ADENOPATÍAS  MANEJO EN ATENCIÓN  PRIMARIA MARTA ESTÁRICO VERA
INDICE -INTRODUCCIÓN -IMPORTANCIA EN AP -RECUERDO ANATÓMICO: LOCALIZACIÓN -ETIOLOGÍA -MANEJO EN CONSULTA. DIAGNÓSTICO. -TRATAMIENTO -CONCLUSIONES
INTRODUCCIÓN : El sistema linfático está constituido por la linfa, los conductos linfáticos y diversos  órganos, entre los que figuran los  GANGLIOS LINFÁTICOS , que se encuentran  diseminados por todo el organismo formando grupos territoriales, que pueden ser superficiales o profundos. Los ganglios linfáticos son los órganos del sistema inmune más reactivos ante  diversos estímulos ( infecciones, neoplasias…). Su tamaño, en sujetos sanos, varía de 0,5 a 1 cm de diámetro, aunque en la región  inguinal pueden llegar a medir 2 cm.  En la región supraclavicular un ganglio  palpable siempre es patológico.
ADENOPATÍA, LINFADENOPATÍA O LINFADENOMEGALIA: Aumento del tamaño, consistencia o número de los ganglios linfáticos.  -Localizada: sólo afecta un área. -Generalizada: afecta a dos o más áreas ganglionares no contiguas   obliga a realizar  diagnóstico rápido. ¿POR QUÉ PUEDE CRECER UN GANGLIO LINFÁTICO? 1 .Proliferación de linfocitos como respuesta inmunitaria fisiológica a un antígeno. 2 .Infiltración por células inflamatorias en las infecciones que afectan a los ganglios linfáticos. 3 .Proliferación neoplásica de linfocitos o macrófagos. 4 .Infiltración de células malignas metastásicas. 5 .Infiltración de macrófagos cargados de metabolitos en enfermedades de depósito  de lípidos.
IMPORTANCIA EN ATENCIÓN PRIMARIA. -Muy pocos datos sobre incidencia y etiología en AP. -Causa más importante: origen infeccioso o reactivo. ¿QUÉ NOS PUEDE ORIENTAR EN UNA PRIMERA CONSULTA ? Anamnesis y exploración. Características de la adenopatía (tamaño, consistencia, adherencia a planos profundos) y localización. TENER EN CUENTA QUE: -La edad es el factor pronóstico más importante (benignidad/malignidad). -Cuando no llegamos a un diagnóstico etiológico claro y el estado del paciente es bueno es prudente mantener un periodo de observación de 3-4 semanas   NO ANTIBIÓTICOS  NI CORTICOIDES SI NO TENEMOS UN DIAGNÓSTICO ETIOLÓGICO. -La adenopatía supraclavicular SIEMPRE debe ser remitida al siguiente nivel asistencial.
EL RETO DEL MÉDICO DE FAMILIA ES IDENTIFICAR A LOS PACIENTES QUE DEBEN  SER DERIVADOS AL SEGUNDO NIVEL ASISTENCIAL POR SOSPECHA DE  MALIGNIDAD.
LOCALIZACIÓN: SISTEMA LINFÁTICO SUPERFICIAL: -SUBOCCIPITALES -RETROAURICULARES -PREAURICULARES -CERVICALES:  -SUBMENTONIANOS -SUBMANDIBULARES -YUGULARES SUPERIORES -YUGULARES MEDIOS -YUGULARES INFERIORES - POSTEROCERVICALES MEDIOS E INFERIORES -AXILARES -EPITROCLEARES  -INGUINALES -POPLÍTEOS. -
SISTEMA LINFÁTICO PROFUNDO : -GANGLIOS MEDIASTÍNICOS -GANGLIOS ABDOMINALES, RETROPERITONEALES Y PÉLVICOS.
REGIONES GANGLIONARES
RECUERDO ANATÓMICO CABEZA Y CUELLO
ETIOLOGÍA:
EL 60% OBEDECEN A CAUSAS INFECCIOSAS O REACTIVAS, SOBRE  TODO EN GENTE JOVEN.  A PARTIR DE LOS 40-50 AÑOS AUMENTA LA INCIDENCIA DE  ENFERMEDADES MALIGNAS (60% DE LOS CASOS).
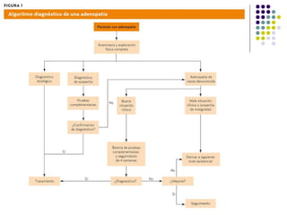
¿QUÉ HACEMOS ANTE UN PACIENTE CON ADENOPATÍAS? LO MÁS IMPORTANTE ES IDENTIFICAR SI SE TRATA DE UN PROCESO  BANAL QUE NO PRECISA MÁS EXPLORACIONES O SI HAY QUE  REALIZAR PRUEBAS COMLPLEMENTARIAS PARA ACLARAR LA ETIOLOGÍA. ¿CUÁNDO ESTUDIAR EL AUMENTO DE TAMAÑO DE UN GANGLIO? En general, cuando aparecen uno o más nuevos ganglios de diámetro igual o  superior a 1 cm, sin una causa previa conocida.
