Absceso hepático Dr. Enrique Ortiz Quevedo
Tipos Absceso hepático amebiano. Absceso hepático piogeno
 
 
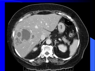
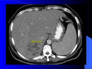
Absceso hepático piógeno Tiende a ser múltiple. Dolor en hipocondrio derecho. Leucocitosis mas neutrofilia Fosfatasa alcalina elevada Hipoalbuminemia Hemocultivo positivo Fiebre.
Absceso hepático piógeno DX por imágenes. Ecografia y TAC. Clínica Generalmente secundario.
Absceso hepático piógeno Vías básicas de infección  Vía biliar.- Colangitis ascendente, por obstrucción de vías biliares. Anastomosis biliodigestivas. Posterior a CPRE. Pileflebitis portal. Infecciones graves de tubo digestivo Arteria hepática.
 
Absceso hepático piógeno Vías Linfática. Heridas penetrantes. Extensión directa. Criptogénica
Tratamiento Antibioticos Drenaje percutáneo. Drenaje quirúrgico
 
Bacteriologia Bacterias de origen intestinal. Scherichia coli- Klebsiella. Estafilococos . Psudomonas Hongos inmunocomprometidos
Absceso hepático amebiano Generalmente único Etiología -Entoameba histolítica. Sintomatología- parecido a absceso piógeno
Absceso hepático amebiano
Absceso Hepático
Absceso hepático amebiano Serologia para ameba positiva. Leucocitosis Fosfatasa alcalina elevada. Hipoalbuminemia
Tratamiento Metronidazol. IV Drenaje percutaneo Drenaje quirúrgico en caso de ruptura, puede drenarse  espontaneamente a  cavidad peritoneal, pericardio, pleura-
Tumores Hepáticos Benignos Malignos. Primarios o metastásicos
Tumores Benignos  Hiperplasia nodulár focal Adenoma hepáticos Hemangiomas Hemangioendoteliomas
Hiperplasia nodular focal Mas frecuente en mujeres en edad fértil. Anticonceptivos Asintomaticos Cicatriz central 30%
HNF
 
Adenoma hepático Mas frecuente en mujeres Se relaciona con el uso de anticonceptivos  Consumo de esteroides anabólicos
Adenoma hepático
 
Adenoma hepático
Hemangiomas  Tumor benigno mas frecuente. Mayor incidencia en mujeres Asintomaticos. Cirugia solo sin el paciente esta  sintmatico o presenta sindrome de  Kasabach – Merritt (Trombocitopenia mas hipofibrinogenemia)
Hemangioma
Hemangioma RMN
Hemangioma
Hemangioma Hepático

Absceso hepático