Claudia Gallardo Banda
Ariane Villavicencio

Tanya Cortez Ramírez
Moctezuma Cabrera Salaiza
Teresa Romero Sahagún

Artritis Reumatoide
 Paciente masculino de 17 años de dad, soltero,
que acude por presentar desde hace 3 meses:
artralgias, en manos, codos, rodillas, fiebre de
mas de 39°, con escalofríos, astenia adinamia e
inflamación en los sitios de dolor.
 Toxicomanías negadas, buenos hábitos
dietéticos, practica deporte, de otro transtorno.
 AHF:
 Hermana mayor con trastorno metabólico y
litiasis renal frecuente, Hermana menor
portadora de Diabetes Mellitus insulino
dependiente.
 TA: 110/60 FC:80 T= 36.9° peso 60 kg talla 165
paciente con dificultad deambulatoria, pálido,
presenta contractura cervical muscular dolorosa,
adenopatías inguinales y axilares bilaterales, de
0.5 cm .Aumento de volumen y temperatura
local en articulaciones de muñeca codo y
rodillas.
Definición:
 La artritis reumatoide es una enfermedad
inflamatoria sistémica crónica de etiología
desconocida,
afecta
principalmente
las
membranas
sinoviales
de
múltiples
articulaciones, esta enfermedad tiene una gran
cantidad de manifestaciones articulares y
extarticulares.
Factores de riesgo:
 Edad mayor de 65 años
 Factor genético
 Sexo femenino
 Obesidad
 Ejercicio físico intenso o trabajo
 traumatismos
Epidemiologia
 La prevalencia es cercana al 0.8% de la población
mundial.
 Predomina en el sexo femenino (3:1) y su edad de
inicio es 25-50 años.
 La RA se observa en todo el mundo y afecta a
todas las razas. Sin embargo, la incidencia y la
gravedad son aparentemente menores en
regiones del África y en las personas de raza negra
del Caribe
 Ocurre en individuos de una misma familia con
frecuencia discretamente mayor que en la
población general.
 La incidencia de RA en las mujeres de 60 a 64 años de edad es
más de seis veces mayor que en las de 18 a 29 años.
 La incidencia En general, oscila entre 0,2 y 0,4 casos por 1.000
habitantes, siendo la más baja hasta el momento la
encontrada en Francia
 Su inicio es más frecuente durante el cuarto y quinto decenios
de la vida.

 Datos recientes indican que la incidencia de RA podría estar
disminuyendo
Cuadro Clínico.
 Comienzo insidioso con artralgias mal
localizadas, malestar, fatiga, mialgias y febrículas
ocasionales. Las articulaciones más
comprometidas frecuentemente son:
metacarpofalángica ,interfalángica proximal ,
metatarsofalángica , temporomandibular.
 Los síntomas específicos que se presentan son:
dolor, edema y dificultad para movilizar la zona
afectada. Comúnmente cursa con fiebre,
enrojecimiento y rigidez de las articulaciones
inflamadas. Una característica particular de la
AR es la rigidez matutina en las articulaciones.
 A medida que la enfermedad avanza, se notan
ciertas deformidades, edema y dolor persistente
que va dificultando progresivamente los
movimientos y actividades diarias. Otros síntomas
importantes que se pueden presentar son las
manifestaciones como Síndrome de Sjogren o
anemia.
 Los nódulos subcutáneos por lo general se
localizan en los codos, manos, pies, y aún en
cuero cabelludo.
 En el pulmón además de pleuritis, neumonitis y
arteritis, se presentan la fibrosis intersticial difusa y
la enfermedad nodular
Etiología
 Incierta.
 Predisposición genética.
 Transmisión vertical.
 HLA Clase II:

 HLA-DR4
 HLA-DRB1*0401 & 0404.
 Agentes Infecciosos: Virus de Epstein Barr
(EBV), retrovirus, el parvovirus B19, el virus
de la Hepatitis C, el Mycobacterium
tuberculosis, el Micoplasma, el Proteus y el
Helicobacter pylori.
Etiopatogenia
 Respuesta inmunitaria alterada, ocasionando
inflamación
sinovial
y
destrucción
de
arquitectura articular.
 Carácter autoinmunitario, desencadenada por
la exposición de un huésped genéticamente
sensible
a
un
antpigeno
artritogénico
desconocido.
 Cel T CD4+ activadas y Linfocitos
desconocen antígenos diana.