Lo primero que debemos hacer    diagnóstico diferencial entre linfadenopatía  y otras masas subcutáneas y tumores (lipomas, nódulos tiroideos, hernias  inguinales, etc…). Cuando sabemos con seguridad que es una adenopatía: Buscar causa y determinar posible gravedad (¡ EDAD!, CARACTERÍSTICAS  DE LOS NÓDULOS, EXTENSIÓN Y CONTEXTO CLÍNICO GENERAL)
¿QUÉ NOS PUEDE AYUDAR? -presencia de síntomas acompañantes que nos hagan pensar en una infección  viral/bacteriana junto con linfadenopatías dolorosas, blandas y móviles: etiología infecciosa. -En pacientes jóvenes con fiebre, sudoración nocturna, pérdida de peso  y adenopatías agrupadas, firmes, móviles y no dolorosas se tendrá en cuenta  la posibilidad de  Linfoma de Hodgkin. -Adenopatía localizada, dura, no dolorosa y adherida a planos profundos:  pensar en  metástasis. -Adenopatías con rash cutáneo, artralgias y debilidad muscular: pensar en una  enfermedad autoinmune.
1.Anamnesis . -Edad: en niños y adultos jóvenes suelen ser debidas a patología benigna. En > 50 años aumenta la incidencia de procesos malignos. -Sexo: en mujeres predominan las inflamatorias, colagenósicas e  inmunoalérgicas. En hombres las neoplásicas y por linfomas. -Antecedentes personales: hábitos sexuales, cirugía reciente, inmunosupresión,  contacto con animales, viajes, fármacos ( alopurinol, atenolol, captopril…) -Antecedentes familiares: neoplasias, enfermedades infecciosas. -Cronología: MUY IMPORTANTE!: si es inferior a dos semanas o superior a  un año  sin que haya experimentado cambios significativos en su tamaño ,  tiene un posibilidad muy baja de ser debida a un proceso neoplásico.
OTROS DATOS  ORIENTAN EN MUCHOS CASOS A UNA  PATOLOGÍA: -astenia  -fiebre -sensación distérmica  -lesiones de rascado -pérdida de peso  -exantema -anorexia  -diátesis hemorrágica -sudoración nocturna  -soplos cardíacos -odinofagia  -hepatoesplenomegalia -prurito  -signo de Hoster   los ganglios son dolorosos al -presencia de heridas  ingerir alcohol (Enf. de Hodgkin) -algias  -signos de infección local en áreas de drenaje -picaduras de mosquito
2. EXPLORACIÓN FÍSICA: -Explorar TODAS las regiones, palpando con las yemas de los dedos segundo,  tercero y cuarto, con suavidad, haciendo un movimiento circular y aumentando  progresivamente la presión,  con el fin de clasificar la adenopatía como  LOCALIZADA o GENERALIZADA. -En el caso de una adenopatía LOCALIZADA, se realizará examen de la zona  anatómica drenada por ese grupo de ganglios linfáticos    heridas, picaduras de insectos, micosis, inflamación, etc… .
¿CÓMO EXPLORAR AL PACIENTE? Seguiremos una exploración sistemática de todos los grupos: Región cervical:  nosotros   detrás del paciente paciente   sentado con la cabeza en ligera flexión  borde anterior esternocleidomastoideo    línea divisoria de los triángulos anterior y posterior cervicales: PUNTO DE REFERENCIA PARA DESCRIBIR LA LOCALIZACIÓN.   Comenzamos por el hueco supraesternal, palpando la pared de la tráquea y seguiremos hacia otros grupos, mejor de forma unilateral: cadena yugular   submandibulares  submentonianos  cervicales  auriculares  supraclaviculares.
Región axilar :  sujetamos antebrazo del paciente e introducimos palma plana de la mano en el hueco axilar, describiendo movimientos circulares con la punta de los dedos y la palma, notando los  ganglios centrales axilares  (mitad de la pared torácica de la axila)  y los  laterales  (bajo el borde anterior del músculo dorsal ancho) Ganglios epitrocleares:  se sujeta el codo con una mano mientras se explora con la otra la depresión que existe por encima y detrás del cóndilo medial del húmero. Ganglios inguinales y poplíteos:   se coloca al paciente en decúbito supino con las rodillas a media flexión. En la región inguinal iremos palpando en profundidad los diferentes grupos superiores e inferiores.
 
ASPECTOS A TENER EN CUENTA: - Tamaño : en general  normales si<1cm, excepto inguinales (hasta 2 cm) y epitrocleares (hasta 0,5 cm). Se acepta que a partir de 2 cm (niños 1 cm), de tres semanas de evolución y sin causa infecciosa/inflamatoria conocida, requiere valoración detallada etiológica.  Si > 4 cm: estudio urgente. NO OLVIDAR LOS DE PEQUEÑO TAMAÑO   PUEDEN SER LA  MANIFESTACIÓN INICIAL DE UN PROCESO MALIGNO.
- CARACTERÍSTICAS FÍSICAS: Consistencia BLANDA, FIRME, ELASTICA O DURA.  MOVILES O FIJOS. Origen infeccioso o inflamatorio:  blandas, dolorosas, fluctuantes,  asimétricas e irregulares, con bordes mal definidos, y la piel que las recubre  puede estar enrojecida y caliente. Si fistuliza pensar en origen tuberculoso, aspergilosis, actinomicosis, linfogranuloma venéreo y neoplasias.
