco de Gonh ) Departamento de Agentes Biológicos
  • 27.
  • 28.
  • 29.
    Etambutol 1.200 mgDosis Diaria Isoniazida 300 mg Dosis Diaria Estreptomicina 0.75 mg Dosis Diaria Rifampicina 600 mg Dosis Diaria. La Mayor parte de los pacientes requiere 6 meses de tratamiento. Departamento de Agentes Biológicos
  • 30.
  • 31.
    De Reserva aMalo. Dependiendo del estado inmunológico del paciente. Si se trata correctamente debida a cepas farmacosensibles, cura prácticamente en todos los casos. Pacientes con cepas multiresistente cura 50% a 80%. Sin tratamiento el 65% de los pacientes morirán en un lapso de 5 años. En inmunocompromeditos mortalidad del 90%. Departamento de Agentes Biológicos
  • 32.
    Uso de vacunacon cepa similar ( Mycobacterium bovis ), previene formas graves de tuberculosis. BCG Departamento de Agentes Biológicos