ENFERMEDADES
REUMATICAS
Dra. Jimena Aguilar Escobar.
UNIVERSIDAD MAYOR DE SAN SIMÓN
FACULTAD DE MEDICINA “Dr. AURELIO MELEAN”
Enfermedades reumáticas
• Las enfermedades reumáticas constituyen una causa
importante de morbilidad en la población general.
• Son más de doscientos padecimientos que producen
grados variables de dolor, discapacidad y
deformidad.
• Influencia en el deterioro de la calidad de vida.
Loza E, Jover JA, Rodríguez L, Carmona L, EPISER Study Group. Multimorbidity: prevalence, effect on
quality of life and daily functioning, and variation of this effect when one condition is a rheumatic disease.
Semin Arthritis Rheum. 2009;38:312–9.
• Latinoamérica presenta desde hace varios años una
transición epidemiológica.
• Patologías del desarrollo.
• Se calcula que el 10% de la población general
padece alguna enfermedad reumática.
1699-258X/$ – see front matter © 2010 Elsevier España, S.L. Todos los derechos reservados.
doi:10.1016/j.reuma.2010.12.009
Enfermedades reumáticas
• Primeros diez motivos de invalidez total en países
como Estados Unidos, Canadá y México.
• En el Instituto Mexicano del Seguro Social, la tasa de
invalidez se ha calculado en 1,38 por cada 1.000
derechohabientes.
Woolf AD, Pfleger B. Burden of major musculoskeletal conditions. Bull World
Health Org. 2003;81:646–56.
Enfermedades reumáticas
• 2000 al 2010 “Década del Hueso y la
Articulación”. Resaltando la importancia de las
enfermedades musculo esqueléticas.
• Cuatro enfermedades se han considerado de especial
relevancia: a) la artritis reumatoide, b) la
osteoartritis c) la osteoporosis y d) el dolor de
espalda baja.
.
Woolf AD, Pfleger B. Burden of major musculoskeletal conditions. Bull World
Health Org. 2003;81:646–56.
Enfermedades reumáticas
ARTRITIS REUMATOIDE:
La enfermedad (7)
Deformidades articulares
ARTRITIS REUMATOIDEA
ARTRITIS REUMATOIDEA
EPIDEMIOLOGÍA
• Prevalencia: 0.3-1.5% Norteamérica y Europa
• Argentina y Brasil 0,9 y el 0,45%.
• Relación 2-3 mujeres por cada hombre.
• Incidencia pico 40-60 años.
• Inicio 30-50 años.
ARTRITIS REUMATOIDEA
• Enfermedad compleja, poligenica, autoinmune,
sistémica, crónica del tejido conjuntivo.
• Afecta articulaciones periféricas, con dolor e
inflamación articular.
• Hiperplasia de la membrana sinovial.
• Tiene manifestaciones extra-articulares.
ARTRITIS REUMATOIDEA
• Enfermedad compleja, poligenica, autoinmune,
inflamatoria, sistémica, crónica del tejido
conjuntivo.
• Afecta articulaciones periféricas, con dolor e
inflamación articular.
• Hiperplasia de la membrana sinovial.
• Tiene manifestaciones extra-articulares.
ARTRITIS REUMATOIDEA
Membrana
sinovial
inflamada
Hueso y
cartílago
erosionado
gradualmente
.
Perdida
de cartílago
importante
Exposición de
hueso
.
Articulación
invadida por
tejido conectivo
Hueso
fusionado
Cartílago
Hueso
Capsula
articular
Memhraba sinovial
Cavidad articular
con liquido sinovial
ETIOPATOGENIA
Predisposición
individual: HLA DR4,
DR1, DR10. Poligénica
HLADRB1, PTPN22
Factores ambientales:
- Infecciones: VEB, CMV,
micoplasma, rubeola,
parvovirus
-Vitamina D, omega 3
- Tabaco (único factor
demostrado).
CONSECUENCIA
INMUNOLÓGICA
INMUNOPATOGENIA
INMUNOPATOGENIA
INMUNOPATOGENIA
ETIOPATOGENIA: INMUNOLOGÍA
Infiltración LT CD4 (CD69) en sinovial (perivascular)
LTCD4 (+) Macrófagos → Il1,Il6,Il8,Il10,Il17 TNF
(+)LB → AutoAc (FR, anticitrulina, IC)
ENFERMEDAD
SISTÉMICA
Citoquinas → PANNUS (fibroblastos, mastocitos y osteoclastos)
proteasas
DESTRUCCIÓN
ÓSEA
• LA PRIMERA etapa asintomática índole genético.