Origen neoplásico:  duras, indoloras, adheridas a la piel o a planos profundos,  no son móviles, con bordes mal definidos y a veces forman conglomerados. Linfomas:  elásticas, indoloras, móviles, de crecimiento rápido, múltiples y  simétricas a veces. -LOCALIZACIÓN: DE GRAN VALOR PARA ORIENTAR EL DIAGNÓSTICO. LAS ADENOPATÍAS SUPRACLAVICULARES, MEDIASTÍNICAS,  ABDOMINALES, EPITROCLEARES Y POPLÍTEAS (EN AUSENCIA DE  LESIÓN LOCAL LAS DOS ÚLTIMAS) DEBEN CONSIDERARSE  SIEMPRE PATOLÓGICAS.
ADENOPATÍAS LOCALIZADAS: Suelen indicar lesión vecina (herida, excoriación..), pero también pueden ser la  única manifestación de una neoplasia.  Posibles causas según localización: - Preauriculares : infección párpados, conjuntiva, CAE. - Retroauriculares : infección cuero cabelludo, rubeola, linfoma. - Occipitales : infección cuero cabelludo, rubeola, linfoma, mononucleosis,  toxoplasmosis, lúes. - Submandibular : infecciones de cabeza y cuello, senos, oídos, ojos, cuero  cabelludo  y faringe. - Yugulares o mandibulares unilaterales : linfoma o tumor maligno de cabeza o  cuello. Si bilaterales sarcoidosis, lúes secundaria o tularemia.
- Supraclaviculares y/o escalenas:  siempre son ANORMALES, con alto  riesgo de  malignidad (90% en mayores de 40 años y  25%  en menores de 40 años).  - derechas: cáncer de mediastino, pulmón o esófago. - izquierdas: GANGLIO DE VIRCHOW   supraclavicular izquierdo. Se asocia con metástasis de un primario gastrointestinal. También en tumores ováricos, testiculares, renales, pancreáticos y de próstata.  - Axilares:  infecciones MMSS, enfermedad por arañazo de gato, neoplasia de mama, linfomas, infecciones tórax, implantes de silicona, melanoma… - Hiliares unilaterales:  metástasis de neoplasia de pulmón. - Hiliares bilaterales:  sarcoidosis, TBC, infecciones fúngicas sistémicas,  ADENOPATÍA HILIAR BILATERAL + MASA MEDIASTÍNICA ANTERIOR + DERRAME PLEURAL   SUGESTIVO DE NEOPLASIA.
- Mediastínicas bilaterales:  linfoma de Hodgkin. - Epitrocleares unilaterales:  infecciones mano y antebrazo. - Epitrocleares bilaterales:  sarcoidosis, tularemia, lúes secundaria. - Inguinales:  infecciones o traumatismos en las piernas o los pies, ETS, linfomas, metástasis de recto, genitales y melanoma de extremidades inferiores.  GANGLIO DE LA HERMANA  MARIA JOSÉ   paraumbilical. Raro. Puede ser señal de neoplasia abdominal o pélvica. - Retroperitoneales y abdominales:  en general MALIGNOS.  -benignos: TBC -malignos: linfomas y neoplasias
ADENOPATÍAS GENERALIZADAS: Generalmente por enfermedades sistémicas, la mayoría de las veces  NO MALIGNAS: procesos víricos, bacterianos, micosis, enfermedades  inmunológicas… Entre la MALIGNAS: Linfoma de Hodgkin y Leucemia Linfocítica Aguda (mediastino o supraclavicular), Linfoma no Hodgkin y Leucemia Linfocítica Crónica  simétricas generalmente). ¡ MUY IMPORTANTE VALORAR SIEMPRE EL CONTEXTO CLÍNICO !
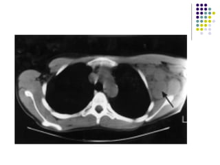
3.PRUEBAS COMPLEMENTARIAS. Iniciales: -Hemograma completo con fórmula leucocitaria y VSG. Coagulación. -Serología de CMV, EB, toxoplasma, herpes virus y VIH. -Bioquímica: función hepática y renal, bilirrubina, fosfatasa alcalina, iones. -Si adenopatía generalizada   estudio inmunológico con proteinograma, factor  reumatoide,  ANA y anti DNA ( si sopechamos enfermedad autoinmunitaria, como LUPUS o ARTRITIS REUMATOIDE) -Hemocultivos, estudio de líquidos orgánicos. -Prueba de Mantoux -RX tórax : estudio de adenopatías hiliomediastínicas y visualizar campos  pulmonares  (datos para sospecha de TUBERCULOSIS, SARCOIDOSIS, LINFOMA, HISTOPLASMOSIS, NEOPLASIA, METÁSTASIS).
Posteriores : otras pruebas precisan derivación al siguiente nivel. ECOGRAFÍA TAC TORACOABDOMINAL: muy sensible para detectar adenopatías de  1-2 cm de diámetro ( en personas delgadas puede resultar más sensible la ECOGRAFÍA ABDOMINAL). RMN: útil para distinguir entre una masa residual fibrótica y una  linfoproliferativa activa. GAMMAGRAFÍA CON TALIO: muy sensible para detectar focos ocultos de  enfermedad, en particular torácicos. ¡COMENZAR SIEMPRE POR LAS PRUEBAS DE IMAGEN MÁS SENCILLAS!
