PATOLOGIA B:
NEOPLASIAS PULMON
PULMON
AYUDANTE ALUMNO:
MINETTO JULIAN
Epidemiologia
Tabla 2: Mortalidad por cáncer en hombres y mujeres de Argentina
2012. Distribución absoluta y porcentaje acumulado según las
principales localizaciones tumorales a nivel país y regiones
geográficas.
Fuente: SIVER / INC en base a datos de la DEIS.
Ministerio de Salud de la Nación. Argentina, 2014
Tabla 1: Distribución absoluta y relativa de casos incidentes de cáncer estimados por
la IARC para Argentina en 2012 según localizaciones tumorales más frecuentes.
Fuente: Elaborado por SIVER/INC en base a los datos
de Globocan 2012. Argentina, enero 2014.
Gráfico 4: Tendencias de mortalidad específica por cáncer de pulmón en hombres y
mujeres. Tasas estandarizadas por edad según población mundial por 100.000
habitantes. Argentina, 1980-2012.
Fuente: SIVER/INC–Ministerio de Salud de la
Nación en base a registros de mortalidad de la
DEIS-Argentina, 2014
Factores de riesgo
• Sexo
• Edad
• Tabaco (consumo personal y ambiental)
• Asbesto, Uranio, Radón, Cloruro vinilo, Arsénico
• Minerales de trabajo en minerias.
• Ambiental: humo, nitratos, sulfatos de las grandes
urbes.
• No hay quimioprevención con ningún compuesto
hasta la fecha ( retinoides, betacarotenos,Vitamina A,
N-acetil-cisteina).
Consenso argentino de CPNM 2012
Clasificacion
OMS 2004
Histologica.
Clasificación:
• Resumen de la OMS 2004
histologico según Robbins:
• - Epidermoide
• - Adenocarcinoma
• - Ca celulas pequeñas
• - Ca celulas grandes
• -Ca.pleomorfico,sarcomatoide.
• -Ca. Adenoescamoso
• -Tumor carcinoide
• -Ca tipo glandular salival
• -Ca inclasificable
• Clinica:
• -Celulas microciticas (ca
celulas pequeñas, ca
neuroendocrino de celulas
grandes, ca carcinoide y
mixtos[con areas de no
microcitico])
• -Celulas no Microciticas.
Lesiones Precursoras
• 1- Displasia escamosa y Ca in situ.
• 2- Hiperplasia adenomatosa atipica.
• 3- Hiperplasia idiopatica difusa de tejido
neuroendocrino.
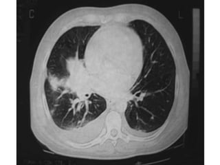
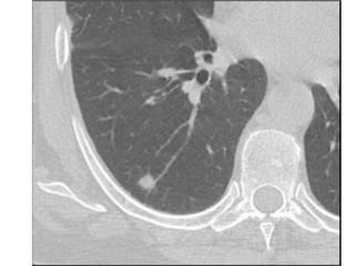
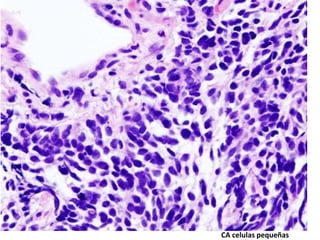
CA celulas pequeñas
Macroscopia
-Los ¾ son de formacion cercana al hilio (central)
-Los perifericos son mas adenocarcinomas.
-Pueden crecer:
1. En luz bronquial
2. Infiltrar bronquio y tejido circundante
3. Formar masa intraparenquimatosa.
-Son tumores duros, que pueden dar hemorragia y necrosis
(por tanto pueden hacer cavitaciones).
-Se pueden extender a pleura, pericardio, cavidad toracica.
Robbins 7ma
Clinica
SEPAR 2009
SEPAR 2009
DIAGNOSTICO
• Screening: Por el momento No hay
recomendaciones para realizar estudios en
todos los pacientes fumadores.
Tampoco hay biomarcadores para diagnostico
de uso clinico.
Consenso argentino de CPNM 2012
Etiologías
BENIGNAS
Granulomas infecciosos
Hamartomas
Absceso
Quiste hidatídico
Neumonía redonda
MAV
Sarcoidosis
Wegener
MALIGNAS
Carcinoma primario de
pulmón
Tumor carcinoides
Linfoma
Metástasis solitaria
Sarcoma
Neurofibroma
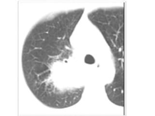
Nódulo pulmonar 8-30 mm
Calcificación benigna
Estabilidad por 2 años sí
No mayor
evaluación
no
Riesgo quirúgico aceptable
sí
Riesgo de cáncer bajo
(<10%)
Riesgo de cáncer intermedio
(10-60%)
Riesgo de cáncer alto
(>60%)
Seguimiento con TAC
3-6-9-12-18-24 meses
Cirugía
videotorascoscópica
Biopsia por congelación
Resección
PET, TC con Cte,
PAAF guiada por TC,
Broncoscopia
- +
Individualizar
opciones no
N Engl J Med 2003;348:2535-42.
