ECOGRAFIA 
BILIAR EN 
EMERGENCIA 
2014 
DR MAXIMILIANO GUERRERO
Objetivos 
Introduccion 
• Revisar la anatomia biliar 
• Consideraciones técnicas 
• Presentaciones comunes de la colelitiasis 
• Inflamacion de la vesicula biliar 
• Ecografía en el departamento de 
emergencia
Introducción 
Utilidad clínica 
• Alta temprana de pacientes con colico 
biliar no complicado 
• Diagnóstico temprano en pacientes 
criticamente enfermos con patología biliar 
• Consulta de imágenes sigue siendo 
necesario si las imágenes son técnicamente 
inadecuadas 
• La colecistitis aguda requiere más imágenes
Introducción 
Utilidad Clínica 
• Los emergentologos pueden detecar 
cáculos con un 96 % de sensibilidad.1 
• El 83% del estudio completo se hace en 
menos de 10 minutos.1 
• En pacientes con colico biliar, el screening 
disminuye la internación promedio 
1 Kendall JL, Shimp R. Performance and interpretation of focused right upper quadrant ultrasound by emergency physicians. 
Jour Emerg Med 2001: 21 7-13. 
2 Blaivas M, Harwood, Lambert M. Decreasing length of stay with emergency ultrasound examination of the gallbladder. Acad 
Emerg Med 1999: 6(10) 1020-1023
Aplicaciones 
Diagnosticas 
Introducción 
Para facilitar el diagnostico de: 
• Colelitiasis 
• Colecisititis aguda y crónica 
• Ictericia 
• Barro biliar 
• Cáncer de vésicula biliar 
• Anomalias biliares congénitas
Consideraciones 
Tecnicas
Consideraciones Tecnicas 
Anatomia del cuadrante 
superior derecho 
• Organización compleja de sus componentes 
• Organos solidos 
• Organos huecos 
• Vasculatura portal 
• Vasculatura sistémica 
• Tracto biliar 
• Visceras retroperitoneales 
• Visceras intraperitoneales
Consideraciones Tecnicas 
Anatomia del cuadrante 
superior derecho 
• La vesicula biliar no es un órgano fijo 
• Se mueve en varias direcciones dentro del cuadrante 
superior derecho 
• El cuello vesicular tiene una relación fija con la fisura 
lobar principal y la vena portal 
• La fisura lobar principal conecta la vena portal con el 
cuello de la vesicula y la fisura puede ser trazada entre 
ambas. 
• El conducto biliar es siempre anterior a la vena porta 
• Los ductos son mas brillantes y ecogénicos que las venas 
y arterias
Anatomia del cuadrante superior 
derecho 
Consideraciones tecnicas 
right liver lobe 
quadrate 
liver lobe 
left liver lobe 
IVC 
gallbladder 
cystic duct 
portal vein 
hepatic artery 
common bile 
duct
Consideraciones tecnicas 
Anatomia del cuadrante 
superior derecho 
portal triad
Consideraciones tecnicas 
Anatomia del cuadrante 
superior derecho 
Vesicula biliar 
• Usualmente fácil de ver por ecografía 
• Estructura llena de fluido 
• Pared de tres capas 
• Capa externa fuertemente reflectiva 
• Capa interna debilmente reflectiva 
• Capa anecoica intermedia 
• Grosor de la pared de menos de 2 mm en el 97%
Considerationes técnicas 
Anatomia del cuadrante 
superior derecho 
Conducto biliar comun 
• Corre paralelo a la vena porta y por 
encima(superior) a esta 
• Diametro interno < 4mm in 98% de los 
individuos normales 
• >7mm es patologico
Consideraciones tecnicas 
Preparación del 
paciente 
• Ingesta de alimentos 
• Contraccion de la vesícula 
• Puede hacer dificultosa la visualización de 
la vesícula 
• Electivo en pacientes externados 
• 6-8 horas de ayuno se requiere por esta 
razón
Consideraciones tecnicas 
Anatomia individual 
• Factores que pueden hacer dificultoso el 
estudio 
• Higado pequeño (pequeña ventana 
ecográfica) 
• Vasicula anterior (pequeña ventana 
ecográfica) 
• Excesivo gas intestinal 
• Obesidad
Consideraciones tecnicas 
Posición del paciente 
Posición del paciente 
Decubito lateral izquierdo es 
el mejor-decubito supino el 
usual 
Respiración profunda si no 
se ve o sobre la costilla con 
ventana hepatica 
Posiciones de la vesicula 
bajo el higado 
Usar transductor 2,5-5 MHZ 
curvilineo o abdominal
Hallazgos 
ecograficos 
normales
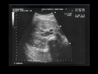
Hallazgos ecograficos normales 
Orientacion Sagital
Hallazgos ecográficos normales 
Orientacion Sagital 
•Barrido ida y vuelta para litos 
•Para evaluar liquido pericolescisto 
•Para evaluar grosor de la pared 
QuickTime™ and a 
H.264 decompressor 
are needed to see this picture.
