Jazmín Juárez Martínez
• RECUERDO EMBRIOLOGICO.
• ANATOMÍA DE VÍA BILIAR
INTRAHEPATICA
• ANATOMÍA DE VÍA BILIAR
EXTRAHEPATICA
• QUISTES DE COLEDOCO
• ENFERMEDAD DE CAROLI
12 SDG el higado empieza a secretar
bilis.
2-3 líneas de células
(trabéculas de
REMAK)
Intersticio entre trabéculas
(va red capilar venosa portal
y NACE CONDUCTOS
BILIARES.
Espacio de Kiernan (separa un
lobulillo de otro, discurre:
• 1 rama vena porta (aferente)
• 1 rama art hepática
(aferente)
• 1 conducto biliar (eferente)
Discurren por la
periferia del
lobulillo (formando
capilares)
Desembocan la
secreción biliar a
conductos
perilobulillares-
HEPATICO
DERECHO HEPATICO IZQ.
Ramas de primer orden
diametro de 2 mm
58
%
8
%
13
%
5
%
• PRINCIPAL :
2 conductos hepaticos, hepatico
comun, coledoco
• ACCESORIA:
Vesicula biliar y Cistico
Ubicación: cara inf higado (fosa
cistica), der lobulo cuadrado. L2-L3
Volumen: 50-60 cc (distensión
media fisiologica)
Grosor pared: 2-3 mm
Unica porción recubirta en su
totalida por peritoneo
Ubicación: Escotadura cistica del
higado
Se proyecta a nivel del 10 cartilago
costal (no toca pared abdominal)
FONDO VESICULAR
Arriba: fosilla cistica
(separada mesocolecisto)
Abajo: 1ra-2da porción
duodeno, colon trans
Mide 2 cm
Infundibulo o bolsa de Hartman
(ganglio cistico o de Broca)
Arriba: rama derecha de la vena
porta
Abajo: 1ra y 2 da porcion del
duodeno, cistico.
SEROSA: Peritoneal: Cara inf cuerpo, todo fondo.
MUSCULAR: Haces transversales y longitudinales
(esfinter de LUTKENS)
LAMINA PROPIA.
MUCOSA: Epitelio cilindrico, vasos sanguineos,
criptas y glandulas (elaboran grasa y colesterina)
NO tiene
submucosa ni
muscular de la
pared
• COLANGIORESONANCIA:
Ayuno, ingesta de 2 vasos de jugo piña 30 min antes y
antes del estudio.
Apnea, (SSFSE SingleShot-Fast Spin-Echo, HASTE
Half-Fourier Adquisition Single-shot Turbo spin-Echo)
en T2, con supresión grasa.
Cortes 3-4 mm de grosor.
Variante
anatómica congénita
más común.
Plegamiento del fondo
hacia atrás sobre el
cuerpo de la vesícula
biliar
Variante anatómica rara.
Aumenta predisposición a
colestasis
Aspecto PANAL DE
ABEJAS.
Cuello vesicula hasta
conducto hepatico comun=
COLEDOCO
Longitud: 3.5-4.5 cm
Calibre: 2.5-4 mm
Discurre adelante rama
derecha porta
Art. cistica
Valvulas de Heister: Replieges
mucosos (forma tornillo)
A. inserción baja
cístico y hepático
común
B. cístico
adherente al
hepático común
C. inserción alta
D. cístico drena
al CH Derecho
E. cístico largo se
une al hepático
común posterior
al duodeno
F. ausencia de
cístico
G. cístico
discurre posterior
al H. común y se
une anterior
H. cístico discurre
anterior al H.
común y se une
posterior
SUPRADUODEN
AL:
1.5-3 CM
Retroduodenal:
Anterior: 1ra
porción duodeno
Pancreatica:
Se une por la
fascia de Treitz
INTRAPARIETAL:
2da porcion
duodeno.
Ampoya de Vater
Longitud: 8-12 cm
Diametro: 2-5 mm
Hasta 9.9 mm
postcolectomizados
Irrigación: Art cistica
Venas: Superficial (vena cistica ant y post)
Profundo (12-15) penetran en higado
Linfaticos: Emergen de la capa mucosa,
desembocando en el ganglio cistico (cara inferior)
• 75% Art cistica nace de la art
hepatica der cruzando por detrás
del coledoco.