 
DIAGNÓSTIO DEFINITIVO   ESTUDIO HISTOLÓGICO BIOPSIA EXCISIONAL: -más incomoda para el paciente. -método más preciso. -requiere en general la extirpación total del ganglio. ¿Cuándo realizarla? -Hª y EF de malignidad Si no, esperar 2-4 semanas y realizar si persiste o aumenta de tamaño. SE DEBE EVITAR EN LO POSIBLE EN LAS INGUINALES, AXILARES Y SUBMANDIBULARES ( CAUSAS INESPECÍFICAS).
 
PAAF: -sencilla y poco molesta  -retrasa diagnóstico!!! -puede provocar trayectos fistulosos LO MÁS ACEPTADO ES QUE DEBE RESERVARSE PARA LOS NÓDULOS TIROIDEOS Y PARA CONFIRMAR LA RECAÍDA EN PACIENTES CON  DIAGNÓSTICO CONOCIDO.  OTROS: SÓLO JUSTIFICADA EN CASO DE IMPOSIBILIDAD PARA  OBTENER BIOPSIA.
LINFOGRAFÍA ABDOMINAL BIOPSIA HEPÁTICA Y/O ESPLENECTOMÍA Sobre todo en linfomas.
ALGUNOS EJEMPLOS DE DIAGNÓSTICO DIFERENCIAL: Tuberculosis cervical : adenopatía única, laterocervical, que puede fistulizar dejando cicatriz característica-escrófula-.  Diagnóstico: cultivo de muestra obtenida por PAAF o por biopsia. VIH : inicialmente síndrome compuesto por adenopatías, fiebre y artralgias. Posteriormente adenopatías palpables y no dolorosas en dos o más regiones  ganglionares.
Toxoplasmosis:  síntomas similares a los de una gripe con adenopatías inflamatorias  occipitales y/o submandibulares. Sarcoidosis:  adenopatías mediastínicas y supraclaviculares asociado a  alteraciones  oculares, de glándulas lagrimales y salivales. Otras: enfermedad  por arañazo de gato, sífilis, brucelosis…
TRATAMIENTO EL DE LA ENFERMEDAD DE BASE IMPORTANTE VALORAR LA PRESENCIA DE ENFERMEDAD SISTÉMICA EN GENERAL NO SE ACONSEJA LA ADMINISTRACIÓN  DE ANTIBIÓTICOS , SALVO QUE EXISTA UNA PRUEBA CLARA DE  INFECCIÓN BACTERIANA. TAMPOCO CORTICOIDES, YA QUE ENTORPECEN EL DIAGNÓSTICO DE ALGUNOS PROCESOS Y PUEDEN CONTRIBUIR A LA REACTIVACIÓN DE  ALGUNA ENFERMEDAD SUBYACENTE ( a excepción de obstrucción faríngea por agrandamiento del anillo de Waldeyer en una mononucleosis, que puede  comprometer la vida del paciente).
ANTE UNA ADENOPATÍA DOLOROSA PAUTAREMOS TRATAMIENTO SINTOMÁTICO CON  AINES . UNA ADENOPATÍA SE DEBE VALORAR DE NUEVO A LOS 15 DIAS DE SU  APARICIÓN , JUNTO CON LAS PRUEBAS COMPLEMENTARIAS Y  ORIENTAR SU ESTUDIO EN FUNCIÓN DE LA EVOLUCIÓN.
 
EN RESUMEN… -CAUSA MÁS FRECUENTE DE ADENOPATÍAS EN AP: INFECCIOSA/INFLAMATORIA -LA EDAD ES EL FACTOR PRONÓSTICO MÁS IMPORTANTE. -REALIZAR SIEMPRE UNA ANAMNESIS DETALLADA Y UNA EXPLORACIÓN FÍSICA  EXHAUSTIVA. SI NO SABEMOS QUÉ LE PASA, Y SU ESTADO GENERAL ES  BUENO: OBSERVACIÓN 3-4 SEMANAS  SIN  TRATAMIENTO CON CORTICOIDES NI ATB. EN FUNCIÓN DE LA EVOLUCIÓN Y DEL RESULTADO DE LAS PRUEBAS  COMPLEMENTARIAS DECIDIREMOS QUÉ HACER. -SI TENEMOS DATOS QUE SUGIERAN ENFERMEDAD MALIGNA/MAL ESTADO  GENERAL VALORAR DERIVAR A SEGUNDO NIVEL ASISTENCIAL PARA  COMPLETAR ESTUDIO. -LA ADENOPATÍA SUPRACLAVICULAR  SIEMPRE  DEBE SER REMITIDA AL  SIGUIENTE NIVEL ASISTENCIAL. ¡¡VALORAR SIEMPRE LA SITUACIÓN PERSONAL DE CADA PACIENTE Y EL  CONTEXTO CLÍNICO EN QUE APARECE LA ADENOPATÍA!!!
BIBLIOGRAFÍA: - JUAN JOSÉ RALUY DOMÍNGUEZ. LUIS MELEIRO RODRÍGUEZ.  ADENOPATÍAS. AMF 2011;7(4):218-222 -JUAN RAMÓN IRIBARREN. HERMINIA AGUIRRE. ADENOPATIAS. LIBRO ELECTRÓNICO DE TEMAS DE URGENCIA. -ROBERT H FLETCHER, MD. EVALUATION OF PERIPHERAL LYMPHADENOPATHY IN ADULTS .UPTODATE. -FRANCISCO MEDRANO. JUAN CARLOS SEGURA. ELOY CAMINO. PROTOCOLO DE ADENOPATÍAS

Adenopatías

  • 1.