B.

Se

 TNF e IL-1 (macrófagos), inflamación +
estimulación para síntesis de prostaglandinas y
metaloproteinasas = destrucción cartilaginosa.
 Cel T activa = Sx. RANKL, activa osteoclasto =
remodelación ósea.
 Sinovial hiperplásica e hipertrófica con células
inflamatorias se vuelve adherente y se anexa a
la superficie articular, se activan los fibroblastos y
se
produce
tejido
de
granulación
y
neoangiogénesis = pannus.
 Comienza en sinovial, pero progresa hasta
márgenes de articulación = reducción articular
irreversible.
Fases de AR
 Primera fase (inflamación sinovial y perisinovial).
 1) Edema del estroma sinovial, lo que produce
eminencias o proyecciones vellosas hacia la
cavidad
(hipertrofia
vellosa).
2)Hipertrofia

de

la

sinovial.
Fases de AR
 Segunda fase (de proliferación o de desarrollo
de pannus).
 El daño del cartílago y de los tejidos vecinos.

 Desarrollo de tejido granulatorio junto a
proliferación
de
células
sinoviales
con
destrucción directa del cartílago articular y
liberación de enzimas lisozomales de sinoviocitos,
polimorfonucleares
y
macrófagos.
Fases de AR
 Tercera fase (de fibrosis y anquilosis).
 El tejido de granulación se convierte en tejido
fibroso en la cápsula, tendones y tejido
periarticular inflamados, lo que produce gran
deformación de la articulación.
 La desaparición del cartílago articular y fibrosis
del
espacio
articular
conducen
a
la
inmovilización articular (anquilosis).
 Son características las deformaciones en ráfaga
de los dedos de las manos en esta etapa.
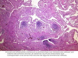
Sinovial con inflamación crónica en su primera fase con "eminencias vellosas" por
edema del estroma sinovial. Se observan acúmulos linfocitarios que
corresponden a las zonas más oscuras de algunas eminencias vellosas.
Infiltrado inflamatorio perivascular, aumento vascular, acúmulación
en matriz de tejido de granulación.
Laboratorio:
 Anticuerpos anticitrulina: especificidad
entre 90 y 96%.
 Biometría hemática
 VSG
 PCR
 FR

 Anticuerpos antinucleares
GABINETE -Radiografía
Afección de articulaciones MCF (manos):
Estrechamineto simétrico del espacio articular
Osteoporisis periarticular (rasgo prominente)
Engrosamiento e inflamación de los tejidos blandos
periarticulares (edema y derrame articular)

Erosiones óseas marginales y centrales
Deformidades en cuello de cisne (dedo meñique)
Desviación cubital (aumento del tejido blando en torno al cúbito
distal por edema y engrosamiento del extensor cubital del
carpo)
Diagnósticos diferenciales
 ARTROSIS: (artritis degenerativa) es la forma más
frecuente de artritis, tiende a presentarse en
edad avanzada por desgaste articular, en
individuos jóvenes puede deberse a
traumatismos. El dolor, deformidad y limitación se
presenta en la zona de desgaste articular.
Afecta IFD y la primera MCF. No hay osteoporosis
y el estrechamiento del espacio articular es
irregular.
Diagnósticos diferenciales
 Artritis gotosa: es secundaria a la hiperuricemia,
se caracteriza por períodos de exacerbación y
remisión. Formación de tofos. Los pacientes
presentan normalmente podagra. Las erosiones
en la radiografía se presentan muy bien
definidas, no hay osteoporosis.
Diagnósticos diferenciales
 Enfermedad por depósito de pirofosfato cálcico
(pseudogota): ocurre en personas de edad
media o avanzada y está producido por el
depósito de cristales de dihidrato de pirofosfato
cálcico en los tejidos blandos de una
articulación (meniscos, ligamentos, cartílago
articular, cápsula articular). En la radiografía se
observan las calcificaciones.
Artritis reumatoide -Tratamiento
 TRIXILEM® 50 tabletas. Cada tableta contiene:
 METOTREXATO