Orientacion Sagital 
Conducto biliar comun 
Vena porta 
Arteria hepatica 
Hallazgos ecograficos normales
Hallazgos ecográgicos normales 
Orientacion Sagital
Hallazgos ecograficos normales 
Orientacion Coronal 
•Si la vista sagital es 
dificultosa, tratar de 
hacer la coronal 
•Puede dar una 
ventana hepatica 
mayor
Orientacion Coronal 
Ultrasound Views of the Gallbladder 
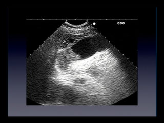
Hallazgos ecograficos normales 
Varias posiciones, la misma vista!
Hallazgos ecograficos normales 
Orientacion Axial
Hallazgos ecograficos normales 
Orientacion Axial 
•Rotar contra las agujas del reloj para obtener la vista axial 
•Barrer hacia arriba y hacia abajopara litos 
•Para evaluar liquido pericolecisto 
•Para evaluar grosor de QuickTimela pared 
™ and a 
H.264 decompressor 
are needed to see this picture.
VESICULA BILIAR 
TRANSVERSAL LONGITUDINAL
VESICULA 
MeBdiciIónL deI Ala paRred anterior
Hallazgos ecograficos normales 
Configuraciones comunes de la 
triada portal 
Arteria hepatica entre vena porta y conducto 
biliar comun 
Conducto biliar comun paralelo y superior a 
la vena porta.No se ve la arteria hepatica. 
Los tres componentes de la triada portal ten 
la vista axial - “mickey mouse sign”
Hallazgos ecograficos normales 
Orientacion Axial 
El color puede ser usado para ver el CBD
COLEDOCO 
MEDICION DE PARED INTERNA A INTERNA
ANTE UNA OBSTRUCCIÓN SE 
PRODUCE UNA EXPANSIÓN 
CENTRÍFUGA( PRIMERO DILATA 
EL COLÉDOCO ,LUEGO LA 
VESÍCULA Y POR ÚLTIMO LA 
VÍA INTRAHEPÁTICA) 
ANTE LA DESOBSTRUCCIÓN SE 
PRODUCE UNA CONTRACCIÓN 
CENTRÍPETA( PRIMERO SE 
NORMALIZA LA 
VÍAINTRAHEPÁTICA,LUEGO LA 
VESÍCULA YPOR ÚLTIMO EL 
COLÉDOCO )( POR LEY DE 
LAPLACE)
FISURA LOBAR 
PRINCIPAL
Ecografía patologica
Ecografía patologica 
Colelitiasis 
• Caracteristicas ecograficas 
• Estructuras ecogénicas dentro de la luz 
vesicular libre de ecos 
• Sombra acustica con margenes “limpios” 
• Dependencia gravitacional 
• Son usualmente moviles
Ecografia patologica 
Colelitiasis
Ecografía patologica 
Colelitiasis
Ecografía patologica 
Colelitiasis
Ecografía patologica 
Colelitiasis
Ecografia patologica 
Colelitiasis
Ecografia patologica 
Colelitiasis
Colelitiasis 
gas intestinal 
Ecografia patologica
Ecografia patologica 
Colelitiasis 
Litos aire
Ecografia patologica 
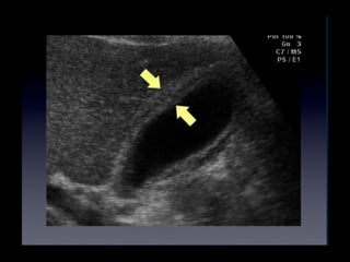
Colelitiasis 
Polipo vesicular: sin dependencia gravitacional
Ecografia patologica 
Colelitiasis 
• Vesicula llena de calculos: Signo de Eco de la 
pared 
• Fuerte hiperecogenico borde anterior de los 
litos 
• Difficultoso identificar sin experiencia 
• Puede confundirse con gas intestinal
Colelitiasis 
signo de eco de la pared 
Ecografia patologica
Ecografia patologica 
Colelitiasis 
• Patrones de imagenes 
• Foco ecogénico, sombra acustica limpia, 
dependencia gravitacional 
