Neoplasias de pulmón.   Dr. Gaston Pérez Zenatti Octubre 2005.
CARCINOMA DE PULMÓN Primera causa de muerte por cáncer en ambos sexos 55 y los 65 años. Al momento del diagnóstico solo el 20 % tiene enfermedad localizada.
Factores Etiopatogénicos.   Tabaco- cáncer Fumadores pasivos ligero aumento del 1,5-1% Tabaco + contaminantes ambientales    (asbesto, uranio, cromatos, etc.) Enfermedad pulmonar inflamatoria con cicatrices o bullas
Clínica. Tos: mas frecuente. Hemoptisis 50%. Disnea. Dolor pleurítico o derrame. Afectación de la ventana aortopulmonar. SME vena cava superior. Pancoast-Tobías.
TIPOS HISTOLÓGICOS CARCINOMA EPIDERMOIDE. CARCINOMA ANAPLÁSICO DE CÉLULAS PEQUEÑAS. ADENOCARCINOMA. Bronquioloalveolar. CARCINOMA DE CÉLULAS GRANDES. OTROS
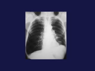
Adenocarcinoma ( 14-25 %). Mas frecuente en la actualidad y en aumento. 60-70 %  presentación nodular periférica  sobre todo en el lóbulo superior. No se originan en el bronquio, broncoscopia y citología de bajo rendimiento.
Características de malignidad. Borde umbilicado o espiculado. Reacción desmoplásica. Calcificación tenue o excéntrica y en especial la modificación con rx anteriores. Aumento como masa central y multicentralidad. Crecimiento lento pero mtts con facilidad a ganglio hiliares y mediastinicos y vía hematógena
 
 
 
 
 
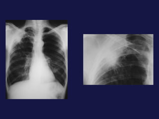
Carcinoma epidermoide ( 30% ). Bronquios centrales, ayuda la citología de esputo. Localización central. Provoca obstrucción bronquial con atelectasia o neumonía postobstructiva sin perdida de volumen mucha cavitación con paredes gruesas e irregulares. 40% lesión periférica,   con bordes espiculados o lobulados. Causa frecuente de pancoast-Tobías.
 
 
 
 
 
 
 
Carcinoma bronquioloalveolar  (1.5-6,5%) Subtipo de adenocarcinoma. Empieza como nódulo periférico, espiculado, hasta parecer una masa considerable, condensación alveolar o infiltrados múltiples 50% con cola pleural. Es FREC. el broncograma aéreo, puede presentar cavitación.
Carcinoma bronquioloalveolar.
Carcinoma de células grandes  (<15%). Dx por exclusión. Estrechamente relacionado con el tabaco. Rápido crecimiento y muy metastatizante. Masa periférica  con áreas de necrosis.
Carcinoma de células pequeñas   (18-25%). Peor pronóstico en  cuanto a supervivencia, responde bien a la quimioterapia. Variedad que mas da smes paraneoplasicos. 90% en bronquios centrales. SME de la vena cava superior. Localización central.
 
 
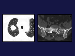
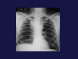
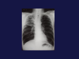
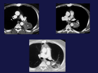
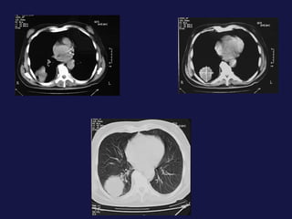
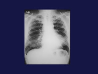
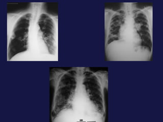
Hallazgos radiológicos. Tumor periférico. Nódulo o masa pulmonar. Bordes definidos, lobulados, irregulares, espiculados Calcificación ( focal, excéntrica ) Cavitación 1% presentan nódulos satélites. 25%  de broncoalveolares son múltiples. Adenocarcinoma y carcinoma de células alveolares.
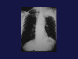
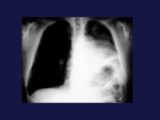
Tumor central. 60-75% próximos a los hilios. Epidermoides y células pequeñas. Agrandamiento asimétrico del hilio o masa de bordes espiculados. Atelectasia lobular, segmentaria o de todo el pulmón. Sobreinfección del parénquima distal y neumonía postobstructiva, a menudo abscesificada.
Estadísticas de Fraser. Pulmón derecho mas afectado (6:4). Predominio del lóbulo superior, segmento anterior. Localización intrabronquial en bronquios sementarios predomina con respecto a los bronquios principales o lobulares. Carcinoma broncógeno de origen traqueal no supera el 1 %.
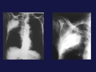
Extensión local y a distancia. Afectación  hiliar Invasión de la pared torácica (Pancoast). Afectación  pleural ( 8-15%). Afectación mediastínica. Linfangitis carcinomatosa. Metástasis extratorácicas.
Epidermoide 30-35 % Central,  atelectasia, puede  cavitar. Adenoc. Y bronquiolo. 35-40 % Periférico , nódulo o seudoneumonia Células pequeñas. 25-30 % Central , rápido crecimiento, Sist. APUD. Células grandes 10-15 % Periférico , nódulo grande.
 