    ADENOPATÍAS MANEJOEN ATENCIÓN PRIMARIA MARTA ESTÁRICO VERA
  • 2.
    INDICE -INTRODUCCIÓN -IMPORTANCIAEN AP -RECUERDO ANATÓMICO: LOCALIZACIÓN -ETIOLOGÍA -MANEJO EN CONSULTA. DIAGNÓSTICO. -TRATAMIENTO -CONCLUSIONES
  • 3.
    INTRODUCCIÓN : Elsistema linfático está constituido por la linfa, los conductos linfáticos y diversos órganos, entre los que figuran los GANGLIOS LINFÁTICOS , que se encuentran diseminados por todo el organismo formando grupos territoriales, que pueden ser superficiales o profundos. Los ganglios linfáticos son los órganos del sistema inmune más reactivos ante diversos estímulos ( infecciones, neoplasias…). Su tamaño, en sujetos sanos, varía de 0,5 a 1 cm de diámetro, aunque en la región inguinal pueden llegar a medir 2 cm. En la región supraclavicular un ganglio palpable siempre es patológico.
  • 4.
    ADENOPATÍA, LINFADENOPATÍA OLINFADENOMEGALIA: Aumento del tamaño, consistencia o número de los ganglios linfáticos. -Localizada: sólo afecta un área. -Generalizada: afecta a dos o más áreas ganglionares no contiguas  obliga a realizar diagnóstico rápido. ¿POR QUÉ PUEDE CRECER UN GANGLIO LINFÁTICO? 1 .Proliferación de linfocitos como respuesta inmunitaria fisiológica a un antígeno. 2 .Infiltración por células inflamatorias en las infecciones que afectan a los ganglios linfáticos. 3 .Proliferación neoplásica de linfocitos o macrófagos. 4 .Infiltración de células malignas metastásicas. 5 .Infiltración de macrófagos cargados de metabolitos en enfermedades de depósito de lípidos.
  • 5.
    IMPORTANCIA EN ATENCIÓNPRIMARIA. -Muy pocos datos sobre incidencia y etiología en AP. -Causa más importante: origen infeccioso o reactivo. ¿QUÉ NOS PUEDE ORIENTAR EN UNA PRIMERA CONSULTA ? Anamnesis y exploración. Características de la adenopatía (tamaño, consistencia, adherencia a planos profundos) y localización. TENER EN CUENTA QUE: -La edad es el factor pronóstico más importante (benignidad/malignidad). -Cuando no llegamos a un diagnóstico etiológico claro y el estado del paciente es bueno es prudente mantener un periodo de observación de 3-4 semanas  NO ANTIBIÓTICOS NI CORTICOIDES SI NO TENEMOS UN DIAGNÓSTICO ETIOLÓGICO. -La adenopatía supraclavicular SIEMPRE debe ser remitida al siguiente nivel asistencial.
  • 6.
    EL RETO DELMÉDICO DE FAMILIA ES IDENTIFICAR A LOS PACIENTES QUE DEBEN SER DERIVADOS AL SEGUNDO NIVEL ASISTENCIAL POR SOSPECHA DE MALIGNIDAD.
  • 7.
    LOCALIZACIÓN: SISTEMA LINFÁTICOSUPERFICIAL: -SUBOCCIPITALES -RETROAURICULARES -PREAURICULARES -CERVICALES: -SUBMENTONIANOS -SUBMANDIBULARES -YUGULARES SUPERIORES -YUGULARES MEDIOS -YUGULARES INFERIORES - POSTEROCERVICALES MEDIOS E INFERIORES -AXILARES -EPITROCLEARES -INGUINALES -POPLÍTEOS. -
  • 8.
    SISTEMA LINFÁTICO PROFUNDO: -GANGLIOS MEDIASTÍNICOS -GANGLIOS ABDOMINALES, RETROPERITONEALES Y PÉLVICOS.
  • 9.
  • 10.
  • 11.
  • 12.
    EL 60% OBEDECENA CAUSAS INFECCIOSAS O REACTIVAS, SOBRE TODO EN GENTE JOVEN. A PARTIR DE LOS 40-50 AÑOS AUMENTA LA INCIDENCIA DE ENFERMEDADES MALIGNAS (60% DE LOS CASOS).
  • 13.
    ¿QUÉ HACEMOS ANTEUN PACIENTE CON ADENOPATÍAS? LO MÁS IMPORTANTE ES IDENTIFICAR SI SE TRATA DE UN PROCESO BANAL QUE NO PRECISA MÁS EXPLORACIONES O SI HAY QUE REALIZAR PRUEBAS COMLPLEMENTARIAS PARA ACLARAR LA ETIOLOGÍA. ¿CUÁNDO ESTUDIAR EL AUMENTO DE TAMAÑO DE UN GANGLIO? En general, cuando aparecen uno o más nuevos ganglios de diámetro igual o superior a 1 cm, sin una causa previa conocida.
  • 14.
    Lo primero quedebemos hacer  diagnóstico diferencial entre linfadenopatía y otras masas subcutáneas y tumores (lipomas, nódulos tiroideos, hernias inguinales, etc…). Cuando sabemos con seguridad que es una adenopatía: Buscar causa y determinar posible gravedad (¡ EDAD!, CARACTERÍSTICAS DE LOS NÓDULOS, EXTENSIÓN Y CONTEXTO CLÍNICO GENERAL)
  • 15.