2.5mg

 Su concentración y la duración de la exposición
a las células son factores determinantes de la
citotoxicidad.
 Se acumula en hígado y riñones, persiste durante
semanas, su eliminación es muy lenta.
Artritis reumatoide -Tratamiento
 Después de la administración se pueden
observar alteraciones transitorias de las pruebas
de funcionamiento hepático sin que esto
signifique necesidad de modificar la terapia.
 La persistencia de estas alteraciones y/o
disminución de la albúmina sérica son indicios de
toxicidad hepática.
Artritis reumatoide -Tratamiento
 Dosis: 2.5 mg V.O. 1 vez por semana.
 Realizar pruebas de función hepática y
depuración de creatinina.
 El ácido folínico neutraliza los efectos tóxicos
sobre la médula ósea.
Tratamiento- Artritis reumatoide
Plaquenil®
Caja con 20 tabletas. Cada tableta contiene:
Sulfato de hidroxicloroquina

200mg

Dosis inicial: 400 mg/día (acompañada de
alimentos).
Dosis de mantenimiento: 200 mg día.
Pronóstico
La mayoría de los enfermos presenta una
actividad mantenida aunque de carácter
fluctuante, acompañada por un grado
variable de deformidad articular y deterioro
funcional.
Al cabo de 10 a 12 años, menos de 20% de
los
pacientes
presenta
signos
de
incapacidad o deformidad articular. En 10
años, casi 50% de los pacientes presentarán
incapacidades para trabajar.
Diversas características guardan relación con
una mayor probabilidad de presentar
alteraciones articulares o incapacidad.
Entre ellas se incluyen:
• más de 20 articulaciones inflamadas.
• elevación importante de la velocidad de
sedimentación eritrocítica.
• signos radiográficos de erosiones óseas,
presencia de nódulos reumatoides, títulos
altos de factor reumatoide en suero.
• incapacidad
funcional,
inflamación
persistente, edad avanzada al inicio de la
enfermedad, existencia de otros procesos
patológicos, el nivel socioeconómico o de
escolarización bajo.

• presencia de HLA-DR 1*0401 o de - DR
*0404.
La existencia de una o más de estas
características implica que la enfermedad
va a tener un carácter más agresivo, con
una mayor probabilidad de causar
alteraciones articulares progresivas con
incapacidad.

Los pacientes que carecen de estos
factores presentan cuadros más indolentes
que evolucionan más lentamente hacia las
alteraciones articulares y la incapacidad.
 A pesar de que el avance articular disminuye
con el tiempo, la discapacidad funcional,
que se desarrolla en las primeras etapas del
proceso, empeora siempre a la misma
velocidad, aunque el ritmo más rápido de
pérdida funcional se observa durante los dos
primeros años de la enfermedad.
 La esperanza media de vida en los pacientes
con RA parece acortarse en tres a siete
años.
Complicaciones
Las complicaciones más frecuentes
incluyen:
síndrome
del
túnel
carpiano,
vasculitis
reumatoide
(tratamiento con ciclofosfamida y
prednisona a altas dosis), ataque de
la región cervical, artritis séptica
(mortalidad de 20% si se afecta una
articulación y más del 50% si hay
afectadas múltiples articulaciones).
 Rev. Soc. Esp. Dolor8: 561-566; 2006
 Sx. Del tunel carpiano: Las muñecas se afectan en la
mayoría de los pacientes y en la quinta parte puede
desarrollarse el síndrome del túnel carpiano por
compresión del nervio mediano por debajo del
ligamento anular del carpo por hipertrofia sinovial
local.
VASCULITIS REUMATOIDE:

Resultado de complejos inmunes
fijadores de complemento que
contienen el factor reumatoide IgG o
IgM.
*mas frecuente en hombres, entre los
50-65 años, con títulos de factor
reumatoide altos, poca respuesta al
tratamiento,
largo
tiempo
de
evolución.

Más

tarde en el curso de la AR,
aproximadamente una tercera parte de los
pacientes desarrollarán trastornos del cuello,
frecuentemente en el área cervical superior,
usualmente en C1-C2. La subluxación
anterior es el más común de estos trastornos;
resulta del deslizamiento del cráneo y C1
hacia delante en la vértebra C2 con flexión
de cabeza, como resultado del relajamiento
en las carillas articulares laterales y la
debilidad del ligamento transverso. La lesión
generalmente se demuestra en un filme
lateral de espina cervical con la cabeza en
inflexión, el espacio entre la apófisis
odontoide y la superficie anterior de C1 está
aumentada 4 o más milímetros.
Bibliografía
 Robins y Cotran Patología Estructural y Funcional
 Porth Fisiopatologia
 Skinner. Diagnóstico y tratamiento en Ortopedia
 Harrison Principios de Medicina Interna 17ª
Edición