• 24% Art cistica nace de:
1) Art gastroduodenal (2-6%)
2) Art hepatica propia (2-1%)
3) Art hepatica derecha cruzando por
delante del coledoco (13.1%)
4) Hepatica izquierda (6.2 %)
Dilataciones quísticas
congénitas del árbol
biliar
Incidencia de 1: 100,000-150,000.
60% se diagnostica
antes de los 10 años
dolor abdominal
Ictericia
masa abdominal
Lesión quística dilatada que se
comunica con el conducto biliar y está
separada de la vesícula biliar.
TIPO III
ENF. DE CAROLI: Dilatación
sacular CONGENITA y
segmentaria de los CBIH
SX. DE CAROLI: Dilatación del
conducto cístico+ Fibrosis
hepática.
Etiología
Tipo simple
Malformación de
la placa ductal de
los CBIH
centrales amplios
Adultos jovenes
Tipo fibrosis
periportal
Asocia a ectasia
tubular, fibrosis y
enfermedad
poliquistica.
Lactantes y niños
TIPO
CONGENIT
A
autosómica
recesiva
CPRE:
Dilataciones saculares de
CBIH.
TC:
Simple: Áreas redondas,
hipointensas en topografía de CBIH.
Contraste: Signo del punteado
central.
RM:
T2: Espacios quísticos
hiperdensos
8x4 cm
Volumen 50-
60 cc
5x6 cm
Volumen de
30 cc
15x10 cm
Volumen de
45 cc
3x1 cm
Volumen de
17 cc
3.5-4.5
cm
1.5 cm
2.5-3 cm 1 cm
1 rama vena porta
2 ramas art
hepática
1 conducto biliar
2 ramas vena porta
2 ramas art
hepática
1 conducto biliar
1 rama vena porta
1 rama art hepática
2 conductos biliares
1 rama vena porta
1 rama art hepática
1 conducto biliar
2.6% 1%
13.1% 74%
Pequeños puntos en
el coledoco
Pequeños puntos
resaltados dentro de
los conductos biliares
intrahepaticos
dilatados.
Pequeños puntos a
nivel de la porta
Aumento del grosor
del calibre del cistico
Anatomia de vesicula biliar y via biliar

Anatomia de vesicula biliar y via biliar

  • 1.
  • 2.
    • RECUERDO EMBRIOLOGICO. •ANATOMÍA DE VÍA BILIAR INTRAHEPATICA • ANATOMÍA DE VÍA BILIAR EXTRAHEPATICA • QUISTES DE COLEDOCO • ENFERMEDAD DE CAROLI
  • 3.
    12 SDG elhigado empieza a secretar bilis.
  • 4.
    2-3 líneas decélulas (trabéculas de REMAK) Intersticio entre trabéculas (va red capilar venosa portal y NACE CONDUCTOS BILIARES. Espacio de Kiernan (separa un lobulillo de otro, discurre: • 1 rama vena porta (aferente) • 1 rama art hepática (aferente) • 1 conducto biliar (eferente) Discurren por la periferia del lobulillo (formando capilares) Desembocan la secreción biliar a conductos perilobulillares-
  • 5.
    HEPATICO DERECHO HEPATICO IZQ. Ramasde primer orden diametro de 2 mm
  • 6.
  • 7.
    • PRINCIPAL : 2conductos hepaticos, hepatico comun, coledoco • ACCESORIA: Vesicula biliar y Cistico
  • 8.
    Ubicación: cara infhigado (fosa cistica), der lobulo cuadrado. L2-L3 Volumen: 50-60 cc (distensión media fisiologica) Grosor pared: 2-3 mm
  • 9.
    Unica porción recubirtaen su totalida por peritoneo Ubicación: Escotadura cistica del higado Se proyecta a nivel del 10 cartilago costal (no toca pared abdominal) FONDO VESICULAR
  • 10.
    Arriba: fosilla cistica (separadamesocolecisto) Abajo: 1ra-2da porción duodeno, colon trans
  • 11.
    Mide 2 cm Infundibuloo bolsa de Hartman (ganglio cistico o de Broca) Arriba: rama derecha de la vena porta Abajo: 1ra y 2 da porcion del duodeno, cistico.