 
 
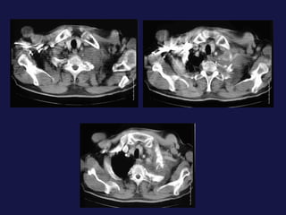
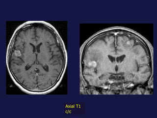
Metástasis. Cerebro. Hueso. Hígado. Suprarrenales.
 
 
 
Axial T1 c/c
Metástasis al pulmón. El pulmón y el hígado son los mas FREC. Pueden tener varios tamaños. Imágenes nodulares, únicas o múltiples. Pueden cavitarse y calcificación.
Metástasis.
 
 
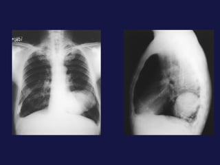
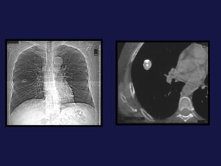
Tumor pulmonar benigno (hamartoma). Combinación anormal de tejido. Los pulmones contienen cartílago y células de epitelio bronquial, grasa o quistes. Crecimiento lento, rara vez malignos,. 40-50 años. 90 % periféricos y asintomático.
 
 
 
Linfomas torácicos. Linfoma hodgkin   ( presencia de célula RS). Esclerosis nodular, predominio linfocitico, celularidad mixta, deplesión linfocitaria. Linfoma no hodgkin.
Afectación parenquimatosa pulmonar. Como manifestación inicial es infrecuente (10-15%), pero es mas habitual en el LNH. LH generalmente asociada a adenopatías hiliares y mediastínicas.  LH: nódulo o masa solitaria o mas frecuente, múltiple de bordes redondeados definidos o espiculados.
LNH: masa o nódulo único o múltiple, de bordes redondeados, condensación alveolar segmentaria o lobular. Es característica la presencia de broncograma aéreo con bronquios estrechados e irregulares.
Rx de Tórax Sospecha clínica  Rx OBLICUA TC LESIÓN PERIFERICA COMPARACIÓN CON Rx PREVIAS CITOLOGÍA DE ESPUTO RIESGO BAJO SEGUIMIENTO PAAF RIESGO MODERADO LESIÓN CENTRAL CITOLÓGICA DE ESPUTO BRONCOSCOPÍA TC PAAF TC SEGUIR ACTITUD RADIOLÓGICA
Gracias !!!!!! Dardo Rocha, La Plata. Argentina.