Artritis

  • 1.
    Claudia Gallardo Banda ArianeVillavicencio Tanya Cortez Ramírez Moctezuma Cabrera Salaiza Teresa Romero Sahagún Artritis Reumatoide
  • 2.
     Paciente masculinode 17 años de dad, soltero, que acude por presentar desde hace 3 meses: artralgias, en manos, codos, rodillas, fiebre de mas de 39°, con escalofríos, astenia adinamia e inflamación en los sitios de dolor.  Toxicomanías negadas, buenos hábitos dietéticos, practica deporte, de otro transtorno.
  • 3.
     AHF:  Hermanamayor con trastorno metabólico y litiasis renal frecuente, Hermana menor portadora de Diabetes Mellitus insulino dependiente.  TA: 110/60 FC:80 T= 36.9° peso 60 kg talla 165 paciente con dificultad deambulatoria, pálido, presenta contractura cervical muscular dolorosa, adenopatías inguinales y axilares bilaterales, de 0.5 cm .Aumento de volumen y temperatura local en articulaciones de muñeca codo y rodillas.
  • 4.
    Definición:  La artritisreumatoide es una enfermedad inflamatoria sistémica crónica de etiología desconocida, afecta principalmente las membranas sinoviales de múltiples articulaciones, esta enfermedad tiene una gran cantidad de manifestaciones articulares y extarticulares.
  • 5.
    Factores de riesgo: Edad mayor de 65 años  Factor genético  Sexo femenino  Obesidad  Ejercicio físico intenso o trabajo  traumatismos
  • 6.
    Epidemiologia  La prevalenciaes cercana al 0.8% de la población mundial.  Predomina en el sexo femenino (3:1) y su edad de inicio es 25-50 años.  La RA se observa en todo el mundo y afecta a todas las razas. Sin embargo, la incidencia y la gravedad son aparentemente menores en regiones del África y en las personas de raza negra del Caribe  Ocurre en individuos de una misma familia con frecuencia discretamente mayor que en la población general.
  • 7.
     La incidenciade RA en las mujeres de 60 a 64 años de edad es más de seis veces mayor que en las de 18 a 29 años.  La incidencia En general, oscila entre 0,2 y 0,4 casos por 1.000 habitantes, siendo la más baja hasta el momento la encontrada en Francia  Su inicio es más frecuente durante el cuarto y quinto decenios de la vida.  Datos recientes indican que la incidencia de RA podría estar disminuyendo
  • 8.
    Cuadro Clínico.  Comienzoinsidioso con artralgias mal localizadas, malestar, fatiga, mialgias y febrículas ocasionales. Las articulaciones más comprometidas frecuentemente son: metacarpofalángica ,interfalángica proximal , metatarsofalángica , temporomandibular.
  • 9.
     Los síntomasespecíficos que se presentan son: dolor, edema y dificultad para movilizar la zona afectada. Comúnmente cursa con fiebre, enrojecimiento y rigidez de las articulaciones inflamadas. Una característica particular de la AR es la rigidez matutina en las articulaciones.
  • 10.
     A medidaque la enfermedad avanza, se notan ciertas deformidades, edema y dolor persistente que va dificultando progresivamente los movimientos y actividades diarias. Otros síntomas importantes que se pueden presentar son las manifestaciones como Síndrome de Sjogren o anemia.
  • 11.
     Los nódulossubcutáneos por lo general se localizan en los codos, manos, pies, y aún en cuero cabelludo.  En el pulmón además de pleuritis, neumonitis y arteritis, se presentan la fibrosis intersticial difusa y la enfermedad nodular
  • 12.
    Etiología  Incierta.  Predisposicióngenética.  Transmisión vertical.  HLA Clase II:  HLA-DR4  HLA-DRB1*0401 & 0404.  Agentes Infecciosos: Virus de Epstein Barr (EBV), retrovirus, el parvovirus B19, el virus de la Hepatitis C, el Mycobacterium tuberculosis, el Micoplasma, el Proteus y el Helicobacter pylori.
  • 13.
    Etiopatogenia  Respuesta inmunitariaalterada, ocasionando inflamación sinovial y destrucción de arquitectura articular.  Carácter autoinmunitario, desencadenada por la exposición de un huésped genéticamente sensible a un antpigeno artritogénico desconocido.
  • 14.
     Cel TCD4+ activadas y Linfocitos desconocen antígenos diana. B. Se  TNF e IL-1 (macrófagos), inflamación + estimulación para síntesis de prostaglandinas y metaloproteinasas = destrucción cartilaginosa.  Cel T activa = Sx. RANKL, activa osteoclasto = remodelación ósea.