• LA SEGUNDA de artritis indiferenciada o pre-clínica.
• LA TERCERA etapa verdaderamente clínica en
donde aparecen las manifestaciones propias de AR.
ARTRITIS REUMATOIDEA: FASES
“Ventana de oportunidad”, etapa en la cual el diagnóstico precoz y la puesta
en marcha de los diferentes arsenales terapéuticos, pueden evidenciar sin
lugar a duda un cambio en la evolución de los pacientes.
ARTRITIS REUMATOIDEA: FASES
El período de tiempo considerado referencia para el diagnóstico de
AR temprana es 1 a 3 años.
1-3
años
CLÍNICA: ARTICULAR
• St. generales: Artromialgias, pérdida de peso,
febrícula, depresión.
-Afectación POLIARTICULAR
-Tumefacción SIN ERITEMA
-SIMÉTRICA
-St ppal: DOLOR al movimiento.
-Predominio articulaciones pequeñas: manos y pies.
-RIGIDEZ matutina ≥ 1h
Las más frecuentes:
-METACARPOFALÁNGICAS
-MUÑECA
-INTERFALÁNGICAS PROXIMALES (IFP)
-METATARSOFALÁNGICAS.
Fase avanzada:
-Carpo en tenedor
-Pulgar en Z
-Desviación cubital de dedos
-Hiperextension IFP (cisne)
CLÍNICA: ARTICULAR 2
• Otras afectaciones:
• Rodilla: la más invalidante. Quiste de Baker.
• Columna: Subluxación atlo-axoidea.
Rara dorsal. NO lumbar.
• Temporomandibular.
• Cricoaritenoidea: disfonía
• Huesecillos del oído: sordera.
CLÍNICA EXTRARTICULAR. Relacionado con nivel de FR
• NÓDULOS REUMATOIDES:
• 20-30% de los pacientes. Es un fenómeno vasculítico.
• El 100% tienen FR +.
• Generalmente asintomáticos. Pueden infectarse.
• Localizados: CODO, zonas de roce, occipucio,
periarticulares, tendón de Aquiles, meninges, pleura,
corazón, médula espinal.
• AP: centro necrótico, histiocitos en empalizada.
• VASCULITIS
• PIEL: necrosis, púrpura, úlceras, pioderma gangrenoso.
• Nervioso: mononeuritis múltiple, polineuritis.
• Infartos viscerales.
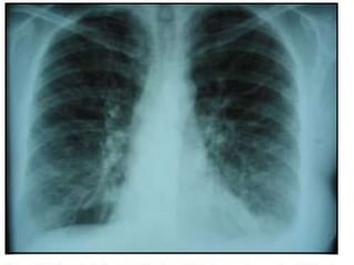
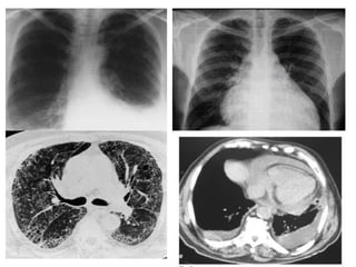
• PLEUROPULMONAR (más en hombres)
• Pleuritis con derrame pleural
• Fibrosis intersticial con alteración de la DLCO
• HT Pulmonar (raro).
• Bronquiolitis obliterante.
• Nódulos: cavitación, fístulas, neumotórax.
• Síndrome de CAPLAN: AR + neumoconiosis
• CARDÍACA
• Pericarditis.
• Taponamiento, arritmias, etc.
CLÍNICA EXTRARTICULAR
• NEUROLÓGICA
• Vasculitis: mononeuritis múltiple. Vasculitis.
• Por compresión: Túnel carpiano, tarsiano, cervical.
• NO SNC.
• OCULAR (rara).
• Epiescleritis (esclera superficial roja).
• Escleritis: 1ª CAUSA es la AR. Cuidado con escleromalacia
perforante y endoftalmitis.
• Asociado Sd Sjogren: queratoconjuntivitis seca.
• OSTEOPOROSIS: asociado a CTC
• LINFOMA B de células grandes.
CLÍNICA EXTRARTICULAR
• SINDROME DE FELTY
• ESPLENOMEGALIA Tendencia a infecciones Gram+
• CITOPENIAS (neutropenia)
• Hiperpigmentación de mmii y úlceras.
• Adenopatías.
• Pleuropericarditis.
• NEFROPATÍA
• AINEs: IRA prerrenal.