    ¿QUÉ NOS PUEDEAYUDAR? -presencia de síntomas acompañantes que nos hagan pensar en una infección viral/bacteriana junto con linfadenopatías dolorosas, blandas y móviles: etiología infecciosa. -En pacientes jóvenes con fiebre, sudoración nocturna, pérdida de peso y adenopatías agrupadas, firmes, móviles y no dolorosas se tendrá en cuenta la posibilidad de Linfoma de Hodgkin. -Adenopatía localizada, dura, no dolorosa y adherida a planos profundos: pensar en metástasis. -Adenopatías con rash cutáneo, artralgias y debilidad muscular: pensar en una enfermedad autoinmune.
  • 16.
    1.Anamnesis . -Edad:en niños y adultos jóvenes suelen ser debidas a patología benigna. En > 50 años aumenta la incidencia de procesos malignos. -Sexo: en mujeres predominan las inflamatorias, colagenósicas e inmunoalérgicas. En hombres las neoplásicas y por linfomas. -Antecedentes personales: hábitos sexuales, cirugía reciente, inmunosupresión, contacto con animales, viajes, fármacos ( alopurinol, atenolol, captopril…) -Antecedentes familiares: neoplasias, enfermedades infecciosas. -Cronología: MUY IMPORTANTE!: si es inferior a dos semanas o superior a un año sin que haya experimentado cambios significativos en su tamaño , tiene un posibilidad muy baja de ser debida a un proceso neoplásico.
  • 17.
    OTROS DATOS ORIENTAN EN MUCHOS CASOS A UNA PATOLOGÍA: -astenia -fiebre -sensación distérmica -lesiones de rascado -pérdida de peso -exantema -anorexia -diátesis hemorrágica -sudoración nocturna -soplos cardíacos -odinofagia -hepatoesplenomegalia -prurito -signo de Hoster  los ganglios son dolorosos al -presencia de heridas ingerir alcohol (Enf. de Hodgkin) -algias -signos de infección local en áreas de drenaje -picaduras de mosquito
  • 18.
    2. EXPLORACIÓN FÍSICA:-Explorar TODAS las regiones, palpando con las yemas de los dedos segundo, tercero y cuarto, con suavidad, haciendo un movimiento circular y aumentando progresivamente la presión, con el fin de clasificar la adenopatía como LOCALIZADA o GENERALIZADA. -En el caso de una adenopatía LOCALIZADA, se realizará examen de la zona anatómica drenada por ese grupo de ganglios linfáticos  heridas, picaduras de insectos, micosis, inflamación, etc… .
  • 19.
    ¿CÓMO EXPLORAR ALPACIENTE? Seguiremos una exploración sistemática de todos los grupos: Región cervical: nosotros  detrás del paciente paciente  sentado con la cabeza en ligera flexión borde anterior esternocleidomastoideo  línea divisoria de los triángulos anterior y posterior cervicales: PUNTO DE REFERENCIA PARA DESCRIBIR LA LOCALIZACIÓN. Comenzamos por el hueco supraesternal, palpando la pared de la tráquea y seguiremos hacia otros grupos, mejor de forma unilateral: cadena yugular  submandibulares  submentonianos  cervicales  auriculares  supraclaviculares.
  • 20.
    Región axilar : sujetamos antebrazo del paciente e introducimos palma plana de la mano en el hueco axilar, describiendo movimientos circulares con la punta de los dedos y la palma, notando los ganglios centrales axilares (mitad de la pared torácica de la axila) y los laterales (bajo el borde anterior del músculo dorsal ancho) Ganglios epitrocleares: se sujeta el codo con una mano mientras se explora con la otra la depresión que existe por encima y detrás del cóndilo medial del húmero. Ganglios inguinales y poplíteos: se coloca al paciente en decúbito supino con las rodillas a media flexión. En la región inguinal iremos palpando en profundidad los diferentes grupos superiores e inferiores.
  • 21.
  • 22.
    ASPECTOS A TENEREN CUENTA: - Tamaño : en general normales si<1cm, excepto inguinales (hasta 2 cm) y epitrocleares (hasta 0,5 cm). Se acepta que a partir de 2 cm (niños 1 cm), de tres semanas de evolución y sin causa infecciosa/inflamatoria conocida, requiere valoración detallada etiológica. Si > 4 cm: estudio urgente. NO OLVIDAR LOS DE PEQUEÑO TAMAÑO  PUEDEN SER LA MANIFESTACIÓN INICIAL DE UN PROCESO MALIGNO.
  • 23.
    - CARACTERÍSTICAS FÍSICAS:Consistencia BLANDA, FIRME, ELASTICA O DURA. MOVILES O FIJOS. Origen infeccioso o inflamatorio: blandas, dolorosas, fluctuantes, asimétricas e irregulares, con bordes mal definidos, y la piel que las recubre puede estar enrojecida y caliente. Si fistuliza pensar en origen tuberculoso, aspergilosis, actinomicosis, linfogranuloma venéreo y neoplasias.
  • 24.