  • 15.
     Sinovial hiperplásicae hipertrófica con células inflamatorias se vuelve adherente y se anexa a la superficie articular, se activan los fibroblastos y se produce tejido de granulación y neoangiogénesis = pannus.  Comienza en sinovial, pero progresa hasta márgenes de articulación = reducción articular irreversible.
  • 17.
    Fases de AR Primera fase (inflamación sinovial y perisinovial).  1) Edema del estroma sinovial, lo que produce eminencias o proyecciones vellosas hacia la cavidad (hipertrofia vellosa). 2)Hipertrofia de la sinovial.
  • 19.
    Fases de AR Segunda fase (de proliferación o de desarrollo de pannus).  El daño del cartílago y de los tejidos vecinos.  Desarrollo de tejido granulatorio junto a proliferación de células sinoviales con destrucción directa del cartílago articular y liberación de enzimas lisozomales de sinoviocitos, polimorfonucleares y macrófagos.
  • 20.
    Fases de AR Tercera fase (de fibrosis y anquilosis).  El tejido de granulación se convierte en tejido fibroso en la cápsula, tendones y tejido periarticular inflamados, lo que produce gran deformación de la articulación.  La desaparición del cartílago articular y fibrosis del espacio articular conducen a la inmovilización articular (anquilosis).  Son características las deformaciones en ráfaga de los dedos de las manos en esta etapa.
  • 23.
    Sinovial con inflamacióncrónica en su primera fase con "eminencias vellosas" por edema del estroma sinovial. Se observan acúmulos linfocitarios que corresponden a las zonas más oscuras de algunas eminencias vellosas.
  • 24.
    Infiltrado inflamatorio perivascular,aumento vascular, acúmulación en matriz de tejido de granulación.
  • 25.
    Laboratorio:  Anticuerpos anticitrulina:especificidad entre 90 y 96%.  Biometría hemática  VSG  PCR  FR  Anticuerpos antinucleares
  • 26.
    GABINETE -Radiografía Afección dearticulaciones MCF (manos): Estrechamineto simétrico del espacio articular Osteoporisis periarticular (rasgo prominente) Engrosamiento e inflamación de los tejidos blandos periarticulares (edema y derrame articular) Erosiones óseas marginales y centrales Deformidades en cuello de cisne (dedo meñique) Desviación cubital (aumento del tejido blando en torno al cúbito distal por edema y engrosamiento del extensor cubital del carpo)
  • 29.
    Diagnósticos diferenciales  ARTROSIS:(artritis degenerativa) es la forma más frecuente de artritis, tiende a presentarse en edad avanzada por desgaste articular, en individuos jóvenes puede deberse a traumatismos. El dolor, deformidad y limitación se presenta en la zona de desgaste articular. Afecta IFD y la primera MCF. No hay osteoporosis y el estrechamiento del espacio articular es irregular.
  • 30.
    Diagnósticos diferenciales  Artritisgotosa: es secundaria a la hiperuricemia, se caracteriza por períodos de exacerbación y remisión. Formación de tofos. Los pacientes presentan normalmente podagra. Las erosiones en la radiografía se presentan muy bien definidas, no hay osteoporosis.
  • 31.
    Diagnósticos diferenciales  Enfermedadpor depósito de pirofosfato cálcico (pseudogota): ocurre en personas de edad media o avanzada y está producido por el depósito de cristales de dihidrato de pirofosfato cálcico en los tejidos blandos de una articulación (meniscos, ligamentos, cartílago articular, cápsula articular). En la radiografía se observan las calcificaciones.
  • 32.
    Artritis reumatoide -Tratamiento TRIXILEM® 50 tabletas. Cada tableta contiene:  METOTREXATO 2.5mg  Su concentración y la duración de la exposición a las células son factores determinantes de la citotoxicidad.  Se acumula en hígado y riñones, persiste durante semanas, su eliminación es muy lenta.
  • 33.
    Artritis reumatoide -Tratamiento Después de la administración se pueden observar alteraciones transitorias de las pruebas de funcionamiento hepático sin que esto signifique necesidad de modificar la terapia.  La persistencia de estas alteraciones y/o disminución de la albúmina sérica son indicios de toxicidad hepática.