• Síndrome nefrótico por amilodosis secundaria.
• GMN por fármacos, per sé, por vasculitis
• Túbulo-intersticial: Síndrome de Sjogren.
CLÍNICA EXTRARTICULAR
EROSIÓN MARGINAL DESVIACIÓN DEDOS PIE
FALANGES EN CUELLO DE CISNE OSTEOPENIA YUXTARTICULAR, EROSIONES
NÓDULOS REUMATOIDEOS
NÓDULOS REUMATOIDEOS
SUBLUXACIÓN ATLO AXOIDEA
GANGRENA DIGITAL
VASCULITIS LEUCOCITOCLÁSTICA
PIODERMA GANGRENOSO
Apoyan al Dx clínico. Ningún hallazgo es dx en sí.
1. Tumefacción de partes blandas (lo más precoz).
2. Osteopenia yuxta-articular.
3. EROSIONES ÓSEAS:
- Mal pronóstico si precoces.
- En forma de quistes subcondrales o pérdida de
cartílago.
4. Luxaciones/subluxaciones.
5. LA RX PUEDE SER NORMAL
6. La RMN de manos ofrece mayor sensibilidad que la Rx
HALLAZGOS RADIOLÓGICOS
• FACTOR REUMATOIDE:
• AutoAc contra la fracción Fc de la IgG.
• Sensibilidad: 75% aprox. Especificidad 70-90%.
• El 5% de sanos y el 15 % de más de 65ª lo tienen. (el 1/3
de los FR+ tienen AR).
• No sirve como screening ni como seguimiento sino como
pronóstico. Como diagnóstico sirve para confirmar si clínica
sugestiva de AR.
• Elevado en 100% de nódulos subcutáneos o vasculitis.
• Elevado en: LES, Sjogren, hepatopatías, lepra, sarcoidosis, TBC,
mononucleosis, FPI, endocarditis.
HALLAZGOS DE LABORATORIO
• AC ANTI PCC (anti péptido cíclico citrulinado)
o ANTICITRULINA:
• Sensibilidad similar al FR aunque más precoces.
• Especificidad muy superior (>90%).
• ANA: Aparecen a títulos bajos en el 30%.
HALLAZGOS DE LABORATORIO
AC QUE NOS INTERESAN EN AR:
- FACTOR REUMATOIDE
- AC ANTI CITRULINA
• FACTORES DE MAL PRONÓSTICO:
• Mujeres.
• Edad avanzada.
• Afectación Rx desde el comienzo.
• FR, anti CCP, y reactantes de fase aguda muy elevados.
• Nódulos reumatoides.
• Persistencia del brote durante 1 año.
• Nivel socioeconómico disminuido.
• Afectación de más de 20 articulaciones.
• MARCADORES DE ACTIVIDAD:
• VSG, PCR, ceruloplasmina, haptoglobina, marcadores de
rotura del colágeno.
EVOLUCIÓN Y PRONÓSTICO
• La esperanza de vida se acorta de 3-7 años
(ligado a artropatía más grave) asociado a:
• Infecciones
• Hemorragia gastrointestinal
• Enfermedades cardiovasculares.
• El Tto. Precoz mitiga la clínica, secuelas y
mortalidad de esta enfermedad.
EVOLUCIÓN Y PRONÓSTICO
Rigidez matutina
> 1h
Artritis de 3 o
más áreas
Simétrica.
Artritis de las
manos
Nódulos
reumatoides
Factor
reumatoide
Alteraciones rx
típicas (erosiones
u osteopenia)
DIAGNÓSTICO. CRITERIOS ARA (antiguos)
Al menos 4:
1. Rigidez matutina > 1h
2. Artritis de 3 o más áreas. >6 semanas
3. Simétrica.
4. Artritis de las manos
5. Nódulos reumatoides
6. Factor reumatoide
7. Alteraciones rx típicas (erosiones u osteopenia)
DIAGNÓSTICO. CRITERIOS ARA (antiguos)
Sinovitis en al menos una localización + exclusión de otras
causas + 6 o mas puntos en la siguiente clasificación:
– Número y lugar de articulaciones afectas:
• De 4 a 10 grandes: 1 punto
• De 1 a 3 pequeñas: 2 puntos.
• De 4 a 10 pequeñas: 3 puntos.
• Más de 10 (con al menos participación de una pequeña): 5 puntos.
– Anomalías serológicas (FR, anti CCP)
• Positivos “bajos”. 2 puntos
• Positivos “altos” (más de triple de lo normal): 3 puntos
– Elevación de VSG ó PCR: 1 punto.