• Gravedad 
• Lito grande 
• Signo de eco de la pared
Colecistitis 
• Enfermedad biliar como un continuo 
Colelitiasis asintomatica 
colico biliar 
colecistitis aguda 
Ecografia patologica
COMPLICACIONE 
S 
Cólico biliar persistente. 
Colecistitis aguda. 
Pancreatitis aguda. 
Litiasis coledociana. 
Colangitis aguda. 
Íleo biliar. 
Sme de Mirizzi: 
1) Tipo 1: compresión extrínseca del colédoco. 
2) Tipo 2: fístula colecistobiliar.
Ecografia patologica 
Colecistitis 
• Hallazgos ecográficos en la Coleciistitis: 
• Colelitiasis 
• Engrosamiento de la pared vesicular 
• Liquido perivesicular 
• Signo ecográfico de Murphy
Ecografía patológica 
Colecistitis 
• Colelitiasis 
• Se encuentra en la mayoría de los casos 
• En ausencia, evaluar colecistitis acalculosa
Colecistitis 
Ecografia patologica 
• Pared anterior grosor: <4mm 
• Promedio de 9 mm en la colecistitis aguda 
• Puede estar engrosada en: 
• normal post-prandial contraccion 
• hipoalbuminemia 
• hepatitis 
• ascitis 
• Insuficiencia cardiaca 
• Insuficiencia renal 
• HIV/SIDA 
• Adenomiomatosis 
• Mieloma multiple
Colecistitis 
Grosor de pared normal 
Ecografia patologica
Ecografia patologica 
Colecistitis
Ecografia patologica 
Colecistitis
Colecistitis 
enfisematosa 
Ecografia 
patologica
Ecografia 
patologica 
Colecistitis alitiasica
Colecistitis 
contraccion postprandial 
Ecografia patologica
Ecografía patologica 
Colecistitis 
• Signo ecográfico de Murphy 
• Indicator bastante sensible 
• Sensibilidad 72-93% 
• Especificidad 35%
Ecografia patologica 
Colecistitis 
• Liquido perivesicular 
• “Llanto” de liquido seroso de la 
superficie vesicular 
• Puede representar una perforacion o 
absceso
Ecografia patologica 
Colecistitis 
• Dilatación del coledoco 
• Puede ser dificil de hallar 
• Rotar al paciente para el lado izquierdo 
• El transductor perpendicular al borde 
costal 
• Superior a la vena porta
Ecografía patologica 
Colecistitis 
• Coledoco 
• Promedio de diametro interno es de 4-6mm 
• Mayor a 7mm es anormal 
• CBD >1cm es indicativo de obstruccion 
• Ver litos en el coledoco 
• En pacientes colecistectomizados hasta 10 mm 
puede ser normal
Colecistitis 
CBD dilatado 
Ecografia patologica
Colecistitis 
CBD dilatado 
Ecografia patologica
Ecografia patologica 
Colecistitis
Ecografia patologica 
Barro biliar 
• Significado clinico simil litiasis 
• Su presencia se asocia con: 
• Obstrucción de via biliar extrahepatica 
• Colecistitis aguda y crónica 
• Pancreatitis 
• Ectasia relativamente benigna de la bilis
Ecografia patologica 
Barro biliar 
• Se encuentra en el 2% de las ecografías del 
cuadrante superior derecho 
• Curso clinico: 
• La mayoría se resuelve espontaneamente 
• Puede dar lugar a patología del tracto 
biliar
Ecografia patologica 
Barro biliar 
• Que hacer con el barro biliar? 