  • 12.
    SEROSA: Peritoneal: Carainf cuerpo, todo fondo. MUSCULAR: Haces transversales y longitudinales (esfinter de LUTKENS) LAMINA PROPIA. MUCOSA: Epitelio cilindrico, vasos sanguineos, criptas y glandulas (elaboran grasa y colesterina) NO tiene submucosa ni muscular de la pared
  • 13.
    • COLANGIORESONANCIA: Ayuno, ingestade 2 vasos de jugo piña 30 min antes y antes del estudio. Apnea, (SSFSE SingleShot-Fast Spin-Echo, HASTE Half-Fourier Adquisition Single-shot Turbo spin-Echo) en T2, con supresión grasa. Cortes 3-4 mm de grosor.
  • 17.
    Variante anatómica congénita más común. Plegamientodel fondo hacia atrás sobre el cuerpo de la vesícula biliar
  • 19.
    Variante anatómica rara. Aumentapredisposición a colestasis Aspecto PANAL DE ABEJAS.
  • 25.
    Cuello vesicula hasta conductohepatico comun= COLEDOCO Longitud: 3.5-4.5 cm Calibre: 2.5-4 mm Discurre adelante rama derecha porta Art. cistica Valvulas de Heister: Replieges mucosos (forma tornillo)
  • 26.
    A. inserción baja císticoy hepático común B. cístico adherente al hepático común C. inserción alta D. cístico drena al CH Derecho E. cístico largo se une al hepático común posterior al duodeno F. ausencia de cístico G. cístico discurre posterior al H. común y se une anterior H. cístico discurre anterior al H. común y se une posterior
  • 30.
    SUPRADUODEN AL: 1.5-3 CM Retroduodenal: Anterior: 1ra porciónduodeno Pancreatica: Se une por la fascia de Treitz INTRAPARIETAL: 2da porcion duodeno. Ampoya de Vater Longitud: 8-12 cm Diametro: 2-5 mm Hasta 9.9 mm postcolectomizados
  • 32.
    Irrigación: Art cistica Venas:Superficial (vena cistica ant y post) Profundo (12-15) penetran en higado Linfaticos: Emergen de la capa mucosa, desembocando en el ganglio cistico (cara inferior)
  • 33.
    • 75% Artcistica nace de la art hepatica der cruzando por detrás del coledoco. • 24% Art cistica nace de: 1) Art gastroduodenal (2-6%) 2) Art hepatica propia (2-1%) 3) Art hepatica derecha cruzando por delante del coledoco (13.1%) 4) Hepatica izquierda (6.2 %)
  • 34.
    Dilataciones quísticas congénitas delárbol biliar Incidencia de 1: 100,000-150,000. 60% se diagnostica antes de los 10 años dolor abdominal Ictericia masa abdominal
  • 35.
    Lesión quística dilatadaque se comunica con el conducto biliar y está separada de la vesícula biliar.
  • 40.
  • 46.
    ENF. DE CAROLI:Dilatación sacular CONGENITA y segmentaria de los CBIH SX. DE CAROLI: Dilatación del conducto cístico+ Fibrosis hepática.
  • 47.
    Etiología Tipo simple Malformación de laplaca ductal de los CBIH centrales amplios Adultos jovenes Tipo fibrosis periportal Asocia a ectasia tubular, fibrosis y enfermedad poliquistica. Lactantes y niños TIPO CONGENIT A autosómica recesiva
  • 48.
    CPRE: Dilataciones saculares de CBIH. TC: Simple:Áreas redondas, hipointensas en topografía de CBIH. Contraste: Signo del punteado central. RM: T2: Espacios quísticos hiperdensos
  • 55.
    8x4 cm Volumen 50- 60cc 5x6 cm Volumen de 30 cc 15x10 cm Volumen de 45 cc 3x1 cm Volumen de 17 cc
  • 56.
  • 57.
    1 rama venaporta 2 ramas art hepática 1 conducto biliar 2 ramas vena porta 2 ramas art hepática 1 conducto biliar 1 rama vena porta 1 rama art hepática 2 conductos biliares 1 rama vena porta 1 rama art hepática 1 conducto biliar
  • 58.