– Duración de los síntomas al menos 6 semanas: 1 punto.
DIAGNÓSTICO. CRITERIOS ARA (2010)
ETIOPATOGENIA: INMUNOLOGÍA
Infiltración LT CD4 (CD69) en sinovial (perivascular)
LTCD4 (+) Macrófagos → Il1, Il6, TNF
(+)LB → AutoAc (FR, anticitrulina, IC)
ENFERMEDAD
SISTÉMICA
Citoquinas → PANNUS (fibroblastos, mastocitos y osteoclastos)
proteasas
DESTRUCCIÓN
ÓSEA
INMUNOSUPRESORES
(METOTREXATE,
LEFLUNOMIDA,CTC…)
RITUXIMAB
ANTI-TNF
(INFLIXIMAB,
ETANERCEPT)
AINES, CTC
• MEDIDAS GENERALES
• AINES: sintomáticos que no modifican la progresión.
• CTC: sintomáticos que sí modifican el curso.
• FAME (modificadores) sintéticos:
• Metotrexate, leflunomida
• Antiguos: sulfasalacina, antipalúdicos.
• No se utilizan : sales de oro, d-penicilamina.
• Otros inmunosupresores de 2ª línea: ciclosporina, azatioprina,
ciclofosfamida.
• FAME biológicos:
• AntiTNF: Infliximab, adalimumab, etanercept.
• Anti Il1: anakinra.
• AntiCD20: rituximab
• Anti CTLA4: abatacept.
TRATAMIENTO
OBJETIVOS
• 1) alivio del dolor
• 2) disminución de la inflamación
• 3) protección de las estructuras articulares
• 4) mantenimiento de la función
• 5) control de la afección diseminada
TRATAMIENTO
• MEDIDAS GENERALES:
• Información continua de la enfermedad y tto.
• Modificaciones oportunas del entorno.
• Mayor reposo en fases de mayor actividad.
• Ejercicio para mantener fuerza muscular y
movilidad de las articulaciones.
• Dieta con ácidos poliinsaturados (omega 3).
TRATAMIENTO
• En 1ª línea de tratamiento, considerándolo más bien
como alivio sintomático:
AINEs:
• (-) COOX1: Eficaces antiinflamatorios. Morbilidad digestiva.
Cardioprotección.
• (-) COOX2: -coxib: Igual eficacia. Menos morbilidad
digestiva. No cardioprotección.
• Hay que añadir IBP y como también tienen toxicidad renal
y + HTA hay que ponerlos a bajas dosis y quitarlos si se puede.
CORTICOIDES:
• SÍ modifican el curso aunque poco. Terapia puente.
• Prednisona o prednisolona a baja dosis.
TRATAMIENTO
• Comenzar desde el principio si signos de
actividad de la enfermedad.
• Asociar FAME (MTX+anti TNF) es lo que mejor
resultado da ahora.
• METOTREXATO
• El FAME de elección INICIAL. Puede utilizarse como
monoterapia.
• Problemas: mucositis orointestinal, hepatopatía, anemia
(prevenir administrando ac folínico).
• LEFLUNOMIDA:
• Inmunosupresor anti LT.
• De segunda línea tras MTX.
• Problemas: hepatopatía.
TRATAMIENTO. FAME
OTROS INMUSUPRESORES:
-CICLOSPORINA
-AZATIOPRINA
-CICLOFOSFAMIDA
Si enfermedad
sistémica
• TERAPIAS BIOLÓGICAS (ANTICITOCINAS):
• Se utilizan si las terapias con MTX asociado a otros FAME no
han ido bien (esto dicen las guías aunque ya se utiliza como
primera línea junto a MTX). Se asocian a los anteriores.
• Predisponen a infecciones, especialmente reactivación de
TBC: HACER MANTOUX.
• Incrementan el riego de neoplasias: linfoma.
• ANTITNF: INFLIXIMAB, ADALIMUMAB, ETANERCEPT,
GOLIMUMAB, CERTOLIZUMAB
• ANTI IL1: ANAKINRA
• ANTI CD20(antiLB): RITUXIMAB
• ANTI CTLA4 (LT): ABATACEPT
• ANTI IL-6: TOCILIZUMAB
TRATAMIENTO. FAME
Si fallan los ANTI TNF
• CONVENCIONALES DE ACCIÓN LENTA:
• Sólo se siguen utilizando la hidroxicloroquina
y la sulfasalazina.