• Si es incidental: seguimiento 
• Si se encuentra en presencia de 
sintomatologia aguda o.. 
• Pared vesicular engrosada 
• Liquido perivesiccular 
• Signo de Murphy ecografico Tratar agresivamente
Ecografia patologica 
Barro biliar 
• Eco de baja amplitud 
• Exhibe dependencia 
• Puede estar conteniendo litos
Barro biliar 
Barro biliar 
Ecografia patologica
Ecografia patologica 
Barro biliar 
Ecografia patologica
Ecografia patologica 
Barro biliar
Ecografia patologica 
Colecistitis Alitiasica 
• 5-10% de las colecistitis agudas 
• Más rápida y de curso más maligno 
• La ecografía muestra colecistitis sin calculos
Ecografia patologica 
Cancer de vesicula 
• Carcinoma primario de vesicula 
• La neoplasia más comun del tracto biliar 
• 1-2% de todas las neoplasias malignas 
gastrointestinales
Ecografia patologica 
Cancer de vesicula 
• Causa 
• Desconocida 
• Fuerte correlación con litiasis 
• 75% de los pacientes con cancer de 
vesicula
Ecografia patologica 
Cancer de vesicula 
• Modalidades diagnosticas 
• CT 
• MRI 
• Ecografia 
• Alta tasa de falsos positivos y falsos 
negativos
Ecografia patologica 
Cancer de vesicula 
• Caracteristicas del carcinoma vesicular 
• Masa vesicula 
• Masa intraluminal polipoidea 
• Engrosamiento difuso de la pared 
• Invasión directa 
• Va mas alla del manejo del emergentologo 
• Pero puede ser descubierto incidentalmente
Errores
Errores Comunes 
Errores 
• Falla en visualizar la vesicula completa, errar litos 
• Falla en visualizar la vesicula en dos ejes, errar litos 
• Ver artefactos y malinterpretar ventanas 
• Barro 
• Gas intestinal 
• Ver imagenes de mala calidad
Litos vs Gas 
Intestinal 
Errores 
Litos Gas 
• Gas y litos pueden crear sombras pero 
por diferentes razones
Errores Litos vs Gas 
Intestinal 
El aire dispersa el sonido
Litos vs Gas 
Intestinal 
• Los litos deben estar dentro de la vesicula 
• Evaluar peristalsis 
Errores
Polipos Vesiculares 
Errores 
• Los polipos estan adheridos a la pared 
vesicular 
• Los litos tienen que tener dependencia 
gravitacional
Errores 
Polipos Vesiculares 
polipo
Reforzamiento acustico 
posterior 
Puede llevar a una falsa medición del grosor de la pared: 
Siempre medir pared anterior 
Errores
Resumen 
Consideraciones Finales 
• Conocimiento de la anatomia 
• Posición del paciente 
• Artefactos vs. patología 
• Los litos pueden tener distintas apariencias, 
pueden ser dificiles de encontrar 
• Hallazgos ecográficos de colecistitis 
• Conocer sus limitaciones
Ahora a hacer 
Ecografias……………
Ecografia biliar
Ecografia biliar

Ecografia biliar

  • 1.
    ECOGRAFIA BILIAR EN EMERGENCIA 2014 DR MAXIMILIANO GUERRERO
  • 2.
    Objetivos Introduccion •Revisar la anatomia biliar • Consideraciones técnicas • Presentaciones comunes de la colelitiasis • Inflamacion de la vesicula biliar • Ecografía en el departamento de emergencia
  • 3.