  • 59.
    Pequeños puntos en elcoledoco Pequeños puntos resaltados dentro de los conductos biliares intrahepaticos dilatados. Pequeños puntos a nivel de la porta Aumento del grosor del calibre del cistico

Notas del editor

  • #4 Primordio del higado aparece en la tercera semana como prominencia del eitelio endoddermico en el intestino anterior Celulas prominencia penetran hacia el tabique transverso estrechando la union del diverticulo hepatico y el intestino anterior (duodeno) formando el coledoco. Mientras una pequeña protuberancia ventral se forma al mismo tiempo dando la vesicula biliar y conducto cistico. En la semana 12 el higado empieza a secretar bilis. Secundario a las rotaciones del intestino el coledoco abandona su posicion anterior para pasar a ser posterior al duodeno. La vesícula y la via biliar se originan de una yema de la porción caudal del intestino anterior, 4 semana La yemaa se divide en craneal: hígado y conductos intrhepaticos Porción de la base de la yema: colédoco Al dividirse el conducto hepático en derecha e izquierda y entra a los lobulos, se vacuoliza para formar el lumen
  • #5 Hepatocitos desembocan la secreción biliar a conductos perilobulillares----- vierten bilis conductos interlobulillares--- conductos biliares intrahepaticos
  • #6 El conducto hepático derecho e izquierdo se unen y forman el conducto hepático común, que esta en el ligamento hepatodudodenal junto con la vena porta y la arteria hepática Bifurcación normal 57%-60%. Del lado der el conducto hepatico se forma d las ramas anterior (drena seg 5 y 8) y posterior (drena el seg 6 y 7). Lado Izq ramas del seg 2 y3 se unen al lado del falcifome para formar el conducto hepatico izq.
  • #7 A: bifurcación normal 57%-60%. Union del conducto posterior derecho (CPD) por encima y por atrás del conducto anterior derecho (CAD), para formar el conducto hepatico derecho. B. Se une el CPD a la union de los conductos hepaticos dando una trifurcación. c. El CPD se une al conducto hepatico izq D. El CPD se une al coledoco.
  • #9 Medidas maximas 10 de longi y 5 de trans
  • #12 Al lado del infundibuilo o bolsa de Hartman se encuentra un ganglio cistico o tambien llamado de Broca y este sirve para reconocer el infundibulo de la vesicula biliar. De manera exterior el infundibulo es separado por dos surcos, el superior lo separa de el cuello de la vesicular y la rama derecha de la vena porta y el inferior del conducto cistico, del lado derecho del infundibulo se encuentra una saliente que se llama pelvecilla
  • #13 Las glandulas de la vesicula biliar se le conocen como glandulas de Luska Esfinter de lutkens es el engrosamiento fisiologico de la capa muscular de la union del cuello de la vesicula y el cistico.
  • #14 USG (SAGITAL, TRANSVERSAL, OBLICUO) TC. CPRE. (AYUNO)
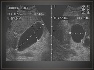
  • #15 USG en escala de grises con transductor convexo en corte longitudinal y transversal, vesicula biliar se observa distendida, ecolucida, con medidas de 107x43x52 mm con un grosor de pared de 2.8 mm
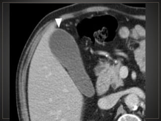
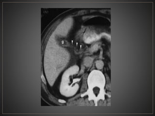
  • #16 Amplificacion TC abdomen contrastada fase portal ventana tejidos blandos vb distendida, hipodensa, homogenea, con pared hiperdensa, en lo valorable sin litos en su interior.
  • #17 Magnificación de rm en t2 coronal en donde se observa la vesícula biliar homogenea, con contenido hipertenso y pared delgada hipointensa, con adecuada interfase con el hígado.
  • #18 USG en escala de grises donde se observa una vesicula en gorro frigio
  • #19 Tc cortes axial de abdomen en fase portal donde se observa la vesicula homogenea, hipodensa, de bordes hiperdenso, presentando un plegamiento de su fondo hacia su cuerpo en relación a vesicula en gorro frigio.