    Origen neoplásico: duras, indoloras, adheridas a la piel o a planos profundos, no son móviles, con bordes mal definidos y a veces forman conglomerados. Linfomas: elásticas, indoloras, móviles, de crecimiento rápido, múltiples y simétricas a veces. -LOCALIZACIÓN: DE GRAN VALOR PARA ORIENTAR EL DIAGNÓSTICO. LAS ADENOPATÍAS SUPRACLAVICULARES, MEDIASTÍNICAS, ABDOMINALES, EPITROCLEARES Y POPLÍTEAS (EN AUSENCIA DE LESIÓN LOCAL LAS DOS ÚLTIMAS) DEBEN CONSIDERARSE SIEMPRE PATOLÓGICAS.
  • 25.
    ADENOPATÍAS LOCALIZADAS: Suelenindicar lesión vecina (herida, excoriación..), pero también pueden ser la única manifestación de una neoplasia. Posibles causas según localización: - Preauriculares : infección párpados, conjuntiva, CAE. - Retroauriculares : infección cuero cabelludo, rubeola, linfoma. - Occipitales : infección cuero cabelludo, rubeola, linfoma, mononucleosis, toxoplasmosis, lúes. - Submandibular : infecciones de cabeza y cuello, senos, oídos, ojos, cuero cabelludo y faringe. - Yugulares o mandibulares unilaterales : linfoma o tumor maligno de cabeza o cuello. Si bilaterales sarcoidosis, lúes secundaria o tularemia.
  • 26.
    - Supraclaviculares y/oescalenas: siempre son ANORMALES, con alto riesgo de malignidad (90% en mayores de 40 años y 25% en menores de 40 años). - derechas: cáncer de mediastino, pulmón o esófago. - izquierdas: GANGLIO DE VIRCHOW  supraclavicular izquierdo. Se asocia con metástasis de un primario gastrointestinal. También en tumores ováricos, testiculares, renales, pancreáticos y de próstata. - Axilares: infecciones MMSS, enfermedad por arañazo de gato, neoplasia de mama, linfomas, infecciones tórax, implantes de silicona, melanoma… - Hiliares unilaterales: metástasis de neoplasia de pulmón. - Hiliares bilaterales: sarcoidosis, TBC, infecciones fúngicas sistémicas, ADENOPATÍA HILIAR BILATERAL + MASA MEDIASTÍNICA ANTERIOR + DERRAME PLEURAL  SUGESTIVO DE NEOPLASIA.
  • 27.
    - Mediastínicas bilaterales: linfoma de Hodgkin. - Epitrocleares unilaterales: infecciones mano y antebrazo. - Epitrocleares bilaterales: sarcoidosis, tularemia, lúes secundaria. - Inguinales: infecciones o traumatismos en las piernas o los pies, ETS, linfomas, metástasis de recto, genitales y melanoma de extremidades inferiores. GANGLIO DE LA HERMANA MARIA JOSÉ  paraumbilical. Raro. Puede ser señal de neoplasia abdominal o pélvica. - Retroperitoneales y abdominales: en general MALIGNOS. -benignos: TBC -malignos: linfomas y neoplasias
  • 28.
    ADENOPATÍAS GENERALIZADAS: Generalmentepor enfermedades sistémicas, la mayoría de las veces NO MALIGNAS: procesos víricos, bacterianos, micosis, enfermedades inmunológicas… Entre la MALIGNAS: Linfoma de Hodgkin y Leucemia Linfocítica Aguda (mediastino o supraclavicular), Linfoma no Hodgkin y Leucemia Linfocítica Crónica simétricas generalmente). ¡ MUY IMPORTANTE VALORAR SIEMPRE EL CONTEXTO CLÍNICO !
  • 29.
    3.PRUEBAS COMPLEMENTARIAS. Iniciales:-Hemograma completo con fórmula leucocitaria y VSG. Coagulación. -Serología de CMV, EB, toxoplasma, herpes virus y VIH. -Bioquímica: función hepática y renal, bilirrubina, fosfatasa alcalina, iones. -Si adenopatía generalizada  estudio inmunológico con proteinograma, factor reumatoide, ANA y anti DNA ( si sopechamos enfermedad autoinmunitaria, como LUPUS o ARTRITIS REUMATOIDE) -Hemocultivos, estudio de líquidos orgánicos. -Prueba de Mantoux -RX tórax : estudio de adenopatías hiliomediastínicas y visualizar campos pulmonares (datos para sospecha de TUBERCULOSIS, SARCOIDOSIS, LINFOMA, HISTOPLASMOSIS, NEOPLASIA, METÁSTASIS).
  • 30.
    Posteriores : otraspruebas precisan derivación al siguiente nivel. ECOGRAFÍA TAC TORACOABDOMINAL: muy sensible para detectar adenopatías de 1-2 cm de diámetro ( en personas delgadas puede resultar más sensible la ECOGRAFÍA ABDOMINAL). RMN: útil para distinguir entre una masa residual fibrótica y una linfoproliferativa activa. GAMMAGRAFÍA CON TALIO: muy sensible para detectar focos ocultos de enfermedad, en particular torácicos. ¡COMENZAR SIEMPRE POR LAS PRUEBAS DE IMAGEN MÁS SENCILLAS!
  • 31.
  • 32.
    DIAGNÓSTIO DEFINITIVO  ESTUDIO HISTOLÓGICO BIOPSIA EXCISIONAL: -más incomoda para el paciente. -método más preciso. -requiere en general la extirpación total del ganglio. ¿Cuándo realizarla? -Hª y EF de malignidad Si no, esperar 2-4 semanas y realizar si persiste o aumenta de tamaño. SE DEBE EVITAR EN LO POSIBLE EN LAS INGUINALES, AXILARES Y SUBMANDIBULARES ( CAUSAS INESPECÍFICAS).