    Introducción Utilidad clínica • Alta temprana de pacientes con colico biliar no complicado • Diagnóstico temprano en pacientes criticamente enfermos con patología biliar • Consulta de imágenes sigue siendo necesario si las imágenes son técnicamente inadecuadas • La colecistitis aguda requiere más imágenes
  • 4.
    Introducción Utilidad Clínica • Los emergentologos pueden detecar cáculos con un 96 % de sensibilidad.1 • El 83% del estudio completo se hace en menos de 10 minutos.1 • En pacientes con colico biliar, el screening disminuye la internación promedio 1 Kendall JL, Shimp R. Performance and interpretation of focused right upper quadrant ultrasound by emergency physicians. Jour Emerg Med 2001: 21 7-13. 2 Blaivas M, Harwood, Lambert M. Decreasing length of stay with emergency ultrasound examination of the gallbladder. Acad Emerg Med 1999: 6(10) 1020-1023
  • 5.
    Aplicaciones Diagnosticas Introducción Para facilitar el diagnostico de: • Colelitiasis • Colecisititis aguda y crónica • Ictericia • Barro biliar • Cáncer de vésicula biliar • Anomalias biliares congénitas
  • 6.
  • 7.
    Consideraciones Tecnicas Anatomiadel cuadrante superior derecho • Organización compleja de sus componentes • Organos solidos • Organos huecos • Vasculatura portal • Vasculatura sistémica • Tracto biliar • Visceras retroperitoneales • Visceras intraperitoneales
  • 8.
    Consideraciones Tecnicas Anatomiadel cuadrante superior derecho • La vesicula biliar no es un órgano fijo • Se mueve en varias direcciones dentro del cuadrante superior derecho • El cuello vesicular tiene una relación fija con la fisura lobar principal y la vena portal • La fisura lobar principal conecta la vena portal con el cuello de la vesicula y la fisura puede ser trazada entre ambas. • El conducto biliar es siempre anterior a la vena porta • Los ductos son mas brillantes y ecogénicos que las venas y arterias
  • 9.
    Anatomia del cuadrantesuperior derecho Consideraciones tecnicas right liver lobe quadrate liver lobe left liver lobe IVC gallbladder cystic duct portal vein hepatic artery common bile duct
  • 10.
    Consideraciones tecnicas Anatomiadel cuadrante superior derecho portal triad
  • 12.
    Consideraciones tecnicas Anatomiadel cuadrante superior derecho Vesicula biliar • Usualmente fácil de ver por ecografía • Estructura llena de fluido • Pared de tres capas • Capa externa fuertemente reflectiva • Capa interna debilmente reflectiva • Capa anecoica intermedia • Grosor de la pared de menos de 2 mm en el 97%
  • 13.
    Considerationes técnicas Anatomiadel cuadrante superior derecho Conducto biliar comun • Corre paralelo a la vena porta y por encima(superior) a esta • Diametro interno < 4mm in 98% de los individuos normales • >7mm es patologico
  • 14.
    Consideraciones tecnicas Preparacióndel paciente • Ingesta de alimentos • Contraccion de la vesícula • Puede hacer dificultosa la visualización de la vesícula • Electivo en pacientes externados • 6-8 horas de ayuno se requiere por esta razón
  • 15.
    Consideraciones tecnicas Anatomiaindividual • Factores que pueden hacer dificultoso el estudio • Higado pequeño (pequeña ventana ecográfica) • Vasicula anterior (pequeña ventana ecográfica) • Excesivo gas intestinal • Obesidad
  • 16.
    Consideraciones tecnicas Posicióndel paciente Posición del paciente Decubito lateral izquierdo es el mejor-decubito supino el usual Respiración profunda si no se ve o sobre la costilla con ventana hepatica Posiciones de la vesicula bajo el higado Usar transductor 2,5-5 MHZ curvilineo o abdominal
  • 17.
  • 18.
    Hallazgos ecograficos normales Orientacion Sagital
  • 19.