  • #20 Magnificacion de USG en escala de grises donde se observa vesicula biliar distendida, con multiples septos internos algunos parciales y otros completos, sin aparentes litos en su interior, en relacion a vesicula septada.
  • #21 Colangio RM VB multiseptada sin anomalias de la via biliar .
  • #22 La clasificación de Boyden divide la duplicación de la vesícula biliar en tres grupos: a)División de vesícula biliar incompleta bilobulada con un conducto quístico común, b)duplicación completa de la vesícula biliar con conductos cistico separados que conducen a un conducto hepático común, d) duplicación completa de la vesícula biliar con un conducto cístico común que ingresa al conducto hepático común
  • #23 Usg en escala de grises, transductor convexo en donde se observa una VB bilobulada, ecolucida, de aparante pared delgada, sin aparentes litos en su interior.
  • #24 TC corte axial de abdomen con contraste en fase portal donde se observa una vesicula bilobulada, homogenea, hipodensa, sin litos en su interior.
  • #25 Colangioresonancia ponderada en T2 con supresion grasa, donde se observa una vesicula biliar bilobulada, hiperintensa al parenquima adyacente, sin aparentes litos en su interior
  • #26 Triangulo hepatocistico: cara inferior del higado, conducto hepatico comun y conducto cistico, conteniendo a la arteria cistica Valvulas de heister no estan unidas entre si, desembocan en la valvula terminal.
  • #28 CPRE conducto cístico de calibre normal (flecha sólida). contorno ondulado del conducto producido por las válvulas de Heister. Se observa una burbuja de aire (flecha abierta) en el conducto biliar común
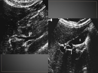
  • #29 USG en escala de grises, corte oblicuo. Se observa la entrada del conducto cistico (flecha) en el 1/3 medio conducto hepatico. UAG en escala de grises, transdc convexo, corte sagital. Conducto cistico (flecha) en tercio medio de conducto hepatico.
  • #30 TC axial ventana tejidos blandos, contrastada en fase portal, muestra el conducto cístico normal (puntas de flecha) que se extiende desde la vesícula biliar 
  • #31 La vena porta y la arteria hepatica estan por detrás del coledoco. Por el mesocolecisto pasan la vena porta, arteria hepatica y el coledoco. Intraparietal: desemboca el conducto de wirsung y el coledoco (esfinter de Odi) en la ampoya de Vater ubicada en la union del tercio superior con el tercio medio de la cara anterior de la segunda porcion del duodeno.
  • #32 USG en escala de grises corte sagital, donde se observa el coledoco, anterior a la vena porta (v) y al conducto hepatico comun
  • #33 Irrigación: Arteria cistica, rama de la arteria hepatica, se bifurca por detrás del hepatico comun y cistico, emite una rama derecha e izquierda distribuyendose por su paredes. Drenaje: Via superficial se origina de la mitad de la vesicula dando dos venas (vena cistica anterior y posterior) uniendose a la rama derecha de la porta. Via profunda emergen de la porcion de la union de la vesicula con la fosilla vesicular siendo de 12 a 15 y prenetan en el higado conviriendose en venas accesorias Linfaticos: Emergen de la capa mucosa, discurren por la cara inferior de la vesicula uniendose a los linfaticos del higado y desembocando en el ganglio cistico y del surco transverso del higado
  • #35  Formación anómala de la unión ductal pancreaticobiliar, haciendo que un gran canal comun que drena el conducto pancreatico y biliar. Por lo tanto, los jugos pancreáticos causan colangitis y destrucción de la pared del conducto biliar, que junto con la estenosis distal debido a la cicatrización dan como resultado la formación de un quiste de colédoco.
  • #37 Tipo I: Dilatación fusiforme del coledoco: Ia- dilatación proximal, Ib- Dilatacion distal, Ic- Dilatación difusa.
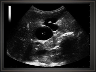
  • #38 USG en escala de grises se observa en coledoco una imagen de morfologia redondeada, de bordes bien definidos, anecoica, sin septos ni ecos en su interior (CC) , localizada entre la cabeza pancreática (HP) y la vesícula biliar (GB), en relación a quiste del coledoco.