cancer de pulmon

  • 1.
    Neoplasias de pulmón. Dr. Gaston Pérez Zenatti Octubre 2005.
  • 2.
    CARCINOMA DE PULMÓNPrimera causa de muerte por cáncer en ambos sexos 55 y los 65 años. Al momento del diagnóstico solo el 20 % tiene enfermedad localizada.
  • 3.
    Factores Etiopatogénicos. Tabaco- cáncer Fumadores pasivos ligero aumento del 1,5-1% Tabaco + contaminantes ambientales (asbesto, uranio, cromatos, etc.) Enfermedad pulmonar inflamatoria con cicatrices o bullas
  • 4.
    Clínica. Tos: masfrecuente. Hemoptisis 50%. Disnea. Dolor pleurítico o derrame. Afectación de la ventana aortopulmonar. SME vena cava superior. Pancoast-Tobías.
  • 5.
    TIPOS HISTOLÓGICOS CARCINOMAEPIDERMOIDE. CARCINOMA ANAPLÁSICO DE CÉLULAS PEQUEÑAS. ADENOCARCINOMA. Bronquioloalveolar. CARCINOMA DE CÉLULAS GRANDES. OTROS
  • 6.
    Adenocarcinoma ( 14-25%). Mas frecuente en la actualidad y en aumento. 60-70 % presentación nodular periférica sobre todo en el lóbulo superior. No se originan en el bronquio, broncoscopia y citología de bajo rendimiento.
  • 7.
    Características de malignidad.Borde umbilicado o espiculado. Reacción desmoplásica. Calcificación tenue o excéntrica y en especial la modificación con rx anteriores. Aumento como masa central y multicentralidad. Crecimiento lento pero mtts con facilidad a ganglio hiliares y mediastinicos y vía hematógena
  • 8.
  • 9.
  • 10.
  • 11.
  • 12.
  • 13.
    Carcinoma epidermoide (30% ). Bronquios centrales, ayuda la citología de esputo. Localización central. Provoca obstrucción bronquial con atelectasia o neumonía postobstructiva sin perdida de volumen mucha cavitación con paredes gruesas e irregulares. 40% lesión periférica, con bordes espiculados o lobulados. Causa frecuente de pancoast-Tobías.
  • 14.
  • 15.
  • 16.
  • 17.
  • 18.
  • 19.
  • 20.
  • 21.
    Carcinoma bronquioloalveolar (1.5-6,5%) Subtipo de adenocarcinoma. Empieza como nódulo periférico, espiculado, hasta parecer una masa considerable, condensación alveolar o infiltrados múltiples 50% con cola pleural. Es FREC. el broncograma aéreo, puede presentar cavitación.
  • 22.
  • 23.
    Carcinoma de célulasgrandes (<15%). Dx por exclusión. Estrechamente relacionado con el tabaco. Rápido crecimiento y muy metastatizante. Masa periférica con áreas de necrosis.
  • 24.
    Carcinoma de célulaspequeñas (18-25%). Peor pronóstico en cuanto a supervivencia, responde bien a la quimioterapia. Variedad que mas da smes paraneoplasicos. 90% en bronquios centrales. SME de la vena cava superior. Localización central.
  • 25.
  • 26.
  • 27.
    Hallazgos radiológicos. Tumorperiférico. Nódulo o masa pulmonar. Bordes definidos, lobulados, irregulares, espiculados Calcificación ( focal, excéntrica ) Cavitación 1% presentan nódulos satélites. 25% de broncoalveolares son múltiples. Adenocarcinoma y carcinoma de células alveolares.
  • 28.
    Tumor central. 60-75%próximos a los hilios. Epidermoides y células pequeñas. Agrandamiento asimétrico del hilio o masa de bordes espiculados. Atelectasia lobular, segmentaria o de todo el pulmón. Sobreinfección del parénquima distal y neumonía postobstructiva, a menudo abscesificada.
  • 29.
    Estadísticas de Fraser.Pulmón derecho mas afectado (6:4). Predominio del lóbulo superior, segmento anterior. Localización intrabronquial en bronquios sementarios predomina con respecto a los bronquios principales o lobulares. Carcinoma broncógeno de origen traqueal no supera el 1 %.
  • 30.
    Extensión local ya distancia. Afectación hiliar Invasión de la pared torácica (Pancoast). Afectación pleural ( 8-15%). Afectación mediastínica. Linfangitis carcinomatosa. Metástasis extratorácicas.
  • 31.
    Epidermoide 30-35 %Central, atelectasia, puede cavitar. Adenoc. Y bronquiolo. 35-40 % Periférico , nódulo o seudoneumonia Células pequeñas. 25-30 % Central , rápido crecimiento, Sist. APUD. Células grandes 10-15 % Periférico , nódulo grande.
  • 32.
  • 33.
  • 34.
  • 35.
    Metástasis. Cerebro. Hueso.Hígado. Suprarrenales.
  • 36.
  • 37.
  • 38.
  • 39.
  • 40.
    Metástasis al pulmón.El pulmón y el hígado son los mas FREC. Pueden tener varios tamaños. Imágenes nodulares, únicas o múltiples. Pueden cavitarse y calcificación.
  • 41.
  • 42.
  • 43.
  • 44.
    Tumor pulmonar benigno(hamartoma). Combinación anormal de tejido. Los pulmones contienen cartílago y células de epitelio bronquial, grasa o quistes. Crecimiento lento, rara vez malignos,. 40-50 años. 90 % periféricos y asintomático.
  • 45.
  • 46.
  • 47.
  • 48.
    Linfomas torácicos. Linfomahodgkin ( presencia de célula RS). Esclerosis nodular, predominio linfocitico, celularidad mixta, deplesión linfocitaria. Linfoma no hodgkin.
  • 49.
    Afectación parenquimatosa pulmonar.Como manifestación inicial es infrecuente (10-15%), pero es mas habitual en el LNH. LH generalmente asociada a adenopatías hiliares y mediastínicas. LH: nódulo o masa solitaria o mas frecuente, múltiple de bordes redondeados definidos o espiculados.
  • 50.
    LNH: masa onódulo único o múltiple, de bordes redondeados, condensación alveolar segmentaria o lobular. Es característica la presencia de broncograma aéreo con bronquios estrechados e irregulares.
  • 51.
    Rx de TóraxSospecha clínica Rx OBLICUA TC LESIÓN PERIFERICA COMPARACIÓN CON Rx PREVIAS CITOLOGÍA DE ESPUTO RIESGO BAJO SEGUIMIENTO PAAF RIESGO MODERADO LESIÓN CENTRAL CITOLÓGICA DE ESPUTO BRONCOSCOPÍA TC PAAF TC SEGUIR ACTITUD RADIOLÓGICA
  • 52.
    Gracias !!!!!! DardoRocha, La Plata. Argentina.