    Hallazgos ecográficos normales Orientacion Sagital •Barrido ida y vuelta para litos •Para evaluar liquido pericolescisto •Para evaluar grosor de la pared QuickTime™ and a H.264 decompressor are needed to see this picture.
  • 20.
    Orientacion Sagital Conductobiliar comun Vena porta Arteria hepatica Hallazgos ecograficos normales
  • 21.
    Hallazgos ecográgicos normales Orientacion Sagital
  • 22.
    Hallazgos ecograficos normales Orientacion Coronal •Si la vista sagital es dificultosa, tratar de hacer la coronal •Puede dar una ventana hepatica mayor
  • 23.
    Orientacion Coronal UltrasoundViews of the Gallbladder Hallazgos ecograficos normales Varias posiciones, la misma vista!
  • 24.
  • 25.
    Hallazgos ecograficos normales Orientacion Axial •Rotar contra las agujas del reloj para obtener la vista axial •Barrer hacia arriba y hacia abajopara litos •Para evaluar liquido pericolecisto •Para evaluar grosor de QuickTimela pared ™ and a H.264 decompressor are needed to see this picture.
  • 26.
  • 28.
    VESICULA MeBdiciIónL deIAla paRred anterior
  • 29.
    Hallazgos ecograficos normales Configuraciones comunes de la triada portal Arteria hepatica entre vena porta y conducto biliar comun Conducto biliar comun paralelo y superior a la vena porta.No se ve la arteria hepatica. Los tres componentes de la triada portal ten la vista axial - “mickey mouse sign”
  • 30.
    Hallazgos ecograficos normales Orientacion Axial El color puede ser usado para ver el CBD
  • 32.
    COLEDOCO MEDICION DEPARED INTERNA A INTERNA
  • 33.
    ANTE UNA OBSTRUCCIÓNSE PRODUCE UNA EXPANSIÓN CENTRÍFUGA( PRIMERO DILATA EL COLÉDOCO ,LUEGO LA VESÍCULA Y POR ÚLTIMO LA VÍA INTRAHEPÁTICA) ANTE LA DESOBSTRUCCIÓN SE PRODUCE UNA CONTRACCIÓN CENTRÍPETA( PRIMERO SE NORMALIZA LA VÍAINTRAHEPÁTICA,LUEGO LA VESÍCULA YPOR ÚLTIMO EL COLÉDOCO )( POR LEY DE LAPLACE)
  • 34.
  • 35.
  • 36.
    Ecografía patologica Colelitiasis • Caracteristicas ecograficas • Estructuras ecogénicas dentro de la luz vesicular libre de ecos • Sombra acustica con margenes “limpios” • Dependencia gravitacional • Son usualmente moviles
  • 37.
  • 38.
  • 39.
  • 41.
  • 42.
  • 43.
  • 44.
    Colelitiasis gas intestinal Ecografia patologica
  • 45.
  • 46.
    Ecografia patologica Colelitiasis Polipo vesicular: sin dependencia gravitacional
  • 47.
    Ecografia patologica Colelitiasis • Vesicula llena de calculos: Signo de Eco de la pared • Fuerte hiperecogenico borde anterior de los litos • Difficultoso identificar sin experiencia • Puede confundirse con gas intestinal
  • 48.
    Colelitiasis signo deeco de la pared Ecografia patologica
  • 49.
    Ecografia patologica Colelitiasis • Patrones de imagenes • Foco ecogénico, sombra acustica limpia, dependencia gravitacional • Gravedad • Lito grande • Signo de eco de la pared
  • 50.
    Colecistitis • Enfermedadbiliar como un continuo Colelitiasis asintomatica colico biliar colecistitis aguda Ecografia patologica
  • 51.
    COMPLICACIONE S Cólicobiliar persistente. Colecistitis aguda. Pancreatitis aguda. Litiasis coledociana. Colangitis aguda. Íleo biliar. Sme de Mirizzi: 1) Tipo 1: compresión extrínseca del colédoco. 2) Tipo 2: fístula colecistobiliar.
  • 54.