• Cada vez se utilizan menos habiendo sido
desplazados por los FAME.
TRATAMIENTO. FAME
• Gracias

Artritis reumatoidea

  • 1.
    ENFERMEDADES REUMATICAS Dra. Jimena AguilarEscobar. UNIVERSIDAD MAYOR DE SAN SIMÓN FACULTAD DE MEDICINA “Dr. AURELIO MELEAN”
  • 2.
    Enfermedades reumáticas • Lasenfermedades reumáticas constituyen una causa importante de morbilidad en la población general. • Son más de doscientos padecimientos que producen grados variables de dolor, discapacidad y deformidad. • Influencia en el deterioro de la calidad de vida. Loza E, Jover JA, Rodríguez L, Carmona L, EPISER Study Group. Multimorbidity: prevalence, effect on quality of life and daily functioning, and variation of this effect when one condition is a rheumatic disease. Semin Arthritis Rheum. 2009;38:312–9.
  • 3.
    • Latinoamérica presentadesde hace varios años una transición epidemiológica. • Patologías del desarrollo. • Se calcula que el 10% de la población general padece alguna enfermedad reumática. 1699-258X/$ – see front matter © 2010 Elsevier España, S.L. Todos los derechos reservados. doi:10.1016/j.reuma.2010.12.009 Enfermedades reumáticas
  • 4.
    • Primeros diezmotivos de invalidez total en países como Estados Unidos, Canadá y México. • En el Instituto Mexicano del Seguro Social, la tasa de invalidez se ha calculado en 1,38 por cada 1.000 derechohabientes. Woolf AD, Pfleger B. Burden of major musculoskeletal conditions. Bull World Health Org. 2003;81:646–56. Enfermedades reumáticas
  • 5.
    • 2000 al2010 “Década del Hueso y la Articulación”. Resaltando la importancia de las enfermedades musculo esqueléticas. • Cuatro enfermedades se han considerado de especial relevancia: a) la artritis reumatoide, b) la osteoartritis c) la osteoporosis y d) el dolor de espalda baja. . Woolf AD, Pfleger B. Burden of major musculoskeletal conditions. Bull World Health Org. 2003;81:646–56. Enfermedades reumáticas
  • 6.
    ARTRITIS REUMATOIDE: La enfermedad(7) Deformidades articulares ARTRITIS REUMATOIDEA
  • 7.
  • 8.
    EPIDEMIOLOGÍA • Prevalencia: 0.3-1.5%Norteamérica y Europa • Argentina y Brasil 0,9 y el 0,45%. • Relación 2-3 mujeres por cada hombre. • Incidencia pico 40-60 años. • Inicio 30-50 años.
  • 9.
    ARTRITIS REUMATOIDEA • Enfermedadcompleja, poligenica, autoinmune, sistémica, crónica del tejido conjuntivo. • Afecta articulaciones periféricas, con dolor e inflamación articular. • Hiperplasia de la membrana sinovial. • Tiene manifestaciones extra-articulares.
  • 10.
    ARTRITIS REUMATOIDEA • Enfermedadcompleja, poligenica, autoinmune, inflamatoria, sistémica, crónica del tejido conjuntivo. • Afecta articulaciones periféricas, con dolor e inflamación articular. • Hiperplasia de la membrana sinovial. • Tiene manifestaciones extra-articulares.
  • 11.
    ARTRITIS REUMATOIDEA Membrana sinovial inflamada Hueso y cartílago erosionado gradualmente . Perdida decartílago importante Exposición de hueso . Articulación invadida por tejido conectivo Hueso fusionado Cartílago Hueso Capsula articular Memhraba sinovial Cavidad articular con liquido sinovial
  • 12.
    ETIOPATOGENIA Predisposición individual: HLA DR4, DR1,DR10. Poligénica HLADRB1, PTPN22 Factores ambientales: - Infecciones: VEB, CMV, micoplasma, rubeola, parvovirus -Vitamina D, omega 3 - Tabaco (único factor demostrado). CONSECUENCIA INMUNOLÓGICA
  • 13.
  • 14.
  • 15.
  • 16.
    ETIOPATOGENIA: INMUNOLOGÍA Infiltración LTCD4 (CD69) en sinovial (perivascular) LTCD4 (+) Macrófagos → Il1,Il6,Il8,Il10,Il17 TNF (+)LB → AutoAc (FR, anticitrulina, IC) ENFERMEDAD SISTÉMICA Citoquinas → PANNUS (fibroblastos, mastocitos y osteoclastos) proteasas DESTRUCCIÓN ÓSEA
  • 17.