ENFOQUE PARA PACIENTES CON NPS
Citología de Esputo
• Método no invasivo y de Fácil realización.
• Operador dependiente.
• S 66%, E 99%
• Esputo pre-broncoscopía S 22%
• Esputo post-broncoscopía S 35%
• Aumenta la S en lesiones centrales y con
mayor numero de muestras (min. 3)
Citología de Esputo
• Existen algunas características clínicas que
aumentan la S:
– Sangre en esputo
– Tm > 2,4 cm
– Tm central
– Bajo FEV1
– Estirpe Células escamosas.
Pedir siempre citología de esputo, sobre todo en lesiones
centrales y mayores de 2,5 cm. Importante el esputo post-
broncoscopía
Broncoscopía
• Tm centrales
– Biopsia bronquial S 74%
– Cepillo citológico S 59%
– BAL S 48%
– TBNA S 56%
• Técnicas combinadas S 88%, para lesiones
centrales o endobronquiales.
Broncoscopía
• Para tumores periféricos (cercanos a
bronquios segmentarios) la S de los métodos
combinados es del 69%.
• Varios estudios muestran que la S en Tumores
periféricos < 2 cm baja mucho (33%)
La broncoscopía esta indicada principalmente en lesiones centrales
y/o con compromiso endobronquial. En lo posible realizar biopsias,
cepillado, BAL y TBNA
Punción Guiada por TAC
• Para nódulos periféricos
• A 2 cm de la pleura
• S 80-95% E 50-88%
• VPP 98,6% VPN 96,6%
• Complicaciones: NTX
• Cuando el nódulo es < 2 cm baja la
sensibilidad de este procedimiento.
Procedimientos quirúrgicos
• La cirugía de resección es el “gold standard”
en el diagnóstico de un NPS y además puede
ser terapéutica.
• Los diferentes procedimientos quirúrgicos
que permiten la obtención de una muestra
son la VATS y la Toracotomía, pudiéndose
utilizar solas o en combinación.
Estadificación
Estatificación
-La estatificación se hace con TAC C/C Toraco-
abdominal.
-La búsqueda de metástasis se hace orientada en
base a la sintomatología del paciente.
-Los lugares mas frecuentes de MTS son: cerebro,
hueso, hígado, glándulas suprarrenales, ganglios y
pleura.
-Siempre se necesita confirmación histológica
para considerar la metástasis positiva.
Muchas Gracias.
Dudas,opiniones o
comentarios:
jjminetto@hotmail.com

Cancer de pulmon clase 2014

  • 1.
  • 2.
    Epidemiologia Tabla 2: Mortalidadpor cáncer en hombres y mujeres de Argentina 2012. Distribución absoluta y porcentaje acumulado según las principales localizaciones tumorales a nivel país y regiones geográficas. Fuente: SIVER / INC en base a datos de la DEIS. Ministerio de Salud de la Nación. Argentina, 2014
  • 3.
    Tabla 1: Distribuciónabsoluta y relativa de casos incidentes de cáncer estimados por la IARC para Argentina en 2012 según localizaciones tumorales más frecuentes. Fuente: Elaborado por SIVER/INC en base a los datos de Globocan 2012. Argentina, enero 2014.
  • 4.
    Gráfico 4: Tendenciasde mortalidad específica por cáncer de pulmón en hombres y mujeres. Tasas estandarizadas por edad según población mundial por 100.000 habitantes. Argentina, 1980-2012. Fuente: SIVER/INC–Ministerio de Salud de la Nación en base a registros de mortalidad de la DEIS-Argentina, 2014
  • 5.
    Factores de riesgo •Sexo • Edad • Tabaco (consumo personal y ambiental) • Asbesto, Uranio, Radón, Cloruro vinilo, Arsénico • Minerales de trabajo en minerias. • Ambiental: humo, nitratos, sulfatos de las grandes urbes. • No hay quimioprevención con ningún compuesto hasta la fecha ( retinoides, betacarotenos,Vitamina A, N-acetil-cisteina). Consenso argentino de CPNM 2012
  • 7.
  • 8.