    Ecografia patologica Colecistitis • Hallazgos ecográficos en la Coleciistitis: • Colelitiasis • Engrosamiento de la pared vesicular • Liquido perivesicular • Signo ecográfico de Murphy
  • 56.
    Ecografía patológica Colecistitis • Colelitiasis • Se encuentra en la mayoría de los casos • En ausencia, evaluar colecistitis acalculosa
  • 57.
    Colecistitis Ecografia patologica • Pared anterior grosor: <4mm • Promedio de 9 mm en la colecistitis aguda • Puede estar engrosada en: • normal post-prandial contraccion • hipoalbuminemia • hepatitis • ascitis • Insuficiencia cardiaca • Insuficiencia renal • HIV/SIDA • Adenomiomatosis • Mieloma multiple
  • 58.
    Colecistitis Grosor depared normal Ecografia patologica
  • 60.
  • 61.
  • 63.
  • 64.
  • 65.
  • 66.
    Ecografía patologica Colecistitis • Signo ecográfico de Murphy • Indicator bastante sensible • Sensibilidad 72-93% • Especificidad 35%
  • 67.
    Ecografia patologica Colecistitis • Liquido perivesicular • “Llanto” de liquido seroso de la superficie vesicular • Puede representar una perforacion o absceso
  • 68.
    Ecografia patologica Colecistitis • Dilatación del coledoco • Puede ser dificil de hallar • Rotar al paciente para el lado izquierdo • El transductor perpendicular al borde costal • Superior a la vena porta
  • 69.
    Ecografía patologica Colecistitis • Coledoco • Promedio de diametro interno es de 4-6mm • Mayor a 7mm es anormal • CBD >1cm es indicativo de obstruccion • Ver litos en el coledoco • En pacientes colecistectomizados hasta 10 mm puede ser normal
  • 70.
    Colecistitis CBD dilatado Ecografia patologica
  • 71.
    Colecistitis CBD dilatado Ecografia patologica
  • 72.
  • 73.
    Ecografia patologica Barrobiliar • Significado clinico simil litiasis • Su presencia se asocia con: • Obstrucción de via biliar extrahepatica • Colecistitis aguda y crónica • Pancreatitis • Ectasia relativamente benigna de la bilis
  • 74.
    Ecografia patologica Barrobiliar • Se encuentra en el 2% de las ecografías del cuadrante superior derecho • Curso clinico: • La mayoría se resuelve espontaneamente • Puede dar lugar a patología del tracto biliar
  • 75.
    Ecografia patologica Barrobiliar • Que hacer con el barro biliar? • Si es incidental: seguimiento • Si se encuentra en presencia de sintomatologia aguda o.. • Pared vesicular engrosada • Liquido perivesiccular • Signo de Murphy ecografico Tratar agresivamente
  • 76.
    Ecografia patologica Barrobiliar • Eco de baja amplitud • Exhibe dependencia • Puede estar conteniendo litos
  • 77.
    Barro biliar Barrobiliar Ecografia patologica
  • 78.
    Ecografia patologica Barrobiliar Ecografia patologica
  • 79.
  • 80.
    Ecografia patologica ColecistitisAlitiasica • 5-10% de las colecistitis agudas • Más rápida y de curso más maligno • La ecografía muestra colecistitis sin calculos
  • 81.
    Ecografia patologica Cancerde vesicula • Carcinoma primario de vesicula • La neoplasia más comun del tracto biliar • 1-2% de todas las neoplasias malignas gastrointestinales
  • 82.
    Ecografia patologica Cancerde vesicula • Causa • Desconocida • Fuerte correlación con litiasis • 75% de los pacientes con cancer de vesicula
  • 83.
    Ecografia patologica Cancerde vesicula • Modalidades diagnosticas • CT • MRI • Ecografia • Alta tasa de falsos positivos y falsos negativos
  • 84.
    Ecografia patologica Cancerde vesicula • Caracteristicas del carcinoma vesicular • Masa vesicula • Masa intraluminal polipoidea • Engrosamiento difuso de la pared • Invasión directa • Va mas alla del manejo del emergentologo • Pero puede ser descubierto incidentalmente
  • 85.