  • 33.
  • 34.
    PAAF: -sencilla ypoco molesta -retrasa diagnóstico!!! -puede provocar trayectos fistulosos LO MÁS ACEPTADO ES QUE DEBE RESERVARSE PARA LOS NÓDULOS TIROIDEOS Y PARA CONFIRMAR LA RECAÍDA EN PACIENTES CON DIAGNÓSTICO CONOCIDO. OTROS: SÓLO JUSTIFICADA EN CASO DE IMPOSIBILIDAD PARA OBTENER BIOPSIA.
  • 35.
    LINFOGRAFÍA ABDOMINAL BIOPSIAHEPÁTICA Y/O ESPLENECTOMÍA Sobre todo en linfomas.
  • 36.
    ALGUNOS EJEMPLOS DEDIAGNÓSTICO DIFERENCIAL: Tuberculosis cervical : adenopatía única, laterocervical, que puede fistulizar dejando cicatriz característica-escrófula-. Diagnóstico: cultivo de muestra obtenida por PAAF o por biopsia. VIH : inicialmente síndrome compuesto por adenopatías, fiebre y artralgias. Posteriormente adenopatías palpables y no dolorosas en dos o más regiones ganglionares.
  • 37.
    Toxoplasmosis: síntomassimilares a los de una gripe con adenopatías inflamatorias occipitales y/o submandibulares. Sarcoidosis: adenopatías mediastínicas y supraclaviculares asociado a alteraciones oculares, de glándulas lagrimales y salivales. Otras: enfermedad por arañazo de gato, sífilis, brucelosis…
  • 38.
    TRATAMIENTO EL DELA ENFERMEDAD DE BASE IMPORTANTE VALORAR LA PRESENCIA DE ENFERMEDAD SISTÉMICA EN GENERAL NO SE ACONSEJA LA ADMINISTRACIÓN DE ANTIBIÓTICOS , SALVO QUE EXISTA UNA PRUEBA CLARA DE INFECCIÓN BACTERIANA. TAMPOCO CORTICOIDES, YA QUE ENTORPECEN EL DIAGNÓSTICO DE ALGUNOS PROCESOS Y PUEDEN CONTRIBUIR A LA REACTIVACIÓN DE ALGUNA ENFERMEDAD SUBYACENTE ( a excepción de obstrucción faríngea por agrandamiento del anillo de Waldeyer en una mononucleosis, que puede comprometer la vida del paciente).
  • 39.
    ANTE UNA ADENOPATÍADOLOROSA PAUTAREMOS TRATAMIENTO SINTOMÁTICO CON AINES . UNA ADENOPATÍA SE DEBE VALORAR DE NUEVO A LOS 15 DIAS DE SU APARICIÓN , JUNTO CON LAS PRUEBAS COMPLEMENTARIAS Y ORIENTAR SU ESTUDIO EN FUNCIÓN DE LA EVOLUCIÓN.
  • 40.
  • 41.
    EN RESUMEN… -CAUSAMÁS FRECUENTE DE ADENOPATÍAS EN AP: INFECCIOSA/INFLAMATORIA -LA EDAD ES EL FACTOR PRONÓSTICO MÁS IMPORTANTE. -REALIZAR SIEMPRE UNA ANAMNESIS DETALLADA Y UNA EXPLORACIÓN FÍSICA EXHAUSTIVA. SI NO SABEMOS QUÉ LE PASA, Y SU ESTADO GENERAL ES BUENO: OBSERVACIÓN 3-4 SEMANAS SIN TRATAMIENTO CON CORTICOIDES NI ATB. EN FUNCIÓN DE LA EVOLUCIÓN Y DEL RESULTADO DE LAS PRUEBAS COMPLEMENTARIAS DECIDIREMOS QUÉ HACER. -SI TENEMOS DATOS QUE SUGIERAN ENFERMEDAD MALIGNA/MAL ESTADO GENERAL VALORAR DERIVAR A SEGUNDO NIVEL ASISTENCIAL PARA COMPLETAR ESTUDIO. -LA ADENOPATÍA SUPRACLAVICULAR SIEMPRE DEBE SER REMITIDA AL SIGUIENTE NIVEL ASISTENCIAL. ¡¡VALORAR SIEMPRE LA SITUACIÓN PERSONAL DE CADA PACIENTE Y EL CONTEXTO CLÍNICO EN QUE APARECE LA ADENOPATÍA!!!
  • 42.
    BIBLIOGRAFÍA: - JUANJOSÉ RALUY DOMÍNGUEZ. LUIS MELEIRO RODRÍGUEZ. ADENOPATÍAS. AMF 2011;7(4):218-222 -JUAN RAMÓN IRIBARREN. HERMINIA AGUIRRE. ADENOPATIAS. LIBRO ELECTRÓNICO DE TEMAS DE URGENCIA. -ROBERT H FLETCHER, MD. EVALUATION OF PERIPHERAL LYMPHADENOPATHY IN ADULTS .UPTODATE. -FRANCISCO MEDRANO. JUAN CARLOS SEGURA. ELOY CAMINO. PROTOCOLO DE ADENOPATÍAS