  • #39 CPRE del mismo paciente corroborando la dilatación del coledoco en forma fusiforme, corresponde a un grado Ic
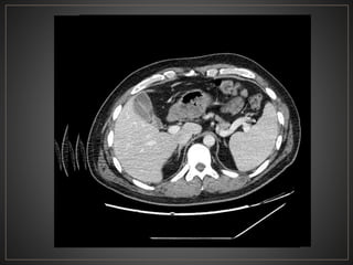
  • #40 Serie de TC abdomen en fase portal, hacia topografia de coledoco se observa una lesion de morfologia redondeada, de bordes definidos, densidad liquido, con medidas de 59 × 53 × 41 ubicada entre la vesícula biliar la cual se encuentra colapsada y la cabeza pancreática. 
  • #41 Adquisicion axial de R.M. ponderada en T2 con supresion grasa, donde se observa una imagen de morfologia ovalda, de bordes definidos, hiperintensa, en topografia de coledoco, en relacion a quiste de coledoco.
  • #42 II- Diverticulo sacular en coledoco Tipo III- Intramural o coledococele.
  • #43 CPRE se observa a nivel intramural del coledoco una acumulación de medio de contraste, en relacion a un quiste tipo III
  • #44 TC corte axial de abdomen simple donde se observa hacia topografia de coledoco una imagen de morfoloia redondeada, de bordes definidos, con densidad liquido, en relacion a coledocele, asimismo se observa un lito en coledoco.
  • #45 IVa- Múltiples quistes intra y extrahepaticos. IVb– Múltiples quistes extrahepaticos
  • #46 Magnificación de una colangioresonancia en donde se observa hacia topografía de la vía biliar intrahepatica y extrahepatica con una transición brusca a un colédoco normal.
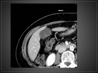
  • #47 Axial ventana tejidos blando fase portal, se observan multiples imágenes de morfología ovalada, de bordes definidos, hipodensa, correpondiente a quistes intrahepaticos y un quiste grande extrahepatico - tipo IVa
  • #48 V-Dilataciones multiples o simples intrahepaticos (enfermedad de Caroli)
  • #50 SIGNO DEL PUNTEADO CENTRAL: Pequeños puntos resaltados dentro de los conductos biliares intrahepaticos dilatados.
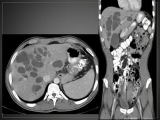
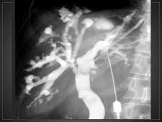
  • #51 La colangiografía transhepática percutánea muestra una dilatación sacular generalizada de los conductos biliares intrahepáticos y extrahepáticos.
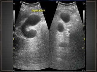
  • #52 USG en escala de grises donde se observa una dilatación de los conductos biliares intrahepaticos, con el signo del punteado central, a la aplicacion de doppler color se percibe flujo en las venas portales.
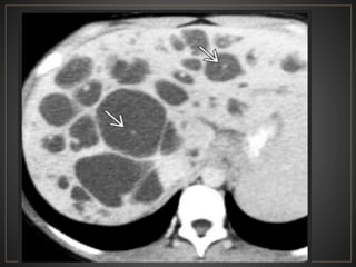
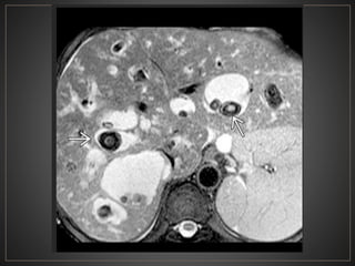
  • #53 El CT axial con contraste muestra una dilatación masiva de los conductos biliares intrahepáticos. punto "central" o "excéntrico" en muchas de las estructuras quísticas, que representan las venas portas, un clásico hallazgo de imágenes en la enfermedad de Caroli.
  • #54 CT contrastada fase portal, observan imágenes hipointensas con un centro hiperintenso en relación a dilatación sacular árbol biliar (central dot)
  • #55 Axial T2WI MR muestra dilatación sacular de los conductos biliares intrahepáticos, muchos de los cuales contienen grandes cálculos hipointensos (flechas)
  • #56 Adquisicion coronal de una colangioresonancia la cual muestra multiples iamegenes redondeas, de bordes definidos, hiperintensas, correspondientes a dilatación de la via biliar intrahepatica, con una vesícula biliar hiperintensa, homogenea de apariencia normal (flecha)