    • LA PRIMERAetapa asintomática índole genético. • LA SEGUNDA de artritis indiferenciada o pre-clínica. • LA TERCERA etapa verdaderamente clínica en donde aparecen las manifestaciones propias de AR. ARTRITIS REUMATOIDEA: FASES “Ventana de oportunidad”, etapa en la cual el diagnóstico precoz y la puesta en marcha de los diferentes arsenales terapéuticos, pueden evidenciar sin lugar a duda un cambio en la evolución de los pacientes.
  • 18.
    ARTRITIS REUMATOIDEA: FASES Elperíodo de tiempo considerado referencia para el diagnóstico de AR temprana es 1 a 3 años. 1-3 años
  • 19.
    CLÍNICA: ARTICULAR • St.generales: Artromialgias, pérdida de peso, febrícula, depresión. -Afectación POLIARTICULAR -Tumefacción SIN ERITEMA -SIMÉTRICA -St ppal: DOLOR al movimiento. -Predominio articulaciones pequeñas: manos y pies. -RIGIDEZ matutina ≥ 1h Las más frecuentes: -METACARPOFALÁNGICAS -MUÑECA -INTERFALÁNGICAS PROXIMALES (IFP) -METATARSOFALÁNGICAS. Fase avanzada: -Carpo en tenedor -Pulgar en Z -Desviación cubital de dedos -Hiperextension IFP (cisne)
  • 20.
    CLÍNICA: ARTICULAR 2 •Otras afectaciones: • Rodilla: la más invalidante. Quiste de Baker. • Columna: Subluxación atlo-axoidea. Rara dorsal. NO lumbar. • Temporomandibular. • Cricoaritenoidea: disfonía • Huesecillos del oído: sordera.
  • 21.
    CLÍNICA EXTRARTICULAR. Relacionadocon nivel de FR • NÓDULOS REUMATOIDES: • 20-30% de los pacientes. Es un fenómeno vasculítico. • El 100% tienen FR +. • Generalmente asintomáticos. Pueden infectarse. • Localizados: CODO, zonas de roce, occipucio, periarticulares, tendón de Aquiles, meninges, pleura, corazón, médula espinal. • AP: centro necrótico, histiocitos en empalizada. • VASCULITIS • PIEL: necrosis, púrpura, úlceras, pioderma gangrenoso. • Nervioso: mononeuritis múltiple, polineuritis. • Infartos viscerales.
  • 22.
    • PLEUROPULMONAR (másen hombres) • Pleuritis con derrame pleural • Fibrosis intersticial con alteración de la DLCO • HT Pulmonar (raro). • Bronquiolitis obliterante. • Nódulos: cavitación, fístulas, neumotórax. • Síndrome de CAPLAN: AR + neumoconiosis • CARDÍACA • Pericarditis. • Taponamiento, arritmias, etc. CLÍNICA EXTRARTICULAR
  • 23.
    • NEUROLÓGICA • Vasculitis:mononeuritis múltiple. Vasculitis. • Por compresión: Túnel carpiano, tarsiano, cervical. • NO SNC. • OCULAR (rara). • Epiescleritis (esclera superficial roja). • Escleritis: 1ª CAUSA es la AR. Cuidado con escleromalacia perforante y endoftalmitis. • Asociado Sd Sjogren: queratoconjuntivitis seca. • OSTEOPOROSIS: asociado a CTC • LINFOMA B de células grandes. CLÍNICA EXTRARTICULAR
  • 24.
    • SINDROME DEFELTY • ESPLENOMEGALIA Tendencia a infecciones Gram+ • CITOPENIAS (neutropenia) • Hiperpigmentación de mmii y úlceras. • Adenopatías. • Pleuropericarditis. • NEFROPATÍA • AINEs: IRA prerrenal. • Síndrome nefrótico por amilodosis secundaria. • GMN por fármacos, per sé, por vasculitis • Túbulo-intersticial: Síndrome de Sjogren. CLÍNICA EXTRARTICULAR
  • 25.
    EROSIÓN MARGINAL DESVIACIÓNDEDOS PIE FALANGES EN CUELLO DE CISNE OSTEOPENIA YUXTARTICULAR, EROSIONES
  • 27.
  • 28.
  • 31.