  • 34.
    Artritis reumatoide -Tratamiento Dosis: 2.5 mg V.O. 1 vez por semana.  Realizar pruebas de función hepática y depuración de creatinina.  El ácido folínico neutraliza los efectos tóxicos sobre la médula ósea.
  • 35.
    Tratamiento- Artritis reumatoide Plaquenil® Cajacon 20 tabletas. Cada tableta contiene: Sulfato de hidroxicloroquina 200mg Dosis inicial: 400 mg/día (acompañada de alimentos). Dosis de mantenimiento: 200 mg día.
  • 36.
    Pronóstico La mayoría delos enfermos presenta una actividad mantenida aunque de carácter fluctuante, acompañada por un grado variable de deformidad articular y deterioro funcional. Al cabo de 10 a 12 años, menos de 20% de los pacientes presenta signos de incapacidad o deformidad articular. En 10 años, casi 50% de los pacientes presentarán incapacidades para trabajar. Diversas características guardan relación con una mayor probabilidad de presentar alteraciones articulares o incapacidad.
  • 37.
    Entre ellas seincluyen: • más de 20 articulaciones inflamadas. • elevación importante de la velocidad de sedimentación eritrocítica. • signos radiográficos de erosiones óseas, presencia de nódulos reumatoides, títulos altos de factor reumatoide en suero. • incapacidad funcional, inflamación persistente, edad avanzada al inicio de la enfermedad, existencia de otros procesos patológicos, el nivel socioeconómico o de escolarización bajo. • presencia de HLA-DR 1*0401 o de - DR *0404.
  • 38.
    La existencia deuna o más de estas características implica que la enfermedad va a tener un carácter más agresivo, con una mayor probabilidad de causar alteraciones articulares progresivas con incapacidad. Los pacientes que carecen de estos factores presentan cuadros más indolentes que evolucionan más lentamente hacia las alteraciones articulares y la incapacidad.
  • 39.
     A pesarde que el avance articular disminuye con el tiempo, la discapacidad funcional, que se desarrolla en las primeras etapas del proceso, empeora siempre a la misma velocidad, aunque el ritmo más rápido de pérdida funcional se observa durante los dos primeros años de la enfermedad.  La esperanza media de vida en los pacientes con RA parece acortarse en tres a siete años.
  • 40.
    Complicaciones Las complicaciones másfrecuentes incluyen: síndrome del túnel carpiano, vasculitis reumatoide (tratamiento con ciclofosfamida y prednisona a altas dosis), ataque de la región cervical, artritis séptica (mortalidad de 20% si se afecta una articulación y más del 50% si hay afectadas múltiples articulaciones).  Rev. Soc. Esp. Dolor8: 561-566; 2006
  • 41.
     Sx. Deltunel carpiano: Las muñecas se afectan en la mayoría de los pacientes y en la quinta parte puede desarrollarse el síndrome del túnel carpiano por compresión del nervio mediano por debajo del ligamento anular del carpo por hipertrofia sinovial local.
  • 42.
    VASCULITIS REUMATOIDE: Resultado decomplejos inmunes fijadores de complemento que contienen el factor reumatoide IgG o IgM. *mas frecuente en hombres, entre los 50-65 años, con títulos de factor reumatoide altos, poca respuesta al tratamiento, largo tiempo de evolución.
  • 43.
    
Más tarde en elcurso de la AR, aproximadamente una tercera parte de los pacientes desarrollarán trastornos del cuello, frecuentemente en el área cervical superior, usualmente en C1-C2. La subluxación anterior es el más común de estos trastornos; resulta del deslizamiento del cráneo y C1 hacia delante en la vértebra C2 con flexión de cabeza, como resultado del relajamiento en las carillas articulares laterales y la debilidad del ligamento transverso. La lesión generalmente se demuestra en un filme lateral de espina cervical con la cabeza en inflexión, el espacio entre la apófisis odontoide y la superficie anterior de C1 está aumentada 4 o más milímetros.
  • 44.
    Bibliografía  Robins yCotran Patología Estructural y Funcional  Porth Fisiopatologia  Skinner. Diagnóstico y tratamiento en Ortopedia  Harrison Principios de Medicina Interna 17ª Edición