  • 86.
    Errores Comunes Errores • Falla en visualizar la vesicula completa, errar litos • Falla en visualizar la vesicula en dos ejes, errar litos • Ver artefactos y malinterpretar ventanas • Barro • Gas intestinal • Ver imagenes de mala calidad
  • 87.
    Litos vs Gas Intestinal Errores Litos Gas • Gas y litos pueden crear sombras pero por diferentes razones
  • 88.
    Errores Litos vsGas Intestinal El aire dispersa el sonido
  • 89.
    Litos vs Gas Intestinal • Los litos deben estar dentro de la vesicula • Evaluar peristalsis Errores
  • 90.
    Polipos Vesiculares Errores • Los polipos estan adheridos a la pared vesicular • Los litos tienen que tener dependencia gravitacional
  • 91.
  • 92.
    Reforzamiento acustico posterior Puede llevar a una falsa medición del grosor de la pared: Siempre medir pared anterior Errores
  • 93.
    Resumen Consideraciones Finales • Conocimiento de la anatomia • Posición del paciente • Artefactos vs. patología • Los litos pueden tener distintas apariencias, pueden ser dificiles de encontrar • Hallazgos ecográficos de colecistitis • Conocer sus limitaciones
  • 94.
    Ahora a hacer Ecografias……………

Notas del editor

  • #8 Biliary ultrasound can be difficult for the novice because this area contains many anatomic structures.
  • #9 Biliary ultrasound can be difficult for the novice because this area contains many anatomic structures.
  • #11 The portal triad is comprised of the portal vein, hepatic artery, and common bile duct
  • #16 A small liver or anterior gallbladder will make the exam more difficult as there is less liver to use as a sonographic window. Excessive bowel gas also makes the exam difficult because of scatter and shadowing.
  • #17 Having the patient lie in the left lateral decubitus position positions the gallbladder directly under the liver. This takes more advantage of the liver as a sonographic window.
  • #19 Probe is placed longitudinally under the costal margin and swept laterally until the gallbladder is visualized. Once gallbladder is seen, probe should be rotated so that the gallbladder is seen along it’s long axis. This is the longitudinal view of the GALLBLADDER. Note that this will not necessary be along a sagittal orientation of the patient.
  • #20 Longitudinal view of the gallbladder. After this view is found, the probe should be swept back and forth through the gallbladder in a careful search for gallstones. Evaluation for pericholecystic fluid and wall thickening should also be done.
  • #21 The common bile duct is usually easily seen in the same longitudinal view. By looking at the 8 o’clock position from the gallbladder, the portal triad should be identified. The portal vein is the large vascular structure with brightly echogenic walls. The common bile duct runs superiorly and parallel to the portal vein. The CBD diameter should be measured from inside to inside.
  • #22 Another view of CBD
  • #24 The nice thing about gallbladder ultrasound is that when the probe is placed in different positions around the liver, the end result is still a relatively similar ultrasound picture. The liver is still usually on the left of the screen with gallbladder on the upper right.
  • #25 Once the gallbladder is found in a sagittal orientation, the probe may be rotated counter-clockwise so that the marker dot is pointed towards the patient’s right side. This produces and axial view of the gallbladder.
  • #30 Pattern recognition for portal triad--triad usually appears in one of these 3 configurations
  • #31 Color may be used to identify the common bile duct. The portal vein and hepatic artery are both vascular structures and should light up with color. The CBD is not vascular and should not have flow.
  • #45 Notice here that bowel gas may sometimes appear similar to gallstones. These “stones” are not definitely inside a gallbladder and they are casting “dirty” shadows.
  • #46 Same here. Air may appear similar to gallstones, but note that you cannot see the gallbladder around the air.
  • #66 Gallbladder wall may appear thickened as a normal post-postprandial state. However, if measured it is rarely greater than 4mm.
  • #80 sludge with stones
  • #89 Scatter happens when sound waves hit very small particles. The sound is scattered and most does not return back to the transducer.