    Apoyan al Dxclínico. Ningún hallazgo es dx en sí. 1. Tumefacción de partes blandas (lo más precoz). 2. Osteopenia yuxta-articular. 3. EROSIONES ÓSEAS: - Mal pronóstico si precoces. - En forma de quistes subcondrales o pérdida de cartílago. 4. Luxaciones/subluxaciones. 5. LA RX PUEDE SER NORMAL 6. La RMN de manos ofrece mayor sensibilidad que la Rx HALLAZGOS RADIOLÓGICOS
  • 32.
    • FACTOR REUMATOIDE: •AutoAc contra la fracción Fc de la IgG. • Sensibilidad: 75% aprox. Especificidad 70-90%. • El 5% de sanos y el 15 % de más de 65ª lo tienen. (el 1/3 de los FR+ tienen AR). • No sirve como screening ni como seguimiento sino como pronóstico. Como diagnóstico sirve para confirmar si clínica sugestiva de AR. • Elevado en 100% de nódulos subcutáneos o vasculitis. • Elevado en: LES, Sjogren, hepatopatías, lepra, sarcoidosis, TBC, mononucleosis, FPI, endocarditis. HALLAZGOS DE LABORATORIO
  • 33.
    • AC ANTIPCC (anti péptido cíclico citrulinado) o ANTICITRULINA: • Sensibilidad similar al FR aunque más precoces. • Especificidad muy superior (>90%). • ANA: Aparecen a títulos bajos en el 30%. HALLAZGOS DE LABORATORIO AC QUE NOS INTERESAN EN AR: - FACTOR REUMATOIDE - AC ANTI CITRULINA
  • 34.
    • FACTORES DEMAL PRONÓSTICO: • Mujeres. • Edad avanzada. • Afectación Rx desde el comienzo. • FR, anti CCP, y reactantes de fase aguda muy elevados. • Nódulos reumatoides. • Persistencia del brote durante 1 año. • Nivel socioeconómico disminuido. • Afectación de más de 20 articulaciones. • MARCADORES DE ACTIVIDAD: • VSG, PCR, ceruloplasmina, haptoglobina, marcadores de rotura del colágeno. EVOLUCIÓN Y PRONÓSTICO
  • 35.
    • La esperanzade vida se acorta de 3-7 años (ligado a artropatía más grave) asociado a: • Infecciones • Hemorragia gastrointestinal • Enfermedades cardiovasculares. • El Tto. Precoz mitiga la clínica, secuelas y mortalidad de esta enfermedad. EVOLUCIÓN Y PRONÓSTICO
  • 36.
    Rigidez matutina > 1h Artritisde 3 o más áreas Simétrica. Artritis de las manos Nódulos reumatoides Factor reumatoide Alteraciones rx típicas (erosiones u osteopenia) DIAGNÓSTICO. CRITERIOS ARA (antiguos)
  • 37.
    Al menos 4: 1.Rigidez matutina > 1h 2. Artritis de 3 o más áreas. >6 semanas 3. Simétrica. 4. Artritis de las manos 5. Nódulos reumatoides 6. Factor reumatoide 7. Alteraciones rx típicas (erosiones u osteopenia) DIAGNÓSTICO. CRITERIOS ARA (antiguos)
  • 38.
    Sinovitis en almenos una localización + exclusión de otras causas + 6 o mas puntos en la siguiente clasificación: – Número y lugar de articulaciones afectas: • De 4 a 10 grandes: 1 punto • De 1 a 3 pequeñas: 2 puntos. • De 4 a 10 pequeñas: 3 puntos. • Más de 10 (con al menos participación de una pequeña): 5 puntos. – Anomalías serológicas (FR, anti CCP) • Positivos “bajos”. 2 puntos • Positivos “altos” (más de triple de lo normal): 3 puntos – Elevación de VSG ó PCR: 1 punto. – Duración de los síntomas al menos 6 semanas: 1 punto. DIAGNÓSTICO. CRITERIOS ARA (2010)
  • 39.
    ETIOPATOGENIA: INMUNOLOGÍA Infiltración LTCD4 (CD69) en sinovial (perivascular) LTCD4 (+) Macrófagos → Il1, Il6, TNF (+)LB → AutoAc (FR, anticitrulina, IC) ENFERMEDAD SISTÉMICA Citoquinas → PANNUS (fibroblastos, mastocitos y osteoclastos) proteasas DESTRUCCIÓN ÓSEA INMUNOSUPRESORES (METOTREXATE, LEFLUNOMIDA,CTC…) RITUXIMAB ANTI-TNF (INFLIXIMAB, ETANERCEPT) AINES, CTC
  • 40.