    Clasificación: • Resumen dela OMS 2004 histologico según Robbins: • - Epidermoide • - Adenocarcinoma • - Ca celulas pequeñas • - Ca celulas grandes • -Ca.pleomorfico,sarcomatoide. • -Ca. Adenoescamoso • -Tumor carcinoide • -Ca tipo glandular salival • -Ca inclasificable • Clinica: • -Celulas microciticas (ca celulas pequeñas, ca neuroendocrino de celulas grandes, ca carcinoide y mixtos[con areas de no microcitico]) • -Celulas no Microciticas.
  • 9.
    Lesiones Precursoras • 1-Displasia escamosa y Ca in situ. • 2- Hiperplasia adenomatosa atipica. • 3- Hiperplasia idiopatica difusa de tejido neuroendocrino.
  • 15.
  • 17.
    Macroscopia -Los ¾ sonde formacion cercana al hilio (central) -Los perifericos son mas adenocarcinomas. -Pueden crecer: 1. En luz bronquial 2. Infiltrar bronquio y tejido circundante 3. Formar masa intraparenquimatosa. -Son tumores duros, que pueden dar hemorragia y necrosis (por tanto pueden hacer cavitaciones). -Se pueden extender a pleura, pericardio, cavidad toracica. Robbins 7ma
  • 18.
  • 19.
  • 21.
    DIAGNOSTICO • Screening: Porel momento No hay recomendaciones para realizar estudios en todos los pacientes fumadores. Tampoco hay biomarcadores para diagnostico de uso clinico. Consenso argentino de CPNM 2012
  • 26.
    Etiologías BENIGNAS Granulomas infecciosos Hamartomas Absceso Quiste hidatídico Neumoníaredonda MAV Sarcoidosis Wegener MALIGNAS Carcinoma primario de pulmón Tumor carcinoides Linfoma Metástasis solitaria Sarcoma Neurofibroma
  • 27.
    Nódulo pulmonar 8-30mm Calcificación benigna Estabilidad por 2 años sí No mayor evaluación no Riesgo quirúgico aceptable sí Riesgo de cáncer bajo (<10%) Riesgo de cáncer intermedio (10-60%) Riesgo de cáncer alto (>60%) Seguimiento con TAC 3-6-9-12-18-24 meses Cirugía videotorascoscópica Biopsia por congelación Resección PET, TC con Cte, PAAF guiada por TC, Broncoscopia - + Individualizar opciones no N Engl J Med 2003;348:2535-42. ENFOQUE PARA PACIENTES CON NPS
  • 28.
    Citología de Esputo •Método no invasivo y de Fácil realización. • Operador dependiente. • S 66%, E 99% • Esputo pre-broncoscopía S 22% • Esputo post-broncoscopía S 35% • Aumenta la S en lesiones centrales y con mayor numero de muestras (min. 3)
  • 29.
    Citología de Esputo •Existen algunas características clínicas que aumentan la S: – Sangre en esputo – Tm > 2,4 cm – Tm central – Bajo FEV1 – Estirpe Células escamosas. Pedir siempre citología de esputo, sobre todo en lesiones centrales y mayores de 2,5 cm. Importante el esputo post- broncoscopía
  • 30.
    Broncoscopía • Tm centrales –Biopsia bronquial S 74% – Cepillo citológico S 59% – BAL S 48% – TBNA S 56% • Técnicas combinadas S 88%, para lesiones centrales o endobronquiales.
  • 31.
    Broncoscopía • Para tumoresperiféricos (cercanos a bronquios segmentarios) la S de los métodos combinados es del 69%. • Varios estudios muestran que la S en Tumores periféricos < 2 cm baja mucho (33%) La broncoscopía esta indicada principalmente en lesiones centrales y/o con compromiso endobronquial. En lo posible realizar biopsias, cepillado, BAL y TBNA
  • 35.
    Punción Guiada porTAC • Para nódulos periféricos • A 2 cm de la pleura • S 80-95% E 50-88% • VPP 98,6% VPN 96,6% • Complicaciones: NTX • Cuando el nódulo es < 2 cm baja la sensibilidad de este procedimiento.
  • 36.
    Procedimientos quirúrgicos • Lacirugía de resección es el “gold standard” en el diagnóstico de un NPS y además puede ser terapéutica. • Los diferentes procedimientos quirúrgicos que permiten la obtención de una muestra son la VATS y la Toracotomía, pudiéndose utilizar solas o en combinación.
  • 40.
  • 42.
    Estatificación -La estatificación sehace con TAC C/C Toraco- abdominal. -La búsqueda de metástasis se hace orientada en base a la sintomatología del paciente. -Los lugares mas frecuentes de MTS son: cerebro, hueso, hígado, glándulas suprarrenales, ganglios y pleura. -Siempre se necesita confirmación histológica para considerar la metástasis positiva.
  • 44.