    • MEDIDAS GENERALES •AINES: sintomáticos que no modifican la progresión. • CTC: sintomáticos que sí modifican el curso. • FAME (modificadores) sintéticos: • Metotrexate, leflunomida • Antiguos: sulfasalacina, antipalúdicos. • No se utilizan : sales de oro, d-penicilamina. • Otros inmunosupresores de 2ª línea: ciclosporina, azatioprina, ciclofosfamida. • FAME biológicos: • AntiTNF: Infliximab, adalimumab, etanercept. • Anti Il1: anakinra. • AntiCD20: rituximab • Anti CTLA4: abatacept. TRATAMIENTO
  • 41.
    OBJETIVOS • 1) aliviodel dolor • 2) disminución de la inflamación • 3) protección de las estructuras articulares • 4) mantenimiento de la función • 5) control de la afección diseminada TRATAMIENTO
  • 42.
    • MEDIDAS GENERALES: •Información continua de la enfermedad y tto. • Modificaciones oportunas del entorno. • Mayor reposo en fases de mayor actividad. • Ejercicio para mantener fuerza muscular y movilidad de las articulaciones. • Dieta con ácidos poliinsaturados (omega 3). TRATAMIENTO
  • 43.
    • En 1ªlínea de tratamiento, considerándolo más bien como alivio sintomático: AINEs: • (-) COOX1: Eficaces antiinflamatorios. Morbilidad digestiva. Cardioprotección. • (-) COOX2: -coxib: Igual eficacia. Menos morbilidad digestiva. No cardioprotección. • Hay que añadir IBP y como también tienen toxicidad renal y + HTA hay que ponerlos a bajas dosis y quitarlos si se puede. CORTICOIDES: • SÍ modifican el curso aunque poco. Terapia puente. • Prednisona o prednisolona a baja dosis. TRATAMIENTO
  • 44.
    • Comenzar desdeel principio si signos de actividad de la enfermedad. • Asociar FAME (MTX+anti TNF) es lo que mejor resultado da ahora. • METOTREXATO • El FAME de elección INICIAL. Puede utilizarse como monoterapia. • Problemas: mucositis orointestinal, hepatopatía, anemia (prevenir administrando ac folínico). • LEFLUNOMIDA: • Inmunosupresor anti LT. • De segunda línea tras MTX. • Problemas: hepatopatía. TRATAMIENTO. FAME OTROS INMUSUPRESORES: -CICLOSPORINA -AZATIOPRINA -CICLOFOSFAMIDA Si enfermedad sistémica
  • 45.
    • TERAPIAS BIOLÓGICAS(ANTICITOCINAS): • Se utilizan si las terapias con MTX asociado a otros FAME no han ido bien (esto dicen las guías aunque ya se utiliza como primera línea junto a MTX). Se asocian a los anteriores. • Predisponen a infecciones, especialmente reactivación de TBC: HACER MANTOUX. • Incrementan el riego de neoplasias: linfoma. • ANTITNF: INFLIXIMAB, ADALIMUMAB, ETANERCEPT, GOLIMUMAB, CERTOLIZUMAB • ANTI IL1: ANAKINRA • ANTI CD20(antiLB): RITUXIMAB • ANTI CTLA4 (LT): ABATACEPT • ANTI IL-6: TOCILIZUMAB TRATAMIENTO. FAME Si fallan los ANTI TNF
  • 46.
    • CONVENCIONALES DEACCIÓN LENTA: • Sólo se siguen utilizando la hidroxicloroquina y la sulfasalazina. • Cada vez se utilizan menos habiendo sido desplazados por los FAME. TRATAMIENTO. FAME
  • 47.

Notas del editor

  • #12 Pannus, es un tejido de granulacion con cambios en la microvascularizacion e hiperplasia de membrana sinovial
  • #15 Macrofagos y celulas dentriticas
  • #19 El período de tiempo considerado como referencia para el diagnóstico de AR temprana varía ampliamente en la literatura, siendo de 1 a 3 años según las distintas series reportadas, pero existiría un mayor acuerdo en denominar AR temprana a aquella que se diagnostica dentro de los primeros doce meses de comienzo de los síntomas.
  • #22 La efectasion extraarticular puede afectar al 50% de los pacientes, el 35 % presenta sindrome de Sogren caracterizada por sequedad ocular y bucal
  • #23 Con alteración de la DLCO difusión de dióxido de carbono.
  • #25 Sindrome de Felty triada AR+ ESPLENOMEGALIA+NEUTROPENIA, se presenta en AR agresivas